Диагностика рака ободочной кишки. Лечение рака ободочной кишки
Добавил пользователь Владимир З. Обновлено: 25.01.2026
Рак ободочной кишки – злокачественная опухоль, которая чаще образуется у людей в возрасте 40-70 лет. Заболевание в течение длительного времени протекает бессимптомно или проявляется дисфункцией кишечника. По этой причине опухоль чаще выявляют на поздней стадии онкологического процесса, когда возникают сложности с выполнением радикального оперативного вмешательства.
Для диагностики и лечения опухолей ободочной кишки все условия созданы в Юсуповской больницы:
Европейский уровень комфортности палат;
Новейшая диагностическая аппаратура экспертного класса, обладающая высокой разрешающей способностью;
Высокий уровень квалификации врачей;
Применение международных протоколов и стандартов лечения злокачественных новообразований ободочной кишки;
Внимательное отношение медицинского персонала к пожеланиям пациентов и их родственников.
Пациенты, нуждающиеся в паллиативной помощи, могут находиться в хосписе. Тяжёлые случаи рака ободочной кишки обсуждаются на заседании Экспертного Совета. В его работе принимают участие доктора и кандидаты медицинских наук, врачи высшей квалификационной категории. Ведущие специалисты в области онкологии коллегиально вырабатывают тактику ведения пациента.

Причина развития заболевания
Точной причины рака ободочной кишки учёные до настоящего времени не установили. Злокачественная опухоль может развиться на фоне предраковых заболеваний: семейного и приобретенного полипоза, ворсинчатых опухолей и аденоматозных полипов. К провоцирующим образование опухоли факторам исследователи относят следующие патологические процессы:
Неспецифический язвенный колит;
Заболевание может развиться при нарушении питания и состава пищи. Новообразование чаще развивается у людей, которые употребляют в пищу большое количество мяса и мясных продуктов. Внутренняя флора может вырабатывать канцерогенные вещества из животных жиров. К образованию опухоли приводит также нарушение пассажа кишечного содержимого при недостаточном употреблении свежих овощей, фруктов, продуктов, которые содержат большое количество клетчатки.
Макроскопически различают две формы злокачественного новообразования ободочной кишки – экзофитную и эндофитную. Первая форма рака характеризуется ростом опухоли в просвет кишки. Она может иметь вид узла или полипа, чаще встречается в правой половине ободочной кишки, по форме напоминает цветную капусту. Эндофитная опухоль в большинстве случаев образуется в левой половине ободочной кишки. Она инфильтрирует кишечную стенку, постепенно захватывает её по всей окружности и вызывает циркулярное сужение. На опухоли часто образуются язвы.
Морфологи различают следующие гистологические типы злокачественных новообразований ободочной кишки:
Рак ободочной кишки поздно метастазирует. Это позволяет хирургам-онкологам производить радикальные оперативные вмешательства даже при больших размерах новообразования. Опухоль рано вовлекается в воспалительный процесс. Он часто переходит на клетчатку, которая окружает кишечник. Метастазы могут длительное время находиться в регионарных лимфатических узлах. Их во время операции удаляют вместе с брыжейкой.
Симптомы
Ободочная кишка – это сегмент толстой кишки. Основные функции ободочной кишки – секреция, абсорбция и эвакуация содержимого кишечника. Ободочная кишка имеет самую большую длину. Она состоит из восходящей, нисходящей, поперечной и сигмовидной ободочной кишки, имеет печеночный изгиб, селезеночный изгиб. Рак ободочной кишки – это одно из распространенных злокачественных заболеваний в развитых странах, население которых употребляет избыточное количество животных жиров, много мяса и очень мало свежих овощей и фруктов.
Симптомы заболевания становятся более выраженными по мере роста опухоли и интоксикации организма. Клиническая картина бывает разнообразной, зависит от локализации, формы опухоли, различных отягчающих обстоятельств. Левосторонний рак ободочной кишки характеризуется быстрым сужением просвета кишки, развитием ее непроходимости. Правосторонний рак ободочной кишки характеризуется анемией, интенсивной болью в животе. На ранних стадиях развития рака ободочной кишки симптоматика схожа с различными заболеваниями желудочно-кишечного тракта, что часто не позволяет своевременно поставить правильный диагноз. К симптомам рака ободочной кишки относятся:
- отрыжка;
- несистематическая рвота;
- тяжесть в животе после приема пищи;
- тошнота;
- метеоризм;
- боли в области живота;
- запор или диарея;
- изменение характера стула, его формы;
- ощущение дискомфорта, неполного опорожнения кишечника;
- железодефицитная анемия.
Нередко рак ободочной кишки сопровождается присоединением инфекции и развитием воспалительного процесса в опухоли. Боли в животе могут напоминать боли при остром аппендиците, часто поднимается температура, анализы крови показывают увеличение СОЭ и лейкоцитоз. Все эти симптомы нередко приводят к врачебной ошибке. Ранние проявления рака ободочной кишки – это кишечный дискомфорт, симптомы которого часто относят к заболеваниям желчного пузыря, печени, поджелудочной железы. Запоры при раке ободочной кишки не поддаются лечению, что становится важным симптомом развития онкологического заболевания. Левосторонний рак ободочной кишки гораздо чаще сопровождается кишечными расстройствами, чем правосторонний рак.
Запоры при раке ободочной кишки могут сменяться диареей, живот вздувается, беспокоит отрыжка и урчание в животе. Такое состояние может беспокоить длительное время. Назначение диеты, лечение расстройства работы кишечника не приносит результатов. Наиболее выраженные симптомы с вздутием живота и запорами, свойственные раку ректосигмоидного отдела кишечника, появляются на ранних стадиях развития рака.
Непроходимость кишечника при раке ободочной кишки – это показатель позднего проявления онкологического заболевания, чаще встречается при левосторонней форме рака. Правый отдел кишки имеет большой диаметр, тонкую стенку, в правом отделе содержится жидкость – непроходимость этого отдела наступает на поздних стадиях рака. Левый отдел кишки имеет меньший диаметр, в нем находятся мягкие каловые массы, при росте опухоли происходит сужение просвета кишки и наступает закупорка просвета каловыми массами – развивается кишечная непроходимость.
При пальпации врачи определяют в правой половине живота неподвижную, слегка болезненную опухоль. В связи с меньшим диаметром нисходящей кишки, плотной консистенцией кала, эндофитным ростом с сужением просвета кишечника при раке этой локализации часто развивается кишечная непроходимость. Рак ободочной кишки может осложняться кровотечением, кишечной непроходимостью, перфорацией (прободением стенки кишечника), прорастанием новообразования в соседние органы, воспалением опухоли.
При правосторонней форме рака больные нередко обнаруживают опухоль сами при пальпации живота.
Кровь в кале
Пациенты предъявляют жалобы на наличие в кале примесей: крови, гноя, слизи. Кровянистые выделения при раке ободочной кишки чаще отмечаются при экзофитных типах опухолей, начинаются при распаде опухоли, относятся к поздним проявлениям злокачественного образования. В ряде случаев появление крови в фекалиях является единственным признаком рака, особенно если опухоль располагается в левой половине и селезёночном углу ободочной кишки.
В зависимости от расположения опухоли кал может иметь различный вид. При поражении восходящей кишки испражнения имеют бурый цвет или наблюдается дёгтеобразный стул. Каловые массы, смешанные с кровью, – признак опухоли, расположенной в области селезеночного угла и прилежащих отделов нисходящей кишки. При поражении конечного отдела ободочной кишки неизменённая (алая или тёмно-красного цвета) кровь покрывает кал.
Кровянистые выделения при раке ободочной кишки чаще отмечаются при экзофитных типах опухолей, начинаются при распаде опухоли, относятся к поздним проявлениям злокачественного образования.
Рак восходящей ободочной кишки
Рак восходящего отдела ободочной кишки характеризуется выраженным болевым синдромом. Боль в области живота также сильно беспокоит при раке слепой кишки. Этот симптом является одним из признаков рака этих отделов ободочной кишки.
Рак селезеночного изгиба ободочной кишки
В силу своего анатомического расположения рак селезеночного изгиба ободочной кишки плохо определяется при помощи пальпации. Также плохо определяется рак печеночного изгиба ободочной кишки. Чаще всего обследование проводят в положении стоя или в положении полусидя. Такое исследование при первичном обследовании пациента позволяет получить информацию о наличии, размере опухоли и месте её локализации.
Рак поперечно-ободочной кишки
Рак поперечно-ободочной кишки развивается реже чем рак сигмовидной или слепой кишки. При растущей опухоли поперечно-ободочной кишки поражаются правые ободочные, средние, левые ободочные и нижние брыжеечные лимфатические узлы. Симптомы рака поперечно-ободочной кишки – это потеря аппетита, ощущение тяжести в верхней части живота, отрыжка, рвота. Такие симптомы чаще характеризуют рак правой стороны поперечно-ободочной кишки.

Осложнения
Рак ободочной кишки вызывает тяжёлые и опасные для жизни осложнения:
- Кровотечение;
- Кишечную непроходимость;
- Перфорацию (прободение стенки кишечника);
- Прорастание новообразования в соседние органы;
- Воспаление опухоли.
Кровотечение из ободочной кишки при наличии злокачественного новообразования редко бывает обильным. В основном кровь перемешивается с каловыми массами и определяется с помощью лабораторных исследований.
Непроходимость кишечника у большинства пациентов служит первым проявлением болезни. Она является обтурационной кишечной непроходимостью (растущая опухоль сужает просвет ободочной кишки).
Большую опасность для пациента представляет перфорация кишки. Прободение возникает либо в области опухоли при изъязвлении или распаде, либо проксимальнее (выше) её в результате чрезмерного растяжения кишечной стенки содержимым. При перфорации опухоли ободочной кишки резко ухудшается состояние пациента, развивается каловый перитонит, нередко с летальным исходом.
Большие трудности для диагностики и лечения представляют воспалительные и нагноительные процессы в клетчатке, которая окружает опухоль ободочной кишки. Инфекция чаще всего поражает позадибрюшинную клетчатку восходящего и нисходящего отделов толстой кишки, которые лишены серозной оболочки. При наличии воспаления пациенты предъявляют жалобы на боль в пояснице и задних отделах брюшной стенки. У них повышается температура тела. При пальпации врачи определяют напряжение мышц и болезненность в области передней брюшной стенки и поясницы.
Методы диагностики
Врачи клиники онкологии Юсуповской больницы устанавливают диагноз «рак ободочной кишки» на основании анализа клинической картины заболевания, данных физикального обследования, эндоскопических и рентгенологических исследований, результатов биопсии. В анализе крови могут иметь место следующие изменения:
Анемия (уменьшение количества эритроцитов и гемоглобина);
Гипопротеинемия (снижение концентрации белка);
Увеличение скорости оседания эритроцитов;
Гипопротромбинемия (уменьшение количества тромбоцитов);
С помощью лабораторного анализа определяют наличие скрытой крови в кале. Во время ирригоскопии (рентгенологического исследования толстого кишечника с контрастированием бариевой смеси) определяют расположение, размер, протяжённость и характер роста опухоли. На рентгенограммах видны характерные признаки злокачественной опухоли ободочной кишки:
Сужение (стеноз) просвета кишки;
Ригидность кишечной стенки.
Колоноскопия (эндоскопическое исследование) позволяет осмотреть все отделы ободочной кишки, произвести биопсию. Участки тканей с патологически изменённых участков кишечника отправляют в морфологическую лабораторию для верификации гистологического типа рака. С помощью колоноскопии, выполненной с применением новейших аппаратов, онкологи Юсуповской больницы выявляют начальные стадии рака ободочной кишки, недоступные для других методов исследования.
Чтобы исключить наличие метастазов в печень, проводят радиоизотопное сканирование. Результаты исследования врачи клиники онкологии учитывают при определении стадии опухолевого процесса и составлении плана оперативного вмешательства. Позитронно-электронную компьютерную томографию (ПЭТ-КТ) выполняют при подозрении на метастазы. Если с помощью этих диагностических методов установить точный диагноз не удаётся, онкологи выполняют эксплоративную лапаротомию.
Перед операцией хирурги проводят дифференциальную диагностику рака ободочной кишки со следующими заболеваниями:
Если опухоль расположена в левой половине ободочной кишки, исключают амебиаз, дивертикулит, неспецифический язвенный колит. При поражении злокачественной опухолью печёночного угла проводят дифференциальный диагноз с опухолью печени или правой почки, калькулёзным холециститом. Если онкологи подозревают рак селезёночного изгиба ободочной кишки, исключают опухоль и кисту селезёнки, хвоста поджелудочной железы или левой почки.

Лечение
Онкологи Юсуповской больницы удаляют злокачественную опухоль ободочной кишки с помощью оперативного вмешательства. Проводится резекция пораженного участка ободочной кишки вместе с брыжейкой, также удаляются лимфатические узлы. Если обнаружен рак восходящей ободочной кишки, лечение проходит путем правосторонней гемиколэктомии. Таким же методом удаляется опухоль слепой кишки. Хирург удаляет лимфатический аппарат, всю правую половину толстой кишки, в том числе треть поперечно-ободочной кишки, восходящей, слепой кишки и участок печеночного изгиба.
Подготовка к хирургическому вмешательству
Независимо от характера и объёма операции, врачи клиники онкологии проводят общую и специальную предоперационную подготовку, которая во многом обеспечивает успех оперативного вмешательства. С помощью современных инфузионных средств ликвидируют нарушения водно-электролитного баланса, нормализуют уровень белка, проводят борьбу с гипохромной анемией и интоксикацией. Пациентам проводят внутривенное вливание препаратов и компонентов крови, глюкозы с витаминами, растворов электролитов. Одновременно проводят мероприятия, направленные на улучшение функции жизненно важных органов (сердца, лёгких, надпочечников, печени, почек).
Специальная подготовка направлена на удаление механическим путём каловых масс. Пациентам дают принимать слабительные препараты, ставят клизмы, подавляют патогенную микрофлору, которая в изобилии присутствует в кишечном содержимом, лекарственными средствами.
Для предоперационной подготовки толстого кишечника используют элементную диету. За 3-5 дней до операции врачи назначают пациентам специальные препараты, которые содержат все жизненно необходимые ингредиенты пищи в рафинированном виде.
Паллиативные резекции
При отсутствии технической возможности выполнить радикальную операцию хирурги проводят паллиативные резекции ободочной кишки. Выбор паллиативного вмешательства зависит от следующих факторов:
Степени распространения опухоли;
Анатомических особенностей места расположения первичного очага;
Осложнений опухолевого процесса;
Общего состояния пациента.
Если невозможно удалить опухоль правой половины ободочной кишки, хирурги накладывают обходной илеотрансверзоанастомоз. При неоперабельных новообразованиях нисходящей кишки и селезёночного угла создают обходной трансверзосигмоанастомоз. В случае выявления опухоли конечного отдела толстой кишки, накладывают проксимальную колостому, одноствольный иди двуствольный противоестественный задний проход.
Химиотерапия
Химиотерапия в лечении рака ободочной кишки применяется с разными целями – для уменьшения опухоли перед хирургическим вмешательством, приостановки ее роста, уничтожения раковых клеток, метастазов. Колоректальный рак – это довольно резистентная к цитостатикам опухоль. Химиотерапия при раке ободочной кишки назначается врачом в зависимости от размера опухоли и наличия метастазов, проводится курсами.
При поражении регионарных лимфатических узлов, прорастании опухолью серозной оболочки кишки проводят адъювантную химиотерапию. Если существует потенциальный риск развития метастазов в другие органы, проводят максимально активную химиотерапию. После нескольких циклов лечения противоопухолевыми препаратами оценивают состояние метастазов и проводят удаление очагов. После оперативного вмешательства применяют адъювантную химиотерапию.

Метастазы
Рак ободочной кишки чаще всего метастазирует в регионарные лимфатические узлы не сразу, а через продолжительное время после развития опухоли. Опухоль чаще прорастает в соседние ткани и органы. Рак ободочной кишки генерализованный, с проникающими метастазами в легкие, печень требует консультации торакального хирурга, хирурга-гепатолога.
Нерезектабельный рак ободочной кишки характеризуется прорастанием опухоли в костные структуры, магистральные сосуды. Проводится оценка возможности удаления опухоли; если хирургическое вмешательство невозможно, используется паллиативное лечение (химиотерапия).
Исходно резектабельные метастатические очаги удаляются хирургическим путем с последующим проведением паллиативной химиотерапии. Также в качестве лечения системная химиотерапия проводится перед операцией по удалению метастазов, после операции лечение химиотерапией продолжают.
Прогноз
Прогноз при отсутствии метастазов в регионарные лимфатические узлы оптимистичный. Пятилетняя выживаемость составляет около 80%. При наличии метастазов в регионарные лимфатические узлы более пяти лет живут около 25% больных.
При появлении первых признаков нарушения функции толстой кишки записывайтесь на приём к онкологу Юсуповской больницы, позвонив по номеру телефона контакт-центра. Выявление и лечение рака ободочной кишки на ранней стадии заболевания улучшает прогноз и способствует излечению пациента.
Рак толстой кишки ( Колоректальный рак )
Рак толстой кишки – это злокачественная опухоль различных отделов толстого кишечника (слепой, ободочной, сигмовидной, прямой кишки), происходящая из эпителия кишечной стенки. Симптоматика при раке толстой кишки включает абдоминальные боли, метеоризм, кишечные расстройства, нарушение кишечной проходимости, патологические примеси в каловых массах, слабость, исхудание. Рак толстой кишки может определяться при пальпации живота; для подтверждающей диагностики проводится колоноскопия с биопсией, ультрасонография, ирригоскопия, КТ, ЯМР, ПЭТ. Радикальными методами лечения являются одномоментные или поэтапные резекционные вмешательства.
МКБ-10


Общие сведения
Рак толстой кишки (колоректальный рак) – злокачественное новообразование, развивающееся из эпителиальной выстилки стенки толстого кишечника. Статистика по заболеваемости неутешительна: ежегодно в мире выявляется свыше 500 тыс. новых случаев колоректального рака, причем большая часть из них приходится на индустриально развитые страны - США, Канаду, страны Западной Европы, Россию. В структуре женской онкопатологии рак толстой кишки занимает 2-ое место после рака молочной железы, а у мужчин по частоте уступает лишь раку предстательной железы и раку легкого. Большинство случаев заболевания колоректальным раком приходится на лиц старше 50 лет; мужчины болеют в 1,5 раза чаще женщин. Тревожным фактором является поздняя выявляемость: у 60-70% больных рак толстой кишки обнаруживается на III-IV стадии.

Причины
Многолетнее изучение и анализ проблемы позволили назвать наиболее значимые этиологические факторы, способствующие повышению риска развития рака толстой кишки, - это семейно-наследственные и алиментарные факторы, а также предраковые заболевания. В числе генетически детерминированных причин наибольшее значение имеет семейный полипоз, который практически в 100% случаев приводит к развитию рака толстой кишки. Кроме этого, повышенный риск развития колоректального рака имеют пациенты с синдромом Линча - в этом случае опухолевое поражение обычно развивается у лиц моложе 45 лет и локализуется в правых отделах ободочной кишки.
Исследуя зависимость частоты рака толстой кишки от характера питания и образа жизни, можно констатировать, что возникновению онкопатологии способствует преобладание в пищевом в рационе животных белков, жиров и рафинированных углеводов при дефиците растительной клетчатки; ожирение и метаболические нарушения, гипокинезия. Мутагенным и канцерогенным действием на клетки кишечного эпителия обладают различные химические соединения (ароматические углеводороды и амины, нитросоединения, производные триптофана и тирозина, стероидные гормоны и их метаболиты и др.).
Вероятность колоректального рака прогрессивно возрастает в условиях хронических запоров, длительного стажа курения, хронических заболеваний кишечника. В частности, к предраковым заболеваниям в колопроктологии отнесены: хронические колиты (НЯК, болезнь Крона), дивертикулярная болезнь толстого кишечника, одиночные полипы толстой кишки (аденоматозные и ворсинчатые полипы диаметром более 2 см озлокачествляются в 45-50% случаев).
Классификация
Рак толстой кишки может возникать в различных анатомических отделах толстого кишечника, однако частота их поражения неодинакова. По наблюдениям специалистов в сфере абдоминальной онкохирургии, преобладающей локализацией является нисходящая ободочная и сигмовидная кишка (36%); далее следует слепая и восходящая ободочная кишка (27%), прямая кишка и анальный канал (19 %), поперечная ободочная кишка (10%) и др.
По характеру роста опухоли толстой кишки подразделяются на экзофитные (растущие в просвет кишки), эндофитные (распространяющиеся в толщу кишечной стенки) и смешанные (опухоли-язвы, сочетающие экзо- и эндофитную форму роста). С учетом гистологического строения рак ободочной кишки может быть представлен аденокарциномой различного уровня дифференцировки (более 80%), слизистой аденокарциномой (мукоидный рак), мукоцеллюлярным (перстневидноклеточным) раком, недифференцированным и неклассифицируемым раком; рак прямой кишки и анального канала дополнительно – плоскоклеточным, базальноклеточным и железисто-плоскоклеточным раком.
В соответствии с международной системой TNM, на основании критериев глубины инвазии первичной опухоли, регионарного и отдаленного метастазирования, выделяют стадии:
- Тх – данных для оценки первичной опухоли недостаточно
- Тis – определяется опухоль с интраэпителиальным ростом или инвазией слизистой оболочки
- Т1 – инфильтрация опухолью слизистого и подслизистого слоя толстой кишки
- Т2 – инфильтрация опухолью мышечного слоя толстой кишки; подвижность кишечной стенки не ограничена
- Т3 – прорастание опухолью всех слоев кишечной стенки
- Т4 – прорастание опухолью серозной оболочки или распространение на соседние анатомические образования.
С учетом наличия или отсутствия метастазов в регионарных лимфоузлах различают следующие степени рака толстой кишки: N0 (лимфатические узлы не поражены), N1 (метастазами поражено от 1 до 3 лимфатических узлов), N2 (метастазами поражены 4 и более лимфатических узла). Отсутствие отдаленных метастазов обозначается символом М0; их наличие - M1. Метастазирование рака толстой кишки может осуществляться лимфогенным путем (в регионарные лимфатические узлы), гематогенным путем (в печень, кости, легкие и др.) и имплантационным/контактным путем с развитием карциноматоза брюшины и ракового асцита.
Симптомы рака
Клинические признаки рака толстой кишки представлены 5 ведущими синдромами: болевым, кишечными расстройствами, нарушением кишечной проходимости, патологическими выделениями, ухудшением общего состояния больных. Абдоминальные боли являются наиболее ранним и постоянным признаком рака толстой кишки. В зависимости от локализации опухоли и стадии злокачественного процесса они могут быть различными по характеру и интенсивности. Пациенты могут характеризовать боли в животе, как давящие, ноющие, схваткообразные. При выраженной болезненности в правом подреберье необходимо исключить у больного холецистит и язвенную болезнь 12-перстной кишки; в случае локализации боли в правой подвздошной области дифференциальный диагноз проводится с острым аппендицитом.
Уже в начальных стадиях рака толстой кишки отмечаются симптомы кишечного дискомфорта, включающие отрыжку, тошноту, рвоту, потерю аппетита, ощущение тяжести и переполнения желудка. Одновременно развиваются кишечные расстройства, свидетельствующие о нарушении моторики кишечника и пассажа кишечного содержимого: диарея, запоры (или их чередование), урчание в животе, метеоризм. При экзофитно растущем раке толстой кишки (чаще всего левосторонней локализации) в конечном итоге может развиться частичная или полная обтурационная кишечная непроходимость.
О развитии рака дистальных отделов сигмовидной и прямой кишки может свидетельствовать появление в испражнениях патологических примесей (крови, слизи, гноя). Обильные кишечные кровотечения возникают редко, однако длительная кровопотеря приводит к развитию хронической постгеморрагической анемии. Нарушение общего самочувствия при раке толстой кишки связано с интоксикацией, вызванной распадом раковой опухоли и застоем кишечного содержимого. Больные обычно жалуются на недомогание, утомляемость, субфебрилитет, слабость, исхудание. Иногда первым симптомом рака толстой кишки становится наличие пальпаторно определяемого образования в животе.
В зависимости от клинического течения выделяют следующие формы рака толстой кишки:
- токсико-анемическую – в клинике преобладают общие симптомы (лихорадка, прогрессирующая гипохромная анемия).
- энтероколитическую – основные проявления связаны с кишечными расстройствами, что требует дифференциации рака толстой кишки с энтеритом, колитом, энтероколитом, дизентерией.
- диспепсическую – симптомокомплекс представлен желудочно-кишечным дискомфортом, напоминающим клинику гастрита, язвенной болезни желудка, холецистита.
- обтурационную – сопровождается прогрессирующей кишечной непроходимостью.
- псевдовоспалительную – характеризуется признаками воспалительного процесса в брюшной полости, протекающего с повышением температуры, абдоминальными болями, лейкоцитозом и пр. Данная форма рака толстой кишки может маскироваться под аднексит, аппендикулярный инфильтрат, пиелонефрит.
- атипичную (опухолевую) – опухоль в брюшной полости выявляется пальпаторно на фоне видимого клинического благополучия.
Диагностика
Целенаправленный диагностический поиск при подозрении на рак толстой кишки включает клиническое, рентгенологическое, эндоскопическое и лабораторное обследование. Ценные сведения могут быть получены при объективном осмотре, пальпации живота, перкуссии брюшной полости, пальцевом исследовании прямой кишки, гинекологическом исследовании.
Рентгенологическая диагностика предполагает обзорную рентгенографию брюшной полости, ирригоскопию с применением контрастного вещества. С целью визуализации опухоли, взятия биопсии и мазков для цитологического и гистологического исследования проводится ректосигмоскопия и колоноскопия. К числу информативных методов топической диагностики принадлежат ультрасонография толстого кишечника, позитронно-эмиссионная томография.
Лабораторная диагностика рака толстой кишки предусматривает исследование общего анализа крови, кала на скрытую кровь, определение раково-эмбрионального антигена (РЭА). С целью оценки распространенности злокачественного процесса выполняется УЗИ печени, МСКТ брюшной полости, УЗИ малого таза, рентгенография грудной клетки, по показаниям - диагностическая лапароскопия или эксплоративная лапаротомия.

Рак толстой кишки требует дифференциации со многими заболеваниями самого кишечника и смежных с ним органов, в первую очередь, - хроническим колитом, неспецифическим язвенным колитом, болезнью Крона, актиномикозом и туберкулезом толстой кишки, доброкачественными опухолями толстой кишки, полипозом, дивертикулитом, кистами и опухолями яичников.
Лечение рака толстой кишки
Радикальный способ лечения патологии предполагает проведение резекционных вмешательств на ободочной, сигмовидной или прямой кишке. Характер операции и объем резекции зависит от локализации и распространенности опухолевой инвазии. При раке толстой кишки возможно проведение как одномоментных, так и поэтапных оперативных вмешательств, включающих резекцию кишки и наложение колостомы с последующей реконструктивной операцией и закрытием кишечной стомы. Так, при поражении слепой и восходящего отдела ободочной кишки показана правосторонняя гемиколэктомия; при раке поперечно-ободочной кишки - ее резекция, при опухоли нисходящего отдела - левосторонняя гемиколэктомия, при раке сигмовидной кишки – сигмоидэктомия.
Хирургический этап лечения рака толстой кишки дополняется послеоперационной химиотерапией. В запущенных неоперабельных случаях производится паллиативная операция (наложение обходного кишечного анастомоза или кишечной стомы), химиотерапевтическое и симптоматическое лечение.
Прогноз рака толстой кишки зависит от стадии, на которой был диагностирован опухолевый процесс. При выявлении онкопатологии на стадии Т1 отдаленные результаты лечения удовлетворительные, 5-летняя выживаемость составляет 90-100 %; на стадии Т2 – 70%, Т3N1-2 – около 30%. Профилактика рака толстой кишки предполагает диспансерное наблюдение групп риска, лечение предраковых и фоновых заболеваний, нормализацию питания и образа жизни, проведение скрининговых исследований (кала на скрытую кровь и колоноскопии) лицам старше 50 лет. Пациенты, оперированные по поводу колоректального рака, для своевременной диагностики рецидива рака толстого кишечника в первый год каждые 3 месяца должны проходить осмотры у онколога, включающие пальцевое исследование прямой кишки, ректороманоскопию, колоно- или ирригоскопию.
3. Современное лечение колоректального рака / Цивенко А. И., Томин М. С. // Вестник Харьковского национального университета имени В.Н. Каразина. Серия «Медицина» - 2004 - №6
Рак ободочной кишки
Рак ободочной кишки – это злокачественная опухоль эпителиального происхождения, локализующаяся в ободочной кишке. Вначале протекает бессимптомно, в последующем проявляется болями, запорами, кишечным дискомфортом, примесями слизи и крови в фекальных массах, ухудшением состояния и признаками раковой интоксикации. Нередко пальпируется узел в проекции органа. При прогрессировании возможны кишечная непроходимость, кровотечение, прободение, инфицирование неоплазии и образование метастазов. Диагноз выставляется с учетом симптомов, рентгенографии, КТ, МРТ, колоноскопии и других исследований. Лечение – хирургическая резекция пораженной части кишечника.


Рак ободочной кишки – злокачественное новообразование, происходящее из клеток слизистой оболочки толстого кишечника. Занимает третье место по распространенности среди онкологических поражений пищеварительного тракта после опухолей желудка и пищевода. По различным данным, составляет от 4-6 до 13-15% от общего количества злокачественных опухолей ЖКТ. Обычно диагностируется в возрасте 50-75 лет, одинаково часто выявляется у пациентов мужского и женского пола.
Рак ободочной кишки широко распространен в развитых странах. Лидирующие позиции по количеству случаев заболевания занимают США и Канада. Достаточно высокие показатели заболеваемости отмечаются в России и странах Европы. Болезнь редко выявляется у жителей азиатских и африканских государств. Для рака ободочной кишки характерен продолжительный местный рост, относительно позднее лимфогенное и отдаленное метастазирование. Лечение проводят специалисты в области клинической онкологии, проктологии и абдоминальной хирургии.

Специалисты считают, что рак ободочной кишки является полиэтиологическим заболеванием. Важную роль в развитии злокачественных неоплазий данной локализации играют особенности диеты, в частности – избыток животных жиров, недостаток грубой клетчатки и витаминов. Наличие в пище большого количества животных жиров стимулирует продукцию желчи, под влиянием которой меняется микрофлора толстого кишечника. В процессе расщепления животных жиров образуются канцерогенные вещества, провоцирующие рак ободочной кишки.
Недостаточное количество грубой клетчатки приводит к замедлению моторики кишечника. В результате образовавшиеся канцерогены длительно контактируют с кишечной стенкой, стимулируя злокачественное перерождение клеток слизистой. Кроме того, животный жир вызывает образование пероксидаз, также оказывающих негативное влияние на слизистую оболочку кишечника. Недостаток витаминов, являющихся естественными ингибиторами канцерогенеза, а также застой кала и постоянная травматизация каловыми массами слизистой в зонах естественных изгибов кишечника усугубляют перечисленные неблагоприятные воздействия.
Недавние исследования свидетельствуют о том, что определенную роль в возникновении рака ободочной кишки играют половые гормоны, в частности – прогестерон, под влиянием которого уменьшается интенсивность выделения желчных кислот в просвет кишечника. Установлено, что риск развития злокачественных неоплазий этой локализации у женщин, имеющих трех и более детей, вдвое ниже, чем у нерожавших пациенток.
Существует ряд заболеваний, способных трансформироваться в рак ободочной кишки. К числу таких заболеваний относят:
Вероятность перерождения данных патологий в рак ободочной кишки сильно различается. При семейном наследственном полипозе без лечения малигнизация наступает у всех больных, при аденоматозных полипах – у половины больных. Дивертикулы кишечника озлокачествляются крайне редко.
С учетом типа роста выделяют экзофитную, эндофитную и смешанную формы рака ободочной кишки. Экзофитный рак бывает узловым, ворсинчато-папиллярным и полипообразным, эндофитный – циркулярно-стриктурирующим, язвенно-инфильтративным и инфильтрирующим. Соотношения эндофитных и экзофитных неоплазий – 1:1. Экзофитные формы рака ободочной кишки чаще выявляются в правых отделах кишечника, эндофитные – в левых. С учетом гистологического строения различают аденокарциному, перстневидно-клеточный, солидный и скиррозный рак ободочной кишки, с учетом уровня дифференцировки – высокодифференцированные, среднедифференцированные и низкодифференцированные новообразования.
Согласно традиционной четырехстадийной классификации выделяют следующие стадии рака ободочной кишки.
- I стадия – выявляется узел диаметром менее 1,5 см, не выходящий за пределы подслизистого слоя. Вторичные очаги отсутствуют.
- IIа стадия – обнаруживается опухоль диметром свыше 1,5 см, распространяющаяся не более, чем на половину окружности органа и не выходящая за пределы наружной стенки кишечника. Вторичные очаги отсутствуют
- IIб стадия – выявляется рак ободочной кишки такого же либо меньшего диаметра в сочетании с одиночными лимфогенными метастазами.
- IIIа стадия – неоплазия распространяется более, чем на половину окружности органа, и выходит за пределы наружной стенки кишечника. Вторичные очаги отсутствуют.
- IIIб стадия – обнаруживается рак ободочной кишки любого диаметра и множественные лимфогенные метастазы.
- IV стадия – определяется новообразование с инвазией в близлежащие ткани и лимфогенными метастазами либо неоплазия любого диаметра с отдаленными метастазами.
Вначале рак ободочной кишки протекает бессимптомно. В последующем наблюдаются боли, кишечный дискомфорт, расстройства стула, слизь и кровь в фекальных массах. Болевой синдром чаще возникает при поражении правых отделов кишечника. Сначала боли, как правило, неинтенсивные, ноющие или тупые. При прогрессировании возможно появление резких схваткообразных болей, свидетельствующих о возникновении кишечной непроходимости. Это осложнение чаще диагностируется у пациентов с поражением левых отделов кишечника, что обусловлено особенностями роста неоплазии с формированием циркулярного сужения, препятствующего продвижению кишечного содержимого.
Многие пациенты с раком ободочной кишки жалуются на отрыжку, нарушения аппетита и дискомфорт в животе. Перечисленные признаки чаще обнаруживаются при раке поперечной, реже – при поражении нисходящей и сигмовидной ободочной кишки. Запор, диарея, урчание и метеоризм типичны для левостороннего рака ободочной кишки, что связано с увеличением плотности фекальных масс в левых отделах кишечника, а также с частым циркулярным ростом новообразований в этой области.
Для неоплазий сигмовидной кишки характерны примеси слизи и крови в кале. При других локализациях рака ободочной кишки этот симптом встречается реже, поскольку при продвижении по кишечнику выделения успевают частично переработаться и равномерно распределиться по фекальным массам. Пальпаторно рак ободочной кишки чаще обнаруживается при расположении в правых отделах кишечника. Прощупать узел удается у трети пациентов. Перечисленные признаки рака ободочной кишки сочетаются с общими признаками онкологического заболевания. Отмечаются слабость, недомогание, потеря веса, бледность кожи, гипертермия и анемия.
Наряду с уже упомянутой выше кишечной непроходимостью, рак ободочной кишки может осложняться перфорацией органа вследствие прорастания стенки кишечника и некроза неоплазии. При формировании очагов распада возникает опасность инфицирования, развития гнойных осложнений и сепсиса. При прорастании или гнойном расплавлении стенки сосуда возможно кровотечение. При возникновении отдаленных метастазов отмечается нарушение деятельности соответствующих органов.
Рак ободочной кишки диагностируют с использованием клинических, лабораторных, эндоскопических и рентгенологических данных. Вначале выясняют жалобы, уточняют анамнез заболевания, проводят физикальный осмотр, включающий пальпацию и перкуссию живота, осуществляют ректальный осмотр. Затем больным с подозрением на рак ободочной кишки назначают лабораторно-инструментальную диагностику:
- Рентгеновское обследование.Ирригоскопия выявляет дефекты наполнения. При подозрении на кишечную непроходимость либо перфорацию толстой кишки используют обзорную рентгенографию брюшной полости.
- Толстокишечную эндоскопию. Пациентам проводят колоноскопию, позволяющую оценить локализацию, вид, стадию и тип роста рака ободочной кишки. При проведении процедуры выполняют эндоскопическую биопсию, полученный материал направляют на морфологическое исследование.
- Лабораторные исследования. Назначают анализ кала на скрытую кровь, анализ крови для определения уровня анемии и тест на раково-эмбриональный антиген.
- Дополнительные методы. Для обнаружения очагов в лимфоузлах и отдаленных органах осуществляют КТ и УЗИ брюшной полости.

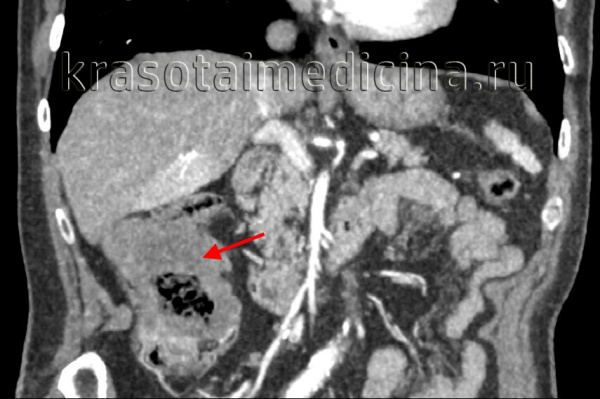
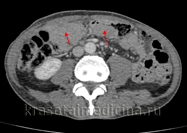
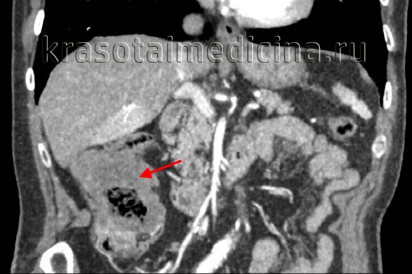
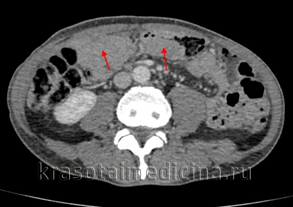
КТ ОБП/ЗП. Циркулярная мягкотканная опухоль (красная стрелка) стенки поперечной ободочной кишки, значительно суживающая ее просвет.
Лечение рака ободочной кишки
Лечение оперативное. В зависимости от распространенности процесса выполняют радикальное или паллиативное хирургическое вмешательство:
- Органосохраняющие операции. При раке ободочной кишки бывают одномоментными, двух- либо трехэтапными. При проведении одномоментного вмешательства осуществляют гемиколэктомию - резекцию участка ободочной кишки с созданием анастомоза между оставшимися отделами кишечника. При многоэтапных операциях по поводу рака ободочной кишки вначале осуществляют колостомию, затем удаляют пораженный отдел кишечника (иногда эти два этапа выполняются одномоментно), а через некоторое время восстанавливают непрерывность кишечника путем создания прямого анастомоза.
- Радикальные расширенные операции. При распространенном раке ободочной кишки осуществляют расширенные вмешательства, объем которых определяют с учетом поражения лимфоузлов и близлежащих органов.
- Паллиативное лечение. При невозможности радикального удаления неоплазии выполняют паллиативные операции (наложение колостомы, формирование обходного анастомоза). При раке ободочной кишки с развитием перфорации, кровотечения или кишечной непроходимости также накладывают стому либо обходной анастомоз, а после улучшения состояния пациента проводят радикальную операцию. При раке ободочной кишки с отдаленными метастазами назначают химиопрепараты.
Прогноз и профилактика
Прогноз при раке ободочной кишки определяется стадией онкологического процесса. Средняя пятилетняя выживаемость при первой стадии составляет от 90 до 100%, при второй – 70%, при третьей – 30%. Все пациенты, перенесшие хирургическое вмешательство по новообразования этой локализации, должны находиться под наблюдением специалиста-онколога, регулярно проходить радиологические и эндоскопические исследования для выявления локальных рецидивов и отдаленных метастазов.
2. Клинические рекомендации по диагностике и лечению больных раком ободочной кишки / Общероссийский союз общественных объединений Ассоциация онкологов России - 2014
3. Рак ободочной кишки: практические рекомендации. Учебное пособие / под ред. Петрова В.П., Орловой Р.В., Кащенко В.А. - 2014
Опухоли толстого кишечника
Опухоли толстого кишечника – это группа новообразований злокачественного либо доброкачественного характера, локализующихся в разных отделах толстой кишки. Симптомы зависят от вида и расположения неоплазии. Основные проявления – боли в животе, проблемы со стулом, метеоризм, кровотечения, анемия. Диагностируют патологию с помощью аноскопии, ректороманоскопии, колоноскопии, ирригоскопии с двойным контрастированием. Дополнительные методы – УЗИ органов брюшной полости, КТ, анализ на опухолевые маркеры. Лечение хирургическое, при злокачественных неоперабельных опухолях проводят паллиативную терапию.



Опухоли толстого кишечника – это доброкачественные либо злокачественные новообразования разной этиологии, которые развиваются из эпителиальной или другой ткани стенок толстой кишки и могут поражать любые ее отделы. Доброкачественные опухоли довольно распространены, по разным данным они выявляются у 16-40% населения. Во многих случаях доброкачественный процесс со временем переходит в злокачественный. Раковые опухоли толстого кишечника занимают третье место среди другой злокачественной патологии пищеварительной системы (после рака желудка и опухолей пищевода).
Среди всей онкопатологии злокачественные опухоли толстого кишечника по частоте уступают только раку легких, раковым новообразованиям в желудке и раку молочной железы. По статистике, в Британии каждый год от этой патологии умирает около 16 000 тысяч больных, а в США – 50 000 пациентов. У мужчин заболевания данной группы, особенно злокачественные, выявляют несколько чаще, нежели у женщин. Актуальность опухолей толстого кишечника возрастает с каждым годом, преимущественно в развитых странах северного полушария. Доброкачественные процессы так же опасны, как и злокачественные, поскольку имеют склонность к малигнизации.

Причины, которые приводят к возникновению опухолей толстого кишечника, изучаются давно, но к единому мнению ученые, клинические онкологи и проктологи так и не пришли. Все сходятся во мнении, что данная группа заболеваний является полиэтиологичной. Основные этиофакторы:
- Особенности питания. Большое значение имеет диета, богатая животными белками, жирами и бедная клетчаткой. Такой рацион ведет к частым запорам, дисбалансу кишечной флоры. Содержимое кишечника с высоким содержанием желчных кислот и фенолов, обладающих канцерогенными свойствами, дольше контактирует со стенками, что повышает возможность развития опухолей толстого кишечника. Именно с этим связывают большее распространение опухолей толстого кишечника в развитых странах. Также имеют значение канцерогены, которые содержатся в промышленных консервантах, копченых продуктах.
- Воспалительные заболевания кишечника. При длительном течении (5 лет и больше) они могут осложняться раком. Наиболее опасным в этом плане является неспецифический язвенный колит: почти у половины пациентов, которые болеют больше 30 лет, диагностируют злокачественные опухоли. Несколько меньший процент малигнизации отмечается у пациентов с болезнью Крона.Вирусная теория возникновения доброкачественных полипов кишечника пока окончательно не подтверждена.
- Наследственность и возраст. Генетическая предрасположенность полностью доказана в случае таких заболеваний, как диффузный полипоз кишечника, частично доказана при колоректальном раке. Риск формирования патологии повышается с возрастом.
Виды опухолей
Опухоли толстого кишечника делят на доброкачественные и злокачественные, а также на опухоли эпителиального и неэпителиального происхождения. По международной морфологической классификации выделяют следующие новообразования:
- Эпителиальные опухоли кишечника: тубулярная аденома, ворсинчатая аденома, тубулярно-ворсинчатая аденома, аденоматоз.Эпителиальные опухоли самые распространенные, они составляют около 92% всех новообразований, имеют большую склонность к злокачественному перерождению.
- Неэпителиальных опухоли кишечника : липома, лейомиома, лейомиосаркома, ангиосаркома и саркома Капоши.
Также среди доброкачественных процессов выделяют опухолеподобные поражения толстой кишки (гамартомы): полип Пейтца-Егерса, ювенильный полип. Среди опухолей толстого кишечника встречаются гетеротопии: гиперпластический или метапластический полип, доброкачественный лимфоидный, воспалительный и глубокий кистозный полип. По распространенности различают одиночные, множественные (сгруппированные и расположенные рассеяно) полипы, диффузный полипоз.
Злокачественные опухоли толстого кишечника по характеру роста разделяют на четыре типа:
- экзофитно-полиповидныеопухоли, которые растут в просвет кишки;
- эндофитно-язвенныеопухоли, распространяющиеся в стенке кишки, часто дают изъязвления;
- диффузно-инфильтративные опухоли (злокачественные клетки имеют диффузное распространение внутри стенок органа);
- аннулярные опухоли - растут по окружности кишки.
В двух последних случаях трудно определяются гистологические границы опухолевого процесса, клетки могут проникать в участки, которые на первый взгляд выглядят здоровыми.
Стадирование опухолей
При классификации злокачественных опухолей толстого кишечника большое значение имеет стадия процесса. Стадийность определяют с помощью международной общепринятой классификации TNM, где T – это степень прорастания опухоли в ткани, N – наличие или отсутствие метастазирования в регионарные лимфатические узлы, M – отдаленное метастазирование.
- T0 – нет признаков опухолевого роста
- Tx – невозможна оценка достоверная первичной опухоли
- Tis – carcinoma in situ, или рак «на месте», не прорастает слизистую
- T1 – распространение опухоли на подслизистый слой
- T2 – прорастание опухолью мышечного слоя
- T3 – распространение опухоли на мышечный слой и проникновение в ткани вокруг толстого кишечника, не покрытые брюшиной.
- Т4 – прорастание опухолью висцеральной брюшины либо распространение на органы и ткани, расположенные по соседству.
Nx – невозможно оценить состояние регионарных лимфатических узлов. N0 – метастазов в регионарных лимфоузлах нет. N1 – метастазы в 1-3 лимфоузлах, находящихся вокруг толстого кишечника. N2 – метастазы в четырех и более лимфоузлах, расположенных вокруг толстого кишечника. N3 – метастазы в лимфоузлах, которые находятся вдоль сосудов. Мx– удаленные метастазы невозможно определить. М0 – метастазов нет. М1 – есть метастазы в отдаленных органах.
Соответственно классификации TNM выделяют четыре стадии раковых опухолей толстого кишечника. Нулевая стадия - TisN0M0. Первая стадия - T1N0M0 или T2N0M0. Вторая стадия - T3N0M или T4N0M0. Третья стадия – любые показатели Т и N1M0, любые показатели T и N2M0 либо любые показатели T и N3M0. Четвертая стадия – любые показатели Т и N, М1.
Наряду с данной классификацией, во многих Европейских странах и странах Северной Америки используют классификацию опухолей С. Е. Dukes, предложенную еще в 1932 году. Опухоли толстого кишечника также разделяют на четыре стадии, обозначенные латинскими буквами. Стадия А – опухолевый процесс распространяется в пределах слизистого и подслизистого слоя (T1N0M0 и T2N0M0). Стадия В – опухоль прорастает во все слои стенок кишечника (T3N0M и T4N0M0). Стадия С – опухоль может быть любого размера, но есть метастазы в регионарные лимфоузлы. Стадия D – есть отдаленные метастазы.
Симптомы опухолей кишечника
Доброкачественные новообразования
Доброкачественные опухоли толстого кишечника часто протекают бессимптомно и выявляются случайно. Иногда у больных появляется дискомфорт в животе, неустойчивый стул или кровь в кале. Большого размера ворсинчатые опухоли из-за гиперпродукции слизи могут вызывать нарушение водно-электролитного баланса, изменения белкового состава крови, анемию. Также крупные доброкачественные опухоли иногда приводят к непроходимости кишечника, провоцируют инвагинации. Симптоматика при множественном или диффузном полипозе может быть более ярко выражена.
Злокачественные новообразования
Раковые опухоли толстого кишечника развиваются достаточно медленно и в самом начале могут клинически не проявляться. Одними из первых симптомов заболевания являются кровотечения и анемия. При опухолях ректума и дистального отдела сигмовидной кишки кровь алая, не смешивается со слизью. Если патологический процесс затрагивает нисходящую ободочную кишку – кровь темная, равномерно перемешанная со слизью и калом. Кровотечения при злокачественном процессе в проксимальных отделах очень часто бывают скрытыми и проявляются только анемией.
Кроме кровотечений, при раковых опухолях толстого кишечника у пациентов могут появиться боли в животе, тенезмы, проблемы со стулом. Запоры возникают на поздних стадиях процесса, в запущенных случаях часто развивается кишечная непроходимость. Раковые поражения прямой кишки вызывают у больных ощущение неполного опорожнения, тенезмы. Пациенты жалуются на общую слабость, потерю аппетита, отмечают резкую потерю веса. С прогрессированием болезни увеличивается печень, появляются признаки асцита.
Для диагностики опухолей толстого кишечника используют целый ряд методик: эндоскопических, рентгеновских
- Эндоскопия кишечника. При аноскопии и ректороманоскопии обнаруживают опухоли и полипы в прямой кишке, дистальном участке сигмовидной кишки.Следующий этап исследования – проведение колоноскопии, которая позволяет выявить небольшие по размеру опухоли толстого кишечника, осмотреть его на всем протяжении. Также с помощью этого метода можно взять биоптат и удалить небольшого размера полипы.

- Рентген кишечника. Ирригоскопию с двойным контрастированием путем введения в кишечник воздуха и бариевой взвеси. Методика позволяет выявить опухоли толстого кишечника разного размера; трудности в диагностике могут возникнуть, если процесс локализирован в слепой кишке. КТ имеет большую чувствительность по сравнению с ирригоскопией, но наиболее достоверные результаты можно получить при выполнении виртуальной колоноскопии.

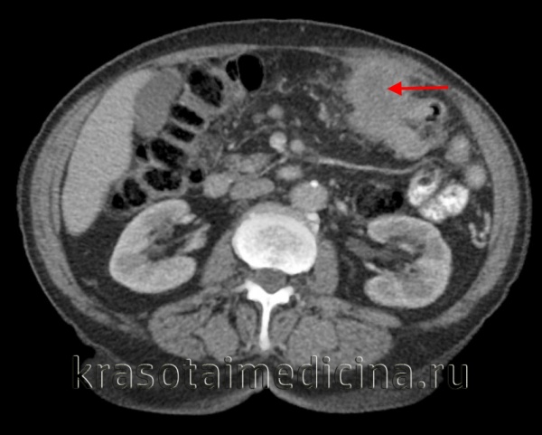
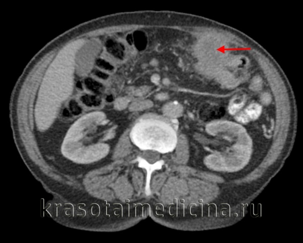
КТ ОБП. Опухоль поперечной ободочной кишки, прорастающая в переднюю брюшную стенку. (фото Вишняков В.Н.)
Для выявления метастазов при злокачественных опухолях толстого кишечника используют УЗИ органов брюшной полости, компьютерную томографию, сканирование костной системы, при наличии неврологических симптомов – КТ головного мозга. Опухолевые маркеры имеют скорее прогностическое, чем диагностическое значение. При низкодифференцированных новообразованиях повышается раково-эмбриональный антиген, хотя он не специфичен для этого типа опухолей. Самыми информативными маркерами при выявлении первичных опухолей толстого кишечника считаются маркеры СА-19-9 и СА-50, но при рецидивах они могут и не определяться.
Лечение опухолей толстого кишечника
Единственный действенный метод лечения опухолей толстого кишечника в современной онкологии – хирургический. При небольших доброкачественных процессах без признаков малигнизации проводят удаление новообразования, при множественном поражении – часть толстого кишечника Оперативные вмешательства при опухолях прямой кишки проводят путем трансректального доступа.
При злокачественных опухолях толстого кишечника объем операции более радикальный - расширяется до гемиколэктомии, тотальной колэктомии. Удаляют не только новообразование, но и региональные лимфатические узлы, даже если в них не выявлены метастазы. По возможности во время хирургических вмешательств стараются сохранить естественный путь пассажа кишечного содержимого. Если такой возможности нет, выводят колостому на переднюю брюшную стенку. Кроме оперативного лечения, назначают химиотерапию 5-фторурацилом, фторофуром, лучевую терапию.
Прогноз при опухолях толстого кишечника не всегда благоприятный. Даже доброкачественные эпителиальные опухоли или полипы имеют высокую склонность к злокачественному перерождению. Во многом выживаемость больных зависит от своевременной диагностики и адекватно проведенной хирургической операции.
Профилактика опухолей толстого кишечника состоит, прежде всего, в правильном питании. Необходимо меньше употреблять копченых и консервированных продуктов, мяса и животных жиров. При выборе продуктов нужно отдавать предпочтение тем, которые содержат большое количество клетчатки. Следует пересмотреть образ жизни: низкая двигательная активность благоприятствует возникновению опухолей толстого кишечника. Необходимо вовремя выявлять и лечить различные воспалительные заболевания желудочно-кишечного тракта.
1. Рак ободочной кишки: практические рекомендации. Учебное пособие / под ред. Петрова В.П., Орловой Р.В., Кащенко В.А. - 2014
4. Рак ободочной кишки: практические рекомендации. Учебное пособие / под ред. Петрова В.П., Орловой Р.В., Кащенко В.А. - 2014
Читайте также:
- Строение спинного мозга. Структура спинного мозга.
- Случай типичного периостита как исход несвоевременного лечения осложненного кариеса
- Лучевые признаки тотального аномального дренажа легочных вен у плода
- Первичный остеоартроз плечевого сустава: атлас фотографий
- Обтурирующий кератоз наружного слухового прохода и его лечение
