Обтурирующий кератоз наружного слухового прохода и его лечение
Добавил пользователь Валентин П. Обновлено: 28.11.2025
Кафедра оториноларингологии Российского университета Дружбы народов, Москва
Кафедра оториноларингологии Медицинского института Российского университета дружбы народов, Москва, Россия, 117198
Кафедра оториноларингологии, кафедра патологической анатомии Российского университета дружбы народов, Москва, Россия, 117198
Применение радиоволнового ножа Сургитрон при хирургическом лечении новообразований наружного уха
Журнал: Вестник оториноларингологии. 2016;81(3): 17‑20
Цель — определить эффективность радиоволновой хирургии при лечении опухолей наружного уха. Исследование направлено на изучение и оптимизацию тактики хирургического лечения опухолеподобных образований, доброкачественных и злокачественных опухолей наружного уха с использованием радиоволнового скальпеля Сургитрон.
Число заболеваний ЛОР-органов продолжает расти, в связи с чем проблема борьбы с этими заболеваниями была и остается актуальной в оториноларингологии. Наименее изученными из всех новообразований ЛОР-органов являются опухоли уха.
Опухоли и опухолеподобные образования ушной раковины и наружного слухового прохода представлены врожденными свищами, развивающимися из остатков первой жаберной щели; кистами и рубцами после механических, химических и термических травм; келоидами, врожденными и приобретенными невусами; старческими гиперкератозами, хроническим узелковым хондродерматитом, атеромами; гистиоцитозом (эозинофильной гранулемой); кожным рогом [1].
Довольно редко встречаются доброкачественные опухоли ушной раковины и наружного слухового прохода [2], отличающиеся большим разнообразием гистологической структуры. Первое место среди них занимают папилломы [3], реже встречаются гемангиомы, остеомы, церуминомы, фибромы, хондромы, липомы.
Злокачественные опухоли уха составляют до 2% всех злокачественных опухолей и от 5 до 12% всех опухолей ЛОР-органов. Из них на ушную раковину приходится 85%, на наружный слуховой проход — 10% [4].
Основным методом лечения больных опухолями наружного уха является хирургический.
Одним из методов, повышающих эффективность таких вмешательств, является применение радиоволнового скальпеля [5—7]. В литературе встречаются единичные сведения об удалении опухоли ушной раковины с помощью радиоволнового скальпеля [8].
Цель работы — определить эффективность радиоволновой хирургии при лечении опухолей наружного уха.
Пациенты и методы
Работа основана на результатах анализа лечения 230 больных (146 в основной и 84 в контрольной группах) с опухолеподобными образованиями, доброкачественными и злокачественными опухолями наружного уха.
Первое место в структуре новообразований уха в основной группе занимали опухолеподобные образования — 58 (40%) больных, несколько реже встречались доброкачественные опухоли — 48 (33%) больных, еще реже — злокачественные новообразования — 40 (27%) больных. Распределение больных в зависимости от гистологической структуры и первичной локализации новообразования представлено в таблице.

Сравнительная характеристика эффективности лечения больных опухолеподобными образованиями, доброкачественными и злокачественными новообразованиями наружного уха (n=230)
Возраст больных — от 20 до 80 лет, из них мужчин — 64 (43,9%), женщин — 82 (56,1%). Ушная раковина была первичной локализацией образования у 81 (55,4%) больного, наружный слуховой проход — у 65 (44,6%).
В контрольной группе, как и в основной, первое место занимали опухолеподобные образования — 33 (39%) больных, второе — доброкачественные опухоли — 30 (36%) больных, третье — злокачественные новообразования — 21 (25%) больной. Женщин в контрольной группе было 49 (58%), мужчин — 35 (42%).
Ушная раковина оказалась первичной локализацией новообразования у 53 (63%) больных, наружный слуховой проход — у 31 (37%).
Начинали исследование с тщательного сбора анамнеза. Для решения вопроса о характере опухоли очень важно определить длительность заболевания. Развитие опухолеподобных доброкачественных новообразований происходит в течение нескольких лет, злокачественных — в течение нескольких месяцев. Устанавливали время и последовательность появления первых признаков заболевания, его длительность. По последовательности появления жалоб больного судили о первичной локализации и направлению роста опухоли. Для новообразований наружного уха характерно постоянное нарастание симптоматики.
Ушная раковина доступна для осмотра самим больным и врачом, поэтому новообразования этой локализации выявляются значительно быстрее, чем опухоли наружного слухового прохода. У всех 135 больных опухолями ушной раковины в обеих группах первым признаком заболевания было появление самой опухоли, как правило, без видимых причин.
Новообразования наружного слухового прохода недоступны для непосредственного осмотра и в течение определенного времени развиваются бессимптомно. В силу анатомических особенностей наружного слухового прохода, его иннервации, а также того обстоятельства, что опухоль растет в замкнутых пространствах, одним из ведущих симптомов в этих случаях являлась боль (16 больных). Вслед за болью и зудом появлялось серозное либо гнойное отделяемое из слухового прохода с примесью крови (16 больных). Увеличиваясь в размерах, опухоль обтурирует слуховой проход, появляется снижение слуха по типу нарушения звукопроведения (16 больных).
При пальпации определяли пастозность или уплотнение мягких тканей околоушной области и шеи на стороне поражения, их болезненность и увеличение.
Для определения границ новообразования и решения вопроса об объеме хирургического вмешательства применяли компьютерную томографию (КТ) и магнитно-резонансную томографию (МРТ).
Хирургические вмешательства были произведены 106 больным доброкачественными опухолями и опухолеподобными образованиями ушной раковины и наружного слухового прохода.
У всех оперированных больных вмешательство выполняли с помощью радиоволнового скальпеля Сургитрон. Противопоказания для применения последнего в нашем исследовании отсутствовали.
Результаты и обсуждение
Чаще всего новообразования ушной раковины удаляли без подлежащего хряща (у 60 больных, 56,6%). Ограниченные опухоли I—II стадии удаляли под местным обезболиванием 1% раствором новокаина с добавлением, при отсутствии противопоказаний, 5 капель 0,1% раствора адреналина на 10 мл новокаина. После отслойки опухоли с кожей и надхрящницей от подлежащего хряща производился разрез с помощью радиоволнового ножа Сургитрон, после чего опухоль удаляли в пределах здоровых тканей без резекции хряща. Полоска здоровой кожи вокруг доброкачественной опухоли должна составлять не менее 3 мм. Поверхность хряща на дне раны исследовали под операционным микроскопом. Неповрежденный опухолью хрящ имел гладкую блестящую поверхность. Кровотечение во время операции было минимальным, остановлено в режиме коагуляции. У 1 больного со старческим кератозом, у которого новообразование локализовалось на передней поверхности ушной раковины, опухоль была удалена с участком хрящевой ткани. В этом наблюдении гидравлическую отслойку тканей (надхрящницы) произвести не удалось.
Резекция ушной раковины была выполнена у 3 (2,9%) больных с кожным рогом, который частично разрушил хрящевую ткань раковины.
В наших наблюдениях были 11 больных гемангиомой ушной раковины, у которых гистологическое исследование производилось только после хирургического вмешательства. Биопсия в таких случаях связана с опасностью интенсивного кровотечения, поскольку речь идет о ветвистых пульсирующих гемангиомах.
Удаление гемангиомы выполнялось в пределах здоровых тканей с помощью радиоволнового скальпеля после прошивания опухоли двойным обвивным швом (сверху, сзади, спереди к козелку по задней стенке наружного слухового прохода, сквозной П-образный шов через cavum conchae). При диффузных кавернозных гемангиомах и других сосудистых опухолях, когда граница патологического очага нечеткая, полоску здоровой кожи вокруг опухоли лучше увеличить до 5 мм и больше. Удаление сосудистых опухолей, как правило, сопровождается выраженным кровотечением, которое купируется Сургитроном в режиме коагуляции.
Доброкачественные опухоли и опухолеподобные образования наружного слухового прохода у 40 больных удаляли радиоволновым ножом эндаурально. Доброкачественные новообразования хрящевого отдела наружного слухового прохода чаще всего удаляли с надхрящницей под местным обезболиванием. У 2 больных ввиду распространенности процесса произведено удаление опухоли заушным доступом.
Удаление остеомы имело некоторые особенности. Во всех 11 наблюдениях выявлен экзофитный рост остеом. С помощью радиоволнового ножа производили разрез кожи образования и в дальнейшем эндаурально с сохранением по мере возможности кожи, покрывающей остеому, удаляли последнюю.
Больных раком наружного уха объединяли в 2 одинаковые по численности группы: по 20 больных (13,7%) с базально-клеточной и плоскоклеточной формами. В 18 (45%) наблюдениях опухоли локализовались на ушной раковине, в 22 (55%) — в наружном слуховом проходе.
Всем больным до операции было выполнена биопсия с целью верификации диагноза, после чего произведены хирургические вмешательства с помощью радиоволнового скальпеля.
При хирургическом лечении больных новообразованиями ушной раковины в I—II стадии распространенности мы применяли различные виды резекции. Чаще проводили клиновидную резекцию ушной раковины (у 15 больных); когда опухоль занимала 1/3 и более ушной раковины, последнюю удаляли полностью (у 3 пациентов).
12 больным со злокачественным опухолевым процессом в перепончато-хрящевом отделе произведена резекция наружного слухового прохода. Хирургическое вмешательство проводили под эндотрахеальным наркозом с помощью радиоволнового ножа. После хирургического лечения больных направляли на лучевую терапию.
Пациентам с прорастанием злокачественной опухоли в околоушную слюнную железу (III—IV стадии) произведена резекция наружного слухового прохода с резекцией околоушной слюнной железы (7 наблюдений). У 3 больных опухоль выходила за пределы наружного слухового прохода в височно-нижнечелюстной сустав, барабанную полость, височную кость, а в одном наблюдении прорастала в полость черепа. Этим пациентам произведена резекция височной кости и суставного отростка нижней челюсти. Радиоволновой нож у этой группы больных применялся для работы с мягкими тканями и коагуляции послеоперационной полости.
Данные о проведенных хирургических вмешательствах по поводу новообразований наружного уха в контрольной группе (n=84) взяты нами из архива.
Этим больным произведены хирургические вмешательства классическим методом (с помощью скальпеля). Ввиду того, что виды операций идентичны с теми вмешательствами, которые производили в основной группе, ниже приводим только их структуру и анализ.
В контрольной группе, как и в основной, чаще всего из хирургических вмешательств на ушной раковине выполняли удаление новообразования без подлежащего хряща (37 больных, 59%). С подлежащим хрящом была удалена опухоль у 1 больного со старческим кератозом. Резекция ушной раковины (клиновидная) была выполнена у 2 больных (3%) по поводу кожного рога.
Доброкачественные опухоли и опухолеподобные образования наружного слухового прохода были удалены эндаурально в 22 случаях (35%). У 1 больного с церуминомой с распространенным процессом произведено удаление опухоли заушным доступом.
Больные со злокачественными опухолями наружного уха, базально-клеточным раком (11; 13%) и плоскоклеточным раком (10; 12%) также были оперированы хирургическим классическим методом. В 16 случаях опухоль локализовались на ушной раковине, в 5 — в наружном слуховом проходе.
Всем больным до операции была выполнена биопсия с целью верификации диагноза. Чаще всего производили клиновидную резекцию ушной раковины (у 10 больных); полностью ушную раковину удалили у 6 пациентов по тем же показаниям, что и в основной группе. 2 больным с опухолевым процессом в перепончато-хрящевом отделе произведена резекция наружного слухового прохода.
Двум больным, у которых злокачественная опухоль прорастала в околоушную слюнную железу, произведена резекция наружного слухового прохода с резекцией слюнной железы. У 1 больного опухоль прорастала за пределы наружного слухового прохода в височно-нижнечелюстной сустав, барабанную полость, височную кость; этому пациенту была произведена резекция наружного слухового прохода с резекцией суставного отростка нижней челюсти и резекция височной кости.
При удалении всех опухолей ввиду хорошего кровоснабжения наружного уха было отмечено интенсивное кровотечение, которое останавливали механическим путем (тугая тампонада) или перевязкой кровоточащего сосуда.
Исследуемые группы — основная (146 больных) и контрольная (84 больных) — принадлежат к одной и той же генеральной совокупности, и между ними не выявлено статистически значимых различий по возрасту, полу, локализации образования, стадии опухоли и ее гистологическому строению.
В каждой из групп мы определяли продолжительность хирургического вмешательства, интраоперационную кровопотерю, время заживления раны и время пребывания больного в стационаре (см. таблицу).
Хирургическое вмешательство, произведенное с помощью радиоволнового скальпеля Сургитрон, позволяет на 43% уменьшить кровопотерю и на 16% сократить общую продолжительность операции по сравнению с классическим хирургическим методом лечения.
При хирургическом вмешательстве с использованием радиоволнового скальпеля кровотечение можно купировать с помощью коагулятора, что значительно снижает объем интраоперационной кровопотери (основная группа). Сургитрон характеризуется высокой абластичностью и минимальной травматичностью, что позволяет ускорить процесс заживления раны на 21% и сократить сроки пребывания больного в стационаре на 24%.
Всех больных новообразованиями уха после хирургического лечения с помощью радиоволнового скальпеля мы наблюдали в динамике.
Больных опухолеподобными и доброкачественными опухолями первые 6 мес осматривали 1 раз в 2 мес, вторые 6 мес — 1 раз в 3 мес и в дальнейшем — 1 раз в год. Больные злокачественными новообразованиями требуют более пристального наблюдения: в первый год — 1 раз в месяц, второй — 1 раз в 2 мес, а в дальнейшем — 1 раз в год. Сроки наблюдения последней группы больных составляют не менее 5 лет.
У больных опухолеподобными образованиями рецидивы отмечены в 7 (12%) наблюдениях. Атеромы рецидивировали в 4 случаях, келоид, старческий кератоз и кожный рог — по одному наблюдению. Без рецидива — 44 (76%) пациента, связь утеряна с 7 больными.
У больных доброкачественными новообразованиями рецидивы отмечены в 4 (8,3%) наблюдениях: по одному рецидиву плоскоклеточной папилломы и гемангиомы, 2 рецидива церуминомы. При этом после хирургического лечения рецидивы доброкачественных опухолей уха наблюдались в 33,5% случаев [2].
В I и II стадиях злокачественная опухоль на ушной раковине выявлена в 9 наблюдениях, в наружном слуховом проходе — в 15. В III и IV стадиях злокачественные опухоли выявлены у 16 больных. Из ушной раковины новообразование исходило в 9 наблюдениях, из наружного слухового прохода — в 7.
Без признаков рецидива и метастазирования от 1 года до 5 лет наблюдали 28 (70%) больных. Были выявлены рецидивы и оперированы повторно 12 (30%) пациентов.
По результатам нашего исследования, рецидивы опухолеподобных образований, доброкачественных и злокачественных опухолей отмечены всего у 23 (15,7%) больных, что подтверждает эффективность применения радиоволнового ножа при данной патологии.
Больных контрольной группы вызывали на осмотры и проводили ретроспективный анализ рецидивов новообразований в те же сроки, что и больных основной группы.
У больных опухолеподобными образованиями рецидивы отмечены в 8 (24,2%) наблюдениях. Без признаков рецидива наблюдались 17 (51,6%) пациентов. Связь потеряна с 8 (24,2%) больными.
У больных доброкачественными новообразованиями рецидивы отмечены в 12 (40%) наблюдениях. Без признаков рецидива наблюдали 14 (47%) больных. Связь потеряна с 4 больными (13%).
При локализации на ушной раковине злокачественная опухоль рецидивировала в 11 (50%) случаях, в наружном слуховом проходе — в 4 (20%). Без признаков рецидива и метастазирования от 1 года до 3 лет наблюдаются 6 (30%) больных. Были выявлены рецидивы у 15 (70%) пациентов. Они прооперированы повторно.
Таким образом, изучение особенностей клиники и диагностики новообразований наружного уха показало, что опухоли ушной раковины проявляют себя значительно быстрее, чем опухоли наружного слухового прохода. Для постановки диагноза необходим тщательный сбор анамнеза и осмотр уха и околоушной области; при этом особое внимание следует обращать на малозаметные симптомы заболевания. Когда опухоль становится доступной для осмотра, а симптомы — явными, то лечить больного и надеяться на хорошие результаты лечения значительно труднее. Хирургическое вмешательство было и остается основным методом лечения больных опухолями и опухолеподобными образованиями наружного уха, а результаты лечения этих больных зависят от длительности заболевания, исходной локализации, распространенности и гистологической структуры опухоли.
Использование радиоволнового скальпеля Сургитрон при хирургических вмешательствах по поводу новообразований наружного уха позволяет сократить время операции, до минимума уменьшить кровопотерю, время эпителизации раны, сроки пребывания больного в стационаре. Сравнение числа рецидивов по результатам лечения с применением радиоволнового ножа и классического хирургического метода (при опухолеподобных образованиях — 12 и 24,2% соответственно, при доброкачественных опухолях — 8,3 и 40%, при злокачественных — 30 и 70%) свидетельствует о высокой эффективности хирургического лечения с использованием радиоволнового ножа.
Обтурирующий кератоз наружного слухового прохода и его лечение
а) Терминология:
1. Аббревиатуры:
• Наружный слуховой канал (НСК)
• Обтурирующий кератоз (ОК)
2. Синоним:
• Слоистая эпителиальная «пробка»; кератиновая «пробка»
3. Определение:
• ОК: патологическое накопление кератина в результате десквамации с обструкцией костной части НСК без деструкции костей
б) Визуализация:
1. Общая характеристика:
• Лучший диагностический критерий:
о ОК выглядит как однородное мягкотканное содержимое в НСК:
- Типично легкое расширение НСК
- Фокальные эрозии костей отсутствуют
• Морфология:
о Мягкотканный компонент, повторяющий форму НСК

(Слева) При аксиальной КТ в коаном окне у пациента с признаками обструкции НСК, выявленными при отоскопии, в НСК визуализируется мягкотканная «пробка», лежащая снаружи от барабанной перегородки. Обратите внимание на отсутствие изменений костей поблизости.
(Справа) При аксиальной КТ в коаном окне у пациента с кондуктивной тугоухостью в левом НСК снаружи от барабанной перепонки визуализируется мягкотканная пробка, выглядящая доброкачеавенной, достигающая наружного края костной части НСК. Среднее ухо и кости, образующие стенки НСК, не поражены.
2. КТ при обтурирующем кератозе:
• Костная КТ:
о Мягкие ткани, выглядящие доброкачественными, заполняющие НСК:
- Возможно диффузное расширение НСК
- Нет эрозий костей (в отличие от холестеатомы НСК)
о Двухсторонние изменения (50%)
о Среднее ухо интактно, кроме запущенных случаев ОК
3. МРТ при обтурирующем кератозе:
• Т1 ВИ:
о Однородный сигнал низкой или средней интенсивности в мягких тканях, заполняющих НСК
• Т2 ВИ:
о Изо- или гипоинтенсивный сигнал
• Т1 ВИ С+:
о Контрастное усиление («ободок»)
4. Рекомендации по визуализации:
• Лучший метод диагностики:
о КТ височных костей

(Слева) При аксиальной КТ в костном окне левой височной кости визуализируется НСК, заполненный мягкими тканями. Этот компонент, выглядящий мягким, расположен снаружи от барабанной перепонки и достигает хрящевой части НСК.
(Справа) При корональной КТ в коаном окне у этого же пациента определяется мягкотканный компонент в НСК, выглядящий доброкачественным, расположенный снаружи от барабанной перепонки и достигающий хрящевой части НСК. Определяется легкое коническое расширение костной части НСК снаружи, но других явных изменений костей не выявлено.
в) Дифференциальная диагностика обтурирующего кератоза:
1. Доброкачественный дебрис НСК:
• КТ: частично заполняет НСК, нет эрозий костей
• Клиническая картина: восковидный дебрис
2. Холестеатома НСК:
• КТ: мягкие ткани в НСК с одной стороны, эрозии костей:
о Интрамуральные костные «чешуйки» (50%)
• Клиническая картина: деформация слизистой; подслизистый очаг
3. Некротический наружный отит:
• КТ: отек НСК ± эрозии костей ± абсцесс
• Клиническая картина: пациенте сахарным диабетом; оторея
4. Плоскоклеточный рак НСК:
• КТ: опухоль неправильной формы ± эрозии костей:
о Начинается в наружном ухе, поражает НСК
• Клиническая картина: известный плоскоклеточный рак ушной раковины
г) Патология:
1. Общая характеристика:
• Этиология:
о Две распространенные теории:
- Нарушение миграции эпителия с образованием кератинового дебриса
- Симпатическая рефлекторная стимуляция серных желез в НСК, приводящая к гиперемии и формированию эпителиальных бляшек
о Лучевой дерматит также может обусловливать лучевой ОК
• Сопутствующие заболевания:
о Хронический синусит и бронхоэктазы
2. Макроскопические и хирургические особенности:
• Выраженное воспаление субэпителиальных тканей
• Доброкачественная «кератиновая пробка», заполняющая НСК; отсутствие фокальных эрозий костей
3. Микроскопия:
• Десквамация кератина:
• Кератин плотно «упакован» в слои при ОК
о В холестеатоме НСК включения кератина дезорганизованы
д) Клинические особенности:
1. Проявления:
• Типичные признаки/симптомы:
о Острая тяжелая оталгия
о Кондуктивная тугоухость
2. Демография:
• Возраст:
о До 40 лет
• Эпидемиология:
о Редкая патология НСК
3. Лечение:
• Удаление кератиновой «пробки»
• Прямое удаление грануляций при их наличии:
о Иссечение, прижигание, топические стероиды
• Часто требуется повторное удаление накопившегося дебриса
е) Диагностическая памятка. Советы по интерпретации изображений:
• Термины «ОК» и «холестеатома НСК» часто путают:
о ОК: очаг в просвете НСК без эрозий костей
о Холестеатома НСК: подслизистый очаг с эрозиями НСК ± костными «чешуйками» (50%)
о В обоих случаях очаги состоят из отшелушенного кератина
Кератоз

Кератозы (кератодермии, кератодерматозы) — группа дерматологических патологий, характеризующихся нарушением нормального процесса ороговения эпидермиса. Страдающий от заболевания пациент сталкивается с формированием очагов огрубевшей кожи на теле и конечностях. Часто зоны дерматоза появляются на ладонях и подошвах — относительно крупных участках дермы, лишенных сальных желез. Клиническая картина патологии зависит от формы кератодермии, развившейся у ребенка или взрослого.
Общие сведения
Кератодермии могут протекать в острой или хронической формах. На основании гистологических анализов биоматериалов детей и взрослых врачи определяют характер дерматозов, относя их к приобретенным или наследственным патологиям. Заболевание, затрагивающее кожные покровы пациента, не обладает выраженной сезонностью. Существенное влияние на вероятность развития патологического процесса в клетках эпидермиса оказывают раса, пол, возраст и регион проживания человека.
Классификация кератодермий
Дерматологи выделяют три основных вида кератозов:
- фолликулярный,
- себорейный,
- актинический.
Дерматозы первого типа становятся следствием образования роговых пробок в устьях волосяных фолликулов. Себорейные кератодермии представляют собой новообразования в виде узелков или бляшек, окрашенных в коричневый или черный цвет. Актинический кератоз — заболевание, характерное для лиц старше 60 лет. Дерматозы этой формы выглядят как скопление мелких чешуйчатых пятен.
Этиология заболевания
Причины развития кератодермий многообразны. Патология способна развиваться на фоне эндокринных нарушений, вирусных или бактериальных инфекций, злокачественных новообразований. Существенное влияние на состояние кожных покровов детей и взрослых оказывает избыточная инсоляция. Часто патологические процессы становятся следствием недостаточно разнообразного рациона пациента.
Внешние и внутренние факторы приводят к изменениям в отлаженном процессе воспроизводства клеток эпидермиса. В организме здорового человека отмершие частицы кожи подвергаются ороговению и отшелушиваются. Эти чешуйки насыщены кератином и практически лишены влаги. Кератодерматоз провоцирует удвоение скорости роста клеток эпидермиса. Структуры дермы предыдущего поколения не успевают пройти полный жизненный цикл. Из-за этого на поверхности кожи формируется плотная пластинка из смеси клеток и кератина.
Симптоматика патологии

Симптомы кератоза соответствуют форме заболевания, от которой страдает пациент. Общие признаки кератодермий всех форм — хорошо заметные очаги ороговения и избыточное шелушение кожи. Первичные новообразования на поверхности эпидермиса обладают различными размерами, формами и окраской. Часто первым проявлением патологии становится красная сыпь. По мере нарастания симптоматики элементы сливаются друг с другом и образуют сплошную гиперкератотическую поверхность. Типичные места локализации себорейного кератоза — лицо, шея и волосистая часть головы. Фолликулярные дерматиты чаще развиваются на теле и нижних конечностях. Актинический тип патологии поражает кожные покровы шеи, спины и рук.
Патологический процесс может протекать в сухой и влажной формах. В первом случае обезвоженные клетки эпидермиса формируют твердую неэластичную поверхность, которая покрывается трещинами. Чешуйки кожи с остатками влаги могут стать причиной появления эрозий и мокнутий. В этом случае к первичной патологии присоединяется вторичная инфекция. Запущенный воспалительный процесс может стать хроническими — пациент будет страдать от периодических рецидивов.
Диагностические мероприятия

Подтверждение диагноза выполняется дерматологом на основании клинической картины патологии и данных гистологического анализа. Лабораторное исследование кожных соскобов, полученных врачом в ходе осмотра ребенка или взрослого, позволяет установить форму кератоза и определить причины развития заболевания. Дифференциальная диагностика дает дерматологам возможность исключить из анамнеза пациента себорею, псориаз, красный плоский лишай, болезнь Боуэна, меланому и базальноклеточный рак кожи.
Терапевтический курс

Методы лечения кератоза определяются дерматологом на основании выявленной у пациента симптоматики и результатов клинико-лабораторного обследования. Медикаментозная терапия позволяет добиться быстрого эффекта при незначительной площади поражения кожных покровов. Ребенку или взрослому назначаются препараты на основе фторурацила — мази или гели.
Угроза злокачественного перерождения новообразований и развития у пациента вторичной инфекции может стать причиной для выбора врачами радикальных методов лечения кератоза. Наиболее часто дерматологи прибегают к крио–, радио– или электродеструкции. Хирургическое удаление очагов кератодермии проводится при хроническом течении заболевания и отсутствии признаков малигнизации тканей.
Прогноз и профилактические меры

Пациенты, своевременно обратившиеся за медицинской помощью, могут рассчитывать на полное выздоровление. Дерматолог сформирует план лечения, который позволит предотвратить переход заболевания в хроническую стадию. Запущенное течение дерматозов может привести к злокачественному перерождению очагов патологии или присоединению к кератозу вторичных бактериальных инфекций.
Профилактика патологии предполагает соблюдение пациентами мер предосторожности во время пребывания на улице. Избыточная инсоляция часто становится причиной нарушения нормальных процессов ороговения кожи. Использование солнцезащитных кремов позволит минимизировать риск образования клеточно-кератиновых бляшек.
Диагностика и лечение кератоза в Москве
АО «Медицина» (клиника академика Ройтберга) обладает всем необходимым оборудованием для диагностики и лечения кератозов у детей и взрослых. Прием пациентов осуществляется в современном диагностическом комплексе, построенном с учетом последних достижений медицины.
Вопросы и ответы
Какой врач лечит кератозы?
Возможна ли передача дерматоза от носителя к здоровому человеку?
— Нет, поскольку данное заболевание не относится к вирусным или бактериальным инфекциям. Генетически обусловленная форма патологии может передаваться от родителей детям.
Какая возрастная группа чаще других страдает от заболевания?
— Наиболее часто кератодермии диагностируются у пациентов старшей возрастной группы (55–60 лет). Мужчины страдают от патологии в полтора раза чаще женщин.
Кафедра болезней уха, горла и носа Первого МГМУ им. И.М. Сеченова Минздравсоцразвития России, Москва
ЛОР-клиника Московского областного научно-исследовательского клинического института им. М.Ф. Владимирского, Москва
Кафедра болезней уха, горла и носа Первого МГМУ им. И.М. Сеченова Минздрава России, Москва, Россия, 119991
Холестеатома наружного слухового прохода
Журнал: Вестник оториноларингологии. 2017;82(1): 62‑64
Представлен краткий обзор литературы, а также собственное клиническое наблюдение холестеатомы наружного слухового прохода. На примере клинического наблюдения обоснована необходимость своевременной диагностики и хирургического лечения, сочетающего одномоментную санацию и реконструкцию в необходимом объеме.
Холестеатома наружного слухового прохода (ХНСП) — редко встречающаяся патология, составляет 0,3% всех холестеатом височной кости [1]. По данным литературы, распространенность ХНСП составляет примерно 1,2 на 1000 новых пациентов с заболеваниями уха в год [2].
Первое упоминание о ХНСП принадлежит J. Tiynbee [3]. J. Piepergerdes [4] впервые определил инвазивность процесса как основное отличие ХНСП от обтурации эпидермальными массами.
По классификации, предложенной M. Tos [5], выделяют первичную (идиопатическую) ХНСП, вторичную холестеатому и холестеатому, ассоциированную с врожденной атрезией наружного слухового прохода [5].
Наиболее часто встречается спонтанная ХНСП, причиной развития которой является снижение с возрастом (средний возраст наблюдаемых пациентов составил 43 года) нормальной миграционной способности эпидермиса наружного слухового прохода [6]. Кроме этого, ее образование связывают с нарушением клеточной пролиферации в условиях избыточного накопления слущенного эпидермиса [7].
Механизм развития вторичной ХНСП заключается в следующем. После хирургических вмешательств на среднем ухе происходит прорастание эпидермиса наружного слухового прохода под неотимпанальный лоскут, причем возникновение ХНСП происходит в среднем спустя 7 лет после тимпанопластики [8]. Возникновение посттравматической ХНСП также связано с прорастанием эпидермиса по линии травмы и чаще осложняется наличием травматического сужения наружного слухового прохода. В литературе встречаются единичные описания ХНСП после лучевой терапии — в этом случае механизм ее возникновения заключается в усиленной гиперплазии эпителия и параллельном развитии атрофических процессов в костной ткани, в том числе некроза [9].
R. Naim [10] предложил классифицировать ХНСП в зависимости от степени распространенности патологического процесса. Им выделено четыре стадии: разрастание эпидермиса наружного слухового прохода, инвазия эпидермиса в периост, разрушение костного отдела наружного слухового прохода, разрушение прилежащих анатомических структур (клеток сосцевидного отростка).
ХНСП долгое время может протекать бессимптомно, появление симптоматики (тупая боль, выделения из уха, снижение слуха), как правило, обусловлено распространенностью процесса и/или присоединением патогенной флоры, в частности —P. aeruginosa[11].
Холестеатомы чаще локализуются на нижней стенке наружного слухового прохода, однако статистически значимых данных в отношении их расположения не приводится [10].
Основным методом диагностики ХНСП является МСКТ височных костей. Наличие мягкотканного компонента (матрикс холестеатомы) в наружном слуховом проходе с возможными костными включениями (секвестрами), участки разрушения костной стенки — типичная картина ХНСП.
Известно, что единственный метод лечения холестеатомного поражения уха — хирургический. Приводим клиническое наблюдение ХНСП.
Пациент Б., 61 года, обратился с жалобами на постоянное гноетечение из правого уха, снижение слуха на это ухо. Из анамнеза известно, что с детства отмечались частые обострения правостороннего наружного отита, по поводу чего проводились неоднократные курсы консервативного лечения. При отомикроскопии: правый наружный слуховой проход обтурирован объемным округлым образованием, исходящим из задней стенки, которое стало обозримо только после удаления эпидермально-серных масс. Бактериологическое исследование отделяемого из правого наружного слухового прохода: S. aureus 1·10 5 , E. coli 1·10 3 . При аудиологическом исследовании выявлена правосторонняя смешанная тугоухость. По заключению МСКТ височных костей: патологический субстрат в слуховом проходе и образовавшейся в сосцевидном отростке полости, дефект задней стенки наружного слухового прохода (рис. 1).

Рис. 1. Больной М. МСКТ височных костей. Патологический субстрат заполняет наружный слуховой проход и через дефект задней стенки (стрелка) распространяется в сосцевидный отросток.
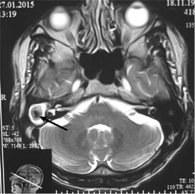
По данным МРТ головного мозга, в проекции пирамиды височной кости справа определяется окруженное капсулой объемное образование неоднородного сигнала с гипоинтенсивным центром размером до 21×21×20 мм (рис. 2).

Рис. 2. Больной М. МРТ головного мозга. Визуализируется мягкотканное новообразование в проекции пирамиды височной кости справа, неоднородное по структуре, с плотной капсулой и гипоинтенсивным центром (стрелка).
Гистологическое исследование образования подтвердило холестеатомную природу процесса: в препаратах — картина холестеатомы, определяется фрагмент грануляционной ткани с образованием единичных гигантских многоядерных клеток типа инородных тел. Больному была выполнена правосторонняя антромастоидотомия с ревизией барабанной полости. В ходе операции была выявлена деструкция задней стенки слухового прохода, сосцевидный отросток представлял собой единую полость, заполненную мягкотканным содержимым, которое было отсепаровано от костных стенок и удалено (по данным гистологического исследования — холестеатома), барабанная полость — интактна. Выполнена реконструкция полости в объеме мастоидопластики с восстановлением задней стенки слухового прохода аутохрящом. Ближайший клинико-анатомический результат (состояние реконструированного слухового прохода) оценивался после удаления тампонов из уха на 21-й день после операции. При отомикроскопии: слуховой проход широкий, визуализируется барабанная перепонка, меатальный лоскут состоятельный, признаки его воспаления отсутствуют. По данным аудиологического исследования — полное сокращение костно-воздушного разрыва. Через год результаты прежние, при проведении МРТ в режиме диффузно-взвешенного изображения данных за холестеатому не получено.
Особенностью данного наблюдения является то, что ХНСП длительное время протекала под маской наружного отита, сопровождаясь обширным дефектом задней стенки наружного слухового прохода без вовлечения в процесс структур среднего уха. Таким образом, ХНСП требует ранней диагностики, а своевременное хирургическое лечение с одноэтапной пластикой наружного слухового прохода является высокоэффективным.
Конфликт интересов: авторы статьи подтвердили отсутствие финансовой поддержки/конфликта интересов, о которых необходимо сообщить.
Гиперкератоз
Гиперкератоз – общее название для группы патологий, основным признаком которых служит неумеренное ороговение кожи. Клетки внешнего, рогового слоя под действием определенного фактора активизируют процесс деления, при этом слущивание отмерших клеток замедляется. В результате кожа покрывается роговым слоем, толщина которого варьирует от долей миллиметра до нескольких сантиметров. Ороговению могут подвергаться любые участки тела, в зависимости от причин патологии.
Разновидности процесса ороговения
Различают наследственный и приобретенный гиперкератоз кожи. В зависимости от клинических проявлений, патология может принимать различные формы:
- фолликулярную – чешуйки отслаивающейся кожи закупоривают протоки фолликулов, из-за чего на коже появляются многочисленные мелкие бугорки, похожие на прыщики;
- лентикулярную – на волосяных фолликулах нижних конечностей появляются роговые папулы, при их удалении на коже остаются небольшие углубления;
- диссеминированную – на коже появляются образования, напоминающие короткие и утолщенные волоски;
- себорейную – на волосистой части головы, иногда на коже лица образуются участки шелушения в виде жирной, легко удаляемой корки, под которой обнаруживаются красноватые пятна кожи;
- диффузную – поражаются большие участки кожи на любых частях тела, иногда даже вся кожа полностью, сальные железы перестают работать, кожа иссушается и шелушится;
- бородавчатую – на коже появляются образования, напоминающие бородавки, но без участия папилломавируса, причем иногда они перерождаются в опухоли;
- старческую – на коже пожилых людей появляются темные ороговевшие пятна.
Диссеминированная и лентикулярная формы, как правило, развиваются у пожилых мужчин. Женщин и молодежь они поражают крайне редко.
Симптоматика

Основным симптомом гиперкератоза служит появление на каких-либо участках тела утолщений кожного покрова с пониженной чувствительностью, нередко с измененным цветом, отличающимся от основного оттенка. В начальной стадии кожа производит впечатление огрубевшей, затем толщина ороговевшего слоя увеличивается, иногда до такой степени, что начинает доставлять дискомфорт. В частности, запущенный гиперкератоз стоп может привести к изменению походки. Ороговевшая кожа шелушится или частично отслаивается, на наиболее утолщенных и сухих участках могут появляться болезненные трещины, которые долго заживают и становятся местами проникновения инфекции. Часто патология сопровождается сухостью кожи, снижением функции сальных желез.
Причины развития патологии
Все вызывающие развитие кератоза причины можно разделить на две группы. В первую входят внешние воздействия – тесная обувь или натирающая определенные участки кожи одежда, интенсивный физический труд, постоянный контакт с химическими реагентами или другими веществами, негативно воздействующими на кожу, несоблюдение правил гигиены и т. д.
Вторая группа включает заболевания и патологические состояния, которые приводят к чрезмерному образованию рогового слоя:
- системные нарушения, врожденные либо приобретенные – ихтиоз, сахарный диабет, псориаз, кератодермия и др.;
- нарушения кровообращения, наиболее часто возникающие в нижних конечностях, – варикозная болезнь, облитерирующий атеросклероз;
- недостаток витаминов;
- грибковые заболевания кожи (лишай) и стоп;
- желудочно-кишечные заболевания;
- стрессы;
- лишний вес, патологии стопы, хромота.
Под влиянием тех или иных факторов в верхнем слое кожи нарушается капиллярное кровоснабжение, ухудшается иннервация. Из-за этого активизируется процесс деления клеток рогового слоя с одновременным замедлением их слущивания и образованием утолщенных ороговевших участков.
Диагностические методы
Как правило, при гиперкератозе диагностика заключается в выявлении заболевания, которое привело к образованию ороговевших участков. Дерматолог проводит наружный осмотр и опрос пациента, проверяет, нет ли признаков кожных заболеваний. Как правило, квалифицированный специалист может распознать заболевание по внешним признакам. Для уточнения может понадобиться дифференциальная диагностика, которая необходима при сходстве проявлений патологии с другими кожными заболеваниями, для которых тоже характерны шелушение и сухость кожи. При затруднениях с определением диагноза проводят биопсию пораженного участка кожи с гистологическим исследованием ткани.
Лечение
Метод лечения гиперкератоза зависит от формы заболевания и от причины, которая его вызвала. Как правило, в периоды обострения показано местное применение кортикостероидных мазей, которые снимают воспаление и отшелушивают ороговевшую кожу. Мягкий кислотный пилинг при помощи специальных кремов помогает освободиться от затвердевших слоев кожи. Механическое удаление огрубевших участков не рекомендуется, так как из-за него образование рогового слоя может усилиться. Хороший эффект дают теплые ванны с добавлением соли, пищевой соды либо крахмала, после которых на кожу наносят увлажняющий крем.
Гиперкератоз кожи головы лечат при помощи смягчающих компрессов, для которых используют касторовое масло, вазелин или глицерин, рыбий жир и т. д. При необходимости могут быть назначены мази с содержанием гормонов. При фолликулярной форме заболевания наружное лечение пне приносит большой пользы, поэтому терапия направлена на устранение нарушений в работе организма.

При гиперкератозе кожи стоп необходимо вначале устранить фактор, вызывающий патологию. Часто в роли патологического фактора выступает грибок кожи, от которого избавляются при помощи специальных противогрибковых мазей. Хороший эффект дают ножные теплые ванночки с поваренной солью, после которых распаренный ороговевший слой снимают при помощи пемзы, а кожу смазывают смягчающим кремом. Необходимо выбрать удобную обувь, которая не сдавливает и не натирает стопу. Если пациент страдает косолапостью или плоскостопием, следует позаботиться о выборе специальной обуви.
Профилактика
Чтобы не допустить повторного развития гиперкератоза, необходимо ухаживать за кожей, обеспечивать ее питание и гигиену. Предупредить рецидивы заболевания помогут:
- нормализация питания, обеспечение разнообразного сбалансированного рациона;
- отказ от длительного пребывания на солнце или переохлаждения кожи;
- соблюдение гигиены, уход за кожей;
- использование защитных средств при работе с химическими реагентами.
Некоторые формы заболевания крайне тяжело поддаются лечению и остаются с человеком в течение всей жизни. В этом случае особенно важно уделять внимание профилактическим мерам, которые снижают риск рецидивов.
Какой врач лечит гиперкератоз?
По поводу диагностики и лечения гиперкератоза следует обратиться к дерматологу. Если речь идет о заболевании стоп, то желательно проконсультироваться у подолога. В ходе лечения, возможно, придется обратиться к флебологу, эндокринологу или другим специалистам, в зависимости от выявленных заболеваний.
Как лечить гиперкератоз народными методами?
Домашние рецепты народной медицины при гиперкератозе помогают только на начальных стадиях и при легкой форме заболевания. Неплохой эффект дают смягчающие кожу аппликации с листьями алоэ, компрессы с прополисом или с отваром луковой шелухи. Можно использовать березовый деготь – действенное противовоспалительное средство, а также барсучий жир для смягчения потрескавшейся кожи.
Чем опасен гиперкератоз?
При отсутствии лечения могут развиться осложнения. Так, при ороговении кожи стоп у пациента нередко появляются трещины и натоптыши, а также высок риск заражения грибком. Бородавчатая форма патологии может оказаться предраковым состоянием кожи. Фолликулярная форма часто сопровождается пиодермией.
Читайте также:
- Рентгенограмма, КТ атланто-затылочной дислокации
- Осложнения трансплантации поджелудочной железы. Ранние и поздние
- Врожденное укорочение бедренной кости. Расщепление кистей и стоп плода
- Ортопедические аппараты. Классифкация ортопедических аппаратов.
- Консервативное и оперативное лечение невралгии тройничного нерва.
