Диагностика вентрикулита по КТ, МРТ
Добавил пользователь Владимир З. Обновлено: 30.01.2026
Компьютерная томография – это тип исследования, при котором происходит послойное сканирование органа пациента. Для проведения процедуры используется мультиспиральный компьютерный томограф. В основе принципа его действия лежит отражение рентгеновского излучения от тканей и костей. Результат исследования представляется в виде на мониторе врача и может быть записан на диск.
Аппарат для КТ представляет собой круг вокруг стола с подвижными датчиками, которые, вращаясь в процессе исследования, делают снимки с разных ракурсов.
Так как при использовании этого метода пациент получает определенную дозу облучения, исследование не рекомендуется проходить часто.
Магнитно-резонансная томография – это обследование, в основе которого лежит эффект магнитного резонанса, отражающегося от более или менее плотных тканей.
Для него также используется томограф, но другого, чаще закрытого типа. Он оснащен выдвижным столом, на который укладывают пациента, и трубообразным аппаратом, в который этот стол задвигают.
Это довольно безопасный метод обследования, хотя при его использовании и существует ряд ограничений, в основном связанных с наличием в организме металлических имплантатов.
В каких случаях назначают КТ, а в каких МРТ?
Поскольку в основе обоих типов обследования лежат разные физические и химические явления, эффективность каждого из них варьируется в зависимости от анализируемых тканей.
Когда врач назначает МРТ мозга или КТ, он руководствуется тем, что именно нужно исследовать. Так, КТ считается более эффективной при обследовании твердых тканей, костей черепа и их нарушений, а МРТ – для анализа мягких тканей.
Основные показания для проведения КТ
Исследование назначают в таких случаях:
- Пациент получил травму
- Постоянные головные боли после удара
- Патологическое изменение костной ткани головы
- Диагностировано сотрясение мозга
- Необходимо подтвердить или опровергнуть наличие кровоизлияния
- Мозговые структуры сместились
- Есть вероятность наличия инородного тела
Основные показания для проведения МРТ
Такое исследование назначают в следующих случаях:
- Подозрение на опухоль
- Регулярные головные боли, головокружения, обмороки
- Пациент перенес инсульт
- Потеряны слух или зрение
- Травмы, гематомы и отеки
- Ухудшение памяти, проблемы с концентрацией внимания
- Невозможность проведения КТ
Также МРТ назначают, чтобы оценить:
- Правильность лечения
- Состояние мозга после обнаружения злокачественного образования
- Пред- и послеоперационное состояние
Ребенку рекомендуют томографию, если:
- У него были патологии при внутриутробном развитии
- Он отстает от сверстников по различным показателям
- Ребенок страдает от судорог, головокружений, потери сознания
- Он заикается или имеет другие проблемы с речью
Противопоказания
Компьютерную томографию не делают в следующих случаях:
- При беременности пациентки
- При большой массе тела (более 130 кг) больного
С осторожностью применяют ее для кормящих матерей, а если процедура выполнена, еще сутки нельзя кормить ребенка грудью.
Если исследование будет проводиться с контрастным веществом, противопоказаний больше:
- Аллергия на йод
- Сахарный диабет
- Эндокринные заболевания
- Проблемы с работой печени и почек
МРТ нельзя проходить тем пациентам, у которых:
- Есть металлические протезы из материалов, которые взаимодействуют с магнитным полем
- Сердечные клапаны и водители ритма
- Металлические клипсы на сосудах при аневризме
- Слуховые аппараты
- Несъемные зубные протезы из стали и подобных материалов
Исследование применяется с ограничениями, когда:
- Пациентка находится в первом триместре беременности
- Больной страдает боязнью замкнутого пространства
- У пациента есть коронки, брекеты
Также препятствием к обоим исследованиям может стать неспособность пациента пролежать неподвижно в течение нужного времени сильных болей в спине.
Если пациент знает о наличии ограничения (установлена беременность, ранее диагностирован диабет, есть металлические имплантаты и тому подобное), он должен заранее сообщить об этом врачу.
Преимущества каждого вида томографии
Чтобы сделать выбор между МРТ мозга или КТ, необходимо рассмотреть их назначение и преимущества для конкретного диагноза, а также принять во внимание типы тканей, которые нужно изучить.
Преимущества КТ
Компьютерная томография – один из самых точных способов исследования нарушений, связанных с состоянием мозга. Она особенно эффективна, если необходимо определить аномалии, возникшие травмы, а также иные проблемы с костями и плотными тканями черепа.
Это происходит потому, что особым образом отражаются от плотных костных тканей. Однако доза облучения, которую получает пациент, гораздо ниже по сравнению с иными рентгеновскими исследованиями. Таким образом можно диагностировать различные заболевания без использования инвазивных методов, что делает процедуру безболезненной.
При помощи КТ можно диагностировать перенесенный инсульт, нарушения артерий при атеросклерозе, изменения в структуре коры головного мозга и поражения лицевых костей. Она позволяет рассмотреть такие нарушения в мельчайших деталях и выявить причины возникновения заболеваний.
Время проведения процедуры – не более пятнадцати минут. Нет риска искажения результата, если пациент случайно сдвинется.
Пациенты, страдающие клаустрофобией, легко переносят компьютерную томографию, потому что используется открытый аппарат, в который погружается только голова, а не все тело.
Важно, что результат КТ можно рассмотреть сразу же, хотя в некоторых случаях изображение может быть недостаточно контрастным.
Преимущества МРТ
томография не менее точна, чем КТ, но область ее применения несколько иная. Она позволяет диагностировать заболевания мягких тканей мозга и показывает результаты в трех плоскостях:
- Аксиальная (горизонтальная проекция)
- Фронтальная (прямая проекция)
- Сагиттальная (боковая проекция)
МРТ позволяет очень четко увидеть проблемы с мягкими тканями: доброкачественные и злокачественные (рак) новообразования (их форму, локализацию и объем), нарушения работы гипофиза, нервные и мышечные волокна. Можно увидеть и измерить объемы отеков, опухоли нервной системы и другое. Кости же будут отображаться опосредованно.
Этот метод безопасен, поэтому его можно применять для диагностики беременных пациенток, но только во втором и третьем триместрах. Также его разрешено использовать для диагностики детей с трехлетнего возраста. Ребенку необходимо объяснить, как будет проходить исследование, чтобы он не боялся и постарался не двигаться.
МРТ можно делать несколько раз за небольшой временной отрезок.
Процедура длится около получаса. В этот период требуется, чтобы пациент лежал неподвижно. В противном случае изображение может исказиться и результат получится недостоверным или неточным.
Для больных с боязнью замкнутых пространств исследование может быть проведено в состоянии медикаментозного сна.
Технические параметры
МРТ дает чрезвычайно четкое изображение (за исключением костей) в виде проекций с разных ракурсов; КТ же предоставляет картинку менее четкую, но структура костей видна хорошо, а изображение представлено на мониторе в виде .
Другой важный момент – количество времени, которое необходимо провести в аппарате. Для КТ оно составляет от 5 до 15 минут, для МРТ – порядка получаса. Пациент должен быть максимально неподвижен. Но для результатов компьютерной томографии не столь критично, если больной немного сдвинется. В данные же исследования такое движение может привнести серьезное искажение.
КТ помогает поставить срочный диагноз, если пациент серьезно травмирован, у него присутствуют симптомы кровоизлияния в мозг.
Для выбора наиболее результативного метода обследования (МРТ мозга или КТ) необходимо обращать внимание на множество факторов. Это способен сделать только квалифицированный врач. Пациент обязан предоставить всю информацию, которая поможет в этом.
Вентрикулит ( эпендимит )
Вентрикулит (эпендимит) — воспаление мозгового желудочка, грозное осложнение проникающих черепно-мозговых повреждений, внутричерепных хирургических вмешательств и инфекционных процессов. Клинически проявляется фебрильной температурой, головной болью, рвотой, тахикардией, судорогами, угнетением сознания до состояния комы. Диагностируется при помощи компьютерной томографии, люмбальной пункции, анализа ликвора. Консервативная терапия осуществляется антибиотиками, мочегонными, кортикостероидами, противосудорожными препаратами. При неэффективности проводится вентрикулярное дренирование, промывание путей ликворооттока.
МКБ-10
Общие сведения
Вентрикулит в переводе с латыни означает «воспаление желудочка мозга». В головном мозге находятся четыре желудочка. Два боковых расположены симметрично по одному в каждом полушарии, третий и четвёртый занимают серединное положение. В желудочках циркулирует ликвор (цереброспинальная жидкость). Полости желудочков выстланы эпителиальной мембраной — эпендимой. Поскольку воспалительные процессы происходят именно в эпендиме, в неврологии термин вентрикулит имеет синонимичное название — «эпендимит». Воспаление желудочков вследствие огнестрельного ранения головы описано основателем военно-полевой хирургии Н. И. Пироговым в 1853 году, тщательно изучено в годы Великой Отечественной войны. Ранее точно подтвердить диагноз вентрикулит позволяла лишь аутопсия. Появление методов нейровизуализации сделало возможной достоверную прижизненную диагностику заболевания.
Причины вентрикулита
Заболевание имеет инфекционную этиологию. В период новорождённости наблюдается вследствие внутриутробного инфицирования, в структуре сепсиса новорожденных. В дальнейшем причинами инфицирования желудочков становятся:
- Открытая черепно-мозговая травма.Переломы черепа в области свода или основания, сопровождающиеся повреждением церебральных тканей в перивентрикулярной области, образованием ликворных свищей являются проводящими путями для инфекционных агентов. Попадая в вентрикулярное пространство, микроорганизмы вызывают воспаление.
- Проникающее ранение черепа. Проникающие в полость черепа огнестрельные раны, ранения холодным оружием, бытовыми предметами сопровождаются инфицированием мозговых тканей. Инфекция попадает с загрязнённого ранящего орудия или по раневому каналу.
- Абсцесс головного мозгаоколожелудочковой локализации. Инфицирование происходит при прорыве абсцесса с излитием его содержимого в полость желудочка или перивентрикулярное пространство. Находящиеся в гное бактерии провоцируют развитие эпендимита.
- Энцефалит. Происходящие при энцефалите диффузные инфекционно-воспалительные процессы распространяются на область желудочков. Проникновение инфекции в вентрикулярную полость вызывает вентрикулит.
- Гнойный менингит. Примыкающее к церебральным оболочкам подпаутинное пространство заполнено ликвором и наряду с желудочками входит в единую ликворную систему мозга. Гноеродные микроорганизмы способны проникать в ликворные пути, распространяться по ним в церебральные желудочки, обуславливая их воспаление с развитием менинговентрикулита.
- Нейрохирургические вмешательства. К ятрогенному инфицированию эпендимы приводит нарушение правил асептики при проведении операций в вентрикулярной области. Инфекция проникает в желудочки через недостаточно стерильный инструментарий: иглу для вентрикулярной пункции, систему наружного вентрикулярного дренирования и т. п.
В группу риска развития эпендимита входят лица с проникающими ранениями головы, открытыми ЧМТ, пациенты после нейрохирургических манипуляций в области церебральных желудочков, новорожденные, перенёсшие внутриутробную инфекцию, болеющие неонатальным сепсисом.
Патогенез
Полости церебральных желудочков являются наименее иммунологически защищёнными зонами человеческого организма. Местный иммунитет слаб. Наличие гематоэнцефалического барьера обуславливает затруднённое попадание в желудочки защитных иммунных факторов и вводимых антимикробных фармпрепаратов. В сложившихся условиях интравентрикулярное проникновение микроорганизмов сопровождается их размножением, развитием в стенках и полости желудочка. Инфицирование запускает локальную воспалительную реакцию. Стенки, эпендима желудочков отекают, утолщаются, покрываются гнойными наслоениями. Нарушается продукция и всасывание цереброспинальной жидкости, возникает гидроцефалия — избыточное наполнение ликвором. В результате развивается внутричерепная гипертензия. Содержащиеся в ликворе хлопья гноя могут вызвать окклюзию межжелудочкового отверстия Монро, обуславливающую появление острой окклюзионной гидроцефалии.
Классификация
Вентрикулит классифицируется по этиопатогенетическому признаку в зависимости от пути проникновения инфекции. Соответственно выделяют:
- Первичный вентрикулит — связанный с непосредственным инфицированием вентрикулярных структур. Возникает при травмах, ранениях, хирургических вмешательствах.
- Вторичный вентрикулит — обусловленный проникновением микроорганизмов из существующего инфекционного очага. Вторичная форма развивается как осложнение менингита, церебрального абсцесса, энцефалита.
Симптомы вентрикулита
Развитие эпендимита при травмах и ранениях сопровождается резким ухудшением общего состояния пострадавшего, нарастанием температуры тела до 40 градусов. Аналогичная картина сопровождает прорыв абсцесса, имевшего до этого стабильное течение. В период сохранённого сознания пациенты жалуются на интенсивную головную боль, отмечается повторная рвота без облегчения. Характерна тяжёлая тахикардия (ЧСС больше 130 ударов), бледность или гиперемия лица, дыхательная недостаточность. Выражен менингеальный синдром.
На фоне двигательного возбуждения происходят генерализованные клонические или тонико-клонические судорожные приступы. Эпилептические пароксизмы сопровождаются нарастающим расстройством сознания. Наблюдается прогрессирующая вялость больного, заторможенность, переходящая в сонливость (сопор). Постепенно развивается кома. Истощение пациента может приводить к падению температуры до субфебрильных цифр, снижению выраженности менингеального симптомокомплекса.
Вентрикулит вследствие внутриутробной инфекции у новорожденных протекает в рамках серозного воспаления без специфической клинической картины. Выявляется только при проведении ультразвукового исследования. Эпендимит на фоне сепсиса новорожденных не имеет патогномоничных симптомов, усугубляет тяжёлое состояние ребёнка.
Осложнения
Воспаление желудочков сопровождается выделением гноя в цереброспинальную жидкость, в результате вязкость последней повышается, что затрудняет её отток. Ситуация резко ухудшается при закупорке путей ликворооттока хлопьями гноя. Нарастающее внутричерепное давление приводит к сдавлению церебрального вещества, провоцирует отёк головного мозга. Распространение воспаления на IV желудочек, расширение его полости вследствие гидроцефалии обуславливают сдавление прилегающих структур мозгового ствола — моста и продолговатого мозга, где располагаются витальные центры. Компрессия ствола становится причиной нарушений сердечной и дыхательной деятельности с опасностью летального исхода.
Диагностика
Вентрикулит не имеет специфической симптоматики, его клиника укладывается в рамки тяжёлой ЧМТ, интракраниального кровоизлияния, гнойного менингита. Поэтому диагностика требует тщательного анализа анамнеза заболевания, проведения дополнительных исследований. Диагностический алгоритм включает:
- Сбор анамнеза. Особое внимание уделяется давности и характеру травмы, указаниям на проведённое нейрохирургическое лечение. При вторичном эпендимите важна информация о предшествовавших симптомах, наличии установленного диагноза энцефалит, абсцесс мозга.
- Неврологический осмотр. Позволяет неврологу выявить признаки интракраниальной гипертензии, менингеальные симптомы, установить степень нарушения сознания. Сопутствующий очаговый неврологический дефицит помогает определить локализацию внутримозговых повреждений, месторасположение абсцесса.
- КТ головного мозга а. Выявляет гидроцефалию, повышение плотности цереброспинальной жидкости, отёчность перивентрикулярных тканей. Обнаруженные изменения носят неспецифический характер, оцениваются в совокупности с клинической картиной, результатами анализа ликвора. Однозначно говорить о наличии вентрикулита по данным КТ можно при визуализации инородного тела в желудочке, прорыва мозгового абсцесса, посттравматического ликворного свища.
- Люмбальную пункцию ю. Выполняется с измерением ликворного давления, проведением ликвородинамических проб, направленных на выявление окклюзии ликворных путей. Исследование цереброспинальной жидкости определяет наличие гноя, микроорганизмов, воспалительных изменений, позволяет исключить кровоизлияние, установить вид возбудителя.
Посттравматический вентрикулит дифференцируют от сопутствующего травме кровоизлияния в желудочки. Оба процесса имеют одинаковые КТ-признаки. Исключить кровоизлияние позволяет исследование ликвора, не обнаруживающее присутствия элементов крови.
Лечение вентрикулита
Консервативная терапия проводится по принципам лечения гнойного менингита. Недостаточная эффективность консервативных мер служит показанием к применению нейрохирургических методик: дренирования желудочков, промывания ликворной системы.
- Антибиотикотерапия. Применяется гентамицин, его аналоги, комбинация с ампициллином. Возможно интратекальное введение препаратов непосредственно в ликворное пространство.
- Дегидратация. Необходима для уменьшения церебрального отёка. Проводится при помощи мочегонных препаратов (фуросемида, маннитола), глюкокортикостероидов (преднизолона).
- Симптоматическая терапия. При психомоторном возбуждении показаны транквилизаторы, при судорогах — антиконвульсанты, при гиповолемии, выраженной интоксикации — осторожная инфузионная терапия.
- Наружное вентрикулярное дренирование. Осуществляется через фрезевые отверстия в черепе. Сочетается с промыванием полости желудочков антибактериальным раствором. Предпочтительна приточно-отточная дренирующая система с постоянным антибактериальным капельным промыванием желудочка.
- Промывание ликворных путей показано в резистентных к прочей терапии случаях. Производится при помощи люмбального и вентрикулярного дренажей. Для предупреждения обтурации узких участков ликворной системы хлопьями гноя процедура производится снизу вверх, подача жидкости осуществляется через люмбальный дренаж.
Прогноз и профилактика
Вентрикулит всегда имеет серьёзный прогноз. По разным источникам летальность достигает 35-50%. Своевременная диагностика, массивная антибиотикотерапия, осуществление дренирования повышают шансы на выживание. Выжившие пациенты нуждаются в длительной восстановительной терапии. Лучшей профилактикой является предупреждение травм и ранений головы, профилактика и своевременное лечение первичных интракраниальных очагов инфекции (менингита, абсцесса, энцефалита), соблюдение всех правил асептики и антисептики при выполнении нейрохирургических манипуляций, операций.
Перивентрикулярное накопление контраста (интрааксиальная патология).
Перивентрикулярное накопление контраста может быть обусловлено такими причинами, как:
- Первичная лимфома ЦНС (патологические изменения при лимфоме ЦНС, помимо перивентрикулярного накопления контраста, включают в себя солитарный или множественные очаги в головном мозге).
- Инфекционный вентрикулит или эпендиматит (чаще при цитомегаловирусе).
- Первичная глиальная опухоль (высоко дифференцированная астроцитома).
- Рассеянный склероз.
Схематично представлены 2 типа перивентрикулярного паттерна контрастирования
1 тип — утолщённый — справа. Данный тип более характерен для неопластических процессов таких, как лимфома ЦНС и высоко дифференцированная астроцитома.
2 тип — узкий (ширина менее 2 мм) — слева. Данный тип более характерен для инфекционных поражений.

Лимфома ЦНС — это заболевание, которое чаще встречается у ВИЧ-инфицированных пациентов. Изменения при лимфоме ЦНС чаще интрааксиальные, в то время как при вторичном поражении головного мозга (метастазировании) в патологический процесс вовлекаются оболочки головного мозга. Патологические изменения при лимфоме ЦНС, помимо перивентрикулярного накопления контраста, включают в себя солитарный или множественные очаги в головном мозге. Перивентрикулярный паттерн контрастирования является типичным изменением при лимфоме ЦНС, но не патогномичным так, как в большинстве случаев данного заболевания также поражаются мозолистое тело, таламус, базальных ганглии или перивентрикулярное белое вещество.
Ниже представлен коллаж снимков ВИЧ-инфицированного пациента с лимфомой ЦНС.
На аксиальном нативном КТ изображении хорошо определяются патологические изменения в перивентрикулярной области с вазогенным отеком. На постконтрастных изображениях патологические гиперденсные изменения визуализируются больше справа, чем слева. На макропрепарате определяется лимфацитарная инфильтрация вокруг фронтальных рогов. На МРТ на Т1-взвешенных изображениях у пациентов с лимфомой изменения дают от гипо- до изоинтенсивного сигнала, а на Т2 от изо- до гиперинтенсивного сигнала.

Узкий паттерн перивентрикулярного контрастирования более характерен для инфекционных поражений таких, как цитомегаловирусный эпендиматит. На ниже представленных МР Т1 постконтрастных изображениях визуализируется двухсторонний узкий (1 мм) перивентрикулярный паттерн контрастирования у пациента с цитомегаловирусной инфекцией.

Источник
Patterns of Contrast Enhancement in the Brain and Meninges
James G. Smirniotopoulos, MD, Frances M. Murphy, MD, MPH, Elizabeth J. Rushing, MD, John H. Rees, MD, and Jason W. Schroeder, LT, MC, USNR
Вентрикулит
МКБ-10 коды
Описание
Дополнительные факты
Причины
Заболевание имеет инфекционную этиологию. В период новорождённости наблюдается вследствие внутриутробного инфицирования, в структуре сепсиса новорожденных. В дальнейшем причинами инфицирования желудочков становятся:
• Открытая черепно-мозговая травма. Переломы черепа в области свода или основания, сопровождающиеся повреждением церебральных тканей в перивентрикулярной области, образованием ликворных свищей являются проводящими путями для инфекционных агентов. Попадая в вентрикулярное пространство, микроорганизмы вызывают воспаление.
• Проникающее ранение черепа. Проникающие в полость черепа огнестрельные раны, ранения холодным оружием, бытовыми предметами сопровождаются инфицированием мозговых тканей. Инфекция попадает с загрязнённого ранящего орудия или по раневому каналу.
• Абсцесс головного мозга околожелудочковой локализации. Инфицирование происходит при прорыве абсцесса с излитием его содержимого в полость желудочка или перивентрикулярное пространство. Находящиеся в гное бактерии провоцируют развитие эпендимита.
• Энцефалит. Происходящие при энцефалите диффузные инфекционно-воспалительные процессы распространяются на область желудочков. Проникновение инфекции в вентрикулярную полость вызывает вентрикулит.
• Гнойный менингит. Примыкающее к церебральным оболочкам подпаутинное пространство заполнено ликвором и наряду с желудочками входит в единую ликворную систему мозга. Гноеродные микроорганизмы способны проникать в ликворные пути, распространяться по ним в церебральные желудочки, обуславливая их воспаление с развитием менинговентрикулита.
• Нейрохирургические вмешательства. К ятрогенному инфицированию эпендимы приводит нарушение правил асептики при проведении операций в вентрикулярной области. Инфекция проникает в желудочки через недостаточно стерильный инструментарий: иглу для вентрикулярной пункции, систему наружного вентрикулярного дренирования.
В группу риска развития эпендимита входят лица с проникающими ранениями головы, открытыми ЧМТ, пациенты после нейрохирургических манипуляций в области церебральных желудочков, новорожденные, перенёсшие внутриутробную инфекцию, болеющие неонатальным сепсисом.
Вентрикулит классифицируется по этиопатогенетическому признаку в зависимости от пути проникновения инфекции. Соответственно выделяют:
• Первичный вентрикулит. Связанный с непосредственным инфицированием вентрикулярных структур. Возникает при травмах, ранениях, хирургических вмешательствах.
• Вторичный вентрикулит. Обусловленный проникновением микроорганизмов из существующего инфекционного очага. Вторичная форма развивается как осложнение менингита, церебрального абсцесса, энцефалита.
Клиническая картина
Развитие эпендимита при травмах и ранениях сопровождается резким ухудшением общего состояния пострадавшего, нарастанием температуры тела до 40 градусов. Аналогичная картина сопровождает прорыв абсцесса, имевшего до этого стабильное течение. В период сохранённого сознания пациенты жалуются на интенсивную головную боль, отмечается повторная рвота без облегчения. Характерна тяжёлая тахикардия (ЧСС больше 130 ударов), бледность или гиперемия лица, дыхательная недостаточность. Выражен менингеальный синдром.
На фоне двигательного возбуждения происходят генерализованные клонические или тонико-клонические судорожные приступы. Эпилептические пароксизмы сопровождаются нарастающим расстройством сознания. Наблюдается прогрессирующая вялость больного, заторможенность, переходящая в сонливость (сопор). Постепенно развивается кома. Истощение пациента может приводить к падению температуры до субфебрильных цифр, снижению выраженности менингеального симптомокомплекса.
Вентрикулит вследствие внутриутробной инфекции у новорожденных протекает в рамках серозного воспаления без специфической клинической картины. Выявляется только при проведении ультразвукового исследования. Эпендимит на фоне сепсиса новорожденных не имеет патогномоничных симптомов, усугубляет тяжёлое состояние ребёнка.
Ассоциированные симптомы: Боль во всей голове. Общая слабость. Головная боль. Рвота. Судороги. Судороги в ногах.
Возможные осложнения
Вентрикулит не имеет специфической симптоматики, его клиника укладывается в рамки тяжёлой ЧМТ, интракраниального кровоизлияния, гнойного менингита. Поэтому диагностика требует тщательного анализа анамнеза заболевания, проведения дополнительных исследований. Диагностический алгоритм включает:
• Сбор анамнеза. Особое внимание уделяется давности и характеру травмы, указаниям на проведённое нейрохирургическое лечение. При вторичном эпендимите важна информация о предшествовавших симптомах, наличии установленного диагноза энцефалит, абсцесс мозга.
• Неврологический осмотр. Позволяет неврологу выявить признаки интракраниальной гипертензии, менингеальные симптомы, установить степень нарушения сознания. Сопутствующий очаговый неврологический дефицит помогает определить локализацию внутримозговых повреждений, месторасположение абсцесса.
• КТ головного мозга а. Выявляет гидроцефалию, повышение плотности цереброспинальной жидкости, отёчность перивентрикулярных тканей. Обнаруженные изменения носят неспецифический характер, оцениваются в совокупности с клинической картиной, результатами анализа ликвора. Однозначно говорить о наличии вентрикулита по данным КТ можно при визуализации инородного тела в желудочке, прорыва мозгового абсцесса, посттравматического ликворного свища.
• Люмбальную пункцию ю. Выполняется с измерением ликворного давления, проведением ликвородинамических проб, направленных на выявление окклюзии ликворных путей. Исследование цереброспинальной жидкости определяет наличие гноя, микроорганизмов, воспалительных изменений, позволяет исключить кровоизлияние, установить вид возбудителя.
Посттравматический вентрикулит дифференцируют от сопутствующего травме кровоизлияния в желудочки. Оба процесса имеют одинаковые КТ-признаки. Исключить кровоизлияние позволяет исследование ликвора, не обнаруживающее присутствия элементов крови.
Лечение
Консервативная терапия проводится по принципам лечения гнойного менингита. Недостаточная эффективность консервативных мер служит показанием к применению нейрохирургических методик: дренирования желудочков, промывания ликворной системы.
Консервативное лечение:
• Антибиотикотерапия. Применяется гентамицин, его аналоги, комбинация с ампициллином. Возможно интратекальное введение препаратов непосредственно в ликворное пространство.
• Дегидратация. Необходима для уменьшения церебрального отёка. Проводится при помощи мочегонных препаратов (фуросемида, маннитола), глюкокортикостероидов (преднизолона).
• Симптоматическая терапия. При психомоторном возбуждении показаны транквилизаторы, при судорогах — антиконвульсанты, при гиповолемии, выраженной интоксикации — осторожная инфузионная терапия.
Нейрохирургическое лечение:
• Наружное вентрикулярное дренирование. Осуществляется через фрезевые отверстия в черепе. Сочетается с промыванием полости желудочков антибактериальным раствором. Предпочтительна приточно-отточная дренирующая система с постоянным антибактериальным капельным промыванием желудочка.
• Промывание ликворных путей показано в резистентных к прочей терапии случаях. Производится при помощи люмбального и вентрикулярного дренажей. Для предупреждения обтурации узких участков ликворной системы хлопьями гноя процедура производится снизу вверх, подача жидкости осуществляется через люмбальный дренаж.
Прогноз
Вентрикулит всегда имеет серьёзный прогноз. По разным источникам летальность достигает 35-50%. Своевременная диагностика, массивная антибиотикотерапия, осуществление дренирования повышают шансы на выживание. Выжившие пациенты нуждаются в длительной восстановительной терапии.
Профилактика
Лучшей профилактикой является предупреждение травм и ранений головы, профилактика и своевременное лечение первичных интракраниальных очагов инфекции (менингита, абсцесса, энцефалита), соблюдение всех правил асептики и антисептики при выполнении нейрохирургических манипуляций, операций.
Диагностика вентрикулита по КТ, МРТ
а) Терминология:
1. Синонимы:
• Эпендимит, вентрикулярный абсцесс, пиоцефалия
2. Определение:
• Инфекционное поражение желудочков, связанное с менингитом, разрывом абсцесса головного мозга или катетеризацией желудочка
б) Визуализация:
• Лучший диагностический критерий:
о Вентрикуломегалия, наличие уровня детрита, изменения эпендимы, перивентрикулярное повышение интенсивности сигнала на T2-BM/FLAIR
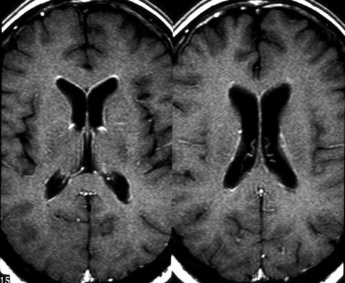
1. КТ признаки вентрикулита:
• Бесконтрастная КТ:
о Вентрикуломегалия и гравитационно-зависимый уровень детрита
о Умеренное снижение плотности по ходу стенок желудочков
• КТ с контрастированием:
о Контрастирование стенок желудочков
2. МРТ признаки вентрикулита:
• Т1-ВИ:
о Вентрикуломегалия и гиперинтенсивный детрит
о Легкое понижение интенсивности сигнала в перивентрикулярных отделах
• Т2-ВИ:
о Повышение интенсивности сигнала по ходу стенок желудочков
• FLAIR:
о Повышение интенсивности сигнала по ходу стенок желудочков
о Гиперинтенсивный детрит, осаждающийся гравитационно-зависимо
• ДВИ:
о Ограничение диффузии в осажденном детрите, низкие значения ИКД
• Постконтрастные Т1-ВИ:
о Интенсивное контрастирование эпендимы о Возможно сочетание с воспалением сосудистого сплетения в виде его увеличения и отека
о Воспалительные перегородки и дольчатость строения (при хроническом течении)

(а) На рисунке аксиального среза изображен разрыв абсцесса правой лобной доли в желудочковую систему, что явилось причиной вентрикулита. Обратите внимание на характерный уровень осажденного детрита в желудочках и воспалительные изменения по ходу стенок желудочков.
(б) MPT, FLAIR, аксиальный срез: определяется очень высокая интенсивность сигнала по ходу эпендимы желудочков в сочетании с заполняющим преддверия боковых желудочков гиперинтенсивным детритом. FLAIR и ДВИ являются наиболее чувствительными последовательностями в диагностике вентрикулита. Обратите внимание на абсцесс, локализованный в базальных ганглиях справа.
3. УЗИ признаки вентрикулита:
• Вентрикуломегалия, эхогенный детрит и эхогенная эпендима, усиление эхогенности перивентрикулярных отделов, слабая дифференциация сосудистого сплетения у младенцев
4. Рекомендации по визуализации:
• Лучший инструмент визуализации:
о Диагностическая МРТ у взрослых, УЗИ у младенцев
• Советы по протоколу исследования:
о Мультипланарная МРТ с контрастным усилением, получением ДВИ, FLAIR-изображений
в) Дифференциальная диагностика вентрикулита:
1. Первичная лимфома центральной нервной системы (ЦНС):
• Контрастирование эпендимы, обычно узлового типа
• Обычно присутствует поражение паренхимы головного мозга
2. Эпендимальное распространение опухоли:
• Первичные опухоли головного мозга: МГБ, медуллобластома, опухоли эпифиза, эпендимома, опухоли сосудистого сплетения
• Метастатическое поражение головного мозга из внечерепного первичного очага
3. Внутрижелудочковое кровоизлияние:
• Наличие травмы в анамнезе; последствия травмы
• Острое расширение желудочков обычно не наблюдается
4. Расширение вен эпендимы:
• Сосудистые мальформации: артериовенозные мальформации, венозные аномалии развития, кавернома
• Аномалии венозного дренирования (например, при синдроме Стерджа-Вебера)
г) Патофизиология:
1. Общие характеристики вентрикулита:
• Этиология:
о Осложнение менингита или абсцесса головного мозга, содержимое которого прорывается в желудочковую систему
о Осложнение нейрохирургического вмешательства, наиболее часто при катетеризации желудочковой системы
о Среди возбудителей встречаются бактерии, грибы, вирусы, паразиты:
- Частые возбудители бактериальной природы: Staphylococcus, Streptococcus, Enterobacter
2. Макроскопические и хирургические особенности:
• Уровни раздела протеин-содержащего детрита в желудочках, воспаление
3. Микроскопия:
• Эпендимальная и субэпендимальная воспалительная реакция с макрофагами и лимфоцитами

(а) МРТ, ДВИ, аксиальный срез: у пациента с пневмококковым менингитом определяются ограничение диффузии в III желудочке, а также детрит в боковых желудочках, обусловленные связанным с ними вентрикулитом. Визуализируется экссудат, локализованный в верхней мозжечковой цистерне, а также непротяженный участок субдуральной эмпиемы. Ценность ДВИ в диагностике вентрикулита невозможно переоценить.
(б) МРТ, постконтрастное Т1-ВИ, аксиальный срез: у того же пациента определяется гравитационно-зависимый уровень детрита в желудочках, наблюдается контрастирование как эпендимы, так и лептоменинкс.
д) Клиническая картина:
1. Проявления вентрикулита:
• Наиболее частые признаки/симптомы:
о Зависят от этиологии; обычно вялое течение
• Клинический профиль:
о При цитологическом и бактериологическом исследовании спинномозговой жидкости (СМЖ) может наблюдаться нормальная картина
2. Демография:
• Эпидемиология:
о Бактериальный вентрикулит может развиваться у здоровых лиц, перенесших травму или нейрохирургическое вмешательство
о Грибковый или вирусный вентрикулит наиболее часто развивается у пациентов с иммунодефицитом
о Вентрикулит развивается у 30% пациентов с менингитом; у 80-90% новорожденных/младенцев
о В редких случаях вентрикулит связан с интратекальной химиотерапией
3. Течение и прогноз:
• Уровень смертности: 40-80%
4. Лечение:
• Хирургическое промывание, дренирование и/или внутривенная антибиотикотерапия
Читайте также:
