Плазмоцитома основания черепа - лучевая диагностика
Добавил пользователь Евгений Кузнецов Обновлено: 28.11.2025
Плазмоцитома: причины появления, симптомы, диагностика и способы лечения.
Определение
Плазмоцитома – это злокачественная В-клеточная опухоль. Ее субстратом является плазматическая клетка (плазмоцит). Плазмоциты образуются из лимфоцитов группы В, их основная функция – производство защитных белковых соединений – иммуноглобулинов, в ответ на внедрение в организм патогенных микроорганизмов.
При плазмоцитоме в результате хромосомных нарушений возникают патологические В-клетки, которые дифференцируются до плазмоцитов, а те в свою очередь начинают продуцировать иммуноглобулин одного класса (моноклональный иммуноглобулин) в избыточном количестве. Структура иммуноглобулина при этом не нарушена, но синтез его или его отдельных компонентов значительно превышает физиологическую потребность организма. Дефектный иммуноглобулин не может выполнять свою защитную функцию, при этом выработка нормальных защитных антител снижается.
Плазматические клетки скапливаются в костном мозге и поражают кости скелета и ткани внутренних органов, ассоциированных с лимфоидной тканью.
Со временем патологические плазмоциты в костном мозге вытесняют нормальные кроветворные клетки, снижается количество лейкоцитов, тромбоцитов, эритроцитов.
Причины возникновения плазмоцитомы
Причины развития плазмоцитомы в настоящий момент окончательно не установлены. Предполагается роль генетических нарушений, которые могут возникать под воздействием провоцирующих факторов (хронических вирусных инфекций, пребывания в зоне радиоактивного облучения, длительного воздействия токсических веществ, приема препаратов, угнетающих иммунитет).
При внутрикостном развитии опухолевого процесса разрушается кортикальный слой кости и плазмоцитома выходит за пределы костной пластинки, прорастая в окружающие ткани или спинномозговой канал. При гематогенном пути распространения плазматических клеток формируется изолированная экстрамедуллярная плазмоцитома в органах и тканях, никак анатомически не связанных с костью.
Причиной экстрамедуллярного распространения опухолевых клеток могут оказаться инвазивные процедуры и хирургические вмешательства (например, лапаротомия).
Классификация заболевания
Плазмоцитома может иметь один патологический очаг или генерализованное течение (в патологический процесс вовлечены разные органы и системы организма, что наблюдается у пациентов старшей возрастной группы).
Плазмоцитомы подразделяются на солитарную плазмоцитому (затронуты, как правило, кости скелета (ребра, позвоночник, череп, кости таза)) и экстрамедуллярную плазмоцитому (патологический процесс может быть обнаружен в любых органах и тканях, но самая частая локализация – горло, печень, кожа, лимфоузлы, легкие, плевра, почки, поджелудочная железа).
Кроме того, выделяют солитарную плазмоцитому без присутствия клональных плазматических клеток в костном мозге, и солитарную плазмоцитому с низким уровнем вовлечения костного мозга.
Кроме того, плазмоцитома может быть одним из проявлений множественной миеломы.
Симптомы плазмоцитомы
Симптомокомплекс заболевания зависит от локализации очага и степени распространенности патологического процесса.
О повреждениях костной ткани свидетельствуют такие симптомы, как боли в костях (более чем у 70% пациентов в дебюте заболевания), переломы костей скелета, компрессия спинного мозга, радикулярные (корешковые) боли. Наиболее часто боль локализуется в спине и ребрах, реже – в конечностях.
Для солитарной плазмоцитомы костей характерно повышение уровня кальция в крови, что сопровождается тошнотой, рвотой, слабостью, запорами, повышенной жаждой.
Некоторые пациенты не испытывают никаких симптомов, и опухолевые процесс выявляется случайно – при проведении диагностических мероприятий по иным заболеваниям.
Наиболее частыми симптомами экстрамедуллярной плазмоцитомы с поражением верхних отделов дыхательных путей являются заложенность носа, носовые кровотечения, осиплость голоса, снижение/потеря слуха. Экстрамедуллярная плазмоцитома кишечника характеризуется присутствием абдоминальной боли (боли в животе), непроходимостью кишечника, тошнотой, рвотой, вздутием живота и запорами. Может присутствовать синдром мальабсорбции (нарушения всасывания в кишечнике), вызывающий потерю веса. Для экстрамедуллярной плазмоцитомы желудка характерно желудочное кровотечение.
Генерализованная плазмацитома (множественная миелома) может сопровождаться не только поражением костной ткани, но и почек, когда в почечных канальцах откладывается патологический белок в виде цилиндров – цилиндровая нефропатия. Почечная недостаточность проявляется тошнотой, рвотой, недомоганием и слабостью. Накопление аномальных клеток в костном мозге нарушает нормальное кроветворение, что приводит к анемии (из-за подавления роста эритроцитов), геморрагическому синдрому (кровоизлияниям) из-за нехватки тромбоцитов.

Диагностика плазмоцитомы
Постановка диагноза «солитарная плазмоцитома» требует очень тщательной оценки для исключения генерализации процесса (множественной миеломы).
Из лабораторных обследований при подозрении на плазмоцитому назначают:
- общий (клинический) анализ крови;
Синонимы: Общий анализ крови, ОАК. Full blood count, FBC, Complete blood count (CBC) with differential white blood cell count (CBC with diff), Hemogram. Краткое описание исследования Клинический анализ крови: общий.
Плазмоцитома основания черепа - лучевая диагностика
а) Терминология:
• Синонимы: солитарная плазмоцитома кости, экстрамедуллярная плазмоцитома
• Определение: изолированное интрамедуллярное или экстрамедуллярное новообразование, развивающееся из плазматических клеток, не сопровождающееся клиническими или рентгенологическими признаками миеломной болезни
б) Визуализация:
• КТ:
о Солитарная плазмоцитома кости: солитарное внутрикостное литическое объемное образование с несклерозированными краями
о Экстрамедуллярная плазмоцитома: объемное образование полости носа и придаточных пазух, сопровождающееся вторичной инвазией в кости основания черепа
• МРТ:
о Равномерно контрастируемое внутрикостное/внекостное объемное образование основания черепа
о Метод более чувствителен при поражений костномозгового канала и исключении ранних/мелких новообразований
• Деструкция трабекул и кортикального слоя лучше всего определяется при КТ в костном окне
• MPT-наиболее информативный метод оценки распространенности поражения костного мозга и границ внекостной опухоли
(Слева) При МРТ Т1ВИ в сагиттальной проекции у мужчины 61 года визуализируется крупное солитарное объемное образование, распространяющееся на скат затылочной кости, облитерирующее клиновидную пазуху и прорастающее сзади в полость носа и носоглотку. Плазмоцитома слегка гиперинтенсивна по сравнению с паренхимой головного мозга.
(Справа) При МРТ Т1ВИ с КУ в сагиттальной проекции определяется неоднородное контрастирование новообразования, признаки некроза отсутствуют. Сзади от опухоли отмечается утолщение твердой мозговой оболочки, проросшая в эпидуральное пространство опухоль начинает сдавливать продолговатый мозг. (Слева) При корональной КТ в костном окне у женщины 45 лет с жалобами на боли в области придаточных пазух носа определяется распространенное объемное образование, центр которого локализуется в левой половине клиновидной кости. Новообразование простирается медиально в клиновидную пазуху и вызывает эрозию медиальной стенки средней черепной ямки. Края опухоли относительно четкие, и в некоторых участках в виде яичной скорлупы определяется сохранившийся тонкий кортикальный слой кости.
(Справа) При корональной МРТ Т1ВИ с КУ наблюдается равномерное контрастирование этой плазмоцитомы основания черепа.
в) Дифференциальная диагностика:
• Миеломная болезнь (множественная миелома)
• Метастазы в основании черепа
• Инвазивная макроаденома гипофиза
• Хордома
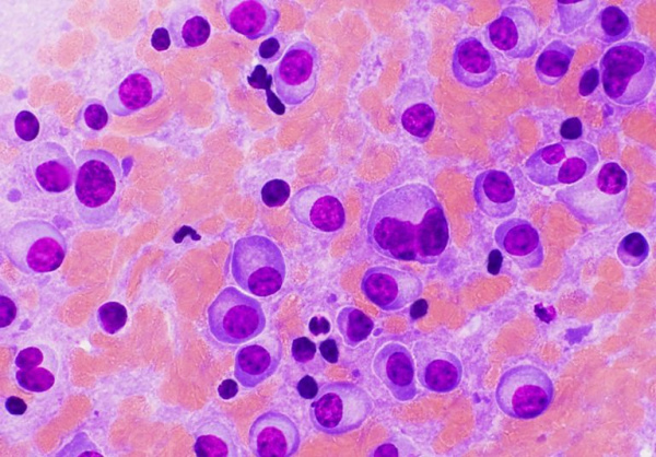
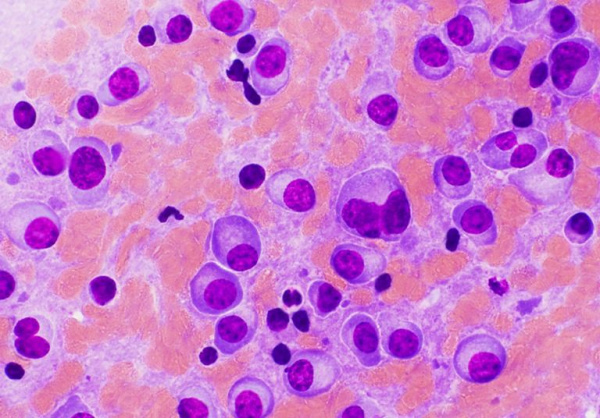
г) Патология:
• Моноклональная пролиферация секретирующих иммуноглобулин плазматических клеток
д) Клинические особенности:
• Симптомы: локальные боли, головная боль, поражение ЧН
• М >Ж на 5-9 десятке лет жизни
• Солитарная плазмоцитома кости чаще прогрессирует в миеломную болезнь по сравнению с экстрамедуллярной плазмоцитомой
• При выявлении плазмоцитомы основания черепа необходимо проведение полного клинического и лучевого обследования на предмет множественной миеломы
Плазмоцитома
Плазмоцитома – это злокачественная опухоль из плазматических клеток, которая поражает кости и внутренние органы. Заболевание может протекать в солитарной форме при наличии только одного патологического очага либо в генерализованном варианте, когда в процесс вовлекаются разные системы организма. Плазмоцитома отличается многообразием и неспецифичностью клинической симптоматики, которая зависит от вида и локализации опухоли. Диагностика заболевания включает рентгенографию и КТ, исследование биоптатов костного мозга, клинический и биохимический анализы крови. Для лечения используется лучевая терапия, полихимиотерапия, комплексная реабилитация.
МКБ-10



Общие сведения
В клинической онкогематологии плазмоцитома относится к парапротеинемическим лейкозам. Она встречается с частотой около 3 случаев на 100 тыс. населения, однако распространенность болезни резко увеличивается с возрастом ‒ до 37 случаев на 100 тыс. пожилых людей. Средний возраст пациентов при диагностике опухоли составляет 55-74 года. Среди всех больных мужчины составляют 61%. Более подвержены заболеванию лица негроидной расы. Среди опухолевых процессов кроветворной системы на долю всех типов плазмоцитомы приходится 10-14%.

Причины плазмоцитомы
Этиологическая структура плазмоклеточных опухолей точно не установлена. Важная роль в развитии заболевания отводится продолжительной антигенной стимуляции иммунных клеток на фоне хронических инфекций, аутоиммунных заболеваний, воздействия экзогенных токсинов и радиации. Доказана генетическая предрасположенность к возникновению парапротеинемических опухолей. Риск развития болезни повышается у людей с хромосомными аберрациями.
Основным немодифицируемым фактором риска плазмоцитомы признан возраст. Единичные (солитарные) опухоли более характерны для пациентов предпенсионного возраста 55-60 лет, около 30% случаев болезни развиваются среди людей младше 50 лет. Генерализованная форма болезни имеет возрастную медиану около 70 лет, только у 35% людей она выявляется до 65-летнего возраста. К модифицируемым предрасполагающим факторам относят профессиональные вредности, проживание в регионах с неблагоприятной экологической ситуацией.
Патогенез
Парапротеинемические гемобластозы, к которым относится плазмоцитома, представляют собой опухоли из единого клона В-лимфоцитов. Под действием провоцирующих факторов происходит злокачественная трансформация первичной клетки, из которой образуется линия с аналогичными мутациями и способностью к неограниченному делению. Новообразование секретирует определенный вид иммуноглобулинов, наличие которых является основой для постановки диагноза.
Патоморфологически мутантные В-лимфоциты характеризуются выраженным полиморфизмом и атипией, наличием клеточных ядер аномальной формы, крупными ядрышками. Характерным признаком считается «пламенеющая» цитоплазма с множественными включениями. Цитологические отличия плазматических клеток более выражены при малодифференцированных вариантах опухоли.

Классификация
Существует несколько вариантов систематизации новообразований. По степени зрелости мутантных клеток бывают высоко- и низкодифференцированные плазмоцитомы. По иммуногистохимическим особенностям выделяют А-миелому, D-миелому, G-миелому. Наиболее важна классификация по клинико-морфологическим признакам, согласно которой выделяют две разновидности плазмоцитомы:
- Солитарная. Составляет до 5% всех опухолевых образований, характеризуется наличием локальной пролиферации клональных плазматических клеток. Признана прогностически благоприятным вариантом заболевания.
- Генерализованная (множественная миелома). Характеризуется неконтролируемой пролиферацией В-лимфоцитов в разных органах и тканях тела, развивается на фоне хромосомных нарушений и патологии стромального окружения. Распространенная форма, которая составляет до 1% среди всех злокачественных новообразований.
Единичные парапротеинемические опухоли дополнительно делятся на две подгруппы: солитарная плазмоцитома кости (СПК) и экстрамедуллярная плазмоцитома (ЭМП). СПК встречается в 2-5 раз чаще, чем ЭМП. В основном поражаются кости позвоночника (42-61%), таза (15%), ребер (12%). Среди экстрамедуллярных новообразований до 85% расположено в зоне головы и шеи, также возможно вовлечение в процесс легких, органов ЖКТ, урогенитального тракта.
Симптомы плазмоцитомы
Клинические проявления солитарного новообразования определяются расположением опухолевого очага. При поражении костной ткани на первый план выходит локализованный болевой синдром, который беспокоит пациента постоянно, не имеет четкой связи с физической нагрузкой или сменой положения тела. При сдавлении близлежащих нервных структур развиваются нейропатии и радикулопатии, для которых характерны стреляющие боли, нарушения чувствительности.
Ведущими симптомами при ЭМП считаются признаки поражения ЛОР-органов, что связано с типичной локализацией опухоли. Пациенты жалуются на заложенность носа, которая не купируется сосудосуживающими каплями, периодические носовые кровотечения, образование сухих корок в назальной полости. Реже встречается осиплость голоса, затруднения глотания, снижение слуха и боль в ухе.
ЭМП в нижних дыхательных путях манифестирует эпизодами одышки на фоне бронхообструкции, длительным кашлем, тяжестью и болями в грудной клетке. При расположении экстрамедуллярной плазмоцитомы в брюшной полости возникают неспецифические боли в животе, хронические запоры, тошнота и рвота. Парапротеинемическая опухоль урогенитального тракта проявляется расстройствами мочеиспускания, появлением крови в моче, болями в области поясницы.
Множественная миелома в 10-20% случаев протекает бессимптомно, манифестные варианты заболевания характеризуются разнообразными сочетаниями вышеописанных признаков. Чаще всего появляются боли в позвоночнике, грудине и ребрах, которые сопровождаются патологическими переломами и остеопорозом. Пациентов беспокоят диспепсические и дизурические расстройства, мелкие кровоизлияния в кожу, желудочные, носовые и легочные кровотечения.
Осложнения
У 60% больных с множественной миеломой обнаруживается средняя или тяжелая степень анемии, которая сопровождается гемической гипоксией. В 50-90% случаев присоединяется почечная патология, которая является одной из основных причин сокращения продолжительности жизни пациентов. На фоне приобретенной иммунной недостаточности развиваются рецидивирующие и генерализованные инфекции органов дыхания, мочевыводящих путей.
При плазмоцитоме наблюдается гиперпродукция моноклональных иммуноглобулинов, которая вызывает амилоидоз внутренних органов. Экстрамедуллярная опухоль может стать причиной механической желтухи, перфорации кишечника, межпетлевой фистулы. При появлении опухолевых масс в области шеи происходит компрессия дыхательных путей, которая в ряде случаев вызывает асфиксию и требует неотложной медицинской помощи.
Диагностика
Обследование пациента проводится врачом-онкогематологом. Диагностические мероприятия начинаются со сбора жалоб, выяснения условий появления симптоматики, физикального осмотра с пальпацией болезненных участков тела. Выявление парапротеинозов требует всестороннего обследования здоровья, которое включает следующие лабораторно-инструментальные методы:
- Рентгенодиагностика. При костных болях назначается рентгенография грудной клетки, позвоночника и конечностей, с помощью которой определяются объемные новообразования. Для точной визуализации опухолей и определения степени распространенности процесса проводится КТ пораженной области тела. Методика ПЭТ-КТ показана для диагностики генерализованной плазмоцитомы.
- Биопсия костного мозга. При солитарной форме обнаруживается нормальная цитологическая картина. При множественной миеломе в результатах исследования выявляется более 10% плазматических опухолевых клеток. При солитарных новообразованиях целесообразно проведение биопсии опухолевой ткани для гистологической диагностики.
- Анализы крови. При плазмоцитоме обнаруживается снижение уровня гемоглобина менее 100 г/л, повышение СОЭ, слипание эритроцитов в виде «монетных столбиков». Реже встречается лейкопения и тромбоцитопения. У 20-40% больных определяется гиперкальциемия.
- Иммунологическая диагностика. Патогномоничным признаком болезни является сывороточный моноклональный М-белок (парапротеин). Для уточнения диагноза проводится определения типа и класса иммуноглобулинов в сыворотке крови и образцах мочи. Для выяснения степени зрелости плазмоцитомы назначаются иммуногистохимические исследования опухолевых биоптатов.

Дифференциальная диагностика
При постановке диагноза «солитарная плазмоцитома» необходимо проводить тщательную оценку инструментальных данных, поскольку нередко при дифференциальной диагностике выявляется множественная миелома. В процессе обследования нужно исключить:
- саркому Юинга;
- моноклональные доброкачественные гаммапатии;
- макроглобулинемию Вальденстрема;
- гиперпаратиреоз;
- остеохондроз;
- хронический гломерулонефрит.
Лечение плазмоцитомы
Консервативная терапия
Злокачественные плазмоцитарные клетки имеют высокую чувствительность к радиации, поэтому при солитарных новообразованиях методом выбора является локальная лучевая терапия. Она способствует стабилизации или регрессу плазмоцитомы у 80% пациентов. Рентгенологическими маркерами эффективности лечения считаются склероз и реминерализация пораженной костной ткани. Курсовая лучевая терапия проводится всем пациентам с множественной миеломой.
Эффективным направлением лечения плазмоцитомы является полихимиотерапия, которая показывает наилучшие результаты у пациентов младше 65 лет без тяжелых сопутствующих заболеваний. Лечение направлено на максимально возможную редукцию клона опухолевых клеток. Для химиотерапии плазмоцитарной опухоли могут назначаться 5 классов лекарственных средств:
- алкилирующие агенты;
- глюкокортикостероиды;
- ингибиторы протеосомы;
- иммуномодулирующие препараты;
- антрациклины.
Хирургическое лечение
Оперативное вмешательство рассматривается как метод выбора при солитарной плазмоцитоме, которая находится в доступном для удаления месте. Иссечение основного объема опухолевых клеток улучшает функцию пораженного органа или кости, повышает эффективность радиотерапии. При патологических переломах требуется помощь травматолога-ортопеда для репозиции костных отломков, проведения оптимального метода остеосинтеза.
Паллиативная помощь
Несмотря на усовершенствование методов лечения, средняя выживаемость при генерализованной плазмоцитоме составляет около 3 лет. Пациентам в терминальной стадии заболевания показано паллиативное лечение, которое включает адекватные дозы наркотических анальгетиков и других обезболивающих препаратов, профилактику и лечение инфекционных осложнений, дистантную лучевую терапию. Больным необходим уход в рамках специализированных стационаров.
Реабилитация
Всем пациентам с плазмоцитомой требуется диспансерное наблюдение у онкогематолога на протяжении жизни. Для улучшения качества жизни подбирается программа комплексной реабилитации, которая включает симптоматическое лечение, контроль свертывающей способности крови, применение ортезов для улучшения функции опорно-двигательного аппарата. Большое внимание уделяется психосоциальной реабилитации.
Прогноз и профилактика
Результативность лечения и ожидаемая продолжительность жизни зависит от формы и степени тяжести парапротеиноза. Генерализованная плазмоцитома считается прогностически неблагоприятным заболеванием, особенно в сочетании с выраженной миелодепрессией, быстрым ростом опухолей, стремительным нарастанием уровня сывороточного парапротеина. Учитывая неясную этиологию, эффективные меры профилактики не разработаны.
1. Солитарная (экстрамедуллярная) плазмоцитома. Клинические рекомендации/ Н.А. Фалалеева, А.Ю. Терехова, В.В. Птушкин, Е.А. Османов// Клиническая онкология. – 2020. – №1.
2. Цитологические особенности плазмоцитомы и дифференциальные признаки опухоли Юинга, неходжкинских лимфом и железистого рака/ Л.С. Болгова, О.И. Алексеенко, Т.Н. Туганова, Т.М. Ярощук// Клиническая онкология. – 2019. – №1.
КТ, МРТ при миеломной болезни основания черепа
а) Определение:
• Миеломная болезнь (МБ) - злокачественное новообразование костного мозга из моноклональных плазматических клеток
б) Визуализация:
1. Рекомендации по визуализации:
• Лучший метод визуализации:
о КТ-оптимальный метод выявления литических новообразований костей основания и свода черепа
о МРТ наиболее информативно при диагностике замещающих костный мозг новообразований и оценке изменений внекостных мягких тканей
• Рекомендации по протоколу исследования:
о Протокол МРТ основания черепа должен включать в себя мультипланарную Т1ВИ с последующим выполнением Т1ВИ с КУ и подавлением сигнала от жира в тех же плоскостях для непосредственного сравнения результатов
2. Рентгенография при миеломной болезни основания черепа:
• Ограниченные возможности при исследовании основания черепа
• Классическая картина поражений свода черепа в виде «пробойника»

(Слева) При аксиальной КТ в костном окне определяются почти симметричные двусторонние литические очаги затылочной кости при множественной миеломе. Из-за симметрии эти изменения могут быть менее заметны, но отмечается исчезновение наружного кортикального слоя, в норме отображающеюся в виде белой линии. Обратите внимание на эрозию кости правого канала сонной артерии.
(Справа) При МРТ Т1 в сагиттальной проекции определяются множественные низкоинтенсивные очаги множественной миеломы. Этот режим (без FS) относительно чувствителен к злокачественным процессам кости, особенно при контрастировании всею черепа и/или при записи постконтрастных снимков.
3. КТ при миеломной болезни основания черепа:
• КТ в костном окне:
о Множественные внутрикостные литические образования с несклерозированными краями
4. МРТ при миеломной болезни основания черепа:
• Т1 ВИ:
о Гомогенное изоинтенсивное по сравнению с серым веществом головного мозга
• Т2 ВИ:
о Гомогенное, как правило, изоинтенсивное по сравнению с серым веществом головного мозга
• Диффузно-взвешенная МРТ:
о Метод чувствителен к злокачественным процессам в костном мозге
• Т1 ВИ с КУ и подавлением сигнала от жира:
о Умеренное равномерное контрастирование ± распространение опухоли в мягкие ткани
5. Сцинтиграфия:
• Сцинтиграфия кости:
о Захват Тс-99m пертехнетата незначителен или отсутствует вовсе (холодный очаг)
• Позитронно-эмиссионная томография:
о Позволяет с высокими чувствительностью и специфичностью диагностировать поражения костного мозга и экстрамедуллярные образования
о Накопление фтордезоксиглюкозы указывает на активность заболевания используется для оценки эффективности терапии
• ПЭТ/КТ:
о При диагностике фокальных поражений при МБ чувствительность и специфичность составляет 90%
• 99m-Тс-метокси-изобутил-изонитрил (Tc-99m MIBI):
о Радиофармпрепарат накапливается плазматическими клетками, инфильтрирующими костный мозг
о При диагностике поражений костного мозга и экстрамедуллярных новообразований чувствительность и специфичность превышают 90%

(Слева) При МРТ Т1FS c КУ в аксиальной проекции у пациента с парезом правого лицевого нерва определяется равномерно контрастируемая опухоль, состоящая из костного и внекостного компонентов, вызывающая деструкцию сосцевидного отростка правой височной кости и облитерирующая шилососцевидное отверстие. МРТ T1 FS с КУ, как правило, является наиболее чувствительной методикой диагностики поражения костного мозга.
(Справа) При корональной МРТ Т1FS с КУ определяется контрастное основное объемное образование ската затылочной кости и более мелкие миеломатозные новообразования свода черепа и правой нижневисочной ямки.
в) Дифференциальная диагностика миеломной болезни основания черепа:
1. Метастазы в основании черепа:
• Часто выявляются на поздней стадии заболевания диагностированной ранее первичной экстракраниальной опухоли
2. Неходжкинская лимфома:
• Лимфопролиферативное новообразование, сопровождающееся фокальным или мультифокальным костным или внекостным поражением основания черепа
3. Хордома:
• Солитарное экспансивное объемное образование ската затылочной кости, гиперинтенсивное при МРТ Т2
4. Хондросаркома:
• Солитарное экспансивное деструктивное парамедианное или срединное образование основания черепа, как правило, характеризуемое выраженной гиперинтенсивностью при МРТ Т2
5. Инвазивная макроаденома гипофиза:
• Доброкачественное новообразование, прорастающее вниз в скат затылочной кости
г) Клинические особенности:
1. Проявления:
• Типичные признаки/симптомы:
о Боли в зоне поражения
о Нейропатия ЧН в зависимости от локализации новообразования
о Диплопия, компрессионная нейрооптикопатия
2. Демография:
• Возраст:
о Обычно> 40 лет (средний возраст: 62 года)
• Пол: М >Ж (70% и 30% соответственно)
• Эпидемиология:
о Заболевание связано с воздействием ионизирующего излучения и сельскохозяйственных химикатов (пестицидов)
3. Лечение:
• Основой терапии является пероральный прием мелфалана и преднизона:
о Более новые схемы лечения включают в себя применение талидомида, бортезомиба, леналидомида
• Трансплантация аутологичных стволовых клеток повышает выживаемость
д) Диагностическая памятка:
1. Советы по интерпретации изображений:
• Для исследования обычно плохо визуализируемых зон основания черепа и лица используйте МРТ Т1 FS с КУ:
о Верхушка пирамиды височной кости, мыщелки нижней челюсти и затылочной кости, большое крыло клиновидной кости
2. Рекомендации по отчетности:
• Бывает трудно дифференцировать МБ от метастазов
• При выявлении изменений основания и свода черепа рекомендуйте исследование всего организма с целью выявления других новообразований
Читайте также:
- Пример гипотонического криза. Артериальная дистония
- Переезд пешеходов грузовиками. Механизмы травм при переезде пешехода
- Рыхлая соединительная ткань при лучевой болезни. Дистрофия соединительной ткани под воздействием радиации
- Пернициозная анемия. Образование гемоглобина
- Онкогенные РНК-геномные вирусы. Онкогенные ретровирусы. Свойства онкогенных рнк-вирусов.
