Доброкачественные опухоли печени
Добавил пользователь Евгений Кузнецов Обновлено: 12.12.2025
В большинстве своем доброкачественные опухоли — клинически малосимптомные или бессимптомные новообразования печени, исходящие либо из эпителиальной ткани (гепатоцеллюлярная аденома и др.), либо из стромальных и сосудистых элементов.
Классификация доброкачественных опухолей печени
К доброкачественным опухолям печени относятся гемангиомы, лимфангиомы, фибромы, липомы и смешанные опухоли — гамартомы (тератомы). Логично отнести к доброкачественным новообразованиям печени также и непаразитарные кисты. Среди них выделяют истинные кисты (дермоидные, ретенционные цистаденомы) и поликистоз печени (более чем у половины больных он сочетается с кистозными изменениями других органов- почек, поджелудочной железы, яичников). Нередко наблюдаются также ложные кисты (травматические, воспалительные). Истинные кисты, как правило, одиночные; ложные могут быть как одиночными, так и множественными. Объем множественных кист обычно составляет несколько миллилитров, в то время как объем солитарных (истинных и ложных) кист может достигать 1000 мл и более.
Диагностика доброкачественных образований печени
Общими являются два важных признака: 1) отсутствие повышения концентраций альфа-фетопротеина, карциноэмбрионального антигена СА — 199 сыворотки крови; 2) отсутствие отчетливого повышения активности аспарагиновой и аланиновой аминотрансфераз (АсАТ и АлАТ), щелочной фосфатазы (ЩФ), гамма- глутамилтрансферазы (ГГТФ) и лактатдегидрогеназы (ЛДГ).
Эти признаки надежны только в случаях отсутствия хронических или острых диффузных заболеваний печени, которые сами по себе могут вызывать изменения вышеприведенных тестов. Существенную помощь оказывает использование УЗИ и КТ (или ЯМР) с болюсным контрастированием, обладающие высокой разрешающей способностью.

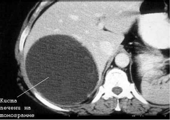
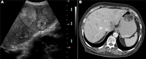
Киста печени
Чаще встречаются непаразитарные кисты. Учитывается возможность поликистозной болезни, а также солитарных и множественных истинных и ложных кист печени.
Большинство кист небольшие (диаметром 1-5 см), чаще встречаются у женщин. Значительная часть их имеет бессимптомное течение. У ряда больных отмечаются боли в правом подреберье, у одних — постоянные, у других — периодические. Существенную помощь оказывает использование УЗИ и КТ (или ЯМР), обладающие высокой разрешающей способностью. Необходимо учитывать возможность поликистоза печени.
Дифференциальная диагностика простых кист проводится также с паразитарными кистами печени (эхинококкоз). В пользу последних говорят положительные реакции с эхинококковым антигеном и Кацони, а также обнаружение в зоне опухолевидного образования обызвествлений, хотя и гемангиомы изредка могут обызвествляться.

Лечение кисты печени
Часть непарзитарных кист печени также подлежит оперативному лечению в связи с реальной возможностью их разрыва, инфицирования и кровоизлияния в просвет кисты. Кроме того, быстро растущие крупные кисты приводят к нарушению функций печени вследствие атрофии и замещения печеночной паренхимы кистозным образованием. Среди операций наиболее часто используют резекцию печени, перицистэктомию и вылущивание кисты.
В последние годы широкое распространение получили транспариетальные пункции кист под контролем УЗИ или КТ. После аспирации содержимого в просвет кисты вводят 96*раствор этилового спирта для склерозирования внутренней оболочки кисты. Эта операция эффектина приразмере кисты до 5 см. Если нет эффекта от данных способов лечения или киста имеет больший размер, показана операция — лапароскопическое иссечение участка кисты с последующей деэпителизацией внутренней оболочки кисты аргонусиленной плазмой или расфокусированным лучом лазера. Аналогичная тактика используется и при поликистозе печени. При осложненном поликистозе печени (нагноение, кровотечение, озлокачествление, сдавление крупными кистами желчных путей, воротной или полой вены) показано оперативное лечение. Обычно выполняют фенестрацию (вскрытие выступающих над поверхностью печени кист) с последующей деэпителизацией внутренней оболочки кисты.
Гепатоцеллюлярная аденома
Клинически это малосимптомная доброкачественная опухоль печени, имеющая признаки аденомы, развивающейся из гепатоцитов, нередко отграничена капсулой. Чаще поражает женщин, обычно в связи с длительным приемом эстрогенпрогестативных противозачаточных средств. Реже возникает при длительном приеме анаболических стероидов. Аденома развивается достаточно редко: у 3-4 человек на 100 000 длительно пользующихся контрацептивами.
Как правило (90%), она бывает одиночной. Обнаруживается чаще в правой доле, субкапсулярно. Если располагается в передненижних отделах, то пальпируется в виде гладкого неплотного образования. Более «агрессивным» течением отличаются аденомы, развившиеся на фоне приема анаболических стероидов. Изредка наблюдаются осложнения в виде интраперитонеальных кровотечений. Очень редко аденома перерождается в злокачественную опухоль.
Очаговая (фокальная) узелковая гиперплазия
Клинически это малосимптомная доброкачественная опухоль, не имеющая капсулы. Центральная часть опухоли предсталена рубцовой соединительной тканью, а периферическая — узелково трансформированной гепатоцеллюлярной тканью. Чаще расположена субкапсулярно. Нередко в опухоли наблюдаются очаги некроза и кровоизлияний. Как правило, развивается не в цирротически измененной печени, поэтому иногда именуется «фокальным циррозом». Обычно бывает одиночной. Это редкое доброкачественное новообразование печени, наблюдается преимущественно у женщин, принимающих пероральные противозачаточные средства.
Узелковая регенераторная гиперплазия
Эта опухоль напоминает очаговую узелковую гиперплазию печени, а иногда и сочетается с ней. В отличие от последней существенно меньше представлены элементы соединительной ткани. Может рассматриваться как предстадия гепатоцеллюлярной карциномы. Иногда при росте клеточных элементов этой опухоли происходит сдавление крупных желчных протоков или крупных ветвей воротной вены. Как правило, выявляется не в цирротически измененной печени. Иногда развивается на фоне злокачественных заболеваний внепеченочной локализации (миелопролиферативные процессы, саркомы и др.).
Все эти виды доброкачественных опухолей печени- малосимптомные заболевания, в большинстве случаев их обнаружение можно отнести к случайным находкам. Печень у большинства таких больных не увеличена.
Радионуклидная сцинтиграфия обычно выявляет очаговый процесс размером 3-5 см. Если опухоль расположена в краевых зонах печени, то могут выявлятся образования и меньших размеров.
Близкие к этим данным бывают получены при УЗИ и КТ, а также с помощью селективной ангиографии и ядерно-магнитного резонанса (ЯМР). Поэтому значительная часть опухолей небольших размеров просматривается. Уточнить характер этих трех видов опухолей позволяют лишь морфологические методы. Материал для этих исследований обычно получают при помощи пункционной биопсии иглами Шиба под контролем УЗИ или КТ.


Больные гепатоциллюлярной аденомой, очаговой (фокальной) узелковой гиперплазией и узелковой регенератоной гиперплазией печени в лекарственном лечении не нуждаются. Хирургическое лечение применяется нечасто. Показанием к нему являются либо сдавление желчных путей или кровеносных сосудов, либо появление болей. Операция проводится при развитии любого осложнения и быстром росте опухоли.
При впервые обнаруженной опухоли обследования проводятся 3-6-9-12 месяцев и далее 1 раз в год. Кроме обычного осмотра с определением размеров печени по Курлову, выполняются исследования содержания билирубина, активности аминотрансфераз, ЩФ, ГГТФ, альфа-фетопротеина, карциноэмбрионального антигена и антигена СА 19-9. Проводится также УЗИ печени.
Гемангиома
Клинически это малосимптомная доброкачественная опухоль, происходящая из сосудистых, главным образом венозных элементов печени. Она представлена двумя вариантами: кавернома, представляющая собой как бы расширенные кровеносные сосуды, и истинная гемангиома, развивающаяся из сосудистой эмбриональной ткани. Располагается чаще субкапсулярно, в правой доле, нередко обладает ножкой. Часто покрыта фиброзной капсулой, которая может кальцинироваться.

Спонтанные разрывы очень редки, но жизнеопасны. Четкие клинические проявления наблюдаются лишь в 5-10% опухолей. Как правило, в этих случаях диаметр опухоли превышает 5 см.
Во многих случаях обнаружение гемангиомы, как и других ДОП, относится к случайным находкам. При больших размерах и соответствующей локализации иногда появляются симптомы сдавления желчевыводящих путей или, реже, симптомы портальной гипертензии. Иногда больной обращается к врачу в связи с болями в верхней половине живота.
Важную информацию дают инструментальные исследования. Радионуклидная сцинтиграфия печени выполняется, как обычно, при подозрении на объемный процесс в печени в двух проекциях. Благодаря этому методу, как правило, можно обнаружить опухоль диаметром 4-5 см. При гемангиомах диаметром 4-5 см и более опухоль выявляется у 70-80% обследованных. УЗИ при наличии гемангиомы позволяет выявить гиперэхогенное, хорошо очерченное образование. Подобную же информацию представляет ЯМР. Нередко, особенно в менее массивной левой доле, отчетливо видна сосудистая ножка. Гемангиомы диаметром 3-5 см и более выявляются при УЗИ у 70-80% обследованных. Иногда отмечаются в гемангиомах участки обызвествления.
КТ позволяет получить данные, близкие к результатам УЗИ, хотя нередко приносит и существенную дополнительную диагностическую информацию. Эта дополнительная информация в первую очередь касается состояния окружающих ткаей и органов. Целиакография при распознавании гемангиом позволяет получить наиболее точные данные. Обычно хорошо видны гиперваскуляризованные участки с четкими границами, позволяющие обнаружить гемангиому диаметром 2-3 см и более у 80-85% обследованных.
Непрямая радионуклидная ангиография, выполняемая с помощью гамма-камеры, приносит близкие, но менее точные по сравнению с целиакографией, результаты. Существенную информацию приносит нередко ЯМР.
При постановке диагноза — гемангиома исключаются злокачественные опухоли печени. В последние годы объектом дифференциальной диагностики все чаще становится своеобразная очаговая жировая дистрофия печени, особенно в тех случаях, когда на фоне очаговой жировой дистрофии встречаются округлые участки интактной печени. Эти участки имеют разную с жировой дистрофией плотность, и эта разница достаточно четко регистрируется при УЗИ и КТ. Эти псевдоопухолевые образования обычно не видны при радионуклидной сцинтиграфии печени. Однако этот дифференциально-диагностический признак не очень надежен. Решающую роль в выявлении очаговых жировых дистрофий играет прицельная биопсия печени.
Лечение гемангиом печени. При гемангиомах небольших размеров без тенденции к росту в медикаментозном и хирургическом лечении пациенты, как правило, не нуждаются. При крупных опухолях, сдавливающих желчные ходы или сосуды, появляются показания к резекции соответствующих сегментов печени. Чаще это правило касается гемангиом диаметром более 5 см.
Лимфангиомы печени встречаются крайне редко, по клинической картине они трудноотличимы от гемангиом. Подозрение на лимфангиому возникает лишь при наличии внепеченочного расположения опухоли в средостении и на шее.
Крайне редко встречаются ф и б р о м ы, м и к с о м ы, л и п о м ы, н е в р и н о м ы печени, которым присущи черты доброкачественных опухолей: медленное развитие, четкие границы, нормальная СОЭ. Отсутствие маркеров опухолей и повышения активности таких ферментов сыворотки крови, как АсАТ, АлАТ, ЩФ, ГГТП, ЛДГ.
Лечебная тактика аналогична таковой при гемангиомах.
Методы вторичной профилактики и система наблюдения в основном такие же, как и при описанных выше доброкачественных опухолях
Гепатоцеллюлярная карцинома
Это злокачественная опухоль, развивающаяся из гепатоцитов. Относится к первичным карциномам печени. У 60-80% больных она связана с персистированием вирусов гепатита В и С, у 70-85% больных в развитых странах развивается на фоне цирроза печени.
В основном предложены морфологические классификации ГЦК. Наиболее распространено деление ГЦК на узловую, массивную и диффузную формы. Используется также система TNM.
Лечение гепатоцеллюлярной карциномы
Во всех случаях, когда это возможно, производится хирургическое лечение опухолей. Чаще резекция выполнима при опухолях левой доли. Отдаленные результаты хирургического лечения малоутешительны. В связи с этим контрольные обследования больных после резекций рекомендуется делать каждые 3 мес.
У сравнительно небольшой части больных осуществляется пересадка печени. Она выполняется у лиц моложе 60 лет, при отсутствии метастазов и тяжелых внепеченочных заболеваний. Отдаленные результаты неблагоприятные.
При невозможности хирургического лечения у части больных проводится химиотерапия.
Метастатическая карцинома печени (МКП)
Первичный очаг МКП расположен вне печени — в легком, желудке, толстой кишке и других органах. Относится к вторичным опухолям печени.
Частота метастазирования опухолей различной первичной локализации в печень различна.
Опухоли желчного пузыря метастазируют в печень в 75% случаев, поджелудочной железы — в 70%, толстой кишки, молочной железы, яичников, а также меланобластомы — в 50%, желудка и легких- в 40%. Однако сами первичные опухоли встречаются с различной частотой. Поэтому врач наблюдает наиболее часто метастазы в печени, исходящие из толстой кишки, желудка и легких, а у женщин — также из молочной железы и яичников.

Для подтверждения или исключения метастатического характера злокачественной опухоли печени проводится тщательное обследование ряда органов. При некоторых локализациях это имеет особенно важное значение.
В план обследования включают:
- исследование сыворотки крови (АПФ, карциноэмбриональный антиген, антиген СА — 199, кислая фосфотаза);
- рентгенографию грудной клетки;
- гастроскопию;
- колоноскопию или ректороманоскопию в сочетании с ирригоскопией;
- УЗИ поджелудочной железы, почек, яичников, предстательной железы;
- осмотр молочных желез и маммографию у женщин;
- консультация гинеколога и уролога.
Особое внимание уделяется возможности первичной локализации опухоли в толстой кишке, в предстательной железе (у мужчин) и в яичниках (у женщин), так как метастазы этих локализаций представляются у части больных относительно курабельными.
Государственная клиническая больница №29 им. Н.Э.Баумана – это современная многопрофильная высокотехнологичная больница с уникальной полуторавековой историей и традицией, оказывающая высококачественную медицинскую помощь в круглосуточном режиме.
Доброкачественные опухоли печени
Доброкачественные опухоли (новообразования) печени - группа заболеваний печени, для которых характерно не злокачественное течение. К ним относятся: гепатоцеллюлярная аденома, гемангиома, очаговая узловая гиперплазия, кисты печени, липомы и фибромы.
• Что необходимо знать о доброкачественных опухолях печени?
Доброкачественные опухоли (новообразования) печени - группа заболеваний печени, для которых характерно не злокачественное течение.
К ним относятся: гепатоцеллюлярная аденома, гемангиома, очаговая узловая гиперплазия, кисты печени, липомы и фибромы.
В большинстве случаев доброкачественные опухоли печени протекают без каких-либо проявлений. У некоторых больных наблюдается увеличение печени, чувство дискомфорта в правых верхних отделах живота. Могут возникать внутрибрюшные кровотечения.
Диагностика основана на результатах визуализирующих методов (УЗИ, КТ, МРТ печени), а также на данных биопсии печени.
При отсутствии жалоб пациенты наблюдаются специалистом. При значительных размерах опухолей они подлежат хирургическому удалению.
• Виды доброкачественных опухолей печени.
Гепатоцеллюлярная аденома - это часто встречающаяся доброкачественная опухоль печени. В 90% случаев развивается у женщин детородного возраста, принимающих оральные контрацептивы. Средний возраст пациентов - 15-45 лет.
В большинстве случаев больные с аденомами жалоб не предъявляют. Однако у 20-25% из них появляются боли в правых верхних отделах живота (при крупных размерах опухолей). У 30-40% пациентов могут возникать внутрибрюшные кровотечения и кровоизлияния в пределах опухоли. В некоторых случаях аденомы подвергаются злокачественной трансформации.
Диагностируются на основании данных УЗИ или КТ печени, но требуется биопсия для подтверждения диагноза. В большинстве случаев аденомы, вызванные приемом контрацептивов, исчезают после прекращения приёма препаратов.
Если аденома расположена под капсулой печени или ее размеры превышают 5 см, то проводится её хирургическое удаление.
Гемангиомы обнаруживаются примерно у 1-5% взрослого населения. У женщин эти опухоли диагностируются в 4-6 раз чаще, чем у мужчин. Средний возраст пациентов - 30-50 лет.
В большинстве случаев пациенты с гемангиомами жалоб не предъявляют. Эти опухоли обнаруживаются в ходе проведения УЗИ, КТ или МРТ печени.
Очаговая узловая гиперплазия
Очаговая узловая гиперплазия может быть обнаружена случайно при проведении КТ брюшной полости или в ходе выполнения лапароскопии. Очаговая узловая гиперплазия встречается преимущественно у женщин.
Опухоль имеет плотную консистенцию и часто локализуется в правой доле печени. Если опухоль не беспокоит больного, то хирургическое лечение не проводится.
Кисты печени - в большинстве случаев это случайные находки при проведении УЗИ или КТ брюшной полости.
Больные с кистами печени не предъявляют никаких жалоб.
Причинами появления кист в печени могут быть паразитарные заболевания (эхинококкоз); наследственная патология. Наследственный поликистоз печени часто сочетается с поликистозом почек и других органов.
В печени могут обнаруживаться - липомы, фибромы. Но частота возникновения этих опухолей невысока.
• Как проявляются доброкачественные опухоли печени?
В большинстве случаев протекают бессимптомно. Пациенты могут не предъявлять никаких жалоб.
• Как подтверждаются или исключаются доброкачественные опухоли печени?
В биохимических анализах крови может обнаруживаться повышение печеночных ферментов (АСТ, АЛТ ). Кроме того, эти опухоли можно выявить в ходе таких исследований, как УЗИ, КТ или МРТ брюшной полости. Биопсия печени позволяет подтвердить диагноз.
• Как лечить доброкачественные опухоли печени?
Лечение хирургическое. Производится удаление опухоли. Операция выполняется при значительных размерах опухолей, наличии жалоб со стороны пациентов на боли в правых верхних отделах живота.
Наибольшую угрозу представляют гепатоцеллюлярные аденомы, так как при этих опухолях повышен риск разрыва печени и вероятность возникновения внутрибрюшного кровотечения. Поэтому, если аденома расположена под капсулой печени, а её размеры превышают 5 см, то она удаляется.
• Профилактика доброкачественных опухолей печени.
Специфических мер профилактики не существует.
• Что делать пациенту с доброкачественными опухолями печени?
Пациенту необходимо проходить регулярные обследования, включающие биохимический анализ крови, УЗИ, КТ или МРТ брюшной полости (для оценки динамики роста опухоли и выявления признаков озлокачествления) под наблюдением гепатолога-хирурга.
Доброкачественные опухоли печени
Самые частые доброкачественные опухоли - гемангиома и фокальная нодулярная гиперплазия (ФНГ). Аденомы и цистаденомы (кистозные аденомы) встречаются крайне редко.
Гемангиома является доброкачественной опухолью, состоящей из большого количества мелких и крупных сосудов, в том числе крупных сосудистых полостей, заполненных кровью. Фокальная нодулярная гиперплазия, внешне напоминая злокачественную опухоль, микроскопически представляет собой разрастание (гиперплазию) печеночных клеток с избыточным по сравнению с нормальной тканью печени артериальным кровоснабжением. Причина возникновения этих опухолей остается не ясной, но несомненным фактом является влияние на риск развития и рост этих опухолей повышенного содержания в крови половых гормонов – эстрогенов. Поэтому нередко появлению этих опухолей предшествует беременность или прием контрацептивных препаратов, в том числе назначаемых с целью лечения гинекологических заболеваний.
Абсолютное большинство доброкачественных опухолей не представляют никакой опасности для человека и не требуют хирургического или медикаментозного лечения.
Гемангиома и ФНГ никогда не превращаются в злокачественные опухоли.
Хирургическое лечение показано:
1) если опухоль достигает больших размеров (10 см и более);
2) если появляются жалобы на боль или чувство дискомфорта, которые возникают, как правило, при физической нагрузке или изменении положения тела и не связаны с приемом пищи. Нередко при этом опухоль уже имеет крупные размеры;
3) при невозможности уверенно отличить доброкачественную опухоль от злокачественной по результатам УЗИ, КТ, МРТ и др. методов обследования. Такие ситуации чаще всего возникают с диагностикой ФНГ, которую в ряде случаев очень сложно отличить от первичного рака печени (гепатоцеллюлярный рак).
Можно выделить несколько причин, объясняющих целесообразность оперативного лечения крупных доброкачественных опухолей:
2) При увеличении размеров опухоли более 10 см значительно возрастает риск разрыва гемангиомы, как в результате внешнего воздействия (удар, падение, беременность и роды), так и без видимых причин, когда разрыв называют спонтанным. Статистическая обработка всех опубликованных в специальной литературе наблюдений разрыва гемангиом показала, что средний размер гемангиом при их спонтанном разрыве составил 11 см. Разрыв гемангиом, как правило, приводит к сильному внутреннему кровотечению и реальной угрозе для жизни. Угроза разрыва ФНГ несколько меньше, чем для гемангиом.
3) Хирургическое лечение может потребоваться, если крупная доброкачественная опухоль расположена вблизи крупных сосудов и желчных протоков. Показанием к операции в такой ситуации является рост опухоли, поскольку увеличиваясь в размерах, опухоль начинает деформировать сосуды и желчные протоки, повышая риск их повреждения при удалении опухоли. Поэтому растущую опухоль, контактирующую с крупными сосудами и желчными протоками, целесообразно удалить до того, как риск операции вследствие увеличения размеров опухоли будет представлять серьезную угрозу для жизни и здоровья пациента. В связи с этим некоторые растущие опухоли, занимающие анатомически невыгодное для операции расположение в печени, удаляются при размерах менее 10 см.
Окончательное суждение о возможности и необходимости удаления доброкачественной опухоли печени должен принимать компетентный хирург, имеющий достаточный для этого опыт работы в хирургической гепатологии. В связи с этим операции по удалению крупных доброкачественных опухолей должны проводиться в специализированных отделениях хирургической гепатологии.
Самым эффективным, но и самым сложным способом лечения любой доброкачественной опухоли печени является ее полное удаление посредством резекции печени.
Методы окклюзии (закупорки) сосудов (артерий), питающих опухоль в расчете на уменьшение кровоснабжения опухоли и последующее уменьшение ее размеров, широко применявшиеся ранее, в настоящее время оставлены. Неэффективность этих методов обусловлена неизбежной реканализацией (восстановлением просвета) окклюзированных артерий и восстановлением кровоснабжения опухоли, в том числе за счет развития коллатерельного (окольного) пути снабжения опухоли кровью.
При небольших размерах опухоли (до 3-4 см) возможно применение РЧА (радиочастоная термоабляция). Но опухоли таких размеров, как правило, не нуждаются в хирургическом лечении. При больших размерах опухоли РЧА неэффективна. Также ввиду неэффективности и высокого риска осложнений не используются другие методы локальной деструкции доброкачественных опухолей: алкоголизация (введение в опухоль спирта), криодеструкция (замораживание), СВЧ-абляция.
Эффективных медикаментозных методов воздействия на доброкачественные опухоли печени не существует.
Поскольку для излечения пациента с доброкачественной опухолью достаточно удалить саму опухоль, резекция печени выполняется в экономном варианте. Т.е., в отличие от злокачественных опухолей, при которых вместе с опухолью, как правило, удаляется весь пораженный ею анатомических фрагмент печени, доброкачественная опухоль, по сути, вылущивается (энуклеируется) из печени с сохранением всех структур и тканей органа. Особенностью операции является необходимость знания и умения использовать специальные приемы, направленные на предупреждение кровопотери, поскольку большинство доброкачественных опухолей (гемангиома и ФНГ) обильно кровоснабжаются. Несмотря на это, в ряде случаев, гемангиома и ФНГ могут быть удалены лапароскопически, т.е. через проколы брюшной стенки без большого ее разреза. Однако, лапароскопические операции при этих опухолях предъявляют повышенные требования к безопасности их исполнения и могут быть выполнены только хирургами, имеющими достаточный опыт традиционной открытой хирургии печени и лапароскопической хирургии. Поэтому нередко идеальным решением для таких операций служит использование роботического комплекса DaVinci, позволяющего существенно повысить безопасность малоинвазивной операции.
Поскольку операции при доброкачественных опухолях у подавляющего большинства пациентов выполняются в органосохраняющем варианте, функция печени не страдает. Частота осложнений при операциях по поводу доброкачественных опухолей минимальна, а сами осложнения, как правило, не представляют угрозу жизни и здоровью пациента и легко коррегируются. Трудоспособность полностью восстанавливается в большинстве случаев в течение 3-4 недель. В отдаленном периоде пациенты не испытывают болевых ощущений и дискомфорта, которые были вызваны опухолью. Нарушений функции органов пищеварения также, как правило, не происходит.
Ведущие специалисты отдела хирургии печени и поджелудочной железы располагают большим персональным опытом выполнения операций по поводу доброкачественных опухолей печени в традиционном и лапароскопическом варианте, в том числе уникальным в РФ опытом выполнения подобных операций с использованием роботизированного комплекса DaVinci. Лечение в нашей клинике соответствует мировым стандартам, а качество его соответствует уровню ведущих мировых центров хирургической гепатологии.
Доброкачественные опухоли и как их лечить.
Доброкачественные опухоли относятся к самым распространенным опухолям печени. Самые частые доброкачественные опухоли - гемангиома и фокальная нодулярная гиперплазия (ФНГ). Аденомы и цистаденомы (кистозные аденомы) встречаются крайне редко.
Гемангиома является доброкачественной опухолью, состоящей из большого количества мелких и крупных сосудов, в том числе крупных сосудистых полостей, заполненных кровью. Фокальная нодулярная гиперплазия, внешне напоминая злокачественную опухоль, микроскопически представляет собой разрастание (гиперплазию) печеночных клеток с избыточным по сравнению с нормальной тканью печени артериальным кровоснабжением. Причина возникновения этих опухолей остается не ясной, но несомненным фактом является влияние на риск развития и рост этих опухолей повышенного содержания в крови половых гормонов – эстрогенов. Поэтому нередко появлению этих опухолей предшествует беременность или прием контрацептивных препаратов, в том числе назначаемых с целью лечения гинекологических заболеваний.
Абсолютное большинство доброкачественных опухолей не представляют никакой опасности для человека и не требуют хирургического или медикаментозного лечения. Гемангиома и ФНГ никогда не превращаются в злокачественные опухоли.
Хирургическое лечение доброкачественных опухолей.
если опухоль достигает больших размеров (10 см и более);
если появляются жалобы на боль или чувство дискомфорта, которые возникают, как правило, при физической нагрузке или изменении положения тела и не связаны с приемом пищи. Нередко при этом опухоль уже имеет крупные размеры;
при невозможности уверенно отличить доброкачественную опухоль от злокачественной по результатам УЗИ, КТ, МРТ и др. методов обследования. Такие ситуации чаще всего возникают с диагностикой ФНГ, которую в ряде случаев очень сложно отличить от первичного рака печени (гепатоцеллюлярный рак).
Можно выделить несколько причин, объясняющих целесообразность оперативного лечения крупных доброкачественных опухолей:
При увеличении размеров опухоли более 10 см значительно возрастает риск разрыва гемангиомы, как в результате внешнего воздействия (удар, падение, беременность и роды), так и без видимых причин, когда разрыв называют спонтанным. Статистическая обработка всех опубликованных в специальной литературе наблюдений разрыва гемангиом показала, что средний размер гемангиом при их спонтанном разрыве составил 11 см. Разрыв гемангиом, как правило, приводит к сильному внутреннему кровотечению и реальной угрозе для жизни. Угроза разрыва ФНГ несколько меньше, чем для гемангиом.
Хирургическое лечение опухоли может потребоваться, если крупная доброкачественная опухоль расположена вблизи крупных сосудов и желчных протоков. Показанием к операции в такой ситуации является рост опухоли, поскольку увеличиваясь в размерах, опухоль начинает деформировать сосуды и желчные протоки, повышая риск их повреждения при удалении опухоли. Поэтому растущую опухоль, контактирующую с крупными сосудами и желчными протоками, целесообразно удалить до того, как риск операции вследствие увеличения размеров опухоли будет представлять серьезную угрозу для жизни и здоровья пациента. В связи с этим некоторые растущие опухоли, занимающие анатомически невыгодное для операции расположение в печени, удаляются при размерах менее 10 см.
Удаление доброкачественной опухоли.
Окончательное суждение о возможности и необходимости удаления доброкачественной опухоли печени должен принимать компетентный хирург, имеющий достаточный для этого опыт работы в хирургической гепатологии. В связи с этим операции по удалению крупных доброкачественных опухолей должны проводиться в специализированных отделениях хирургической гепатологии
Самым эффективным, но и самым сложным способом лечения любой доброкачественной опухоли печени является ее полное удаление посредством резекции печени.
Методы окклюзии (закупорки) сосудов (артерий), питающих опухоль в расчете на уменьшение кровоснабжения опухоли и последующее уменьшение ее размеров, широко применявшиеся ранее, в настоящее время оставлены. Неэффективность этих методов обусловлена неизбежной реканализацией (восстановлением просвета) окклюзированных артерий и восстановлением кровоснабжения опухоли, в том числе за счет развития коллатерельного (окольного) пути снабжения опухоли кровью.
Эффективных медикаментозных методов воздействия на доброкачественные опухоли печени не существует.
Поскольку операции при доброкачественных опухолях печени у подавляющего большинства пациентов выполняются в органосохраняющем варианте, функция печени не страдает. Частота осложнений при операциях по поводу доброкачественных опухолей минимальна, а сами осложнения, как правило, не представляют угрозу жизни и здоровью пациента и легко коррегируются. Трудоспособность полностью восстанавливается в большинстве случаев в течение 3-4 недель. В отдаленном периоде пациенты не испытывают болевых ощущений и дискомфорта, которые были вызваны опухолью. Нарушений функции органов пищеварения также, как правило, не происходит.
Доброкачественные опухоли печени
Доброкачественные опухоли печени встречаются относительно часто. Большинство из них протекают бессимптомно, но некоторые могут вызывать развитие гепатомегалии, ощущение дискомфорта в области правого подреберья или внутрибрюшинное кровоизлияние. Большинство обнаруживается случайно во время ультразвукового или других видов исследования (см. Визуальные исследования печени и желчного пузыря Визуальные исследования печени и желчного пузыря Визуальные методы исследования позволяют точно диагностировать патологию билиарного тракта и важны для определения очаговых повреждений печени (например, абсцесс, опухоль). Они ограничены в. Прочитайте дополнительные сведения ). Печеночные пробы Лабораторные исследования печени и желчного пузыря Лабораторные показатели в основном информативны в следующих целях: определение нарушения функции печени; оценка тяжести повреждения печени; мониторирование течения заболевания печени и ответа. Прочитайте дополнительные сведения обычно не нарушены или в пределах незначительных отклонений. Диагноз устанавливают обычно с помощью визуальных методов, иногда требуется проведение биопсии печени. Лечение показано только в отдельных случаях.
Гепатоцеллюлярная аденома
Крайне важно своевременно распознать эту доброкачественную опухоль. Это встречается преимущественно у женщин репродуктивного возраста, особенно у принимающих пероральные контрацептивы, возможно из-за их эстрогенного эффекта (1) Общие справочные материалы Доброкачественные опухоли печени встречаются относительно часто. Большинство из них протекают бессимптомно, но некоторые могут вызывать развитие гепатомегалии, ощущение дискомфорта в области. Прочитайте дополнительные сведения .
Большинство аденом не приводят к клинической симптоматике, но большие аденомы могут вызывать ощущение дискомфорта в области правого подреберья. Редко аденомы манифестируют развитием перитонита и шока вследствие разрыва и внутрибрюшного кровоизлияния. Они редко подвергаются злокачественному перерождению.
Диагноз часто устанавливают по результатам ультразвукового исследования или компьютерной томографии, иногда для подтверждения аденомы требуется проведение биопсии печени. МРТ с контрастированием гадоксетатом более чувствительно, чем КТ, и может дифференцировать подтипы аденом при повышенном риске развития злокачественных новообразований (2) Общие справочные материалы Доброкачественные опухоли печени встречаются относительно часто. Большинство из них протекают бессимптомно, но некоторые могут вызывать развитие гепатомегалии, ощущение дискомфорта в области. Прочитайте дополнительные сведения . Определение аденомы подтипа бета-катенина имеет особенно важное значение, потому что такая опухоль имеет 5–10% -ный риск озлокачествления и должна быть резектирована.
Регресс аденомы может случиться при отмене вызвавших ее пероральных контрацептивов. Резекция опухоли показана в тех случаях, когда не происходит обратного развития аденомы, или она располагается субкапсулярно, или ее размеры > 5 см, тогда рекомендуется хирургическая резекция
Очаговая узловая гиперплазия
Эта очаговая гамартрома гистологически может походить на крупноузловой цирроз. Диагноз обычно основывается на результатах МРТ или КТ с контрастным усилением. Классическим проявлением является поражение с рубцом по центру. Однако для подтверждения может потребоваться проведение биопсии. Лечение обычно не показано.
Гемангиомы
Гемангиомы, как правило, небольших размеров и не беспокоят больных; они встречаются у 1–5% взрослого населения. Вероятность появления симптомов возрастает при наличии опухоли размером более 4 см; к этим симптомам относятся ощущение дискомфорта, переполнения; реже – анорексия, тошнота, чувство быстрого насыщения и боль в результате кровоизлияния или тромбоза. Эти опухоли имеют характерный сосудистый вид. Гемангиомы часто представляют случайную находку при проведении ультразвукового исследования, компьютерной томографии или магнитно-резонансной томографии. Типичная картина на снимках компьютерной томографии – четко очерченное гиподенсное образование; при введении контраста вначале фиксируется периферическое усиление, далее центральное. Лечение обычно не показано. Если симптомы заболевания вызывают тревогу или отмечается быстрый рост гемангиомы, можно поставить вопрос о резекции опухоли.
У новорожденных гемангиомы часто подвергаются самопроизвольному обратному развитию к возрасту 2 лет. Однако большие гемангиомы иногда вызывают формирование артериовенозных шунтов, приводящих к сердечной недостаточности и даже к коагулопатии потребления. В таких случаях возможно применение кортикостероидов в большой дозе, иногда диуретиков и дигоксина с целью улучшения работы сердечной мышцы, интерферона-альфа (подкожно), хирургического удаления опухоли, селективной эмболизации печеночной артерии и редко трансплантации печени Трансплантация печени Трансплантация печени занимает 2-е место среди трансплантаций солидных органов. (См. также Обзор трансплантации (Overview of Transplantation)). Показания для проведения трансплантации печени. Прочитайте дополнительные сведения .
Другие доброкачественные опухоли
Редко образуются липомы Липома Липомы представляют собой мягкие подвижные подкожные узелки, состоящие из адипоцитов (жировых клеток); состояние кожи над образованием не нарушено. На фотографии показана липома на конечности. Прочитайте дополнительные сведенияДоброкачественные аденомы желчных протоков встречаются редко и обычно выявляются случайно. Их иногда ошибочно принимают за метастазы в печень.
Общие справочные материалы
2. Bieze M , van den Esschert JW , Nio CY, et al: Diagnostic accuracy of MRI in differentiating hepatocellular adenoma from focal nodular hyperplasia: prospective study of the additional value of gadoxetate disodium. AJR Am J Roentgenol 199:26– 34, 2012. doi: 10.2214/AJR.11.7750
Авторское право © 2022 Merck & Co., Inc., Rahway, NJ, США и ее аффилированные лица. Все права сохранены.
Доброкачественные опухоли и кисты печени - клиника, диагностика, современные методы хирургического лечения
В большинстве своем доброкачественные опухоли (ДОП)- клинически малосимптомные или бессимптомные новообразования печени, исходящие либо из эпителиальной ткани (гепатоцеллюлярная аденома и др.), либо из стромальных и сосудистых элементов.
Распространение заболевания.

Пучков К.В., Баков В.С., Иванов В.В. Симультанные лапароскопические оперативные вмешательства в хирургии и гинекологии: Монография. - М.: ИД МЕДПРАКТИКА, 2005. - 168 с.

Пучков К.В., Иванов В.В. и др. Технология дозированного лигирующего электротермического воздействия на этапах лапароскопических операций: монография. - М.: ИД МЕДПРАКТИКА, 2005. - 176 с.
Данные по эпидемиологии ДОП очень скудны. Достаточно четкие сведения имеются лишь в отношении наиболее частой из доброкачественных новообразований печени - гемангиомы. Эти опухоли встречаются у 1-3% населения, чаще у женщин. Примерно у 1% населения встречаются непаразитарные кисты печени. Остальные виды доброкачественных новообразований печени обнаруживаются существенно реже.
Классификация доброкачественных опухолей печени
К доброкачественным опухолям печени относятся гемангиомы, лимфангиомы, фибромы, липомы и смешанные опухоли - гамартомы (тератомы). Логично отнести к доброкачественным новообразованиям печени также и непаразитарные кисты. Среди них выделяют истинные кисты (дермоидные, ретенционные цистаденомы) и поликистоз печени (более чем у половины больных он сочетается с кистозными изменениями других органов- почек, поджелудочной железы, яичников). Нередко наблюдаются также ложные кисты (травматические, воспалительные). Истинные кисты, как правило, одиночные; ложные могут быть как одиночными, так и множественными. Объем множественных кист обычно составляет несколько миллилитров, в то время как объем солитарных (истинных и ложных) кист может достигать 1000 мл и более.
Диагностика доброкачественных образований печени
Общими для ДОП являются два важных признака: 1) отсутствие повышения концентраций альфа-фетопротеина, карциноэмбрионального антигена СА - 199 сыворотки крови; 2) отсутствие отчетливого повышения активности аспарагиновой и аланиновой аминотрансфераз (АсАТ и АлАТ), щелочной фосфатазы (ЩФ), гамма- глутамилтрансферазы (ГГТФ) и лактатдегидрогеназы (ЛДГ).
Эти признаки надежны только в случаях отсутствия хронических или острых диффузных заболеваний печени, которые сами по себе могут вызывать изменения вышеприведенных тестов. Существенную помощь оказывает использование УЗИ и КТ (или ЯМР) с болюсным контрастированием, обладающие высокой разрешающей способностью.
Киста печени
Дифференциальная диагностика ДОП обычно начинается с исключения кист. Чаще встречаются непаразитарные кисты. Учитывается возможность поликистозной болезни, а также солитарных и множественных истинных и ложных кист печени.
Большинство кист небольшие (диаметром 1-5 см), чаще встречаются у женщин. Значительная часть их имеет бессимптомное течение. У ряда больных отмечаются боли в правом подреберье, у одних - постоянные, у других - периодические. Существенную помощь оказывает использование УЗИ и КТ (или ЯМР), обладающие высокой разрешающей способностью. Необходимо учитывать возможность поликистоза печени.
Дифференциальная диагностика простых кист проводится также с паразитарными кистами печени (эхинококкоз). В пользу последних говорят положительные реакции с эхинококковым антигеном и Кацони, а также обнаружение в зоне опухолевидного образования обызвествлений, хотя и геменгиомы изредка могут обызвествлятся.
Киста печени лечение
Часть непаразитарных кист печени лечению также подлежит оперативному, в связи с реальной возможностью их разрыва, инфицирования и кровоизлияния в просвет кисты. Кроме того, быстро растущие крупные кисты приводят к нарушению функций печени вследствие атрофии и замещения печеночной паренхимы кистозным образованием. Среди операций наиболее часто используют резекцию печени, перицистэктомию и вылущивание кисты.
В последние годы широкое распространение получили транспариетальные пункции кист под контролем УЗИ или КТ. После аспирации содержимого в просвет кисты вводят 96*раствор этилового спирта для склерозирования внутренней оболочки кисты. Эта операция эффективна при размере кисты до 5 см. Если нет эффекта от данных способов лечения или киста имеет больший размер, показана операция - лапароскопическое иссечение участка кисты с последующей деэпителизацией внутренней оболочки кисты аргонусиленной плазмой или расфокусированным лучом лазера. Аналогичная тактика используется и при поликистозе печени. При осложненном поликистозе печени (нагноение, кровотечение, озлокачествление, сдавление крупными кистами желчных путей, воротной или полой вены) показано оперативное лечение. Обычно выполняют фенестрацию (вскрытие выступающих над поверхностью печени кист) с последующей деэпителизацией внутренней оболочки кисты.
Посмотреть видео операций при кистах печени в исполнении профессора Вы можете на сайте "Видео операций лучших хирургов мира".
Гепатоцеллюлярная аденома
Клинически это малосимптомная доброкачественная опухоль печени, имеющая признаки аденомы, развивающейся из гепатоцитов, нередко отграничена капсулой. Чаще поражает женщин, обычно в связи с длительным приемом эстрогенпрогестативных противозачаточных средств. Реже возникает при длительном приеме анаболических стероидов. Аденома развивается достаточно редко: у 3-4 человек на 100 000 длительно пользующихся контрацептивами.
Как правило (90%), она бывает одиночной. Обнаруживается чаще в правой доле, субкапсулярно. Если располагается в передненижних отделах, то пальпируется в виде гладкого неплотного образования. Более «агрессивным» течением отличаются аденомы, развившиеся на фоне приема анаболических стероидов. Изредка наблюдаются осложнения в виде интраперитонеальных кровотечений. Очень редко аденома перерождается в злокачественную опухоль.
Очаговая (фокальная) узелковая гиперплазия
Клинически это малосимптомная доброкачественная опухоль, не имеющая капсулы. Центральная часть опухоли представлена рубцовой соединительной тканью, а периферическая - узелково трансформированной гепатоцеллюлярной тканью. Чаще расположена субкапсулярно. Нередко в опухоли наблюдаются очаги некроза и кровоизлияний. Как правило, развивается не в цирротически измененной печени, поэтому иногда именуется «фокальным циррозом». Обычно бывает одиночной. Это редкое доброкачественное новообразование печени, наблюдается преимущественно у женщин, принимающих пероральные противозачаточные средства.
Узелковая регенераторная гиперплазия
Эта опухоль напоминает очаговую узелковую гиперплазию печени, а иногда и сочетается с ней. В отличие от последней существенно меньше представлены элементы соединительной ткани. Может рассматриваться как предстадия гепатоцеллюлярной карциномы. Иногда при росте клеточных элементов этой опухоли происходит сдавление крупных желчных протоков или крупных ветвей воротной вены. Как правило, выявляется не в цирротически измененной печени. Иногда развивается на фоне злокачественных заболеваний внепеченочной локализации (миелопролиферативные процессы, саркомы и др.).
Все эти виды ДОП- малосимптомные заболевания, в большинстве случаев их обнаружение можно отнести к случайным находкам. Печень у большинства таких больных не увеличена.
Радионуклидная сцинтиграфия обычно выявляет очаговый процесс размером 3-5 см. Если опухоль расположена в краевых зонах печени, то могут выявляться образования и меньших размеров.
Близкие к этим данным бывают получены при УЗИ и КТ, а также с помощью селективной ангиографии и ядерно-магнитного резонанса (ЯМР). Поэтому значительная часть опухолей небольших размеров просматривается. Уточнить характер этих трех видов опухолей позволяют лишь морфологические методы. Материал для этих исследований обычно получают при помощи пункционной биопсии иглами Шиба под контролем УЗИ или КТ.
Больные гепатоциллюлярной аденомой, очаговой (фокальной) узелковой гиперплазией и узелковой регенераторной гиперплазией печени в лекарственном лечении не нуждаются. Хирургическое лечение применяется нечасто. Показанием к нему являются либо сдавление желчных путей или кровеносных сосудов, либо появление болей. Операция проводится при развитии любого осложнения и быстром росте опухоли.
Методы вторичной профилактики и система наблюдения сводятся к следующему. Запрещается прием пероральных противозачаточных средств, эстрогенов, анаболических стероидов. Не рекомендуется работа, связанная с производством винилхлорида. Нежелателен прием фенобарбитала и зиксорина. Рекомендуется воздержание от алкоголя.
При впервые обнаруженной опухоли обследования проводятся 3-6-9-12 месяцев и далее 1 раз в год. Кроме обычного осмотра с определением размеров печени по Курлову, выполняются исследования содержания билирубина, активности аминотрансфераз, ЩФ, ГГТФ, альфа-фетопротеина, карциноэмбрионального антигена и антигена СА 19-9. Проводится также УЗИ печени.
Гемангиома
Клинически это малосимптомная доброкачественная опухоль, происходящая из сосудистых, главным образом венозных элементов печени. Относится к наиболее часто встречающемуся виду ДОП.
Она представлена двумя вариантами: кавернома, представляющая собой как бы расширенные кровеносные сосуды, и истинная гемангиома, развивающаяся из сосудистой эмбриональной ткани. Располагается чаще субкапсулярно, в правой доле, нередко обладает ножкой. Часто покрыта фиброзной капсулой, которая может кальцинироваться.
Спонтанные разрывы очень редки, но жизнеопасны. Четкие клинические проявления наблюдаются лишь в 5-10% опухолей. Как правило, в этих случаях диаметр опухоли превышает 5 см.
Во многих случаях обнаружение гемангиомы, как и других ДОП, относится к случайным находкам. При больших размерах и соответствующей локализации иногда появляются симптомы сдавления желчевыводящих путей или, реже, симптомы портальной гипертензии. Иногда больной обращается к врачу в связи с болями в верхней половине живота.
Важную информацию дают инструментальные исследования. Радионуклидная сцинтиграфия печени выполняется, как обычно, при подозрении на объемный процесс в печени в двух проекциях. Благодаря этому методу, как правило, можно обнаружить опухоль диаметром 4-5 см. При гемангиомах диаметром 4-5 см и более опухоль выявляется у 70-80% обследованных. УЗИ при наличии гемангиомы позволяет выявить гиперэхогенное, хорошо очерченное образование. Подобную же информацию представляет ЯМР. Нередко, особенно в менее массивной левой доле, отчетливо видна сосудистая ножка. Гемангиомы диаметром 3-5 см и более выявляются при УЗИ у 70-80% обследованных. Иногда отмечаются в гемангиомах участки обызвествления.
КТ позволяет получить данные, близкие к результатам УЗИ, хотя нередко приносит и существенную дополнительную диагностическую информацию. Эта дополнительная информация в первую очередь касается состояния окружающих тканей и органов. Целиакография при распознавании гемангиом позволяет получить наиболее точные данные. Обычно хорошо видны гиперваскуляризованные участки с четкими границами, позволяющие обнаружить гемангиому диаметром 2-3 см и более у 80-85% обследованных.
Непрямая радионуклидная ангиография, выполняемая с помощью гамма-камеры, приносит близкие, но менее точные по сравнению с целиакографией, результаты. Существенную информацию приносит нередко ЯМР.
При постановке диагноза - гемангиома исключаются злокачественные опухоли печени. В последние годы объектом дифференциальной диагностики все чаще становится своеобразная очаговая жировая дистрофия печени, особенно в тех случаях, когда на фоне очаговой жировой дистрофии встречаются округлые участки интактной печени. Эти участки имеют разную с жировой дистрофией плотность, и эта разница достаточно четко регистрируется при УЗИ и КТ. Эти псевдоопухолевые образования обычно не видны при радионуклидной сцинтиграфии печени. Однако этот дифференциально-диагностический признак не очень надежен. Решающую роль в выявлении очаговых жировых дистрофий играет прицельная биопсия печени.
Лечение гемангиом печени. При гемангиомах небольших размеров без тенденции к росту в медикаментозном и хирургическом лечении пациенты, как правило, не нуждаются. При крупных опухолях, сдавливающих желчные ходы или сосуды, появляются показания к резекции соответствующих сегментов печени. Чаще это правило касается гемангиом диаметром более 5 см.
Лимфангиомы печени встречаются крайне редко, по клинической картине они трудноотличимы от гемангиом. Подозрение на лимфангиому возникает лишь при наличии внепеченочного расположения опухоли в средостении и на шее.
Крайне редко встречаются фибромы, миксомы, липомы, невриномы печени, которым присущи черты доброкачественных опухолей: медленное развитие, четкие границы, нормальная СОЭ. Отсутствие маркеров опухолей и повышения активности таких ферментов сыворотки крови, как АсАТ, АлАТ, ЩФ, ГГТП, ЛДГ.
Лечебная тактика аналогична таковой при гемангиомах.
Методы вторичной профилактики и система наблюдения в основном такие же, как и при описанных выше доброкачественных опухолях. При всех видах ДОП запрещаются лекарственные препараты типа пероральных противозачаточных средств, анаболических стероидов. Нежелателен прием препаратов типа фенобарбитала и зиксорина. Не рекомендуется работа, связанная с производством винилхлорида.
Все больные ДОП нуждаются в постоянном врачебном наблюдении. При впервые обнаруженной опухоли обследования проводят через 3-6-9-12 месяцев и далее- 1 раз в год. Крома обычного осмотра с определением размеров печени по Курлову, выполняют исследования содержания билирубина, определив активность АлАТ, АсАТ, ЩФ, ГГТФ, ГДГ и ЛДГ, альфа-фетопротеина и канцероэмбрионального антигена.
Гепатоцеллюлярная карцинома (ГЦК)
ГЦК - это злокачественная опухоль, развивающаяся из гепатоцитов. Относится к первичным карциномам печени. У 60-80% больных она связана с персистированием вирусов гепатита В и С, у 70-85% больных в развитых странах ГЦК развивается на фоне цирроза печени. В мире ежегодно умирают от ГЦК около 750 000 человек.
В основном предложены морфологические классификации ГЦК. Наиболее распространено деление ГЦК на узловую, массивную и диффузную формы. Используется также система TNM. Нами разработана классификация (1988), включающая основные клинические варианты заболевания: гепатомегалический (охватывает около 50% больных), кистозный (3-5%), циррозоподобный (около 25%), гепатонекротический, или абсцессовидный (6-10%), иктерообтурационный (6-10%), маскированный(6-10%).
Некоторые исследователи более высоко оценивают данные УЗИ. А. Maringhini и соавт. (1988) при обследовании 124 больных ГЦК обнаружили у 47 из них гиперэхогенные участки, у 30- гипоэхогенные и у 47- смешанные. Чувствительность УЗИ, по данным авторов, составила 90%, специфичность- 93,3%.
Как сообщает J. C. Ellis (1988), опухоли диаметром менее 2 см трудно отличить от гемангиом, солитарных регенераторных узелков и аденом. Особенно трудна диагностика опухолей, расположенных непосредственно под диафрагмой, в верхнелатеральном отделе правой доли.
КТ дает примерно те же результаты, что и УЗИ, иногда несколько более высокие. Однако выявление опухолей небольших размеров (диаметром 2-4 см), особенно на фоне цирроза, представляет большие трудности. J. M. Henderson и соавт. (1988) при КТ-обследовании у 15 из 100 больных циррозом печени выявили аномалии очагового характера, подозрительные на ГЦК.
Лечение гепатоцеллюлярной карциномы.
Во всех случаях, когда это возможно, производится хирургическое лечение опухолей. Чаще резекция выполнима при опухолях левой доли. Отдаленные результаты хирургического лечения малоутешительны. В связи с этим контрольные обследования больных после резекций рекомендуется делать каждые 3 мес.
У сравнительно небольшой части больных осуществляется пересадка печени. Она выполняется у лиц моложе 60 лет, при отсутствии метастазов и тяжелых внепеченочных заболеваний. Отдаленные результаты неблагоприятные.
При невозможности хирургического лечения у части больных проводится химиотерапия.
Метастатическая карцинома печени (МКП)
Первичный очаг МКП расположен вне печени - в легком, желудке, толстой кишке и других органах. Относится к вторичным опухолям печени.
Частота метастазирования опухолей различной первичной локализации в печень различна.
Опухоли желчного пузыря метастазируют в печень в 75% случаев, поджелудочной железы - в 70%, толстой кишки, молочной железы, яичников, а также меланобластомы - в 50%, желудка и легких- в 40%. Однако сами первичные опухоли встречаются с различной частотой. Поэтому врач наблюдает наиболее часто метастазы в печени, исходящие из толстой кишки, желудка и легких, а у женщин - также из молочной железы и яичников.
Для подтверждения или исключения метастатического характера злокачественной опухоли печени проводится тщательное обследование ряда органов. При некоторых локализациях это имеет особенно важное значение.
В план обследования включают:
- исследование сыворотки крови (АПФ, карциноэмбриональный антиген, антиген СА - 199, кислая фосфотаза);
- рентгенографию грудной клетки;
- гастроскопию;
- колоноскопию или ректороманоскопию в сочетании с ирригоскопией;
- УЗИ поджелудочной железы, почек, яичников, предстательной железы;
- осмотр молочных желез и маммографию у женщин;
- консультация гинеколога и уролога.
Особое внимание уделяется возможности первичной локализации опухоли в толстой кишке, в предстательной железе (у мужчин) и в яичниках (у женщин), так как метастазы этих локализаций представляются у части больных относительно курабельными.
Читайте также:
