ЭхоКГ трикуспидального (трехстворчатого) клапана сердца
Добавил пользователь Евгений Кузнецов Обновлено: 22.11.2025
Пороки сердца у детей – симптомы, причины, профилактика, диагностика и лечение в клинике "Парацельс", Александров
ВНИМАНИЕ: Вы можете самостоятельно КРУГЛОСУТОЧНО записаться к врачу в Мобильном приложении "Клиника ПАРАЦЕЛЬС"
Доступны онлайн-консультации врачей (более 18 специальностей).
Порок сердца у ребёнка это группа заболеваний, связанных с нарушением анатомии сердца, клапанов или сосудов. Их опасность в нарушение кровотока внутри сердца или по кругам кровообращения. Лечение пороков сердца проводиться только хирургическим путем. Консервативные методы лечения способны предотвратить приступы острой сердечной недостаточности и другие осложнения.
Общие сведения о пороках сердца у детей
Порок сердца - нарушение анатомического строения стенок или клапанов сердца, а также кровеносных сосудов, которые входят или выходят из него. Нарушаются сердечная функция и гемодинамика во всей кровеносной системе.

В зависимости от причин развития бывают врожденные и приобретенные пороки.
Считается, что врожденные появляются в период первых недель беременности во время «начальной закладки» будущей жизни. Достоверно причины развития пороков не изучены, однако предрасполагают к ним:
- генетические заболевания (50% детей с синдромом Дауна страдают этим нарушением); у беременной;
- вредные привычки будущей мамы (половина детей с фетальным алкогольным синдромом (ФАС) имеют пороки сердца);
- инфекции (у мамы переболевшей краснухой в первый триместр почти всегда будет ребенок с тяжелой патологией);
- прием запрещенных для беременных лекарств;
- фенилкетонурия у будущей мамы.
Однако не всегда порок сердца развивается с рождения. Он может проявиться как осложнение перенесенных в детстве заболеваний (ревматизм, грипп, ангины) в тяжелых формах. Такое нарушение называется – приобретенный порок сердца.
Степени порока сердца у ребенка
В зависимости от выраженности симптомов порока сердца бывают четыре степени нарушений:
- первая степень - работа сердца от нормы отклоняется незначительно;
- вторая степень - симптомы болезни проявляются, их могут заметить родители;
- третья степень - кроме специфических симптомов появляются нарушения в работе нервной системы, так сказывается недостаток кислорода для головного мозга;
- четвертая степень - угнетаются дыхательная и сердечная деятельности, такие изменения могут привести к гибели ребенка.
Виды пороков сердца
Без развития цианоза (бледного типа)
Дефекты межжелудочковой, межпредсердной перегородок
Открытый артериальный проток
Стеноз легочной артерии
С развитием цианоза (синие)
Транспозиция магистральных сосудов
Приобретенные
Митрального клапана (между левыми предсердием и желудочком)
Трикуспидального клапана (между правыми предсердием и желудочком)
Стеноз трикуспидального клапана
Недостаточность трикуспидального клапана
Аортального клапана (между левым желудочком и аортой)
Клапана легочной артерии
Стеноз клапана легочной артерии
Недостаточность клапана легочной артерии
Стеноз - сужение клапанного отверстия, что вызывает затруднение тока крови.
Недостаточность - неспособность створок плотно закрыться. У людей со стенозом клапана со временем развивается, его недостаточность - это называется комбинированный ПС.
Септальные нарушения:
Состояние, при котором нарушена перегородка между сердечными камерами:
- предсердная перегородка - «лишняя» кровь поступает в правое предсердие и вызывает его увеличение;
- межжелудочковая – кровь перетекает из правого в левый желудочек, расширяя его границы.
Изменения находят у 2 из 1000 новорожденных. Пожалуй, самая благоприятная форма, так как небольшие пороки могут зарасти самостоятельно.
Коарктация аорты:
Сужение просвета магистрального сосуда в области перешейка - перехода дуги в нисходящую часть. Порок вызывает нарушение кровоснабжения органов. В 10% от всех пороков приходится на эту форму патологии. Часто сочетается с нарушением межкамерных перегородок. Тяжелое состояние, требующей оказания медицинской помощи сразу после рождения.
Стеноз клапана легочного ствола:
В месте заслонок из правого желудочка в легочную артерию происходит сужение. Сердцу требуется больше усилия для перекачки крови. 10% от общего числа пороков.
Транспозиция магистральных сосудов:
Редкая патология (около 5%). При этом магистральные сосуды «меняются местами». Артериальная кровь течет по венам, а венозная по артериям.
Тетрада Фалло:
Самая тяжелая форма. Состоит из четырех нарушений одновременно:
- отверстие между левым и правым желудочком;
- легочной стеноз – сужение легочного ствола;
- увеличение правого желудочка;
- смещение аорты – выход из сердца аорты в нетипичном месте.
Симптомы пороков сердца у новорожденных и детей
Обычно патология обнаруживается еще неонатологом в первые дни жизни младенца:
- цианоз (посинение) или серость кожных покровов;
- тахипноэ - учащённое поверхностное дыхание;
- расширение ноздрей на вдохе;
- кряхтение на вдохе;
- отеки ног, живота, лица;
- нарушение дыхания при кормлении.
При менее тяжелой форме проявляется в подрастающем возрасте:
- утомляемость при нагрузке;
- одышка, боль в области сердца при занятии спортом;
- отек рук, лодыжек, стоп.
Чем раньше проявляется клиника, тем тяжелей процесс.
Важно! Родителям на заметку
Независимо от того есть ли у ребенка сердечная патология или нет, необходимо проходить регулярные медицинские обследования.
При занятии спортом нагрузки на сердечно-сосудистую систему многократно возрастают. Компенсаторных механизмов в таком режиме часто не хватает, что проявляется головокружением, потерей сознания, а может вызывать угрожающие жизни ребёнка состояние.
Это не означает, что категорически противопоказаны занятия спортом. Вид спорта и нагрузки должен определить врач.
Если же у ребенка диагностирован порок сердца – врачебный контроль при занятиях спортом обязателен. Необходим диспансерный осмотр врачом детским кардиологом, педиатром, кардиохирургом.
Диагностика пороков сердца у детей
При первичном осмотре педиатр, неонатолог или детский кардиолог проводит осмотр, аускультацию возможных шумов в сердце. Проверяется наличие отечности, одышки, нарушений ритма сердца, проблемы с физическим или интеллектуальным развитием. По результатам осмотра решается вопрос о необходимом обследовании.
Эхокардиография сердца (ЭхоКГ) – объединяет в себе УЗИ сердца и кардиограмму. Метод определяет ритмограмму и структурные изменения в сердце. ЭхоКГ информативный метод.
Рентгенология показывает реальные размеры сердца, его камер и соотношение органа с размером грудной клетки.
Коронарография – через вены или артерии на руке, паху, или шеи (только через вену) вводят катетер, который достигает сердца. Затем по нему пропускают контрастное вещество. Этот метод определяет сократительную функцию сердца.
В медицинском центре «Парацельс» используется оборудование экспертного класса от производителей с мировым именем.
Задача детского отделения Медицинского центра «Парацельс» - предоставить полный комплекс медицинской помощи от профилактики до лечения, при появлении симптомов порока с момента рождения до 18 лет.
В нашем детском отделении прием ведут врачи, которые прошли специальную подготовку для выявления нарушений здоровья у детей и младенцев, с учётом всех возрастных особенностей.
Детские врачи клиники “Парацельс” работают по принципам доказательной медицины (международным протоколам, составленным на основе клинических испытаний). Это сводит к минимуму вероятность постановки ложного диагноза.
Большая роль в ранней диагностике пороков сердца у детей принадлежит родителям. От того, насколько родители внимательно следят за здоровьем своего ребенка, насколько правильно смогут описать его состояние врачу, зависит в каком направлении будет проводиться предварительное обследование.
Лечение пороков сердца
Лечение подбирается индивидуально. В основном его методы сводятся к:
- катетеризации сердца;
- медикаментозной терапии;
- операции на открытом сердце.
После хирургического лечения ребенку необходимы реабилитация и восстановительная терапия.
Специалисты клиники «Парацельс» оказывают медицинскую помощь на высоком профессиональном уровне, в том числе наблюдение ребенка после операции на сердце.
ЭхоКГ трикуспидального (трехстворчатого) клапана сердца
ЭхоКГ трикуспидального (трехстворчатого) клапана сердца
а) Информативность эхокардиографии трехстворчатого клапана:
1. Трансторакальная эхокардиография. Трехстворчатый клапан состоит из передней, септальной и небольшой задней створок. Двумерная трансторакальная ЭхоКГ позволяет одновременно визуализировать переднюю и септальную створки в течение всего сердечного цикла. Исследование лучше выполнять из левой парастернальной позиции по короткой оси сердца, а также из апикальной позиции. При допплеровском исследовании трехстворчатого клапана датчик располагают в апикальной, а часто и в левой парастернальной позиции.
С помощью трансторакальной ЭхоКГ при удовлетворительных условиях исследования маленькую заднюю створку трехстворчатого клапана удается рассмотреть лишь при сканировании из парастернальной позиции датчика, который ориентируют на левое плечо вдоль оси «приносящего тракта правого желудочка».
2. Чреспищеводная эхокардиография. В исследовании морфологии трехстворчатого клапана, особенно его комиссур и подклапанного аппарата, решающую роль играет ЧПЭ. Однако и в этом случае заднюю створку клапана визуализировать трудно. Если эхоскоп в нижней части пищевода после исследования венозного синуса максимально наклонить вперед, то у части больных вдоль трансвальвулярной короткой оси удается визуализировать трехстворчатый клапан, включая заднюю его створку. Наиболее отчетливое изображение трехстворчатого клапана удается получить при ЧПЭ в плоскости четырех камер, а также вдоль базальной короткой оси с наклоном плоскости сканирования под углом 60° и одновременно в плоскости аортального клапана.
3. Трехмерная эхокардиография правого желудочка. В связи с неправильной формой правого желудочка, который, как раковина, прикрывает левый желудочек, результаты определения его объема и фракции выброса с помощью двумерной ЭхоКГ неточны. Точно определить эти параметры можно с помощью трехмерной ЭхоКГ. Этот метод более трудоемкий, но не зависит от конфигурации правого желудочка; валидность его доказана как в эксперименте на животных, так и в клинических исследованиях.
4. Тканевая допплерография правого желудочка. Тканевая допплерография, с помощью которой определяют максимальную систолическую скорость кровотока, систолическую деформацию и скорость систолической деформации, находится в самом начале своего применения, но, по-видимому, не утратит своего значения и в будущем. Применение этого метода для исследования правого желудочка сердца затрудняется небольшой толщиной его свободной стенки при сканировании в плоскости, примерно соответствующей плоскости четырехкамерной позиции датчика. Межжелудочковая перегородка представляет собой анатомическую структуру, которая выполняет двойственную функцию, участвуя, с одной стороны, в образовании правого желудочка, а с другой — левого, что затрудняет оценку функции правого желудочка. Однако удалось показать, что при заболеваниях миокарда и при легочной гипертензии деформируемость правого желудочка снижена.
б) ЭхоКГ стеноза трехстворчатого клапана:
1. Двумерная эхокардиография. При трансторакальной ЭхоКГ стеноз трехстворчатого клапана распознается по ограниченной подвижности его створок, уменьшению сепарации их краев, а также куполообразной форме створок в диастолу. Возможно сращение комиссур. Наиболее информативно сканирование из парастернальной позиции вдоль короткой оси сердца на уровне основания правого желудочка, а также в плоскости четырех камер из апикальной четырехкамерной позиции. Правое предсердие, как правило, увеличено.
2. Допплерография. При допплеровском исследовании больных со стенозом трехстворчатого клапана выявляют увеличение скорости кровотока через клапан в начале диастолы, расширение частотного спектра и замедленное мезодиастолическое снижение скорости кровотока. Таким образом, критерии стеноза трехстворчатого клапана оказались сравнимы с критериями митрального стеноза, однако диастолическое ускорение кровотока из-за обычно более низкого градиента давления на трехстворчатом клапане, как правило, менее выражено. Время Т1/2P определяют так же, как при митральном стенозе; в норме оно равно 50-70 мс.
3. Чреспищеводная эхокардиография. Стеноз трехстворчатого клапана, который практически всегда имеет ревматическую природу, можно диагностировать и с помощью чреспищеводной ЭхоКГ, при которой выявляют характерные для данной патологии утолщение створок клапана, ограничение их подвижности и иногда обызвествление. Допплеровское исследование чреспищеводным доступом удается редко, так как трудно достичь оптимального угла между направлением антероградного потока крови через трехстворчатый клапан и ультразвуковым лучом. В связи с этим более предпочтительно трансторакальное исследование, так как скорость кровотока через трехстворчатый клапан и градиент давления на нем даже при стенозе относительно низкие.
4. Градиент давления. Средний диастолический градиент давления на трехстворчатом клапане до 4 мм рт.ст. расценивается как признак легкого стеноза, градиент давления, равный 4-7 мм рт.ст., считается признаком умеренного стеноза, а градиент более 7 мм рт.ст. - выраженного стеноза. После реконструкции трехстворчатого клапана (например, путем аннулопластики по Карпантье или Дюрану или с помощью операции Де Вега или Минале) может возникнуть легкий стеноз клапана.
в) ЭхоКГ при недостаточности трехстворчатого клапана. Причины недостаточности трехстворчатого клапана, критерии оценки степени тяжести ее перечислены в таблицах ниже.
Больной с явно дилатированными правыми отделами сердца как проявление гемодинамически значимой нагрузки объемом. Диаметр отверстия трехстворчатого клапана, индексированный к площади поверхности тела, составил 28 мм/м 2 . Умеренная недостаточность трехстворчатого клапана, выявленная при цветовом допплеровском картировании из апикальной четырехкамерной позиции.
1. Двумерная эхокардиография. Морфологическая оценка трехстворчатого клапана, а также определение размера кольца трехстворчатого клапана при сканировании в плоскости четырех камер сердца позволяют установить, является ли трикуспидальная недостаточность органической или имеет функциональную природу. При наличии значимой вторичной недостаточности трех створчатого клапана, развившейся в результате легочной гипертензии, диаметр клапанного кольца, индексированный к площади поверхности тела, превышает 20 мм на 1 м 2 . Максимальный диаметр кольца трехстворчатого клапана при сканировании из апикальной четырехкамерной позиции измеряют сразу после зубца Р ЭКГ.
2. Цветовое допплеровское картирование. При цветовой допплерографии вдоль короткой оси сердца из левой парастернальной, апикальной или субкостальной позиции удается дать полуколичественную оценку степени недостаточности трехстворчатого клапана. Примерно у 85% пациентов с помощью ультразвуковых аппаратов высокого разрешения при трансторакальной допплерографии удается выявить физиологическую трикуспидальную недостаточность в виде небольшой струи регургитации без признаков патологии.

Слева: трехстворчатый клапан при трансторакальной ЭхоКГ у больного 37 лет с прогрессирующей одышкой при физической нагрузке. В правое предсердие выдается дополнительная структура (стрелки), расположенная на отдалении от нормально расположенной створки трехстворчатого клапана. Справа: при ЧПЭ у того же больного выявлен выраженный пролапс передней створки трехстворчатого клапана. CVS - расширенный коронарный синус.
г) ЭхоКГ пролапса трехстворчатого клапана. Пролапс трехстворчатого клапана чаще всего сопутствует пролапсу митрального клапана и затрагивает все три его створки. Он может появиться и в результате воспалительного процесса в клапане. Пролапс трехстворчатого клапана обычно сопровождается трикуспидальной недостаточностью. Как и в случае поражения митрального клапана, возможен разрыв сухожильных хорд, удерживающих створки, и появление «молотящей» створки с развитием тяжелой трикуспидальной недостаточности.
д) ЭхоКГ эндокардита трехстворчатого клапана. Эндокардит трехстворчатого клапана встречается значительно реже, чем митрального или аортального. Заболевание в типичных случаях развивается у больных, которые лечатся в отделении интенсивной терапии, у инъекционных наркоманов и у больных с иммунодефицитом. Инфекционный эндокардит часто имеет грибковую этиологию, для которой характерны большие вегетации. Эмболия легочной артерии часто протекает субклинически, что объясняется диссеминацией эмболов в периферическое легочное сосудистое русло. Иногда септическая эмболия приводит к образованию абсцесса легкого. Трехстворчатый клапан, как и при эндокардите других клапанов сердца, подвергается деструктивным изменениям, вызывающим трикуспидальную недостаточность.
Чреспищеводная эхокардиография. Для выявления воспалительных изменений в трехстворчатом клапане или травматического его повреждения необходима визуализация не только створок клапана и их комиссур, но и подклапанных структур. Это лучше всего удается сделать, лоцируя клапан в сагиттальной плоскости из нижней части пищевода. С помощью ЧПЭ можно достоверно подтвердить или исключить разрыв сухожильных хорд, воспалительные или тромботические наложения на электроде электрокардиостимулятора или на катетере, введенном в центральную вену, а также вегетации на самом трехстворчатом клапане. скости правого желудочка. В обоих случаях клапан легочной артерии лоцируют вдоль продольной оси, а при трансгастральном доступе можно выполнить также допплеровское исследование клапана.
ЭхоКГ трикуспидального (трехстворчатого) клапана сердца


- НИО хирургии аорты, коронарных и периферических артерий
- НИО новых хирургических технологий
- НИО хирургической аритмологии
- НИО эндоваскулярной хирургии
- НИО сосудистой и гибридной хирургии
- НИО онкологии и радиотерапии
- НИО ангионеврологии и нейрохирургии
- НИО анестезиологии и реаниматологии
- НИО лучевой и инструментальной диагностики
- Состав совета по защите докторских и кандидатских диссертаций
- Требования к соискателям
- Соискатели
- Апелляции
- ГОСТ по оформлению диссертации и автореферата
- Контакты совета
- Генеральный директор Центра
- Руководство Центра
- Миссия
- История
- Мероприятия
- Фотопроекты
- Истории пациентов
- Нормативные документы
- Структура отдела
- Организационно-методическая работа с регионами
- Развитие телемедицинских технологий
- Кадровая политика и повышение квалификации
- Публичный отчет
- Устав и регистрационные документы
- Лицензии
- Публичный отчет
- Сведения о медицинских работниках
- План развития Центра
- Политика обработки персональных данных
- Охрана труда
- Политика в области охраны труда
- Противодействие коррупции
- Учетная политика
Недостаточность трехстворчатого (трикуспидального) клапана
Неполное смыкание створок клапана. При этом пороке, трикуспидальный клапан утрачивает свою замыкательную функцию, что приводит к обратному сбросу крови из правого желудочка в правое предсердие. Развиваются нарушения гемодинамики в малом круге кровообращения (нарушение поступления крови в сосуды легких и насыщения ее кислородом), застой крови в большом круге кровообращения (что проявляется значительными отеками ног, скоплением жидкости в животе, увеличением печени и т.д.). Постепенно увеличиваются правые отделы сердца, превышая нормальные показатели в 3 и более раз. Больные с тяжелым пороком трикуспидального клапана ощущают значительное снижение качества жизни вплоть до невозможности встать с постели, осуществлять любую физическую работу. Течение порока, как правило длительное, тяжело переносимое больными и, при отсутствии лечения, приводящее к смерти.
Диагноз заболевания устанавливает кардиолог или терапевт, после проведения осмотра пациента и изучения результатов ультразвукового исследования сердца.
Для лечения недостаточности трикуспидального клапана применяется консервативная терапия, направленная на уменьшение проявлений заболевания с помощью медикаментов. Однако, медикаментозное лечение способно лишь уменьшить симптомы сердечной недостаточности, но не устранить порок. Хирургическое лечение, направленное на радикальное устранение причины недостаточности кровообращения, заключается в выполнении протезирования или пластики трикуспидального клапана.
Трикуспидальная недостаточность
(Недостаточность трехстворчатого клапана; Трикуспидальная недостаточность)
, MD, Waitemata District Health Board and Waitemata Cardiology, Auckland
Трикуспидальная недостаточность (ТН) – это недостаточность трехстворчатого клапана, приводящая к току крови из правого желудочка в правое предсердие в систолу. Самая частая причина – дилатация правого желудочка. Обычно ТН протекает бессимптомно, но при тяжелой ТН могут возникать пульсация вен шеи, голосисталический шум, а также правожелудочковая сердечная недостаточность или фибрилляция предсердий. Диагноз устанавливают посредством физикального осмотра и эхокардиографии. Обычно течение ТН доброкачественное и не требует лечения, однако некоторым пациентам показана аннулопластика, пластика клапана или его замена.
Этиология регургитации на трикуспидальном клапане
Трикуспидальная недостаточность может быть
Вторичной (наиболее распространенная)
Первичная регургитация на трикуспидальном клапане встречается редко. Она может быть связана с
Тупой травмой грудной клетки
Приемом лекарственных препаратов (например, эрготамин, фенфлурамин, фентермин)
Идиопатическая миксоматозная дегенерация
Клапанные пороки, вызванные инфекционным эндокардитом Инфекционный эндокардит Инфекционный эндокардит (ИЭ) – инфекция эндокарда, обычно бактериальная (чаще стрептококковая или стафилококковая) либо грибковая. Он может проявляться лихорадкой, шумами в сердце, петехиями. Прочитайте дополнительные сведенияЯтрогенные причины включают кардиостимуляторы, которые пересекают трехстворчатый клапан и повреждают клапан во время эндомиокардиальной биопсии ПЖ.
Длительная тяжелая ТН может привести к сердечной недостаточности, обусловленной дисфункцией ПЖ КлассификацияСимптомы и признаки трикуспидальной регургитации
Трикупсидальная регургитация обычно протекает бессимптомно, но некоторые пациенты отмечают пульсацию вен шеи из-за повышенного давления в яремных венах. Симптомы тяжелой формы ТР включают периферические отеки, утомляемость, вздутие живота, асцит и анорексию. Возможны проявления фибрилляции или трепетания предсердий Трепетание предсердий Трепетание предсердий – быстрый регулярный предсердный ритм, обусловленный циркуляцией предсердного возбуждения макрориентри. Симптомы включают: перебои в работе сердца и иногда – слабость. Прочитайте дополнительные сведения .
Признаки умеренной и тяжелой степени трикуспидальной недостаточности включают набухание яремных вен с выраженно сглаженной c-v волной и крутым снижением Y; иногда наблюдают увеличение печени и периферические отеки. При выраженной ТН пальпируется дрожание правой яремной вены, а также систолическая пульсация печени и сокращения ПЖ у левого нижнего края грудины.
Аускультация
Пансистолический шум сердца слышен лучше всего в области средней границы в левой части грудной клетки или в области нижней границы грудной клетки (часто не слышен)
При аускультации I сердечный тон (S1) может быть нормальным или ослабленным, если присутствует шум трикуспидальной регургитации. II сердечный тон (S2) может быть расщепленным (с громким легочным компонентом [P2] при легочной гипертензии) или одиночным из-за быстрого закрытия клапана легочной артерии, объединенным с P2 и аортальным компонентом (A2). III сердечный тон на ПЖ (S3) может быть слышен вблизи грудины при ПЖ-индуцированной СН.
Часто шум при трикуспидальной регургитации не слышен. Хотя очевидно, что это голосистолический шум лучше слышимый слева посредине или на нижней границе грудины, или если стетоскоп размещен в эпигастрии, когда пациент сидит прямо или стоит. Шум может быть высокочастотным, если ТН функциональная или вызвана легочной гипертензией, либо среднечастотным, если ТН выраженная и имеет другие причины. Если шум отсутствует, диагноз лучше всего устанавливать по характеру пульсовой волны на яремной вене и систолической пульсации печени. Шум меняется при дыхании, усиливаясь на вдохе (симптом Карвалло).
Диагностика регургитации на трикуспидальном клапане
Легкую трикуспидальную регургитацию чаще всего обнаруживают при эхокардиографии Эхокардиография На данном фото изображен пациент, которому выполняется эхокардиография. На этом изображении показаны все 4 камеры сердца, а также трикупсидальный и митральный клапаны. Эхокардиография использует. Прочитайте дополнительные сведенияБолее умеренная или тяжелая ТН может быть предположена основываясь на анамнезе и объективном обследовании. Подтверждение диагноза проводят с использованием эхокардиографии.
Тяжелая степень ТН характеризуется наличием ≥ 1 результатов эхокардиографии из перечисленных:
2-мерная недостаточность при сближении или патологической подвижности
Плотная, треугольная, пиковая в начале, непрерывная волна допплера ТН потока
Большой поток проксимальной зоны конвергенции к клапану
Большая регургитационная струя на цветном допплере (≥ 50% площади правого предсердия)
Систолический обратный поток в печеночных венах (специфичен для тяжелой ТР)
Ширина перешейка регургитации > 7 мм
При умеренной и выраженной ТН пиковая скорость регургитации снижает давление в легочной артерии. Двухмерная эхокардиография показывает структурные изменения при первичной ТН. Оценка систолической дисфункции ПЖ является сложной задачей, диагноз предполагается с помощью выявляемой при эхокардиографии амплитуды систолического движения кольца трикуспидального клапана (TAPSE)
Для оценки размера и функции ПЖ метод выбора – МРТ сердца МРТ Кардиологические визуализирующие тесты могут определить структуру и функцию сердца. Стандартные методы визуализации включают Эхокардиография Рентгенография грудной клетки Компьютерная томография. Прочитайте дополнительные сведенияЧасто проводят ЭКГ и рентгенографию грудной клетки.
Данные ЭКГ Электрокардиография Стандартная электрокардиограмма представляет собой 12-векторное отображение электрической активности сердца как отражение разницы электрических потенциалов между положительными и отрицательными. Прочитайте дополнительные сведения обычно нормальные, но в некоторых случаях выявляют высокие заостренные зубцы Р, вызванные увеличением правого предсердия, высокие зубцы R или комплекс QR в отведении V1, характеризующие гипертрофию ПЖ, а также ФП.
Рентгенография грудной клетки Рентгенография грудной клетки Визуализация органов грудной клетки включает использование рентгенографии, компьютерной томографии (КТ), магнитно-резонансной томографии (МРТ), ядерного сканирования, включая позитронную эмиссионную. Прочитайте дополнительные сведения обычно в норме, но в тяжелом случае при гипертрофии ПЖ или правожелудочковой сердечной недостаточности, можно видеть увеличенную верхнюю полую вену, увеличенное правое предсердие или контур ПЖ (за верхней частью грудины в боковой проекции) либо обнаружить плевральный выпот.
В этом случае не требуются лабораторные исследования, но в случае их проведения у пациентов с тяжелой формой ТН может быть выявлена печеночная дисфункция.
Катетеризация сердца Катетеризация сердца Катетеризация сердца представляет собой проведение катетера через периферические артерии или вены в камеры сердца, легочную артерию, коронарные артерии и вены. Катетеризацию сердца используют. Прочитайте дополнительные сведения c-v во время систолы желудочков.
Прогноз при трикуспидальной регургитации
Тяжелая степень трикуспидальной рерургитации в итоге имеет неблагоприятный прогноз, даже если в течение многих лет она хорошо переносилась пациентом. Как и в случае регургитации клапанов левых камер, при объемной перегрузке со временем развивается необратимая декомпенсация желудочка. Однако в отличие от митральной регургитации в камерах левой части сердца, надежный способ определения начала декомпенсации ПЖ отсутствует. Учитывая это, пациентов обычно отправляют на хирургическую операцию с опозданием. В контексте значительных рисков, связанных с хирургическим вмешательством, общий результат является неудовлетворительным.
Лечение трикуспидальной регургитации
Лечение причины заболевания
В некоторых случаях показана аннулопластика или замена клапана
Минимальная трикуспидальная регургитация является вариантом нормы и не требует лечения. Консервативное лечение причины (например, сердечной недостаточности, эндокардита).
Медикаментозная терапия петлевыми диуретиками может уменьшить застойные явления. Дополнительную пользу могут иметь антагонисты альдостерона , поскольку они противодействуют вторичному гиперальдостеронизму, связанному с застоем в печени. Лечение основного заболевания крайне важно при вторичной трикуспидальной недостаточности. Пациентов с тяжелой степенью трикуспидальной недостаточности следует оперировать при наличии симптомов, несмотря на медикаментозное лечение, или в случае, если наблюдается умеренное, постепенное расширение ПЖ или его дисфункция. Также пластика клапана может быть выполнена при умеренной или легкой ТН с расширением кольца клапана > 40 мм во время операций по причине пороков левых отделов сердца ( 1 Справочные материалы по лечению Трикуспидальная недостаточность (ТН) – это недостаточность трехстворчатого клапана, приводящая к току крови из правого желудочка в правое предсердие в систолу. Самая частая причина – дилатация. Прочитайте дополнительные сведения ).
Варианты хирургического лечения включают
Аннулопластика, при которой кольцо трикуспидального клапана подшивают к кольцу протеза или выполняют уменьшение окружности кольца, назначается, если ТН развивается вследствие дилатации кольца.
Пластика или замена клапана показаны, когда ТН развивается из-за первичного поражения клапана или когда аннулопластика технически невыполнима. Восстановление трикуспидального клапана, как правило, предпочтительнее замены. Замена трискупидального клапана показана, когда ТН возникла вследствие карциноидного синдрома или аномалии Эбштейна. Биологический клапан используется для снижения риска тромбоэмболии, связанной с низким давлением в правых отделах сердца; в правых отделах сердца, в отличие от левых, биологический клапан служит > 10 лет. Биопротезный клапан требует временной антикоагуляции (см. также Антикоагулянтная терапия у пациентов с протезированными клапанами сердца [Anticoagulation for patients with a prosthetic cardiac valve] Антикоагулянтная терапия для пациентов с протезом клапана сердца Патология любого клапана сердца может характеризоваться развитием стеноза или недостаточности (также называемой регургитацией или несостоятельностью), которые вызывают гемодинамические изменения. Прочитайте дополнительные сведения ).
Процедура чрескожного восстановления клапанов в настоящее время совершенствуется. Это решит вопрос неудовлетворенных потребностей и при тяжелой форме трикуспидальной недостаточности позволит намного раньше и с более низким риском проводить процедуру чрескожного восстановления.
Справочные материалы по лечению
1. Otto CM, Nishimura RA, Bonow RO, et al: 2020 ACC/AHA Guideline for the Management of Patients With Valvular Heart Disease: Executive Summary: A Report of the American College of Cardiology/American Heart Association Joint Committee on Clinical Practice Guidelines. Circulation 143(5):e35–e71, 2021. doi: 10.1161/CIR.0000000000000932
Основные положения
Чаще всего трикуспидальная недостаточность (ТН) возникает в здоровом клапане, поврежденном из-за расширения правого желудочка; реже ТН бывает вызвана эндогенной патологией клапана (например, вследствие инфекционного эндокардита, карциноидного синдрома, приема некоторых препаратов).
Может наблюдаться набухание яремных вен; тяжелая степень ТН может привести к вздутию живота, увеличению печени и периферическим отекам.
При аускультации регистрируется голосистолический шум, лучше всего он слышен вдоль левого края средней и нижней трети грудины или в эпигастрии в положении больного сидя или стоя; усиливается на вдохе.
ТН обычно хорошо переносится пациентами, но в тяжелых случаях может быть необходима аннулопластика, восстановление клапана или его замена.
Авторское право © 2022 Merck & Co., Inc., Rahway, NJ, США и ее аффилированные лица. Все права сохранены.
Эхокардиография (УЗИ сердца, ЭхоКГ)
Пожалуй, этот вопрос задает себе каждый владелец, который обращается в ветеринарную клинику для проведения планового или срочного оперативного вмешательства. Порой о необходимости проведения УЗИ сердца предупреждает терапевт после аускультации грудной клетки пациента (выявление патологических шумов).
Несмотря на современную аппаратуру и медикаменты, высококвалифицированный персонал, существует ряд патологических структурных и гемодинамических изменений сердца, которые во время анестезии могут проявляться различными осложнениями. Для того чтобы разработать определенную стратегию ведения пациента, анестезиологу необходимо знать, какие изменения выявлены в сердце, к чему они привели, что происходит с гемодинамикой, какие препараты анестезии следует выбрать для минимизации риска у данного пациента, какие препараты противопоказаны.
Кроме того, если у пациента на приеме выявлен сердечный шум, после УЗИ сердца врач-кардиолог может установить этиологию (причину) этого шума, дать рекомендации дальнейшей диагностики и тактики лечения.
Часто патологические изменения сердца не приводят к клиническим проявлениям (особенно у кошек). Бессимптомное течение болезней сердца приводит к тому, что владельцы обращаются со своим питомцем только тогда, когда развивается декомпенсация кровообращения, значимые гемодинамические и структурные изменения, проявляются симптомы сердечной недостаточности.
УЗИ позволяет выявить заболевания сердца еще на доклинической стадии, принять необходимые меры и, возможно, спасти жизнь пациента.
Для того чтобы немного разобраться, что именно врач УЗД видит при проведении исследования, необходимо знать, как выглядит сердце с точки зрения анатомии.
Сердце – центральный орган системы кровообращения, обеспечивающий движение крови по сосудам. Оно располагается в грудной полости. Представляет собой четырехкамерный полый мышечный орган. Стенки сердца образованы главным образом мышечной тканью – миокардом. Внутренняя поверхность сердца выстлана тонкой оболочкой – эндокардом. Наружная поверхность сердца покрыта серозной оболочкой – эпикардом, которая на уровне крупных сосудов, отходящих от сердца, заворачивается и образует околосердечную сумку – перикард.
Расширенная верхняя часть сердца называется основанием, узкая нижняя часть – верхушкой. Сердце состоит из четырех камер: двух предсердий (правое и левое) и двух желудочков (правый и левый). Продольной перегородкой сердце делится на две не сообщающиеся между собой половины – правую и левую, каждая из которых состоит из предсердия и желудочка. Правое предсердие соединяется с правым желудочком, а левое предсердие с левым желудочком предсердно-желудочковыми отверстиями.
В правое предсердие впадают краниальная и каудальная полые вены, несущие венозную кровь из большого круга кровообращения. Из правого желудочка выходит легочной ствол, по которому венозная кровь поступает в легкие. В левое предсердие впадают легочные вены, несущие обогащенную кислородом артериальную кровь. Из левого желудочка выходит аорта, по которой артериальная кровь поступает в большой круг кровообращения.
Предсердия – это сравнительно тонкостенные камеры сердца. Они находятся выше желудочков и отделены от них предсердно-желудочковыми клапанами. Сердце имеет четыре клапана, регулирующие направление тока крови. Между левым предсердием и левым желудочком находится митральный клапан (двустворчатый). Между правым предсердием и правым желудочком трикуспидальный клапан (трехстворчатый). У собак ТК может быть относительно 2-створчатым за счёт формирования комиссуры между передней и задней створками. Тогда он смотрится как 2- створчатый, но формируются в эмбриогенезе 3 створки. От левого желудочка сердца отходит основная артерия организма — аорта. В устье аорты расположен аортальный клапан, отграничивающий левый желудочек от аорты.На выходе из правого желудочка расположена легочная артерия. В ее устье находится легочный клапан.
Схематически сердце можно представить следующим образом:

Рис.1. Схематичное изображение сердца. ЛП — левое предсердие ЛЖ — левый желудочек ПП — правое предсердие ПЖ – правый желудочек МК – митральный клапан ТК – трикуспидальный клапан 1 – легочные вены 2 – аорта 3 – каудальная полая вена 4 – краниальная полая вена 5 – легочная артерия
Правое и левое предсердия разделены между собой межпредсердной перегородкой. Желудочки сердца имеют более толстую стенку. Стенка левого желудочка в два раза толще стенки правого. От стенок обоих желудочков отходят сухожильные мышцы, которые сужаются и переходят в сухожильные хорды, прикрепляющиеся к клапанам. Между собой желудочки отделены межжелудочковой перегородкой.
Рекомендуется проводить УЗИ сердца в следующих случаях:
- Перед любым оперативным вмешательством, независимо от возраста, пола и породы животного.
- При возникновении таких симптомов как кашель, одышка, утомляемость, непереносимость физических нагрузок, повышенная жажда, судорожные явления, неврологические явления, синкопальные состояния (обмороки).
- У пород кошек и собак, имеющих предрасположенность к болезням сердца (Мейн-кун, Британская, Шотландская, Бенгальская, Той-терьер, Чихуахуа, Йоркширский Терьер, Боксер и многие другие).
- Наличие патологических шумов при аускультации сердца и легких.
- При выявлении патологических изменений в ЭКГ (электрокардиограмме).
- При травматизации животного (падение с высоты, ДТП и др.)
Породная предрасположенность некоторых пород к болезням сердца:
- ДКМП (дилатационная кардиомиопатия): Афганская Гончая, Доберман, Дог, Ирландский Волкодав, Коккер Спаниель, Шотландская Борзая и другие.
- Стеноз трехстворчатого клапана: Лабрадор Ретривер, Бобтейл.
- Стеноз митрального клапана: Ньюфаунленд, Бультерьер.
- Пролапс створок митрального клапана: Бигль.
- Синдром слабости синусового узла: Такса, Боксер, Спаниель, Вест-хайленд-уайт-терьер.
- Трехпредсердное сердце: Акита-ину, Французский Бульдог.
- Двустворчатый аортальный клапан: Английский Бульдог, Ньюфаунленд.
- Эндокардиоз митрального клапана: Такса, Чихуахуа, Йоркширский Терьер, Пудель.
- Стеноз клапана легочной артерии: Английский Бульдог.
- Гипертрофическая кардиомиопатия у собак: Бостон Терьер, Веймаранер.
- Аортальный стеноз: Ньюфаунленд, Ротвейлер, Боксер, Лабрадор Ретривер.
- Субаортальный стеноз: Ротвейлер.
- Аномалия Эбштейна: Лабрадор.
- Аритмогенная дисплазия правого желудочка: Боксер.
УЗИ сердца является безопасным, не инвазивным методом диагностики болезней сердца. Проведение данной процедуры не требует специальной подготовки и седации пациента.
Возможности ЭХО-кг:
Трансторакальная эхокардиография — исследование сердца с помощью ультразвукового датчика, плотно приставленного к передней поверхности грудной клетки.
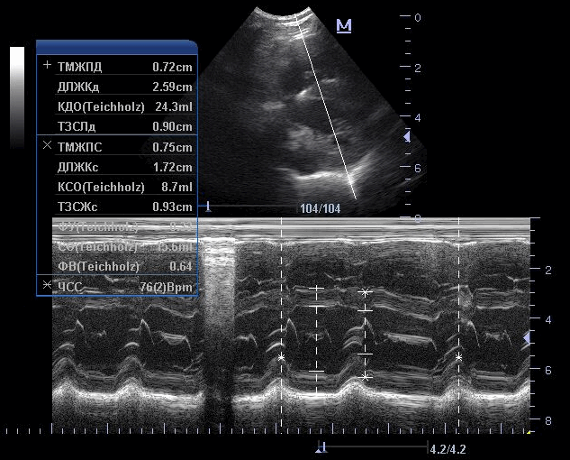
УЗИ сердца проводится в трех режимах: В-режим; М-режим и режим допплера. В-режим, или режим двухмерной ультразвуковой кардиографии, позволяет получить поперечные изображения сердца и магистральных сосудов в реальном масштабе времени и отличить полости сердца, заполненные кровью, от мягких тканей его камер, створок клапанов и сосудов. М-режим ультразвуковой кардиографии позволяет провести количественный анализ объема и движения камер сердца и клапанов. Режим допплера дает информацию о динамике потока крови и сосудах через камеры и клапаны сердца.

Рис. 2. Эхокардиография, В-режим. Визуализация аорты, дилатированного левого предсердия

Рис.3. Эхокардиография. М-режим. Измерения параметров
Специальная подготовка пациента не требуется. В месте контакта датчика с телом пациента механически удаляется шерстный покров (машинкой для стрижки). Это необходимо для того, чтобы контакт датчика и кожи пациента был максимальный. На датчик и кожу пациента наносится специальный гель для улучшения проводимости ультразвукового луча.
УЗИ сердца проводят в боковом положении тела на правом боку. У пациентов в критическом состоянии (отек легких, дыхательная недостаточность, плевральный выпот и прочие) можно проводить исследование в вертикальном положении и положении сидя.
УЗИ сердца требует максимальной неподвижности пациента, так как при включении допплера, он будет реагировать на каждое движение и звук.
Исследование занимает 10-15 минут.
Таким образом, мы рекомендуем проводить УЗИ сердца планово у всех пациентов перед оперативным вмешательством и у всех пациентов с сердечными шумами. Кроме того, наши врачи рекомендуют проводить УЗИ сердца у всех породистых пациентов для ранней диагностики болезней сердца.
Читайте также:
