Гемангиома печени - диагностика
Добавил пользователь Владимир З. Обновлено: 13.12.2025
Если вас интересует диагноз «гемангиома печени», что это такое и какое лечение назначается больному — ищите ответы на вопросы в данной статье. Это доброкачественное образование, сформированное дегенеративным скоплением кровеносных сосудов. Патология формируются ещё на этапе утробного развития, что позволяет отнести её к классу врождённых заболеваний.
Классификация
- Каверзнозная. Состоит из специфических полостей, заполненных плазмой крови и окружённых плотной капсульной оболочкой.
- Капиллярная. Множественные очаговые образования из переплетения мелких сосудов, формирующих несколько кровеносных потоков.
Причины
- Основным фактором, влияющим на риск развития заболевания, является генетическая аномалия. Шанс наличие патологии у взрослых людей составляет 6 %.
- Спровоцировать развитие гемангиомы может переизбыток у матери таких гормонов, как прогестерон и эстроген.
- Причины появлений новообразования также могут крыться в приёме гормональных препаратов во время беременности.
Симптомы
- Небольшая гемангиома печени (до 6 см) не влечёт за собой никакие симптомы и не доставляет дискомфорта, что затрудняет её обнаружения и лечение.
- Так как опухоль быстро растёт в старшем возрасте, то в 40-50 лет возникают болезненные ощущения и чувство сдавленности в районе желудка.
- В редких случаях может провоцировать развитие желтухи и повышение кровяного давления в области воротной вены.
Диагностика
Гемангиома как левой, так и правой доли печени опасна тем же, чем опасна и любая доброкачественная опухоль: разрыв и последующее внутреннее кровотечение, а также трансформация в злокачественное образование. Поэтому своевременно обнаружение и лечение имеет большое значение.
Наиболее эффективным методом выявления данного заболевания является компьютерная и магнитно-резонансная томография, которые позволяют определить точную локализацию и характер гемангиомы. Мелкие сосудистые уплотнения могут быть диагностированы при помощи ангиографии и анализа крови.
Лечение
Маленькая гемангиома печени, причины возникновения которой были рассмотрены выше, не наносит вреда организму и не требует лечения. В случае разрастания сосудистого уплотнения, оно удаляется в ходе оперативного вмешательства. Но операция становится невозможной, если поражены обе доли. В таком случае проводится медикаментозное лечение, основывающееся на индивидуальном гормональному курсе. Также скопление сосудов может быть разрушено при помощи лазера, радиолучевой терапии или электрокоагуляции.
Профилактика
Существует мнение, что причины возникновения гемангиномы в большинстве случаев заключатся в перенесённой матерью во время беременности ОРВИ. Поэтому в качестве профилактических мер для ребёнка носящая его мать должна максимально защитить себя от данного типа инфекций.
Чтобы не позволить образованию трансформироваться в злокачественную опухоль, необходимо придерживаться строгой диеты, исключив из рациона жирную, солёную, острую и жареную пищу и чаще употреблять рыбу, молоко, печень и все продукты, содержащие витамин B12, который очень полезен для здоровья печени.
Чтобы определить лечение, вам нужно обратиться к доктору. Выберите и запишитесь к доктору из нашего рейтинга ниже.
Хирург «СМ-Клиника» рассказал о гемангиоме печени

Гемангиома печени - это заболевание довольно распространено и в большинстве случаев не опасно, никак себя не проявляет и не требует лечения. Однако бывают случаи, когда все же требуется помощь врача. Разберемся, что это за патология вместе с экспертом.
Что такое гемангиома печени
Гемангиома (также известная как ангиома) печени – это доброкачественная опухоль, которая состоит из скоплений небольших сосудистых полостей, заполненных кровью.
Такой диагноз имеют 5% взрослого населения. Эти новообразования чаще встречаются у взрослых, чем у детей: типичный возраст пациентов – 30 - 50 лет. Гемангиомы печени чаще встречаются у женщин, чем у мужчин.
Большинство гемангиом печени не вызывают симптомов, хотя более крупные образования, которые давят на ткани, могут стать причиной плохого аппетита, вызывать тошноту и рвоту.
Как правило, у пациента образуется всего одна гемангиома, но в некоторых случаях их может быть несколько. Гемангиомы не перерастают в рак и не распространяются на другие части тела.
Причины гемангиомы печени у взрослых
Почему в печени образуются гемангиома – достоверно неизвестно. Но отдельные исследования показывают, причиной могут быть определенные дефектные гены. Есть предположения, что роль в развитии опухоли могут сыграть:
- длительная стероидная терапия при заболеваниях или для наращивания мышечной массы;
- длительное употребление противозачаточных таблеток;
- беременность.
Симптомы гемангиомы печени у взрослых
Большинство гемангиом печени не вызывают каких-либо неприятных симптомов, их обнаруживают, когда пациента осматривают по поводу другого заболевания.
Маленькие (от нескольких миллиметров до 2 см в диаметре) и средние (от 2 до 5 см) не лечат, но их следует регулярно контролировать. Такой мониторинг необходим, потому что около 10% гемангиом со временем увеличиваются в размерах по неизвестным причинам.
Гигантские гемангиомы печени (более 10 см) обычно имеют симптомы и осложнения, требующие лечения. Симптомы чаще всего включают боль в верхней части живота, поскольку большое образование давит на окружающую ткань и капсулу печени. Другие симптомы включают:
- плохой аппетит;
- тошноту;
- рвоту;
- быстрое чувство сытости во время еды;
- ощущение вздутия после еды.
Лечение гемангиомы печени у взрослых
Более мелкие гемангиомы не нуждаются в лечении, но относительно крупные опухоли порой требуют хирургического вмешательства.
Диагностика
Есть ряд тестов, которые помогают отличить гемангиому печени от других типов опухолей:
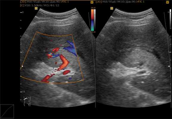
- контрастно-улучшенный ультразвук – высокочастотные звуковые волны проходят через ткани тела, а эхо-сигналы записываются и преобразуются в видео или фотографии;
- компьютерная томография (КТ);
- магнитно-резонансная томография (МРТ);
- ангиография – в сосуды вводится контрастное вещество, чтобы посмотреть на них при рентгеновском облучении;
- сцинтиграфия – ядерное сканирование, при котором используется радиоактивный изотоп технеций-99m для формирования изображения гемангиомы.
Современные методы лечения
Некоторые гемангиомы диагностируются при рождении или в раннем детстве (до 5 - 10% годовалых детей). Гемангиома обычно со временем уменьшается и в некоторых случаях может исчезнуть. Если она небольшая, стабильная и не вызывает никаких симптомов, ее можно контролировать с помощью визуальных исследований каждые 6 - 12 месяцев.
Лекарственных средств для лечения гемангиомы печени не существует. Для удаления опухоли может потребоваться операция – если она быстро растет или вызывает значительный дискомфорт или боль. Техника, называемая сосудистой эмболизацией, при которой перекрываются кровеносные сосуды, питающие гемангиому, может замедлить или обратить вспять ее рост.
Профилактика гемангиомы печени у взрослых в домашних условиях
Популярные вопросы и ответы
На вопросы о гемангиоме печени мы попросили ответить рентгенэндоваскулярного хирурга Александра Ширяева.
Какие могут быть осложнения при гемангиоме печени?
Гемангиома печени может привести к разрыву тканей, внутреннему кровотечению и геморрагическому шоку. Есть вероятность, что из-за больших размеров образования могут быть сдавлены близлежащие органы, сосуды и нервы.
Когда нужна операция при гемангиоме печени?
Выбор тактики лечения гемангиомы во многом зависит от ее размеров и формы. Опухоли размером 4 - 6 см (в объеме) не требуют оперативных действий. В этом случае за состоянием пациента просто наблюдают, через 3 месяца с момента обнаружения делают УЗ-контроль, а в дальнейшем его повторяют каждые 6 - 12 месяцев.
В более сложной ситуации специалист подберет гормональную терапию, лучевую терапию или хирургическое вмешательство.
Можно ли лечить гемангиому печени народными средствами?
Народными средствами вылечить гемангиому нельзя. Лечение этой патологии индивидуально в каждом конкретном случае. Необходимо соблюдать диету, чтобы не спровоцировать ухудшение: исключить из рациона алкоголь, газированные напитки, шоколад, специи, хлеб, а также жирную и соленую пищу.
Гемангиома печени

Гемангиома печени – опухолевое образование доброкачественного характера, которое появляется на одной или обеих долях внутреннего органа. В среднем, размер новообразования достигает 5 см.
Классификация
В мировой медицинской практике существует несколько разновидностей данной опухоли:
- кавернозная гемангиома печени, представляющая собой сразу несколько свободных полостей, соединяющихся в единую;
- капиллярная гемангиома печени образует большое число маленьких полостей, в каждой из которых размещается кровеносный или венозный сосуд.
Наряду с самыми распространенными также могут встречаться венозная, гроздевидная гемангиома, гемангиоэндотелиома.
Симптоматика недуга
Симптомы гемангиомы печени появляются далеко не сразу. Из-за небольших размеров образования даже в лабораторных условиях не всегда можно заметить наличие новых клеток. Это же касается клинических проявлений.
При разрастании опухоли до размеров от 10 см можно обнаружить нехарактерные для здорового состояния особенности:
- увеличение печени в объемах;
- тошнота, небольшая рвота;
- неприятные, болезненные ощущения под ребрами с правой стороны.
Все эти симптомы возникают в результате того, что новообразование давит на соседние органы и сдавливает расположенные рядом сосуды.
В некоторых случаях гемангиома печени может проявить себя после травмы живота (например, сильного удара) или интенсивной физической нагрузки тела. Разорвавшись от натуги, она вызывает внутреннее кровотечение и острую боль в области живота.
Причины появления

Признаки гемангиомы печени может ощутить на себе абсолютно каждый человек вне зависимости от возраста или пола. Тем не менее, отмечено, что у женщин она может разрастаться интенсивнее ввиду повышенного уровня гормона эстрогена.
Несмотря на огромное количество проведенных исследований данного образования, точная причина его появления до сих пор не выявлена. Ученые-медики считают, что предпосылки формируются еще во внутриутробном периоде развития плода.
Существует мнение о том, что разрастание клеток, образующих впоследствии гемангиому печени, активизируется в результате перенесенных организмом кровоизлияний, а также склонности к увеличению капиллярных и венозных сосудов и тромбозам.
Диагностика образования
В исключительно резких случаях, лишь при случайном стечении обстоятельств, гемангиома печени у ребенка или взрослого может быть обнаружена на ранней стадии. В подавляющем большинстве случаев ее находят, когда размеры достигают серьезных объемов.
В качестве методов диагностики применяются следующие:
- и печени (может показать опухоль круглой формы с четкими границами); (помимо очертаний образования покажет и его содержимое); (послойно продемонстрирует границы и содержимое опухоли).
При обнаружении опухоли необходимо определить ее качественные особенности. Для подтверждения гемангиомы проводится ангиография чревного ствола, может также понадобиться статическая сцинтиграфия печени. Чтобы определить степень доброкачественности (злокачественности) атипичных клеток, назначается гепатосцинтиграфия.
Наряду с этим проводятся клинические анализы:
- печеночные пробы; , биохимия крови;
- анализ крови на генетические маркеры.
Особенности лечения
Методика избавления от новообразования во многом зависит от его размеров и формы.

Небольшие опухоли (до 5-6 см в объеме) не требуют особенных действий. За ними осуществляется наблюдение и УЗ-контроль спустя 3 месяца с момента обнаружения. При отсутствии какой-либо динамики ультразвуковая диагностика назначается каждые 6-12 месяцев.
Необходимость в хирургическом удалении определяется индивидуально. К такому ходу событий приводят:
- стремительное разрастание гемангиомы печени – более чем на 50% от первоначальных размеров за год;
- объем более 5-6 см;
- кровотечение атипичной ткани;
- агрессивное проявление симптомов;
- неточное определение доброкачественности опухоли.
Питание
Питание при гемангиоме печени играет существенную роль в избавлении от нее. Пациенту в обязательном порядке назначается диета, чтобы не спровоцировать ухудшение ситуации (резкое разрастание атипичных клеток).
Диета при гемангиоме печени у взрослых и детей подразумевает исключение из рациона таких продуктов, как:
- газированные напитки;
- алкоголь и слабоалкогольные напитки;
- любой шоколад;
- яичные желтки;
- острые специи;
- груши, дыни;
- свежий хлеб.
Следует ограничить потребление жирной, жареной, копченой, соленой пищи.
Вместо этого необходимо сделать упор на:
- нежирные сорта рыбы;
- печень;
- молочные продукты;
- вязкие каши;
- овощи;
- не кислые фрукты.
Может быть дополнительно назначен прием витамина В12.
Ответы на распространенные вопросы
Какая профилактика при гемангиомах?
Так как точная причина появления гемангиомы не определена, грамотной профилактической мерой является проведение один раз в год ультразвуковой диагностики печени. При наличии каких-либо сомнений следует дополнительно сделать КТ или МРТ.
Обязательно ли соблюдать диету при гемангиоме печени?
Правильный подбор питания обязателен в случае, если пациент настроен на положительный результат. Употребление недопустимых в рационе заболевшего продуктов может спровоцировать резкий рост и разрыв гемангиомы.
Чем опасна гемангиома печени?
Ее главная опасность заключается в возможном разрыве тканей и последующим за ним кровотечением. Также существует вероятность, что из-за больших размеров опухоли будут сдавлены соседние органы, в связи с чем будет нарушена их работа.
Как лечить гемангиому печени?
Лечение данного недуга подбирается в зависимости от его размеров и скорости разрастания. Специалист может подобрать гормональную терапию, малоинвазивные методы (например, лучевую терапию), а также хирургическое вмешательство. Для закрепления эффекта от лечения необходимо соблюдать специальную диету.
Гемангиома печени

Гемангиома печени – наиболее распространенное доброкачественное новообразование в печени в виде образования сосудистой полости.
Нет убедительных доказательств, что гемангиома может трансформироваться в рак даже при отсутствии лечения. Стоит отметить, что сосудистое новообразование также не распространяется в другие органы. Гемангиома встречается примерно у 15% населения и чаще обнаруживается случайно во время обследования, выполняемого по другим медицинским показаниям.
Обычно заболевание протекает бессимптомно. Однако, при достижении больших размеров, нарушении работы печени и окружающих органов, могут возникнуть клинические симптомы.
Причины гемангиомы печени
Природа формирования данной патологии до конца не определена. Врачи считают, что гемангиомы могут возникать уже с рождения. Одной из возможных причин рассматривают нарушение закладки органов на этапе эмбриогенеза.
- Пол. У женщин в три раза чаще диагностируют сосудистое образование.
- Возраст. Гемангиома может быть выявлена в любом возрасте, чаще это происходит в интервале от 30 до 50 лет.
- Беременность. Рост гемангиомы стимулирует гормон эстроген, который увеличивается во время беременности.
- Длительная заместительная гормональная терапия (оральные контрацептивы, стероиды).
Симптомы гемангиомы печени
В большинстве случаев гемангиома протекает бессимптомно. Опухоли, достигающие в размерах пяти сантиметров и более (что встречается редко), могут сопровождаться следующими симптомами:
- дискомфорт, боли в правом подреберье;
- тошнота, рвота, вздутие живота;
- ощущение насыщения после приема небольшого количества пищи.
Перечисленные выше признаки являются неспецифическими, могут встречаться при других заболеваниях и расстройствах желудочно-кишечного тракта. Окончательный диагноз ставится после выполнения комплексной диагностики.
Классификация
Гемангиомы классифицируют следующим образом:
- кавернозная гемангиома – представлена свободными полостями, которые формируют одну целую опухоль;
- капиллярная (или простая) – состоит из множества мелких сосудистых полостей с расположенным внутри сосудом;
- смешанная – комбинация двух описанных видов.
Диагностика
Для того чтобы поставить правильный диагноз, требуется выполнение инструментальных диагностических методов:
- Ультразвуковое исследование. Метод визуализации органов и анатомических структур. В его основе лежит использование высокочастотных звуковых волн, которые отражаются от органов, с формированием изображения.
- Компьютерная томография. Изображение формируется благодаря послойному сканированию органа рентген-излучением.
- Магнитно-резонансная томография – основной метод исследования. В основе метода лежит получение детальной картины органа с помощью магнитного поля и радиоволн.
- Чрескожная пункционная биопсия и гистологическое исследование, как правило не выполняются, в связи с высоким риском развития кровотечения из места пункции образования.

Лечение гемангиомы печени
Маленькие гемангиомы (до пяти сантиметров), не сопровождающиеся клиническими симптомами, не нуждаются в лечении и подлежат только динамическому наблюдению. В большинстве случаев гемангиома остается неизменной. Тем не менее, лечащий врач должен рекомендовать наблюдение в динамике с целью контроля роста гемангиомы, так как в 10% случаев отмечается ее тенденция к росту.
Способ лечения зависит от размеров, количества и локализации сосудистого новообразования. Учитываются возраст и сопутствующие заболевания.
Стоит ли беспокоиться, если МРТ выявило гемангиому печени?
Вы - практически здоровый человек, у которого ничего не болит. Заботясь о своём здоровье, решаете пройти профилактическое УЗИ. «Вам нужно сделать МРТ печени», - слышите вы после исследования. Причина - образование в печени…
Вы - практически здоровый человек, у которого ничего не болит. Заботясь о своём здоровье, решаете пройти профилактическое УЗИ. «Вам нужно сделать МРТ печени», - слышите вы после исследования. Причина - образование в печени…
С вопросами, что такое гемангиома печени и стоит ли её опасаться, а также другими, мы обратились к врачу-рентгенологу ООО «МРТ Эксперт Липецк» Самаеву Александру Константиновичу.
- Александр Константинович, что такое гемангиома печени и как часто в своей практике вы встречаетесь с этим диагнозом?
Это врожденная сосудистая мальформация, представляющая собой расширенные венозные сосуды, с медленным током крови. По статистике, гемангиома печени встречается достаточно часто - примерно у 7% всех людей.
- Гемангиома печени – это чаще случайная находка или существуют симптомы, позволяющие предположить наличие у пациента этого образования?
В большинстве случаев эта патология обнаруживается случайно. Изредка человека могут беспокоить боли в брюшной полости, в области правого подреберья. При этом каких-то типичных клинических признаков этого заболевания нет.
- Гемангиома печени встречается только у взрослых или может быть у детей?
Она обнаруживается во всех возрастных группах.
- Что приводит к развитию гемангиомы печени?
Это врожденное заболевание. Причины его возникновения у взрослых, как, впрочем, и у детей, до конца не изучены. Существует гипотеза о роли в образовании и росте гемангиом гормонов.
- Какие бывают виды гемангиом печени?
По строению этих образований выделяют капиллярные и кавернозные их разновидности. По размерам различают мелкие и крупные гемангиомы.
- Существуют ли стадии развития гемангиомы печени?
В классификации этого заболевания стадийности не описано.
- В чём опасность гемангиомы печени? Возможно ли развитие при ее наличии каких-то осложнений?
Это зависит, среди прочего, от размера образования, склонности к увеличению и его скорости. Мелкая гемангиома непосредственной опасности для человека не представляет.
Если же речь идет о крупной гемангиоме, то в определенных ситуациях существует риск ее разрыва с последующим кровотечением и формированием гематомы, возможен также тромбоз гемангиомы, сдавление окружающих органов.
Некоторые авторы указывают на возможность инфицирования тромба гемангиомы, с формированием абсцесса, спаек с петлями кишечника и кишечной непроходимости, а также возможность перекрута, при наличии гемангиом на ножке, развития печеночной недостаточности при множественных образованиях.
- Любая ли гемангиома печени требует лечения? Гемангиомы каких размеров безопасны?
Не каждое образование нуждается в лечении. Говорить о безопасном размере не совсем корректно, поскольку, как я отмечал ранее, не только величина гемангиомы имеет значение. По мнению некоторых врачей, при гемангиомах печени размером более 5 см и наличии жалоб у пациента целесообразно проведение операции. Вопрос о лечении (в том числе и хирургическом) всегда решается в индивидуальном порядке.
- Гемангиома печени может исчезнуть сама?
Да, в некоторых случаях это возможно - такое явление описано, в частности, в детском возрасте.
- Возможно ли озлокачествление гемангиомы?
- Если диагноз есть, это всегда требует наблюдения за образованием? При гемангиоме печени показано МРТ или КТ?
Да, такому человеку необходимо наблюдаться с тем, чтобы следить за динамикой развития гемангиомы. Кроме того, некоторые другие патологические образования печени могут "маскироваться" под гемангиому.
Если говорить о выборе между магнитно-резонансной томографией и компьютерной томографией, чаще применяется первый метод. Однако если аппарата МРТ нет, то обнаружить гемангиому с помощью КТ также возможно.
- Если для диагностики гемангиомы печени используется МРТ, оно выполняется с контрастом или без него?
С контрастным веществом. Причем КТ также показано с проведением контрастирования, поскольку некоторые важные характеристики гемангиомы выявляются именно при введении контраста.
- Если картина гемангиомы печени может быть похожа на другие образования, означает ли это, что ее можно перепутать с метастазами или раком печени?
Да, это возможно. Поэтому так важно наблюдение за этим образованием в динамике, с периодичностью, устанавливаемой врачом.
Самаев Александр Константинович
Выпускник лечебного факультета Северо-Осетинской государственной медицинской академии 2008 года.
Читайте также:
