Гипертонический артериолярный нефросклероз
Добавил пользователь Владимир З. Обновлено: 03.11.2025
Болезни почек: у женщин
Болезни почек у женщин могут иметь воспалительный характер, являться следствием аутоиммунных расстройств, онкологической патологии (как первичное поражение почки опухолями, так и вторично - метастазы в почки, реакция ткани почек на наличие опухоли в организме), отравлений различными веществами, а также при тяжелых формах токсикозов беременности (гестозах). Почки поражаются при сахарном диабете 2-го типа, артериальной гипертензии, атеросклерозе и др. Основные болезни почек у женщин следующие:
Термин IgA-нефропатия используют для обозначения нозологической формы, морфологический вариант которой - мезангиопролиферативный гломерулонефрит. IgA-нефропатия встречается или как изолированное заболевание, или как проявление системных заболеваний , в первую очередь геморрагического васкулита.
Гипертонический доброкачественный артериолярный нефросклероз - прогрессирующее поражение почек, вызванное хронической, плохо контролируемой гипертензией. Злокачественный артериолярный нефросклероз является синонимом гипертонического криза.
Интенсивные физические нагрузки являются одной из возможных причин гематурии. Гематурия при физических нагрузках может быть макро- или микроскопической, она возникает после интенсивных физических упражнений и разрешается с отдыхом у лиц без явной патологии почек или мочевыводящих путей.
Типичный гемолитико-уремический синдром (типичный ГУС) - тромботическая микроангиопатия, характеризующаяся механической гемолитической анемией, тромбоцитопенией и почечной недостаточностью, обычно сопровождается продромальным энтеритом, вызванным энтерогеморрагическим эшерихиозом.
Гломерулонефрит представляет собой поражение клубочков почек, характеризуется отечностью тканей, повышением артериального давления и наличием эритроцитов в моче.
Фокально-сегментарный гломерулосклероз (ФСГС) - форма гломерулонефрита, для которой характерно склерозирование отдельных сегментов (сегментарные изменения) в части клубочков (фокальные изменения); остальные клубочки в начале болезни интактны.
Диабетическая нефропатия развивается у 10—20% больных сахарным диабетом. Больные инсулинозависимым сахарным диабетом особенно подвержены этому осложнению: у 30—40% больных через 15—20 лет после клинического проявления болезни развивается терминальная почечная недостаточность.
Болезнь тонкой базальной мембраны (доброкачественная семейная гематурия) является наиболее распространенной причиной бессимптомной гематурии.
Идиопатическая гиперкальциурия - это гетерогенное нарушение, связанное с повышенным выделением кальция с мочой при кишечной гиперабсорбции (абсорбтивная гиперкальциурия) или сниженной реабсорбцией кальция в почечных канальцах (потеря через почки).
Жалобы больных при инородном теле в мочеиспускательном канале: затрудненное мочеиспускание, слизисто-гнойные выделения из уретры, болевые ощущения, усиливающиеся при мочеиспускании и эрекции.
Хронический тубулоинтерстициальный нефрит - хроническое заболевание почек, развивающееся в ответ на длительное воздействие экзо- и/или эндогенных факторов и проявляющееся воспалительными изменениями тубулоинтерстициальной ткани с развитием интерстициального фиброза и тубулярной атрофии.
Инфаркт почки - острое ишемическое повреждение почки вследствие окклюзии крупных почечных сосудов, приводящее к необратимой утрате почечной ткани.
Инфекции мочевыводящих путей — самые распространенные бактериальные инфекции во всех возрастных группах.
Мочекаменная болезнь (уролитиаз) - заболевание, связанное с нарушением обмена веществ в организме, при котором образуются камни в почках и мочевыводящих путях. Коралловидный нефролитиаз (камни почки) - самостоятельное заболевание, отличающееся от всех остальных форм мочекаменной болезни.
Кортикальный некроз почки - одна из наиболее редких причин острой почечной недостаточности, развивается на фоне ишемии коркового слоя почек вследствие стойкой гипотонии.
Ксантогранулематозный пиелонефрит является редким хроническим гранулематозным деструктивным процессом почечной паренхимы в сочетании с долгосрочной обструкцией мочевых путей и инфекцией.
Медуллярная губчатая почка - довольно редкая врождённая аномалия, при которой кистозно расширены собирательные трубочки пирамид.
Острая мочекислая нефропатия характеризуется преципитацией кристаллов мочевой кислоты, в основном в почечных канальцах, собирательных трубочках и лоханках почек. Мочекислая нефропатия является осложнением течения подагры.
Нефрокальциноз - состояние, характеризующееся преципитацией фосфата кальция в почечных канальцах. Заболевания, характеризующиеся гиперкальциемий, могут обусловить образование кальциевых камней и осаждения кальция в почке.
Нефротический синдром характеризуется высокой протеинурией, отеками, гипоальбуминемией (уровень альбумина сыворотки менее 2,5 г%) и гиперлипопротеидемией.
Система МойМинЗдрав позволяет выявить круг болезней и патологических состояний, вероятность которых выше при определенном наборе симптомов у лиц разного пола и возраста.
Система МойМинЗдрав не заменяет врача и должна использоваться только как вспомогательный инструмент в работе профессиональных медиков.
Пациентам рекомендуется использовать Систему МойМинЗдрав для определения угрожающих жизни состояний, а также для выбора врача определенной специальности для первичной консультации.
Гипертонический нефросклероз
Нефросклероз, или нефроангио-склероз, первичная сморщенная почка, — поздняя стадия гипертонической болезни, протекающей с преимущественным поражением почек. Различают соответственно двум формам гипертонической болезни нефросклероз доброкачественный и злокачественный.
Симптомы
При доброкачественном нефросклерозе явления недостаточности почек либо отсутствуют, либо крайне незначительно выражены. На первое место выдвигаются симптомы сердечно-сосудистого заболевания: стойкое повышение артериального давления (свыше 200/100 мм ртутного столба), гипертрофия левого желудочка сердца, а впоследствии и его расширение. Недостаточность сердечной деятельности проявляется застойными хрипами в легких, увеличением печени, одышкой при движении, ночными приступами сердечной астмы, приступами стенокардии, цианозом конечностей. Отмечаются также парестезии, мышечные боли, изменение глазного дна характера преимущественно артериосклероза, ангиоспазм мозговых сосудов (пониженная работоспособность, головные боли). Все эти симптомы могут сильно вариироват,ь, встречаясь в различных сочетаниях. Рано появляется никтурия. В моче — небольшая альбуминурия, незначительная гематурия, умеренное число гиалиновых цилиндров, снижение удельного г*са. Клинически выраженная уремия развивается редко. Течение болезни нередко длительное, медленно нарастающее. При злокачественном нефросклерозе основные симптомы заболевания зависят от почечной недостаточности: функция почек резко падает; концентрационная способность прогрессивно снижается, альбуминурия и гематурия могут быть значительны. В крови и тканях происходит накопление остаточного азота. Артериальное давление резко повышено, нарастают симптомы недостаточности миокарда (ритм галопа, расширение полостей сгрдца, сердечная астма). Часты типичные изменения глазного дна; ангиоспазм, кровоизлияния, дегенеративяо-инфильтративные изменения сетчатки, отек сосочка зрительного нерва — ангиоспасмческий нейроретинит, прогностически серьезный (длительность жизни у таких больных редко больше 1—,Vj2 лет из-за тяжелого поражения почек, сердца, мозга). Характерно истощение, бледножелтый цвет лица, прогрессирующее малокровие, явления уремической интоксикации. В конечной стадии нефросклероз по признакам близок конечной стадии хронического нефрита. Диагноз ставится на основании анамнеза, высокого артериального давления, гипертрофии сердца, изменений мочи, глазного дна; большое значение имеет исследование функциональной способности почек (проба Зимницкого), определение остаточного азота крови. Диференциальный диагноз нефросклероза следует проводить с хроническим нефритом, урологическими заболеваниями (хронический пиэлонефрит, киетозные почки), инфарктом почек, застойными почками и др.
Прогноз
При доброкачественном нефросклерозе прогноз в значительной степени зависит от состояния сердца: при злокачественном течении он, как правило, плохой. См. также Заболевания системы органов кровообращения, Артериосклероз, Гипертоническая болезнь.
Wikimedia Foundation . 2010 .
Полезное
Смотреть что такое "Гипертонический нефросклероз" в других словарях:
нефросклероз гипертонический — (n. hypertonica) см. Артериолонефросклероз … Большой медицинский словарь
Биография — 1891 г. 3/15 мая* в семье преподавателя Киевской Духовной Академии Афанасия Ивановича Булгакова и его жены Варвары Михайловны (в девичестве Покровской) в Киеве родился первый ребенок сын, Михаил Афанасьевич Булгаков. Место… … Энциклопедия Булгакова
Булгаков, Михаил Афанасьевич — В Википедии есть статьи о других людях с такой фамилией, см. Булгаков. Михаил Афанасьевич Булгаков Дата рождения … Википедия
Булгаков М. — Запрос «Булгаков» перенаправляется сюда. Cм. также другие значения. Михаил Булгаков (1920 е) Дата рождения: 3 (15) мая 1891 Место рождения: Киев, Российская империя … Википедия
Булгаков Михаил — Запрос «Булгаков» перенаправляется сюда. Cм. также другие значения. Михаил Булгаков (1920 е) Дата рождения: 3 (15) мая 1891 Место рождения: Киев, Российская империя … Википедия
Булгаков М. А. — Запрос «Булгаков» перенаправляется сюда. Cм. также другие значения. Михаил Булгаков (1920 е) Дата рождения: 3 (15) мая 1891 Место рождения: Киев, Российская империя … Википедия
Булгаков Михаил Афанасьевич — Запрос «Булгаков» перенаправляется сюда. Cм. также другие значения. Михаил Булгаков (1920 е) Дата рождения: 3 (15) мая 1891 Место рождения: Киев, Российская империя … Википедия
М. А. Булгаков — Запрос «Булгаков» перенаправляется сюда. Cм. также другие значения. Михаил Булгаков (1920 е) Дата рождения: 3 (15) мая 1891 Место рождения: Киев, Российская империя … Википедия
М. Булгаков — Запрос «Булгаков» перенаправляется сюда. Cм. также другие значения. Михаил Булгаков (1920 е) Дата рождения: 3 (15) мая 1891 Место рождения: Киев, Российская империя … Википедия
М.А. Булгаков — Запрос «Булгаков» перенаправляется сюда. Cм. также другие значения. Михаил Булгаков (1920 е) Дата рождения: 3 (15) мая 1891 Место рождения: Киев, Российская империя … Википедия
Доброкачественный гипертонический артериолярный нефросклероз

Почки — это 2 органа, по форме напоминающие бобы, которые производят мочу, поддерживают баланс уровней воды и минералов в организме и фильтруют из крови продукты жизнедеятельности.
Мочевыводящие пути
Что такое доброкачественный гипертонический артериолярный нефросклероз?
Повреждение почек обычно усугубляется медленно и может привести к тяжелой хронической болезни почек.
Это происходит чаще, когда артериальное давление повышено в течение длительного времени.
Повреждение почек обычно обнаруживается при анализе крови.
Пока не развивается почечная недостаточность, симптомы обычно отсутствуют.
Врачи пытаются контролировать повышенное артериальное давление с помощью лекарственных препаратов.
Может потребоваться диализ Диализ Диализ — это процесс искусственного выведения продуктов жизнедеятельности и избыточной жидкости из организма. Этот процесс необходим тогда, когда почки не в состоянии выполнять свою функцию. Прочитайте дополнительные сведенияЧто является причиной гипертонического поражения почек?
Артериальное давление, повышенное в течение длительного времени, является стрессом для кровеносных сосудов. В конечном итоге этот стресс повреждает кровеносные сосуды, поэтому кровь течет через них в недостаточном объеме. Если приток крови к органу недостаточен, орган может повреждаться.
Риск повреждения почек при повышенном артериальном давлении выше, если:
Отсутствует очень хороший контроль артериального давления
Артериальное давление повышено в течение длительного времени
Каковы симптомы гипертонического поражения почек?
Если не развивается почечная недостаточность, симптомы обычно отсутствуют. К симптомам почечной недостаточности относятся:
Ощущение слабости и усталости
Менее выраженный, чем обычно, аппетит
Чувство сонливости или спутанности сознания
Как врачи могут определить, есть ли у человека гипертоническое поражение почек?
Врачи подозревают болезнь почек, если у человека артериальное давление повышено в течение длительного времени, а стандартные анализы крови показывают, что почки не функционируют нормально. Чтобы проверить наличие других причин болезни почек, они могут назначить:
Анализы крови и мочи
Ультразвуковое исследование почек
Как врачи лечат гипертоническое поражение почек?
Врачи стараются предотвратить усугубление повреждения почек следующими методами:
Если почки сильно повреждены, может потребоваться:
Диализ Диализ Диализ — это процесс искусственного выведения продуктов жизнедеятельности и избыточной жидкости из организма. Этот процесс необходим тогда, когда почки не в состоянии выполнять свою функцию. Прочитайте дополнительные сведенияПРИМЕЧАНИЕ: Это — пользовательская версия ВРАЧИ: Нажмите здесь, чтобы перейти к профессиональной версии
Авторское право © 2022 Merck & Co., Inc., Rahway, NJ, США и ее аффилированные лица. Все права сохранены.
гипертоническая болезнь с преимущественным поражением почек мкб 10

гипертоническая болезнь с преимущественным поражением почек мкб 10 - Для выявления гипертонической болезни врач измеряет артериальное давление у пациента и выдает направления на сдачу анализа крови и анализа мочи. Также может потребоваться ультразвуковое исследование сердца, электрокардиограмма в различных вариациях, эхокардиография и консультация окулиста.
Описание
Лечение запущенной гипертонии также начинается минимум с двух препаратов, но чаще всего на 3 степени такая комбинация малоэффективна и в схему добавляется еще один препарат. Конкретную схему терапии определяет врач с учетом данных обследований и стадии развития гипертонии. Нередко выявляется конкретная причина стойкого повышения АД, которую можно устранить.
ЧЕРНИКА. Регулярное употребление снижает артериальное давление, уменьшает вероятность образования тромбов и предупреждает развитие ишемической болезни. Улучшает память и зрение, регулирует метаболизм и укрепляет сердечно-сосудистую систему.

гипертоническая болезнь с преимущественным поражением почек мкб 10 виды гипертонии причины и последствия
Гипертоническая болезнь в молодом возрасте чаще проявляется у мужчин, а в старшей возрастной категории болезни сердца встречаются примерно в равной пропорции. Нередко у женщин гипертония появляется впервые во время беременности. После менопаузы женщины часто отмечают повышение давления, это связано с гормональной перестройкой в организме женщины: эстрогены, активно вырабатывающиеся в молодом возрасте, препятствуют развитию гипертонии, а потом их количество резко падает. степени гипертонии по возрастанию, виды гипертонии причины и последствия, циклон это низкое или высокое давление, гипертоническая болезнь акс.
ШИПОВНИК. Нормализует кровоснабжение органов и тканей, снижает риск формирования атеросклеротических бляшек. Устраняет патологии почек и печени, нормализует работу ЖКТ, уменьшает последствия анемии и снижает интенсивность неврологических отклонений.

Результаты испытаний
Уникальная формула Артериаля не ограничивается устранением симптомов болезни, а нейтрализует причину её возникновения. Он не только снижает давление до возрастной нормы, но и способствует уменьшению нагрузки на сердечную мышцу, и нормализует состояние сердечно-сосудистой системы. При появлении симптомов гипертонического криза следует немедленно вызывать скорую помощь. В таком состоянии запрещено принимать в повышенных дозах препараты, снижающие давление, поскольку это может привести к инфаркту миокарда или инсульту.
Гипертензивная [гипертоническая] болезнь с преимущественным поражением почек с почечной недостаточностью. Гипертоническая почечная недостаточность. I12.9. Гипертензивная [гипертоническая] болезнь с преимущественным поражением почек без почечной недостаточности. В России Международная классификация болезней 10-го пересмотра (МКБ-10) принята как единый нормативный документ для учета заболеваемости, причин обращений населения в медицинские учреждения всех ведомств, причин смерти. МКБ-10 внедрена в практику здравоохранения на всей территории РФ в 1999 году приказом Минздрава России от 27.05.97 г. №170. Изменения и дополнения МКБ-10, внесенные ВОЗ к 2022 г. Категории МКБ: Вторичная гипертензия (I15), Гипертензивная [гипертоническая] болезнь с преимущественным поражением сердца и почек (I13), Гипертензивная [гипертоническая] болезнь с преимущественным поражением почек (I12), Гипертензивная болезнь сердца [гипертоническая болезнь сердца с преимущественным поражением сердца] (I11), Эссенциальная [первичная] гипертензия (I10). Артериальная гипертензия у взрослых. Кодирование по Международной статистической классификации болезней и проблем, связанных со здоровьем: I10/ I11/ I12/ I13/ I15. Возрастная группа: взрослые. Год утверждения: 2020. I13 Гипертензивная [гипертоническая] болезнь с преимущественным поражением сердца и почек : симптомы, диагностика, лечение, профилактика болезни, торговые названия, действующие вещества, фармакологические группы, производители лекарственных средств, синонимы в справочнике МКБ-10 РЛС. Заболевания и синдромы. МКБ-10 диагнозы. Симптомы. Клинические рекомендации. Стандарты лечения. Медуслуги. Клиники. Органы. Клиники для лечения. I12 Гипертензивная [гипертоническая] болезнь с преимущественным поражением почек. Описание. Нет подробного описания, смотрите связи. Связанные заболевания. Гипертензивная нефропатия. Гипертоническая болезнь. Гипертонический криз. Артериальная гипертензия в МКБ 10. Эссенциальная (первичная гипертензия) (I10) гипертензивная болезнь сердца (I11). I12.0 Гипертензивная [гипертоническая] болезнь с преимущественным поражением почек с почечной недостаточностью I12.9 Гипертензивная [гипертоническая] болезнь с преимущественным поражением почек без почечной недостаточности. Включено: - артериосклероз почек - артериосклеротический нефрит (хронический) (интерстициальный) - гипертензивная нефропатия - любое состояние, указанное в рубриках N18.-, N19.- или N26.- в сочетании с любым состоянием, указанным в рубрике I10 - нефросклероз. ВТОРИЧНАЯ ГИПЕРТЕНЗИЯ (I15). МКБ-10: I12 — Гипертензивная [гипертоническая] болезнь с преимущественным поражением почек. Диагноз с кодом I12 включает 2 уточняющих диагноза (подрубрик МКБ-10). 1 Классы МКБ-10 2 I00-I99 Болезни системы кровообращения 3 I10-I15 Болезни, характеризующиеся повышенным кровяным давлением 4 I12 Гипертензивная [гипертоническая] болезнь с преимущественным поражением почек. В диагноз включено также: любое состояние, указанное в рубриках N18.-, N19.или N26.- в сочетании с любым состоянием, указанным в рубрике I10 артериосклероз почек артериосклеротический нефрит (хронический) (интерстициальный) гипертензивная нефропатия нефросклероз. Рубрика МКБ-10: I12.9. МКБ-10 / I00-I99 КЛАСС IX Болезни системы кровообращения / I10-I15 Болезни, характеризующиеся повышенным кровяным давлением / I12 Гипертензивная (гипертоническая) болезнь с преимущественным поражением почек. Гипертонический доброкачественный артериолярный нефросклероз. Гипертонический доброкачественный артериолярный нефросклероз - прогрессирующее поражение почек, вызванное хронической, плохо контролируемой гипертензией. болезней и проблем, связанных со здоровьем (десятого пересмотра), АГ рассматривается, как группа разнородных заболеваний, характеризую-щихся повышением кровяным (артериальным) давлением (АД) (код I 10 – I 15): Код по МКБ Наименование I 10 Эссенциальная (первичная) гипертензия; I 11 Гипертензивная болезнь сердца (артериальная гипертензия с преиму. щественным поражением сердца); I 11.0 Гипертензивная (гипертоническая) болезнь с преимущественным пора. жением сердца и почек; I 13.0 Гипертензивная (гипертоническая) болезнь с преимущественные пора Гипертензивная [гипертоническая] болезнь с преимущественным поражением почек. Включено: любое состояние, указанное в рубриках N18.-, N19.или N26.- в сочетании с любым состоянием, указанным в рубрике I10 артериосклероз почек артериосклеротический нефрит (хронический) (интерстициальный) гипертензивная нефропатия нефросклероз Исключена: вторичная гипертензия (I15.-) - I12.0. Полная расшифровка кода МКБ I12: Код МКБ I12 / Международная классификация болезней/ Болезни системы кровообращения / Болезни, характеризующиеся повышенным кровяным давлением / Гипертензивная [гипертоническая] болезнь с преимущественным поражением почек. Гипертензивная нефропатия – это группа патологических состояний, объединенных сочетанием стойкого повышения артериального давления и поражением выделительной системы вплоть до развития хронической почечной недостаточности. Проявления зависят от формы патологии, обычно наблюдаются симптомы гипертензии (кардиалгии, головные боли, нарушения сердечного ритма) и аномалии водно-солевого обмена (изменения диуреза, появление отеков). Коды МКБ 10. Класс 9 Болезни системы кровообращения. I10-I15 Болезни, характеризующиеся повышенным кровяным давлением. I10 Эссенциальная [первичная] гипертензия. I11 Гипертензивная болезнь сердца [гипертоническая болезнь с преимущественным поражением сердца]. I13.2 Гипертензивная [гипертоническая] болезнь с преимущественным поражением сердца и почек с застойной сердечной недостаточностью и почечной недост-тью. I13.9 Гипертензивная [гипертоническая] болезнь с преимущественным поражением сердца и почек неуточненная. I15 Вторичная гипертензия. I15.0 Реноваскулярная гипертензия. Код I12 Гипертензивная [гипертоническая] болезнь с преимущественным поражением почек — является частью системы буквенно-цифровых кодов Международной статистической классификации болезней и проблем, связанных со здоровьем Десятого пересмотра (МКБ-10). Группа кодов I12 находится в составе блока I10–I15 Болезни, характеризующиеся повышенным кровяным давлением. Данный блок входит в Класс IX Болезни системы кровообращения. Все права защищены. Но гипертоническая болезнь и артериальная гипертония — не одно и то же: как уже говорилось, повышением АД может проявляться целый ряд заболеваний, и гипертоническая болезнь — только одно из них, хотя и самое частое. Несколько рутинных (выполняемых практически всем пациентам с повышенным АД) диагностических тестов, наряду со сведениями, полученными в ходе беседы с врачом, помогают оценить вероятность некоторых форм вторичной гипертонии: общий анализ мочи, определение в крови концентрации креатинина и глюкозы, а иногда — калия и других электролитов. гипертензивная болезнь с поражением сердца и почек; вторичная гипертензия: эндокринная, реноваскулярная, неуточненная и др. Истинная гипертония (эссенциальная форма) занимает лидирующую позицию среди всех случаев гипертензии. развитие гипертонического сердца: стенки органа постепенно утолщаются, а его сократительная способность снижается. Это может привести к инфаркту миокарда, нарушениям ритма сердца, внезапной сердечной смерти, сердечной недостаточности; поражения центральной нервной системы: наблюдается головокружение, нарушение памяти и координации движений. МКБ-10 (Международная классификация болезней). Юсуповская больница. Алперт, Дж. 1.4 Кодирование по МКБ-10. Эссенциальная [первичная] артериальная гипертензия (I10): I11 - Гипертензивная болезнь сердца [гипертоническая болезнь с преимущественным поражением сердца]. I11.0 - Гипертензивная болезнь сердца [гипертоническая] болезнь с преимущественным поражением сердца с (застойной) сердечной недостаточностью. I12.0 - Гипертензивная [гипертоническая] болезнь с преимущественным поражением почек с почечной недостаточностью. I12.9 - Гипертензивная [гипертоническая] болезнь с преимущественным поражением почек без почечной недостаточности.
гипертоническая болезнь с преимущественным поражением почек мкб 10. Для выявления гипертонической болезни врач измеряет артериальное давление у пациента и выдает направления на сдачу анализа крови и анализа мочи. Также может потребоваться ультразвуковое исследование сердца, электрокардиограмма в различных вариациях, эхокардиография и консультация окулиста.
Как применять

Назначение гипертоническая болезнь с преимущественным поражением почек мкб 10 Лечение запущенной гипертонии также начинается минимум с двух препаратов, но чаще всего на 3 степени такая комбинация малоэффективна и в схему добавляется еще один препарат. Конкретную схему терапии определяет врач с учетом данных обследований и стадии развития гипертонии. Нередко выявляется конкретная причина стойкого повышения АД, которую можно устранить.
высокое давление что делать как понизить
Узнайте, почему при высоком давлении и низкий пульс, чем это опасно, что делать в домашних условиях, симптомы требующие вызова скорой, диагностика и лечение. Возможные причины того, что низкий пульс при высоком давлении у человека. Причины и опасность высокого артериального давления при низком пульсе. Методы диагностики. Оказание первой помощи, терапевтическое лечение10 из 10|2 голоса. Узнайте, какие причины ведут к низкому давлению на фоне высокого пульса. Узнайте, как оказать первую помощь человку при данном состоянии.8 из 10|61 голос. О чем говорит низкий пульс при высоком давлении, причины такого состояния, насколько это опасно. Необходимые обследования, что делать в таком случае, как помочь больному. Что делать, если у вас высокое давление и низкий пульс? Остановимся подробнее на этом вопросе и выясним, как бороться с таким патологическим состоянием. В совокупности оба этих состояния — низкий пульс и высокое давление — приводят к недостаточному кровообращению клеток головного мозга. Что делать при низком пульсе и низком давлении. Состояния при которых возникает тахикардия на фоне низкого артериального давления могут быть вызваны множеством причин. Если такое состояние долгое время не проходит, то необходимо обратиться к врачу. Самое важное на тему: Препараты при низком пульсе и высоком давлении - от профессионалов для людей с детальным описанием и комментариями от профессионалов8 из 10|104 голоса. Если наблюдается высокий пульс при низком давлении – что делать посоветует врач-кардиолог. Это является следствием серьезных заболеваний в организме, которые нужно срочно лечить.
Ещё по теме:
- степени гипертонии по возрастанию.
 - виды гипертонии причины и последствия.
 - циклон это низкое или высокое давление.
 - гипертоническая болезнь акс.
 - что понижает давление после алкоголя. . .
 
Ознакомьтесь с инструкцией перед использованием
ШИПОВНИК. Нормализует кровоснабжение органов и тканей, снижает риск формирования атеросклеротических бляшек. Устраняет патологии почек и печени, нормализует работу ЖКТ, уменьшает последствия анемии и снижает интенсивность неврологических отклонений.
Как заказать?
Заполните форму для консультации и заказа гипертоническая болезнь с преимущественным поражением почек мкб 10. Оператор уточнит у вас все детали и мы отправим ваш заказ. Через 2-7 дней Вы получите посылку и оплатите её при получении.
гипертоническая болезнь с преимущественным поражением почек мкб 10. гипертония касаллиги. Отзывы, инструкция по применению, состав и свойства.
 
Отзывы
ЧЕРНИКА. Регулярное употребление снижает артериальное давление, уменьшает вероятность образования тромбов и предупреждает развитие ишемической болезни. Улучшает память и зрение, регулирует метаболизм и укрепляет сердечно-сосудистую систему.
Гипертоническая болезнь в молодом возрасте чаще проявляется у мужчин, а в старшей возрастной категории болезни сердца встречаются примерно в равной пропорции. Нередко у женщин гипертония появляется впервые во время беременности. После менопаузы женщины часто отмечают повышение давления, это связано с гормональной перестройкой в организме женщины: эстрогены, активно вырабатывающиеся в молодом возрасте, препятствуют развитию гипертонии, а потом их количество резко падает.
Рассмотрим суть понятия эссенциальная гипертензия: что это такое с точки зрения механизма возникновения болезни, ее классификация, причины, симптомы, принципы диагностики, терапии, профилактики. Причины развития эссенциальной гипертензии, классификация и сопутствующие симптомы. Органы-мишени, диагностика и лечение, способы профилактики. В чем разница между первичной и вторичной артериальной гипертонией? Что такое эссенциальная гипертензия? Код по МКБ 10, патогенез, симптомы, особенности лечения и профилактики у взрослых людей. Эссенциальная гипертензия. Симптомы. Диагностика. Что делать при диагнозе эссенциальная гипертензия. Консервативное лечение и операции. Платные и бесплатные клиники, в которых лечится эссенциальная. Проблемы с повышенным артериальным давлением сейчас встречаются у большей части населения, и не только у пожилых, но и у людей в возрасте 35-45 лет. Поэтому узнать больше о причинах возникновения. Эссенциальная гипертензия: причины, симптомы и лечение, последствия и прогнозРассмотрим суть понятия эссенциальная гипертензия: что это такое с точки зрения механизма возникновения болезни, ее. Что означает эссенциальная гипертония в чем заключается опасность данной болезни? Для того, чтобы избежать серьезных и опасных для жизни осложнений, необходимо узнать причины ее развития и вовремя. Эссенциальную гипертензию можно рассматривать как синдром, болезнь или фактор риска. Существует множество причин его генерации, что приводит к специальной классификации.6 из 10|2 голоса. Пользователь Imba задал вопрос: Эссенциальная гипертензия что это такое у взрослых симптомы и лечение? в рубрике Разное. Напишите первый ответ и заработайте 2.5 рубля. Лечение у взрослых эссенциальной гипертензии. гипертензии (АГ), о симптомах и лечении которой рассказано в статье Артериальная гипертензия.
ШИПОВНИК. Нормализует кровоснабжение органов и тканей, снижает риск формирования атеросклеротических бляшек. Устраняет патологии почек и печени, нормализует работу ЖКТ, уменьшает последствия анемии и снижает интенсивность неврологических отклонений.
Гипертоническая болезнь почек
Гипертоническая болезнь почек - это заболевание, связанное с повреждением почек из-за хронического высокого кровяного давления . Он проявляется как гипертонический нефросклероз (склероз, связанный с уплотнением почечных компонентов). [2] Ее следует отличать от реноваскулярной гипертензии , которая является формой вторичной гипертензии и, следовательно, имеет противоположное направление причинно-следственной связи.
СОДЕРЖАНИЕ
Могут развиться признаки и симптомы хронического заболевания почек , включая потерю аппетита, тошноту , рвоту , зуд , сонливость или спутанность сознания, потерю веса и неприятный привкус во рту. [3]
«Гипертоническая болезнь» относится к высокому кровяному давлению, а «нефропатия» означает повреждение почек; следовательно, это состояние, при котором хроническое высокое кровяное давление вызывает повреждение ткани почек; это включает мелкие кровеносные сосуды, клубочки, почечные канальцы и интерстициальные ткани. Ткань затвердевает и утолщается, что называется нефросклерозом. [2] Сужение кровеносных сосудов означает, что меньше крови поступает в ткани, и меньше кислорода достигает ткани, что приводит к гибели ткани (ишемии). [4]
Факторы риска HN включают плохо контролируемое кровяное давление от умеренного до высокого, пожилой возраст, другие заболевания почек и афро-карибское происхождение, точная причина которого неясна, поскольку она может быть связана либо с генетической предрасположенностью, либо с плохим управлением здоровьем среди населения. люди афро-карибского происхождения. [2]
В почках, в результате доброкачественной артериальной гипертензии , гиалиновые (розовый, аморфный, однородный материал) накапливается в стенках мелких артерий и артериол, производя утолщение их стенок и сужение артериальных отверстий , процесс , известный как артериолосклероза . В результате недостаточный кровоток вызывает атрофию канальцев , интерстициальный фиброз и гломерулярные изменения ( клубочки меньшего размера с разной степенью гиалинизации - от легкой до склероза клубочков) и рубцевание вокруг клубочков (перигломерулярный фиброз). На поздних стадиях почечная недостаточностьпроизойдет. Функциональные нефроны [5] имеют расширенные канальцы, часто с гиалиновыми цилиндрами в отверстиях канальцев. Дополнительные осложнения, часто связанные с гипертонической нефропатией, включают повреждение клубочков, приводящее к появлению белка и крови в моче . [ необходима цитата ]
Гипертоническая нефропатия относится к почечной недостаточности, которая может быть связана с гипертонией в анамнезе [6]. Это хроническое состояние и серьезный фактор риска развития терминальной стадии болезни почек (ESKD). Однако, несмотря на хорошо известную связь между гипертонией и хроническим заболеванием почек, основной механизм остается неясным. Два предложенных механизма патофизиологии HN [7] сосредоточены вокруг того, как затрагиваются клубочки, сеть плотных капилляров, которые осуществляют процесс фильтрации почек; Согласно одной теории, гломерулярная ишемия является основным фактором HN, а другая - гломерулярной гипертензией и клубочковой гиперфильтрацией в центре патогенеза HN. [6]
Гломерулярная ишемия
Высокое кровяное давление в долгосрочной перспективе может повредить эндотелий , известный как слизистая оболочка кровеносных сосудов. Это приводит к накоплению бляшек, которые могут откладываться в почечных артериях, вызывая стеноз и ишемическую болезнь почек. [ необходимая цитата ] В этой ситуации почки, снабжаемые кровью по суженной почечной артерии, страдают от неадекватного кровотока, что, в свою очередь, приводит к уменьшению размера почек. Другие последствия включают артериальную жесткость, которая включает постепенное разрушение эластичных волокон и утолщение интимы (самого внутреннего слоя кровеносного сосуда). [ необходима цитата ]
Гломерулярная гипертензия и клубочковая гиперфильтрация
Альтернативный механизм гипертонической нефропатии - длительная клубочковая гипертензия и, следовательно, клубочковая гиперфильтрация. Это может происходить одновременно, но не обязательно. Идея состоит в том, что гипертония приводит к склерозу клубочков, что в конечном итоге означает снижение функции почек. В качестве компенсаторного механизма непораженные нефроны (в частности, прегломерулярные артериолы) вазодилатируют, увеличивая приток крови к перфузии почек и увеличивая клубочковую фильтрацию через неповрежденные клубочки. [ необходима цитата ]
Диагноз HN ставится на основании истории болезни и биохимических исследований. Хроническая гипертензия с прогрессирующим заболеванием почек прогрессирует в течение длительного периода времени. Повреждение клубочков позволяет фильтровать белки, которые обычно слишком велики для проникновения в нефрон. Это приводит к повышенной концентрации альбумина в моче (альбуминурии). Эта альбуминурия обычно не вызывает симптомов, но может указывать на многие заболевания почек . Белок в моче (протеинурия) лучше всего определить по 24-часовому сбору мочи. [8]
Двусторонний стеноз почечной артерии всегда следует рассматривать как дифференциальный диагноз при наличии HN. Заболевание почек с такой этиологией потенциально может быть обращено вспять после сосудистого вмешательства. [ необходима цитата ]
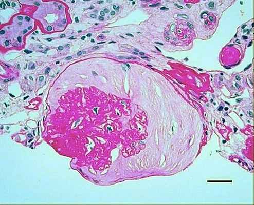
Гистология
При доброкачественном нефросклерозе изменения происходят постепенно и прогрессируют, однако резервная способность почек может быть достаточной для поддержания адекватной функции почек в течение многих лет. [9] В крупных почечных артериях наблюдается утолщение интимы , медиальная гипертрофия, дупликация эластичного слоя. Изменения в малых артериолах включают гиалиновый артериолосклероз (отложение гиалина , коллагенового материала), [ цитируемый ], который вызывает коллапс клубочков (сморщивание и утолщение базальных мембран капилляров и коллапс просвета капилляров) и затвердевание (клубочки демонстрируют склероз и увеличение мезангиального покрова).матрица). Степень рубцевания коррелирует со степенью дефицита клубочковой фильтрации .

Световая микрофотография, показывающая гипертоническое поражение клубочков при гипертонической нефропатии: глобальный коллапс клубочков и заполнение пространства Боумена слегка окрашивающимся коллагеновым материалом.

Световая микрофотография клубочка, показывающая вторичный сегментарный склероз гипертонической нефропатии.

На световой микрофотографии показаны признаки гипертонической нефропатии: интерстициальный фиброз, атрофия канальцев с утолщением трубчатых базальных мембран и фиброзное утолщение интимы небольшой артерии (стрелка).
При злокачественном нефросклерозе гипертонический нефросклероз возникает на фоне злокачественной гипертензии (когда ДАД> 130 мм рт. Ст.). [10] Сосуды имеют утолщение интимы , фибриноидный некроз , фрагментацию эритроцитов , экстравазацию , тромбоз . Эти изменения создают преувеличенно многослойный вид (снятие кожуры с лука). [11]
Анализ мочи
Микроальбуминурия (умеренное повышение уровня альбумина в моче) - неспецифическая находка у пациентов с сосудистыми заболеваниями, связанная с повышенным риском сердечно-сосудистых событий. У большинства пациентов с доброкачественным нефросклерозом протеинурия составляет от 0,5 до 1 г / сутки. В случае повреждения клубочков при HN также может возникнуть гематурия . [ необходима цитата ]
Окончательный диагноз
Окончательный диагноз HN требует морфологического исследования. Общие гистологические особенности могут быть идентифицированы в почечной и клубочковой сосудистой сети. Часто присутствует гломерулосклероз, очаговый или глобальный, который характеризуется упрочнением стенок сосудов. А также сужение просвета артерий и артериол почечной системы. Однако этому типу процедуры, скорее всего, будет предшествовать предварительный диагноз, основанный на лабораторных исследованиях. [ необходима цитата ]
Будущие диагностические подходы
Расширение доступа к профилированию генома и его использования может предоставить возможность для диагностики, основанной на представлении и генетических факторах риска, путем идентификации вариантов гена ApoL1 на хромосоме 22. [12]
Ингибиторы АПФ , блокаторы рецепторов ангиотензина , прямые ингибиторы ренина и антагонисты альдостерона представляют собой фармакологические методы лечения, которые можно использовать для снижения АД до целевых уровней; следовательно, снижается прогрессирование нейропатии и протеинурии . План ведения должен быть индивидуализирован в зависимости от состояния пациента, включая сопутствующие заболевания и предыдущую историю болезни. [ необходима цитата ]
Кроме того, можно внести изменения в образ жизни. Снижение веса, физические упражнения, уменьшение потребления соли могут быть выполнены для лечения гипертонической нефропатии. [ необходима цитата ]
Согласно Системе данных о почках США (USRDS), гипертоническая нефропатия составляет более одной трети пациентов, находящихся на гемодиализе, а ежегодный уровень смертности пациентов, находящихся на гемодиализе, составляет 23,3%. Гемодиализ рекомендуется пациентам, у которых прогрессирует терминальная стадия болезни почек (ESKD), а гипертоническая нефропатия является второй по частоте причиной ESKD после диабета. Прогноз пациента зависит от множества факторов, включая возраст, этническую принадлежность, артериальное давление и скорость клубочковой фильтрации. Было показано, что изменения в факторах образа жизни, такие как снижение потребления соли и повышенная физическая активность, улучшают результаты, но этого недостаточно без фармакологического лечения. [ необходима цитата ]
Заболеваемость гипертонической нефропатией варьируется во всем мире. Например, на него приходится 25% и 17% пациентов, начинающих диализ по поводу терминальной стадии болезни почек в Италии и Франции соответственно. Напротив, Япония и Китай сообщают только 6 и 7% соответственно. С 2000 года частота нефропатии, вызванной гипертонией, увеличилась на 8,7% [15]. В действительности эти цифры могут быть даже выше, поскольку гипертония не всегда указывается как конкретная причина заболевания почек. [16]
Было признано, что частота гипертонической нефропатии зависит от этнической принадлежности. По сравнению с европейцами у афроамериканцев в США гораздо больше шансов заболеть гипертонической нефропатией. [17] Среди тех, кто это делает, доля тех, у кого затем развивается терминальная почечная недостаточность, в 3,5 раза выше, чем в европеоидной популяции. В дополнение к этому, у афроамериканцев гипертоническая нефропатия развивается в более молодом возрасте, чем у европеоидов (от 45 до 65 лет по сравнению с> 65 лет). [6]
Читайте также:
