Глиобластома на МРТ
Добавил пользователь Владимир З. Обновлено: 07.01.2026
Немецкие клиники являются для пациентов с глиобластомой единственной надеждой на излечение. В наш центр часто обращаются пациенты, получившие отказ в ведущих нейроцентрах столицы. Только в 2010 году в нашей клинике прошли успешное лечение 128 пациентов из стран СНГ, большую часть из них составили россияне.
Этиология
Мультиформная глиобластома или астроцитома IV степени– является высоко злокачественной опухолью головного мозга. В большинстве случаев данная опухоль встречается у мужчин в возрасте между 40 и 60 годами. Возникает из глиальных клеток ЦНС, выполняющих опорную и разграничительную функции для нейронов. Является одним из наиболее агрессивных новообразований и, одновременно, самым распространенным – порядка 1/5 все первичных интрацеребральных опухолей.
Причина возникновения данной опухоли не известна. Теории о вредном воздействии электромагнитного поля в виде мобильной связи не получили научное подтверждение. К факторам риска МГ относят:
- Возраст. Большинство случаев приходятся на 40-60 лет.
- Пол. Чаще возникает у мужчин.
- Пилоцитарная и фибриллярная астроцитомы (I и II степени). Приблизительно 10% глиосарком развиваются из астроцитарных опухолей низкой степени злокачественности.
- Заболевания, вызывающие генетические нарушения. Например, нейрофиброматоз.
- Внешние факторы. Воздействие ионизированного излучения и химикатов (поливинил-хлорид).
Симптомы
Симптомы возникновения глиобластомы различны и зависят от локализации опухоли. Наиболее частым симптомом является головная боль, что связано с повышением внутричерепного давления. К другим проявлениям гипертензии относят эпилептические припадки, головокружение. Кроме того пациенты жалуются на нарушение зрения, сонливость, онемение в конечностях. Зачастую глиобластома может достичь больших объёмов до того, как появятся первые симптомы.
Другими характерными симптомами являются постепенное расстройство памяти, изменения в поведении и характере, которые являются следствием поражения лобной и височной долей головного мозга.
Диагностика
Опухоль может принимать различную форму, в большинстве случаев на изображении ее структура неоднородна. При построении изображения используются следующие методы:
- МРТ головного мозга с контрасным веществом является наиболее информативным методом в диагностике глиобластомы.
- SPEKT (single photon emission computed tomography) и PET обследование используется в дифференциальной диагностике глиобластомы от других видов опухолей.
Поскольку глиобластома имеет неоднородную структуру, единичная проба может показать низкую степень злокачественности, которая не соответствует действительной агрессивности опухоли, поэтому самым надёжным методом подтверждения диагноза является стереотаксическая биопсия с последующим паталогоанатомическим анализом.
Лечение
Лечение МГ осложнено не только высокой агрессивностью опухоли, но и рядом ее особенностей, среди которых стойкость опухоли к стандартной химиотерапии и лучевой терапии, глубокое прорастание новообразования, осложняющее его хирургическое иссечение. Большинство клиник России не могут выйти за рамки стандартной терапии, поэтому либо пациент получит отказ от лечения, либо терапия окажется крайне неэффективной.
В содействии с нейрохирургическими, радиологическими и другими клиниками, мы обеспечиваем пациентов полным спектром современных методов нейрохирургии, лучевой терапии, химиотерапии, а также инновационными видами целевой и иммунотерапии. После лечения опухоли проводится реабилитация. Подробнее об особенностях лечения глиобластомы головного мозга.
По вопросам лечения мультиформной глиобластомы в Германии
обращайтесь по телефону: +49 228 972 723 72 или заполните форму запроса.
Глиобластома головного мозга
Глиобластома головного мозга – злокачественное образование, отличающееся агрессивным развитием. Редкая патология, среди онкологических больных диагностируется 1 раз на 1000 случаев. Свое начало опухоль берет в клетках головного мозга, которые называются глии. На фоне нарушения их деятельности начинается активное деление клеток, в том числе и в рядом расположенных – именно так развивается злокачественный процесс. Чаще всего глиобластома локализуется в височной и лобной частях головного мозга, но иногда диагностируется в мозжечке, спинном мозге и стволе головного мозга.

Различают 3 вида злокачественной опухоли:
- глиосаркома – образование представляет собой скопление саркоматозных компонентов;
- гигантоклеточная глиобластома – характеризуется наличием клеток с множественными ядрами;
- мультиформная глиобластома – отличается быстрым некрозом, потому что опухоль усиленно снабжается кровью.
Также классифицируется глиобластома на первичную и вторичную. В первом случае речь идет о стремительно развивающейся опухоли (максимум за 3 месяца до критического состояния), чаще диагностируется у мужчин старшего возраста. Вторичная глиобластома формируется из доброкачественных опухолей, чаще выявляется у женщин среднего, старшего возрастов.
Конкретных причин развития злокачественного процесса в клетках головного мозга нет, но врачи выделяют несколько провоцирующих факторов:
- мутации на клеточном уровне врожденного характера;
- радиоактивное облучение;
- вирусные заболевания – цитомегаловирус, герпес шестого типа, полимавирус;
- наличие в анамнезе синдрома Туркота;
- ранее диагностированный туберозный склероз;
- нейрофиброматоз в анамнезе.
Симптомы, признаки глиобластомы головного мозга
Симптомы глиобластомы проявляются рано, поэтому диагностировать ее на ранней стадии не представляет трудностей. Врачи выделяют несколько первичных признаков заболевания:
- головные боли, которые не снимаются даже сильными обезболивающими препаратами;
- спонтанные головокружения;
- тошнота и рвота вне зависимости от приема пищи или употребления алкогольных напитков;
- подавленное настроение без видимых причин для этого.
По мере роста глиобластома начинает оказывать давление на определенные участки головного мозга и клиническая картина становится более расширенной. Добавляются специфические симптомы:
- судороги;
- ухудшение остроты зрения и слуха;
- галлюцинации;
- проблемы с координацией;
- паралич конечностей;
- нарушение речи.
Сначала симптомы глиобластомы появляются периодически, больной отмечает повышенную сонливость, быструю утомляемость, понижение работоспособности. Затем признаки глиобластомы беспокоят в постоянном режиме, что означает активный рост образования.
Онкология головного мозга (глиобластома): методы диагностики
Важно выявить проблему на ранней стадии развития, тогда шансы на выздоровления повышаются в разы. Как только появляются первичные симптомы глиобластомы, стоит обратиться за помощью к специалистам для прохождения полноценного обследования. При подозрении на глиобластому врачи назначают КТ головного мозга – это современный метод лучевой диагностики. Врач сможет оценить состояние кровотока даже в самых мелких кровеносных сосудах головного мозга. Выполняется с применением контрастного вещества, которое вводится в периферическую вену.
КТ головного мозга является информативным методом диагностирования глиобластомы, потому что эта процедура:
- дает послойное изображение всех структур головного мозга;
- выполняется быстро и доступна каждому пациенту;
- не требует сложной подготовки перед началом исследования;
- помогает оценить размеры, локализацию, форму и степень распространенности опухоли головного мозга.
При подозрении на опухоль головного мозга, врачи используют при обследовании пациента и другие диагностические процедуры:
- магнитно-резонансная томография – информативна при глиобластоме спинного мозга, помогает оценить состояние структур центральной нервной системы;
- биопсия – забор небольшого фрагмента опухоли для дальнейшего гистологического исследования в лабораторных условиях;
- спектроскопия магнтино-резонансного вида – дает возможность получить данные о протекающих обменных процессах в клетках головного мозга;
- люмбальная пункция – для лабораторного исследования берется жидкость спинного мозга;
- электроэнцефалография – специальным оборудованием снимаются данные об активности головного мозга.
Все вышеперечисленные диагностические мероприятия проводятся при выраженной клинической картине.
Лечение глиобластомы головного мозга
Если глиобластома головного мозга диагностирована на 4 стадии развития, то лечение будет нецелесообразным. Врачи назначают поддерживающую терапию, чтобы облегчить симптомы при глиобластоме и на некоторое время продлить жизнь больного. Но на остальных 3 стадиях лечение может дать отличные результаты. Чаще всего назначают:
- . Хирург может удалить опухоль полностью или частично, важно не повредить здоровые ткани головного мозга или сделать это минимально и тогда шансы на полное восстановление здоровья и возврат к активной жизни очень большие.
Хирургическое вмешательство показано и на 3 стадии заболевания, но выполняется оно в качестве паллиативного лечения. Врач осуществляет шунтирование, что позволяет стабилизировать внутричерепное давление и сохранить функциональность головного мозга.
- Химиотерапия и лучевая. Практикуются только в качестве дополнительного лечения после операции по удалению глиобластомы головного мозга. Если пациент находится в возрасте до 65 лет, то ему показана химиотерапия, более старшим рекомендуют лучевую. Побочные эффекты достаточно выраженные, но врачам хорошо известно, как с ними бороться. Такое лечение минимизирует вероятность развития рецидива.
Иногда глиобластома локализуется в труднодоступных местах головного мозга и тогда врачи могут отказаться от проведения хирургического вмешательства.
Инновационный метод лечения в рамках клинического исследования.
Команда врачей НМИЦ радиологии во главе с А.Д. Каприным в составе 20 человек (нейрохирурги, анестезиологи, реаниматологи, кардиохирурги, перфузиологи сразу пяти научных медицинских институтов) провели первую в мире процедуру изолированной перфузии головного мозга пациентке с диагнозом «глиобластома». За счет особого строения и структуры тканей головного мозга опухоли данной локализации, к которым в том числе относят глиобластомы, крайне сложно поддаются лечению. Суть инновационного метода заключается в том, что во время медицинской манипуляции головной мозг кровоснабжается отдельно от тела с помощью аппарата искусственного кровообращения. На этом этапе к органу доставляются концентрированные дозы химиопрепарата, губительные для опухоли, но безопасные для самого органа. После того, как токсичность снижается, орган вновь подключается к общей системе кровообращения.
Прогнозы заболевания
Болезнь имеет крайне неблагоприятные прогнозы, хотя многое зависит от классификации глиобластомы головного мозга. Если врачами была проведена операция по удалению опухоли, то выживаемость составляет максимум 5 лет, но чаще 1-2 года. Если лечение будет полностью отсутствовать, то продолжительность жизни пациента сокращается до 3 месяцев.
Полное выздоровление возможно, если глиобластома была диагностирована на 1 и 2 стадии развития. Но это зависит от того, полностью или частично была удалена опухоль, были ли повреждены здоровые ткани головного мозга.
Глиобластома – агрессивная болезнь, которая может поражать разные части головного мозга. Но отчаиваться не стоит! Во-первых, симптомы новообразования специфичны, во-вторых, ранняя стадия отлично лечится путем операции и дальнейшей терапии. Нужно лишь вовремя обратиться для обследования в клинику – врачи воспользуются современными методами диагностики и смогут сохранить жизнь пациенту.
Филиалы и отделения, в которых лечат глиобластому головного мозга
МНИОИ им. П.А. Герцена – филиал ФГБУ «НМИЦ радиологии» Минздрава России.
Отделение нейроонкологии
Заведующий – к.м.н. ЗАЙЦЕВ Антон Михайлович
Отдел лучевой терапии
Заведующий - д.м.н. ХМЕЛЕВСКИЙ Евгений Витальевич
Глиобластома
Глиобластома (ГБМ) - наиболее распространенная интракраниальная опухоль у взрослых, занимает 12-15% случаев среди всех интракраниальных опухолей и ~50% случаев среди астроцитом, имеет наихудшие прогнозы (IV степень злокачественности по ВОЗ), при росте в основном распространяется по ходу трактов белого вещества, таким как кортикоспинальный тракт и мозолистое тело. Глиобластома часто может распространяться через комиссару мозолистого тела, растет в данном случае в виде “глиомы в форме бабочки” и распространяется на противоположное полушарие. Глиобластома редко поражает оболочки мозга. В 20% встречается мультифокальное поражение, редко - мультицентричное.
Терминология
Глиобластома была ранее известна как мультиформная глиобластома. В классификации ВОЗ термин “мультиформная” был опущен что бы внести ясность в понятия глиобластома и астроцитома IV степени злокачественности. Впервые термин был предложен в 1926 году Percival Bailey и Harvey Cushing, а суффикс “мультиформная” использовался для описания различных проявлений кровоизлияний, кист и некроза.
Клиническая картина
- фокальный неврологический дефицит
- симптомы повышения внутричерепного давления
- судороги
Диагностика
Обычно на момент установки диагноза ГБМ является крупной опухолью. Часто имеет толстые, неровные усиливающиеся края и центральную зону некроза, которая может быть с геморрагическим содержимым. ГБМ окружена зоной вазогенного отека, которая обычно инфильтрирована опухолевыми клетками.
Мультифокальное поражение, которое обнаруживается в ~ 20% случаев, характеризуется тем, что множественные области контрастного усиления связаны друг с другом зонами с измененным МР сигналом, которые представляют собой распространение опухолевых клеток на микроскопическом уровне. Мультицентрическое заболевание - наоборот, такой связи между фокусами поражения не имеет.
Компьютерная томография
- неоднородные толсные края, изо- или слегка гиперденсивные за счет высокой клеточности
- неоднородный гиподенсивный центр отражает зону некроза
- выраженный масс-эффект
- периферический вазогенный отек
- кровоизлияние в опухоль, иногда
- кальцинаты не типичны
- интенсивное неоднородное гетерогенное контрастное усиление по периферии
Магнитно-резонансная томография
- T1
- гипо- или изоинтенсивное образование в белом веществе
- гетерогенный сигнал в центре образованная за счет некроза или кровоизлияния в опухоль
- контрастное усиление вариабельное, но присутствует почти всегда
- контрастное усиление типично по периферии и неоднородно в узле опухоли
- гиперинтенсивный сигнал
- по периферии зона вазогенного отека
- встречается феномен пустоты потока
- артефакт воспреимчивост на T2* изображениях от продуктов распада гемоглобина
- низкоинтенсивное кольцо за счет продуктов распада гемоглобина [2]
- неполное и неравномерно в 85% случаев
- в большинстве случаев локализуется внутри зоны периферического контрастного усиления
- отсутствие признака двойного кольца
- солидный компонент
- повышение МР сигнала на ДВИ часто в солидном/усиливающемся компоненте
- ограничение диффузии обычно промежуточное и схоже по значениям с белым веществом, но значительно повышено относительно зоны вазогенного отека, которая должная иметь повышенную диффузию
- значения ИДК коррелируют со степенью злокачественности [3]
- IV степень злокачественности по ВОЗ (ГБМ) = 745 ± 135 x 10-6 mm2/s
- III степень злокачественности по ВОЗ (анапластическая) = 1067 ± 276 x 10-6 mm2/s
- II степень злокачественности по ВОЗ (низкая степень) = 1273 ± 293 x 10-6 mm2/s
- пороговым значением ИДК, с чувствительностью (97.6%) и специфичностью (53.1%), в разграничении глиом высокой (III и IV по ВОЗ) и низкой степени (II по ВОЗ) является ИДК = 1185 x 10-6 mm2/s [3]
- подавляющее большинство (>90%) имеют значения диффузии >1000 x 10-6 mm2/s
- необходимо с осторожностью оценивать полости с продуктами распада гемоглобина
- типичные характеристики включают
- холин: повышен
- лактат: повышен
- липиды: повышен
- N-ацетил-аспартат: снижен
- миоинозитол: снижен
Дифференциальный диагноз
Дифференциальный диагноз включает:
- может выглядеть идентично
- может быть мультифокальным
- метастазы часто локализуются на границе серого и белого вещества
- снижение rCBV в зоне ‘отека’
- выходит на первое место в дифференциальном ряде при наличии СПИД у пациентов, кроме того в этом случае часто встречается центральный некроз опухоли
- обычно гомогенное контрастное усиление
- центральное ограничение диффузии полезно для дифференциальной диагностики, однако оценка затруднена при глиобластоме с кровоизлиянием
- наличие нежного и неполного низкоинтенсивного кольца на SWI [2]
- наличие признака двойного кольца [2]
- не имеет центрального некроза
- может выглядеть идентично
- часто встречается кольцевидный паттерн контрастного усиления
- обычно встречается у молодых пациентов
- анамнез позволяет предположить верный диагноз
- не должен быть повышен пик холина
- rCBV не должен быть повышен
- особенно при наличии СПИД у пациентов
- Частота возникновения участков кальцификации в опухоли снижается в спектре от астроцитомы низкой степени злокачественности до мультиформной глиобластомы
- Частота возникновения контрастного усиления опухоли повышается в спектре от астроцитомы низкой степени злокачественности (сдерживается гематоэнцефалическим барьером, имеет низкую частоту контрастного усиления) до мультиформной глиобластомы (проникает через гематоэнцефалический барьер)
- Частота случаев геморрагии, некроза, масс-эффекта и отека также повышается от астроцитомы низкой степени злокачественности до мультиформной глиобластомы
- В том случае, если геморрагические изменения отсутствуют, большинство опухолей гипоинтенсивны на Т1-взвешенных изображениях и гиперинтенсивны на Т2-взвешенных изображениях
- Усиление сигнала на КТ изображениях аналогично таковому на МРТ изображениях
- головная боль, которая не проходит на протяжении длительного периода времени
- утрата чувствительности рук и ног, нарушение координации
- судорожные припадки
- проблемы с речевым аппаратом
- нарушение зрения (например, двоение в глазах)
- расстройство памяти
- общее недомогание, тошнота и рвота
- воздействие на головной мозг химических веществ
- вирусные инфекции (цитомегаловирус, вирус герпеса человека шестого типа, полиомавирус)
- радиационное излучение
Глиобластома головного мозга
Мультиформная глиобластома (злокачественная глиома) является одной из самых распространённых злокачественных новообразований у взрослых. 20% от всех первичных новообразований головного мозга являются мультиформными глиобластомами.
Сделать МРТ головного мозга в Санкт-Петербурге
Прогноз жизни при глиобластоме крайне неблагоприятный в связи с высокой степенью злокачественности.Смертность, связанная с МФГ превышает 90% в течение 5 лет со средней выживаемостью 12,6 месяцев.
![глиобластома МРТ]()
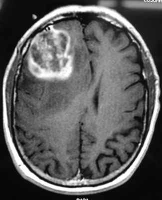
Глиобластома: симптомы, выявляемые с помощью МРТ. Аксиальный срез в режиме Т1 после контрастирования препаратом гадолиния демонстрирует распространенную опухоль правой лобной доли. Изображение предоставлено доктором George Jallo.
![глиобластома томография]()
МРТ того же пациента. Т2-взвешенное изображение демонстрирует то же поражение, что и на предыдущем рисунке с заметным отеком и смещением срединных структур. Эти находки соответствуют высокой степени злокачественности опухоли.
Методы диагностики глиобластомы
Компьютерная томография (КТ) выявляет опухоль и связанные с ней изменения. Однако при выполнении КТ может пропустить опухоли небольшого размера. Небольшая глиома низкой степени злокачественности, пропущенная на скрининговом обследовании, может в конечном счете развиться в мультиформную глиобластому. К тому же, на компьютерных томограммах могут быть не видны многоочаговые варианты опухоли. Распространение глиобластомы с током спинномозговой жидкости, особенно раннее распространение, также может быть затруднительным для диагностики при помощи КТ.
Магнитно-резонансная томография (МРТ) — это значительно более чувствительный метод для обнаружения опухоли, а также для выявления связанных с ней изменений, включая перифокальный (перитуморозный) отек. Поэтому МРТ является методом выбора для пациентов с предполагаемой или подтвержденной мультиформной глиобластомой. Так как данная опухоль обладает агрессивным инфильтративным ростом, опухолевые клетки часто находятся за пределами зоны измененной интенсивности сигнала на МРТ. Часто возникают метастазы в центральную нервную систему, но экстрацеребральные метастазы (расположенные за пределами мозга) довольно редки.
Сделать МРТ головного мозга в Санкт-Петербурге
После хирургической операции выявление различий между рецидивирующей опухолью и рубцовой тканью только лишь на основании данных МРТ может быть затруднительным. В этом случае более подходящим методом исследования будет позитронно-эмиссионная томография (ПЭТ).
В связи с большим разнообразием проявлений опухоли в некоторых случаях она может имитировать другие состояния, такие как инфаркт, абсцесс или даже опухолеподобную бляшку при рассеянном склерозе, и таким образом, задержать постановку правильного диагноза. Кроме этого, другие патологические процессы головного мозга также иногда принимаются за глиобластому. В таких случаях необходимо получить консультацию опытного нейрорадиолога с целью уточнения истинной природы образования. Повторная расшифровка МРТ в специализированном медицинском центре повышает точность диагноза.
Если говорить о признаках, которыми на магнитно-резонаных томограммах характеризуются опухоли в спектре от астроцитомы низкой степени злокачественности до мультиформной глиобластомы, можно сделать следующее обобщение (хотя возможны и исключения):Существуют различные варианты мультиформной глиобластомы. Гигантоклеточная (монстроцеллюлярная) глиобластома является одной из разновидностей мультиформной глиобластомы, но имеет те же особенности на МРТ.
Рентгенография при глиобластоме
Рентгенография не применяется для оценки первичных опухолей. Однако, в случаях, когда опухоль поражает свод черепа, рентгенологические исследования могут выявить патологию в пораженных костях черепа. Кроме того, рентгенография скелета может обнаружить изменения в случае метастатического поражения костей в нетипичных случаях.
Компьютерная томография (КТ) при глиобластоме
Результаты компьютерной томографии позволяют с достаточно высокой степенью уверенности говорить о диагнозе мультиформной глиобластомы. Однако, другие объемные образования могут имитировать мультиформную глиобластому, например, абсцессы мозга, инфаркт с геморрагической трансформацией и новообразования более низкой степени злокачественности. Кроме того, некоторые виды демиелинизирующих поражений (такте как гигантские бляшки при рассеянном склерозе) могут выглядеть, как мультиформная глиобластома. Также многоочаговая форма мультиформной глиобластомы может быть неотличима от диффузного рассеянного склероза. Все эти случаи требуют внимательного отношения врачей с возможным получением второго мнения.
При глиоматозе головного мозга КТ-картина может быть нормальной, либо изображения могут показать распространенные очаги с низкой плотностью без объемного эффекта и усиления сигнала.
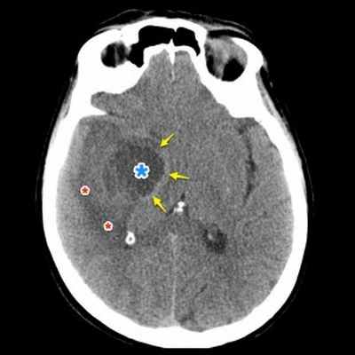
![глиобластома КТ]()
Опухоль головного мозга — глиобластома. Компьютерная томография (КТ). Синяя звездочка в центре обозначает зону центрального некроза опухоли, заполненную жидкостью. Желтые стрелки — окружающий мягкотканный компонент опухоли. Красные звездочки — перифокальный отек мозга. Наблюдается смещение срединных структур и угроза нисходящего транстенториального вклинения мозга.
Сделать КТ головного мозга в Санкт-Петербурге
Проявления опухоли на КТ-сканах без контрастного усиления включают неоднородное образование с нечеткими краями; внутренние области низкой или жидкостной плотности являются очагами некроза (представлены более, чем в 95% МФГ); внутренние области высокой плотности, являющиеся очагами геморрагии или, реже, кальцификациями (они более характерны в тех случаях, когда МФГ является результатом трансформации из астроцитомы низкой степени злокачественности); и значительный масс-эффект и отек (возогенная природа отека).
Исследование КТ с контрастным усилением значительно увеличивает выявление таких признаков, как неровные контуры образрвания, неоднородность, возможное кольцевидное контрастное усиление в периферических отделах патологической зоны.
Магнитно-резонансная томография (мрт) при глиобластоме
МРТ позволяет с высокой степенью уверенности говорить о диагнозе мультиформной глиобластомы и широко используется для определения местоположения и размера опухолей мозга. Фактически, этот метод имеет наивысшую степень достоверности среди других лучевых методов. Некоторые другие процессы, в основном объёмные образования с геморрагическим компонентом, могут имитировать мультиформную глиобластому на МРТ, включая абсцессы мозга и инфаркты. В случае неясной или спорной МРТ-картины может быть полезной экспертная оценка МРТ специализированными радиологами.
Стандартная методика МРТ ограничена в способности определять тип и степень злокачественной трансформации опухолей мозга, но более продвинутые протоколы МРТ, такие как перфузионно-взвешенная томография, могут оценить этот показатель с большей степенью достоперности, так как способны предоставлять более «физиологическую» информацию.
Как выглядит глиобластома на МРТ? Как правило, образование на томограммах представляет собой зону, имеющую в основном пониженный сигнал на Т1-взвешенных изображниях и повышенный сигнал на Т2- взвешенных изображениях. Могут присутствовать внутренние кистозные участки, участки потери сигнала, обусловленные крупными сосудами, внутренние зоны повышенной интенсивности сигнала на Т1-ВИ (геморрагические очаги), новообразованные сосуды, очаги некроза, обширный перитуморозный вазогенный отеком и значительный масс-эффект. Также может выявляться неравномерное, но интенсивное накопление контрастного вещества на основе гадолиния (та же картина наблюдается на КТ после введения йодсодержащего контраста), как в основной опухоли, так и в метастатических очагах, характерных для МФГ. МРТ более чувствительна к этим изменениям, чем КТ.
Глиоматоз головного мозга выглядит как диффузное изменение сигнала от белого вещества, сочетающееся с признаками повышения внутричерепного давления, такими как сдавление мозговых желудочков и сужение субарахноидального пространства.
Глиосаркома обычно представляет собой четко ограниченную опухоль, при этом саркоматозные или инфильтрационные глиоматозные элементы часто имеют сходство с менингиомами. Прочие МРТ-признаки схожи с теми, что характерны для мультиформной глиобластомы.
Позитронно-эмиссионная томография (ПЭТ) при глиобластоме
Ангиография
Ангиографическая картина при мультиформной глиобластоме включают в себя следующие признаки: гиперваскулярное объемное образование с опухолевым «свечением»; значительное кровонаполнение сосудов, артерио-венозные шунты (что может имитировать артерио-венозную мальформацию); аберрантные сосуды, сосудистое депонирование и застой (достаточно часто встречается); масс-эффект, который вызывает смещение сосудов.
Ангиография имеет низкую специфичность при диагностике мультиформной глиобластомы. Хотя снимки могут показать смещение сосудов, вызванное масс-эффектом опухоли, но в действительности любое другое объемное образование мозга может иметь схожие признаки. Кроме того, гиперваскуляризация мультиформной глиобластомы может имитировать сосудистую мальформацию. Таким образом, любое объемное образование или сосудистая мальформация может привести к ложноположительному результату. Небольшие опухоли и опухоли без выраженного смещения сосудов могут быть причиной ложноотрицательного результата.
Глиобластома мультиформная
![Мультиформная глиобластома]()
Глиобластома (мультиформная глиобластома) – самая распространенная и агрессивная форма среди всех опухолей мозга (IV степень злокачественности по классификации ВОЗ, grade IV WHO). Встречается под другими названиями: астроцитома IV степени злокачественности или глиома IV степени злокачественности.
Опухоль глиобластомы не имеет четких границ, стремительно разрастается, сдавливает своим объемом головной мозг и прорастает в его ткани. Результатом агрессивного роста глиобластомы является необратимое разрушение головного мозга.
Из-за распространенности случаев заболевания, именно глиобластому вне медицины чаще всего называют «рак мозга», хотя, по сути, глиобластома таковым не является.
Лечение глиобластомы
![Современная нейрохирургия опухолей головного и спинного мозга под операционным микроскопом в Клинике Спиженко]()
Нейрохирургия опухолей головного и спинного мозга
Важным для выбора тактики лечения и прогноза ее успешности является стадия, на которой была выявлена опухолевая патология. К тому же особенности каждого клинического случая предусматривают необходимость индивидуального подхода к выбору метода лечения путем междисциплинарного консилиума, на котором определяется тактика лечения.
Терапия глиобластомы в большинстве случаев подразумевает комплексный подход, который заключается в борьбе со злокачественным процессом не одним, а сразу несколькими методами лечения: удаление опухоли хирургическим путем, химиотерапия, лучевая терапия, радиохирургия.
Если заболевание диагностировано на поздней стадии, когда опухоль имеет большой объем, удаление глиобластомы оперативным путем является основным методом лечения. Во время операции удаляется как можно больше тканей злокачественного новообразования.
В составе комплексного лечения глиобластомы применяется также лучевая терапия на современном линейном ускорителе Elekta Synergy с функцией IMRT (моделирование по интенсивности подачи дозы ионизирующего излучения).
IMRT — современный стандарт лучевого лечения онкологических заболеваний, во время которого высокие дозы ионизирующего излучения подаются точно в объем опухоли, в то время как здоровые ткани головного мозга остаются защищенными от воздействия радиации.
![Цифровой трехмерный план лечения глиобластомы на линейном ускорителе]()
Цифровой трехмерный план лечения глиобластомы на линейном ускорителе
Также в лечении глиобластомы широко используется химиотерапия, препараты которой оказывают разрушительное действие на быстроделящиеся клетки рака.
В ряде случаев в лечении глиобластомы применяется радиохирургия на системе КиберНож. Этот метод лечения особенно эффективен в борьбе с опухолями головного мозга, поскольку проводится дистанционно, без хирургического вмешательства, разрезов и крови. Однако, радиохирургический метод показан при глиобластоме лишь в том случае, когда опухоль диагностирована на ранней стадии.
![План лечения глиобластомы на КиберНоже (радиохирургия)]()
План лечения глиобластомы на КиберНоже (радиохирургия). Внутри зоны, очерченной красным цветом будет сформирована высокая доза ионизирующего излучения, губительного для клеток опухоли
Лечение глиобластомы на КиберНоже — в каких случаях применяется радиохирургия?
![Радиохирургическая система КиберНож в Клинике Спиженко для неинвазивного лечения опухолей]()
Радиохирургическая система КиберНож
Глиобластома — одна из самых агрессивных опухолей головного мозга. Ее лечение на КиберНоже дает наибольший эффект, поэтому крайне важно выявить начало болезни на ранних стадиях, пока ее размеры позволяют проводить радиохирургию.
Наиболее эффективно является радиохирургия опухолей диаметром 2-4 см. Ограничений по форме самой опухоли, в сравнении с лечением на гамма-ноже, который способен довести равномерную дозу только в форме шара, КиберНож не имеет: любому пациенту четко указанная международными стандартами лечения высокая доза, которая призвана привести к разрушению опухолевых клеток, будет сконцентрирована во всем объеме глиобластомы, независимо от того, насколько сложной будет форма этой опухоли мозга.
Безопасность лечения глиобластомы обуславливается точным выявлением границ опухоли и взаимного расположения здоровых тканей головного мозга, проводимым определяется перед началом лечения методами КТ и МРТ с последующим построением пространственной 3D-модели, по которой мощный программный комплекс рассчитывает параметры подачи каждого из множества тонких пучков ионизирующего излучения, из которых и будет сформирована общая доза в опухоли.
Во время сеанса лечения система слежения КиберНожа сверяет с заранее сформированным планом лечения положение опухоли перед подачей каждого из пучков излучения, что сохраняет точность даже в случае движения пациента, минимизируя облучения здоровых тканей, окружающих опухоль головного мозга.
Радиохирургическое лечение глиобластомы на КиберНоже, обычно дополняется химиотерапией.
Диагностика
Выявить глиобластому можно с помощью магнитно-резонансной томографии (МРТ). При подозрении на глиобластому пациенту вводится специальное контрастное вещество, которое окрашивает злокачественные клетки на снимке, тем самым определяя размеры и границы опухоли.
Глиобластому можно диагностировать с помощью компьютерной томографии (КТ) головного мозга. Также используют пункционную биопсию, малоинвазивную процедуру, во время которой с помощью иглы врач производит забор ткани опухоли для дальнейшего гистологического исследования.
Как проявляется глиобластома?
Опасность глиобластомы состоит в том, что опухоль стремительно прогрессирует к тому времени, когда у пациента появляются первые тревожные симптомы. Именно по этой причине подавляющее большинство случаев заболевания диагностируются на поздних стадиях, когда опухоль значительно прорастает в ткани головного мозга.
Симптоматика глиобластомы имеет сходство с проявлениями других заболеваний головного мозга, в том числе, и не онкологической природы.
Основные симптомы глиобластомы:
Заболевание может возникать в любом возрасте, однако чаще всего глиобластома диагностируется у пациентов от 40-ка до 70-ти лет. По статистике, этому онкологическому заболеванию больше подвержены мужчины, нежели женщины.
Причины
Точные причины развития глиобластомы до сих пор не установлены. Риск развития глиобластомы повышается, если пациент страдает нейрофиброматозом.
Факторы провоцирующие развития глиобластомы:
Профилактика рака мозга
Диагностировать онкологические заболевания на ранней стадии, в том числе и доброкачественные и злокачественных опухоли головного мозга, позволяет комплексное обследование всего организма — онкологический скрининг (onco check up), который стоит проходить не реже раза в год.
В профилактическое исследование входят лабораторные тесты на онкомаркеры, инструментальная диагностика (МРТ, КТ, УЗД), эндоскопические исследования , которые позволяют выявить патологический процесс на ранней стадии, когда его течение бессимптомно.
Читайте также:








