Глиомы
Добавил пользователь Евгений Кузнецов Обновлено: 27.01.2026
Глиальные опухоли относятся к группе первичных внутримозговых опухолей, так как источником их роста являются клетки нейроглии (астроциты, олигодендроциты) - ткани, обеспечивающей структурный каркас и жизнедеятельность нейронов головного мозга.
В нейроонкологической практике эти опухоли занимают едва ли не лидирующее положение, уступая по частоте встречаемости только метастатическим опухолям. Современная классификация глиальных опухолей достаточно обширна и формат данной статьи не позволяет осветить все особенности данных опухолей. Тем не менее, стоит отметить, что глиальные опухоли очень разнородны по своей структуре, наличию определенных генетических мутаций, агрессивности, клиническому течению, особенностям диагностики, восприимчивости к лечению и общему прогнозу для жизни больных. Другими по гистологической структуре, но схожими по стратегии лечения являются эпендимальные и эмбриональные опухоли ЦНС, среди которых наиболее часто встречаются эпендимомы и медуллобластомы.
Все глиомы подразделяются по степени злокачественности на 4 степени:
Глиомы первой степени, например пилоидные (пилоцитарные) астроцитомы, хорошо отграничены от здоровой мозговой ткани, медленно растут и их патологическое воздействие определяется практически исключительно размерами и локализацией в головном мозге
Глиомы второй-четвертой степени склонны к инфильтративному росту и не имеют четкой границы со здоровой мозговой тканью. Это является одним, но не единственным фактором, влияющим на агрессивность течения подобных опухолей, а также на выбор возможных методов лечения и их эффективность.
Особенно следует отметить способность некоторых диффузных астроцитом прогрессировать (мутировать) с течением времени и приобретать более агрессивное (злокачественное) течение. Типичным примером тому могут служить диффузные (II степени) и анапластические (III степени) астроцитомы прогрессирующие до глиобластомы (IV степени)
Некоторые опухоли III-IV степени могут метастазировать в пределах головного и спинного мозга (анапластические эпендимомы, медуллобластомы, реже - анапластические астроцитомы), либо склонны к многоочаговому росту (глиобластомы). В литературе описаны отдельные случаи внемозгового метастазирования злокачественных глиом.
Какой метод диагностики лучше использовать при глиальных опухолях?
Компьютерная томография – информативна лишь для выявления локализации патологического очага, наличия перифокального отека, сдавления головного мозга. В дифференциальной диагностике различных видов глиом не информативна.
Магнитно-резонансная томография (МРТ). Применяется практически весь спектр режимов МРТ-сканирования, включая контрастное усиление, спектроскопию, ASL-перфузию и прочие. На основании данных МРТ в большинстве случаев можно предположить доброкачественный или злокачественный характер опухоли, и даже предположить ее гистологический вариант, но невозможно установить достоверный гистологический диагноз.
Позитронно-эмиссионная томография (ПЭТ) использует специфические для головного мозга вещества-метаболиты, которые избирательно накапливаются в опухоли. Широко применяемая в диагностике внечерепных опухолей фтордезоксиглюкоза не специфична по отношению к глиальным опухолям и в их диагностике не используется. Наибольшее распространение и значение в нейроонкологии имеют радиоактивно меченые метионин и фторхолин.
Биопсия. Забор биопсийного материала осуществляется либо путем стереотаксической пункции специальной иглой через небольшое (до 1 см) трефинационное отверстие, либо при хирургической операции. Опухолевая ткань не только исследуется под микроскопом, но и проходит ряд сложных тестов на наличие тех или иных биохимических факторов, мутаций и прочих признаков, на основании чего не только устанавливается точный диагноз, но и определяется прогноз дальнейшего развития болезни и потенциальная чувствительность опухоли к лекарственной терапии
Как лечить глиальные опухоли?
Хирургическое удаление глиом головного мозга традиционно является методом первого выбора в лечении глиом первой степени злокачественности. Эффективность и радикальность операции определяются преимущественно локализацией опухоли и вовлечением функциональных зон мозга.
Радиохирургия. Не смотря на широко распространенное представление о радиохирургии вообще, и о Гамма-ноже, в частности, как панацее от всех опухолей, именно в случае глиом второй-четвертой степени – это не так. И наиболее существенным моментом, определяющим ограниченное использование радиохирургии, является, как ни странно, именно «прицельность» облучения с высоким градиентом дозы на границе опухоль/здоровый мозг, т.к. граница эта трудно и весьма условно определяется с помощью МРТ и СКТ. Даже дополнительная информация, которую дает ПЭТ – не отражает истинной картины процесса.
Тем не менее, лечение глиомы Гамма-ножом применяется в следующих случаях:
Глиомы


- НИО хирургии аорты, коронарных и периферических артерий
- НИО новых хирургических технологий
- НИО хирургической аритмологии
- НИО эндоваскулярной хирургии
- НИО сосудистой и гибридной хирургии
- НИО онкологии и радиотерапии
- НИО ангионеврологии и нейрохирургии
- НИО анестезиологии и реаниматологии
- НИО лучевой и инструментальной диагностики
- Состав совета по защите докторских и кандидатских диссертаций
- Требования к соискателям
- Соискатели
- Апелляции
- ГОСТ по оформлению диссертации и автореферата
- Контакты совета
- Генеральный директор Центра
- Руководство Центра
- Миссия
- История
- Мероприятия
- Фотопроекты
- Истории пациентов
- Нормативные документы
- Структура отдела
- Организационно-методическая работа с регионами
- Развитие телемедицинских технологий
- Кадровая политика и повышение квалификации
- Публичный отчет
- Устав и регистрационные документы
- Лицензии
- Публичный отчет
- Сведения о медицинских работниках
- План развития Центра
- Политика обработки персональных данных
- Охрана труда
- Политика в области охраны труда
- Противодействие коррупции
- Учетная политика

Глиомы головного мозга - это внутримозговые опухоли, которые растут из клеток головного мозга. Глиомы включают астроцитомы, олигодендроглиомы, нейроцитомы, эпендимомы и другие. Особенностью данных опухолей является инфильтративный рост, то есть они не имеют четких границ.


Опухоли I степени имеют самое благоприятное течение и характеризуются медленным ростом и низким процентом рецидива при максимальном хирургическом удалении (например, пилоцитарная астроцитома).
Опухоли II степени являются пограничными и, хотя они также имеют медленный рост, степень инфильтрации мозговой ткани в этом случае выше, что делает прогноз для пациента более серьезным (например, диффузная астроцитома). Эти глиомы при длительном росте и достижении больших размеров могут трансформироваться в более агрессивные формы.
Опухоли III степени имеют выраженные признаки злокачественности. Эти опухоли быстро растут и могут рецидивировать после операции.
Опухоли IV степени - самые злокачественные. Их также называют глиобластомами. Такие опухоли характеризуются всеми признаками злокачественности, наличием участков некрозов и тромбированных вен и имеют склонность к рецидиву в очень короткий срок даже при максимально возможной степени удаления.
Опухоли I и II степени относятся к глиомам низкой степени злокачественности, а опухоли III и IV степени - к высокой степени злокачественности.
Наиболее частым симптомом при глиомах является головная боль. Но боль при этом должна иметь нехарактерный признак для человека - быть либо необычайно частой, либо сильной. Во многих случаях головная боль сопровождается тошнотой, рвотой. Это признаки внутричерепной гипертензии, которая развивается при наличии опухоли в полости черепа. Также пациентам свойственно снижение памяти, заторможенность, сонливость. При развитии глиомы в функциональных зонах головного мозга могут наблюдаться различного рода нарушения: нарушение речи, слабость в руке или ноге, эпилептические приступы и так далее.
Наиболее информативным методом диагностики является магнитно-резонансная томография (МРТ) головного мозга с контрастным усилением. Этот метод позволяет в деталях изучить строение головного мозга, понять в какой зоне развилась опухоль, как она связана с сосудами, черепно-мозговыми нервами, желудочками головного мозга. Кроме того, контрастное усиление позволяет предположить степень злокачественности глиомы, как правило, глиомы высокой степени злокачественности интенсивно накапливают контраст и окружены зоной перифокального отека. Данные МРТ имеют большое значение в предоперационном планировании и оценке рисков оперативного вмешательства.
При невозможности выполнения МРТ у пациентов с различной сопутствующей патологией для диагностики глиом возможно проведение компьютерной томографии (КТ) с контрастным усилением. Этот метод менее чувствителен, но также может быть использован для диагностики. В ряде случаев необходимо проводить как МРТ, так и КТ головного мозга, чтобы сформировать максимально полную картину заболевания.
Лечение глиом головного мозга на современном этапе развития медицины является комплексным. Как правило, первым этапом проводят нейрохирургическое вмешательство. Целью операции является максимально возможное и безопасное удаление опухоли головного мозга. Для этого в НМИЦ им. ак. Е.Н. Мешалкина есть все необходимые условия и современное оборудование экспертного класса. Оперативные вмешательства при глиомах головного мозга проводят с использованием операционного микроскопа, микрохирургического инструментария. Планирование доступа происходит на операционном столе с помощью новейшей нейронавигационной станции, которая позволяет выполнить оперативное вмешательство с минимальной травмой для окружающей мозговой ткани и по кратчайшей траектории до опухоли.
Во время операции при глиомах любой локализации для контроля функций мозга применяется нейрофизиологический мониторинг, который показывает нарушения на самой ранней стадии.
Еще одной задачей микрохирургического удаления глиомы является установление ее гистологического типа и степени злокачественности. Этот параметр важен для планирования дальнейшего лечения - химио- или лучевой терапии. Эти методы лечения являются адъювантными (дополнительными) и направлены на увеличение времени до развития рецидива опухоли и увеличение продолжительности жизни пациентов.
Однако, несмотря на все возможные методы лечения, особенно в случаях злокачественных глиом (анапластических астроцитом и глиобластом), через различное время наступает рецидив заболевания, который требует повторного нейрохирургического вмешательства. Такие операции также направлены на максимально возможное и безопасное удаление опухолевой ткани, чтобы последующая химиотерапия была наиболее эффективной.
Для получения подробной информации по заболеванию, методам лечения и уточнения диагноза необходимо посетить первичную консультацию специалиста или подать документы через сайт на заочную консультацию.
Глиомы
Глиомы являются самыми распространенными первичными опухолями головного мозга. Глиомы развиваются из клеток глии и различаются по степени злокачественности, гистологическим признакам. Классификация глиальных опухолей по степени злокачественности основана на гистологических особенностях опухоли и включает в себя четыре типа:
I степень (Grade I): пилоцитарная астроцитома;
II степень (Grade II): диффузная астроцитома (фибриллярная, протоплазматическая, гемистоцитарная);
III степень (Grade III): анапластическая астроцитома;
IV степень (Grade IV): глиобластома.
Глиомы первых двух групп считаются условно доброкачественными, в этом случае возможно наблюдение за опухолью и/или проведение стереотаксической биопсии с целью верификации диагноза и определения дальнейшей тактики лечения. При злокачественных глиомах (анапластическая астроцитома и глиобластома) необходим комплексный подход к лечению.
В нашем центре оперативное вмешательство проводится по всем мировым стандартам с использованием микрохирургической техники. Глиальные опухоли обладают инфильтративным ростом в окружающую здоровую мозговую ткань, что определяет невозможность тотального удаления всех опухолевых клеток. С целью элиминации опухолевых клеток в окружающей опухоль нормальной мозговой ткани в нашем центре применяется уникальная лазерная технология - фотодинамическая терапия ложа удаленной опухоли. В дальнейшем большинству пациентов требуется проведение курсов лучевой и химиотерапии.
Комплексное лечение злокачественных опухолей головного мозга является одним из приоритетных направлений научных исследований нашего центра. Совместно с нашими партнерами из научных учреждений Нижнего Новгорода и Санкт-Петербурга (Университет им Н.И. Лобачевского и инстиутут нейрохирургии им А.Л. Поленова) мы разрабатываем новые интраоперационные технологии диагностики границ опухолевого роста, проводим лечение злокачественных глиом с использованием противоопухолевых вакцин на основе дендритных клеток.
Клинический пример.
Пациент поступил в отделение нейрохирургии (церебральное подразделение) ФГБУ «ПФМИЦ» Минздрава России 16.10.2015 с жалобами на выраженную головную боль, тошноту, рвоту. Анамнез заболевания: со слов пациента болеет с начала сентября, когда появились указанные выше жалобы. Самостоятельно выполнил МРТ головного мозга, на котором выявлено объемное образование правой лобно-височно-теменной области, консультирован нейрохирургом по месту жительства и направлен в ФГБУ «ПФМИЦ» Минздрава России для оперативного лечения.
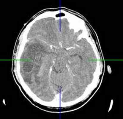
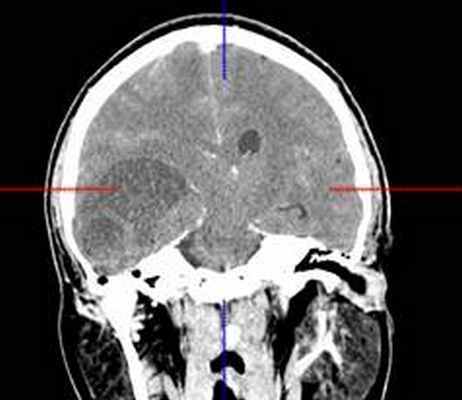
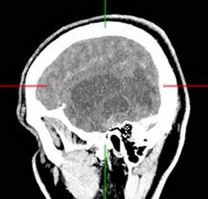
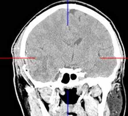
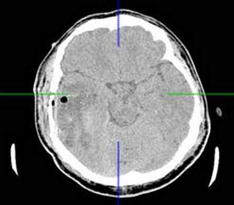
КТ головного мозга с контрастным усилением (24.03.2015): объемное кистозно-солидное образование правой теменно-височно-лобной области. Дислокационный синдром.



22.10.2015 была выполнена операция: микрохирургическое удаление опухоли правой височной доли под интраоперационными навигационным контролем и с интраоперационной фотодинамической терапией.
КТ головного мозга (23.10.2015): не выявило признаков кровоизлияния или каких-либо других хирургических осложнений в области оперативного вмешательства.




В неврологическом статусе после оперативного вмешательства положительная динамика в полного регресса исходной симптоматики, нового неврологического дефицита не выявлено. Шкалы Карновского/ECOG 90/1.
В данном случае мы продемонстрировали возможности микронейрохирургии в удалении кистозных глиальных опухолей головного мозга. Опухоль была удалена с хорошим клиническим результатом.
Обзор онкологических заболеваний глиомы или астроцитомы
Вам поставили диагноз: глиома или астроцитома?
Наверняка Вы задаётесь вопросом: что же теперь делать?
Подобный диагноз всегда делит жизнь на «до» и «после». Все эмоциональные ресурсы пациента и его родных брошены на переживания и страх. Но именно в этот момент необходимо изменить вектор «за что» на вектор «что можно сделать».
Предлагаем Вашему вниманию краткий, но подробный обзор опухолей головного мозга.
Ежегодно в России выявляют более 8 тысяч новых заболеваний опухолей мозговой оболочки, головного и спинного мозга и других частей центральной нервной системы. Почти такое же количество граждан умирает от данных локализаций.
Филиалы и отделения, где лечат глиому или астроцитому
МНИОИ им. П.А. Герцена – филиал ФГБУ «НМИЦ радиологии» Минздрава России.
Отделение нейроонкологии
Заведующий – к.м.н. ЗАЙЦЕВ Антон Михайлович
Отдел лучевой терапии
Заведующий - д.м.н. ХМЕЛЕВСКИЙ Евгений Витальевич
Тел: 495 150 11 22
МРНЦ им. А.Ф. Цыба – филиал ФГБУ «НМИЦ радиологии» Минздрава России.
Отделение протонной и фотонной терапии
Заведующий – д.м.н. ГУЛИДОВ Игорь Александрович
Тел: 8 (484) 399 31 30
Глиомы и астроцитомы
Понятие «опухоли нейроэпителиальной ткани» включает в себя различные по происхождению (глиомы, нейроцитомы и др.,), степени злокачественности, прогнозу новообразования, исходящие из клеток, составляющих собственно мозговое вещество. Большая часть этих новообразований специфична для нервной системы и не встречается в других органах; с другой стороны, сама локализация, патоморфологические характеристики этих опухолей в головном мозге определяет особенности их клинических проявлений, инструментальной диагностики, морфологической классификации, и походы к лечению. Наиболее распространенными опухолями нейроэпителиальной ткани являются глиомы различной степени злокачественности, которые представляют 32% всех нейроэпителиальных новообразований.
Основной метод лечения опухолей нейроэпителиальной ткани хирургический. Он позволяет компенсировать состояние больного, устранить угрозу для жизни при наличии признаков внутричерепной гипертензии, получить сведения о патоморфологии опухоли. Объем удаления опухоли и гистология играет большую роль в прогнозе пациента и определяет тактику дальнейшего лечения. Однако, в большинстве случаев возможности хирургического метода при нейроэпителиальных опухолях в связи с характером их роста и локализацией ограничены; радикальная их резекция невозможна.
Лучевая терапия применяется в основном в качестве дополнительного (адъювантного) метода лечения, проводимого с целью предотвращения рецидива или продолженного роста опухоли после нерадикального оперативного лечения, позволяя увеличить общую продолжительность жизни больных. Лучевые методы лечения характеризуются малой инвазивностью и хорошей переносимостью больными, однако в случаях с диффузно-растущими опухолями, не имеющими четких контуров, как в большинстве глиом, возникают трудности в определении объема и дозы облучения. Более того злокачественные глиомы характеризуются высокой частотой рецидивов,- не менее 60-80% после стандартного курса лучевого лечения, а повторное конвенциональное облучение, как правило ограничено в плане толерантности нервной ткани, применяемых дозовых диапазонов облучения и сроков проведения.
Для снижения числа рецидивов и улучшения результатов комбинированного лечения больных при ряде определенных гистологических типов опухолей активно применяется химиотерапия, как в моно режимах, так и в комбинации. Сочетание лучевой и химиотерапии значительно улучшило результаты лечения больных злокачественными глиомами, однако, лечение рецидивов по-прежнему остается трудной задачей нейроонкологии.
Появление новых технических решений в лучевой терапии, позволяющей достигнуть высокой конформности и селективности облучения опухолей, снизить лучевую нагрузку на критические структуры и увеличить дозу в опухоли, - расширяет возможности лечения пациентов, особенно с рецидивами глиом после комбинированного лечения.
Не инвазивная диагностика глиальных опухолей
Для установления диагноза глиальная опухоль используется сочетание клинических данных (анамнез, неврологический и нейроофтальмологический осмотр), и результатов нейровизуализационных исследований: спиральная компьютерная томография (СКТ), магнито-резонансная томография (МРТ), МР и КТ – перфузия, а так же радионуклидных методов диагностики: однофотонная эмиссионная компьютерная томография (ОФЭКТ 99сTc – технеций) и позитронно-эмиссионная к компьютерная томография с мечеными аминокислотами (11С -метионин).
Не смотря на совершенствование методов лучевой диагностики окончательное суждение о степени злокачественности и типе опухоли возможно только лишь на основании биопсии и патоморфологического исследования опухоли.
Глиомы низкой степени злокачественности (GRADE I-II)
Пилоидные астроцитомы (ПА) Grade I - составляют 5-6% среди всех глиальных новообразований с заболеваемостью 0,37 на 100000 населения в год. Наиболее часто данные опухоли встречаются у детей (67%), поражая преимущественно мозжечок, оптические нервы, хиазму, таламус, базальные ганглии и стволовые структуры. Пик заболеваемости приходится на первые две декады жизни, при этом в возрасте с 0-14 лет пилоидная астроцитома составляет 21% среди всех глиальных новообразований.
Золотым стандартом в лечении глиом НСЗ является хирургический метод, позволяющий в большинстве случаев радикально удалить опухоль.
Лучевая терапия, как самостоятельным метод лечения, применяется у пациентов с небольшими, труднодоступными для удаления ПА, опухолями зрительных путей, остаточными опухолями после нерадикального удаления, а также, при лечении рецидивов ПА.
Для пилоидных астроцитом лучевая терапия является методом выбора при небольших остатках опухоли после неполного удаления или рецидиве.
Глиомы низкой степени злокачественности (НСЗ) Grade II: плеоморфная ксантоастроцитома, диффузная астроцитома и пиломиксоидная астроцитома, олигодендроглиома, олигоастроцитома – являются морфологически, клинически и диагностически гетерогенной группой опухолей. Патоморфологические особенности данной группы опухолей существенно влияют на терапевтические подходы и определяют прогноз и течение заболевания.
Среди методов лечения глиом низкой степени злокачественности (Grade II) рассматриваются следующие: тотальное и субтотальное удаление опухоли, лучевая терапия в суммарной очаговой дозе 50-56 Гр и химиотерапия, которая чаще назначается при олигодендроглиоме и олигоастроцитоме.
Стандартом является максимально безопасное удаление опухоли (если оно возможно). При асимптомных опухолях у больных не старше 40 лет возможно динамическое наблюдение без оперативного вмешательства.
Проведение лучевой терапии в послеоперационном периоде или в самостоятельном варианте, при глиомах ствола мозга улучшает результаты лечения больных глиомами Grade II.
Глиомы высокой степени злокачественности (GRADE III-IV)
Глиомы высокой степени злокачественности (ГВСЗ) Grade III-IV - анапластическая астроцитома, анапластическая олигоастроцитома, анапластическая олигодендроглиома и мультиформная глиобластома, глиосаркома являются наиболее часто встречающимися первичными злокачественными опухолями головного мозга у взрослых 60-70%.
Существует два пика заболеваемости злокачественными глиальными опухолями головного мозга, первый между 0 и 4 годами. В это время опухоли ЦНС занимают второе место среди злокачественных новообразований детского возраста, составляя среди них 14-20% и уступая только лимфомам и лейкозам. Второй пик заболеваемости находится между 35 и 75 годами. В этом периоде злокачественные глиомы головного мозга – третья, наиболее частая причина смерти от онкологических заболеваний у мужчин и четвертая по частоте у женщин в экономически развитых странах.
Современные принципы лечения злокачественных глиом головного мозга предполагают, прежде всего, хирургическое удаление опухоли с последующей адъювантной терапией. Хирургия является одним из основных методов лечения данной категории пациентов так как, прежде всего, способствует определению морфологического диагноза и устраняет неблагоприятные симптомы заболевания.
Несмотря на совершенствование хирургического оборудования отдаленные результаты только оперативного лечения больных злокачественными глиомами головного мозга на сегодняшний день остаются неутешительными, в связи с высокой частотой локальных и отдаленных рецидивов, которые наблюдаются в 70-80% случаев.
Проведение в послеоперационном периоде лучевой и/или химиолучевой терапии у больных ГВСЗ, позволяет улучшить результаты лечения, снижая частоту рецидивов, улучшая качество жизни и увеличивая продолжительность жизни на сроки более 5 лет.
Хирургическое удаление опухоли с последующей дистанционной лучевой и/или химиолучевой терапией являются стандартом лечения больных глиобластомой, и анапластической астроцитомой.
Филиалы и отделения, в которых лечат опухоли головного и спинного мозга, а также отделы центральной нервной системы
ФГБУ «НМИЦ радиологии» Минздрава России обладает всеми необходимыми технологиями лучевого, химиотерапевтического и хирургического лечения, включая расширенные и комбинированные операции. Все это позволяет выполнить необходимые этапы лечения в рамках одного Центра, что исключительно удобно для пациентов.
Глиома

Глиомы (глиальные опухоли) являются наиболее распространенным типом первичной опухоли головного мозга. Они могут возникать в любом возрасте и в любой части головного или спинного мозга, где находятся глиальные клетки (клетки поддержки нервной системы). Существуют три основных вида/rak-mozga/ глиомы: астроцитома, эпендимома и олигодендроглиома.
Астроцитомы определяют по их гистологическому качеству от низкой до высокой стадии. Наиболее распространенным типом глиомы является высокая степень астроцитомы – мультиформная глиобластома, которая растёт стремительно и носит в целом неблагоприятный прогноз. Астроцитомы низкой уровня (степени I и II), как правило, имеют медленный рост и несут улучшение прогноза.
К глиомам также относятся:
Все глиомы в соответствии с классификацией ВОЗ делятся на 4 степени:
- степень I — медленно растущие доброкачественные глиомы, ассоциированные с длительным сроком продолжительности жизни
- степень II — медленно растущие «пограничные» глиомы, которые могут перейти в степень III, IV
- степень III — злокачественные глиомы
- степень IV — быстрорастущие злокачественные глиомы, ассоциированные с коротким сроком продолжительности жизни
Лечение
Ввиду широкого разнообразия форм глиальных опухолей, эффективный формат лечения также может иметь большое количество вариантов. К тому же особенности каждого клинического случая предусматривают необходимость индивидуального подхода к выбору метода лечения.
Чаще всего нейрохирургическое лечение имеет бескровную альтернативу — радиохирургию, позволяющее без хирургического вмешательства разрушить опухолевые клетки в определенном объеме с помощью разовой высокой дозы ионизирующего излучения. Методика стереотаксической радиохирургии в Киеве реализуется на системе КиберНож.
Лечение на системе КиберНож

Радиохирургическая система КиберНож (CyberKnife G4)
Радиохиругическое лечение глиомы на Киберноже, независимо от типа опухоли, который более точно можно будет определить во время биопсии (если есть возможность ее провести), проводится по одинаковому алгоритму. Сначала с помощью данных КТ- и МРТ-исследований будет сформирована пространственная модель расположения опухоли и соседствующих с ней здоровый участков мозга. Затем в планировочной системе лучевой терапевт задает требуемую дозу, которую КиберНож должен сформировать в области, в границах которой находится глиома.
Также задается минимальная доза в тех зонах, которым любое облучение противопоказано (например, ствол головного мозга). После этого мощная компьютерная система строит план лечения с тем, чтобы из множества тонких одиночных пучков излучения сформировать в опухолевой зоне равномерную зону требуемой дозы излучения. Далее роботизированная рука-манипулятор КиберНожа согласно составленному плану будет последовательно перемещать компактный линейный ускоритель в каждое из запланированных положений, из которых будет проводится подача единичного пучка.

План радиохирургического лечения глиомы на КиберНоже
В отличие от хирургического лечения, радиохирургия не предусматривает нарушения целостности черепа, мозговых оболочек и т.д. Лечение глиомы исключает наличие осложнений, связанных с общим состоянием пациента, перенесшего нейрохирургическое вмешательство, а также с неврологическими нарушениями, вызванными повреждением здоровых тканей головного мозга в процессе доступа к глиоме. Лечение проводится амбулаторно, без проведения наркоза, что упрощает доступ к современному методу лечения пациентам в тяжелом общем состоянии.
Стоимость радиохирургии сопоставима с ценой на нейрохирургическое вмешательство. Отсутствие необходимости реабилитации после лечения на КиберНоже позволяет снизить общую стоимость лечения при более высокой эффективности получаемой терапии.
В случае более объемного процесса, пациенту может быть показана высокоточная IMRT-лучевая терапия, выполняемая на современном линейном ускорителе.

План лучевого лечения глиомы на линейном ускорителе
Диагностика

Siemens Magnetom Sola в Клинике Спиженко
Диагностику глиомы проводят с применением магнитно-резонансной томографии головного мозга (МРТ) и его ствола или хиазмы (перекреста) зрительного нерва с использованием контраста и без него. Это самый простой и эффективный способ выявить глиальную опухоль. Магнитно-резонансная томография может быть также использована для более точного определения характера опухоли.
Для диагностики онкологических заболеваний применяются все современные инструменты — высокоточное оборудование производителей мирового класса, которое позволяет обеспечить комфортность и безболезненность процедуры исследования для каждого пациента.
Также при необходимости, диагностика глиальной опухоли может проводится при помощи компьютерной томографии головного мозга (КТ). Данный метод инструментальной диагностики, помимо выявления новообразования и его четких границ, позволяет комплексно оценить костные, полостные структуры головного мозга, сосуды и мягкие образования.
Симптомы
Симптомы глиомы являются переменными и зависят от расположения и размера опухоли. Общие жалобы включают головную боль, судороги, спутанность сознания, слабость, онемение, дисбаланс или нарушения координации и изменения личности. Наблюдаемая симптоматика зависит от локализации и размеров опухоли. Для глиом характерны типичные для опухолей головного мозга проявления:
- тошнота, рвота, головные боли и судороги
- нарушения речи
- мышечная слабость, парезы и параличи в любой части тела или лица
- нарушение зрения и осязания
- нарушение координации
- изменения в поведении
- нарушения памяти и мышления
Причиныи факторы риска
Глиомы (глиальные опухоли) относятся к числу тех онкологических заболеваний, точную причину возникновения которых установить невозможно. На сегодня известны лишь статистические данные, которые дают основу предположить наличие предрасположенности к развитию опухоли головного мозга у некоторых людей.
Как правило, больше всего развитию глиом подвержены люди старшего возраста — от 60-ти до 70-ти лет. Мужчины страдают от этого заболевания больше, чем женщины.
Факторы риска
- негативное воздействие ионизирующего излучение;
- наследственность;
- генетические заболевания.
Профилактика глиомы
Профилактика глиомы, как и многих других новообразований головного мозга, заключается в качественному подходу к образу жизни. Правильное питание, отказ от алкоголя и курения, умеренные физические нагрузки, соблюдение режима отдыха и сна — все эти факторы способствуют хорошему самочувствию и помогают избежать многих заболеваний.
Касательно онкологии, точных причин развития большинства патологических заболеваний современной медицине установить не удается. Существуют генетические факторы, наследственность, предрасположенность, которые могут послужить катализатором развития опухоли.
Ранняя диагностика опухоли способствует высоким результатам лечения. И основным медицинским методом, который позволяет предупредить и диагностировать в том числе и глиому на ранней стадии является профилактический осмотр — onco check up.
Для каждого пациента список необходимых анализов, исследований и тестов онкоскрининга определяется индивидуально во время консультации врача-онколога, исходя из его пола, возраста, наличия хронических заболеваний и семейного анамнеза.
Онкоскрининг, в ходе которого применяются различные лабораторные анализы, современные методы инструментальной диагностики (магнитно-резонансная томография, компьютерная томография, ультразвуковая диагностика, эндоскопические исследования), позволяет выявить опухолевые процессы в организме на той стадии, когда еще нет никаких симптомов.
Читайте также:
