Хондробластома - лучевая диагностика
Добавил пользователь Владимир З. Обновлено: 27.01.2026
Хондрома — опухоль детского и юношеского возраста. Вовлекаются чаще короткие трубчатые кости кисти и стопы. К хондромам следует относиться как к потенциально злокачественным опухолям. Хондромы разделяют на энхондромы и экхондромы • Энхондрома — опухоль, располагающаяся внутри кости. В центре вздутого одиночного очага — гомогенное просветление неправильной округлой или овальной формы с чёткими контурами. На его однородном фоне обнаруживают единичные тени очагов обызвествления хряща •
Экхондрома — опухоль, исходящая из кости и растущая в сторону мягких тканей. На фоне уплотнения мягких тканей выявляют участки обызвествления различных размеров и интенсивности. Границы опухоли и её основание обнаруживают с трудом • Клиническая картина. Чаще поражаются фаланги пальцев кисти и стопы, плюсневые, предплюсневые и пястные кости, реже — бедренные и плечевые кости. Характерны постепенно развивающаяся припухлость, при близком расположении к суставу — артралгии, явления синовита. Энхондрома может трансформироваться в хондросаркому: при этом ускоряется рост опухоли, появляются боли, возникают участки обызвествления опухоли и накопление изотопа при сцинтиграфии. Для уточнения диагноза показана биопсия опухоли • Лечение хондром только хирургическое — экскохлеация опухоли, резекция кости с костной пластикой. При подозрении на малигнизацию — сегментарная резекция поражённой кости.
Хондробластома — редкая опухоль, составляет 1–1,8% первичных опухолей кости (10% всех опухолей скелета). Возникает преимущественно в детском и юношеском возрасте. Излюбленная локализация — длинные трубчатые кости. Поражает эпифизы и метафизы (проксимальный и дистальный отделы бедренной кости, проксимальные отделы большеберцовой и плечевой костей), реже — кости таза и лопатки • Клиническая картина. Превалирует боль, отмечается небольшая припухлость, иногда ограничение движений в суставе и гипотрофия мышц • Диагностика. Рентгенологически определяют неоднородный очаг деструкции округлой или овальной формы. Дифференциальную диагностику хондробластомы проводят с солитарной энхондромой и литической формой остеобластокластомы • Лечение хондробластомы хирургическое (кюретаж), однако, учитывая возможность малигнизации, рекомендуют резекцию кости.
Хондромиксоидная фиброма — безболезненная доброкачественная опухоль. Её метафизарное эксцентрическое расположение в длинной трубчатой кости с истончением и вздутием кортикального слоя напоминает хондробластому. Чаще возникает в возрасте до 30 лет • Клинические проявления минимальны; длительное время протекает бессимптомно; выявляют случайно на рентгенограммах в виде очага деструкции, иногда окружённого склеротическим ободком. На фоне очага деструкции видны трабекулярный рисунок и петрификаты • Лечение — оперативное (экскохлеация опухоли с последующим замещением дефекта кости трансплантатом).
Остеохондрома — встречается часто • Локализация: преимущественно в длинных трубчатых костях (медиальная поверхность проксимального метафиза плечевой, дистальный метафиз бедренной, проксимальный метафиз большеберцовой костей) • Рентгенологическое исследование. Опухоль представлена в виде дополнительной тени, соединённой с костью ножкой, реже широким основанием. Контуры бугристые, неровные. При больших размерах опухоли обнаруживают выраженную деформацию соседних костей • Дифференциальная диагностика — с одиночными и множественными костно-хрящевыми экзостозами. Остеохондрома может малигнизироваться • Лечение — хирургическое.
Остеобластокластома (гигантоклеточная опухоль) возникает в молодом возрасте (у лиц моложе 30 лет), поражает как эпифиз, так и метафиз длинных трубчатых костей • Патоморфология: наряду с одноядерными овальными клетками типа остеобластов обнаруживают многоядерные крупные гигантские клетки типа остеокластов • Формы: литическая, активно-кистозная и пассивно-кистозная • Клиническая картина: боль в области поражения, иногда — гиперемия кожи, деформация кости, возможны патологические переломы • Рентгенологическое исследование. Опухоль имеет вид овального очага просветления. Важным рентгенологическим признаком всех форм остеобластокластомы, отличающим её от туберкулёзных поражений кости, служит отсутствие остеопороза • Дифференциальная диагностика: исследует исключить дисплазии (хондрома, хондробластома, фиброзная дисплазия и др.) • Лечение остеобластокластом хирургическое. Щадящая резекция кости с удалением опухоли и одномоментной костной пластикой (ауто-, гомотрансплантаты либо замещение метилметакрилом) — метод выбора. При поражении опухолью позвоночника применяют лучевую терапию.
Остеоид-остеома. Одни авторы рассматривают остеоид-остеому как хронический очагово-некротический негнойный остеомиелит, другие относят остеоид-остеому к опухолям • Частота. Остеоид-остеому выявляют у лиц молодого возраста (11–20 лет), мужчины болеют в 2 раза чаще. Обычно остеоид-остеома — солитарная опухоль, локализующаяся в любом отделе скелета (чаще в длинных трубчатых костях). На первом месте по частоте поражения стоит бедренная кость, затем большеберцовая и плечевая кости • Клиническая картина. Боли, особенно по ночам, локализованные, усиливающиеся при надавливании на очаг. Кожные покровы без изменений. При локализации опухоли на нижних конечностях — хромота. Рентгенографически выявляют очаг деструкции костной ткани овальной формы с чёткими контурами. Вокруг очага — зона остеосклероза за счёт периостальных и в меньшей степени эндостальных изменений. Для уточнения характера поражения и более чёткого выявления очага показана КТ. Дифференциальную диагностику при остеоид-остеоме проводят с костным абсцессом Броди • Лечение хирургическое. После радикального удаления, как правило, остеоид-остеома не рецидивирует.
Остеома — одна из наиболее морфологически зрелых доброкачественных опухолей скелета, происходящая из остеобластов. Диагностируют чаще в детском возрасте, иногда бывает случайной рентгенологической находкой • Виды: компактная и губчатая. Губчатая остеома чаще локализуется в трубчатых костях. Компактная остеома может локализоваться в костях свода черепа, придаточных пазухах. Рентгенодиагностика остеом не представляет трудностей. Компактная остеома даёт однородную бесструктурную интенсивную тень. Губчатая остеома трубчатой кости по мере роста смещается в сторону от сустава; на всём протяжении прослеживается истончённый кортикальный слой. Опухоль имеет трабекулярную структуру. Рост опухоли экзофитный • Лечение — удаление опухоли с участком здоровой костной ткани и надкостницей.
Гемангиома — врождённая аномалия, при которой пролиферация клеток эндотелия приводит к образованию скоплений, напоминающих опухоль; из костей наиболее часто поражается позвоночник: в теле 1–2 позвонков выявляют разрастание капилляров или кавернозных полостей с частичной деструкцией • Клиническая картина: незначительные боли, усиливающиеся при надавливании на остистый отросток, движении, длительном сидении или хождении • Рентгенологическое исследование: исчерченность костной ткани, в поздних стадиях — склероз тела позвонка и компрессия • Лечение — разгрузка позвоночника: ношение жёсткого корсета, лучевая терапия, при компрессии спинного мозга — ламинэктомия.
МКБ-10 • D16 Доброкачественное новообразование костей и суставных хрящей
Код вставки на сайт
Опухоли костей доброкачественные
Хондрома — опухоль детского и юношеского возраста. Вовлекаются чаще короткие трубчатые кости кисти и стопы. К хондромам следует относиться как к потенциально злокачественным опухолям. Хондромы разделяют на энхондромы и экхондромы • Энхондрома — опухоль, располагающаяся внутри кости. В центре вздутого одиночного очага — гомогенное просветление неправильной округлой или овальной формы с чёткими контурами. На его однородном фоне обнаруживают единичные тени очагов обызвествления хряща •
Экхондрома — опухоль, исходящая из кости и растущая в сторону мягких тканей. На фоне уплотнения мягких тканей выявляют участки обызвествления различных размеров и интенсивности. Границы опухоли и её основание обнаруживают с трудом • Клиническая картина. Чаще поражаются фаланги пальцев кисти и стопы, плюсневые, предплюсневые и пястные кости, реже — бедренные и плечевые кости. Характерны постепенно развивающаяся припухлость, при близком расположении к суставу — артралгии, явления синовита. Энхондрома может трансформироваться в хондросаркому: при этом ускоряется рост опухоли, появляются боли, возникают участки обызвествления опухоли и накопление изотопа при сцинтиграфии. Для уточнения диагноза показана биопсия опухоли • Лечение хондром только хирургическое — экскохлеация опухоли, резекция кости с костной пластикой. При подозрении на малигнизацию — сегментарная резекция поражённой кости.
Хондробластома — редкая опухоль, составляет 1–1,8% первичных опухолей кости (10% всех опухолей скелета). Возникает преимущественно в детском и юношеском возрасте. Излюбленная локализация — длинные трубчатые кости. Поражает эпифизы и метафизы (проксимальный и дистальный отделы бедренной кости, проксимальные отделы большеберцовой и плечевой костей), реже — кости таза и лопатки • Клиническая картина. Превалирует боль, отмечается небольшая припухлость, иногда ограничение движений в суставе и гипотрофия мышц • Диагностика. Рентгенологически определяют неоднородный очаг деструкции округлой или овальной формы. Дифференциальную диагностику хондробластомы проводят с солитарной энхондромой и литической формой остеобластокластомы • Лечение хондробластомы хирургическое (кюретаж), однако, учитывая возможность малигнизации, рекомендуют резекцию кости.
Хондромиксоидная фиброма — безболезненная доброкачественная опухоль. Её метафизарное эксцентрическое расположение в длинной трубчатой кости с истончением и вздутием кортикального слоя напоминает хондробластому. Чаще возникает в возрасте до 30 лет • Клинические проявления минимальны; длительное время протекает бессимптомно; выявляют случайно на рентгенограммах в виде очага деструкции, иногда окружённого склеротическим ободком. На фоне очага деструкции видны трабекулярный рисунок и петрификаты • Лечение — оперативное (экскохлеация опухоли с последующим замещением дефекта кости трансплантатом).
Остеохондрома — встречается часто • Локализация: преимущественно в длинных трубчатых костях (медиальная поверхность проксимального метафиза плечевой, дистальный метафиз бедренной, проксимальный метафиз большеберцовой костей) • Рентгенологическое исследование. Опухоль представлена в виде дополнительной тени, соединённой с костью ножкой, реже широким основанием. Контуры бугристые, неровные. При больших размерах опухоли обнаруживают выраженную деформацию соседних костей • Дифференциальная диагностика — с одиночными и множественными костно-хрящевыми экзостозами. Остеохондрома может малигнизироваться • Лечение — хирургическое.
Остеобластокластома (гигантоклеточная опухоль) возникает в молодом возрасте (у лиц моложе 30 лет), поражает как эпифиз, так и метафиз длинных трубчатых костей • Патоморфология: наряду с одноядерными овальными клетками типа остеобластов обнаруживают многоядерные крупные гигантские клетки типа остеокластов • Формы: литическая, активно-кистозная и пассивно-кистозная • Клиническая картина: боль в области поражения, иногда — гиперемия кожи, деформация кости, возможны патологические переломы • Рентгенологическое исследование. Опухоль имеет вид овального очага просветления. Важным рентгенологическим признаком всех форм остеобластокластомы, отличающим её от туберкулёзных поражений кости, служит отсутствие остеопороза • Дифференциальная диагностика: исследует исключить дисплазии (хондрома, хондробластома, фиброзная дисплазия и др.) • Лечение остеобластокластом хирургическое. Щадящая резекция кости с удалением опухоли и одномоментной костной пластикой (ауто-, гомотрансплантаты либо замещение метилметакрилом) — метод выбора. При поражении опухолью позвоночника применяют лучевую терапию.
Остеоид-остеома. Одни авторы рассматривают остеоид-остеому как хронический очагово-некротический негнойный остеомиелит, другие относят остеоид-остеому к опухолям • Частота. Остеоид-остеому выявляют у лиц молодого возраста (11–20 лет), мужчины болеют в 2 раза чаще. Обычно остеоид-остеома — солитарная опухоль, локализующаяся в любом отделе скелета (чаще в длинных трубчатых костях). На первом месте по частоте поражения стоит бедренная кость, затем большеберцовая и плечевая кости • Клиническая картина. Боли, особенно по ночам, локализованные, усиливающиеся при надавливании на очаг. Кожные покровы без изменений. При локализации опухоли на нижних конечностях — хромота. Рентгенографически выявляют очаг деструкции костной ткани овальной формы с чёткими контурами. Вокруг очага — зона остеосклероза за счёт периостальных и в меньшей степени эндостальных изменений. Для уточнения характера поражения и более чёткого выявления очага показана КТ. Дифференциальную диагностику при остеоид-остеоме проводят с костным абсцессом Броди • Лечение хирургическое. После радикального удаления, как правило, остеоид-остеома не рецидивирует.
Остеома — одна из наиболее морфологически зрелых доброкачественных опухолей скелета, происходящая из остеобластов. Диагностируют чаще в детском возрасте, иногда бывает случайной рентгенологической находкой • Виды: компактная и губчатая. Губчатая остеома чаще локализуется в трубчатых костях. Компактная остеома может локализоваться в костях свода черепа, придаточных пазухах. Рентгенодиагностика остеом не представляет трудностей. Компактная остеома даёт однородную бесструктурную интенсивную тень. Губчатая остеома трубчатой кости по мере роста смещается в сторону от сустава; на всём протяжении прослеживается истончённый кортикальный слой. Опухоль имеет трабекулярную структуру. Рост опухоли экзофитный • Лечение — удаление опухоли с участком здоровой костной ткани и надкостницей.
Гемангиома — врождённая аномалия, при которой пролиферация клеток эндотелия приводит к образованию скоплений, напоминающих опухоль; из костей наиболее часто поражается позвоночник: в теле 1–2 позвонков выявляют разрастание капилляров или кавернозных полостей с частичной деструкцией • Клиническая картина: незначительные боли, усиливающиеся при надавливании на остистый отросток, движении, длительном сидении или хождении • Рентгенологическое исследование: исчерченность костной ткани, в поздних стадиях — склероз тела позвонка и компрессия • Лечение — разгрузка позвоночника: ношение жёсткого корсета, лучевая терапия, при компрессии спинного мозга — ламинэктомия.
МКБ-10 • D16 Доброкачественное новообразование костей и суставных хрящей
Хондробластома - лучевая диагностика
Хондробластома - лучевая диагностика
а) Терминология:
• Доброкачественная хрящеобразующая эпифизарная опухоль, развивающаяся у лиц с незрелым скелетом
б) Визуализация:
• Локализация:
о >75% в длинных трубчатых костях
о Развивается в эпифизе, часто переходит на метафиз
о Проксимальный отдел плечевой кости > проксимальный отдел большеберцовой кости >проксимальный и дистальный отделы бедренной кости
• Отграниченный характер патологического очага
• 1/3-1/2-й новообразований содержат хрящевой матрикс
• В большинстве случаев имеется склерозированный край
• Эксцентричное расположение в эпифизе
• При крупных длительно развивающихся хондробластомах имеется периостальная реакция в виде утолщения надкостницы (50%)
• Патологический очаг иногда имеет уровни жидкости, в ряде случаев соответствующие вторичной аневризмальной костной кисте
• МРТ: неоднородный низкоинтенсивный сигнал в режиме Т1; неоднородный высокоинтенсивный сигнал в последовательностях, чувствительных к жидкости:
о В большинстве случаев сопряженные кортикальный слой, костный мозг и мягкие ткани характеризуются высокоинтенсивным сигналом
(Слева) Рисунок: срез проксимального отдела плечевой кости с типичной хондросбластомой. Показан эпифизарный, эксцентрично расположенный очаг с четкими границами. Патологическое образование имеет склеротический край и содержит кальцинаты.
(Справа) Рентгенография: классическая хондробластома у пациента с почти зрелым скелетом. Литический очаг развивается в эпифизе и распространяется на метафиз. Очаг не содержит кальцинированный матрикс, имеет четкие границы и умеренно склерозированный край. (Слева) МРТ, корональная проекция, режим Т1: однородный, эксцентрично расположенный эпифизарный очаг, типичный для хондробластомы. В зоне метафиза визуализируется массивная периостальная реакция типичный признак в 50% случаев.
(Справа) КТ, аксиальная проекция, без контрастного усиления: весьма эксцентрично расположенная хондробластома эпифиза плечевой кости. Она содержит небольшое вкрапление кальцинированного матрикса и немного вспучивает кортикальный слой. Этому пациенту с жалобами на боль и пощелкивание при ротации плеча, в первую очередь, вместо лучевого исследования, было необоснованно выполнено артроскопическое вмешательство.
в) Клинические особенности:
• Чаще всего встречается в возрасте 10-25 лет
• М>Ж (примерно 2:1)
• Хирургическое лечение: кюретаж с замещением дефекта костным трансплантатом
• При небольших очагах (по данным 1-го исследования средний диаметр 1,4 см) может применяться радиочастотная абляция
г) Диагностическая памятка:
• Новообразование развивается из эпифиза, но по мере роста может распространяться на метафиз
• Метафизарная периостальная реакция и перифокальный отек могут имитировать более агрессивное новообразование
• Обращайте внимание на дольчатость и ползущий характер распространения очага за пределы округлого хорошо отграниченного образования
Хондробластома
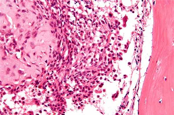
Хондробластома – преимущественно доброкачественная опухоль, поражающая в основном эпифизы (головки) и метафизы (шейки) трубчатых костей и формирующаяся из хрящевых клеток.
- Костная патология
- Аневризмальная киста кости (АКК)
- Ахондроплазия
- Болезнь Олье (Дисхондроплазия)
- Вальгусная деформация кости
- Гематогенный остеомиелит
- Гигантоклеточная опухоль
- Диагностика и лечение доброкачественных опухолей, опухолеподобных и воспалительных заболеваний костей
- Дисплазия тазобедренного сустава
- Малоинвазивные методы диагностики и лечение костной патологии
- Метафизарная дисплазия
- Множественная экзостозная хондродисплазия
- Неоссифицирующая фиброма кости
- Несовершенный остеогенез
- Остеоид-остеома кости
- Остеомиелит кости у детей
- Остеосаркома
- Остеосаркома бедренной кости
- Остеохондрома
- Острый гематогенный остеомиелит
- Синовиальный хондроматоз
- Аневризмальная киста позвоночника
- Гемангиома позвоночника
- Деформации позвоночника (сколиозы, кифозы, кифосколиозы)
- Кифоз
- Опухоли позвоночника
- Опухоли позвоночника любой локализации (первичные и метастазы)
- Остеобластома позвоночника и остеоидная остеома
- Остеоид-остеома позвоночника
- Остеохондрома позвоночника
- Спондилоэфизарная дисплазия
- Лечение врожденного вывиха бедра хирургически
- Несовершенный остеогенез. Болезнь Лобштейна-Вролика
- Хирургическая коррекция врожденных и приобретенных деформаций конечностей
- Хирургическое лечение остеохондропатий
- Юношеский эпифизеолиз головки бедренной кости
- S-образный сколиоз
- S-образный сколиоз (3—4 степень)
- Врожденная аномалия развития позвоночника
- Грудной сколиоз
- Кифосколиоз
- Поясничный сколиоз
- Сколиоз
- Сколиоз 3-4 степени
- Сколиоз у детей и подростков
- Киста бедренной кости
- Киста большеберцовой и малоберцовой кости
- Киста кости: особенности протекания и лечения у детей и взрослых
- Киста плечевой кости и плечевого сустава
- Киста руки: плеча, локтя и кисти
- Киста стопы: пяточной, таранной кости
- Киста тазобедренного сустава
- Костная киста позвоночника
- Экзостоз бедренной кости
- Экзостоз большеберцовой и малоберцовой кости
- Экзостоз ключицы
- Экзостоз коленного сустава
- Экзостоз кости
- Экзостоз кости ноги
- Экзостоз лопатки
- Экзостоз пальцев рук и ног
- Экзостоз плечевой кости
- Экзостоз стопы и его разновидность пяточный экзостоз
- Экзостозы позвоночника
- Экзостозы рук: поражение плечевого, локтевого сустава, предплечья и кисти
- Воронкообразная деформация грудной клетки
- Килевидная деформация грудной клетки
![]()
Хондробластома – преимущественно доброкачественная опухоль, поражающая в основном эпифизы (головки) и метафизы (шейки) трубчатых костей и формирующаяся из хрящевых клеток. На ее долю приходится 1—4% всех случаев выявления доброкачественных новообразований. Чаще всего она обнаруживается в дистальном эпифизе бедренной кости, несколько реже в проксимальном эпифизе большеберцовой кости, которые формируют колено. Таким образом, в большинстве случаев диагностируется хондробластома коленного сустава. Третьим по частоте поражается проксимальный эпифиз плечевой кости и значительно реже выявляются хондробластомы костей таза, стоп, ребер, позвоночника, лопаток и других трубчатых и плоских костей скелета. Пик диагностирования патологии припадает на период 10—20 лет, намного реже хондробластомы обнаруживаются у людей зрелого и пожилого возраста. Но, что характерно, количество мужчин с таким диагнозом в 1,5—2 раза превышает число заболевших женщин.
![Хондробластома под микроскопом]()
Особенности и причины развития
Опухоль, как правило, солитарная (одиночная). Она имеет круглую форму, а ее размеры обычно составляют порядка 3—6 см. По своей структуре она имеет много общего со зрелой хрящевой тканью, а основой для ее развития становятся хондробласты, являющиеся молодыми хрящевыми клетками и располагающиеся по периферии хряща.
Впервые хондробластома была описана в 1927 году. Несколько позднее ее тщательным изучением занялся хирург Эрнест Кодман (США). Результаты его наблюдений за 9 пациентами с хондробластомой плечевой кости были изложены в публикации, сделанной в 1931 г. Поэтому и сегодня хондробластома плечевой кости нередко называется опухолью Кодмана.
![Хондробластома головки левой плечевой кости]()
![Хондробластома левой плечевой кости]()
Пока еще точно не установлено, что является толчком для видоизменения клеток и их чрезмерного размножения. Но проведенные в последние годы исследования молекулярно-генетических механизмов показали, что развитию опухоли способствуют:
- дизэмбриональные нарушения;
- воздействие лучевой нагрузки;
- химические факторы.
Хондробластома у детей и взрослых
Хондробластома чаще обнаруживается у детей и подростков, что обусловлено активным ростом скелета и в первую очередь удлинением длинных трубчатых костей, эпифизы и метафизы которых и являются излюбленной локализацией новообразований подобного типа. Тем не менее хондробластома может формироваться и у взрослых.
У детей и подростков в 75% случаев опухоль локализуется в эпифизах длинных трубчатых костей. Поэтому чаще всего диагностируется хондробластома бедренной кости у детей – в 45% случаев. Большеберцовая кость поражается реже – в 29%, а плечевая – только в 12%.
У взрослых образование может обнаруживаться и в других костях. Так, задокументированы случаи поражения:
- лопатки;
- ребер;
- грудины;
- надколенника;
- позвоночника;
- лучевой и локтевой кости;
- ключицы;
- фаланг пальцев;
- костей запястья;
- нижней челюсти;
- свода черепа.
Хондробластома в ходе своего роста может распространяться на апофиз (отросток кости у эпифиза, к которому крепятся мышцы и связки) или же двигаться к суставной поверхности.
![Хондробластома дистального эпифиза левой бедренной кости.]()
Как правило, хондробластома кости отличается медленным ростом и считается клинически доброкачественным новообразованием. Но иногда опухоль может расти инвазивно, рецидивировать, а в отдельных случаях и давать метастазы. Поэтому в 2013 г. экспертами ВОЗ она была отнесена к числу промежуточных, редко метастазирующих.
Еще не существует единой, общепринятой классификации. Поэтому сегодня выделяют 3 основных вида хондробластом: доброкачественные, доброкачественные смешанные и злокачественные. Доброкачественные новообразования формируются из клеток хрящевой ткани (хондробластов и хондроцитов). Смешанные же содержат, помимо них, еще и клетки, являющиеся характерными для других доброкачественных образований. В результате выделяют следующие виды:
- хондробластома с остеобластокластомой (15%);
- хондробластома с хондромиксоидной фибромой (16%);
- хондромная форма (3%);
- кистозная форма (3%).
Злокачественные хондробластомы могут становиться следствием озлокачествления доброкачественной опухоли или же изначально содержать атипичные клетки. Но на их долю приходится не более 7% всех случаев диагностирования новообразований этого типа. При этом они по своему гистологическому строению не являются злокачественными, а этот термин в большей степени описывает их агрессивное клиническое течение, т. е. быстрое увеличение размера, прорастание в мягкие ткани, склонностью к рецидивированию и образованию дочерних узлов. Тем не менее хондробластома такой формы склонна перерождаться в истинную злокачественную опухоль – саркому.
![Злокачественная хондробластома]()
На основании этого выделяют:
- озлокачествленную хондробластому (существует риск дальнейшей трансформации в хондросаркому) – 4,4%;
- первичную злокачественную хондробластому.
Исследователи наблюдают повышение риска озлокачествления доброкачественной опухоли при ее неполном удалении и последующем неоднократном рецидивировании. Рецидивы наблюдается в среднем в первые 2—3 года после операции у 15% больных. Чаще они встречаются у подростков 14—16 лет, у которых еще остаются открытыми зоны роста.
Симптомы хондробластомы
Выраженность симптомов во многом зависит от близости расположения новообразования к суставу и степени деструкции кости. При поражении длинных трубчатых костей на ранних стадиях развития доброкачественные опухоли могут сопровождаться дискомфортом в области пораженного сустава, а иногда и соседнего. Он может присутствовать в течение нескольких месяцев или даже лет до того, как начнет усиливаться и трансформироваться в боль. Ее появление в основном обусловлено механическим сдавлением образованием проходящих вблизи него нервных стволов.
Боли – основная причина обращения пациентов к врачу. При хондробластоме они склонны набирать интенсивность к вечеру, сохраняться по ночам, а также усиливаться во время активных физических нагрузок и пальпации. Впоследствии нередко присоединяется отечность. Также иногда наблюдается возникновение:
- ограничений движений;
- развития контрактуры (невозможности полностью разогнуть сустав);
- умеренной атрофии мышц, что в большей степени обусловлено снижением нагрузки и в основном характерно для детей;
- воспалительного процесса в суставе;
- патологических переломов (наблюдаются редко).
![Боль в плечевом суставе]()
Хондробластома бедренной кости, локализованная в ее дистальном эпифизе, может сопровождаться образованием незначительного по объему выпота в коленном суставе, что осложняет диагностику.
Злокачественные новообразования отличаются более агрессивным течением. Они склонны быстро увеличиваться в размерах, что практически всегда сопровождается развитием отечности и деформацией пораженной кости. Для злокачественных хондробластом типичны ноющие боли, возникающие значительно раньше, чем при доброкачественных опухолях. При этом они присутствуют практически постоянно и особенно досаждают больным по ночам. Также значительно чаще они приводят к патологическим переломам, диагностика которых нередко и выявляет признаки злокачественного процесса.
Диагностика
Поскольку заболевание сопровождается болями в суставах, чаще всего пациенты изначально обращаются к ортопеду, а при патологических переломах – к травматологам. В таких ситуациях им назначается выполнение рентгена, что в большинстве случаев и позволяет обнаружить новообразование.
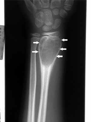
На полученных снимках опухоль имеет вид ограниченного, более светлого, чем остальные, участка яйцевидной или круглой формы с четкими, ровными контурами. Зачастую он локализован на боковой поверхности эпифиза пораженной кости. Если хондробластома распространяется в область крепления сухожилий, наблюдается полное разрушение сухожильной пластинки. По краю новообразования визуализируется зона склероза. При этом отмечаются признаки незначительного вздутия кортикального слоя кости, а также могут обнаруживаться периостальные наслоения в области метафизов. Достаточно часто внутри опухоли выявляются вкрапления обызвествления.
![Диагностика]()
Если образование формируется на границе между головкой и шейкой кости, рентгенологически хондробластома может имитировать воспалительный процесс. Смешанные виды опухоли частично имеют черты соответствующих новообразований. В подобных ситуациях дополнительно могут назначаться другие методы диагностики, в частности КТ и МРТ, а также биопсия.
КТ и МРТ позволяют не только предельно точно оценить размеры, форму, контуры образования, но и обнаружить разрыв кортикального слоя, прорастание опухоли в окружающие ткани, а также определить точное положение сосудисто-нервного пучка. МРТ дополнительно дает возможность диагностировать наличие отека мягких тканей и костного мозга.
Злокачественная хондробластома сопровождается образованием крупных очагов деструкции, что сопряжено с заметным разрушением кортикального слоя пораженной кости. Иногда она может маскироваться под гигантоклеточную опухоль, хондросаркому или остеогенную саркому, что обязательно требует проведения дифференциальной диагностики путем проведения биопсии. Гистологическое исследование образцов, отобранных из разных участков опухоли, позволяет в большинстве случаев точно установить ее природу.
Лечение хондробластомы
Тактика лечения хондробластомы в каждом случае определяется индивидуально. Основным методом остается операция при соответствующем уровне радикализма. Консервативные методы лечения, а именно лучевая терапия, при хондробластоме не применяются ни самостоятельно, ни в качестве подготовки к хирургическому вмешательству, ни после него. При доброкачественной опухоли подобное может спровоцировать озлокачествление, а при злокачественной этот метод не эффективен. Химиотерапия также не используется.
Для разработки тактики хирургического вмешательства большое значение имеют результаты проведенных КТ и МРТ, так как с их помощью можно грамотно выбрать доступ, спланировать ход операции и исключить или снизить риск повреждения крупных кровеносных сосудов, нервных стволов и других анатомических структур. Объем операции определяется на основании размера и локализации образования.
![КТ Хондробластома]()
Во избежание рецидива и негативных последствий этого важно удалить опухоль целиком с соблюдением следующих принципов:
- новообразование удаляют в пределах здоровых тканей, планомерно двигаясь от питающих кровеносных сосудов к пораженной части;
- максимальное сохранение здоровых тканей;
- выполнение гистологического контроля радикальности по линии резекции;
- проведение реконструктивных операций при образовании больших дефектов.
При хондробластомах небольших размеров показано проведение краевой резекции, подразумевающей иссечение опухоли через реактивную зону. Реже применяют кюретаж, т. е. выскабливание непосредственно опухоли, не затрагивая кость. Этот метод менее надежный, так как не дает гарантии полного удаления клеток опухоли, а потому сопряжен с риском рецидива. Учитывая возможность озлокачествления хондробластомы, чаще прибегают к методу краевой резекции. Образовавшийся после нее дефект кости закрывают трансплантатом или искусственной костью, если в этом возникает необходимость.
При крупных опухолях, которые спровоцировали значительное разрушение эпифиза, проводится удаление суставного конца. Поскольку это резко нарушает функцию сустава и в целом делает движение в нем невозможным, для восстановления его нормальной работы показано проведение эндопротезирования, т. е. установки искусственного протеза сустава. Современные эндопротезы чаще всего используются для замены коленного и тазобедренного суставов, хотя существуют модели и для протезирования других. По объему движений они не уступают естественному, а по прочности превосходят его. Например, если у пациента диагностирована крупная хондробластома большеберцовой кости, приведшая к выраженному разрушению ее проксимального эпифиза, выполняется его удаление и установка эндопротеза коленного сустава.
![Операция: субхондральная резекция дистального эпифиза левой бедренной кости, электрокоагуляция, аутопластика.]()
Если новообразование сформировалось вблизи субхондральной пластинки, после его резекции выполняется электрокоагуляция или обработка поврежденной зоны жидким азотом.
Злокачественные хондробластомы любого типа требуют проведения более обширной операции. Иногда в таких ситуациях стоит необходимость в ампутации и экзартикуляции.
В качестве альтернативы традиционной операции сегодня рассматривается возможность лечения хондробластом путем радиочастотной абляции. Этот метод подразумевает разрушение новообразования за счет тепловой энергии и имеет ряд преимуществ. В первую очередь, это малоинвазивность, так как операция выполняется чрескожно через прокол мягких тканей диаметром лишь несколько миллиметров. Подобное обеспечивает получение хорошего косметического эффекта. Но пока еще нет данных, доказывающих целесообразность применения радиочастотной хирургии для удаления хондробластом. Этот вопрос требует дальнейшего изучения.
Таким образом, хондробластома является достаточно редкой опухолью. В подавляющем большинстве случаев она является доброкачественной и в таких ситуациях прогноз максимально благоприятный. Злокачественные хондробластомы в половине случаев становятся следствием неполного удаления доброкачественного новообразования и могут требовать проведения калечащих операций. Тем не менее низкая частота их диагностирования не позволяет делать достоверные прогнозы.
Лучевая диагностика опухолей опорно-двигательного аппарата
1. Лучевая диагностика опухолей опорно – двигательного аппарата
2. Опухоли опорно – двигательного аппарата
Опухоли костей по гистогенезу и
морфологическому строению являются
наиболее сложными и наименее изученными
разделами клинической онкологии.
Обладая многотканевой структурой
(собственно костная, хрящевая,
кроветворная, ретикулярная, сосудистая,
нервная, жировая ткани), кость потенциально
может дать различные по своему
гистологическому происхождению опухоли.3. Рабочая классификация
Приведена классификация института онкологии
им.Н.Н.Петрова
Первичные опухоли
а) доброкачественные (остеома, остеохондрома,
хондрома, оссеоидная остеома, хондробластома,
гигантоклеточная опухоль, фиброма, гемангиома);
б) злокачественные (остеосаркома, параоссальная
саркома, хондросаркома, фибросаркома, саркома
Юинга, ретикулосаркома, гемангиоэндотелиома,
миелома, хордома, адамантинома).
Вторичные опухоли:
а) метастазы раковых и саркоматозных опухолей в
кости;
б) опухоли, прорастающие в кости из окружающих
мягких тканей.4. Правила классификации опухолей костей
Классификация применима для всех
первичных злокачественных опухолей костей
за исключением злокачественной лимфомы,
множественной миеломы, юкстакортикальной
остеосаркомы и юкстакортикальной
хондросаркомы.
Должно быть гистологическое подтверждение
диагноза, позволяющее определить
морфологический тип опухоли и степень
злокачественности.5. Система TNM
Система ТNМ принята для описания анатомического
распространения поражения, и основана на 3
компонентах:
Т – распространение первичной опухоли;
N – отсутствие или наличие метастазов в
регионарных лимфатических узлах и степень их
поражения;
М – наличие или отсутствие отдаленнык
метастазов.
К этим трем компонентам добавляются цифры,
указывающие распространенность
злокачественного процесса:
ТО, Т1, Т2, ТЗ, Т4NО, N1, N2, NЗМО, М1
Эффективность системы заключается в
“краткости обозначения” степени распространения
злокачественной опухоли.6. Правила классификации опухолей костей
Т клиническая классификация
Т первичная опухоль
ТХ
– недостаточно данных для оценки
первичной опухоли
Т0 – первичная опухоль не определяется
Т1 – опухоль не выходит за пределы
кортикального слоя
Т2 – опухоль выходит за пределы
кортикального слоя7. Правила классификации опухолей костей (продолжение)
рТ патогистологическая классификация
Требования к определению категории рТ
соответствуют требованиям к определению
категории Т.
Группировка по стадиям
Стадия 1АG 1,2Т1N0М0
Стадия 1БG 1,2Т2N0М0
Стадия 2АG 3,4Т1N0М0
Стадия 2БG 3,4Т2N0М0
Стадия 3не определяется
Стадия 4Алюбая Gлюбая ТN1М0
Стадия 4Блюбая Gлюбая Тлюбая ХМ18. Дифференциальная диагностика опухолей
Возраст
Доброкачественные
Злокачественные
Прочие
0-5 лет
Eosinophilic Granuloma [onion skin
periosteal Rxn]
(Unicameral bone cyst- rare)
laeukaemia
Metastatic Neuroblastoma
Osteomyelitis
healing/ stress
fracture
6-18
Unicameral Bone Cyst, Aneurysmal
Bone Cyst, Nonossifying
Fibroma, Eosinophilic
Granuloma, Enchondroma,
Chondroblastoma,
Chondromyxoidfibroma,
Osteoblastoma
Ewings Sarcoma
Osteosarcoma
Osteomyelitis
Fibrous
Dysplasi
a
Osteofibrous
Dysplasi
a
19-40
Giant Cell Tumour
Eosinophilic granuloma
Более 40
Ewings Sarcoma
Metastases (lung, breast,
prostate, renal, thyroid,
colon), Multiple Myeloma
, Lymphoma,
Osteosarcoma (Pagets).
Chondrosarcoma.
Fibrosarcoma/ Malignant
Fibrous. Histiocytoma
Hyperparathyro
idism
Osteomyelitis
Paget's9. Локализация процесса в кости
Выдающемуся
советскому
рентгенологу
С.А.Рейнбергу
приписывают
выражение “Скажите
мне где это, и я скажу
что это”.
На схеме (Madewell, et
al 1981) показана
излюбленная
локализация
патологических
образований.10. Разграничение добро и злокачественных процессов
Приведена рентгеновская картина типичных
представителей доброкачественных и
злокачественных опухолей – хондромы и
остеогенной саркомы11. Опухолевые заболевания и доброкачественные опухоли.
Для доброкачественных опухолей и
опухолеподобных заболеваний характерны
такие общие рентгенологические признаки:
Четкие контуры, ободок склероза, часто
вздутие кости, отсутствие периостальной
реакции и мягкотканного компонента,
медленный рост при динамическом
наблюдении, солитарный характер
поражения.12. Доброкачественные опухоли
Остеома.
Хондрома.
Остеохондрома.
Остеоидная остеома.
Хондробластома.
Гигантоклеточная опухоль.
Фиброма.
Гемангиома.13. Остеома
Различают:
1.
2.
3.
компактную,
губчатую,
смешанную.
На широкой ножке.
На узкой ножке.
Частота до – 10 -15
% всех опухолей
скелета.
Поражаемый
возраст - 10-25 лет.
Излюбленная
локализация –
придаточные пазухи
носа.
Приведен снимок
компактной остеомы
лобной пазухи.14. Остеома
Одиночные и
множественные
небольшие костные
компактные островки
эностозы – довольно
частая находка.
Если нет динамики и
клинических
проявлений – это
расценивается как
норма.15. Хондрома
Частота - 7 ,2 % всех костных опухолей, или
41,9% всех доброкачественных опухолей.
Излюбленная локализация - ребра, лопатка,
таз, кисти рук, бедренная кость и др.
Поражаемый возраст - 10-50 лет.
Процесс может развиваться в центре кости энхондрома, или носить краевой характер экхондрома.
В старших возрастных группах малигнизация
достигает 90%.16. Особая примета
Главный признак – участок деструкции кости
с четким контуром.
Вздутие кости (энхондрома)
Хрящевая ткань рентгеновские лучи не
задерживает, поэтому участок прозрачный.
Локализация – рядом с зоной роста
Особая примета хондромы – наличие
мелкоточечных обызвествлений в массе
опухоли
В части наблюдений крапчатости не бывает17. Энхондрома
18. Энхондрома
19. Энхондрома
20. Хондроматоз
Когда хондромы
множественные и
картина типичная –
трудностей в
диагностике не
возникает
Сочетание
экхондром и
энхондром21. Хондроматоз
22. Остеохондрома
Сочетает картину двух состояний
отеомы и хондромы, дает причудливые
комбинации этих элементов
Растёт вместе со скелетом, прекращает
рост при закрытии всех зон роста23. Остеохондрома
24. Остеохондрома
25. Остеохондрома
26. Остеохондрома
27. Множественные экзостозы
Множественные остеохондромы –
множественные костно – хрящевые
экзостозы – это общее генетическое
заболевание скелета
Передаётся по наследству28. Множественные экзостозы
29. Множественные экзостозы
30. Множественные экзостозы
31. Множественные экзостозы
32. Болезнь Олье
На остеохондрому и
фиброзную
остеодистрофию
похоже ещё одно
заболевание –
дисхондроплазия
При ней хрящевая
ткань врастает в
кость по ходу
питающих артерий33. Обызвествление костного мозга
Похоже на энхондрому
обызвествления
костного мозга
Обызвествления
обычно множественные
В анамнезе – некроз
костного мозга,
например при
кессонной болезни у
водолазов34. Обызвествление костного мозга
35. Остеоид-остеома
Частота - 4 - 10%
Поражаемый возраст 20-30 лет.
Излюбленная
локализация большеберцовая и
малоберцовая кости,
задние элементы
позвонков.
Клиника – интенсивные
ночные боли.36. Остеоид-остеома
37. Особая примета
Главный рентгеновский признак –
мелкий (диаметром несколько мм)
участок деструкции, который окружен
выраженным склеротическим
процессом.
На жаргонном языке её называют –
«пуговкой»38. Остеоид-остеома б/б кости
39. Остеоид-остеома головки бедра
40. Остеоид-остеома
41. Остеоид-остеома
42. Неостеогенная (неоссифицирующая) фиброма
Пораженный участок
располагается
эксцентрически.
Возникает из костного
мозга.
Локализуется она
обычно в верхней или
нижней трети длинных
трубчатых костей.43. Неостеогенная (неоссифицирующая) фиброма
44. Фиброзный корковый дефект
45. Фиброзный корковый дефект
46. Фиброзный корковый дефект
47. Фиброзный корковый дефект
48. Фиброзный корковый дефект
49. Фиброзный корковый дефект
50. Фиброзный корковый дефект
51. Фиброзный корковый дефект
52. “Остатки” фиброзного дефекта
53. Юкстакортикальная фиброма
54. Оссифицирующая фиброма
55. Хондромиксоидная фиброма
Рентгенологически
определяется зона потери
физиологической структуры
кости с ограниченной
костной атрофией. Местами
определяется
трабекулярность, которая
очерчивает границы
патологической ткани.
Кортикальный слои иногда
прерывается и тогда
возможна периостальная
реакция. Опухоль может
быть принята за фиброзную
дисплазию, костную кисту
или энхондрому56. Хондромиксоидная фиброма
57. Аневризмальная костная киста
Киста возникает у детей
Заболевание поражает
метафизарные отделы
трубчатых костей и
задние отделы
позвоночника.
Истончает стенки.
Деструктивный процесс
прогрессирует без
признаков
репаративной
регенерации58. Аневризмальная костная киста
59. Аневризмальная костная киста
60. Аневризмальная костная киста
61. Аневризмальная костная киста
Томограмма.
Аневризмальная
костная киста тела
поясничного
позвонка с
переходом на
поперечный
отросток.62. Аневризмальная костная киста
63. Аневризмальная костная киста
64. Аневризмальная костная киста
65. Аневризмальная костная киста
66. Аневризмальная костная киста
67. Аневризмальная костная киста
68. Аневризмальная костная киста
69. Аневризмальная костная киста
70. Фиброзная дисплазия
71. Фиброксантома
72. Хондробластома
Доброкачественная опухоль из
хондробластов.
Поражает эпифизы.
1% от всех костных первичных
опухолей.
Мужчины / женщины – 2:1 - 3:1
Почти 90% опухолей у пациентов в
возрасте 5 - 25 лет.73. Хондробластома
74. Хондробластома
75. Хондробластома
76. Хондробластома
77. Хондробластома
78. Остеобластома
Менее 1% от первичных
костных опухолей.
Возраст 10 – 35 лет, 80%
моложе 30 лет.
40 - 50% -позвоночник.
Хорошо отграничена, часто с
мелкими включениями
извести.
Диаметр 2-10 см.
Периост не страдает,
мягкотканного компонента
нет.
Агрессивна локально, но не
метастазирует79. Остеобластома
80. Остеобластома
81. Остеобластокластома (гигантоклеточная опухоль)
Частота - 7,6% опухолей скелета и 44,2 %
всех доброкачественных опухолей.
Поражаемый возраст - 10 - 40 лет.
Частота у мужчин и женщин примерно
одинаковая.
Формы: литическая и ячеистая.
Излюбленная локализация - метафизы
плечевой кости, большеберцовой кости,
бедра (нижний метафиз), позвонки.
Главное условие – рядом должна быть
закрытая зона роста.82. Остеобластокластома
83. Остеобластокластома (ОБК, гигантоклеточная опухоль)
84. Остеобластокластома
85. Остеобластокластома
86. Остеобластокластома
87. Остеобластокластома
88. Остеобластокластома
89. Гемангиома
Частота - 0,8% всех
опухолей скелета или
4,7%
доброкачественных
опухолей.
Излюбленная
локализация позвоночник, трубчатые
и губчатые кости.
Поражаемый возраст любой.90. Гемангиома
91. Гемангиоматоз
92. Гемангиома позвонка
93. Гемангиома позвонка
Имеет почти
патогномоничную
картину – вертикальную
ячеистость тела.
На следующем слайде
– комплексное лучевое
исследование, включая
прямое
контрастирование
гемангиомы
(интраветебральная
флебография)94. Гемангиома позвонка
95. Гемангиоматоз черепа
Такая редкая
нетипичная
картина может
быть принята за
метастатическое
поражение
костей свода
черепа или
миелому.Доброкачественные опухоли костей и костные кисты
![]()
К доброкачественным опухолям костей относятся доброкачественные гигантоклеточные опухоли кости Доброкачественная гигантоклеточная опухоль кости К доброкачественным опухолям костей относятся доброкачественные гигантоклеточные опухоли кости, хондробластомы, хондромиксоидные фибромы, энхондромы, неокостенивающие фибромы, остеобластомы. Прочитайте дополнительные сведения , хондромиксоидные фибромы Хондромиксоидная фиброма К доброкачественным опухолям костей относятся доброкачественные гигантоклеточные опухоли кости, хондробластомы, хондромиксоидные фибромы, энхондромы, неокостенивающие фибромы, остеобластомы. Прочитайте дополнительные сведения , неокостенивающие фибромы Неоссифицирующая фиброма (фиброзный кортикальный дефект, фиброксантома) К доброкачественным опухолям костей относятся доброкачественные гигантоклеточные опухоли кости, хондробластомы, хондромиксоидные фибромы, энхондромы, неокостенивающие фибромы, остеобластомы. Прочитайте дополнительные сведения , остеохондромы Остеохондрома К доброкачественным опухолям костей относятся доброкачественные гигантоклеточные опухоли кости, хондробластомы, хондромиксоидные фибромы, энхондромы, неокостенивающие фибромы, остеобластомы. Прочитайте дополнительные сведения .
К числу доброкачественных кист относятся аневризматические кисты кости Аневризматическая костная киста К доброкачественным опухолям костей относятся доброкачественные гигантоклеточные опухоли кости, хондробластомы, хондромиксоидные фибромы, энхондромы, неокостенивающие фибромы, остеобластомы. Прочитайте дополнительные сведения Также кости может поражать фиброзная дисплазия Фиброзная дисплазия К доброкачественным опухолям костей относятся доброкачественные гигантоклеточные опухоли кости, хондробластомы, хондромиксоидные фибромы, энхондромы, неокостенивающие фибромы, остеобластомы. Прочитайте дополнительные сведенияАневризматическая костная киста
Аневризматическая костная киста – это увеличивающееся идиопатическое образование, возникающие обычно в возрасте до 25 лет. Это кистозное поражение обычно возникает в метафизах длинных трубчатых костей, но и почти все другие кости могут быть затронуты. Она, как правило, растет медленно. Периостальная новая костная оболочка формируется вокруг экспансивного поражения и часто шире, чем исходная кость. Характерны боль и локальная припухлость. Прежде чем будет установлен диагноз, проходит от нескольких недель до года.
Характерна рентгенологическая картина: область просветления обычно четко очерчена и расположена эксцентрично; надкостница выпячивается ("мыльные пузыри"), выдаваясь в окружающие мягкие ткани, а может быть окружена новообразованной костной тканью. МРТ обычно показывает уровень жидкости. При визуализации некоторые аневризматические костные кистовидные поражения могут выглядеть более угрожающе, напоминая по характеристикам остеосаркому, поэтому могут возникнуть подозрения на телеангиэктатическую остеосаркому Остеосаркома (остеогенная саркома) Первичные опухоли костей встречаются значительно реже, чем метастатические опухоли костей, особенно у взрослых. К первичным опухолям костей относятся множественная миелома, остеосаркома, адамантинома. Прочитайте дополнительные сведения , расположенной на самом конце кости.
При аневризматических костных кистах, подтвержденных биопсией, могут быть инъецированы доксициклин, альбумин и воздух в виде инъекционной пены. Может потребоваться более одной или двух инъекций. Были использованы другие склерозирующие препараты на спиртовой основе. Наиболее успешным методом лечения является хирургическое удаление всего пораженного участка; после неполного удаления иногда происходит регрессия. Следует по возможности избегать лучевой терапии, поскольку иногда она связана с развитием сарком. Лучевая терапия может быть методом выбора при локализации кисты в позвоночнике, когда она сдавливает спинной мозг, а ее хирургическое удаление оказывается невозможным.
Доброкачественная гигантоклеточная опухоль кости
Доброкачественные гигантоклеточные опухоли кости обычно возникают у лиц в возрасте от 20 до 30 лет и располагаются в эпифизах и дистальной эпифизарно-метафизарной области. Эти опухоли считаются локально агрессивными. Они продолжают разрастаться, разрушая кость, могут в конечном итоге разрушить остальную часть кости и распространиться на мягкие ткани. Они могут вызывать боль. Эти опухоли печально известны своей склонностью к рецидивам. В редких случаях гигантоклеточная опухоль кости может метастазировать в легкое, даже если она остается гистологически доброкачественной.
Доброкачественные гигантоклеточные опухоли кости при визуализации проявляются как экспансивное литическое поражение. При визуальных исследованиях обнаруживается склеротический ободок –граница между опухолью и нормальным губчатым веществом кости. Необходимо выполнение биопсии. Поскольку гигантоклеточная опухоль кости может метастазировать в легкие, на начальной стадии проводится КТ грудной клетки.
В большинстве случаев доброкачественные гигантоклеточные опухоли кости удаляют при помощи радикального кюретажа с последующим заполнением образовавшейся полости метилметакрилатом или костным трансплантатом. Для уменьшения частоты рецидивов хирурги часто используют дополнительную обработку: например, тепло (которое выделяется при затвердении полиметилметакрилата) или аргоновые лучи, или химическую обработку опухоли фенолом, либо замораживание жидким азотом (криотерапия). Если опухоль очень велика и вызывает деструкцию сустава, может потребоваться полное ее удаление с реконструкцией сустава. Для лечения крупных, потенциально неоперабельных доброкачественных гигантоклеточных опухолей кости может быть использован деносумаб (моноклональные антитела) – ингибитор лиганда рецептора-активатора ядерного фактора каппа-В (RANKL), (см. изображение Гигантоклеточная опухоль [КТ]).
Хондробластома
Хондробластома – редкая опухоль, которая чаще всего развивается у лиц в возрасте от 10 до 20 лет. Возникая в эпифизе, она может расти и разрушать кость и сустав.
При использовании методов визуализации выявляют кисты со склеротическим ободком, содержащие кальцинаты. МРТ позволяет обнаружить значительный отек вокруг зоны поражения.
Опухоль должна быть удалена хирургическим путем при помощи выскабливания, а на полости следует провести костную пластику. Частота местных рецидивов составляет от 10 до 20%, и рецидивирующие повреждения часто устраняются повторным выскабливанием кости и костной пластикой.
Хондромиксоидная фиброма
Хондромиксоидная фиброма встречается очень редко и обычно в возрасте до 30 лет.
Рентгенологическая картина при хондромиксоидной фиброме типична: опухоль располагается эксцентрично в концевых участках длинных костей, для нее характерны четко отграниченные литические изменения. Проксимальный отдел большеберцовой кости и крыло подвздошной кости являются типичными локализациями.
После проведения биопсии лечение хондромиксоидной фибромы заключается в хирургическом иссечении или выскабливании, часто с использованием адъювантов (например, фенола, жидкого азота, аргоновой коагуляции) и костной пластике.
Энхондрома
Энхондромы могут встречаться в любом возрасте, но чаще выявляются у людей от 10 до 40 лет. Они располагаются обычно в метафизарно-диафизарной области внутри костно-мозгового канала. Эти опухоли обычно бессимптомны, но могут расти и становиться болезненными. Они часто выявляются при рентгенологических исследованиях, выполненных по другому поводу. Периостальные хондромы напоминают хрящевые повреждения, возникающие на поверхности костей.
На рентгенограмме опухоль может выглядеть как дольчатая кальцифицированная область в кости; некоторые изменения менее кальцифицированы, с областями пунктирной кальцификации на рентгенограммах и КТ. При наличии прилегания энхондром к коре головного мозга обнаруживаются маленькие эндостальные вдавления. Почти во всех энхондромах при сцинтиграфии выявляется повышенное накопление изотопа, что может вызывать ложное подозрение на злокачественное новообразование. Результаты рентгенографии, МРТ и КТ могут помочь установить диагноз. Если они не дают достаточной информации и особенно если опухоль (а не соседний сустав) становится болезненной, диагноз энхондромы должен быть подтвержден с помощью открытой биопсии. Чтобы отличить костную боль от суставной, в сустав может быть введен длительно действующий анестетик (например, бупивакаин); если боль сохраняется, она может быть обусловлена костными изменениями.
Бессимптомная энхондрома не нуждается в проведении биопсии, удалении или другом лечении (как правило, кюретаже); в любом случае последующие визуализирующие методы исследования показаны для исключения редкого прогрессирования в хондросаркому Хондросаркома Первичные опухоли костей встречаются значительно реже, чем метастатические опухоли костей, особенно у взрослых. К первичным опухолям костей относятся множественная миелома, остеосаркома, адамантинома. Прочитайте дополнительные сведенияУ больных с множественными энхондромами (болезнь Оллиера) и особенно с множественным энхондроматозом с мягкотканными гемангиомами (синдром Маффуччи) намного выше риск развития хондросаркомы.
Фиброзная дисплазия
Фиброзная дисплазия представляет собой аномалию развития данной ткани в детском возрасте. Это ослабляет кости. Фиброзная дисплазия может возникать в одной или нескольких костях. Возможны множественные фиброзные дисплазии, кожная пигментация и эндокринные аномалии (синдром Олбрайта или синдром Мак-Кьюна-Олбрайта). Развитие костных изменений обычно прекращается в период полового созревания. Они редко подвергаются злокачественному перерождению.
На рентгенограммах изменения костей выглядят как кистозные образования, они могут быть обширными и приводить к деформации кости. На снимках поражения имеют классический вид матового стекла. Поражения проксимального отдела бедренной кости, из-за того, что кость ослаблена, подвергаются пластической деформации, в результате чего на рентгенограмме появляется деформация, называемая «пастушьим посохом».
Бисфосфонаты могут облегчить боль. При прогрессирующей деформации, переломах, не консолидирующихся после иммобилизации, или некупируемой боли может потребоваться оперативное вмешательство.
Мелореостоз
Мелореостоз - редкое заболевание роста кортикальной кости. Это мезенхимальная дисплазия коры, которая может быть связана со случайной мутацией гена MAP2K1. Процесс начинается в детстве с утолщения коркового слоя костей как на наружной поверхности (периостальной), так и на внутренней (эндостальной). Процесс протекает в корковом слое очень медленно. Мелореостоз обычно поражает только одну кость (монооссальный), но может поражать и другие кости (полиоссальный) той же конечности (соматическая локализация). Наиболее распространённым местом проявления заболевания является большеберцовая кость. Пациенты часто жалуются на дискомфорт, а рентгенографические снимки показывают утолщение компактного вещества пораженной кости. Результаты рентгенограммы могут свидетельствовать о травматическом формировании новой кости, стрессовом переломе или даже остеосаркоме. Тем не менее, плотное кортикальное утолщение имеет характерный вид «капающего свечного воска», и стабильность при серийной рентгенографии достаточна для постановки диагноза без биопсии. Дискомфорт лечат с помощью анальгетиков или противовоспалительных средств, через некоторое время проводят серийную рентгенографию. Попытки хирургического удаления или резекции единым блоком при тяжелых болезненных очагах повреждения обычно не эффективны, а в очень редких случаях необходима ампутация.
Неоссифицирующая фиброма (фиброзный кортикальный дефект, фиброксантома)
Неоссифицирующая фиброма представляет собой доброкачественное фиброзное поражение кости, которое на рентгенограмме выглядит как четко очерченное светлое кортикальное поражение. Очень маленькую неоссифицирующую фиброму обозначают как фиброзный кортикальный дефект. Эти изменения представляют собой дефекты развития, в которых часть кости, подвергающаяся в норме оссификации, заполняется фиброзной тканью. Обычно они возникают в области метафизов, особенно часто в дистальном отделе бедра, в дистальном и проксимальном отделах большеберцовой кости. Они могут прогрессивно увеличиваться и становиться мультиочаговыми. Неоссифицирующие фибромы часто встречаются у детей. Большинство поражений в конечном итоге оссифицируются и подвергаются ремоделированию, что в большинстве случаев приводит к образованию плотных склеротических участков. Тем не менее, некоторые дефекты увеличиваются.
Небольшие неоссифицирующие фибромы протекают бессимптомно. Однако, при вовлечении около 50% диаметра кости появляются боли и увеличивается риск патологических переломов.
Неоссифицирующие фибромы обычно выявляют случайно при инструментальном исследовании (например, после травмы). Зачастую они выглядят как одиночные продолговатые зоны просветления менее 2 см в диаметре, с четким склеротическим ободком в кортикальном слое. Они также могут быть многоочаговыми.
Маленькие неоссифицирующие фибромы не требуют лечения, но больной должен находиться под наблюдением. Дефекты, которые вызывают боль и составляют 50% от диаметра кости, являются показанием к удалению и трансплантации кости, что позволяет снизить риск патологического перелома.
Остеоидная остеома
Остеоидостеома чаще всего встречается в молодом возрасте (обычно от 10 до 35 лет) в длинных костях, но может возникать в любой кости скелета. Характерны боли (обычно усиливающиеся по ночам, отражающие ночное усиление воспалительных изменений, опосредованных простагландинами). Боли купируются при приеме слабых анальгетиков (в частности, аспирина и других нестероидных противовоспалительных препаратов (НПВП), подавляющих выработку простагландинов. У растущих детей воспалительные изменения и ассоциированная гиперемия, локализующиеся вблизи открытой зоны роста, могут индуцировать избыточный рост и несоответствие длины конечностей. Во время осмотра можно наблюдать атрофию региональных мышц, поскольку боль обусловливает снижение физической активности.
При использовании методов визуализации выявляют типичные изменения: небольшая зона просветления, окруженная широкой склеротической каймой. При подозрении на наличие опухоли следует выполнить сцинтиграфию всего тела с технецием-99m, при которой остеоидостеома характеризуется повышенным накоплением изотопа, несмотря на то, что многие другие костные поражения проявляются также. Выполняют также КТ или МРТ, которые являются наиболее информативными диагностическими методами. Обычная пленка или тонкосрезный КТ-скан позволяют увидеть классический симптом "бычьего глаза" в месте расположения истинного очага опухоли, окруженного зоной реактивного костеобразования.
Абляция очага в пределах небольшой зоны просветления с использованием чрескожной радиочастотной энергии в большинстве случаев дает благоприятные результаты. В большинстве случаев лечением остеоидостеомы занимается специалист радиолог с использованием чрескожной техники и анестезии. Реже эти опухоли удаляют хирургическим путем. Хирургическое удаление может быть предпочтительным, если остеоидостеома расположена вблизи нерва или кожи (например, в области позвоночника, кистей, стоп), поскольку тепло, выделяемое при радиочастотной аблации, может вызвать повреждение.
Читайте также:











