Иммунные комплексы при кистозном фиброзе. Саркоидоз и его клиника
Добавил пользователь Евгений Кузнецов Обновлено: 06.01.2026
Патологическая анатомия саркоидоза. Иммунология саркоидоза
Гистологические особенности саркоидных гранулем хорошо известны. В общем они выглядят как неказеозные «туберкулезные» гранулемы с центральным скоплением гистиоцитов (макрофагов), окруженных лимфоцитами, единичными плазматическими клетками и фибробластами. Гигантские клетки образуются при слиянии макрофагов и часто содержат характерные включения, например астероидные и конкоидальные тельца [Jones-Williams, 1967], однако эти последние непатогномоничны для саркоидоза.
Неизвестно также происхождение веществ, из которых образуются эти тельца. Jones-Williams подчеркивает, что гистологическая картина саркоидной гранулемы может наблюдаться при самых разнообразных клинических нарушениях и должна рассматриваться как неспецифическая тканевая реакция, которая может быть вызвана различными условиями.
Иммунология саркоидоза
Ввиду двустороннего увеличения прикорневых лимфатических узлов и наличия периферических теней, несколько сходных с милиарным туберкулезом, прежде предполагали, что у этих больных имеется туберкулез, поэтому одним из первых иммунологических нарушений, описанных при саркоидозе, оказалось обнаружение относительно большого числа больных с отрицательной кожной пробой к PPD и старому туберкулину.
В больничном материале Scanning (1967) у 68% больных реакция на 100 ТЕ была отрицательной, тогда как у лиц контрольной группы, подобранных по возрасту и полу, она была отрицательна у 20%; 14% больных саркоидозом реагировали па ЮТЕ и 4% — на 1 ТЕ. Однако отрицательная чувствительность к туберкулину имеет меньшее диагностическое значение теперь, чем 10 лет назад, так как среди взрослой популяции значительно чаще встречаются лица с отрицательной пробой Манту.

У больных саркоидозом снижена также реакция ПЧЗТ к другим антигенам, которые в норме вызывают положительный ответ у большинства взрослых людей. Так, было установлено, что внутрикожные пробы с кандидином, трихофитином и антигеном паротита обычно отрицательны [Frion, 1952; Sones, Israel, 1954; Sitron, 1957].
К сожалению, сходные данные о частоте положительных реакций у здоровых лиц довольно вариабельны, иногда потому, что в публикуемых статьях упоминаются лишь небольшие количества обследованных, а главное из-за различных результатов, получаемых при использовании разных антигенных препаратов. Число лиц с положительной реакцией на кандидин среди нормальной популяции составляет 50—95%.
Эта вариабельность зависит от антигенного препарата, разведения, а также от критерия оценки положительной пробы и от таких индивидуальных факторов, как возраст. В настоящее время очень важно работать со стандартизованными антигенами и установить данные, характеризующие нормальную популяцию, так как приходится больше пользоваться другими антигенами (а не только PPD) для кожных проб на ПЧЗТ.
Чтобы вызвать ПЧЗТ, применялись БЦЖ и динитрохлорбензол (ДНХБ). При использовании обоих этих антигенов кожные пробы отрицательны у многих, хотя не у всех, больных саркоидозом. Примерно у 30% наблюдается вираж после вакцинации БЦЖ, но из них примерно у 2/3 можно ожидать восстановления проб в течение года [Israel et al., 1950; Harris, Shore, 1952; Epstein, Mayock, 1957; Forgacs et al., 1957; Jones, 1967].
Интересно отметить, что, по данным ряда из этих авторов, местная реакция на БЦЖ часто, но не всегда, нормальна, несмотря на отсутствие ПЧЗТ при последующих пробах.
Информация на сайте подлежит консультации лечащим врачом и не заменяет очной консультации с ним.
См. подробнее в пользовательском соглашении.
Иммунные комплексы при кистозном фиброзе. Саркоидоз и его клиника
Hodson (1977) получил положительные немедленные реакции на уколочную пробу с антигеном A. iumigatus у 42 из 74 (56%) больных кистозным фиброзом, тогда как у больных астмой эта проба оказалась положительной только в 13% случаев [Warren et al., 1975; Pinerua et al., неопубликованные данные]. Из 26 больных с положительной немедленной реакцией у 15 (58%) наблюдалась также замедленная реакция типа III. У 11 из 15 (73%) обнаружены преципитипы против антигена A. fumigatns. В общем большом материале Hodson преципитины против A. iumigatus найдены примерно у 37% больных кистозным фиброзом.
Циркулирующие иммунные комплексы были обнаружены в сыворотках больных кистозным фиброзом и на основании метода иммуиофлюоресценции можно было предполагать отложение комплексов в тканях больных [McFarlane et al., 1975]. Еще не ясно, попадают ли антигены в кровь через легкие, через кишечник или по обоим этим путям, но после их проникновения, несомненно, существуют возможности дальнейшего повреждения тканей или нарушения функции лимфоцитов, если комплексы действуют как блокирующие факторы.
Hodson (1977) выявил противоядерные антитела только у одного из 101 больного кистозным фиброзом, тогда как при тяжелом хроническом бронхите частота содержания антиядерных антител повышена (28%). Однако у 21% больных кистозным фиброзом, особенно у больных с признаками заболевания печени, имелись антитела против гладких мышц, причем они обнаруживались с большей частотой, чем при хроническом бронхите (14%)- Частота ретикулиновых антител не была повышена по сравнению с контролем ни при кистозном фиброзе, ни при хроническом бронхите в отличие от общеизвестного увеличения их частоты при целиакии.
При кистозном фиброзе можно выявить разнообразные иммунологические нарушения. Особый интерес представляет частота атонии и антител против A. fnmigatus в отсутствие клинически выраженной аллергии или аспергиллеза. В настоящее время интенсивно изучается значение в патогенезе этого заболевания циркулирующих иммунных комплексов.

Саркоидоз и его клиника
Саркоидоз — клинический синдром неизвестной этиологии, характеризующийся образованием неказеозных эпителиоидных и гигантоклеточпых гранулем во многих органах '[Scanding, 1967]. Врачу важно знать определение, основанное на гистологических данных, ввиду многочисленных клинических проявлений и весьма разнообразных клинических картин, которые дает саркоидоз. Об иммунологических аспектах саркоидоза писали Hedfors (1975), Scandding (1975), Mitchell, Scanding (1974).
Начало может быть острым, и больные могут обратиться впервые к различным специалистам: к дерматологу по поводу узелковой эритемы и узелковых поражений кожи, к ревматологу с фиброзными артропатиями, к офтальмологу с острым или хроническим увеитом, а также к врачу-пульмопологу. При первом обращении к врачу могут наблюдаться и симптомы со стороны других органов, включая центральную нервную или ретикулоэндотелиальную системы, или гиперкальциемия. Первоначальная клиническая картина может быть особенно резко выраженной у вестиндских, пуэрториканских и североамериканских негров, у которых могут наблюдаться острые поражения легких и очень тяжелая одышка. Чаще, однако, болезнь начинается постепенно и нередко выявляется на основании профилактического рентгенологического обследования грудной клетки у людей с отсутствием каких-либо симптомов.
Для определения стадии болезни используется характер различных рентгенологических изменений. Стадия I означает увеличение только прикорневых лимфатических узлов, стадия II — увеличение прикорневых узлов с периферическими узелками в легких, стадия III—узелковые легочные тени, по без увеличения прикорневых лимфатических узлов, а в стадии IV наблюдается картина, заставляющая предполагать фиброз.
Иммунологические аспекты саркоидоза изучались как in vivo, так и при помощи различных тестов in vitro. Нередко было трудно трактовать результаты отчасти из-за расхождений между данными, полученными in vivo и in vitro, и отчасти потому, что «активность саркоидоза» иногда очень трудно определить.
Повышенная чувствительность замедленного типа при саркоидозе. Причины нарушений иммунитета при саркоидозе
Есть основание думать, что ослабленные кожные реакции ПЧЗТ приобретаются или появляются одновременно с клиническими проявлениями синдрома, они не характеризуют данного индивида до его болезни. Turiaf и соавт. (1968) рассматривают 90 больных, у которых ранее были поставлены туберкулиновые пробы, а в дальнейшем развился саркоидоз. Они обнаружили, что до заболевания 61% больных были положительными к туберкулину, но при повторении пробы после начала саркоидоза реакция наблюдалась только у 21%. Sutherland и соавт. (1965) установили, что развитие саркоидоза не связано с туберкулиновыми реакциями до вакцинации и не связано с туберкулиновой чувствительностью после вакцинации.
Однако отмечена тенденция к некоторому снижению туберкулиновой чувствительности вскоре после появления первых клинических признаков саркоидоза. Это опять-таки поддерживает предположение о том, что саркоидозу не предшествует анергия.
Вопрос о том, возвращаются ли к норме реакции ПЧЗТ при «выздоровлении», остается спорным. Israel и Sones (1965) обнаружили в таких случаях очень небольшие изменения частоты положительных проб на протяжении 6 лет. Эти наблюдения подтвердили Chusid и соавт. (1971). Наряду с этим Hosoda и соавт. (1967) в Японии отметили, что у «выздоровевших» больных иногда вновь появляется положительная туберкулиновая реакция. Такую же тенденцию выявил Verrier-Jones в Великобритании (1967).
У больных, которые, казалось бы, выздоровели от саркоидоза, реакции на PPD после вакцинации БЦЖ по-прежнему были ослаблены, однако Israel, Sones (1965) и Turiaf и соавт. (1968) указывают, что частота отрицательных реакций была лишь немного меньше у выздоровевших, чем в активных случаях. Клиницисты пользуются весьма грубыми показателями, для того чтобы определить активность и «выздоровление» при таком относительно хроническом заболевании, как саркоидоз. Проводить повторные биопсии в различных участках тела обычно невозможно, а при рентгенологическом обследовании можно выявить улучшение и даже полное разрешение, несмотря па наличие в организме активных гранулем. В таких условиях не удивительно, если бы обычные кожные пробы на ПЧЗТ все еще оставались отрицательными при субклинически продолжающемся процессе в тканях.

Прежде чем можно будет сделать точные выводы о связи различных иммунологических событий с естественным течением болезни, необходимо будет разработать новые непрямые методы для наблюдения за активностью саркоидоза.
Необходимо проверить ряд теорий, пытающихся объяснить нарушение реакций ПЧЗТ. В настоящее время этот вопрос постепенно становится более ясным благодаря значительному объему информации, полученной in vivo и in vitro. Здесь можно сформулировать некоторые из существующих гипотез:
1. Дефект самих Т-лимфоцитов.
2. Нарушенная способность организма к проявлению ПЧЗТ in vivo, несмотря на нормальные Т-клетки.
3. Циркулирующие Т-клетки нормальные, но количество их уменьшено либо вследствие лимфоцитотоксических антител, либо потому, что они, например, секвестрируются в активной гранулематозной ткани или по каким-либо другим причинам.
4. Т-клетки нормальные, но они нагружены блокирующими антителами или каким-либо другим сывороточным ингибитором.
Муковисцидоз легких
Муковисцидоз легких - клинический вариант системного муковисцидоза, протекающий с преимущественным поражением слизепродуцирующих желез респираторного тракта. Для легочного муковисцидоза типичен приступообразный кашель с вязкой мокротой, приступы удушья, одышка, рецидивирующие бронхопневмонии. По мере прогрессирования патологии у больных формируется дыхательная недостаточность и легочное сердце. Для оценки изменений в легких при муковисцидозе проводятся рентгенологические и эндоскопические исследования, спирометрия. Лечение муковисцидоза легких симптоматическое: муколитики, ингаляции, ЛФК, массаж, санационные бронхоскопии.
МКБ-10

Общие сведения
Муковисцидоз легких – респираторная (легочная) форма муковисцидоза, характеризующаяся гиперпродукцией мокроты, развитием бронхообструктивного синдрома, хронических бронхолегочных инфекций и вторичных изменений (бронхоэктазов, эмфиземы легких, пневмосклероза, сердечно-легочной недостаточности). Муковисцидоз относится к наследственной патологии и встречается примерно у 1-4 на 10 тыс. новорожденных. Заболевание может протекать в четырех клинических вариантах: кишечном, легочном, смешанном (легочно-кишечном) и в форме мекониевого илеуса новорожденных. В чистом виде легочная форма муковисцидоза встречается примерно у 15-20% пациентов, однако в той или иной степени поражение легких при муковисцидозе происходит в 95% наблюдений. Исходя из этого, муковисцидоз является междисциплинарной медицинской проблемой, находящейся на стыке генетики, педиатрии, пульмонологии, гастроэнтерологии.

Причины муковисцидоза легких
Муковисцидоз легких у ребенка может возникнуть в том случае, если оба родителя являются гетерозиготными носителями мутировавшего гена - вероятность заболевания в этом случае составляет 25%. Носители гена муковисцидоза фенотипически здоровы и в подавляющем большинстве случаев не подозревают об отягощенной наследственности до тех пор, пока у них не родится ребенок с данным заболеванием.
Патогенез муковисцидоза легких связан с невозможностью дефектного белка МВТР выполнять свою функцию хлоридного канала и, как следствие, нарушением водно-электролитного обмена в эпителиальных клетках бронхов. В клетках начинают накапливаться ионы хлора, вследствие чего меняется их электрический потенциал и внутрь клеток устремляются ионы натрия. Эти процессы сопровождаются усиленным всасыванием воды из межклеточного пространства, резким повышением вязкости бронхиального секрета и затруднением его эвакуации.
Дальнейшее прогрессирование муковисцидоза легких обусловлено обтурацией мелких бронхиол, развитием хронических воспалительных изменений в стенках бронхов. В условиях сопутствующего уменьшения продукции IgА и интерферона, а также фагоцитарной активности лейкоцитов снижается противовирусный иммунитет и местная противомикробная защита. На этом фоне быстро изменяется микробный пейзаж бронхов – в нем начинают преобладать стафилококки, а потом и синегнойная палочка. Развивается эндобронхит и панбронхит, что в дальнейшем приводит к формированию бронхоэктазов, деструкции легочной паренхимы, нарастанию гипоксемии и легочной гипертензии.
Симптомы муковисцидоза легких
Признаки респираторного муковисцидоза обычно становятся заметны уже в грудном возрасте. Наличие в анамнезе сведений о мекониевом илеусе периода новорожденности облегчает своевременное распознавание муковисцидоза легких у детей.
Типичные клинические проявления муковисцидоза легких обусловлены гиперсекрецией бронхиальной слизи, обструктивным синдромом и присоединением вторичной инфекции. Ранним признаком служит мучительный кашель, возникающий приступообразно и напоминающий кашель при коклюше. Кашлевой пароксизм может сопровождаться рвотой и приступами удушья. Мокрота откашливается с большим трудом, имеет вязкий, слизистый или слизисто-гнойный характер.
В более старшем возрасте типичны жалобы на одышку при незначительных нагрузках или в покое. В медицинской карте детей с муковисцидозом легких можно встретить указания на частые обострения хронического гнойного или обструктивного бронхита, рецидивирующие пневмонии (в т. ч. абсцедирующие), гайморит, полипы носа, бронхиальную астму. Дети с муковисцидозом легких гипотрофичны, отстают в физическом развитии, вынуждены ограничивать себя в физической активности.
Кожные покровы бледные с землистым оттенком, выражен акроцианоз. Грудная клетка приобретает бочкообразную форму, следствием хронической дыхательной недостаточности становится трансформация дистальных фаланг пальцев и ногтей («пальцы Гиппократа»). Вторичные изменения бронхолегочной системы при муковисцидозе легких включают бронхоэктазы, эмфизему, диффузный пневмосклероз, легочное сердце.
Течение легочной формы муковисцидоза проходит четыре стадии. Первая стадия, длительность которой может составлять до 10 лет, характеризуется периодическим сухим кашлем и одышкой, возникающей при напряжении. На второй стадии муковисцидоза легких прогрессирует поражение бронхов, развивается клиника хронического бронхита со свойственным ему влажным кашлем, усилением одышки. Продолжительность течения этой стадии сожжет варьировать от 2 до 15 лет. Переход к третьей стадии знаменует развитие вторичных изменений: бронхоэктазов, пневмофиброза, дыхательной и сердечной недостаточности; длительность данного периода – 3-5 лет. В четвертой, терминальной стадии муковисцидоза легких за считанные месяцы наступает декомпенсация сердечно-легочной недостаточности с летальным исходом.
Диагностика
Признанным стандартом диагностики является так называемая потовая проба Гибсона и Кука (ионофорез с пилокарпином), позволяющая определить концентрацию ионов хлора и натрия в потовой жидкости (при муковисцидозе уровень хлоридов повышен в 2 - 5 раз).
Аускультативные данные при муковисцидозе легких обычно соответствуют картине обструктивного бронхита. Степень поражения бронхолегочной системы удается оценить, используя рентгенологические и эндоскопические методы визуализации. С помощью рентгенографии легких выявляется усиление легочного рисунка и его тяжистый характер, ателектазы легких, повышение прозрачности легочных полей, ограничение подвижности купола диафрагмы и т. д.
Диагностическая бронхоскопия при муковисцидозе легких выявляет картину диффузного гнойного эндобронхита: наличие густого, вязкого секрета в просвете бронхов, нередко в виде гнойных пробок. При бронхографии обнаруживаются цилиндрические или смешанные бронхоэктазы. По данным спирометрии диагностируются нарушения по обструктивно-рестриктивному типу (снижение индекса Тиффно, ОФВ1 и т. д.); в поздних стадиях – снижение ЖЁЛ.
Лечение муковисцидоза легких
Лечение легочной формы муковисцидоза включает общережимные мероприятия и симптоматическую терапию. Питание больных должно быть калорийным, богатым поливитаминами, микроэлементами, белком. Составной частью лечения пациента с муковисцидозом легких становится кинезитерапия: используется специальная дыхательная гимнастика, постуральный дренаж, перкуссионный и вибрационный массаж грудной клетки, помогающие освободить бронхи от скопления густого и вязкого секрета.
На разжижение мокроты направлена муколитическая терапия: ингаляции с дорназа альфа, ферментами, гипертоническим раствором, кортикостероидами; введение ацетилцистеина, амброксолгидрохлорида и др. Проводятся процедуры бронхиального лаважа с эндобронхиальным введением муколитиков. При муковисцидозе легких категорически противопоказаны кодеинсодержащие препараты.
Антибактериальная терапия назначается при первых признаках легочной инфекции. Выбор препарата основывается на результатах посева мокроты и антибиотикограммы; чаще всего выбор падает на аминогликозиды, цефалоспорины, азитромицин, кларитромицин и др. Для купирования обострения применяется физиотерапия (электрофорез, УВЧ, СВЧ-терапия), ЛФК. В терминальных стадиях больным муковисцидозом может производиться трансплантация легких или комплекса сердце-легкие.
Прогноз
Пациенты с муковисцидозом легких нуждаются в пожизненном наблюдении сначала педиатра и детского пульмонолога, затем – терапевта и взрослого пульмонолога, соблюдении рекомендуемой диеты и образа жизни, прохождении специальных курсов лечения. Прогноз муковисцидоза легких остается неблагоприятным, несмотря на значительные достижения в вопросе ранней диагностики и терапии заболевания. В настоящее время средняя продолжительность жизни пациентов составляет около 30 лет. Супругам, в семье которых есть больные муковисцидозом, необходима консультация генетика для прогнозирования вероятности рождения ребенка с патологией.
1. Кистозный фиброз (муковисцидоз): микробиологическая диагностика хронической респираторной инфекции: Клинические рекомендации/ Министерство Здравоохранения РФ. – 2018.
2. Муковисцидоз: генетика, клиника, патогенез, диагностика, лечение, профилактика: Методическое пособие/ Вахарловский В.Г., Гембицкая Т.Е., Двораковская И.В. и др.
3. Муковисцидоз (современные достижения и проблемы): Метод. рекомендации/ Капранов Н.И., Шабалова Л.А., Каширская Н.Ю. и др. – 2001.
4. Муковисцидоз: современный подход к диагностике и лечению/ Амелина Е.Л. , Чучалин А.Г. // Русский медицинский журнал. – 1997 - №17.
Саркоидоз легких ( Болезнь Бенье-Бека-Шауманна , Саркоидоз Бека )
Саркоидоз легких – заболевание, относящееся к группе доброкачественных системных гранулематозов, протекающее с поражением мезенхимальной и лимфатической тканей различных органов, но преимущественно респираторной системы. Больных саркоидозом беспокоит повышенная слабость и утомляемость, лихорадка, боли в грудной клетке, кашель, артралгии, поражение кожи. В диагностике саркоидоза информативны рентгенография и КТ грудной клетки, бронхоскопия, биопсия, медиастиноскопия или диагностическая торакоскопия. При саркоидозе показано проведение длительных лечебных курсов глюкокортикоидами или иммунодепрессантами.


Саркоидоз легких (синонимы саркоидоз Бека, болезнь Бенье — Бека — Шауманна) - полисистемное заболевание, характеризующееся образованием эпителиоидных гранулем в легких и других пораженных органах. Саркоидоз является заболеванием преимущественно лиц молодого и среднего возраста (20-40 лет), чаще женского пола. Этническая распространенность саркоидоза выше среди афроамериканцев, азиатов, немцев, ирландцев, скандинавов и пуэрто-риканцев.
В 90% случаев выявляется саркоидоз дыхательной системы с поражением легких, бронхопульмональных, трахеобронхиальных, внутригрудных лимфоузлов. Также достаточно часто встречается саркоидное поражение кожи (48% - подкожные узелки, узловатая эритема), глаз (27% - кератоконъюнктивит, иридоциклит), печени (12%) и селезенки (10%), нервной системы (4—9%), околоушных слюнных желез (4—6%), суставов и костей (3% - артрит, множественные кисты пальцевых фаланг стоп и кистей), сердца (3%), почек (1% - нефролитиаз, нефрокальциноз) и других органов.
Причины
Саркоидоз Бека является заболеванием с неясной этиологией. Ни одна из выдвинутых теорий не дает достоверного знания о природе происхождения саркоидоза. Последователи инфекционной теории предполагают, что возбудителями саркоидоза могут служить микобактерии, грибы, спирохеты, гистоплазма, простейшие и другие микроорганизмы. Существуют данные исследований, основанные на наблюдениях семейных случаев заболевания и свидетельствующие в пользу генетической природы саркоидоза. Некоторые современные исследователи развитие саркоидоза связывают с нарушением иммунного ответа организма на воздействие экзогенных (бактерий, вирусов, пыли, химических веществ) или эндогенных факторов (аутоиммунные реакции).
Таким образом, на сегодняшний день есть основания считать саркоидоз заболеванием полиэтиологического генеза, связанного с иммунными, морфологическими, биохимическими нарушениями и генетическими аспектами. Саркоидоз не относится к контагиозным (т. е. заразным) заболеваниям и не передается от его носителей к здоровым людям. Прослеживается определенная тенденция заболеваемости саркоидозом у представителей некоторых профессий: работников сельского хозяйства, химических производств, здравоохранения, моряков, почтовых служащих, мельников, механиков, пожарных в связи с повышенными токсическими или инфекционными воздействиями, а также у курящих лиц.
Патогенез
Как правило, саркоидоз характеризуется полиорганным течением. Легочный саркоидоз начинается с поражения альвеолярной ткани и сопровождается развитием интерстициального пневмонита или альвеолита с последующим образованием саркоидных гранулем в субплевральной и перибронхиальной тканях, а также в междолевых бороздах. В дальнейшем гранулема либо рассасывается, либо претерпевает фиброзные изменения, превращаясь в бесклеточную гиалиновую (стекловидную) массу.
При прогрессировании саркоидоза легких развиваются выраженные нарушения вентиляционной функции, как правило, по рестриктивному типу. При сдавлении лимфатическими узлами стенок бронхов возможны обструктивные нарушения, а иногда и развитие зон гиповентиляции и ателектазов.
Морфологическим субстратом саркоидоза служит образование множественных гранулем из эпитолиоидных и гигантских клеток. При внешнем сходстве с туберкулезными гранулемами, для саркоидных узелков нехарактерно развитие казеозного некроза и наличие в них микобактерий туберкулеза. По мере роста саркоидные гранулемы сливаются во множественные большие и малые очаги. Очаги гранулематозных скоплений в каком-либо органе нарушают его функцию и приводят к появлению симптоматики саркоидоза. Исходом саркоидоза служит рассасывание гранулем или фиброзные изменения пораженного органа.
Классификация
На основании полученных рентгенологических данных в течении саркоидоза легких выделяют три стадии и соответствующие им формы.
Стадия I (соответствует начальной внутригрудной лимфожелезистой форме саркоидоза) – двустороннее, чаще асимметричное увеличение бронхопульмональных, реже трахеобронхиальных, бифуркационных и паратрахеальных лимфоузлов.
Стадия II (соответствует медиастинально-легочной форме саркоидоза) - двусторонняя диссеминация (милиарная, очаговая), инфильтрация легочной ткани и поражение внутригрудных лимфоузлов.
Стадия III (соответствует легочной форме саркоидоза) – выраженный пневмосклероз (фиброз) легочной ткани, увеличение внутригрудных лимфоузлов отсутствует. По мере прогрессирования процесса происходит образование сливных конгломератов на фоне нарастающих пневмосклероза и эмфиземы.
По встречающимся клинико-рентгенологическим формам и локализации различают саркоидоз:
- Внутригрудных лимфоузлов (ВГЛУ)
- Легких и ВГЛУ
- Лимфатических узлов
- Легких
- Дыхательной системы, сочетающийся с поражением других органов
- Генерализованный с множественными поражениями органов
В течении саркоидоза легких выделяют активную фазу (или фазу обострения), фазу стабилизации и фазу обратного развития (регрессии, затихания процесса). Обратное развитие может характеризоваться рассасыванием, уплотнением и реже – кальцинацией саркоидных гранулем в легочной ткани и лимфоузлах.
По скорости нарастания изменений может наблюдаться абортивный, замедленный, прогрессирующий или хронический характер развития саркоидоза. Последствия исхода саркоидоза легких после стабилизации процесса или излечения могут включать: пневмосклероз, диффузную или буллезную эмфизему, адгезивный плеврит, прикорневой фиброз с обызвествлением или отсутствием обызвествления внутригрудных лимфоузлов.
Симптомы саркоидоза легких
Развитие саркоидоза легких может сопровождаться неспецифическими симптомами: недомоганием, беспокойством, слабостью, утомляемостью, потерей аппетита и веса, лихорадкой, ночной потливостью, нарушениями сна. При внутригрудной лимфожелезистой форме у половины пациентов течение саркоидоза легких бессимптомное, у другой половины наблюдаются клинические проявления в виде слабости, болей в грудной клетке и суставах, кашля, повышения температуры тела, узловатой эритемы. При перкуссии определяется двустороннее увеличение корней легких.
Течение медиастинально-легочной формы саркоидоза сопровождается кашлем, одышкой, болями в грудной клетке. При аускультации выслушиваются крепитация, рассеянные влажные и сухие хрипы. Присоединяются внелегочные проявления саркоидоза: поражения кожи, глаз, периферических лимфоузлов, околоушных слюнных желез (синдром Херфорда), костей (симптом Морозова-Юнглинга). Для легочной формы саркоидоза характерно наличие одышки, кашля с мокротой, болей в грудной клетке, артралгий. Течение III стадии саркоидоза отягощают клинические проявления сердечно-легочной недостаточности, пневмосклероза и эмфиземы.
Осложнения
Наиболее частыми осложнениями саркоидоза легких служат эмфизема, бронхообтурационный синдром, дыхательная недостаточность, легочное сердце. На фоне саркоидоза легких иногда отмечается присоединение туберкулеза, аспергиллеза и неспецифических инфекций. Фиброзирование саркоидных гранулем у 5-10% пациентов приводит к диффузному интерстициальному пневмосклерозу, вплоть до формирования "сотового легкого". Серьезными последствиями грозит появление саркоидных гранулем паращитовидных желез, вызывающих нарушение кальциевого обмена и типичную клинику гиперпаратиреоза вплоть до летального исхода. Саркоидное поражение глаз при поздней диагностике может привести к полной слепоте.
Острое течение саркоидоза сопровождается изменениями лабораторных показателей крови, свидетельствующими о воспалительном процессе: умеренным или значительным увеличением СОЭ, лейкоцитозом, эозинофилией, лимфо- и моноцитозом. Первоначальное повышение титров α- и β-глобулинов по мере развития саркоидоза сменяется увеличением содержания γ-глобулинов.

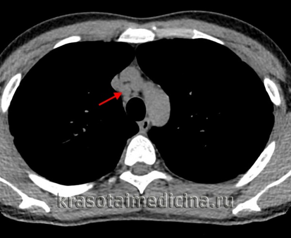
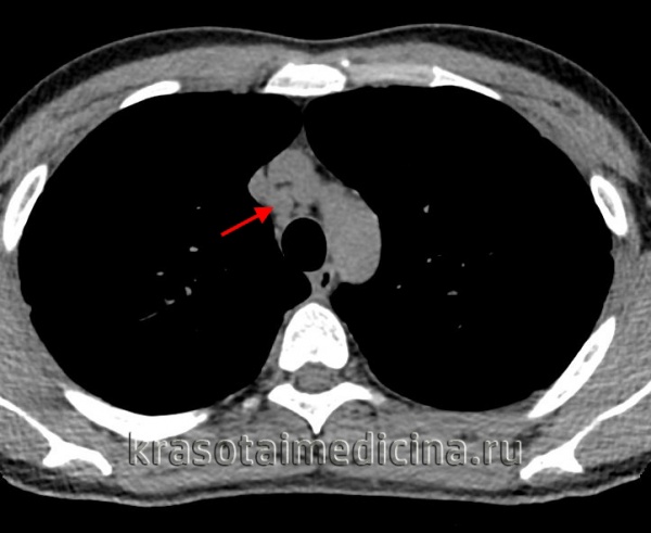
Характерные изменения при саркоидозе выявляются при рентгенографии легких, в ходе КТ или МРТ легких - определяется опухолевидное увеличение лимфоузлов, преимущественно в корне, симптом «кулис» (наложение теней лимфоузлов друг на друга); очаговая диссеминация; фиброз, эмфизема, цирроз легочной ткани. У более половины пациентов с саркаидозом определяется положительная реакция Квейма – появление багрово-красного узелка после внутрикожного введения 0,1—0,2 мл специфического саркоидного антигена (субстрата саркоидной ткани больного).

КТ органов грудной клетки. Множественные типичные саркоидозные очаги субмиллиметрового диапазона с диффузным распространением
При проведении бронхоскопии с биопсией могут обнаруживаться косвенные и прямые признаки саркоидоза: расширение сосудов в устьях долевых бронхов, признаки увеличения лимфоузлов в зоне бифуркации, деформирующий или атрофический бронхит, саркоидные поражения слизистой оболочки бронхов в виде бляшек, бугорков и бородавчатых разрастаний. Наиболее информативным методом диагностики саркоидоза служит гистологическое исследование биоптата, полученного при бронхоскопии, медиастиноскопии, прескаленной биопсии, трансторакальной пункции, открытой биопсии легких. Морфологически в биоптате определяются элементы эпителиоидной гранулемы без некроза и признаков перифокального воспаления.
Лечение саркоидоза легких
Учитывая то факт, что значительная часть случаев вновь выявленного саркоидоза сопровождается спонтанной ремиссией, за пациентами устанавливается динамическое наблюдение в течение 6-8 месяцев для определения прогноза и необходимости назначения специфического лечения. Показаниями к лечебному вмешательству служит тяжелое, активное, прогрессирующее течение саркоидоза, комбинированные и генерализованные формы, поражение внутригрудных лимфоузлов, выраженная диссеминация в легочной ткани.
Лечение саркоидоза проводится назначением длительных курсов (до 6-8 месяцев) стероидных (преднизолон), противовоспалительных (индометацин, ацетилсалициловая к-та) препаратов, иммунодепрессантов ( хлорохин, азатиоприн и др.), антиоксидантов (ретинол, токоферола ацетат и др.). Терапию преднизолоном начинают с ударной дозы, затем постепенно снижают дозировку. При плохой переносимости преднизолона, наличии нежелательных побочных эффектов, обострении сопутствующей патологии терапию саркоидоза проводят по прерывистой схеме приема глюкокортикоидов через 1—2 дня. Во время гормонального лечения рекомендуется белковая диета с ограничением поваренной соли, прием препаратов калия и анаболических стероидов.
При назначении комбинированной схемы терапии саркоидоза 4-6-месячный курс преднизолона, триамцинолона или дексаметазона чередуют с нестероидной противовоспалительной терапией индометацином или диклофенаком. Лечение и диспансерное наблюдение за пациентами с саркоидозом осуществляется фтизиатрами. Больные с саркоидозом разделяются на 2 диспансерные группы:
- I – пациенты с активным саркоидозом:
- IА – диагноз установлен впервые;
- IБ – пациенты с рецидивами и обострениями после курса основного лечения.
- II – пациенты с неактивным саркоидозом (остаточные изменения после клинико-рентгенологического излечения или стабилизации саркоидного процесса).
Диспансерный учет при благоприятном развитии саркоидоза составляет 2 года, в более тяжелых случаях – от 3 до 5 лет. После излечения пациенты снимаются с диспансерного учета.
Прогноз и профилактика
Саркоидоз легких характеризуется относительно доброкачественным течением. У значительного числа лиц саркоидоз может не давать клинических проявлений; у 30% - переходить в спонтанную ремиссию. Хроническая форма саркоидоза с исходом в фиброз встречается у 10-30% пациентов, иногда вызывая выраженную дыхательную недостаточность. Саркоидное поражение глаз может привести к слепоте. В редких случаях генерализованного нелеченного саркоидоза возможен летальный исход. Специфические меры профилактики саркоидоза не выработаны ввиду неясных причин заболевания. Неспецифическая профилактика состоит в сокращении воздействия на организм профессиональных вредностей у лиц групп риска, повышении иммунной реактивности организма.
2. Саркоидоз и проблемы его классификации/ Терпигорев С.А., Эль Зейн Б.А., Верещагина В.М., Палеев Н.Р.// Вестник РАМН. – 2012 - №5.
3. Саркоидоз: международные согласительные документы и рекомендации/ Визель А.А. , Визель И.Ю.// Русский медицинский журнал. – 2014 - №5.
4. Внутренние болезни в 2-х томах: учебник/ Под ред. Мухина Н.А., Моисеева В.С., Мартынова А.И. - 2010.
Читайте также:
