Инфекционные поражения пародонта. Гингивит. Пародонтит.
Добавил пользователь Владимир З. Обновлено: 23.11.2025
Сегодня существует множество способов улучшить свое самочувствие. Правильное питание, занятия спортом и ежегодные диспансеризации помогают нам оставаться здоровыми. Внимательное отношение к гигиене полости рта и регулярные посещения стоматолога важны не менее, чем контроль уровня холестерина. При этом профилактика заболеваний десен является одним из наиболее существенных факторов сохранения стоматологического здоровья в целом. По обобщенным данным независимых экспертов ВОЗ, воспалительные заболевания пародонта выявляются у 90-95 % взрослого населения [ВОЗ, 1990; Губин М. А. и др., 2006; Грудянов А. И., Овчинникова В. В., 2007; Иорданишвили А. К., 2010; Dimitrescu A. L., 2010]. В связи с такой высокой распространенностью пародонтопатологий необходимо обращать особое внимание на информированность населения о симптомах заболеваний десен.
Классифицируют несколько заболеваний пародонта, у каждого из них выделяют различные степени тяжести. Первым "тревожным звоночком" становится гингивит: будучи, по сути, самостоятельным заболеванием, он, тем не менее, способен спровоцировать развитие пародонтита, который со временем может приобрести хронический характер. Разумеется, постановка точного диагноза — это задача стоматолога, однако вам важно уметь различать симптомы.
Гингивит
Наиболее распространенная и при этом обратимая проблема. Стоматологи называют следующие симптомы гингивита:
- покраснение и отечность десен
- кровоточивость десен во время чистки зубов и использования зубной нити
- неприятный запах изо рта
Пародонтит
Без лечения гингивит может спровоцировать развитие более тяжелого заболевания, пародонтита. Он приводит к повреждению мягких и твердых тканей, поддерживающих зубы. Как отмечают специалисты, к типичным симптомам пародонтита относятся:
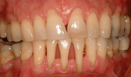
- отечные, ярко-красные десны
- болезненная чувствительность десен к прикосновениям
- рецессия (опущение) десны, обнажение шеек зубов
- образование пародонтальных карманов
- выделение гноя между зубами и деснами
- неприятный запах изо рта или привкус во рту
- подвижность зубов
Хронический пародонтит
Такая форма заболевания является самой тяжелой и характеризуется фактической утратой кости и мягких тканей пародонта, поддерживающих зубы. Результатом становится смещение и сильная подвижность зубов. Для предотвращения дальнейшего распространения инфекции может потребоваться даже их удаление. Симптомы хронического пародонтита включают:
- постоянный неприятный запах изо рта
- отечность и кровоточивость десен
- сильную рецессию десны
- глубокие пародонтальные карманы
- подвижность зубов
- нарушение окклюзии
Заболевания пародонта могут протекать длительный период времени, за который некогда красивая улыбка рискует потерять свою привлекательность, и для ее восстановления потребуется хирургическое вмешательство. Но доводить до этого вовсе не обязательно. Зная симптомы, вы сможете заметить признаки начинающегося гингивита. В этом случае проконсультируйтесь со стоматологом, чтобы составить план ухода за зубами и деснами, который должен включать использование качественной зубной пасты, предназначенной для борьбы с гингивитом, эффективного удаления зубного налета и укрепления эмали. Не пренебрегайте регулярным профессиональным очищением зубов — оно позволяет устранить бактериальный налет, зубной камень и остатки пищи, чтобы остановить прогрессирование гингивита. Благодаря собственной предусмотрительности и своевременному вмешательству стоматолога вы спасете свою улыбку и здоровье.
Болезни пародонта: гингивит, пародонтит, пародонтоз
Болезни пародонта - воспаление десен, возникающее в основном из-за скопления микробов в ротовой полости. Они имеют схожую симптоматику, но разные последствия. Поэтому для благоприятного прогноза большое значение имеют правильная диагностика и своевременное лечение.

Гингивит
Гингивит - воспалительное заболевание краевых десен, при этом опорные структуры зуба не задеты.
Есть несколько видов гингивита:
Катаральный. Проявляется легкой кровоточивостью и отечностью десен, зудом.
Гипертрофический. Отличается плохим запахом изо рта, сильной кровоточивостью.
Язвенно-некротический. На деснах возникают язвы, на зубах появляется серый налет. Для этой патологии характерны сильные боли, гнилостный запах изо рта.
Гингивит бывает острым и хроническим, поражает всю десну или область от 1 до 3 зубов.
Причинами болезни могут быть:
Плохая гигиена зубов, скопление мягкого налета, способствующее размножению бактерий.
Травматизация слишком твердыми продуктами или жесткой зубной щеткой.
Некачественно установленная коронка или пломба.
Нарушения в работе сердца.
Болезни желудочно-кишечного тракта.
Хроническое отравление йодом, свинцом, ртутью, алюминием.
При гингивите стоматолог удаляет зубные отложения, обрабатывает десны антисептиком, накладывает аппликации с лекарственными препаратами, назначает противовоспалительные средства, витаминный комплекс, подбирает зубную пасту, щетку, ополаскиватель.
Пародонтит

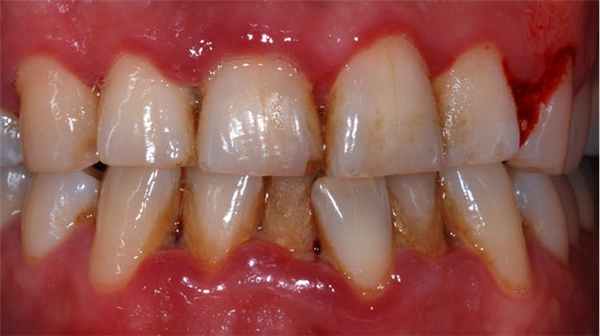
Пародонтит - воспаление околозубной ткани и связочного аппарата, часто является последствием невылеченного гингивита. В тяжелых случаях затрагивает костную ткань.
К симптомам пародонтита относятся:
образование твердых зубных камней, они могут выделять гной;
оголенные зубные шейки;
боль при надавливании на подвижные зубы;
отверстия между зубами и деснами;
возникновение флюса при попадании инфекции в воспаленный зубной карман.
Развитию пародонтита способствуют гипертонус жевательной мускулатуры, скученность зубов, высокое крепление уздечек, травмирующий прикус, заболевания крови, сахарный диабет, хронические патологии внутренних органов, иммунодефицит.
Выделяют три формы пародонтита по степени тяжести воспаления:
Легкая. Возникает гиперемия края десен - переполненность сосудов кровью, болезненность, кровоточивость, незначительная убыль кости, небольшая глубина костного кармана.
Средняя. Кровотечение десен может быть спонтанным, зубы шатаются. Чистка зубной щеткой и прием пищи затруднены, карман увеличивается до 5 мм.
Тяжелая. Зубы выпадают, сильная кровоточивость, глубокие костные карманы.
Подход к лечению пародонтита комплексный и делится на несколько этапов:
Устранение зубного камня раз в шесть месяцев, так как он быстро растет.
Гигиена полости рта. Врач подберет очищающие средства, ополаскиватели. Обязательно использование зубной нити и ершиков, если между зубами большие промежутки. Рекомендуется приобрести ирригатор для промывания карманов водой.
Антисептическая обработка с помощью специальных гелей и полосканий. В запущенных случаях применяются препараты с длительным обеззараживающим действием. Это желатиновые чешуйки, которые стоматолог помещает в зубодесневой карман. Они разбухают и предотвращают попадание в него бактерий. В это же время из чешуек выделяется антисептик.
Противовоспалительная терапия: наложение повязок и мази, физиопроцедуры.
Назначение витаминов, антибиотиков, иммуностимуляторов.
Может потребоваться хирургическое вмешательство. Стоматолог делает надрез на десне и специальными инструментами удаляет зубной камень, разрушенные участки, добавляет искусственную костную ткань.
Пародонтоз
Пародонтоз - редкая патология, при которой происходит поражение околозубной ткани и связок. Зубы начинают шататься и выпадать.
Возникновение этого заболевания провоцируют следующие факторы:
злоупотребление алкоголем, курение;
дефицит витаминов в организме;
болезни внутренних органов;
аномальное положение зубов, неправильный прикус;
При пародонтозе оголены шейки зубов, слизистые становятся белесыми, уменьшаются в объеме. Может развиться клиновидный дефект, возникает повышенная чувствительность. Кровоточивость и отечность десен отсутствует. Зубы хорошо зафиксированы в лунке, их подвижность развивается только при значительном разрушении костных тканей.
Лечение пародонтоза зависит от степени развития заболевания и может включать:
Профессиональную гигиену полости рта.
Устранение неправильного прикуса, выравнивание неправильно расположенных зубов.
Протезирование в случае выпадения зубов.
Хирургическое лечение, направленное на восстановление костной ткани.
Массаж в области пародонта и физиолечение для улучшения кровообращения.
Применение антибактериальных средств и витаминных комплексов.

Высококвалифицированные специалисты клиники "Формула здоровья" проведут все необходимые процедуры для быстрого избавления пациента от заболеваний пародонта.
Лечение обязательно включает рентгенограмму на финском цифровом приборе "Planmeca" последнего поколения, чтобы выявить возможное разрушение костной ткани.
Если у пациента неправильный прикус или смещение зубов, то рекомендуется ношение брекет-системы "Damon", позволяющей получить хороший результат в течение нескольких месяцев.
В случае, когда зуб утерян, то восстановить его можно с помощью коронок и виниров из прочных и качественных материалов самых разных оттенков, идеально подходящих к цвету эмали пациента.
При запущенных стадиях болезней пародонта может понадобиться хирургическое вмешательство. Наши специалисты проведут операцию, позволяющую полностью избавиться от патологии и сохранить зубы.
Гингивит
В норме десны твердые, плотно прилегают к зубам и четко очерчивают их с формированием межзубных точек. Кератинизированные десны возле коронки представляют собой розовую и шероховатую ткань. Эта ткань должна заполнить все пространство между коронками. Участки десны, расположенные дальше от коронок, называются альвеолярной слизистой и являются некератинизированными, богаты сосудами, имеют красный цвет, подвижны и непрерывно продолжаются в буккальную слизистую оболочку. Из нормальной десны при нажатии шпателем не должны выделяться кровь или гной.
Воспаление или гингивит, наиболее распространенная патология десен, может развиваться в пародонтит Пародонтит Пародонтит — хроническое воспалительное заболевание полости рта, которое постепенно разрушает опорный аппарат зуба. Он обычно проявляется как осложнение гингивита, а затем при отсутствии лечения. Прочитайте дополнительные сведенияЭтиология гингивита
Гингивит может быть
Вызван формированием бляшек (обычно из-за плохой гигиены полости рта)
Не вызванным зубной бляшкой
Маргинальный гингивит
Почти все гингивиты вызваны зубной бляшкой. Минерализованный налет представляет собой смесь бактерий, остатков пищи, слюны и слизи с солями кальция и фосфатными солями. Плохая гигиена полости рта позволяет бляшкам накапливаться между десной и зубами; гингивит не развивается в местах, где зубы отсутствуют. Раздражение из-за налета углубляет нормальную щель (борозду) между зубом и десной, создавая десневые карманы. Эти карманы содержат бактерии, которые могут вызывать гингивит и кариес корня. Другие местные факторы, такие как неправильный прикус, наличие зубного камня, задержка пищевых остатков, плохое восстановление зубов и сухость во рту Ксеростомия Ксеростомия – это сухость во рту, вызванная сниженным или отсутствующим выделением слюны. Это состояние может привести к дискомфорту, мешать речи и глотанию, затрудняет ношение зубных протезов. Прочитайте дополнительные сведения , играют второстепенную роль.
Гингивит, вызванный налетом, может провоцироваться или усугубляться изменениями гормонального фона, системными нарушениями, лекарственными препаратами, или дефицитом питательных веществ.
Гормональные изменения, которые происходят в период полового созревания, в течение менструального цикла и беременности, в период менопаузы, или в связи с приемом оральных (или инъекционных) контрацептивов могут усугубить воспаление.
Системные заболевания (например, сахарный диабет, СПИД, авитаминоз, лейкоз, лейкопения) могут повлиять на ответ на инфекцию. У некоторых пациентов с болезнью Крона Болезнь Крона Болезнь Крона – хроническое воспалительное заболевание кишечкика с трансмуральным характером поражения, преимущественно поражающее дистальную часть подвздошной и толстой кишки, при котором также. Прочитайте дополнительные сведения Лекарственные средства, такие как циклоспорин и нифедипин, а также серьезные дефициты (редкие в США) ниацина (вызывающие пеллагру Гиповитаминоз ниацина Дефицит в питании никотиновой кислоты (вызывает пеллагру) редко встречается в развитых странах. Клинические проявления включают три Д: локализованная пигментная сыпь (дерматит), гастроэнтерит. Прочитайте дополнительные сведенияВоздействие тяжелых металлов (например, свинца, висмута) может вызвать гингивит и образование темной линии на десне.
Гингивит, причиной которого является не зубной налёт
Гингивит, не вызванный зубным налетом, возникает у небольшого процента людей. Причины включают бактериальные, вирусные и грибковые инфекции, аллергические реакции, травмы, заболевания слизистых оболочек (например, красный плоский лишай, пузырчатка) и наследственные заболевания (например, наследственный десневой фиброматоз).
Симптомы и признаки гингивита
Простой гингивит сначала вызывает углубление борозды между зубом и десной, за которым следует образование полосы красной воспаленной десны вдоль одного или нескольких зубов, с отеком межзубных сосочков и легко индуцируемым кровотечением. Боль, как правило, отсутствует. Воспаление может разрешиться, оставаться поверхностным в течение многих лет, а в некоторых случаях прогрессировать до пародонтоза.
Перикоронит – острое, болезненное воспаление десневого лоскута (крышечки) над частично прорезавшимся зубом, как правило, вокруг третьих моляров нижней челюсти (зубов мудрости). Инфекция является обычным явлением, и могут развиться абсцесс или флегмона. Перикоронит часто рецидивирует при попадании пищи под десневой лоскут и может усугубляться травмой 3-го моляра на противоположной, верхней челюсти. Десневой лоскут исчезает, когда зуб полностью прорезывается. Многие зубы мудрости не прорезаются и их называют погруженными.
Во время менопаузы может возникнуть десквамативный гингивит. Он характеризуется темно-красной болезненной десневой тканью, которая легко кровоточит. Пузырьки могут предшествовать дескваматизации. Десны мягкие из-за отсутствия кератинизированных клеток, которые сопротивляются истиранию частицами питания. Аналогичное поражение десен может быть связано с пузырчаткой обыкновенной, буллезным пемфигоидом, доброкачественным пемфигоидом слизистых оболочек или атрофическим красным плоским лишаем.
Во время беременности могут развиться отеки, особенно межзубных сосочков. Мягкие, красноватые имеющие ножку наросты десны часто возникают на межзубных сосочках в течение 1-го триместра, могут сохраняться в течение всей беременности и могут проходить или сохраняться после родов. Такие наросты являются гнойными гранулемами, которые иногда называют опухолями беременности. Они быстро развиваются, а затем остаются статичными. Причинный раздражитель общий, например зубной камень или восстановленный зуб с шероховатым краем. Эти наросты также могут возникнуть у небеременных женщин и мужчин.
Неконтролируемый диабет может утяжелить эффекты раздражителей десны, что делает вторичные инфекции и острые абсцессы десны распространенными проявлениями.
При лейкемии десны могут выглядеть налитыми кровью с лейкозным инфильтратом, демонстрируя клинические симптомы отека, боли и легко индуцированное кровотечение.
В цинге десны воспаленные, гиперпластические и налитые кровью, с легко индуцируемым кровотечением. Петехии и синяки могут появляться по всему рту.
При пеллагре десны воспаляются, легко кровоточат и восприимчивы к вторичной инфекции. Кроме того, губы краснеют и трескаются, создается ощущение, что рот обожжен, язык гладкий и ярко-красный, и язык и слизистая оболочка могут иметь изъязвления.
Диагностика гингивита
Обнаружение эритематозных, рыхлых тканей по линии десны подтверждает диагноз гингивита. Для раннего выявления заболевания десен некоторые стоматологи часто измеряют глубину кармана вокруг каждого зуба. Глубина 3 мм считается нормой; глубокие карманы обусловливают высокий риск развития гингивита и пародонтита.
Лечение гингивита
Регулярная гигиена полости рта и профессиональная чистка
Простой гингивит контролируется надлежащей гигиеной полости рта с применением полоскания ротовой полости антибактериальными растворами. Должна быть проведена тщательная чистка (профессиональная чиска вручную или с использованием ультразвуковых приборов). При необходимости некачественно проведенные реставрации зубов нужно исправлять или заменять и удалять местные раздражители. Избыточная десна при наличии может быть удалена. Применение препаратов, вызывающих гиперплазию десен, по возможности следует прекратить; если это невозможно, улучшение ухода на дому и более частые профессиональные чистки (по крайней мере 1 раз в 3 месяца), как правило, уменьшают гиперплазию. Опухоли при беременности вырезают.
Лечение перикоронита состоит из:
Удаление остатков пищи из под десневого лоскута
Полоскания солевым раствором, 1,5% пероксидом водорода, или 0,12% раствором хлоргексидина
Удаления (в частности, когда эпизоды повторяются)
При развитии тяжелой инфекции антибиотики можно назначать за день до удаления и продолжать во время заживления. Распространенной схемой является амоксициллин по 500 мг перорально каждые 6 часов в течение 10 дней (или до 3 дней после ослабления всего воспаления). Абсцессы, связанные с перикоронитом, требуют локального разреза и дренажа, хирургическая обработка пародонтального лоскута и корня или удаление.
При гингивите, вызванном системными расстройствами, лечение направлено на устранение причины. При десквамативном гингивите во время менопаузы может быть полезным последовательное введение эстрогенов и прогестинов, но побочные эффекты этой терапии ( Гормональная терапия Гормональная терапия Менопауза – физиологическое или ятрогенное прекращение менструаций (аменорея) вследствие снижения функции яичников. Проявления могут включать приливы, ночную потливость, нарушение сна и мочеполовой. Прочитайте дополнительные сведения ) ограничивают рекомендации по ее использованию. В противном случае стоматологи могут предписать полоскание глюкокортикоидами или глюкокортикоидную пасту, которая наносится непосредственно на десны. Гингивит, вызваный пузырчаткой обыкновенной Вульгарная пузырчатка Вульгарная пузырчатка – это редко встречающееся потенциально смертельное аутоиммунное заболевание, характеризующееся образованием внутриэпидермальных пузырей и обширных эрозий на видимо непораженной. Прочитайте дополнительные сведенияПрофилактика гингивита
Ежедневное удаление зубного налета с помощью зубной нити и зубной щеткой и рутинная чистка у стоматолога или гигиениста с интервалом от 6 месяцев до 1 года может помочь минимизировать риск развития гингивита. Пациентам с системными расстройствами, предрасполагающими к гингивиту, требуются более частые профессиональные чистки (каждые 2 недели – 3 месяцв).
Ключевые моменты
Гингивит в основном обусловлен плохой гигиеной полости рта, но иногда гормональными изменениями (например, беременность, менопауза) или определенными системными нарушениями (например, диабетом, СПИДом).
Профессиональная чистка с антибактериальным полосканием или без него, как правило, является адекватным лечением.
Системные причины также должны рассматриваться.
Авторское право © 2022 Merck & Co., Inc., Rahway, NJ, США и ее аффилированные лица. Все права сохранены.
Здоровье десен: этиология и механизмы развития

Гингивит — обратимое заболевание, которое поражает десны в случае, если зубной налет вызывает развитие воспаления вокруг десневого края. Если гингивит не лечить, то хроническое воспаление десен может прогрессировать до хронического пародонтита, что приведет к необратимому разрушению тканей пародонта. Несмотря на то, что гингивит прогрессирует не во всех случаях, почти у половины взрослых отмечается предрасположенность к этому. 2

Здоровые десны
Десны без воспаления и без признаков заболеваний пародонта. Характеристики:
- Бледно-розовые плотные десны
- Отсутствие отечности
- Плотное прилегание к зубам
- Десневой край по типу лезвия ножа
- В норме отсутствие склонности к кровоточивости во время чистки зубов или при осмотре полости рта с использованием зонда

Гингивит
Обратимое воспаление десен, вызванное бактериями зубного налета. 2
Характеристики:
- Изменение цвета десны(или слизистой оболочки)
- Отек десневого края и сглаживание десневых сосочков
- Кровоточивость во время осмотра с использованием пародонтального зонда или во время чистки зубов
- Глубина прохождения зонда в десневую бороздку не более 3 мм
- Степень прилегания десны к зубам без изменений

Пародонтит
Необратимое разрушение тканей пародонта в результате хронического воспаления. 2 Характеристики включают:
- Видимые признаки воспаления десен
- Кровоточивость во время осмотра с использованием пародонтального зонда или во время чистки зубов
- Разрушение соединительного эпителия и нарушение прилегания десны (образование патологического кармана и рецессия десны)
- Потеря костной ткани альвеолярного отростка
- Подвижность зуба
Формы пародонтита в (соответствии с новой классификацией): 8
- Стадия I: Начальный пародонтит
- Стадия II: Умеренный пародонтит
- Стадия III: Тяжелый периодонтит с возможностью потери зубов
- Стадия IV: Тяжелый периодонтит с возможностью потери зубного ряда
Прочие заболевания пародонта
Чрезмерное разрастание десны (гиперплазия) 2
Увеличение десны вследствие ее раздражения, накопления зубного налета, образования зубного камня, постоянного трения, или повреждения или увеличения количества принимаемых лекарственных препаратов
Абсцесс пародонта 2

Часто встречающаяся острая инфекция пародонтального кармана. Абсцесс может быть острым и хроническим, при свободном дренировании симптомы могут отсутствовать.
Некротический гингивит и некротический пародонтит 9

Некротический гингивит (НГ) 9
Острый воспалительный процесс тканей десны с наличием некроза / язвы межзубного сосочка, кровоточивости десен и боли.
Некротический пародонтит (НП) 9
Воспалительный процесс тканей пародонта с наличием некроза / язвы межзубных сосочков, кровоточивости десен и быстрой потерей костной массы.
Пациенты, более предрасположеные к НГ и НП, включают пациентов с ВИЧ-инфекцией и иммуносупрессией, недоеданием, стрессом или курением. Другие факторы включают в себя употребление алкоголя, неадекватную гигиену полости рта, перенесенную проведение перитонеального диализа, возраст и этническую принадлежность. 9
Некротический стоматит (НС) 9
Тяжелое воспалительное состояние тканей пародонта и полости рта, при котором некроз мягких тканей выходит за пределы десны. Это обычно происходит у пациентов с серьезными системными нарушениями.
Пародонтит, ассоциированный с поражением тканей в области верхушки корня 2

Очаги поражения могут возникать независимо друг от друга или вместе, и начинаются на деснах или верхушке корня зуба.
Инфекционные поражения пародонта. Гингивит. Пародонтит.

Специалисты, проводят диагностику и лечение заболеваний пародонта, а также профилактику их обострений, помогут подобрать оптимальное решение любой проблемы. В нашей клинике работают врачи узкой специализации, которые используются современные методы лечения и профилактики заболеваний пародонта, позволяющие успешно лечить пародонтит на ранних стадиях, остановить тяжёлую форму течения и предотвратить возможные обострения. Если лечение пародонтита было начато несвоевременно и он перешёл в тяжёлую форму нашими специалистами может быть выполнено шинирование подвижных зубов.
Здоровые зубы невозможны без здоровых десен. Именно десны формируют внешнюю поддержку для зубов. Слизистой оболочкой десны вырабатываются защитные факторы, постоянно обороняющие ротовую полость от патогенных микробов.
Длительно протекающие заболевания десен не просто доставляют пациентам постоянные болевые ощущения, приводят к появлению неприятного запаха изо рта, но и приводят к выпадению зубов. После 35 лет заболевания десен являются самой частой причиной потери зубов.
Заболевания пародонта могут развиться от травм (механических, физических, химических, а также от травмирования нависающими краями пломб, неправильно изготовленными коронками и т.п.) или же от общих заболеваний организма.
Множество причин способствуют заболеваниям десен:
- плохая гигиена полости рта;
- курение;
- характер употребляемой пищи;
- недостаток витаминов;
- хронические интоксикации.
Пародонтальный абсцесс
Местная гнойная инфекция, локализованная в тканях десны в районе пародонтального кармана или в зоне разделения корней зуба (в многокорневых зубах – разветвление корней), может привести к быстрому разрушению механизма зубодесневого прикрепления.
Симптомы болезни: гладкая и блестящая отечная ткань в районе пародонтального кармана или в зоне разделения корней зуба, гнойные выделения, боли, чувствительность при постукивании, подвижность зубов, потеря костной массы.
Комплексное поражение десен и корня зуба
Поскольку существует связь между мягкими тканями зуба, нервными окончаниями, кровеносными сосудами и между тканями, окружающими и удерживающими зуб, зачастую, инфицирование, которое начинается с инфекции в корне зуба, прогрессирует в область десны и наоборот. Поэтому лечение в таких случаях должно быть комплексным, включая лечение корневых каналов и лечение заболевания десны.
Гингивит – воспаление десен
Это относительно легкая форма заболевания десен, от которой страдает большинство населения. Гингивит поражает только слизистые оболочки, розовые десневые ткани, окружающие челюстную кость, не затрагивая кость и не нарушая целостность механизма зубодесневого прикрепления. Гингивит может быть локальным или распространенным.
Симптомы болезни: покраснение, припухлость, кровоточивость десен во время механического воздействия и чистки зубов. Иногда о гингивите свидетельствуют глубокие зубодесневые карманы, но без потери кости (ложный карман). В подавляющем большинстве случаев гингивит не сопровождается болезненными ощущениями, и поэтому люди, как правило, не подозревают о существовании у них этого заболевания.
Хронический пародонтит
Это прогрессирующая болезнь десен, при которой затронута кость, удерживающая зуб, и разрушается механизм зубодесневого прикрепления. Микробы разрыхляют ткань десны, разрушают зубодесневое соединение. Зубной налет проникает все глубже, затвердевая и повреждая десну и эмаль зуба. Образуется так называемый зубной камень.
Образуется глубокий карман, который, как болото, является источником дурного запаха, неприятного привкуса во время еды. Разрыхленность тканей десны вызывает повышенную кровоточивость.
Пациенты постоянно отмечают болезненность десен, которая усиливается при приеме пищи, при малейшем давлении на десны они начинают кровоточить – все это является причиной беспокойства и раздражительности людей. При разрушении зубодесневого соединения и образовании кармана наблюдается отложение микробной бляшки на корне зуба, развитие инфицированной грануляционной ткани, рассасывание корня зуба. Начинается рассасывание кости, рецессия десны и оголение корней зубов. Это приводит к потере зуба.
Даже после выпадения зуба заболевания десен неприятно напоминают о себе – протезирование при пародонтите значительно затруднено. При запущенном пародонтите пациенту предстоит длительное лечение.
Лечение заболеваний десен
Чтобы увидеть степень рассасывания костной ткани, глубину патологического кармана и степень распространённости процесса, нужен обзорный снимок – ортопантомограмма.
Читайте также:
