Инсулинома
Добавил пользователь Владимир З. Обновлено: 29.01.2026
Нейроэндокринные опухоли поджелудочной железы встречаются достаточно редко и представляют собой 1-2% всех новообразований поджелудочной железы. Инсулинома встречается у 1-4 человек на миллион в общей популяции. 3 Диагностика инсулином является непростой задачей в работе врача-эндокринолога.
Что такое инсулин и инсулинома?
Инсулин – это гормон, вырабатываемый поджелудочной железой и участвующий регуляции обмена глюкозы в организме. Это единственный гормон, действие которого направлено на снижение уровня сахара (глюкозы) в крови. Он вовлекает глюкозу в множество путей ее усвоения клетками организма, вследствие этого уровень сахара в крови снижается.
Инсулинома – это опухоль, состоящая из бета-клеток островков поджелудочной железы, секретирующая в кровеносное русло гормон инсулин, который понижает уровень глюкозы в крови. Инсулинома встречается у женщин несколько чаще, чем у мужчин. Возникновение опухоли возможно в любом возрасте, но обычно пик приходится на наиболее трудоспособный возраст: от 30 до 55 лет. Менее, чем в 2% инсулинома может располагаться за пределами поджелудочной железы, чаще всего – в стенке двенадцатиперстного кишечника. В 85-90% случаев инсулинома является доброкачественной, но у 10-15% пациентов может становится злокачественной и метастазировать.
Поджелудочная железа: анатомия и функции
Поджелудочная железа – это орган пищеварительной и эндокринной систем, расположенный за желудком. Данный орган состоит из следующих структур: 1
- Головка – это утолщенная правая часть органа, начало железы. Располагается в месте, где желудок переходит в двенадцатиперстный кишечник;
- Тело – это основная часть поджелудочной железы. Расположено за желудком;
- Хвост – это суженная левая часть органа. Располагается около селезенки.
Основная часть железы (экзокринная) отвечает за выработку ферментов, необходимых для переваривания пищи в полости кишечника, поэтому выводные протоки железы открываются в него и выделяют сок, необходимый для пищеварения. Другая составляющая поджелудочной железы (эндокринная часть) состоит из панкреатических островков (островки Лангерганса), где продуцируются важные гормоны – инсулин и глюкагон. Они выделяются непосредственно в кровеносное русло. После приема пиши уровень глюкозы в крови повышается. Этот процесс запускает секрецию инсулина бета-клетками поджелудочной железы.
Нейроэндокринная опухоль поджелудочной железы
Нейроэндокринные клетки с одной стороны похожи на клетки нервной системы, с другой – на эндокринные клетки, вырабатывающие гормоны. 1 Эти клетки располагаются в различных органах. Нейроэндокринная опухоль поджелудочной железы (НЕО ПЖ) – это разнородная опухоль, состоящая из нейроэндокринных клеток островков поджелудочной железы. Одной из разновидностей такой опухоли является инсулинома.
В 70% случаев НЕО ПЖ являются инсулиномой. 1 Она может быть не только единичной, когда опухолевые клетки сгруппированы в одном месте, но и множественной – при наличии нескольких очагов опухоли в органе. Гораздо реже встречаются другие виды нейроэндокринных опухолей ПЖ, название которых соответствует вырабатываемому опухолевыми клетками гормону:
- глюкагономы,
- гастриномы,
- соматостатиномы,
- опухоли, секретирующие адренокортикотропный гормон. 1
Нейроэндокринные опухоли ПЖ разделяются на два типа: функционирующие и нефункционирующие.
- Функционирующие опухоли – вырабатывают гормоны, которые выделяются в кровь и вызывают основные симптомы болезни;
- Нефункционирующие опухоли длительное время имеют бессимптомное течение 2 , то есть никак не проявляют себя и становятся случайной находкой при проведении обследования или операций по поводу других заболеваний. В 70-80% таких случаев опухолевый процесс уже запущен и в других близлежащих органах и тканях, чаще всего в печени, обнаруживаются метастазы. 2
Причины инсулиномы и факторы риска
Причины возникновения инсулиномы разделяются на модифицируемые, то есть которые человек в силах изменить (убрать/сократить) и немодифицируемые (неизменяемые), на которые повлиять невозможно.
Изменяемые факторы риска:
- Курение: множество исследований показывают, что как длительное курение, так и кратковременное увеличивает риск развития НЕО ПЖ 1 ;
- Алкоголь: некоторые исследования доказывают связь возникновения нейроэндокринной опухоли ПЖ с чрезмерным употреблением алкоголя. Эта связь обусловлена влиянием алкоголя на функционирующие НЕО ПЖ и риском развития хронического панкреатита, который также является фактором риска развития инсулином.
Неизменяемые факторы риска:
Наследственность – наличие наследственных синдромов, при которых происходят мутации генов, которые передается от родителя к ребенку:
- множественная эндокринная неоплазия I типа (MEN1), приводит к повышенному риску возникновения новообразований паращитовидной железы, гипофиза и островков поджелудочной железы;
- синдром фон Хиппеля-Линдау (VHL), который связан с повышенным риском возникновения НЕО ПЖ и многих других новообразований;
- Сахарный диабет 2 типа: этой болезнью чаще болеют люди в зрелом возрасте, связан с избыточным весом или ожирением;
- Хронический панкреатит: это заболевание запускает длительное воспаление клеток поджелудочной железы, что приводит к повышенным рискам возникновения НЕО ПЖ. Сам хронический панкреатит может быть вызван чрезмерным употреблением алкоголя, следовательно, отказ от алкоголя может снизить риск возникновения этой болезни и, как следствие, инсулиномы.
Симптомы инсулиномы
Симптомы опухоли из нейроэндокринных клеток поджелудочной железы у человека обусловлены повышением количества инсулина в крови и снижением уровня глюкозы в крови – гипогликемическим приступом. Такие приступы возникают после длительного голодания и имеют эпизодический характер. Это связано с прерывистой секрецией инсулина опухолью поджелудочной железы. 3 В основном клинические проявления инсулиномы имеют неврологический характер, так как глюкоза является основным питательным веществом для головного мозга. Для этого состояния характерны следующие симптомы:
- слабость,
- спутанность сознания,
- потливость и бледность,
- учащенное сердцебиение,
- нарушение зрения,
- изменение поведения,
- мышечная слабость,
- чувство страха и голода.
Когда уровень сахара в крови становится очень низким, это может привести к более тяжелым проявлениям: потере сознания, коме и судорогам. 1 Для больных с инсулиномой характерна триада Уиппла – комплекс из 3 симптомов, необходимых для постановки диагноза инсулинома:
- Симптомы возникают во время голодания;
- Гипогликемия крови;
- Симптомы можно купировать (предотвратить) внутривенным введением глюкозы или употреблением в пищу углеводов (источников глюкозы).
Злокачественные инсулиномы имеют дополнительные симптомы: похудение, диарея, боль в животе.
Инсулинома поджелудочной железы у детей
Инсулинома поджелудочной железы у детей проявляется такими же симптомами, как и у взрослых. Однако детям диагностируют инсулиному крайне редко: на их долю приходится около 5% от общего числа пациентов. В основном этому заболеванию подвержены люди от 30 до 55 лет.
Инсулинома у детей в ряде случаев сопровождается незидиобластозом. Незидиобластоз – врожденное заболевание, обусловленное гиперплазией (изменением ткани органа из-за увеличенного количества составляющих ее клеток) и/или гипертрофией (увеличением объема и размеров клеток) бета-клеток панкреатических островков. Следствием является тяжелая гипогликемия с судорогами и потерей сознания. Симптомы незидиобластоза могут появиться в любом возрасте, но чаще всего наблюдается у детей.
Классификация инсулиномы
В основе классификации инсулиномы лежит принцип разделения по степеням:
- 1 степень: опухоль имеет хорошо дифференцированные клетки, которые похожи на нормальные клетки поджелудочной железы;
- 2 степень: опухоль состоит из умеренно дифференцированных клеток. Данная группа опухолей занимает промежуточное положение между 1 и 3 степенью;
- 3 степень: опухоль содержит низкодифференцированные клетки, которые резко отличаются от нормальных клеток железы и имеют тенденцию к быстрому росту и распространению. 1
Инсулиномы 1 и 2 степени носят название нейроэндокринных опухолей поджелудочной железы. Для них характерен медленный рост и распространение на другие органы. Инсулиномы 3 степени называются нейроэндокринными карциномами поджелудочной железы. Они являются агрессивными, характеризуются ускоренным размножением и распространением на соседние органы. 1
Стадии нейроэндокринной опухоли поджелудочной железы
Помимо классификации НЕО ПЖ по степеням, существует ее разделение на стадии с целью определения уровня распространения рака в организме и выбора тактики лечения. 1 Наиболее часто применяется система стадирования TMN Американского объединенного комитета по раку (AJCC)1, согласно которой: 5
- T – опухоль: ее размер и протяженность. То есть, сколько места инсулинома занимает в поджелудочной железе и распространяется ли за ее пределы;
- N – лимфатические узлы: степень распространения рака на лимфатические узлы, расположенные около органа;
- M – отдаленные метастазы и их распространение в отдаленные органы (наиболее часто – в печень). 1
После букв T, M, N ставятся цифры или буквы. Более высокие числа означают, что рак продвинулся дальше. 1 Далее врач синтезирует информацию о трех вышеперечисленных позициях вместе, анализирует и выдает результат – стадию рака. Стадии НЕО ПЖ варьируют от I до IV. Чем ниже стадия, тем меньше распространился рак.
Прогноз при инсулиноме
Прогноз для пациентов, больных инсулиномой зависит от стадии распространения опухолевого процесса, степени опухоли, ее функции. Прогноз продолжительности жизни при многих заболеваниях, в том числе инсулиноме, определяют при помощи показателя «пятилетняя выживаемость». Пятилетняя выживаемость – это процент пациентов, проживших не менее 5 лет после постановки диагноза. Данный показатель высчитывается в зависимости от стадии распространения рака: 1
- Локализованная стадия: признаков выхода раковых клеток за пределы поджелудочной железы нет;
- Региональная стадия: рак распространился за пределы органа в близлежащие ткани или на лимфоузлы, расположенные вокруг;
- Отдаленная стадия: рак распространился на отдаленные органы (легкие, кости, печень).
В таблице представлена относительная выживаемость пациентов с диагнозом инсулинома в зависимости от стадии распространения опухоли:
5-летняя относительная выживаемость
Возраст пациента, общее состояние здоровья, ответ организма на проводимую терапию также оказывают большое влияние на прогноз заболевания.
Современные методы диагностики позволяют поставить диагноз на ранних стадиях и начать своевременное лечение, что позволяет улучшить прогноз и повлиять на течение болезни.
Подводя итог, инсулинома – это опухоль из панкреатических островков поджелудочной железы, секретирующая избыточное количество инсулина. Переизбыток инсулина в крови приводит к гипогликемии и неврологической симптоматике. Чаще всего заболевание носит доброкачественный характер, но необходимо помнить о вероятности перерождения инсулиномы в злокачественную форму. Профилактику данного заболевания возможно осуществить, устранив факторы риска развития болезни и придерживаясь здорового образа жизни. Ранняя диагностика и своевременно начатое лечение улучшают прогноз заболевания и увеличивают продолжительность жизни пациентов.
Статья предназначена для ознакомления и носит исключительно информативный характер. Для постановки диагноза следует обратится за консультацией к специалисту.
Инсулинома

Проявляется в виде гипогликемического приступа (уровень содержания глюкозы в крови низко падает).
Инсулиномы зачастую образовываются в поджелудочной железе, в редких случаях инсулиномы могут поражать печень или толстый кишечник. Опухоль, имеющая вид инсулиномы, как правило, поражает людей, возрастом от 25 до 55 лет, у детей практически не встречается. В некоторых случаях инсулиномы могут свидетельствовать о множественном эндокринном аденоматозе.
Патогенез гипогликемии при инсулиноме
Инсулинома — это опухоль, которая вырабатывает гормон. В силу того, что раковые клетки при инсулиноме имеют неправильное строение, они функционируют не стандартным образом, за счет чего уровень глюкозы в крови не регулируется. Опухоль вырабатывает много инсулина, который в свою очередь, снижает концентрацию глюкозы в крови. Гипогликемия и гиперинсулинизм являются главными патогенетическими звеньями заболевания.
Патогенез инсулиномы у разных пациентов может быть похож, но симптомы развития заболевания довольно разнообразны. Такие показатели обуславливаются тем, что у каждого человека разная чувствительность к инсулину и гипогликемии. Больше всего нехватку глюкозы в крови ощущают ткани головного мозга. Это связано с тем, что головной мозг не имеет запас глюкозы, а также не может использовать жирные кислоты в качестве заменителя источника энергии.
Прогноз при инсулиноме
Если опухоль доброкачественная, то после перенесения радикального метода лечения (операции по удалению опухоли) пациент выздоравливает. Когда опухоль имеет параэндокринную локализацию, то успешным будет и медикаментозное лечение инсулиномы.
Когда опухоль имеет злокачественный характер, прогноз лечения будет более серьезным. Это зависит как от места расположения опухоли, так и от количества очагов поражения. Очень важным является успех химиотерапевтических препаратов — это зависит от каждого конкретного случая заболевания и чувствительности опухоли к препаратам. Зачастую 60% больных чувствительны к стрептозоцину, если опухоль не чувствительна к этому препарату, применяют адриамицин. Как показывает практика, успех хирургического лечения инсулиномы достигается в 90% случаев, при этом смерть во время операции наступает в 5-10%.
Симптомы инсулиномы
Основные симптомы инсулиномы — это приступы гипогликемии, которые являются следствием повышения уровня инсулина в крови больного. Как правило, такие приступы сопровождаются общей слабостью пациента, чувством усталости и частым сердцебиением. Кроме этого, больной сильно потеет, становится беспокойным и чувствует постоянный страх. Избавиться от симптомов инсулиномы временно помогает утоление чувства голода, которое также является важным признаком заболевания.
Инсулинома может протекать как с выраженными симптомами, так и со скрытыми признаками. Второй вариант более опасный для больного, такое течение инсулиномы не позволяет пациенту вовремя принимать пищу, что препятствует нормализации состояния больного гипогликемией. В связи с тем, что уровень глюкозы в крови человека падает, поведение пациента становится не адекватным, появляются довольно четкие и понятные галлюцинации. Снижение уровня глюкозы сопровождается обильным слюноотделением, потовыделением, раздвоением в глазах, что может привести к попытке больного принести окружающим физический вред для того, чтобы отнять продукты.
Если приступ не остановить, вовремя утолив голод, при дальнейшем падении глюкозы в крови у больного повышается мышечный тонус. В особых случаях может произойти приступ эпилепсии. Зрачки больного становятся большими. Дыхание и сердцебиение становятся учащенным. В том случае, когда больному не оказывается своевременная помощь, может наступить гипогликемическая кома. При этом сопутствующие симптому будут в виде потери сознания, расширенных зрачков, низкого мышечного тонуса и артериального давления, перестает выделяться пот и сбивается ритм сердца и дыхания. Как следствие таких симптомов может последовать развитие отека головного мозга.
Также гипогликемия может сопровождаться повышенной массой тела, а иногда и ожирением. Если больной находится продолжительное время в гипогликемической коме или довольно часто впадает в такие состояния, у него может развиться дисциркуляторная энцефалопатия, паркинсонизм и судорожный синдром.
Диагностика инсулиномы
Для диагностики инсулиномы применяют различные пробы в виде дозированных нагрузок на организм. Самый распространенный тест — это суточное голодание. Пациенту назначают специальную диету, в которой присутствует минимум жиров и углеводов. При такой диете, у больного инсулиномой начинают проявляться симптомы гипогликемии. Даже если проявление симптомов не начинается, уровень глюкозы в крови больного значительно повышается. Клетки опухоли начинают самостоятельно вырабатывать инсулин, в не зависимости от того, в каком количестве содержится глюкоза в крови. Таким образом, происходит снижение уровня глюкозы и повышение уровня инсулина. Диагностика таким способом позволяет определить инсулиному на 100%.
Еще один метод диагностики — инсулиновый тест. Пациенту вводят инсулин в кровь, за счет чего начинают проявляться симптомы или приступы гипогликемии. Результативность теста так же высока, как и диагностика с голоданием. Однако есть один существенный недостаток: у больного в результате такого теста развивается гипогликемия или нейрогликопения. Такие пробы можно проводить исключительно в режиме стационарного обследования.
Тест, провоцирующий выработку инсулина в крови, так же используют для диагностики инсулиномы. Пациенту внутривенно вводят глюкозу или глюкагон, который провоцирует выработку инсулина. Более результативным является введение глюкозы и кальция, в силу того, что повышенная выработка инсулина у больных инсулиномой выше, чем у здоровых людей только на 60-80%. При такой диагностике не происходит развитие гипогликемии за счет инфузии глюкозой.
Чтобы точно диагностировать инсулиному и не спутать ее с такими заболеваниями, как надпочечниковая недостаточность, тяжелое поражение печени, экстрапанкреатическими злокачественными опухолями, болезнями, связанными с накоплением гликогена и заболеваниями ЦНС — используют данные клинических и лабораторных исследований, соответствующие каждой группе заболеваний. Проведение тестов на инсулин и тощаковая диета помогают разграничить инсулиному и другие заболевания, имеющие схожие показатели.
Кроме этого, необходимо диагностировать инсулиному как токсическую или органическую. Токсическая инсулинома может быть алкогольной или медикаментозной, вызванной приемом препаратов, понижающих уровень глюкозы в крови.
После того, как был определен тип инсулиномы, необходимо определить ее место нахождения, а также размер опухоли. Для этих целей используют компьютерную томографию и магниторезонансное обследование, также может быть использовано ультразвуковое обследование. Для определения локализации опухоли могут быть использованы диагностическая лапароскопия или лапаротомия.
Лечение инсулиномы
Инсулинома крупных размеров — это опухоль, имеющая характерный красно-коричневый цвет. Лечение инсулиномы предусматривает два метода: радикальное и консервативное.
Радикальное лечение
Под радикальным лечением понимается хирургическое вмешательство с целью удаления опухоли. Пациент может добровольно отказаться от операции по удалению опухоли. Также оперативное лечение не применяется при наличии сопутствующих соматических проявлений тяжелого характера.
При расположении опухоли в хвостовой части поджелудочной железы операцию выполняют с отсечением части тканей органа и удалением опухоли. В тех случаях, когда инсулинома доброкачественная и находится в теле или головке щитовидной железы, проводят энуклеацию (вылущивание опухоли). Когда опухоль злокачественная с множественными очагами поражения и при невозможности ее полного удаления, применяют способ лечения медикаментами. Медикаментозный способ лечения предусматривает прием таких препаратов, как диазоксид (прогликем, гиперстат) или октреотид (сандостатин). Прием этих препаратов приводит к снижению выработки инсулина, а также подавлению приступов гипогликемии.
Консервативное лечение
При консервативном лечении инсулиномы преследуют следующие результаты: купирование и профилактика гипогликемии, а также воздействие на опухолевый процесс.
В тех случаях, когда лечение радикальным методом невозможно, например, опухоль злокачественная с множественными очагами поражения, назначается симптоматическая терапия. Такая терапия включает в себя частый прием углеводов. Если нет возможности нормализовать уровень выработки инсулина медикаментами, больного определяют на химиотерапию, после чего на полихимиотерапию.
Узнать, в каких клиниках проводят лечение инсулиномы в Москве, вы легко можете на нашем сайте.
Данная статья размещена исключительно с целью ознакомления в познавательных целях и не является научным материалом или профессиональным медицинским советом. За диагностикой и лечением обратитесь к врачу.
Введите ваши данные, и наши специалисты свяжутся с Вами, и бесплатно проконсультируют по волнующим вас вопросам.
Инсулинома
Инсулинома - это вид эндокринной опухоли поджелудочной железы, возникающей из островковых клеток. Среди всех случаев, инсулиномы 80% имеют одиночный узел и при их выявлении можно достичь излечения. Только 10% инсулином злокачественные. Инсулинома случается с частотой 1/250 000. Средний возрастной показатель составляет 50 лет, за исключением случаев множественной эндокринной неоплазии Множественная эндокринная неоплазия 1 типа (синдром Вермера) Множественная эндокринная неоплазия 1 типа (синдром Вермера) представляет собой наследственный синдром, характеризующийся гиперплазией или иногда аденомами околощитовидных желез и опухолями. Прочитайте дополнительные сведения (МЭН) 1-го типа (около 10% от общего числа инсулином), которые выявляются после 20-ти лет. Инсулиномы при синдроме Вермера чаще бывают множественными.
Скрытое введение экзогенного инсулина может провоцировать эпизоды гипогликемии, напоминая картину инсулиномы.
Симптомы и признаки инсулиномы
Гипогликемия при инсулиноме развивается натощак. Симптомы гипогликемии, возникнувшей вследствие инсулиномы, могут развиваться незаметно и подчас имитируют различные психиатрические и неврологические расстройства. К нарушениям функций ЦНС относятся головная боль, спутанность сознания, расстройства зрения, мышечная слабость, параличи, атаксия, выраженные изменения личности; возможно прогрессирование с потерей сознания, развитием судорог и комы.
Часто проявляются симптомы повышенной симпатической активности (общая слабость, дрожь, сердцебиение, потливость, голод, повышенная возбудимость).
Диагностика инсулиномы
В ряде случаев – содержание С-пептида и проинсулина
При развитии симптомов необходимо оценить уровень глюкозы в сыворотке крови натощак. При наличии симптомов гипогликемии (уровень глюкозы 55 мг/дл [3,0 ммоль/л]) или при их отсутствии (уровень глюкозы 40 мг/дл [2,2 ммоль/л]), необходимо оценить уровень инсулина в одновременно взятом образце крови. Гиперинсулинемия > 6 мкЕД/мл (42 пмоль/л) указывает на наличие инсулин -опосредованной гипогликемии; на то же указывает отношение содержания инсулина в сыворотке к содержанию глюкозы в плазме > 0,3 (мкЕД/мл)/(мг/дл) (38,2 при использовании единиц СИ [пмоль/л]/[ммоль/л]).
Инсулин секретируется в форме проинсулина, состоящего из альфа-цепи и бета-цепи, соединенных С-пептидом. Т. к. инсулин промышленного изготовления содержит только бета-цепь, тайное введение препаратов инсулина можно обнаружить путем измерения уровня С-пептида и проинсулина. У пациентов с инсулиномой содержание С-пептида составляет ≥ 0,6 нг/л (0,2 нмоль/л), а проинсулина ≥ 5 пмоль/л. При тайном применении препаратов инсулина уровень этих показателей в норме или снижен.
симптомы появляются натощак;
симптомы появляются при гипогликемии;
употребление углеводов уменьшает симптомы.
Содержание гормона следует оценивать как описано выше, когда у пациента возникают клинические проявления.
Если компоненты триады Уиппла не наблюдаются после периода голодания и уровень глюкозы в плазме после периода ночного голодания составляет > 50 мг/дл ( > 2,8 ммоль/л), можно провести тест подавления выработки С-пептида. При инфузии инсулина (со скоростью 0,1 ЕД/кг/час) у больных с инсулиномой не отмечается снижения содержания С-пептида до нормального уровня ( ≤ 1,2 нг/мл [ ≤ 0,40 нмоль/л]).
Эндоскопическое УЗИ обладает чувствительностью > 90% в выявлении опухолевого очага. Также может применяться позитронная эмиссионная томография (ПЭТ) КТ не обладает доказанной информативностью; в проведении артериографии или селективной катетеризации воротной и селезеночной вен, как правило, необходимости не возникает.
Лечение инсулиномы
Диазоксид и иногда октреотид для коррекции гипогликемии
Частота полного излечения при хирургическом лечении достигает 90%. Одиночная инсулинома небольших размеров на поверхности или неглубоко от поверхности поджелудочной железы, как правило, может быть энуклеирована хирургически. При одиночной аденоме больших размеров или глубоко расположенной, которая локализуется в теле или хвосте поджелудочной железы, при множественных образованиях тела и/или хвоста, либо если инсулиному не удается обнаружить (это редкий случай), проводится дистальная субтотальная панкреатэктомия. В менее чем в 1% случаев инсулинома имеет эктопическое расположение в околопанкреатических тканях – в стенке двенадцатиперстной кишки, перидуоденальной области и может быть выявлена только при тщательном поиске в течение хирургического вмешательства. Панкреатодуоденэктомия (операция Уиппла) проводится при операбельных злокачественных инсулиномах проксимальной части поджелудочной железы. Тотальная панкреатэктомия проводится в случаях, когда предшествующая субтотальная панкреатэктомия не оказала эффекта.
При длительно сохраняющейся гипогликемии можно назначить диазоксид в начальной дозе 1,5 мг/кг перорально 2 раза в день в комбинации с натрийуретиком. Дозу можно повышать до 4 мг/кг. Эффективность аналога соматостатина - октреотида (100-500 мкг подкожно 2-3 раза в день) вариабельна, к его назначению можно прибегнуть у пациентов с длительно сохраняющейся гипогликемией, не отвечающей на лечение диазоксидом. При хорошем эффекте лечения пациентов можно переводить на лекарственную форму октреотида длительного действия и вводить его внутримышечно 20–30 мг 1 раз в месяц. На фоне применения пациентами октреотида может возникать необходимость дополнительного приема препаратов панкреатина, т. к. происходит подавление панкреатической секреции. К другим препаратам, обладающим умеренным и вариабельным подавляющим действием на секрецию инсулина , относятся верапамил, дилтиазем и фенитоин.
Если симптоматика не поддается контролю, можно предпринять пробную химиотерапию, однако ее эффективность ограничена. При назначении стрептозоцина вероятность достижения эффекта составляет 30–40%, в комбинации с 5-фторурацилом – 60% (длительность ремиссии до 2 лет). Другие средства лечения – доксорубицин, хлорозотоцин, интерферон. Проводится изучение действия современных схем химиотерапии, включающих эверолимус, препараты на основе темозоломида или сунитиниб, на инсулиномы.
Основные положения
Примерно 10% инсулином являются злокачественными, но все они провоцируют гипогликемию натощак.
Содержание глюкозы и инсулина следует измерять в момент появления симптомов (спонтанного, либо при нахождении в стационаре на фоне голодания).
Эндоскопическое УЗИ обладает чувствительностью > 90% в выявлении опухолевого очага; с этой целью также проводится позитронно-эмиссионная томография (ПЭТ), в то время как КТ не обладает достаточной информативностью.
Около 90% инсулином можно удалить хирургически.
Коррекция проявлений гипогликемии возможна путем назначения диазоксида и иногда октреотида.
Авторское право © 2022 Merck & Co., Inc., Rahway, NJ, США и ее аффилированные лица. Все права сохранены.
Инсулинома
В норме расположенные в поджелудочной железе бета-клетки секретируют инсулин в ответ на повышение уровня сахара в крови, что происходит после приема пищи. Инсулин помогает организму усваивать углеводы и поддерживает нормальный уровень сахара в крови.
Что такое инсулинома?
Инсулинома – нейроэндокринная опухоль, возникающая из бета-клеток поджелудочной железы и продуцирующая повышенное количество инсулина. Более чем в 90% случаев инсулиномы - доброкачественные опухоли, то есть они не образовывают метастазы. В редких случаях инсулинома может метастазировать, в основном в печень.

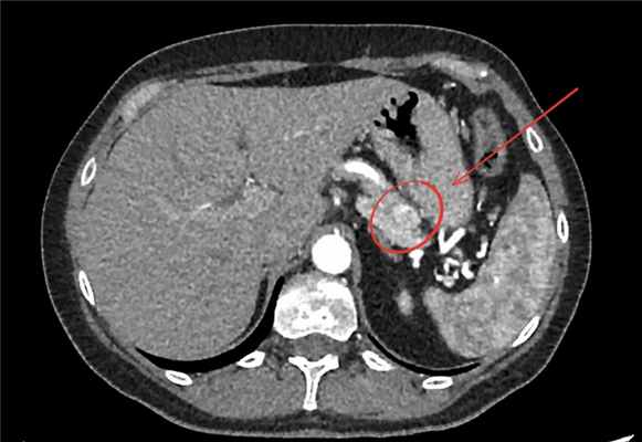
Рис.1 Инсулинома на компьютерной томографии
Причины появления инсулиномы
В большинстве случаев инсулинома возникает спорадически, то есть случайно. В некоторых случаях (у одного из 14 пациентов) инсулинома является проявлением наследственного синдрома, называемого MEN 1 типа (синдром множественных эндокринных неоплазий первого типа).
Симптомы инсулиномы
Поскольку инсулинома выделяет повышенное количество инсулина, это приводит к снижению уровня сахара в крови ниже нормальных значений. Развивается гипогликемия, которая проявляется такими симптомами, как:
учащенное сердцебиение, чувство тревоги,
повышенная возбудимость, судороги,
сонливость, потливость и бледность,
головная боль, спутанность сознания,
угнетение сознания вплоть до комы.
Чаще всего такие симптомы возникают на фоне длительного голодания и в утренние часы, однако могут появиться и в другое время суток. Как правило, употребление пищи, богатой углеводами, облегчает вышеперечисленные симптомы.
Насколько распространены инсулиномы?
Инсулинома - редкая опухоль. По статистике регистрируется 1 случай на 250 000 человек населения в год.
Диагностика инсулиномы
Наличие инсулиномы можно заподозрить по клиническим проявлениям (см. выше). В таком случае возможно проведение теста с голоданием, во время которого выполняется несколько контрольных замеров уровня сахара в крови. Таким образом подтверждается гипогликемическое состояние. Также определяется уровень инсулина, проинсулина и С-пептида в крови.
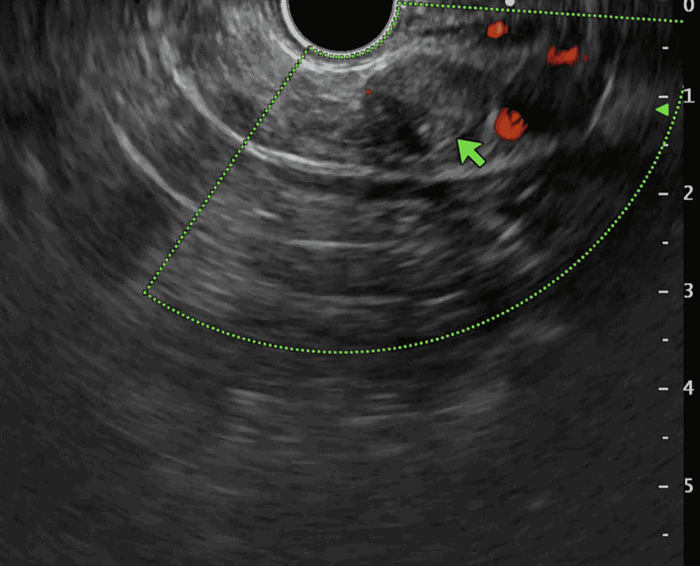
Выполнение КТ или МРТ с контрастированием помогает выявить инсулиному в поджелудочной железе и точно определить ее местоположение. Однако, в некоторых случаях обнаружение инсулиномы на КТ или МРТ может быть затруднительным. Тогда используется эндоультрасонография или эндоскопическое УЗИ.

Рис.2 Инсулинома на эндоскопическом УЗИ
Лечение инсулиномы
Лечение доброкачественной инсулиномы, как правило, хирургическое. Операция выполняется абдоминальными хирургами. Объем операции зависит от размера и расположения опухоли:
иногда можно сделать небольшую операцию, во время которой инсулинома вылущивается из ткани железы (энуклеация)
в других случаях операция заключается в резекции (удалении) части железы вместе с находящейся в ней инсулиномой
Перед операцией при необходимости проводится медикаментозная коррекция уровня сахара в крови.
В случае наличия метастатического варианта инсулиномы (злокачественный вариант) решение о лечении принимается командой из нескольких специалистов. Как правило, лечение в такой ситуации комплексное и сочетает хирургию и лекарственное лечение. Цель хирургического лечения – максимально уменьшить опухолевую массу в организме, таким образом снизив секрецию инсулина. Лекарственная терапия направлена на купирование симптомов и подавление роста оставшейся в организме опухоли. Для лекарственной терапии используют аналоги соматостатина (октреатид, ланреотид), эверолимус, сунитиниб и классические химиотерапевтические препараты.
Автор статьи: Черных Максим Александрович (врач - онколог)
Оформите заявку на сайте, мы свяжемся с вами в ближайшее время и ответим на все интересующие вопросы.
Инсулинома
Инсулинома представляет собой опухолевидное образование, которое формируется из β-клеток островкового аппарата поджелудочной железы и вызывает избыточную продукцию инсулина (биологически активного вещества, регулирующего углеводный обмен), приводящую к возникновению гипогликемии – патологического состояния, характеризующегося снижением уровня содержания глюкозы в крови ниже 2,77 ммоль/л.
Причины инсулиномы
Этиогенез данной патологии не выяснен. Считается, что неопластические изменения тканей поджелудочной железы ассоциированы с мутацией, которая происходит в соматической клетке и приводит к возникновению клона участка органа с отличающимся от нормальных клеток генотипом.
Патогенез гипогликемии при инсулиноме

В организме здорового человека при снижении концентрации глюкозы в крови уменьшается продукция инсулина и его поступление в кровоток. В клетках поджелудочной железы, пораженных опухолью, регуляторный механизм нарушается, и секреция инсулина не подавляется – это явление приводит к возникновению гипогликемического синдрома. Больше всего от данного патологического состояния страдает головной мозг – для его клеток глюкоза является основным источником энергии. При гипогликемии снижается активность нейронов, происходит выброс в кровеносное русло контринсулярных гормонов, изменяется функциональная деятельность мозга и развиваются дистрофические изменения центральной нервной системы.
Симптомы инсулиномы
Практикующие специалисты выделяют в течении опухолевого процесса фазы относительного благополучия, сменяющиеся периодическими выраженными проявлениями гипогликемического синдрома и избыточного содержания в крови адреналина. Латентный период заболевания характеризуется появлением у пациента повышенного аппетита, ожирения и признаков избыточной выработки инсулина – общей слабости, сонливости, эпизодической спутанности сознания.
Приступ острой гипогликемии чаще всего развивается в утреннее время, на голодный желудок – пациенты отмечают появление:

- сильной головной боли;
- слабости мышц;
- чувства страха;
- расстройства координации движений;
- спутанности сознания;
- холодного пота;
- эмоциональной нестабильности;
- галлюцинаций;
- тремора;
- учащения сердечных сокращений;
- ощущений жжения, покалывания, ползания мурашек.
Прогрессирование приступа сопровождается эпилептическим припадком, потерей сознания, комой.
Хроническая гипогликемия вызывает дисфункцию нервной системы. Между приступами у пациентов наблюдается мышечная боль, нарушение остроты зрения и памяти, апатия, снижение умственных способностей, утрата профессиональных навыков, у мужчин – импотенция.
Диагностика инсулиномы
Для диагностирования и клинического разграничения инсулиномы от гипопитуитаризма, гипокортицизма, опухоли надпочечниковых желез, галактоземии, алкогольной и лекарственной гипогликемии, демпинг-синдрома используются итоговые данные:

- Инсулиносупрессивного теста – для выявления инсулин-резистентности.
- Функциональной пробы с голоданием – для выявления триады Уиппла: снижения глюкозы крови ниже 2,77 ммоль/л, развития нервно-психических расстройств, купирования приступа приемом глюкозы.
- Сцинтиграфии – для визуализации тканей и оценивания их функциональности после введения в организм радиоактивных изотопов. и мочи – для оценивания общего состояния организма пациента. – для определения уровня содержания глюкозы, инсулина, соматотропина, С-пептида, норадреналина, кортизола, глюкагона.
- Энцефалографии, необходимой для изучения биоэлектрической активности головного мозга и выявления эпилептических очагов, опухолевых и воспалительных процессов.
- Неврологического обследования – для выявления: характерных патологических феноменов Бабинского, Россолимо, Маринеску-Радовича, неравномерности брюшных рефлексов, нистагма, нарушения зрачковых реакций на свет, асимметрии сухожильных и периостальных рефлексов. и брюшных органов – для оценивания их состояния и обнаружения изменения структуры тканей.
- Магниторезонансной томографии поджелудочной железы – для определения места положения опухолевидного образования и выявления наличия метастаз.
- Селективной ангиографии – для оценивания целостности и структуры сосудистой сетки и забора крови из портальных вен.
- Диагностической лапароскопии – малоинвазивного метода, позволяющего специалисту провести детальное визуальное исследование внутренних органов.
Методы лечения

При инсулиноме применяются хирургические методы, их объем и техники зависят от локализации и размеров опухоли – могут быть выполнены:
- инсулиномэктомия – полное удаление новообразования;
- резекция поджелудочной железы – панкреатодуодельная либо дистальная;
- панкреатэктомия – энуклеация органа.
Для оценивания эффективности оперативного вмешательства в ходе его проведения проводят динамическое определение концентрации глюкозы крови. Приблизительно 80% пациентов после удаления опухоли выздоравливают. В послеоперационном периоде могут развиться осложнения – свищи поджелудочной железы, панкреатит, перитонит, панкреонекроз, гнойное воспаление органов брюшной полости.
При невозможности провести операцию, проводят консервативную терапию, целью которой является купирование и профилактика гипогликемии – пациенту назначают гипер-гликемизирующие средства. Наличие злокачественного новообразования требует проведения химиотерапии, однако прогноз в этом случае неблагоприятен – летальный исход наступает в течение 2-х лет.
Пациенты, имеющие в анамнезе диагноз «Инсулинома», должны находиться под диспансерным наблюдением невропатолога и эндокринолога.
Читайте также:
