Катетерная радиочастотная аблация при фасцикулярной желудочковой тахикардии
Добавил пользователь Евгений Кузнецов Обновлено: 27.01.2026
Желудочковая тахикардия это ≥ 3 последовательных желудочковых комплексов с частотой ≥ 120 ударов в минуту. Симптомы зависят от длительности и могут варьировать от их полного отсутствия до ощущения сердцебиения, коллапса гемодинамики и смерти. Диагностируется по электрокардиографии. Лечение продолжительных эпизодов проводится посредством кардиоверсии или антиаритмиков, в зависимости от симптомов. При необходимости проводится долгосрочное лечение посредством имплантируемого кардиовертера-дефибриллятора.
Некоторые эксперты используют для верификации желудочковой тахикардии (ЖТ) частоту ритма ≥ 100 ударов в минуту. Повторяющиеся желудочковые ритмы с меньшей частотой называются ускоренными идиовентрикулярными ритмами, или медленной ЖТ; как правило, они являются благоприятными и не требуют лечения при отсутствии клинической симптоматики.
Большинство пациентов с ЖТ имеют значимое заболевание сердца, в частности перенесенный инфаркт миокарда Острый инфаркт миокарда (ИМ) Острое поражение миокарда - это миокардиальный некроз в результате резкой обструкции коронарной артерии. Симптоматика данных состояний включает дискомфорт в грудной клетке, сопровождающийся. Прочитайте дополнительные сведенияЖелудочковая тахикардия может быть мономорфной и полиморфной, а также неустойчивой и устойчивой.
Мономорфная ЖТ: одиночный патологический фокус или механизм риентри и регулярные, идентичные по морфологии QRS комплексы
Полиморфная ЖТ: нескольких различных фокусов или дополнительных путей и неправильной формы QRS комплексы
Неустойчивая ЖТ: длится < 30 секунд
Устойчивая ЖТ: продолжительность ≥ 30 секунд или меньше вследствие гемодинамического коллапса
ЖТ часто переходит в фибрилляцию желудочков Фибрилляция желудочков (ФЖ) Фибрилляция желудочков вызывает нескоординированное дрожание желудочков с отсутствием эффективного сокращения. Она вызывает незамедлительное синкопе и смерть в течение нескольких минут. Лечение. Прочитайте дополнительные сведенияСимптомы и признаки желудочковой тахикардии
Короткая по длительности или с медленной частотой желудочковая тахикардия может быть асимптомной. Устойчивая ЖТ почти всегда симптомная, вызывающая сердцебиения, симптомы недостаточности гемодинамики или внезапную сердечную смерть.
Диагностика желудочковой тахикардии
Диагноз желудочковой тахикардии устанавливается по ЭКГ (см. рисунок Желудочковая тахикардия с широкими QRS Желудочковая тахикардия с широкими QRS. ). Любая тахикардия с широкими QRS комплексами (QRS ≥ 0,12 секунды) должна рассматриваться как ЖТ пока не доказана другая тахикардия.
Диагноз подтверждается при наличии на ЭКГ диссоциации зубцов Р, сливных комплексов или наджелудочковых «захватов», униформности векторов QRS в грудных отведениях (конкордантности) с дискордантным вектором Т-волны (противоположные векторы QRS), и расположении оси QRS во фронтальной плоскости в северо-западном квадранте. Дифференциальный диагноз проводится с суправентрикулярной тахикардией Пароксизмальная суправентрикулярная тахикардия (СВТ), включая синдром Вольфа-Паркинсона- Уайта В возникновении наджелудочковых тахикардий по механизму риентри (НЖТ) участвуют электрические проводящие пути, расположенные выше бифуркации пучка Гиса. У пациентов возникают эпизоды внезапного. Прочитайте дополнительные сведения из-за блокады ножек пучка Гиса или через дополнительный путь проведения (см. рисунок Модифицированные критерии Бругада для желудочковой тахикардии Модифицированные критерии Бругада для желудочковой тахикардии ). Однако по причине того, что некоторые пациенты переносят ЖТ удивительно хорошо, заключение о том, что хорошо переносимая тахикардия с широкими комплексами, вероятно, является суправентрикулярной, является ошибкой. Использование лекарств, подходящих для лечения суправентрикулярной тахикардии (например, верапамил, дилтиазем) у пациентов с ЖТ, может вызвать гемодинамический коллапс и смерть.
Здравый смысл и предостережения
По причине того, что некоторые пациенты переносят желудочковую тахикардию удивительно хорошо, ошибочным является заключение о том, что хорошо переносимая тахикардия с широкими комплексами, вероятно, является суправентрикулярной.
ОСОБЕННОСТИ ЭЛЕКТРОФИЗИОЛОГИЧЕСКОЙ ДИАГНОСТИКИ И РАДИОЧАСТОТНОЙ КАТЕТЕРНОЙ АБЛАЦИИ У ПАЦИЕНТОВ С ФАСЦИКУЛЯРНОЙ ТАХИКАРДИЕЙ
Annotation
To clarify mechanisms of origin of fascicular tachycardias, to select an optimal method of their electrophysiological diagnostics, and to assess potentialities of improvement of the radiofrequency ablation effectiveness, 27 patients aged 6 to 53 years (mean age 23.3±12.8 years) resistant to medical antiarrhythmic treatment were examined and operated on.
Фасцикулярная желудочковая тахикардия (ФТ) или верапамил-чувствительная идиопатическая левожелудочковая тахикардия - одна из левожелудочковых тахикардий, которые описаны у пациентов без признаков органического поражения сердца. Предполагают, что аритмогенный субстрат располагается в области перехода задней, реже - передней ветви левой ножки пучка Гиса в волокна Пуркинье.
ФТ обычно наблюдается у молодых пациентов, имеет пароксизмальный характер, редко сопровождается гемодинамическими нарушениями и имеет благоприятный прогноз. В 1979 г. D.P.Zipes с соавт. впервые описали характерную электрокардиографическую морфологию желудочковых комплексов ФТ типа блокады правой ножки пучка Гиса (ПНПГ) [22]. При возникновении ФТ из области задней ветви левой ножки пучка Гиса (ЛНПГ) электрическая ось сердца отклонена влево, передней ветви - вправо. Пароксизмы ФТ обычно эффективно купируются внутривенным введением или пероральным приемом верапамила [5, 15, 20]. Аденозин и вагусные пробы, за исключением редких случаев, не купируют ФТ [8].
Результаты профилактической антиаритмической терапии, по данным многих авторов, оказывались неудовлетворительными, особенно у пациентов с исходно выраженной симптоматикой, включающей частые приступы, пресинкопальные и синкопальные состояния [13]. Кроме того, в литературе описаны случаи непрерывно-рецидивирующей ФТ, которая приводила к развитию аритмогенной кардиомиопатии, что сопровождалось снижением фракции выброса левого желудочка (ЛЖ) и проявлением клинической картины застойной сердечной недостаточности [4, 16, 18]. Все это побудило интервенционных аритмологов к поиску альтернативных подходов к лечению данной аритмии.
С накоплением данных инвазивного исследования этой редкой формы аритмии появились новые возможности для изучения механизмов ее возникновения. Данные эндокардиального стимуляционного картирования ФТ свидетельствуют о том, что очаг тахикардии чаще всего локализуется в задненижних отделах перегородки ЛЖ, в области разветвлений задней ветви ЛНПГ. Большинство авторов склоняются к тому, что в основе ФТ лежит механизм re-entry [3, 10, 14]. У ряда пациентов с ФТ во время тахикардии регистрируется диастолический потенциал, который, возможно, отражает прохождение импульса по зоне замедленного проведения, являющегося критическим элементом существования круга re-entry [3, 10]. С другой стороны, некоторые электрофизиологи отстаивают возможность триггерного механизма, по крайней мере у части пациентов с ФТ [22]. Возможно, субстратом, или точнее, триггером ФТ могут быть ложные хорды в полости ЛЖ, которые крепятся к межжелудочковой перегородке. Гистологическое исследование ложных хорд выявило обилие продольно ориентированных волокон Пуркинье, внедряющихся в эндокард [18].
В 20% случаев индуцировать ФТ методами программируемой стимуляции предсердий или желудочков не удается. Поэтому A.Gupta с соавт. предлагают у пациентов, обратившихся в клинику с приступом стабильной ФТ, проводить РЧА сразу после поступления в клинику [7]. Авторы полагают, что таким способом, устранив необходимость индукции тахикардии, можно уменьшить число безуспешных процедур и сократить время флюороскопии и общее время процедуры.
Цель данного исследования - анализ результатов инвазивного лечения 27 пациентов с ФТ для выяснения некоторых механизмов возникновения этой формы аритмии, выбора оптимальной методики ее электрофизиологической (ЭФ) диагностики и путей повышения эффективности радиочастотной аблации.
МАТЕРИАЛ И МЕТОДЫ ИССЛЕДОВАНИЯ
За период с 1996 по 2005 гг. в отделении хирургического лечения тахиаритмий НЦССХ им. А.Н.Бакулева РАМН обследовано и прооперировано с применением катетерной методики РЧА 27 пациентов с ФТ. Всего было выполнено 30 операций РЧА. Средний возраст пациентов составил 23,3±12,8 лет (от 6 до 53 лет). Средняя продолжительность аритмического анамнеза 4,6±3,7 года. Частота пароксизмов варьировала от 3-5 раз в день до одного раза в год. Все обследованные больные ранее получали профилактическую антиаритмическую терапию, однако проведенное лечение оказалось неэффективным.
Предоперационное обследование включало стандартную ЭКГ, рентгенографию органов грудной клетки, эхокардиографию, холтеровское мониторирование ЭКГ, ЭКГ высокого разрешения, инвазивное ЭФИ. Стандартная ЭКГ пациентов на пароксизме ФТ (рис. 1) имела характерную морфологию желудочковых комплексов типа блокады ПНПГ с отклонением ЭОС влево (у 25 пациентов) или вправо (у 2 пациентов).

С целью выявления или исключения органического поражения миокарда у ряда пациентов по показаниям проводили серологическое исследование крови на наличие антител к миокардиальной ткани, коронарную ангиографию, магниторезонансную томографию, радиоизотопную сцинтиграфию миокарда, эндомиокардиальную биопсию. У 4 пациентов (14,8%) было выявлено органическое поражение миокарда (миокардит).
Электрофизиологическое исследование и радиочастотная аблация
У всех 27 пациентов инвазивное ЭФ исследование (ЭФИ) и операцию РЧА проводили одномоментно, после получения письменного согласия пациента и отмены всех антиаритмических препаратов не менее, чем за 2 суток до операции. После предварительной премедикации (10 мг морфина и 10 мг седуксена) и местной анестезии в области пункции 0,5% раствором новокаина выполняли ЭФИ. Через бедренную и подключичную вены проводили электроды в правые камеры сердца и венечный синус. Тахикардию индуцировали программированной предсердной и желудочковой (из области верхушки ПЖ) стимуляцией одиночными, двойными и тройными экстрастимулами, а также частой и сверхчастой стимуляцией. В тех случаях, когда указанным протоколом стимуляции тахикардию индуцировать не удавалось, вводили внутривенно астмопент (0,1 мл 0,05% раствора) с последующим повторением протокола стимуляции.
Для картирования ЛЖ и аблации очага аритмии использовали четырехполюсный управляемый катетер, который проводили ретроградным трансаортальным доступом. Верификацию зоны РЧА осуществляли путем стимуляционного картирования, с определением наиболее ранней зоны активации на тахикардии и регистрацией спайка «волокон Пуркинье».
У 4 пациентов с локализацией очага аритмии в области средней (2 пациента) и задней (2 пациента) ветвей ЛНПГ проводили детальное картирование ЛЖ с использованием нефлюороскопических систем электроанатомического картирования CARTOTM (Biosense Webster) и RPM™ (Boston Scientific) с целью изучения механизма аритмии и оценки роли данных систем в лечении ФТ.
Непосредственную эффективность операции определяли невозможностью индуцирования ФТ через 30-60 мин после последнего радиочастотного воздействия.
РЕЗУЛЬТАТЫ ИССЛЕДОВАНИЯ И ИХ ОБСУЖДЕНИЕ
У всех 27 пациентов во время инвазивного ЭФИ использование протоколов предсердной и желудочковой стимуляции индуцировало ФТ или фасцикулярные экстрасистолы одной морфологии, которая была идентична морфологии комплексов при клинических пароксизмах ФТ. Средняя длительность цикла тахикардии составила 353,5±59,9 мс и колебалась от 270 до 480 мс.
Программируемая стимуляция из области верхушки ПЖ одиночными (15 пациентов), парными (2 пациента) или тройными (5 пациентов) экстрастимулами индуцировала тахикардию у 22 пациентов, учащающая стимуляция - у 2 пациентов (рис. 2). Учащающей предсердной стимуляцией ФТ вызывалась у 11 пациентов (41%), из них у одного пациента индукция ФТ при правожелудочковой стимуляции была неэффективной.

У 2 пациентов ни программируемая, ни учащающая стимуляция не индуцировали стабильную тахикардию. У одного из них, однако, индуцировались фасцикулярные эхо-комплексы и короткие пробежки из 2-4 комплексов, позволившие провести адекватное активационное картирование. У другого пациента потребовалось внутривенное введение астмопента, что сопровождалось возникновением частых фасцикулярных экстрасистол. Применение активационного картирования экстрасистол в сочетании с адекватными критериями стимуляции этой области и регистрации спайка «волокон Пуркинье» позволило верифицировать и эффективно устранить очаг аритмии.
У 9 пациентов (33%) во время картирования ЛЖ происходила также спонтанная индукция стабильной ФТ, по-видимому, в результате механических манипуляций картирующим/аблационным катетером в полости ЛЖ.
Таким образом, вышеописанным протоколом стимуляции удалось индуцировать пароксизм ФТ или частые фасцикулярные экстрасистолы и провести адекватное активационное картирование у 100% пациентов. У всех пациентов тахикардия купировалась с использованием программированной или учащающей желудочковой стимуляции (рис. 3).

Для картирования и аблации ФТ использовали ретроградный доступ в ЛЖ через аорту. Некоторые электрофизиологи предлагают применять транссептальный доступ или комбинированный трансаортальный и транссептальный доступ. Однако наш опыт позволяет утверждать, что использование ретроградного трансаортального доступа в ЛЖ является оптимальным для картирования и аблации ФТ.
ЭФ характеристика ФТ у обследованных пациентов свидетельствует о том, что в большинстве случаев (97,3%) тахикардия возникала по механизму re-entry в области дистальных разветвлений ЛНПГ, однако у небольшого числа пациентов нельзя исключить и «не re-entry» механизм аритмии. У всех пациентов во время тахикардии начало желудочковой активации в зоне успешной аблации предшествовало спайку Гиса, что позволило дифференцировать ФТ от интерфасцикулярной тахикардии.
Использование нефлюороскопических систем электроанатомического картирования CARTOTM и RPM™ позволило построить изохронные карты активации и карты распространения импульса во время пароксизма ФТ показать начало активации желудочков в ограниченной зоне в нижнеапикальной или среднеапикальной области перегородки ЛЖ с последующим распространением фронта волны возбуждения по всему ЛЖ (рис. 4 - см. на цветной вкладке PDF - файл ). Определение на трехмерных картах участков регистрации короткого низкоамплитудного высокочастотного спайка волокон Пуркинье и низкочастотного позднего диастолического потенциала, а также определение времени их активации позволили проследить направление активации в отдельных элементах круга re-entry и, таким образом, установить электроанатомический субстрат аритмии (рис. 5 - см. на цветной вкладке PDF - файл ).
Ретроспективный анализ критериев, используемых для выбора зоны аблации показал, что спайк волокон Пуркинье регистрировался в зоне эффективной аблации и нередко также в соседних участках у всех 27 пациентов как при синусовом ритме, так и во время ФТ (рис. 6). В зоне эффективной аблации во время тахикардии спайк волокон Пуркинье регистрировался на 20-35 мс раньше начала желудочковой активации.

Мы не основывались на поиске наиболее раннего спайка волокон Пуркинье, так как ранее установлено, что последний нередко может регистрироваться в непосредственной близости к стволу ЛНПГ, и проведение РЧА в этой точке может быть чревато развитием блокады ЛНПГ и даже полной атриовентрикулярной блокады [1]. При этом указанная точка чаще всего не является местом наиболее ранней желудочковой активации.
У 13 пациентов (48,1%) были верифицированы критерии положительного стимуляционного картирования в области эффективной РЧА. Место успешной аблации определялось как наиболее ранняя зона у 25 пациентов (92,6%). При этом опережение желудочковой активации в ранней зоне относительно начала QRS во II отведении поверхностной ЭКГ составило от 30 до 52 мс.
Зоны неэффективной аблации нередко имели идеальное соответствие при стимуляционном картировании, следовательно, стимуляция в качестве изолированного метода определения зоны эффективной аблации ФТ не обладает высокой специфичностью, что характерно для тахиаритмий, возникающих по механизму макро re-entry.
Достоверных различий в достижении оптимальных критериев выбора зоны РЧА среди пациентов с рецидивом аритмии и без рецидива выявлено не было. Оптимальные критерии стимуляционного картирования не являлись обязательным условием для успешной аблации ФТ и их отсутствие у обследованных больных не было сопряжено с более частым рецидивированием тахикардии. Анализируя результаты исследования, можно полагать, что наиболее оптимальным методом выбора зоны радиочастотной аппликации является комбинированное применение следующих критериев: регистрация спайка волокон Пуркинье на тахикардии и на синусовом ритме, определение зоны наиболее ранней желудочковой активации и достижение оптимальных критериев стимуляционного картирования.
После радиочастотной аппликации в зоне «выхода» у ряда пациентов продолжала индуцироваться тахикардия. Повторное картирование выявляло вторую зону с адекватными критериями, по-видимому, альтернативную зону «выхода» тахикардии. В этих случаях небольшие линейные радиочастотные аппликации, проведенные от одной зоны «выхода» к другой, устраняли тахикардию со 100% непосредственной эффективностью.
У 15 пациентов зона успешной аблации находилась в нижнеапикальной области ЛЖ, у 10 - в среднесептальной (рис. 7 - см. на цветной вкладке PDF - файл ) и у 2 - в переднесептальной. В 7 случаях (23%) в начале аблации мы наблюдали появление эктопического фасцикулярного ритма (рис. 8). Анализ используемых параметров аблации показал, что среднее количество радиочастотных воздействий составило 5,2±0,7; среднее время РЧА составило 8,1±1,0 мин, средняя температура - 53,3±0,8°С, среднее время флюороскопии - 22,0±1,7 мин. Статистически достоверных различий в средних значениях указанных параметров РЧА между группами пациентов с различной локализацией очагов аритмии не выявлено.

Во время 28 процедур РЧА интраоперационных осложнений не наблюдалось. В 2-х случаях во время эндокардиального картирования ЛЖ развилась фибрилляция желудочков длительностью до 20 секунд. Синусовый ритм в обоих случаях восстановили одним разрядом наружного дефибриллятора мощностью 200 Дж. Непосредственная эффективность операции составила 100%.
У 1 пациента в раннем послеоперационном периоде (1-е сутки после операции), по данным трансторакальной эхокардиографии отмечено появление выпота в полости перикарда с сепарацией листков до 9 мм без гемодинамических нарушений, с постепенным ее рассасыванием в течение последующих 3 дней.
При сравнении дооперационных и послеоперационных электрокардиограмм во время синусового ритма появление новых фасцикулярных блокад не отмечено. Отсутствие необходимости создания блокады передней или задней ветви ЛНПГ для устранения аритмии свидетельствует о том, что в круг re-entry вовлекаются не сами ветви ЛНПГ, а лишь отдельные ее разветвления, отходящие от них волокна Пуркинье и, вероятно, желудочковый миокард между ними.
В раннем послеоперационном периоде у 4 пациентов после радиочастотного воздействия в заднеапикальной (1 пациент) или среднесептальной (3 пациента) области, наблюдалась блокада ЛНПГ с восстановлением нормальной проводимости в течение 10 минут у первого пациента и в течение 24 часов у остальных. Возможно, субстрат тахикардии был локализован в некоторой близости от ЛНПГ, поэтому эффективная РЧА может сопровождаться транзиторной блокадой ЛНПГ.
Анализ параметров РЧА при процедурах, осложнившихся транзиторной блокадой ЛНПГ, у пациентов с развитием блокады ЛНПГ по сравнению с пациентами без подобной блокады, не выявил статистически достоверных различий в среднем количестве радиочастотных аппликаций, среднем времени и температуре воздействия. Зона аблации у этих пациентов располагалась в средней трети перегородки. Из этих данных можно предположить, что развитие блокады ЛНПГ обусловлено не размерами радиочастотного повреждения, а анатомическими особенностями распределения самой левой ножки и ее ветвей по перегородке ЛЖ.
Рецидивы ФТ в послеоперационном периоде наблюдали у 4 пациентов с локализацией очага в области задней (3 пациента) и средней (1 пациент) ветви через 4 дня, 2 недели, 2 месяца и 7 месяцев после операции, соответственно. В трех случаях была проведена повторная успешная РЧА. В отдаленные сроки после повторных операций рецидивы не наблюдались. У остальных 23 пациентов за период наблюдения от 6 мес. до 7 лет после операции тахикардия не рецидивировала.
Таким образом, анализ результатов исследования показал, что эффективность процедуры РЧА в отдаленные сроки составила 96,3% с учетом проведения 3-х повторных процедур. После успешной аблации ФТ в послеоперационном периоде пациенты в антиаритмической терапии не нуждались. РЧА эффективно и безопасно устраняет ФТ и является методом выбора для лечения пациентов с симптоматичной аритмией.
Российский Научно-Практический
рецензируемый журнал
ISSN 1561-8641
Радиочастотная катетерная аблация проводящих путей сердца при тахиаритмиях
Радиочастотная аблация (деструкция) проводящих путей сердца – малоинвазивный метод радикального лечения тахикардий. Достаточно молодой и эффективный способ малоинвазивного лечения тахикардий. В основе этого метода лежит локальное (точечное) – воздействие электрическим током высокой частоты на «очаг» аритмии или участок цепи кругового движения импульса при тахикардиях.
Симптомы (проявления) заболевания:
- перебои в работе сердца,
- приступы тахикардии,
- эпизоды слабости, головокружения, болей за грудиной на фоне приступа,
- потери сознания на фоне приступа
Для проведения вмешательства пациенты госпитализируются в кардиологическое отеление стационара СПб ГБУЗ ГБ№40, перед операцией необходимо выполнить ряд обследований и сдать перечень необходимых анализов.
Операция выполняется в условиях ренгеноперационной (отделение рентгенэндоваскулярных диагностики и лечения; зав. к.м.н. С.В. Власенко) под постоянным контролем врача анестезиолога и мониторированием артериального давления и электрокардиограммы.
Процедура выполняется опытными рентгенхирургами-аритмологами А.В. Каменевым, к.м.н., А.М. Осадчим, электрофизиологами к.м.н., Т.А. Любимцевой, М.А. Вандер. Группа работает под руководством проф. РАН Д.С. Лебедева.
Процедура (операция) катетрной аблации при тахикардиях.
Радиочастотная аблация как правило не требует проведения общего обезболивания (наркоза).
Непосредственно перед аблацией проводится инвазивное электрофизиологическое исследование сердца и определяется механизм образования аритмии и её локализация. Оно осуществляется с помощью диагностических катетеров-электродов, вводимых через крупные вены (бедренная, подключичная) или артерии, позволяющих точно определить локализацию «патологического очага» аритмии.
Предварительно под местной анестезией («заморозкой»), в эти крупные сосуды вводят гемостатические интродьюсеры («трубочки»), которые позволяют защитить сосуд.
Затем с помощью специального «аблационного» электрода проводиться поиск («картирование» с использованием современного навигационного комплекса Carto 3; рис.1.) и «прижигание» очага аритмии.
Электроды доставляют в сердце и процедуру проводят под контролем рентгеноскопии (рис.2).
Операция длится от 45 до 150 минут и все зависит от расположения очага аритмии, быстрого поиска и ее глубины залегания. Как правило, на 1-2-е сутки после операции пациент может быть выписан из стационара.
![]() | ![]() |
| Рисунок 1. РЧА очага желудочковой тахикардии при электрическом шторме | Рисунок 2. Rg-стоп кадр при выполнение РЧА очага ЖТ в ЛЖ, транссептальным доступом |
Радиочастотная аблация аритмогенной зоны способна радикально излечить:
- Пароксизмальная атриовентрикулярная-узловая re-entry тахикардия.
- Пароксизмальная атриовентрикулярная реципрокная тахикардия с участием дополнительного пути проведения (синдром WPW).
- Пароксизмальная форма типичного трепетания предсердий.
- Пароксизмальная форма фибрилляции предсердий (ФП) при отсутсвии эффекта от проводимой антиаритмической терапии (эффективность до 92%).
- Персистирующая тахисистолическая ФП с неэффективностью медикаментозной терапии (эффективность первой процедуры до 67%).
- Пароксизмальная предсердная тахикардия.
- Желудочковая мономорфная (из одного очага) тахикардия.
- Желудочковая мономорная экстрасистолия с клинической симптоматикой (частая, более 7-10 тыс/сут).
Противопоказания для проведения катетерной аблации при тахикардиях:
- острые инфекционные заболевания,
- острый инфаркт миокарда,
- нестабильная стенокардия в течение 4 недель,
- хроническая сердечная недостаточность III-IV ф.к. по NYHA,
- аневризма левого желудочка с тромбом,
- тромбы в полостях сердца,
- сердечные механические протезы левых камер сердца при доступе слева.
При выполнении катетерной аблации при аритмиях частота осложнений не превышает 1%. С целью профилактики последних проводятся все необходимые мероприятия на всех этапах диагностики и лечения.
Плюсами данного метода является его малоинвазивность (малотравмотичность), как правило госпитализация не занимает более 3 дней, пациенты достаточно быстро приступают к обычному образу жизни и реабилитация не занимает более недели. Операции выполняются по квоте (ВМП) (для жителей СПб) и для их выполнения используются современное оборудование и дорогостоящие расходные материалы в рамках финансирования из федерального бюджета.
по средам с 17:00 до 19:00, аритмолога по четвергам с 15:00 до 17:00 в корпусе реабилитации, 4 этаж, кабинет 424.
Оформление в кабинете № 340 поликлиники № 68, третий этаж.
При себе иметь направление на консультацию из поликлиники, полис ОМС, паспорт и СНИЛС.
При наличии иметь медицинскую документацию (ранние выписки, ЭхоКГ, суточный монитор ЭКГ, ЭКГ с аритмией).
"Клинические рекомендации "Желудочковые аритмии у взрослых" (утв. Минздравом России)
Аритмогенная дисплазия-кардимиопатия правого желудочка.
TdP - полиморфная желудочковая тахикардия типа "пируэт" (torsade de pointes)
АДПЖ - аритмогенная дисплазия-кардиомиопатия правого желудочка
ВСС - внезапная сердечная смерть
ЖТ - желудочковая тахикардия
ЖЭ - желудочковая экстрасистолия
ИБС - ишемическая болезнь сердца
ИКД - имлпантируемый кардиовертер-дефибриллятор
КТ - компьютерная томография
ЛЖ - левый желудочек
МРТ - магнитно-резонансная томография
НПЖТ - непрерывно рецидивирующая желудочковая тахикрадия
ПЖ - правый желудочек
РЧА - радиочастотная аблация
СУИQT - синдром удлиненного интервала QT
ТЖ - трепетание желудочков
ФВ - фракция выброса
ФЖ - фибрилляция желудочков
ХМ ЭКГ - Холтеровское мониторирование ЭКГ
ЭФИ - электрофизиологическое исследование
ЭХО КГ - Эхокардиография
Термины и определения
Желудочковая экстраситолия - преждевременная (по отношению к основному ритму) электрическая активация сердца, индуцированная импульсом, источник которого находится в ножках или разветвлениях пучка Гиса, в волокнах Пуркинье или рабочем миокарде желудочков.
Желудочковая тахикардия - ускоренный ритм (как минимум 3 комплекса QRS с частотой сердечных сокращений более 100 уд./мин.), источник которого находится в ножках или разветвлениях пучка Гиса, в волокнах Пуркинье или рабочем миокарде желудочков. Устойчивой считается тахикардия, при которой длительность пароксизма равна или превышает 30 сек., а неустойчивой - менее 30 сек.
Реципрокная желудочковая тахикардия - пароксизмальная желудочковая тахикардия, обусловленная механизмом повторного входа волны возбуждения (re-entry). Данная форма тахикардии индуцируется желудочковой экстрасистолией (или желудочковыми экстрастимулами в ходе внутрисердечного электрофизиологического исследования) и может быть купирована с помощью стимуляции желудочков.
Аритмогенная дисплазия-кардиомиопатия правого желудочка - генетически детерминированное заболевание сердца, которому характерно замещение миокарда преимущественно правого желудочка (ПЖ) жировой и соединительной тканями.
Катехоламинергическая полиморфная ЖТ (Catecholaminergic polymorphic ventricular tachycardia; CPVT) - наследственное заболевание, проявляющееся пароксизмами полиморфной или двунаправленной ЖТ, возникающими на фоне физической нагрузки или эмоционального стресса, нередко протекающими с потерей сознания.
Фасцикулярная левожелудочковая тахикардия - редкая форма пароксизмальной мономорфной ЖТ, в основе которой лежит механизм re-entry с участием в цепи циркуляции волны возбуждения задненижнего разветвления левой ножки пучка Гиса.
Непрерывно рецидивирующая (непароксизмальная) ЖТ - редкая форма мономорфной ЖТ, обусловленная патологическим автоматизмом или триггерной активностью (источник тахикардии, как правило, находится в выносящем тракте правого желудочка, в зоне, расположенной непосредственно под клапаном легочной артерии; другое ее название - ЖТ из выносящего тракта правого желудочка).
Внезапная смерть - это смерть, от которой первые симптомы ухудшения состояния пациента отделены сроком, не более 1 часа, а в реальной практике этот период нередко измеряется минутами.
Первичная профилактика внезапной смерти - мероприятия, направленные на снижение риска ВСС у лиц, имеющих повышенный риск ВСС, но без анамнеза угрожающих жизни аритмий или предотвращенной остановки сердца.
Вторичная профилактика внезапной смерти - мероприятия, направленные на снижение риска ВСС у лиц, имеющих анамнез угрожающих жизни аритмий или предотвращенной остановки сердца.
Синдром Андерсена-Тавила - редкая форма заболевания, при которой удлинение интервала QT сопровождается появлением волны U, пароксизмами как полиморфной желудочковой тахикардии типа TdP, так и двунаправленной желудочковой тахикардии.
1. Краткая информация
Желудочковая экстрасистола - преждевременная (по отношению к основному ритму) электрическая активация сердца, индуцированная импульсом, источник которого находится в ножках или разветвлениях пучка Гиса, в волокнах Пуркинье или рабочем миокарде желудочков (рис. 1).

Рис. 1. Одиночная желудочковая экстрасистола (обозначена стрелкой). ПКП - полная компенсаторная пауза. 2RR - два нормальных сердечных цикла. (Холтеровская мониторная запись ЭКГ).
Термином "желудочковая парасистолия" обозначают такое состояние, при котором сердечным ритмом управляют два независимых водителя. Один из них основной (наиболее часто - синусовый узел), другой - парасистолический, расположен в желудочках [1 - 3].
Пароксизмальная мономорфная желудочковая тахикардия (ЖТ) - такая форма ЖТ, при которой морфология комплекса QRS на ЭКГ в течение пароксизма не изменяется (рис. 2).

Рис. 2. Спонтанное развитие пароксизма мономорфной желудочковой тахикардии (Холтеровская мониторная запись ЭКГ). Стрелкой обозначено сливное сокращение.
Мономорфная ЖТ протекает в виде пароксизмов с частотой сердечных сокращений от 100 (чаще от 150) до 250 ударов в минуту. По своим клиническим проявлениям, это одна из наиболее тяжелых форм нарушений ритма сердца. Высокая частота ритма во время пароксизма, особенно на фоне тяжелого органического поражения мышцы сердца, нередко приводит к стремительному развитию острой левожелудочковой недостаточности, коллапсу, аритмическому шоку, обмороку, клинической картине остановки кровообращения, что иногда определяется термином "ЖТ без пульса". ЖТ характеризуется высоким риском трансформации в фибрилляцию желудочков (ФЖ), являющуюся непосредственным механизмом внезапной сердечной смерти (ВСС). Этим определяется ее крайне неблагоприятное значение для прогноза жизни [3 - 6].
Фасцикулярная левожелудочковая тахикардия - редкая форма пароксизмальной мономорфной ЖТ, в основе которой лежит механизм re-entry с участием в цепи циркуляции волны возбуждения задненижнего разветвления левой ножки пучка Гиса. Обычно выявляется у молодых лиц, не имеющих признаков органического заболевания сердца, не имеет тяжелых клинических проявлений, не трансформируется в ФЖ. Прогноз благоприятен [7 - 11]. Комплексы QRS во время пароксизма имеют конфигурацию, характерную для блокады правой ножки пучка Гиса с отклонением электрической оси сердца влево (рис. 3).

Рис. 3. Фасцикулярная левожелудочковая тахикардия. Стрелкой обозначен синусовый "захват".
Непрерывно рецидивирующая (непароксизмальная) ЖТ - редкая форма мономорфной ЖТ, обусловленная патологическим автоматизмом или триггерной активностью (источник тахикардии, как правило, находится в выносящем тракте правого желудочка, в зоне, расположенной непосредственно под клапаном легочной артерии; другое ее название - ЖТ из выносящего тракта правого желудочка). Характерно преобладание зубцов R в левых грудных отведениях и зубцов S - в правых (рис. 4). Непароксизмальная желудочковая тахикардия обычно не имеет явных клинических проявлений, часто выявляется случайно при аускультации сердца во время врачебного осмотра, или при записи ЭКГ. Характерно ее возникновение у детей, лиц молодого возраста, не имеющих признаков органического поражения сердца. Прогноз для жизни больных благоприятен.

Рис. 4. Непрерывно рецидивирующая тахикардия из выносящего тракта правого желудочка (непрерывная запись). Цифрами обозначены интервалы между желудочковыми комплексами в миллисекундах. Стрелкой обозначено сливное сокращение.
Полиморфная ЖТ характеризуется прогрессирующими (от удара к удару) изменениями комплексов QRS по конфигурации, амплитуде и направлению преобладающих электрических отклонений. Чаще всего встречается полиморфная желудочковая тахикардия типа пируэт (Torsade de Pointes - TdP; другое название "двунаправленная-веретенообразная" ЖТ; рис. 5), возникающая при патологическом удлинении интервала QT. Одна из самых опасных форм ЖТ ввиду тяжелых клинических проявлений (гемодинамическая нестабильность) и высокого риска трансформации в ФЖ.

Рис. 5. Развитие пароксизма полиморфной желудочковой тахикардии типа Torsade de Pointes на фоне физической нагрузки у больного синдрома Романо-Уорда (фрагмент непрерывной записи суточного мониторирования ЭКГ по Холтеру).
В основе трепетания желудочков (ТЖ), так же, как и мономорфной ЖТ, лежит механизм повторного входа волны возбуждения, при котором длительность цикла re-entry существенно короче, частота ритма составляет 250 и более в 1 мин (рис. 6А).
ФЖ представляет собой частые, абсолютно некоординированные сокращения мышечных волокон. Механизмом ФЖ является re-entry, при котором фронты возбуждения изменяют пути своего движения от цикла к циклу. На ЭКГ регистрируется нерегулярная, хаотическая электрическая активность в виде полиморфных осцилляций, постоянно изменяющихся по своей конфигурации, амплитуде, продолжительности и частоте, диапазон которой составляет от 300 и выше в 1 мин (рис. 6В).

Рис. 6. Спонтанное развитие трепетания желудочков (А) с эволюцией в синусоидальную кривую (Б) и последующим переходом в фибрилляцию желудочков (В). Холтеровская мониторная запись ЭКГ, зафиксировавшая момент внезапной аритмической смерти.
1.2. Этиология и патогенез
Механизмы повторного входа волны возбуждения (re-entry; наиболее часто) или триггерная активность, инициируемая ранними или поздними постдеполяризациями, в подавляющем большинстве случаев лежат в основе желудочковой экстрасистолии (ЖЭ).
У пациентов, не имеющих структурного заболевания сердца, может отмечаться идиопатическая ЖЭ (прогноз благоприятен, лечение требуется только при плохой субъективной переносимости ЖЭ или в случае развития вторичной кардиомиопатии на фоне частой ЖЭ). Основными причинами возникновения ЖЭ являются хроническая ИБС, постинфарктный кардиосклероз, гипертрофия миокарда (обусловленная гипертрофической кардиомиопатией, артериальной гипертонией, пороками аортального клапана и др.), воспалительные заболевания миокарда, кардиомиопатии (дилатационная, гипертрофическая, аритмогенная дисплазия миокарда правого желудочка и др.), инфильтративные заболевания миокарда. ЖЭ может быть следствием гликозидной интоксикации, применения антиаритмических препаратов (прежде всего I класса, реже - III класса), нарушений электролитного баланса (гипокалемия, гипомагнемия).
При желудочковой парасистолии так называемый парасистолический очаг защищен "блоком входа" от проникновения в него электрических импульсов, генерируемых с более высокой частотой в основном водителе ритма, что является первым обязательным условием проявления парасистолии. Эта защита предотвращает "разрядку" парасистолического очага и обеспечивает для него возможность генерирования импульсов с собственной периодичностью. Блок входа всегда однонаправленный и не препятствует выходу электрических импульсов из парасистолического фокуса.
В абсолютном большинстве случаев в основе пароксизмальной мономорфной ЖТ лежит механизм re-entry. Формирование условий для возникновения феномена re-entry в миокарде желудочков, в виде зон замедленного проведения возбуждения, участков мышцы сердца, неоднородных по величине рефрактерных периодов, обычно связано со значительными патологическими изменениями в миокарде. Вот почему пароксизмальная ЖТ в подавляющем большинстве случаев осложняет течение тяжелых заболеваний сердца, таких как ИБС, особенно при наличии постинфарктных рубцов и хронической аневризмы левого желудочка, воспалительных заболеваний миокарда, кардиомиопатий (дилатационная, гипертрофическая, аритмогенная дисплазия-кардиомиопатия правого желудочка и др.), инфильтративных заболевания миокарда и др.

Рис. 7. Рецидивирующие эпизоды желудочковой тахикардии типа torsade de pointes на фоне предсердно-желудочковой блокады III степени. Синусовая тахикардия предсердий (зубцы P с частотой 95 - 105 в мин.) диссоциирует с ритмом желудочков с частотой 28 - 35 в мин. Значения интервала QT составляют 550 - 620 мс.
При отсутствии патологического удлинения интервала QT, полиморфная ЖТ наиболее часто бывает следствием острой ишемии миокарда, прежде всего острого инфаркта миокарда, а также других форм острого повреждения миокарда.
В настоящее время выделяют две основные причины врожденных желудочковых нарушений ритма сердца - так называемую "первичную электрическую болезнь сердца" ("primary electric heart disease"), которую обнаруживают у лиц, не имеющих признаков органической патологии сердечно-сосудистой системы, и врожденные структурные заболевания сердца.
Основной причиной генетически детерминированных желудочковых аритмий при "первичной электрической болезни сердца" является дисфункция ионных каналов и насосов, играющих важнейшую роль в процессах деполяризации и реполяризации. В англоязычной литературе данные состояния обозначают также термином "каналопатии" ("channelopathies"). К ним относят синдром удлиненного интервала QT, синдром Бругада, синдром укороченного интервала QT и катехоламинергическую полиморфную желудочковую тахикардию. Общими клиническими проявлениями данных заболеваний являются приступы потери сознания, обусловленные рецидивами желудочковой тахикардии (ЖТ), чаще TdP, случаи внезапной сердечной смерти (ВСС) при отсутствии признаков структурного заболевания сердца и наследственный характер заболевания [11 - 12].
Наследственный синдром удлиненного интервала QT (СУИQT, в англоязычной литературе - Long QT syndrome - LQTS или LQT) является наиболее частым и наиболее изученным из данных заболеваний, проявляющимся удлинением интервала QT на ЭКГ [при отсутствии других вызывающих это изменение причин], рецидивирующими синкопальными и пресинкопальными состояниями вследствие пароксизмов TdP, а также случаями ВСС [13 - 16].
Описаны следующие фенотипические формы СУИQT: синдром Романо-Уорда (Romano-Ward), синдром Джервелла и Ланге-Нильсена (Jervell and Lange-Nielsen), синдром Андерсена-Тавила (Andresen-Tawil) и синдром Тимоти (Timothy).
Наиболее распространенная форма заболевания с аутосомно-доминантным типом наследования - синдром Романо-Уорда, характерными клиническими проявлениями которого являются увеличение продолжительности интервала QT, рецидивирующие синкопальные состояния, чаще всего обусловленные полиморфной желудочковой тахикардией (ЖТ) типа пируэт, и наследственный характер заболевания. Более 90% случаев синдрома Романо-Уорда представлены СУИQT 1-го (СУИQT1), 2го (СУИQT2) и 3-го (СУИQT3) типов, имеющих особенности клинических и электрокардиографических проявлений (табл. 1, рис. 8).
Таблица 1. Клиническая характеристика основных типов наследственного синдрома удлиненного интервала QT
Случай успешной диагностики и лечения идиопатической фасцикулярной левожелудочковой тахикардии
В статье описан случай идиопатической фасцикулярной левожелудочковой тахикардии, встречающийся в клинической практике довольно редко. Фасцикулярная левожелудочковая тахикардия является гемодинамически значимой, и в 10-14% случаев может переходить в фибрилляцию желудочков. Диагностика ее трудна, так как эта тахикардия характеризуется узкими комплексами QRS. Ошибочная диагностика и неправильное лечение приводят к прогрессированию заболевания. Наиболее эффективным в лечении пациентов с фасцикулярной левожелудочковой тахикардией является оперативное лечение.
Ключевые слова
радиочастотная аблация, стимуляционное картирование, активационное картирование, идиопатическая фасцикулярная левожелудочковая тахикардия, re-entry
Статья
Введение
Социальная значимость аритмий заключается в значительном снижении качества жизни и инвалидизации населения, развитии и прогрессировании сердечной недостаточности и, в конечном счете, увеличении смертности [1]. По данным литературы идиопатическая фасцикулярная левожелудочковая тахикардия является наиболее частой формой идиопатической тахикардии из левого желудочка и составляет 10-15% от всех идиопатических желудочковых тахикардий. В основе этой тахикардии лежит циркуляция волны возбуждения в области дистальных разветвлений левой ножки пучка Гиса, в местах перехода ее в волокна Пуркинье. Данная тахикардия чаще наблюдается у лиц молодого возраста, не имеющих структурной патологии сердца, и, как правило, не является жизнеугрожающей, но в 6% случаев приводит к развитию аритмогенной кардиомиопатии 4. Так же ухудшается качество жизни больных, так как в большинстве случаев наблюдаются приступы устойчивой желудочковой тахикардии которые сопровождаются головокружением, ощущением нехватки воздуха, гипотензией, обмороками, синкопальными состояниями. Диагностика ее затруднена, т. к. эта тахикардия характеризуется относительно узкими комплексами QRS (100-120 мсек). Зачастую, при использовании только поверхностной электрокардиографии, ее невозможно отличить от суправентрикулярной тахикардии. Так как антиаритмическая терапия не дает стойкого положительного результата, методом выбора для лечения этой аритмии является эндокардиальная радиочастотная аблация, при которой положительный результат достигается в подавляющем большинстве случаев.
Обзор клинического случая
Пациентка К., 25 лет, поступила с жалобами на приступы учащенного ритмичного сердцебиения, сопровождающиеся слабостью, обморочными состояниями, падением артериального давления, возникающие при физической нагрузке, психоэмоциональном перенапряжении, курении, реже в покое. Приступы возникали 1 раз в 10 дней и купировались введением изоптина. Со слов пациентки, вышеперечисленные жалобы отмечает в течение 5 лет. В течение последних 1,5 лет ухудшение состояния в виде учащения приступов до трех раз в месяц, в связи с чем рекомендовано оперативное лечение. При поступлении в стационар поставлен диагноз: пароксизмальная наджелудочковая тахикардия, по поводу которой пациентка медикаментозные препараты не принимала, так как была стабильна.
При поступлении в стационар:
Общее состояние удовлетворительное, сознание ясное, активность полная. По данным физикального осмотра органов и систем – без особенностей.
По данным лабораторных исследований – без особенностей.
Данные инструментальных исследований:
ЭКГ: ритм синусовый, правильный, частота сердечных сокращений 90 в минуту. Нормальное положение электрической оси сердца. Длина интервалла PQ - 0,16 с., QRS - 0,04 с., QT - 0,40 с.
Эхокардиография: Левое предсердие 34 мм. Толщина межжелудочковой перегородки в диастолу(см)=0,9. Аорта восходящая, диаметр(см)=2,5, дуга 2,9 см, перешеек б/о. Левый желудочек: конечный систолический размер (см)=3,1, конечный диастолический размер (см)=4,9, конечный систолический объем (мл)=39, конечный диастолический объем (мл)= 115, фракция выброса (%)=66%. Аортальный клапан: трехстворчатый, створки тонкие, подвижные. Фиброзное кольцо - размер(мм)=19. Градиент давления пиковый (мм.рт.ст.)= 5,5 мм рт ст. Регургитации нет. Митральный клапан: створки, подвижные, движение разнонаправленное, фиброзное кольцо -размер(мм)=30. Регургитация минимальная. Пиковый градиент 4,5 . Правое предсердие, правый желудочек не расширены. Трикуспидальный клапан: створки тонкие, подвижные. Фиброзное кольцо-размер(мм)= 29-30. Регургитация минимальная. Межпредсердная перегородка интактна. Зон гипокинезии не выявлено. Заключение: Сократительная способность миокарда левого желудочка сохранена, нарушений регионарной сократимости не выявлено.


Рисунок 1. ЭКГ пациентки 25 лет, страдающей часто рецидивирующей фасцикулярной левожелудочковой тахикардией. Панель А. На рисунке представлены 12 отведений поверхностной ЭКГ при скорости записи 25 мм/сек. Приступ узкокомплексной фасцикулярной левожелудочковой тахикардии индуцированный программированной стимуляцией правого желудочка. Панель Б. На рисунке 12 отведений поверхностной ЭКГ при скорости записи 100 мм/сек. Ширина комплекса QRS составила 90 мсек.

Рисунок 2. Электрограммы пациентки 25 лет, страдающей часто рецидивирующей фасцикулярной левожелудочковой тахикардией. На рисунке сверху вниз представлены I, II, III и V1 – отведения ЭКГ, электрограммы проксимальной (ABLp) и дистальной (ABLd) пар картирующего электрода, электрограммы коронарного синуса СS1,2, СS3,4, СS 5,6, Электрограммы проксимальной (RVap) и дистальной (RVad) пар желудочкового электрода. На электрограмме дистальной пары картирующего электрода, продолжительность потенциала пре-QRS (ранней точки) составила 28 и 31 мсек.
Ход операции
Исходно регистрировался синусовый ритм. Под местной анестезией раствором новокаина 0,5%, по методике Сельдингера пунктирована левая бедренная вена с использованием интродьюсера SJM 8Fr Fast-Cath, через который в полость сердца проведен неуправляемый желудочковый четырехполюсный электрод BW Avail и установлен в верхушку правого желудочка. Под местной анестезией раствором новокаина 0,5%, по методике Сельдингера пунктирована левая подключичная вена с использованием интродьюсера SJM 8Fr Fast-Cath, через который в полость сердца проведен неуправляемый десятиполюсный электрод BW Webster и установлен в коронарный синус.
Выполнено электрофизиологическое исследование: Антеградное проведение через АВ-узел. Антеградная точка Венкебаха = 410 мс. Антеградный эффективный рефрактерный период АВ-узла=340 мс. Антеградный эффективный рефрактерный период левого предсердия = 240 мс. Ретроградное проведение с желудочков на предсердия отсутствует.
При программированной стимуляции правого желудочка с базовой длиной цикла стимуляции 450 мс. и экстрастимулом с интервалом сцепления 300 мс., индуцирован пароксизм желудочковой тахикардии с длительностью цикла 420 мс и с морфологией блокады правой ножки пучка Гиса. Проведено тщательное активационное картирование правого желудочка, относительно начала QRS комплекса. Ранняя точка не обнаружена. Тахикардия была купирована программированной стимуляцией правого желудочка одним экстрастимулом с интервалом сцепления 260 мс.
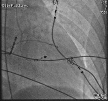
Под местной анестезией раствором новокаина 0,5% - 40,0 мл, пунктирована правая бедренная артерия с использованием интродьюсера SJM 7Fr Fast-Cath, через который проведен управляемый картирующий электрод Medtronic Marinr 7 Fr MC в полость левого желудочка. Проведено тщательное активационное картирование межжелудочковой перегородки на пароксизме тахикардии относительно начала QRS комплекса. Ранняя точка опережающая QRS комплекс на 28 мсек, обнаружена в задненижних отделах межжелудочковой перегородки.

Рисунок 3. Правая косая проекция. Рентгенограмма, иллюстрирующая расположение аблационного электрода в левом желудочке. Аблационный электрод (ABL) позиционирован в задненижнем отделе МЖП. Диагностический четырехполюсный электрод (RVA) в верхушке правого желудочка. Диагностический десятиполюсный электрод в коронарном синусе (CS).
В данной зоне, локализующейся в задненижнем отделе левой поверхности межжелудочковой перегородки, в области задней ветви левой ножки пучка Гиса, выполнено 4 радиочастотных воздействия с удовлетворительными параметрами (мощность - 30-45 Вт, температура - 55-65 С, сопротивление - 105-115 Ом), длительностью по 60 с. – с положительным эффектом.
Выполнена программированная и учащающая стимуляция левого желудочка, при которой желудочковую тахикардию индуцировать не удалось. На этом процедура завершена.
Пациентка была переведена в отделение на синусовом ритме.
Послеоперационный период
Ранний послеоперационный период прошел без осложнений. При выписке пациентке было рекомендовано:
- Ограничение физических нагрузок;
- Контроль АД, ЧСС, ЭКГ, мониторирование ЭКГ по Холтеру через 3 и 6 месяцев;
- Контрольная эхокардиография через 1 неделю.
По данным литературы, фасцикулярную левожелудочковую тахикардию с учетом локализации субстрата аритмии в разветвлениях левой ножки пучка Гиса, можно разделить на 3 группы: задняя фасцикулярная левожелудочковая тахикардия, которая составляет 90-95% случаев, передняя фасцикулярная желудочковая тахикардия и верхнеперегородочная фасцикулярная левожелудочковая тахикардия.
Заключение
Наиболее эффективным при лечении пациентов с фасцикулярной левожелудочковой тахикардией является оперативное лечение - радиочастотная аблация, при которой успешный результат достигается в 80% случаев, значительно улучшается качество жизни больных. После успешно проведенной радиочастотной аблации больные не нуждаются в антиаритмической терапии, а рецидивы в отдаленные периоды наблюдения выявляются не более чем у 15% больных.
Важнейшим преимуществом радиочастотной катетерной аблации является ее безопасность, так как она применяется в основном у молодых, работоспособных людей без структурной патологии сердца. При наличии аритмогенной дилатации полостей сердца, после устранения тахикардии наблюдается восстановление функции миокарда, что значительно улучшает прогноз у этих пациентов. Новые возможности исследования механизма и и точек приложения воздействия открываются с использованием систем электроанатомического картирования и трехмерной визуализацией [12, 13].
Литература
Extramiana F, Takatsuki S, Hayashi M, Leenhardt A. Functional bundle branch block and orthodromic reciprocating tachycardia cycle length: do not bet on accessory pathway location. Europace 2007; 9(10): 920-922.
Читайте также:


