Кисты гайморовой пазухи. Рентгенография кист гайморовой пазухи
Добавил пользователь Евгений Кузнецов Обновлено: 14.12.2025
Киста гайморовой пазухи – это доброкачественное новообразование, которое появляется на слизистой оболочке внутри околоносовых пазух. Киста гайморовой пазухи представляет собой округлый мешочек, с оболочкой в виде тонкой плёнки, заполненный жидкостью. Бывает, оболочка кисты спонтанно рвётся, и это проявляется обильными прозрачными выделениями из носа.
Киста гайморовой пазухи – это доброкачественное новообразование, которое появляется на слизистой оболочке внутри околоносовых пазух. Киста гайморовой пазухи представляет собой округлый мешочек, с оболочкой в виде тонкой плёнки, заполненный жидкостью. Бывает, оболочка кисты спонтанно рвётся, и это проявляется обильными прозрачными выделениями из носа. Ретенционные кисты в пазухах образуются из-за длительного нарушения нормального движения воздуха в полости носа на фоне вялотекущего хронического воспаления (например, аллергии или хронического гайморита). Одонтогенные кисты возникают в пазухе в ответ на воспаление в области корней зубов верхней челюсти или как реакция на установку зубных имплантов.
ЧЕМ ОПАСНА КИСТА ОКОЛОНОСОВОЙ ПАЗУХИ?
Кисты околоносовых пазух не являются опухолями, не перерождаются в злокачественные, и не представляют угрозы для жизни. Маленькая киста может находиться в пазухе и никак не проявлять себя много лет. Если киста не растёт и не беспокоит, лечения не требуется. С другой стороны, если киста занимает больше половины объёма пазухи, это приводит к нарушению вентиляции и застою слизи. Большая киста полностью закупоривает соустье пазухи, препятствует нормальному движению воздуха и оттоку отделяемого. Нередки случаи, когда на фоне острой респираторной инфекции киста гайморовой пазухи нагнаивается – возникает острый гнойный гайморит, который уже чреват осложнениями. По этой причине большие кисты рекомендовано удалять.
ЛЕЧЕНИЕ КИСТЫ ГАЙМОРОВОЙ ПАЗУХИ
Кисты околоносовых пазух можно вылечить только одним путём – хирургически удалить. Однажды образовавшись, киста уже не сможет рассосаться самостоятельно или с помощью лекарств. Если кисту лопнуть при пункции пазухи или «прижечь» лазером, она вырастет на том же месте снова. Чтобы избежать рецидива кисты, важно тщательно удалить все её оболочки. Это возможно только под контролем зрения, во время эндоскопической операции.
ЭНДОСКОПИЧЕСКАЯ ГАЙМОРОТОМИЯ В ЛОР ЦЕНТРЕ
В клинике ЛОР Центр лечение кист околоносовых пазух проводится только эндоскопическим методом по принципам FESS – функциональной эндоскопической хирургии околоносовых пазух. Этот метод подразумевает максимально щадящий подход через естественные соустья пазух, небольшие разрезы, минимальное повреждение слизистой оболочки и внутриносовых структур. Эндоскопическая операция по удалению кисты гайморовой пазухи называется эндоскопическая гайморотомия.
МЕТОДЫ ЛЕЧЕНИЯ КИСТЫ ГАЙМОРОВОЙ ПАЗУХИ
Кисты околоносовых пазух можно вылечить только одним путём – хирургически удалить. Однажды образовавшись, киста уже не сможет рассосаться самостоятельно или с помощью лекарств. Народные методы лечения (промывание носа и пазух растворами соли или лекарственных растений), спреи для носа и антибиотики – неэффективны против кисты. Безоперационными методами лечения можно на время уменьшить кисту, выпустив из неё жидкость. Если кисту лопнуть иглой при пункции пазухи или прижечь лазером, она вырастет на том же месте снова через 2-3 месяца. Чтобы избежать рецидива кисты, важно очень тщательно удалить все её оболочки. Это возможно только под контролем зрения, во время эндоскопической операции.
СОВРЕМЕННЫЕ ОПЕРАЦИИ ДЛЯ ЛЕЧЕНИЯ КИСТЫ ГАЙМОРОВОЙ ПАЗУХИ
В клинике ЛОР Центр лечение кист околоносовых пазух проводится только эндоскопическим методом по принципам FESS – функциональной эндоскопической хирургии околоносовых пазух. Эндоскопическая операция по удалению кисты гайморовой пазухи называется эндоскопическая гайморотомия. Этот метод подразумевает максимально щадящий подход через естественные соустья пазух, минимальное повреждение слизистой оболочки и внутриносовых структур. Преимущества эндоскопической операции в том, что всё делается внутри носа, — никаких отёков, разрезов, швов и рубцов на лице или под губой после неё не бывает. Эндоскоп даёт хирургу хороший обзор, широкое поле зрения и яркий свет, что позволяет удалить всю кисту полностью, не оставив оболочек.
КАК ПРОХОДИТ ОПЕРАЦИЯ:
- Анестезиолог и операционная сестра готовят пациента к операции.
- Хирург осматривает полость носа эндоскопом и идентифицирует естественное соустье верхнечелюстной пазухи на боковой стенке полости носа.
- При помощи специальных инструментов соустье пазухи расширяется приблизительно до 9-10 мм.
- Внутреннее содержимое пазухи осматривается угловым эндоскопом.
- Через расширенное соустье вводятся специальные микрощипцы, киста захватывается и удаляется целиком вместе с оболочками.
- Проводится промывание и контрольный осмотр пазухи.
- После операции в нос устанавливаются специальные дышащие губчатые тампоны.
Результатом эндоскопической гайморотомии будет восстановление нормального объёма пазухи, естественного оттока слизи и движения воздуха в ней.
Эндоскопическая хирургия используется в клинике ЛОР Центр для лечения не только кист гайморовых пазух, но и хронических синуситов любой природы, полипов и других новообразований пазух.
ЭНДОСКОПИЧЕСКАЯ ОПЕРАЦИЯ ПОКАЗАНА ПРИ ЗАБОЛЕВАНИЯХ:
- Кисты гайморовых пазух
- Полипы полости носа и полипозный риносинусит (от одиночного полипа до распространённого полипоза).
- Хронические и рецидивирующие гнойные синуситы (гайморит, этмоидит, сфеноидит, фронтит, или их сочетания – полисинуситы, пансинусит).
- Одонтогенные синуситы и инородные тела гайморовых пазух (после лечения у стоматолога и попадания цементирующего материала в пазухи).
ПОКАЗАНИЯ К ЭНДОСКОПИЧЕСКОЙ ОПЕРАЦИИ НА ПАЗУХАХ:
Не всегда кисту гайморовой пазухи, случайно обнаруженную на КТ, надо срочно оперировать. Если она занимает меньше 1/3 пазухи, не затрудняет дыхание и не вызывает боль, достаточно наблюдения у ЛОР врача. Об эндоскопическом удалении кисты надо думать, если:
- Одна или обе половины носа всегда заложены, приходится дышать ртом.
- Происходит избыточное скопление слизи в носу и носоглотке.
- Беспокоит постоянное ощущение тяжести, давления, распирания в области пазухи или головная боль.
- Возникает острый гнойный гайморит на стороне этой пазухи.
ЧТО НУЖНО ДЛЯ ПОДГОТОВКИ К ЭНДОСКОПИЧЕСКОЙ ОПЕРАЦИИ:
КТ и рентгенография в диагностике кист околоносовых пазух
Кисты придаточных пазух носа – патология, встречаемая достаточно широко. Примерно у 5-8% пациентов, направленных на компьютерную томографию головы, обнаруживаются кистозные изменения в той или иной пазухе. Если они имеют небольшой размер и не мешают дыханию, никакого лечения такие кисты не требуют. Кисты наиболее часто обнаруживаются в верхнечелюстных пазухах и могут локализоваться в любых отделах пазухи – в альвеолярной бухте, со стороны медиальной либо латеральной стенки и т. д.
Классификация кист и причины их появления
Кисты околоносовых пазух можно разделить по следующим признакам: - В зависимости от того, в какой пазухе локализованы (в верхнечелюстной, лобной, сфеноидальной, этмоидальной); - В зависимости от объема кисты (условно - малые, средние и большие кисты); - В зависимости от выраженности нарушений мукоцилиарного клиренса – нарушающие или нет; - Кисты также могут быть одонтогенными (причина их появления – воспалительный процесс в зубе, корень которого находится вблизи стенки пазухи), риногенными (причина – воспалительный процесс в полости носа); - Выделяется истинная киста пазухи, имеющая все стенки, образованные слизистой оболочкой, а также псевдокиста («ложная» киста), представляющая, по сути, расщелину слизистой оболочки, заполненную жидкостью; - По характеру содержимого кисты пазух могут быть геморрагическими (заполнены кровью или содержимым с примесью крови), абсцедирующими (содержащими гной), могут также содержать слизистый компонент. Основные причины возникновения кист – воспалительные заболевания слизистой оболочки пазух. Затем следуют воспалительные заболевания зубов, а также состояния после их лечения с нарушением целостности канала.
Признаки кист околоносовых пазух на рентгенограммах и КТ

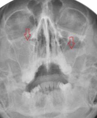
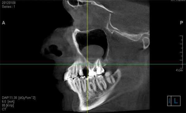
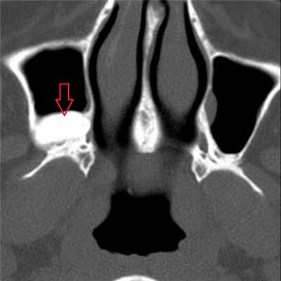
На рентгеновском снимке о наличии кисты можно говорить в случае, если в проекции пазухи имеется затемнение с краем, который может являться частью круга. Центр данного круга должен при этом находиться внутри пазухи, а не за ее пределами – в таких случаях речь идет, скорее, о наличии жидкости в пазухе (вязкого характера) или об ином экссудативном процессе. На рентгенограммах пазух кисты могут давать и картину тотального затемнения пазухи – в этом случае необходима дифференциальная диагностика с экссудативным гайморитом, муко- и пиоцеле, опухолью и т. д. На рентгенограмме определяются кисты верхнечелюстных пазух с обеих сторон. Обратите внимание на верхний край затемнения в пазухах – он ровный, имеет полукруглую форму, характерный для кист вид. В данном случае с целью уточнения размеров и локализации кист необходима компьютерная томография околоносовых пазух. Характерная для кисты верхнечелюстной пазухи картина при компьютерной томографии: обратите внимание на объемное образование в правой гайморовой пазухе, которое имеет ровные, закругленные края (отмечены стрелкой красного цвета), однородную структуру и плотность, соответствующую жидкости (+5…+15 единиц по шкале Хаунсфилда). Видно также, что выводной проток пазухи сужен, слизистая ячеек этмоидальной пазухи с правой стороны утолщена, имеет место утолщение слизистой носа – все это признаки катарального этмоидита, ринита, возникшего вследствие нарушения мукоцилиарного клиренса. Не путайте кисту верхнечелюстной пазухи с пролабирующим в полость пазухи корнем зуба (отмечен стрелкой) – на рентгенограммах очень часто тень зуба дает картину, имитирующую кистозное образование в пазухе – зачастую только с помощью КТ пазух можно различить эти два состояния. На данных изображениях также представлена киста гайморовой пазухи справа – обратите внимание на аксиальный срез (слева). Только по одному аксиальному срезу сложно сделать вывод о том, что за образование находится в полости пазухи, однако при выполнении реформаций в сагиттальной плоскости можно убедиться, что это именно киста большого размера (по характерному для кисты ровному закругленному краю, отмеченному стрелкой). Также на изображении справа видно, что слизистая оболочка гайморовой пазухи справа утолщена, а в ячейках решетчатой кости с этой же стороны визуализируется содержимое в большом количестве, выводные протоки гайморовой и этмоидальной пазух не прослеживаются. В данном случае наличие большой кисты в гайморовой пазухе спровоцировало развитие воспалительной реакции слизистой и явилось причиной правостороннего этмоидита. На изображениях можно проследить следующую патологию – часть этмоидальной пазухи пролабирует в полость носа (пролабирующая ячейка заполнена содержимым жидкостного – исходя из ее плотности – характера; отмечена стрелкой). Утолщена также слизистая верхнечелюстных пазух, резко сужены их выводные протоки (отмечены цифрой 1 на левом скане). На изображениях в аксиальной плоскости (слева), сагиттальной (в центре) и корональной (справа) плоскостях видна киста правой гайморовой пазухи. На КТ она выглядит как образование с ровными краями, жидкостной плотности (обозначена на всех сканах красными стрелками). На крайнем правом скане также цифрой 1 обозначена правая половина этмоидальной пазухи, заполненная содержимым. Имеются также признаки катарального гайморита (на левом скане) – оцените слизистую оболочку левой гайморовой пазухи – она явно утолщена. Небольшая киста гайморовой пазухи на КТ справа. Отмечена стрелками. Располагается пристеночно у задних отделов медиальной стенки и нижней стенки пазухи. Не вызывает нарушений отхождения слизистого секрета из пазухи.
Другие статьи из раздела «КТ органов дыхания и грудной клетки»
Онлайн-консультация, Расшифровка снимков, Второе мнение - информационные, а не медицинские услуги.
Для постановки диагноза и назначения плана лечения следует записаться на очный прием к специалисту
Лечение кисты носа в ЛОР клинике
Лечение кисты гайморовой пазухи носа методом рассасывания без операции.
На сайте представлены фото рентген материалы результатов успешного лечения и отзывы пациентов
Первый зафиксированный случай рассасывания кист и полипов носа, в истории медицины, принадлежит нашей клиники!
Стоит отметить что это научный доклад о лечение кисты пазух носа является единственной научной работой из России ставшей лучшим в мире методом лечения! Признанна методика лечения на профильных конференциях в Европе благодаря которой Отто Варламович Сичинава был избран почетным академиком Европейской Академией Естественных Наук.
Безоперационное лечение кист гайморовой пазухи
Впервые в истории медицины киста и полипы рассосались в Москве в нашей клинике.
Это уникальные авторские методики, получали неоднократное признание, в том числе на международных симпозиумах и съездах. В том случае, когда лечение кист пазухи носа производится в других клиниках, то это практически всегда хирургические способы и возникновение рецидива.
Первая стадия проведения лечения – это очищение слизистой оболочки пазухи и оздоровление пораженной слизистой оболочки. С этой целью используется специальный созданный нами фитодренажный спрей (их у нас восемь разновидностей), который действует, раздражая нервные рецепторы носовой полости, вызывает:
- Раскрытие естественных протоков пазух носа;
- При наличии сгустков в слизистой они разжижаются;
- Содержимое пазух выводится непосредственно из носа;
- Промывается слизистая оболочка, ее поверхность и глубоколежащие отделы слизистой оболочки, вплоть до межтканевой жидкости;
- Избавление от отека непосредственно для кисты и слизистой оболочки, при этом происходит подсушивающий эффект;
- Местный тканевой иммунитет восстанавливается;
- Слизистая оболочка восстанавливает свою жизнедеятельность, вентиляция пазух восстанавливается;
- Одна процедура дает эффективность до двух суток;
- Рассасывается разросшаяся слизистая оболочка, освобождая естественные протоки пазух;
- Затем больного обучают упражнениям, с помощью которых он может самостоятельно обработать пазухи;
- Никаких осложнений для пациентов.
Второй этап – происходит очищение пазухи в полном объеме, слизистая оболочка к этому моменту разрастается и принимает гипертрофированное значение. Врач стремится придать ей прежние размеры. С этой целью используется фитоспрей, а также особые мази, могут применяться и тампоны.
После того, как произошло непосредственно снятие отека, а слизистая оболочка приобрела свои практически естественные размеры, происходит раскрытие естественных протоков пазухи. Дальше в нос нужно закапывать различные лекарства, благодаря чему киста значительно быстрее рассасывается. Есть определенные приемы, позволяющие оказать содействие в более быстром рассасывании пазухи.
Если идет разговор с врачами, то те достаточно редко объясняют пациентам, в чем состоит вред приема сосудосуживающих средств. При длительном приеме таких лекарств люди с хроническим ринитом и многими другими подобными заболеваниями подвержены определенному риску. Лекарства для сужения сосудов в то же время сокращают и сосуды, идущие к сердцу, а потому возникает определенная опасность возникновения инфаркта миокарда.
Вылечить кисты гайморовой пазухи методом рассасывания
Предложенная методика подходит и для лечения гайморовой пазухи, и для избавления от других недугов. Не требуется делать пункцию, не используется хирургический метод вмешательства. Мы применяем консервативные-физиологические способы, которые успели доказать свою значительную эффективность.
Гайморова пазуха располагается достаточно глубоко, это полость, выстланная слизистой оболочкой, благодаря соустью она соединяется непосредственно с полостью носа. В том случае, когда в пазухе появляется киста, полости носа оказываются заложенными за счет разрастания слизистой оболочки которое естественное соустье пазух, и может возникать периодически головная боль.
Как мы проводим лечение? Так как киста любой придаточной пазухи является результатом продолжительного или хронического синусита, то на первом этапе лечения кисты гайморовой пазухи мы проводим очищение и оздоровление пораженной слизистой оболочки. Для этого мы используем разработанный нами фитодренажный спрей, существующей в 8 разновидностях. Его уникальный состав способствует:
- Раскрытию естественных протоков пазух
- Разжижению слизистого сгустка
- Выведению содержимого пазух носа
- Промывается не только поверхность, но и глубжележащие отделы слизистой оболочки вплоть до межтканевой щели
- Удаление отека разбухшей кисты и слизистой оболочки, оказание подслушивающего действия
- Стимуляция и мобилизация нервных рецепторов, обусловленные действием фитоспрея, восстанавливают физиологическую жизнедеятельность слизистой оболочки носовой полости
- Восстанавливает местный тканевый иммунитет
- Восстанавливает вентиляцию пазух и жизнедеятельность слизистой оболочки
- Действие одной процедуры продолжается в течение 2-х дней
- Не вызывает осложнений
На втором этапе лечения пазухи носа уже очищены, и врач приступает к сокращению гипертрофированной, то есть разросшейся слизистой оболочки. Для этого он применяет фитоспрей и специальные мази для носа, а также тампоны с лекарствами.
После избавления от отечно-воспалительного процесса и сокращения гипертрофии слизистой оболочки, наступает стойкое раскрытие соустий пазух. Впоследствии мы обучаем больным закапывать в нос различные лекарственные вещества, которые должны омывать и рассасывать кисту.
Врачи редко объясняют последствия длительного использования сосудосуживающих капель и спреев, поэтому укажем, что люди с вазомоторно-гипертрофическим или аллергическим ринитом, с полипозно-кистозными разрастаниями подвержены риску. Следует помнить, что сосудосуживающие капли или спреи существенному одновременно сужают и коронарные сосуды сердца, что повышает риск инфаркта миокарда.
Метод, применяемый для лечения кисты лобной и основной пазухи в нашей клинике, предполагает тщательный анализ слизистых оболочек ЛОР-органов. При этом используются авторские методики, обращение с пациентом является наиболее бережным по своему характеру.
Это уникальные авторские методики, они получали неоднократное признание, в том числе на международных симпозиумах и съездах. В том случае, когда лечение кист гайморовой пазухи производится в других клиниках, то это практически всегда хирургические способы и высокая вероятность возникновения рецидива. Большинство пациентов просто не желает для себя такого развития ситуации.
Сотрудники нашей клиники применяют наиболее инновационные по своему характеру методики. Благодаря использованию указанных способов они смогли добиться качественного изменения динамики у самого большого количества пациентов. Мы много раз представляли результаты полученных докладов на различных тематических конференциях и съездах.
Лечение основной и лобовой пазухи в нашей клинике связано с использованием определенного рода преимуществ. Киста для лобной и основной пазухи появляется при наличии синусита – на длительной или кратковременной основе. С этой целью используется специальный созданный нами фитодренажный спрей, у которого есть несколько основных разновидностей. Его состав решает сразу несколько важных по характеру задач:
- Естественные протоки пазухи отлично раскрываются;
- При наличии сгустков в слизистой они полностью разжижаются;
- Содержимое пазух выводится непосредственно из носа;
- Промыванию подлежит и поверхность носа, и отделы слизистой оболочки, располагающиеся достаточно глубоко – до межтканевой щели;
- Избавление от отека непосредственно для кисты и слизистой оболочки, при этом происходит оказание подсушивающего эффекта;
- Нервные рецепторы непосредственно восстанавливают свою чувствительность, все это во многом благодаря влиянию фитоспрея, слизистая оболочка восстанавливает свое функциональное назначение.
- Иммунитет тканей на местном уровне полностью восстанавливается;
- Слизистая оболочка восстанавливает свою жизнедеятельность, вентиляция в пределах пазухи оказывается жизнеспособной;
- Одна процедура дает эффективность до двух суток.
- Никаких осложнений для пациентов.
Второй этап – происходит очищение пазухи в полном объеме, слизистая оболочка к этому моменту разрастается и принимает гипертрофированное значение. Врач стремится придать ей прежние размеры. С этой целью используется фитоспрей, а также особые мази, могут применяться и тампоны.
После того, как воспалительный процесс оказался в полной мере убран, уменьшается воспаление слизистой оболочки одной из пазух, она возвращается к прежнему – первоначальному размеру. В дальнейшем в ходе лечения закапываются те капли, они в полной мере будут орошать кисту и способствовать ее наибольшему рассасыванию.
Предложенные нами способы подходят и для лечения гайморовой пазухи, и для избавления от других недугов. Не требуется брать пункцию, не используется хирургический метод вмешательства. Мы применяем консервативные способы, которые успели доказать свою значительную эффективность.
Киста и инородное тело в гайморовых пазухах
Не уверены в правильности поставленного вам диагноза? Прочь сомнения! Приходите в «МедикСити» и бесплатно проконсультируйтесь у н.
Консультация ЛОРа со скидкой 20%!
Замучил хронический гайморит? Страдаете от постоянного насморка? Уже потеряли всякую надежду вздохнуть свободно? Воспалительные процессы в окол.
Скидки для друзей из социальных сетей!
Эта акция - для наших друзей в "Одноклассниках", "ВКонтакте", "Яндекс.Дзене", YouTube и Telegram! Если вы являетесь другом или подписчиком стр.
Для жителей районов Савеловский, Беговой, Аэропорт, Хорошевский
В этом месяце жителям районов Савеловский, Беговой, Аэропорт, Хорошевский» предоставляется скидка 5% на ВСЕ мед.
Балашова Юлия Вячеславовна
Варнель Ольга Леонидовна
Высшая квалификационная категория, заведующая отделением оториноларингологии
Капустина Анна Александровна
Пономарева Лариса Викторовна
Высшая квалификационная категория
Пышный Дмитрий Владимирович
Высшая квалификационная категория, кандидат медицинских наук
Рамазанова Гюнай Альнияз-кызы
Кандидат медицинских наук
Мы в Telegram и "Одноклассниках"
Оториноларингология в клинике "МедикСити"
"MediaMetrics", радиостанция, программа "ЛОР-заболевания с доктором Рамазановой" (сентябрь 2019г.)
"Доктор И", ТВ-программа, ТВЦ (сентябрь 2018г.)
Киста и инородное тело в гайморовых пазухах – это характерная причина болей и воспалительных процессов в двух придаточных пазухах носа. Пазухи носа - парные воздухоносные плоскости в костях черепа, сообщающиеся с носом и занимающие практически всё пространство верхней челюсти. Данные полости выполняют множество важных функций, включая снабжение носа столь важной для сохранения иммунитета слизью. Поэтому заболевания гайморовых пазух могут привести к весьма печальным последствиям.
Киста в гайморовой пазухе
Киста в гайморовой пазухе – это доброкачественное образование, как правило, в виде пузыря с тонкими стенками, заполненного жидкостью.
Образуется киста обычно вследствие частых насморков и ринитов: выводные протоки расположенных в гайморовых пазухах слизистых желез закупориваются вследствие набухания раздражённой слизистой оболочки.
Надо заметить, что киста в гайморовых пазухах нередко никак не даёт о себе знать и выявляется случайно, при компьютерной томографии или на рентгенограмме.
Виды кисты гайморовой пазухи
Различают следующие разновидности кист гайморовой пазухи:
- Обычная, классическая киста, стенки которой состоят из клеток слизистой оболочки;
- Ложная, или псевдокиста, стенки которой - из других тканей человеческого организма. Такая киста (например, киста зуба в гайморовой пазухе) часто находится в нижней части гайморовой пазухи в результате воспаления верхней челюсти.

Видеоэндоскопия носоглотки в МедикСити


Видеоэндоскопия носоглотки в МедикСити
Симптомы кисты гайморовой пазухи
Часто бывает, что симптомы кисты гайморовой пазухи могут отсутствовать, и киста может обнаружиться совершенно случайно, при обращении пациента по совсем другой причине. Тем не менее, можно выделить определенные симптомы кисты гайморовой пазухи:
- периодические боли со стороны гайморовой пазухи, отдающие в висок и в глаза;
- непрекращающиеся боли в области головы;
- заложенный нос и выделения желтого цвета при отсутствии других простудных признаков;
- постоянные заболевания гайморовых пазух.
Разросшаяся киста представляет опасность, поскольку начинает давить на нервные окончания слизистой оболочки пазух и тем самым провоцирует постоянную мигрень. Кроме того, разросшаяся киста в гайморовых пазухах может перекрыть протоки слизи между гайморовыми пазухами и носовой полостью и тем самым спровоцировать развитие тяжёлой формы гнойного гайморита, которое может быть опасно для жизни. Поэтому очень важно при первых же симптомах заболеваний уха, горла и носа обращаться к лор-врачу.
Инородное тело в гайморовых пазухах
Инородное тело в гайморовых пазухах так же, как киста гайморовой пазухи, нередко выявляется случайно, но оказывается причиной тяжёлых форм гайморита.
Попасть в гайморовую пазуху инородное тело может либо при открытой ране, либо после пломбирования зубов (как правило, это так называемые «шестёрки» верхней челюсти). Сообщающиеся с гайморовыми пазухами зубные каналы выводят кусочки пломбировочного материала в эти придаточные полости, где они «застревают» и становятся факторами тяжёлого гнойного воспаления.
Лечения кисты в гайморовой пазухе
Чтобы решить какой способ лечения понадобится для устранения кисты гайморовой пазухи, нужно понаблюдать за ее развитием.
Если развитие кисты проходит бессимптомно, она ничем не беспокоит своего хозяина, со временем она может уменьшиться в размере и исчезнуть. Для этого безобидного вида заболевания лечения не требуется.
Если имеется киста зуба в гайморовой пазухе, то при лечении зуба, она в большинстве случаев тоже исчезает.
При прокалывании гайморовых пазух, киста прокалывается иглой, содержимое кисты убирается, и она уменьшается в размерах. Оболочка кисты остается и через некоторое время она опять может наполниться.
Но если киста начинает вас сильно беспокоить, то нужна операция удаления кисты гайморовой пазухи.
При своевременном выявлении кисты или инородного тела возможно их удаление с помощью быстрой и безболезненной хирургической методики. Высококвалифицированные врачи-оториноларингологи Многопрофильной клиники «МедикСити» помогут вам при любых заболеваниях лор-органов.
При запущенном воспалительном процессе типа гнойного гайморита киста и инородное тело из гайморовых пазух могут удаляться с помощью различных видов хирургических операций. Например, гайморотомию с успехом используют не только при попадании в гайморову пазуху инородных тел, но и для того чтобы избавиться от полипов и других новообразований.

Удаление кисты гайморовой пазухи

Удаление кисты гайморовой пазухи

Удаление кисты гайморовой пазухи
На сегодняшний день существует малоинвазивный способ: эндоскопическое удаление кисты гайморовой пазухи с помощью специальной медицинской техники через естественные полости верхней челюсти.
При эндоскопическом удалении кисты гайморовой пазухи манипуляция производится с помощью вводимого в ноздрю эндоскопа. А саму кисту убирают через соустье. Весь процесс этой малоинвазивной операции отслеживается и координируется по монитору компьютера. В таких случаях сохраняется целостность гайморовых пазух и все свойства ее слизистой оболочки. Эта операция проводится без наркоза.
В некоторых случаях удаление кисты гайморовой пазухи может быть проведено под верхней губой. Размер отверстия, через которое делается операция не более 4 миллиметров. При таком способе удаления кисты соустье остается целым и невредимым.
Однако подобные операции качественно проводятся далеко не везде, так как требуют наличия дорогостоящего медицинского оборудования и большого врачебного опыта.
Между тем, «классическая» операция способом Калдвела-Люка, со вскрытием гайморовых пазух, достаточно травматична и требует довольно длительного косметического ухода за лицом в целях послеоперационной реабилитации.
Поэтому для удаления кисты либо инородного тела из гайморовых пазух лучше обращаться в такую хорошо оснащенную клинику, как «МедикСити».
Наши врачи–оториноларингологи – это высококвалифицированные специалисты с большим опытом. У нас в клинике вам окажут быструю эффективную помощь с минимальными косметическими последствиями благодаря самому современному оборудованию от ведущих мировых производителей.
Цены на операцию по удалению кисты гайморовой пазухи вы можете посмотреть здесь.
Киста в гайморовой пазухе и синус лифтинг
Костнопластические операции с каждым годом все больше совершенствуются, так как возрастает их востребованность. По статистике дефицит костной ткани, обусловленный той.
Киста в гайморовой пазухе и синус лифтинг
Костнопластические операции с каждым годом все больше совершенствуются, так как возрастает их востребованность. По статистике дефицит костной ткани, обусловленный той или иной причиной, встречается у каждого второго посетителя стоматолога. В подавляющем большинстве случаев недостаточный объем челюсти обнаруживается перед проведением имплантации зубов. Одной из самых популярных и надежных операций по восстановлению количества кости на верхней челюсти считается синус лифтинг.

Показания для его проведения:
- Длительное отсутствие передних премоляров и моляров, которое приводит к рассасыванию костной ткани;
- Разрешившиеся воспалительные процессы, задевшие костную ткань;
- Травматические повреждения челюсти (чаще всего хирургическое удаление зуба);
- Врожденные особенности строения верхней челюсти с гайморовых пазух (физиологический недостаток костной ткани).
В зависимости от степени выраженности дефицита костной ткани выполняется открытая или закрытая операция восстановления объема. Суть хирургического вмешательства заключается в отделении слизистой оболочки, выстилающей верхнечелюстной синус, с последующим наполнением образовавшейся полости костными трансплантатами разных видов. Однако в процессе подготовки к оперативному вмешательству, а иногда и во время его выполнения, могут обнаруживаться препятствия для совершения процедуры. Чаще всего подобными неблагоприятными факторами становятся кисты в гайморовой пазухе.
Что называют кистой в гайморовой пазухе?
Киста верхнечелюстного синуса представляет собой доброкачественное образование, имеющее полую структуру, внутри которой содержится жидкость. Кисты гайморовых пазух встречаются достаточно часто, но практически всегда обнаруживаются в случайном порядке. Их расположение и происхождение могут отличаться, от чего будут зависеть особенности клиники и даже лечения.
Одонтогенная киста
Среди множества доброкачественных опухолей челюстной ткани киста обнаруживается чаще всего и представляет собой достаточно опасную для костной структуры патологию. Одонтогеные образования в подавляющем большинстве случаев длительное время остаются не диагностированными, а потому достигают огромных размеров. Рост кисты провоцирует атрофические процессы костной ткани, которая истончается, становится хрупкой, а затем исчезает совсем.

Для таких образований характерно длительное латентное течение, пока полость не разрастется до гигантских размеров. Затем в челюсти начинает отмечаться характерный хруст, особенно, во время жевательных нагрузок. Игнорирование проблемы приводит к спонтанным переломам челюсти, сдавлениям гайморовой пазухи с нарушением ее функций, обострению воспалительного процесса с задеванием структур верхнечелюстного синуса и формированием гайморита.
Киста зуба, проросшая в гайморову пазуху
Поражение зубного канала с захватом корня и окружающих тканей является следствием инфекционного процесса бактериального происхождения. При отсутствии адекватного и своевременного лечения происходит постепенное отграничение воспалительной реакции от здоровых тканей валом клеточных структур.

Таким образом появляется полость, которая называется кистой зуба. Она постепенно увеличивается и разрушает костную ткань челюсти. При локализации в передней части верхней челюсти происходит постепенное проникновение в гайморову пазуху.
Ретенционная
Самая распространенная форма новообразований в гайморовой пазухе, которую также называют истинной кистой. Располагается в нижней стенке синуса и имеет эпителиальную выстилку – отличительная черта истинных кистозных полостей. Образование четко определяется с помощью рентгенологического исследования случайным образом, так как не проявляется клинически.

Когда киста достигает значимых размеров, начинаются проблемы с функционированием гайморовой пазухи. Нарушается структура и физиология микроциркуляторного русла, за счет чего формируется отек. Данный симптом проявляется заложенностью носа, чаще без выраженных выделений из него. Из-за отсутствия специфичности клинической картины даже наличие субъективных признаков заболевания не является причиной обращения к врачу.
Как выявить кисту в верхнечелюстном синусе?
Так как кистозные полости относятся к доброкачественным новообразованиям, они не становятся причиной каких-либо системных проявлений. Местная клиническая картина манифестирует через несколько месяцев после начала развития патологического процесса. Но даже ее возникновение не всегда становится поводом для похода к врачу. Чаще всего кисты верхнечелюстного синуса обнаруживает стоматолог в ходе предварительного обследования для выполнения синус лифтинга или имплантации.

Основные клинические проявления кист в гайморовой пазухе:
- Болевые ощущения в подглазничной области давящего характера (боль усиливается при смене положения тела);
- Выделения из носовых ходов гнойного или слизисто-гнойного характера, количество которых зависит от наличия и выраженности воспалительного процесса;
- Постепенно увеличивающаяся асимметрия лица (при достижении кистой большого объема);
- Постоянные обострения инфекционного поражения гайморовой пазухи;
- Отечность носовых ходов (выраженная заложенность носа);
- Болевые ощущения в верхней челюсти (а также: характерный хруст при нажатии или нагрузках);
- Головные боли (чаще всего в области лба или висков).
Клиническая картина кистозных образований практически неотличима от острого гайморита, поэтому врачи всегда дифференцируют эти две патологии с помощью инструментальных исследований. Для специалистов стоматологического профиля особенно важно поставить правильный диагноз, так как наличие кисты не всегда является противопоказанием для синус лифтинга, а вот острая инфекция не позволяет проводить оперативное вмешательство.
Выявление кистозных образований происходит путем проведения рентгенографии пазух носа либо в процессе изучения костей черепа на компьютерной томографии. Дополнительно может назначаться эндоскопическое исследование, которое одновременно является и диагностическим, и лечебным. Обязательным является гистологическое исследование с помощью прицельной биопсии, которое позволяет иметь представление о происхождении новообразования и исключить злокачественную онкологию.
Лечение гайморовых кист
Консервативных методов лечения кистозных образований в верхнечелюстном синусе не существует. Врач выбирает один из вариантов хирургического вмешательства, который зависит от вида кисты, ее локализации, профессиональных качеств специалиста и индивидуальных особенностей пациента.
В современной медицине широко используются следующие операции для лечения кист:
- Открытая операция. Манипуляция, которая подразумевает общий наркоз и имеет множество осложнений и рисков. Вскрывается передняя стенка верхнечелюстного синуса, и через получившееся отверстие удаляют кисту. Главной проблемой является зарастание доступа рубцовой тканью. Это полностью противоречит физиологии организма и не позволяет в будущем провести синус лифтинг и имплантацию зубов в данном участке.
- Эндоскопическое лечение. Одно из самых передовых и успешных в современной медицине. Врач с помощью специального инструмента входит в гайморову пазуху через ее естественное устье, не повреждая костную ткань. Затем киста отсасывается или вылущивается.
- Классическое удаление. Выполняется типичный для открытого синус лифтинга доступ, через который удаляется киста. Операция проводится в тех случаях, когда причиной развития образования стал больной зуб.

Так как кистозные образования чаще всего обнаруживают в ходе предварительного обследования для синус лифтинга, врач должен выбирать такой метод лечения, который не будет препятствовать дальнейшему осуществлению костной пластики. Окончательное решение всегда принадлежит пациенту, поэтому ему нужно рассказывать достоинства и недостатки каждой терапевтической методики.
Киста в гайморовой пазухе и выполнение синус лифтинга
Многих пациентов интересует вопрос, можно ли выполнить одновременное извлечение кистозного образования и провести костную пластику верхней челюсти. Ответ на этот вопрос зависит от нескольких факторов, к которым относятся:
- Степень выраженности атрофии костной ткани в месте локализации кисты (в некоторых случаях дефицит настолько выражен, что проведение синус лифтинга становится невозможным, и пациентам остается надеяться на установку съемных протезов);
- Наличие активного воспалительного процесса (кисты часто осложняются инфекционными патологиями, особенно, гайморитом, которые являются прямым противопоказанием для операции);
- Размер кистозного образования (небольшие полости можно удалить сразу перед синус лифтингом, но если киста занимает все пространство пазухи, то о костной пластике не может быть и речи);
- Расположение кисты (если она находится на нижней стенке, то проблем с удалением в ходе синус лифтинга обычно не возникает, но если образование располагается выше, то стоматолог просто не сможет его достать без травмирования стенок пазухи).

Выполнение синус лифтинга с предварительным удалением кистозного образования проводится достаточно редко и только в том случае, когда процесс только начал развиваться и был случайно обнаружен инструментальными исследованиями. Врач должен правильно сопоставить пользу и риски от будущего оперативного вмешательства. Чаще всего пациентов переводят для лечения к ЛОР-специалистам, а синус лифтинг переносят на более позднее время.
Возможные риски
Киста в гайморовой пазухе и синус лифтинг могут по-разному осложняться и серьезно препятствовать любым стоматологическим вмешательствам врача. При удалении кистозного образования риск перфорации слизистой оболочки верхнечелюстного синуса только повышается, как и последующие связанные с этим проблемы. Также возможно случайное вскрытие кисты с излитием ее содержимого в пазуху. Это грозит дальнейшим инфицированием и развитием острого либо хронического гайморита.
Выполняя синус лифтинг при кисте гайморовой пазухи, врач должен помнить, что образование способствует рассасыванию костной ткани. Чем тоньше кость альвеолярного отростка, тем меньшую нагрузку она может вынести. Поэтому любое неосторожное движение может привести к перелому костного гребня.
В процессе синус лифтинга обязательно устанавливается барьерная мембрана, которая будет защищать прооперированный участок от неблагоприятных внешних факторов и дополнительного воздействия остеокластов (клеток, разрушающих кость).

Кроме того, в процессе костной пластики используются только самые безопасные и качественные трансплантаты с минимальным риском отторжения. Подобная предосторожность связана с тем, что значительный дефицит костной ткани не перенесет дополнительных проблем в виде плохого приживления. Врач не сможет выполнить повторную операцию, и ему придется искать альтернативные пути решения.
Реабилитация
Послеоперационный период не менее важен, чем само хирургическое вмешательство. Киста в гайморовой пазухе и синус лифтинг приводят к повышенному риску развития инфекционного процесса, поэтому пациенту назначают интенсивный курс антибактериальной терапии. Ежедневно, в течение недели после синус лифтинга следует полоскать ротовую полость раствором антисептике (желательно после каждого приема пищи).
В первое время после оперативного вмешательства запрещено:
- Чистить зубы жесткой зубной щеткой;
- Употреблять слизком горячую или холодную, а также чрезмерно кислую или пряную пищу;
- Пить жидкости через трубочку;
- Курить;
- Выполнять физические нагрузки;
- Долго находиться на солнце;
- Принимать разжижающие кровь препараты.
Уход за полостью рта имеет первостепенное значение в профилактике развития инфекционного процесса. Пациенты после каждого приема пищи мягко (с помощью ватного тампона) очищают раневую поверхность. Но ни в коем случае нельзя ее тереть. Зубы очищаются мягкой зубной щеткой, после чего рот ополаскивается антисептическим средством.
Читайте также:
