Кости при мастоцитозе - лучевая диагностика
Добавил пользователь Евгений Кузнецов Обновлено: 30.01.2026
Мастоцитоз (тучноклеточный лейкоз) - системное заболевание, морфологическим субстратом которого является массивная инфильтрация кожи, различных органов и тканей тучными клетками (мастоцитами, лаброцитами, тканевыми базофилами). Заболевание редкое, его частота не зависит от пола. Обычно развивается в течение первых двух лет жизни ребенка (75% случаев) и в половине случаев самопроизвольно разрешается к пубертатному периоду. Системным мастоцитозом чаще болеют взрослые.
Что провоцирует / Причины Мастоцитоза (тучноклеточного лейкоза):
Этиология и патогенез мастоцитоза неизвестны. Иногда он передается аутосомно-доминантным путем, хотя в большинстве случаев больные не имеют семейного анамнеза.
Патогенез (что происходит?) во время Мастоцитоза (тучноклеточного лейкоза):
Гистологическая картина всех форм мастоцитоза проявляется инфильтратами, состоящими главным образом из тучных клеток. Метахромазию гранул тучных клеток выявляют при использовании толуидинового, метиленового синего, а также нафтол-AS-D- хлорацетат эстеразы (метод Leder), окрашивающей цитоплазматические гранулы тучных клеток в красный цвет. При макулопапулезном и теле-ангиэктатическом типах мастоцитоза тучные клетки располагаются главным образом в верхней трети дермы вокруг капилляров. Ядра тучных клеток чаще веретенообразные, реже круглые или овальные. В связи с тем, что тучные клетки могут присутствовать в небольшом количестве и на срезах, окрашенных гематоксилином и эозином, их ядра напоминают ядра фибробластов или перицитов, для установления правильного диагноза требуются специальные окраски. При множественных узлах или бляшках, а также при крупных солитарных узлах тучные клетки образуют большие скопления по типу опухоли, инфильтрируя всю дерму и подкожную жировую клетчатку. Когда тучные клетки лежат в плотных скоплениях, их ядра скорее кубические, чем веретенообразные, имеют эозинофильную цитоплазму и хорошо очерченные границы клеток. Это придает им довольно характерный вид, так что диагноз можно поставить даже без специального окрашивания. При диффузном (эритродермическом) типе в верхней части дермы наблюдаются плотные лентовидные инфильтраты из тучных клеток с округлыми или овальными ядрами и четко очерченной цитоплазмой. При всех типах мастоцитоза (за исключением телеангиэктатического) среди тучных клеток могут встречаться эозинофилы. Повышение количества эозинофилов и внеклеточных гранул тучных клеток в биоптате, взятом после трения очага, свидетельствует об освобождении гранул из тучных клеток. Характер пузырей при мастоцитозе субэпидермальный; однако в связи с регенерацией эпидермиса в основании пузырей старьте пузыри могут локализоваться внутриэпидермально. Пузырь часто содержит тучные клетки, а также эозинофилы. Пигментация элементов при мастоцитозе обусловлена увеличением количества меланина в клетках базального слоя эпидермиса, реже - наличием меланофагов верхней части дермы. При системном мастоцитозе наряду с поражением кожи обнаруживают паратрабекулярные скопления тучных клеток в костном мозге, диффузную инфильтрацию ими красной пульпы селезенки, перипортальные инфильтраты в печени и тучноклеточную инфильтрацию перифолликулярных и паракортикальных зон лимфатических узлов. Скопления тучных клеток наблюдаются в сердце, почках, слизистой оболочке желудочно-кишечного тракта.
Симптомы Мастоцитоза (тучноклеточного лейкоза):
Выделяют 4 формы мастоцитоза:
- кожный мастоцитоз младенческого или раннего детского возраста, при котором кожные очаги разрешаются в пубертате, системные изменения, как правило, отсутствуют, а прогрессирование с развитием системной формы наступает крайне редко.
- кожный мастоцитоз подростков и взрослых с частыми системными поражениями, который часто сопровождается системными нарушениями, но они, как правило, не прогрессируют. Спонтанный регресс у взрослых, в отличие от детей, не описан. Иногда эта форма прогрессирует, переходит в системный мастоцитоз с прогрессирующим поражением внутренних органов;
- системный мастоцитоз;
- злокачественный мастоцитоз (тучноклеточная лейкемия) - очень редкая форма, характеризуется наличием цитологически злокачественных тучных клеток во многих органах и тканях, особенно в костях и периферической крови, с быстрым летальным исходом; обычно не сопровождается кожными проявлениями.
Более чем у половины больных мастоцитозом жалобы ограничиваются поражением кожи. Около 1/3 пациентов жалуются на зуд, приступы покраснения кожи, пароксизмальной тахикардии, падения артериального давления, периодическое повышение температуры тела и тд. Эти симптомы обусловлены дегрануляцией тучных клеток и наблюдаются при распространенных формах мастоцитоза кожи или внутренних органов.
При мастопитозе выделяют пять типов кожных поражений (причем первые два из них наблюдаются как у младенцев, так и у взрослых).
Макулопапулезный тип мастоцитоза, представленный десятками или даже сотнями мелких красно-коричневых гиперпигментированных пятен и папул, которые после трения (проба Дарье-Унны) приобретают уртикароподобный характер, является наиболее частым.
Множественный узловатый тип мастоцитоза представлен множественными плотными полушаровидными узлами розового, красного или желтого цвета, диаметром 0,5-1 см с гладкой поверхностью, иногда узлы сливаются в бляшки, феномен Дарье-Унны выражен слабо, особенно у взрослых.
Тип крупного солитарного узлa, или мастоцитомы, проявляется узлом диаметром от 2-5 см. имеющим гладкую или сморщенную, как апельсиновая корка, поверхность и резиновую консистенцию. Изредка встречается до 3-4 узлов. Узлы возникают исключительно у младенцев, чаше в области шеи, туловища, предплечий. Тест Дарье—Унны положительный. Травматизация приводит к формированию на поверхности узла пузырьков, пустул или пузырей, а также к ощущению покалывания. Мастоцитомы обычно регрессируют спонтанно, при этом они западают и сглаживаются. В ряде случаев узлы ассоциируются с высыпаниями, характерными для макулопапулезного типа мастоцитоза.
Диффузный (эритродермический) тип мастоцитоза всегда начинается в раннем детстве. Характеризуется крупными зудящими очагами желто-коричневой инфильтрации, обычно в подмышечных впадинах и межъягодичных складках. Очаги имеют неправильную форму, четкие границы, плотную (до деревянистой) консистенцию, на их поверхности легко возникают изъязвления, трещины, экскориации. Прогрессирование патологического процесса может привести к эритродермии. При этом кожные покровы приобретают тестоватую или плотную консистенцию, цвет их варьирует от розово-красного с желто-бурым оттенком до темно-коричневого. Тест Дарье-Унны положительный, причем даже легкая травматизация очага поражения приводит к возникновению пузырей, часто сопровождается интенсивным зудом. При преобладании в клинической картине пузырей говорят о буллезном мастоцитозе. Течение заболевания постепенно улучшается, прогрессирование в системный мастоцитоз происходит редко, смерть наступает лишь у младенцев в результате гистаминового шока.
Телеангиэктатический тип мастоцитоза (тип стойкой пятнистой телеангиэктазии) - редкая форма мастоцитоза, встречается преимущественно у взрослых, главным образом у женщин. Проявляется распространенными коричневатокрасными пятнами различных очертаний, состоящими из ярких телеангиэктазии. располагающихся на пигментированном фоне. Отмечается небольшая склонность к появлению волдырей в местах трения или спонтанно. Чаше поражается кожа груди и конечностей. Характерен зуд. В ряде случаев возникает поражение костей и пептическая язва.
Системный мастоцитоз характеризуется поражением внутренних органов в сочетании с кожным мастоцитозом или без него, встречается одинаково часто у мужчин и женщин. Наблюдается у 10% больных с кожными проявлениями мастоцитоза. При этом в большинстве случаев поражения кожи предшествуют признакам системного процесса. Изменения кожи при системном мастоцитозе представлены макулопапулезным, множественным узловатым или диффузным (эритродермическим) типами.
В процесс мастоцитоза могут вовлекаться любые органы и системы. Наиболее часто - кости, печень, селезенка, лимфатические узлы, желудочно-кишечный тракт, ЦНС. 20-30% больных мастоцитозом имеют поражения костей, которые при рентгенологическом исследовании проявляются остеопорозом и остеосклерозом. Остеолитические изменения сопровождаются болевым синдромом. Около 1/4 поражений костей являются мастоцитомами, однако они нечасты у детей. Поражения печени проявляются асимптомными тучноклеточными инфильтратами и фиброзом с гепатомегалией и диффузным мастоцитозом.
Системный мастоцитоз по течению может быть доброкачественным и злокачественным. К злокачественному мастоцитозу относятся тучноклеточный лейкоз, тучноклеточная саркома, варианты системного мастоцитоза, ассоциированные с лимфомами, солидными новообразованиями или злокачественными заболеваниями крови.
Диагностика Мастоцитоза (тучноклеточного лейкоза):
Тучноклеточный лейкоз проявляется базофилией, нейтрофилией со значительным сдвигом ядра влево, гепато и спленомегалией, незначительной гиперплазией лимфоузлов. В костно-мозговом пунктате обнаруживают очаги бластных тучных клеток.
Диагноз мастоцитоза кожи устанавливается на основании клинической картины, положительного теста Дарье-Унны, увеличения тучных клеток в очагах поражения.Однако следует учитывать, что он может отсутствовать при мастоцитоме и, если очаг поражения подвергался травмированию за 2-3 дня до исследования (время, необходимое для восстановления гранул тучных клеток, - 2-3 дня).
В диагностике мастоцитоза используют определение гистамина в моче (гистаминурия), однако его уровень также повышается при воспалительных, аллергических заболеваниях, а также у здоровых лиц (например, у спортсменов). Для исключения системного мастоцитоза проводят определение главного метаболита гистамина - 1-метил-4-имидазолуксусной кислоты, содержание которой коррелирует с активностью тучноклеточной пролиферации и резко повышается при системном мастоцитозе, тогда как при кожных формах его уровень близок к норме.
Дифференциальный диагноз мастоцитоза проводится с пигментными невусами, веснушками, ленти-гинозом, от которых мастоцитоз отличается наличием положительного феномена Дарье-Унны. Папулезные и узловатые элементы мастоцитоза отличают от ксантом, дематофибром, гистиоцитоза X, невоксантоэндотелиомы на основании данных гистологического исследования. В отличие от лекарственной токсидермии, при мастоцитозе отсутствует связь заболевания с приемом лекарств. С укусами насекомых, эпидермической пузырчаткой новорожденных, многоформной экссудативной эритемой дифференциальный диагноз проводят на основании клинических данные и результатов исследования мочи на гистамин. Мастоцитоз сложно отличить от врожденной пойкилодермии Ротмунда-Томсона аутосомно-рецессивного заболевания, клинически проявляющегося в первые годы жизни и характеризующегося эритематозными пятнами, сменяющимися сетчатой гиперпигментацией, атрофией и теле-ангиэктазиями на коже лица, шее, реже — на конечностях. В отличие от мастоцитоза, отмечаются низкий рост, микроцефалия, дистрофия зубов, волос и ногтей, катаракта, умственная отсталость. Телеангиэктатическая форма мастоцитоза отличается от атрофической сосудистой пойкилодермии Якоби, характеризующейся очаговой гипер- и гипопигментацией, телеангиэктазиями и атрофией кожи, генерализованным характером процесса, наличием пятнисто-папулезных высыпаний, склонных к слиянию, с образованием крупных очагов поражения, возможным наличием общих симптомов (приступы «приливов», усиления зуда, тахикардии и т.д.) или поражений внутренних органов. Пигментный пурпурозный и лихеноидный ангиодерматит Гужеро-Блюма, в отличие от мастоцитоза, поражает преимущественно мужчин среднего возраста и характеризуется блестящими лихеноидными папулами, геморрагчески пигментными пятнами в области нижних конечностей, а также отрицательным феноменом Дарье-Унны.
Дифференциальный диагноз мастоцитоза также проводится с заболеваниями, сопровождающимися увеличения количества тучных клеток в гистологических препаратах. Тучноклеточные пролифераты имеют место при реактивной мастоцитоплазии, при гемангиоме, дерматофиброме, лимфоме, лимфогранулематозе и др. Важной особенностью гистологического диагноза при мастоцитозе является то, что в «старом» очаге мастоцитоза тучные клетки могут быть в небольшом количестве. В этой связи наиболее достоверно по гистологической картине можно установить диагноз мастоцитомы, имеющей невоидную структуру. В остальных случаях диагноз устанавливается на основании данных гистологического исследования с учетом клинических данных.
Лечение Мастоцитоза (тучноклеточного лейкоза):
Лечение мастоцитоза недостаточно эффективно. Изолированные мастоцитомы удаляют хирургически. Для лечения мастоцитоза используют хлоргидрат ципрогептадина (периактин) по 16 мг/сут, Н2-блокаторы гистамина, ингибиторы серотонина. препараты, тормозящие дегрануляцию мастоцитов (задитен и др.), цитостатики (проспидин, спиробромин), ПУВА-терапию. При зуде и «приливах» применяют антигистаминные препараты. При буллезных формах назначают кортикостероидные гормоны.
Профилактика Мастоцитоза (тучноклеточного лейкоза):
Профилактика мастоцитоза заключается в предотвращении воздействия на организм активаторов дегрануляции тучных клеток, таких как простуда, воздействие холода, тепла, травма, инсоляция, лекарственные препараты (особенно морфино-опиумная группа алкалоидов и ацетилсалициловая кистота).
К каким докторам следует обращаться если у Вас Мастоцитоз (тучноклеточный лейкоз):
Вас что-то беспокоит? Вы хотите узнать более детальную информацию о Мастоцитоза (тучноклеточного лейкоза), ее причинах, симптомах, методах лечения и профилактики, ходе течения болезни и соблюдении диеты после нее? Или же Вам необходим осмотр? Вы можете записаться на прием к доктору .
Кости при мастоцитозе - лучевая диагностика
Лучевая диагностика мастоцитоза
а) Визуализация мастоцитоза:
• Кожная форма мастоцитоза (пигментная крапивница) является наиболее распространенной
• Системный мастоцитоз: пролиферация тучных клеток в коже, костях, лимфатических узлах, внутренних органах брюшной полости
• Желудочно-кишечный тракт поражается в 16% случаев:
о Пептическая язвенная болезнь и мальабсорбция
о Двенадцатиперстная кишка и тонкая кишка: утолщение складок, уменьшение времени транзита
о Узловые изменения слизистой оболочки (узелки размерами 2-3 мм в виде «песчинок»)
- Дилятация тонкой кишки с наличием жидкостного содержимого в просвете
• Гепатомегалия (в 40% случаев у взрослых)
• Желчные пути: инфильтрация стенок, неравномерные стриктуры
• Спленомегалия с наличием узловых депозитов (в 50% случаев)
• Лимфаденопатия, утолщение сальника и брыжейки
• Очаги поражения склеротического или литического характера в костях осевого скелета
• Сцинтиграфия костей: литические очаги, остеопороз либо остеосклероз
(Слева) На аксиальной КТ без контрастного усиления у пожилого мужчины с нарушением функции печени и диареей определяются диффузные склеротические очаги в костях осевого скелета. Обратите внимание на неравномерное, умеренно выраженное расширение внутрипеченочных желчных протоков, а также спленомегалию.
(Справа) На аксиальной КТ без контраста у этого же пациента визуализируется растянутая тонкая кишка с утолщенной стенкой и наличием жидкости в просвете. Пациенту была выполнена биопсия стенки желчного протока и кишечника, обнаружена инфильтрация стенки большим количеством тучных клеток, что является диагностическим признаком системного мастоцитоза. (Слева) На КТ у этого же пациента с системным мастоцитозом определяются распространенные склеротические изменения всего осевого скелета наряду с утолщением стенки растянутой тонкой кишки и наличием жидкости в ее просвете.
(Справа) На рентгенограмме тонкой кишки с контрастом, полученной у пациента с подтвержденным мастоцитозом, определяются распространенные патологические изменения тонкой кишки, в т. ч. замещение нормальной «картины» складок на узловую.
б) Дифференциальная диагностика:
• Карциноидная опухоль
• Синдром Золлингера-Эллисона
• Целиакия
• Состояния, сопровождающиеся мальабсорбцией
• Первичный склерозирующий холангит (при поражении желчных путей)
в) Патология:
• Системный мастоцитоз является одним из миелопролиферативных неопластических состояний:
о Наряду с полицитемией, миелофиброзом, хроническим миелоидным лейкозом и т. д.
г) Клинические особенности:
• Осложнения:
о Частота злокачественной трансформации с развитием злокачественных опухолей системы крови составляет 30%
• Лечение: эпинефрин, стероидные гормоны, блокаторы Н1- и Н2-гистаминовых рецепторов, ингибиторы протонной помпы, антихолинергические средства; химиотерапия:
о Трансплантация гемопоэтических стволовых клеток является многообещающим способом терапии
Рентгенограмма, КТ, МРТ костей при мастоцитозе
а) Определение:
• Гетерогенное опухолевое заболевание, приводящее к клональной пролиферации тучных клеток в различных органах
б) Визуализация:
1. Общая характеристика:
• Локализация:
о Образования в костях могут быть очаговыми или диффузными:
- Очаговые образования могут прогрессировать до диффузных

(Слева) Рентгенография грудного отдела позвоночника в боковой проекции: определяется классический «мраморный» позвонок с плотной костью, замещающей тело позвонка целиком, но без изменения его размеров. Очаговый склероз, как на этом изображении, характерен для мастоцитоза.
(Справа) Рентгенография в боковой проекции, этот же пациент: определяются смешанный лизис и склероз, а также увеличение позвонка. Такие признаки могут свидетельствовать о болезни Педжета, но в данном случае это полиоссальный мастоцитоз. Рентгенологическая картина при этом диагнозе сбивает с толку, поскольку может иметь вид, характерный для остеопении, склероза или смешанной формы заболевания.
2. Рентгенография при мастоцитозе:
• Первичные рентгенологические признаки:
о Выделяют два отдельных варианта костных структур:
- Остеосклероз
- Остеопороз
• Вторичные рентгенологические признаки:
о Патологический перелом, в частности, позвоночника
3. КТ при мастоцитозе:
• КТ всего тела с низкой дозой лучевой нагрузки может помочь оценить опухолевые образования в костях
• Внескелетные признаки на КТ наблюдаются у 19% пациентов по данным одного исследования:
о Гепатоспленомегалия
о Забрюшинная аденопатия
о Перипортальная аденопатия
о Мезентериальная аденопатия
о Утолщение большого сальника и брыжейки о Асцит
о Менее частые признаки:
- Гепатофугальное направление венозного кровотока в портальной вене
- Синдром Бадда-Киари
- Кавернозная трансформация портальной вены
- Новообразование яичника
4. МРТ при мастоцитозе:
• МРТ Т1ВИ:
о Низкая ИС при склеротическом типе
• Последовательности, чувствительные к жидкости:
о Гиперинтенсивный сигнал:
- За исключением образований с очагами плотного склероза
• Полное МР-исследование полезно при оценке тяжести поражения
5. Радионуклидная диагностика:
• Образования патологически накапливают радиометку при сцинтиграфии костей

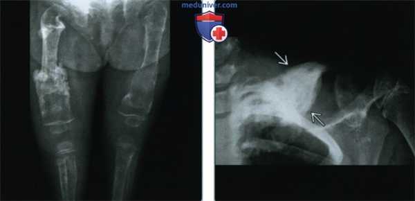
(Слева) Рентгенография в ПЗ проекции: определяется диффузный и тяжелый остеопороз с множественными переломами. Картина визуализации неспецифична, но в биоптате был выявлен мастоцитоз. Патологические изменения костей при детском мастоцитозе встречаются редко.
(Справа) Рентгенография в ПЗ проекции: определяется плотно-склеротичное изолированное образование с увеличением диафиза ключицы. Для такой картины визуализации предложен обширный дифференциально-диагностический ряд. У этого пациента отмечались нарушения пищеварения, которые появлялись эпизодически, как и сыпь. Такие симптомы позволяют сузить дифференциальный диагноз до мастоцитоза.
в) Клинические особенности:
1. Проявления:
• Типичные признаки/симптомы:
о Комплекс симптомов:
- Гиперемия
- Боль в животе
- Диарея
- Необъяснимые синкопы
- Классическая пигментная крапивница
о Боль в костях, по крайней мере, в 28% случаев
2. Демография:
• Возраст:
о Обычно развивается у взрослых
- Мастоцитоз редко возникает в детстве и обычно ограничивается кожными проявлениями
• Пол:
о Мужчины = женщины
• Эпидемиология:
о Патологические изменения костей в 70% случаев
3. Течение и прогноз:
• Медленно прогрессирующий мастоцитоз:
о Обычно прогнозируется нормальная продолжительность жизни пациента
4. Лечение:
• Диагноз устанавливается на основании данных костной биопсии
• Пациентов обследуют для оценки размеров опухоли и повреждений органов-мишеней
• Циторедуктивная терапия проводится только при выраженной клинической картине
• Кифопластика может вызвать гипотензию вследствие выброса медиатора аллергии гистамина, вызванного давлением
Клиника, диагностика мастоцитоза. Лечение мастоцитоза.
В процесс мастоцитоза могут вовлекаться любые органы и системы. Наиболее часто — кости, печень, селезенка, лимфатические узлы, желудочно-кишечный тракт, ЦНС. 20-30% больных мастоцитозом имеют поражения костей, которые при рентгенологическом исследовании проявляются остеопорозом и остеосклерозом. Остеолитические изменения сопровождаются болевым синдромом. Около 1/4 поражений костей являются мастоцитомами, однако они нечасты у детей. Поражения печени проявляются асимптомными тучноклеточными инфильтратами и фиброзом с гепатомегалией и диффузным мастоцитозом.
Гистологическая картина всех форм мастоцитоза проявляется инфильтратами, состоящими главным образом из тучных клеток. Метахромазию гранул тучных клеток выявляют при использовании толуидинового, метиленового синего, а также нафтол-AS-D- хлорацетат эстеразы (метод Leder), окрашивающей цитоплазматические гранулы тучных клеток в красный цвет. При макулопапулезном и теле-ангиэктатическом типах мастоцитоза тучные клетки располагаются главным образом в верхней трети дермы вокруг капилляров. Ядра тучных клеток чаще веретенообразные, реже круглые или овальные. В связи с тем, что тучные клетки могут присутствовать в небольшом количестве и на срезах, окрашенных гематоксилином и эозином, их ядра напоминают ядра фибробластов или перицитов, для установления правильного диагноза требуются специальные окраски. При множественных узлах или бляшках, а также при крупных солитарных узлах тучные клетки образуют большие скопления по типу опухоли, инфильтрируя всю дерму и подкожную жировую клетчатку. Когда тучные клетки лежат в плотных скоплениях, их ядра скорее кубические, чем веретенообразные, имеют эозинофильную цитоплазму и хорошо очерченные границы клеток. Это придает им довольно характерный вид, так что диагноз можно поставить даже без специального окрашивания. При диффузном (эритродермическом) типе в верхней части дермы наблюдаются плотные лентовидные инфильтраты из тучных клеток с округлыми или овальными ядрами и четко очерченной цитоплазмой. При всех типах мастоцитоза (за исключением телеангиэктатического) среди тучных клеток могут встречаться эозинофилы. Повышение количества эозинофилов и внеклеточных гранул тучных клеток в биоптате, взятом после трения очага, свидетельствует об освобождении гранул из тучных клеток. Характер пузырей при мастоцитозе субэпидермальный; однако в связи с регенерацией эпидермиса в основании пузырей старьте пузыри могут локализоваться внутриэпидермально. Пузырь часто содержит тучные клетки, а также эозинофилы. Пигментация элементов при мастоцитозе обусловлена увеличением количества меланина в клетках базального слоя эпидермиса, реже — наличием меланофагов верхней части дермы. При системном мастоцитозе наряду с поражением кожи обнаруживают паратрабекулярные скопления тучных клеток в костном мозге, диффузную инфильтрацию ими красной пульпы селезенки, перипортальные инфильтраты в печени и тучноклеточную инфильтрацию перифолликулярных и паракортикальных зон лимфатических узлов. Скопления тучных клеток наблюдаются в сердце, почках, слизистой оболочке желудочно-кишечного тракта.
Диагноз мастоцитоза кожи устанавливается на основании клинической картины, положительного теста Дарье—Унны, увеличения тучных клеток в очагах поражения.Однако следует учитывать, что он может отсутствовать при мастоцитоме и, если очаг поражения подвергался травмированию за 2-3 дня до исследования (время, необходимое для восстановления гранул тучных клеток, — 2-3 дня).

В диагностике мастоцитоза используют определение гистамина в моче (гистаминурия), однако его уровень также повышается при воспалительных, аллергических заболеваниях, а также у здоровых лиц (например, у спортсменов). Для исключения системного мастоцитоза проводят определение главного метаболита гистамина — 1-метил-4-имидазолуксусной кислоты, содержание которой коррелирует с активностью тучноклеточной пролиферации и резко повышается при системном мастоцитозе, тогда как при кожных формах его уровень близок к норме.
Дифференциальный диагноз мастоцитоза проводится с пигментными невусами, веснушками, ленти-гинозом, от которых мастоцитоз отличается наличием положительного феномена Дарье— Унны. Папулезные и узловатые элементы мастоцитоза отличают от ксантом, дематофибром, гистиоцитоза X, невоксантоэндотелиомы на основании данных гистологического исследования. В отличие от лекарственной токсидермии, при мастоцитозе отсутствует связь заболевания с приемом лекарств. С укусами насекомых, эпидермической пузырчаткой новорожденных, многоформной экссудативной эритемой дифференциальный диагноз проводят на основании клинических данные и результатов исследования мочи на гистамин. Мастоцитоз сложно отличить от врожденной пойкилодермии Ротмунда—Томсона аутосомно-рецессивного заболевания, клинически проявляющегося в первые годы жизни и характеризующегося эритематозными пятнами, сменяющимися сетчатой гиперпигментацией, атрофией и теле-ангиэктазиями на коже лица, шее, реже — на конечностях. В отличие от мастоцитоза, отмечаются низкий рост, микроцефалия, дистрофия зубов, волос и ногтей, катаракта, умственная отсталость. Телеангиэктатическая форма мастоцитоза отличается от атрофической сосудистой пойкилодермии Якоби, характеризующейся очаговой гипер- и гипопигментацией, телеангиэктазиями и атрофией кожи, генерализованным характером процесса, наличием пятнисто-папулезных высыпаний, склонных к слиянию, с образованием крупных очагов поражения, возможным наличием общих симптомов (приступы «приливов», усиления зуда, тахикардии и т.д.) или поражений внутренних органов. Пигментный пурпурозный и лихеноидный ангиодерматит Гужеро—Блюма, в отличие от мастоцитоза, поражает преимущественно мужчин среднего возраста и характеризуется блестящими лихеноидными папулами, геморрагчески пигментными пятнами в области нижних конечностей, а также отрицательным феноменом Дарье—Унны.

Мастоцитоз:
а - признак Дарье наблюдался в единственном очаге на спине после трения
б - гиперпигментация выражена у этого здорового чернокожего ребенка с пигментной крапивницей.
Обратите внимание на пузыри на лбу девочки
в - этого ребенка с диффузными инфильтративными очагами образовались обширные пузыри с кровоизлияниями
г - везикулы и покрытые коркой папулы на красном основании с рождения присутствовали у этого новорожденного без симптомов.
После заживления корочек пузыри больше не рецидивировали
Информация на сайте подлежит консультации лечащим врачом и не заменяет очной консультации с ним.
См. подробнее в пользовательском соглашении.
Мастоцитоз
Мастоцитоз — системное заболевание, обусловленное размножением тучных клеток и инфильтрацией ими кожи (кожная форма) и внутренних органов (системный мастоцитоз). Выделяют пять различных кожных проявлений мастоцитоза: гиперпигментации, мелкие и крупные узлы, эритродермические очаги и телеангиэктазии. При любой форме кожных элементов выявляется характерный для мастоцитоза диагностический признак - феномен Дарье-Унны. Лечение в основном консервативное и проводится ингибиторами серотонина, Н2-блокаторами гистамина, хлоргидратом ципрогептадина, цитостатиками.
МКБ-10
Общие сведения
Поскольку мастоцитоз связан с пролиферацией тучных клеток, он получил второе название — тучноклеточный лейкоз. Заболевание достаточно редкое, его причины до сих пор не известны. По данным статистических исследований около 75% случаев мастоцитоза приходится на детей в возрасте до двух лет. Причем каждый второй такой случай заболевания самостоятельно разрешается в период полового созревания.
Классификация мастоцитоза
В настоящее время дерматология выделяет 4 клинические формы мастоцитоза:
Кожный мастоцитоз младенческого возраста часто развивается в первые несколько лет жизни ребенка. Его отличительной чертой является полное отсутствие поражений внутренних органов. Как правило, в пубертатном периоде кожные проявления исчезают и заболевание проходит. Лишь в отдельных случаях мастоцитоз младенческого возраста развивается дальше с переходом в системную форму.
Кожный мастоцитоз взрослых и подростков характеризуется инфильтрацией тучными клетками не только кожи, но и внутренних органов: печени, сердца, селезенки, слизистой желудочно-кишечного тракта, почек. Однако, в отличии от системной формы заболевания, изменения, возникающие во внутренних органах, при данной форме мастоцитоза не прогрессируют. В некоторых случаях кожный мастоцитоз может переходить в системный.
Системный мастоцитоз развивается в основном у взрослых. Он представляет собой прогрессирующее поражение внутренних органов в сочетании с кожными изменениями или без них. Системный мастоцитоз встречается в 10% случаев кожного мастоцитоза. При этом он, как правило, развивается вслед за кожными проявлениями.
Злокачественный мастоцитоз обусловлен злокачественным перерождением тучных клеток, от чего и получил название тучноклеточная лейкемия. Измененные тучные клетки инфильтрируют внутренние органы и ткани, что обуславливает быстрый летальный исход заболевания. Кожные проявления при этой форме заболевания обычно отсутствуют.
Симптомы мастотоциза
Примерно у 50% пациентов с мастоцитозом жалобы касаются только изменений со стороны кожи. При мастоцитозе с поражением внутренних органов пациенты жалуются также на периодическое падение артериального давления, приступы пароксизмальной тахикардии, повышение температуры тела и сопровождающееся зудом приступообразное покраснение кожи.
Характерные для заболевания инфильтраты из тучных клеток могут скапливаться в различных слоях кожи, что обуславливает разнообразие кожных проявлений. В связи с этим выделяют пять клинических вариантов кожных изменений при мастоцитозе.
Макулопапулезный вариант мастоцитоза характеризуется появлением на коже множественных гиперпигментированных пятен или папул небольшого диаметра. При этом отдельные очаги поражения на коже имеют четкие очертания. Выражен феномен Дарье-Унны — при механическом воздействии (например, трении) на пятна они превращаются в мелкие пузырьки, похожие на кожные изменения при крапивнице. Из-за этой особенности данный вариант мастоцитоза у некоторых авторов встречается под названием пигментная крапивница.
Узловой вариант мастоцитоза проявляется появлением в коже множественных уплотнений или узелков полушаровидной формы до 1см в диаметре. Цвет узелков может быть розовым, желтым или красным. Узелки могут сливаться в бляшки, поверхность которых бывает гладкой или по типу апельсиновой корки. Бляшки большого размера обычно имеют бугристую поверхность. При узловом варианте особенно у взрослых феномен Дарье-Унны слабо выражен.
Солитарный вариант мастоцитоза проявляется образованием мастоцитомы — узла размером 2-5см с резиновой консистенцией, сморщенной или гладкой поверхностью. Чаще всего узел один, но встречаются клинические формы с образованием 3-4 узлов. В некоторых случаях мастоцитомы сочетаются с высыпаниями макулопаппулезного характера. Солитарный вариант развивается исключительно при кожном мастоцитозе младенческого возраста. Его характерная локализация — кожа предплечий, туловища и шеи. При травматизации поверхности мастоцитомы на ней возникают пузырьки или пустулы (положительный феномен Дарье-Унны), а ребенок может жаловаться на покалывание в этом месте. Обратное развитие солитарных элементов происходит внезапно, при этом мастоцитомы западают и сглаживаются с поверхностью кожи.
Эритродермический вариант мастоцитоза диагностируется в случаях, когда на коже образуются четко отграниченные желто-коричневые очаги поражения с неровными краями и плотной консистенцией. Характерен выраженный зуд. На поверхности эритродермических очагов со временем образуются трещины, расчесы и изъязвления. Наиболее часто встречающаяся локализация — это складки между ягодицами и подмышечные впадины. Резко положителен симптом Дарье-Унны. Даже легкое травмирование очага поражения приводит к образованию пузырей и усилению зуда. При появлении большого количества пузырей говорят о клинике буллезного мастоцитоза. Эритродермический вариант заболевания редко переходит в системную форму, но прогрессирование изъязвления его элементов может привести к развитию эритродермии.
Телеангиэктатический вариант мастоцитоза характеризуется участками поражения кожи красно-коричневого цвета, сформированными из расположенных на гиперпигментированном фоне телеангиэктазий. Наиболее типично поражение кожи конечностей и груди. Телеангиэктатический вариант наблюдается в основном у взрослых и преимущественно у женщин.
Диагностика мастотоциза
Характерная симптоматика и определение феномена Дарье-Унны зачастую позволяют дерматологу заподозрить мастоцитоз. Для подтверждения диагноза необходима биопсия кожных элементов. Гистологическое исследование выявляет инфильтраты, представляющие собой скопление тучных клеток. При макулопапулезном и телеангиэктатическом варианте тучные клетки инфильтрируют верхние слои дермы. При узловом мастоцитозе тучные клетки образуют плотные инфильтраты, захватывающие почти все слои дермы. Для солитарных узлов или мастоцитом характерно распространение инфильтрата не только на всю дерму, но и в подкожную клетчатку. Эритродермический вариант отличается формированием лентообразных инфильтратов из тучных клеток в верхнем слое дермы.
В клиническом анализе крови определяется увеличение количества базофилов и нейтрофилов с резким сдвигом лейкоцитарной формулы влево. При подозрении на мастоцитоз проводят также определение гистамина мочи. Однако содержание гистамина в моче увеличивается не только при мастоцитозе, но и при аллергических или воспалительных заболеваниях.
Системный мастоцитоз диагностируют путем определения 1-метил-4-имидазолуксусной кислоты — метаболита гистамина, содержание которого резко увеличивается в случае системного мастоцитоза и остается в пределах нормы при кожном мастоцитозе. При поражении мастоцитозом внутренних органов на УЗИ органов брюшной полости выявляется увеличение печени и селезенки. Примерно у 25-30% больных мастоцитозом при рентгенологическом исследовании и КТ кости определяются нарушения со стороны костной ткани: остеосклероз или остеопороз.
Дифференцировать мастоцитоз необходимо с веснушками, пигментными невусами, ксантомами. Узловую форму дифференцируют с дерматофибромой, а мастоцитоз младенческого возраста — с пузырчаткой новорожденных, врожденной пойкилодермией Ротмунда-Томсона. Кроме того, мастоцитоз необходимо дифференцировать от других заболеваний, характеризующихся увеличением тучных клеток в образцах для гистологического исследования. К таким заболеваниям относятся лимфома, гемангиома, лимфогрануломатоз, дерматофиброма и др.
Лечение мастотоциза
В лечении мастоцитоза применяют хлоргидрат ципрогептадина, ингибиторы серотонина, противоаллергические препараты (лемастин, цетиризин, фексофенадин), противовоспалительные (диклофенак, ибупрофен), ПУВА-терапию. При системном мастоцитозе назначают цитостатики, при буллезных проявлениях — кортикостероиды. Отдельные мастоцитомы могут быть удалены хирургически.
К сожалению, не смотря на современные достижения в медицине и фармакологии, существующие способы лечения мастоцитоза зачастую оказываются недостаточно эффективными.
Читайте также:
- Строма костного мозга. Роль стромы костного мозга в регуляции кроветворения.
- Рентгеноанатомия верхней челюсти. Резцы и клыки на рентгеновском снимке.
- Нейроаллергия. Методы диагностики нейроаллергии
- Влияние ритмических колебаний на эпилепсию. Влияние сна на эпилепсию
- Рекомендации по скринингу рака яичника (РЯ)
