КТ, МРТ остеохондромы позвоночника
Добавил пользователь Владимир З. Обновлено: 29.12.2025
Как любом отделе позвоночника опухоли могут быть экстрадуральными, интрадуральными экстра- и интрамедуллярными. МРТ СПб позволяет выбирать место выполнения МРТ поясничного отдела позвоночника, мы рекомендуем Вам обследоваться у нас. Поясничный отдел позвоночника имеет некоторую специфику. Именно с ее учетом мы проводим МРТ в СПб в наших центрах.
Среди экстрадуральных опухолей на первом месте стоит метастатическое поражение. Стандартный протокол МРТ исследования позвоночника при подозрении на метастатическое поражение состоит из Т1-зависимых сагиттальных МРТ и Т2-зависимых МРТ с подавлением сигнала от жира. Литические метастазы замещая костный мозг выглядят гипоинтенсивными на Т1-зависимых МРТ позвоночника. На Т2-зависимых МРТ позвоночника они могут быть гипоинтенсивными, изоинтенсивными, если они склеротические, либо яркими, если они литические, особенно при подавлении сигнала от жира. Метастаз может диффузно поражать костный мозг позвонка или быть очаговым. На самой ранней стадии диффузного поражения при МРТ позвоночника заметно исчезновение сигнала от вертебробазилярной вены, процесс захватывает ножки дуг и задние структуры позвонка. Распространение на мягкие ткани вдоль позвоночника лучше видно на Т1-зависимых корональных МРТ, а сдавление спинного мозга на сагиттальных МРТ позвоночника. На последнем этапе желательны контрастированные Т1-зависимые МРТ в сагиттальной и поперечной плоскостях. Чуствительность МРТ позвоночника превышает 90%, что заметно превосходит радионуклидную диагностику. В плане отличия метастазов и доброкачественных заболеваний МРТ позвоночника не абсолютно надежна. Дифференциальная диагностика с гематологической патологией – плазмоцитомой, лимфомой и лейкозами практически невозможна и требует аспирационной биопсии. Реакцией костного мозга на МРТ позвоночника, напоминающей метастатическое поражение, сопровождаются доброкачественные переломы. Однако МРТ сигнал выраженно неоднородный, задние структуры и костный мозг в заднем отделе тела позвонка остаются интактными. Более надёжным в плане дифференциальной диагностики является использование диффузионное-взвешенных МРТ позвоночника. При доброкачественном переломе через 1 – 3 месяца сигнал возвращается к норме.
Метастазы в позвонки. Т2-зависимая МРТ.
Первичные опухоли позвонков встречаются гораздо реже метастатических.
Остеосаркома – злокачественная опухоль, составляет 20% от всех сарком и около половины всех костных опухолей. Позвоночник поражается очень редко. При МРТ образование гипоинтенсивное на Т1- и смешанное на Т2-зависимых томограммах, контрастирование хорошее.
Остеосаркома крестца. Сагиттальная Т1-зависимая МРТ с контрастированием.
Фибросаркома – редкая злокачественная опухоль. Встречается в возрасте от 30 до 60 лет, без половой предрасположенности. Позвоночник поражает исключительно редко. При МРТ отличается обширной костной деструкцией и параспинальным компонентом.
Фибросаркома крестца. Т1-зависимая МРТ.
Хордома – доброкачественная опухоль из остатков нотохорды. Может располагаться по средней линии в любом месте от ската до копчика. При МРТ сигнал от опухоли неоднородный, рост её инвазивный, опухоль чаще контрастируется, но встречаются случаи неконтрастирующейся хордомы.

Хордома крестца. Сагиттальные Т1- и Т2-зависимые МРТ.
Множественная миелома (плазмоцитома, миеломная болезнь) – доброкачественная опухоль из плазматических клеток костного мозга. Критериями диагностики плазмоцитомы служат выявление в аспирате костного мозга не менее 10-15% плазматических клеток плюс очаги, выявляемые лучевыми методами, плюс моноклональные иммуноглобулины в моче (белки Бенс-Джонса и т.п.) и крови. Выживаемость при плазмоцитоме без лечения составляет до одного года, при лечении – 2-3 года. При МРТ признаки неспецифические – очаги высокого сигнала на Т2-зависимых и низкого на Т1-зависимых МРТ, контрастирование очагов хорошее.
Множественная миелома. Сагиттальная Т1-зависимая МРТ после контрастирования.
Эозинофильная гранулёма (гистиоцитоз X) – представляет собой один из доброкачественных вариантов гистиоцитоза из клеток Лангерганса. Встречается в возрасте от 2 до 30 лет, пик частоты приходится на возраст 5-10 лет. Соотношение полов М:Ж как 3:2. Опухоль типично локализуется в черепе, нижней челюсти, рёбрах, длинных трубчатых костях, костях таза, реже в позвонках. Обычно наблюдается самостоятельный регресс заболевания в течение 2 лет. Встречается компрессионный перелом тела позвонка. В стадии заживления вокруг очага может быть склероз. При МРТ признаки неспецифические – очаг гиперинтенсивный на Т2-зависимых МРТ и гипоинтенсивный на Т1-зависимых МРТ, контрастирование хорошее.
Интрадуральные экстрамедуллярные опухоли расположены в дуральном мешке внутри позвоночного канал, но за пределами спинного мозга. Такие опухоли обычно происходят из корешка конского хвоста (невриномы и нейрофибромы) или дурального мешка (менингиомы).
Невриномы (шванномы) и нейрофибромы составляют примерно половину экстрадуральных опухолей. Невриномы почти всегда одиночные, инкапсулированные, располагаются в любом отделе, но чуть чаще в поясничном или верхнем шейном. Множественные невриномы встречаются исключительно редко при нейрофиброматозе типа II . Нейрофибромы состоят из шванновских клеток и фибробластов, некоторые окружают задний корешок. Они почти всегда множественные и связаны с нейрофиброматозом типа I (болезнь Реклингхаузена). Рост по типу вид “песочных часов” не типичен для поясничной локализации.
На МРТ Т1-зависимого типа и невриномы, и нейрофибромы изо- или слегка гипоинтенсивны по отношению к спинному мозгу. Однако, встречаются случаи и повышенного сигнала за счет сокращения Т1 мукополисахаридами, связанными с водой. Протонная плотность повышена, а на Т2-зависимых МРТ они чаще неоднородные, могут быть очень яркие участки, где имеется высокое содержание воды, и сравнительно низкого сигнала, особенно в центре. Обе опухоли хорошо контрастируются. По форме невриномы округлые, границы ровные, четкие. При МРТ видно, что нейрофибромы вытянуты вдоль корешка. Размеры могут быть самыми различными.
Нейрофиброма. Сагиттальная Т1-зависимая МРТ с контрастированием.
Менингиомы составляют до экстрадуральных 40% опухолей, но только 3% – в поясничном отделе. Обычно менингиомы диагностируются в возрасте около 40-50 лет. Редко спинальные менингиомы встречаются у детей (3-6% от всех случаев менингиом) как проявление нейрофиброматоза II типа. При этом заболевании менингиомы могут быть множественные, что составляет около 2% от случаев менингиом. Происходят менингиомы из паутинной оболочки. Они инкапсулированы, имеют широкое основание, хорошо васкуляризированы, часто содержат кальцинаты и редко подвергаются кистозной дегенерации. У женщин встречаются в 4 раза чаще, чем у мужчин. Растут они очень медленно.
На Т1-зависимых МРТ менингиомы изоинтенсивны спинному мозгу. На Т2-зависимых МРТ фибробластные менингиомы, как правило, низкого сигнала, в то время как другие гистологические варианты обычно умеренно повышенного сигнала. Контрастирование при МРТ быстрое и равномерное , иногда охватывающее и прилегающую твердую мозговую оболочку (“дуральные хвосты”). По форме менингиомы на МРТ обычно полукруглые, с широким основанием, обращенным к оболочке. Четко очерчены. Рост по типу “песочных часов” нетипичен.

Менингиома. Т1-зависимая МРТ с контрастированием.
Интрадуральные экстрамедуллярные метастазы (дроп-метастазы, лептоменингеальный карциноматоз) происходят они из злокачественных опухолей ЦНС и распространяются вдоль мягкой мозговой оболочки с током ликвора. Чаще они наблюдаются в детском возрасте. Отдаленные лептоменингеальные метастазы из раковых узлов, меланом и лимфом, занесенные через кровоток или по лимфатическим путям, встречаются исключительно редко. Характерная локализация лептоменингеальных метастазов в поясничном отделе.
Иногда на Т1-зависимых МРТ удается увидеть узлы изоинтенсивные корешкам конского хвоста. На Т2-зависимых МРТ они часто сливаются с ликвором. Поэтому если у больного опухоль, известная частым метастазированием, надо обязательно выполнять МРТ с контрастированием. Вместе с тем, отсутствие метастазов по результатам МРТ должно быть дополнительно подтверждено многократным цитологическим анализом ликвора.
Эпендимомы экстрамедуллярной локализации растут из конуса и конечной нити. По гистологии относятся к миксопапиллярному типу. Составляют около 13% от всех спинальных эпендимом. Диагностируются в возрасте около 40 лет и чуть чаще у мужчин. Хотя относятся к градации 1, встречается диссеминация с током ликвора.
На Т1-зависимых МРТ эпендимомы изоинтенсивны спинному мозгу. На Т2-зависимых МРТ они гиперинтенсивны . Обычно хорошо и равномерно контрастируются при МРТ, хотя встречается и периферический тип усиления. Изредка встречается субарахноидальная диссеминация. Может наблюдаться высокое содержание белка в ликворе, что проявляется повышенным сигналом от него на Т1-зависимых МРТ. При этом корешков при МРТ не видно.

Миксопапиллярная эпендимома. Сагиттальная Т1-зависимаяМРТ после контрастирования.
Ганглионеврома (параганглиома) происходит из клеток автономной нервной системы. Частота составляет 1 случай на 100 тыс. населения. Это особый тип опухолей, который может локализоваться в любом месте, где есть подобные клетки. Спинальная ганглиневрома обычно имеет экстрадуральный тип роста, но изредка встречается и интрадуральный. Проявляется в возрасте 40 – 50 лет. Чуть чаще наблюдается у мужчин.
На Т1-зависимых МРТ опухоль изоинтенсивна спинному мозгу. На Т2-зависимых МРТ она гиперинтенсивна, причем может быть видна фиброзная капсула. Контрастное усиление при МРТ хорошее, но неравномерное. Так как интрадуральная параганглиома локализуется в области конского хвоста и конечной нити отличить ее от эпендимомы по МРТ признакам невозможно.

Ганглионеврома конского хвоста. Сагиттальная Т1-зависимая МРТ после контрастирования.
Интрамедуллярные опухоли располагаются непосредственно в спинном мозге. Поскольку спинной мозг обычно заканчивается на уровне первого поясничного позвонка, опухоли происходят из конского хвоста.
Эпендимома у взрослых локализуется в области конского хвоста и конечной нити, эти эпендимомы относятся к миксопапиллярному подтипу. Эпендимомы растут медленно по длиннику спинного мозга, вызывая со временем эрозию ножек и задних отрезков тел позвонков.
Также как и астроцитома, эпендимома гипоинтенсивна на Т1-зависимых МРТ и гиперинтенсивна на Т2-зависимых МРТ. После контрастирования на МРТ за счет капсулы виден как четко очерченный однородный узел.
КТ, МРТ остеохондромы позвоночника
Лучевая диагностика остеохондромы позвоночника
а) Терминология:
1. Сокращения:
• Остеохондрома (ОХ)
• Врожденные множественные экзостозы (ВМЭ)
2. Синонимы:
• Костно-хрящевой экзостоз, экзостоз
• ВМЭ, или диафизарная аклазия, множественные хрящевые экзостозы
3. Определения:
• Покрытое хрящевым колпачком костное разрастание, являющееся непосредственным продолжением материнской кости
б) Визуализация:
1. Общие характеристики остеохондромы позвоночника:
• Наиболее значимый диагностический признак:
о Костное образование в виде «цветной капусты» на широком основании или на ножке, кортикальные стенки и костномозговое пространство которого являются непосредственным продолжением таковых у материнской кости
• Локализация:
о Кости, формирующиеся посредством энхондральной оссификации:
- Чаще всего метафизы длинных трубчатых костей (85%), особенно образующих коленный сустав
о Позвоночная локализация - Шейный отдел (50%, в основном С2)> грудной отдел (Т8 > Т4 > другие уровни) > поясничный отдел >> крестец
- Остистые/поперечные отростки >тела позвонков
• Размеры:
о На момент диагностики размеры варьируют; 1 -10 см
2. Рентгенологические данные остеохондромы позвоночника:
• Рентгенография:
о Костное образование на широком основании/на ножке с воронкообразным расширением кортикальных стенок материнской кости в области прикрепления остеохондромы (ОХ)
о Хрящевой колпачок виден только при его выраженной минерализации
3. КТ при остеохондроме позвоночника:
• Бесконтрастная КТ:
о Костное образование на широком основании или на ножке о Непрерывность кортикального слоя и костномозгового пространства с материнской костью
о Признаки хондроидной кальцификации хрящевого колпачка
• КТ с КУ:
о Может отмечаться периферическое усиление и усиление визуализации перегородок в хрящевом колпачке
4. МРТ при остеохондроме позвоночника:
• Т1-ВИ:
о Гиперинтенсивность центральной зоны (костного мозга), окруженная гипоинтенсивным кортикальным слоем
о Гипо-/изоинтенсивный хрящевой колпачок, образованный гиалиновым хрящом
• Т2-ВИ:
о Изо- или гипоинтенсивность центральной зоны (костного мозга), окруженная гипоинтенсивным кортикальным слоем
о Гиперинтенсивный хрящевой колпачок, образованный гиалиновым хрящом
• Т1-ВИ с КУ:
о Может отмечаться периферическое усиление и усиление сигнала перегородок в хрящевом колпачке
5. УЗИ при остеохондроме позвоночника:
• Монохромное УЗИ:
о Гипоэхогенный неминерализированный хрящевой колпачок достаточно легко отличить от окружающей жировой ткани и мышц
о Минерализация хрящевого колпачка и костная ножка → задняя акустическая тень
6. Радиоизотопные методы исследования:
• Костная сцинтиграфия:
о Результаты вариабельны; прямая корреляция с энхондральным костеообразованием
- Усиление захвата изотопа = метаболически активная остеохондрома
- Отсутствие усиления захвата изотопа = неактивная остеохондрома
7. Рекомендации по визуализации:
• Наиболее оптимальный метод диагностики:
о МРТ
• Протокол исследования:
о МРТ позволяет оценить размеры хрящевого колпачка, состояние смежных нервных и костно-мышечных структур
о КТ позволяет оценить степень минерализации образования, подтвердить непрерывность его с костномозговыми пространствами позвонка

(Слева) Аксиальный срез, Т1-ВИ: костномозговое пространство остеохондромы, расположенное в просвете спинномозгового канала, с преимущественно гипоинтенсивным хрящевым колпачком, вызывающим стеноз шейного отдела позвоночника и сдавление спинного мозга.
(Справа) Сагиттальный КТ-срез шейного отдела позвоночника ребенка: костное образование на ножке исходящее из остистого отростка С4. Образование несколько пролабирует в направлении кожных покровов.
в) Дифференциальная диагностика остеохондромы позвоночника:
1. Хондросаркома:
• Изолированное или вторичное вследствие злокачественной трансформации ОХ образование
• Литическое деструктивное образование со склерозированными границами и мягкотканным компонентом
• Хондроидный матрикс («кольца и дуги», 50%)
2. Остеобластома:
• Экспансивное образование, обычно локализующееся в задних элементах
• Литическое образование с костным матриксом, узкая переходная зона
3. Аневризмальная костная киста (АКК):
• Экспансивное литическое образование
• Многокамерное, с уровнями жидкости
4. Опухолевый кальциноз:
• Кальцифицированное периартикулярное объемное образование
• Поражение позвоночника бывает нечасто
5. Энтезопатия:
• Диффузный идиопатический скелетный гиперостоз, анкилозиру-ющий спондилит, псориатическая артропатия, нарушение обмена кальция

(Слева) Сагиттальный срез, Т1-ВИ: объемное образование вида «цветной капусты», характеризующееся гетерогенной интенсивностью сигнала, исходящее из левого дугоотростчатого сустава L5-S1. Гиперинтенсивность Т1 -сигнала отражает элементы костного мозга.
(Справа) Фронтальный КТ-срез: остеохондрома, исходящая из левых задних элементов грудного позвонка. Кортикальная пластинка и костномозговое пространство образования являются непосредственным продолжением таковых у подлежащей кости. Смежные ребра оттеснены.
г) Патология:
1. Общие характеристики остеохондромы позвоночника:
• Этиология:
о Идиопатические причины, травма, недостаточность перихондрального кольца:
- Грыжеподобное выпячивание периферической порции эпифизарного хряща за пределы ростковой пластинки
- Стимуляция метаплазии хрящевых клеток, энхондральное костеообразование → костная ножка
о ОХ, индуцированные облучением:
- Наиболее распространенная постлучевая доброкачественная опухоль:
Частота 6-24%
- Доза облучения в 1 500-5500 сГр; развивается в периферической области зоны облучения:
Возраст пациентов на момент проведения лучевой терапии >2 лет
Продолжительность латентного периода 3-17 лет
- Гистологически и рентгенологически идентичны другим экзостозам
• Генетика:
о Врожденные множественные экзостозы:
- Аутосомно-доминантный механизм наследования
- Ген экзостозов (множественных) 1 (или ЕХТ1) в длинном плече 8 хромосомы; кодирует структуру белка экзостозина 1
- Ген экзостозов (множественных) 2 (или ЕХТ2) в коротком плече 11 хромосомы; кодирует структуру белка экзостозина 2
- Ген экзостозов (множественных) 3 (или ЕХТЗ) в коротком плече 19 хромосомы; кодирует структуру белка экзостозина 3
- Инактивация одного гена семейства EXT → экзостоз; последующая инактивация второго гена → злокачественная трансформация
• Доброкачественная хрящевая опухоль скелета:
о 9% всех костных опухолей, наиболее распространенная доброкачественная костная опухоль (30-45%)
о Быстрый рост, болевой синдром, продолжение роста опухоли с формированием хрящевого колпачка толщиной > 1,5 см по завершении созревания костей скелета могут свидетельствовать о злокачественной трансформации остеохондромы в хондросаркому
о Осложнения остеохондром включают деформации, переломы, сосудистую недостаточность, неврологический дефицит, формирование бурс и злокачественную трансформацию
• Остеохондрома (ОХ) позвоночной локализации встречаются редко: 1-5% спорадических ОХ, 1-9% при ВМЭ:
о Узкая ножка или широкое основание, непрерывность кортикальной пластинки и костномозгового пространства
о Толщина гиалинового хрящевого колпачка обратно пропорциональна возрасту пациента
• Многие позвоночные остеохондромы (ОХ) существуют бессимптомно:
о Могут становиться причиной механического импинджмента
о Могут сдавливать спинной мозг или его корешки
2. Макроскопические и хирургические особенности:
• Костное образование, кортикальные стенки которого и костномозговое пространство являются продолжением таковых у материнской кости
• Хрящевой колпачок может быть толстым, иметь бугристую блестящую серо-голубую поверхность (у молодых пациентов) или иметь толщину в несколько миллиметров либо отсутствовать вовсе (у взрослых)
3. Микроскопия:
• Зрелая хрящевая ткань, губчатая и кортикальная костная ткань
• Гистологическое строение хрящевого колпачка отражает классическую картину зоны росткового хряща

(Слева) Аксиальный срез, Т1-ВИ: крупная остеохондрома, исходящая из остистого отростка L4, центральное костномозговое пространство характеризуется гиперинтенсивностью сигнала, периферический хрящевой колпачок гипоинтенсивен. В области правого подвздошного гребня видна остеохондрома более классического вида «цветной капусты».
(Справа) Аксиальный КТ- срез, пациент с ВМЭ: визуализируется небольшой костный вырост в области левого корня дуги позвонка с признаками кортико-медуллярной непрерывности с подлежащей костью.
д) Клинические особенности:
1. Клиническая картина остеохондромы позвоночника:
• Наиболее распространенные симптомы/признаки:
о Нередко бессимптомное течение, становится случайной находкой при рентгенологическом исследовании
о Пальпируемое объемное образование
о Механический импинджмент суставов, мышц
• Другие симптомы/признаки:
о Миелопатия или радикулопатия, чаще при ВМЭ
о Стеноз спинномозгового канала может служить предрасполагающим фактором к повреждению спинного мозга при минимальной травме
о Неврологический дефицит со стороны черепных нервов
о Объемное образование глотки
о Сколиоз
2. Демография:
• Возраст:
о Пик заболеваемости = 10-30 лет
о Большинство случаев ВМЭ диагностируется в возрасте до пяти лет и практически все - к 12 годам
• Пол:
о М:Ж = 3:1
• Эпидемиология:
о Частота солитарных ОХ неизвестна, поскольку многие из них существуют бессимптомно
о Частота ВМЭ в западных популяциях составляет 1 на 50-100 тыс., частота среди представителей народности чаморро1 достигает 1:1 000
3. Течение заболевания и прогноз:
• Частота местных рецидивов после хирургического лечения не превышает 2%
• Доброкачественные образования: отсутствие потенциала к метастазированию
• Злокачественная трансформация характерна менее, чем для 1% солитарных образований и для 3-5% остеохондром (ОХ) при ВМЭ:
о Продолжение роста или усиление болевого синдрома после завершения созревания скелета, увеличение толщины хрящевого колпачка (> 1,5 см у взрослых)
4. Лечение остеохондромы позвоночника:
• Консервативное при бессимптомном течении
• Хирургическая резекция, коррекция деформации при клинически значимых ОХ
е) Диагностическая памятка:
1. Следует учесть:
• Множественная локализация → скорее всего ВМЭ
• Необходимо оценить толщину хрящевого колпачка в контексте возраста пациента
2. Советы по интерпретации изображений:
• При размерах хрящевого колпачка > 1,5 см у взрослых пациентов должно возникать подозрение о злокачественной трансформации ОХ (хондросаркома)
• Рентгенологическая картина достаточно патогномонична
а) Терминология:
1. Синонимы:
• Экзостоз, солитарная остеохондрома, костно-хрящевой экзостоз
2. Определение:
• Костное патологическое разрастание с хрящевой крышкой, а также кортикальным слоем и костномозговым каналом, непрерывно связанными с подлежащей костью
1. Общая характеристика:
• Локализация:
о Метафизы или их эквиваленты (редко диафизы)
о В 95% поражаются конечности:
- Бедренная кость (30%) > большеберцовая кость (20%) > плечевая кость (10-20%)
- Нижняя конечность > верхняя конечность (2:1)
- 40% в области коленного сустава
- 10% мелкие кости кистей, стоп
- Плоские кости поражаются реже длинных трубчатых: таз (5%) и лопатка (4%)
- Позвоночник (2%)
(Слева) Рентгенография в ПЗ проекции: типичный экзостоз, развивающийся на ножке из метафиза с неизмененной подлежащей костью. Ножка и кость скрыты кальцинированным матриксом, расположенным в структуре патологического очага, преимущественно на периферии. По результатам данной рентгенографии невозможно оценить размер хрящевой крышки.
(Справа) МРТ, аксиальная проекция, режим Т2: у этого же пациента визуализируется нормальные кортикальный слой и костномозговой канал, являющиеся продолжением неизмененной подлежащей большеберцовой кости. Тонкая и равномерная высокоинтенсивная хрящевая крышка В подтверждает наличие доброкачественной остеохондромы. (Слева) Рентгенография в ПЗ проекции: крупный экзостоз, развивающийся из подвздошного гребня. Других признаков злокачественных изменений, за исключением значительного размера, не определяется.
(Справа) КТ, аксиальная проекция: у этого же пациента визуализируется экзостоз. Имеются основания говорить об утолщении хрящевой крышки. Однако этот юноша 19 лет только достиг зрелости скелета, и толщина хрящевой крышки уменьшиться до ожидаемой. (Слева) МРТ, аксиальная проекция, режим T1: в жировом ложе визуализируется экзостоз. Визуализируются нормальные кортикальный слой и костномозговой канал; размер хрящевой крышки, с учетом возраста, не выглядит чрезмерным.
(Справа) МРТ, аксиальная проекция, режим Т2, с подавлением сигнала от жира: у этою же пациента дополнительных признаков злокачественною перерождения экзостоза не выявлено. К сожалению, МРТ признаки не всегда имеют диагностическую ценность. Новообразование, с учетом его размера, было удалено. Признаков злокачественною перерождения при гистологическом исследовании выявлено не было.
2. Рентгенографические данные остеохондромы:
• Рентгенография:
о Состоит из ножки, костного мозга и кортекса, непрерывно связанных с подлежащей костью:
- Возле сустава стремится в сторону от суставной щели, развиваясь по ходу сил, генереруемых расположением связок и сухожилий
- Новообразования в области таза, к моменту их обнаружения могут достигать огромных размеров
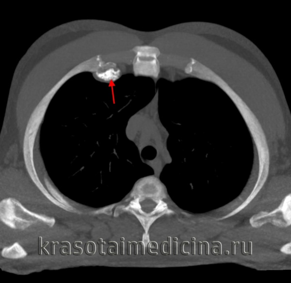
- Новообразования ребер чаще всего развиваются из реберно-хрящевых соединений; могут принимать вид легочных узлов
- Возможна сопутствующая деформация сопряженных костей (во всем остальном не измененных):
Деформации ребер на фоне экзостозов лопатки
Деформация таза на фоне экзостоза проксимального отдела бедренной кости
Деформация проксимального или дистального отдела большеберцовой, малоберцовой кости
о Образование может иметь широкое основание, имитируя расширение метафиза
о В структуре хрящевой крышки и костномозгового канала могут визуализироваться признаки энхондральной кальцификации:
- Кальцификация в виде дуг и колец, а также точечная или хлопьевидная кальцификация
о Хрящевая крышка тонкая, при рентгенографии обычно не оценивается:
- Размер можно предположить по растянутым жировым плоскостям или имеющейся кальцификации
о На дегенерацию патологического очага в хондросаркому могут указывать:
- Костная деструкция
- Изменение характера кальцификации (рассеянная или в виде «снежной бури»)
- Увеличение хрящевой крышки, определяемое по растянутым жировым плоскостям
3. КТ при остеохондроме:
• Дублирует рентгенографические признаки; позволяет более четко оценить характер взаимоотношения между патологическим образованием, кортексом и костномозговым каналом
• Оценка толщины хрящевой крышки возможна при ее минерализации или при небольшой толщине покрывающих мягких тканей; в противном случае оценка затруднена
4. МРТ при остеохондроме:
• Нормальный костный мозг, распространяющийся в экзостоз
• Кортекс неразрывно связан с подлежащей костью
• Волнообразная крышка из гиалинового хряща у взрослых не превышает 1 см по ширине:
о Крышка характеризуется дольчатым сигналом высокой интенсивности в последовательностях, чувствительных жидкости (в режиме Т1 интенсивность сигнала от низкой до средней)
о Крышка покрыта тонкой надхрящницей, характеризующейся сигналом низкой интенсивности в режимах Т1 и Т2
о У молодых, активно растущих пациентов нормальный хрящ характеризуется другими признаками:
- Может быть до 3 см толщиной
- Отчетливая неоднородность во всех последовательностях
• Минерализованные зоны в структуре крышки и экзостоза сохраняют низкоинтенсивный сигнал во всех последовательностях
• Накопление контрастного вещества ограничено тонкой фиброзно-васкулярной тканью, покрывающей (не накапливающую) хрящевую крышку и тонкой перегородкой в структуре крышки
• Мягкотканный компонент отсутствует
• Может визуализироваться жидкостное содержимое лежащей сверху сумки: сигнал высокой интенсивности в режиме Т2, контрастное вещество не накапливается:
о Характеристики сигнала могут меняться при воспалительных, инфекционных или геморрагических изменениях
о Выстилка сумки может подвергаться метаплазии с развитием синовиального хондроматоза
• Вторичные механические изменения экзостоза:
о Отек костного мозга на фоне травмы или импиджмента
о Перелом ножки: линейный перелом с перифокальным отеком
• Нейроваскулярные изменения:
о Псевдоаневризма (особенно в подколенной ямке)
о Вытягивание/смещение нерва над остеохондромой
- Сопровождается денервационными изменениями с гипертрофией или артрофией мышцы
5. УЗИ при остеохондроме:
• Толщина и равномерность хрящевой крышки может быть определена при УЗИ при небольшой глубине залегания патологического образования
• Неминерализованная крышка характеризуется гипоэхогенностью, что отличает ее от окружающих гиперэхогенных жира и мышцы
• Минерализация в структуре крышки → акустическая тень
6. Радионуклидная диагностика:
• При сцинтиграфии доброкачественные остеохондромы характеризуются накоплением, связанным с наличием дополнительной кости, а также с энхондральной оссификацией в структуре крышки
• Хондросаркома может характеризоваться более интенсивным накоплением, что, однако, не является надежным отличительным признаком злокачественного процесса
7. Рекомендации по визуализации:
• Лучший метод визуализации:
о В большинстве случаев рентгенография позволяет установить диагноз
о МРТ для оценки осложнений
• Совет по протоколу:
о Накопление контрастного вещества имеет важное значение для:
- Дифференциации сумки от толстой хрящевой крышки
- Выявления хондросаркоматозных изменений
(Слева) На рисунке в аксиальной плоскости показана остеохондрома, развивающаяся из тела позвонка и компремирующая содержимое позвоночного канала.
(Справа) КТ, аксиальная проекция, костный режим: экзостоз тела позвонка, проникающий в спинномозговой канал. Кортикальный слой и костномозговая полость непрерывно связаны с материнским телом позвонка, что характерно для остеохондромы. Обратите внимание на то, что хрящевая крышка не визуализируется. Аксиальное расположение не характерно для солитарных остеохондром, но оно может удивительно часто встречаться у пациентов с множественными наследственными экзостозами. (Слева) Рентгенография в ПЗ проекции: крупное мягкотканное образование над слабозаметной остеохондромой. Экзостоз сложно визуализировать, однако он обладает стандартными характеристиками и развивается из метафиза, с которым связан ножкой, образованной нормальной костью. Растущее новообразование у взрослых должно наводить на мысль о перерождении в хондросаркому.
(Справа) МРТ, корональная проекция, режим T1: у этого же пациента визуализируется крупное новообразование, характеризующееся сигналом более высокой, чем мышечный, интенсивности с небольшим ассоциированным экзостозом. (Слева) МРТ, аксиальная проекция, режим Т1, с подавлением сигнала от жира, с контрастным усилением: у этого же пациента хорошо визуализируется экзостоз. Окружающее его образование, накапливающее контрастное вещество позволяет предполагать, что здесь имеется непростое жидкостное содержимое, что, однако, не типично для увеличенной хрящевой крышки. Формирование сумки над экзостозом было подтверждено при УЗИ и с помощью аспирации 300 мл чрезвычайно плотного желеобразного содержимого.
(Справа) МРТ, сагиттальная проекция, режим протонной плотности, с подавлением сигнала от жира: визуализируются признаки неврологических осложнений при остеохондроме. Крупный экзостоз с типичными внешними признаками натягивает, перекидывающийся через него седалищный нерв.
в) Дифференциальная диагностика остеохондромы:
1. Хондросаркома:
• Подразумевается, если:
о Рост новообразования сохраняется после созревания скелета
о Боль приобретает новый характер, не связанный с другими проявлениями экзостоза
о Отмечаются изменения характера кальцификации матрикса, появляется деструкция кости или мягкотканный компонент
о Толщина хрящевой крышки > 1 см
2. Паростальная остеосаркома:
• Развивается из кортикальной поверхности, но не имеет связанной с подлежащей костью костномозговой полости
• Дифференциальная диагностика затруднена только при очень крупных образованиях; исследование в аксиальной проекции позволяет снять вопросы
3. Юкстакортикальный оссифицирующий миозит:
• Зрелый миозит может иметь схожую с экзостозом хорошо организованную трабекулярную структуру
• Миозит может вызывать периостальную реакцию, но очаг не связан с подлежащим кортикальным слоем и костномозговым каналом
(Слева) Рентгенография в ПЗ проекции: определяются признаки осложнений при экзостозе. Рентгенография была выполнена на фоне остро возникшей боли. Визуализируется крупная метафизарная остеохондрома бедренной кости. Подозрение на развитие осложнений определили дальнейшее обследование.
(Справа) Рентгенография в боковой проекции в положении лягушки, этот же пациент: визуализируется классическая остеохондрома, развивающаяся из неизмененной подлежащей кости и содержащая кальцинированный матрикс. Обратите внимание на травматический перелом экзостоза, который, по-видимому, является причиной острых проявлений. (Слева) МРТ, корональная проекция, режим STIR: у этого же пациента проксимально визуализируется типичный экзостоз. Однако дистально определяется высокоинтенсивный сигнал сливного характера, который может быть расценен, как признак патологически утолщенной хрящевой крышки.
(Справа) МРТ, сагиттальная проекция, режим Т1, с подавлением сигнала от жира, с контрастным усилением: у этого же пациента определяется, что высокоинтенсивная «крышка» на самом деле представляет собой скопление жидкости. Над экзостозом может формироваться сумка, особенно на фоне травмы, как в этом случае. Вот почему «рост» новообразования при зрелом скелете не всегда указывает на злокачественное перерождение. (Слева) Рентгенография в ПЗ проекции: одиночный метафизарный очаг, непрерывно связанный кортикальным слоем и костномозговой полостью с подлежащей костью. Здесь суверенностью был диагностирован экзостоз.
(Справа) Рентгенография в ПЗ проекции, этот же пациент через год: визуализируются признаки роста новообразования, которое все еще имеет признаки неосложненного экзостоза. Рост экзостоза у пациентов с незрелым скелетом является ожидаемым, аналогично физарному росту. Вот почему «правило» о том, что экзостоз не должен расти, к детям не применимо.
1. Проявления:
• Типичные признаки/симптомы:
о Шишковидное образование большой продолжительности
о Механическая боль, обусловленная травмой или импиджментом
о Ограничение движений и шелкающие сухожилия на фоне импиджмента
• Другие признаки, симптомы:
о Импиджмент нерва:
- Обычно на периферии, в области коленного сустава
- Иногда, на фоне экзостоза ребра или позвонка развивается импиджмент спинного мозга
о Быстрое болезненное увеличение сумки, покрывающей экзостоз:
- Может претерпевать воспалительные, инфекционные или геморрагические изменения
о Сосудистые осложнения:
- Формирование псевдоаневризмы
- Артериальный или венозный стеноз, тромбоз
о Перелом ножки экзостоза
о Усиление выраженности болевого синдрома и/или увеличение размеров образования по мере созревания скелета позволяет предполагать перерождение в хондросаркому:
- Важно: в литературе имеются редкие упоминания о доброкачественных экзостозах с продолжающимся ростом у взрослых
- Экзостозы имеют склонность к перерождению, обычно в возрасте старше 30 лет
- Злокачественное перерождение претерпевают менее 1% солитарных экзостозов
- Составляют 8% от всех хондросарком
- Обычно высокодиффренцированы (67-85%)
3. Течение и прогноз:
• Рост экзостоза прекращается после созревания скелета
• Экзостоз может обусловливать осложнения со стороны сопряженных тканей
• Злокачественное перерождение претерпевают менее 1% солитарных экзостозов
4. Лечение:
• Динамическое наблюдение:
о Информирование пациента о риске дегенерации
о Рутинная рентгенография в динамике, обычно, не требуется; решение принимается индивидуально
• Лечение механических осложнений (формирование сумки, раздражение нерва, импиджмент и т.д.) осуществляется простой резекцией новообразования:
о Во избежание рецидива (<2%) надхрящницу необходимо резицировать
• При подозрении на перерождение остеохондромы в хондросаркому необходимо провести дополнительное исследование в полном объеме:
о При хондросаркоме выполняется широкая хирургическая резекция
е) Диагностическая памятка. Следует учесть:
• Параметры нормальной толщины хрящевой крышки до сих пор не определены; результаты одного исследования свидетельствуют, что:
о Хрящевая крышка о Хрящевая крышка >2,5 см соотносится с хондросаркомой
о Рекомендация: критерием для принятия решения о хирургической резекции экзостоза может являться толщина крышки, превышающая 1 см
ж) Список использованной литературы:
1. Gould ES et al: Osteochondroma of the hip with adjacent bursal chondromatosis. Skeletal Radiol. 43(12): 1743-8, 2014
2. Zhang Y et al: Solitary C1 spinal osteochondroma causing vertebral artery compression and acute cerebellar infarct. Skeletal Radiol. 44(2):299-302, 2014
3. Bernard SA et al: Improved differentiation of benign osteochondromas from secondary chondrosarcomas with standardized measurement of cartilage cap at CT and MR imaging. Radiology. 255(3):857-65, 2010
4. Bernard SA et al: Cartilage cap thickness measurement on T2-weighted MRI imaging and the risk of secondary chondrosarcoma in osteochondromas. Presented at Society of Skeletal Radiologists. March, 2008
5. Murphey MD et al: Imaging of osteochondroma: variants and complications with radiologic-pathologic correlation. Radiographics. 20(5):1407-34, 2000
Остеохондрома
Остеохондрома – доброкачественное опухолевидное образование, представляющее собой костный выступ, снаружи покрытый шапочкой из хрящевой ткани, а изнутри заполненный костно-мозговым содержимым. Обычно обнаруживается в области метафизов длинных трубчатых костей, по мере роста кости смещается ближе к ее средней части. Опухолевидные образования небольшого размера не сопровождаются никакими симптомами. Крупные остеохондромы могут вызывать боли и нарушения функции конечности. Патология диагностируется на основании данных осмотра и рентгенологического исследования. Лечение только хирургическое. Прогноз благоприятный.
МКБ-10


Общие сведения
Остеохондромой (от лат. osteon кость + chondr- хрящевой + oma опухоль)называется доброкачественное образование, представляющее собой дефект, возникший в процессе развития кости. Обычно располагается на длинных трубчатых костях поблизости от суставов, но по мере роста ребенка смещается в сторону диафиза. Реже обнаруживается на ребрах, костях таза, лопатке, позвонках и суставных костях ключицы. Как правило, заболевание протекает бессимптомно, однако при достижении большого размера может становиться причиной возникновения болевого синдрома и вызывать ряд осложнений.
Остеохондрома – самое распространенное доброкачественное поражение скелета, составляющее около 20% от общего числа первичных опухолей костей. Обычно выявляется в возрасте 10-25 лет. По окончании роста скелета рост образования чаще тоже прекращается, однако описаны и исключения.

Причины остеохондромы
Причины возникновения одиночных образований до конца не выяснены. Многие специалисты в области травматологии и ортопедии полагают, что это – порок развития кости, который растет параллельно с костями скелета. Кроме того, выделяют пострадиационные остеохондромы, которые образуются у больных, в детстве получавших лучевую терапию. Такие неоплазии обычно являются множественными, обнаруживаются у 12% пациентов, подвергавшихся облучению в дозе 1000-6000 рад. и могут образовываться не только в длинных трубчатых костях, но и в костях таза и позвоночника.
И, наконец, еще одной причиной образования множественных остеохондром является остеохондроматоз (другое название – множественная экзостозная хондродисплазия). Это заболевание носит наследственный характер, передается по аутосомно-доминантному типу и выявляется у молодых людей в возрасте до 20 лет.
Патогенез
Остеохондрома – плотное опухолевидное образование с блестящей и гладкой поверхностью. По своей структуре она одновременно напоминает диафизарную и суставную части нормальной кости. Сверху расположена хрящевая шапочка, покрытая тонким фиброзным слоем. Толщина шапочки может достигать 1 мм. У детей эта шапочка толще. По мере роста она истончается, а во взрослом возрасте может отсутствовать или представлять собой очень тонкую пластинку.
Под хрящом находится компактная костная ткань, под ней – губчатая кость. В центре располагается костно-мозговое вещество, связанное с костно-мозговым каналом «материнской» кости. В массе губчатой кости встречаются участки остеоида, обезыствленного хряща и аморфные массы. В некоторых случаях над костной опухолью формируется сумка, заполненная обезыствленными хрящевыми тельцами или «рисовыми тельцами», а также отложениями фибрина. Размер остеохондромы может значительно варьироваться и в большинстве случаев колеблется от 2 до 12 см. При этом в литературе описаны и образования большего диаметра.
Существуют типичные места локализации остеохондромы. Так, у 50% пациентов эти опухолевидные образования обнаруживаются в области дистального конца бедренной кости, а также проксимальных отделах большеберцовой и плечевой костей. В других случаях могут поражаться все остальные отделы скелета за исключением костей лицевого черепа – в этой области остеохондрома не возникает никогда. Сравнительно редко выявляется поражение костей стоп, кистей рук и позвоночника.
Симптомы остеохондромы
Опухоли небольшого размера протекают бессимптомно и становятся случайной находкой, когда пациент нащупывает у себя «шишку» на кости. Крупная остеохондрома может сдавливать мышцы, сухожилия и нервы. В таких случаях больные обращаются к врачам из-за болей или нарушения функции конечности. Еще одной причиной развития болевого синдрома может стать сумка, формирующаяся над областью поражения. В отдельных случаях причиной обращения за медицинской помощью становится перелом, спонтанный инфаркт в пораженной области или редкие осложнения остеохондромы – ложная аневризма подколенной артерии и тромбоз подколенной вены.
При пальпации выявляется плотное, неподвижное, безболезненное образование. Кожа над ним не изменена и имеет нормальную температуру. При образовании сумки над твердой опухолью может прощупываться еще одно, более мягкое и подвижное образование.
Диагностика
Диагноз выставляется на основании совокупности клинических и рентгенологических признаков. При этом решающую роль в постановке окончательного диагноза обычно играет рентгенография. Иногда в качестве дополнительных методов исследования также используется магнитно-резонансная томография и компьютерная томография.
На рентгенограммах выявляется изменение контуров кости, обусловленное наличием опухолевидного образования, связанного с основной костью широкой и толстой ножкой. Поверхностные отделы образования имеют неровные контуры и по своей форме могут напоминать цветную капусту. В отдельных случаях ножка отсутствует, и остеохондрома прилегает к «материнской» кости. Контуры остеохондромы четкие, непрерывные, непосредственно переходящие в контуры основной кости.
Хрящевая шапочка на рентгеновских снимках обычно не определяется за исключением случаев, когда в ней есть очаги кальцификации. Поэтому не следует забывать, что реальный диаметр остеохондромы может на 1-2 см превышать диаметр, определяемый по данным рентгенографии.
При подозрении на увеличение размеров хрящевой шапочки необходимо проведение магнитно-резонансной томографии. Постановка диагноза обычно не вызывает затруднений, однако в отдельных случаях заболевание бывает необходимо дифференцировать с остеомой, параостальной остеосаркомой, пароостальной костно-хрящевой пролиферацией и хондросаркомой, возникшей в результате озлокачествления остеохондромы.

Лечение остеохондромы
Лечением обычно занимаются травматологи-ортопеды. Единственная лечебная методика – хирургическое удаление опухолевидного образования в пределах здоровых тканей. Показанием к удалению как одиночных, так и множественных образований является нарушение функции конечности, выраженная деформация скелета, а также быстрый рост опухоли. Если показания к оперативному лечению отсутствуют, необходимо осуществлять наблюдение за пациентом и периодически повторять рентгенологическое исследование для оценки динамики процесса (наличие или отсутствие роста, изменение структуры). Операция проводится под общим наркозом в условиях стационара. Врач делает разрез над пораженной областью и выполняет краевую резекцию, удаляя опухоль вместе с основанием ножки. Костная пластика не требуется.
Прогноз и профилактика
Прогноз благоприятный, особенно – в случае одиночных образований. После хирургического лечения наступает стойкое выздоровление. Озлокачествление одиночных остеохондром наблюдается у 1-2% пациентов. При множественных образованиях риск малигнизации повышается до 5-10%. Неблагоприятными в прогностическом плане считаются увеличение толщины хрящевой шапочки более 1 см, увеличение диаметра остеохондромы более 5 см и внезапный быстрый рост опухолевидного образования, поэтому во всех перечисленных случаях пациентам предлагается хирургическое лечение. Профилактические меры не разработаны.
3. Эпидемиология опухолей скелета: учебно-методическое пособие/ Чернякова Ю.М., Иванов С.А., Ядченко В.Н. - 2012
Что лучше сделать - КТ или МРТ позвоночника?

Чтобы ответить на вопрос: “КТ или МРТ позвоночника - что лучше?”, нужно в первую очередь понять основные отличия физики процесса компьютерной томографии и магнитно-резонансного исследования. Вторым важным фактором является собственно цель обследования - что врач хочет визуализировать: кости, хрящи, сосуды, мягкие ткани. В медицине не бывает плохих или хороших методов диагностики, бывают исследования, которые лучше выявляют те или иные патологии. Поэтому нужно разобраться в вопросе, что показывает лучше МРТ, а что КТ позвоночника. Этим двум темам мы посвятим эту статью.
Отличия МРТ от КТ позвоночника
Основные отличия МРТ от КТ позвоночника кроются в принципе получения изображения. Современная компьютерная томография (или МСКТ - мультиспиральная компьютерная томография) основана на способности по-разному, в зависимости от плотности тканей, поглощать рентгеновское излучение. Особенности мультиспиральной компьютерной томографии позвоночника заключаются в том, что в ходе процедуры собираются множественные непрерывно перекрывающиеся срезы. Это дает возможность производить компьютерную обработку данных с последующим созданием объемных, так называемых 3D изображений и реконструкций. Полученные на МСКТ позвоночника снимки врачи могут рассматривать на экране с любой стороны как в режиме индивидуального просмотра, так и в режиме анимации, когда объект вращается вокруг своих осей. Используя специальные функции разворота и обрезки, можно выделить интересующую область и визуализировать ее с любой стороны. Это дает возможность медикам видеть скрытые структурные повреждения.
Послойное исследование спины с помощью КТ позвоночника позволяет обнаружить такие патологии, как:
- компрессионные переломы, травмы и трещины костей;
- рак и метастазы в костях;
- стеноз позвоночного канала;
- остеофиты и признаки остеопороза;
- опухоли костей - остеохондрома, энхондрома, хондробластома, остеоидостеома, миелома.
Пользуясь программными инструментами, рентгенолог может на изображения костных структур послойно наложить изображение мягких тканей внутренних органов, что позволяет выявить аномальные изменения во всей области позвоночника.
| Исследование | Цена | Цена МРТ 3 ТЛ | Акции |
|---|---|---|---|
| МРТ шейного отдела позвоночника | от 2700 руб. | от 5200 руб. | бесплатный прием невролога |
| МРТ грудного отдела позвоночника | от 2700 руб. | от 5200 руб. | бесплатный прием невролога |
| МРТ пояснично-крестцового отдела позвоночника | от 2700 руб. | от 5900 руб. | бесплатный прием невролога |
| МРТ копчика | от 2700 руб. | от 5200 руб. | бесплатный прием невролога |
| МРТ крестцово-подвздошных сочленений | от 2700 руб. | от 5200 руб. | бесплатный прием невролога |
| МРТ краниовертебрального перехода | от 2700 руб. | от 5200 руб. | бесплатный прием невролога |
| МРТ сосудов шеи | от 2700 руб. | от 8800 руб. | бесплатный прием невролога |
| МРТ трех отделов позвоночника | от 7000 руб. | от 13000 руб. | бесплатный прием невролога |
| МРТ грудного отдела и плеча | от 5300 руб. | от 11900 руб. | бесплатный прием невролога |
| МРТ ЦНС (МРТ 3 отделов позвоночника и МРТ головного мозга) | от 9500 руб. | от 18200 руб. | бесплатный прием невролога |
| МРТ позвоночника с контрастом | от 5500 руб. | от 7700 руб. | - |
МРТ или магнитно-резонансная томография строит свою работу на принципе ядерного магнитного резонанса. Томограф работает с ядрами атомов водорода, которые есть в клетках тканей, имеющих воду составным элементом. Сначала аппарат МРТ создает сильное магнитное поле, а затем начинает на него воздействовать радиочастотным излучением. Протоны атомов водорода клеток пациента, находясь под таким воздействием, начинают колебаться и выстраиваются вдоль магнитного поля на очень короткий срок. Затем они возвращаются на исходные позиции, выбрасывая энергию. Именно ее улавливает компьютер МР-томографа и декодирует в трехмерные объемные, анатомически очень точные изображения.
Поскольку для хорошей визуализации магнитно-резонансному томографу нужно много клеток с атомами водорода, то ткани с большим содержанием воды лучше всего визуализируются на МРТ снимках. Поэтому МР-томография позвоночника очень хорошо показывает:
- спинной мозг;
- нервные волокна;
- сосудистое русло;
- мягкие ткани (мышцы, сухожилия, связки, межпозвоночные диски).
С ее помощью врачи могут выявлять:
- все патологии мозговых оболочек каналов и вещества мозга;
- грыжи, протрузии, стеноз, спондилез;
- дегенеративные изменения в хрящевых структурах (например, остеохондроз);
- опухоли мягких тканей.


Что информативнее - КТ или МРТ позвоночника?
Информативная точность магнитно-резонансной и компьютерной томографии сопоставимы, а диагностическая ценность обследования зависит от целей исследования. Как при КТ, так и при МРТ позвоночника в ходе обследования у врачей есть возможность проведения 3D сканирования, которое позволяет увидеть исследуемый объект с разных сторон. В целом на МРТ лучше всего различаются мягкие ткани. Кости визуализируются хуже, поскольку в них мало атомов водорода, а резонанс от кальция отсутствует. КТ является предпочтительным методом диагностики при заболеваниях грудной клетки, костей таза, черепа и позвоночника.
МРТ позвоночника дает возможность хорошо визуализировать спинной мозг, мягкие ткани, грыжу межпозвоночного диска. В случаях, когда неврологам, травматологам и хирургам необходимо получить трёхмерную реконструкцию и исследовать кости позвоночника в разных плоскостях или диагностировать обызвествление межпозвоночного диска, применяется КТ позвоночника.
Достаточно часто врачам для безошибочной диагностики множественных повреждений позвоночника приходится прибегать одновременно к КТ и МРТ. Например, если пациент пришел с жалобой на боль в спине, его сначала направят на магнитно-резонансное исследование, чтобы проверить, могут ли быть причиной боли изменения в дисках, спинномозговом канале, нервных окончаниях или сосудах. Если в ходе МР-томографии снимки покажут наличие образований в костях, верификацию такой патологии нужно будет провести с помощью КТ позвоночника.
Что вреднее - КТ или МРТ позвоночника?
Компьютерная томография из-за лучевой нагрузки является более вредным методом обследования. Средняя доза лучевой нагрузки составляет 10 мЗв за одно сканирование. МРТ не таит в себе никакой потенциальной лучевой угрозы здоровью человека, но и у нее есть свои ограничения. Абсолютным противопоказанием к проведению магнитной томографии позвоночника станет:
- наличие кардиостимулятора, нейростимуляторов - любого вшитого электронного устройства;
- имплантов и других металлических предметов в организме.
Относительным ограничением к проведению томографии на закрытых высокопольных томографах может стать:
- большой вес пациента (130 кг и выше);
- панические атаки и ярко выраженная клаустрофобия;
- сильный болевой синдром, который не позволяет пациенту занять горизонтальное положение и лежать без движения в течение 15-30 минут.
У компьютерной томографии противопоказанием станет:
- беременность на любом сроке;
- непереносимость йодoсодержащих препаратов при КТ позвоночника с контрастом;
- накопленное лучевое облучение, которое превышает разрешенные нормы 20 мЗв в год.
Есть ряд исследований, доказывающих, что применение КТ у детей раннего возраста приводит к возникновению повышенного риска развития опухолевого поражения различной локализации в старшем возрасте, поэтому детям всегда предпочтительнее делать МРТ.
| Исследование | Цена | Скидки |
|---|---|---|
| МСКТ / КТ одного отдела позвоночника (шейного, краниовертебрального перехода, грудного, пояснично-крестцового, крестцово-подвздошных сочленений, копчика) | от 2300 руб. | Ночью |
| МСКТ / КТ сосудов шеи | от 3100 руб. | Ночью |
| МСКТ / КТ трех отделов позвоночника | от 6300 руб. | Ночью |
Грыжа позвоночника: МРТ или КТ - что лучше?
МРТ позвоночника лучше визуализирует грыжу и соседние мягкие ткани, поэтому врачу по ее результатам легче поставить точный диагноз и принять решение о необходимости хирургического или медикаментозного лечения.
Нужно сделать обследование шейного отдела позвоночника, КТ или МРТ выбирать?
В большинстве случаев начинать стоит с МРТ шейного отдела позвоночника - это более информативное обследование зоны шеи. Сразу КТ шейного отдела имеет смысл делать, если у вас есть перелом позвонков.
Гемангиома позвоночника: на МРТ или КТ делать исследование?
Гемангиома позвонка (вертебральная ангиома) — это самое распространенное доброкачественное новообразование позвоночника. Она одинаково хорошо диагностируется на компьютерной или магнитно-резонансной томографии.
Что лучше - КТ или МРТ пояснично-крестцового отдела позвоночника?
Если причиной обращения в диагностический центр является боль в пояснице, то следует сделать МРТ пояснично-крестцового отдела позвоночника, поскольку она покажет изменения как в костных, так и мягких тканях. Если у вас уже есть первичный диагноз, то решение о том, КТ или МРТ пояснично-крестцового отдела позвоночника нужно делать, должен принять лечащий врач на основе собранного анамнеза.

Специализация: Терапевт
Где ведет прием: МРТ центр и клиника РИОРИТ
- Васильев А.Ю., Витько Н.К. Компьютерная томография в диагностике дегенеративных изменений межпозвонковых дисков поясничного отдела позвоночника. //Радиология-практика. 2001.№1.
- Дмитриев А.Е., Мартынова Н.В. Компьютерная миело- и эпидурография (КМТ, КЭТ) в дифференциальной диагностике поражений спинного мозга и позвоночника.// Вестник рентгенологии. 1990. №5-6
- Лепарский Е.А., Китаев В.В. Новая методика KT и МРТ- исследования позвоночника- DynaWell™// Радиология — практика. 2004.№1.
- Орел A.M. Рентгенодиагностика позвоночника для мануальных терапевтов.
- Зедгенидзе г.А., Жарков П.Л. Методики рентгенологического и радиологического исследования позвоночника и крупных суставов. //Ташкент: Медицина. 1979 г.
- . Бокарев B.C. Компьютерная томография в диагностике дегенеративных заболеваний позвоночника / В.С.Бокарев, А.В. Савченко, С.К. Терновой // Вестник рентгенологии и радиологии. 1989. - №6.
- Нуриев З.Ш. Рентгеновская компьютерная томография паравертебральных мышц.// Вертебрология. 2002. №3-4.
- Grossman B.C. Magnetic reconance imaging and computed tomography of the head and spine.// 2nd ed.- Baltimore et. al.: Williams&Wilkins, 1996.
- Gualde G.F. Role of CT and MR in the assessment of lumbar degenerative disk disense.//Clin Ter. 1995.
Последние статьи о диагностике

Что показывает МРТ позвоночника
МРТ позвоночника - это неинвазивное обследование спины с помощью магнитно-резонансного томографа. Такое исследование осуществляют на аппаратах закрытого, полуоткрытого и открытого типа с контрастным усилением или без оного. Сканирование спины на томографе проходит по отделам:

Что показывает МРТ шейного отдела позвоночника
Сегодня многие неврологи клиник СПб при болевых синдромах в шее рекомендуют своим пациентам сделать МРТ шейного отдела позвоночника. Этот вид томографии прекрасно себя зарекомендовал и считается одним из наиболее информативных способов диагностики дегенеративно-дистрофических

Грыжа на МРТ поясничного, грудного и шейного отделов позвоночника
Одной из самых частых находок на МРТ позвоночника является грыжа, которая чаще всего располагается в шейном или пояснично-крестцовом отделах и реже в грудном. Она может проявляться клинически болью на том или ином участке спины, а может проходить бессимптомно. Боль в спине служит одним из самых частых поводов обращения к неврологу, при этом данный симптом присущ многим дегенеративным заболеваниям позвоночника от спондилеза до обычного мышечного спазма или дефанса.

Противопоказания к МРТ
Магнитно-резонансная томография - это безопасное обследование без лучевой нагрузки, но и она имеет ряд противопоказаний в зависимости от модели томографа и протокола обследования - с контрастом или без. Томография нашла широкое применение в нейрохирургической, онкологической, ортопедической и неврологической практике для исследования позвоночника, головного мозга, сосудов, суставов, внутренних органов и мягких тканей.
Читайте также:
- Содержание РНК в слизистой протезного ложа при длительном ношении протеза
- Клиника гемофилии - прогноз
- Дегисценция луковицы яремной вены - лучевая диагностика
- Лучевая диагностика дефекта соединения паренхимы почки
- Влияние тромболизиса на летальность. Анализ эффективности тромболизиса при инфаркте миокарда
