Лучевая диагностика дефекта соединения паренхимы почки
Добавил пользователь Евгений Кузнецов Обновлено: 21.01.2026
Введение. Более 500 миллионов человек во всем мире, или примерно каждый десятый взрослый житель нашей планеты, живут с различными заболеваниями почек, часто приводящими к инвалидности. В России же сегодня таких пациентов - более 15 миллионов, 60% из которых составляют люди молодого возраста, причем ежегодно сотни тысяч людей умирают преждевременно от осложнений заболевания [23]. Ввиду сказанного выше, ранняя диагностика патологии почек, оценка их функции, являются важными в практической деятельности каждого врача и будут способствовать выбору рациональных подходов к лечению каждого конкретного больного.
Основным методом в оценке функции почек занимает радиоизотопная диагностика. Она позволяет обнаружить нарушения функции почек уже в начальных стадиях заболевания, когда другие методы ещё малоинформативны. Клиницистов, в первую очередь, привлекают физиологичность методов радионуклидной индикации, его относительная несложность, высокая воспроизводимость и необременительность для пациента, а также возможность использования их в процессе мониторингового наблюдения. Важным является и то обстоятельство, что радионуклидные соединения можно использовать у больных с повышенной чувствительностью к рентгеноконтрастным веществам [0].
Радионуклидная диагностика - группа методов, основанных на визуализации органов и тканей путем внешней детекции (регистрации) ионизирующего излучения от введенного в организм радиоактивного индикатора - радиофармацевтического препарата (РФП), состоящего из молекулы-вектора, непосредственно участвующей в тканевом метаболизме, и сцепленной с нею радиоактивной меткой [6].
Основными показаниями к проведению радионуклидного обследования мочевыводящей системы (МВС) являются [14]:
- оценка индивидуальной ренальной функции;
- визуализация «нефункционирующей» почки при проведении внутривенной урографии;
- демонстрация эктопической почечной ткани;
- выявление врожденных аномалий;
- оценка проходимости почечной артерии;
- диагностика вазоренальной гипертензии;
- травма почек;
- острая и хроническая почечная недостаточность;
- инфекция мочевыводящих путей;
- оценка почечной обструкции;
- предоперационная оценка почечной функции;
- оценка функции мочевого пузыря;
- выявление пузырно-мочеточникового рефлюкса;
- в качестве альтернативного метода внутривенной урографии у пациентов, чувствительных к йоду;
- подготовка к трансплантации почки.
Радионуклидные методы исследования почек включают в себя [13]:
- ренографию (невизуализирующий метод);
- ангиореносцинтиграфию;
- динамическую сцинтиграфию почек;
- статическую сцинтиграфию почек.
Радионуклидная ренография
Этот метод является наиболее ранним среди радиоизотопных методов исследования функции почек. Впервые радионуклидная ренография была произведена пациенту в 1954 году. С тех пор метод претерпел некоторые изменения, но до сих пор используется особенно широко в педиатрии, что связано с его низкой инвазивностью и простотой применения. Специальной подготовки пациента не требуется. Детекторы для почек устанавливаются по центру проекции каждой почки согласно их анатомическому расположению. Третий датчик располагается над областью сердца; при наличии четвертого датчика он устанавливается в проекции мочевого пузыря. В качестве РФП для проведения ренографии много лет использовали меченный 131 I гиппуран [18].
В результате исследования получают кривые «активность-время» с области почек (собственно, ренограммы) и сердца. На ренографической кривой условно выделяют 3 сегмента [15]:
- Сосудистый - быстрый подъем кривой в первые секунды после инъекции РФП, отражающий поступление последнего в сосудистое русло и начало накопления в паренхиме почки;
- Секреторный - более пологое возрастание амплитуды ренограммы (до достижения максимума), обусловленное преимущественно накоплением РФП в канальцах;
- Экскреторный - снижение высоты ренографической кривой, обусловленное выведением индикатора из почки.
При визуальной оценке ренограмм, в первую очередь, учитываются их форма и симметричность. В норме ренографические кривые симметричны, характеризуются достаточно острым пиком и имеют все три сегмента.
Для оценки ренограмм используют следующие основные количественные показатели [19]:
- Тмакс - время достижения максимальной радиоактивности (в норме варьирует в пределах 2-4,5 мин);
- T1/2- период полувыведения препарата, то есть время снижения высоты ренограммы на 50% от максимального значения (в норме составляет 6-8 мин);
- Т1/2кр. - период полуочищения крови от препарата или время, за которое происходит двукратное снижение максимального уровня кривой клиренса крови (в норме колеблется от 10 до 14 мин);
При патологии, сопровождающейся изменением функции МВС, наблюдаются различные деформации ренографических кривых, наиболее характерными из которых являются: уменьшение остроты пика ренограммы, а также уплощение второго и/или третьего её сегментов. Существуют 4 основных типа изменений ренограмм при нарушении функции почек [16]:
- афункциональный – характеризуется снижением амплитуды сосудистого сегмента при отсутствии секреторного и экскреторного фрагментов кривой; наблюдается при нефункционирующей почке (врожденная аплазия или вторичное сморщивание) или её отсутствии;
- обструктивный, при котором не наступает снижения ренографической кривой в течение 20 мин и более после введения РФП; характерна для выраженного нарушения выделительной функции почки. Чтобы отдифференцировать истинную обструкцию мочевыводящих путей (при их стенозе или обтурации камнем) от дилатационной уропатии, внутривенно вводят лазикс. При обструктивной уропатии введение диуретика не отражается на форме кривой, а при функциональной задержке выведения РФП происходит быстрое снижение амплитуды ренограммы;
- гипоизостенурический - отмечаются выраженное снижение и удлинение секреторно-экскреторного участка кривой в сочетании с уплощенным пиком ренограммы; имеет место при выраженном изменении выделительной способности почек.
Повторный подъем на ренографической кривой - наблюдается при пузырно-мочеточниковом рефлюксе [11, 31].
Таким образом, радионуклидная ренография позволяет оценить индивидуальную ренальную функцию путем изучения поглотительной и выделительной способности каждой почки. Однако метод имеет ряд существенных недостатков. К ним относятся [13]:
- проблемы, связанные с неправильной установкой детекторов над областью почек. Это в ряде случаев может привести к получению искаженных данных о функции каждой почки за счет излучения от контралатеральной почки;
- субъективность разделения ренограммы на сегменты, способная стать источником ошибок в расчете параметров ренограммы;
- регистрация фоновой радиоактивности гиппурана у больных с нефроптозом может привести к ложноположительному заключению о наличии нефункционирующей почки или её отсутствии; избежать этой ошибки позволяет повторное проведение исследования в положении больного лежа;
- невозможность коррекции фоновой активности РФП, распределенного в окружающих почки мягких тканях;
- технические сложности, связанные с разной чувствительностью детекторов, некорректной настройкой аппаратуры и т.д.
Однако основным недостатком радионуклидной ренографии была и остается невозможность визуальной оценки распределения индикатора в почечной паренхиме и выводящей системе. Все вышеизложенное обусловило то, что ренография как метод радионуклидной оценки функции почек уступает свои позиции более совершенному методу динамической сцинтиграфии – МВС, которая для получения наиболее полной информации может проводиться в сочетании с ангиосцинтиграфией почек [13].
Ангиосцинтиграфия почек выполняется для диагностики одно- и/или двусторонних нарушений гемодинамики почек с количественной оценкой их степени и характера. В основе метода лежит регистрация прохождении внутривенно введенного болюса РФП по брюшной аорте и сосудам почек. Показанием к проведению ангиосцинтиграфии почек чаще всего является подозрение на вазоренальную артериальную гипертензию, вызванную стенозом почечных артерий, их тромбозом или эмболией [25, 29]. Ангиографическое исследование почек оказывается полезным и для оценки перфузии почечного трансплантата, а также при травме и других видах механического повреждения почек [5].
Исследование может быть выполнено с различными РФП, меченными короткоживущими нуклидами: 99тТс-пертехнетатом, 99тТс-ДТПА, 99тТс-МАГЗ, | 23 1- гиппураном [20].
В норме на серии сцинтиграмм визуализируются брюшной отдел аорты, почки, селезенка и печень, появляющиеся в указанной последовательности. У пациентов с монолатеральным стенозом почечной артерии визуально выявляются различия в степени перфузии почек и задержка появления одной из почек на серии ангиосцинтиграмм вследствие поражения соответствующей почечной артерии [8].
При отторжении трансплантированной почки поступление индикатора в неё в начальной стадии замедляется, а в далеко зашедших случаях - полностью отсутствует [7, 27]. При окклюзии почечной артерии на месте трансплантата выявляется фотопеническая зона. Травматическое повреждение почечных артерий проявляется гипоперфузией почек, варьирующей от снижения легкой степени до полного отсутствия кровоснабжения при разрыве ренальной «ножки» [9, 10].
Динамическая сцинтиграфия почек в настоящее время является наиболее распространенным методом радионуклидного исследования мочевыводящей системы и имеет ряд существенных преимуществ перед ренографией [12]:
- сцинтиграфия позволяет избежать ошибок, обусловленных некорректным расположением детекторов, поскольку в поле видения кристалла гамма-камеры находится вся область возможного расположения почек;
- возможность компьютерной обработки полученных изображений с коррекцией на вклад тканевого фона радиоактивности;
- визуализация почек с оценкой их анатомо-топографического состояния и уровня стеноза или обструкции мочеточника.
Метод основан на динамической регистрации радиоактивности в почках и крови после внутривенного введения нефротропного РФП, выводимого почками, и компьютерной обработке получаемых изображений [4].
Результатом динамической реносцинтиграфии является получение серии сцинтиграмм с изображением почек в различные временные интервалы. По нативным сцинтифото выбирают зоны интереса с области обеих почек, сердца и фона, по которым формируют кривые «активность-время» [21].
Анализ результатов динамической сцинтиграфии производят в два этапа:
- визуальным способом;
- с помощью количественной оценки полученных кривых «активность-время».
Визуальный анализ реносцинтиграмм позволяет оценить топографию, размеры, форму почек, наличие задержки индикатора в чашечно-лоханочной системе и мочеточниках, составить предварительное заключение о поглотительной и выделительной функциях каждой почки. Кривые «активность-время» с области почек имеют характерный вид ренограмм с сосудистым, функциональным (либо фильтрационным, либо секреторным) и экскреторным сегментами [34, 35].
Для количественной оценки реносцинтиграмм используют следующие основные показатели [24]:
- Тмакс - время достижения максимума кривой, которое отражает или фильтрационную или секреторную (в зависимости от примененного РФП) способность почек;
- Т1/2 - период полувыведения препарата, то есть время, за которое происходит двукратное уменьшение максимальной активности над областью почки, отражает экскреторную функцию почки;
- Т1//2 кр - клиренс крови, или период полуочищения крови от препарата; позволяет судить о суммарной выделительной активности почек;
Визуальный анализ сцинтиграмм при патологии МВС позволяет еще до проведения количественной обработки информации оценить:
- изменения топографии, формы и размеров сцинтиграфического изображения почек, которые могут наблюдаться при аномалиях развития почек, нефроптозе, опухолях и других заболеваниях;
- более низкий, по сравнению с нормой, уровень накопления РФП в почках или отдельных их частях отмечается при поражении почечной паренхимы со снижением ее функциональной активности при опухолях, кистах, гидронефрозе, нефротуберкулезе, пиелонефрите и других поражениях [3, 33];
- задержка выведения активности из почек или отдельных ее частей указывает на нарушение уродинамики. В норме почечная лоханка видна только на ранних сканах, но будет визуализироваться до 20-й мин исследования при стенозе лоханочно-мочеточникового соединения [28]. При этом, как правило, заметно увеличивается почечная лоханка и существенно задерживается (или вовсе отсутствует) поступление индикатора в мочевой пузырь на стороне поражения
- Лоханочная, чашечная и/или мочеточниковая гиперфиксация индикатора наблюдается в тех случаях, когда вместимость этих структур повышается вследствие их расширения. В то же время этот симптом не может служить признаком наличия или отсутствия обструкции. Например, изображение расширенных лоханок характерно для их умеренно выраженной гипотонии. Не менее важное клиническое значение в условиях патологии МВС имеет и оценка количественных параметров реносцинтиграмм, которую удобнее рассматривать применительно к конкретным нозологическим формам заболеваний.
Так, при наличии стеноза одной из почечных артерий время достижения максимального уровня счета (Тмакс) над областью соответствующей почки обычно удлиняется по отношению к контралатеральной стороне на 1 мин и более при одновременном снижении амплитуды ренографической кривой [32]; часто наблюдается пересечение кривых в фазе выведения, поскольку скорость эвакуации индикатора из почки, кровоснабжаемой стенозированной артерией, замедленна [36];
Статическая сцинтиграфия почек
Это исследование используется для оценки анатомо-топографических особенностей и функционального состояния паренхимы почек. В основе метода лежит регистрация радиоактивности нефротропного индикатора, который избирательно накапливается в функционирующей паренхиме почек. В процессе исследования определяют форму, размеры, положение почек, а также локализацию, распространенность и степень выраженности патологического процесса [0].
Для проведения статической сцинтиграфии почек обычно используются 99тТс-ДМСА и 99тТс-глюкогептонат. Используемый РФП вводят внутривенно в дозе 100-200 мБк и через 1 ч после инъекции получают статические изображения почек в задней и боковых проекциях, располагая больного на табуретке спиной к детектору гамма-камеры. Если функция почек нарушена, повторную запись изображений можно провести через 3-6 ч после инъекции [22].
Анализ изображения производится по следующим показателям:
- положение, форма, размер и контуры почек;
- интенсивность и равномерность включения РФП в паренхиму.
В норме на нефросцинтиграммах получают изображение обеих почек приблизительно одного размера (разница не более 1 см), бобовидной формы с медиально расположенной вогнутой стороной. Почки располагаются на одном уровне (в норме правая почка может быть ниже левой не более чем на 3 см) на одинаковом расстоянии от позвоночника на уровне верхней трети его поясничного отдела.
Размеры почки у различных индивидуумов могут колебаться от 4 до 7 см. Контуры почек на сцинтифото обычно ровные, четкие с симметричным, интенсивным и равномерным накоплением радиоиндикатора в паренхиме почек [17].
При патологии на сцинтиграммах может быть выявлено неправильное положение почек, уменьшение или увеличение их размера, изменение формы, «изъеденность» контуров, пониженное и неравномерное накопление препарата с диффузным, диффузно-очаговым или очаговым характером распределения активности. Увеличение размера почки может быть следствием ее удвоения или викарной гипертрофии в ответ на гипофункцию контралатеральной почки. Уменьшение изображения органа в сочетании с пониженным накоплением РФП довольно часто указывает на присутствие нефросклероза. Изменение положения, формы и размеров сцинтиграфического изображения почек может встречаться при нефроптозе, врожденных аномалиях, опухолях и другой патологии. Пониженное накопление с равномерным распределением активности может наблюдаться при стенозе почечной артерии [26, 30].
Неравномерное распределение индикатора в почках (очагового или диффузно-очагового характера) может обнаруживаться при наличии опухоли или кисты, поликистозе, нефротуберкулезе и других заболеваниях с локальным (или диффузно-очаговым) поражением почечной паренхимы. Нечеткая визуализация контуров почки может быть связана с наличием рубцовых изменений коркового слоя вследствие инфекции, инфаркта или опухоли.
Радионуклидная эмиссионная томография является относительно новым способом радионуклидного исследования. Как и при обычной сцинтиграфии, при эмиссионной томографии производят регистрацию гамма-излучения введенных в организм РФП, но сбор информации осуществляют с помощью многих детекторов, расположенных вокруг больного, или одного - двух вращающихся вокруг него детекторов. Как и при рентгеновской компьютерной томографии, исследуемый объект рассматривают как совокупность тонких параллельных слоев. По характеру излучения используемого радионуклида все эмиссионные томографы разделяют на однофотонные и позитронные (двухфотонные). Эмиссионная томография предоставляет врачу более точную информацию о распределении РФП, чем обычная сцинтиграфия, и позволяет изучать нарушения физиологических, биохимических и транспортных процессов, что важно для ранней диагностики патологических состояний.
Заключение. Таким образом, можно сделать вывод о том, что радионуклидная диагностика является высокоинформативным, прогрессивно развивающимся методом в изучении раздельной и суммарной функциональной способности почек, уродинамики верхних мочевых путей и анатомо-топографических особенностей почек. Реносцинтиграфия с гиппураном, меченным 131 I или 125 I, является высокоэффективной методикой исследования функционально-морфологического состояния почек и имеет широкие показания для использования. В отличие от ренографии, реносцинтиграфия исключает ошибки, связанные с неточным центрированием детектора, и позволяет оценивать наряду с функцией почек, их анатомо-топографические особенности. Использование ЭВМ дает возможность осуществлять обработку реносцинтиграфических данных, что значительно повышает результативность исследования в виде оценки реносцинтиграмм с коррекцией на фон окружающих тканей, по сегментам и дифференцированного представления функции паренхимы и чашечно-лоханочной системы.
Лучевая диагностика дефекта соединения паренхимы почки
а) Терминология:
1. Синонимы:
• Дефект соединения паренхимы, внутрипочечная перегородка, соединительная линия
2. Определение:
• Линия (вариант нормы) в плоскости эмбриологического сращения почечек (эмбриологических элементов, образующих почки):
о Инвагинация околопочечной жировой клетчатки в дефект клинообразной формы
б) Визуализация:
1. Общие характеристики:
• Локализация:
о Классически наблюдают на передневерхней стороне почек (на границе верхней и средней третей почки)
- Реже наблюдают на задненижней поверхности (на границе средней и нижней третей почки)
о В два раза чаще встречают на правой почке
о Идет косо от передневерхней к задненижней поверхности; обычно распространяется на почечный синус
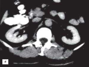
2. КТ при дефекте соединения паренхимы почки:
• Жиросодержащие углубления на передневерхней (реже - на задненижней) поверхности почек, которые иногда распространяются на почечный синус
3. МРТ при дефекте соединения паренхимы почки:
• Дефект вдоль передневерхней (реже - вдоль задненижней) поверхности почки (на границе средней и нижней третей почек) с характеристиками сигнала, аналогичными околопочечной жировой клетчатке
• Дефект иногда распространяется на почечный синус
• Лучше визуализируют на изображениях в коронарной проекции
4. УЗИ при дефекте соединения паренхимы почки:
• Эхогенная линия, проходящая косо от передневерхней к задненижней поверхности почки (соединительная линия)
• Периферическая клиновидная эхогенность вдоль плоскости слияния почечек (вследствие инвагинации околопочечной жировой клетчатки)
5. Рекомендации по визуализации:
• Лучший метод визуализации:
о Лучше определяют на УЗИ в связи с более высоким пространственным разрешением и мультипланарной визуализацией
• Совет по протоколу исследования:
о Лучшей визуализации достигают в парасагиттальных проекциях

(Слева) УЗИ, косая сагиттальная плоскость сканирования правой почки: у мужчины 55 лет выявлена зона эхогенности треугольной формы на передней поверхности верхнего полюса, продолжающаяся в синус почки, что соответствует дефекту паренхиматозного соединения.
(Справа) КТ, коронарная проекция: у этого же пациента лучше визуализированы жировые углубления и дефект верхнего полюса.
в) Дифференциальная диагностика дефекта соединения паренхимы почки:
1. Почечный рубец:
• Связан с уменьшением толщины коркового вещества, обычно в области полюсов почки:
о Отсутствие уменьшение толщины коркового вещества и характерная локализация дефекта соединения паренхимы помогают дифференцировать эти состояния
2. Ангиомиолипома:
• Круглый дефект соединения паренхимы может имитировать солидное объемное образование:
о Классическое расположение, сохранение контура почки и расширение синуса почки помогают дифференцировать дефект соединения паренхимы от ангиомиолипомы

(Слева) УЗИ, сагиттальная косая плоскость через правую почку: у женщины 48 лет выявлен эхогенный клиновидный дефект на передней поверхности нижнего полюса.
(Справа) Несколько другое сечение правой почки у данной пациентки позволяет визуализировать расширение дефекта В в почечном синусе. Передняя сторона нижнего полюса — менее распространенная локализация дефекта паренхиматозного соединения. Обратите внимание на увеличенную печеночную эхогенность из-за стеатоза.
г) Патология. Общие характеристики:
• Концепция основана на развития почки путем слияния двух субпочек (почек):
о Задневерхняя и передненижняя почечки сливаются, формируя почку
о Неполное слияние почечек приводит развитию таких состояний (вариантов нормы), как соединительная линия, дефект соединения паренхимы, бертиниевы колонны; эти состояния тесно связаны между собой
о Инвагинация околопочечной жировой клетчатки в дефект обусловливает его клиновидную форму
д) Клинические особенности:
1. Демография:
• При обследовании 100 детей 1/2 участников и 1/3 почек имели дефект соединения перенхимы
• Возрастной или половой предрасположенности не выявлено
2. Течение и прогноз:
• Нормальный вариант анатомического строения, не имеющий клинического значения
е) Список использованной литературы:
1. Pedrosa I et al: MR imaging of renal masses: Correlation with findings at surgery and pathologic analysis. RadioGraphics 28:985-1003; 2008
2. Currarino G et al: The Oddono's sulcus and its relation to the renal «junctional parenchymal defect» and the «interrenicular septum». Pediatr Radiol. 27(1 ):6— 10, 1997
3. Kenney IJ et al: The renal parenchymal junctional line in children: ultrasonic frequency and appearances. BrJ Radiol. 60(717):865-8, 1987
4. Carter AR et al: The junctional parenchymal defect: a sonographic variant of renal anatomy. Radiology. 154(2):499—502, 1985
5. Hoffer FA et al: The interrenicular junction: a mimic of renal scarring on normal pediatric sonograms. AJR Am J Roentgenol. 145(5): 1075—8, 1985
6. Dalla Palma L et al: Advances in radiological anatomy of the kidney. Br J Radiol. 55(654):404— 12, 1982
7. Dalla Palma L et al: Parenchymal architecture and morphology of the pelvis. Br J Radiol. 55(660):885-90, 1982
Лучевая диагностика бертиниевых колонн почки
а) Терминология:
1. Синонимы:
• Септальная кора, гипертрофированные или выступающие бертиниевы колонны, очаговая гиперплазия коркового вещества, доброкачественное добавочное корковое вещество, корковый островок, очаговая почечная гипертрофия, соединительная паренхима
2. Определение:
• Гипертрофические отростки ткани коркового вещества, которые разделяют пирамиды мозгового вещества почек
1. Общие характеристики:
• Лучший диагностический критерий:
о Обычное контрастирование коркового вещества почек, выступающего в почечный синус
• Локализация:
о Между верхней и средней чашечками
о Чаще левосторонние
о Чаще односторонние (двусторонние - в 18% случаев)
2. Рентгенологические признаки бертиниевых колонн почки:
• Внутривенная пиелография:
о Синдром сдавливания чашечно-лоханочной системы, всегда на уровне отхождения почечной вены
о Скошенность (аномальное разделение) верхнего и нижнего полюсов собирательной системы
3. КТ при бертиниевых колоннах почки:
• Бесконтрастная КТ:
о Связаны с корковым веществом
о Боковое вдавление синуса почки
о Деформированные смежные чашечки и воронка
• КТ с контрастированием:
о Отсутствие объемного образования
о Контрастирование аналогично нормальному корковому веществу:
- Лучшая визуализация в кортико-медуллярную фазу
- При недостаточной информативности аксиальной проекции эффективна коронарная реконструкция
4. МРТ при бертиниевых колоннах почки:
• Гипертрофированные столбцы с ИС и контрастированием, аналогичными на всем протяжении корковому веществу
5. УЗИ при бертиниевых колоннах почки:
• Исследование 8 режиме серой шкалы:
о Нормальный контур почки
о Обычно изоэхогенно по отношению к корковому веществу
о Цветовое и энергетическое допплеровское картирование позволяет визуализировать поток, идентичный корковому веществу
о Разделение центральных эхосигналов
6. Радионуклидная диагностика:
• В затруднительных случаях сцинтиграфия почек может дифференцировать нормальную почечную паренхиму от патологического объемного образования
7. Рекомендации по визуализации:
• Лучший метод визуализации:
о Мультифазные КТ или МРТ
• Совет по протоколу исследования:
о КТ: лучшая визуализация в кортико-медуллярную фазу

(Слева) На рисунке показано объемное расширение коркового вещества почки между верхней и средней чашечками.
(Справа) КТ, аксиальная проекция, кортико-медуллярная фаза контрастирования: дорсальная половина межполюсной области почки, контрастируемая аналогично корковому веществу почки. На последующих фазах выявлено гомогенное контрастирование почки.
в) Дифференциальная диагностика бертиниевых колонн почки:
1. Почечноклеточный рак:
• Гетерогенное объемное образование почки с контрастированием, отличным от окружающей паренхимы
• Обычный тип (светлоклеточный) - гиперваскулярный, однако гипо-денсный по отношению к паренхиме почки в нефрографическую фазу
• Объемное образование обычно округлой или овальной формы, деформирующее границы почки
2. Другие объемные образования почек:
• Метастазы в почках, лимфома, онкоцитома, ангиомиолипома
• Обычно не изоэхогенны по отношению к корковому веществу
• Часто деформируют контур почки
3. Фетальная дольчатость:
• Стойкая кортикальная дольчатость, обычно у детей младшего возраста
• Отдельные доли с центрилобулярным корковым веществом, расположенным вокруг чашечек
4. Рубец почки:
• Очаговое рубцевание вследствие хронической рефлюксной нефропатии, хирургической операции, травмы или инфаркта
• Узловая компенсаторная гипертрофия областей непораженной ткани

(Слева) УЗИ, продольная плоскость сканирования: гипоэхогенное «объемное образование» в центре, которое выступает в почечную лоханку.
(Справа) КТ с контрастированием, аксиальная проекция: у этого же пациента установлено, что «объемное образование» — это нормальное корковое вещество почки, которое инвагинирует в почечную лоханку между чашечками верхнего полюса и меж полюсной областью почки. Обратите внимание на нормальный внешний контур почки. Бертиниевы колонны чаще всего выявляют с одной стороны и слева, как в данном случае: в 18% случаев они могут быть двусторонними.
г) Патология. Общие характеристики:
• Неполная резорбция паренхимы в области полюсов почки одной или обеих субпочек (почечек), которые срастаются, формируя нормальную почку
д) Клиническая картина. Течение и прогноз:
• Вариант нормы, не имеющий клинического значения
е) Диагностическая памятка:
1. Следует учесть:
• Псевдоопухоль, не является патологией
2. Советы по интерпретации изображений:
• Диагностируют при контрастной КТ в кортико-медуллярную фазу
Трудности и ошибки ультразвуковой и рентгеновской диагностики псевдоопухолей почек

Точная и уверенная диагностика. Многофункциональная ультразвуковая система для проведения исследований с экспертной диагностической точностью.
Введение
Опухоли почек составляют 2-3% всех злокачественных новообразований. Наиболее часто они возникают в возрасте 40-60 лет. Среди всех опухолей почек в 80-90% отмечается почечно-клеточный рак. В последние годы вероятность его обнаружения возрастает, что связано как с ростом числа всех злокачественных образований, так и с ранней доклинической диагностикой. Распознать злокачественные образования, прежде всего, позволяют постоянно совершенствующиеся и широко применяющиеся ультразвуковые исследования почек.
В литературе часто встречаются публикации, посвященные ошибкам не только ультразвуковой, но и других методов лучевой диагностики. Существует точка зрения, что до 7-9% всех объемных процессов в почках не могут быть дифференцированы до операций по поводу кист, опухолей, абсцессов и т.д. [6]. Картину опухоли почки при ультразвуковых и других лучевых методах диагностики могут симулировать многие процессы. Среди них: разнообразные аномалии почек; "сложные" или смешанные кисты; острые и хронические неспецифические воспалительные процессы (карбункул, абсцесс, хронический, в том числе ксантогранулематозный пиелонефрит); специфические воспалительные процессы (туберкулез, сифилис, грибковые поражения почек); изменения в почках при лейкозах и лимфомах, в том числе и при ВИЧ-инфекции; инфаркты почки; организовавшиеся гематомы и другие причины.

а) Фетальная долчатость, "горбатая" почка.

б) Гипертрофия столба Бертена, увеличенная "губа" над воротами почек.
Материалы и методы
За 1992-2001 гг. наблюдалось 177 пациентов с различным строением паренхимы почек по типу псевдоопухолей почек. Всем неоднократно проводилось ультразвуковое сканирование почек, ультразвуковая доплерография (УЗДГ) сосудов почек - 78, в том числе с использованием режимов второй и тканевой гармоник и энергетического доплера - 15, экскреторная урография (ЭУ) - 54, рентгеновская компьютерная томография (РКТ) - 36, почечная сцинтиграфия или эмиссионная компьютерная томография (ЭКТ) с 99 m Тс - 21.
Результаты исследований

а) Эхограммы.

б) Серия компьютерных томограмм.
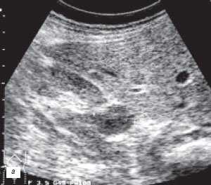
У 2 (1,2%) больных отмечена увеличенная "губа" над воротами почки (рис. 3а-в).

а) Эхограмма.

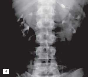
б) Экскреторная урограмма.

в) КТ с контрастным усилением.
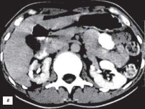
Наиболее частой причиной псевдоопухоли была "гипертрофия" столбов Бертена или "перемычки" паренхимы почек - у 153 (86,4%) пациентов (рис. 3 г-е). "Перемычки" паренхимы были отмечены не только при различных удвоениях чашечно-лоханочных систем почек, но и при различных их сращениях и незавершенных поворотах почек.
Рис. 3 (г-е). Псевдоопухоль гипертрофия Бертена (неполная "перемычка" паренхимы) в среднем отделе правой почки.

г) Эхограмма.

д) Экскреторная урограмма.

е) КТ с контрастным усилением.
В проведении дифференциальной диагностики псевдоопухолей и опухолей почек нуждалось 37 (21%) пациентов. С этой целью проводились, прежде всего, повторные "нацеленные" УЗ-сканирования с использованием различных дополнительных ультразвуковых методик в условиях урологической клиники, а также других методов лучевой диагностики, указанных выше. Только у одного пациента с псевдоопухолью почки для исключения диагноза опухоли произведена эксплоративная люмботомия с интраоперационной биопсией под ультразвуковым контролем. У остальных 36 больных диагноз псевдоопухолей почек был подтвержден с помощью лучевых исследований и ультразвукового мониторинга.
Трудности и ошибки лучевой диагностики при псевдоопухолях почек обычно возникали на первых догоспитальных этапах диагностики. У 34 ( 92%) пациентов они были связаны как с объективными трудностями трактовки необычных эхографических данных, так и их неправильной трактовкой из-за недостаточной квалификации специалистов и сравнительно низкого уровня диагностической аппаратуры. У 3(8%) пациентов отмечены ошибочная трактовка данных рентгеновской компьютерной томографии, когда было отмечено расхождение их с данными повторных УЗ-сканирований и рентгеновской компьютерной томографии в урологической клинике.
Опухоли почек, имевших сочетания их с псевдоопухолью в одной почке, верифицированы у 2 больных после нефрэктомии, а псевдоопухоли - у одного пациента при биопсии под ультразвуковым контролем во время эксплоративной люмботомии; у остальных - при ультразвуковом мониторинге в сроки от 1 до 10 лет.
Одна из самых частых причин, симулирующих опухоль почки при ультразвуковом исследовании, так называемая псевдоопухоль, в литературе наиболее часто определяется термином гипертрофия столба Бертена.
Как известно, по периферии ультразвукового среза почки корковое вещество образует инвагинации в виде столбов (сolumnae Bertin) между пирамидками. Нередко столб Бертена достаточно глубоко выходит за внутренний контур паренхимы в центральную часть почки - в почечный синус, деля почку более или менее полно на две части. Образующаяся своеобразная паренхиматозная "перемычка" является нерассосавшейся паренхимой полюса одной из долек почек, в процессе онтогенеза сливающихся в почку взрослого человека. Анатомическим субстратом "перемычек" являются так называемые соединительнотканные дефекты паренхимы или пролабирование последней в синус почки [8,9]. В состав ее входят корковое вещество, столбы Бертена, пирамидки почек [10, 11].
Все элементы "перемычки" являются нормальной тканью паренхимы без признаков гипертрофии или дисплазии. Они представляют собой удвоение нормального коркового вещества почки или добавочный слой его, расположенный латеральнее чашечек [7]. Последний является вариантом анатомического строения паренхимы, в частности, кортикомедуллярных взаимоотношений паренхимы и синуса почки [12]. Наиболее четко они могут прослеживаться на ультразвуковых и на компьютерно-томографических срезах почки [9, 11-15].
Отсутствие гипертрофии или дисплазии паренхимы при так называемой гипертрофии столбов Бертена или "перемычках" паренхимы подтвердили и проведенные гистологические исследования биопсийного материала у одного больного с "перемычками" паренхимы, принимавшимися до эксплоративной люмботомии за опухоль почки, а также у двух пациентов при морфологическом исследовании почек, удаленных по поводу сочетания в одной почке опухоли и псевдоопухоли ("перемычки" паренхимы).
В связи с этим, на наш взгляд, наиболее часто встречающийся в литературе, термин гипертрофия столбов Бертена не отражает морфологической сути субстрата. Поэтому мы так же, как и ряд авторов [9, 11, 12] считаем, что более правильным является термин "перемычка" паренхимы. Впервые в отечественной литературе по ультразвуковой диагностике он применен нами в 1991 г. [16]. Необходимо отметить, что термин "перемычка" паренхимы имел в литературе и другие названия (таблица ) [11].
Таблица. Термины, применявшиеся для описания "перемычек" паренхимы почек (по Yeh HC, Halton KP, Shapiro RS et al., 1992).
| Происхождение или природа ткани | Термины | Авторы |
|---|---|---|
| Гипертрофированная или необычно широкая ткань | Гипертрофированный столб Бертена | Lafortune M et al., 1986 Wolfman NT et al., 1991 Leekman RN et al., 1983 |
| Фокальная кортикальная гиперплазия | Popky GL et al., 1969 | |
| Широкая аркада | Hodson CJ et al., 1982 | |
| Неправильно расположенная или перемещенная ткань | Лобарный дисморфизм | Carghi A et al., 1971 Dacie JE, 1976 |
| Неправильное положение почечной доли | Carghi A et al., 1971 | |
| Складки кортикальной массы | King MC et al., 1968 | |
| "Почка" в пределах почки | Hodson CJ et al., 1982 | |
| Кортикальная инвагинация и пролабирование столбов Бертена | Lopez FA, 1972 | |
| Масса или псевдомасса | Почечный псевдотумор | Felson B et al., 1969 Lopez FA, 1972 |
| Гломерулярная зона псевдотумора | Hartman GW et al., 1969 | |
| Почечно-кортикальный узелок | Wolfman NT et al., 1991 | |
| Первичный кортикальный узелок | Thornbury JR et al., 1980 | |
| Интермедиальная кортикальная масса | Netter F et al., 1979 | |
| Эмбриональная аномалия | Аберрантная долька почечной ткани | Meaney TF, 1969 |
| Доброкачественная кортикальная "цезура" | Flynn VJ et al., 1972 | |
| Кортикальный островок почки | Flynn VJ et al., 1972 | |
| Развившаяся (совершенная) аномалия | Несвершившаяся попытка дупликации почечной паренхимы | Dacie JE, 1976 |
| Сверхкомплектная доля | Добавочная почечная доля | Palma LD et al., 1990 |
Многолетний опыт экскреторной урографии показал, что чашечно-лоханочные системы имеют крайне большое количество вариантов строения. Они практически индивидуальны не только для каждого человека, но и для левой и правой почек у одного субъекта. С развитием и все более широким использованием УЗИ и РКТ, позволяющим прослеживать как внутренние, так и наружные контуры паренхимы почек, на наш взгляд, аналогичное положение складывается и в отношении вариантов анатомического строения паренхимы почек. Сопоставление эхо- и компьютерно-томографических данных с урографическими при различных вариантах псевдоопухолей почек показало, что между анатомическим строением паренхимы и чашечно-лоханочных систем почек имеется взаимосвязь. Она выражается в конгруэнтности медиального контура паренхимы в эхо- или компьютерно-томографическом изображении с латеральным контуром чашечно-лоханочных систем, условно проведенным на экскреторных урограммах или на компьютерных томограммах с контрастным усилением [4, 17, 18]. Этот симптом прослеживается при обычном строении паренхимы и чашечно-лоханочных систем, а также при "перемычке" паренхимы почки, предсталяющей собой вариант анатомического строения. При опухоли почки, являющейся приобретенным патологическим процессом, конгруэнтность контуров паренхимы и чашечно-лоханочных систем почек нарушается (рис. 4).

Рис. 4. Симптом конгруэнтности контуров паренхимы и чашечно-лоханочной системы почки при неполной "перемычке" паренхимы (объяснение в тексте).
Выводы
Таким образом, впервые выявленные при УЗИ типичные эхографические картины "перемычки" паренхимы почки, "горбатой" почки и увеличенной "губы" над воротами почки без признаков расширения чашечно-лоханочных систем не требуют дальнейшего обследования.
При необходимости дифференциальной диагностики псевдоопухолей и опухолей почек, которая потребовалась у 37(21%) пациентов, мы предлагаем следующий алгоритм их диагностики (рис. 5).

Рис. 5. Алгоритм лучевой диагностики при псевдоопухоли почки.
- Повторное УЗИ квалифицированными специалистами на УЗ-сканерах более высокого класса с использованием УЗДГ, методик картирования, тканевой и второй гармоник.
- Рентгеновская компьютерная томография с контрастным усилением или экскреторная урография с сопоставлением уро- и эхографических данных и данных повторного "нацеленного" УЗИ.
- Методы выбора - почечная сцинтиграфия или эмиссионная компьютерная томография с 99 m Тс (возможны ложноотрицательные результаты при маленьких опухолях).
- При остающихся подозрениях на злокачественную опухоль - биопсия под ультразвуковым контролем (диагностическое значение имеет только положительный результат).
- При отрицательном результате биопсии или отказе больного от биопсии и оперативной ревизии почки проводится ультразвуковой мониторинг с частотой не реже одного раза в 3 месяца в первый год наблюдения, а затем 1-2 раза в год.
Литература
УЗИ сканер HS70
Возможности лучевых методов визуализации в диагностике рака почечной паренхимы
Никольский Ю.Е., Попков В.М., Чехонацкая М.Л., Понукалин А.Н., Захарова Н.Б., Хмара Т.Г., Зуев В.В.
ГБОУ ВПО Саратовский ГМУ им. В.И.Разумовского Минздрава России, НИИ фундаментальной и клинической уронефрологии
Резюме
На основе анализа данных отечественной и зарубежной литературы, освещены возможности лучевых методов визуализации в диагностике рака почечной паренхимы. Рассмотрены особенности применения различных методов для верификации доброкачественных и злокачественных новообразований почки.
Ключевые слова
Обзор
В России в структуре заболеваемости онкологическими заболеваниями мужского населения рак почки (РП) занимает 9-е место, женского населения – 12-е место. В 2009 г. в нашей стране диагностировано 18328 новых случаев РП. В структуре смертности населения России от злокачественных новообразований почечно-клеточный рак занимает 16-е место. Заболеваемость РП в большинстве стран мира растет, ежегодно увеличиваясь на 2–4,5 % [1]. По абсолютному приросту впервые выявленных онкоурологических заболеваний почечная карцинома занимает второе место, уступая раку предстательной железы [2].
Почечная карцинома – агрессивная опухоль. При первичном обращении к урологу метастазы наблюдаются у каждого третьего больного [3]. Из них порог 5-летней выживаемости достигнут только 5 % [4].
РП более чем в половине случаев обнаруживается случайно. Как правило, при диспансерном наблюдении, профилактических осмотрах или при плановом обследовании по поводу каких-либо не связанных с урологией заболеваний. Такие опухоли называются «radiologists tumor». Благодаря современным методам лучевой диагностики увеличивается количество случайно диагностированных малых, размером до 4 см, опухолей почечной паренхимы. Это дает надежду на благоприятный прогноз течения РП [5], а также проведения органосохраняющих операций [6].
Главной проблемой в диагностике РП стоит выбор алгоритма диагностических методов, которые должны быть неинвазивными и обладать высокой информативностью [7]. При своевременной диагностике РП на ранних стадиях 5-летняя выживаемость больных после выполнения радикальной нефрэктомии достигает 80 % и более. В современной литературе представлены достоинства и недостатки рентгенологических, ультразвуковых и томографических методов визуализации РП и алгоритмы их применения в практической медицине.
Традиционными методами в диагностике объемных образований почек, в том числе и злокачественных опухолей, являются обзорная рентгенография мочевыводящих путей и экскреторная урография. Дешевизна и доступность – достоинства рентгенологических методов исследования почек и мочевыводящих путей.
Экскреторная урография позволяет оценивать функциональное состояние пораженной почечной карциномой и контралатеральной почек. Одним из недостатков классических рентгенологических методик считается малая информативность в определении опухолей на передних и задних поверхностях почки [8]. У 16 % пациентов с РП урография не выявляет признаки наличия объемных образований, имеющих экстраренальный рост или локализующихся на задней поверхности паренхимы почки. «Слабым местом» урографии также является низкая чувствительность в обнаружении «маленьких» опухолей почечной паренхимы. С помощью выделительной урографии диагностируются только 10 % опухолей с диаметром менее 1 см., 21 % – от 1 до 2 см., 5 % – размером от 2 до 3 см. и 85 % – более 3 см.
Рентгенологические признаки характерны для всех объемных образований почек, поэтому дифференциацию между доброкачественными и злокачественными образованиями почек после выделительной урографии и обзорного рентгенологического исследования провести невозможно. По мнению Ю.А. Пытеля и соавт [9], при экскреторной урографии лишь в 67 % наблюдений был выявлен объемный процесс в почке, оказавшийся при дополнительном исследовании опухолью. Урография неэффективна вдобавок при определении стадии опухолевого процесса. Возможность оценки заинтересованности околопочечного пространства отсутствует [7].
Не стоит забывать про вероятность возникновения аллергической или токсической реакции на введение внутривенно йодсодержащего контрастного препарата при выполнении выделительной урографии и лучевую нагрузку на пациента.
Существует мнение, что от выполнения экскреторной урографии можно отказаться, припегнув к помощи ультразвукового исследования (УЗИ), а затем мультиспиральной компьютерной томографии (МСКТ) [10].
Выполнение УЗИ для первичного обнаружения опухоли почки в большинстве случаев вполне достаточно. Эхографический метод считается методом первичной диагностики РП. Благодаря ему удается выявить до 80 % бессимптомных опухолей почки. При этом количество больных с малыми опухолями паренхимы почки ежегодно увеличивается. Точность ультразвукового метода (УЗ метод) в диагностике опухолей почек составляет 96 – 97,3 % [11]. Информативность экскреторной урографии и эхографии в диагностике злокачественных опухолей почки размером до 3 см. составляет 67 % и 79 % соответственно [12]. Эффективность ультразвуковой диагностики в обнаружении опухолей почки менее 1,5 см. низка. Проблему для визуализации представляют также интрапаренхиматозные опухоли без деформации контура почки. Выявление опухолей размерами более 3 см. в клинической практике для УЗИ не представляет сложности.
Эхография позволяет дифференцировать простую и сложную кисту почки, «сомнительным» кистозным образованием и солидной опухолью [13]. РП может иметь кистообразный вид за счет содержания кистозных, жировых и некротических участков [14]. Отличительными эхографическими признаками почечной карциномы будут неравномерно утолщенная стенка и наличие различных по толщине перегородок в составе кистозного образования. УЗИ с применением второй тканевой гармоники позволяет четко установить наличие или отсутствие псевдокапсулы раковой опухоли.
При выполнении эхографии возможно проведение цветового доплеровского картирования (ЦДК), которое дает информацию о типе васкуляризации опухолевого узла [15]. В настоящее время широко применяется энергетическое доплеровское картирование (ЭДК), данные которого сопоставимы с результатами рентгеновской ангиографии [7].
УЗИ на амбулаторном этапе при РП должно включать в себя обязательный осмотр почечных сосудов и нижней полой вены [16]. Сканирование почечных вен, нижней полой вены и правого предсердия необходимо для определения протяженности венозной инвазии РП [8], выявляемость которой эхографическим методом колеблется от 50 до 95 %. Информацию об опухолевом поражении нижней полой вены дополняют ангиография, компьютерная томография (КТ) и магнитно-резонансная томография (МРТ).
Чувствительность УЗИ в определении увеличенных лимфатических узлов составляет от 50 до 90 %. Среди достоинств эхографии важно отметить возможность выявления метастатического поражения печени [1] и оценку вовлеченности в патологический процесс лимфатических узлов.
Под контролем УЗ метода выполняется интраоперационная оценка локализации и размеров опухоли при резекции почки, проводится тонкоигольная аспирационная биопсия и последующий мониторинг подвергнутых оперативному вмешательству больных [1, 17]. Несмотря на высокую ценность и информативность УЗИ, необходимо выполнение компьютерной или магнитно-резонансной томографии [18].
Точность компьютерной томографии (КТ) в диагностике РП достигает 95 % [19], специфичность – 93 %. С широким распространением КТ увеличилась частота выявления «маленьких» опухолей почек размером менее 1,5 см. [20]. Возможности метода в диагностике образований почек ограничиваются 0,5 – 1,0 см. [21].
КТ обладает высокой способностью оценивать структуру опухоли. Например, присутствие кальцинатов в капсуле и солидного мягкотканного компонента в составе кистозного образования почки будет в пользу злокачественного процесса [1]. КТ помогает дифференцировать карциному почки и ангиомиолипому. Присутствие жировых компонентов в составе опухоли является патогномоничным признаком ангиомиолипомы [22]. Иногда жировые элементы входит в состав почечно-клеточной карциномы, и тогда отличить ее от ангиомиолипомы крайне затруднительно. На РП будут указывать участки кальцинации в составе опухолевого узла.
Чувствительность КТ без использования контрастного усиления в выявлении опухолей почки составляет 85,2 %, специфичность – 94,8 % [23]. КТ, выполненная с контрастным усилением, информативнее нативного исследования, особенно в верификации опухолей до 4 см. с частичной деформацией контуров почки или расположенных внутри паренхимы почки. Благодаря контрастной КТ определяют принадлежность опухоли почки к паренхиме или чашечно-лоханочной системе, измеряют ее точные размеры опухоли и изучают топографическое отношение к почечным сосудам, околопочечным тканям и прилежащим органам [24].
Существует методика, с помощью которой на дооперационном этапе можно определить гистологический типа почечной карциномы. Суть данной методики сводится к проведению КТ с динамическим контрастным усилением, применяя технику стандартизированного измерения накопления контрастного вещества. Опухоли, плотность которых повышается сразу после введении контрастного вещества в артериальную и резко падает в паренхиматозную фазу, являются гиперваскулярными и по своему гистологическому строению наиболее часто соответствуют светлоклеточному РП. При «несветлоклеточных» вариантах карциномы почки наблюдается постепенное накопление контрастного препарата. Денсивность таких опухолей в паренхиматозную фазу динамического контрастного усиления выше, чем в артериальную фазу [25].
КТ высоко информативна в диагностике опухолевого тромбоза почечной вены и нижней полой вен и позволяет оценивать протяженность опухолевого тромба [26]. Общая точность метода в идентификации венной инвазии при РП варьирует от 68 до 96 %. Ограничением в визуализации венной инвазии является одновременное контрастирование опухоли и крови в нижней полой вене [1].
КТ значительно эффективнее УЗ метода в определении заинтересованности периренальной клетчатки. Считается, что КТ со 100 % достоверностью позволяет оценивать вовлечение в процесс рядом расположенных структур [7].
Чувствительность КТ в диагностике лимфаденопатии колеблется от 83 % до 95 %, специфичность – 88 % [20]. Используя метод, существует возможность обнаружения метастазов РП в легкие, в печень, в надпочечники, в контралатеральную почку, в головной мозг, в кости. В настоящее время КТ считается «золотым стандартом» в диагностике поражения надпочечников при РП, хотя и не может на 100 % исключить микрометастазы [27].
КТ-ангиография информирует о сосудистой архитектонике пораженной раковым узлом почки, позволяя сканировать кровеносные сосуды, диаметром которых не превышает 1 – 2 мм. в объемной трехмерной реконструкции, и определять локализацию метастазов в печеночной паренхиме в соответствии с ее сегментарным строением. При выполнении КТ-ангиографии возможна оценка протяженности и границы опухолевого тромба почечной вены и нижней полой вены. Чувствительность метода составляет 88 %, специфичность – 94 %.
Выполнение трехмерных реконструкций при КТ сканировании почек дает возможность исследовать пространственную локализацию, распространенность, сосудистую архитектонику опухоли, наличие и степень венозной инвазии, вовлечение в процесс регионарных лимфатических узлов, а также оценить состояние мочевыводящих путей. Полученные данные помогают в планировании резекции почки [10,28].
При проведении КТ почек лучевая нагрузка на больного, в среднем, составляет 3–6 мЗв. Это в несколько раз превышает дозу излучения при рентгенографии грудной клетки и должно учитываться при обследовании детей и женщин детородного возраста. При УЗИ и МРТ радиационная нагрузка на обследуемого отсутствует.
Рентгеноконтрастные йодсодержащие препараты, используемые для контрастного усиления при КТ, могут вызывать аллергические и нефротоксические реакции. Их не следует вводить пациентам с почечной недостаточностью. В таких случаях МРТ должна заменять КТ [29].
Возможность выполнения исследования без подготовки пациента, получение изображения в трех взаимно перпендикулярных плоскостях на разных уровнях без перемещения больного, отсутствие артефактов от костных структур, изменение импульсных последовательностей, высокая разрешающая способность – все это делает МРТ высокоинформативным методом визуализации опухолей почки, результаты которого не зависят от телосложения пациента, от наличия газов в кишечнике [30].
На сегодняшний день считается, что МРТ очень полезна в выявлении «маленьких» опухолей почки, не нарушающих непрерывности почечной капсулы. Методика многофазного динамического контрастирования помогает точнее дифференцировать небольшую опухоль почки от кисты, попутно оценив кровоснабжение образования [29].
Одним из недостатков МРТ диагностики является визуализация отложений кальция. В свою очередь, наличие кальцинатов в стенке кистозного образования может быть признаком кистозной формы почечно-клеточного рака. Проведение МРТ рекомендуется при сомнительных данных КТ. Особенно для дифференциации сложных кист почки от кистоподобных форм РП.
Использование контрастного усиления позволяет МРТ обнаруживать опухоли почек размером менее 1см. В целом, МРТ сравнима с КТ в выявлении объемных образований почки: чувствительность метода равна 93,5 % против 93,8 % у КТ. Но полная точность МРТ в дифференицальном диагнозе почечных образований превосходил таковую КТ. Импульсные последовательности с подавлением сигнала от жира помогают отличать жиросодержащие опухоли почки, такие как липома, ангиомиолипома и фибросаркома, от почечной карциномы, обнаруживать кисты и опухоли диаметром менее 1 см. [29].
Данные о распространенности опухоли почки, полученные при МРТ, информативнее аналогичных данных КТ, что помогает более достоверно определить Т– и N–стадии РП. Т–стадия достоверно определяется КТ в 78,4 %, по МРТ – в 84 % случаев, а стадия N в 81,8 % и 79,5 % соответственно. Еще одним преимуществом МРТ перед КТ является более высокая информативность в обнаружении псевдокапсулы опухоли почки, которую чаще имеют высоко- или умереннодифференцированные почечные карциномы размерами до 4 см. [29]. Наличие псевдокапсулы является показанием к выполнению органосохраняющей операции. Дефекты псевдокапсулы служат признаками инвазивного роста РП, позволяя точнее определить стадии T1 и Т3a [10]. МРТ эффективна в диагностике экстраренальной инвазии опухоли, инфильтрации окружающих органов и тканей [29].
По некоторым данным, МРТ проигрывает КТ в оценке поражения лимфатических узлов. Так, по данным А.С. Переверзева и соавт. [31] точность МРТ в диагностике забрюшинной лимфаденопатии при РП, считая метастатически пораженными лимфатические узлы размерами более 1 см., составила 93,5 %, чувствительность – 90,6 %, специфичность – 94,7 %. Согласно другим источникам, чувствительность МРТ в диагностике лимфаденопатии составляет более 95 % [14].
Точность МРТ в выявлении опухолевой инвазии РП почечной вены и нижней полой вены составляет 98 % и 100 % соответственно, чувствительность – 95 %, специфичность – 100 % [7,29]. МРТ позволяет дифференцировать опухолевый и кровяной тромб, четко определять верхнюю границу опухолевой инвазии нижней полой вены и ее протяженность, что дает возможность не проведить больному нижнюю венокавографию [8]. Однако МР сканирование почечной вены и нижней полой вены ограничено артефактами от дыхания и сердечной деятельности.
МРТ обладает преимуществом перед КТ и УЗ методом в оценке вторичных изменений при РП в печени, костях, головном мозге. Например, при КТ есть вероятность пропустить маленькие очаги метастатического поражения, локализованные в задней черепной ямке. Всем страдающим РП со спинальными и радикулярными симптомами рекомендуется МРТ всего позвоночника и спинного мозга [32].
Если сравнивать КТ и МРТ между собой, то оба метода позволяют выявить новообразование почки и помочь в оценке стадии процесса [29], а также обеспечить мониторинг пациентов в послеоперационном периоде.
Противопоказаниями к проведению МР-исследования являются наличие у больного клаустрофобии (боязни замкнутого пространства), металлических имплантатов и протезов, водителей сердечного ритма.
Селективная ангиография в наши дни выполняется для получения более полной информации о почечных артериях, их количестве, сосудистой архитектоники почки и при подозрении на заинтересованность магистральных сосудов. Ангиографическое исследование называют «золотым стандартом» в диагностике РП. Информативность метода составляет 95 – 97 %. Точное знание топографии почечных сосудов помогает при выполнении резекции почки. Рентгеновская ангиография, к сожалению, не позволяет отличить аваскулярную карциному почки от кисты.
В последнее время ангиография используется все реже в связи с широким применением ультразвуковой допплерографии, позволяющая без предварительной подготовки больного и без инвазии получать информацию о характеристиках почечного кровотока [33].
Нижняя кавография в недалеком прошлом выполнялась всем больным РП с венной инвазией. Верхняя кавография применялась при полном блоке нижней полой вены и при плохой визуализации верхней границы опухолевого тромба [1]. Селективная почечная венография определяет сдавление, прорастание, тромбоз и деформацию ветвей почечной вены. При наличии блока на нижней кавограмме обязательным считается проведение атриовентрикулярной кавографии [7]. В настоящее время кавография проводится больным РП при недостаточной информативности или наличии противопоказаний к выполнению других методов визуализации [1].
Читайте также:
