КТ, МРТ при аллергическом грибковом синусите
Добавил пользователь Евгений Кузнецов Обновлено: 12.12.2025
кафедра лучевой диагностики и терапии Курского государственного медицинского университета Минздрава России, Курск, Россия, 305000
ГБОУ ВПО «Курский государственный медицинский университет» Минздрава России, ул. Карла Маркса, 3, Курск, Российская Федерация, 305041
Лучевая визуализация хронического микотического поражения полости носа и околоносовых пазух экстрамаксиллярной локализации
Журнал: Российская ринология. 2018;26(1): 22‑27
Хроническое грибковое поражение синусов в большей степени характерно для верхнечелюстных пазух и имеет одонтогенное происхождение. Экстрамаксиллярная локализация мицетом является крайне редкой и в литературе представлена описанием отдельных случаев. Выполнен анализ результатов обследования 29 пациентов. Представлено описание результатов компьютерной и магнитно-резонансной томографии при хроническом микотическом поражении полости носа и околоносовых пазух экстрамаксиллярной локализации.
Список сокращений:
КТ — компьютерная томография
МРТ — магнитно-резонансная томография
Распространенность грибкового риносинусита до настоящего времени неизвестна. Это обусловлено рядом причин, одной из которых является оппортунизм грибковых инфекций. J. Ponikau и соавт. [4] выявили микотический компонент в содержимом околоносовых пазух у 96% больных хроническим синуситом. Большинство публикаций, касающихся микозов полости носа и околоносовых пазух, посвящены грибковой патологии верхнечелюстной пазухи. Это связано с преобладанием именно этой локализации и тропностью грибов к пломбировочному материалу, который попадает в полость пазухи при перепломбировке каналов зубов верхней челюсти. Встречаемость грибкового поражения иной локализации намного ниже, в литературе это представлено описанием отдельных случаев. Однако имеется тенденция к увеличению частоты диагностики грибковых клиновидных и решетчатых синуситов. Современные методы визуализации позволяют детально изучить структуру клиновидной и решетчатой костей. Выявление мицетом в клиновидной и решетчатой пазухах опровергает мнение об исключительно одонтогенной природе их фунгозного поражения с интраантральными высокоплотными включениями.
По классификации Международного общества по микологии человека и животных выделяют инвазивную и неинвазивную формы грибковых поражений околоносовых пазух. К числу инвазивных относят острую (молниеносную) и хроническую формы поражения, неинвазивных — аллергический грибковый синусит и грибковое тело [5]. Более благоприятное течение имеют неинвазивные формы грибковых синуситов. Тем не менее вопрос классификации микозов носа и околоносовых пазух до конца не изучен и продолжает обсуждаться.
Рентгенологическая картина микотического клиновидного или решетчатого синусита стала диагностически значимой только благодаря компьютерной томографии (КТ). На рентгенограмме клиновидные пазухи видны лишь в аксиальной проекции, решетчатые — в прямой и боковой проекциях, но огромное количество наслоений сводят детальную диагностику к нулю.
На КТ грибковый синусит выявляется в виде мягкотканного содержимого с четким ровным контуром, на фоне которого имеются гиперденсивные включения. Вокруг такого включения может определяться зона переходной оптической плотности — зона гало. M. Aribandi и C. Bazan [6] в описании мицетом клиновидных пазух указывали на встречаемость грибковых тел у пожилых женщин и односторонность поражения. Авторы связывали это с несовершенством мукоцилиарного механизма, депонированием гиф грибов и постоянным поддержанием хронического воспаления. Однако такая картина выявляется не всегда.
H. Zhu и соавт. [7] отмечали, что эрозия при мицетомах — явление нечастое, так как для поражения Aspergillus spp. нехарактерны деструктивные изменения, а если они есть, то связаны с длительным давлением грибковой массы на костную стенку в области естественного соустья.
Цель работы — изучить особенности результатов КТ и магнитно-резонансной томографии (МРТ) при экстрамаксиллярных грибковых риносинуситах.
Пациенты и методы

В исследование были включены 29 пациентов с грибковым синуситом экстрамаксиллярной локализации, среди них 20 (69%) женщин и 9 (31%) мужчин в возрасте от 40 до 85 лет (медиана 70 лет) (рис. 1). Рис. 1.Распределение пациентов с грибковым синуситом экстрамаксиллярной локализации по возрасту. Fig. 1. The distribution of the patients presenting with mycotic sinusitis of extramaxillary localization by ages.
Проведен анализ 32 рентгеновских КТ и 1 МРТ. У 1 пациента была выполнена контрольная КТ через 2 мес, еще у 1 — через 2 и 4 мес. У 1 пациента КТ была дополнена МРТ.
Исследования были выполнены в отделении КТ БМУ «Курская областная клиническая больница» Комитета здравоохранения Курской области. КТ проводили на рентгеновских компьютерных томографах фирмы General Electric (модели NXI и VCT) в аксиальной и коронарной проекциях. МРТ проводили на томографах фирмы General Electric (модель SIGNA OVATION 0.35Т) в аксиальной, сагиттальной и коронарной проекциях. Измерения осуществляли с помощью программы просмотра диагностических изображений RadiAnt DICOM Viewer инструментами Line и Ellipse.
Результаты
В 12 (41,4%) случаях изменения определялись с правой стороны, у 17 (58,6%) человек — с левой. Ни одного случая двустороннего поражения парных пазух зафиксировано не было.
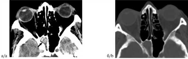
В 22 (75,9%) случаях была поражена клиновидная пазуха, у 6 (20,7%) пациентов — клетки решетчатого лабиринта, в том числе у 1 больного — большой решетчатый пузырек (рис. 2). Рис. 2. Больной К., 58 лет. КТ околоносовых пазух (а) с реконструкцией в коронарной проекции (б). Грибковое тело в проекции большого решетчатого пузырька слева (указано стрелками). The fungal body in the left-hand projection of the ethmoidal bulla of nasal cavity (indicated by the arrows). В 1 (3,4%) случае отмечалось поражение лобной пазухи (рис. 3, 4). Рис. 4. Локализация изменений у пациентов с экстрамаксиллярным синуситом. Fig. 4. Localization in the patients presenting with extramaxillay sinusitis. Рис. 3. Больная А., 48 лет. КТ лобных пазух (а) с реконструкцией в коронарной (б) и сагиттальной (в) проекциях. Грибковое тело в лобной пазухе справа (указано черной и белыми стрелками). The fungal body in the right-hand frontal sinus (indicated by the black and white arrows).
Комбинированное поражение ипсилатеральной верхнечелюстной пазухи определялось в 4 (10,4%) случаях, из них 2 (50%) — с поражением полости носа и 2 (50%) — клиновидной пазухи.
Тотальные изменения в клиновидной пазухе отмечались в 9 (34,6%) случаях, субтотальные — в 6 (23%), мягкотканное содержимое занимало примерно половину объема пазухи у 10 (38,5%) пациентов, у 1 (3,9%) больного отмечался слабовыраженный пристеночный мягкотканный компонент. Выраженность изменений в полости носа у 3 пациентов не оценивалась.

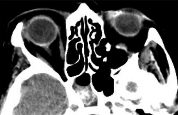
Во всех изученных случаях в околоносовых пазухах определялись высокоплотные включения. Одна группа включений в виде четко очерченных единичных и довольно крупных очагов уплотнения, которые определялись в костном окне просмотра изображений была выявлена у 11 (37,9%) человек, другая — в виде множества мелких нечетко очерченных очагов, которые не определялись или определялись плохо в костном окне просмотра изображений, — у 18 (62,1%) пациентов (рис. 6). Рис. 6. Больная М., 75 лет. КТ в аксиальной проекции. Правосторонний грибковый сфеноидит (указано черной стрелкой). В мягкотканном окне определяются мелкие множественные гиперденсивные включения (а), которые в костном окне не определяются (б). Left-had mycotic sphenoiditis (indicated by the black arrow). Multiple hyperdense inclusions can be seen in the soft tissue window (a) undetectable in the bone window (b).

Зона переходной плотности (зона гало), окружающая включения, определялась в 17 (58,6%) случаях: у 4 (23,5%) пациентов при одиночных и крупных высокоплотных очагах, у 13 (76,5%) больных при включениях в виде множества мелких нечетко очерченных очагов (рис. 7). Рис. 7. Больная Н., 80 лет. КТ в аксиальной проекции. Fig. 7. Patient А., aged 80 years. X-ray computed tomography in the axial projection. Правосторонний грибковый сфеноидит (указано белой стрелкой). В мягкотканном окне вокруг гиперденсивного центра определяется зона переходной плотности (зона гало). Right-had mycotic sphenoiditis (indicated by the white arrow). The zone of transition density around the hyperdense centre can be seen in the soft tissue window (the halo zone).

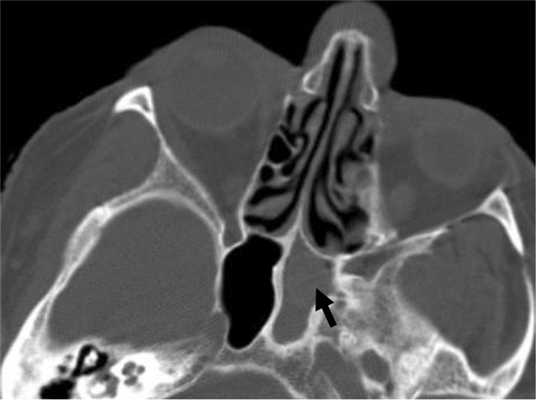
В 15 (51,7%) случаях отмечалось локальное утолщение прилежащих к мягкотканному содержимому костных структур (рис. 8). Рис. 8. Больная Т., 85 лет. КТ в аксиальной проекции. В костном окне отмечаются левосторонний сфеноидит со слабо гиперденсивным грибковым телом (указано черной стрелкой) и утолщение прилежащих костных структур. Left-hand sphenoiditis with the weakly hyperdense fungal bone visible in the bone window. (indicated by the black arrow) and thickening of the adjacent bone structures. У 1 больного это появилось через 2 мес после первичного исследования. В 1 случае определялось асимметричное утолщение прилежащих костных структур среднего носового хода.
У 6 (20,6%) больных отмечалось утолщение кости, прилежащей к мягкотканному патологическому компоненту, при смене стандартного костного окна просмотра диагностических изображений на мягкотканное в 1,5 раза и более.

При магнитно-резонансном исследовании пациентки с фунгозным сфеноидитом патологические изменения выглядели гиперинтенсивными на Т1-взвешенном изображении при отсутствии измененного сигнала на Т2-взвешенном изображении, что создавало впечатление о нормальной пневматизации пазухи (рис. 9). Рис. 9. Больная М., 81 год. МРТ и рентгеновская КТ в аксиальных проекциях. На Т2-взвешенном изображении (а) отсутствует сигнал и складывается впечатление о нормальной пневматизации клиновидной пазухи слева, в то время как на Т1-взвешенном изображении и КТ-изображении патологическое содержимое в синусе присутствует (б, в). The T2-weighted image (а) demonstrates the absence of the signal and produces the impression of normal pneumatization of the left-hand sphenoidal sinus whereas neither the T2-weighted image nor the CT-image shows any pathological content in the sinus (b, c).
Поражение нескольких пазух больше характерно для аллергического грибкового синусита, который чаще встречается в молодом возрасте. В наших наблюдениях возраст (медиана 70 лет) и односторонняя локализация процесса были более характерны для микотического хронического неинвазивного поражения.
Клиновидная пазуха была поражена в 75,9% случаев, что согласуется с данными других исследователей, которые указывают, что это самая распространенная локализация после максиллярного синуса [8, 9]. Самой редкой локализацией была лобная пазуха — 1 (3,4%) случай. По данным иностранных авторов, грибковое поражение лобной пазухи единичное и редко наблюдаемое явление [10, 11].
Основным томографическим признаком грибкового поражения было наличие мягкотканного содержимого с высокоплотным включением.
В 37,9% случаев наблюдались изменения в виде одиночных крупных высокоплотных очагов, а в 62,1% — в виде множественных мелких нечетко очерченных очагов. Еще одним признаком грибкового поражения пазух было наличие вокруг включения зоны гало. Этот признак определялся у 58,6% больных, из них в 76,5% случаев вокруг мелких нечетко очерченных очагов.
В 51,7% случаев отмечалась реакция прилежащих костных структур, что является признаком длительного воспалительного процесса. При прогрессировании синусита в зависимости от характера воспаления изменяется толщина прилежащей костной стенки: при острых гнойных процессах возникает остеопороз, при хронических рецидивирующих процессах — остеосклероз, при осложненных формах — остеомиелит и деструкция костной стенки [12]. У 1 больного увеличение толщины костной стенки выявилось через 2 мес после первичного исследования.
В 20,6% случаев при смене стандартного костного окна просмотра на мягкотканное визуально отмечалось выраженное утолщение прилежащей кости, что отражает реакцию надкостницы на существующий хронический воспалительный процесс.
Дополнительные исследования в динамике в 1 случае отражали хронизацию процесса. При МРТ в режиме Т2-взвешенных изображений отмечалось отсутствие сигнала от патологических включений, выявленных на КТ.
1. Основная роль в выявлении микотического поражения полости носа и придаточных пазух принадлежит КТ. МРТ в отдельных случаях является дополнительным методом исследования.
2. Диагностика экстрамаксиллярного грибкового риносинусита включает в себя выявление как неспецифических признаков поражения полости носа, околоносовых пазух и прилежащих структур, так и специфических изменений.
3. Выявление высокоплотных включений в отдаленных от верхнечелюстной пазухи областях и небольшое количество случаев их сочетанного поражения с одонтогенным верхнечелюстным синуситом ставят под сомнение роль дентальной инфекции в патогенезе микототичского поражения экстрамаксиллярной локализации.
КТ, МРТ при аллергическом грибковом синусите
а) Терминология:
1. Аббревиатуры:
• Аллергический грибковый синусит (АГС) или риносинусит (АГРС)
2. Определения:
• Тяжелая форма хронического риносинусита (ХРС) с полипозом:
о Аллергическая реакция на грибки у восприимчивых людей
• Характеризуется продукцией эозинофильного муцина с неинвазивными грибковыми гифами
б) Визуализация:
1. Общая характеристика:
• Лучший диагностический критерий:
о Снижение пневматизации и вздутие нескольких пазух с наличием плотного содержимого
о КТ: гиперденсный центр и гиподенсная периферия
о МРТ: гипоинтенсивный сигнал (Т2 ВИ); может имитировать газ
• Локализация:
о Поражение нескольких пазух
о Одно- или двухстороннее (50/50); П > Л

(Слева) На рисунке в корональной плоскости показаны классические признаки аллергического грибкового синусита (АГС), включая снижение пневматизации и вздутие нескольких придаточных пазух и полости носа. В центре виден плотный материал, окруженный по периферии отечной слизистой оболочкой.
(Справа) При аксиальной КТ без КУ определяется односторонний аллергический грибковый синусит. Пораженные пазухи вздуты и содержат плотный «выветренный» материал в центре, окруженный гиподенсным ободком по периферии. Поражение пазух при АГС может быть одно- или двухсторонним.
2. КТ при аллергическом грибковом синусите:
• КТ без КУ:
о Гиперденсный материал в центре пазухи
о Гиподенсный «ободок» (слизистая оболочка)
о Вздутие пазухи, ремоделирование и эрозии костей
3. МРТ при аллергическом грибковом синусите:
• Т1ВИ:
о Вариабельный сигнал (вода, белок, грибки)
• Т2ВИ:
о Гипоинтенсивный сигнал в центре (плотное грибковое содержимое и тяжелый металл); может имитировать газ
• Т1ВИ С+:
о Контрастирование воспаленной слизистой оболочки по периферии

(Слева) При аксиальной МРТ Т2ВИ у пациента с двухсторонним АГС определяется диффузный гипоинтенсивный сигнал в пораженных ячейках решетчатой кости. Определяется легкое вздутие пазухи с латеральным смещением глазничной пластинки. Обратите внимание на очень низкую интенсивность сигнала, что создает впечатление о нормальной воздушности пазухи.
(Справа) При аксиальной МРТ Т1ВИ С+ у этого же пациента определяется тотальное снижение пневматизации ячеек решетчатой кости. Слизистая оболочка накапливает контраст по периферии.
в) Дифференциальная диагностика аллергического грибкового синусита:
1. Полипоз носа/околоносовых пазух:
• Распространенная форма ХРС с полипозом
2. Эозинофильный риносинусит:
• Аналогичен АГС, но без гифов
• Системная дисрегуляция иммунитета; чаще двухсторонние изменения
3. Грибковая мицетома пазухи:
• Неинвазивная грибковая колонизация без напряженного иммунитета
• Изолированная, особенно верхнечелюстная; гиперденсная с кальцинатами
4. Солитарный полип носа/пазух:
• Гиподенсное объемное образование с периферическим контрастным усилением
• Классический антрально-хоанальный полип (АХП)
5. Мукоцеле носа/околоносовых пазух:
• Изолированная постобструктивная патология
• Признаки хронической экспансии с ремоделированием костей
6. Неходжкинская лимфома носа/пазух:
• Объемное образование носа/пазух с деструкцией или ремоделированием костей
г) Патология:
1. Общая характеристика:
• Этиология:
о Гиперчувствителыность первого типа, обусловленная IgE:
- Иммунный ответ на антигены грибков
2. Макроскопические и хирургические особенности:
• Вязкая коричневая или зеленовато-черная слизь консистенции арахисового масла/прессованного творога
3. Микроскопия:
• Вязкий эозинофильный муцин с грибковыми гифами
• Возбудители: Aspergillus, Curvularia, Bipolaris, Pseudallescheria, Fusarium
• Отсутствие инвазии тканей
д) Клинические особенности:
1. Проявления:
• Типичные признаки/симптомы:
о Обструкция носа, ринорея
• Клинический профиль:
о Иммунокомпетентный пациент с длительно текущим ХРС
о Полипоз в анамнезе
о Эозинофилия (в сыворотке), повышение IgE
о Кожные реакции на грибковые антигены
2. Демография:
• Возраст:
о Преимущественно молодые взрослые (средний возраст: 30 лет)
• Пол:
о Чаще мужской
• Эпидемиология:
о Астма в анамнезе у 40%
о Заболеваемость выше у африканцев
о Чаще в теплом, влажном климате
3. Течение и прогноз:
• Медленное, вялое течение (ХРС и аллергия)
4. Лечение:
• Первоочередная медикаментозная терапия: топические стероиды
• Хирургическая обработка + системная стероидная терапия
• Топические и системные противогрибковые препараты:
о Спорная эффективность/риски
е) Диагностическая памятка:
1. Следует учесть:
• АГС у пациента с полипозом при повышении плотности и вздутии нескольких пазух
2. Особенности интерпретации изображений:
• Гипоинтенсивный сигнал на Т2ВИ может имитировать газ
ж) Список использованной литературы:
1. Uri N et al: Allergic fungal sinusitis and eosinophilic mucin rhinosinusitis: diagnostic criteria. J Laryngol Otol. 127(9):867-71, 2013
2. Schubert MS: Allergic fungal sinusitis: pathophysiology, diagnosis and management. Med Mycol. 47 Suppl 1:S324-30, 2009
1. Аббревиатура:
• Аллергический грибковый синусит (АГС) или риносинусит (АГРС)
2. Определение:
• Тяжелая форма хронического риносинусита (ХРС) с полипозом:
о Аллергический ответ на грибки у восприимчивых людей
• Продукция эозинофильной слизи с неинвазивными грибковыми гифами
1. Общая характеристика:
• Лучший диагностический критерий:
о Затемнение и вздутие нескольких пазух с наличием в них уплотненного материала
о КТ: высокая плотность в центре и низкая на периферии
о MPT Т2: гипоинтенсивный сигнал, может имитировать газ
• Локализация:
о Поражение нескольких пазух
о Одно- или двухстороннее (50/50); П > Л

(Слева) На рисунке в корональной плоскости показаны классические признаки аллергического грибкового синусита (АГС), в т.ч. нарушение пневматизации и вздутие нескольких околоносовых пазух и полости носа. Уплотненный материал в центре окружен отечной слизистой оболочкой на периферии.
(Справа) На аксиальной КТ без КУ определяется односторонний АГС. Пораженные пазухи вздуты, сдержат уплотненный материал в центре, окруженный гиподенсным периферическим «ободком». Поражение пазух при АГС может быть одно- или двухсторонним.
2. КТ при аллергическом грибковом синусите:
• КТ без КУ:
о Гиперденсный материал в центре пазух с нарушенной пневматизацией
о Гиподенсный «ободок» (слизистая оболочка)
о Вздутие пазухи с ремоделированием стенок и эрозиями
3. МРТ при аллергическом грибковом синусите:
• Т1 ВИ:
о Вариабельный сигнал (вода, белок, грибки)
• Т2 ВИ:
о Гипоинтенсивный сигнал в центре (плотные включения грибков и тяжелых металлов); может имитировать газ
• Т1 ВИ С+:
о Контрастирование воспаленной слизистой оболочки на периферии

(Слева) На аксиальной МРТ (Т2 ВИ) у пациента с двухсторонним АГС определяется диффузный гипоинтенсивный сигнал в пораженных ячейках решетчатого лабиринта. Ячейки слегка вздуты, глазничные пластинки Я дугообразно выбухают кнаружи. Обратите внимание на сигнал крайне низкой интенсивности, имитирующий нормальную пневматизацию пазухи.
(Справа) На аксиальной MPT (Т1 ВИ С+) у этого же пациента определяется тотальное снижение пневматизации ячеек решетчатого лабиринта. Слизистая оболочка накапливает контраст.
1. Синоназальный полипоз:
• Часто встречающаяся форма ХРС с полипозом
• Отсутствие специфических антигенов, аллергии как причины заболевания
2. Эозинофильный риносинусит:
• Напоминает АГС, но без идентифицируемых гифов
• Системное нарушение иммунной регуляции; поражение чаще двухстороннее
3. Грибковая мицетома пазухи:
• Неинвазивная грибковая колонизация в отсутствие напряженного иммунитета
• Изолированное поражение (преимущественно верхнечелюстные пазухи); гиперденсный материал с едва различимыми кальци-натами
4. Синоназальный солитарный полип:
• Объемное образование низкой плотности с периферическим контрастированием
• Классический антрохоанальный полип (АХП)
5. Мукоцеле околоносовых пазух и полости носа:
• Изолированное поражение на фоне обструкции
• Признаки хронического вздутия с ремоделированием кости
6. Синоназальная неходжкинская лимфома:
• Опухоль синоназальной области с деструкцией или ремоделированием костей
1. Общая характеристика:
• Этиология:
о Гиперчувствительность 1 типа, обусловленная IgE:
- Иммунный ответ на антигены грибков
2. Макроскопические и хирургические особенности:
• Вязкая коричневая или зеленовато-черная слизь с консистенцией арахисового масла/прессованного сыра
3. Микроскопия:
• Вязкая эозинофильная слизь с грибковыми гифами
• Микроорганизмы: Aspergillus, Curvularia, Bipolaris, Pseudallescheria, Fusarlum
• Отсутствие инвазии тканей
1. Проявления:
• Типичные признаки/симптомы:
о Обструкция носа, ринорея
• Клинический профиль:
о Имму некомпетентный пациент с длительной историей ХРС
о Полипоз в анамнезе
о Сывороточная эозинофилия, повышение IgE
о Кожная чувствительность к грибковым антигенам
2. Демография:
• Возраст:
о Преимущественно молодые взрослые (в среднем - 30 лет)
• Пол:
о Преимущественно мужской
• Эпидемиология:
о Астма в анамнезе у 40%
о Заболеваемость выше у людей африканского происхождения
о Предрасположенность к теплому и влажному климату
3. Течение и прогноз:
• Аллергический ХРС с медленным, вялым течением
4. Лечение:
• Топические стероиды-препараты 1-й линии
• Хирургическая санация + периоперативная системная стероидная терапия
• Топические и системные противогрибковые агенты могут давать положительный эффект:
о Есть разногласия насчет эффективности и рисков
1. Следует учесть:
• АГС у пациента с полипозом при наличии включений высокой плотности и вздутия нескольких пазух
2. Советы по интерпретации изображений:
• Сигнал низкой интенсивности на Т2 ВИ; может имитировать газ
ж) Список использованной литературы:
1. Hull BP et al: Refractory chronic rhinosinusitls with nasal polyposis. Otolaryngol Clin North Am. 50(1):61-81, 2017
2. Rick EM et al: Allergic fungal airway disease. J Investig Allergol Clin Immunol. 26(6):344-354, 2016
3. Uri N et al: Allergic fungal sinusitis and eosinophilic mucin rhinosinusitis: diagnostic criteria. J Laryngol Otol. 127(9):867-71, 2013
КТ, МРТ при инвазивном грибковом синусите
1. Аббревиатуры:
• Инвазивный грибковый синусит
• Острый инвазивный грибковый риносинусит (ОИГРС)
• Хронический инвазивный грибковый риносинусит (ХИГРС)
• Гранулематозный инвазивный грибковый риносинусит (ГИГРС)
2. Определения:
• ОИГРС: быстро прогрессирующая (часы-дни) трансмукозальная грибковая инфекция пазух у пациентов с иммунодефицитом, с инвазией сосудов, костей, мягких тканей, орбит и интракраниальных структур, приводящая к «сухой гангрене»
• ХИГРС: индолентная (недели-месяцы) инфекция (демитиазные > гиалиновые формы или мукормикозы); более тяжелый иммунодефицит, чем при ОИГРС
• ГИГРС: преимущественно обнаруживается в Судане, Индии, Пакистане, Саудовской Аравии: постепенная грибковая инвазия орбит, носа, околоносовых пазух, верхней челюсти с характерными неказеозными гранулемами
1. Общая характеристика:
• Лучший диагностический критерий:
о Снижение пневматизации пазухи с фокальными эрозиями костей, инфильтрацией окружающих мягких тканей, отсутствием контрастирования слизистой оболочки
о ≥2 положительных признаков из семи: 100% специфичность и 100% ППЗ:
- Инвазия периантрального жира, орбиты, крылонебной ямки, носослезного протока, слезного мешка; изъязвление носовой перегородки; деструкция костей
• Локализация:
о ОИГРС: часто начинается в средней носовой раковине, распространяясь в верхнечелюстную и решетчатую пазухи > основную пазуху:
- Возможно распространение из пазухи в любом направлении с инвазией соседних структур
о ХИГРС: в основном решетчатые и сфеноидальные пазухи
• Морфология:
о Плохо отграниченный/опухолевидный патологический очаг

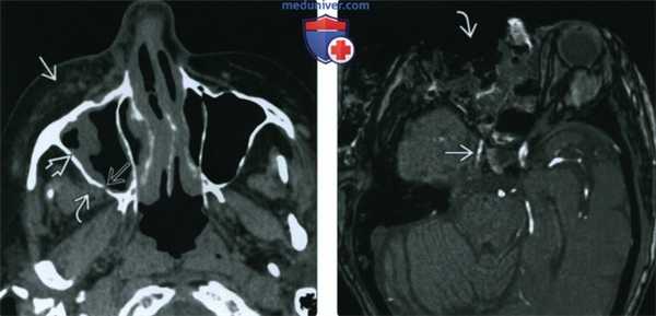
(Слева) При аксиальной КТ без КУ у пациента с диабетом и мукормикозом (ОИГРС) определяется циркулярное поражение правой верхнечелюстной пазухи с выраженными эрозиями задней стенки и замещением жировой клетчатки ретроантральной области и крылонебной ямки мягкотканным компонентом.
(Справа) При аксиальной МРТ Т1 С+ FS визуализируются фокальные неконтрастирующи-еся зоны в слизистой оболочке верхнечелюстной пазухи, соотносящиеся с некротическим струпом, жировая клетчатка ретро-антральной области и крылонебной ямки замещена мягкотканный компонентом.
2. КТ при инвазивном грибковом синусите:
• КТ без КУ:
о Наиболее ранние изменения = одностороннее утолщение мягких тканей носа
о Полное или частичное снижение пневматизации пораженной пазухи с мягкоктанным компонентом; утолщение слизистой оболочки
о Повышение плотности содержимого подозрительно на грибковую инфекцию, чаще хроническую, чем острую
о Фокальные эрозии стенок пазухи:
- Эрозия костей минимальна, т.к. грибы распространяются вдоль сосудов
о Инфильтрация прилежащего жира и мягких тканей:
- Верхнечелюстная пазуха: инфильтрация предчелюстного жира (переднего, предчелюстного или ретроантрального)
- Может не сочетаться с деструкцией костей вследствие распространения по периваскулярным каналам
- Может быть обусловлена отеком вследствие застоя в сосудах, инфильтрации тканей грибками
• КТ с КУ:
о Возможно контрастирование периантральных мягких тканей, соседних мышц
• КТА:
о Сужение/окклюзия артерий; оценка территориальной ишемии, обнаружение псевдоаневризм
• КТВ: для идентификации тромбоза кавернозного синуса
3. МРТ при инвазивном грибковом синусите:
• Т1ВИ:
о Вариабельный сигнал в содержимом вовлеченной пазухи:
- Зависит от содержания белка/воды, наличия грибов
о ↓ сигнала (как в мягких тканях) в периантральной клетчатке:
- Ключевая последовательность для обнаружения инфильтрации жировых пластинок
• Т2ВИ:
о Вариабельная интенсивность содержимого в пазухах
- Грибы могут обусловливать гипоинтенсивный (Т2) сигнал
о FS: гиперинтенсивный отек
• Т1ВИ С+:
о Отсутствие контрастного усиления:
- Гипоинтенсивная слизистая оболочка, не накапливающая контраст (симптом черной носовой раковины): некротический струп
о Контрастное усиление вовлеченных мягких тканей
о Лептоменингеальное контрастное усиление
• МРА:
о Поражение сосудов (сужение, нарушение целостности, тромбоз)
4. Ангиография:
• Сужение, пересечение, тромбоз, псевдоаневризма
5. Рекомендации по визуализации:
• Лучший метод визуализации:
о КТ с КУ в мягкотканном и костном окне для оценки инфильтрации мягких тканей и эрозий костей
о МРТ больше подходит для оценки интраорбитального и интракраниального распространения, определения размеров очагов, не накапливающих контраст

(Слева) При корональной КТ без КУ у пациента с диабетом, почечной недостаточностью, жалобами на боль в глазу определяется снижение пневматизации левой верхнечелюстной пазухи, ячеек решетчатой кости с выраженным эктра- и интракональным ретроорбитальным мягкотканным компонентом, окружающим и смещающим внутреннюю и нижнюю прямые мышцы.
(Справа) При аксиальной МРТ Т1 определяется поражение решетчатой пазухи с чрескостным распространением в ретрорбитальные мягкие ткани. Была выполнена экзентерация орбиты, максиллэктомия, этмоидэктомия, подтвердился ОИГРС (Mucor).
в) Дифференциальная диагностика инвазивного грибкового синусита:
1. Осложненный риносинусит:
• Пациент может иметь нормальный иммунный статус
• Эрозии костей менее вероятны
• Уровень однородной жидкости и газа, утолщение слизистой оболочки
• Осложнения: поднадкостничный постсептальный абсцесс, тромбоз кавернозного синуса, менингит и абсцесс мозга (могут выглядеть аналогично ОИГРС)
2. Гранулематоз носа/пазух с полиангиитом:
• Поражение полости носа (перегородки и носовых раковин)
• Менее опухолеподобный мягкотканный компонент, выраженные эрозии костей
• Возможно вовлечение орбит и основания черепа
3. Плоскоклеточный рак носа/пазух:
• Обычно у пациентов с иммунодефицитом
• Чаще всего в верхнечелюстной пазухе
• Солидное объемное образование с деструкцией костей
4. Неходжкинская лимфома носа/пазух:
• Солидное однородное объемное образование в полости носа
• ↓ сигнала (Т2) вследствие ↑ ядерно-цитоплазматического отношения может имитировать грибы

(Слева) При аксиальной КТ без КУ у пациента с диабетом определяется относительно легкое поражение слизистой оболочки правой верхнечелюстной пазухи. Обращает на себя внимание замещение предчелюстной и ретроантральной жировой клетчатки инфильтративным мягкотканным компонентом (подтвержденный ОИГРС, Mucor). Определяется незначительное нарушение целостности костей задней стенки верхнечелюстной пазухи.
(Справа) При аксиальной MPA (ТОР) после экзентерации правой орбиты определяется неравномерное сегментарное сужение просвета кавернозного сегмента правой внутренней сонной артерии вследствие ОИГРС (Mucor).
1. Общая характеристика:
• Этиология:
о Инвазия сосудов и мягких тканей грибами у пациентов высокого риска с нейтропенией/дисфункцией нейтрофилов:
- Плохо контролируемый сахарный диабет (48%), в половине случаев с диабетическим кетоацидозом
- Злокачественные новообразования крови (39%)
- Использование кортикостероидов (28%)
- Почечная или печеночная недостаточность (7%)
- Трансплантация паренхиматозного органа (6%)
- ВИЧ/СПИД (2%)
- Аутоиммунное заболевание (1%)
о Редко встречается у пациентов с ненарушенной иммунной функцией
о Распространение из пазух: инвазия сосудов
2. Стадирование, классификация инвазивного грибкового синусита:
• Три различных кпинических/патологических подгруппы ОИГРС:
о Острый (фульминантный) инвазивный ГРС
о Хронический инвазивный ГРС
о Гранулематозный инвазивный ГРС
• Диагностика заключается в обнаружении инвазивных грибов путем биопсии слизистой оболочки, подслизистой основы, кости
3. Макроскопические и хирургические особенности:
• ОИГРС: некроз, искажение цвета тканей, обусловленное грибами
4. Микроскопия:
• ОИГРС:
о Инвазия гифами слизистой/подслизистой оболочки и кровеносных сосудов
о Инфаркт и нейтрофильный инфильтрат
• ХИРГС:
о Плотное скопление гифов, в единичных случаях инвазия сосудов
о Разбросанные зоны воспаления
о >50% Aspergillus fumigatus
• ГИГРС:
о Неказеозный гранулематоз с выраженным фиброзом и немногочисленными гифами
о Васкулит, сосудистая пролиферация, периваскулярный фиброз
о Чаще всего Aspergillus flaws
1. Проявления:
• Типичные признаки/симптомы:
о ОИГРС: отек лица (65%), лихорадка (63%), заложенность носа (52%), глазная симптоматика (50%), головная боль (46%), параличи ЧН (42%)
о ХИГРС: боль, заложенность носа, носовое кровотечение, полипоз
о ГИГРС: объемное образование (увеличение) щек, орбит, носа/пазух
• Клинический профиль:
о ОИГРС: быстро прогрессирующая (часы-дни) инвазивная грибковая инфекция у иммуноскомпроментированного пациента
о ХИГРС: медленный деструктивный процесс (> 12 недель) у пациента с СПИД, СД, на фоне приема кортикостероидов:
- Может обнаруживаться у пациента с иммунодефицитом
- Может развиться спустя месяцы/годы, персистировать, рецидивировать
о ГИГРС: увеличение щек, объемное образование глазниц, но-са/пазух (> 12 недель) у иммунокомпетентного хозяина
2. Демография:
• Возраст:
о Обычно у взрослых, средний возраст 42 года
• Пол:
о Мужской 67%, женский 43%
• Эпидемиология:
о Пациенты с диабетом или иммунодефицитом и предрасполагающими состояниями
о ГИГРС: Судан, Индия, Пакистан, Саудовская Аравия
3. Течение и прогноз:
• ОИГРС: без адекватного хирургического и медикаментозного лечения может быть быстро прогрессирующим (часы-дни) и фатальным:
о Смертность 50-80%
о Наилучший прогноз: если заболевание ограничено пазухами и проксимальными тканями, при диабете; отсутствии патологических очагов, не накапливающих контраст, вне носа/пазух
о Неблагоприятный прогноз: поражение орбит и интракраниальных структур, персистирующие очаги, не накапливающие контраст, после хирургического лечения, активные болезни крови
о ОИГРС (основной пазухи) может приводить к тромбозу кавернозного синуса, окклюзии сонных артерий, формированию грибковой аневризмы, дисфункции ЧН, инфаркту мозга
4. Лечение:
• Радикальная санация до достижения гистопатологически нормальной ткани:
о Преоперативная идентификация неконтрастирующихся очагов необходима для примерного определения краев резекции
• Противогрибковая терапия амфотерицином В:
о Грибки рода Mucor нечувствительны к азолам
• Коррекция состояний, приводящих к иммунодефициту
1. Следует учесть:
• ОИГРС у пациента с диабетом/иммунодефицитом с заболеванием верхнечелюстных пазух и «грязной» периантральной клетчаткой, даже если эрозия костей отсутствует
2. Советы по интерпретации изображений:
• Нельзя ошибочно принимать периантральный жир вариабельного объема или нормальную мускулатуру за инфильтрацию жировой клетчатки
• Оцените поражение орбит, полости черепа
• Тщательно оцените кавернозные синусы, основную артерию и внутренние сонные артерии при сфеноидальном ОИГРС
• На пре- и постоперационных томограммах нужно искать неконтрастирующиеся очаги
Диагностика грибковой инфекции по КТ и МРТ снимкам носа
Причины появления и классификация грибковой инфекции
- В 6-8% случаев хронические синуситы имеют грибковую этиологию.
- Возбудители грибковых инфекций - грибы рода Aspergillus
- Грибковая инфекция имеет 4 формы заболевания:
- I форма: Острая инвазивная.
- II форма: Хроническая ивазивная.
- III форма: Мицетома.
- IV форма: Аллергический грибковый синусит.
- Острые инвазивные формы чаще всего встречаются у пациентов с иммунодефицитом (часто - мукороз, особенно при сахарном диабете, ВИЧ- инфекции и у пациентов с лейкопенией)
- Неинвазивные формы возникают у пациентов с нормальным иммунитетом, страдающих хроническим синуситом или имеющих предрасположенность к аллергии.
Клинические проявления
Грибковая инфекция имеет симптомы, которые можно разделить на 2 формы.
Острая инвазивная форма:
- Выраженные клинические проявления
- Повышение температуры тела
- Спутанность сознания, вплоть до комы
- Часто ухудшение зрения в связи с осложнениями со стороны глазницы
- Распространение в полость черепа с сопутствующей неврологической симптоматикой.
- Возможно бессимптомное течение
- Может проявляться симптомами хронического синусита.
Бактериально -грибковая и вирусная инфекция в организме значительно ухудшают течение основного заболевания и требуют особого внимания к себе.
Грибковые инфекции у детей развиваются на фоне недостаточного иммунинета, нарушении защитных функций кожи и слизистых.
Признаки грибкового поражения на КТ и МРТ снимках
Методы выбора
- КТ с контрастированием
- МРТ с гадолинием.
Информативна ли МСКТ головы при грибковой инфекции носа
- Полное затемнение одной или нескольких пазух без уровня жидкости
- Аллергический грибковый синусит неотличим от хронического синусита с множественными полипами
- Может наблюдаться увеличение плотности в центре очага (продукты метаболизма, пломбировочный материал)
- Острая инвазивная форма: очаги поражения с деструкцией и инфильтрацией кости, инвазия в окружающие структуры (глазница, основание черепа, полость черепа).
Что покажут снимки МРТ головы при грибковом синусите
- Высокая интенсивность сигнала на Т2-взвешенном изображении, низкая - на Т1-взвешенном изображении
- Отсутствие усиления после введения гадолиния
- Острая инвазивная форма: инфильтрация, распространение за пределы пазухи с деструкцией тканей лучше определяется на Т1-взвешенном изображении с подавлением сигнала от жировой ткани после введения гадолиния.
Специфичные признаки грибковой инфекции
- Увеличение плотности в центре очага при КТ в случае аллергического грибкового синусита и мицетомы
- Часто двустороннее поражение нескольких пазух
- Наблюдается истончение костных стенок или развитие неравномерной очаговой деминерализации
- Инвазивные формы могут вызывать деструкцию кости
- Диффузная инфильтрация окружающих структур при инвазивном грибковом синусите.
Что хотел бы знать лечащий врач?
- Распространенность процесса
- Диагноз
- Поражение соседних структур при инвазивных формах.
Какие заболевания имеют симптомы, схожие с грибковой инфекцией носа и пазух
Злокачественная опухоль
- Наблюдается более интенсивное усиление сигнала после контрастирования
Хронический синусит
-Невозможно отличить от аллергического грибкового синусита только на основании данных методов визуализации (синус-бронхиальный синдром).
Лечение
- При острой инвазивной форме необходимо экстренное хирургическое вмешательство с полным удалением очага поражения, которое может включать резекцию вовлеченных в процесс соседних структур (например, глазницы)
- Сопутствующая противогрибковая терапия (например, амфотерицин В, каспофунгин)
- Лечение хронических форм в основном сходное, но менее радикальное и экстренное.
Врачи каких специальностей диагностируют и лечат грибковую инфекцию в носу
- Невропатолог (оценка неврологического статуса)
- Хирург (оперативное лечение связанное с удалением очага инфекции)
- Лор врач (лечение грибковых инфекций, основной патологии)
Прогноз
- Хронические формы имеют значительно более благоприятный прогноз и могут быть полностью излечены после хирургического вмешательства.
Возможные осложнения и последствия
- В случае запоздалой диагностики или лечения летальность при остром инвазивном мукорозе достигает 40%

Пациент с жалобами на боли в области правой верхней челюсти, возникший после пересадки костного мозга в связи с острым миелоидным лейкозом. При КТ наблюдается инвазивный синусит, вызванный грибами рода Aspergillus с инфильтрацией мягких тканей лица и подвисочной ямки, преимущественно с правой стороны (а). Хроническая форма (b), наблюдается увеличение плотности в центре очага.
Читайте также:
- Механизм импорта белка в митохондрии
- КТ, МРТ при костном трансплантате позвоночника
- Патофизиология несовместимых гемотрансфузий. Механизмы гемолитических реакций
- Классификация пороков развития черепа - cranium bifidum
- Пучковая зона надпочечников. Сетчатая зона надпочечников. Мозговое вещество надпочечников.
