КТ, МРТ при менингиоме основания черепа
Добавил пользователь Евгений Кузнецов Обновлено: 16.01.2026
Менингиомы являются наиболее часто обнаруживаемыми внутричерепными опухолями. Они представляют собой примерно 38% всех внутричерепных опухолей у женщин и 20% — у мужчин. Они чаще встречаются у женщин, чем у мужчин, и обычно диагностируются у лиц старше 30 лет.
Развитие методов визуализации, таких как компьютерная томография (КТ) и магнитно-резонансная томография (МРТ) улучшило возможности предварительной оценки успеха операционного лечения, то есть полного удаления опухоли. Методы визуализации позволяют получить информацию о месте прикрепления опухоли к твердой мозговой оболочке, локализации и тяжести отека, смещении жизненно важных нейро-сосудистых структур, что требуется для планирования оперативного лечения, а также определяет исход лечения.
Сделать МРТ головного мозга в Санкт-Петербурге
Всемирная организация здравоохранения (ВОЗ) подразделяет менингиомы на 3 большие категории, включающие 15 подтипов:
Нейрорадиологи и нейрохирурги должны быть готовы к тому, что иногда выглядят на КТ и МРТ нетипичным образом, что может быть связано с различными гистологическими подтипами опухоли.
Атипичные и злокачественные гистологические типы опухолей, а также опухоли с гетерогенным характером контрастирования на КТ отличаются большей вероятностью рецидивирования. Развиваются из паутинной мозговой оболочки, в частности, из менинготелиальных клеток. Большинство растут в сторону мозговой ткани и представляют собой отграниченные образования округлой или дольчатой формы, четкого контура и с основанием на твердой мозговой оболочке. Плоские опухоли, т.н. en plaque , инфильтрируют твердую мозговую оболочку и растут в виде тонкого листа или бляшки на протяжении твердой мозговой оболочки свода черепа, серпа или намета мозжечка. Место прикрепления к твердой мозговой оболочке может выглядеть в виде относительно тонкой ножки или, наоборот, широкого основания. Поскольку мягкая и паутинная мозговые оболочки формируют мембранный барьер между опухолью и тканью головного мозга, некоторые растут в сторону подпаутинного пространства, но инвазивный рост в ткань головного мозга наблюдается нечасто.
Диагностика менингиомы
МРТ считается предпочтительным методом исследования для диагностики менингиом и их последующего наблюдения. МРТ позволяет с большой точностью обнаружить менингиомы типа en plaque или задней черепной ямки, которые легко пропустить при КТ. Исторически у КТ есть ряд ограничений в осуществлении снимков в любых других проекциях, кроме аксиальной. Тем не менее, современная спиральная КТ, или мультидетекторная КТ (МДКТ/МСКТ), позволяют значительно улучшить качество сагиттальных и корональных изображений, получаемых на основании аксиального снимка. По сравнению с МРТ, на КТ труднее различить различные варианты строения мягких тканей.

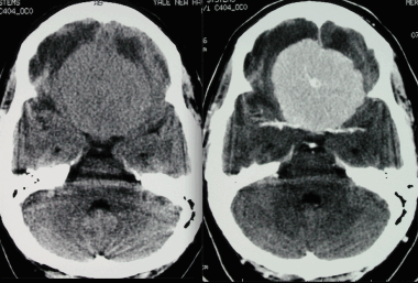
Менингиома лобной доли: КТ-картина. После введения контрастного вещества виден характерный вид «колеса со спицами» в структуре слабо контрастируемой опухоли. Несмотря на то, что данный паттерн чаще наблюдается при ангиографии, он также отмечается на томографических изображениях.

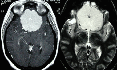
МРТ того же пациента, выполненная после предыдущей КТ: аксиальное Т1-взвешенное изображение после введения гадолиния и аксиальное Т2-взвешенное изображение. Видна крупная менингиома лобной области, расположенная срединно, со специфическим паттерном «колеса со спицами».
Дифференциальный диагноз в случае менингиомы головного мозга проводится с метастазами в твердую мозговую оболочку (чаще всего первичными очагами опухоли являются рак груди или простаты), гемангиоперицитомой, гранулематозными заболеваниями (в т.ч. саркоидозом и туберкулезом), идиопатическим гипертрофическим пахименингитом, экстрамедуллярным гемопоэзом, гемангиомой, а также венозными синусами или синусами твердой мозговой оболочки. Иногда различить указанные состояния сложно, в таких случаях рекомендуется повторный профессиональный анализ КТ или МРТ. При специфической анатомической локализации опухоли во внимание следует принимать и другие возможные диагнозы, включающие вестибулярную шванному для опухолей мозжечково-мостового угла, макроаденому гипофиза и краниофарингиому для опухолей параселлярной области, хордому/хордосаркому для объемных образований в области ската.
Рентгенография при менингиоме
В большинстве случаев обзорная рентгенография черепа не обладает диагностической ценностью, поскольку не позволяет получить никаких данных, которые могли бы указывать на наличие менингиомы. Иногда могут отмечаться кальцифицированные участки или зоны реактивного гиперостоза. В редких случаях могут быть видны участки остеолиза.

8. На рентгеновском снимке во фронтальной плоскости хорошо заметно кальцифицированное образование в области лобной пазухи. На снимке в латеральной проекции образование визуализируется кверху от решетчатой пластинки. Несмотря на то, что по результатам исследования можно заподозрить, обнаруженные признаки неспецифичны, и поэтому обнаруженное внутричерепное образование требует дообследования при помощи КТ.
Большинство рентгеновских снимков не отображают признаков наличия заболевания. Менингиомы типа en plaque характеризуются диффузным гиперостозом, чаще в области крыла клиновидной кости и птериона. Такие результаты исследования с большой долей вероятности свидетельствуют о наличии
болезни.
Кальцинаты внутри опухоли являются значительно более редким рентгенографическим проявлением менингиомы; это зачастую приводит к ложно-отрицательным результатам. Большинству пациентов не проводится рентгенографическое исследование, поскольку диагноз был подтвержден при помощи КТ или МРТ.
КТ при менингиоме
Компьютерная томография (КТ) часто используется для оценки опухолей мозга. Обычно на изображении без контрастного усиления она представлена в виде четко очерченного внемозгового (экстрааксиального) образования с ровными краями, прилегающего к твердой мозговой оболочке. Примерно 70-75% обладают повышенной плотностью по сравнению с окружающей их паренхимой головного мозга, а около 25% — изоденсивны. Редкая группа опухолей (липобластный подтип) содержат включения жира и, таким образом, характеризуются пониженной рентгеновской плотностью.
Сделать КТ головного мозга в Санкт-Петербурге
Кальцинаты являются другой частой находкой; их обнаруживают в 20-25% случаев. Кальцинаты на КТ могут быть узловыми, точечными или сплошными плотными. Часто наблюдается вазогенный паренхиматозный отек окружающей мозговойо ткани, визуализирующийся на снимке как участок паренхимы пониженной плотности. В некоторых случаях отек настолько выражен, что, ввиду преимущественного поражения белого вещества, может выглядеть в виде пальцевидных зон низкой плотности. Впрочем, отек отсутствует примерно в 50% случаев вследствие медленного роста опухоли.

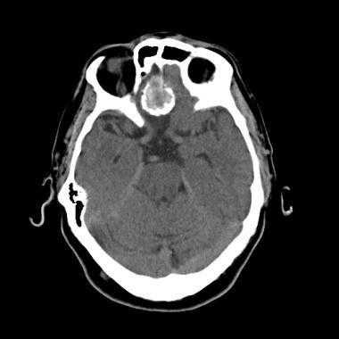
Псаммоматозная менингиома. КТ-исследование кальцифицированного объемного образования, обнаруженного на рентгеновском снимке. На томограмме, полученной на уровне верхней границы орбит, видна опухоль в области решетчатой пластинки (в области ольфакторной ямки).
Преимуществом КТ над МРТ является лучшая визуализация костной ткани. Гиперостоз подлежащей кости отмечается у 15-20% пациентов. Также можно обнаружить бо́льшую выраженность сосудистых борозд и нерегулярность строения компактного вещества коркового слоя кости. Реже в образовании отмечаются кровоизлияния, образование кист и участки некроза. Кисты как компонент менингиомы могут возникать внутри опухоли или между опухолью и подлежащей тканью головного мозга (с препятствием оттоку спинно-мозговой жидкости).
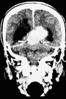
Менингиома теменно-затылочной области: объемная 3D-реконструкция.
Внутривенное введение контраста помогает в оценке менингиомы: в более 90% случаев наблюдается интенсивное равномерное повышение плотности после введения контраста.
Неоднородный характер контрастирования может быть следствием некроза или, реже, кровоизлияния.

З адняя тенториальная менингиома на корональном КТ-изображении с контрастным усилением. К намету мозжечка прилежит объемное образование повышенной плотности с четкими краями. Визуализируются застой спинно-мозговой жидкости, легкий отек прилежащих тканей, гомогенный характер контрастирования, а также расширение желудочков.
Примерно 90% менингиом видны на КТ-изображениях. Основная роль КТ, по сравнению с МРТ, заключается в отображении изменений в подлежащих костях и наличия кальцинатов в опухоли.
Нетипичная КТ-картина является основной причиной ошибок в предоперационной постановке диагноза. Так, могут быть пропущены менингиомы задней черепной ямки . Кроме этого, КТ не в состоянии отобразить наличие кист во внутричерепных менингиомах. Ложно-отрицательные результаты могут быть получены при наличии кистозных образований в менингиомах головного мозга. К ложно-положительным результатам могут приводить обширные зоны отложения кальция в твердой мозговой оболочке, которые могут имитировать заболевание. Снизить число ошибок, обусловленных человеческим фактором, помогает второе мнение.

Анапластическая менингиома лобной доли. Н а КТ-изображении в режиме мозгового окна и костного окна Хаунсфильда видна крупная внутрикостная менингиома. Обнаруживаемые КТ-феномены неспецифичны и могут включать различные изменения от остеолиза до остеосклероза. Внутрикостные менингиомы составляют менее 1% опухолей костной ткани.
МРТ при менингиомах
МРТ с использованием гадолиния является наилучшим способом визуальной оценки менингиом. Важными преимуществами МРТ в диагностике менингиом являются хорошая визуализация разных типов мягкой ткани, возможность получения изображений в разных плоскостях, а также реконструкции объемного (3 D ) изображения.
МРТ также хорошо демонстрирует васкуляризацию опухоли, прорастание артерий и инвазию опухоли в венозные синусы, а также взаимное расположение опухоли и подлежащих структур. Особенно полезной МРТ с гадолинием оказывается для отображения структур параселлярного пространства, задней черепной ямки, и, в редких случаях, опухолевых отсевов по путям оттока спинномозговой жидкости. Возможность получения изображений в разных плоскостях позволяет наилучшим образом визуализировать зону контакта менингиомы с мозговыми оболочками, капсулу опухоли, а также выявить особенности контрастирования мозговых оболочек в участках, непосредственно прилежащих к опухоли.

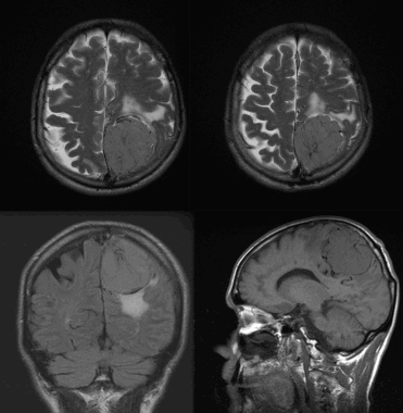
Фалькс-менингиома на МРТ.
А: на Т1-взвешенном МР-изображении отмечается солидное образование, характеризующееся изоинтенсивностью по отношению к твердой мозговой оболочке, инвазией в кость и сдавлением теменных зон коры.
В: На Т1-взвешенном МР-изображении с контрастным усилением видна частично контрастируемая опухоль.
С: На корональном Т2-взвешенном изображении видно изоинтенсивное образование, что соответствует плотной ткани. Такая картина характерна для фибробластных менингиом.
D : На Т1-взвешенном МР-изображении с контрастным усилением визуализируется гиперинтенсивное образование внутри мозгового вещества кости.
На Т2-взвешенных изображениях, полученных без контрастного усиления, интенсивность сигнала в большинстве случаев не отличается от таковой серого вещества коры. Фиброматозные менингиомы могут иметь более гипоинтенсивный сигнал по сравнению с корой головного мозга. Т1-взвешенные изображения могут использоваться для оценки наличия некроза и кист, а также следов кровоизлияний в опухоль. На Т2-взвешенных изображениях интенсивность сигнала варьируется. Т2-взвешенные изображения тоже могут быть использованы для обнаружения последствий кровоизлияний в опухоль и визуализации кистозных образований. Кроме этого, Т2-взвешенная ИП используется для определения наличия кармана между опухолью и паренхимой головного мозга с затеканием СМЖ, что свидетельствует об экстрааксиальном расположении образования.
Гиперинтенсивность сигнала на Т2-взвешенных изображениях указывает на мягкотканую структуру опухоли и ее обильную капиллярную васкуляризацию. Это более характерно для агрессивных ангиобластных или менинготелиальных опухолей. Интенсивность сигнала на Т2-взвешенных изображениях хорошо коррелирует как с гистологическим строением, так и с консистенцией менингиомы. В целом, участки пониженной интенсивности в опухоли соответствуют более плотной, фиброзной, структуре образования (например, в случае фибробластных менингиом), в то время как гиперинтенсивные участки указывают на более мягкотканую структуру опухоли (например, в случае ангиобластной менингиомы).
А: на МР-ангиограмме в латеральной проекции отмечается окклюзия верхнего сагиттального синуса вследствие опухолевой инвазии.
В: МРТ-реконструкция изображения визуализирует окклюзию сагиттального венозного синуса и объемный характер опухоли.
Последовательность FLAIR (режим инверсия-восстановление с подавлением сигнала от воды) удобно использовать для визуализации сопутствующего отека, а также т.н. «дурального хвоста». Дуральный хвост представляет собой линейный участок контрастного усиления, соответствующей непосредственно прилежащей к опухоли твердой мозговой оболочке. Дуральный хвост наблюдается примерно в 65%, а также в 15% случаев при других опухолях. Несмотря на то, что данный признак не является специфичным, при его наличии такой диагноз становится одним из наиболее вероятных.
Как при МРТ, так и при КТ одинаково отвечают на введение контрастного вещества. Интенсивное контрастирование гадолинием наблюдается в более 85% случаев. Кольцевое распределение контраста может соответствовать капсуле образования. Использование гадолиния также улучшает визуализацию плоских менингиом типа en plaque , которые могут быть не видны на изображениях без контрастного усиления.

Парасагиттальная менингиома на МРТ с контрастным усилением. Видно гомогенное округлое образование, активно накапливающее контрастное вещество.

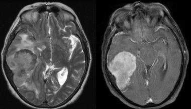
Менингиома височной области. На серии последовательных МР-изображений видно крупное образование правой височной области с паттерном контрастирования по типу «колеса со спицами», местным объемным воздействием, отеком окружающих тканей и гиперостозом подлежащей кости.

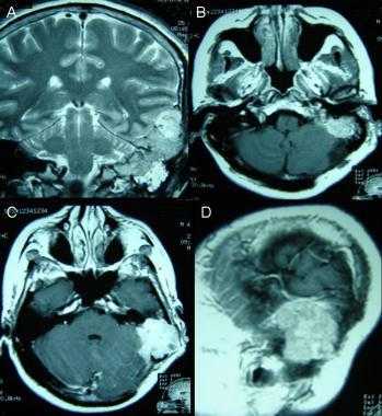
Атипичная с деструкцией пирамиды височной кости. На корональном Т2-взвешенном и контрастированном Т1-взвешенном МР-изображении виден быстрый рост конвекситального объемного образования в сторону намета мозжечка и пирамиды височной кости.

Менингиома теменной области. МР-изображения, полученные с использованием следующих последовательностей: аксиальное Т2-взвешенное, аксиальное Т2-взвешенное, корональное FLAIR -изображение и сагиттальное Т1-изображение. Крупная левосторонняя менингиома выглядит в виде экстрааксиального образования с паттерном «колеса со спицами» и отеком окружающих тканей.
ДОПОЛНИТЕЛЬНЫЕ ТЕХНИКИ КТ И МРТ
Разные гистологические подтипы по-разному выглядят на МРТ, но лишь на основании данных МРТ нельзя поставить морфологический диагноз.
Большинство легко диагностировать при помощи стандартной МРТ. Впрочем, атипичная МР-картина может вызывать сомнения в диагнозе.
Проводились исследования роли МР-спектроскопии и других имитирующих состояний. Исследования показали стабильно повышенные уровни аланина, холина, глутамат-глутаминового комплекса и пониженные уровни N -ацетиласпартата и креатина. В особенности обращало на себя внимание повышение величины химического сдвига: в случае глутамина до 3,8 и аланина до 1,48. Диагностическая ценность уровня липидов и лактата, хоть они и соответствовали таковым при злокачественных глиомах или метастазах, в случае менингиом остается противоречивой. Также было показано, что для менингиом характерен низкий уровень миоинозитола и креатина.
МР-спектроскопия с использованием фосфора-31 демонстрирует характерную щелочную среду и низкие уровни фосфокреатина и фосфодиэстераз.
Были сделаны различные выводы касательно роли диффузионно-взвешенной МРТ. Измеряемый коэффициент диффузии (ИКД) для высокодифференцированных опухолей обычно оказывался ниже по сравнению с окружающей тканью головного мозга. Некоторые исследования показали схожую тенденцию в случае менингиом, но по данным других исследований значения ИКД для 1-й и 2-й степеней злокачественности статистически достоверно не различались.

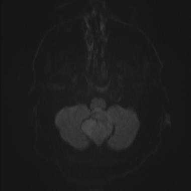
Менингиома задней черепной ямки: диффузионно-взвешенное МР-изображение (DWI). Сигнал умеренно повышен, что соответствует умеренному ограничению диффузии.
По результатам изучения роли перфузионно-взвешенной МРТ также был сделан ряд выводов. Гиперваскуляризированным менингиомам обычно характерен повышенный уровень перфузии. Также была оценено значение перфузионно-взвешенной МРТ в определении подтипа менингиомы и в постоперационном динамическом наблюдении.
Использование контрастных веществ на основе гадолиния сопряжено с развитием нефрогенного системного фиброза (НСФ) или нефрогенной фиброзирующей дермопатии (НФД). Заболевание развивалось у пациентов с хронической болезнью почек в стадиях от умеренной до терминальной после введения контрастного вещества на основе гадолиния для проведения МРТ или МРА.
Было показано, что значение измеряемого коэффициента диффузии (ИКД), равное 0,85, при использовании диффузионно-взвешенной МРТ позволяет отдифференцировать менингиому 1-й степени злокачественности от опухолей 2-й и 3-й степеней злокачественности. В исследовании на 389 пациентах 1-я степень злокачественности по ВОЗ была диагностирована в 271 случае (69,7%), 2-я степень – в 103 случаях (26,5%), 3-я степень – у 15 больных (3,9%).
В целом, чувствительность и специфичность МРТ в случае менингиом довольно высоки. Доказано, что МРТ лучше отображает саму опухоль и ее расположение относительно окружающих структур. Впрочем, использование МРТ не позволяет достоверно определить наличие кальцинатов в опухоли; также затруднительным представляется визуализация свежего кровозлияния.
Также должна учитываться возможность ложно-отрицательных данных о кальцинатах в опухоли. Трудности отображения свежих кровоизлияний в опухоль являются недостатком МРТ и могут привести к ошибочным результатам исследования.
КТ, МРТ при менингиоме основания черепа
а) Определение:
• Доброкачественное экстрааксиальное новообразование, развивающееся из верхушечных клеток паутинной оболочки
б) Визуализация:
1. Общая характеристика:
• Лучший диагностический критерий:
о Интенсивно контрастируемое экстрааксиальное фиксированное к твердой мозговой оболочке объемное образование с контрастными «хвостами»
• Локализация:
о Передний отдел основания черепа (40% внутричерепных менингиом):
- 50% локализуется в обонятельной борозде и бугорке турецкого седла:
15% менингиом обонятельной борозды прорастают в полость носа и придаточных пазух
Менингиомы бугорка турецкого седла могут прорастать в канал зрительного нерва с одной или обеих сторон
- 50% локализуются в крыле клиновидной кости:
Менингиомы наклоненного отростка (медиальная часть крыла клиновидной кости)
Сфено-орбитальные (латеральная часть крыла клиновидной кости); чаще всего вызывают развитие симптоматики
о Центральный отдел основания черепа:
- Петрокливальные (верхняя часть ската затылочной кости, кавернозный синус, намет и верхушка пирамиды височной кости)
о Задний отдел основания черепа:
- Нижняя часть ската затылочной кости, большое затылочное отверстие:
Встречаются передние, задние и латеральные новообразования большого затылочного отверстия
о Другие локализации менингиом основания черепа: мостомозжечковый угол/внутренний слуховой канал, височная кость, яремное отверстие
• Морфология:
о На широком основании/лентиформная > глобулярная/сферическая
о Иногда имеет плоскую форму:
- Опухоль «ковром» покрывает нижележащий гиперостоз
- Часто встречается среди сфено-орбитальных новообразований (латеральная часть клиновидной кости)

(Слева) При MPT Т1 ВИ FS с КУ в аксиальной проекции у пациента с левосторонним экзофтальмом определяется плоская (en plaque) менингиома левого крыла клиновидной кости: наблюдается выраженный гиперостоз, но виден лишь тонкий контрастный ободок внутри-глазничного и внутричерепного компонентов опухоли.
(Справа) При МРТ Т1 ВИ FS с КУ в ксиальной проекции определяется менингиома среднего отдела основания черепа, окружающая правую внутреннюю сонную артерию и вызывающая сужение последней. Через porus trigeminus опухоль проникает в предмостовую цистерну. С медиальной стороны виден «дуральный хвост».
2. КТ при менингиоме основания черепа:
• КТ без контрастного усиления:
о 75% гиперинтенсивны по сравнению с паренхимой головного мозга
о 25% интрамуральный кальциноз:
- Иногда может полностью обызвествляться
• КТ с КУ:
о В 90% случаев наблюдается интенсивное равномерное контрастирование
• КТ в костном окне:
о Гиперостоз > склеротические изменения прилегающей кости по типу «тронутой молью»
- Иногда развивается инвазия опухоли в гиперостоз кости
- Может наблюдаться «вздутие» клиновидной площадки кверху:
В некоторых случаях отмечается гиперпневматизация прилежащей клиновидной пазухи
3. МРТ при менингиоме основания черепа:
• Т1 ВИ:
о Гипо- или изоинтенсивно по сравнению с серым веществом
- В зонах развитого кальциноза сигнал может быть ослаблен или отсутствовать вовсе
о Изредка в очагах кровоизлияния отмечается усиление сигнала
• Т2ВИ:
о Гипо- или изоинтенсивно по сравнению с серым веществом
о В 25% наблюдаются атипичные изменения: усиление сигнала от участков некроза и кист
о На периферии крупных новообразований наблюдается ликворная/сосудистая щель:
- Узкое пространство между опухолью и головным мозгом, содержащее спинномозговую жидкость и сосуды
о Перитуморальный отек головного мозга коррелирует с наличием кровоснабжения сосудами мягкой мозговой оболочки:
- Повышение частоты операционных осложнений и ранних рецидивов
• Т2 в режиме градиентного эха:
о При выраженном кальцинозе могут наблюдаться очаги ослабления сигнала («Ыоот»)
• Т1 ВИ с КУ:
о Интенсивное контрастирование в 95% случаев:
- Контрастный «дуральный хвост» в 60% случаев
о Менингиома в полости кавернозного синуса, как правило, контрастируется менее интенсивно по сравнению с пораженным синусом
4. Ангиография:
• Сосуды твердой мозговой оболочки снабжают середину опухоли, сосуды мягкой мозговой оболочки - ее периферию
• Расширенные питающие сосуды твердой мозговой оболочки часто формируют рисунок «спиц колеса» или «солнечных лучей»
• В венозную фазу наблюдается длительное «прокрашивание» сосудов
5. Рекомендации по визуализации:
• Лучший метод визуализации:
о Обычно наилучшим методом, позволяющим точно оценить границы опухоли, является МРТ с контрастированием и подавлением сигнала от жира

(Слева) При MPT Т2 ВИ в аксиальной проекции у этого же пациента определяется менингиома среднего отдела основания черепа; опухоль примерно изоинтенсивна по сравнению с серым веществом, между опухолью и смещенной височной долей видна ликворная/сосудистая щель. Небольшой компонент опухоли в задней черепной ямке деформирует мост.
(Справа) При корональной МРТ Т1 ВИ FS с КУ на медиальной поверхности пирамиды височной кости определяется экстрааксиальное объемное образование, прорастающее во внутренний слуховой проход и яремное отверстие. Виден гиперостоз верхней стенки внутреннего слухового прохода.
в) Дифференциальная диагностика менингиомы основания черепа:
1. Шваннома тройничного нерва:
• Параселлярное объемное образование, нередко с кистозными компонентами
• Может прорастать через отверстия, содержащие ветви тройничного нерва, или через предмостовую цистерну
2. Гигантская макроаденома гипофиза:
• Крупное инвазивное объемное образование, прорастающее основание черепа
• Нормальной ткани гипофиза не определяется
3. Хордома ската затылочной кости:
• Деструктивное объемное образование средней линии
• Интенсивный Т2-сигнал; неоднородное контрастирование
4. Хондросаркома:
• Эксцентрическое объемное образование, содержащее хондроидный матрикс
• ↑ Т2-сигнал
5. Метастазы в основании черепа:
• Картина вариабельна, зависит от гистологического строения первичной опухоли и от локализации метастаза - в твердой мозговой оболочке или в костном мозге костей основания черепа:
о Множественные контрастные объемные образования, фиксированные к твердой мозговой оболочке
6. Плазмоцитома:
• Литическое деструктивное образование ската затылочной кости
• Бывает солитарной или, на фоне миеломной болезни, множественной
7. Нейросаркоидоз:
• Мультифокальные, фиксированные к твердой мозговой оболочке контрастные очаги
• Следует оценить контрастирование и увеличение размеров ножки гипофиза
8. Болезнь Розаи-Дорфмана:
• Редкое гистиоцитарное заболевание
• Могут выявляться множественные фиксированные к твердой мозговой оболочке Т2-гипоинтенсивные объемные образования

(Слева) При MPT Т1ВИ с КУ в сагиттальной проекции у переднего края большого затылочного отверстия определяется глобулярное объемное образование, смещающее продолговатый мозг кзади. Наличие фиксированного к твердой мозговой оболочке широкого основания свидетельствует в пользу менингиомы, а не какого-либо другого новообразования большого затылочного отверстия, например, шванномы.
(Справа) При МРТ Т1ВИ с КУ в аксиальной проекции определяется менингиома переднего края большого затылочного отверстия, лежащая медиальнее левой позвоночной артерии. Учитывая наличие в основании черепа большого количества критически важных сосудистых и нервных структур, резекция даже небольших новообразований может быть затруднена.
г) Патология:
1. Общая характеристика:
• Этиология:
о Большинство случаев спорадические
о При нейрофиброматозе 2 типа - множественные наследственные шванномы, менингиомы и эпиндимомы
о Увеличение заболеваемости после лучевой терапии:
- Чаще развиваются конвекситальные менингиомы, чем опухоли основания черепа
- Развиваются через 20-35 лет после лучевого воздействия
• Генетика:
о Мутации гена NF2 хромосомы 22 выявляются приблизительно в 60% случаев спорадических менингиом
2. Стадии, классификация менингиомы основания черепа:
• Классификация ВОЗ (2016):
о I степень: доброкачественная (90%), т.е. менинготелиальная
о II степень: атипичная (7%), т.е. светлоклеточная
о III степень: анапластическая/злокачественная (2%), т.е. рабдоидная
• Менингиомы II и III степени чаще локализуются под сводом черепа, чем в его основании
• Слабая корреляция между гистологической степенью злокачественности и рентгенологической картиной
3. Макроскопические и хирургические особенности:
• Полулунная или плоская (еп plaque) > округлая или глобулярная
• Четкие контуры
• Утолщение прилегающей твердой мозговой оболочки («хвост»):
о Неспецифичны для менингиомы; могут наблюдаться при любых поражениях твердой мозговой оболочки
о Обычно выявляются реактивные, а не неопластические изменения
4. Микроскопия:
• Развиваются из менинготелиальных (арахноидальных «верхушечных») клеток:
о Относительно однородные клетки с тенденцией к формированию «водоворотов»
о Выраженность фиброзного компонента коррелирует с гипоинтенсивностью Т2-сигнала
• Псаммоматозные тельца (слоистые кальцинаты)
• Богато васкуляризованы
д) Клинические особенности:
1. Проявления:
• Типичные признаки/симптомы:
о Может выявляться как случайная находка:
- 33% выявленных внутричерепных новообразований
о Симптоматика зачастую неспецифична:
- Головные боли, головокружения
- Синкопальные состояния
• Другие признаки/симптомы:
о Передний отдел основания черепа: аносмия, утрата зрения, экзофтальм
о Средний отдел основания черепа: офтальмоплегия
о Задний отдел основания черепа: миелопатия, нейропатия ЧН IX-XII
2. Демография:
• Возраст:
о Пациенты от среднего до пожилого возраста, пик - 60 лет
• Пол:
о М:Ж= 1:3
• Эпидемиология:
о Вторая по частоте первичная внутричерепная опухоль
о Наиболее часто встречающаяся экстракраниальная опухоль
о 15-25% первичных внутричерепных опухолей
о В 10% случаев множественная (нейрофиброматоз 2 типа; множественный менингиоматоз)
3. Течение и прогноз:
• Течение, как правило, медленное
• Менингиомы II/III степеней по классификации ВОЗ характеризуются более агрессивным течением
• Опухоли, сопровождающиеся перитуморальным отеком головного мозга, характеризуются более высокой частотой хирургических осложнений и рецидивов
4. Лечение:
• Чаще излечения удается достичь с помощью хирургического вмешательства, но оно нередко требует комплексного комбинированного доступа и характеризуется высоким риском осложнений:
о С целью уменьшения интраоперационной кровопотери выполняется предоперационная ангиография/эмболизация
о Оценка полноты резекции с помощью классификации Simpson:
- I степень (полное удаление, включая твердую мозговую оболочку и нижележащую кость) → IV степень (субтотальная резекция)
о Прогноз лечения в большей степени зависит от локализации опухоли, чем от степени ее злокачественности
• При неполной резекции в качестве первичного или адъювантного лечения используется лучевая терапия/радиохирургия
е) Диагностическая памятка:
1. Следует учесть:
• Солитарное контрастное фиксированное к твердой мозговой оболочке экстрааксиальное объемное образование = менингиома, особенно у престарелого пациента без упоминания о злокачественной опухоли в анамнезе
2. Рекомендации по отчетности:
• Если менингиома окружает внутреннюю сонную, базилярную или позвоночную артерии, необходимо оценить их калибр:
о Менингиома часто суживает внутреннюю сонную артерию:
- Другие параселлярные новообразования, такие как шваннома, макроаденома и лимфома, как правило, нет
• Необходимо провести исследование на предмет поражения полости Меккеля и канала зрительного нерва
• Всегда следует искать вторую менингиому:
о Множественные менингиомы: в 10% спорадических случаев
• Следует обращать внимание на наличие отека ткани головного мозга, так как у таких пациентов повышается риск операционных осложнений и частота рецидивов
Диагностика атипичной и злокачественной менингиомы по КТ, МРТ
а) Терминология:
1. Сокращения:
• Атипичная менингиома (AM), злокачественная менингиома (ММ)
2. Определение:
• Типичная (доброкачественная) менингиома = I степень злокачественности по классификации ВОЗ (grade I):
о Простая менингиома (ПМ)
• Атипичная менингиома (AM) = grade II:
о Папиллярная, светлоклеточная менингиомы (СКМ)
• Злокачественная менингиома (ММ) = grade III:
о Анапластическая менингиома
1. Общие характеристики атипичной и злокачественной менингиомы:
• Лучший диагностический критерий:
о Локально-инвазивное образование, прилегающее широким основанием к твердой мозговой оболочке, с участками некроза, выраженным отеком мозговой ткани
• Локализация:
о Может встречаться в любых отделах ЦНС (головной мозг >> спинной мозг)
о Атипичная менингиома (AM) (светлоклеточный вариант):
- Часто наблюдается в ММУ, по ходу намета мозжечка о Злокачественная менингиома (ММ):
- Наиболее часто: парасагиттальная (44%), конвекситальная (16%) локализации
- Как АМ, так и ММ намного реже встречаются в позвоночнике, в области основания черепа

(Слева) Бесконтрастная КТ, аксиальный срез: определяется дольчатое гиперденсное объемное образование, расположенное по ходу намета мозжечка справа.
(Справа) МРТ, FLAIR, аксиальный срез: у этого же пациента визуализируется гипоинтенсивное многодольчатое объемное образование с перифокальным отеком и масс-эффектом на IV желудочек.
2. КТ признаки атипичной и злокачественной менингиомы:
• Бесконтрастная КТ:
о Триада ММ при КТ: внечерепное объемное образование, остеолизис, внутричерепная опухоль
о Гиперденсное образование; кальцификация минимальна или отсутствует:
- Кальцификация= обычно более низкий темп роста
о Выраженный перифокальный отек, деструкция кости
• КТ с контрастированием:
о Накопление контраста опухолевым объемным образованием
о Заметный опухолевой паннус, простирающийся на большом протяжении от объемного образования = грибовидная форма
3. МРТ признаки атипичной и злокачественной менингиомы:
• Т1-ВИ:
о Нечеткие контуры опухоли
о При инфильтративном росте опухоль «вплетается» в структуры головного мозга
• FLAIR:
о Заметный перитуморальный отек
• ДВИ:
о Выраженный гиперинтенсивный на ДВИ, гипоинтенсивный на ИКД-картах сигнал
• Постконтрастные Т1-ВИ:
о Накопление контраста опухолевым объемным образованием:
- Зона контрастирование может распространяться на мозговую ткань, череп, кожу головы
- Часто бляшковидная + грибовидная форма
• МР-венография:
о Выполните поиск инвазии синусов твердой мозговой оболочки
• МР-спектроскопия:
о Повышение уровней аланина при коротком ТЕ (пик варьирует в пределах 1,3-1,5 ppm)
• Перфузионная МРТ:
о Сильная корреляция между константой транспорта объема (K trans) и гистологической степенью злокачественности
4. Ангиография:
• Традиционная ангиография:
о Кровоснабжение из сосудов твердой мозговой оболочки → «лучистый» вид центральных отделов опухоли
о Интенсивное сосудистое пятно появляется рано, длительно сохраняется
о Венозная фаза чрезвычайно важна для оценки вовлечения в процесс венозных синусов
5. Радионуклидная диагностика:
• ПЭТ:
о F-18 ФДГ: ↑↑ утилизации глюкозы при AM, ММ
о Для радиационно-индуцированных менингиом характерен высокий метаболизм глюкозы
6. Рекомендации по визуализации:
• Лучший инструмент визуализации:
о МРТ с контрастным усилением ± МР-спектроскопия

(Слева) МРТ, Т2-ВИ, корональный срез: у мужчины 47 лет определяется внемозговое образование однородной структуры с четкими контурами с минимальным отеком.
(Справа) МРТ, постконтрастное Т1 -ВИ, аксиальный срез: у этого же пациента визуализируется интенсивное относительно однородное контрастное усиление. Обратите внимание на компрессию треугольника левого бокового желудочка. Несмотря на отсутствие агрессивных рентгенологических признаков при хирургической резекции и гистологическом исследовании была диагностирована злокачественная Менингиома grade III. Для окончательного установления гистологического типа и степени злокачественности менингиомы необходима биопсия.
в) Дифференциальная диагностика атипичной и злокачественной менингиомы:
1. Менингиома (типичная):
• Обычно имеет неинвазивный характер, однако для постановки точного диагноза может потребоваться гистологическое исследование
2. Метастатическое поражение твердой мозговой оболочки:
• В большинстве случаев известное внечерепное первичное новообразование
• Остеолитический и деструктивный или остеобластический и склеротический характер
3. Лимфома (метастатическая внутричерепная):
• Литическое поражение кости с эпидуральным и внечерепным компонентами
4. Остеосаркома:
• Остеолитическое объемное образование с мягкотканным компонентом и нечеткими контурами
• Кальцификация опухоли может иметь «лучистый» вид
5. Саркома Юинга:
• У детей
• КТ: периостальная реакция в виде пластинчатых наслоений по типу «луковой шелухи»
6. Первичная менингеальная саркома:
• Чрезвычайно редкая неменинготелиальная опухоль мозговых оболочек
7. Глиосаркома:
• МГБ с менингеальной саркомой
1. Общие характеристики атипичной и злокачественной менингиомы:
• Этиология:
о ПМ: в 90% случаев обнаруживается инактивация продукта гена NF2 белка «мерлина»
о AM и ММ: после инактивации гена NF2 происходят дополнительные события, связанные с более высокой агрессивностью
о Иногда причинный генетический дефект не обнаруживается
• Генетика:
о Наиболее частой хромосомной аберрацией при менингиоме является делеция первой копии 22-й хромосомы
о Вторая по частоте генетическая аномалия: делеции 1р и 14q, характеризуются более агрессивным характером опухоли
о Аберрации 10-й хромосомы связана с неменингиомными опухолями
о Делеции 9р важны в свете AM и ММ
о Множественные менингиомы:
- Во многих случаях наблюдаются ожидаемые мутации гена NF2
- У некоторых пациентов гены NF2 в норме: это предполагает, что второй ген-супрессор опухоли также находится в 22-й хромосоме
о Индуцированные облучением менингиомы (ИОМ):
- Существенных различий между ИОМ и неИОМ со стороны делеций 1-й и 22-й хромосом нет
о Эффект генетических особенностей на локализацию и гистологические характеристики менингиом:
- Найдены сильные корреляции между локализацией опухоли в передних отделах основания черепа, интактным 22q и менинготелиальным типом; между конвекситальной локализацией, нарушениями в 22q и переходным, фиброзным типом
о Резюме: сильная корреляция между количеством хромосомных аберраций и степенью злокачественности опухоли:
- ПМ: потеря 22q (47%), делеция 1 р (33%)
- AM: потеря 1р (86%), 22q (71%), 10q (57%), 14q и 18q (43%); добавление участка 15q и 17q (43%)
- ММ: потеря 1р(100%);такжепотеря9р, 10q, 14q, 15q, 18q и 22q и добавление участка 12q, 15q и 18р
- Комбинированные делеции 1p/14q при ПМ (13%), AM (43%) и ММ (67%)
2. Стадирование и классификация атипичной и злокачественной менингиомы:
• Иммуногистохимическое окрашивание с антителами MIB-1 (Ki-67) коррелирует с рецидивом:
о MIB-1 = ядерный негистоновый белок, экспрессируемый во время пролиферации в клеточном цикле, но не во время покоя о При окрашивании с MIB-1 определяется индекс позитивных клеток (ИПК) для оценки количества делящихся клеток:
- ИПК < 4,4% ->отсутствие рецидивов в течение шести лет в 82% случаев
- ИПК > 4,4% -> отсутствие рецидивов в течение шести лет в 32% случаев
3. Микроскопия:
• Характеристики AM (критерии ВОЗ):
о ↑ митотическая активность (4 или более митозов/10 полей высокого увеличения)
о Три или более:
- Мелкие клетки с высоким ядерно-цитоплазматическим соотношением
- Выраженные ядрышки
- Сплошной и без специфических особенностей или листообразный характер роста
- Очаги спонтанного или географического некроза
• Характеристики ММ (критерии ВОЗ):
о Характеристики AM в сочетании с признаками явной злокачественности
- Злокачественная цитологическая картина, высокий митотический индекс

(Слева) МРТ, высокоразрешающее Т2-ВИ, аксиальный срез: у этого же пациента хорошо визуализируется гипоинтенсивное объемное образование с кистозными компонентами и четкими контурами. Гиподенсность указывает на высокое содержание клеточного матрикса в опухоли.
(Справа) МРТ, постконтрастное Т1-ВИ SPGR, корональный срез: контрастное усиление солидных компонентов опухоли. Было выполнено хирургическое удаление, был поставлен гистологический диагноз смеси светлоклеточного (grade II) и склерозирующего вариантов менингиомы.
д) Клиническая картина:
1. Демография:
• Возраст:
о Средний взрослый возраст
о AM развивается примерно на 10 лет раньше, чем типичная менингиома
• Пол:
о М:Ж = 1:1,3-1,5
• Этническая принадлежность:
о Более часто встречается у афроамериканцев
• Эпидемиология:
о Менингиома-1 из наиболее частых первичных внутричерепных новообразований у взрослых (13-20%):
- AM: 10-30% от всех менингиом (увеличение частоты)
- ММ: 1-3% менингиом (редко)
о Около 6 на 100000 населения
о Семейная склонность к развитию менингиомы = НФ2
• Географическая предрасположенность:
о В Африке частота менингиом приближается к 30% среди первичных внутричерепных опухолей у взрослых
2. Течение и прогноз:
• Безрецидивная выживаемость, медиана времени до рецидива при типичной менингиоме > при AM > при ММ:
о Типичная доброкачественная менингиома = частота рецидива-всего 9%
о Частота рецидива AM: 28%:
- Пятилетняя выживаемость: 86%;
- 10-летняя выживаемость: 61 %
- Пятилетняя выживаемость без рецидива: 48%
- Медиана времени до рецидива: три года
о Частота рецидива ММ: 75%:
- Пятилетняя выживаемость: 35%
- Пятилетняя выживаемость без рецидива: 29%
- Медиана времени до рецидива: два года
о МикроРНК-224 способствует злокачественной дегенерации менингиомы
3. Лечение атипичной и злокачественной менингиомы:
• Предоперационная эмболизация:
о Предпочтительны корпускулярные агенты (например, поливиниловый спирт)
о ↓ времени операции, потери крови
• Цели хирургического лечения:
о Резекция опухоли и вовлеченной в процесс твердой мозговой оболочки/дурального хвоста (со свободным от опухоли краем) с пластикой твердой мозговой оболочки
о Резекция вовлеченной в процесс или гиперостотически измененной кости
о Информация, является ли опухоль AM или ММ, в предоперационном периоде может менять нейрохирургический план ведения пациента:
- Более агрессивное вмешательство для достижения полной резекции
- Осложнение: метастазирование (отсев) через СМЖ
• Лучевая терапия: часто используется для AM, ММ:
о Фракционированное дистанционное облучение
о Стереотаксическая радиохирургия
• Лечение рецидива:
о Повторная операция
о Дистанционная лучевая терапия, стереотаксическая радиохирургия
е) Диагностическая памятка. Советы по интерпретации изображений:
• Необходимо полностью определить протяженность опухолевого поражения до оперативного вмешательства
• Типичные рентгенологические признаки опухоли не исключают атипичные ее варианты
ж) Список литературы:
1. Aboukais R et al: Grade 2 meningioma and radiosurgery. J Neurosurg. 1-6,2015
2. Cao X et al: Survival rates, prognostic factors and treatment of anaplastic meningiomas. J Clin Neurosci. ePub, 2015
3. Shibuya M: Pathology and molecular genetics of meningioma: recent advances. Neurol Med Chir (Tokyo). 55(1 ):14-27, 2015
4. Smith MJ: Germline and somatic mutations in meningiomas. Cancer Genet. ePub, 2015
5. Wang M et al: MicroRNA-224 targets ERG2 and contributes to malignant progressions of meningioma. Biochem Biophys Res Commun. ePub, 2015
Диагностика менингиомы по КТ, МРТ
а) Терминология:
1. Сокращения:
• Типичная менингиома (ТМ)
• Атипичная менингиома (AM), злокачественная менингиома (ММ)
2. Определение:
• ТМ = менингиома 1 степени злокачественности по классификации ВОЗ
(Слева) КТ с контрастированием, аксиальный срез: у беременной женщины 26 лет с внезапной потерей зрения определяется накапливающее контраст супраселлярное объемное образование.
(Справа) Исходя из опасения о наличии геморрагического новообразования гипофиза была проведена МРТ. На корональных Т2-ВИ определяются нормальный гипофиз в сочетании с расположенным над ним гиперинтенсивным объемным образованием ( четкими контурами, которое развивается из диафрагмы седла. Отчетливо наблюдается отсутствие связи образования с железой. При хирургическом лечении была диагностирована классическая менингиома диафрагмы седла (grade I). (Слева) КТ с контрастированием, аксиальный срез: у пациента с первичной менингиомой оболочки зрительного нерва отмечается интенсивное контрастирование левого зрительного нерва. Данные изменения описаны в литературе как симптом «трамвайной линии».
(Справа) МРТ, постконтрастное Т1-ВИ, аксиальный срез: у другого пациента с вторичной менингиомой оболочки зрительного нерва определяется менингиома, растущая из области клиновидного гребня вокруг переднего наклоненного отростка, сужающая пещеристый сегмент внутренней сонной артерии, распространяющаяся через зрительный канал и инфильтрирующая оболочку зрительного нерва.
(Слева) МРТ, Т2-ВИ, режим подавления сигнала от жира, аксиальный срез: у женщины 66 лет с выраженным экзофтальмом визуализируется массивное утолщение большого крыла клиновидной кости, окруженное слегка гиперинтенсивным мягкотканным объемным образованием, вовлекающим в процесс глазницу, высокое глубокое жевательное пространство и среднюю черепную ямку.
(Справа) МРТ, STIR, корональный срез: хорошо визуализируется гиперостоз крыла клиновидной кости. Отмечается отчетливый дуральный хвост более гиперинтенсивен мягкотканного компонента объемного образования. (Слева) МРТ, постконтрастное Т1-ВИ, режим подавления сигнала от жира, аксиальный срез: у этой же пациентки определяется интенсивное и равномерное контрастное усиление мягкотканного компонента объемного образования. Гиперостотически измененная кость накапливает контрастное вещество слабоинтенсивно.
(Справа) МРТ, постконтрастное Т1-ВИ, корональный срез: накапливающее контраст мягкотканное образование Визуализируется утолщенное и васкуляризированное крыло клиновидной кости. В смежных отделах прослеживается дуральный хвост. При операции была обнаружена менингиома grade I, а также присутствие опухолевых клеток в резецированной клиновидной кости.
4. Ангиография:
• ЦСА:
о «Лучистый» или радиальный характер:
- Центральные отделы образования кровоснабжаются сосудами твердой мозговой оболочки
- Сосуды мягкой мозговой оболочки могутбыть «паразитизи-рованы» и кровоснабжать периферические отделы опухоли
о Длительное сосудистое «пятно»
о Венозная фаза чрезвычайно важна для оценки вовлечения в процесс венозных синусов
5. Радионуклидная диагностика:
• Для определения степени злокачественности опухоли ОФЭКТ сталлием-201 дает лучшие результаты, чем ПЭТ с ФДГ
6. Данные других методов исследования:
• Рентгенологические признаки сложного экстрапиального кливажа:
о Перитомуральный отек при МРТ/КТ → может скрывать инвазию опухоли в мягкую мозговую оболочку
о Выявление васкуляризации опухоли сосудами мягкой мозговой оболочки при ЦСА = инвазия мягкой мозговой оболочки
о Граница между опухолью и корой не является надежным предиктором
7. Рекомендации по визуализации:
• Лучший инструмент визуализации:
о МРТ с контрастным усилением
• Совет по протоколу исследования:
о Рассмотрите возможность проведения МР-спектроскопии → оцените пик аланина, соотношения глутамин: креатин
в) Дифференциальная диагностика менингиомы:
1. Метастатическое поражение твердой мозговой оболочки:
• Часто наблюдается инфильтрация черепа; мультифокальный характер
• Наиболее частая локализация первичной опухоли - молочная железа
2. Гранулема:
• Саркоидоз
• Туберкулез
3. Идиопатический гипертрофический пахименингит:
• Для подтверждения диагноза необходима биопсия твердой мозговой оболочки
• Часто, IgG4-связанное заболевание
4. Внекостномозговое кроветворение:
• Известное гематологическое заболевание
• Часто мультифокальный характер
5. Гемангиома (твердая мозговая оболочка/венозные синусы):
• Может быть неотличима от ТМ
• Венозный синус (например, пещеристый) → объемное образование, прилежащее широким основанием к твердой мозговой оболочке
(Слева) МРТ, Т2-ВИ, аксиальный срез: в правом мостомозжечковом углу (ММУ) визуализируется объемное образование с четкими контурами, распространяющееся в правый внутренний слуховой проход.
(Справа) МРТ, постконтрастное Т1-ВИ, аксиальный срез: отмечается интенсивное и однородное контрастное усиление менингиомы в ММУ. (Слева) МРТ, Т2-ВИ, корональный срез: в области левой обонятельной луковицы определяется объемное образование изоинтенсивного по отношению к коре головного мозга сигнала с перифокальным отеком.
(Справа) МРТ, постконтрастное Т1 -ВИ, аксиальный срез: интенсивное и однородное контрастное усиление объемного образования, представляющего собой менингиому обонятельной борозды.
1. Общие характеристики менингиомы:
• Этиология:
о Развивается из арахноидальных менинготелиальных клеток
о Делеция 22-й хромосомы (40-60% спорадических менингиом)
о Менингиомы при НФ2:
- Геномная нестабильность
- Наиболее вероятен атипичный характер менингиомы
- Больше полушария, полушария мозжечка, латеральные отделы основания черепа, позвоночник
о Менингиомы, не связанный с НФ2:
- Практически всегда доброкачественные
- Хромосомная стабильность, частые мутации в гене SMO
- Медиальные отделы основания черепа
о При множественных менингиомах часто наблюдаются мутации гена SMARCB1
• Ассоциированные аномалии:
о Нейрофиброматоз 2 типа (НФ2):
- Множественные наследственные шванномы, менингиомы и эпендимомы (синдром MISME)
- У 50-75% пациентов с НФ2 развивается менингиома
- 10% пациентов с множественными менингиомами имеют НФ2
о Метастазирование в менингиому («опухоль в опухоли», иногда именуется «коллизионная опухоль»):
- ПМ-наиболее частая первичная внутричерепная опухоль, в которой обнаруживаются метастазы; первичный очаг в большинстве случаев - в легком или молочной железе
• Медленный рост, доброкачественный характер
2. Макроскопические и хирургические особенности:
• Два основных варианта морфологии:
о Шаровидная = глобулярное новообразование, хорошо отграниченное от окружающих структур, прилегающее широким основанием к твердой мозговой оболочке (дуральный хвост):
- В 60% случаев наблюдается локальная инвазия опухоли в дуральный хвост
о Бляшечная = пластинчатое утолщение, покрывающее твердую мозговую оболочку без инвагинации в мозговую паренхиму
• Однородная красновато-коричневая полупрозрачная бледная поверхность
• Консистенция от мягкой до упругой, иногда «песчаная»
о Зависит от фиброзной ткани, содержания кальцификатов
• ТМ обычно инвагинируют в головной мозг, но не инвазируют в него
3. Микроскопия:
• ТМ (I степень злокачественности по классификации ВОЗ [grade I]) имеет широкий диапазон подтипов:
о Менинготелиальный подтип: единообразные опухолевые клетки, коллагеновые перегородки, псаммоматозные кальцификаты (наиболее часто)
о Фиброзный подтип: переплетение пучков веретеновидных клеток, коллагеновый/ретикулярный матрикс
о Промежуточный (смешанный) подтип: завитки по типу «луковицы», псаммозные тельца
о Псаммоматозный подтип
о Ангиоматозный подтип
о Микроцитарный подтип
о Секреторный подтип
о Богатый лимфоплазмацитами подтип
о Метапластический подтип
(Слева) МРТ, FLAIR, аксиальный срез: визуализируется дольчатое слегка гиперинтенсивное внутрижелудочковое объемное образование, растущее из клубка сосудистого сплетения. Обратите внимание на расширение височного рога левого бокового желудочка с перивентрикулярным интерстициальным скоплением мигрировавшей жидкости.
(Справа) МРТ, постконтрастное Т1-ВИ, аксиальный срез: определяется интенсивно и равномерно накапливающее контрастное вещество объемное образование (внутрижелудочковая менингиома). Около 1 % внутричерепных менингиом имеют внутрижелудочковую локализацию; здесь внутри сосудистого сплетения могут сохраняться остатки паутинной мозговой оболочки. (Слева) Бесконтрастная КТ, аксиальный срез: выраженные гиперостоз и кальцификация бляшечной менингиомы, распространяющейся вдоль внутренней компактной пластинки черепа слева.
(Справа) МРТ, Т1-ВИ, аксиальный срез: у этого же пациента определяется характерный гипоинтенсивный сигнал от зоны кальцификации/оссификации. (Слева) КТ с контрастированием, аксиальный срез: справа визуализируются несколько интенсивно накапливающих контраст в немозговых объемных образований с четкими контурами, которые были умеренно гиперденсны на бесконтрастных КТ-изображениях (не представлены).
(Справа) МРТ, постконтрастное Т1-ВИ, аксиальный срез: определяются интенсивно накапливающие контраст объемные образования. Множественные менингиомы чаще встречаются у женщин и пациентов с НФ2.
1. Проявления менингиомы:
• Наиболее частые признаки/симптомы
о Симптоматическими являются < 10% всех менингиом
о Симптомы зависят от локализации опухоли
2. Демография:
• Возраст:
о Средний взрослый
• Пол:
о М: Ж = 1:1.5-3
• Эпидемиология:
о Наиболее частое первичное внутричерепное новообразование у взрослых (20-35%):
- Частота выявления при аутопсии 1-1,5%
3. Течение и прогноз:
• Обычно характерны медленный рост, компрессия смежных структур
• При парасагиттальной локализации часто врастают в сагиттальный синус и окклюзируют его
• Метастазируют редко (0,1 —0,2%): гистология, локализация не коррелируют с метастазами
4. Лечение менингиомы:
• При бессимптомном течении - наблюдение в динамике методами диагностической визуализации
• Хирургическое
• Лучевая терапия для лечения ПМ используется нечасто
е) Диагностическая памятка. Советы по интерпретации изображений:
• До операции определите протяженность всей опухоли
• Может ли иметь место специфический синдром (например, НФ2)
ж) Список литературы:
1. Shibuya М: Pathology and molecular genetics of meningioma: recent advances. Neurol Med Chir (Tokyo). 55(1):14-27, 2015
2. Watanabe К et al: Prediction of hard meningiomas: quantitative evaluation based on the magnetic resonance signal intensity. Acta Radiol. ePub, 2015
3. Lin BJ et al: Correlation between magnetic resonance imaging grading and pathological grading in meningioma. J Neurosurg. 121 (5): 1201-8, 2014
4. Wen M etal: Immunohistochemical profile of the dural tail in intracranial meningiomas. Acta Neurochir (Wien). 1 56(12):2263-73, 2014
Читайте также:
