КТ, МРТ при менингиоме сонного пространства
Добавил пользователь Евгений Кузнецов Обновлено: 21.01.2026
Менингиомы являются наиболее часто встречаемыми внутричерепными опухолями. Они составляют примерно 38% интракраниальных опухолей у женщин и 20% у мужчин [1]. Менингиомы также являются наиболее частыми экстра-аксиальными опухолями центральной нервной системы мезодермального или менингиальноего происхождения. Они чаще встречаются у женщин чем у мужчин и обычно диагностируют после 30 лет [2], [3], [4], [5], [6].
Современные диагностические исследования, такие как компьютерная и магнитно-резонансная томография, позволяють получить информацию для успешного хирургического вмешательства и тотального удаления опухоли. Визуализация дает информацию о локализации, вовлечении твердой мозговой оболочки, выраженности отека, дислокации важных структур головного мозга и сосудов [7], а так же полезна в планировании подхода к оперативному лечению для положительного исхода [8], [9].
Нейрорадиологи и нейрохирурги должны знать как типичные так и атипичные проявления визуализации менингиом, поскольку существует корреляция данных визуализации с гистологическими типами опухолей.
Всемирная организация здравоохрнения (ВОЗ) разделяет менингиомы на 15 подтипов в 3 основных категориях по степени злокачественности:
Существенными факторами в прогнозе развития рецидива являются атипичный и злокачественныий типы при гистологическом исследовании и гетерогенное контрастное усиление при компьютерной томографии.
Компьютерная томография
Компьютерная томография является часто используемой модальностью в диагностике и ведении менингиом 16. Типичные признаки менингиомы включают четкие границы и гладкие контуры экстра-аксиального образования, прилежащего к твердой мозговой оболочке.
Около 70-75% менингиом имеют повышенную плотность относительно прилежащей мозговой паренхимы, до 25% изоденсивны. Редкая группа менингиом (липобластный подтип) содержат жир и таким образом гипоинтенсивные.
Обызвествления являются другой частой находкой, встречаются примерно в 20-25% случаев. Кальцификаты могут быть узловыми, точечными или может встречаться полное обызвествление.
Вазогенный отек, часто проявляется в виде гипоинтенсивности белого вещества - так называемый, пальцевидный отек. Однако, в половине случаев, поскольку опухоль растёт медленно, отек отсутствует.
КТ имеет преимущество над МРТ в изучении изменений костей [24]. У 15-20% пациентов встречается гиперостоз подлежащей кости. Может наблюдаться гиперваскуляризация участка кости который прилегает к менингиоме, в виде расширения, изменения направления и формы сосудистых борозд, каналов и венозных отверстий, углубления ямок пахионовых грануляций.
К редким изменениям в менингиомах относят кровоизлияние в опухоль, формирование кист и некроза. Кистозный компонент менингиомы может располагаться в опухоли или между опухолью и прилежащим мозгом.
Применение внутривенного контрастирования при обследовании помогает более чем в 90% случаев, позволяя визуализировать интенсивное гомогенное контрастное усиление опухоли. Гетерогенное контрастное усиление может быть результатом некроза или в редких случаях кровоизлияния в опухоль.
В исследованиях Steinhoff узловое контрастное усиление отмечено в 97% случаев, смешенное гетерогенное в 0.5%, и кольцевидное в 1.5% [25]. В исследованиях Naidich, контрастное усиление опухоли по узловому и гомогеннуму тип отмечено в 70% случаев, гетерогенное в 24%, кольцевидное в 2% [26].
Около 90% менингиом визуализируется при компьютерной томографии. Главная роль КТ исследования, в отличии от МРТ, способность выявить кальцификаты и изменения прилежащеих костей.
Атипичная КТ картина при менингиомах является основной причиной дооперационного неправильного диагноза. Менингиомы задней черепной ямки могут быть пропущены при компьютерной томографии. Компьютерная томография может не выявить кистозных изменений. Ложно-негативные результаты могут быть получены при кистозных изменениях головного мозга на фоне менингиомы. Ложно-положительные результаты встречаются при наличии крупных обызвествлений твердой мозговой оболочки, которые могут симулировать данную патологию.
Магнитно-резонансная томография
МРТ с гадолинем является лучшей модальностью для обследования при менингиомах. Важным преимуществом МРТ при визуализации менингиом является лучшее контрастное разрешение различных типов тканей, возможность многоплоскостного сканирования и возможность построения 3-D реконструкций [18,19,27,28].
МРТ позволяет исследовать васкуляризацию опухоли, прилежащие артерии, инвазию венозных синусов и отношение опухоли к окружающим структурам. Данная модальность имеет преимущество в визуализации юкстоселлярной области и задней черепной ямки, а так же позволяет визуализировать редко встречающуюся диссименацию опухоли по спинномозговой жидкости [29,30,31].
На нативных Т1 взвешенных изображениях большинство менингиом имеет одинаковую интенсивность МР сигнала с кортикальным серым веществом. Фиброматозные менингиомы могут иметь более гипоинтенсивный сигнал, по отношению к коре головного мозга. Т1 взвешенные изображения могут быть использованы для оценки некроза, наличия кист и продуктов распада гемоглобина.
На Т2 взвешенных изображениях интенсивность МР сигнала вариабельна. Т2 взвешенные изображения полезны в оценке некроза, наличия кист и продуктов распада гемоглобина. Кроме того данные последовательности полезны для визуализации цереброспинальной жидкости между опухолью и мозговой паренхимой, подтверждая экстра-аксиальную локализацию. Гиперинтенсивность на Т2 взвешенных изображениях указывает на мягкую консистенцию опухоли и микронеоваскуляризацию, что более часто встречается при агрессивных, ангиобластических или менингеэндотельиалных типах опухоли. Т2 взвешенный сигнал больше коррелирует с гистологическим строением и консистенцией менингиомы. В целом, низко-интенсивный сигнал от опухоли указывает на более фиброзный и плотный тип (напр. фибробластическая (переходная) менингиома), в то время как высокоинтенсивные части указывают на мягкую плотность (напр. ангиобластическая менингиома (гемангиэндотелиома)) [32,33,34].
Последовательности инверсии - восстановление спинного эха (flair) полезны в оценке сопутствующего отека, а так же в визуализации характерного для данной патологии признака дурального хвоста. Дуральный хвост представляет утолщение и контрастное усиление твердой мозговой оболочки в области прикрепления опухоли. Данный признак встречается при 65% менингиом и в 15% при прочих опухолях. Хотя данный признак не специфичен только для менингиом, он позволяет с большой достоверностью предположить правильный диагноз.
При МРТ и КТ менингиомы имеют схожий паттерн усиления после введения контрастного препарата. Интенсивное контрастное усиление после введения препаратов гадолиния встречается более чем в 85% опухолей. Кольцевидный паттерн может представлять капсулу опухоли. Препараты гадолиния позволяют лучше визуализировать бляшковидные менингиомы, чем не усиленные последовательности.
Гистологические подтипы менингиом могут иметь разные проявления при МРТ и по этому использования МРТ недостаточно для гистологического диагноза. Большинство менингиом можно диагностировать с помощью обычной МРТ [18, 19, 35, 36, 37, 38, 39, 40, 41, 42, 43, 44]. Тем не менее, нетипичные признаки могут привести к затруднениям в диагностике.
Измеряемый коэффициент диффузии у менингиом как правило, ниже, чем при высоко-дифференцированных опухолях. Гиперваскуляризированные менингиомы демонстрируют повышенную перфузию [1]. Измеряемый коэффициент диффузии 0.85 при использовании ДВИ позволяет дифференцировать менингиомы I степени, от опухолей II и III степени. В исследовании ВОЗ 389 пациентов, I степень была диагностирована в 271 случае (69,7%), II у 103 пациентов (26,5%) и III у 15 пациентов (3,9%) [10].
В целом, чувствительность и специфичность МРТ в диагностике менингиом является высокой.
Данная версия публикации (декабрь 2016) является переводом статьи Omar Islam, James G Smirniotopoulos и др. Brain Meningioma Imaging.
КТ, МРТ при менингиоме сонного пространства
Менингиома сонного пространства - лучевая диагностика
а) Визуализация:
• Новообразование сонного пространства, накапливающее контраст и происходящее из яремного отверстия:
о Твердая мозговая оболочка вокруг яремного отверстия утолщена, накапливает контрастное вещество
о Смещает внутреннюю сонную артерию кпереди
• КТ в костном окне: деформация краев яремного отверстия (либо склероз, либо гиперостоз)
• Протокол: МРТ основания черепа с контрастированием и в режиме подавления сигнала от жировой ткани:
о КТ основания черепа для оценки костных изменений
(Слева) КТ в костном окне, аксиальная проекция. Характерные инфильтративно-склеротические костные изменения в области основания черепа и яремного отверстия. Обратите внимание, что внутричерепная часть опухоли частично кальцифицирована.
(Справа) МРТ Т1ВИ FS с КУ, аксиальная проекция. Менингиома яремного отверстия распространяется вниз, в сонное пространство. Обратите внимание, что сонная артерия расположена спереди от опухоли. Подобные опухоли происходят из клеток арахноидального эндотелия. Увеличиваясь в размерах, менингиома начинает спускаться в сонное пространство. (Слева) МРТ Т1ВИ FS с КУ, аксиальная проекция. Крупная, накаливающая контраст опухоль правого сонного пространства, смещающая сонную артерию кпереди. Обратите внимание, что участки выпадения сигнала отсутствуют. Этот признак помогает дифференцировать менингиому от более распространенной опухоли-параганглиомы.
(Справа) МРТ Т1ВИ FS с КУ, коронарная проекция, тот же пациент. Крупная менингиома сонного пространства, исходящая из яремного отверстия. Обратите внимание, что в полости черепа имеется «хвост» из твердой мозговой оболочки -достаточно частая находка у пациентов, у которых менингиома основания черепа распространяется интракраниально.
б) Дифференциальная диагностика:
• Каротидная или вагальная параганглиома
• Шваннома сонного пространства
• Псевдоаневризма внутренней сонной артерии
в) Патология:
• Происходит из арахноидального эндотелия яремного отверстия
• Спускается в носоглоточный отдел сонного пространства
• I степень по ВОЗ (>90%)
г) Клинические особенности:
• Пациенты в возрасте 40-60 лет, М:Ж= 1:2
• Постепенное прогрессирование симптоматики (доброкачественная опухоль с медленным ростом)
• Лечение: хирургическое удаление ± лучевая терапия
• Успешность хирургического лечения зависит от степени заинтересованности черепных нервов и внутренней сонной артерии
• При неполном удалении, обширном поражении основания черепа, наличии противопоказаний к операции проводится лучевая терапия
д) Диагностическая памятка:
• Если новообразование носоглоточного отдела сонного пространства распространяется в яремное отверстие, предположить тип гистологического строения опухоли помогает характер изменения краев яремного отверстия
• Менингиома: склероз или гиперостоз
• Яремная параганглиома: инфильтративно-деструктивные изменения
• Шваннома: плавное расширение яремного отверстия
а) Определение:
• Менингиома носоглоточного отдела сонного пространства, опускающаяся из области яремного отверстия
б) Визуализация:
1. Общая характеристика:
• Лучший диагностический критерий:
о Новообразование происходит из яремного отверстия, края отверстия деформированы (склероз или гиперостоз)
о Новообразование накапливает контраст, участки выпадения сигнала отсутствуют
• Локализация: носоглоточный отдел сонного пространства
• Морфология: в форме гантели (яремное отверстие ↔ сонное пространство)

(Слева) КТ в костном окне, аксиальная проекция. Характерные инфильтративно-склеротические костные изменения в области основания черепа и яремного отверстия. Обратите внимание, что внутричерепная часть опухоли частично кальцифицирована.
(Справа) МРТ Т1ВИ FS с КУ, аксиальная проекция. Менингиома яремного отверстия распространяется вниз, в сонное пространство. Обратите внимание, что сонная артерия расположена спереди от опухоли. Подобные опухоли происходят из клеток арахноидального эндотелия. Увеличиваясь в размерах, менингиома начинает спускаться в сонное пространство.
2. КТ при менингиоме сонного пространства:
• КТ без контрастирования:
о При наличии псамматозных кальцификатов плотность может быть высокой
• КТ с КУ:
о Умеренное накопление контраста
о Внутренняя сонная артерия смещена кпереди
• КТ в костном окне:
о Края яремного отверстия: склеротические изменения, либо гиперостоз
4. Ангиография:
• Длительное капиллярное «свечение» опухоли без признаков артериовенозного сброса или раннего контрастирования вен
5. Рекомендации по визуализации:
• Протокол исследования:
о МРТ основания черепа с контрастированием и в режиме подавления сигнала от жировой ткани
о КТ основания черепа для оценки костных изменений

(Слева) МРТ Т1ВИ FS с КУ, аксиальная проекция. Крупная, накаливающая контраст опухоль правого сонного пространства, смещающая сонную артерию кпереди. Обратите внимание, что участки выпадения сигнала отсутствуют. Этот признак помогает дифференцировать менингиому от более распространенной опухоли-параганглиомы.
(Справа) МРТ Т1ВИ FS с КУ, коронарная проекция, тот же пациент. Крупная менингиома сонного пространства, исходящая из яремного отверстия. Обратите внимание, что в полости черепа имеется «хвост» из твердой мозговой оболочки -достаточно частая находка у пациентов, у которых менингиома основания черепа распространяется интракраниально.
в) Дифференциальная диагностика менингиомы сонного пространства:
1. Каротидная параганглиома:
• Увеличивает расстояние между наружной и внутренней сонными артериями в области бифуркации
• Участки выпадения сигнала в паренхиме опухоли при МРТ Т1ВИ
2. Вагальная параганглиома:
• Накапливающее контраст новообразование, расположенное на 2 см ниже основания черепа
• Участки выпадения сигнала в паренхиме опухоли при МРТ Т1ВИ
3. Шваннома сонного пространства:
• Веретеновидное образование с четкими контурами, накапливающее контрастное вещество ± интрамуральные кисты
4. Псевдоаневризма внутренней сонной артерии:
• Сужение просвета внутренней сонной артерии с локальным выбуханием ее просвета
5. Расслоение внутренней сонной артерии:
• Лоскут интимы линейной формы или в виде полумесяца при КТ-ангиографии
г) Патология:
1. Общая характеристика:
• Этиология:
о Менингиома происходит из арахноидального эндотелия яремного отверстия
о Спускается в носоглоточный отдел сонного пространства
2. Микроскопия:
• Дольчатые и извитые скопления псамматозных кальцификатов и менинготелиальных клеток
д) Клинические особенности:
1. Проявления:
• Типичные признаки/симптомы:
о Новообразование на заднебоковой стенке глотки
о Другие признаки/симптомы:
- Поражение нижних черепных нервов (ЧН IX—XII)
2. Демография:
• Возраст: 40-60 лет
• Пол: М:Ж=1:2
• Эпидемиология: Редкая локализация редкой опухоли (менингиома яремного отверстия)
3. Течение и прогноз:
• Медленное прогрессирование симптомов (доброкачественная медленно растущая опухоль)
• Хирургическое удаление опухоли сопряжено с риском осложнений: повреждением черепных нервов и инсультом
4. Лечение:
• Успешность хирургического лечения зависит от степени заинтересованности черепных нервов и внутренней сонной артерии
• При неполном удалении, обширном поражении основания черепа, наличии противопоказаний к операции проводится лучевая терапия
• Предоперационная эмболизация помогает снизить степень васкуляризации опухоли
е) Диагностическая памятка. Следует учесть:
• Если новообразование носоглоточного отдела сонного пространства распространяется в яремное отверстие, предположить тип гистологического строения опухоли помогает характер изменения краев яремного отверстия:
о Менингиома: склероз или гиперостоз
о Яремная параганглиома: инфильтративно-деструктивные изменения
о Шваннома: плавное расширение яремного отверстия
Диагностика менингиомы по КТ, МРТ
а) Терминология:
1. Сокращения:
• Типичная менингиома (ТМ)
• Атипичная менингиома (AM), злокачественная менингиома (ММ)
2. Определение:
• ТМ = менингиома 1 степени злокачественности по классификации ВОЗ
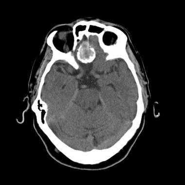
(Слева) КТ с контрастированием, аксиальный срез: у беременной женщины 26 лет с внезапной потерей зрения определяется накапливающее контраст супраселлярное объемное образование.
(Справа) Исходя из опасения о наличии геморрагического новообразования гипофиза была проведена МРТ. На корональных Т2-ВИ определяются нормальный гипофиз в сочетании с расположенным над ним гиперинтенсивным объемным образованием ( четкими контурами, которое развивается из диафрагмы седла. Отчетливо наблюдается отсутствие связи образования с железой. При хирургическом лечении была диагностирована классическая менингиома диафрагмы седла (grade I). (Слева) КТ с контрастированием, аксиальный срез: у пациента с первичной менингиомой оболочки зрительного нерва отмечается интенсивное контрастирование левого зрительного нерва. Данные изменения описаны в литературе как симптом «трамвайной линии».
(Справа) МРТ, постконтрастное Т1-ВИ, аксиальный срез: у другого пациента с вторичной менингиомой оболочки зрительного нерва определяется менингиома, растущая из области клиновидного гребня вокруг переднего наклоненного отростка, сужающая пещеристый сегмент внутренней сонной артерии, распространяющаяся через зрительный канал и инфильтрирующая оболочку зрительного нерва.
(Слева) МРТ, Т2-ВИ, режим подавления сигнала от жира, аксиальный срез: у женщины 66 лет с выраженным экзофтальмом визуализируется массивное утолщение большого крыла клиновидной кости, окруженное слегка гиперинтенсивным мягкотканным объемным образованием, вовлекающим в процесс глазницу, высокое глубокое жевательное пространство и среднюю черепную ямку.
(Справа) МРТ, STIR, корональный срез: хорошо визуализируется гиперостоз крыла клиновидной кости. Отмечается отчетливый дуральный хвост более гиперинтенсивен мягкотканного компонента объемного образования. (Слева) МРТ, постконтрастное Т1-ВИ, режим подавления сигнала от жира, аксиальный срез: у этой же пациентки определяется интенсивное и равномерное контрастное усиление мягкотканного компонента объемного образования. Гиперостотически измененная кость накапливает контрастное вещество слабоинтенсивно.
(Справа) МРТ, постконтрастное Т1-ВИ, корональный срез: накапливающее контраст мягкотканное образование Визуализируется утолщенное и васкуляризированное крыло клиновидной кости. В смежных отделах прослеживается дуральный хвост. При операции была обнаружена менингиома grade I, а также присутствие опухолевых клеток в резецированной клиновидной кости.
4. Ангиография:
• ЦСА:
о «Лучистый» или радиальный характер:
- Центральные отделы образования кровоснабжаются сосудами твердой мозговой оболочки
- Сосуды мягкой мозговой оболочки могутбыть «паразитизи-рованы» и кровоснабжать периферические отделы опухоли
о Длительное сосудистое «пятно»
о Венозная фаза чрезвычайно важна для оценки вовлечения в процесс венозных синусов
5. Радионуклидная диагностика:
• Для определения степени злокачественности опухоли ОФЭКТ сталлием-201 дает лучшие результаты, чем ПЭТ с ФДГ
6. Данные других методов исследования:
• Рентгенологические признаки сложного экстрапиального кливажа:
о Перитомуральный отек при МРТ/КТ → может скрывать инвазию опухоли в мягкую мозговую оболочку
о Выявление васкуляризации опухоли сосудами мягкой мозговой оболочки при ЦСА = инвазия мягкой мозговой оболочки
о Граница между опухолью и корой не является надежным предиктором
7. Рекомендации по визуализации:
• Лучший инструмент визуализации:
о МРТ с контрастным усилением
• Совет по протоколу исследования:
о Рассмотрите возможность проведения МР-спектроскопии → оцените пик аланина, соотношения глутамин: креатин
в) Дифференциальная диагностика менингиомы:
1. Метастатическое поражение твердой мозговой оболочки:
• Часто наблюдается инфильтрация черепа; мультифокальный характер
• Наиболее частая локализация первичной опухоли - молочная железа
2. Гранулема:
• Саркоидоз
• Туберкулез
3. Идиопатический гипертрофический пахименингит:
• Для подтверждения диагноза необходима биопсия твердой мозговой оболочки
• Часто, IgG4-связанное заболевание
4. Внекостномозговое кроветворение:
• Известное гематологическое заболевание
• Часто мультифокальный характер
5. Гемангиома (твердая мозговая оболочка/венозные синусы):
• Может быть неотличима от ТМ
• Венозный синус (например, пещеристый) → объемное образование, прилежащее широким основанием к твердой мозговой оболочке
(Слева) МРТ, Т2-ВИ, аксиальный срез: в правом мостомозжечковом углу (ММУ) визуализируется объемное образование с четкими контурами, распространяющееся в правый внутренний слуховой проход.
(Справа) МРТ, постконтрастное Т1-ВИ, аксиальный срез: отмечается интенсивное и однородное контрастное усиление менингиомы в ММУ. (Слева) МРТ, Т2-ВИ, корональный срез: в области левой обонятельной луковицы определяется объемное образование изоинтенсивного по отношению к коре головного мозга сигнала с перифокальным отеком.
(Справа) МРТ, постконтрастное Т1 -ВИ, аксиальный срез: интенсивное и однородное контрастное усиление объемного образования, представляющего собой менингиому обонятельной борозды.
1. Общие характеристики менингиомы:
• Этиология:
о Развивается из арахноидальных менинготелиальных клеток
о Делеция 22-й хромосомы (40-60% спорадических менингиом)
о Менингиомы при НФ2:
- Геномная нестабильность
- Наиболее вероятен атипичный характер менингиомы
- Больше полушария, полушария мозжечка, латеральные отделы основания черепа, позвоночник
о Менингиомы, не связанный с НФ2:
- Практически всегда доброкачественные
- Хромосомная стабильность, частые мутации в гене SMO
- Медиальные отделы основания черепа
о При множественных менингиомах часто наблюдаются мутации гена SMARCB1
• Ассоциированные аномалии:
о Нейрофиброматоз 2 типа (НФ2):
- Множественные наследственные шванномы, менингиомы и эпендимомы (синдром MISME)
- У 50-75% пациентов с НФ2 развивается менингиома
- 10% пациентов с множественными менингиомами имеют НФ2
о Метастазирование в менингиому («опухоль в опухоли», иногда именуется «коллизионная опухоль»):
- ПМ-наиболее частая первичная внутричерепная опухоль, в которой обнаруживаются метастазы; первичный очаг в большинстве случаев - в легком или молочной железе
• Медленный рост, доброкачественный характер
2. Макроскопические и хирургические особенности:
• Два основных варианта морфологии:
о Шаровидная = глобулярное новообразование, хорошо отграниченное от окружающих структур, прилегающее широким основанием к твердой мозговой оболочке (дуральный хвост):
- В 60% случаев наблюдается локальная инвазия опухоли в дуральный хвост
о Бляшечная = пластинчатое утолщение, покрывающее твердую мозговую оболочку без инвагинации в мозговую паренхиму
• Однородная красновато-коричневая полупрозрачная бледная поверхность
• Консистенция от мягкой до упругой, иногда «песчаная»
о Зависит от фиброзной ткани, содержания кальцификатов
• ТМ обычно инвагинируют в головной мозг, но не инвазируют в него
3. Микроскопия:
• ТМ (I степень злокачественности по классификации ВОЗ [grade I]) имеет широкий диапазон подтипов:
о Менинготелиальный подтип: единообразные опухолевые клетки, коллагеновые перегородки, псаммоматозные кальцификаты (наиболее часто)
о Фиброзный подтип: переплетение пучков веретеновидных клеток, коллагеновый/ретикулярный матрикс
о Промежуточный (смешанный) подтип: завитки по типу «луковицы», псаммозные тельца
о Псаммоматозный подтип
о Ангиоматозный подтип
о Микроцитарный подтип
о Секреторный подтип
о Богатый лимфоплазмацитами подтип
о Метапластический подтип
(Слева) МРТ, FLAIR, аксиальный срез: визуализируется дольчатое слегка гиперинтенсивное внутрижелудочковое объемное образование, растущее из клубка сосудистого сплетения. Обратите внимание на расширение височного рога левого бокового желудочка с перивентрикулярным интерстициальным скоплением мигрировавшей жидкости.
(Справа) МРТ, постконтрастное Т1-ВИ, аксиальный срез: определяется интенсивно и равномерно накапливающее контрастное вещество объемное образование (внутрижелудочковая менингиома). Около 1 % внутричерепных менингиом имеют внутрижелудочковую локализацию; здесь внутри сосудистого сплетения могут сохраняться остатки паутинной мозговой оболочки. (Слева) Бесконтрастная КТ, аксиальный срез: выраженные гиперостоз и кальцификация бляшечной менингиомы, распространяющейся вдоль внутренней компактной пластинки черепа слева.
(Справа) МРТ, Т1-ВИ, аксиальный срез: у этого же пациента определяется характерный гипоинтенсивный сигнал от зоны кальцификации/оссификации. (Слева) КТ с контрастированием, аксиальный срез: справа визуализируются несколько интенсивно накапливающих контраст в немозговых объемных образований с четкими контурами, которые были умеренно гиперденсны на бесконтрастных КТ-изображениях (не представлены).
(Справа) МРТ, постконтрастное Т1-ВИ, аксиальный срез: определяются интенсивно накапливающие контраст объемные образования. Множественные менингиомы чаще встречаются у женщин и пациентов с НФ2.
д) Клиническая картина:
1. Проявления менингиомы:
• Наиболее частые признаки/симптомы
о Симптоматическими являются < 10% всех менингиом
о Симптомы зависят от локализации опухоли
2. Демография:
• Возраст:
о Средний взрослый
• Пол:
о М: Ж = 1:1.5-3
• Эпидемиология:
о Наиболее частое первичное внутричерепное новообразование у взрослых (20-35%):
- Частота выявления при аутопсии 1-1,5%
3. Течение и прогноз:
• Обычно характерны медленный рост, компрессия смежных структур
• При парасагиттальной локализации часто врастают в сагиттальный синус и окклюзируют его
• Метастазируют редко (0,1 —0,2%): гистология, локализация не коррелируют с метастазами
4. Лечение менингиомы:
• При бессимптомном течении - наблюдение в динамике методами диагностической визуализации
• Хирургическое
• Лучевая терапия для лечения ПМ используется нечасто
е) Диагностическая памятка. Советы по интерпретации изображений:
• До операции определите протяженность всей опухоли
• Может ли иметь место специфический синдром (например, НФ2)
ж) Список литературы:
1. Shibuya М: Pathology and molecular genetics of meningioma: recent advances. Neurol Med Chir (Tokyo). 55(1):14-27, 2015
2. Watanabe К et al: Prediction of hard meningiomas: quantitative evaluation based on the magnetic resonance signal intensity. Acta Radiol. ePub, 2015
3. Lin BJ et al: Correlation between magnetic resonance imaging grading and pathological grading in meningioma. J Neurosurg. 121 (5): 1201-8, 2014
4. Wen M etal: Immunohistochemical profile of the dural tail in intracranial meningiomas. Acta Neurochir (Wien). 1 56(12):2263-73, 2014
Менингиомы головного мозга
Менингиомы являются наиболее часто обнаруживаемыми внутричерепными опухолями. Они представляют собой примерно 38% всех внутричерепных опухолей у женщин и 20% — у мужчин. Они чаще встречаются у женщин, чем у мужчин, и обычно диагностируются у лиц старше 30 лет.
Развитие методов визуализации, таких как компьютерная томография (КТ) и магнитно-резонансная томография (МРТ) улучшило возможности предварительной оценки успеха операционного лечения, то есть полного удаления опухоли. Методы визуализации позволяют получить информацию о месте прикрепления опухоли к твердой мозговой оболочке, локализации и тяжести отека, смещении жизненно важных нейро-сосудистых структур, что требуется для планирования оперативного лечения, а также определяет исход лечения.
Сделать МРТ головного мозга в Санкт-Петербурге
Всемирная организация здравоохранения (ВОЗ) подразделяет менингиомы на 3 большие категории, включающие 15 подтипов:
Нейрорадиологи и нейрохирурги должны быть готовы к тому, что иногда выглядят на КТ и МРТ нетипичным образом, что может быть связано с различными гистологическими подтипами опухоли.
Атипичные и злокачественные гистологические типы опухолей, а также опухоли с гетерогенным характером контрастирования на КТ отличаются большей вероятностью рецидивирования. Развиваются из паутинной мозговой оболочки, в частности, из менинготелиальных клеток. Большинство растут в сторону мозговой ткани и представляют собой отграниченные образования округлой или дольчатой формы, четкого контура и с основанием на твердой мозговой оболочке. Плоские опухоли, т.н. en plaque , инфильтрируют твердую мозговую оболочку и растут в виде тонкого листа или бляшки на протяжении твердой мозговой оболочки свода черепа, серпа или намета мозжечка. Место прикрепления к твердой мозговой оболочке может выглядеть в виде относительно тонкой ножки или, наоборот, широкого основания. Поскольку мягкая и паутинная мозговые оболочки формируют мембранный барьер между опухолью и тканью головного мозга, некоторые растут в сторону подпаутинного пространства, но инвазивный рост в ткань головного мозга наблюдается нечасто.
Диагностика менингиомы
МРТ считается предпочтительным методом исследования для диагностики менингиом и их последующего наблюдения. МРТ позволяет с большой точностью обнаружить менингиомы типа en plaque или задней черепной ямки, которые легко пропустить при КТ. Исторически у КТ есть ряд ограничений в осуществлении снимков в любых других проекциях, кроме аксиальной. Тем не менее, современная спиральная КТ, или мультидетекторная КТ (МДКТ/МСКТ), позволяют значительно улучшить качество сагиттальных и корональных изображений, получаемых на основании аксиального снимка. По сравнению с МРТ, на КТ труднее различить различные варианты строения мягких тканей.

Менингиома лобной доли: КТ-картина. После введения контрастного вещества виден характерный вид «колеса со спицами» в структуре слабо контрастируемой опухоли. Несмотря на то, что данный паттерн чаще наблюдается при ангиографии, он также отмечается на томографических изображениях.

МРТ того же пациента, выполненная после предыдущей КТ: аксиальное Т1-взвешенное изображение после введения гадолиния и аксиальное Т2-взвешенное изображение. Видна крупная менингиома лобной области, расположенная срединно, со специфическим паттерном «колеса со спицами».
Дифференциальный диагноз в случае менингиомы головного мозга проводится с метастазами в твердую мозговую оболочку (чаще всего первичными очагами опухоли являются рак груди или простаты), гемангиоперицитомой, гранулематозными заболеваниями (в т.ч. саркоидозом и туберкулезом), идиопатическим гипертрофическим пахименингитом, экстрамедуллярным гемопоэзом, гемангиомой, а также венозными синусами или синусами твердой мозговой оболочки. Иногда различить указанные состояния сложно, в таких случаях рекомендуется повторный профессиональный анализ КТ или МРТ. При специфической анатомической локализации опухоли во внимание следует принимать и другие возможные диагнозы, включающие вестибулярную шванному для опухолей мозжечково-мостового угла, макроаденому гипофиза и краниофарингиому для опухолей параселлярной области, хордому/хордосаркому для объемных образований в области ската.
Рентгенография при менингиоме
В большинстве случаев обзорная рентгенография черепа не обладает диагностической ценностью, поскольку не позволяет получить никаких данных, которые могли бы указывать на наличие менингиомы. Иногда могут отмечаться кальцифицированные участки или зоны реактивного гиперостоза. В редких случаях могут быть видны участки остеолиза.

8. На рентгеновском снимке во фронтальной плоскости хорошо заметно кальцифицированное образование в области лобной пазухи. На снимке в латеральной проекции образование визуализируется кверху от решетчатой пластинки. Несмотря на то, что по результатам исследования можно заподозрить, обнаруженные признаки неспецифичны, и поэтому обнаруженное внутричерепное образование требует дообследования при помощи КТ.
Большинство рентгеновских снимков не отображают признаков наличия заболевания. Менингиомы типа en plaque характеризуются диффузным гиперостозом, чаще в области крыла клиновидной кости и птериона. Такие результаты исследования с большой долей вероятности свидетельствуют о наличии
болезни.
Кальцинаты внутри опухоли являются значительно более редким рентгенографическим проявлением менингиомы; это зачастую приводит к ложно-отрицательным результатам. Большинству пациентов не проводится рентгенографическое исследование, поскольку диагноз был подтвержден при помощи КТ или МРТ.
КТ при менингиоме
Компьютерная томография (КТ) часто используется для оценки опухолей мозга. Обычно на изображении без контрастного усиления она представлена в виде четко очерченного внемозгового (экстрааксиального) образования с ровными краями, прилегающего к твердой мозговой оболочке. Примерно 70-75% обладают повышенной плотностью по сравнению с окружающей их паренхимой головного мозга, а около 25% — изоденсивны. Редкая группа опухолей (липобластный подтип) содержат включения жира и, таким образом, характеризуются пониженной рентгеновской плотностью.
Сделать КТ головного мозга в Санкт-Петербурге
Кальцинаты являются другой частой находкой; их обнаруживают в 20-25% случаев. Кальцинаты на КТ могут быть узловыми, точечными или сплошными плотными. Часто наблюдается вазогенный паренхиматозный отек окружающей мозговойо ткани, визуализирующийся на снимке как участок паренхимы пониженной плотности. В некоторых случаях отек настолько выражен, что, ввиду преимущественного поражения белого вещества, может выглядеть в виде пальцевидных зон низкой плотности. Впрочем, отек отсутствует примерно в 50% случаев вследствие медленного роста опухоли.

Псаммоматозная менингиома. КТ-исследование кальцифицированного объемного образования, обнаруженного на рентгеновском снимке. На томограмме, полученной на уровне верхней границы орбит, видна опухоль в области решетчатой пластинки (в области ольфакторной ямки).
Преимуществом КТ над МРТ является лучшая визуализация костной ткани. Гиперостоз подлежащей кости отмечается у 15-20% пациентов. Также можно обнаружить бо́льшую выраженность сосудистых борозд и нерегулярность строения компактного вещества коркового слоя кости. Реже в образовании отмечаются кровоизлияния, образование кист и участки некроза. Кисты как компонент менингиомы могут возникать внутри опухоли или между опухолью и подлежащей тканью головного мозга (с препятствием оттоку спинно-мозговой жидкости).
Менингиома теменно-затылочной области: объемная 3D-реконструкция.
Внутривенное введение контраста помогает в оценке менингиомы: в более 90% случаев наблюдается интенсивное равномерное повышение плотности после введения контраста.
Неоднородный характер контрастирования может быть следствием некроза или, реже, кровоизлияния.

З адняя тенториальная менингиома на корональном КТ-изображении с контрастным усилением. К намету мозжечка прилежит объемное образование повышенной плотности с четкими краями. Визуализируются застой спинно-мозговой жидкости, легкий отек прилежащих тканей, гомогенный характер контрастирования, а также расширение желудочков.
Примерно 90% менингиом видны на КТ-изображениях. Основная роль КТ, по сравнению с МРТ, заключается в отображении изменений в подлежащих костях и наличия кальцинатов в опухоли.
Нетипичная КТ-картина является основной причиной ошибок в предоперационной постановке диагноза. Так, могут быть пропущены менингиомы задней черепной ямки . Кроме этого, КТ не в состоянии отобразить наличие кист во внутричерепных менингиомах. Ложно-отрицательные результаты могут быть получены при наличии кистозных образований в менингиомах головного мозга. К ложно-положительным результатам могут приводить обширные зоны отложения кальция в твердой мозговой оболочке, которые могут имитировать заболевание. Снизить число ошибок, обусловленных человеческим фактором, помогает второе мнение.

Анапластическая менингиома лобной доли. Н а КТ-изображении в режиме мозгового окна и костного окна Хаунсфильда видна крупная внутрикостная менингиома. Обнаруживаемые КТ-феномены неспецифичны и могут включать различные изменения от остеолиза до остеосклероза. Внутрикостные менингиомы составляют менее 1% опухолей костной ткани.
МРТ при менингиомах
МРТ с использованием гадолиния является наилучшим способом визуальной оценки менингиом. Важными преимуществами МРТ в диагностике менингиом являются хорошая визуализация разных типов мягкой ткани, возможность получения изображений в разных плоскостях, а также реконструкции объемного (3 D ) изображения.
МРТ также хорошо демонстрирует васкуляризацию опухоли, прорастание артерий и инвазию опухоли в венозные синусы, а также взаимное расположение опухоли и подлежащих структур. Особенно полезной МРТ с гадолинием оказывается для отображения структур параселлярного пространства, задней черепной ямки, и, в редких случаях, опухолевых отсевов по путям оттока спинномозговой жидкости. Возможность получения изображений в разных плоскостях позволяет наилучшим образом визуализировать зону контакта менингиомы с мозговыми оболочками, капсулу опухоли, а также выявить особенности контрастирования мозговых оболочек в участках, непосредственно прилежащих к опухоли.

Фалькс-менингиома на МРТ.
А: на Т1-взвешенном МР-изображении отмечается солидное образование, характеризующееся изоинтенсивностью по отношению к твердой мозговой оболочке, инвазией в кость и сдавлением теменных зон коры.
В: На Т1-взвешенном МР-изображении с контрастным усилением видна частично контрастируемая опухоль.
С: На корональном Т2-взвешенном изображении видно изоинтенсивное образование, что соответствует плотной ткани. Такая картина характерна для фибробластных менингиом.
D : На Т1-взвешенном МР-изображении с контрастным усилением визуализируется гиперинтенсивное образование внутри мозгового вещества кости.
На Т2-взвешенных изображениях, полученных без контрастного усиления, интенсивность сигнала в большинстве случаев не отличается от таковой серого вещества коры. Фиброматозные менингиомы могут иметь более гипоинтенсивный сигнал по сравнению с корой головного мозга. Т1-взвешенные изображения могут использоваться для оценки наличия некроза и кист, а также следов кровоизлияний в опухоль. На Т2-взвешенных изображениях интенсивность сигнала варьируется. Т2-взвешенные изображения тоже могут быть использованы для обнаружения последствий кровоизлияний в опухоль и визуализации кистозных образований. Кроме этого, Т2-взвешенная ИП используется для определения наличия кармана между опухолью и паренхимой головного мозга с затеканием СМЖ, что свидетельствует об экстрааксиальном расположении образования.
Гиперинтенсивность сигнала на Т2-взвешенных изображениях указывает на мягкотканую структуру опухоли и ее обильную капиллярную васкуляризацию. Это более характерно для агрессивных ангиобластных или менинготелиальных опухолей. Интенсивность сигнала на Т2-взвешенных изображениях хорошо коррелирует как с гистологическим строением, так и с консистенцией менингиомы. В целом, участки пониженной интенсивности в опухоли соответствуют более плотной, фиброзной, структуре образования (например, в случае фибробластных менингиом), в то время как гиперинтенсивные участки указывают на более мягкотканую структуру опухоли (например, в случае ангиобластной менингиомы).
А: на МР-ангиограмме в латеральной проекции отмечается окклюзия верхнего сагиттального синуса вследствие опухолевой инвазии.
В: МРТ-реконструкция изображения визуализирует окклюзию сагиттального венозного синуса и объемный характер опухоли.
Последовательность FLAIR (режим инверсия-восстановление с подавлением сигнала от воды) удобно использовать для визуализации сопутствующего отека, а также т.н. «дурального хвоста». Дуральный хвост представляет собой линейный участок контрастного усиления, соответствующей непосредственно прилежащей к опухоли твердой мозговой оболочке. Дуральный хвост наблюдается примерно в 65%, а также в 15% случаев при других опухолях. Несмотря на то, что данный признак не является специфичным, при его наличии такой диагноз становится одним из наиболее вероятных.
Как при МРТ, так и при КТ одинаково отвечают на введение контрастного вещества. Интенсивное контрастирование гадолинием наблюдается в более 85% случаев. Кольцевое распределение контраста может соответствовать капсуле образования. Использование гадолиния также улучшает визуализацию плоских менингиом типа en plaque , которые могут быть не видны на изображениях без контрастного усиления.

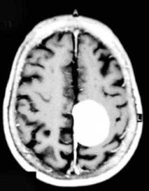
Парасагиттальная менингиома на МРТ с контрастным усилением. Видно гомогенное округлое образование, активно накапливающее контрастное вещество.

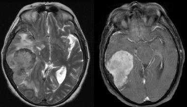
Менингиома височной области. На серии последовательных МР-изображений видно крупное образование правой височной области с паттерном контрастирования по типу «колеса со спицами», местным объемным воздействием, отеком окружающих тканей и гиперостозом подлежащей кости.

Атипичная с деструкцией пирамиды височной кости. На корональном Т2-взвешенном и контрастированном Т1-взвешенном МР-изображении виден быстрый рост конвекситального объемного образования в сторону намета мозжечка и пирамиды височной кости.

Менингиома теменной области. МР-изображения, полученные с использованием следующих последовательностей: аксиальное Т2-взвешенное, аксиальное Т2-взвешенное, корональное FLAIR -изображение и сагиттальное Т1-изображение. Крупная левосторонняя менингиома выглядит в виде экстрааксиального образования с паттерном «колеса со спицами» и отеком окружающих тканей.
ДОПОЛНИТЕЛЬНЫЕ ТЕХНИКИ КТ И МРТ
Разные гистологические подтипы по-разному выглядят на МРТ, но лишь на основании данных МРТ нельзя поставить морфологический диагноз.
Большинство легко диагностировать при помощи стандартной МРТ. Впрочем, атипичная МР-картина может вызывать сомнения в диагнозе.
Проводились исследования роли МР-спектроскопии и других имитирующих состояний. Исследования показали стабильно повышенные уровни аланина, холина, глутамат-глутаминового комплекса и пониженные уровни N -ацетиласпартата и креатина. В особенности обращало на себя внимание повышение величины химического сдвига: в случае глутамина до 3,8 и аланина до 1,48. Диагностическая ценность уровня липидов и лактата, хоть они и соответствовали таковым при злокачественных глиомах или метастазах, в случае менингиом остается противоречивой. Также было показано, что для менингиом характерен низкий уровень миоинозитола и креатина.
МР-спектроскопия с использованием фосфора-31 демонстрирует характерную щелочную среду и низкие уровни фосфокреатина и фосфодиэстераз.
Были сделаны различные выводы касательно роли диффузионно-взвешенной МРТ. Измеряемый коэффициент диффузии (ИКД) для высокодифференцированных опухолей обычно оказывался ниже по сравнению с окружающей тканью головного мозга. Некоторые исследования показали схожую тенденцию в случае менингиом, но по данным других исследований значения ИКД для 1-й и 2-й степеней злокачественности статистически достоверно не различались.

Менингиома задней черепной ямки: диффузионно-взвешенное МР-изображение (DWI). Сигнал умеренно повышен, что соответствует умеренному ограничению диффузии.
По результатам изучения роли перфузионно-взвешенной МРТ также был сделан ряд выводов. Гиперваскуляризированным менингиомам обычно характерен повышенный уровень перфузии. Также была оценено значение перфузионно-взвешенной МРТ в определении подтипа менингиомы и в постоперационном динамическом наблюдении.
Использование контрастных веществ на основе гадолиния сопряжено с развитием нефрогенного системного фиброза (НСФ) или нефрогенной фиброзирующей дермопатии (НФД). Заболевание развивалось у пациентов с хронической болезнью почек в стадиях от умеренной до терминальной после введения контрастного вещества на основе гадолиния для проведения МРТ или МРА.
Было показано, что значение измеряемого коэффициента диффузии (ИКД), равное 0,85, при использовании диффузионно-взвешенной МРТ позволяет отдифференцировать менингиому 1-й степени злокачественности от опухолей 2-й и 3-й степеней злокачественности. В исследовании на 389 пациентах 1-я степень злокачественности по ВОЗ была диагностирована в 271 случае (69,7%), 2-я степень – в 103 случаях (26,5%), 3-я степень – у 15 больных (3,9%).
В целом, чувствительность и специфичность МРТ в случае менингиом довольно высоки. Доказано, что МРТ лучше отображает саму опухоль и ее расположение относительно окружающих структур. Впрочем, использование МРТ не позволяет достоверно определить наличие кальцинатов в опухоли; также затруднительным представляется визуализация свежего кровозлияния.
Также должна учитываться возможность ложно-отрицательных данных о кальцинатах в опухоли. Трудности отображения свежих кровоизлияний в опухоль являются недостатком МРТ и могут привести к ошибочным результатам исследования.
Читайте также:
- Лучевая диагностика хондросаркомы жевательного пространства
- Дифференциальная диагностика патологического прелиминарного периода. Тактика при патологическом прелиминарном периоде.
- Лечение онхоцеркоза. Дитразин при онхоцеркозе
- Лучевая диагностика острой поперечной миелопатии
- Признаки переломов и вывихов пальцев стопы
