Лечение опоясывающего герпеса. Местная терапия опоясывающего герпеса
Добавил пользователь Владимир З. Обновлено: 08.11.2025
Лечение и профилактика простого герпеса. Опоясывающий лишай
При всех клинических формах простого герпеса показано назначение противовирусных препаратов. Зовиракс (ацикловир, виролекс) применяют для лечения по схемам, разработанным для каждой формы герпетической инфекции. При среднетяжелых формах его назначают внутрь по 200 мг 5 раз в сутки в течение 7-10 дней. При тяжелых формах герпетической инфекции, включая генерализованные, препарат вводят внутривенно по 5 мг/кг каждые 8 ч. Эффективны местные аппликации ацикловира в виде 5% мази. При местных поражениях помогает туширование пузырьков жидкостью кастеллани, раствором метиленового синего. В зависимости от тяжести болезни, динамики регресса кожных и других проявлений длительность назначения ацикловира может быть увеличена до 10-14 дней. При церебральных формах герпетической инфекции применяют также Видарбин по 15-30 мг/кг в сутки внутривенно. Предпочтение отдается ацикловиру. При большинстве форм острой герпетической инфекции при рано начатом лечении прогноз благоприятный.
При упорных рецидивирующих формах простого герпеса хорошие. Показано общеукрепляющее лечение, закаливание организма и систематический прием аскорбиновой кислоты до 1,0 в сутки, при устоявшемся по времени рецидиве герпеса прием препарата может быть упреждающим. В равной мере это относится к назначению Ацикловира и проведению вакцинотерапии.
Источник инфекции - человек. Передача вируса происходит воздушно-капельным путем, при прямом контакте; при генитальном герпесе-половым путем. При врожденной герпетической инфекции возможно трансплацентарное заражение плода, а также во время родов (герпес новорожденных). Для профилактики широкого распространения простого герпеса рекомендуются общие меры, применяемые при воздушно-капельных инфекциях. Для профилактики генитального герпеса рекомендуется пользование презервативом, но это не всегда обеспечивает защиту.

Опоясывающий лишай
Опоясывающий герпес - вирусное заболевание, протекающее с выраженным болевым синдромом, пузырьковыми высыпаниями на коже по ходу вовлеченных в воспалительный процесс чувствительных нервов, задних корешков спинного мозга и межпозвоночных ганглиев (ганглионит) и другими поражениями нервной системы, лихорадкой, интоксикацией.
В последние годы на фоне роста эндогенных инфекций отмечается заметное увеличение числа больных опоясывающим герпесом. По некоторым обобщенным данным, заболеваемость им достигает 83-480 на 100 тыс. населения.
В конце XIX в. Эрб и Ландузи высказали предположение об инфекционном генезе опоясывающего лишая, основанное на регистрации заболеваний среди членов одной семьи.
В 1909 г. венгерский педиатр Я. Бокаи на Международном конгрессе врачей в Будапеште выдвинул предположение об этиологической связи опоясывающего лишая и ветряной оспы, полагая, что при определенных условиях заболевание, вызванное вирусом ветряной оспы, может проявиться не генерализованной, а ограниченной сыпью в виде herpes zoster. Было обращено внимание на то, что не всякий herpes zoster может вызвать развитие ветряной оспы, а лишь отдельные формы его («варицеллезный зостер»). В различных странах были получены данные, подтверждающие возможность развития эпидемических вспышек ветряной оспы после контакта детей с больными опоясывающим герпесом.
В 1926 г. Фланден на Брюссельском съезде дерматологов обосновал взгляд, согласно которому опоясывающий лишай и ветряная оспа вызываются одним и тем же фильтрующимся вирусом (varicella virus). Общность возбудителя была доказана экспериментально. Впервые вирус был выделен в 1953 г. Уэллером из везикулярной жидкости больных опоясывающим герпесом.
- Вернуться в оглавление раздела "Микробиология."
Информация на сайте подлежит консультации лечащим врачом и не заменяет очной консультации с ним.
См. подробнее в пользовательском соглашении.
Опоясывающий лишай (герпес Зостер). Проявления в полости рта
Рекомендовано
Экспертным советом
РГП на ПХВ «Республиканский центр
развития здравоохранения»
Министерства здравоохранения
и социального развития
Республики Казахстан
от «15» октября 2015 года
Протокол № 12
Название протокола: Опоясывающий лишай (герпес Зостер).
Опоясывающий лишай – инфекционное заболеваний вызываемое нейротропным вирусом (вирус Зостер) семейства герпес [7].
Код протокола:
Код (коды) по МКБ-10:
B 02 опоясывающий лишай (Herpes zoster)
Сокращения, используемые в протоколе:
ПЦР – полимеразная цепная реакция
ДНК – дезоксирибонуклеиновая кислота
Дата разработки/пересмотра протокола: 2015 год
Категория пациентов: взрослые.
Пользователи протокола: дерматолог, инфекционист, невропатолог, врач-стоматолог общей практики, терапевт, врач общей практики.
Оценка на степень доказательности приводимых рекомендаций.
Таблица - 1 Шкала уровня доказательности:
| А | Высококачественный мета-анализ, систематический обзор РКИ или крупное РКИ с очень низкой вероятностью (++) систематической ошибки результаты которых могут быть распространены на соответствующую популяцию. |
| В | Высококачественный (++) систематический обзор когортных или исследований случай-контроль или Высококачественное (++) когортных или исследований случай-контроль с очень низким риском систематической ошибки или РКИ с не высоким (+) риском систематической ошибки, результаты которых могут быть распространены на соответствующую популяцию. |
| С | Когортное или исследование случай-контроль или контролируемое исследование без рандомизации с не высоким риском систематической ошибки (+). Результаты, которых могут быть распространены на соответствующую популяцию или РКИ с очень низким или невысоким риском систематической ошибки (++ или +), результаты которых не могут быть непосредственно распространены на соответствующую популяцию. |
| D | Описание серии случаев или неконтролируемое исследование или мнение экспертов. |
| GPP | Наилучшая фармацевтическая практика. |

Автоматизация клиники: быстро и недорого!
- Подключено 300 клиник из 4 стран
- 800 RUB / 4500 KZT / 27 BYN - 1 рабочее место в месяц

Автоматизация клиники: быстро и недорого!
- Подключено 300 клиник из 4 стран
- 1 место - 800 RUB / 4500 KZT / 27 BYN в месяц
Мне интересно! Свяжитесь со мной
13-15 октября, Алматы, "Атакент"
600 брендов, более 150 компаний-участников из 20 стран.
Новинки рынка стоматологии. Цены от производителей
Классификация
Клиническая классификация: [7]
В 02.2 Опоясывающий лишай с другими осложнениями со стороны нервной системы.
В 02.20 Постгерпетическая невралгия тройничного нерва
В 02.21 Постгерпетическая невралгия других черепных нервов
В 02.8 Опоясывающий лишай с другими осложнениями
В 02.8Х Проявления в полости рта
В 02.9 Опоясывающий лишай без осложнений
Клиническая картина
Cимптомы, течение
Диагностические критерии постановки диагноза [2,3,4,5,6,7,10,11]
Жалобы и анамнез: [2,3,4,5,6,7,10,11]
Анамнез:
В анамнезе ветряная оспа, контакт с инфицированным лицом или снижение иммунитета организма, наличие стресса, обострение соматического заболевания.
Физикальное обследование: [2,3,4,5,6,7,10,11]
На слизистой оболочке полости рта и коже пораженной стороны появляются везикулы диаметром от 1 до 6 мм, которые быстро лопаются, образуя единичные или сливные эрозии, покрытые фибринозным налетом. Отмечается регионарный лимфаденит. На коже пузырьки образуют корочки, после их отпадения остается пигментация кожи. Реже пузырьки могут иметь геморрагическое содержимое (геморрагическая форма) или некротизируются (гангренозная форма).
Диагностика
Перечень диагностических мероприятий:
Основные (обязательные) диагностические обследования, проводимые на амбулаторном уровне:
1. Сбор жалоб и анамнеза.
2. Визуальный осмотр слизистой полости рта и кожных покровов.
Дополнительные диагностические обследования, проводимые на амбулаторном уровне:
1. Цитологическое исследование.
2. Обнаружение вируса герпеса 3 типа (ВПГ-III) в биологическом материале методом ПЦР.
Минимальный перечень обследования, который необходимо провести при направлении на плановую госпитализацию: нет
Основные (обязательные) и дополнительные диагностические обследования, проводимые на стационарном уровне (при экстренней госпитализации проводятся диагностические обследования не проведенные на амбулаторном уровне): нет
Диагностические мероприятия, проводимые на этапе скорой неотложной помощи: нет
Инструментальные исследования: нет.
Показания для консультации специалистов:
· консультация невропатолога – для комплексного лечения
· консультация дерматолога – для исключения кандидоза другой локализации
· консультация терапевта, врача общей практики – для выявления соматической патологии.
Лабораторная диагностика
Лабораторные исследования: [7,10]
· цитологическое – многоядерные гигантские клетки.
обнаружение вируса герпеса 3 типа (ВПГ-III) в биологическом материале методом ПЦР - обнаружение ДНК вируса Зостер.
Дифференциальный диагноз
Дифференциальный диагноз:
Таблица – 2. Дифференциальная диагностика
| Нозологическая форма | Опоясывающий лишай | Простой герпес полости рта | Невралгия ветвей тройничного нерва | Рожистое воспаление | Экзема |
| Жалобы | наличие односторонних высыпаний по невральным сегментам, подъем температуры 40° | Наличие везикулярных высыпаний в полости рта, подъем температуры до 39° | Наличие болей по ходу тройничного нерва, наличие «триггерной зоны» | Наличие гиперемии кожи на ограниченном участке | Наличие элемента поражения связано с воздействием аллергена |
| Объективные данные | односторонняя везикулярная сыпь по ходу невральных сегментов в виде «гроздьев винограда», «гирлянд» | одиночные или множественные везикулярные высыпания в полости рта, быстро вскрывающиеся с образованием эрозий и афт, явления катарального и язвенно-некротического гингивита | изменений на коже и в полости рта нет, имеется снижение чувствительности, наличие болезненности при пальпации мест выхода ветвей тройничного нерва, «триггерные (курковые) зоны» | поражение с типичной локализацией на лице или нижних конечностях, увеличение лимфоузлов, типичные красные и болезненные пятна с неровными краями, похожими на пламя, при покое боли исчезают. | острая воспалительная отечная эритема с последующим высыпанием группы быстро вскрывающихся микровезикул, на месте которых обнажаются точечные эрозии - так «серозные колодцы», из глубины которых выделяется серозный экссудат, образуя обильно мокнущую поверхность, постепенно серозная жидкость подсыхает, образуя серовато-жёлтые корки |
| Дополнительные методы исследования | Цитологически гигантские многоядерные клетки, ПЦР – ДНК вируса Зостер | Цитологически гигантские многоядерные клетки, ПЦР – ДНК вируса герпеса простого | Не требуется | Лабораторные методы исследования не имеют самостоятельного значения | Общий клинический анализ крови – повышение количества эозинофилов (норма 0-5). |
Лечение
ликвидация воспалительного процесса и увеличение периода ремиссии.
Тактика лечения: [4,5,7,8,9,10,12] лечение проводится на амбулаторном уровне.
Объем лечебных мероприятий определяется формой болезни, размером очага, быстротой развития процесса.
Немедикаментозное лечение: [4,5,7,10] Режим III. Стол №15.
Медикаментозное лечение: [4,5,7,8,9,10,12]
Медикаментозное лечение, оказываемое на амбулаторном уровне:
Местная медикаментозная терапия:
Обезболивающие препараты:
1. Лидокаина гидрохлорид, 1% для аппликаций на слизистую полости рта перед приемом пищи до стихания болевых ощущений.
При непереносимости:
2. Прокаин, 5мг/мл, 0,5%, для аппликаций на слизистую полости рта, с целью обезболивания перед приемом пищи и обработкой элементов поражения до стихания болевых ощущений.
Антисептики:
3. Хлоргексидина биглюконат, 0,05%, для обработки полости рта 3 раза в день в течение 10 дней.
Противовирусные препараты (выбрать один из них):
4. Ацикловир, 5%, для аппликаций на слизистую оболочку 3-4 раза в день в течение 7-14 дней в зависимости от степени тяжести.
5. Пенцикловир, 1%, для аппликаций на пораженный участок каждые 2 ч (примерно 8 раз/сут), курс в течение 4 дней Интерферон, 2 мл, растворить в 2 мл теплой воды в виде аппликаций 5-6 раз в день в течение 7-14 дней в зависимости от степени тяжести.
Эпителизирующие препараты:
6. Токоферола ацетат, 30%, в виде аппликаций на слизистую полости рта, 3 раза в день до полной эпителизации элементов поражения.
Общая медикаментозная терапия:
Нестероидные противовоспалительные препараты (выбрать один из них):
1. Парацетамол, 500мг, перорально, 1таблетка 3 раз в сутки, максимально до 5-7 дней.
2. Ибупрофен, 200мг, 1 таблетка 3 раза в сутки, максимальная суточная доза 2,4г, максимально не более 5 дней.
Противовирусные препараты (выбрать один из них):
3. Ацикловир, 200мг, перорально, 1 таблетка 5 раз в день в течение 7-14 дней в зависимости от степени тяжести.
Другие виды лечения: нет.
Хирургическое вмешательство: нет.
Индикаторы эффективности лечения:
удовлетворительное состояние, стойкая ремиссия.
Препараты (действующие вещества), применяющиеся при лечении
| Ацикловир (Acyclovir) |
| Ибупрофен (Ibuprofen) |
| Лидокаин (Lidocaine) |
| Парацетамол (Paracetamol) |
| Пенцикловир (Penciclovir) |
| Прокаин (Procaine) |
| Токоферол (Tocopherol) |
| Хлоргексидин (Chlorhexidine) |
Госпитализация
Показания для госпитализации с указанием типа госпитализации:
Показания для плановой госпитализации: нет.
Показания для экстренной госпитализации: тяжелое течение с риском развития энцефалита, менингита.
Профилактика
Профилактические мероприятия:
· устранение контакта с этиологическим фактором;
· общее оздоровление организма;
· диспансерное наблюдение;
Дальнейшее ведение: диспансерное наблюдение два раза в год.
Информация
Источники и литература
- Протоколы заседаний Экспертного совета РЦРЗ МЗСР РК, 2015
- Список использованной литературы: 1. Приказ МЗ РК №473 от 10.10.2006г. «Об утверждении Инструкции по разработке и совершенствованию клинических руководств и протоколов диагностики и лечения заболеваний». 2. Анисимова И.В., Недосеко В.Б., Ломиашвили Л.М. Заболевания слизистой оболочки рта и губ. – 2005. – 92 с. 3. Диагностика в терапевтической стоматологии: Учебное пособие / Т.Л.Рединова, Н.Р.Дмитракова, А.С.Япеев и др. – Ростов н/Д.: Феникс, 2006. -144с. 4. Заболевания слизистой оболочки полости рта и губ / Под ред. Проф.Е.В.Боровского, проф.А.Л.Машкиллейсона. – М.:МЕДпресс, 2001. -320с. 5. Зазулевская Л.Я. Болезни слизистой оболочки полости рта. Учебник для студентов и практических врачей. – Алматы, 2010. – 297 с. 6. Лангле Р.П., Миллер К.С. Атлас заболеваний полости рта: Атлас / Перевод с английского под ред. Л.А.Дмитриевой. –М.: ГЭОТАР-Медиа, 2008. -224с. 7. Терапевтическая стоматология. Национальное руководство. Москва, Гэотар-Медиа, 2009, 908с. 8. Hügler P , Siebrecht P , Hoffmann K , Stücker M , Windeler J , Altmeyer P and Laubenthal H. Prevention of postherpetic neuralgia with varicella-zoster hyperimmune globulin.- European journal of pain (London, England), 2002, 6(6), 435 9. Gopal MG , Shannoma , Sharath Kumar BC , Ramesh M , Nandini AS and Manjunath NC. A Comparative study to evaluate the efficacy and safety of acyclovir and famciclovir in the management of herpes zoster.- Journal of Clinical and Diagnostic Research, 2013, 7(12), 2904 10. Laskaris G. Treatment of Oral Diseases. A Concise Textbook.- Thieme, Stuttgart/New York, 2006, p.300 11. Laskaris G. Color Atlas of Oral Diseases, 3rd edition.- Stuttgart: ThiemeVergal, 2003 12. Pan B-C , Hou X-W and Li X-P. Curative effect of recombinant human interferon alpha2b gel combined with aciclovir on herpes zoster.- Chinese Journal of Biologicals, 2008, 21(8), 711
Информация
Список разработчиков протокола с указание квалификационных данных:
1. Есембаева Сауле Сериковна – доктор медицинских наук, профессор, директор Института стоматологии Казахского Национального медицинского университета им.С.Д.Асфендиярова;
2. Баяхметова Алия Алдашевна – доктор медицинских наук, профессор, заведующая кафедры терапевтической стоматологии Казахского Национального медицинского университета им.С.Д.Асфендиярова;
3. Сухочева Татьяна Михайловна – кандидат медицинских наук, ассистент кафедры терапевтической стоматологии Казахского Национального медицинского университета им.С.Д.Асфендиярова;
4. Тулеутаева Светлана Толеуовна – кандидат медицинских наук, зав.кафедры стоматологии детского возраста с курсом хирургической стоматологии Карагандинского государственного медицинского университета;
5. Манекеева Замира Тауасаровна – врач стоматолог Института стоматологии Казахского Национального медицинского университета им.С.Д.Асфендиярова.
6. Тулеутаева Райхан Есенжановна – кандидат медицинских наук, доцент кафедры фармакологии и доказательной медицины Государственного медицинского университета г.Семей .Указание на отсутствие конфликта интересов: нет
Рецензенты:
1. Жаналина Бахыт Секербековна – доктор медицинских наук, профессор РГП на ПХВ Западно-Казахстанский государственный медицинский университет им. М.Оспанова, заведующая кафедрой хирургической стоматологии и стоматологии детского возраста;
2. Маргвелашвили Владимир Владимирович – доктор медицинских наук, профессор, руководитель Департамента стоматологии и челюстно-лицевой хирургии Тбилисского государственного университета им. И. Джавахишвили.Указание условий пересмотра протокола: пересмотр протокола через 3 года и/или при появлении новых методов диагностики и/или лечения с более высоким уровнем доказательности.
Случай опоясывающего лишая под маской дорсопатии грудного отдела позвоночника
15 декабря 2018 года к дежурному врачу-терапевту городской поликлиники Рязани обратилась женщина 43 лет с жалобами на сильные боли в области спины, беспокоящие её второй день.
Жалобы
Болезненные ощущения в спине отдавали в грудную клетку справа. Также пациентка жаловалась на общую слабость,головную боль и потливость.
Анамнез
Заболела накануне вечером, когда отметила появление болей в области спины и грудной клетки справа жгучего характера. 15 декабря была осмотрена терапевтом: кожные покровы чистые; пальпация грудного отдела позвоночника болезненная; температура тела 36,6°C; катаральных явления нет. Тоны сердца ясные, ритмичные. Артериальное давление 120/80 мм рт.ст. ЧСС 78 в минуту. Дыхание в лёгких везикулярное, хрипов нет. Поставлен диагноз "дорсопатия грудного отдела позвоночника". Назначено противовоспалительное лечение, рекомендована консультация невролога, врача-физотерапевта и лфк, явка к участковому врачу. Выдан больничный лист. Вечером 17 декабря пациентка отметила появление пузырьков в подлопаточной области с сильным зудом и болью, температура повысилась до 38,7°C. Утром, обратившись в регистратуру, попала на приём к инфекционисту.
В анамнезе перенесла ветряную оспу в 12 лет. На данный момент в семье все здоровы. Работает инженером на заводе. Две недели назад на ногах перенесла ОРВИ, лечилась самостоятельно. Отмечает переохлаждение пять дней назад по дороге с работы домой.
Обследование
На приёме у инфекциониста жаловалась на слабость, головную боль, повышение температуры тела, высыпания на спине и груди с сильной жгучей болью. Во время осмотра кожные покровы влажные, с пузырьковыми высыпаниями в подлопаточной области справа, переходом на правую молочную железу, отёком и гиперемией (покраснением). Температура тела 37,5°C. Дыхание в лёгких везикулярное, хрипов нет. ЧДД 20 в минут. Тоны сердца ясные, ритм правильный. Артериальное давление 120/80 мм рт.ст. ЧСС 88 в минуту. Живот мягкий, безболезненный. Стул и мочеиспускание в норме.
Назначены обследования: ⠀•⠀Развёрнутый общий клинический анализ крови: лейкоцитоз — повышение уровня лейкоцитов до 13,5*10^9/литре; СОЭ 20 мм/ч; лимфоцитоз — повышенный уровень лимфоцитов в крови; гемоглобин 125 г/л. ⠀•⠀Общий анализ мочи: лейкоциты 2-3; белок 0; плоский эпителий 1-2; плотность 1022. ⠀•⠀Анализы на сифилис, антитела к ВИЧ и гепатитам В и С: отрицательные.
Диагноз
Назначено медикаментозное лечение: 1. Противовирусное средство "Циклоферон" 0,25 г 10 инъекций внутримышечно через день. 2. Витамины группы В "Комбилипен" 2,0 мл 10 инъекций внутримышечно в течение 10 дней. 3. Обезболивающее "Кеторол" по одной таблетке 2-3 раза в день. 4. Обработка высыпаний раствором фукорцина два раза в день до подсушивания всех высыпаний.
На фоне проводимой терапии после первых трёх инъекций регрессировала большая часть высыпаний, боли уменьшились, температура нормализовалась. После семи инъекций высыпания исчезли полностью, но сохранялись боли по ходу высыпаний, поэтому к лечению был добавлен "Конвалис" по схеме. Данный препарат убрал симптомы нейропатии и дал положительный результат.
Лечение длилось 30 дней до полного клинического выздоровления пациентки. На месте высыпаний осталась пигментация, боли не беспокоили. Общий анализ крови нормализовался.
Заключение
Данный случай показывает, под какими клиническими масками может начинаться такое заболевание, как опоясывающий лишай. Неоспоримую роль в генезе заболевания играют снижение иммунитета на фоне банальной для многих людей простуды и переохлаждения. Заметно повышение заболеваемости в осенне-зимний период. Необходимо проводить грамотную дифференциальную диагностику с другими заболеваниями.
Опоясывающий герпес (опоясывающий лишай) - симптомы и лечение
Что такое опоясывающий герпес (опоясывающий лишай)? Причины возникновения, диагностику и методы лечения разберем в статье доктора Александрова Павла Андреевича, инфекциониста со стажем в 14 лет.
Над статьей доктора Александрова Павла Андреевича работали литературный редактор Маргарита Тихонова , научный редактор Сергей Федосов
Определение болезни. Причины заболевания
Опоясывающий герпес (опоясывающий лишай) — это инфекционное заболевание, которое возникает у людей, переболевших ветряной оспой. Его вызывает вирус Varicella zoster (вирус ветряной оспы), который активизируется из латентного состояния и поражает задние корешки спинного мозга, межпозвоночные нервные узлы (ганглии) и кожу.
Клинически характеризуется умеренно выраженным синдромом общей инфекционной интоксикации, везикулёзной сыпью по ходу чувствительных нервов, вовлечённых в процесс, и выраженными болями.
![Опоясывающий герпес: сыпь по ходу чувствительных нервов]()
Этиология
Семейство — Herpesviridae (от греч. herpes — ползучий)
Вид — вирус герпеса 3 типа — Varicella zoster (VZV, HHV-3).
Varicella zoster — ДНК-содержащий клеточно-ассоциированный вирус овальной формы. В диаметре он достигает 120-179 нм. Покрыт липидной оболочкой с гликопротеиновыми шипиками. Имеет антигены как снаружи, так и внутри (сердцевинные антигены). Их количество и качество непостоянно. Других вариантов патогена не найдено.
![Varicella zoster]()
После того, как человек перенёс ветряную оспу, вирус ретроградным обратным путём перемещается по отросткам нервных клеток (аксонам) к ганглиям. Там он пожизненно сохраняется в латентном состоянии. Антигены вируса на поверхности инфицированных нейронов отсутствуют. Это не позволяет иммунной системе распознать данные клетки.
Для животных непатогенен. Очень неустойчив во внешней среде, изменяется при нагревании. Солнечная радиация, свежий воздух при проветривании, стандартные дезинфицирующие средства и жирорастворители убивают вирус почти мгновенно [1] [2] [5] [7] [9] [10] .
Эпидемиология
Заболеванию подвержены люди, которые перенесли ветряную оспу (как правило, давно) при снижении иммунореактивности организма. К ним относятся пожилые, беременные, ВИЧ-инфицированные, люди после стресса или трансплантации органов — получающие иммуносупрессивную терапию (подавление нежелательных реакций иммунной системы) и другие иммунодепрессированные контингенты.
Так как заболевание развивается из-за реактивации вируса, уже находящегося в организме, опоясывающий герпес называют эндогенной болезнью.
Заболевание не носит массовый характер. У него нет чёткой сезонности. Чуть чаще болеют женщины и представители белой расы.
Люди с опоясывающим герпесом являются источником распространения вируса и могут быть опасны в плане заражения ветряной оспой у ранее не болевших людей, особенно детей.
В среднем заболеваемость находится на уровне 10-12 случаев на 1000 человек старше 60 лет. В последнее десятилетие наблюдается рост заболеваемости в более младших возрастных группах.
У ВИЧ-инфицированных опоясывающий герпес — достаточно частое проявление при снижении уровня СД4 (белых кровяных телец) ниже 0,5 на 10 9 /л. При отсутствии прогрессирующей иммуносупрессии повторные рецидивы наблюдаются редко (не более 5 % случаев) [1] [3] [5] [7] [10] .
При обнаружении схожих симптомов проконсультируйтесь у врача. Не занимайтесь самолечением - это опасно для вашего здоровья!
Симптомы опоясывающего герпеса
Инкубационный период в привычном понимании отсутствует, так как опоясывающий герпес — это не первичная инфекция. Может пройти вся жизнь, а манифестация так и наступит, хотя вирус в организме присутствует.
Предугадать развитие болезни сложно. Её начало и проявления широко различаются и зависят от степени тяжести. Заболеванию может предшествовать стресс, травма или ОРЗ.
Выделяют симптоматику отдельных форм опоясывающего лишая.
Ганглиокожная форма
Эта форма начинается с продромы — лёгкое недомогание, нарушения чувствительности, умеренные болевые ощущения в местах будущих высыпаний. Этот период длится до семи дней. Затем боли становятся выраженными, появляется лихорадка, умеренно выраженный синдром общей инфекционной интоксикации. Иногда боли усиливаются даже при дуновении ветра (т.н. аллодинические боли — от неболевых раздражителей).
Через 3-10 дней в этих местах на фоне покраснения появляется везикулёзная сыпь. При этом интенсивность боли обычно снижается. Сыпь возникает с одной стороны, ограниченная областью иннервации одного сенсорного ганглия. Везикулы имеют тенденцию к группировке.
![Везикулёзная сыпь при опоясывающем герпесе]()
В дальнейшем содержимое везикул мутнеет, иногда вскрывается. Через 4-5 дней от появления сыпи появляются корочки. Они исчезают на 2-4 неделе болезни.
![Образовавшиеся корочки]()
Разрешаются в ысыпания бесследно, но только при отсутствии расчёсов и глубоких воспалительных повреждений. А вот болевые феномены могут сохраняться длительно, иногда до года. Это требует своевременной противовирусной терапии и купирования боли.
В целом боли при опоясывающем герпесе достаточно выраженные, усиливаются при движении, прикосновении (даже незначительном). Их можно расценить как острые (с продромы и до одного месяца), подострые (1-4 месяца) и хронические (более 4 месяцев – постгерпетическая невралгия – типичная нейропатическая боль). Характер болей может быть различным – постоянным и спонтанным, чаще жгучим, давящим. Иногда боли сравнивают с ударом тока. Они могут причинять значительные физические страдания больным, нарушать сон, изматывать пациента.
Локализация болей и сыпи соответствует проекции поражённых нервов.
![Локализация опоясывающего герпеса]()
Глазная форма
Высыпания появляются на лице, носе и глазах. Это связано с поражением тройничного нерва и гассерова узла. Сыпь распространяется от уровня глаза до теменной области, резко прерывается по срединной линии лба. Иногда процесс затрагивает глаз.
![Глазная форма опоясывающего герпеса]()
Ушная форма
Поражается коленчатый узел. При этом захватывается ушная раковина, наружный слуховой проход. Может возникнуть паралич лицевого нерва и лицевой мускулатуры — т.н. синдром Ханта. Теряется вкусовая чувствительность.
![Высыпания в ухе и парез лицевого нерва]()
Гангренозная (некротическая) форма
Возникает глубокое поражение кожи. Формируются грубые рубцы, иногда с геморрагическим пропитыванием содержимого — геморрагическая форма. Чаще всего развивается у пожилых людей с отягощённым соматическим анамнезом — сахарным диабетом, язвенной болезнью и т. д.
![Гангренозный опоясывающий герпес]()
Менингоэнцефалитическая форма
Чаще наблюдается при расположении сыпи на голове. Повышается температура, возникают головные боли, тошнота и рвота, не приносящая облегчения, менингеальный синдром, нарушения сознания, кома. Летальность при этом состоянии — свыше 60 %.
Диссеминированная форма
Возникает при СПИДе. Высыпания распространяются по всему кожному покрову. Часто при этом поражаются внутренние органы — лёгкие, мозг, печень, почки. Прогноз неблагоприятный.
Ганглионевралгическая форма
Характерные высыпания отсутствуют, но есть явный болевой синдром. Диагностика крайне затруднительна. Из-за очень позднего диагноза лечение сводиться лишь к купированию боли. Применение противовирусных препаратов в отсроченный период явно не влияет на процесс.
Опоясывающий герпес при беременности
У беременных опоясывающий герпес (при отсутствии ВИЧ) обычно не имеет каких-либо отличий. Он не влияет на течение беременности и не вызывает поражения плода/ребёнка [2] [3] [6] [8] [10] .
Патогенез опоясывающего герпеса
Даже спустя много лет после перенесённой ветряной оспы вирус сохраняется в межпозвоночных нервных узлах и задних корешках спинного мозга. Под воздействием провоцирующего фактора (ВИЧ, стресса, приёма иммунодепрессантов, онкологии, радиации, пересадки органов и других) он активизируется и выходит из нервных клеток. Продвигаясь по аксонам чувствительных нервных стволов (чаще межрёберных, тройничного нерва) до кожного покрова, вызывает характерное поражение кожи — болезненную везикулёзную сыпь.
Такой процесс происходит у людей с наличием специфических антител класса G в низких концентрациях и сниженным уровнем клеточного иммунитета.
![Проникновение вируса ветряной оспы в кожу]()
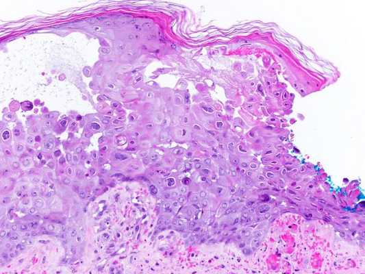
Патоморфологические изменения кожи напоминают изменения при простом герпесе:
- возникает внутриклеточный и межклеточный отёк эпидермиса;
- в верхних отделах росткового слоя образуются пузырьки;
- происходит баллонирующая дегенерация и дистрофия цитоплазмы — клетки шиповатого слоя округляются, увеличиваются и отделяются друг от друга и разрушаются;
- появляются гигантские клетки, которые содержат несколько ядер, в том числе с эозинофильными включениями.
![Строение кожи при опоясывающем герпесе]()
В патогенезе болезни ведущими являются не эпителиотропные свойства вируса, а нейротропные. Из-за часто повторяющихся болевых стимулов, частичного повреждения миелиновой оболочки, покрывающей аксоны и нейроны, и участков чувствительных нервов вирус повышает чувствительность ноцицепторов центральной нервной системы [1] [2] [5] [7] [10] .
Классификация и стадии развития опоясывающего герпеса
МКБ-10 (Международная классификация болезней) выделяет семь вариантов опоясывающего герпеса (B02):
- B02.0 — опоясывающий лишай с энцефалитом;
- B02.1 — опоясывающий лишай с менингитом;
- B02.2 — опоясывающий лишай с другими осложнениями со стороны нервной системы: постгерпетический ганглионит узла коленца лицевого нерва, полиневропатия, невралгия тройничного нерва;
- B02.3 — опоясывающий лишай с глазными осложнениями: блефарит, конъюнктивит, иридоциклит, ирит, кератит, кератоконъюнктивит, склерит;
- B02.7 — диссеминированный опоясывающий лишай;
- B02.8 — опоясывающий лишай с другими осложнениями;
- В02.9 — опоясывающий лишай без осложнений.
По клинической картине выделяют две основные формы заболевания:
- Типичная (без осложнений и с осложнениями):
- эритематозная — покраснения;
- везикулёзная — покраснение с образованием везикул (пузырьков);
- пустулёзная — покраснение, везикулы, нагноение пузырьков;
- буллёзная — тяжело протекающая форма с появлением на коже пузырей, наполненных экссудатом, впоследствии нередко нагнаивающихся.
- Атипичная (без осложнений, с осложнениями):
- абортивная — наблюдается лишь гиперемия, иногда возникают папулы, но без везикул, т. е. без пузырьков;
- геморрагическая — содержимое везикул пропитывается кровью;
- гангренозная — с некрозом тканей;
- генерализованная — обширные высыпания, поражающие несколько участков кожи;
- диссеминированная (в т. ч. у ВИЧ-инфицированных) — обширные высыпания с поражениями внутренних органов; крайне неблагоприятный прогноз;
- опоясывающий герпес с поражением органа зрения (офтальмогерпес с развитием кератита, эписклерита, иридоциклита) и неврита зрительного нерва;
- опоясывающий герпес с поражением слизистой полости рта, глотки, гортани, ушной раковины и слухового прохода.
По степени тяжести заболевание может быть:
- лёгким;
- среднетяжёлым;
- тяжёлым (с осложнениями) [1][2][10]
Осложнения опоясывающего герпеса
- Поперечный миелит — острое воспаление серого и белого вещества одного или нескольких прилегающих сегментов спинного мозга. Возникают головные, шейные и спинные боли. Затем добавляется чувство слабости, опоясывающей скованности груди и живота — двигательные параличи, задержка мочи и кала. Для диагностики проводится МРТ и анализы ликвора.
- Менингоэнцефалит — резкое повышение температуры, сильная головная боль, тошнота, рвота, менингеальный симптомы, нарушение сознания. Диагностируется с помощью МРТ и анализов ликвора. Прогноз неблагоприятный.
- Офтальмогерпес — покраснение, нарушение зрения, боль в глазу. В итоге приводит к глаукоме и слепоте.
- Отит — боли в ухе, повышение температуры тела, выделения из уха, нарушения слуха. Может привести к глухоте.
- Ганглионеврит — воспаление нервного ганглия с относящимися к нему нервными стволами. Сопровождается выраженными стреляющими, жгучими болезненными ощущениями, которые возникают из-за малейших воздействий на поражённый очаг. Возникает в основном у пожилых больных при отсутствии своевременного лечения.
- Бактериальная суперинфекция — нагноение участков высыпаний.
![Бактериальная суперинфекция]()
- Диссеминация у больных СПИДом — распространение вируса. Приводит к бронхиту, эзофагиту, гастриту, колиту, циститу, миозиту, перикардиту, плевриту, перитониту, пневмонии, гепатиту, миокардиту и артриту[1][4][9][10] .
Диагностика опоясывающего герпеса
Лабораторная диагностика:
- Клинический анализ крови: нормоцитоз (нормальные размеры эритроцитов) или лейкопения (сниженное количество лимфоцитов). При присоединении вторичной флоры возможен нейтрофильный лейкоцитоз — чрезмерно повышенный уровень нейтрофилов. СОЭ в норме или повышена.
- Биохимический анализ крови: как правило, без существенных отклонений, зависит от распространённости процесса и наличия сопутствующих заболеваний.
- ИФА-диагностика крови: выявление повышенного титра IgG антител как маркера инфицирования вирусом, нарастание титра в 4 раза, иногда появление IgM к вирусу ветряной оспы.
- ПЦР биологического материала (отделяемого высыпаний, ликвора, крови): выявление ДНК вируса.
- Экспресс-методы — изучение под микроскопом мазков-отпечатков из высыпаний: обнаруживаются гигантские многоядерные клетки — симпласты — с внутриядерными включениями и специфические антигены с моноклональными антителами. Проводится в основном в научных целях.
- Общий анализ мочи неинформативен [1][2][5][7][9][10] .
Дифференциальная диагностика:
- везикулёзный осповидный риккетсиоз — пребывание на очаговой территории, факт укусу клеща, первичный аффект, панваскулит (воспаление стенок сосуда), генерализованная лимфаденопатия;
- инфекция простого герпеса — одиночные пузырьки, чаще в области губ и половых органов, отсутствие явных болей; — контакт с больным ветряной оспой или опоясывающим герпесом, отсутствие ветряной оспы в прошлом, единичные несливающиеся везикулы по всему телу, отсутствие болей в местах высыпаний;
- энтеровирусная инфекция — теплое время года, преимущественное поражение кистей и стоп, в основном папулёзные элементы сыпи, часто в совокупности с синдромом поражение ЖКТ;
- укусы блох и клопов — яркая зудящая сыпь — папулы, гиперемия в местах укусов — первичные аффекты, наличие элементов в основном на открытых участках кожи;
- болевая форма терапевтических заболеваний до характерных высыпаний — стенокардия, инфаркт, печёночная и почечная колики — заключение делается на основании характерных изменений биохимии, УЗИ и ЭКГ;
- рожистое воспаление — отсутствие везикул, характерный вид пламени [1][3][4][10] .
Лечение опоясывающего герпеса
Пациентов с тяжёлыми формами опоясывающего герпеса необходимо госпитализировать в инфекционный стационар. Остальные больные при отсутствии серьёзных сопутствующих состояний могут лечиться на дому.
В первую очередь показан приём препаратов прямого противогерпетического действия (на основе ацикловира) в высоких дозировках. Он снижает выраженность и длительность инфекционного и постинфекционного (болевой синдром) процесса.
Начать такое лечение нужно как можно раньше — не позднее семи дней от начала болезни и трёх дней от появления сыпи.
При применении препаратов в более поздние сроки их эффективность резко снижается, так как вирус уже достиг пика своего развития и вызвал каскад иммунонейропатологических реакций.
Использование местных средств против герпеса — мазей и кремов — оказывает слабый терапевтический эффект.
Для подсушивающего, местного антисептического действия используют любой местный антисептик подобного рода — цинковые болтушки, растворы бриллиантового зелёного.
При обширных поражениях, сопровождающихся выраженной воспалительной реакцией, используются противовоспалительные средства, глюкокортикостероиды и противоаллергические препараты.
При выраженных болях (ганглионевритах) стандартные противоболевые средства (НПВС) малоэффективны, поэтому предпочтение следует отдавать антиконвульсантам центрального действия и антидепрессантам. Физиотерапия ослабляет болевые ощущения. Приём витаминов, БАДов и т. п. явного значения не имеет [1] [2] [3] [8] [10] .
Прогноз. Профилактика
При неосложнённых и локализованных формах болезни прогноз благоприятный. При развитии ганглионевритических болей может существенно снизиться качество жизни на достаточно длительный срок (до года), а при менингоэнцефалитической и диссеминированной формах — на ещё более серьёзный срок, нередки летальные исходы.
Профилактика болезни в очаге заражения не проводится. Если опоясывающим герпесом болел ВИЧ-инфицированный пациент, то достаточно проветрить помещение.
В целях неспецифической профилактики опоясывающего герпеса нужно постараться вести здоровый образ жизни, сбалансировано и полноценно питаться, избегать стрессовых ситуаций.
В качестве специфической профилактики используются вакцины против ветряной оспы — "Варилрикс" и "Окавакс". Их можно делать как до болезни ветряной оспы (детям и неболевшим взрослым), так и после (пожилым людям с риском реактивации вируса).
Лечение опоясывающего герпеса. Местная терапия опоясывающего герпеса
Лечение больного должно проводиться с учетом стадии болезни, выраженности кожных поражений и болевого синдрома, степени интоксикации, возраста и наличия сопутствующих заболеваний. Следует подчеркнуть, что часть больных с легким течением болезни не нуждается в приеме противовирусных препаратов. Можно ограничиться местным лечением, покоем, приемом болеутоляющих и других симптоматических средств, что может быть осуществлено в домашних условиях. В более тяжелых случаях с распространенными поражениями, выраженным болевым синдромом у страдающих тяжелой сопутствующей патологией (болезни крови, сахарный диабет и т.д.) лечение следует проводить в стационаре.
В настоящее время не получены эффективные этиотропные препараты, оказывающие специфическое действие на вирус герпеса, однако арсенал противовирусных средств, используемых при опоясывающем герпесе, в последние годы заметно расширился.
Дезоксирибонуклеаза (ДНК-аза) вводится внутримышечно по 25 мг или 12,5 мг 4 раза в день в течение 7-10 дней. Она применяется при герпетических кератитах (в виде 0,2% раствора) местно по 2 капли в конъюнктивальный мешок 3-4 раза в день в течение длительного времени (до 2-3 недель).
Виразол (рибовирин) назначается по 200 мг 3-4 раза в день в течение 7-10 дней. Наиболее заметный терапевтический эффект от применения ДНК-азы и Виразола наблюдается при раннем их назначении в первые 2-3 дня болезни.
![опоясывающий лишай]()
Интерферон (человеческий лейкоцитарный) рекомендуют применять для профилактики кератитов и для лечения поражений глаз вирусом опоясывающего герпеса (по 2 капли через каждые 2 ч в течение 2-3 недель). В более тяжелых случаях интерферон можно сочетать с Керецидом (иодоксиуридином). Возможны попытки местного лечения интерфероном опоясывающего герпеса на ранней стадии заболевания при появлении первых герпетических высыпаний.
Вирустат назначается в течение недели по 200-300 мг 3 раза в день до еды.Местное лечение сводится к смазыванию везикул жидкостью кастеллани, которая благодаря содержащемуся в ней резорцину обладает подсушивающим и легким прижигающим действием. В стадии перехода содержимого пузырьков из серозного в «мутное» (серозно-гной-ное или серозно-геморрагическое воспаление) применяется 1 % раствор метиленового синего, обладающего дезинфицирующим и противовоспалительным действием. В период обратного развития кожных высыпаний при образовании и отпадении корок применяются мази: 5% дерматоловая мазь, кольд-крем, солкосерил, гассиполовая мазь (в наших наблюдениях без четких преимуществ перед другими мазями). Не замечено клинической эффективности и от применения 2-3% теоброфеновой мази как для лечения кожных поражений, так и в виде 0,5-1% для лечения герпетических кератитов.
Ультрафиолетовое облучение (УФО) используется ограниченно (1-2 процедуры) строго на зону поражения при наличии гиперэкссудации и эрозий. Необходим точный подбор субэритемной дозы при проведении УФО, т.к. у пациентов с гиперестезией повышается, вероятно, и чувствительность к ультрафиолетовым лучам и возможны ожоги здоровых участков кожи. Большинству больных УФО не требуется. С целью уменьшения гиперэкссудации, отека и локальной боли показано кратковременное применение в небольших дозах дегидратационных средств (диакарб, лазикс по 20-40 мг в сутки). Назначаются антигистаминные препараты, аскорбиновая кислота, соли кальция в течение 10-12 дней.
Читайте также:
- Кровоснабжение гипертрофированных отделов сердца. Кровоснабжение сердца при врожденном пороке
- Резекция внепросветных дивертикулов двенадцатиперстной кишки. Техника резекции дивертикулов.
- Парапсориаз - PLEVA - болезнь Муха—Габермана. Диагностика и лечение
- Лучевая диагностика болезни Педжета челюсти
- Метастазы опухолей в плод и матку у беременной - клиника, лечение












