Легочная регургитация
Добавил пользователь Евгений Кузнецов Обновлено: 27.01.2026
Аннотация научной статьи по клинической медицине, автор научной работы — Нарциссова Галина Петровна, Прохорова Дарья Станиславовна, Матвеева Наталья Владимировна, Горбатых Юрий Николаевич, Синельников Юрий Семенович
Представлены данные допплер-эхокардиографического исследования у 42 пациентов в отдаленные сроки после радикальной коррекции тетрады Фалло с использованием различной хирургической техники. У 61,9% пациентов выявлена значительная легочная регургитация , которая коррелирует со сроком наблюдения, и дилатация правого желудочка, которая коррелирует с площадью струи. При комплексном подходе определены критерии тяжести легочной регургитации .
Похожие темы научных работ по клинической медицине , автор научной работы — Нарциссова Галина Петровна, Прохорова Дарья Станиславовна, Матвеева Наталья Владимировна, Горбатых Юрий Николаевич, Синельников Юрий Семенович
Состояние основных параметров гемодинамики по данным транспульмональной термодилюции у детей после радикальной коррекции тетрады Фалло
Результаты после радикальной коррекции тетрады Фалло с позиций хирургической тактики при реконструкции выходного отдела правого желудочка
Assessment of pulmonary regurgitation by Doppler-echocardiography in patients after repair of tetralogy of Fallot
Results of Doppler-echocardiography of 42 patients who underwent repair of tetralogy of Fallot by using various surgical techniques are presented. 61.9% patients had significant pulmonary regurgitation , which correlated with the duration of follow-up and their right ventricle dilatation matched the jet area. Criteria of severity of pulmonary regurgitation are defined.
Текст научной работы на тему «Оценка легочной регургитации методом допплер-эхокардиографии у пациентов после радикальной коррекции тетрады Фалло»
Г.П. Нарциссова, Д.С. Прохорова, Н.В. Матвеева, Ю.Н. Горбатых, Ю.С. Синельников, А.Ю. Омельченко
Оценка легочной регургитации методом допплер-эхокардиографии у пациентов после радикальной коррекции тетрады Фалло
им. акад. Е.Н. Мешалкина»
ул. Речкуновская, 15,
УДК 616121-007253-073.48 ВАК 14.01.26
Поступила в редакцию 27 ноября 2011 г.
© Г.П. Нарциссова, Д.С. Прохорова, Н.В. Матвеева, Ю.Н. Горбатых, Ю.С. Синельников, А.Ю. Омельченко, 2012
Представлены данные допплер-эхокардиографического исследования у 42 пациентов в отдаленные сроки после радикальной коррекции тетрады Фалло с использованием различной хирургической техники. У 61,9% пациентов выявлена значительная легочная регургитация, которая коррелирует со сроком наблюдения, и дилатация правого желудочка, которая коррелирует с площадью струи. При комплексном подходе определены критерии тяжести легочной регургитации. Ключевые слова: тетрада Фалло; легочная регургитация; допплер-эхокардиография.
Легочная регургитация (ЛР) - довольно распространенное явление в отдаленном периоде после радикальной коррекции тетрады Фалло (ТФ), выполненной в раннем детстве, расценивается как осложнение и имеет плохое прогностическое значение. Недавние исследования отдаленных результатов коррекции ТФ продемонстрировали, что ЛР приводит к прогрессивному расширению правого желудочка и, со временем, к его дисфункции, снижению толерантности к физической нагрузке, желудочковой тахикардии и другим нарушениям ритма, внезапной сердечной смерти. Поэтому выраженная легочная регургитация, особенно симптоматичная, с дисфункцией правого желудочка расценивается как показание к замене клапана легочной артерии.
После радикальной коррекции тетрады Фалло у больных часто регистрируется значительная легочная регургитация, однако характеристика ее тяжести является одной из наиболее сложных проблем эхокардиографии, в связи с чем проведено данное исследование.
МАТЕРИАЛ И МЕТОДЫ
Обследовано 42 пациента в возрасте от 2,9 до 15 лет после радикальной коррекции тетрады Фалло. Средний возраст пациентов составил 6,28±2,3 года. Среди них было 24 (57,1%) мальчиков и 18 (42,9%)
девочек. Срок наблюдения после операции составил 5,14±3,34 года (от 1,4 до 15,2 лет). Исследование проводилось на аппаратах iE 33 и Sonos 5500 (Philips), Vivid 7 Dimension (General Electric).
Из парастернальной, апикальной и субкостальной позиции по длинной оси легочной артерии проводилась оценка легочной артерии и выходного отдела правого желудочка, измерение диаметра фиброзного кольца, ствола и ветвей ЛА, выходного отдела правого желудочка (ВОПЖ).
С помощью цветного допплера визуализировалась струя регургитации, оценивались распространение, длина и ширина струи, а также количество потоков (от одного до трех). Производились измерения ширины v. contracta, длины и площади струи.
По спектру потока в режиме непре-рывноволнового допплера (CW) визуально оценивалась форма потока, плотность струи, характер окончания потока (плавное или крутое).
Для количественной оценки рассчитывался индекс легочной регургитации. Вычислялось отношение продолжительности струи регургитации к общей продолжительности диастолы в %. Определялся систолический градиент давления между ПЖ и ЛА.
Измерение ПЖ выполнялось из 4-камерной апикальной позиции, из апикальной и субкостальной позиций. Для оценки систолической функции ПЖ производилось вычисление FAC (Fractional area change) как функции изменения площади желудочка в диастолу и в систолу. Оценка диастолической функции ПЖ выполнялась методом импульсноволновой (PW) доппле-рографии по транстрикуспидальному кровотоку.
Статистическую обработку материала проводили с использованием пакета статистических программ Statistica 6. Показатели были представлены в виде M±SD. Вычислялся коэффициент корреляции Пирсона. Для сравнения величин при их нормальном распределении использовали t-критерий Стьюдента. Значение р
Значительная легочная регургитация обнаружена в разные сроки после хирургической коррекции тетрады Фалло, связанной с различными видами вмешательства на уровне выходного отдела ПЖ, фиброзного кольца, клапана, ствола ЛА. Максимальный срок наблюдения после операции составил 15,2 лет (5,14±3,34).
В табл. 1 приводятся данные о тактике хирургического вмешательства на уровне клапана легочной артерии и ВОПЖ. 7 пациентам выполнена инфунди-булэктомия, легочная комиссуротомия, 25 - инфун-дибулэктомия, пластика ВОПЖ и клапана ЛА заплатой, 10 - моностворка, трансаннулярная пластика.
Результаты обследования приведены в табл. 2. Наблюдалась дилатация правого желудочка различной степени. Систолическая функция ПЖ в целом не страдала. Лишь у 4,8% пациентов с выраженной легочной регургитацией наблюдалось снижение систолической функции (FAC 33-30%). У 15 (35,7%) пациентов выявлена диастолическая дисфункция ПЖ 1 типа. В большинстве случаев резидуальный градиент давления ПЖ/ЛА был менее 30 мм рт. ст., что свидетельствует о хорошей коррекции. Лишь у 21,4% больных градиент давления ПЖ/ЛА превышал 40 мм рт. ст. Шовный шунт на уровне заплаты обнаружен в 14,3% случаев.
Для количественной оценки степени легочной регур-гитации выделены следующие допплеровские показатели: ширина v. contracta, площадь струи регурги-тации, индекс легочной регургитации (%), плотность и форма потока, характер замедления потока.
У 30% с умеренной и выраженной регургитацией визуализировались две струи (рис. 1). При выраженной регургитации плотность струи была выше, чем при
Виды хирургической коррекции на уровне ВОПЖ и клапана легочной артерии у больных тетрадой Фалло
Хирургическая процедура n = 42
Инфундибулэктомия, легочная комиссуротомия 7 (16,7%)
Инфундибулэктомия, пластика ВОПЖ и клапана ЛА заплатой 25 (59,5%)
Моностворка, трансаннулярная пластика 10 (23,8%)
Характеристика пациентов и результаты обследования (n = 42)
Возраст, лет 6,28±2,3
Срок наблюдения после операции, лет 5,14±3,34
КДР пж, см 2,59±0,11
Диастолическая дисфункция, % пациентов 35,7
Градиент давления ПЖ/ЛА
Градиент давления ПЖ/ЛА >40 мм рт. ст. 21,4
Шунт на уровне МЖП, % пациентов 14,3
Трикуспидальная регургитация, ст. 1,3±0,35
Легочная регургитация, ст.
незначительной. Наклон струи при незначительной регургитации был плавный, при выраженной - крутой.
Соотношение между продолжительностью струи легочной регургитации и общей продолжительностью диастолы, рассчитанное по потоку CW-допплера, составило >85% в случае незначительной ЛР и
С учетом визуальной оценки потока легочной регургитации, измерения ширины v. contracta, площади струи и индекса легочной регургитации, мы разделили пациентов по степени ее тяжести (табл. 3). При таком распределении оказалось, что критериями незначительной ЛР можно считать ширину v. contracta 85%. При умеренной ЛР ширина v. contracta составила 0,8 см, площадь струи >4 см2, индекс легочной регургитации < 75-65%. Мы полагаем, что эти данные могут быть использованы в оценке тяжести легочной регургитации.
Расширение ПЖ наблюдалось у пациентов с умеренной и выраженной легочной регургитацией. Выявлена корреляция конечно-диастолического размера правого желудочка (КДР) с площадью струи ЛР (r = -0,55, p<0,05). По нашим данным, не найдено прямой зависи-
мости степени легочной регургитации от вида оперативного лечения. Выраженная легочная регургитация обнаруживалась после любого вида пластики. Однако степень ЛР коррелировала с длительностью периода наблюдения (r = -0,6, p<0,05) и чаще регистрировалась у пациентов через 4-6 и более лет после операции.
Увеличивающееся число взрослых пациентов, перенесших в детстве радикальную коррекцию тетрады Фалло, обнажает проблемы отдаленного периода. Это легочная регургитация, трикуспидальная регургитация, нарушения ритма, остаточные септальные шунты, аневризмы правого желудочка, стенозы выходного тракта или ветвей легочной артерии, расширение корня аорты, а также проблемы вынашивания беременности, инфекционного эндокардита и коронарной болезни [1, 8].
На первом месте в этом ряду стоит легочная регургитация, которая является следствием легочной вальвулото-мии или использования трансаннулярной заплаты [1].
Выраженная ЛР обычно наблюдается после вальвулото-мии. Действительно, у пациентов с изолированным клапанным легочным стенозом после хирургического или эндоваскулярного устранения преграды, может развиться серьезная ЛР, требующая замены клапана легоч-
Выраженная легочная регургитация, две струи.
Расчет индекса легочной регургитации (67%).
Таблица 3 Легочная регургитация, степень
Эхокардиографические Пфшетры "незначительная. умеренная. выраженная"
и допплеровские n = ^ n = ^ n = 10
параметры оценки КДРпжГсм. 2,14+0,29. 2,"33±0,06. 2;77±W.
степени легочной v. contracta, см 0,46+0,12 0,67+0,13* 0,98+0,23**
p^QS Площадь струи, см2 1,59+0,38 3,47+0,75 4,95+1,05*
* достоверные различия ..Ин.декслегоч.н.о.й.ре.гург.и1аци.и. %. 87Ä. 70+13. 62_',2_±J_5л2.*.
между незначительной и умеренной степенью ЛР, ** достоверные различия между умеренной и выраженной степенью легочной регургитации
ной артерии. По данным Chaturvedi et а1. (2007), 57% пациентов имели умеренную легочную регургитацию после баллонной вальвулодилатации ЛА, а после хирургической легочной вальвулотомии 9% пациентов требовалась замена легочного клапана [3]. При использовании трансаннулярной заплаты у пациентов с тетрадой Фалло может развиться клинически выраженная легочная регур-гитация [1, 7]. Умеренная и выраженная ЛР наблюдалась у 35,3% пациентов уже через 7,5 месяцев после операции [5]. У 67% взрослых пациентов после коррекции тетрады Фалло диагностирована выраженная легочная регургита-ция, дилатация правого желудочка [8]. Полученные нами результаты согласуются с литературными данными, значительная легочная регургитация была выявлена у 61,9%.
Несомненно, вид вмешательства на уровне фиброзного кольца, клапана легочной артерии, выходного отдела влияет на качество коррекции и отдаленные результаты [3, 5]. Однако нами не установлено корреляции между видом операции и тяжестью ЛР в отдаленном периоде. При любом виде коррекции в отдаленном периоде были выявлены пациенты с тяжелой и умеренной регургитацией. При этом найдена корреляция с длительностью периода наблюдения (г-0,6, р<0,05).
Состояние правого желудочка и его взаимодействие с легочным артериальным деревом и левым желудочком также остается одной из важных проблем отдаленного периода коррекции тетрады Фалло [3]. Пациенты часто остаются бессимптомными, пока не наступает расширение ПЖ и систолическая дисфункция, связанные с тяжестью ЛР, что служит показанием к протезированию легочного клапана. У пациентов после коррекции тетрады Фалло симптомы правожелудочковой недостаточности могут появиться даже в ранней стадии. Это в значительной степени связано с хирургическим повреждением клапана, фиброзного кольца, выходного отдела правого желудочка, а также отрицательными воздействиями раннего цианоза, желудочковой гипертрофии и предыдущих операций на миокардиальную функцию [2]. Дисфункция ПЖ приводит к увеличенному риску аритмии и внезапной сердечной смерти. В нашем исследовании в отдаленном периоде дилатация правого желудочка коррелировала с площадью струи ЛР (г = -0,55; р<0,05). При этом у большинства пациентов систолическая функция не страдала, диастолическая дисфункция обнаружена у 35,7%.
В последние годы увеличивается число взрослых пациентов с предшествующей вальвулотомией после коррекции тетрады Фалло, которые требуют избирательного протезирования клапана легочной артерии. Протезирование клапана легочной артерии выполняется приблизительно у 9-15% пациентов после радикальной коррекции тетрады Фалло [3, 5]. Молодым взрослым, подвергшимся протезированию клапана легочной артерии, в дальнейшем требуется замена клапана. Оптимальный выбор времени имплантации легочного клапана, поэтому, крайне
важен для того, чтобы сохранить функцию ПЖ (не слишком поздно) и избежать потребности в раннем протезировании легочного клапана (не слишком рано). Пери-операционный риск выше у пациентов с дисфункцией ПЖ во время протезирования легочного клапана [2].
Известно, что диагностика легочной регургитации является непростой задачей. Из-за трудностей визуализации легочного клапана и низкой распространенности серьезной, опасной для жизни ЛР различного генеза, ратифицированных исследований было проведено немного. «Золотым стандартом» в диагностике ЛР является МРТ. Степень ЛР и ее воздействие на функцию ПЖ может быть оценена качественно и количественно методами эхокардиографии.
Оценка выводного тракта ПЖ и легочного клапана методом ЭхоКГ возможна из парастернальной и субкостальной позиции. Также возможно оценить морфологию, движение и функцию моностворки [9]. Наконец, оценка размера и функции ПЖ является косвенным индикатором тяжести ЛР и адаптации ПЖ к перегрузке объемом. Сложная геометрия ПЖ, особенно искаженная предыдущей хирургией, может ограничить полную его оценку.
Цветное допплеровское картирование потока - наиболее широко используемый метод для идентификации ЛР, определения размера и пространственной ориентации потока. Площадь потока, особенно, индексированная к поверхности тела, хорошо коррелирует с тяжестью ЛР. Более точным методом оценки степени ЛР считается измерение ширины vena contracta струи. Некоторые исследователи использовали ширину потока ЛР также для оценки легочного гомографта, но стандарты для ширины vena contracta при ЛР не были установлены [4].
Исследование спектра потока ЛР методом CW-допплера обеспечивает качественную характеристику регургитации: чем больше плотность потока, тем больше степень ЛР. Быстрое замедление потока характерно для более выраженной регургитации, а пологий наклон - для незначительной [4].
По мнению многих авторов, хороший показатель тяжести ЛР - соотношение между продолжительностью потока ЛР, выраженной как процент от полного диастоличес-кого времени в режиме CW-допплера. В литературе встречаются разные названия этого параметра, такие как «индекс легочной регургитации» или «индекс Li» [3, 5, 6].
Определенные нами критерии тяжести ЛР по трем основным допплеровским параметрам (vena contracta, площадь струи и индекс легочной регургитации), могут быть использованы в практике врача.
Таким образом, целесообразен всесторонний подход к оценке тяжести ЛР, подобно оценке других клапанных регургитаций, что особенно актуально у пациентов, подвергшихся вальвулотомии и реконструкции
ВОПЖ при тетраде Фалло. В литературе недостаточно точных данных по количественной оценке ЛР, чтобы рекомендовать клинически утвержденный количественный подход, поэтому оценка часто является качественной, но, по нашему мнению, должна включать различные параметры, обсужденные выше. Выделенные нами количественные критерии оценки ЛР условны, но помогают оценить ее тяжесть и влияние на функцию правого желудочка, повлиять на выбор тактики лечения пациентов в отдаленном периоде после коррекции тетрады Фалло.
1. Иванов А.С., Тараян М.В., Балоян Г.М. и др. // Хирургия. Журнал им. Н.И. Пирогова. 2006. № 9. С. 11-15.
2. Bouzas B., Kilner P.J., Gatzoulis M.A. // Eur. Heart J. 2005, V. 26 (5). P. 433-439.
3. Chaturvedi R.R., Redington A.N. // Heart. 2007. V. 93 (7). P. 880-889.
4. European Association of Echocardiography recommendations for the assessment of valvular regurgitation. Part. 1: aortic and pulmonary regurgitation (native valve disease) // Eur. J. Echocardiogr. 2010. V. 11. P. 223-244.
5. Tom R. K. // Ann. Pediatr. Card. 2008. V. 1 (2). P. 93-100.
6. Li W., Davlouros P.A., Kilner P.J. et.al. // J. Am. Coll. Cardiol. 1991. V. 17. P. 461-466.
7. Milan A., Magnino C., Veglio F. // J. Am. Soc. Echocardiogr. 2010. V. 23. P. 225-239.
8. Kay Woon Ho, Ru San Tan, Keng Yean Wong et al. // Ann. Acad. Med. Singapore. 2007. V. 36. P. 947-953.
9. Zoghbi et al. // J. Am. Soc. Echocardiogr. 2003. V. 16. P. 777-780.
Нарциссова Галина Петровна - доктор медицинских наук, заведующая лабораторией функциональной и ультразвуковой диагностики ФГБУ «ННИИПК им. акад. Е.Н. Мешалкина» Минздравсоцразвития России (Новосибирск).
Прохорова Дарья Станиславовна - научный сотрудник лаборатории функциональной и ультразвуковой диагностики ФГБУ «ННИИПК им. акад. Е.Н. Мешалкина» Минздравсоцразвития России (Новосибирск).
Матвеева Наталья Владимировна - младший научный сотрудник лаборатории функциональной и ультразвуковой диагностики ФГБУ «ННИИПК им. акад. Е.Н. Мешалкина» Минздравсоцразвития России (Новосибирск).
Горбатых Юрий Николаевич - доктор медицинских наук, профессор, руководитель центра детской кардиохирургии и хирургии новорожденных ФГБУ «ННИИПК им.акад. Е.Н. Мешалкина» Минздравсоцразвития России (Новосибирск).
Синельников Юрий Семенович - доктор медицинских наук, ведущий научный сотрудник центра детской кардиохирургии и хирургии новорожденных ФГБУ «ННИИПК им. акад. Е.Н. Мешалкина» Минздравсоцразвития России (Новосибирск).
Омельченко Александр Юрьевич - кандидат медицинских наук, старший научный сотрудник центра детской кардиохирургии и хирургии новорожденных ФГБУ «ННИИПК им. акад. Е.Н. Мешалкина» Минздравсоцразвития России (Новосибирск).
Лечение недостаточности клапана лёгочной артерии у пациента после радикальной коррекции тетрады Фалло
У детей с тетрадой Фалло в отдаленном периоде после радикальной коррекции порока, особенно тех, кого оперировали в возрасте до трёх лет, может возникать недостаточность лёгочного клапана. На начальных этапах эта проблема не имеет клинических проявлений, дети растут и развиваются наравне со своими здоровыми сверстниками, хорошо переносят физические нагрузки. Тем не менее, при контрольном обследовании в ходе эхокардиографии врач может обнаружить возвратный поток крови в правый желудочек из легочных артерий (регургитацию клапана лёгочной артерии), увеличение правого желудочка в объеме и снижение его насосной функции. Эти изменения, несмотря на отсутствие клинических симптомов у пациента, могут представлять опасность для его здоровья и жизни. Если такому ребенку вовремя не выполнить протезирование клапана легочной артерии, правый желудочек будет продолжать увеличиваться в объеме, возникнет угроза внезапной остановки сердца. Отделение хирургии детей раннего возраста с ВПС специализируется на лечении этой категории пациентов, обладает самым большим в России опытом протезирования клапана легочной артерии и добилось в этом направлении хороших результатов. В качестве примера демонстрируем наш подход в лечении недостаточности клапана легочной артерии у пациента после радикальной коррекции тетрады Фалло.
Обследование в поликлинике НЦССХ имени Бакулева
Пациент М. в возрасте 3,5 лет поступил на ежегодное плановое обследование в НКО Центра имени Бакулева спустя 2,5 года после радикальной коррекции тетрады Фалло. Жалоб у пациента нет, со слов родителей ребенок хорошо переносит физические нагрузки наравне со своими здоровыми сверстниками. Для оценки степени сердечной недостаточности пациент тестирован по шкале Ross. Было установлено, что его функциональное состояние соответствовало первому классу (из четырёх), т.е. признаки нарушения кровообращения отсутствовали. Тем не менее, при аускультации сердца над легочной артерией был отчётливо выслушан диастолический шум, связанный с регургитацией.
По данным ЭКГ были выявлены изменения, подтверждающие нарушение функции правого желудочка, обусловленные данной регургитацией. Электрический импульс по нему проходил более длительное время вследствие его гипертрофии и увеличения объёма, что выражалось в удлинении комплекса QRS до 125 мс (норма до 80 мс; риск внезапной смерти >180мс). При выполнении эхокардиографии наличие регургитации на клапане лёгочной артерии было подтверждено. Обратный поток крови из легочных артерий в момент расслабления правого желудочка имел умеренную вторую степень (Рис. 1 и 2).

Рис. 1 — ЭКГ до операции

Рис. 2 — ЭхоКГ до операции
Трёхстворчатый клапан функционировал у пациента удовлетворительно. Полученные данные клинико-инструментального обследования позволили поставить диагноз: состояние после радикальной коррекции тетрады Фалло, недостаточность клапана легочной артерии второй степени, с которым он был госпитализирован в отделение.
Предоперационный этап
На следующий день после госпитализации пациенту в условиях наркоза выполнена магниторезонансная томография (МРТ) с применением внутривенного введения контрастного вещества. Пациентам с недостаточностью лёгочного клапана данное исследование проводится в обязательном порядке по специальному протоколу. Оно позволяет получить точные данные касательно величины регургитации, объёма правого желудочка и его сократительной способности. На основании результатов исследования принимается окончательное решение о необходимости операции протезирования клапана лёгочной артерии. Также в ходе МРТ хирург получает детальную информацию об анатомии сердца пациента, что значительно облегчает ему работу при повторном хирургическом доступе.
По данным МРТ у пациента выявлен один обязательный и два дополнительных критерия (таблица 1), достаточных для положительного решения вопроса о необходимости операции.
Недостаточность клапана легочной артерии
Недостаточность клапана легочной артерии – легочная регургитация (ЛР) – несостоятельность пульмонального клапана, при которой в диастолу возникает кровоток из легочной артерии в правый желудочек. Наиболее частая причина – легочная гипертензия. ЛР обычно протекает бессимптомно. Признак – убывающий диастолический шум. Диагноз устанавливают с помощью эхокардиографии. Как правило, специфичное лечение не требуется, за исключением устранения легочной гипертензии.
Наиболее распространенной причиной недостаточности клапана легочной артерии безоговорочно есть
Менее распространенные причины:
Врожденный порок клапана сердца
Идиопатическая дилатация легочной артерии
Хирургическое устранение тетрады Фалло Тетрада Фалло Тетрада Фалло имеет 4 признака: большой дефект межжелудочковой перегородки, обструкцию выходящих из правого желудочка сосудов и стеноз клапана легочной артерии, гипертрофия правого желудочка. Прочитайте дополнительные сведенияК редким причинам относятся:
Последующее вмешательство при клапанном стенозе легочной артерии (раннее или позднее)
Тяжелая легочная регургитация встречается редко и чаще всего является следствием изолированного врожденного дефекта, включающего расширение легочной артерии и кольца легочного клапана.
ЛР может приводить к дилатации правого желудочка (ПЖ) и в конечном счете к правожелудочковой сердечной недостаточности, но в большинстве случаев значение легочной гипертензии в развитии этого осложнения намного более значимо. В редких случаях развивается острая сердечная недостаточность, вызванная дисфункцией ПЖ, когда эндокардит обуславливает острую ЛР.
Симптомы и признаки легочной регургитации
Легочная регургитация обычно протекает бессимптомно. У некоторых больных появляются симптомы и признаки СН, обусловленной дисфункцией ПЖ КлассификацияОбъективные признаки обусловлены легочной гипертензией Легочная гипертензия Легочная гипертензия – это повышение давления в малом круге кровообращения. В большинстве случаев она является вторичной, в некоторых случаях – идиопатической. При легочной гипертензии происходит. Прочитайте дополнительные сведения и гипертрофией ПЖ. К ним относятся: пальпируемый P2 II сердечного тона (S2) у верхнего края грудины слева и выраженную пульсацию ПЖ, которая определяется у левого края грудины в средней и нижней части.
Аускультация
Высокий ранний диастолический шум, имеющий характер decrescendo
При аускультации I сердечный тон (S1) нормальный. S2 тон может быть расщеплен или нет. Если он расщеплен, P2 может быть громким, слышимым сразу после аортального компонента S2(A2) вследствие легочной гипертензии, или P2 может быть отсрочен из-за увеличенного ударного объема ПЖ. S2 может быть единичным по причине быстрого закрытия клапана легочной артерии или, редко, с объединением A2-P2, по причине врожденного отсутствия легочного клапана. В правом желудочке 3-й тон сердца (S3), 4-й тон сердца (S4) или оба могут быть слышны при вызванной дисфункцией ПЖ сердечной недостаточности или гипертрофии правого желудочка; эти тоны можно отличить от тонов сердца левого желудочка, так как они прослушиваются в левом парастернальном 4-м межреберье и становятся громче при вдохе.
Шум легочной регургитации вследствие легочной артериальной гипертензии – высокочастотный, протодиастолический убывающий шум, который начинается с P2, заканчивается до S1 и проводится к середине правого края грудины (шум Грехема Стилла). Лучше всего он слышен у левого верхнего края грудины через стетоскоп с диафрагмой, когда больной задерживает дыхание в конце выдоха и сидит прямо.
Шум ЛР без легочной гипертензии короче, низкочастотный (более грубый) и начинается после P2. Оба шума могут напоминать шум аортальной регургитации, но их можно различить при вдохе (который усиливает шум ЛР) и при пробе Вальсальвы. В последнем случае шум ЛР сразу же становится громким (из-за немедленного увеличения венозного притока к правым отделам сердца), а шум аортальной регургитации усиливается через 4–5 сердечных сокращений. Кроме того, мягкий шум ЛР может иногда становиться еще более мягким на вдохе, поскольку этот шум обычно лучше всего слышен во втором межреберном промежутке слева, где вдох отодвигает стетоскоп от сердца. При некоторых формах врожденной сердечной недостаточности шум при тяжелой ЛР довольно короткий, поскольку градиент давления между легочной артерией и правым желудочком быстро выравнивается во время диастолы.
Диагностика регургитации на клапане легочной артерии
Легочную регургитацию обычно обнаруживают случайно во время физикального обследования или при допплер- эхокардиографии Эхокардиография На данном фото изображен пациент, которому выполняется эхокардиография. На этом изображении показаны все 4 камеры сердца, а также трикупсидальный и митральный клапаны. Эхокардиография использует. Прочитайте дополнительные сведенияЛегочная регургитация

Регургитация на клапане легочной артерии представляет собой утечку крови в обратном направлении через легочной клапан при расслаблении правого желудочка во время каждого сердечного цикла.
Легочная регургитация обычно не вызывает симптомов.
Врачи ставят диагноз по результатам медицинского осмотра и используют эхокардиографию для подтверждения диагноза.
Проводится лечение заболевания, обусловливающего это состояние.
Клапан легочной артерии находится в отверстии между правым желудочком и кровеносными сосудами, несущими кровь в легкие (легочные артерии). Легочный клапан открывается при сокращении правого желудочка и выталкивании крови в легкие. Если легочный клапан полностью не смыкается, часть крови из легочных артерий попадает назад в правый желудочек — так называемая регургитация.
Наиболее распространенной причиной легочной регургитации является:
Высокое давление обусловливает высокую нагрузку на клапан, что приводит к утечке крови через него.
Гораздо менее распространенные причины
Врожденные пороки клапана
Инфекция клапана ( инфекционный эндокардит Инфекционный эндокардит Инфекционный эндокардит представляет собой инфекционное поражение оболочки сердца (эндокарда) и, как правило, также сердечных клапанов. Инфекционный эндокардит возникает, когда бактерии попадают. Прочитайте дополнительные сведенияРасширение легочной артерии
Хирургическое вмешательство для пластики порока сердца
Легочная регургитация обычно не вызывает никаких симптомов. Иногда у пациентов отекают лодыжки, или появляется утомляемость.
Диагностика легочной регургитации
Часто легочную регургитацию обнаруживают во время обследования, выполняемого по другому поводу. С помощью стетоскопа врачи могут услышать характерный шум от движения крови, просачивающейся назад через клапан легочной артерии.
С помощью эхокардиографии Эхокардиография и другие процедуры с использованием ультразвука В ходе ультразвукового исследования используют высокочастотные (УЗИ) волны. Отраженные от внутренних структур волны регистрируются с получением движущегося изображения. Рентгеновские лучи в. Прочитайте дополнительные сведенияЛечение легочной регургитации
Лечение основного заболевания
Проводят лечение заболевания, вызвавшего легочную регургитацию. Лечение может включать прием препаратов, таких как силденафил или босентан, снижающих легочную гипертензию. В очень редких случаях требуется замена клапана легочной артерии.
Дополнительная информация
Ниже приведен ресурс на английском языке, который может быть полезным. Обратите внимание, что составители СПРАВОЧНИКА не несут ответственности за содержание этого ресурса.
Американская кардиологическая ассоциация (American Heart Association): Заболевания сердечных клапанов: предоставляет исчерпывающую информацию о диагностике и лечении заболеваний сердечных клапанов
ПРИМЕЧАНИЕ: Это — пользовательская версия ВРАЧИ: Нажмите здесь, чтобы перейти к профессиональной версии
Авторское право © 2022 Merck & Co., Inc., Rahway, NJ, США и ее аффилированные лица. Все права сохранены.
Легочная регургитация (недостаточность)
ЛР характеризуется неплотным смыканием створок КЛА, ведущим к патологической регургитации крови во время диастолы из ЛА в ПЖ и его перегрузке объемом [22].
Классификация и этиология ЛР. Выделяют первичную и вторичную, врожденную и приобретенную ЛР.
Врожденная первичная ЛР может быть изолированной (отсутствие створок, уменьшение/увеличение количества створок КЛА, деформация, фенестрация) и ассоциированной с тетрадой Фалло, ДЖМП, клапанным стенозом КЛА. Поскольку увеличивается количество больных с ВПС, которые доживают до взрослого возраста, растет число молодых пациентов с остаточной ЛР после хирургической коррекции тетрады Фалло или транскате- трного вмешательства при стенозе КЛА. ЛР может быть при пролапсе КЛА на фоне ДСТ.
Врожденная вторичная ЛР может развиваться при ДМЖП в связи с объемной перегрузкой правых отделов и ЛГ.
Приобретенная ЛР может быть первичной и вторичной. Первичная приобретенная ЛР связана с патологией створок КЛА. Ее развитие возможно при ИЭКТ, СКВ, ревматизме, после вальву- лотомии, травмы, при карциноидном синдроме. Вторичная приобретенная ЛР связана с дилатацией ФККЛА на фоне легочной гипертензии и дилатации легочной артерии (табл. 16). Клиническая картина при ЛР. Длительное время при изолированной ЛР клинических проявлений может не быть. Впоследствии может развиваться гипертрофия и дилатация ПЖ с клиникой ПЖСН. При ЛР, обусловленной ИЭКТ, часто развивается ТЭЛА. У большинства пациентов со вторичной ЛР на первый план выходят клинические проявления основного заболевания. Может быть усиленная пульсация во II межреберье слева от грудины.
Аускультативная картина/ФКГ. При ЛР выслушивается диастолический убывающий (типа decrescendo) во II—IV межреберье слева от грудины, усиливающийся на вдохе. Шум при приобретенной неклапанной ЛР по автору называют шумом Грехема—Стилла (Graham—Steell). Это шум относительной недостаточности КЛА, который выслушивается при легочной гипертензии любой этиологии (рис. 35).
- - Врожденная изолированная ЛР
- - Врожденная, ассоциированная с тетрадой Фалло
- - Инфекционный эндокардит
- - Ревматизм
- - Пролапс КЛА
- - СКВ
- - Карциноидный синдром
- - Вальвулотомия, травма
- - Вторичная легочная гипертензия (ТЭЛА, обструктивная, рестриктивная патология легких легочные васкулиты)
- - Первичная легочная гипертензия

Рис. 35. Шум Грехема—Стилла (Graham—Steell) — шум относительной недостаточности КЛА.
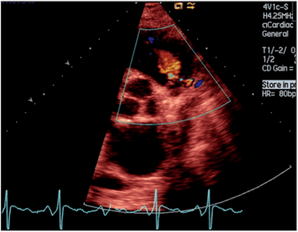
ЭхоКГ при ЛР. ЛР диагностируют с помощью ЭхоКГ (рис. 36). Оценка степени тяжести проводится так же, как при АР.
Ведение пациентов с ЛР. За исключением случаев сочетания с тетрадой Фалло и подобными обструкциями выходного отдела ПЖ и карциноидной болезни сердца, изолированная ЛР редко бывает настолько тяжелой, чтобы требовать специфической терапии. Лечение ИЭКТ или основной патологии, приводящей к развитию вторичной ЛР, в большинстве случаев уменьшает ЛР. Время вмешательства определяют в соответствии с

Рис. 36. ЛР, ЭхоКГ: одновременная регистрация В-ре- жима и ЦДК, парастерналь- ная позиция по короткой оси ЛЖ. Поток ЛР в диастолу визуализируется красным цветом.

Рис. 37. Митральный стеноз, вид на предсердную поверхность митрального клапана (наблюдение врача Е.А. Степановой, ГБУЗ ГКБ им. В.М. Буянова ДЗМ).
выраженностью дилатации ПЖ и систолической дисфункции. При проведении протезирования КЛА предпочтительно исполь- зователь легочный аллографт. В последние годы при ЛР все шире проводятся транскатетерные вмешательства.
Читайте также:
