Лучевая диагностика цветущей костной дисплазии челюсти
Добавил пользователь Евгений Кузнецов Обновлено: 10.01.2026
Под термином «дисплазия костной ткани» подразумевается патологическое замещение кости фиброзной тканью с включением кальцификатов. Дефект носит преимущественно врожденный характер. Реже встречается развитие аномалии у взрослых или в постнатальный период.
Общая характеристика
Дисплазия челюсти – замещение кости челюсти соединительной тканью, содержащей элементы цементноподобных кальцификатов. Фиброзная масса состоит из клеток, отвечающих за синтез коллагена, эластина и иных компонентов.
Пораженные челюстные кости теряют нормальную структуру, прочность, изменяется состав и морфология. Патологический процесс приводит к возникновению факторов:
- Изменения формы кости.
- Асимметрии лица.
- Переломов.
- Деструкции окружающих областей.
- Появления воспалительного процесса, болезненности и других клинических признаков.
В большинстве случаев заболевание отличается бессимптомным течением.
Первый случай патологии был описан Реклингаузеном – патологоанатомом из Германии в 1891 году.
Среди врачей отсутствует единое мнение насчет классификации, стадий и видов указанной аномалии. В статье описаны общепризнанные формулировки и характеристики.
Локализация очагов и распространенность заболевания обусловлены его видом. Женщины более подвержены указанной аномалии в сравнении с мужчинами. Средняя частота заболеваемости – 1-6 %.
Ключевая причина возникновения - генные мутации ненаследственного характера, которые нарушают нормальный процесс формирования кости.
Классификация
Врачи выделяют три вида дисплазии челюсти. Подробнее о каждом рассказывается ниже.
Фиброзная
Аномалия при которой происходит замена костной массы на соединительную, состоящую из фибробластов и коллагена. Допускается содержание костных и остеоидных элементов.
По объему поражения дисплазия бывает:
- монооссальная или однокостная (МФД);
- полиоссальная или многокостная (ПФД).
Происходит увеличение и деформация альвеолярного отростка. Появляется подвижность зубных элементов. Отсутствует увеличение лимфоузлов, изменение кожи или слизистых.
Верхняя челюсть более подвержена заболеванию. Деструктивный процесс охватывает гайморову пазуху. Возникает нарушение дыхания, сужение глазной щели.
Заболевание характерно для детей в возрасте от 3 до 15 лет. Выраженность клинических симптомов обусловлена распространенностью и локализацией пораженных участков. Из-за выбухания кости возникает деформация, не вызывающая боли. Пораженный участок отличается хрупкостью и склонностью к переломам.
Клинические проявления: болезненность, нарушение дыхательной функции.
Заболевание отличается доброкачественным течением. Менее чем в 1% случаев происходит малигнизация.
Цементно-костная
Распространенная форма болезни. Нормальная ткань замещается коллагеном, кальцификатами и фибробластами. Локализация: зубные сегменты челюстей.
- Фокальная (очаговая). Отличается одиночностью поражения. Очаг, размером до 1,5 см возникает в любой области челюстей. Бессимптомное течение.
- Периапикальная. Дефект располагается в переднем отделе НЧ. Возникают множественные или единичные очаги. Сохраняется кровообращение и иннервация единиц. Размер очагов – до 1 см.
- Цветущая. Отличается обнажением во рту желтой, аваскулярной кости. Множественные очаги симметричной формы. Расположение: нижняя челюсть. Происходит деструкция всех сегментов ряда. Возможно бессимптомное течение или появление болезненности. Характерно появление свищей на альвеолярных отростках.
Для всех форм ЦКД характерен идентичный результат гистологии.
Оссифицирующая фиброма
Нераспространенная аномалия. Относится к истинным опухолям. Внешний облик на рентгенограмме идентичен фиброзной патологии.

Клинические проявления
Симптомы болезни обусловлены ее формой, стадией, расположением.
ЦКД отличается бессимптомным течением. Дефект выявляется случайным образом при проведении рентген диагностики по другому поводу. Реже появляются симптомы:
- Болезненность в пораженной области.
- Хронический остеомиелит.
- Свищи на альвеолярном отростке, обнажение аваскулярной ткани.
- Отмирание патологических областей ткани.
При фиброзном типе дефекта клинические проявления ярко выражены:
- Деформация лица.
- Повреждение зубных элементов, глазного яблока.
- Нарушение носовых проходов.
- Головные боли.
- Повреждение косточек среднего уха, зрительного и черепно-мозгового нерва.
- Утрата слуха и зрения.
- Переломы патологически измененных челюстей.
Редко встречается малигнизация.
Диагностика
Выявить болезнь способен опытный и дантист. Применяются следующие виды диагностики:
- Клинический осмотр пациента. Оценка симметричности лица. Изучение анамнеза и жалоб.
- Рентгенография.
- КТ, МРТ.
- Пункция с гистологией.
Лабораторные исследования не информативны.
Лечебный процесс
Хирургическое лечение с иссечением патологических тканей проводится при наличии ярко-выраженных симптомов. При бессимптомном течении болезни выбирается выжидательная тактика с регулярными осмотрами врача. Требуется соблюдение гигиены полости рта, соблюдение мероприятий по предотвращению утраты зубов. Воспалительный процесс купируется антибиотикотерапией.
Прогноз
Лечение стоматологической болезни отличается благоприятным прогнозом. Результат лечебных мероприятий зависит от своевременности обращения к врачу, локализации очага, степени поражения и грамотной диагностики.
Лучевая диагностика цветущей костной дисплазии челюсти
а) Терминология:
1. Аббревиатура:
• Цветущая костная дисплазия (ЦКД)
2. Синонимы:
• Цветущая цементо-костная дисплазия, цветущая оссифициру-ющая дисплазия, гигантоформная цементома, множественные семейные цементомы, множественный периапикальный остео-фиброматоз, семейная гигантоклеточная цементома, склеротические объемные образования цемента
3. Определения:
• Распространенная форма периапикальной костной дисплазии (ПКД) с поражением трех и больше квадрантов или диффузным поражением одной челюсти:
о «Цветущая» означает вовлечение нескольких квадрантов
• Неопухолевый процесс в челюстях, ограниченный областями, несущими зубы
• Замещение нормальной трабекулярной кости плотной бесклеточной цементной и костной тканью с фиброзной стромой
б) Визуализация:
1. Общая характеристика:
• Лучший диагностический критерий:
о Множественные, часто симметричные поражения челюстей
о Наиболее типичное проявление: плотные склеротические образования шаровидной формы
• Локализация:
о Обычно двухсторонняя, симметричная
о Поражение участков обеих челюстей, несущих зубы
- Над нижнечелюстным каналом в нижней челюсти: Не обнаруживается в ветви
- Вторичные простые костные кисты могут доходить до нижней кортикальной пластинки нижней челюсти
о Центр очага находится в области вершин корней зуба
о Возможно поражение любого зуба, но обычно страдают моляры или премоляры
о При поражении одной челюсти преимущественно вовлекается нижняя
о Возможно пересечение средней линии
• Размер:
о >1 см в поперечнике
• Морфология:
о Хорошо отграниченное, часто экспансивное поражение
2. Рекомендации по визуализации:
• Лучший метод визуализации:
о Панорамная рентгенография
о КТ в костном окне или КЛКТ для оценки распространенности поражения, вторичной инфекции, простых костных кист
о КТ или КЛКТ лучше всего подходят для оценки вздутия, т.к. оно может быть выражено минимально

(Слева) На панорамной рентгенограмме определяется зрелая ЦКД, приводящая к вздутию задней стенки верхней челюсти слева. Патологический очаг распространяется также в верхнечелюстную пазуху, приподнимая ее дно.
(Справа) На аксиальной КТ в коаном окне у этого же пациента определяется двухстороннее поражение с вздутием задних наружных краев верхне-челюстных пазух. Рентгеноконтрааные очаги зрелой ЦКД частично заполняют верхнечелюстные пазухи, приводя к снижению их пневматизации. Обратите внимание на относительную симметричность поражений.
3. Рентгенография при цветущей костной дисплазии:
• Рентгенрографические признаки:
о Картина напоминает ПКД на разных стадиях созревания:
- Плотные рентгеноконтрастные шаровидные образования в сочетании с хуже отграниченными смешанными затемнениями/просветлениями
о Склеротические края:
- Зрелые поражения могут быть плохо отграниченными
- Широкое периферическое просветление: вторичная инфекция
о Твердая пластинка вокруг пораженных корней может отсутствовать
о Нижнечелюстной канал смещен книзу
о Легкое или выраженное вздутие:
- Увеличивающееся, хорошо отграниченное просветление позволяет предположить вторичную простую костную кисту
о Дно верхнечелюстной пазухи не поражено или приподнято, но интактно
4. КТ при цветущей костной дисплазии:
• КЛКТ:
о Большие экспансивные образования различной рентгеновской плотности:
- Плотные участки связаны с вершинами корней
о Возможен гиперцементоз корней:
- Цемент патологического очага может сливаться с участками гиперцементоза

(Слева) На панорамной рентгенограмме в задних отделах нижней челюсти справа определяется большое просветление с фестончатыми краями, отграниченное кортикальной пластинкой, приводящее к вздутию нижнего края нижней челюсти и альвеолярного гребня в области третьего моляра. Аналогичное просветление меньшего размера определяется у вершин корней премоляров. Эти поражения представляют собой проаые коаные киаы, сформировавшиеся в областях ЦКД.
(Справа) На корональной КТ в костном окне с обеих сторон нижней челюсти у этого же пациента определяются экспансивные простые костные кисты.
в) Дифференциальная диагностика цветущей костной дисплазии:
1. Периапикальная цементная дисплазия:
• ПКД-локальная форма ЦКД
• Очаги ПКД меньше (• Обычно располагаются в передних отделах нижней челюсти и связаны с жизнеспособными резцами
• Демографические данные аналогичны ЦКД:
о Женщины > мужчины
о 30-50 лет
о Чаще страдают люди с черной кожей и азиаты
2. Болезнь Педжета:
• Системное заболевание костей:
о Поражение всех костей, особенно черепа
о Диффузное поражение нижней или верхней челюсти; при ЦКД вовлекаются только области, несущие зубы
• Изменения на рентгенограммах обычно описываются как «хлопковая вата»
• Просветления вокруг рентгеноконтрастных участков отсутствуют
• Чаще встречается у мужчин с белой кожей 40-60 лет
• Повышение сывороточного уровня щелочной фосфатазы
3. Остеомиелит:
• Воспаление костного мозга
• Отличительный признак - секвестрация:
о Включения цемента при ЦКД могут напоминать секвестры
о Просветление вокруг инфицированных очагов ЦКД шире
• Остеомиелит обычно выглядит как диффузное затемнение с нечеткими контурами
• Обычно поражается лишь один сегмент челюсти; ЦКД: несколько квадрантов
• При вторичном инфицировании ЦКД могут обнаруживаться признаки ЦКД и остеомиелита
• Частые симптомы: фебрильная лихорадка, лимфаденопатия, свищевые ходы
4. Фиброзная дисплазия:
• Неопухолевое состояние, связанное с формированием диспластической кости в фиброзной соединительной ткани
• Страдают молодые женщины
• Одностороннее вздутие:
о ЦКД: двухстороннее поражение у пациентов старшего возраста
• При фиброзной дисплазии структура патологических включений зернистая, на рентгенограммах часто описывается как «матовое стекло»; края сливаются с окружающей костью
5. Синдром Гарднера:
• Сочетается с другими изменениями скелета, опухолями кожи, патологией зубов

(Слева) Обратите внимание на ПКД с включениями цемента с обеих сторон. Крупное просветление с иаонченной и приподнятой кортикальной пластинкой справа обусловлено вторичной костной кистой. Широкие просветления с истонченными и приподнятыми кортикальными пластинками слева - другие простые костные кисты.
(Справа) На периапикальной рентгенограмме в передних отделах нижней челюаи определяется зрелая ЦКД. Округлые затемнения окружены тонкими линейными просветлениями, что позволяет отличить ЦКД от болезни Педжета.
г) Патология:
1. Общая характеристика:
• Этиология:
о Неизвестна
• Генетика:
о Некоторые случаи-семейные
о Возможно аутосомно-доминантное наследование
о Спорадические случаи, не связанные с наследственностью, обусловлены спонтанными мутациями
• Сопутствующие нарушения:
о Простые костные кисты
2. Стадирование, классификация цветущей костной дисплазии:
• Классификация ЦКД и ПКД не определена:
о ПКД и ЦКД могут представлять собой единое заболевание
о Диагноз ЦКД устанавливается при поражении трех и более квадрантов или распространенном поражении одной челюсти
• Гигантоформная цементома-семейная форма ЦКД:
о Аутосомно-доминатный тип; пациенты младше, чем при ЦКД
о Массивное мультифокальное поражение всех четырех квадрантов челюстей
• Ранняя стадия:
о Хорошо отграниченные просветления в области вершин корней нескольких зубов
• Промежуточная стадия:
о Появление в просветлениях рентгеноконтрастных участков
о Округлой, овальной или неправильной формы
о Рентгеноконтрастные участки могут быть хорошо отграничены и напоминать жемчужины или полумесяц
• Поздняя стадия:
о Однородная рентгеноконтрастная внутренняя структура с ровными контурами
• В различных зубах или квадрантах могут обнаруживаться поражения на разных стадиях формирования
3. Микроскопия:
• Включения бесклеточного цементоподобного материала различной формы и размера, трабекулы неправильной формы в фиброзной строме (в зависимости от стадии созревания)
• Относительно слабая васкуляризация
• ЦКД и ПКД нельзя дифференцировать на основании микроскопических признаков; важны клинические и радиографические данные
д) Клинические особенности:
1. Проявления:
• Типичные признаки/симптомы:
о Обычно бессимптомная случайная находка (за исключением вторичной инфекции)
о Иногда в случае экспансивного поражения обнаруживается отек или деформация лица
о Зубы жизнеспособны
• Другие признаки/симптомы:
о Иногда болезненность, даже в отсутствие вторичных поражений
о Вторичная инфекция: боль, отек, секвестрация, свищевой ход, изъязвление слизистой оболочки
о Вторичная простая костная киста может приводить к появлению болевой симптоматики
2. Демография:
• Возраст:
о Наиболее часто 30-50 лет; средний возраст: 42 года
• Пол:
о Чаще страда ют женщины
• Этническая принадлежность:
о Преимущественно люди с черной кожей и азиаты
3. Течение и прогноз:
• Увеличение и уплотнение патологических очагов в соответствии со стадией созревания:
о Зрелые очаги относительно аваскулярны и подвержены риску вторичной инфекции
• В одном (и более) пораженных участках может сформироваться простая костная киста
• Часто присоединяется вторичная инфекция, особенно при поражении и изъязвлении слизистой оболочки из-за давления протеза, при заболеваниях периодонта или зубов
4. Лечение:
• Не требуется; рекомендуется рентгенологическое наблюдение с целью мониторинга распространенности поражения и простых костных кист
• Лечение необходимо при вторичной инфекции или формировании простой костной кисты
о Включения цемента действуют как секвестры и должны удаляться, если находятся в зоне вторичной инфекции
• Избегайте биопсии или удаления зуба
д) Диагностическая памятка:
1. Следует учесть:
• Зубы жизнеспособны (за исключением других поражений)
• Биопсия не рекомендуется из-за риска вторичной инфекции
• Диагноз устанавливается на основании рентгеновской картины, демографических данных пациента, результатов пробы на жизнеспособность зуба
2. Советы по интерпретации изображений:
• Множественное диффузное поражение областей, несущих зубы
1. Аббревиатура:
• Фиброзная дисплазия (ФД)
2. Синонимы:
• Фиброзный остеит, фиброзная остеодистрофия, фиброзная остеома, фиброзная остеодисплазия
3. Определения:
• Доброкачественное фиброзно-костное поражение
• Замещение нормальной губчатой кости клеточной фиброзной тканью с очагами незрелой перепончатой ретикулофиброзной кости
1. Общая характеристика:
• Лучший диагностический критерий:
о Экспансивный очаг с матриксом в виде «матового стекла» у молодого пациента
о Смещение нижнечелюстного канала кверху—патогно-моничный признак ФД
• Локализация:
о Верхняя > нижняя челюсть:
- Обычно одностороннее поражение преимущественно задних отделов
о Любая кость, в т.ч. свод и основание черепа, лицевой скелет
о Редко наблюдается поражение ВНЧС (мыщелка)
о Из околоносовых пазух чаще всего поражается клиновидная
• Размер:
о Варьирует от маленького неэкспансивного поражения, не различимого клинически, до тяжелой деформации лица
• Морфология:
о Вздутие кости с сохранением ее формы в целом о Нечеткие края, постепенно переходящие в окружающую нормальную кость
о Поражения костей за пределами челюсти или очаги у молодых пациентов могут быть лучше отграничены
2. Рекомендации по визуализации:
• Лучший метод визуализации:
о Интраоральная или панорамная рентгенография -информативные методы оценки картины костной ткани и распространенности поражения челюстей
о КТ в костном окне или КЛКТ для определения сопутствующего внутричерепного поражения, с целью мониторинга прогрессирования, реактивации, злокачественной трансформации
о МРТ для оценки сдавления органов нервной системы, выявления кистозной дегенерации или аневризматической костной кисты
о МРТ как дополнение к КТ при подозрении на вторичную злокачественную опухоль
(Слева) На кадрированной панорамной рентгенограмме определяется ФД нижней челюсти справа. Смещение кверху нижнечелюстного канала - патогномоничный признак. Нижний край нижней челюсти вздут, кортикальные пластинки изменены в соответствии с картиной поражения костной ткани. Формирующийся третий моляр смещен кзади.
(Справа) На аксиальной КТ в костном окне определяется картина «матового стекла», характерная для ФД, с вздутием альвеолярного отроака верхней челюсти слева. Щечная и язычная кортикальные пластинки неразличимы. Патологический очаг не пересекает среднюю линию. (Слева) На корональной КЛКТ определяется полиостотическая ФД нижней и верхней челюсти, клиновидной кости, скуловой кости справа. Зернистая картина поражения костной ткани сочетается с «матовым стеклом». Пораженные кости увеличены, но их форма в целом сохранена.
(Справа) На корональной КТ в костном окне определяется ФД, окружающая левую верхнечелюстную пазуху, приводящая к уменьшению ее объема и элевации дна носовой ямки слева. Поражение также распространяется кверху и приводит к смещению кверху дна глазницы. (Слева) На панорамной рентгенограмме определяется ФД в виде «апельсиновой кожуры» между корнями премоляров нижней челюсти слева. Очаг имеет четкие края и смещает корни зубов в стороны.
(Справа) На КЛКТ у этого же пациента определяется истончение и вздутие щечной кортикальной пластинки. Обратите внимание на изменение твердой пластинки и верхней кортикальной пластинки нижнечелюстного канала в соответавии с картиной поражения кости. Канал не смещен и не сдавлен.
3. Рентгенография при фиброзной дисплазии челюсти:
• Интраоральная рентгенография:
о Плотность и картина трабекул варьируют в зависимости от зрелости поражения и количества диспластической костной ткани:
- Ранние поражения могут быть более рентгенонегативными, чем созревшие
- Очаг может быть рентгенонегативным, рентгеноконтрастным, смешанным
о Возможна зернистая (матовое стекло), напоминающая апельсиновую кожуру, вихревая (отпечаток пальца), дымчатая (хлопковая вата) или плотная аморфная картина поражения костной ткани
о Пространства периодонтальной связки могут выглядеть узкими
о Твердая пластинка изменяется в соответствии с картиной поражения кости
о Зубы смещены или импактны:
- Возможен гиперцементоз зубов
- Резорбция корня нетипична
- Возможно сочетание с гипоплазией эмали, дисплазией дентина, тауродонтизмом
• Экстраоральная рентгенография:
о Вздутие с истончением кортикальных пластинок или изменение их в соответствии с картиной поражения костной ткани
о В зрелых очагах ФД может сформироваться простая костная киста: одно (и больше) просветление в сочетании с вздутием
4. КТ при фиброзной дисплазии челюсти:
• КТ в костном окне:
о Экспансивное поражение губчатой кости различной плотности:
- Смешанная картина: просветления и затемнения (или матовое стекло)
о Картины поражений на КТ могут перекрываться/сочетаться:
- В зависимости от преобладающей ткани (костной/фиброзной)
о Возможно утолщение кортикальных пластинок костей черепа при их вовлечении
о Стенки пораженных околоносовых пазух утолщаются, однако пазухи в целом сохраняют свою форму
5. МРТ при фиброзной дисплазии челюсти:
• Т1 ВИ:
о Экспансивное поражение с сигналом низкой-промежуточной интенсивности в костном и/или фиброзном компоненте
• Т2 ВИ:
о Экспансивное поражение с гипоинтенсивным сигналом из-за многочисленных костных трабекул
о Иногда (в ранней фазе резорбции костной ткани) сигнал высокой интенсивности
о В активной фазе часто наблюдается неоднородный сигнал:
- «Пятнистые» гиперинтенсивные включения в очагах, выглядящих рентгенонегативными на КТ в костном окне
• Т1 ВИ С+:
о Наиболее интенсивно контрастируются участки, выглядящие гиперинтенсивными на Т2 и рентгенонегативными на КТ в костном окне
• Интенсивность сигнала и размеры контрастирующихся участков на Т1-Т2 ВИ зависят от количества/степени выраженности фиброзной ткани, костных трабекул, целлюлярности, геморрагического компонента
(Слева) На трехмерной КЛКТ (вид спереди) у женщины 49 лет с синдромом МакКьюна-Олбрайта определяется увеличение и деформация нижней челюсти и большинства костей лицевого скелета. Обратите внимание на относительную сохранность левой скуловой кости и передних отделов верхней челюсти с наличием крупного дефекта в передних отделах нижней челюсти с измененной картиной костной ткани.
(Справа) На сагиттальной реформатированной КЛКТ (по средней линии) у этой же пациентки определяется измененная картина костной ткани нижней челюсти резорбция корня резца нижней челюсти, вздутие ската с наличием неизмененной кости в верхней челюсти по средней линии. (Слева) На трехмерной реформатированной КЛКТ (вид справа) у этой же пациентки определяется увеличение нижней челюсти и скуловой кости с сохранением правого мыщелка. Обратите внимание, что увеличенная нижняя челюсть в целом сохраняет свою форму.
(Справа) На трехмерной реформатированной КЛКТ (вид сбоку слева) у этой же пациентки в нижней челюсти определяется крупный дефект с волнистыми контурами, обусловленный простой костной кистой. Двухстороннее вздутие и диффузное поражение костей типично для синдрома МакКьюна-Олбрайта. (Слева) На панорамной реформатированной КЛКТ у этой же пациентки определяется смешанная (зернистая, рентгенонегативная, аморфная) картина поражения костной ткани вздутой нижней челюсти. Рентгенонегативные участки представляют собой простые костные кисты. Мыщелок не изменен.
(Справа) На панорамной реформатированной КЛКТ у этой же пациентки определяется поражение нижней и верхней челюсти с зернистой картиной костной ткани левого мыщелка и его шейки. Задние отделы нижней челюсти заняты простой костной кистой.
в) Дифференциальная диагностика фиброзной дисплазии челюсти:
1. Болезнь Педжета:
• Диффузное двухстороннее поражение костной ткани; ФД обычно односторонняя
• Характерна для старшей (по сравнению с ФД) возрастной группы
2. Остеомиелит:
• Может приводить к увеличению челюстей, формированию костной ткани из периоста со скоплением ее по наружному краю; кортикальная пластинка может оставаться различимой:
о ФД возникает в трабекулярной кости, приводит к истончению или деформации кортикальной пластинки в соответствии с картиной поражения костной ткани
• Для остеомиелита характерна секвестрация
3. Остеосаркома:
• Картина поражения костной ткани аналогична ФД, имеются другие признаки злокачественности
• Остеосаркома может проявляться типичной периостальной реакцией
4. Оссифицирующая фиброма:
• Опухолеподобное концентрическое вздутие, моностотиче-ское поражение
• Четкие края, часто с рентгенонегативным «ободком»
1. Общая характеристика:
• Генетика:
о Спорадическая мутация гена GNAS:
- Ген находится в хромосоме 20q13
• Сопутствующие нарушения:
о ± эндокринные заболевания, пятна «кофе с молоком»
2. Стадирование, классификация фиброзной дисплазии челюсти:
• Моностотический тип (80%):
о С преимущественным поражением челюстей
• Одно- или двухсторонний полиостотический тип:
о Поражение черепа, лицевого скелета, таза, позвоночника, плечевого сустава
о При поражении верхней челюсти часто вовлекаются смежные кости (скуловая, клиновидная)
• Краниофациальная ФД поражение клиновидной, скуловой, лобной кости, костей носа, основания черепа
• Синдром МакКьюна-Олбрайта = полиостотическая ФД с пигментацией кожи (пятна «кофе с молоком») и эндокринными нарушениями (преждевременное половое созревание)
• Синдром Мазабрауда = ФД с миксомами в мягких тканях
3. Макроскопические и хирургические особенности:
• Желто-коричневое-белое, плотное (как резина), зернистое образование
4. Микроскопия:
• Укороченные, беспорядочно ориентированные трабекулы неправильной формы («китайские иероглифы») ретикулофиброзной костной ткани в фиброзной соединительнотканной строме
• Количество и распределение костной ткани в очагах, целлюлярность и васкуляризация стромы варьируют
(Слева) На аксиальной трехмерной реформатированной КЛКТ у этой же пациентки определяется асимметричное увеличение нижней челюсти. Простая костная киста образует крупный дефект слева. Обратите внимание на увеличение правой скуловой дуги в сравнении с противоположной стороной.
(Справа) На аксиальной реформатированной КЛКТ у этой же пациентки определяются простые костные кисты с фестончатыми краями с обеих сторон. Кортикальная пластинка замещена зернистой костной тканью. (Слева) На сагиттальной реформатированной КЛКТ у этой же пациентки определяется поражение венечною отростка и суставного бугорка справа на фоне сохранного мыщелка. Остеофит на передней поверхности мыщелка обусловлен артрозом.
(Справа) На корональной реформатированной КЛКТ у этой же пациентки определяется диффузная зернистость и увеличение костей основания черепа с поражением верхнечелюстных пазух с обеих сторон и уменьшением их объема. Слизистая оболочка задней стенки левой верхнечелюстной пазухи утолщена. (Слева) На сагиттальной реформатированной КЛКТ у этой же пациентки определяется замещение большей части объема пазухи диспластической костной тканью и мягкоткаными включениями, что может быть следствием нарушения оттока от пазухи.
(Справа) На реформатированной КЛКТ у этой же пациентки определяется неоднородная картина «матового пекла» в области клыков верхней челюсти. Обратите внимание на отсутствие твердой пластинки и сужение пропранств периодонтальной связки.
1. Проявления:
• Типичные признаки/симптомы:
о Часто случайная находка или бессимптомный отек лица
о Симптомы зависят от локализации очагов ФД:
- Краниофациальная ФД: увеличение/асимметрия лица
- ФД челюстей: увеличение альвеолярного отростка, смещение зуба
• Другие признаки/симптомы:
о При распространенном поражении - воздействие на отверстия, пропускающие нервы, с возникновением неврологического дефицита
о Нетипичная боль в лице, головная боль; симптомы, напоминающие синусит; иногда слепота при сдавлении зрительного нерва
2. Демография:
• Возраст:
о ФД может обнаруживаться в любом возрасте, но наиболее часто до 30 лет
о Полиостотическая форма типична для детей (средний возраст: 8 лет):
- Более тяжелое поражение скелета, черепа, лицевого скелета
о Моностотический тип часто выявляется в 20-30 лет, т.к. обычно протекает бессимптомно
• Пол:
о М = Ж
о Синдром МакКьюна-Олбрайта: Ж>М
• Эпидемиология:
о Моностотический тип (75%)
3. Течение и прогноз:
• После завершения роста тела прекращается и рост очагов ФД:
о Очаги ФД могут продолжать расти, особенно при полиосготическом типе
о Рецидив/реактивация (18%)
о Рост очагов может быть спровоцирован беременностью, использованием оральных контрацептивов, хирургическим вмешательством у пациентов младшего возраста
• Злокачественная трансформация наблюдается редко (<1%): ± лучевая терапия в анамнезе:
о Злокачественная трансформация чаще наблюдается при ФД полиостотического типа, редко в области черепа и лицевого скелета
• Возможно формирование вторичной простой костной кисты, центральной гигантоклеточной гранулемы, аневризматической костной кисты
4. Лечение:
• Мониторинг-консервативное лечение-радикальная резекция
• Устранение косметических нарушений и восстановление функции
• Иногда используются бисфосфонаты
• Лучевая терапия противопоказана: риск злокачественной трансформации
е) Диагностическая памятка:
1. Следует учесть:
• Плохо отграниченное экспансивное поражение >1 кости: полиостотическая ФД
2. Советы по интерпретации изображений:
• Вздутие кости за счет губчатого компонента, истончение кортикальных пластинок
• Оцените воздействие на отверстия, пропускающие нервы и кровеносные сосуды
3. Заключение:
• При поражении обеих челюстей на рентгенограммах необходима КТ в костном окне или КЛКТ для обнаружения очагов поражения вне челюстей
ж) Список использованной литературы:
1. Atalar МН et al: СТ and MR imaging in a large series of patients with craniofacial fibrous dysplasia. Pol J Radiol. 80:232-40, 2015
2. Wu H et al: Clinical characteristics of craniomaxillofacial fibrous dysplasia. J CraniomaxillofacSurg. 42(7):1450-5, 2014
3. Akintoye SO et al: Dental perspectives in fibrous dysplasia and McCune- Albright syndrome. Oral Surg Oral Med Oral Pathol Oral Radiol. 116(3):e 149-55, 2013
4. Cheng J et al: Spontaneous malignant transformation in craniomaxillofacial fibrous dysplasia. J CraniofacSurg. 24(1): 141-5, 2013
5. Hanifi В et al: Craniofacial fibrous dysplasia. Clin Imaging. 37(6): 1109-15, 2013
6. Menon S et al: Craniofacial fibrous dysplasia: surgery and literature review. Ann Maxillofac Surg. 3(1):66-71, 2013
7. Nadaf A et al: Monostostic fibrous dysplasia with nonspecific cystic degeneration: Acase report and review of literature. J Oral Maxillofac Pathol. 17(2):274-80, 2013
8. Sontakke SA et al: Computed tomographic features of fibrous dysplasia of maxillofacial region. Imaging Sci Dent. 41(1):23-8, 2011
Триголос Н.Н. 1 Македонова Ю.А. 1 Фирсова И.В. 1 Старикова И.В. 1 Питерская Н.В. 1 Марымова Е.Б. 1 Поройская А.В. 1
1 ГБОУ ВПО «Волгоградский государственный медицинский университет» Министерства здравоохранения Российской Федерации
Цементно-костные дисплазии являются, вероятно, наиболее обычными фибро-костными поражениями, встречающимися в клинической практике. Патогенез данного заболевания остается неизвестным, хотя, возможно, это реактивный или диспластический процесс. Цементно-костная дисплазия представляет собой феномен, при котором нормальная костная ткань замещается тканью, состоящей из фибробластов, коллагена и содержит различные количества костных или цементоподобных кальцификатов. Из-за того что поражения располагаются над и вокруг апексов корней зубов, на рентгенограмме некоторые виды цементно-костных дисплазий часто путают с эндодонтическими поражениями. Врач стоматолог-терапевт должен представлять клинические проявления этих поражений и иметь достаточно знаний, чтобы установить надлежащий диагноз, избегая неправильной тактики ведения больных, которая может нанести вред здоровью пациента.
1. Eversole R., Su L., ElMofty S. Benign fibro-osseous lesions of the craniofacial complex – a review // Head and Neck Pathol. - 2008. – Р. 2. – S. 177-202.
2. Galgano C., Samson J., Kuffer R., Lombardi T. Focal cemento-osseous dysplasia involving a mandibular lateral incisor // Int Endod J. – 2003. – P. 36 (12). – S. 907-911.
4. Komabayashi T., Zhu Q. Cemento-osseous dysplasia in an elderly Asian male: a case report // J Oral Sci. – 2011. – P. 53 (1). – S. 117-120.
5. Neville B.W., Damm D.D., Allen C.M., Bouquot J.E. Oral & Maxillofacial Pathology (2th Ed). ). – Saunders, 2002. - P. 843.
Сведения о цементно-костной дисплазии в литературе разрозненны, немногочисленны, противоречивы, несмотря на то что данная патология встречается все чаще и чаще. Клиницисты в области стоматологии часто вместо цементно-костной дисплазии диагностируют одну из форм деструктивного периодонтита, начиная при этом эндодонтическое лечение зубов, корневые каналы которых вовлечены в патологический процесс.
Цементно-костная дисплазия относится к фиброзно-костным поражениям челюстей. Фиброзно-костные поражения челюстей представляют собой феномен, при котором нормальная костная ткань замещается тканью, состоящей из фибробластов и коллагена, которая содержит различные количества костных или цементоподобных кальцификатов. На рентгенограмме они выглядят в соответствии с размерами и относительного количества фиброзной и костной ткани. Так как на рентгенологических снимках фиброзно-костные поражения челюстей часто располагаются рядом и вокруг верхушек корней зубов, некоторые типы фиброостеозных поражений часто путают с эндодонтической патологией. Название «фиброостеозные поражения» не специфический диагноз, а только описание процесса. Фиброостеозные поражения челюстей включают эволюционные поражения, реактивные, диспластические процессы и неоплазмы. Наиболее часто встречаются следующие:
1) фиброзная дисплазия;
2) цементно-костная дисплазия:
3) оссифицирующая фиброма.
Цементно-костная дисплазия располагается в участках челюстей, где находятся зубы, и является наиболее частой формой фиброзно-костных поражений челюстей, встречающейся в клинической практике. Так как эти поражения находятся близко к периодонтальной связке и выявляют похожие гистопатологические структуры, некоторые исследователи считают, что эти поражения происходят из периодонтальной связки [4]. Другие авторы полагают, что цементно-фиброзная дисплазия – это дефект экстралигаментарной кости, ремоделирование которой могут спровоцировать локальные факторы и, возможно, гормональный дисбаланс [1]. Различают три вида цементно-костной дисплазии: фокальная, периапикальная и цветущая. Хотя фокальная дисплазия имеет отличия от двух других форм, возможно, она представляет вариант того же самого патологического процесса. Следует отметить, что цементно-костная дисплазия не относится к опухолям [2].
Фокальная (очаговая) цементно-костная дисплазия наблюдается как одиночное поражение. Концепция этого поражения была неясна до середины 90-х годов ХХ века. До этого времени во многих случаях ставился ошибочный диагноз «оссифицирующая фиброма». Оссифицирующая фиброма на рентгенограмме выглядит как очаговая цементно-костная дисплазия, но гистологически относится к истинным опухолям и обладает значительной способностью к прогрессирующему росту. Оссифицирующая фиброма относительно редкое заболевание.
Эпидемиология фокальной цементно-костной дисплазии отличается от двух других цементно-костных дисплазий. Около 90% всех случаев очаговой цементно-костной дисплазии наблюдается у женщин, средний возраст которых составляет 38 лет, преимущественно в 30-60 лет. Болеют в основном люди европеоидной расы в отличие от периапикальной и цветущей цементно-костной дисплазий [5].
Очаговая цементно-костная дисплазия может встречаться в любом участке челюстей, но чаще поражаются задние отделы нижней челюсти. Заболевание обычно протекает бессимптомно и выявляется только на рентгенограмме. Большинство поражений менее 1,5 см в диаметре.
Рентгенологически поражение варьирует от полностью рентгенопрозрачного (участок просветления) до плотного рентгеноконтрастного с тонким периферическим рентгенопрозрачным ободком (краем). Но наиболее часто выявляется смешение участков затемнения и просветления.
Поражение имеет тенденцию к отграничению, но границы могут быть неровные. Фокальная цементно-костная дисплазия наблюдается как в зонах с зубами, так и в беззубых участках, часто поражение возникает в участках с удаленными зубами. Иногда поражение может представлять раннюю стадию в переходе в множественное поражение, это чаще наблюдается у женщин негроидной расы [5].
Периапикальная цементно-костная дисплазия (костная дисплазия, цементная дисплазия, цементома). Перирадикулярная цементная дисплазия также обозначается как перирадикулярный остеофиброз, или более обычно цементома. Периапикальная цементно-костная дисплазия преимущественно поражает передние отделы нижней челюсти. Могут встречаться одиночные поражения, но чаще наблюдаются множественные очаги. Преимущественно этим заболеванием страдают женщины (в соотношении 10:1, 14:1), преимущественно негроидной расы. Первоначально диагноз ставится в возрасте 30-50 лет, почти никогда эта форма дисплазии не встречается до 20 лет. Зубы, ассоциируемые с поражениями, неизменно витальны и редко имеют реставрации. Частота поражения, по данным разных авторов, от 1 до 5,9% [3; 5].
Перирадикулярная цементная дисплазия имеет интересную эволюцию. Происходит прогрессирующая резорбция нормальной альвеолярной кости с замещением ее фиброзной тканью, и процесс заканчивается переходом в плотную атипичную реоссификацию. Начальная (остеолитическая) стадия гистологически характеризуется пролиферацией фибробластов и коллагеновых волокон в апикальной области периодонтальной связки. Возникающая в результате этого масса вызывает резорбцию мозгового вещества кости, окружающего апекс, и заканчивается образованием очагов деструкции костной ткани, очень похожих на периапикальный очаг пульпарного происхождения. В этой стадии часто возможны ошибки, и поэтому необходимо проводить ЭОД каждого зуба с «периапикальными очагами».
Периапикальная цементно-костная дисплазия является бессимптомным поражением и выявляется на рентгенограмме случайно. Ранние поражения - это округлой формы очаги просветления (деструкции) костной ткани, вовлеченные в апикальную зону зубов. В этой стадии поражения рентгенологически невозможно отличить от периапикальной гранулемы или радикулярной кисты (остеолитическая стадия).
В отличие от верхушечного периодонтита и радикулярной кисты, перирадикулярная цементная дисплазия носит не воспалительный характер. Очаги не препятствуют кровообращению и иннервации зуба. Со временем цементобласты дифференцируются в пределах мягких тканей и появляются центральные очаги кальцификации (промежуточная стадия).
Это отложение твердой ткани может продолжаться годы, до тех пор, пока почти вся фиброзная ткань не реоссифицируется. Когда это случится, эволюция достигает третьей финальной стадии (зрелой стадии). Со временем на серии рентгенограмм выявляется «созревание» поражений: смесь очагов просветления и радиоплотности.
В конечной зрелой стадии поражение выглядит как ограниченной плотности кальцификация, окруженная узким радиопрозрачным ободком. Однако периодонтальная связка интактна. Отдельные поражения не превышают 1.0 см в диаметре, не распространяются на кортикальную пластинку, прогрессивный рост бывает редко.
Проблема дифференциального диагноза возникает еще в начальной стадии перирадикулярной цементной дисплазии. Клинически поражение всегда асимптоматично, и зубы витальны. Если внимательно посмотреть: на рентгенограмме обычно видна сквозь очаги деструкции костной ткани интактная компактная пластика альвеолы вокруг апексов.
Хирургическое лечение не проводится, рекомендуют динамическое наблюдение. Прогноз - благоприятный.
Цветущая цементно-костная дисплазия проявляется множественными очагами, не ограниченными передними отделами нижней челюсти. Хотя во многих случаях множественные очаги обнаруживаются в задних отделах челюстей, у многих пациентов синхронно поражаются передние отделы нижней челюсти.
Подобно периапикальной цементно-костной дисплазии, эта форма преимущественно встречается у женщин среднего и пожилого возраста негроидной расы (более 90% случаев) [5].
Поражения имеют заметную тенденцию к билатеральности и довольно симметричные. Нередко встречаются обширные поражения во всех четырех задних квадратах обеих челюстей. Заболевание может быть бессимптомным и случайно обнаруживается только на рентгенограмме. В других случаях пациент может жаловаться на тупую боль, возможно наличие свища на альвеолярной кости, обнажение желтой, аваскулярной кости в полости рта (рис. 1).

Рис. 1. Цветущая цементно-костная дисплазия. Желтый бессосудистый цементоподобный материал начинает отторгаться слоями через слизистую оболочку полости рта
На рентгенограмме поражения выглядят типично как стадии созревания первых двух форм цементно-костной дисплазии. Первоначально поражение рентгенопрозрачное, затем смешанное, потом рентгеноплотное с тонким ободком просветления. Иногда поражения бывают тотально плотные без ободка просветления и сливаются с подлежащей нормальной костной тканью. Могут поражаться как беззубые участки челюсти, так и участки челюсти с зубами.
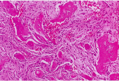
Патологическая анатомия цементно-костной дисплазии. Все три формы цементно-костной дисплазии выглядят одинаково при гистологическом исследовании и состоят из фрагментов мезенхимальной ткани, фибробластов и коллагеновых волокон с многочисленными небольшими кровеносными сосудами; типичны кровоизлияния, проходящие через всё поражение. Между соединительной тканью располагаются костные трабекулы и цементоподобные частицы (рис. 2).

Рис. 2. Гистология цементно-костной дисплазии, начальное увеличение х400
Пропорции каждого минерализованного материала варьируют от поражения к поражению, от зоны к зоне, по мере созревания делаются более склеротическими, соотношение соединительной ткани к минерализованному материалу уменьшается. В финальной радиоплотной стадии костные трабекулы сливаются в дольчатые массы, состоящие из полос или слившихся относительно бесклеточных глобул и дезорганизованного цементно-костного материала.
Лечение и прогноз цементно-костной дисплазии. Три формы цементно-костной дисплазии не проявляют опухолевого роста, поэтому не требуют удаления. Однако эти заболевания являются причиной значительных клинических проблем для пациентов. При наличии значительного склероза цементно-костная дисплазия из-за гиповаскуляризации имеет склонность к некрозу при малейшей провокации. При бессимптомном лечении наилучшая тактика состоит в наблюдении и повторных осмотрах для профилактики и улучшения качества гигиены полости рта, контроле периапикальных поражений и предотвращении потери зубов.
Так как возникновение симптомов обычно ассоциируется с обнажением склеротических масс в полость рта, биопсии или избирательного удаления зубов следует избегать. В других случаях симптом обнажения склерозированных масс в полость рта является результатом атрофии альвеолярного отростка под протезом. Пациента следует убедить сохранить эти зубы для предотвращения развития симптомов позже.
Тактика лечения больных с клиническими симптомами более трудна. В этой стадии присутствует воспалительный компонент заболевания, процесс является по существу хроническим остеомиелитом, в который вовлечены диспластические кость и цемент. Могут быть показаны антибиотики, но часто они неэффективны. Секвестрация склеротических цементоподобных масс происходит медленно и заканчивается выздоровлением. Формирование блюдцеобразного углубления омертвевшей кости может ускорить выздоровление. Хотя могут возникать из очаговой и цветущей цементно-фиброзной дисплазии отдельные случаи злокачественной фиброзной гистиоцитомы, такая неопластическая трансформация уникальна. Прогноз цементно-костной дисплазии хороший. Поскольку зубы витальны, эндодонтическое лечение не показано.
Заключение
Особенно следует подчеркнуть важность в понимании клиницистом данного процесса и его индивидуального течения. Для постановки окончательного диагноза необходимо учитывать клинические, рентгенологические данные в строгой совокупности с результатами гистологического исследования. В то же время целая патология должна быть качественно классифицирована и сегментирована для облегчения постановки диагноза и назначения подходящего, строго специфичного лечения.
Рецензенты:
Михальченко Д.В., д.м.н., доцент, заведующий кафедрой пропедевтики стоматологических заболеваний ГБОУ ВПО «Волгоградский государственный медицинский университет» Министерства здравоохранения Российской Федерации, г. Волгоград;
Михальченко В.Ф., д.м.н., профессор кафедры терапевтической стоматологии, ГБОУ ВПО «Волгоградский государственный медицинский университет» Министерства здравоохранения Российской Федерации, г. Волгоград.
Фиброзная дисплазия ( Болезнь Лихтенштейна , Болезнь Лихтенштейна-Брайцова , Болезнь Лихтенштейна-Яффе )
Фиброзная дисплазия – это поражение кости, при котором участок нормальной костной ткани замещается соединительной тканью с включением костных трабекул. Относится к категории опухолеподобных заболеваний, может быть локальной или распространенной, поражать одну или несколько костей. Проявляется болями, деформацией, укорочением или удлинением сегмента и патологическими переломами. Диагноз выставляется на основании рентгенографии, МРТ, КТ и других исследований. Лечение обычно хирургическое – резекция пораженного участка кости с замещением дефекта.
МКБ-10
Общие сведения
Фиброзная дисплазия (болезнь Лихтенштейна, болезнь Лихтенштейна-Яффе или болезнь Лихтенштейна-Брайцова) – системное поражение скелета. Симптомы обычно выявляются еще в детстве, но возможно и позднее начало. В литературе описаны случаи, когда монооссальная фиброзная дисплазия впервые диагностировалась у людей пенсионного возраста. Женщины болеют чаще мужчин. Возможно перерождение в доброкачественную опухоль; озлокачествление наблюдается редко.
Заболевание впервые было описано в первой половине 20 века. В 1927 году российский хирург Брайцов сделал доклад о клинических, микроскопических и рентгенологических признаках очагового фиброзного перерождения кости. В 1937 году Олбрайт описал многоочаговую фиброзную дисплазию, сочетающуюся с эндокринными нарушениями и характерными изменениями кожи. В том же году Альбрехтом была описана многоочаговая дисплазия в сочетании с преждевременным половым созреванием и нечеткой кожной пигментацией. Чуть позже Яффе и Лихтенштейн исследовали одноочаговые поражения и опубликовали выводы о причинах их возникновения.
Причины
Фиброзная дисплазия относится к категории опухолеподобных заболеваний, но не является истинной опухолью костей. Возникает вследствие неправильного развития остеогенной мезенхимы (ткани, из которой в последующем образуется кость). Причины развития не ясны, не исключена генетическая предрасположенность.
В травматологии и ортопедии выделяют две основные формы фиброзной дисплазии: монооссальную (с поражением одной кости) и полиоссальную (с поражением нескольких костей, обычно расположенных на одной стороне тела). Полиоссальная форма развивается в детском возрасте и может сочетаться с эндокринными нарушениями и меланозом кожи (синдром Олбрайта). Монооссальная форма может манифестировать в любом возрасте, эндокринопатий и пигментации кожи у пациентов не наблюдается. Российские специалисты используют клиническую классификацию Зацепина, включающую следующие формы заболевания:
- Внутрикостная форма. Может быть монооссальной или полиоссальной. В кости образуются единичные или множественные очаги фиброзной ткани, в ряде случаев наблюдается перерождение кости на всем протяжении, однако структура коркового слоя сохранена, поэтому деформации отсутствуют.
- Тотальное поражение кости. Страдают все элементы, включая кортикальный слой и область костномозгового канала. Из-за тотального поражения постепенно формируются деформации, часто возникают усталостные переломы. Обычно наблюдается полиоссальное поражение длинных трубчатых костей.
- Опухолевая форма. Сопровождается разрастанием очагов фиброзной ткани, которые иногда достигают значительных размеров. Выявляется редко.
- Синдром Олбрайта. Проявляется полиоссальным или практически генерализованным поражением костей в сочетании с эндокринными расстройствами, преждевременным половым созреванием у девочек, нарушением пропорций тела, очаговой пигментацией кожи, тяжелыми деформациями конечностей и костей туловища. Сопровождается прогрессирующими нарушениями со стороны различных органов и систем.
- Фиброзно-хрящевая дисплазия. Появляется преимущественным перерождением хряща, нередко наблюдается трансформация в хондросаркому.
- Обызвествляющая фиброма. Особая форма фиброзной дисплазии, встречается очень редко, обычно поражает большеберцовую кость.
Симптомы фиброзной дисплазии
Выраженные врожденные деформации обычно отсутствуют. При полиоссальной форме первые симптомы появляются в детстве. Поражение костей сопровождается эндокринопатиями, пигментацией кожи и нарушением деятельности сердечно-сосудистой системы. Проявления болезни достаточно разнообразны, наиболее постоянными признаками являются незначительные боли (обычно в бедрах) и прогрессирующие деформации. Иногда болезнь диагностируется только при возникновении патологического перелома.
Обычно при полиоссальной форме наблюдается поражение трубчатых костей: большеберцовой, бедренной, малоберцовой, плечевой, лучевой и локтевой. Из плоских костей чаще страдают кости таза, кости черепа, позвоночник, ребра и лопатка. Нередко выявляется поражение костей кистей и стоп, при этом кости запястья остаются интактными. Степень деформации зависит от локализации очагов фиброзной дисплазии. При возникновении процесса в трубчатых костях верхних конечностей обычно наблюдается только их булавовидное расширение. При поражении фаланг пальцы укорачиваются, выглядят «обрубленными».
Кости нижних конечностей искривляются под тяжестью тела, возникают характерные деформации. Особенно резко деформируется бедренная кость, в половине случаев выявляется ее укорочение. Из-за прогрессирующего искривления проксимальных отделов кость приобретает форму бумеранга (пастушьего посоха, хоккейной клюшки), большой вертел «сдвигается» вверх, иногда достигая уровня тазовых костей. Шейка бедра деформируется, возникает хромота. Укорочение бедра может составлять от 1 до 10 см.
При формировании очага в малоберцовой кости деформация конечности отсутствует, при поражении большеберцовой кости может наблюдаться саблевидное искривление голени или замедление роста кости в длину. Укорочение обычно менее выражено, чем при очаге в бедренной кости. Фиброзная дисплазия подвздошной и седалищной костей вызывает деформацию тазового кольца. Это, в свою очередь, негативно влияет на позвоночник, провоцируя нарушения осанки, сколиоз или кифоз. Ситуация усугубляется, если процесс одновременно поражает бедро и кости таза, поскольку в подобных случаях ось тела еще больше нарушается, а нагрузка на позвоночник – увеличивается.
Монооссальная форма протекает более благоприятно, внекостные патологические проявления отсутствуют. Выраженность и характер деформаций сильно варьируют в зависимости от локализации, размера очага и особенностей поражения (тотальное или внутрикостное). Могут наблюдаться боли, хромота и повышенная утомляемость после нагрузки пораженного сегмента. Как и при полиоссальной форме, возможны патологические переломы.
Диагностика
Диагноз выставляется ортопедом-травматологом на основании клинической картины и данных рентгенологического исследования. На начальном этапе на рентгеновских снимках в области диафиза или метафиза пораженной кости выявляются зоны, по виду напоминающие матовое стекло. Затем пораженный участок приобретает характерный крапчатый вид: очаги уплотнения чередуются с участками просветления. Хорошо видна деформация.
При обнаружении одиночного очага необходимо исключить множественное поражение костей, которое на начальных стадиях может протекать бессимптомно, поэтому больных направляют на денситометрию. При наличии подозрительных участков выполняют рентгенографию, при необходимости используют КТ кости.
Следует учитывать, что фиброзная дисплазия, особенно монооссальная, может представлять значительные трудности в процессе диагностики. При нерезко выраженной клинической симптоматике нередко требуется длительное динамическое наблюдение. Для исключения других заболеваний и оценки состояния различных органов и систем могут потребоваться консультации фтизиатра, онколога и терапевта. В отдельных случаях показан осмотр кардиолога, эндокринолога или иных специалистов.
Лечение фиброзной дисплазии
Лечение преимущественно хирургическое – полная сегментарная резекция пораженного участка кости в пределах здоровых тканей и замещение дефекта костным трансплантатом. При патологическом переломе накладывают аппарат Илизарова. При множественных поражениях проводят профилактические мероприятия, направленные на предотвращение деформаций и патологических переломов.
Прогноз и профилактика
Прогноз для жизни благоприятный. В отсутствие лечения, особенно при полиоссальной форме, могут возникать грубые калечащие деформации. Иногда очаги дисплазии перерождаются в доброкачественные опухоли (гигантоклеточную опухоль или неоссифицирующую фиброму). У взрослых описано несколько случаев злокачественного перерождения в остеогенную саркому. Специфическая профилактика отсутствует из-за неясной этиологии заболевания.
2. Фиброзная дисплазия. Клинические рекомендации / Общероссийская общественная организация Ассоциация травматологов-ортопедов России (АТОР) - 2016
Читайте также:
- Обезболивание родов. Методы обезболивания родов. Немедикаментозный метод обезболивания родов.
- Симптомы ретенционной кисты гортани и ее лечение
- Закон Пуазейля. Диаметр артериол и их сопротивление
- Врожденный сифилис и сифилис внутренних органов. Дерматомикозы
- Измерение церебрального метаболизма. Методы
