Лучевая диагностика фарфорового желчного пузыря
Добавил пользователь Владимир З. Обновлено: 08.11.2025
Если глубоко «копнуть» проблему диагностики заболеваний желчного пузыря, то можно понять - вопросом её совершенствования занимались серьёзные люди, ибо в терминологии, описывающей патологию этого органа, фигурируют и «жемчужное ожерелье» и «фарфоровый» пузырь.
Покажет ли УЗИ холецистит?
Люди знали толк в ценных вещах и отождествляли их с не менее ценным органом – резервуаром желчи, которой можно воспользоваться экстренно, а можно и копить «про запас». Орган, с одной стороны, маленький, а с другой – очень ответственный. В идеале он должен работать как амортизатор. Много жидкости – расширился, мало – сократился. Соответственно, и стенки должны быть очень эластичными, подвижными. А если стенка утолщается, то мы уже в заключении пишем – хронический холецистит. Чаще – если пациент пришёл на УЗИ брюшной полости, однако и при проведении КТ и МРТ могут написать это же.
Как правильно диагностировать холецистит?
На самом деле – надо все же изучать резервуарную (накопительную) и эвакуаторную функцию (способность к сокращению и выбросу порции желчи при пищевой нагрузке). Поэтому не следует «разбрасываться» этим диагнозом, а уж если очень «хочется» его поставить, то нужно выполнить контрастное усиление – в отсроченную фазу соединительная ткань накопит контрастное вещество и стенка будет контрастироваться равномерно по всему периметру.
Признаки холецистита на УЗИ, КТ и МРТ
Равномерность толщины стенки – важнейший признак, на котором базируется почти вся диагностика заболеваний желчного пузыря. Вторым признаком является изменение структуры желчи и отражение этих изменений во время ультразвуковой диагностики, компьютерной и магнитно-резонансной томографии.
Часто при УЗИ говорят о «песке» (но кому приятно, что в нем есть песок?). Более гуманно звучит таинственный иностранный термин - «сладж». Такое себе нарушение структуры раствора, когда есть и жидкие фракции и более плотные, и даже микрокристаллы (тот самый «песочек»). Это уже предвестник. Если он стабилен и часто виден – это верный путь к камнеобразованию.
Чем грозят камни в желчном пузыре?
Мелкие камни мало воздействуют на стенку пузыря, но под давлением могут проскакивать в пузырный проток (вызывая окклюзию шейки), если их диаметр побольше – тогда видим симптоматику синдрома Мириззи, а если уж совсем мелкие камушки – то летят они в общий желчный проток. Если он проходим для камня такого диаметра, то могут проскочить или ущемиться в ампуле фатерова соска, а если побольше – то и перекрыть общий желчный проток. А в результате – или окклюзия желчных протоков и механическая желтуха, а если пониже блок и вовлечен главный панкреатический проток – то это может стать пусковым фактором для развития острого панкреатита на фоне внезапно развившегося окклюзионного синдрома.
Уточнить диагноз помогут УЗИ, КТ и МРТ
Во всех случаях помогут УЗИ-диагностика, компьютерная томография и МРТ – расширенный проток и его обрыв на определённом уровне будут видны. А вот причина (то есть, сам камень) видна не всегда – при УЗИ плотный камень даст акустическую дорожку, на КТ - будет виден, если он кальций-билирубиновый, ну, а при МРТ мы можем лишь судить о контуре препятствия, вызвавшего нарушения оттока желчи или панкреатического сока.
Камни в желчном пузыре: нужна ли операция?
Вернемся к желчному пузырю. Большой камень никуда не денется, но, считается, что длительное камненосительство - путь к раку желчного пузыря из-за постоянного воздействия камня на стенку при его фиксированном положении в деформированном пузыре при хроническом холецистите.
Как на МРТ выглядит «жемчужное ожерелье»?
Благодаря МРТ можно найти то самое «ожерелье», когда, по типу дивертикулов в толстой кишке, выстилка пузыря выпячивается наружу, за пределы мышечного слоя. Эти выстроенные в ряд расширенные, с ущемленной шейкой синусы Ашоффа-Рокитанского действительно напоминают ожерелье.
А в остальном возможности методов схожи – некроз стенки и формирование паравезикальных скоплений видят все, только при томографии с контрастным усилением сомнений нет, а значит и знаков вопроса в заключении - тоже.
Рак желчного пузыря может локализоваться везде. Если в области тела или дна - опухоль может расти долго, пока не проявится симптомом раздражения брюшины – прорастанием капсулы печени. А раки шейки растут в область общего печеночного протока. Пациент желтеет и только тогда его начинают обследовать.
Кто внимательно читал, не нашел ничего про… фарфор.
Фарфоровый желчный пузырь. Что это такое?
Он бывает, когда стенка пузыря кальцинируется при хроническом воспалении и действительно напоминает яичную скорлупу (почти как яйцо Фаберже). Но есть одно псевдоопухолевое состояние, которое очень напоминает опухоль внешне, но по сути – хроническое воспаление. Это ксантогранулематозный холецистит. Он страшно выглядит, но не смертелен. И здесь важна архивная база. С такими внешними проявлениями, или постепенно усиливающимися признаками, пациенты живут годами. Сравнив данные с результатами предыдущего исследования, можно понять его морфологию. Но чаще эту патологию устанавливают после холецистэктомии, по результатам морфологического исследования.
Лучевая диагностика фарфорового желчного пузыря
а) Определение:
• Обызвествление стенки желчного пузыря
б) Визуализация:
1. Общая характеристика:
• Лучший диагностический критерий:
о Обызвествление в виде изогнутого «ободка» в правом подреберье, напоминающее по форме желчный пузырь
• Морфология:
о Два варианта:
- Ограниченное обызвествление слизистой: высокий риск злокачественности
- Диффузное обызвествление стенки: низкий риск злокачественности
2. Рентгенография:
• Рентгенография:
о Обызвествления изогнутой формы или «зернистые» кальцинаты в стенке желчного пузыря
о Обызвествление стенки может быть полным или сегментарным

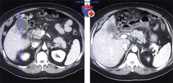
(Слева) На аксиальной КТ с контрастным усилением определяется частичное обызвествление стенки желчного пузыря. Обратите внимание на плохо различимое образование мягкотканной плотности в просвете желчного пузыря и нечеткую границу с прилежащими отделами печени.
(Справа) На аксиальной КТ с контрастным усилением визуализируется дискретное объемное образование в желчном пузыре («классическая» картина рака желчного пузыря). Для рака желчного пузыря более типичным является ограниченное, а не диффузное обызвествление стенки.
3. КТ признаки фарфорового желчного пузыря:
• Кальцинаты в стенке желчного пузыря могут иметь различную толщину (могут быть «тонкими» или «толстыми» и неправильными):
о Стенка может быть обызвествлена целиком или частично
• КТ наиболее чувствительный метод, позволяющий идентифицировать кальцинаты
4. УЗИ признаки фарфорового желчного пузыря:
• Существует несколько возможных вариантов:
о Эхогенная структура изогнутой формы в ямке желчного пузыря с плотной акустической тенью:
- Акустическая тень «чистая»; в отличие от эмфиземы эхогенные очаги или «грязная» тень отсутствуют
- Комплекс «стенка-сигнал-эхо» не определяется, как это бывает при желчном пузыре, заполненном камнями
о Биконвекситальные обызвествления изогнутой формы в стенках желчного пузыря с возможностью визуализации его задней стенки:
- В случае эмфизематозного холецистита или, если желчный пузырь заполнен камнями, его задняя стенка не визуализируется
о Грубые включения извести в стенке ЖП с акустической тенью
5. Рекомендации по визуализации:
• Лучший диагностический метод:
о КТ

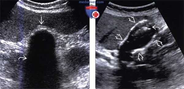
(Слева) На поперечной трансабдоминальной сонограмме в ямке желчного пузыря визуализируется эхогенная структура изогнутой формы с акустической тенью — изменения, характерные для «фарфорового» желчного пузыря.
(Справа) На сонограмме визуализируется стенка желчного пузыря с диффузно повышенной эхогенностью и объемное образование в области его дна. Задняя стенка желчного пузыря различима, в отличие от эмфизематозного холецистита или множественных камней, заполняющих желчный пузырь. При патоморфологическом исследовании были обнаружены интрамуральные кальцинаты, признаки хронического холецистита и аденокарциномы желчного пузыря.
в) Дифференциальная диагностика фарфорового желчного пузыря:
1. Крупный желчный конкремент или конкременты, заполняющие желчный пузырь:
• Дифференциальная диагностика с «фарфоровым» желчным пузырем при УЗИ является очень сложной задачей
• Отмечается комплекс «стенка-сигнал-тень», характерный для конкрементов
• Визуализация задней стенки, что нетипично для камней, позволяет сделать заключение о «фарфоровом» желчном пузыре
2. Эмфизематозный холецистит:
• Эхогенный «полумесяц» в ямке желчного пузыря с «грязной» акустической тенью и артефактами «дребезжания сигнала», обусловленными наличием газа, может имитировать обызвествление стенки желчного пузыря на УЗИ
• КТ лучше всего позволяет дифференцировать газ и кальцинаты
3. Гиперденсный материал ятрогенного характера в желчном пузыре:
• Йодированное масло в желчном пузыре после химиоэмболизации печеночной артерии
• Викарная экскреция контрастного вещества, имеющего высокую плотность, с накоплением его в желчном пузыре после внутривенного введения
г) Патология. Общая характеристика:
• Этиология:
о Патогенез точно не известен; существуют несколько теорий:
- Перемежающаяся обструкция желчного пузыря → перенасыщение желчи → накопление карбоната кальция → отложение извести в стенке желчного пузыря
- Кровоизлияние в стенку желчного пузыря при хроническом холецистите → обызвествление стенки
- Дистрофические кальцинаты в стенке, обусловленные хроническим воспалением желчного пузыря на фоне наличия желчных камней
• Сопутствующие патологические изменения:
о Желчные камни или кальциевое молочко (в 95% случаев)
о Рак желчного пузыря (связь не столь явно выражена, как это считалось раньше)
д) Клинические особенности:
1. Проявления:
• Наиболее частые признаки/симптомы:
о Практически всегда протекает бессимптомно
о Симптомы (боль в правом подреберье или наличие пальпируемого объемного образования) появляются при возникновении злокачественной опухоли или формировании желчных камней
2. Демография:
• Возраст:
о Пик частоты встречаемости - шестое десятилетие жизни, средний возраст- 54 года
• Пол:
о М:Ж= 1:5
• Эпидемиология:
о Редкое заболевание, выявляемое при посмертном исследовании в 0,06-0,08% случаев, и в 0,15% случаев при исследовании образцов, полученных после холецистэктомии
3. Течение и прогноз:
• Заболеваемость раком при «фарфоровом» желчном пузыре обычно принимается равной 12-62% на основании ретроспективных данных, полученных в 1950-1960 годах; тем не менее, более «свежие» обзоры свидетельствуют о том, что связь между этими двумя заболеваниями значительно менее выражена
• Согласно недавним систематическим обзорам литературы на основании мета-анализа предполагаемый риск злокачественной опухоли желчного пузыря не является высоким и составляет 6%
• Риск рака желчного пузыря зависит от характера обызвествления (утверждение с ограниченным числом доказательств):
о Диффузное обызвествление стенки: риск рака, скорее всего, отсутствует
о Отдельные включения извести в слизистой оболочке желчного пузыря: повышенный риск рака
4. Лечение:
• Решение об оперативном вмешательстве принимается на основании возраста пациента, симптоматики, морфологии обызвествлений (диффузные или очаговые)
• Профилактическая холецистэктомия:
о Чаще показана открытая операция, однако возможна и лапароскопическая холецистэктомия, особенно в случаях доказанного низкого риска рака желчного пузыря
е) Список использованной литературы:
1. Revzin MV et al.: The gallbladder: uncommon gallbladder conditions and unusual presentations of the common gallbladder pathological processes. Abdom Imaging. ePub, 2014
а) Терминология:
1. Сокращения:
• «Фарфоровый» желчный пузырь (porcelain gallbladder-PGB)
2. Синоним:
• Кальциноз желчного пузыря, кальцифицирующий холецистит
3. Определение:
• Интрамуральный кальциноз стенки желчного пузыря, нечасто встречающееся проявление хронического холецистита
б) Методы визуализации:
1. Общая характеристика:
• Основные диагностические признаки:
о Кальциноз стенки желчного пузыря
• Морфология:
о Два типа кальциноза слизистой
о Тотальное поражение: диффузный кальциноз
о Сегментарное поражение: частичный кальциноз
2. УЗИ при фарфоровом желчном пузыре:
• УЗИ в черно-белом режиме:
о УЗ-картина зависит от типа кальциноза
о Диффузный кальциноз утолщенной стенки желчного пузыря (тотальный):
- Гиперэхогенная полулунная линия в ямке желчного пузыря
- Отбрасывает плотную акустическую тень
о Сегментарный кальциноз стенки желчного пузыря (частичный):
- Двояковыпуклый изогнутый гиперэхогенный контур
- Неравномерные (глыбки) гиперэхогенные очаги в стенке желчного пузыря
- Характер отбрасываемой акустической тени зависит от количества кальцинатов
3. КТ при фарфоровом желчном пузыре:
• КТ без контрастного усиления:
о Кальциноз стенки желчного пузыря (диффузный или сегментарный)
4. Рекомендации по визуализации:
• Оптимальный метод визуализации:
о Первичная диагностика осуществляется с помощью УЗИ
о КТ - более чувствительный метод диагностики, тени не влияют на результаты
• Рекомендации по методике проведения исследования:
о Чтобы добиться максимальной детализации высокоамплитудных эхосигналов и отбрасываемых акустических теней сфокусируйте датчик на уровне желчного пузыря
о Наличие в ямке желчного пузыря мягкотканного объемного образования указывает на карциному желчного пузыря

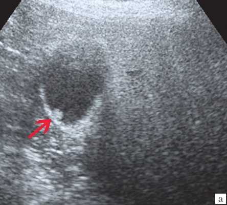
(Левый) Пример полного кальциноза: у пациентки 67 лет, жалующейся на периодические боли в области желчного пузыря, при сканировании в черно-белом режиме в ямке желчного пузыря определяется тонкая гиперэхогенная полулунная линия, отбрасывающая плотную акустическую тень.
(Правый) У этой же пациентки в той же области в правом верхнем квадранте ожидаемо определяется диффузная криволинейная линия кальциноза, повторяющая контуры желчного пузыря.
1. Заполненный конкрементами желчный пузырь или крупный конкремент:
• Наблюдается комплекс стенка-эхо-тень
• Подвижные конкременты смещаются под действием гравитации при перемене положения тела
• Отбрасывают плотную однородную акустическую тень (задняя стенка желчного пузыря не видна)
2. Эмфизематозный холецистит:
• Эхогенный «серп» в желчном пузыре
• Неоднородная («грязная») задняя акустическая тень
• Клиническая картина молниеносного желчного сепсиса
3. Гиперпластический холецистоз:
• Диффузное или очаговое утолщение стенки желчного пузыря
• Эхогенные очаги с артефактами типа «хвост кометы»
• Не отбрасывают акустической тени
г) Патология. Общая характеристика:
• Этиология:
о В 95% случаев сопровождается конкрементами желчного пузыря
о Хроническое воспаление/раздражение приводит к рубцеванию, гиалинозу и дистрофическому кальцинозу
о Тотальный тип: полностью утраченная слизистая
о Частичный тип: точечный кальциноз желез, метаплазия слизистой

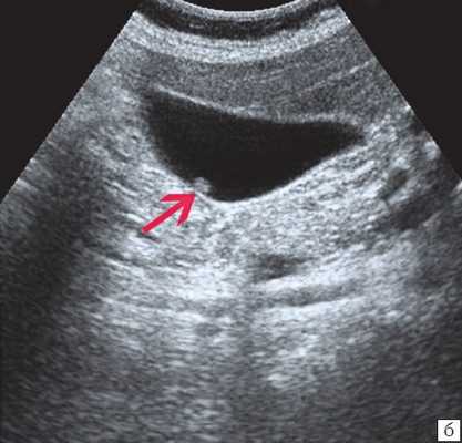
(Левый) Пример неполного кальциноза: у женщины 67 лет, жалующейся на боли в правом верхнем квадранте живота после еды определяются отдельные гиперэхогенные очаги передней и задней стенок желчного пузыря, отбрасывающие неоднородную тень.
(Правый) Пример неполного кальциноза: у мужчины 61 года в стенке желчного пузыря визуализируются точечные кальцинаты. Выявленные при патологоанатомическом исследовании конкременты не визуализируются.
1. Проявления фарфорового желчного пузыря:
• Наиболее частые жалобы/симптомы:
о Обычно протекает бессимптомно
• Другие жалобы/симптомы:
о Боли, характерные для заболеваний желчных путей
о Пальпируемое плотное безболезненное образование
2. Демография:
• Возраст:
о Обычно развивается в шестом десятилетии жизни
• Пол:
о Чаще встречается у женщин (5:1)
3. Эпидемиология:
о Редко (
4. Течение и прогноз:
• Риск рака желчного пузыря: 0-5%:
о Тотальный тип: риск отсутствует, слизистая оболочка полностью утрачена
о Частичный тип: в зонах метаплазии слизистой может развиваться дисплазия
5. Лечение фарфорового желчного пузыря:
• Здоровым пациентам показана профилактическая холецистэктомия
• Возможно консервативное ведение пациентов с тяжелой сопутствующей патологией
е) Диагностическая памятка:
1. Следует учесть:
• Хотя сопутствующая карцинома желчного пузыря встречается редко, проведите исследование на предмет наличия объемного образования желчного пузыря
2. Советы по интерпретации изображений:
• УЗ-симптом «стенка-эхо-тень» помогает дифференцировать конкременты от «фарфорового» желчного пузыря
• Характер отбрасываемой акустической тени помогает дифференцировать конкременты желчного пузыря (плотная, однородная) и эмфизематозный холецистит («грязная») от «фарфорового» желчного пузыря
ж) Список использованной литературы:
1. Schnelldorfer Т: Porcelain gallbladder: a benign process or concern for malignancy? J Gastrointest Surg. 17(6): 1161-8, 2013
2. O'Connor OJ et al: Imaging of cholecystitis. AJR Am J Roentgenol. 196(4):W367-74, 2011
3. Lack EE. Pathology of the Pancreas, Gallbladder, Extrahepatic Biliary Tract, and Ampullary Region. Oxford University Press, 2003
Лучевая диагностика патологии желчного пузыря и желчевыводящих путей

Экспертный класс по доступной цене. Монокристальные датчики, полноэкранный режим отображения, эластография, 3D/4D в корпусе ноутбука. Гибкая трансформация в стационарный сканер при наличии тележки.
Введение
Заболевания желчного пузыря - это особый раздел в современной медицине, которому специалисты уделяют повышенное внимание 1. С одной стороны, патология желчного пузыря (например, полипы), может протекать совершенно бессимптомно, но имеет тенденцию к малигнизации 9. С другой стороны, некоторые заболевания, такие как конкременты желчного пузыря и желчевыводящих путей, сопровождаются сильными приступами болей и могут привести к тяжелым осложнениям. В результате длительного давления камнем на слизистую оболочку пузыря в ней могут возникнуть язвы и пролежни, образоваться дивертикулоподобные выпячивания, внутренние и наружные желчные свищи, перфоративные отверстия с развитием подпеченочного или поддиафрагмального абсцессов, желчного перитонита. Перемещение желчных камней может сопровождаться закупоркой пузырного протока, водянкой желчного пузыря или его эмпиемой. При обтурации камнем выходного отдела общего желчного протока наступает механическая желтуха. Длительное нахождение камня в желчных протоках и присоединение инфекции ведут к развитию холангита. Выпадение крупного желчного камня из желчного пузыря в кишку через образовавшееся соустье может привести к непроходимости кишечника [1, 3, 5-8, 10-12]. Поэтому своевременная диагностика заболеваний желчного пузыря и протоковой системы имеет очень важное значение.
Образование желчи в печени - процесс непрерывный, однако поступление ее в кишечник в норме происходит преимущественно в процессе пищеварения. Это обеспечивается резервуарной функцией желчного пузыря и его ритмическими сокращениями с последовательным расслаблением сфинктера Люткенса и далее сфинктера Одди, расположенного в месте впадения общего желчного протока в кишку (рис. 1).

1 - дно желчного пузыря;
2 - пузырный проток;
3 - собственная печеночная артерия;
4 - воротная вена;
5 - желудочно-печеночная связка;
6 - левая доля печени;
7 - хвостатая доля печени;
8 - нижняя полая вена;
9 - хвостатый отросток;
10 - шейка желчного пузыря;
11 - правая доля печени;
12 - тело желчного пузыря;
13 - квадратная доля печени.
Натощак желчный пузырь содержит 30-80 мл желчи, но он может концентрировать печеночной желчи в 5-10 раз больше. При застое желчи в пузыре ее количество может увеличиваться. У женщин желчный пузырь в состоянии функционального покоя имеет несколько больший объем, чем у мужчин, но сокращается быстрее. С возрастом сократительная функция желчного пузыря снижается.
Ультрасонография является одним из самых информативных и доступных инструментальных методов диагностики заболеваний желчного пузыря 5.
Акустические свойства ультразвука позволяют выявлять мельчайшие эхогенные структуры, находящиеся в желчном пузыре.
С помощью УЗИ значительно сокращается время диагностического поиска. В отличие от компьютерной томографии (КТ) и магнитно-резонансной томографии (МРТ) при УЗИ врач-исследователь сам непосредственно участвует в получении изображения, что имеет свои плюсы и минусы. Положительной является возможность более целенаправленного и детального исследования изучаемого объекта. Отрицательная сторона - качество изображения и его расшифровка в значительной степени зависят от опыта исследователя и правильности применяемых им методик.
Полипы в желчном пузыре имеются у 6% всего населения. В 80% случаев полипы в желчном пузыре отмечаются у рожавших женщин в возрасте после 30 лет. Так как полипы клинически себя никак не проявляют, диагностика их чаще всего случайна и происходит при проведении УЗИ у пациента по совершенно другим причинам 4.
Хотя причины появления полипов на стенках в желчного пузыря не установлены, а симптомы неочевидны, известны четыре типа таких образований. Наиболее часто по статистике в желчном пузыре у пациентов сегодня встречаются следующие типы [4, 5, 9].
Воспалительный полип желчного пузыря - является своего рода воспалительной реакцией самой слизистой оболочки желчного пузыря, проявляется у пациента в виде различных разрастаний грануляционной внутренней ткани пораженного органа.
Нередко врачи также ставят диагноз аденомы желчного пузыря. Так происходит потому, что это своего рода доброкачественная опухоль в виде полиповидного разрастания железистой ткани желчного пузыря больного.
Также следует отметить папиллому или полипоз желчного пузыря у некоторых пациентов. Такая папиллома представляет собой доброкачественную опухоль слизистой оболочки пузыря в виде различных по виду и структуре своеобразных папиллом или сосочковых разрастаний.
К самому распространенному типу относят так называемый холестериновый полип желчного пузыря, который представляет собой возвышение слизистой оболочки пузыря с холестриновыми отложениями на ней. Холестероз достаточно часто встречается среди пациентов, направленных на операцию с клиническим диагнозом "полипы" или "полипоз желчного пузыря", по некоторым данным от 42 до 95% случаев.
Ультрасонография является эффективным средством выявления полиповидной формы холестероза 9. Традиционной считается следующая сонографическая характеристика холестериновых полипов: неподвижные гиперэхогенные структуры, которые не дают акустической тени и прикрепляются к стенке желчного пузыря. Контуры таких образований, как правило, ровные, а размеры таких образований различны, чаще не превышают 10 мм (рис. 2).

a) Одиночный полип в желчном пузыре (гиперэхогенное пристеночное неподвижное образование, с ровными контурами, без акустической тени).

б) Одиночный полип в желчном пузыре.

в) Полиповидно-сетчатая форма холестероза, полипы размерами до 5 мм, повышенной эхогенности.

г) Одиночный полип в желчном пузыре.
Однако, по некоторым данным, размеры холестериновых полипов могут быть более 20 мм. Кроме того, полипы больших размеров (в 7% от общего числа) могут иметь пониженную эхогенность и фестончатый контур.
Мелкие холестериновые включения, образующие диффузную сеточку в толще подслизистого слоя размерами 1-2 мм, выглядят как локальное утолщение или уплотнение стенки желчного пузыря и в некоторых случаях (см. рис. 2) вызывают реверберацию (эхографический симптом "хвост кометы").
При распространенном холестерозе визуализируются множественные гиперэхогенные образования, дающие картину "земляничного" желчного пузыря (рис. 3).

а) Множественные полипы в желчном пузыре, картина "земляничного" желчного пузыря.

б) В режиме цветного допплеровского картирования кровоток не регистрируется.
Характер ножки полипа традиционно учитывается в онкологической практике как признак, ассоциированный со злокачественной природой образования. Вероятность возможной малигнизации больше, если у него имеется широкое основание, а не тонкая ножка. Однако необходимо принимать во внимание возможность ложноположительной диагностики широкого основания при полипах больших размеров из-за их ограниченной смещаемости в просвете желчного пузыря. Дрожание, напоминающее пламя свечи, наблюдается у полипов небольших размеров и вытянутой формы, и указывает на их тонкую ножку 8.
Желчнокаменная болезнь (cholelithiasis; калькулезный холецистит) - заболевание, обусловленное наличием конкрементов в желчном пузыре и желчных протоках. Частота образования желчных камней увеличивается с возрастом, достигая 45-50% у женщин старше 80 лет. У мужчин желчные камни встречаются в 3-5 раз реже, у детей - крайне редко. Только в 20% случаев желчные камни существуют бессимптомно ("немые" конкременты) [5].
Существует два основных механизма образования желчных камней: печеночнообменный и пузырно-воспалительный. Печеночно-обменный механизм заключается в формировании желчных камней вследствие таких факторов, как несбалансированное питание с преобладанием в рацио не грубодисперсных животных жиров (свиного, бараньего, говяжьего) в ущерб растительным; нейроэндокринные нарушения, например, связанные с дисфункцией эндокринной системы возрастного характера и гипофункцией щитовидной железы; поражения печеночной паренхимы токсического и инфекционного генеза; гиподинамия и застой желчи. В результате печень продуцирует литогенную желчь, т. е. способную образовывать холестериновые или смешанные камни. При пузырно-воспалительном механизме желчные камни формируются под влиянием воспалительного процесса в желчном пузыре, приводящего к физико-химическим сдвигам в составе желчи (дисхолии). Изменение рН желчи в кислую сторону, характерное для любого воспаления, приводит к уменьшению защитных свойств коллоидов, в частности белковых фракций желчи, переходу мицеллы билирубина из взвешенного состояния в кристаллическое. При этом образуется первичный кристаллизационный центр с последующим наслоением других ингредиентов желчи, слизи, эпителия и др.
Желчные камни - плотные образования, количество которых может составлять от одного до нескольких тысяч, размер - до нескольких сантиметров в диаметре, масса - до 30 г и более. В желчном пузыре чаще встречаются камни округлой формы, в общем желчном протоке - эллипсоидной или продолговатой, во внутрипеченочных протоках ветвистой. В зависимости от состава различают холестериновые, пигментно-холестериновые, холестериново-пигментно-известковые, пигментные и известковые камни; на распиле они имеют пигментное ядро и слоистое строение.
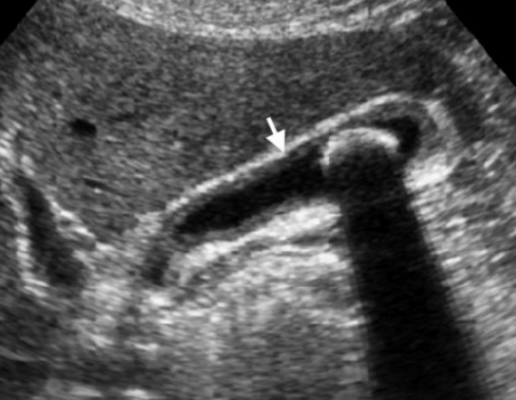
Клиническая картина желчнокаменной болезни многообразна [5-6, 10]. Условно выделяют хроническую болевую, хроническую рецидивирующую, диспептическую, стенокардитическую и ряд других клинических форм. Характерным ультразвуковым признаком конкремента в желчном пузыре является его акустическая тень. Такая тень возникает из-за высокой плотности камня по сравнению с мягкими тканями. Наличие или отсутствие тени помогает отличить камень от полипа желчного пузыря (рис. 4).

а) Одиночный конкремент желчного пузыря (подвижная гиперэхогенная структура, дающая четкую теневую дорожку).
Желчный пузырь
Утолщение стенки желчного пузыря является диагностическим признаком, который встречается максимально часто при диагностике болезней желчного пузыря. Исторически так сложилось, что при утолщении стенки желчного пузыря врачи в первую очередь врачи думают о первичном заболевания желчного пузыря, а именно остром холецистите. В данной статье хотелось бы разобрать, какие патологические состояния приводят к утолщению стенки желчного пузыря так, как помимо воспалительных заболеваний желчного пузыря существует другие патологии, приводящие к тому же патоморфологическому признаку, как утолщение стенки желчного пузыря.

Схематичная патология. На данном рисунке продемонстрирован растянутый и гиперемичный желчный пузырь. Данные изменения встречаются при калькулезном холецистите, обусловленные обструкцией камнем желчного протока или шейки желчного пузыря.
УЗИ признаки калькулезного холецистита.
При помощи УЗИ, МРТ и КТ всегда возможно различить нормальную стенку желчного пузыря от утолщенной. Традиционно, УЗИ используется в качестве первого метода исследования при заболеваниях желчного пузыря так, как данный метод обладает высокой чувствительностью и специфичностью при обнаружении камней желчного пузыря. Также к достоинствам УЗИ относится:
- возможность оценки в реальном времени.
- дешевый метод.
- быстрый в выполнении.
- нет лучевой нагрузки.
Однако, компьютерная томография стала популярным методом при диагностике пациентов с симптомами острого живота. При остром животе КТ является первым методом исследования желчного пузыря во многих хирургических клиниках. Также КТ используют, как дополнительный метод исследования, если на УЗИ не выявили патологию или возникли какие-либо сомнения.
У МРТ также высокая диагностическая ценность при визуализации патологии желчного пузыря, но в связи с дороговизной метода и долгим временем выполнения диагностики, используют редко.
В норме стенки желчного пузыря на УЗИ визуализируется следующим образом:
- слизистой слой — гиперэхогенный.
- мышечный слой — гипоэхогенный.
- наружный или серозный слой — гиперэхогенный.
Толщина стенки желчного пузыря зависит от того насколько растянут желчный пузырь. Также толщина желчного пузыря увеличивается при следующих патологиях:
- холецистит.
- цирроз печени.
- асцит.
- острый вирусный гепатит.
- гипопротеинемия.
- злокачественное новообразование.
- правожелудочковая недостаточность.

Сверху: УЗИ желчного пузыря стенка норма в виде «карандаша». Справа УЗИ картина псевдо-утолщения стенки желчного пузыря.
На КТ желчный пузырь в норме визуализируется, как образование с плотностью присущей мягким тканям. Указано стрелкой.
Утолщение стенки желчного пузыря — это частая диагностическая находка. Утолщением является размер стенки более 3 мм. При УЗИ утолщенная стенка имеет слоистый внешний вид, а на КТ выявляется гиподенсный слой, что соответствует субсерозному отеку.

Слева — УЗИ — желчного пузыря у 59 летней женщины с острым холециститом. Субсерозный отек так, как гипоэхогенное утолщение между гиперэхогенными слоями (мышечным и слизистым). Справа — КТ брюшной полости с контрастным усилением. Также визуализируется субсерозный отек так, как наружный слой гиподенсный.

Острый холецистит стоит на четвертом месте среди заболеваний брюшной полости, требующих немедленной госпитализации. Если на УЗИ у пациентов, поступивших с острым животом, визуализируется утолщение стенки желчного пузыря, то первое о чем думают радиологи — это острый холецистит. Для постановки диагноза холецистита должны присутствовать также следующие признаки, как на УЗИ, так и на КТ:
- Дилатация желчного пузыря.
- Камни.
- Положительный симптом Мерфи при надавливании ультразвуковым датчиком в область желчного пузыря.
- Гиперемия стенки желчного пузыря в режиме Допплер.
- Воспалительный процесс в жировой клетчатке, окружающая желчный пузырь.

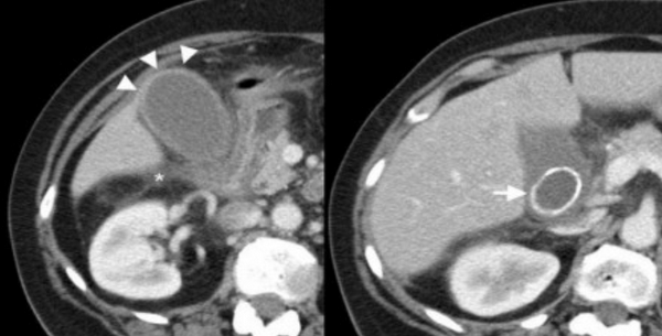
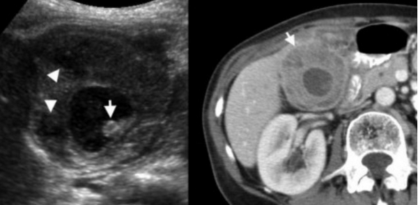
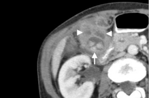
Острый калькулезный холецистит. После контрастного усиления визуализируется растянутый желчный пузырь (белые наконечники) со слегка утолщенной стенкой. Визуализируется камень в шейки желчного пузыря (белая стрелка).

Сверху изображения пациента 62 лет с калькулезным холециститом. На УЗИ визуализируется стенки желчного пузыря растянутые, с субсерозным отеком (указано белыми стрелками) и в просвете желчного пузыря камень и взвесь. На КТ визуализируется переход воспалительного процесса с желчного пузыря на соседние ткани (перихолецистит).
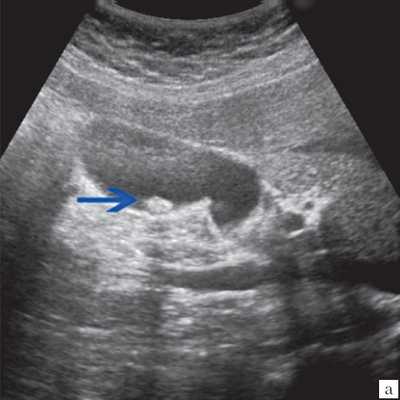
УЗИ некалькулезный холецистит.
Острый бескаменный холецистит возникает у пациентов во время поста, а также у пациентов, которые принимают лекарства, вызывающие холестаз. К признакам некалькулезного холецистита относятся все признаки острого калькулезного холецистита кроме наличия камней в просвете желчного пузыря, но при этом взвесь обычно присутствует.

74 — летнему мужчине выполнено УЗИ желчного пузыря. Диагноз: острый некалькулезный холецистит. На левой сонограмме стрелкой указано утолщение стенок желчного пузыря. В просвете желчного пузыря взвесь. На правой сонограмме у того же пациента при исследовании в доплеровском режиме выявлен еще один признак воспаления — гиперемия.
УЗИ хронических холецистит
Термин хронического холецистита используют для обозначения вялотекущего воспалительного процесса с фиброзированием стенки желчного пузыря и образованием в просвете камней.

Представлен больной с хроническими болями в правом подреберье, который ежедневно воздерживался от еды с вечера. Утолщение слабо выраженное и не является физиологическим. Также визуализируются обструкция и камень. После УЗИ данному больному был поставлен диагноз — хронический холецистит.
Ксантогранулематозный холецистит.
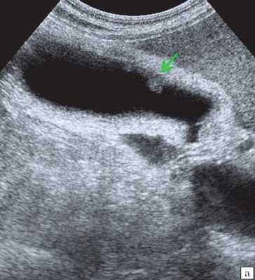
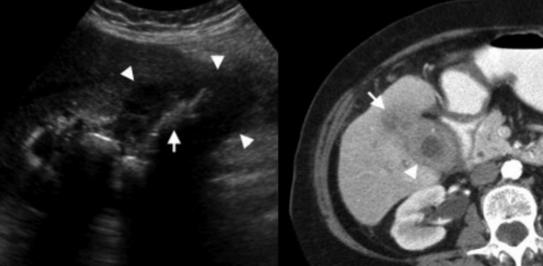
Ксантогранулематозный холецистит — это воспалительное заболевание, характеризующаяся тем, что в стенке желчного пузыря образуются ксантомы и гранулемы. При исследовании выявляют утолщение стенки желчного пузыря, уменьшение органа в размере, а также интрамуральные узелки, которые визуализируются, как гипоэхогенные включения на УЗИ и гиподенсные на компьютерной томограмме. Данные включения схожи с включениями при карциноме желчного пузыря.

УЗИ и КТ желчного пузыря. Ксантогранулематозный холецистит. Слева на УЗИ визуализируется (помечено стрелками) утолщение стенки желчного пузыря с интрамуральным включением и с камнем в просвете органа. Справа на КТ выявляется утолщение стенки с гиподенсными включениями.

Выше представлено КТ пациента 71 года с ксантогранулематозным холециститом. Постконтрастное КТ. Визуализируется утолщение стенки желчного пузыря с включениями, которые соответствуют абсцессу или фокусам воспаления.
КТ желчного пузыря/Рак желчного пузыря
Наиболее часто встречаемый рак желчного пузыря является карцинома. Карцинома желчного пузыря занимает пятое место по частоте встречаемости среди раков желудочно-кишечного тракта. Чаще его обнаруживают случайно (в 2% случаях) при гистологической проверке после холецистэктомии. Карцинома желчного пузыря выявляется на последних стадиях заболевания так, как себя не проявляет клинически на ранних. Специфических признаков при карциноме желчного пузыря также нет. Рак может поражать желчный пузырь диффузно, целиком стенку или пристеночно. Карцинома желчного пузыря имеет схожую картину с ксантогрануломатозным холециститом, но при постановке диагноза радиологу помогают такие находки:
- Прорастание в соседние органы.
- Вторичная дилатация желчных протоков.
- Метастазирование в печень или лимфатические узлы.

УЗИ (слева) и КТ (справа) желчного пузыря. На УЗИ ярко выраженное утолщение стенки желчного пузыря (указаны белыми стрелками). Множественные камни в просвете желчного пузыря (указано стрелкой). Компьютерная томография с контрастным усилением. На КТ визуализируются утолщение стенки с внутристеночными гиподенсными включениями. На КТ также выявлено, что процесс распространился на печень (указано стрелкой).
Читайте также:
- КТ, МРТ при гетеротопической оссификации позвоночника
- Диагностика лептоменингеальной кисты по КТ, МРТ
- Нарушение зрения при отравлении сероуглеродом. Профилактика интоксикации сероуглеродом
- Заболевания пищевода. Боли в грудной клетке при заболеваниях пищевода.
- Коррозия амальгамовых пломб. Коррозия в полости рта
