Лучевая диагностика фиброзной дисплазии носа и околоносовых пазух
Добавил пользователь Евгений Кузнецов Обновлено: 14.12.2025
ГБОУ ВПО «Курский государственный медицинский университет» Минздрава России, ул. Карла Маркса, 3, Курск, Российская Федерация, 305041
кафедра лучевой диагностики и терапии Курского государственного медицинского университета Минздрава России, Курск, Россия, 305000
Изменения костной стенки верхнечелюстной пазухи и жировой клетчатки в лучевой диагностике одонтогенных синуситов
Журнал: Российская ринология. 2015;23(3): 49‑53
В статье проанализированы результаты 114 рентгеновских компьютерных томографий и 10 магнитно-резонансных томографий пациентов с одонтогенными верхнечелюстными синуситами. У 63,2% больных определялось асимметричное повышение денситометрических показателей ретромаксиллярной клетчатки, у 14% — уменьшение ее объема, у 8,8% — сочетание истончения и уплотнения жировой ткани, у 0,8% — расширение прилегающей жировой клетчатки. При магнитно-резонансном исследовании у 80% пациентов определялось асимметричное снижение интенсивности сигнала от клетчатки. Истончение ретромаксиллярной жировой клетчатки выявлялось в 30% случаев. Утолщение костных стенок верхнечелюстной пазухи определялось у 21% больных в костном режиме программы просмотра изображений и у 30,7% — в мягкотканном режиме программы просмотра изображений.
Диагностика верхнечелюстных синуситов одонтогенной природы является актуальной проблемой оториноларингологии, стоматологии и челюстно-лицевой хирургии, так как их возникновение является следствием заболевания и лечения зубов и челюстей [1]. В структуре синуситов, по мнению ряда исследователей, доля одонтогенных синуситов составляет от 14 до 24% [2, 3].
Распространенность различных форм кариеса среди трудоспособного населения и неудовлетворительная организация стоматологической службы делают эту проблему не только медицинской, но и экономической и социальной.
Рентгеновская компьютерная томография (РКТ) является оптимальным вариантом исследования альвеолярного отростка, полости носа, околоносовых пазух и окружающих мягких тканей при подозрении на одонтогенную природу синусита. Несмотря на высокую лучевую нагрузку, проведение РКТ позволяет одномоментно дать оценку состояния костей лицевой зоны и определить их анатомические особенности, выявить связь с «причинным» зубом, уточнить локализацию инородного включения и степень воспалительных изменений слизистой. В случаях длительного воспаления в сочетании с перепломбировкой канала оперативное удаление материала является единственным действенным методом лечения, для планирования которого необходимо знать пространственную анатомию [4]. Эти данные можно получить при проведении РКТ.
При прогрессировании синусита в зависимости от характера воспаления изменяется толщина прилежащей костной стенки: при острых гнойных процессах возникает остеопороз, при хронических рецидивирующих процессах — остеосклероз, при осложненных формах — остеомиелит и деструкция костной стенки [5].
Изменяется и ретромаксиллярная (ретроантральная) клетчатка как структура, интимно расположенная к трансформированной костной стенке. Анатомически она представлена большей частью крылонебного отростка жирового тела щеки, расположена в подвисочном пространстве и крылонебной ямке. Жировое тело, которое прилежит к верхней и нижней челюстям, служит проводником воспалительных процессов одонтогенного происхождения, первично развивающихся в челюстях [6].
Магнитно-резонансная томография (МРТ) позволяет выявить более «тонкие» изменения в мягких тканях. При подозрении на раннюю стадию грибкового синусита рекомендуется использовать МРТ как метод, наиболее чувствительный к инвазии костной стенки [7]. Но данный метод имеет ряд недостатков: «недостоверность» пространственной анатомии костных структур, трудности выявления костных стенок одонтогенных кист, пломбировочного материала, артефакты от металлических конструкций, а также высокую частоту гипердиагностики и др., которые серьезно ограничивают его применение [8].
Цели исследования — изучить варианты изменения жировой клетчатки и заднебоковой костной стенки верхнечелюстной пазухи и определить дифференциально-диагностическую ценность изменений ретромаксиллярной жировой клетчатки и задней костной стенки верхнечелюстной пазухи у больных одонтогенным гайморитом по данным РКТ и МРТ.
Пациенты и методы
Нами был проведен анализ результатов 114 РКТ и 10 МРТ пациентов с одонтогенным верхнечелюстным синуситом. РКТ-исследование проходило в отделении компьютерной томографии Курской областной клинической больницы (КОКБ) на рентгеновских компьютерных томографах фирмы «General Electric» (США) моделей NXI и VCT в аксиальной и коронарной проекциях. МРТ-исследование — на томографах фирмы «General Electric» моделей SIGNA PROFILE 0,2 Т и SIGNA OVATION 0,35 Т в аксиальной, сагиттальной и коронарной проекциях. Измерения производились с помощью программы просмотра диагностических изображений RadiAnt DICOM Viewer инструментами line и ellipse.
Результаты
Изучены результаты РКТ и МРТ 70 мужчин и 54 женщин в возрасте от 12 до 75 лет. Одонтогенный верхнечелюстной синусит выявлен справа в 73 случаях, слева — у 47 больных, у 4 пациентов обнаружена двусторонняя локализация процесса.
У 72 (63,2%) больных на РКТ определялось уплотнение (асимметричное повышение денситометрической плотности) ретромаксиллярной клетчатки. Рентгенологические проявления одонтогенного синусита были в виде: деструкций альвеолярного отростка (n=14), грибковых поражений (n=10), одонтогенных кист (n=6), в 6 случаях определялся пломбировочный материал. Причем у 2 больных изменения были обнаружены на контралатеральной стороне одонтогенного поражения (у одного пациента биопсия подтвердила рак альвеолярного отростка, у другого — фиброзно-отечные полипы). Асимметричное утолщение костной стенки в костном окне программы просмотра имелось в 22 (19,3%) случаях, в мягкотканном — в 30 (26,3%) случаях.
У 16 (14%) больных на РКТ наблюдалось истончение (уменьшение толщины) ретромаксиллярной клетчатки, причем одонтогенный верхнечелюстной синусит в этом случае выявлялся в виде: одонтогенных кист (n=6) и грибковых синуситов (n=2). Утолщение костной стенки в костном окне было выявлено в 1 случае, в мягкотканном окне — в 3 случаях.
У 10 (8,8%) больных на РКТ отмечалось сочетание истончения и уплотнения жировой ткани. Причинами синусита в 8 случаях была деструкция альвеолярного отростка и в 2 случаях — одонтогенные кисты. Утолщение костной стенки в костном окне было выявлено в 1 случае, в мягкотканном окне — в 2 случаях.
У 1 (0,8%) больного на РКТ определялось расширение прилегающей жировой клетчатки (одонтогенная внутрикостная киста распространялась в переднюю стенку и не соприкасалась с задней стенкой верхнечелюстной пазухи). Толщина стенок при просмотре в мягкотканом и костном режимах симметрична.
При МРТ-исследовании у 8 (80%) больных определялось асимметричное снижение интенсивности сигнала в режиме Т1 от ретромаксиллярной клетчатки, а ее истончение выявилось в 3 (30%) случаях. Изменений со стороны костной стенки у этих больных не выявлено.
Для одонтогенных гайморитов характерна односторонность поражения: 96,5% по данным РКТ и 100% по данным МРТ.
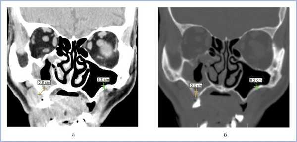
Воспалительные изменения слизистой оболочки верхнечелюстной пазухи, существующие в течение длительного времени, вовлекают в процесс костную стенку. На компьютерных томограммах отмечается утолщение костной стенки в костном режиме и появление «оптического эффекта» — уплотнение стенки в 1,5—3 раза за счет отека надкостницы — при просмотре в мягкотканом режиме (рис. 1, а, б) [9]. При одностороннем процессе, характерном для одонтогенного поражения, на контралатеральной интактной стороне такого эффекта не определяется.

Рис. 1. Рентгеновская компьютерная томограмма околоносовых пазух. Коронарная проекция: мягкотканное окно (а) и костное окно (б).
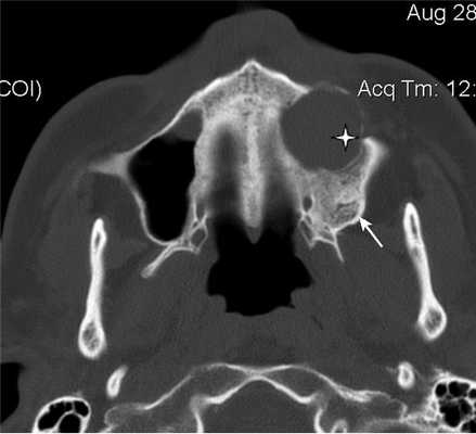
В костном режиме программы просмотра изображений утолщение костных стенок верхнечелюстной пазухи определялось в 21% случаев (рис. 2, 3), что указывает на хронический характер воспаления. «Оптический эффект» в мягкотканном режиме программы просмотра диагностических изображений определялся у 30,7% больных, что указывает на вовлечение надкостницы.

Рис. 2. Рентгеновская компьютерная томограмма околоносовых пазух. Аксиальная проекция, костное окно.

Рис. 3. Рентгеновская компьютерная томограмма околоносовых пазух. Аксиальная проекция, костное окно.
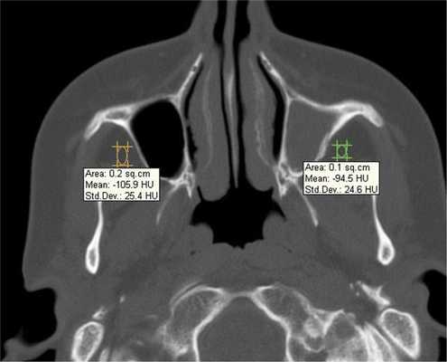
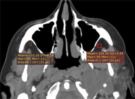
При воспалительных изменениях в ретроантральной жировой клетчатке верхнечелюстной пазухи на РКТ повышаются денситометрические значения ее плотности [10]. При одностороннем процессе отмечается выраженная асимметричность значений плотностей (рис. 4).

Рис. 4. Рентгеновская компьютерная томограмма околоносовых пазух. Аксиальная проекция, костное окно.
В 63,2% случаев на РКТ при выявлении одонтогенного верхнечелюстного синусита отмечалось уплотнение жировой клетчатки. Исследователи связывают это с переходом воспалительной инфильтрации пристеночной слизистой по периваскулярным пространствам к ретромаксиллярной клетчатке [7, 11, 12].
Остальные варианты — истончение (15,2%) и сочетание истончения и уплотнения (17,8%) жировой ткани встречается реже. Эти дистрофические изменения жировой клетчатки являются ответом на длительно текущее, расположенное по соседству воспаление.
Расширение клетчатки, которое встретилось у 1 больного, контактно не связанное с кистой, вероятно, является вариантом фенотипа.
При МРТ жировая ретроантральная клетчатка имеет высокие значения интенсивности сигнала в режимах Т1 и Т2. При локальном отеке клетчатки интенсивность сигнала меняется [12].
МРТ — более чувствительный метод диагностики изменений жировой клетчатки.
Клинический пример 1
Больной Л., 44 года, 15 лет назад терапевтическое лечение 16-го зуба с последующей перепломбировкой; 5 лет назад было осуществлено удаление 16-го зуба. В настоящее время больной обратился за помощью в ЛОР-отделение по поводу давящих болей в верхнечелюстной области справа. Больному была выполнена РКТ верхнечелюстных пазух (рис. 5, а, б), которая показала, что правая пазуха тотально заполнена мягкотканным содержимым и высокоплотным пломбировочным материалом. Отмечается утолщение костных стенок правой верхнечелюстной пазухи и прилежащей ретромаксиллярной клетчатки (–52 HU справа, –86 HU слева)

Рис. 5. Рентгеновская компьютерная томограмма верхнечелюстных пазух. Аксиальная проекция: костное окно (а), мягкотканное окно (б).
Клинический пример 2
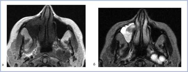
Больная Б., 43 года, проходила исследование в отделении компьютерной томографии КОКБ по поводу объемного образования среднего уха. В качестве случайной находки выявлена правосторонняя одонтогенная киста (рис. 6, а, б; 7).

Рис. 6. Магнитно-резонансная томограмма верхнечелюстных пазух, изображения в режимах Т1 (а) и Т2 (б), аксиальная проекция.

Рис. 7. Контрольная рентгеновская компьютерная томограмма в аксиальной проекции, мягкотканный режим.
Выводы
РКТ и МРТ позволяют единовременно произвести сканирование полости носа и придаточных пазух, при этом получив информацию не только о состоянии костных структур воздушных полостей, но и мягких тканей.
МРТ более чувствительна к диагностике изменений мягких тканей.
Костная стенка реагирует на воспалительные процессы в пазухах изменением толщины. В зависимости от вовлечения надкостницы толщина может изменяться в различных режимах (окнах) программы просмотра.
Прилежащая ретромаксиллярная клетчатка реагирует на воспалительные процессы в пазухах изменением толщины и плотности, в зависимости от длительности воспаления.
Рекомендуется выполнение РКТ придаточных пазух носа для поиска костных нарушений и выявления изменений клетчатки при подозрении на одонтогенный характер поражения. Выполнение МРТ целесообразно для выявления изменений ретромаксиллярной клетчатки на ранних стадиях.
Лучевая диагностика фиброзной дисплазии носа и околоносовых пазух
а) Терминология:
1. Аббревиатура:
• Фиброзная дисплазия (ФД)
2. Синонимы:
• Болезнь Лихтенштейна-Яффе, херувизм (черепно-лицевая ФД)
3. Определение:
• Замещение нормальной губчатой кости фиброзной и костной тканью с костной метаплазией различной выраженности
б) Визуализация:
1. Общая характеристика:
• Лучший диагностический критерий:
о Расширение, нечеткие контуры, «матовость» диплоического пространства
• Локализация:
о Верхняя > нижняя челюсть > лобные > решетчатые > сфеноидальные пазухи
• Морфология:
о Плохо отграниченное, экспансивное, одностороннее или асимметричное поражение

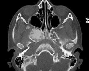
(Слева) При аксиальной «костной» КТ определяются классические признаки фиброзной дисплазии: выраженное вздутие левой верхнечелюстной пазухи с асимметричным выбуханием левой щеки, типичный вид «матового стекла». Обратите внимание на значительное уменьшение объема воздушной полости.
(Справа) При корональной костной КТ определяется фиброзная дисплазия с поражением правой нижней носовой раковины и латеральной стенки носа. Определяется выраженная экспансия раковины с изменениями в виде «матового стекла».
2. КТ при фиброзной дисплазии пазухи, носа:
• КТ с КУ:
о Вариабельное контрастное усиление фиброзного компонента
• Костная КТ:
о Экспансивный «матовый» очаг, окруженный интактным кортексом:
- Плотность зависит от количества фиброзной ткани
- Вариабельные прозрачные/литические очаги
3. МРТ при фиброзной дисплазии пазухи, носа:
• Т1ВИ:
о Расширение диплоического пространства с промежуточным или ↓ сигналом:
о Гипоинтенсивный сигнал на периферии (кортекс)
• Т2ВИ:
о Сигнал варьирует: гипер-, гипоинтенсивный, промежуточный
• Т1ВИ С+:
о Равномерное или неравномерное усиление
о Фиброзный компонент может интенсивно накапливать контраст:
- Имитирует агрессивное новообразование без сравнения с КТ
4. Сцинтиграфия:
• ПЭТ:
о Различные горячие очаги на ПЭТ с ФДГ
5. Рекомендации по визуализации:
• Лучший метод диагностики:
о Тонкосрезовая «костная» КТ без КУ

(Слева) При корональной «костной» КТ определяется экстенсивная фиброзная дисплазия орбит, петушиного гребня, решетчатой кости, среднего носового хода справа. Носовая перегородка отклонена влево.
(Справа) При аксиальной MPT Т2 в зоне фиброзной дисплазии определяется характерный выраженный гипоинтенсивный сигнал. Эти изменения типичны, когда наблюдаются совместно с «матовым стеклом» на КТ, и более диагностически значимы, чем гиперинтенсивные на Т2 очаги.
в) Дифференциальная диагностика фиброзной дисплазии пазухи, носа:
1. Синоназальная оссифицирующая фиброма:
• Солитарная, экспансивная, хорошо отграниченная
• Смешанной «костной» и «мягкотканной» плотности
2. Синоназальная остеома:
• Солитарная, четко отграниченная; пролабирует в просвет пазухи
• С плотными оссификатами
3. Неоостеогенез:
• Солитарный, хорошо отграниченный склероз стенок пазух
• Возле зоны операции или хронического воспаления
4. Менингиома основания черепа:
• Гиперостоз может имитировать ФД, отличительный признак - контрастирующийся интракраниальный дуральный хвост
г) Патология:
1. Общая характеристика:
• Генетика:
о Херувизм: аутосомно-доминантное наследование
• Сопутствующие патологические изменения:
о Обструкция пазухи — рецидивирующая инфекция, формирование мукоцеле, обструкция носа
2. Микроскопия:
• Незрелый, плохо организованный костный компонент, возникший путем метаплазии из фиброзной стромы
д) Клинические особенности:
1. Проявления:
• Типичные признаки/симптомы:
о Безболезненный отек, обструкция пазух или носа
2. Демография:
• Возраст:
о 75% < 30 лет
• Пол:
о М• Эпидемиология:
о Моностотическая (70-80%): голова и шея (25%)
о Полиостотическая (20-30%): кости головы и шеи (>50%)
о Синдром МакКьюна-Олбрайта (3-10% ФД)
3. Течение и прогноз:
• Останавливается при прекращении роста скелета
• Прогрессирование после 13 лет нетипично и минимально
• Злокачественная трансформация (< 1%):
о Чаще при полиостотической форме или синдроме МакКьюна-Олбрайта
4. Лечение:
• Клинические и лучевые исследования в динамике при минимальной симптоматике
• Хирургическое удаление при функциональных нарушениях
е) Диагностическая памятка:
1. Следует учесть:
• ФД при наличии экспансивного внутрикостного поражения на МРТ с накоплением контраста, особенно при гипоинтенсивном сигнале на Т2; выполняется КТ без КУ
2. Советы по интерпретации изображений:
• МР-картина (сигнал и характер контрастирования) крайне вариабельна и может имитировать агрессивную опухоль:
о КТ без КУ: метод решения проблем
ж) Список использованной литературы:
1. Belsuzarri ТА et al: McCune-Albright syndrome with craniofacial dysplasia: Clinical review and surgical management. Surg Neurol Int. 7(Suppl 6):S165-9, 2016
2. DeKlotz TR et al: Sinonasal disease in polyostotic fibrous dysplasia and McCune-Albright Syndrome. Laryngoscope. 123(4):823-8, 2013
3. Amit M et al: Surgery versus watchful waiting in patients with craniofacial fibrous dysplasia - a meta-analysis. PLoS One. 6(9):e25179, 2011
2. Определения:
• Моностотическая ФД (МФД): поражение только одной кости
• Полиостотическая ФД (ПФД): поражение двух (или более) костей
• Краниофациальная ФД (КФД): ПФД краниофациальной области
• Синдром Яффе-Лихтенштейна: МФД с кожными проявлениями
• Синдром МакКьюна-Олбрайта (СМО): ПФД с сопутствующей пигментацией кожи и эндокринопатиями, например преждевременным половым созреванием
1. Общая характеристика:
• Лучший диагностический критерий:
о Нарушение картины костной ткани, часто в виде «матового стекла» с интактными, но истонченными и вздутыми кортикальными пластинками пораженной кости (костей)
о Плавный переход патологического очага в окружающую кость
• Локализация:
о Различные кости лицевого или мозгового черепа:
- Из-за субклинических поражений частота поражения костей может быть определена неверно
- Верхняя челюсть > нижняя челюсть > решетчатая и клиновидная кость > височная кость:
Описаны два случая изолированной МФД носовой раковины
Преимущественно одностороннее поражение челюстно-лицевой области
о МФД = 80% ФД; 10-20% МФД возникают в области лица (возможна недооценка)
о ПФД следующая наиболее распространенная форма; 50-100% ПФД возникают в области лица
о СМО-наиболее редкий вариант
о В исследовании Национального Института Здоровья у 92% из 106 участников с КФД выявлено вовлечение синоназальной области
• Размер:
о Варьирует от небольшого локального поражения до вовлечения нескольких (или большей части) костей
• Морфология:
о Разрастание кости независимо от функции:
- Асимметрия при одностороннем процессе
о Возможно поражение околоносовых пазух, полости носа, глазниц, отверстий, каналов

(Слева) На корональной КЛКТ определяется нарушение картины костной ткани у пациента с краниофациальной ФД (КФД) с вовлечением обеих верхнечелюстных пазух и уменьшением их объема. Нарушена морфология альвеолярных отростков верхней челюсти; визуализируются щечные экзостозы, не связанные с КФД.
(Справа) На аксиальной КЛКТ у этого же пациента определяется картина КФД с диффузным нарушением структуры костной ткани верхней челюсти и скуловых костей. Кортикальные пластинки остаются интактными, признаки вздутия на этом срезе отсутствуют.
2. Рентгенография при фиброзной дисплазии носа и околоносовых пазухи:
• Рентгенологические признаки:
о Патологическая картина костной ткани с менее и более рентгеноконтрастными участками:
- Картина «матового стекла» (экстраоральнэя рентгенография) или «апельсиновой кожуры» (интраоральная рентгенография)
- Рентгенонегативное, смешанное рентгенонегативное и рентгеноконтрастное, либо полностью рентгеноконтрастное поражение
- Поражение верхней челюсти обычно рентгеноконтрастное
о Кортикальные пластинки пораженных костей сохранены, но возможно их истончение
о Избыточный рост костной ткани с нарушенной морфологией
о Поражение окружающих структур: околоносовых пазух, полости носа, глазниц, каналов, отверстий
о Могут обнаруживаться сопутствующие простые костные кисты (хорошо отграниченные рентгенонегативные участки)
3. КТ при фиброзной дисплазии носа и околоносовых пазухи:
• КТ без КУ или КЛКТ:
о Интактная/вздутая кортикальная пластинка костей
о Нарушение морфологии костей
4. МРТ при фиброзной дисплазии носа и околоносовых пазухи:
• Т1 ВИ:
о Интенсивность сигнала варьирует в зависимости от отношения фиброза и минерализованных тканей
о Не патогномоничный признак
• Т2 ВИ:
о Однородный сигнал от промежуточного до гипоинтенсивного: - «Матовое стекло» = ↓ сигнал; фиброзная ткань = промежуточный или ↑ сигнал
• Т1 ВИ С+ FS:
о Может использоваться для оценки сопутствующих аневризматических костных кист при КФД
5. Рекомендации по визуализации:
• Лучший метод визуализации:
о Периапикальная или панорамная рентгенография для определения внутренней структуры и протяженности поражения
о КТ без КУ (костное окно) или КЛКТ для оценки воздействия на окружающие структуры
• Выбор протокола:
о КТ без контрастного усиления или КЛКТ

(Слева) На сагиттальной реформатированной КЛКТ у этого же пациента определяется огрубление костной ткани, характерное для КФД с вовлечением левой верхнечелюстной пазухи и выраженным уменьшением ее объема. Обратите внимание на кортикальные пластинки нормальной толщины и плотности.
(Справа) На интраоральной фотографии определяется одностороннее увеличение альвеолярного отростка в результате ФД с пересечением средней линии неба. Обратите внимание, что слизистая оболочка не изменена. Кариес зубов не связан с ФД.
в) Дифференциальная диагностика фиброзной дисплазии носа и околоносовых пазухи:
1. Остеома:
• Обычно более рентгеноконтрастна по сравнению с ФД
• Медианный возраст: 35 лет
2. Оссифицирующая фиброма:
• Отделена от кости, в отличие от ФД, тяготеющей к слиянию с костной тканью
• Часто окружена рентгенонегативным периферическим участком (капсулой)
• В отличие от ФД приводит к вздутию вокруг центральной области
• Отсутствует мутация GNAS1
3. Ювенильная оссифицирующая фиброма:
• Отделена от кости
• Быстрее растет у детей
4. Болезнь Педжета:
• Большинство пациентов старше 40 лет
• Обычно не поражает околоносовые пазухи
5. Херувизм:
• Обычно двухсторонний процесс, выявляемый в возрасте до шести лет
• Начинается наиболее часто с поражения нижней челюсти
• Возможно поражение всех четырех квадрантов зубных дуг:
о Патологические очаги в верхней челюсти могут распространяться в верхнечелюстные пазухи
• Вначале рентгенонегативное многокамерное поражение; по мере взросления ребенка очаги становятся более «зернистыми»
6. Остеомиелит:
• Утолщение кости вследствие формирования костной ткани под надкостницей за пределами кортикальной пластинки
• Под вновь сформированной костью могут обнаруживаться дефекты кортикальной пластинки
7. Остеосаркома:
• Возможна аналогичная картина поражения кости
• Может обнаруживаться симптом Гаррингтона: расширение пространства периодонтальной связки
• Периостальная реакция: в виде «козырьков Кодмена» или спикулообразная
• Может возникать из очагов ФД; низкая вероятность злокачественной трансформации (<1%)

(Слева) На корональной КТ в костном окне определяется ПФД с поражением глазницы, петушиного гребня, решетчатого лабиринта, средней носовой раковины справа. Оцените типичную картину «матового стекла». Носовая перегородка смещена влево.
(Справа) На аксиальной МРТ (Т2ВИ) у этого же пациента определяется выраженный гипоинтенсивный сигнал в пораженных костях. Поражение однородное и сопоставимо с «матовым стеклом» на КТ. При большем количестве фиброзной ткани ожидаемы очаги с более интенсивным сигналом и более длительным временем повторения.
1. Общая характеристика:
• Этиология:
о Соматическая мутация гена GNAS1 в 20q13:
- GNAS1 кодирует субъединицу Gsa белка Gs, стимулирующего фермент аденилатциклазу и избыточную продукцию 3', 5'- циклического аденозинмонофосфата
- ↑ сАМР может приводить к понижающей регуляции осте-областического фактора транскрипции Runx2 — нарушение дифференцировки остеобластов с нарастанием количества и активацией остеокластов →↑ интерлейкин-6 →↑ резорбция кости
- Приводит к t пролиферации клеток, сопутствующих остеогенезу
• Генетика:
о Обычно не носит семейный характер
• Сопутствующие нарушения:
о СМО: пятна «кофе с молоком»
о СМО: эндокринопатии
о Простые костные кисты
о Аневризматические костные кисты (КФД)
2. Стадирование, градации, классификация фиброзной дисплазии носа и околоносовых пазух:
• Субклинические формы:
о Случайная находка на рентгенограммах
• Клиническая моностотическая ФД:
о Нарушение морфологии одной кости, различимое клинически или обусловливающее симптоматику (напр., боль)
• Клиническая полиостотическая ФД:
о Нарушение морфологии нескольких костей (деформация контуров)
о Боль или слепота вследствие сужения отверстий, пропускающих нервы
3. Макроскопические и хирургические особенности:
• Мягкая, «резиновая», зернистая или твердая ткань коричневато-белого или желтого цвета
4. Микроскопия:
• Замещение нормальной костной ткани неравномерно разбросанными (в виде «завитков») веретеновидными клетками, напоминающими фибробласты
• Трабекулы незрелой ретикулофиброзной ткани могут давать картину китайских иероглифов или иудейского письма или нагромождения букв
1. Проявления:
• Типичные признаки/симптомы:
о Увеличение/вздутие пораженной кости
о Симптомы обычно отсутствуют, но возможна боль и слепота
• Другие признаки/симптомы:
о Смещение зубов
о Мукоцеле околоносовых пазух
о Обструкция полости носа → рецидивирующий риносинусит, гипо-/аносмия
о Тригеминальная невралгия
2. Демография:
• Возраст:
о Обычно два первых десятилетия жизни
о У детей средний возраст = 13 лет, тенденция к прогрессированию
о В более старшей группе (средний возраст =25 лет) тенденция к прогрессированию отсутствует
• Пол:
о Чаще заболевают женщины (особенно полиостотические формы)
3. Течение и прогноз:
• Большинство очагов прекращают расти по завершению соматического роста:
о Очаги МФД скорее всего прекратят расти в пубертатном периоде
о Очаги КФД могут продолжать расти после пубертатного периода
• Возможны сопутствующие простые или аневризматические костные кисты
• Спонтанная злокачественная трансформация → саркома
4. Лечение:
• Обычно не показано в период соматического роста в связи с высоким потенциалом роста ФД
• Хирургическое вмешательство для улучшения функции или коррекции эстетических нарушений
• Резекция или реконструкция при воздействии на витальные структуры
• Лучевая терапия противопоказана из-за риска саркоматозных изменений
е) Диагностическая памятка. Советы по интерпретации изображений:
• Патологический очаг должен быть ограничен кортикальными пластинками
Фиброзная дисплазия ЛОР-органов
Фиброзная дисплазия лор-органов — разновидность патологии развития костей, заключающаяся в том, что костная ткань заменяется соединительной с включениями костных частиц. Болезнь считается опухолевой, в основном имеет доброкачественный вид, в злокачественный переходит очень редко. Второе название болезнь Брайцева Лихтенштейна. В международных документах ей присвоен код М 85.0.
Фиброзная дисплазия лор-органов – виды
Фиброзная дисплазия ЛОР-органов еще недостаточно изучена, но занимает первое место среди опухолевидных поражений лицевых костей. Болезнь наблюдается сравнительно редко, описаны только отдельные случаи, поэтому классификация не разработана.
В клинической медицине выделяют два вида опухолей:
- монооссальная фиброзная дисплазия лор-органов (свыше 70% случаев),
- полиоссальные (около 30% случаев).
Заболевание поражает преимущественно возленосовые камеры с очень редким вовлечением височной кости.
Причины
Фиброзный процесс в лор-органах развивается медленно. Доклинический период может продолжаться много лет. Скорость течения заболевания зависит от возраста больного, места нахождения опухоли, количества пораженных костей. Фиброзная аномалия – доброкачественное образование, но по типу разрастания она близка к злокачественным опухолям. Увеличиваясь в размерах, она сдавливает и нарушает работу расположенных рядом органов.
В начале заболевания симптомов критически мало. Нередко единственный признак того, что начались изменения костей, это местный воспалительный процесс в виде синусита или отита. И только когда становится заметна деформация лица, больной обращается к врачу. Вместо деформации на лице может образоваться припухлость, но кожный покров над выступающей частью не воспаляется, а имеет обычный цвет. В это же время появляются головная боль, изменяется слух, снижается острота слуха и зрения.
Симптомы
Причины появления заболевания неизвестны. Также медицина не знает, какие факторы являются провоцирующими развитие фиброзной дисплазии в лор-органах.
Зато достаточно хорошо изучен патогенез, то есть механизм развития опухоли в лор-органах. Болезнь делится на два периода. В первой опухоль прогрессирует во второй стабилизируется. Прогрессирование характерно для детского возраста. Типичное развитие заболевания проходят циклами. Процесс прогрессирует пока ребенок растет, и затухает при достижении подросткового возраста, что дает врачам основание считать, что причиной появления заболевания может быть гормональный фон.
Когда развитие организма полностью закончится, наступает период стабилизации. Если у взрослого заболевание стало прогрессировать, это указывает на появление осложнений или начало нового патологического течения.
Фиброзная дисплазия ЛОР-органов. Методы диагностики

При диагностике приходится отделять фиброзный процесс от других патологий лица, воспалений, приведших к гиперпластическим процессам, воспалений, вызванных травмами, воспалительных процессов носа и височной части.
Главный метод диагностики – компьютерная томография в трехмерном измерении. С ее помощью определяют величину и местонахождение пораженной области, требуемый объем хирургического вмешательства.
Дополнительным методом может стать фиброэндоскопия. Составляя анамнез, врач отметит сопутствующие заболевания носоглотки, хронические болезни, ранние симптомы дисплазии.
Фиброэндоскопия заключается в введении через носовые ходы в лор-органы тонкого зонда с видеокамерой на конце, через которую врач видит в подробностях все находящееся по ходу проникновения зонда. Во время фиброэндоскопии врач возьмет фиброзный биоматериал для биопсии. Исследование этого образца поможет поставить окончательный диагноз.
Фиброзная дисплазия ЛОР-органов. Методы лечения
Лечение направлено на устранение изменений костей лица и черепа. У детей хирургическое вмешательство должно быть максимально щадящим, так как их кости еще продолжают расти и развиваться.
- Медикаментозно назначают общеукрепляющее средство, витамины, иммуностимулирующие препараты.
- Хирургия – операционный метод играет главную роль в лечении дисплазии.
У детей больной участок иссекают до здоровой ткани. При лечении взрослых возможно тотальное удаление пораженной кости и дальнейшая ее реконструкция методом пластической хирургии. Показаниями к операции являются появление деформаций, нарушения в строении одновременно с отсутствием созревания аномальной ткани.

Растущий ребенок, не имеющий осложнений, аномалия у которого не показывает стремления к интенсивному росту, может обойтись без хирургического вмешательства. Если же лицо выраженно изменилось, появились признаки обезображивания, нагноения – без операции не обойтись. Опухолевидное образование нужно удалять, форму лицевых костей восстанавливать.
Операция проходит со вскрытием кости. Патологическую ткань срезают до здоровой костной части. Ранние операции позволяют полностью избавиться от рецидивов и избежать появления осложнений, сохранив в целости основную часть костей лица.
Кафедра оториноларингологии Российского университета Дружбы народов, Москва
Кафедра оториноларингологии, кафедра патологической анатомии Российского университета дружбы народов, Москва, Россия, 117198
кафедра патологической анатомии Российского университета дружбы народов, Москва, Россия, 117198
Диагностика новообразований полости носа и околоносовых пазух
Журнал: Вестник оториноларингологии. 2015;80(1): 72‑74
Цель работы — изучение ранней диагностики доброкачественных и злокачественных опухолей полости носа и околоносовых пазух. Проведено иммуногистохимическое исследование и его анализ, позволившие не только провести дифференциальную диагностику опухолевых процессов полости носа и околоносовых пазух, но и оценить злокачественный потенциал каждого образования. В ходе иммуногистохимических исследований выявлено, что при формировании рака полости носа и околоносовых пазух резко повышается пролиферативная активность эпителия, а также в атипических клетках выявляется большое количество мутантного белка Р53. При развитии инвертированной папилломы, так же как и в неизмененном эпителии, клетки обладают слабой пролиферативной активностью, содержат в цитоплазме характерный для нормального эпителия цитокератин 8 и не экспрессируют на поверхности цитоплазматической мембраны патологический рецепторный белок.
Специфика доброкачественных и злокачественных новообразований полости носа (ПН) и околоносовых пазух (ОНП) представляет научно-практический интерес и требует пристального изучения, поскольку поражение опухолевым процессом слизистой оболочки ПН и ОНП занимает 2-е и 3-е места по частоте среди опухолей верхних дыхательных путей.
Инвертированная папиллома (ИП) относится к доброкачественным новообразованиям и, по данным ряда авторов, составляет от 0,4 до 4,7% случаев по отношению ко всем опухолям ПН и ОНП. Также опухоль склонна к частому рецидивированию и малигнизации [1—3].
Согласно данным литературы, злокачественные опухоли ПН и ОНП составляют 1 — 3% от злокачественных опухолей всех локализаций. Наиболее часто встречающейся злокачественной опухолью ПН и ОНП является плоскоклеточный рак (60—98%) [2]. В структуре онкологической заболеваемости рак слизистой оболочки ПН и ОНП составляет 0,2—5% [2, 3].
В настоящее время число больных с обеими патологиями неуклонно растет, ранняя диагностика заболевания остается очень трудной, а помощь больным с распространенными формами опухолей малоэффективна.
Все это свидетельствует о необходимости изучения, уточнения и систематизации новых методов диагностики и лечения, последовательности их применения с целью профилактики возможных осложнений и возникновения рецидивов заболевания.
Зачастую диагноз злокачественной опухоли основывается на комплексном клинико-морфологическом анализе с привлечением при необходимости результатов дополнительных методов исследования, в том числе иммуногистохимии [3, 4].
Широкое развитие методов иммуногистохимической диагностики опухолевого роста в настоящее время позволяет провести дифференциальную диагностику различных новообразований [2, 5—7].
Иммуногистохимия — это метод идентификации и определения локализации в клетке и тканях структур, имеющих антигенные свойства, основанный на реакции антиген—антитело. Преимуществом иммуногистохимического исследования является возможность определения характера патологического процесса в плохо сохранившихся биоптатах или биоптатах с недостаточным объемом материала. Принципиальным отличием иммуногистохимии от других методов иммунологической диагностики является структурная специфичность исследования: возможность оценить не только наличие исследуемого антигена в образце, но и его количество, распределение в гистологическом препарате [4, 5, 7].
Именно всестороннее изучение особенностей клиники, диагностики и лечения доброкачественных и злокачественных опухолей слизистой оболочки ПН и ОНП является чрезвычайно актуальной проблемой, имеющей важное социальное значение.
Цель исследования — изучение особенностей диагностики и клинического течения инвертированной папилломы и рака слизистой оболочки ПН и ОНП с использованием иммуногистохимической методики.
Обследован 51 больной (42 из них с диагнозом ИП и 9 с диагнозом «рак»). Был также проведен ретроспективный анализ 28 больных (12 больных раком ПН и ОНП и 16 — ИП) на основании изучения историй болезни, взятых из архива, и вызова больных в клинику для обследования в отдаленном послеоперационном периоде.
Больных ИП было 58, раком слизистой оболочки ПН и ОНП — 21.
Поражение опухолевым процессом во всех случаях было односторонним.
Большую ценность для постановки диагноза представлял тщательно собранный анамнез и данные осмотра. Обращали внимание на сведения, касающиеся начала заболевания, первых признаков, его развития, наличия или отсутствия рецидивов, предшествующего лечения. В ходе исследования данных анамнеза не удалось проследить связь развития онкологического заболевания с вредными привычками или профессиональными вредностями. Также у исследуемых пациентов не было в анамнезе воздействия на организм ионизирующего излучения и других вредных факторов окружающей среды.
Проведенное исследование, помимо данных анамнеза, включало также данные методов лучевой диагностики (рентгенография, рентгенотомография, КТ и МРТ ОНП), проведенного лечения (особенности хода и объем хирургического вмешательства), результаты детального гистологического и иммуногистохимического исследования материала, полученного во время операций, особенности послеоперационного периода. Также изучали данные послеоперационных осмотров для оценки непосредственных и отдаленных результатов лечения.
В ходе проведенного исследования было отмечено, что ИП, равно как и ее рецидивы, сочеталась с дисплазированным эпителием, который был выявлен при морфологическом исследовании эпителия слизистой оболочки ПН и ОНП, полученного как при биопсии, так и после расширенных хирургических вмешательств и располагающегося по окружности ИП в среднем на расстоянии не более 0,5 см. Поскольку клинически дисплазированный эпителий ничем не проявляется, то необходим такой метод исследования, который позволил бы оценить его злокачественный потенциал. Таким методом, на наш взгляд, является иммуногистохимическая диагностика.
Критерием отбора пациентов для проведения исследования был гистологически подтвержденный диагноз ИП и рака ПН и ОНП.
Иммуногистохимическое исследование биопсийного материала пациентов проводили в соответствии со стандартным протоколом приготовления гистологических препаратов.
При анализе клинических данных нами отмечено, что наиболее часто встречающимся клиническим проявлением ИП и рака ПН и ОНП, которое было выражено в той или иной степени у всех пациентов, являлось одностороннее затруднение носового дыхания (в 50,4% случаев). Также достаточно частыми клиническими проявлениями были выделения из одной половины ПН слизистого, слизисто-гнойного, гнойного и геморрагического характера (в 10,8% — при ИП и в 11,1% — при раке ПН и ОНП). Односторонние носовые кровотечения, зачастую рецидивирующие, отмечались в основном у лиц со злокачественным процессом ПН и ОНП (в 13,3% случаев). Нарушения обоняния от гипосмии до аносмии были выражены в различной степени как у больных с ИП, так и раком слизистой оболочки: гипосмия у лиц с ИП отмечена в 36 (21,7%) случаях, аносмии в случаях ИП не было; аносмия у больных раком отмечена в 7 (5,2%) наблюдениях, гипосмия — в 5 (3,7%) случаях. Ощущение инородного тела в ПН, тяжести, давления было отмечено у 12 (7,2%) пациентов с ИП, у больных раком слизистой оболочки эти проявления были более выраженными и встречались гораздо чаще — в 18 (13,3%) случаях.
Таким образом, врач-оториноларинголог, наблюдая у пациента совокупность вышеуказанных симптомов, может заподозрить наличие ИП и рака ПН и ОНП.
Поражение полости носа ИП отмечено в 33 (42%) наблюдениях. Изолированного вовлечения в опухолевый процесс ОНП в ходе нашего исследования не выявлено. Отмечено одностороннее поражение ПН и ОНП как при ИП, так и при раке слизистой оболочки.
При КТ определены различия между ИП и раком ПН и ОНП. Для обеих патологий характерна односторонняя локализация процесса. Поверхность И.П. имеет бугристо-мелкодольчатый характер, структура — мягкотканую плотность, относительно четкие контуры и при ее значительных размерах — признаки деструкции стенок ПН и ОНП за счет остеопороза от давления. Признаком злокачественного течения опухолевого процесса является локальное или протяженное разрушение костных стенок и распространение образования мягкотканой плотности за пределы костных границ пазухи.
Повышение пролиферативной активности клеток является основным звеном патогенеза опухолевого роста. В связи с этим были изучены особенности экспрессии белка Ki-67 при различных видах патологии слизистой оболочки ПН и ОНП. Проведенные исследования показали, что вероятным источником развития рака слизистой оболочки ПН и ОНП могут быть также участки диспластических изменений эпителия, окружающие ИП на расстоянии в среднем до 0,5 см и обладающие более высокой общей пролиферативной активностью клеток по сравнению с нормальной слизистой оболочкой и ИП.
Мутации гена опухолевой супрессии р53 являются частыми генетическими нарушениями, связанными с онкологическими заболеваниями. Результатом этих мутаций является синтез более устойчивого белка, который определяется иммуногистохимически. Он может быть использован в качестве косвенного индикатора этих нарушений. Экспрессия белка Р53 отмечалась только при раке слизистой оболочки ПН и ОНП. Отсутствие подобной экспрессии в неизмененном эпителии, при гиперплазии слизистой оболочки, в ИП и при дисплазии эпителия слизистой оболочки делает этот маркер надежным критерием для иммуногистохимической диагностики плоскоклеточного рака данной локализации.
В неизмененном эпителии и при развитии доброкачественных процессов в слизистой оболочке ПН и ОНП эпителиальные клетки сохраняли способность экспрессировать характерный для нормального эпителия цитокератин 8. При развитии диспластических процессов в слизистой оболочке, и особенно при формировании плоскоклеточного рака, атипический эпителий цитокератин 8 не экспрессирует.
При иммуногистохимическом изучении патологического рецепторного белка РЭФР-2 его экспрессия не была выявлена на поверхности цитоплазматической мембраны эпителиальных клеток неизмененной слизистой оболочки ПН и ОНП. Наши исследования показали, что эпителиальные клетки ИП также не экспрессируют РЭФР-2.
Иммуногистохимические исследования диспластических процессов в слизистой оболочке ПН показали, что на фоне злокачественной трансформации эпителиальных клеток они приобретают способность экспрессировать характерный для неопластической трансформации патологический рецепторный белок РЭФР-2.
1. Наличие одностороннего затруднения носового дыхания (в 50,4% случаев), нарушения обоняния (в 30,6% случаев), носовых кровотечений, зачастую (в 23,5% случаев) рецидивирующих патологических выделений из ПН (21,9% случаев), ощущения инородного тела в ПН, тяжести, давления (в 20,5% случаев) позволяет врачу-оториноларингологу заподозрить наличие неопластического процесса в ПН или ОНП. При этом, по данным клинического материала, рак отличается от ИП более агрессивным течением, быстрым распространением и разрушением анатомических структур, выявленных при проведении КТ и МРТ. Окончательная постановка диагноза возможна только при проведении морфологических исследований тканей, взятых при биопсии.
2. Проведение иммуногистохимического исследования и его анализ позволяет не только провести дифференциальную диагностику опухолевых процессов ПН и ОНП, но и оценить злокачественный потенциал каждого образования.
3. Выявление дисплазии эпителия возможно только с использованием морфологических методов исследования, но не клинически или с помощью КТ и МРТ. С помощью иммуногистохимического метода доказано, что при развитии диспластических процессов в слизистой оболочке резко повышается пролиферативная активность атипического эпителия, теряется способность экспрессировать цитокератин 8, и он экспрессирует на цитоплазматической мембране патологический рецепторный белок РЭФР-2, что позволяет рассматривать дисплазию, как возможный источник неопластических изменений.
4. Отмечено, что при формировании рака ПН и ОНП резко повышается пролиферативная активность эпителия, он не содержит цитокератин 8, интенсивно экспрессирует на цитоплазматической мембране патологический рецепторный белок РЭФР-2, а также в атипичных клетках выявляется большое количество мутантного белка Р53.
5. В неизмененном эпителии, так же как при развитии ИП, эпителиальные клетки обладают слабой пролиферативной активностью, содержат в цитоплазме характерный для железистого эпителия цитокератин 8 и не экспрессируют на поверхности цитоплазматической мембраны патологический рецепторный белок. Все это свидетельствует о том, что ИП является доброкачественным новообразованием.
Читайте также:
