Лучевая диагностика опухоли оболочки нерва челюсти
Добавил пользователь Евгений Кузнецов Обновлено: 02.01.2026
а) Терминология:
1. Аббревиатуры:
• Периневральная злокачественная опухолевая инвазия (ПОИ) жевательного пространства (ЖП) по нижнечелюстному нерву (третья ветвь тройничного нерва)
2. Синонимы:
• Периневральное распространение, периневральная инвазия
• Тройничный ганглий = гассеров узел, полулунный ганглий
3. Определения:
• ЧН V3: третья ветвь тройничного нерва (ЧН V)
• Периневральная инвазия ЧН V3: злокачественный опухолевый рост вдоль волокон нижнечелюстного нерва, благодаря которому новообразование может через овальное отверстие проникнуть в тройничную полость
• Тройничная полость: небольшая цистерна, в которой находится тройничный нерв:
о В переднем отделе расположен тройничный ганглий
б) Визуализация:
1. Общая характеристика:
• Лучший диагностический критерий:
о На Т1ВИ с контрастированием визуализируется увеличенный нижнечелюстной нерв, накапливающий контраст
• Локализация:
о Может наблюдаться по всей длине нерва, от подбородочного отверстия до его отхождения в области латерального края моста:
- Нижний альвеолярный нерв: в нижнем альвеолярном канале от подбородочного отверстия до отверстия нижней челюсти
- Нижнечелюстная ветвь, ЧН-V3: от отверстия нижней челюсти до овального отверстия
- Овальное отверстие: отверстие в основании черепа, через которое проходит нижнечелюстной нерв
- Тройничная полость: цистерна, расположенная ниже и латеральнее пещеристого синуса, в которой расположен тройничный ганглий
- Преганглионарный сегмент нижнечелюстного нерва: небольшой участок от тройничной полости до места отхождения нерва от латерального края моста
• Размер:
о Обычно нерв увеличивается в размерах, достигая 1 см
о На ранней стадии размер может оставаться нормальным
• Морфология:
о Линейная форма, соответствует анатомическому ходу нерва

(Слева) МРТ Т1ВИ в аксиальной проекции, пациент, которому ранее проводилось лечение по поводу плоскоклеточного рака носоглотки. Костный мозг в правой ветви нижней челюсти замещен опухолевой тканью, на уровне отверстия нижней челюсти также определяется патологическая ткань, появление которой связано с распространением опухоли по нижнечелюстному нерву. Обратите внимание на нормальный костный мозг левой ветви нижней челюсти, который имеет гиперинтенсивный сигнал.
(Справа) МРТ Т1ВИ в аксиальной проекции, этот же пациент. Периневральное распространение опухоли по нижнечелюстному нерву с облитерацией жировой клетчатки жевательного пространства.
2. КТ при периневральной опухолевой инвазии жевательного пространства по нижнечелюстному нерву:
• КТ с КУ:
о Нерв расширен и накапливает контраст
о Аномальное накопление контрастного вещества расширенным пещеристым синусом и тройничной полостью
• КТ в костном окне:
о Расширение нижнего альвеолярного канала
о Расширение отверстия нижней челюсти
о Увеличение овального отверстия
3. МРТ при периневральной опухолевой инвазии жевательного пространства по нижнечелюстному нерву:
• Т1ВИ:
о Инфильтрация жевательных мышц и жировой клетчатки, окружающей нерв
о Ткань в пределах нижнечелюстного отверстия; интенсивность сигнала от низкой до промежуточной, замещается костный мозг ветви нижней челюсти
о Облитерация жировой клетчатки ниже овального отверстия
о Увеличение размеров нижнечелюстного нерва
о Ранний отек жевательных мышц с их последующей хронической жировой атрофией
• Т2ВИ:
о Расширение тройничной полости, исчезновение нормального жидкостного сигнала
о Повышение интенсивности сигнала от отечного нерва - ненадежный и недостоверный признак
• Т1ВИ с контрастированием:
о Расширенный внечерепной сегмент нижнечелюстного нерва, интенсивно накапливающий контраст:
- Нижний альвеолярный канал нижней челюсти (нижний альвеолярный нерв)
- От отверстия нижней челюсти до овального отверстия (нижнечелюстной нерв)
о Накопление контраста нервом в пределах овального отверстия:
- В норме: низкая интенсивность сигнала
- Следует помнить о vasa nervosa
- Следует помнить об асимметрии крыловидного венозного сплетения
о Увеличение тройничной полости, накопление в ней контрастного вещества
о Накопление контраста жевательными мышцами (острая и подострая стадии денервации)
4. Сцинтиграфия:
• ПЭТ:
о Захват радиофармпрепарата вдоль нижнечелюстного нерва сложно дифференцировать от первичной опухоли, головного мозга
о Возможно использование ПЭТ/КТ, но МРТ более информативна
5. Рекомендации по визуализации:
• Лучший метод визуализации:
о КТ с контрастированием менее чувствительна, рекомендуется проведение МРТ
о МРТ: очень высокая чувствительность, но низкая специфичность:
- У здоровых пациентов асимметрия накопления контраста нервами встречается в 5% случаев
• Протокол исследования:
о Аномальное накопление контраста проще всего заметить на Т1 ВИ с контрастированием в коронарной проекции:
- Режим подавления сигнала от жировой ткани (FS) увеличивает вероятность обнаружения
- В FS возможно появление чувствительных артефактов, которые затрудняют обнаружение периневральной инвазии
о Т1ВИ без контраста и без режима FS можно использовать для того, чтобы обнаружить облитерацию жировой ткани ниже овального отверстия

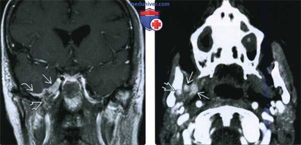
(Слева) МРТ Т1ВИ с КУ, коронарная проекция, этот же пациент. По нижнечелюстному нерву опухоль распространяется в овальное отверстие и тройничную полость. Также опухоль прорастает латеральнее, в твердую мозговую оболочку средней черепной ямки.
(Справа) КТ с КУ в аксиальной проекции, этот же пациент. В области правого отверстия нижней челюсти определяется накапливающая контраст опухоль. В жевательном пространстве видны участки аномального накопления контраста вдоль волокон нижнечелюстного нерва.
в) Дифференциальная диагностика периневральной опухолевой инвазии жевательного пространства по нижнечелюстному нерву:
1. Асимметрия крыловидного венозного сплетения:
• Венозное сплетение, которое в норме расположено внутри и вокруг жевательных мышц
• Может распространяться до уровня овального отверстия, но внутрь его не входит
• Размеры правого и левого сплетения часто неодинаковы
2. Шваннома нижнечелюстного нерва в ЖП:
• Доброкачественная опухоль оболочки нижнечелюстного нерва
• Промежуточная интенсивность сигнала на Т1 ВИ, неоднородная высокая интенсивность на Т2 ВИ
• При наличии интрамуральных кист возможно неоднородное накопление сигнала
• Опухоль, которая распространяется в овальное отверстие, на коронарных срезах имеет вид колокола
• Может возникать на любом участке нерва
3. Нейрофиброма нижнечелюстного нерва:
• Здесь локализуется редко
• Опухоль, которая распространяется в овальное отверстие, на коронарных срезах имеет вид колокола
• Однородное накопление контрастного вещества
• Может распространяться по ветвям нижнечелюстного нерва
4. Костный мозг костей основания черепа возле овального отверстия:
• Костный мозг костей основания черепа имеет сигнал высокой интенсивности на Т1 ВИ
• Участок гиперинтенсивного сигнала вокруг овального отверстия
• Внутри отверстия ткань костного мозга отделена от нерва кортикальным слоем кости, который при МРТ имеет черный цвет
• Т1 ВИ FS позволяют отличить жировую клетчатку от тканей с интенсивным накоплением контраста
5. Менингиома основания черепа:
• Доброкачественная опухоль мозговых оболочек
• На Т1 и Т2 ВИ интенсивность сигнала соответствует сигналу головного мозга
• Однородное интенсивное накопление контраста
• Может распространяться в овальное отверстие и далее
6. Vasa nervorum нижнечелюстного нерва:
• Небольшие вены, которые в норме сопровождают нижнечелюстной нерв и также следуют через овальное отверстие
• Умеренное периферическое накопление контраста на Т1 ВИ с контрастированием
• Сам нерв на Т1 ВИ с контрастом остается темным
7. Нормальная жировая клетчатка:
• В месте выхода черепных нервов в норме имеется жировая клетчатка
• Участки сигнала высокой интенсивности, окружающие нерв
• Не распространяется за овальное отверстие
• Чтобы отличить жировую клетчатку от накопления контраста необходимо выполнить Т1 FS МРТ или сравнить Т1 ВИ с контрастированием с Т1 ВИ без контрастирования

(Слева) КТ в костном окне, аксиальная проекция. По сравнению с нормальным левым овальным отверстием правое овальное отверстие увеличено в размерах. Расширение отверстия обусловлено распространением злокачественной опухоли по нижнечелюстному нерву.
(Справа) КТ с КУ, аксиальная проекция. По волокнам нижнечелюаного нерва опухоль распространилась в тройничную полость и среднюю черепную ямку. Обратите внимание, что с левой стороны тройничная полость имеет нормальную плотность, соответствующую плотности спинномозговой жидкости.
г) Патология:
1. Общая характеристика:
• Этиология:
о «Путь наименьшего сопротивления» для опухолей, способных к периневральной инвазии
о Экспрессия опухолью факторов роста нервов или молекул адгезии нервных клеток определяет способность новообразования к периневральному распространению
• Опухоль способна распространяться за нервную оболочку или поражать поддерживающие ткани внутри оболочки (эндонев-рий,периневрий,эпиневрий)
• Любая злокачественная опухоль способна к периневральной инвазии
2. Макроскопические и хирургические особенности:
• Увеличение нерва в размере
• Инкапсуляция-замещение нерва
3. Микроскопия:
• Периневральное распространение = морфологические/рентгенологические признаки прорастания опухоли вдоль нервного ствола
• Периневральная инвазия = обнаружение опухолевых клеток в нервной ткани при микроскопии
д) Клинические особенности:
1. Проявления:
• Типичные признаки/симптомы:
о Часто протекает бессимптомно (40%)
о Парестезии нижней части лица
о Боль или онемение в области челюсти
о Денервационная атрофия жевательной мускулатуры
2. Демография:
• Возраст
о 50-80 лет (как при наиболее распространенных первичных опухолях)
• Пол:
о М>Ж, поскольку ПКР чаще встречается у мужчин
• Эпидемиология:
о Опухоли с наибольшей способностью к периневральному распространению:
- Аденокистозный рак
- Плоскоклеточный рак глотки или кожи
- Десмопластическая меланома кожи
- Неходжкинская лимфома
- Мукоэпидермоидный рак
- Базальноклеточный рак
3. Течение и прогноз:
• От наличия периневральной инвазии зависит прогноз
• Крайне неблагоприятный прогностический признак:
о ↑ риск локального рецидива
о ↑ отдаленных метастазов
о ↑ канцероматоз мозговых оболочек
о ↓ выживаемость
• Вероятность восстановления функции черепных нервов после лечения крайне невелика
4. Лечение:
• Лучевая терапия ± хирургическое лечение и химиотерапия
е) Диагностическая памятка:
1. Следует учесть:
• Участки локализации первичной опухоли, которые способны к распространению по нижнечелюстному нерву:
о Кожа подбородка и челюсти (плоскоклеточный рак, меланома, базальноклеточный рак)
о Альвеолярный гребень, позадимолярный треугольник (плоскоклеточный рак небных миндалин и носоглотки)
о Злокачественные опухоли жевательного пространства (саркома, неходжкинская лимфома)
о Злокачественные опухоли околоушной слюнной железы (особенно аденокистозный рак):
- По ушно-височному нерву, ветви лицевого нерва, может распространиться на нижнечелюстной нерв
о У некоторых пациентов выявить первичный очаг не удается:
- Пациенты с раком удаленных участков кожи могут не вспомнить или не сказать о наличии диагноза
2. Советы по интерпретации изображений:
• Нижнечелюстной нерв нужно отследить от подбородочного отверстия до места его отхождения от латерального края моста:
о Обращать внимание на разницу в размерах и накоплении контраста правого и левого нервов
о Наличие периневральной инвазии лучше всего оценивать на Т1 ВИ FS с контрастированием в аксиальной и коронарной проекциях:
- Если артефакты чувствительности затрудняют поиск периневральной инвазии, отключить режим FS
• Не следует путать крыловидное венозное сплетение с периневральной инвазией:
о Следует оценить накопление контраста нижнечелюстным нервом
• Следует помнить о возможности «сегментарного поражения»:
о Участки здорового нерва между сегментами с прорастанием опухоли
ж) Список использованной литературы:
1. Singh FM et al: Patterns of spread of head and neck adenoid cystic carcinoma. Clin Radiol. 70(6):644-53, 2015
2. Curtin HD: Detection of perineural spread: fat suppression versus no fat suppression. AJNR Am J Neuroradiol. 25(1):1-3, 2004
3. Ginsberg LE: MR imaging of perineural tumor spread. Magn Reson Imaging Clin N Am. 10(3):511-25, vi, 2002
Лучевая диагностика опухоли оболочки нерва челюсти
Рентгенограмма, КТ, МРТ при опухоли оболочки нерва челюсти
1. Синонимы:
• Шваннома: неврилеммома, периферическая фибробластома, невринома
• Нейрофиброма (НФ): невринома
2. Определения:
• Доброкачественная периневральная опухоль, возникающая из шванновских клеток оболочки нерва:
о Шваннома: возникает из шванновских клеток, смещает аксоны:
- Шванновские клетки покрывают нервные стволы, выстланные миелином
о НФ: шванновские клетки и клетки периневрия, окружающие аксоны
• Злокачественная опухоль оболочки периферического нерва:
о Наиболее часто наблюдается поражение крупных нервных стволов, в т.ч. плечевого сплетения
1. Общая характеристика:
• Лучший диагностический критерий:
о Хорошо отграниченное однокамерное просветление, на панорамных изображениях часто центрированное на симметрично расширенный нижнечелюстной канал
о Концентрическое вздутие нижнечелюстного канала на корональных изображениях
• Локализация:
о 25-48% возникают в области головы и шеи: преимущественно в языке
о Внутрикостные опухоли встречаются реже, чем поражения мягких тканей: о Нижняя > верхняя челюсть:
- Опухоль обычно связана с нижним альвеолярным нервом
- Задние > передние отделы:
Шваннома описывается как периапикальное образование в задних отделах нижней челюсти и как однокамерное просветление в передних отделах
Дифференциальная диагностика с одонтогенной патологией во многих случаях может быть затруднена
• Размер:
о о Опухоли в мягких тканях могут быть больше
• Морфология:
о Однокамерное образование с четкими контурами, часто выстланными кортикальной пластинкой
о Некоторые НФ описываются как плохо отграниченные

(Слева) На панорамной рентгенограмме у девушки 24 лет определяется однокамерный расширенный участок правого нижнечелюстного канала с четкими контурами. Рентгеновская картина типична для шванномы. Симптоматика у пациентки отсутствует, расширение канала было обнаружено случайно.
(Справа) На панорамной рентгенограмме у этой же пациентки определяется не столь равномерное вздутие нижнечелюстного канала слева. Обратите внимание на некоторое расширение канала сзади от пораженного участка, как на противоположной стороне.
2. Рентгенография при опухоли оболочки нерва челюсти:
• Экстраоральная рентгенография:
о На панорамных изображениях может обнаруживаться симметричное расширение нижнечелюстного канала с локальным веретеновидным вздутием
о Объемное образование передних отделов, выглядящее как изолированное хорошо отграниченное однокамерное просветление, может имитировать периапикальную патологию или одонтогенную/недонтогенную кисту
о НФ могут быть хуже отграничены
о НФ могут приводить к воронковидному расширению нижнечелюстного отверстия в виде «ствола мушкетона»
о Возможно расхождение корней
• КЛКТ и КТ в костном окне:
о Оценка распространенности поражения и вздутия
о Корональные изображения лучше всего позволяют оценить концентрическое вздутие нижнечелюстного канала
3. МРТ при опухоли оболочки нерва челюсти:
• Т1 ВИ:
о Шваннома: наиболее часто промежуточный сигнал
о НФ: преимущественно однородный сигнал, изоинтенсивный скелетным мышцам
• Т2 ВИ:
о Гиперинтенсивный сигнал
• Т1 ВИ С+:
о Шваннома: равномерное накопление контраста
о Локализованная НФ: однородное или «пятнистое» неоднородное контрастирование; хорошо отграниченное веретеновидное образование
4. Рекомендации по визуализации:
• Лучший метод визуализации:
о МРТ для оценки структуры и распространенности опухоли

(Слева) На аксиальной КЛКТ у этой же пациентки определяются объемные образования в нижней челюсти с обеих сторон. Обратите внимание на истончение и вздутие язычных кортикальных пластинок.
(Справа) На корональной КЛКТ у этой же пациентки определяется расширение нижнечелюстного канала с обеих сторон. Обратите внимание на вздутие и истончение язычных кортикальных пластинок больше выраженное справа. Корональные изображения лучше всего позволяют оценить концентрическое вздутие канала в случае двухсторонней шванномы.
в) Дифференциальная диагностика опухоли оболочки нерва челюсти:
1. Сосудистая мальформация:
• Менее симметричное вздутие нижнечелюстного канала
• Канал может изгибаться или становиться извитым
2. Периневральное распространение опухоли вдоль ЧМН V3:
• Злокачественная опухоль, проходящая через нижнечелюстное или подбородочное отверстие, может обусловливать расширение канала
• Края хуже очерчены или разрушены
• Может обнаруживаться объемное образование, связанное с пораженным нервом
3. Простая костная киста:
• Простые костные кисты возникают в этой же возрастной группе
• М>Ж
• Кисту может быть сложно отличить от солитарной опухоли нерва вне нижнечелюстного канала
4. Периапикальный рарефицирующий остеит:
• Воспалительная реакция у вершины корня зуба с пораженной пульпой
• Хорошо отграниченное просветление
• Зуб нежизнеспособен

(Слева) На аксиальной МРТ (Т1 ВИ С+ FS) у этой же пациентки определяется равномерное накопление контраста в шванномах нижнего альвеолярного нерва в расширенных нижнечелюстных каналах с обеих сторон.
(Справа) На аксиальной MPT (Т2 ВИ FS) у этой же пациентки определяется гиперинтенсивный сигнал, типичный для шванномы.
1. Общая характеристика:
• Этиология:
о Пролиферация шванновских клеток и периневральных клеток в периневрии, приводящая к смещению и сдавлению тканей вокруг нерва
• Сопутствующие нарушения:
о Множественные НФ, связанные с нейрофиброматозом 1 типа (НФ1) - болезнью фон Реклингхаузена
- Аутосомно-доминантное нейрокожное заболевание с вариабельной экспрессивностью
- ≥ 2НФ или 1 плексиформная НФ (ПНФ)
- Пятна «кофе с молоком»
- Пигментация подмышек (симптом Кроува)
о Двухсторонние акустические шванномы, связанные с НФ2:
- Аутосомно-доминантное заболевание, связанное с патологией хромосомы 22
- Возможно формирование периферических шванном и менингиом
2. Стадирование, классификация опухоли оболочки нерва челюсти:
• Шванномы имеют различное происхождение:
о Шванномы мягких тканей: в области головы и шеи чаще всего наблюдается акустическая невринома:
- Может вторично поражать кость
о Шванномы питающих каналов: расширение каналов
о Может возникать в кости центрально
• НФ:
о Локализованная: веретеновидное образование, «пропускающее» нерв
о Диффузная: инфильтрация мягких тканей с распространением в подкожную жировую клетчатку
о Плексиформная: опухоль, высокоспецифичная для нейрофиброматоза; переплетающиеся включения нервной ткани в виде клубка червей
3. Макроскопические и хирургические особенности:
• НФ: твердое веретеновидное образование серовато-белого цвета, перемежающееся с исходным нервом
• Шваннома: солидная опухоль, лучше отделенная от связанного нерва из-за наличия капсулы
4. Микроскопия:
• Шваннома:
о Имеет капсулу
о Обычно состоит из палисадно ориентированных веретеновидных клеток (Энтони А); хуже организованная шваннома (Энтони В)
о Тельца Верокаи: бесклеточные эозинофильные участки
о Маркер S100: выраженная положительная реакция
• НФ:
о Не имеет капсулы
о Сочетание шванновских клеток, клеток периневрия, эндоневральных фибробластов:
- Веретеновидные шванновские клетки с вытянутыми или изогнутыми ядрами
о Положительная реакция на S100
1. Проявления:
• Типичные признаки/симптомы:
о Симптоматика часто отсутствует
• Другие признаки/симптомы:
о Боль или парестезия:
- Возможно ощущение покалывания
о Препятствие прорезыванию зубов
о Вздутие кортикальной пластинки
2. Демография:
• Возраст:
о НФ: 9-50 лет
о Шваннома: 10-40 лет
о Наиболее часто 2-4 десятилетие
• Пол:
о Ж:М = 2:1
о Данные литературы противоречивы
• Эпидемиология:
о НФ:
- Частота НФ оболочки периферических нервов челюстно-лицевой области составляет 20-30%
о Шваннома:
- Частота шванном оболочки периферических нервов челюстно-лицевой области составляет 16-22%
3. Течение и прогноз:
• ПНФ, связанная с НФ1, чаще подвергается злокачественной трансформации
• Медленно растущее доброкачественное образование
• Редко наблюдается злокачественная шваннома ЧМН V
4. Лечение:
• Хирургическое (энуклеация) с отделением от пораженного нерва тупым путем
• Рецидив шванномы нетипичен; более вероятен рецидив НФ в связи с инфильтративным ростом
• При множественных поражениях требуется генетическое тестирование:
о Ищите признаки НФ1 у пациента
е) Диагностическая памятка. Следует учесть:
• Солитарная НФ может быть «атипичной формой»: первое или единственное проявление нейрофиброматоза
• Требуется долговременное наблюдение на предмет возникновения других поражений
Опухоли челюстей
Опухоли челюстей - новообразования челюстных костей, исходящие непосредственно из костной ткани или структур одонтогенного аппарата. Опухоли челюстей могут проявлять себя клинически болевым синдромом, деформацией кости, асимметрией лица, смещением и подвижностью зубов, нарушением функции ВНЧС и глотания, нередко - прорастанием в полость носа, верхнечелюстную пазуху, орбиту и т. д. Диагностика опухолей челюстей предполагает рентгенологическое обследование, КТ, сцинтиграфию; при необходимости консультации окулиста, отоларинголога, риноскопию. Лечение доброкачественных опухолей челюстей - только хирургическое (выскабливание, резекция фрагмента челюсти, удаление зубов); злокачественных – комбинированное (лучевая терапия и операция).
МКБ-10


Общие сведения
Опухоли челюстей - остеогенные и неостеогенные, доброкачественные и злокачественные новообразования челюстных костей. На долю опухолей челюстно-лицевой области приходится около 15% всех заболеваний в стоматологии. Опухоли челюстей могут возникать в любом возрасте, в т. ч. довольно часто они встречаются у детей. Опухоли челюстей разнообразны по своему гистогенезу и могут развиваться из костной и соединительной ткани, костного мозга, тканей зубного зачатка, околочелюстных мягких тканей.
По мере своего роста опухоли челюстей вызывают значительные функциональные нарушения и эстетические дефекты. Лечение опухолей челюстей представляет собой технически непростую задачу, требующую объединения усилий специалистов в области челюстно-лицевой хирургии, отоларингологии, офтальмологии, нейрохирургии.

Причины
Вопрос о причинности возникновения опухолей челюстей находится в процессе изучения. На сегодняшний день доказана связь опухолевого процесса со следующими состояниями:
- одномоментной или хронической травмой (ушибом челюсти, повреждением слизистой оболочки полости рта разрушенными кариесом зубами, зубным камнем, краями пломб, некорректно подогнанными коронками и протезами и пр.)
- длительно текущими воспалительными процессами (хроническим периодонтитом, остеомиелитом челюсти, актиномикозом, синуситами и т. д.)
- не исключается вероятность развития опухолей челюсти на фоне инородных тел верхнечелюстной пазухи: пломбировочного материала, корней зубов и пр.
- воздействием неблагоприятных физических и химических факторов (ионизирующего излучения, радиойодтерапии, курения и пр.).
Вторичные злокачественные опухоли челюстей могут являться метастазами рака молочной железы, предстательной железы, щитовидной железы, почки, результатом местного распространения рака языка и др. Рак челюсти может развиваться на фоне предраковых процессов – лейкоплакии полости рта, доброкачественных опухолей полости рта (папиллом), лейкокератоза и т. п.
Классификация
Среди опухолей челюстей различают одонтогенные (органоспецифические) новообразования, связанные с зубообразующими тканями, и неодонтогенные (органонеспецифические), связанные с костью. Одонтогенные опухоли челюстей, в свою очередь, могут быть доброкачественными и злокачественными; эпителиальными, мезенхимальными и смешанными (эпителиально-мезенхимальными).
- Доброкачественные одонтогенные опухоли челюстей представлены амелобластомой, обызвествленной (кальцифицирующейся) эпителиальной одонтогенной опухолью, дентиномой, аденоамелобластомой, амелобластической фибромой, одонтомой, одонтогенной фибромой, миксомой, цементомой, меланоамелобластомой и др.
- Злокачественные одонтогенные опухоли челюстей включают одонтогенный рак и одонтогенную саркому. К остеогенным опухолям челюстей относятся костеобразующие (остеомы, остеобластомы), хрящеобразующие (хондромы), соединительнотканные (фибромы), сосудистые (гемангиомы), костно-мозговые, гладкомышечные и др.
Симптомы опухолей челюстей
Доброкачественные одонтогенные опухоли челюстей
Амелобластома – наиболее частая одонтогенная опухоль челюстей, склонная к инвазивному, местно-деструирующему росту. Поражает преимущественно нижнюю челюсть в области ее тела, угла или ветви. Развивается внутрикостно, может прорастать в мягкие ткани дна полости рта и десны. Чаще проявляется в возрасте 20-40 лет.
В начальном периоде амелобластома протекает бессимптомно, однако по мере увеличения размеров опухоли возникает деформация челюсти, асимметрия лица. Зубы в области поражения часто становятся подвижными и смещаются, может отмечаться зубная боль. Опухоль верхней челюсти может прорастать в полость носа, гайморову пазуху, орбиту; деформировать твердое нёбо и альвеолярный отросток. Нередки случаи нагноения, рецидивирования и малигнизации амелобластомы. Клиническое течение таких опухолей челюсти, как амелобластическая фиброма и одонтоамелобластома, напоминает амелобластому.
Одонтома чаще возникает у детей в возрасте до 15 лет. Обычно опухоли имеют небольшие размеры, протекают бессимптомно, однако могут вызывать задержку прорезывания постоянных зубов, диастемы и тремы. Опухоли большой величины могут приводить к деформации челюсти, образованию свищей.
Одонтогенная фиброма развивается из соединительной ткани зубного зачатка; чаще возникает в детском возрасте. Рост опухоли медленный; локализация – на верхней или нижней челюсти. Одонтогенная фиброма обычно бессимптомна; в некоторых случаях могут отмечаться ноющие боли, ретенция зубов, воспалительные явления в области опухоли.
Цементома – доброкачественная опухоль челюсти, практически всегда спаянная с корнем зуба. Чаще развивается в области премоляров или моляров нижней челюсти. Протекает бессимптомно или с нерезко выраженной болезненностью при пальпации. Изредка встречается множественная гигантская цементома, которая может являться наследственным заболеванием.
Доброкачественные неодонтогенные опухоли челюстей
Остеома может иметь внутрикостный или поверхностный (экзофитный) рост. Опухоль может распространяться в верхнечелюстную пазуху, полость носа, глазницу; препятствовать припасовке зубных протезов. Остеомы нижнечелюстной локализации вызывают боль, асимметрию нижней части лица, нарушение подвижности челюсти; верхнечелюстной локализации – нарушения носового дыхания, экзофтальм, диплопию и другие нарушения.
Остеоид-остеома сопровождается интенсивным болевым синдромом, обостряющимся по ночам, во время приема пищи; асимметрией лица. При осмотре полости рта определяется выбухание кости (чаще в области премоляров и моляров нижней челюсти), гиперемия слизистой оболочки.
Остеобластокластома (гигантоклеточная опухоль челюсти) преимущественно встречается в молодом возрасте (до 20 лет). Развитие клинической картины характеризуется нарастанием боли в челюсти, асимметрии лица и подвижности зубов. Ткани над опухолью изъязвляются; образуются свищи; отмечается повышение температуры тела. Истончение кортикального слоя приводит к возникновению патологических переломов нижней челюсти.
Гемангиома челюсти сравнительно редко бывает изолированной и в большинстве случаев сочетается с гемангиомой мягких тканей лица и полости рта. Сосудистые опухоли челюстей проявляются повышенной кровоточивостью десен, кровотечениями из корневых каналов при лечении пульпита или периодонтита, из лунки при удалении зуба и пр. При осмотре может выявляться флюктуация, расшатанность зубов, синюшность слизистой оболочки.
Злокачественные опухоли челюстей
Злокачественные опухоли челюстей встречаются в 3-4 раза реже доброкачественных. При раке челюсти рано возникают боли, имеющие иррадиирующий характер, подвижность и выпадение зубов, возможны патологические переломы челюсти. Злокачественные опухоли челюстей разрушают костную ткань; прорастают околоушные и поднижнечелюстные железы, жевательные мышцы; метастазируют в шейные и поднижнечелюстные лимфоузлы.
Карцинома верхней челюсти может прорастать в глазницу, полость носа или решетчатый лабиринт. В этом случае отмечаются рецидивирующие носовые кровотечения, односторонний гнойный ринит, затруднение носового дыхания, головные боли, слезотечение, экзофтальм, диплопия, хемоз. При вовлечении ветвей тройничного нерва беспокоят оталгии.
Злокачественные опухоли нижней челюсти рано инфильтрируют мягкие ткани дна полости рта и щек, изъязвляются, кровоточат. Вследствие контрактур крыловидной и жевательной мышц затрудняется смыкание и размыкание зубов. Остеогенные саркомы отличаются стремительным ростом, быстро прогрессирующей инфильтрацией мягких тканей, асимметрией лица, нестерпимой болью, ранним метастазированием в легкие и другие органы.
Диагностика
В большинстве случаев опухоли челюстей диагностируются уже в поздних стадиях, что объясняется неспецифичностью симптоматики или бессимптомным течением, низкой онкологической настороженностью населения и специалистов (стоматологов, отоларингологов и др.). В выявлении опухолей челюстей могут помочь тщательный сбор анамнеза, визуальное и пальпаторное исследование мягких тканей лица и полости рта. Обязательным этапом диагностики является:
- Рентгенологическое обследование. Рентгенография и КТ челюстей, рентгенография и КТ придаточных пазух носа. Определенную диагностическую ценность может представлять сцинтиграфия, термография.
- Биопсия. При обнаружении увеличенных шейных или подчелюстных лимфоузлов выполняется пункционная биопсия лимфатического узла.
- Консультации смежных специалистов. При подозрении на злокачественную опухоль челюсти необходима консультация отоларинголога с проведением риноскопии и фарингоскопии; офтальмолога с комплексным офтальмологическим обследованием.
- Диагностические операции. В ряде случаев приходится прибегать к диагностической гайморотомии или диагностической пункции околоносовой пазухи с последующим цитологическим исследованием промывных вод. Окончательная гистологическая верификация осуществляется с помощью морфологического исследования биоптата.

Лечение опухолей челюстей
Лечение большей части доброкачественных опухолей челюстей – хирургическое. Наиболее оптимальным является удаление новообразования с резекцией челюстной кости в пределах здоровых границ; такой объем вмешательства позволяет предотвратить рецидивы и возможную малигнизацию опухоли. Зубы, прилегающие к опухоли, также часто подлежат экстракции. Возможно удаление некоторых доброкачественных опухолей челюстей, не склонных к рецидивированию, щадящим методом с помощью кюретажа.
При злокачественных опухолях челюстей используется комбинированный метод лечения: гамма-терапия с последующим хирургическим лечением (резекцией или экзартикуляцией челюсти, лимфаденэктомией, экзентерацией глазницы, операцией на околоносовых пазухах и пр.). В запущенных случаях назначается паллиативная лучевая терапия или химиотерапевтическое лечение.
В послеоперационном периоде, особенно после обширных резекций, больным может потребоваться ортопедическое лечение с помощью специальных шин, реконструктивные операции (костная пластика), длительная функциональная реабилитация для восстановления функций жевания, глотания, речи.
Прогноз
При своевременном и радикальном лечении доброкачественных одонтогенных и неодонтогенных опухолей челюстей прогноз для жизни хороший. В случае нерадикально выполненной операции или неправильной оценки характера опухоли есть вероятность рецидива или малигнизации. Течение злокачественных опухолей челюстей крайне неблагоприятное. При раке и саркоме челюсти пятилетняя выживаемость пациентов после комбинированного лечения составляет менее 20%.
Рак верхней челюсти
Рак верхней челюсти – злокачественная опухоль, поражающая верхнечелюстную кость, характеризуется инфильтративным типом роста и регионарным метастазированием. Основными симптомами неоплазии являются заложенность носа, гнойно-кровянистые выделения, постоянная боль ноющего характера, патологическая подвижность интактных зубов, деформация альвеолярного отростка. Диагноз рак верхней челюсти выставляют, базируясь на жалобах пациента, данных физикального обследования, результатах рентгенографии, цитологического и патогистологического исследований. Лечение рака верхней челюсти комбинированное, резекции верхнечелюстной кости предшествует курс химио- или лучевой терапии.

Рак верхней челюсти – первичное или метастатическое злокачественное новообразование, поражающее верхнюю челюсть. Среди пациентов, обратившихся в онкодиспансер, рак верхней челюсти диагностируют в три раза чаще, чем рак нижнечелюстной кости. На один случай саркомы верхней челюсти приходятся четыре случая рака той же локализации. Основную группу пациентов составляют люди среднего возраста (от 40 до 60 лет). В 65% случаев рак верхней челюсти выявляют после 50 лет. Наиболее часто опухоль развивается из слизистой оболочки гайморового синуса. Гистогенетически злокачественное новообразование верхней челюсти у 80% онкобольных является плоскоклеточным раком. Метастазирование рака верхней челюсти наблюдается поздно, метастазы обнаруживают у каждого третьего пациента.
Причины рака верхней челюсти
Наиболее часто причинами рака верхней челюсти являются хронические вялотекущие воспалительные заболевания гайморовых синусов. Реже злокачественная опухоль развивается непосредственно в костной ткани из эпителиальных островков Малассе, или прорастает в кость со слизистой оболочки полости рта, покрывающей небо, щеки, альвеолярный отросток. Высоки риски малигнизации в случае хронической травмы слизистой острыми краями разрушенных зубов, неотполированным базисом съемного протеза или выступающими ребристыми компонентами ортопедических или ортодонтических аппаратов.
Кроме первичного злокачественного новообразования в стоматологии описаны и вторичные формы, когда рак верхней челюсти развивался в результате метастазирования опухолей молочной, щитовидной желез, желудка у онкобольных пациентов. Метапластические изменения цилиндрического эпителия, выстилающего верхнечелюстной синус, возникают вследствие хронического гайморита. Образование гиперпластических разрастаний сопровождается малигнизацией ткани. Гистологически рак верхней челюсти в превалирующем большинстве случаев является плоскоклеточным ороговевающим. Реже обнаруживают аденокарциному, а также неороговевающий плоскоклеточный рак.
Классификация рака верхней челюсти
Различают следующие стадии рака верхней челюсти:
- 1 стадия. Опухоль локализуется в одной анатомической области. Деструктивные изменения кости отсутствуют.
- 2a стадия. Рак верхней челюсти не распространяется на соседние участки. В пределах анатомической области расположения новообразования присутствуют деструктивные изменения кости.
- 2b стадия. Рак верхней челюсти прорастает в смежные участки. На стороне поражения обнаруживают один неспаянный с окружающими тканями метастаз.
- 3a стадия. Рак верхней челюсти распространяется на орбиту, носовую полость. Признаки поражения выявляют на небе, альвеолярном отростке. Присутствует остеолиз костной ткани.
- 3b стадия. В ходе обследования выявляют односторонние или двухсторонние метастазы.
- 4a стадия. Рак верхней челюсти распространяется на носоглотку, основание черепа. На коже возникают изъязвления. Отдаленных метастазов нет.
- 4b стадия. Раком верхней челюсти поражаются смежные области. Также обнаруживают метастазы, спаянные с окружающими тканями.
Симптомы рака верхней челюсти
На начальных стадиях рак верхней челюсти протекает бессимптомно. В течение первых 2-3 месяцев больные связывают заложенность носа, наличие скудных серозных выделений с проявлениями хронического гайморита. Далее клиника рака верхней челюсти становится более явной. Симптоматика напрямую зависит от локализации патологического очага. Если злокачественное новообразование развивается в верхнем участке медиальной стенки, в патологический процесс вовлекаются слезный мешок и слезные ходы, что в дальнейшем приводит к возникновению признаков вторичного дакриоцистита. У больных отмечается усиленное слезотечение, соответствующее стороне поражения. Кожа в зоне внутреннего угла глаза становится отечной, гиперемированной.
При прогрессировании рака верхней челюсти разрушается нижнеглазничная стенка, вследствие чего развиваются экзофтальм и диплопия, падает острота зрения. Если новообразование локализуется в нижнем участке медиальной стенки, пациенты указывают на наличие бурых выделений из носа с неприятным гнилостным запахом. Присутствует ощущение тяжести, заложенности носа. Если рак верхней челюсти поражает переднюю стенку гайморового синуса, возникает выраженный болевой синдром в участке интактных премоляров или моляров. Далее присоединяется патологическая подвижность зубов.
Сильные невралгические боли наблюдаются и при локализации рака верхней челюсти в верхне-наружном квадранте. При распространении опухолевого процесса на участок жевательных мышц нарушается открывание рта. В результате компрессии венозного сплетения блокируется отток лимфы из ретробульбарной клетчатки, что в дальнейшем приводит к возникновению хемоза, экзофтальма. Стертая клиническая картина наблюдается при развитии рака верхней челюсти в нижнем участке внешней стенки гайморового синуса. Основные жалобы сходны с проявлениями хронического гайморита.
Диагностика рака верхней челюсти
Диагноз рак верхней челюсти ставят на основании жалоб пациента, данных анамнеза, результатов клинического, рентгенологического, цитологического и патогистологического исследований. На начальных стадиях клиника рака верхней челюсти сходна с хроническими гайморитом, этмоидитом. Если опухолевый процесс распространяется на костную ткань со слизистой оболочки неба, щеки или альвеолярного отростка, при обследовании врач-стоматолог выявляет исходный патологический очаг в ротовой полости.
При экзофитном типе роста опухоль представлена разрастаниями с признаками изъязвлений. Кратерообразная язвенная поверхность встречается при эндофитном росте злокачественного новообразования. На поздних стадиях рака верхней челюсти выявляют деформацию альвеолярного отростка, патологическую подвижность интактных зубов, отсутствие болевой и тактильной чувствительности в зоне локализации опухоли. Прорастание злокачественного новообразования в орбиту ведет к развитию экзофтальма, становится причиной потери зрения.
Рентгенографически при начальных стадиях рака верхней челюсти, развивающегося со слизистой оболочки гайморового синуса, выявляют завуалированность пазухи. В участке шва, соединяющего альвеолярный отросток со скуловой костью, а также в области нижнеглазничной щели обнаруживают деструктивные изменения кости, нехарактерные для хронического гайморита. На прицельной рентгенограмме определяют резорбцию костной ткани в зоне межзубных и межкорневых перегородок. На поздних стадиях резорбтивные процессы протекают по типу «тающего сахара» без признаков регенерации кости.
Для подтверждения диагноза рак верхней челюсти используют лабораторные исследования. О наличии злокачественной опухоли сигнализирует выявление в ходе цитологического анализа опухолевых клеток в промывных водах, полученных из верхнечелюстных синусов. При отсутствии дренажа через соустье гайморовой пазухи выполняют пункцию. Полученный материал направляют на патогистологическое исследование. Дифференцируют рак верхней челюсти с хроническим гайморитом, одонтогенной радикулярной кистой, хроническим остеомиелитом. Физикальное обследование проводят стоматолог-хирург, онколог, при необходимости отоларинголог.
Лечение рака верхней челюсти
Если рак верхней челюсти не распространился на основание черепа, лечение включает гамма-терапию или химиотерапию, сопровождающуюся введением лекарственных средств в регионарные артерии. Экстирпацию верхней челюсти проводят через 3 недели. После операции показана контактная лучевая терапия ложа удаленного новообразования. При подозрении на метастазирование рака верхней челюсти выполняют иссечение шейных лимфоузлов вместе с клетчаткой.
Наличие нескольких неспаянных с окружающими тканями метастазов или одного спаянного является прямым показанием к выполнению радикального вмешательства, заключающегося в удалении лимфоузлов вместе с подкожной клетчаткой, шейным отделом внутренней яремной вены, нижнечелюстной слюнной железой и грудино-ключично-сосковой мышцей. Операционный дефект восполняют с помощью пластиночного съемного протеза (при условии сохранения мягких тканей) или изготавливают эктопротез. Закрытие соустья ротовой полости с полостью носа осуществляется за счет пластинки-обтуратора. При наличии признаков вовлечения в патологический процесс основания черепа хирургическое вмешательство не осуществляют. Основой лечения рака верхней челюсти в данном случае является химиотерапия и лучевая терапия.
При раннем выявлении злокачественного новообразования прогноз благоприятный. На поздних стадиях рака верхней челюсти распространение опухолевых клеток на основание черепа сопровождается метастазированием. В этом случае прогноз для жизни неблагоприятный. После радикальной лимфаденэктомии ухудшается венозный отток, возникает стойкая деформация шеи, что негативно влияет на качество жизни пациентов.
Рак нижней челюсти
Рак нижней челюсти – злокачественное новообразование, характеризующееся инфильтративным типом роста, ранним метастазированием. Больные указывают на появление острой приступообразной боли, иррадиирующей по ходу нижнечелюстного нерва, парестезию нижней губы и ментальной области, наличие патологической подвижности интактных зубов. Диагностика рака нижней челюсти включает проведение клинико-рентгенологического и цитологического исследований. Лечение рака нижней челюсти состоит из пред- и послеоперационной телегамматерапии, радикальной резекции пораженной части кости. При выявлении метастазов выполняют лимфаденэктомию.
C41.1 Злокачественное новообразование костей и суставных хрящей других и неуточненных локализаций. Нижней челюсти.


Рак нижней челюсти – первичная или вторичная (метастатическая) злокачественная опухоль, поражающая нижнечелюстную кость. Рак нижней челюсти диагностируют реже, чем верхней. На один случай рака нижней челюсти приходится один случай саркомы той же локализации. Первичный опухолевый процесс выявляют преимущественно у мужчин после 40-45 лет. Чаще злокачественное новообразование локализуется в участке моляров. Метастатический рак нижней челюсти встречается преимущественно у женщин вследствие метастазирования опухолей молочной железы, желудка. Гистогенетически рак нижней челюсти в подавляющем большинстве случаев является плоскоклеточным ороговевающим.
Основными причинами рака нижней челюсти являются облигатные и факультативные предраки слизистой оболочки, выстилающей альвеолярный отросток. Злокачественное поражение костной ткани развивается в результате малигнизации папилломатоза, эрозивной или веррукозной формы лейкоплакии. При длительно существующей декубитальной язве слизистой, появившейся вследствие хронической травмы острыми краями разрушенных зубов, также высоки риски перехода воспалительного процесса в опухолевый.
Рак нижней челюсти может возникнуть и в результате прорастания в кость злокачественного новообразования со смежных анатомических областей. На костную ткань опухолевые клетки могут распространиться из дна полости рта, ретромолярного участка. В редких случаях в отделение стоматологии обращаются пациенты с первичным раком нижней челюсти, развивающемся непосредственно в кости из остатков зубного зачатка или эпителиальных клеток оболочки одонтогенной кисты.
По распространенности опухоли различают следующие стадии рака нижней челюсти:
- T1 – злокачественное новообразование локализуется в пределах одной анатомической области.
- T2 – рак нижней челюсти распространяется на два смежных участка.
- T3 – опухоль выходит за пределы двух анатомических областей.
- T4 – в опухолевый процесс вовлекается весь орган.
У онкобольных раком могут поражаться передний отдел нижнечелюстной кости (в проекции нижних резцов), боковые участки (не включая ангулярную зону), а также ветви нижней челюсти.

КТ лицевого скелета. Патоморфологически подтвержденный плоскоклеточный рак альвеолярного отростка нижней челюсти справа с дефектом костной ткани.
Симптомы
Первыми признаками рака нижней челюсти являются острые простреливающие боли. На слизистой оболочке по переходной складке обнаруживают язвенную поверхность с серым плотным дном и рваными изъеденными вывернутыми краями. При инфильтративном распространении опухоли вглубь подлежащих тканей в результате компрессии и постепенного разрушения нижнечелюстного нерва возникает онемение губы и подбородка на стороне поражения. При нарушении целостности кортикальной пластинки, губчатого вещества интактные зубы начинают расшатываться.
После удаления подвижного зуба опухолевая ткань быстро разрастается, заполняя лунку. Процессов эпителизации при этом не наблюдается. С дистальных отделов альвеолярного отростка рак нижней челюсти распространяется на жевательные мышцы, глотку, небо. Пациенты указывают на болезненное ограниченное открывание рта. Наблюдаются выраженные боли при жевании, глотании.
При прорастании рака нижней челюсти в смежные мягкие ткани появляется асимметрия лица, деформируется альвеолярный отросток. В результате остеолиза даже от воздействия малых сил, не превышающих физиологические, может возникнуть патологический перелом нижней челюсти. Для рака нижней челюсти характерно раннее метастазирование в подчелюстные и шейные лимфоузлы.
Диагностика рака нижней челюсти включает сбор жалоб, составление анамнеза заболевания, физикальное обследование, рентгенографию. Решающими при постановке диагноза являются результаты цитологического исследования.
- Объективные данные. При вторичном раке нижней челюсти на слизистой оболочке альвеолярного отростка в участке перехода неподвижной слизистой в подвижную выявляют кратерообразную язвенную поверхность с плотным дном, покрытым серым налетом, и рваными изъеденными инфильтрированными краями. При пальпации отмечается болезненность, кровоточивость. В участке поражения диагностируют положительный симптом Венсана. Присутствует патологическая подвижность интактных зубов. Ограниченное открывание рта, боль при глотании свидетельствуют о прорастании опухолевых клеток в окружающие ткани.
- Рентгенография челюсти. Характерными для рака нижней челюсти рентгенографическими изменениями являются участки разрежения кости без четких границ с размытыми контурами. Отсутствует реакция со стороны периоста. Не удается отграничить здоровую кость от патологически измененной.
- Цитология. Для цитологического исследования врач-стоматолог берет соскоб с язвенной поверхности. При центральном раке пункционно взять материал для исследования невозможно в связи с высокой плотностью костной ткани нижней челюсти. В этом случае показана трепанация кости. При выявлении увеличенных лимфоузлов выполняют их пунктирование с последующим цитологическим исследованием содержимого.
- Сцинтиграфия. Для диагностики рака нижней челюсти используют и радиоизотопный метод, который основан на способности злокачественного новообразования накапливать изотоп p32.
Дифференцируют рак нижней челюсти с хроническим остеомиелитом, фиброзной остеодистрофией, эозинофильной гранулемой, амелобластомой, остеобластокластомой, туберкулезом, актиномикозом. Физикальное обследование проводят челюстно-лицевой хирург, хирург-стоматолог, онколог.

КТ лицевого скелета. Вторичная карцинома нижней челюсти с субтотальной деструкцией ветви, угла и задних отделов тела.
Лечение рака нижней челюсти
Рак нижней челюсти требует комбинированного лечения. На предоперационном этапе выполняют ряд ортопедических мероприятий (снятие оттисков, изготовление конструкций для фиксации в прежнем положении оставшейся части челюсти). Подвижные зубы не удаляют в связи с высоким риском лимфогенной диссеминации раковых клеток. Далее следует курс гамма-терапии, через 3 недели после которого проводят операцию. При поверхностных поражениях альвеолярного отростка выполняют сквозную резекцию, отступая по обе стороны от патологического очага.
Если рак нижней челюсти локализуется посредине бокового отдела, удаляют участок кости от ментальной области до нижнечелюстного отверстия. При вовлечении в опухолевый процесс ангулярной зоны приступают к проведению резекции половины нижнечелюстной кости. При поражении подбородка удалению подлежит нижнечелюстная кость от угла до угла. В случае метастазирования рака нижней челюсти в регионарные лимфоузлы показано радикальное иссечение лимфатического аппарата вместе с подкожной клетчаткой, добавочным нервом, кивательной мышцей, подчелюстной железой.
При распространении рака нижней челюсти на язык, небо, приушную слюнную железу и глотку удалению подлежат все ткани, пораженные опухолевым процессом. Гамма-терапию проводят и в послеоперационном периоде. Реконструктивные операции, направленные на замещение дефектов кости, показано выполнять не раньше, чем через год после оперативного вмешательства. В случае диагностирования неоперабельной злокачественной опухоли назначают курс паллиативной лучевой терапии. К химиотерапии клетки плоскоклеточного ороговевающего рака нечувствительны.
При позднем выявлении рака нижней челюсти прогноз неблагоприятный. Отсутствие рецидивов и дальнейшего прогрессирования опухолевого процесса отмечается только у пятой части всех прооперированных пациентов. Рецидивы чаще возникают в течение первых двух лет после оперативного вмешательства.
Читайте также:
