Лучевая диагностика рака двенадцатиперстной кишки
Добавил пользователь Евгений Кузнецов Обновлено: 08.01.2026
Гастроинтестинальная стромальная опухоль — это вид онкологического заболевания, поражающее ЖКТ. Она относится к опухолям эпителиального происхождения. На долю ГИСО приходится около 1% всех онкологических патологий органов пищеварения. Средний возраст пациентов с диагностированной ГИСО — от 60 лет и старше.
Акции
Полное обследование на онкологические заболевания для мужчин и женщин.
Онкоконсилиум может потребоваться как при лечении в «СМ-Клиника», так и пациентам других медицинских учреждений с целью получения альтернативного мнения.
«СМ-Клиника» предоставляет своим пациентам предоперационное обследование со скидкой до 72%!
Консультация врача-хирурга по поводу операции бесплатно!
Содержание статьи:
ГИСО (гастроинтестинальная стромальная опухоль, GIST) — это новообразование, которое локализуется в подслизистом слое органов ЖКТ. Гастроинтестинальные стромальные опухоли встречаются довольно редко и составляют менее 1% от всех случаев рака ЖКТ Источник:
Снигур П.В. Гастроинтестинальная автономная нейрогенная опухоль желудка / П.В. Снигур [и др.] // Вестник РОНЦ им. Н. Н. Блохина РАМН. - 2005. . Чаще всего заболевание развивается после 40 лет. Пик приходится на возраст 55-60 лет Источник:
Котляров П.М. Лучевая диагностика гастроинтестинальных стромальных опухолей / П.М. Котляров [и др.] // Вестник Российского научного центра рентгенорадиологии Минздрава России. - 2012. .
GIST могут развиваться в любом отделе пищеварительного тракта, но с разной частотой: в желудке – 60%; в тонкой кишке – 25%; в толстой кишке - 8%; в прямой кишке – 5%; в пищеводе – 2% Источник:
Климентов М.Н. Гастроинтестинальная стромальная опухоль (клиническое наблюдение) / М.Н. Климентов [и др.] // Academy. - 2016. .
На момент выявления некоторые новообразования могут выглядеть доброкачественными, однако онкологи всегда рассматривают опухоли ГИСО как потенциально злокачественные. Злокачественный потенциал опухоли зависит от ее локализации, размера и показателя митотической активности клеток. Опухоли размером 2-5 см обладают низким злокачественным потенциалом, образования диаметром более 10 см – высоким Источник:
Климентов М.Н. Гастроинтестинальная стромальная опухоль (клиническое наблюдение) / М.Н. Климентов [и др.] // Academy. - 2016. .
Заболевание может протекать агрессивно. В этом случае у пациентов выявляют метастазы в брюшине (30%), печени (60%). Реже GIST опухоли дают метастазы в органы дыхания (2%), кости (6%) Источник:
Климентов М.Н. Гастроинтестинальная стромальная опухоль (клиническое наблюдение) / М.Н. Климентов [и др.] // Academy. - 2016. .
Терапию заболевания проводят специалисты в области ГИСО онкологии.
Причины и факторы риска ГИСО
Одной из основных причин развития заболевания является наследственная предрасположенность. Некоторые ученые указывают на связь между видом генетической мутации и уровнем локализации неоплазии.
Гастроинтестинальные опухоли кишечника образуются, когда нарушается работа клеток гладкомышечной ткани. Это происходит вследствие мутации генов и приводит к злокачественному перерождению собственных здоровых клеток и их аномальному разрастанию. Провоцировать генные мутации могут следующие факторы риска:
- хронический стресс, нервное перенапряжение;
- пониженный иммунитет;
- табакокурение, злоупотребление алкоголем;
- неправильное питание;
- воздействие радиации;
- наличие хронических заболеваний органов пищеварения и ряд других.
Симптомы GIST
В 20% случаев ГИСО брюшной полости обнаруживают случайно, при проведении планового обследования или диагностики других патологий. В течение долгого времени заболевание протекает бессимптомно и никак не проявляет себя даже, когда опухоль уже довольно большая. 50% случаев GIST диагностируют на поздних стадиях развития в связи с отсутствием специфических симптомов и трудностью гистологической верификации опухоли Источник:
Якубов Ю.К. Гастроинтестинальная стромальная опухоль. Клинические наблюдения / Ю.К. Якубов [и др.] // Norwegian Journal of Development of the International Science. - 2021. - № 69. - С. 25-34. .
Основная причина отсутствия симптомов – подслизистый рост новообразования, когда опухоль распластывается в стенке внутреннего органа и выбухает в брюшную полость. К моменту выявления образования примерно у каждого третьего пациента уже имеются метастазы в печени, брюшине, иногда в легких. Никаких специфических симптомов при этом нет. Клиника похожа на картину других заболеваний желудочно-кишечного тракта.
К наиболее частым клиническим проявлениям относятся боль в животе без четкой локализации (20–50%), острые кровотечения из различных отделов ЖКТ (50%) и кишечная непроходимость (10–30%). В спектре симптомов также увеличение в объеме живота, слабость, анемия, чувство быстрого насыщения, потеря массы тела, тошнота, рвота, пальпируемые опухолевые массы Источник:
Корнилова А.Г. Гастроинтестинальные стромальные опухоли: что нового в терапии? / А.Г. Корнилова [и др.] // Сибирский онкологический журнал. - 2015. - № 2. - С. 81-87. .
От появления первых неприятных симптомов до выявления опухоли обычно проходит около полугода.
Боли бывают не у всех. Они несильные, ноющие, клинической картины «острого живота» не наблюдается. ГИСТ не прорастает в соседние органы, как другие виды рака, а просто оттесняет их с анатомического места. На поздних стадиях примерно у 50% пациентов появляются симптомы желудочного кровотечения (черный жидкий стул, анемия, общая слабость).
Классификация гастроинтестинальных стромальных опухолей ЖКТ
Согласно Международной классификации опухолей ЖКТ 3-го пересмотра выделяют:
- доброкачественную GIST;
- GIST с неуточненным потенциалом злокачественности;
- злокачественную GIST.
Согласно международной гистологической классификации различают следующие виды ГИСО:
- Веретеноклеточные опухоли (70%):
- склерозирующие;
- саркоматозные;
- гиперклеточные;
- палисадно-вакуолизированные.
- склерозирующие, с синцитиальной структурой;
- саркоматозные;
- гиперклеточные;
- опухоли с гнездчатой структурой.
К редко встречающимся типам ГИСО относятся плеоморфный, перстневидно-клеточный, мезотелиомоподобный и онкоцитарный Источник:
Корнилова А.Г. Гастроинтестинальные стромальные опухоли: что нового в терапии? / А.Г. Корнилова [и др.] // Сибирский онкологический журнал. - 2015. - № 2. - С. 81-87. .В зависимости от молекулярно-генетических факторов выделяют Источник:
Якубов Ю.К. Гастроинтестинальная стромальная опухоль. Клинические наблюдения / Ю.К. Якубов [и др.] // Norwegian Journal of Development of the International Science. - 2021. - № 69. - С. 25-34. :- GIST с мутациями гена c-KIT. Имеет различные локализации, встречается большинстве случаев (85%), имеет солитарный характер.
- GIST с мутациями гена PDGFRa. Обычно поражает желудок, достигает гигантского размера, имеет благоприятного течение (5-8%), солитарный характер.
- Семейная форма GIST как проявление наследственных мутаций гена c-KIT или PDGFRa. Встречаются первично-множественные опухоли.
- GIST при наследственных синдромах в педиатрии, таких как множественная GIST, связанная с нейрофиброматозом тип 1, при которой встречается мутация гена NF, не связанная с мутациями генов c-KIT или PDGFRa, и GIST у детей с триадой Карнея: GIST желудка, параганглиома, хондрома легкого не связанная с мутациями генов c-KIT или PDGFRa.
Стадии
Выявляя стадию заболевания, специалисты оценивают степень распространения опухолевого процесса, который выявляют в результате проведенных диагностических исследований. Крайне важно правильно определить стадию ГИСО, так как от этого зависит выбор тактики лечения, здоровье и жизнь пациента.
Для стадирования ГИСО используют систему TNM, разработанную международным раковым союзом. Буквы в названии классификации означают разные критерии, по которым оценивают рост новообразования. Стадирование необходимо для четкой оценки прогноза и выбора оптимального метода терапии.
Наиболее важными для прогноза факторами при ГИСО являются локализация, размер новообразования, а также митотический индекс.
Символ T (оценивают размер новообразования):
- Т1 — в наибольшем измерении новообразование имеет размер не более двух сантиметров;
- Т2 — новообразование более двух сантиметров, но не более пяти сантиметров в наибольшем измерении;
- Т3 — опухоль имеет размер более пяти сантиметров, но не более десяти сантиметров в наибольшем измерении;
- Т4 — новообразование в наибольшем измерении имеет размер более десяти сантиметров.
Символ N (оценивают отсутствие или наличие метастазов в лимфоузлах):
- N0 — метастазов нет;
- N1 — у пациента имеются метастазы в регионарных лимфоузлах.
Символ М (оценивают наличие отдаленных метастазов в другие органы):
- М0 — метастазов нет;
- М1 — имеются отдаленные метастазы.
Помимо системы TNM при определении стадии ГИСО учитывают локализацию новообразования и митотический индекс (низкий или высокий). При локализации новообразования в желудке прогноз более благоприятный, поэтому все ГИСО дополнительно делят на две группы — внежелудочные и желудочные. Распределение по стадиям для каждой из этих групп проводится отдельно.
Диагностика ГИСО
Диагноз ставится по результатам данных анамнеза, осмотра пациента, клинической картины, лабораторных и инструментальных исследований.
Основные методы диагностики ГИСО:
- Эзофагогастродуоденоскопия (ЭГДС). Пациенту через рот вводят эндоскоп, при помощи которого исследуют пищевод, 12-ти перстную кишку, желудок. Если обнаружено новообразование, то одновременно с диагностикой берется небольшой кусочек опухоли (биопсия) для проведения гистологического исследования. с использованием контрастного вещества, которое принимают внутрь или вводят внутривенно. При помощи данного исследования определяют локализацию ГИСО на КТ, размеры новообразования, его распространенность, наличие метастазов.
- Эндосонография. Это ультразвуковое исследование, которое проводится через эндоскоп. С его помощью можно точно определить локализацию новообразования, выявить его характер. Эти данные нужны для определения тактики операции. . Обычно данное исследование назначают, если опухоль расположена низко.
При подозрении на наличие метастазов пациенту могут назначить рентгенографию, КТ грудной клетки, рентгенографию позвоночника, сцинтиграфию костей скелета, другие исследования.
Если есть возможность, то используют ПЭТ-КТ. При помощи этого метода диагностики можно точно выявить степень распространенности ГИСО, а также небольшие метастазы, которые не видны при проведении других исследований.
Окончательный диагноз ставится на основании данных иммунохимического и гистологического исследования образцов ткани опухоли, взятых во время проведения эндоскопии. Кроме этого проводится дифференциальная диагностика с другими новообразованиями органов пищеварения.
Методы лечения гастроинтестинальной стромальной опухоли
Основным методом лечения данного типа опухоли является операция. Объем хирургического вмешательства зависит от локализации и степени распространения новообразования. В большинстве случаев проводится радикальное удаление опухоли вместе с несколькими сантиметрами окружающей ее здоровой ткани.
Удаленную опухоль срочно отправляют на гистологию. При обнаружении раковых клеток осуществляют иссечение пораженного участка по линии разреза. При данном заболевании метастазы в лимфоузлы бывают крайне редко, поэтому удаления лимфатических узлов не производят (кроме ГИСО прямой кишки, которая дает метастазы в лимфоузлы в 30% случаев).
При наличии единичных метастазов в печени показано их оперативное удаление или проведение радиочастотной термоабляции.
Если опухоль неоперабельная, то пациенту назначают химиотерапию, после чего проводят повторное обследование. Если новообразование уменьшилось до нужных размеров, то проводят операцию. Во всех остальных случаях продолжают курс химиотерапии.
Прогнозы при ГИСО
Прогноз при ГИСО желудка и опухолях кишечника зависит от размера, локализации и распространенности новообразования. Средняя пятилетняя выживаемость при гисо составляет 48%. До пяти лет с момента операции удается дожить половине пациентов. Если опухоль имеет размер более 10 сантиметров, то показатель выживаемости снижается до 20%.
ГИСО имеет высокую вероятность рецидивирования. Примерно у 80% больных происходят рецидивы заболевания в течение двух лет после операции. При неоперабельных опухолях средняя продолжительность жизни составляет 10-21 месяц.
Профилактика GIST
Основной задачей наблюдения является ранняя диагностика заболевания, что существенно облегчает последующее лечение и улучшает прогноз. После проведения операции по удалению новообразования необходимо посещать врача для проведения планового обследования. В первые два года это нужно делать с периодичностью раз в 3-6 месяцев. Через 3-5 лет специалиста нужно посещать раз в 6-12 месяцев. После 5 лет с момента хирургического вмешательства достаточно посещать доктора раз в год или при появлении проблем со здоровьем.
Плановое обследование обычно включает в себя следующие этапы:
- сбор анамнеза, физикальное обследование;
- УЗИ брюшной полости — проводится каждые 3-6 месяцев;
- колоноскопия или ФГДС — проводится каждые 3-6 месяцев;
- рентгенография органов грудной клетки (раз в год);
- КТ органов малого таза и брюшной полости с использованием контрастного вещества — проводится раз в 6-12 месяцев.
Точные сроки определяет лечащий врач в зависимости от риска прогрессирования заболевания.
Источники:
Михайлов Алексей Геннадьевич оперирующий онколог, врач высшей квалификационной категории, к.м.н. стаж: 21 год
Информация в статье предоставлена в справочных целях и не заменяет консультации квалифицированного специалиста. Не занимайтесь самолечением! При первых признаках заболевания необходимо обратиться к врачу.
Лучевая диагностика рака двенадцатиперстной кишки
Рентгенограмма, КТ, МРТ, УЗИ при раке двенадцатиперстной кишки
а) Терминология:
1. Аббревиатура:
• Рак двенадцатиперстной кишки (РДК)
2. Синонимы:
• Аденокарцинома двенадцатиперстной кишки
3. Определение:
• Первичное злокачественное новообразование слизистой оболочки двенадцатиперстной кишкиб) Визуализация:
1. Общая характеристика:
• Лучший диагностический критерий:
о Внутрипросветное объемное образование неправильной формы или поражение в виде «огрызка яблока» в области Фатеровой ампулы либо дистальнее
• Локализация:
о В 15% в первой части двенадцатиперстной кишки
о В 40% во второй части двенадцатиперстной кишки
о В 45% в дистальных отделах двенадцатиперстной кишки
• Размер:
о Обычно меньше 8 см
• Морфологические признаки:
о Полиповидное, изъязвленное объемное образование, или образование, циркулярно суживающее просвет кишки
о Внутрипросветное объемное образование с наличием множественных выбухающих участков (в виде «листа папоротника») в случае рака, возникающего в ворсинчатых опухолях![Рентгенограмма, КТ, МРТ, УЗИ при раке двенадцатиперстной кишки]()
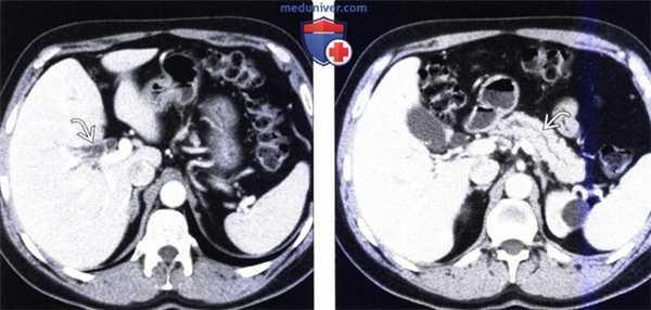
(Слева) На аксиальной КТ с контрастным усилением, выполненной мужчине 49 лет с жалоба -ми на боль в животе и нарушением функции печени, определяется расширение внутрипеченочных желчных протоков.
(Справа) На аксиальной КТ с контрастом определяется также расширение панкреатического протока. Эти изменения позволяют предположить злокачественное новообразование, расположенное в Фатеровой ампуле или возле ее, которое и послужило причиной обструкции.2. Рентгеноскопия при раке двенадцатиперстной кишки:
• Проявления могут быть различными:
о Изъязвленное образование
о Полиповидное образование
о Круговое сужение просвета в виде «огрызка яблока»
о «Сетчатый» вид («мыльный пузырь») в случае ворсинчатых опухолей3. КТ при раке двенадцатиперстной кишки:
• С контрастным усилением:
о Дискретное объемное образование или неравномерное утолщение стенки двенадцатиперстной кишки
о Концентрическое сужение просвета двенадцатиперстной кишки
о Наличие полиповидного внутрипросветного образования
о Лимфаденопатия (возле образования)
о Инфильтрация расположенной поблизости жировой клетчатки
о Расширение желчных протоков, также, возможно, панкреатического протока
- С наличием опухоли в периампулярной области
о Метастазы в печени, возможно, также по брюшине4. МРТ при раке двенадцатиперстной кишки:
• МР-холангиопанкреатография:
о Может определяться дилатация панкреатического протока или желчных протоков при наличии раковой опухоли двенадцатиперстной кишки, расположенной периампулярно5. УЗИ:
• Серошкальное УЗИ:
о Гипоэхогенное объемное образование в двенадцатиперстной кишке с эхогенной центральной частью: симптом «псевдопочки»
• Цветовая допплерография:
о Может наблюдаться инвазия опухоли в рядом расположенные сосуды6. Рекомендации по визуализации:
• Лучший метод диагностики:
о Тонкосрезовая КТ с контрастным усилением, с растяжением просвета кишечника водой и двойным сканированием в артериальную и венозную фазу
• Выбор протокола:
о Использование мультипланарной MIP (проекции максимальной интенсивности) и объемного рендеринга![Рентгенограмма, КТ, МРТ, УЗИ при раке двенадцатиперстной кишки]()
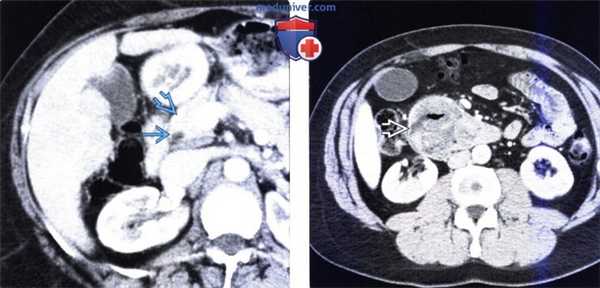
(Слева) На аксиальной КТ с контрастным усилением у этого же пациента определяется, что головка поджелудочной железы не изменена, в то время как общий желчный проток: в дистальных отделах остается расширенным.
(Справа) На аксиальной КТ с контрастом у этого же пациента определяется большое объемное образование в просвете второй и третьей части двенадцатиперстной кишки, которое обусловливает обструкцию протоков в области относительно низко расположенной Фатеровой ампулы. При эндоскопическом исследовании был подтвержден рак двенадцатиперстной кишки, развившийся в ворсинчатой аденоме.в) Дифференциальная диагностика рака двенадцатиперстной кишки:
1. Новообразования:
• Аденокарциномы фатеровой ампулы и периампулярной области:
о Протоковый рак поджелудочной железы:
- Гиподенсное объемное образование в центральных отделах поджелудочной железы с обструкцией панкреатического протока и расширением его дистальных отделов
о Рак фатеровой ампулы
о Холангиокарцинома:
- Обструкция желчных протоков при наличии объемного образования малого размера
• Метастазы в кишечник и лимфома:
о Контактное метастазирование в случаях рака поджелудочной железы, ободочной кишки, почки или желчного пузыря
о Гематогенное метастазирование при меланоме, саркоме Капоши, раке легкого или молочной железы
о Метастазы других злокачественных опухолей в перидуоденальные лимфоузлы
• Другие первичные опухоли двенадцатиперстной кишки:
о Лимфома двенадцатиперстной кишки:
- Обычно имеет большой размер, но не вызывает обструкцию
о Злокачественная ГИСО:
- Гиперваскулярное образование, обычно экзофитное
о Карциноид двенадцатиперстной кишки2. Воспалительные заболевания:
• Язва двенадцатиперстной кишки:
о Из-за спазма может происходить сужение просвета кишки
• Синдром Золлингера-Эллисона:
о Множественные постлуковичные язвы, утолщение складок, гиперсекреция
• Болезнь Крона:
о Обычно имеются другие участки поражения в дистальных отделах кишечника3. Инфекционные заболевания:
• Туберкулез:
о Может быть неотличим от рака при лучевой диагностике4. Врожденные состояния:
• Кольцевая поджелудочная железа:
о Изменения, обнаруживаемые на КТ (наличиеткани поджелудочной железы, окружающей вторую часть двенадцатиперстной кишки в виде кольца), позволяют установить диагноз
• Энтеральная дупликационная киста:
о Инкапсулированное скопление жидкости (не мягкотканное образование)5. Травматические изменения:
• Повреждения ЖКТ:
о Гематома двенадцатиперстной кишки чаще возникает у детей
о «Заострение» складок и сужение просвета![Рентгенограмма, КТ, МРТ, УЗИ при раке двенадцатиперстной кишки]()
(Слева) На аксиальной КТ без контрастного усиления, выполненной мужчине 88 лет с жалобами на раннее насыщение и снижение веса тела, определяется растянутый желудок (не показан на представленном срезе). Определяется внезапное, эксцентрическое сужение просвета второй части двенадцатиперстной кишки. Опухоль распространяется, инфильтрируя расположенную поблизости жировую клетчатку, кроме того, имеет место регионарная лимфаденопатия.
(Справа) На рентгенограмме, полученной при рентгеноскопии верхних отделов ЖКТ у этого же пациента, определяется выраженная обструкция второй части двенадцатиперстной кишки, обусловленная скиррозным образованием, представляющим собою первичный рак.г) Патология:
1. Общая характеристика:
• Этиология:
о Последовательность «аденома-рак»:
- Наличие аденоматозных полипов является наиважнейшим фактором риска
о Факторы риска:
- Семейный аденоматозный полипоз (особенно, синдром Гарднера)
- Болезнь Крона
- Табакокурение
- Алкоголизм
• Генные нарушения:
о Изменения в онкогенах ERBB2, KRAS, CCND1, р53
• Аденокарциномы составляют 73-90% злокачественных опухолей двенадцатиперстной кишки
• Аденокарциномы тонкой кишки возникают редко, особенно, учитывая ее большую протяженность:
о 45% аденокарцином тонкой кишки возникают в двенадцатиперстной кишке
о 25% всех злокачественных опухолей тонкой кишки возникают в двенадцатиперстной кишке2. Стадирование, градация и классификация рака двенадцатиперстной кишки:
• Система аудирования TNM американского объединенного комитета по раку (AJCC):
о Первичная опухоль(Т):
- Т1: прорастание опухолью собственной пластинки или подслизистой основы
- Т2: прорастание опухолью мышечной оболочки
- Т3: прорастание опухоли через мышечную оболочку в окружающие ткани до 2 см (включительно)
- Т4: перфорация висцерального листка брюшины опухолью, прямая инвазия в другие органы, либо распространение более чем на 2 см в прилежащие тканио Регионарные лимфоузлы (N):
- N0: нет вторичного поражения регионарных лимфоузлов
- N1: метастазы в регионарные лимфоузлыо Отдаленные метастазы:
- М0: отсутствие отдаленных метастазов
- М1: отдаленные метастазыо Стадирование:
- Стадия I: Т1 или Т2, N0, М0
- Стадия II: Т3 или Т4, N0, М0
- Стадия III: Т(любая), N1, М0
- Стадия IV: Т(любая), N (любая), М12. Макроскопические и хирургические особенности:
• По картине своего роста объемные образования двенадцатиперстной кишки могут быть плоскими, стенозирующими, язвенными, инфильтративными или полиповидными
• Вторичные раковые опухоли значительно чаще встречаются в проксимальных отделах тонкой кишки, чем первичный рак:
о Часто отличить первичный рак двенадцатиперстной кишки от вторичной аденокарциномы ЖКТ сложно даже при использовании специальной окраски
• Аденокарцинома проксимальных отделов тонкой кишки может свидетельствовать о синдроме семейного или мультицентрического рака3. Микроскопия:
• Гистологическая структура схожа с таковой при других аденокарциномах ЖКТ:
о Клеточный и ядерный полиморфизм
о Дисплазия
о Изменения по типу «железа в железе»
• Большинство раковых опухолей двенадцатиперстной кишки являются умеренно дифференцированными и характеризуются различной продукцией муцина
• В 20% случаев рак двенадцатиперстной кишки является низкодифференцированнымд) Клинические особенности:
1. Проявления рака двенадцатиперстной кишки:
• Наиболее частые признаки/симптомы:
о Вторичная боль вверху живота, связанная с обструкцией
о Другие признаки/симптомы:
- Тошнота и рвота, потеря веса, анемия, кровотечение из верхних отделов ЖКТ
- Периампулярные опухоли могут проявляться желтухой
• Клинический профиль:
о Частота возникновения рака двенадцатиперстной кишки увеличивается при семейном полипозе
- При синдроме Пейтца-Егерса, Гарднера2. Демография:
• Возраст:
о 60-70 лет:
- Средний возраст: 60 лет
о У пациентов моложе 30 лет заболеваемость низкая
• Пол:
о Несколько чаще заболевают мужчины
• Эпидемиология:
о Встречается редко и составляет менее 1% от всех новообразований ЖКТ
о Заболеваемость увеличивается с возрастом3. Течение и прогноз:
• Распространение происходит путем прямой инвазии в ближайшие органы, а также в полость брюшины через серозные оболочки
• Опухоль метастазирует гематогенным путем в печень, легкие и кости
• По лимфатическим протокам происходит метастазирование в регионарные лимфоузлы
• У 22-71% пациентов на момент появления симптомов заболевания имеются метастазы в лимфоузлах
• Прогноз зависит от возможности хирургического удаления опухоли, поражения лимфатических узлов, и, отчасти, от степени злокачественности, определяемой при гистологическом исследовании
• Инвазия кровеносных сосудов делает опухоль нерезектабельной4. Лечение рака двенадцатиперстной кишки:
• Варианты, риски, осложнения:
о Оперативное лечение при резектабельных опухолях:
- Панкреатодуоденэктомия при опухолях, расположенных в первой и второй части двенадцатиперстной кишки
- Резекция двенадцатиперстной кишки с созданием первичного анастомоза при опухолях третьей и четвертой части двенадцатиперстной кишки
о Нерезектабельные опухоли: паллиативное лечение (лучевая терапия, химиотерапия, стентирование)е) Диагностическая памятка:
1. Следует учесть:
• Прорастание опухолью кровеносных сосудов, особенно в отношении новообразований второй и третьей части двенадцатиперстной кишки
• Наличие метастазов в лимфатических узлах и печени
2. Советы по интерпретации изображений:
• Большинство раковых опухолей двенадцатиперстной кишки вызывают стеноз на ограниченном участке или обструкцию; образование большого размера с наличием кавитации, более вероятно, является лимфомой или ГИСО
• Необходимо внимательное изучение двенадцатиперстной кишки в случаях, когда имеет место перидуоденальная лимфаденопатия, но не определяется явной ее причиныЛучевая диагностика лимфомы и метастазов в двенадцатиперстную кишку
а) Терминология:
• Поражение двенадцатиперстной кишки при злокачественной лимфоме или метастазированииб) Визуализация лимфомы и метастазов в стенку двенадцатиперстной кишки:
• Лучший диагностический критерий:
о Метастазы: поражения в виде «бычьего глаза» или «мишени»; подслизистые, полиповидные образования о Лимфома: большое подслизистое образование, не приводящее к обструкции
• Лучший метод диагностики: рентгеноскопия верхних отделов ЖКТ, КТ с контрастным усилением
• Метастазы: округлые подслизистые образования с наличием изменений по типу «мишени» или «бычьего глаза»:
о Часто обнаруживается обструкция и изъязвление
• Лимфома: большое образование, бугристое или гладкое, располагающееся в подслизистом слое:
о Аневризматическая дилятация просвета без обструкции
• Прямая инвазия: в случаях первичного рака поджелудочной железы, ободочной кишки, почек, желчного пузыря(Слева) На рентгенограмме, полученной при рентгеноскопии верхних отделов ЖКТ, определяется изъязвленное объемное образование, происходящее из второй части двенадцатиперстной кишки. Визуализируется стойкое скопление бариевой взвеси, сохраняющееся после опустошения остальных отделов двенадцатиперстной кишки.
(Справа) На аксиальной КТ с контрастным усилением у этого же пациента определяется объемное образование, имеющее высокую плотность, находящееся в стенке второй части двенадцатиперстной кишки. При хирургическом вмешательстве была подтверждена вторичная опухоль, имеющая то же гистологическое строение, что и первичный рак ободочной кишки. (Слева) На рентгенограмме, полученной при исследовании пассажа бариевой взвеси по тонкой кишке, у пациента, перенесшего трансплантацию печени, у которого возникла боль в верхних отделах живота в сочетании с кровотечением, визуализируется большое, бесформенное скопление бариевой взвеси, вероятно, находящееся в дистальных отделах двенадцатиперстной кишки. Не определяется признаков обструкции кишечника.
(Справа) На аксиальной КТ с контрастным усилением у этого же пациента определяется большое объемное образование мягкотканной плотности, происходящее из дистальных отделов двенадцатиперстной кишки. Это хороший пример аневризматической дилятации просвета кишки, обусловленной лимфомой.в) Дифференциальная диагностика:
• Ворсинчатая аденома, рак двенадцатиперстной кишки, вторичное поражение (инвазия) двенадцатиперстной кишки, ГИСО двенадцатиперстной кишкиг) Патология:
• Этиология:
о Метастазы: меланомы, рака молочной железы, легкого, ободочной кишки, поджелудочной железы, почки
о Лимфома: неходжкинская (В-клеточная или из лимфоидной ткани, ассоциированной со слизистыми оболочками)д) Клинические особенности:
• Наиболее частые признаки/симптомы: боль в животе, тошнота, рвота, снижение веса, наличие пальпируемого объемного образования, кровотечение из верхних отделов ЖКТе) Диагностическая памятка:
• Рак двенадцатиперстной кишки (обычно вызывает обструкцию просвета)
• Лимфома: подслизистое объемное образование большого размера, не вызывающее обструкциюОнкологические заболевания органов ЖКТ
Онкологические заболевания пищеварительного тракта – это общий термин для целой группы раковых поражений органов желудочно-кишечного тракта. В структуре заболеваемости онкология ЖКТ занимают лидирующие позиции, одинаково часто болеют как мужчины, так и женщины, преимущественно среднего и преклонного возраста.
- Рак слюнных желез
- Рак фатерова сосочка
- Рак толстой (ободочной) кишки
- Рак желчного пузыря
- Рак желчных протоков
- Рак пищевода
- Рак кишечника
- Рак двенадцатиперстной кишки
- Рак языка
- Рак гортани
- Рак поджелудочной железы
- Рак прямой кишки
- Рак анального канала
- Первичный рак печени
- Метастазы рака в печень
- Гастроинтестинальная стромальная опухоль ЖКТ
- Рак желудка
Рак пищеварительной системы включает в себя опухолевые образования:
- пищевода;
- поражения желудка (одни из самых частых);
- поджелудочной железы;
- тонкой и толстой кишки;
- поражения прямой кишки и области ануса;
- опухоли печени и желчного пузыря.
В эту группу также относятся стромальные и эндокринно-активные (гормональные) опухоли тканей, образующих пищеварительную систему.
Общие сведения
Рак пищеварительной системы – это злокачественные поражения пищеварительной трубки, а также желез, участвующих в процессе переваривания пищи. Этот вид онкологии опасен тем, что длительное время может никак себя не проявлять, повреждает большой объем тканей и способен к метастазированию в соседние и отдаленные органы. Раковые опухоли имеют разные размеры и локализацию, гистологический тип и форму, но приводят к нарушению работы ЖКТ и формированию осложнений.
В сравнении с другими типами рака выживаемость в течение 5 лет при поражениях ЖКТ ниже. Если это опухоли желудка, она составляет до 30%, для поражений кишечника – около 68%. При раке поджелудочной железы после установления диагноза только 9% людей живут более 5 лет. Летальность от рака пищеварительной системы вдвое превышает гибель от рака молочной железы и простаты вместе взятых Источник:
Е.М. Аксель
Статистика злокачественных
новообразований желудочно-кишечного тракта //
Сибирский онкологический журнал, 2017, №16(3), с.5-11 .Проблема еще и в лечении данного типа рака. Обычно требуется комбинированный подход с удалением опухоли, а также лучевыми и химиотерапевтическими методами. Это достаточно тяжело для организма, поэтому нужно подбирать терапию индивидуально и тщательно, с учетом стадии и локализации рака.
Причины рака ЖКТ
Опухоли пищеварительной системы – достаточно разнородна группа рака. На сегодняшний день не выявлено единой конкретной причины, которая бы провоцировала рост злокачественных онкологических заболеваний желудочно-кишечного тракта. Выделяют влияние негативных внешних факторов в сочетании с генетической предрасположенностью человека к развитию раковых опухолей. Эти сочетания провоцируют трансформацию здоровых клеток пищеварительной системы в неопластические, которые дают начало раковой опухоли.
Общие факторы риска рака ЖКТ актуальны для большинства опухолей. К ним относятся:
- вредные привычки – курение, вейпинг и прием алкоголя в неумеренных дозах;
- старение организма;
- питание с высоким содержанием жиров, красителей, консервантов, химических соединений, канцерогенов;
- хронические воспалительные поражения органов (колиты, панкреатиты, гастрит);
- избыточный вес, ожирение, метаболический синдром;
- длительный и нерациональный прием некоторых лекарственных препаратов.
Для некоторых видов рака типичны и свои дополнительные провоцирующие факторы. Например, для рака желудка типично присутствие в слизистой органа Helicobacter pylori, кислотоустойчивых бактерий, повреждающих клетки. Для рака пищевода одним из провоцирующих факторов становится рефлюксная болезнь – постоянный заброс кислоты из желудка приводит к метаплазии эпителия и инициации рака. Для рака кишечника типичны длительные эпизоды интоксикаций на производстве и в быту. Также провокаторами рака толстой кишки могут стать язвенный колит и полипоз кишечника, пернициозная анемия.
Первые признаки, клинические симптомы
Для многих видов онкологии желудочно-кишечного тракта имеется рад специфичных признаков, отражающий нарушение функции. Общими характеристиками всех видов рака пищеварительных органов является их длительное, бессимптомное течение, на ранних стадиях пациенты не имеют жалоб, или жалобы носят общий характер. Серьезные проявления возникают, когда опухоли достигают больших размеров, разрушают стенку кишки, прорастают в соседние ткани, сдавливают протоки желез. Среди общих признаков выделяют:
- ощущение давления в области грудной клетки, брюшной полости, боль в спине;
- нарушение прохождения пищи по пищеводу, расстройство желчеотделения или выведения панкреатических ферментов;
- нарушения пищеварения с вздутием живота, спазмами, частицами непереваренной пищи в стуле;
- появление крови в стуле или изменения его окраски.
Обычно симптомы онкологических заболеваний ЖКТ возникают при наличии раковых опухолей большого размера, если они давят на кишку, печень или соседние органы брюшной полости. Возникает:
При поражении желудка типична кровавая рвота, анемия, черный стул. При поражении печени – желтуха, кожный зуд, обесцвечивание кала, чередование поносов и запоров, метеоризм.
Виды рака ЖКТ
Раковые опухоли ЖКТ дифференцируют в зависимости от локализации. К ним относятся опухолевые поражения:
- и глотки; ;
- разные виды рака желудка;
- поражения поджелудочной железы; и метастатические поражения печени, желчных протоков;
- тонкокишечный рак;
- поражения толстого кишечника; и анального отверстия;
- разные локализации гастроинтестинальных стромальных опухолей.
По форме раковой опухоли, с учетом ее внешнего вида, роста и состава клеток, выделяют несколько типов поражений:
- Язвенный. Опухоль прорастает в просвет органов, постепенно перекрывая его.
- Полипозный. Образуются узлы разного размера, выпирающие в просвет органа и перекрывающие его.
- Диффузный. Второе название – инфильтративный. Образуется под слизистой оболочкой, поражает все слои органа и растет в стороны от первичного очага. На поверхности пораженного участка могут образовываться язвы Источник:
Nathan M Krah , L Charles Murtaugh
Differentiation and Inflammation: 'Best Enemies' in
Gastrointestinal Carcinogenesis //
Trends Cancer . 2016 Dec;2(12):723-735.
doi: 10.1016/j.trecan.2016.11.005 .
По строению клеток, образующих раковые опухоли, выделяется несколько вариантов онкологии. На основе этих данных врач определяет агрессивность течения и прогнозы заболевания.
- Высокодифференцированная опухоль – раковые клетки очень похожи на здоровые, опухолевый рост медленный, метастазы возможны только в терминальных стадиях.
- Умеренно дифференцированная опухоль – клетки рака отличаются от здоровых, опухоль растет относительно медленно, метастазы возможны уже на 3 стадии процесса.
- Низкодифференцированная опухоль – клетки существенно отличаются от нормальных, типично быстрое увеличение размеров рака, метастазы поражают соседние ткани, лимфоузлы и отдаленные органы.
- Недифференцированная опухоль – клетки незрелые, появляются из слизистой, течение агрессивное со стремительным ростом образования, метастазы возможны на ранних стадиях, прогноз для жизни неблагоприятный.
- хронические воспалительные процессы (дуодениты) и язвенные поражения, наличие болезни Крона;
- диффузный полипоз кишечника (доброкачественные поражения – полипы разного размера на стенках кишки);
- нерациональное питание с преобладанием животного жира и дефицитом клетчатки; , злоупотребление алкоголем;
- снижение иммунной защиты, в том числе противоопухолевой.
- апатия, депрессия, слабость с быстрой утомляемостью, заторможенностью;
- нарушения сна с сонливостью или бессонницей;
- головокружения и головная боль;
- резкое снижение аппетита, что приводит к резкому похудению, потере до 10% веса и более;
- бледность кожи с восковым или синюшным оттенком, желтизна склер;
- сухость слизистых рта, глаз и носа;
- постоянная субфебрильная температура;
- потливость в ночные часы;
- стойкая анемия;
- тошнота, приступы рвоты, дискомфорт в животе;
- частые простуды, снижение иммунитета.
- Первая стадия – опухоль небольшого размера, с четко определенными контурами, расположена в области слизистого слоя с небольшим врастанием в подслизистый. Метастазов нет.
- Вторая стадия – распространение опухоли на мышечный слой, но без перехода на соседние ткани. Возможны одиночные метастазы в регионарные лимфоузлы.
- Третья стадия – значительное увеличение опухоли с выходом ее за пределы кишки. Возникает прорастание в окружающие ткани, возникают метастазы.
- Четвертая стадия – опухоль имеет большой размер, формируются метастазы в отдаленных органах, поражены лимфоузлы.
- Т1 – опухолевый очаг растет на слизистой оболочке, прорастая внутреннюю часть кишки;
- Т2 – поражение переходит на мышечный слой кишки;
- Т3 – рак прорастает наружную стенку кишки;
- Т4 – распространение опухоли на окружающие ткани.
- N0 – опухолевых клеток в области лимфоузлов не определено;
- N1 – поражено 1-2 лимфоузла, которые расположены рядом к кишечником;
- N2 – опухолевые клетки выявлены в отдаленных лимфоузлах.
- Концепция единства кровяной ткани. Кровь как мезенхимальная ткань
- Профилактика острых нарушений кровообращения. Лечение нарушений кровообращения
- Рентгенограмма при болезни Паннера (неравномерной оссификации эпифиза головки мыщелка)
- Саркома Юинга - клиника, диагностика
- КТ, МРТ при коагулопатическом забрюшинном кровоизлиянии
Методы диагностики
Для выявления рака пищеварительного тракта используются лабораторные тесты и инструментальная диагностика. Во многом план обследования зависит от локализации, размеров и типа рака. У большинства опухолей ЖКТ не имеется специфических онкомаркеров, выявляющих рак на ранней стадии, поэтому врач учитывает первые признаки у взрослых, типичные жалобы и данные, полученные при визуализации.
Обычно опухоли впервые обнаруживают при эндоскопическом исследовании (фиброгастроскопия, колоноскопия, ректороманоскопия), дополняя исследование забором биопсии подозрительного участка с проведением гистологических, генетических и гистохимических тестов.
Лечение опухолей ЖКТ
Ведущий метод терапии при раке желудочно-кишечного тракта – это хирургическое удаление опухоли или ее части. Если рак выявлен в поздней стадии, определяются метастазы в отдаленные органы или прорастание в соседние ткани, опухоль неоперабельная или состояние пациента не дает возможности на радикальное вмешательство, применяют другие методики, включая паллиативную и симптоматическую терапию.
При операции хирурги удаляют все пораженные раком ткани с захватом некоторых здоровых участков, если есть метастазы, удаляют также близлежащие лимфоузлы. Это важно для предотвращения рецидивов. После операции проводится реабилитация, могут быть назначены дополнительные курсы терапии.
Лучевая терапия может быть дополнительным методом, проводится до операции с целью уменьшения размеров опухоли, или после нее – для подавления роста оставшихся клеток Источник:
В.Ю. Скоропад, Б.А. Бердов, Л.В. Евдокимов, Л.Н. Титова
Интраоперационная лучевая терапия — инновационная
технология в комбинированном лечении опухолей
желудочно-кишечного тракта //
Поволжский онкологический вестник, 2013, №1, с.4-10 .
Может применяться химиотерапия (введение препаратов, подавляющих рост рака) для уничтожения раковых клеток до и после операции, а при неоперабельном раке в качестве паллиативного лечения.
Прогнозы при раке ЖКТ
Во многом прогнозы для жизни и здоровья зависят от типа опухолевых клеток, стадии выявления и особенностей лечения, возраста пациента и имеющихся у него сопутствующих патологий.
Самый неблагоприятный прогноз – при раке поджелудочной железы, самый оптимистичный – для нейроэндокринных опухолей кишечной стенки. Процент выживаемости в течение 5 лет колеблется от 5 до 90% в зависимости от вида рака. На начальных стадиях, когда нет метастазов, шансы на успех достигают 80-90%, в терминальных стадиях не превышают 10%.
Рак двенадцатиперстной кишки
Рак двенадцатиперстной кишки — это злокачественная опухоль, образующаяся на слизистой оболочке, а также железистых тканях кишечника. Различается первичная и вторичная формы рака. В первом случае очаг опухоли находится в двенадцатиперстной кишки, а во втором рак распространяется из других органов. Это заболевание встречается у представителей обоих полов. Наиболее часто — после 55 лет.
Рак двенадцатиперстной кишки – это злокачественный процесс с образованием опухоли, локализованной в области начального отдела тонкой кишки. По данным наблюдений двенадцатиперстная кишка несколько чаще страдает от злокачественного перерождения в сравнении с другими отделами тонкого кишечника. Но в целом, рак 12-перстной кишки достаточно редко встречающаяся опухоль – около 0,5-3% от всех раковых поражений пищеварительного тракта Источник:
Ершов В.В. Двухэтапное лечение осложненного рака двенадцатиперстной кишки / В.В. Ершов [и др.] // Современные технологии в медицине. - 2012. - № 2. - С. 146-147. и до 45% от всех опухолей тонкой кишки.
Средний возраст болеющих приходится на 40-60 лет, частота возникновения у женщин либо мужчин практически одинаковая. Как первичная опухоль она проявляется редко, в основном имеет форму вторичного, метастатического поражения, возникающего при других заболеваниях – опухоли желудка либо кишечника с метастазами.
Причины и факторы риска
Относительно причин развития онкологии в области двенадцатиперстной кишки мнения экспертов расходятся. Есть данные о том, что причины возникновения рака этой локализации сходны с причинами опухолей желудка.
Предполагают, что есть связь с длительно текущей инфекцией, вызванной H. Pilori, кислотоустойчивыми бактериями. Язвенные дефекты, спровоцированные этим микроорганизмом, возникают чаще, чем в области желудка. Они возникают у 8 из 10 пациентов, в то время как в желудке только у 6 из 10 людей. Дуоденальные язвы чаще бывают у женщин, хотя встречаемость рака у них равна таковой у мужчин. Есть публикации о связи рака с ожирением, особенностями питания, включая некоторые национальные кухни мира.
Злокачественные опухоли двенадцатиперстной кишки могут возникать на фоне определенных провоцирующих факторов. К ним относятся:
Кроме того, одними из факторов риска называют вирусные инфекции, диабет, панкреатит. Имеет значение и неблагоприятная наследственность.
Рак двенадцатиперстной кишки: основные симптомы и признаки
Проявления рака во многом зависят от стадии рака, размера очага и дополнительных патологий, осложняющих состояние. На поздних стадиях рак может себя проявлять следующими признаками:
Если ткань опухоли распадается, повреждаются сосуды и открывается кровотечение, возможно появление черного стула.
Классификация рака 12-перстной кишки
Примерно 80% всех опухолей составляет экзокринный рак. Основная его форма – аденокарцинома. Реже возникает недифференцированная форма экзокринного рака. Чаще всего этот тип поражает перипапиллярный отдел кишки, опухоль циркулярно прорастает стенку, сужая ее просвет, что приводит к кишечной непроходимости. Реже возникает экзофитный рост с развитием кровотечения. Возможно развитие как одиночной, так и множественных первичных образований.
Около 5% составляют эндокринные опухоли (апудомы). Они могут быть в форме карциноида, инсулиномы, випомы, гастриномы, глюкагономы. Они обычно определяются в средней трети кишки. Растут медленно, инфильтрируют ткани.
Также возможно развитие неэпителиальных опухолей. Самой частой из них считается лейомиосаркома, достигающая размеров в 8 см и более. Реже бывает фибросаркома, достигающая 3 см, которая может иметь низкую и высокую дифференцировку. Также возможны злокачественные невриномы, ганглионейробластомы или нейрофибросаркомы, особенно часто они встречаются у детей.
Из сосудистых опухолей наиболее часто регистрируется лимфосаркома, стоящая на втором месте после экзокринного рака.
Онкологами выделяется 4 стадии рака данной локализации. Они различаются по размерам опухолевого очага и распространению на соседние ткани:
По классификации TNM оценивается тяжесть ракового поражения двенадцатиперстной кишки на основании трех критериев.
Т – это первичная опухоль может иметь 4 степени:
Поражение лимфоузлов обозначается следующими стадиями.
Для определения распространенности опухоли используют классификацию М0 и М1. В нулевой стадии отдаленных метастазов нет, в первой – рак 12-перстной кишки дал отдаленные метастазы.
Диагностика
Основа диагностики – это инструментальные обследования. Выполняется дуоденоскопия с забором биопсии для определения природы опухоли, а также проводится рентген кишечника. Дополнительно проводят УЗИ органов брюшной полости, чтобы определить прорастание опухоли в сосуды, поджелудочную железу, поражение лимфоузлов, печени и скопление жидкости в животе (развитие асцита).
Ангиография помогает определить особенности кровоснабжения опухоли, что важно для оперативного ее удаления, обнаружения мелких метастазов в печень. Также важны анализы крови, мочи на уровень гастрина и серотонина.
Лечение рака двенадцатиперстной кишки
Обычно терапия рака двенадцатиперстной кишки включает в себя комбинацию операции с химиотерапевтическим и лучевым методами. Это позволяет максимально полно удалить первичный очаг опухоли и не допустить распространения метастазов на соседние органы, предотвращает рецидив онкологии.
Химиотерапию проводят с применением тщательно подобранных цитостатических препаратов, применяемых перед оперативным вмешательством, чтобы уменьшить размеры опухоли, и после него, чтобы полностью подавить оставшиеся клетки. Применение этого метода сопряжено с множеством побочных эффектов, поэтому за состоянием пациента тщательно следят врачи.
При хирургическом вмешательстве происходит полное удаление пораженной части кишки в пределах здоровых тканей. Операцию назначают лицам моложе 75 лет, при начальных стадиях болезни. При терминальных стадиях рака операцию не назначают.
При лучевой терапии применяется ионизирующее излучение, направленное на опухолевый очаг. Лучи подавляют рост опухоли, приводят к гибели клеток. Это помогает предотвратить распространение метастазов, а также повторный рост рака. Лучевую терапию проводят на любой стадии процесса.
Рак двенадцатиперстной кишки: прогнозы
При ежегодной диспансеризации и профилактических осмотрах можно выявить рак на ранней стадии. В первой стадии выживает после полноценного лечения до 98% пациентов. Они могут полностью вылечиться, имеют благоприятные прогнозы для жизни и здоровья.
Во второй стадии рака выживаемость на протяжении 5 лет достигает 70-90%, к третьей стадии она снижается до 40-70%, но прогнозы неблагоприятные, возможна инвалидность. На четвертой стадии выживает на протяжении 5 лет не более 30% больных. Болезнь лечится крайне тяжело.
Профилактика рака 12-перстной кишки
Основа профилактики опухолевых процессов в кишечнике – это здоровое питание, отказ от вредных привычек, регулярное проведение обследований у врача, своевременное лечение любых расстройств пищеварения.
Читайте также:



