Лучевая диагностика травматического разрыва твердой мозговой оболочки
Добавил пользователь Евгений Кузнецов Обновлено: 28.11.2025
Черепно-мозговая травма (ЧМТ) – собирательное понятие, которое включает в себя различные виды и степени тяжести механического повреждения, как самого черепа, так и внутричерепных образований: мозговых оболочек, тканей мозга, церебральных сосудов, черепных нервов.
Компьютерная томография при травматическом повреждении головного мозга.
Черепно-мозговая травма (ЧМТ) – собирательное понятие, которое включает в себя различные виды и степени тяжести механического повреждения, как самого черепа, так и внутричерепных образований: мозговых оболочек, тканей мозга, церебральных сосудов, черепных нервов.
Черепно-мозговая травма (ЧМТ) относится к наиболее распространенным видам повреждений и составляет до 40% всех видов травм и согласно статистике Всемирной Организации Здравоохранения имеет тенденцию к нарастанию на 2% в год.
Летальность в целом при ЧМТ составляет 5-10%, а при тяжелой ЧМТ достигает 70%. Смертность от черепно-мозговой травмы составляет 1% от всеобщей смертности.
Средний возраст большинства пострадавших 20 – 50 лет, т.е. в период наибольшей трудоспособности, при этом мужчин в 2,5 – 3 раза больше чем женщин.
Среди причин черепно-мозговых травм первые места занимают бытовой и дорожно-транспортный травматизм, затем идут спортивная травма, производственная травма , вторичная травма вследствие падения больного в обморок, при эпилепсии, при инсульте.
У большинства пострадавших (до 60%) как исход полученных повреждений наблюдаются снижение работоспособности и инвалидизация.
Частота черепно-мозговой травмы и тяжесть ее последствий придают проблеме большое социальное значение.

По степени целостности тканей головы выделяют:
Закрытая черепно-мозговая травма - сохранение целостности мягких тканей головы или наличие раны мягких тканей, не затрагивающей апоневроз черепа. Открытая черепно-мозговая травма - наличие ранения мягких тканей головы, включающее, как минимум, повреждение апоневроза черепа, а также, возможно, вовлекающее более глубинные образования (свод и основание черепа, оболочки, ткань мозга).
Проникающая черепно-мозговая травма - при которой имеется повреждение твердой мозговой оболочки (как при наличии раны головы, так и при её отсутствии).
Непроникающая черепно-мозговая травма, при которой твердая мозговая оболочка остается неповрежденной.
По характеру и тяжести повреждения вещества мозга выделяют следующие к линические формы ЧМТ:
- сотрясение головного мозга,
- ушибы головного мозга различной степени тяжести,
- диффузное аксональное повреждение,
- сдавление головного мозга,
Диагностика черепно-мозговой травмы основывается на данных анамнеза, выяснении обстоятельств и механизма получения травмы, выявления классической анамнестической триады : потеря сознания, тошнота или рвота, амнезия. Затем производится тщательный внешний осмотр, неврологическое обследование и дополнительные методы исследования.

Современные неинвазивные диагностические технологии (КТ, МРТ, УЗИ, ПЭТ) совершили подлинный переворот в расшифровке патологоанатомического субстрата ЧМТ, опережая по информативности рутинное рентгенологическое исследование черепа и головного мозга, и имеют решающее значение для определения характера повреждений и выработки дальнейшей тактики ведения этих больных.
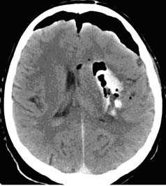
Применение компьютерной томографии в нейротравматологии существенно изменило представление о возможностях диагностики различных черепно-мозговых повреждений. КТ является в настоящий момент «золотым стандартом» - наиболее информативным методом обследования больных с черепно-мозговыми травмами и позволяет в самые короткие сроки судить о механизмах возникновения поражения мозга, его характере, распространенности, выраженности отека и дислокации мозга, а также динамике этих изменений.

КТ позволяет последовательно изучить мягкие ткани головы, кости черепа, вещество мозга, эпидуральные, субдуральные, субарахноидальные пространства, цистерны основания и желудочки мозга:
- выявить переломы свода и основания черепа (с чувствительностью, намного превышающей традиционную рентгенографию) ,
- выявить наличие внутричерепной гематомы (её характер, локализацию, размеры),
- выявить наличие очага ушиба головного мозга (его локализацию, размеры, характер, наличие геморрагического компонента),
- определить степень сдавления или дислокации головного мозга объемным процессом,
- выявить наличие диффузного или перифокального отека и его степени,
- выявить субарахноидальное кровоизлияние,
- выявить внутрижелудочковую гематому,
- выявить наличие пневмоцефалии.

Поэтому в настоящее время следует считать правилом, что при наличии соответствующей аппаратуры, в первую очередь необходимо проведение компьютерной томографии. Вопрос заключается лишь в сроках выполнения данного исследования: пострадавшим с тяжелой ЧМТ, особенно в неясных случаях, КТ должна выполняться по срочным показаниям, при легкой ЧМТ КТ может быть проведена в плановом порядке, но не позже следующего дня.
КТ с внутривенным контрастированием (КТ-ангиография) по неотложным показаниям, как правило, не выполняется. Показанием к такому исследованию является обнаружение на нативных томограммых внутримозговых гематом, локализующихся в местах возможного разрыва аневнизмы.






Визуализация минимальных количеств излившейся свежей крови, уверенная дифференциация ее от других внеклеточных жидкостей, слежение за динамикой отека и набухания головного мозга, некроза и восстановления его структур с одновременным распознаванием переломов костей черепа, особенно его основания, составляют преимущества КТ перед магнитно-резонансной томографией.
Кроме того положительными сторонами данного метода нейровизуализации являются малое время исследования, возможность фиксации пациента и использования аппаратов ИВЛ, меньшее количество противопоказаний к обследованию, что невозможно при технически более сложной МР-томографии.
Лучевая диагностика травматического разрыва твердой мозговой оболочки
Лучевая диагностика черепно-мозговой травмы (ЧМТ) - признаки на КТ, МРТ
Травма является одной из важнейших причин заболеваемости и смертности в современном мире. Она является ведущей причиной смерти детей и молодых взрослых в Соединенных Штатах, при этом более 50% случаев вызваны ЧМТ.
Компьютерная томография является очень важной методикой в оценке травмы головы, и относится к методам первого выбора. Исследование проводится очень быстро (менее одной минуты). КТ высоко чувствительна к крови и хороша для изучения костей, воздуха (пневмоцефалии) и рентгенологически плотных инородных тел. Для обеспечения максимальных диагностических возможностей томограммы при черепно-мозговой травме должны быть рассмотрены в разных режимах для выявления первых признаков инсульта, оценки паренхимы, крови и кости/воздуха/жира.
а) Признаки перелома черепа на КТ и МРТ. С помощью компьютерной томографии можно диагностировать три типа перелома черепа: линейные, вдавленные и диастатические. Для визуализации линейных переломов и малых трещин используются алгоритмы реконструкции и фильтры. Переломы черепа могут сопровождаться сопутствующей внутричерепными измененями: гематомами, ушибами, пневмоцефалией или наличием инородных тел, которые могут быть так же выявлены с помощью КТ. Если при переломе имеются раны мягких тканей покровов черепа, то он называется «открытым», так как возникает потенциальная связь между внутричерепным пространством и окружающей средой. В противном случае он называется «закрытым».
Ключевые данные визуализации:
- Заметные переломы не требуют пояснений по диагнозу.
- В остальных случаях на нормальных КТ-срезах возможно появление воздуха внутри черепа (пневмоцефалия) или отсутствие воздуха в обычных областях, например, в околоносовых пазухах, сосцевидных ячейках, среднем ухе или наружном слуховом проходе.
- При отсутствии патологических изменений до травмы возможно жидкостное заполнение пространства СМЖ или кровью, менее плотной по сравнению с СМЖ (метод внутреннего жидкостного наполнения).
- Необходим тщательный поиск субдуральной/ эпидуральной гематомы и ушибов мозга.
- При их наличии определить перелом на тонких срезах с использованием специального костного фильтра/ алгоритма реконструкции.
- При этом перелом будет выглядеть в виде линий на кости без кортикального слоя.
- Необходимо дифференцировать их от обычных швов или другой нормальной анатомической структуры (у которых сохранена кортикальная пластинка, в случае сомнений сравнить с противоположной стороной).
- После этого провести поиск сопутствующих повреждений отверстий паренхимы или нарушений нервных путей.
- Обязательно проверить нижнюю челюсть, височно-нижнечелюстной сустав (ВНЧС) и глазницу.
- Для двух последних лучше использовать несколько реконструкций и просматривать их в коронарной, сагиттальной и косой проекции.
б) Признаки эпидуральной гематомы на КТ и МРТ. Эпидуральная гематома (ЭДГ) представляет собой скопление крови между черепом и твердой мозговой оболочкой, как правило, артериального происхождения и редко из вены / синуса ТМО.
Ключевые данные визуализации:
- Двояковыпуклая (чечевицеобразная) масса (скопление) повышенной плотности между костью и мозгом.
- Смещение ткани мозга.
- Ограничена швами, лишь изредка пересекая их.
- Может пересекать среднюю линию.
- Два последних пункта облегчают дифференциальную диагностику с субдуральной гематомой.
- Обычно односторонняя (95%) и супратенториальная (95%), а также связанная с локализацией перелома (90%).
в) Признаки субдуральной гематомы на КТ и МРТ. Субдуральная гематома (СДГ)— скопление крови между твердой мозговой оболочкой и паутинной оболочкой. Чаще всего вызвана разрывом переходных вен (нередко после острых изменений скорости при повреждении паренхимы). Хроническая СДГ может возникать и без травмы или в результате незначительной травмы, особенно у пожилых пациентов.
Ключевые данные визуализации:
- Субдуральная гематома имеет форму полумесяца между костью и мозгом и часто связана с другими поражениями (70%).
- Плотность уменьшается примерно на 1,5 Н/день.
- Может пересекать швы, но не по среднюю линию (не пересекает места прикрепления ТМО).
- Не забыть проверить наличие субдуральной гематомы малого размера у серпа и намета.
- КТ-характеристики гематомы различны в зависимости от продолжительности кровотечения:
— Острейшая СДГ: гетерогенная (40%) или гиперденсная (60%). При гетерогенном варианте гиподенсный сигнал обусловлен ликвором или несвернувшейся кровью (острое кровотечение).
— Острая СДГ (несколько дней): гиперденсная.
— Подострая СДГ (от двух дней до двух недель): изоденсная по отношению к мозгу. При диагностике подострой СДГ необходимо особое внимание, так как ее легко пропустить из-за изоденсного сигнала. Чтобы отличить ее от мозга, необходимо проверить, находится ли серое вещество и борозды в контакте с костью или СМЖ, а граница серого-белого вещества не смещена медиально. В противном случае возможен диагноз подострой СДГ. В случае сомнений внутривенное введение иодинированного контраста поможет определить смещение вен твердой мозговой оболочки и капсулу.
— Хроническая СДГ (от недель до месяцев): может быть однородно гиподенсной, иногда можно увидеть горизонтальную линию, разделяющую гиперденсный объем жидкости (нижний) и гиподенсный (верхний), при хронической СДГ у пациентов при лечении антикоагулянтами или заболеваниями с нарушениями свертываемости крови. Она может выглядеть гетерогенно гипо/изоденсно, с трабекулами и кальцина-тами, а также гетерогенной комбинацией гипо- и гиперденсивных зон при хронической СДГ с рецидивирующим излиянием СМЖ или несвернувшейся крови (острое кровотечение).
— Изменения давности гематомы можно наблюдать и по интенсивности сигнала на МРТ, однако она обычно не используется в чрезвычайных ситуациях, а применение в педиатрии многими авторами ставится под сомнение.
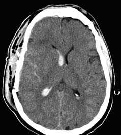
г) Травматическое субарахноидальное кровоизлияние. Субарахноидальное кровоизлияние (САК) — скопление крови между паутинной и мягкой мозговой оболочками головного мозга. САК развивается в большинстве случаев травмы головы от средней до тяжелой степени тяжести как наиболее частой причины.
Ключевые данные визуализации:
- Гиперденсный сигнал в бороздах конвекситальной поверхности головного мозга или (реже) в спинномозговой жидкости цистерн основания головного мозга.
- Обязательно осмотреть межножковую цистерну и затылочные рога.
- Наличие в непосредственной близости от САК переломов и первичных паренхиматозных повреждений головного мозга, таких как ушибы, вместе с анамнезом травмы и расположением САК помогут при дифференциальной диагностике с аневризмой вызванной САК.
д) Первичные паренхиматозные повреждения головного мозга. Первичная травма определяется как повреждение, вызванное прямым воздействием травмирующей силы. Вторичные поражения, как правило, являются следствием первичного. К первичным поражениям относятся: травма скальпа, переломы, внутричерепные кровоизлияния, прямое повреждение сосудов и первичные паренхиматозные повреждения головного мозга. Первичные паренхиматозные повреждения головного мозга могут быть разделены на: диффузное аксональное повреждение, ушибы корковой и субкортикальной локализации, паренхиматозные гематомы.
е) Диффузное аксональное повреждение (ДАП). ДАП представляет собой патологическое повреждение аксонов в результате травмы по механизму ускорения/замедления или вращения. Типичные локализации ДАП находятся на границе серого и белого вещества, в мозолистом теле, дорсолатеральном отделе ствола мозга, своде, базальных ядрах и внутренней капсуле.
Ключевые данные визуализации:
- При легком ДАП данные КТ часто нормальные.
- При КТ может быть выявлен умеренный отек мозга или микрокровоизлияния (20-50%) в местах повреждения или очаговое поражение (10%).
- При нормальной КТ у пациента с неврологическими нарушениями необходимо выполнение МРТ.
- МРТ более чувствительна, чем КТ в выявлении ДАП, которое лучше визуализируются на Т2-взвешенных и FLAIR изображениях в виде множественных четких гиперинтенсивных областей в белом веществе
- На Т2-взвешенных изображениях очаг ДАП будет выглядеть гиподенсным.
ж) Ушибы коры. Ушибы коры являются следствием кровоизлияния в результате удара мозга о череп. В связи с этим они часто встречаются в лобных и височных полюсах, часто связаны с вдавленными переломами черепа и являются наиболее распространенными паренхиматозными поражениями.
Ключевые данные визуализации:
- Данные КТ на ранней стадии могут быть нормальными.
- На неконтрастной КТ ушибы выглядят как гетерогенные гиперденсные области в ткани головного мозга с кровью и отеком.
- Отек более выражен на последующих КТ.
- Наиболее чувствительным методом в диагностике ушибов является МРТ.
з) Паренхиматозные гематомы. Паренхиматозные гематомы вызываются разрывом небольшого паренхиматозного сосуда и не связаны с корковыми ушибами. Они могут возникать через несколько дней после травмы.
Ключевые данные визуализации:
- Гиперденсное скопление крови в белом веществе лобных и височных долей или базальных ядрах.
е) Ушибы субкортикального локализации. Ушибы субкортикальной локализации — еще один вид первичной травмы головного мозга в связи с разрывом проникающих сосудов. Встречаются только при тяжелой травме.
Ключевые данные визуализации:
- Несколько точечных кровоизлияний в базальных ядрах (гиперденсные на неконтрастной КТ).

Эпидуральная гематома (слева), которая возникает в результате разрыва оболочечной артерии,
как правило, на фоне перелома кости черепа, представляет собой скопление артериальной крови
между твердой мозговой оболочкой и внутренней поверхностью черепа.
При субдуральной гематоме (справа) разрыв мостиковых вен между головным мозгом
и верхним сагиттальным синусом приводит к скоплению крови между паутинной и твердой мозговыми оболочками.
Редактор: Искандер Милевски. Дата обновления публикации: 18.3.2021
КТ, МРТ травматического разрыва твердой мозговой оболочки
а) Терминология:
• Приобретенный дефект твердой мозговой оболочки со сбросом СМЖ ± формирование псевдоменингоцеле
б) Визуализация травматического разрыва твердой мозговой оболочки:
• Большинство дефектов не удается диагностировать до операции и определяются они только во время операции по истечению ликвора в области поврежденных сегментов позвоночника:
о Может отмечаться эпидуральное или паравертебральное накопление жидкости
о Жидкость может пропитывать окружающие ткани или инкапсулироваться и формировать ограниченную заполненную жидкостью полость (псевдоменингоцеле)
- Длительно существующие псевдоменингоцеле могут приводить к ремоделированию соседних костных структур
• Обращайте внимание на признаки сочетанной тяжелой травмы позвоночника (например, взрывного перелома)
• КТ-миелография, радиоизотопная миелография:
о Эффективны для диагностики места повреждения и локализации зоны хирургического вмешательства или тампонады дефекта кровяным свертком
• Исследование головного мозга в хронических случаях может выявить признаки внутричерепной гипотензии:
о «Провисание» среднего мозга
о Утолщение и усиление сигнала твердой мозговой оболочки
(Слева) STIR МР-И сагиттальная проекция: оскольчатый взрывной перелом тела L5 с формированием крупного заднего псевдоменингоцеле вследствие разрыва твердой мозговой оболочки и истечения СМЖ. Травматический спондилолистез также стал причиной выраженной деформации дурального мешка на уровне повреждения.
(Справа) Т2-ВИ, сагиттальная проекция: перелом зубовидного отростка I типа и большого объема полость в вентральной части эпидурального пространства, заполненная жидкостью, оттесняющая дуральный мешок кзади и приводящая к незначительной компрессии шейного отдела спинного мозга. (Слева) На аксиальном КТ-срезе с КУ у пациента, которому недав -но была выполнена передняя дискэктомия шейного отдела позвоночника и спондилодез, определяется крупное псевдоменингоцеле, распространяющееся от уровня выполненной дискэктомии в превертебральное пространство и затем в ткани кнутри от сонной артерии и яремной вены.
(Справа) При радиоизотопной миелографии у этого пациента с внутричерепной гипотензией отмечается значительный сброс радиоизотопа за пределы дурального мешка в направлении правой плевральной полости. Пациенту не так давно выполнялась торакотомия с целью резекции злокачественной опухоли легкого.
в) Патология:
• Травматические причины:
о Взрывной перелом с повреждением твердой мозговой оболочки
о Отрыв корешка спинного мозга с разрывом твердой мозговой оболочки
о Приникающее ранение
• Дефект твердой мозговой оболочки приводит к накоплению СМЖ за пределами оболочек спинного мозга
г) Клинические особенности:
• Боль в спине
• Локализованный отек мягких тканей
• Синдром внутричерепной гипотензии:
о Длительно сохраняющаяся постуральная головная боль
о Нечасто: нейропатии черепных нервов, нарушения зрения
а) Терминология:
1. Сокращения:
• Центральный спинномозговой синдром (ЦСС), острый травматический центральный спинномозговой синдром (ОТЦСС)
2. Синонимы:
• Синдром частичного повреждения спинного мозга (один из подтипов)
3. Определения:
• Наиболее распространенный синдрома частичного повреждения спинного мозга
• Травматическое повреждение спинного мозга, клинически выраженное в виде:
о Двустороннего пареза, верхние конечности > нижние конечности
о Нарушения функции мочевого пузыря
о Вариабельных нарушений чувствительности
• Повреждение центрального серого вещества спинного мозга, кортикоспинальных и спиноталамических трактов
б) Визуализация:
1. Общие характеристики центрального спинномозгового синдрома:
• Наиболее значимый диагностический признак:
о Гиперинтенсивный сигнал центральной части паренхимы спинного мозга в Т2-режиме
• Локализация:
о Наиболее часто - на уровне С3-С4 и С5-С6
2. Рентгенологические находки:
• Рентгенография:
о При острой травме изменений зачастую не обнаруживают
о Могут быть признаки спондилеза или врожденного стеноза спинномозгового канала
3. КТ при центральном спинномозговом синдроме:
• Бесконтрастная КТ:
о Могут быть признаки:
- Грыжи межпозвонкового диска
- Гипертрофии связок
- Врожденного стеноза спинномозгового канала
5. Несосудистые рентгенологические исследования:
• Миелография:
о Показана только при отсутствии возможности выполнить МРТ
о Невыраженное увеличение объема спинного мозга
о Исходный стеноз спинномозгового канала
6. Рекомендации по визуализации:
• МРТ показано при любых посттравматических клинических признаках повреждения спинного мозга

(Слева) На сагиттальном Т2-ВИ пациента с посттравматическим центральным спинномозговым синдром виден фокальный гиперинтенсивный сигнал спинного мозга на уровне С4-С5, свидетельствующий о контузии спинного мозга. Обратите внимание на признаки исходного стеноза спинномозгового канала за счет выраженных спондилофитов замы кательных пластинок позвонков на этом уровне.
(Справа) Т2-ВИ сагиттальная проекция: гиперинтенсивность сигнала спинного мозга на уровне С3-С4. В дополнение к врожденному стенозу спинномозгового канала у этого пациента имеет место протрузия диска СЗ-С4, ставшая причиной еще большего усугубления стеноза спинномозгового канала.
в) Дифференциальная диагностика центрального спинномозгового синдрома:
1. Миелит:
• Демиелинизирующие заболевания (например, рассеянный склероз), острый демиелинизирующий энцефаломиелит, поперечный миелит
2. Кавернозная мальформация спинного мозга:
• Лучше всего видна в GRE-режиме
• Может быть множественной
• Может стать случайной находкой при травме и симулировать картину повреждения спинного мозга
3. Сирингомиелия:
• Веретенообразная заполненная жидкостью полость в толще спинного мозга
• Может иметь место верхний парапарез, однако клиника его обычно имеет хроническое течение
4. Инфаркт спинного мозга:
• Вторичное поражение после хирургического вмешательства на аорте, нетравматическая расслаивающая аневризма аорты, атеросклеротическая болезнь, гипотензия/гипоперфузия, васкулит
• Подтип инфаркта спинного мозга, развивающийся после травмы вследствие:
о Травматической расслаивающей аневризмы аорты → инфаркт конуса спинного мозга
о Расслаивающей аневризмы позвоночной артерии → инфаркт шейного отдела спинного мозга (редко)
г) Патология:
1. Общие характеристики:
• Этиология:
о Нередко - на фоне исходного стеноза спинномозгового канала о Грыжа межпозвонкового диска, спондилофиты
о Гипертрофия дугоотростчатых суставов, связок
• Гиперэкстензия:
о Протрузия фрагмента желтой связки в спинномозговой канал, вызывающая сдавление спинного мозга и повреждение его серого вещества
• Тракционное аксональное повреждение
2. Стадирование, степени и классификация центрального спинномозгового синдрома:
• Американская ассоциация спинальной травмы (American Spinal Injury Association, ASIA):
о Степень А: отсутствие двигательной/чувствительной функции в S4-S5 сегментах
о Степень В: отсутствие двигательной функции ниже уровня повреждения
о Степень С: мышечная сила ниже трех баллов более, чем в половине основных мышечных групп ниже уровня повреждения о Степень D: мышечная сила выше трех баллов более, чем в половине основных мышечных групп ниже уровня повреждения о Степень Е: норма
о Неврологический уровень повреждения = наиболее каудальный сегмент спинного мозга с сохранением нормальной чувствительной и моторной функции с обеих сторон тела
3. Макроскопические и хирургические особенности:
• Компрессия, отек спинного мозга
4. Микроскопия:
• Первичное повреждение латерального кортикоспинального тракта с потерей части аксонов, преимущественное повреждение белого вещества спинного мозга
• Признаки кровоизлияния в паренхиму спинного мозга должны отсутствовать
• Центральное серое вещество при острых и обратимых случаях остается интактным
• Валлерова дегенерация дистальнее зоны повреждения
• Минимально выраженная дегенерация волокон вентрального кортикоспинального тракта
• Дегенерация части нейронов в зонах спинного мозга, ответственных за иннервацию мышц кисти, при старых повреждениях

(Слева) Т2-ВИ, сагиттальная проекция: признаки многоуровневого дегенеративного поражения шейного отдела позвоночника. На уровнях С3-С4 и С4-С5 отмечается выраженный стеноз спинномозгового канала за счет протрузий межпозвонковых дисков, спондилофитов замыкательных пластинок тел позвонков и гипертрофии дорзальных связок. После травмы у данного пациента развилась клиника центрального спинномозгового синдрома, свидетельством чего является небольшой гиперинтенсивный очаг в зоне повреждения спинного мозга на уровне С4-С5.
(Справа) На сагиттальном STIR МР-И пациента с травмой шейного отдела позвоночника видны признаки врожденного стеноза спинномозгового канала и минимально выраженных дегенеративных изменений. На уровне цервикомедуллярного перехода и С4 отмечается патологическое усиление Т2-сигнала спинного мозга, свидетельствующее о его повреждении. Обратите внимание на гиперинтенсивность сигнала превертебральных мягких тканей (гиперэкстензионное повреждение).
д) Клинические особенности:
1. Клиническая картина центрального спинномозгового синдрома:
• Наиболее распространенные симптомы/признаки:
о Гетерогенность клинической симптоматики:
- В небольшом числе случаев имеет место классическое гиперэкстензионное повреждение на фоне исходного стеноза спинномозгового канала
- У 60% пациентов с ОТЦСС имеют место переломы и вывихи позвонков, острые грыжи межпозвонковых дисков, изредка - SCIWORA
- Форма с минимально выраженной клиникой характеризуется такими симптомами, как «горящие кисти», при отсутствии объективной патологической неврологической симптоматики (контузия спиноталамических трактов)
- Спонтанное восстановление нормальной функции спинного мозга возможно вне зависимости от того, какое лечение проводится
о Двусторонний парез конечностей, верхние > нижние конечности
- Нарушение функции мочевого пузыря
- Вариабельные нарушения чувствительности
о Оценка моторной функции верхних конечностей (шкала ASIA) должна быть по меньшей мере на 10 баллов ниже соответствующей оценки моторной функции нижних конечностей
о Следует исключить другие причины посттравматического пареза верхних конечностей:
- Двустороннее повреждение плечевого сплетения
- Перекрестный паралич Белла
• Внешний вид пациента:
о Развившиеся после травмы признаки повреждения спинного мозга у пациента с врожденным или приобретенным стенозом спинномозгового канала:
- Двусторонний парез конечностей, верхние > нижние конечности
- Высокоэнергетические механизмы травмы более характерны для пациентов молодого возраста
- Для пациентов пожилого возраста характерно возникновение повреждений в результате простого падения с высоты собственного роста
2. Демография:
• Этническая предрасположенность:
о Для представителей азиатских национальностей характерна более высокая частота оссификации задней продольной связки, которая в свою очередь является предрасполагающим фактором
• Эпидемиология:
о Согласно данным одного из исследований, в США среди футболистов, играющих в американский футбол, частота развития центрального спинномозгового синдрома составляет 1,3 на 10000 человек
о До 25% посттравматических парезов развиваются на фоне исходного стеноза спинномозгового канала
3. Течение заболевания и прогноз:
• В значительной части случаев наступает спонтанное выздоровление с полным разрешением неврологической симптоматики или лишь незначительной остаточной слабостью и спастичностью мышц конечностей
• Остро развивающиеся парезы и параличи чаще всего полностью или практически полностью обратимы
• Прогноз зависит от возраста пациента:
о Большинство пациентов младше 50 лет полностью восстанавливаются
о У большинства пациента старше 70 лет остается стойкий остаточный неврологический дефицит
• Тяжелая компрессия спинного мозга, распространенный его отек и кровоизлияния по данным МРТ служат плохими прогностическими признаками и характеризуются медленным и неполным разрешением клинической симптоматики
4. Лечение центрального спинномозгового синдрома:
• В большинстве случаев консервативное лечение позволяет добиться того же результата, что и хирургическое вмешательство:
о Рекомендуется лечение пациента в условиях отделения интенсивной терапии (III уровень доказательности)
о Рекомендуется мониторинг сердечной и дыхательной деятельности, мониторинг гемодинамики с поддержанием среднего уровня артериального давления на уровне 85-90 мм рт. ст. и обеспечение тем самым адекватной перфузии спинного мозга (III уровень доказательности)
о Максимально ранняя репозиция переломов и вывихов позвонков
5. Четыре группы:
о У 10% пациентов с ОТЦСС отмечается изменение МР-сигнала спинного мозга при отсутствии других видимых изменений:
- Консервативное лечение
о У 20% пациентов с ОТЦСС имеет место острая грыжа межпозвонкового диска:
- Рекомендуется хирургическое лечение
о 30% случаев ОТЦСС составляют пациенты с переломами и подвывихами шейного отдела позвоночника:
- Рекомендуется ранняя репозиция позвоночника и декомпрессия спинного мозга
о У 40% пациентов с ОТЦСС выявляется стеноз позвоночника без признаков костных или связочных повреждений:
- Оптимальная тактика лечения остается предметом дебатов
е) Диагностическая памятка:
1. Следует учесть:
• Любые признаки поражения спинного мозга после травмы являются показанием к МРТ
2. Советы по интерпретации изображений:
• Если ранее видимые рентгенологические изменения казались минимальными, то на сегодняшний день установлено, что значительное число пациентов с ОТЦСС имеют переломы и вывихи позвонков
а) Терминология:
1. Синонимы:
• Травматическое менингоцеле
• Псевдоменингоцеле
2. Определения:
• Приобретенный (травматический) дефект твердой мозговой оболочки со сбросом СМЖ ± формирование псевдоменингоцеле
1. Общие характеристики травматического разрыва твердой мозговой оболочки:
• Локализация:
о Большинство дефектов не удается диагностировать до операции и определяются они только во время операции по истечению ликвора в области поврежденных сегментов позвоночника:
- Может отмечаться эпидуральное или паравертебральное накопление жидкости
- При паравертебральной локализации заполненная СМЖ полость сообщается сдуральным мешком через межпозвонковое отверстие или через дефект костных элементов позвонка
• Морфология:
о Жидкость может пропитывать окружающие ткани или инкапсулироваться и формировать ограниченную заполненную жидкостью полость (псевдоменингоцеле)
2. Рентгенологические данные:
• Рентгенография:
о Признаки сочетанного повреждения позвоночника (например, взрывной перелом позвонка)
3. КТ при травматическом разрыве твердой мозговой оболочки:
• Костная КТ:
о Эпидуральная или паравертебральная заполненная жидкостью полость
о Могут быть признаки перелома позвоночника
о В хронических случаях может отмечаться ремоделирование костных структур, расширение межпозвонкового отверстия
о КТ-миелография:
- Может отмечаться экстравазация контраста в области дефекта твердой мозговой оболочки
- Эффективна для диагностики места повреждения и локализации зоны хирургического вмешательства или тампонады дефекта кровяным свертком
- Отрыв корешка спинного мозга:
Округлый парафораминальный очаг накопления контраста
Отсутствие соответствующего корешка спинного мозга
4. МРТ при травматическом разрыве твердой мозговой оболочки:
• Т1-ВИ:
о Гипоинтенсивный сигнал жидкости в Т1-режиме
о Паравертебральная и эпидуральная клетчатка обеспечивают естественное контрастирование, которое позволяет оценить протяженность жидкостного образования
о В острых случаях: могут быть признаки отека костного мозга, связанного с переломами позвонков и характеризующегося в Т1 -режиме гипоинтенсивностью сигнала
• Т2-ВИ:
о Жидкостные образования в Т2-режиме отличаются гиперинтенсивностью сигнала
о Признаки внутричерепной гипотензии при МРТ головного мозга:
- Утолщение твердой мозговой оболочки
- «Провисание» среднего мозга
- Грыжа миндалин мозжечка
• STIR:
о Жидкость в режиме STIR характеризуется гиперинтенсивностью сигнала
о В острых случаях: могут быть признаки отека костного мозга, связанного с переломами позвонков и характеризующегося в STIR-режиме гиперинтенсивностью сигнала
• Т1-ВИ с КУ:
о Псевдоменингоцеле никогда не отличаются контрастным усилением сигнала
о Признаки внутричерепной гипотензии при МРТ головного мозга:
- Некоторое утолщение и усиление сигнала твердой мозговой оболочки
- Увеличенный в размере и усиливающий сигнал гипофиз:
Вследствие застоя крови в венозной системе
о МР-миелография:
- Вспомогательная методика, используемая для локализации дефекта твердой мозговой оболочки
5. Рекомендации по визуализации:
• Протокол исследования:
о КТ наиболее информативна в отношении диагностики измененной вследствие перелома анатомии позвоночника:
- Тонкие (1-2 мм) срезы
- Сагиттальные и фронтальные реконструкции изображений
о Низкий порогчувствительности при проведении КТ-миелографии:
- Интратекальное введение контраста позволяет точно определить зону повреждения твердой мозговой оболочки
о МРТ является предпочтительной для выявления области скопления жидкости и определения ее взаимоотношений с соседними нервными образованиями
6. Радиоизотопные исследования:
• Радиоизотопная миелография:
о Эффективна для диагностики места повреждения и локализации зоны последующей тампонады дефекта кровяным свертком

(Слева) FS Т2-ВИ фронтальная проекция: псевдоменингоцеле на уровне С5, С6 и С7. Корешки спинного мозга на этих уровнях отсутствуют, что связано с их разрывом и дистальной ретракцией. Стволы плечевого сплетения выглядят утолщенными и дряблыми.
(Справа) FS T2-BИ аксиальная проекция, этот же пациент: псевдоменингоцеле, распространяющееся через расширенное межпозвонковое отверстие С7-Т1. Корешок С8 был разорван ранее и здесь не виден.
в) Дифференциальная диагностика травматического разрыва твердой мозговой оболочки:
1. Синдром сброса СМЖ:
• Включает все возможные причины снижение объема/давления СМЖ
• Клиническая симптоматика:
о Тяжелая, длительно сохраняющаяся позиционная головная боль
о Низкое давление СМЖ при люмбальной пункции
2. Травматическая эпидуральная гематома:
• Эпидуральное жидкостное образование
• Содержимое в определенных режимах и в определенные периоды времени может выглядеть аналогично СМЖ
• Содержимое выглядит как СМЖ не во всех режимах исследования
3. Эпидуральный, паравертебральный абсцесс:
• Наблюдается в сочетании с признаками спондилодисцита и формируется за счет прямого распространения инфекционного процесса в эпидуральное пространство
• Типично выраженное контрастное усиление:
о Периферическое = абсцесс
о Диффузное = флегмона

(Слева) Т2-ВИ, сагиттальная проекция: у молодой женщины, отмечающей выраженную головную после люмбальной пункции, определяются признаки накопления жидкости в дорзальной части эпидурального пространства связанное с истечением ликвора через постпункционный дефект.
(Справа) Нa аксиальном Т2-ВИ другого пациента визуализируется крупная заполненная жидкостью полость в паравертебральных тканях поясничной области, распространяющаяся из гемиляминэктомического дефекта справа в подкожную клетчатку. Дуральный мешок при этом не смещен и не деформирован.
1. Общие характеристики:
• Этиология
2. Поясничный отдел позвоночника:
- Взрывной перелом:
Повреждение в результате аксиальной нагрузки, вертикально ориентированная плоскость перелома, разнонаправленное (центробежное) смещение фрагментов
Повреждение вентрального листка твердой мозговой оболочки костными фрагментами
- Переломо-вывих
3. Грудной отдел позвоночника:
- Наиболее частыми причинами становятся взрывные переломы и переломо-вывихи
4. Шейный отдел позвоночника:
- Наиболее частыми травматическими причинами являются атлантозатылочная дислокация (АЗД), флексионно-компрессионные или флексионно-дистракционные повреждения
- Отрыв корешка спинного мозга:
Тракционное повреждение корешка (например, при боковом сгибании шейного отдела позвоночника)
Отрыв корешка спинного мозга или разрыв его дуральной воронки
5. Прочие:
- Проникающее ранение:
Колото-резаное
Огнестрельное
Ятрогенное
• Сочетанные повреждения:
о Переломы позвоночника
о Отрыв корешков спинного мозга
о Признаки проникающего ранения
о Анамнез/клинические признаки недавно перенесенного хирургического вмешательства
о Грыжа корешка или спинного мозга через дефект твердой мозговой оболочки
о Сдавление корешка спинного мозга между костными фрагментами:
- В частности, при взрывном переломе или переломе дуги позвонка
6. Макроскопические и хирургические особенности:
• Дефект твердой мозговой оболочки

(Слева) На миелограмме в прямой проекции определяется округлое экстрафораминальное накопление контраста на уровне С6-С7 слева. У пациента в результате ДТП имел место отрыв С7 корешка слева.
(Справа) Т2-ВИ, сагиттальная проекция: крупное дорзальное жидкостное образование. Ранее пациенту была выполнена многоуровневая ляминэктомия и релиз фиксированного спинного мозга по поводу липомиеломенингоцеле. Обратите внимание на жировую инфильтрацию и миелошизис низкорасположенного спинного мозга.
1. Клиническая картина травматического разрыва твердой мозговой оболочки:
• Наиболее распространенные симптомы/признаки:
о Локализованный отек мягких тканей
о Боль в спине
о Длительно сохраняющаяся позиционная головная боль в хронических случаях
• Другие симптомы/признаки:
о Нечасто: нейропатии черепных нервов, нарушения зрения
2. Демография:
• Эпидемиология:
о Согласно данным одного из исследований, в которые были включены случаи оперативного лечения нестабильных переломов позвоночника разрывы твердой мозговой оболочки отмечены:
- На уровне шейного отдела позвоночника в 9% случаев
- Грудного отдела позвоночника - в 10%
- Поясничного отдела позвоночника - в 18% случаев
о Травматические разрывы твердой мозговой оболочки сопровождаются высокой частотой неврологического дефицита
- Клиника полного повреждения спинного мозга присутствует примерно в 50% случаев
3. Течение заболевания и прогноз:
• Наличие травматического повреждения твердой мозговой оболочки сопряжено с высокой частотой неврологического дефицита:
о Прогноз определяется в первую очередь характером повреждения
• Негативное влияние травматического повреждения твердой мозговой оболочки на послеоперационное состояние пациента минимально:
о Оно аналогично таковому при ятрогенных повреждениях твердой мозговой оболочки, наблюдаемых при некоторых вмешательствах на позвоночнике
о Может привести к персистирующему сбросу СМЖ или формированию псевдоменингоцеле
4. Лечение травматического разрыва твердой мозговой оболочки:
• Тампонирование дефекта кровяным свертком
• Временное дренирование субарахноидального пространства
• Первичное восстановление дефекта:
о Хирургическая стабилизация любых нестабильных повреждений позвоночника
• Общепринятого алгоритма лечения повреждений твердой мозговой оболочки не существует:
о С этой целью предложен целый ряд хирургических методик и средств
е) Диагностическая памятка:
1. Следует учесть:
• КТ-миелография показана всем пациентам с неврологической симптоматикой и взрывными переломами позвонков, которым предстоит хирургическое вмешательство
2. Советы по интерпретации изображений:
• Причиной повреждения вентрального листка твердой мозговой оболочки может быть смещенный в спинномозговой канал задний фрагмент тела позвонка
Читайте также:
