Лучевая оценка костного трансплантата позвоночника
Добавил пользователь Евгений Кузнецов Обновлено: 29.01.2026
Традиционное использование костных трансплантатов для переднего спондилодеза при радикально-реконструктивных операциях у больных неспецифическими гнойными и специфическими (гранулематозными) спондилитами в последние годы подвергается критической оценке из-за высокой частоты их частичной или полной резорбции. Отношение к биологически инертным опорным имплантатам из никелида-титана, углерод-углерода и титана постепенно пересматривается в сторону их более широкого использования как в качестве самостоятельных опор для передней колонны, так и в комбинации с костью. При этом стабилизация позвоночника в случаях протяженных пострезекционных дефектов проводится задними фиксирующими конструкциями 5.
Наиболее широко в качестве опорных нерезорбируемых имплантатов для переднего спондилодеза в настоящее время применяются титановые блок-решетки или сетки, разработанные Ю. Хармсом (U. Harms) (полное название – Harms titanium mesh cage), представляющие собой полые трубки округлого или овального сечения, стенки которых имеют сетчатое строение с различной величиной клеток. Термины “меш” (mesh, сетка) и кейдж (cage, клетка) обычно применяют самостоятельно, без упоминания автора.
Отсутствие информации об особенностях формирования переднего спондилодеза при использовании титановых мешей у больных инфекционными спондилитами побудило нас к выполнению исследования.
Цель исследования. Изучить лучевые особенности формирования спондилодеза в условиях применения титановых блок-решеток (“мешей”) при реконструктивных операциях у больных спондилитом.
Дизайн исследования: проспективное нерандомизированное исследование типа “случай – контроль” (III класс доказательности).
Материалы и методы. Изучены рентгенограммы и спиральные компьютерные томограммы (СКТ) позвоночника последовательно оперированных 40 больных с инфекционными спондилитами, перенесших радикально-реконструктивные операции, при которых для переднего спондилодеза использовались титановые меши. У всех больных операции выполнялись в соответствии с ранее разработанными стандартными методами.
Все больные оперированы в двух независимых клинических подразделениях одного медицинского учреждения, что и послужило, в определенной мере, критерием деления больных на группы:
- группу 1 составили 17 пациентов, у которых при проведении спондилодеза меш использован в качестве самостоятельного опорного элемента;
- группу 2 составили 23 пациента, у которых при спондилодезе блок-решетка заполнялась аутокостью (18 наблюдений) или небиологическим остеоиндуктивным материалом (5).
Группы сопоставимы по возрасту и распространенности поражения. Верификация окончательного диагноза проводилась по данным гистологического и бактериологического исследования операционного материала. Подавляющее большинство в каждой группе составили больные туберкулезным спондилитом (15 и 20 пациентов соответственно), неспецифический остеомиелит позвоночника соответственно установлен у 2 и 3 пациентов.
Из исследования исключены пациенты с сопутствующей ВИЧ-инфекцией.
Анализ формирования переднего спондилодеза проводили по результатам СКТ исследования в сроки 1, 3, 6 и 12 мес. после операции.
- наличие/отсутствие утолщения паравертебральных тканей, характеризующее радикальность удаления патологического субстрата,
- наличие/отсутствие склеротической реакции или перифокальной резорбции в телах позвонков вокруг концов титанового имплантата, характеризующее его адаптацию в реципиентном ложе;
- проникновение костной ткани внутрь имплантата (при его использовании без аутокости или остеоиндуктивного наполнения) и наличие/отсутствие визуализируемой зоны “кость-трансплантат” - в случаях наполнения меша аутокостью или остеоиндуктивным материалом;
- нарастание величины сагиттальной деформации позвоночника более чем на 5 ° (по Cobb’у).


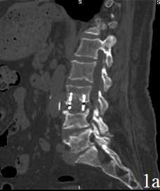
Рис. 1. Пациент В. Титановая блок-решетка без наполнения через 1 месяц (А) и через 12 месяцев (Б) после операции. Нарастание «продавливания» имплантатом кости с увеличением перифокального склероза и резорбции костной ткани
Непосредственно после операции рентгенологически оценивали положение имплантата, которое во всех случаях расценено как соответствующее вертикальной оси стабилизированного отдела, без выхода за пределы поперечных срезов блокируемых позвонков.
Результаты. В табл. 1 представлены данные о числе больных, обследованных в каждой группе в стандартные сроки послеоперационного периода.
К концу первого месяца после операции (табл. 2) в обеих группах с одинаковой частотой выявлены умеренные реактивные изменения паравертебральных тканей при отсутствии признаков прогрессирования костной деструкции. Вместе с тем, в группе 1 у всех пациентов обнаружено “продавливание” меша в тела блокируемых позвонков на глубину до 1 мм и наличие перифокальной резорбции с отграниченной зоной склероза. В трети случаев у пациентов этой группы угол кифоза увеличился на величину более 5 ° , что не может быть расценено как ошибка измерения. В группе 2 - во всех случаях имплантат плотно соприкасался с телами позвонков без перифокальной резорбции и без нарастания деформации; склеротическая реакция блокируемых тел отмечена у 2 пациентов (8,7%).


Рис. 2. Пациент У. Титановая блок-решетка с аутокостью через 6 месяцев (А) и через 12 месяцев (Б.) после операции. Отсутствие зоны резорбции вокруг имплантата без выраженного склероза, полная ассимиляция трансплантата с ложем
Таблица 1. Число больных, которым проведено лучевое исследование в указанные сроки
Таблица 2. Динамика через 1 месяц после операции
Примечание: здесь и далее * - р
При дальнейшем исследовании в сроки 3 мес. и 6 мес. после операции (табл. 3) в обеих группах отсутствовали реактивные изменения в паравертебральных мягких тканях, при этом в группе 1 отмечено нарастание проявлений “вертикальной нестабильности” в виде дальнейшего “продавливания” сеткой тел позвонков на глубину до 3,07±0,8 мм к 3 месяцу и до 3,78±0,7 мм к 6 месяцу с резорбцией и склерозом костного ложа у всех пациентов; больше, чем у трети больных угол деформации в сагиттальной плоскости увеличился более, чем на 5 ° ; лишь в единичных наблюдениях отмечены признаки формирования костного блока в зоне спондилодеза, в то время, как в группе 2 признаки формирования блока между наполнителем меша и реципиентным костным ложем обнаружены уже у большинства пациентов.
Таблица 3. Динамика к 3 и 6 месяцу после операции

Через 12 месяцев после операции (табл. 4) в группе 1, несмотря на более выраженную резорбцию (6,43±1,06 мм), сагиттальный профиль позвоночника стабилизируется в сравнении с предыдущим периодом, при этом частичная стабилизация позвоночника появляется на фоне выраженного склероза за счет массивных краевых костных разрастаний. В то же время, в группе 2 у всех больных стабильность передней колонны обеспечивается полной ассимиляцией трансплантатов с ложем позвонков.
Таблица 4. Динамика через 12 месяцев после операции
Заключение. Использование титановых сеток (блок-решеток) для переднего спондилодеза при радикально-реконструктивных операциях у больных неспецифическим и туберкулезным спондилитами не приводит к увеличению риска воспалительных послеоперационных осложнений, что обусловлено биологической инертностью материала, не подвергающегося резорбции.
Применение меша без дополнительных остеоиндуктивных материалов сопровождается продавливанием тел блокируемых позвонков и увеличением кифотической деформации.
Титановые меши, непосредственно не врастая в костную ткань, обеспечивают опорную функцию и стабильность реконструируемого отдела позвоночника, создают благоприятные условия для срастания костных трансплантатов с реципиентным ложем в достаточно ранние сроки (3-6 мес.) без формирования костных разрастаний и реактивного склероза.
Список использованных источников:
1. Ардашев И.П., Ардашева Е.И. Вертебральная инфекция// Хирургия позвоночника. 2009. № 2. С. 68–78.
2. Базаров А.Ю. Диагностика и оперативное лечение остеомиелита позвоночника: Автореф. дис. … канд. мед. наук. - Курган, 2005.
3. Беляков М.В. Применение углерод-углеродных имплантатов для переднего спондилодеза при воспалительных заболеваниях позвоночника (экспериментально-клиническое исследование): Автореф. дис. … канд. мед. наук. - СПб., 2006.
4. Garg B., Kandwal P., Nagaraja U.B., Goswami A., Jayaswal A. Anterior versus posterior procedure for surgical treatment of thoracolumbar tuberculosis: A retrospective analysis// Indian J Orthop. 2012 Mar-Apr; 46(2).
5. Grob D., Daehn S., Mannion A.F. Titanium mesh cages (TMC) in spine surgery// Eur. Spine J. 2005 April; 14(3): 211–221.
6. Koptan W., ElMiligui Y., ElSharkawi M. Single stage anterior reconstruction using titanium mesh cages in neglected kyphotic tuberculous spondylodiscitis of the cervical spine// Eur. Spine J. 2011 February; 20(2): 308–313.
Подписано в печать: 04.09.2013
Лучевая оценка костного трансплантата позвоночника
Рентгенограмма, КТ при несостоятельности металлоконструкции позвоночника
а) Терминология:
• Механическое разрушение или нарушение функции стабилизирующих металлоконструкций
б) Визуализация несостоятельности металлоконструкции позвоночника:
• Перелом или изменение положения металлических конструкций
• Зоны просветления ± склероза вдоль границ импланта или в зоне контакта трансплантат/кость
• Биомеханические перегрузки смежных сегментов, проявляющиеся в виде реактивного отека костного мозга и ускорения развития дегенеративных изменений
• Рентгенография является достаточно информативным методом исследования, позволяющим оценить форму позвоночника, целостность металлоконструкций и состояние формирующегося костного блока
• При подозрении на несостоятельность металлоконструкций необходимо выполнять рентгенограммы в положении сгибания и разгибания
• КТ назначается при подозрении на несостоятельность металлоконструкций, признаки которой не видны на рентгенограммах:
о Это особенно может касаться сложных конструкций и/или пациентов с остеопенией
о КТ позволяет более точно оценить качество костного сращения, хотя стандартом для этого до сих пор остается хирургическая ревизия
• Признаки осложнений со стороны окружающих мягких тканей, отека костного мозга (позволяющего заподозрить сегментарную нестабильность) или повреждения спинного мозга
(Слева) Рентгенография: просветление и дислокация винтов в теле С4 позвонка. Отмечено наличие положительной корреляции между оссификацией на уровне смежных сегментов при вентральной стабилизации позвоночника пластинами и расстоянием между краем пластины и смежным межпозвонковым диском особенно если это расстояние не превышает 5 мм.
(Справа) В этом случае формирования костного блока на уровне С4-С5 сегмента не произошло. Формирование оссификатов на уровне смежных сегментов в течение первых 12 месяцев после операции значительно увеличивает вероятность прогрессирования этой оссификации в течение последующих 12 месяцев. (Слева) Сагиттальный КТ-срез, ребенок с синдромом Гурлера: дислокация затылочной части фиксирующей конструкции. Винт в боковой массе С2 сохраняет нормальное положение.
(Справа) Сагиттальный КТ-срез: случай несостоятельной фиксации перелома зубовидного отростка II типа винтом с расшатыванием и дислокацией винта в ретрофарингеальные мягкие ткани
в) Патология:
• Даже при отсутствии костного сращения вполне приемлемая стабильность сегмента может обеспечиваться за счет фиброзного сращения
г) Клинические особенности:
• Боль, локальная болезненность, радикулопатия
д) Диагностическая памятка:
• Для оценки даже малейших изменений в динамике результаты текущего исследования необходимо сравнивать с результатами предыдущих
• Нарушение формирования костного блока может свидетельствовать о ранее невыявленном связочном повреждении (в случаях травмы) или рецидиве либо прогрессировании опухоли
а) Терминология:
1. Синонимы:
• Миграция трансплантата, смещение трансплантата, экструзия трансплантата
2. Определения:
• Некорректное положение трансплантата или металлоконструкций ± сочетанные неврологический дефицит, нестабильность, инфекция
б) Визуализация:
1. Общие характеристики:
• Наиболее значимый диагностический признак:
о Некорректное положение костного трансплантата
• Морфология:
о Четко ограниченный от окружающих структур кортикальный костный трансплантат, смещенный относительно места, где он был установлен (межтеловое пространство)
2. Рентгенологические данные:
• Рентгенография:
о Является обязательным методом исследования, позволяющим быстро оценить положение трансплантата как во время операции, так и в послеоперационном периоде
3. Флюороскопия:
• В ближайшем послеоперационном периоде не используется; информативна в отношении диагностики ложного сустава в отделенном периоде
4. КТ костного трансплантата позвоночника:
• Бесконтрастная КТ:
о МСКТ позволяет оценить положение трансплантата, целостность замыкательных пластинок, диагностировать перелом трансплантата, тел позвонков
5. МРТ костного трансплантата позвоночника:
• Т1-ВИ:
о Костный пластический материал может выглядеть по-разному:
- Аутокостные трансплантаты могут характеризоваться усилением интенсивности Т1-сигнала, характерным для жирового костного мозга, или снижением интенсивности сигнала вследствие отека
- Аллотрансплантаты обычно характеризуются низким сигналом
• Т1-ВИ с КУ:
о Малоинформативны в свежих случаях, когда необходимо оценить положение трансплантата или выявить признаки эпидурального кровоизлияния, однако это исследование обязательно при подозрении на инфекционное осложнение
6. Рекомендации по визуализации:
• Наиболее оптимальный метод диагностики:
о Стандартная рентгенография — позволяет оценить положение трансплантата, выявить его миграцию в вентральном или дорзальном направлении,коллапс
• Протокол исследования:
о MPT: Т1-ВИ, Т2-ВИ, GRE аксиальные и сагиттальные
(Слева) Сагиттальный КТ-срез: типичная картина несращения костного трансплантата: вокруг костного трансплантата, использованного для замещения резецированного тела L4, сформировалась зона просветления. Задний фрагмент тела L4 смещен назад, тело L3 коллабировано и склерозировано.
(Справа) Случай хирургического лечения ложного сустава и нестабильности (артропатия Шарко). Межтеловой спейсер сместился назад в спинномозговой канал. Обратите внимание на костный материал, использованный для заднего спондилодеза, и педикулярный винт в левом корне дуги. (Слева) Сагиттальный срез, Т2-ВИ: некорректное расположение межтелового спейсера на уровне L4-L5: задний край спейсера деформирует стенку дурального мешка и продолжается в зону, где проходит корешок L5.
(Справа) Аксиальный КТ-срезе костный трансплантат, который должен находиться в межтеловом пространстве, выдавлен кпереди от позвоночника. Трансплантат располагается между аортой и нижней полой веной. Эти изменения стали случайной находкой в послеоперационном периоде. (Слева) Аксиальный срез, Т1-ВИ: случай тяжелого фораминального стеноза на фоне гетеротопической оссификации вдоль хирургического доступа после ранее выполненной фасетэктомии и заднего межтелового спондилодеза.
(Справа) На аксиальном Т2-ВИ этого же пациента показана траектория хирургического доступа, использованного для фасетэктомии и заднего межтелового спондилодеза. В этой области произошла оссификации тканей, ставшая причиной тяжелого фораминального стеноза.
в) Дифференциальная диагностика осложнения, связанного с костным трансплантатом позвоночника:
1. Абсцесс:
• Типичные клинические и лабораторные признаки инфекции (ускорение СОЭ, увеличение уровня С-РБ)
2. Гематома:
• Неспецифические изменения Т1 -сигнала в острую фазу и раннюю подострую фазу (отсутствие усиления сигнала)
3. Инфаркт:
• Фокальное усиление интенсивности Т2-сигнала и некоторое увеличение объема спинного мозга
4. Ложный сустав:
• Патологические снижение интенсивности Т1-сигнала области межпозвонкового диска, задних элементов позвонков и связок
(Слева) Случай хронической инфекции после переднего спондилодеза шейного отдела позвоночника с использованием опорного костного трансплантата с экструзией его в мягкие ткани. Это исследование (КТ с КУ) выполнено за два года до последней госпитализации пациента: на срезе виден синтетический полимерный трансплантат, центральная часть которого заполнена костью.
(Справа) На аксиальном КТ-срезе с КУ у этого же пациента через два года имеется хронический свищ на левой передне-боковой поверхности шеи, в мягких тканях шеи определяется горизонтально расположенный выпавший графт. Наличие заднего фиксатора у данного пациента позволило сохранить форму позвоночника. (Слева) Сагиттальный срез, Т1-ВИ: картина ложного сустава на уровне L5-S1 в виде неровной полосы низкоинтенсивного сигнала, продолжающейся от межтелового пространства до задних элементов позвонка. Обратите внимание на сформировавшийся костный блок на уровне L4-L5.
(Справа) На аксиальный КТ-срез: некорректное положение межтелового трансплантата после заднего межтелового спондилодеза. Трансплантат располагается в проекции внутреннего отдела неврального отверстия. Обратите внимание на зоны просветления вокруг обоих педикулярных винтов, свидетельствующие об их расшатывании. (Слева) Сагиттальный срез, Т2-ВИ, пациент с послеоперационным инфекционным осложнением: картина коллапса костного трансплантата на уровне С5-С6 с развитием на этом уровне кифотической деформации, подвывиха позвонка и сдавления спинного мозга. Обратите внимание на выраженный отек превертебральных тканей.
(Справа) Т1-ВИ этого же пациента: коллапс и деструкция костного трансплантата на уровне С5-С6 и фокальная кифоти чес кая деформация на фоне инфекционного процесса.
г) Патология. Общие характеристики:
• Этиология:
о Частота миграций трансплантатов увеличивается с ростом числа оперированных уровней
о Частота миграций увеличивается при спондилодезах, оканчивающихся на уровне С7
о Миграция трансплантатов выше при использовании опорных трансплантатов по сравнению с межтеловыми графтами
• Частота миграция трансплантатов в различных исследованиях варьирует в широких пределах и зависит от типа используемого материала:
о Частота миграции трансплантатов при передних спондилодезах шейного отдела позвоночника достигает 7%
• Несращение трансплантата с костным ложем:
о Опорные аутотрансплантаты - 5-27%, аллотрансплантаты - 40%
• Частота несращений при многоуровневых межтеловых спондилодезах выше по сравнению с корпорэктомиями с замещением тел опорными трансплантатами и пропорциональна числу оперированных уровней
• Вероятность формирования костного блока и уровень осложнений при двухуровневой дискэктомии и одноуровневой корпорэктомии при фиксации в том и другом случае пластинами одинаковые
д) Клинические особенности:
1. Клиническая картина осложнения, связанного с костным трансплантатом позвоночника:
• Наиболее распространенные симптомы/признаки:
о Может протекать бессимптомно, могут обнаруживаться только рентгенологические изменения
о Вновь развивающийся в послеоперационном периоде болевой синдром/неврологический дефицит
о Редко — респираторный дистресс
2. Демография:
• Возраст:
о Взрослые
• Пол:
о М = Ж
3. Течение заболевания и прогноз:
• Вероятность формирования прочного костного блока после корпорэктомии и пластики опорными костными трансплантатами (90%) выше по сравнению с многоуровневыми дискэктомиями с костной пластикой межтеловых пространств (66%)
• Вероятность блока ниже при передних спондилодезах шейного отдела позвоночника на уровнях, смежных с ранее оперированными уровнями, где костный блок уже состоялся
4. Лечение осложнения, связанного с костным трансплантатом позвоночника:
• Миграция/экструзия/коллапс трансплантата может потребовать ревизионного вмешательства
а) Терминология:
1. Синонимы:
• Несостоятельность импланта или протеза
2. Определение:
• Механическое разрушение или нарушение функции стабилизирующих металлоконструкций:
о Ложный сустав, дислокация компонентов конструкций
1. Общие характеристики:
• Наиболее значимый диагностический признак:
о Перелом или изменение положения металлических конструкций
о Зоны просветления ± склероза вдоль границ импланта или в зоне контакта трансплантат/кость
• Локализация:
о Любой позвоночно-двигательный сегмент, где расположены металлоконструкции:
- Биомеханические перегрузки смежных сегментов проявляются в виде реактивного отека костного мозга и ускорения развития дегенеративных изменений
2. Рентгенологические данные несостоятельности металлоконструкции позвоночника:
• Рентгенография:
о Шейный отдел позвоночника:
- Зона просветления вокруг канюлированного винта, фиксирующего перелом зубовидного отростка II тип
- Переломы, дислокация винта
- Перелом и смещение вентральной пластины
- Дислокация костного аллографта
- Переломы и дислокация задних проволочных швов
о Грудопоясничный и пояснично-крестцовый отдел позвоночника:
- Несостоятельность субляминарных и субартикулярных проволочных швов
- Деформация, расшатывание и переломы педикулярных винтов
- Миграция ламинарных крючков
- Переломы и миграция соединительных стержней
- Миграция межтеловых кейджей и костных трансплантатов
о Ложные суставы:
- Зона просветление между костным трансплантатом и смежным телом позвонка
- Зона склероза вокруг костного трансплантата
о Развитие или прогрессирование деформации позвоночника
о Прогрессирующий коллапс трансплантата и усиление кифотической деформации
3. Флюороскопия:
• Признаки ложного сустава присгибании/разгибании позвоночника:
о Смещение >4 мм или угловая деформация > 10° между смежными позвонками:
- Смещение до 3 мм считается нормальным
о Увеличение межостистого интервала при сгибании и разгибании на 2 мм и более
4. КТ при несостоятельности металлоконструкции позвоночника:
• Костная КТ:
о Периимплантные просветления (позволяют заподозрить расшатывание импланта)
о Распространение винта за пределы задней покровной пластинки позвонка при бикортикальном введении винтов на уровне шейного отдела позвоночника
о Пенетрация медиальной стенки корня дуги при субоптимальном введении педикулярных винтов
о Скрытые переломы:
- Биомеханические изменения, возникающие на фоне сформированного костного блока одного сегмента, могут приводить к стрессовым переломам на уровне смежных сегментов
о Несращение костей, ложный сустав
5. МРТ при несостоятельности металлоконструкции позвоночника:
• МРТ обычно не позволяет оценить корректность положения или целостность металлоконструкций
о Выраженные артефакты от металлоконструкций из нержавеющей стали могут сделать исследование вообще неинформативным
о Титановые конструкции характеризуются менее выраженными артефактами
• МРТ информативна в отношении оценки влияния имплантов на окружающие ткани и спинной мозг:
о При стрессовых изменения в T2/STIR-режимах в области костных элементов смежных позвоночно-двигательных сегментов могут обнаруживаться зоны гиперинтенсивного сигнала
6. Радиоизотопные исследования:
• Костная сцинтиграфия:
о Усиление захвата изотопа на уровне спондилодеза позволяет заподозрить несращение:
- В течение года после операции такие изменения считаются неспецифическими
- Через 6-12 месяцев после операции блокированный сегмент становится «холодным»
- Также метод информативен в отношении диагностики инфекционных осложнений
7. Рекомендации по визуализации:
• Наиболее оптимальный метод диагностики:
о Рентгенография является достаточно информативным методом исследования, позволяющим оценить форму позвоночника, целостность металлоконструкций и состояние формирующегося костного блока:
- Оптимальное соотношение цена/качество
- Исследование в положении сгибания/разгибания
- Не позволяет надежно исключить наличие костных метастазов или компрессии корешков конского хвоста
о КТ назначается при подозрении на несостоятельность металлоконструкций, признаки которой не видны на рентгенограммах:
- Особенно это может касаться сложных конструкций и/или пациентов с остеопенией
- КТ позволяет более точно оценить качество костного сращения, хотя стандартом для этого до сих пор остается хирургическая ревизия
о МРТ назначается для диагностики осложнений со стороны окружающих мягких тканей, отека костного мозга (позволяющего заподозрить сегментарную нестабильность) или повреждения спинного мозга
• Протокол исследования:
о Использование МР-режимов, позволяющих минимизировать выраженность металлических артефактов:
- Низкая напряженность магнитного поля
- Последовательности с быстрым спин-эхо, отказ от режимов градиентного эхо:
Расширение частотных полос приемника, укорочение времени эхо, уменьшение величины вокселя
- Проецирование артефактов магнитной восприимчивости (потеря сигнала и пространственное искажение изображения) вдоль направления кодирования частот:
Направление кодирования частот должно быть ориентировано вдоль длинной оси металлоконструкции
о Увеличение напряжения/силы тока на рентгеновской трубке для уменьшения артефактов на томограммах
(Слева) Сагиттальный КТ-срез: винт, фиксирующий перелом зубовидного отростка II типа. Такой метод лечения этих переломов позволяет восстановить стабильность позвоночника и нормальный объем движений в атлантоаксиальном сочленении. Верхушка винта захватывает кортикальную пластинку вершины зубовидного отростка и выстоит на несколько мм в толщу апикальной связки зуба. Такое положение винта является безопасным.
(Справа) Зона просветления вокруг винта в зубовидном отростке свидетельствует о сохраняющейся подвижности в этой области. Фиксация винтом при свежих переломах зубовидного отростка позволяет добиться сращения перелома в 73-90% случаев. При старых переломах высок риск несращения. (Слева) Рентгенография в боковой проекции: перелом педикулярного винта в правом корне дуги L4. Ранняя несостоятельность металлоконструкций может быть связана с погрешностями их установки или с особенностями дизайна имплантов. Задняя металлическая метка межтелового спейсера должна располагаться по крайней мере в 2 мм кпереди от заднего края тела позвонка.
(Справа) Рентгенография в прямой проекции: перелом педикулярного винта в правом корне дуги L4. Отсутствие признаков костного блока, сохранение подвижности оперированного сегмента, зоны просветление вокруг винтов и разрушение металлоконструкций являются признаками несостоятельного спондилодеза. (Слева) Рентгенография шейного отдела позвоночника в боковой проекции после передней дискэктомии и спондилодеза на уровне С5-С6. Определяется прозрачная полоска на границе контакта трансплантат/кость. В нейтральном положении отмечается некоторая сглаженность нормального шейного лордоза.
(Справа) При сгибании видно, что межостистый интервал на уровне оперированного сегмента увеличивается более, чем на 2 мм, что позволяет говорить о наличии здесь патологической подвижности. Подвывиха позвонка при сгибании не происходит. Стандартом диагностики ложного сустава являются результаты ревизионного хирургического вмешательства.
г) Патология. Общие характеристики:
• Этиология:
о Избыточные нагрузки на имплант:
- Неправильное позиционирование импланта во время операции
- Грубая нестабильность позвоночника
- Несостоявшийся спондилодез с формированием ложного сустава
о Низкое качество костной ткани:
- Периимплантная резорбция костной ткани
- Остеопороз
- Спондилит
- Нерадикально удаленная опухоль или ее рецидив
о Многоуровневые конструкции
о Неблокируемые пластины для спондилодеза шейного отдела позвоночника: Orozsco, Casper:
- Винты не блокируются в пластине, что сопряжено с риском миграции винтов
о Риск развития ложного сустава:
- Сопутствующие состояния: престарелый возраст, курение, ожирение, сахарный диабет
- Неоднократные хирургические вмешательства на позвоночнике
- Многоуровневые спондилодезы
- Антеролистез ≥ III степени
о Накопление продуктов износа между компонентами протеза: Микроскопические частички материалов, из которых изготовлены компоненты импланта, вызывают активацию макрофагов и фагоцитоза → расшатывание и несостоятельность конструкций
- Остеолитический процесс с четкими границами, напоминающий опухоль
о Применение костного морфогенетического протеина (BMP) при переднем спондилодезе шейного отдела позвоночника сопряжено с более высоким риском осложнений:
- В первую очередь увеличивается риск таких осложнений, как нарушение заживления раны, дисфагия, осиплость голоса
о Применение BMP при таких вмешательствах, как TLIF и PLIF, сопряжено с риском развития тяжелого послеоперационного радикулита:
- Провоспалительное действие ± эктопическое костеобразование
• Сочетанные изменения:
о Ложные суставы, нестабильность, переломы
о Повреждение твердой мозговой оболочки, нервных образований
• Задачей металлоконструкций является временная фиксация позвоночно-двигательных сегментов до момента завершения формирования костного блока:
о Если костный блок не сформируются, любые конструкции со временем подвергаются усталостному разрушению
о Формированию костного блока способствует электростимуляция постоянными токами
о Формирование костного блока продолжается 6-9 месяцев, а в некоторых случаях может длиться до 18 месяцев
• Даже при отсутствии костного сращения вполне приемлемая стабильность сегмента может обеспечиваться за счет фиброзного сращения:
о Наиболее информативным методом, позволяющим подтвердить наличие блока сегмента, является функциональная рентгенография в положении сгибания/разгибания
(Слева) Рентгенограмма в прямой проекции пациента, которому по поводу левостороннего сколиоза выполнен транспедикулярный спондилодез пояснично-крестцового отдела позвоночника и крестцово-подвздошных сочленений. Обратите внимание на перелом левого стержня на уровне L3-L4. Разрушение стержня свидетельствует об отсутствии блока на этом уровне (частота 5%). Общепринятыми показаниями к стабилизации крестца при таких вмешательствах являются спондилолистез L5-S1, любые варианты стеноза на уровне L5-S1, обратная косая конфигурация межтелового пространства на уровне L5-S1, перенесенная ранее ляминэктомия на уровне L5-S1 и тяжелая дегенерация межпозвонкового диска L5-S1.
(Справа) Зона просветления и склероза вокруг педикулярного винта L3 представляет собой остеолиз вследствие подвижности этого винта, которая всегда приводит к резорбции костной ткани вокруг. На уровне L5-S1 видны признаки спондилолистез III степени и межтеловой трансплантат из малоберцовой кости. Линейные участки просветления на фоне новообразованной костной ткани в межтеловом промежутке свидетельствует о замедленном сращении. (Слева) Сагиттальный КТ-срез: случай передней дискэктомии и спондилодеза на уровне С6-Т1. Кистозные изменения вдоль смежных замыкательных пластинок являются проявлениями остеолиза вследствие сохраняющейся подвижности на уровне оперированных сегментов, которая приводит к резорбции костной ткани. Линейные дефекты в новообразованной костной ткани в проекции или вблизи межтеловых спейсеров, расположенных параллельно замыкательным пластинкам, могут быть признаками несостоятельного спондилодеза.
(Справа) Рентгенография шейного отдела позвоночника после спондилодеза С6-Т1, выполненная в положении сгибания. Верхний край пластины перекрывает межтеловое пространство С5-С6. Пластинка соприкасается с передне-нижним краем тела С5. Если края металлической пластинки расположены в пределах 5 мм от смежного межпозвонкового диска, в области этих краев могут формироваться оссификаты. Контуры замыкательных пластинок на уровне спондилодеза неровные, видны участки просветления на границе трансплантат/кость и патологическое расширение межостистого интервала при сгибании.
1. Клиническая картина несостоятельности металлоконструкции позвоночника:
• Наиболее распространенные симптомы/признаки:
о Может стать случайной находкой
• Другие симптомы/признаки:
о Боль, парезы, парестезии, радикулопатии
о Дисфагия/перфорация пищевода вследствие миграции пластинки на шейном уровне
• Особенности клинической картины:
о Несостоятельность металлоконструкций в раннем послеоперационном периоде:
- Показатель сохраняющейся нестабильности позвоночника
о Развитие или прогрессирование неврологической симптоматики
- Дает основания подозревать наличие ложного сустава и/или несостоятельности конструкций
2. Демография:
• Эпидемиология:
о Частота ревизионных вмешательств по поводу несостоятельности металлоконструкций по данным различных авторов составляет 2-45%
о Несостоятельность металлоконструкций в хирургии сколиоза
- 31 % при операциях с использованием передних доступов
- 1 % при операциях с использованием задних доступов
о Неблокируемые пластины для спондилодеза шейного отдела позвоночника:
- Число осложнений, связанных с несостоятельностью таких конструкций, составляет 22-46% по сравнению с 18% при использовании блокируемых пластин
о Поясничный спондилодез с использованием неблокируемых транспедикулярных систем:
- Частота несостоятельности достигает 22%:
При этом 75% осложнений - это ложные суставы
3. Течение заболевания и прогноз:
• Костный блок может формироваться даже в условиях несостоятельной фиксации:
о При клинически и рентгенологически стабильном позвоночнике в удалении сломанных конструкций необходимости нет
• Фиброзный блок позвоночно-двигательного сегмента может быть вполне удовлетворительным для его стабилизации:
о Наиболее информативным методом, позволяющим подтвердить наличие блока сегмента, является функциональная рентгенография в положении сгибания/разгибания
• Могут возникнуть показания для ревизионного спондилодеза:
о Особенно в случаях ранней несостоятельности металлоконструкций
4. Лечение несостоятельности металлоконструкции позвоночника:
• Консервативное наблюдение
• Ревизионное вмешательство для предотвращения развития ложного сустава и нестабильности
(Слева) Аксиальный КТ-срез: участки просветления и склероза вокруг обоих педикулярных винтов. Эти признаки свидетельствуют о сохранении подвижности на уровне оперированного сегмента и расшатывании винтов. Подобные находки могут наблюдаться при замедленной консолидации или несостоятельных спон-дилодезах.
(Справа) На рентгенограмме в боковой проекции виден телескопический кейдж, использованный для замещения тела поврежденного грудного позвонка. Задний соединительный стержень сломался и кифотическая деформация на уровне вмешательства усилилась. Возможным осложнением при использовании таких кейджей может быть их проседание в тела позвонков. (Слева) Рентгенография в прямой проекции, пациент после окципитоспондилодеза С0-С2: асимметричное положение винтов.
(Справа) На рентгенограмме в боковой проекции у этого же пациента отмечается дислокация трансартикулярного винта из боковых масс С1 и С2. (Слева) Телескопический кейдж, замещающий тело L2 позвонка, в данном случае был использован при реконструкции после резекции метастаза в тело позвонка. Также видны признаки задней стабилизации этого сегмента.
(Справа) Сагиттальная КТ-миелограмма: продолжающийся коллапс тела L3 позвонка на фоне метастаза почечноклеточной карциномы. Метастатическое поражение послужило причиной несостоятельности выполненного спондилодеза. Отмечается смещение костных фрагментов и мягкотканного компонента опухоли в спинномозговой канал с выраженным сдавлением дурального мешка и миелографическим блоком на уровне L2-L3.
е) Диагностическая памятка:
1. Советы по интерпретации изображений:
• В ходе исследования необходимо оценивать не только признаки несостоятельности металлоконструкций, но также обращать внимание на возможные признаки нестабильности и переломов костей
• При подозрении на несостоятельность металлоконструкций следует обратить внимание на показания к исходной операции:
о Несостоятельный спондилодез при травмах позвоночника может свидетельствовать о пропущенном ранее связочном повреждении
о Несостоятельный спондилодез после резекции опухоли может свидетельствовать о рецидиве или прогрессировании опухоли
2. Нюансы протокола исследования:
• Для оценки даже малейших изменений в динамике результаты текущего исследования необходимо сравнивать с результатами предыдущих (форма позвоночника и положение компонентов металлоконструкций)
Костный трансплантат в спинальной хирургии
D.R.A Medical - Лечение в Израиле
Главный врач
Доктор Цви Лидар
Нейрохирург
Введение
Костная трансплантация - это процедура, используемая в широком диапазоне хирургических операций. Костная трансплантация стимулирует формирование новой костной ткани в областях с серьезными нарушениями опорно-двигательной системы. Примеры, где требуется формирование новой костной ткани, включают участки переломов, больные суставы, участки с полной потерей костной ткани либо части скелета, где установлены искусственные имплантаты. Использование костных трансплантатов обеспечивает поддержку опорно-двигательному аппарату и способствует его восстановлению.

Костные трансплантаты особенно полезны при спинальной хирургии. Одной из форм хирургии позвоночника является Спондилодез - формирование постоянного неподвижного соединения между двумя или более позвонками с целью ликвидации движения и трения между ними. Спондилодез включает нормальный процесс заживления, такой же, как при переломе кости. Использование костных трансплантатов помогает в этом процессе.
Показания к процедуре
Ваш врач может порекомендовать вам костный трансплантат, если вы страдаете от несрастающегося перелома кости или ваша кость раздроблена и нуждается в реконструкции. Отсутствие участка кости может быть результатом опухоли или кисты, и использование костного трансплантата также может помочь в решении этой проблемы. Создание искусственного костного имплантата или неподвижного костного соединения с обеих сторон сустава может существенно улучшить состояние престарелых пациентов.
Подготовка к процедуре
Перед операцией ваш доктор проведет медосмотр и рентгеноскопическое исследование кости, нуждающейся в трансплантации. Он также изучит вашу медицинскую историю, какие лекарства и добавки вы принимаете или принимали, а также какие операции вы имели в прошлом.

Ваш хирург обсудит с вами возможные осложнения, связанные с операцией. Эти осложнения состоят из реакции на анестезию, кровотечение, образование тромбов, инфекции, повреждения нервов и возможное отторжение трансплантата. Возможность отторжения трансплантата обычно сводится к минимуму при использовании собственной костной ткани пациента, которая чаще всего берется из тазовой кости и пересаживается на новое место, например на позвоночник. Пациенты, которые получают донорские костные имплантаты, имеют гораздо более высокий риск отторжения.
Во избежание осложнений, врач может посоветовать вам прекратить прием некоторых лекарственных препаратов за неделю до процедуры. К таким препаратам относятся нестероидные противовоспалительные и антиагрегантные средства, препараты для разжижения крови и некоторые добавки.
Как выполняется костная трансплантация?
Операция выполняется под общим наркозом. Участки кожи, где будут выполнены хирургические разрезы, очищаются специальным антисептическим мылом. Волосы на этих участках тела сбриваются.
Хирург сначала сделает надрез над бедром, чтобы изъять часть тазовой кости, которая будет использоваться в качестве трансплантата. Затем хирург зашивает разрез.
Переходя к позвоночнику, ваш хирург сделает еще один разрез прямо над позвонками, которые должны быть спаяны. Затем трансплантат размещается между позвонками, чтобы сформировать мостовое соединение. Для укрепления трансплантата может потребоваться стабилизировать область вокруг позвонков с помощью пластин или винтов. По окончании процедуры второй разрез также зашивается.
Восстановление после операции
После операции вы будете оставаться в больнице в течение двух или трех дней. В течение этого времени ваш врач сделает еще один рентгеновский снимок, чтобы подтвердить, что позвонки правильно выравниваются с трансплантатом. Не исключено, что вы будете испытывать некоторую боль, но ее вполне можно контролировать с помощью обезболивающих лекарств, предписанных врачом.
Проверяйте свои хирургические разрезы на предмет покраснения, болезненности, отеков и дренажа. Если вы испытываете озноб или лихорадку, сразу же обратитесь к врачу, так как эти признаки могут указывать на инфекцию. Вашему позвоночнику потребуется несколько месяцев для полного излечения и срастания. Вам может потребоваться носить гипс или корсет в течение этого времени, чтобы содействовать этому процессу. Ваш врач может также назначить вам курс физической реабилитации, чтобы научить вас правильно сидеть, стоять или ходить для наилучшего выравнивания позвоночника.
Хотя спондилодез обеспечивает облегчение симптомов, он часто приводит к дополнительной боли в спине в будущем. Сращивание позвонков приводит к увеличению напряжения и деформации в позвоночнике, которые в долгосрочной перспективе могут нанести вред вашему позвоночнику. Это может привести к необходимости дополнительной операции на позвоночнике.
Тем не менее, используя костную трансплантацию, опытный хирург может не только свести к минимуму ваши текущие проблемы, но и максимизировать долгосрочный положительный эффект процедуры.
Читайте также:
- Микродуктэктомия - удаление протока молочной железы
- Мышцы голени у артистов и танцоров. Коленный сустав танцоров балета
- Овариальный цикл. Фолликулярная фаза яичникового цикла
- Ревматоидный артрит коленного сустава - лучевая диагностика
- Врожденная порфирия. Острая интермиттирующая порфирия. Кожная порфирия взрослых.

