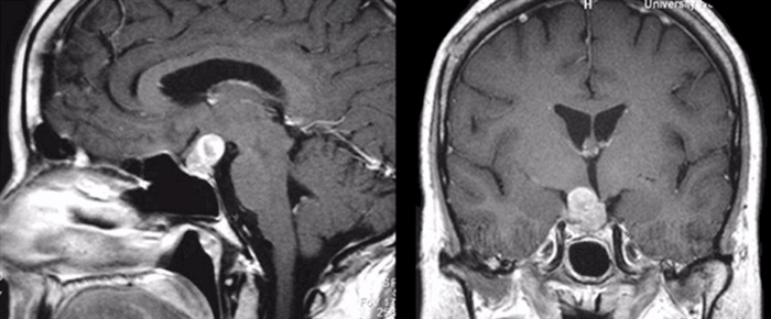
Макроаденома гипофиза на МРТ
Добавил пользователь Евгений Кузнецов Обновлено: 22.11.2025
Наверняка Вы задаётесь вопросом: что же теперь делать?
Подобный диагноз всегда делит жизнь на «до» и «после». Все эмоциональные ресурсы пациента и его родных брошены на переживания и страх. Но именно в этот момент необходимо изменить вектор «за что» на вектор «что можно сделать».
Предлагаем Вашему вниманию краткий, но подробный обзор аденомы гипофиза
Филиалы и отделения, где лечат аденомы гипофиза
МНИОИ им. П.А. Герцена – филиал ФГБУ «НМИЦ радиологии» Минздрава России.
Отделение нейроонкологии
Заведующий – к.м.н. ЗАЙЦЕВ Антон Михайлович
Отдел лучевой терапии
Заведующий - д.м.н. ХМЕЛЕВСКИЙ Евгений Витальевич
Тел: 495 150 11 22
МРНЦ им. А.Ф. Цыба – филиал ФГБУ «НМИЦ радиологии» Минздрава России.
Отделение протонной и фотонной терапии
Заведующий – д.м.н. ГУЛИДОВ Игорь Александрович
Тел: 8 (484) 399 31 30
Аденома гипофиза
Ежегодно в России выявляют более 8 тысяч новых заболеваний опухолей мозговой оболочки, головного и спинного мозга и других частей центральной нервной системы. Почти такое же количество граждан умирает от данных локализаций.
Аденома гипофиза - группа опухолей, происходящих из передней доли гипофиза. Данная опухоль составляет до 10% от всех внутричерепных опухолей. Чаще всего они проявляются в возрасте 30–40 лет, одинаково часто у мужчин и женщин.
По размерам аденомы гипофиза выделяют: микроаденомы (менее 1 см в максимальном измерении); макроаденомы.
По гормональной функции: гормонально-неактивная аденома гипофиза; гормонально-активная аденома гипофиза (пролактинома — вырабатывает пролактин, кортикотропинома — вырабатывает адренокортикотропный гормон, соматотропинома — вырабатывает соматотропный гормон, тиротропинома — крайне редкая опухоль, выделяет тиреотропный гормон, гонадотропинома вырабатывает лютеинизирующий гормон и/или фолликулостимулирующий гормон).
Проявления аденомы гипофиза
Проявления аденомы гипофиза зависят от гормональной функции опухоли. При гормонально-активных аденомах основные проявления — специфические гормональные нарушения. При гормонально-неактивных аденомах больные чаще всего обращаются с жалобами на нарушения зрения (чаще всего сужение полей и снижение остроты зрения) и головные боли. Редкое проявление большой аденомы гипофиза — резкий приступ головной боли, резкое сужение полей и падение остроты зрения, при вовлечении в процесс особого отдела головного мозга — гипоталамуса — нарушения сознания.
Диагностика аденомы гипофиза: тщательные гормональное и офтальмологическое обследования и нейровизуализация. Магнитно-резонансная томография — основной метод диагностики, позволяет выявить аденомы размерами менее 5 мм, однако, даже с учётом этого, примерно у 25–45% пациентов визуализировать аденому не удаётся. Компьютерную томографию применяют только в экстренных ситуациях при невозможности провести магнитно-резонансной томографии для исключения тяжёлых осложнений.
Согласно существующим протоколам лечения аденомы гипофиза методом первого выбора в случае несекретирующих аденом, а также соматотропином и кортикотропином является хирургическое удаление, а для пролактином – назначение агонистов допамина. Неэффективность хирургического лечения (частичная резекция опухоли или ее рецидив) является показанием к проведению лучевой терапии. В случае пролактином, методом второго выбора является хирургическое удаление, и лишь при его неэффективности – лучевая терапия. Однако существуют определенные ситуации, в которых первым этапом может быть отдано предпочтение лучевой терапии: например, инвазия аденом гипофиза небольшого размера в стенку кавернозного синуса, или непригодный для хирургического лечения соматический статус пациента, или отказ больного от операции и его выбор в пользу лучевой терапии.
Лечение и удаление аденомы гипофиза
При удалении аденомы гипофиза, уровень излечения варьирует от 21 до 92% (в среднем 67,1%) с 0,5% летальностью и низким уровнем послеоперационного дефицита (2,9%). Частота рецидивов составляет 11,5%. При сочетании хирургии с фракционной лучевой терапией улучшается контроль роста опухоли, но возрастает частота гипопитуитаризма (до 48,5%) В случае применения лучевой терапии эффективность лечения составляет примерно 80%. Гипопитуитаризм отмечается в 9,8%. Рецидивы – только в 0,2%. Летальность – 0%
Лучевая терапия является методом выбора в лечении небольших (до 3.5 см ) аденом гипофиза , особенно при их рецидивном росте или субтотальном удалении, с наименьшим риском развития гипофизарной недостаточности.
Филиалы и отделения, в которых лечат опухоли головного и спинного мозга, а также отделы центральной нервной системы
ФГБУ «НМИЦ радиологии» Минздрава России обладает всеми необходимыми технологиями лучевого, химиотерапевтического и хирургического лечения, включая расширенные и комбинированные операции. Все это позволяет выполнить необходимые этапы лечения в рамках одного Центра, что исключительно удобно для пациентов.
МРТ при микроаденоме гипофиза - что покажет

Микроаденома гипофиза - это патология, которая может быть обнаружена в ходе МРТ гипофиза с контрастом. Аденомы питуитарной железы являются доброкачественными и медленно прогрессирующими опухолями. Однако их рост может сопровождаться эндокринными и неврологическими нарушениями.
Все опухоли гипоталамо-гипофизарной области в зависимости от размера принято классифицировать на микроаденомы (не более 1,0 см в диаметре) и макроаденомы (диаметром более 1,0 см). В структуре аденом гипофиза лидируют пролактиномы (около половины всех опухолей), на втором месте - гормонально-неактивные аденомы. По размерам преобладают микроаденомы (около 70,0% всех выявленных образований).
Что такое микроаденома гипофиза?
Микроаденома гипофиза представляет собой опухоль гипофиза, которая может разрастись, разрушить турецкое седло и начать сдавливать соседние структуры головного мозга, включая нервы зрительного тракта. Все это иногда приводит к существенному ухудшению качества жизни пациента. Он начинает страдать головной болью, чувством усталости, а в некоторых случаях даже теряет зрение. Аденома гипофиза может не только расти, но и вырабатывать различные гормоны. Тогда следует ожидать различных гормональных сбоев в организме. Пациенты с гормонально активной микроаденомой могут обращаться к врачу с жалобами на нарушение менструального цикла, лакторею, снижение либидо и потенции. Ранняя диагностика аденом гипофиза является чрезвычайно важной с точки зрения алгоритма оказания специализированной помощи. Чем раньше врачи смогут обнаружить данное новообразование, тем больше шансов на его купирование или удаление атравматическими способами.
Покажет ли МРТ гипофиза микроаденому
Подтвердить или опровергнуть наличие опухоли гипофиза, включая микроаденому, врачи могут только с помощью МРТ гипофиза и области турецкого седла с контрастом. Преимущества данного диагностического способа состоят в возможности очень хорошо визуализировать новообразование, четко определить его размеры, характер и расположение. По диагностической результативности томография более информативна, чем рентгенография турецкого седла. По результатам анализов крови на гормоны и МРТ зоны гипофиза лечащий врач сможет срезу четко поставить диагноз и назначить правильную терапию.
Как правило, для лечения аденомы доктора сначала выбирают медикаментозные методы. Если опухоль не поддается такой терапии, только тогда начинают рассматривать возможность нейрохирургической операции. Здесь опять нейрохирургам потребуются результаты МРТ гипофиза, чтобы точно локализовать аденому и выстроить план операции через трансназальный доступ.
Признаки микроаденомы на МРТ снимках
Косвенными признаками микроаденомы на МРТ снимках служат:
- скошенность дна гипофиза;
- приподнятость диафрагмы седла;
- отклонение ножки;
Прямые признаки микроаденомы:
- увеличение анатомических размеров гипофиза;
- отсутствие накопления или запоздалое накопление контрастного вещества
Пример заключения МРТ гипофиза с микроаденомой
На серии МР-томограмм расположение и форма турецкого седла в пределах нормы. Края его дна и стенок четко ограничены от окружающих тканей.
Гипофиз нормального положения, с ровными контурами, верхний контур слегка выпуклый. Размеры железы: переднезадний 14 мм, высота 6мм, латеральный 14 мм. Структура железы неоднородная, в ней отмечаются участки пониженной интенсивности МР-сигнала на Т1 ВИ, без четких контуров, накопление контрастного вещества железой неравномерное, с участками задержки его накопления.
Воронка симметрична, нормальных размеров, расположена по срединной линии. Хиазма не изменена. Расстояние от верхней поверхности гипофиза до хиазмы 6 мм. Расстояние между медиобазальными отделами височных долей 32 мм.
Кавернозные синусы не деформированы. Зрительный перекрест, сифоны сонных артерий не изменены.
Прилежащие отделы головного мозга не изменены.
Пазуха клиновидной кости четко прослеживается, пневматизация ее не изменена.
Заключение: МР-картина неоднородной структуры гипофиза, при соответствующей клинической картине нельзя исключить наличие микроаденомы.
Рекомендовано: оценка и контроль в динамике гормонального статуса, наблюдение эндокринолога, при клинической необходимости контрольная МРТ прицельно хиазмально-селлярной области с внутривенным контрастированием на высокопольном аппарате (не менее 1,5Т).
Как делают томографию гипофиза при микроаденоме
Чтобы успешно и точно диагностировать микроаденому гипофиза, пациенту необходимо записаться на МРТ гипофиза с контрастом на томографе мощностью не менее 1.5 Тесла. Это сканирование не требует особой подготовки и займет 15-20 минут Вашего времени.
В большинстве медицинских центров Санкт-Петербурге пациент получает результаты МРТ сразу после диагностики в течение 30 минут, и они обязательно должны быть согласованы с лечащим врачом. В МРТ заключении при диагнозе "опухоль" больной всегда найдет рекомендацию - “с результатами МРТ обследования обязательно нужно обратиться за повторной консультацией к эндокринологу или неврологу”. Письменное заключение рентгенолога - это медицинский документ, полный сложных научных терминов и понятный только людям с профильным медицинским образованием. Пациент вряд ли сам сможет разобраться в том, что там написано, и сделать правильные диагностические выводы.
Что показывает МРТ гипофиза
МРТ гипофиза – это современный вид диагностики, проводимый с применением томографа. С помощью магнитного излучения аппарат сканирует ткани пациента в разных плоскостях. Множество полученных послойных изображений передаются на экран компьютера, что позволяет подробно изучить просматриваемый орган или анатомическую область.
Многие пациенты пугаются, когда им рекомендуют пройти МР-диагностику гипофиза, так как в подавляющем большинстве случаев это исследование назначается при подозрении на аденому.
Но не стоит паниковать, если вам назначили МРТ гипофиза.
Аденома действительно распространенное и достаточно тяжелое заболевание, которое может повлиять на состояние здоровья и потребовать лекарственной или даже хирургической медицинской помощи. Однако это заболевание не является смертельным, а злокачественные образования гипофиза – чрезвычайно редкое явление.
Аденома гипофиза, особенно своевременно диагностированная, хорошо поддается лечению, а точная диагностика с помощью магнитно-резонансной томографии позволит выявить заболевание даже на ранних сроках.
Что такое МРТ гипофиза
Гипофиз – железа внутренней секреции, расположенная в глубине головного мозга в области под названием турецкое седло.
Невзирая на свои незначительные размеры (в среднем 7-10 мм), гипофиз является очень важным органом, продуцирующим огромное количество гормонов. Эта важнейшая железа внутренней секреции вырабатывает вещества, которые воздействуют на другие железы, заставляя их продуцировать собственные гормоны. Гипофиз можно сравнить с командным пунктом управления всем организмом.

Расположение гипофиза
Показания к МРТ гипофиза
Магнитно-резонансное исследование гипофиза проводится при подозрении на отклонения в его работе, которые могут проявляться такими симптомами и состояниями, как:
- гормональные сбои;
- регулярные головные боли;
- зрительные нарушения, в особенности ограничение полей зрения;
- выделения из сосков у женщин и мужчин;
- резкое повышение массы тела;
- снижение либидо, эректильная дисфункция;
- бесплодие.
МР-исследование на сегодняшний день является единственным методом диагностики, позволяющим получить качественную визуализацию гипофиза.
Из-за своих небольших размеров и локализации глубоко в основании черепа гипофиз плохо поддается визуализации другими методами диагностики, такими как УЗИ и КТ.
При наличии таких симптомов, как непреходящие головные боли разной интенсивности и расположения и проблемы со зрением, первично может быть назначена магнитно-резонансная томография головного мозга. На полученных снимках могут быть выявлены патологические процессы в районе гипофиза. В этой ситуации пациенту будет назначена прицельная МР-диагностика, направленная на визуализацию структур гипофиза и турецкого седла.
МРТ гипофиза что покажет исследование
Подавляющее большинство МР-исследований гипофиза назначается при подозрении на следующие заболевания и состояния:
Аденома гипофиза
Эта опухоль образуется из железистых клеток. При развитии аденомы ткани гипофиза разрастаются и могут сдавливать зрительные нервы, что приводит к нарушениям зрения. Опухоль может продуцировать определенные гормоны, в зависимости от локализации в определенной доле гипофиза, что заставляет железы-мишени работать интенсивнее, выделяя в кровь больше веществ, чем это необходимо организму для поддержания определенных функций.
Аденомы гипофиза подразделяются на:
- Гормоносекретирующие. Способны спровоцировать развитие эндокринных заболеваний и состояний, например: гиперпролактинемию, акромегалию и т.д.
- Гормонально неактивные.
Аденомы гипофиза классифицируют и по размерам:
- микроаденомы (менее 10 мм);
- макроаденомы (более 10 мм);
- гигантские аденомы (более 40 мм).
При МР-исследовании гипофиза можно получить срезы толщиной около 1 мм, что позволяет выявить даже микроаденомы размером до 2 мм.

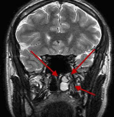
Аденома гипофиза, обнаруженная при проведении МРТ с контрастом
Злокачественные аденомы гипофиза встречаются крайне редко. При злокачественном характере течения заболевания на МР снимках будет видно, как опухоль прорастает в другие ткани мозга.
Метастазы в гипофиз из других органов еще более редкое явление, которое сопровождается выраженной симптоматикой в виде нарушений зрения, вплоть до его потери и сильными головными болями.
Проблемы с зачатием, вызванные повышением уровня гормона пролактина
МРТ гипофиза может быть назначено женщинам, имеющим проблемы с зачатием или собирающимся вступить в протокол ЭКО.
Избыток гормона пролактина, вырабатываемого передней долей гипофиза, может привести к аменорее, бесплодию, нарушению либидо.
Исследование гипофиза необходимо для дифференциальной диагностики, так как не всегда повышенное количество пролактина в крови свидетельствует о нарушении работы железы.
Синдром пустого турецкого седла
Так называют патологию, при которой мозговая оболочка заполняет полость черепа под названием турецкое седло, что приводит к сдавливанию гипофиза.
Пустое турецкое седло может быть как врожденной особенностью строения, так и приобретенной патологией и чаще всего протекает бессимптомно. В некоторых случаях заболевание может сопровождаться выраженной симптоматикой.
Пациент может испытывать:
- интенсивные непроходящие головные боли;
- вегетативные нарушения;
- перепады настроения;
- зрительные расстройства.
При подозрении на наличие синдрома назначается проведение МРТ области турецкого седла и гипофиза с целью исключить или подтвердить предполагаемый диагноз.
Другие, менее распространенные эндокринные заболевания
С помощью магнитно-резонансной диагностики гипофиза могут быть выявлены:
- синдром Кушинга;
- акромегалия;
- несахарный диабет;
- гигантизм.
Данные заболевания и состояния возникают вследствие того, что доли гипофиза вырабатывают либо слишком много, либо слишком мало гормонов, которые, в свою очередь, заставляют другие эндокринные железы выбрасывать в кровь чрезмерное или недостаточное количество гормонов.
Нужен ли контраст при проведении МРТ гипофиза
Контраст при проведении МРТ гипофиза применяется в абсолютном большинстве случаев.
Из-за малого размера органа обычные МРТ снимки являются малоинформативными. Единственное исключение — это МРТ гипофиза при уже установленном диагнозе макроаденомы, когда нужно оценить динамику.
Контрастное усиление дает возможность разглядеть все структуры гипофиза, а при наличии аденом, рассмотреть их размеры, локализацию и возможное прорастание в соседние ткани мозга.
Для контрастирования применяются препараты на основе гадолиния, которые имеют хорошую переносимость и безвредны для пациента.
Противопоказания к проведению МРТ гипофиза
Хотя МР-диагностика и является прогрессивной и безопасной методикой, существует несколько абсолютных противопоказаний к ее проведению.
МРТ не проводится при:
- наличии кардиостимулятора;
- нахождении любых металлических устройств в теле: протезов, сосудистых клипс. Исключение составляют приспособления, выполненные из титана, так как данный металл инертен к воздействию магнитного поля.
МРТ гипофиза нельзя проводить следующим категориям пациентов:
- женщинам на 1 триместре беременности;
- детям до 5 лет;
- очень полным людям, вес которых превышает 130 кг.
Подготовка к МРТ гипофиза головного мозга
Перед проведением исследования пациента попросят снять себя все металлосодержащие предметы. Доктор-радиолог задаст необходимые вопросы, а также расскажет, как будет проходить процедура. Больной ложится на кушетку, которая затем помещается в трубу томографа.

Процедура МРТ гипофиза
Контрастное вещество будет введено в определенный момент процедуры. Как правило, никаких неприятных ощущений при этом не возникает. Некоторые пациенты отмечают, что при введении препарата ощущается тепло или легкое головокружение.
Расшифровка результатов МРТ гипофиза
Процедура проведения МР-диагностики гипофиза с контрастом длится около 30 минут.
Результаты обследования записанные на диск и письменное заключение по результатам диагностики выдаются пациенту на руки спустя 20-30 минут после завершения процедуры.
МР-диагностика гипофиза – это единственная на сегодняшний день технология, позволяющая выявить микроаденомы гипофиза и определить их точную локализацию. Процедура проходит быстро и безболезненно для пациента. Уже через 30 минут после диагностики пациент может получить на руки результаты обследования и передать их лечащему врачу для составления дальнейшего плана лечения.
МРТ аденомы гипофиза
Прежде чем говорить о МРТ аденомы гипофиза, нужно понять, что из себя представляет эта частичка мозга.
Гипофиз – очень небольшая эндокринная железа, расположенная в основании головного мозга; этот участок в анатомии называется «турецким седлом». Однако его размеры отнюдь не говорят о его значении для здоровья. Ведь гипофиз отвечает за выработку огромного количества гормонов, регулирующих биологические процессы и физиологические функции организма. По словам канадского физиолога Г.Селье, «гипофиз – это своеобразный «эндокринный мозг»».
Гигантская важность крошечного гипофиза (интересные факты)
Вес гипофиза – не более одного грамма, а максимальный размер – 17 мм.
Заболевания железы могут привести к ожирению, бесплодию, вызвать психические нарушения.
Именно гипофиз регулирует половые функции, например, вызывает овуляцию.
А гигантизм и карликовость – результат нарушений функции, влияющей на выработку гормонов роста.
Задолго до изобретения магнитно-резонансной томографии в медицине были описаны многие заболевания, связанные с неправильной работой органа: это, например, несахарный диабет, акромегалия. Но диагностика опухолей гипофиза ещё недавно представляла для врачей большую сложность: существовавшая методика УЗИ для головного мозга не использовалась – ультразвук «спотыкался» о кости черепа, а появившаяся КТ не давала достаточно подробной картины. Именно МРТ (томография) стала прорывом в изучении патологий и диагностике аденом в этой небольшой железе.
Аденома, что это?

Очевидно, что к нарушению функции органа приводят различные опухоли – чаще всего доброкачественные, называемые аденомами. Аденомы гипофиза делят на макро- и микроаденомы (размером не более 10 мм). Макроаденомы могут давить на ткани головного мозга, вызывая, например, нарушения зрения – поэтому при подобных жалобах пациент направляется на МРТ аденомы гипофиза. Другими поводами для проведения исследования являются ожирение, постоянные головные боли, повышение уровня некоторых гормонов по данным анализов, нарушение менструального цикла и прочее.
Причины опухолевых заболеваний железы до сих пор не ясны, многие из них могут протекать бессимптомно. При росте объёмных образований проводится хирургическое лечение. Однако выявленная с помощью МРТ на ранних стадиях аденома, может быть вылечена медикаментозно. Поэтому, при подозрениях на опухолевое образование магнитно-резонансная томография является незаменимым способом диагностики и последующего наблюдения.
Диагностика аденомы гипофиза с помощью МРТ
Томография – самый надёжный на сегодняшний день метод выявления аденомы и других повреждений гипофиза. В отличие от МРТ головного мозга, она является отдельной процедурой, так как размеры железы очень малы, и здесь требуется особая точность. Визуальные срезы делаются через каждые 2-3 мм в разных плоскостях.
Если врач направляет Вас на МРТ гипофиза с контрастом, необходимо сделать именно такое обследование, несмотря на то, что его стоимость выше, чем МРТ без контраста. Дело в том, что некоторые микроаденомы обнаруживаются лишь на изображениях с контрастированием, к тому же это позволяет точнее оценить контуры образования и его взаимодействие с окружающими гипофиз структурами. В свою очередь, более информативная диагностика обеспечивает наилучший результат лечения.
Аденома гипофиза на МРТ
Аденома гипофиза — небольшая по размерам доброкачественная опухоль, которая развивается в одной из частей гипофиза. Несмотря на то, что эта опухоль – не раковая, она все же представляет угрозу для здоровья. Гипофиз отвечает за выработку гормонов, поэтому наличие аденомы провоцирует серьезные нарушения в организме. Магнитно-резонансная томография позволяет выявить новообразования, даже если их размеры малы.
Преимущества диагностики
Среди врачей и пациентов МРТ высоко ценится благодаря следующим преимуществам:
- Всего за 1,5-2 часа пациент может пройти диагностику и получить результаты расшифровки.
- Магнитно-резонансная томография не вызывает боли и дискомфорта у пациента.
- Магнитно-резонансная томография не несет лучевой нагрузки, поэтому исследование абсолютно безопасно для организма, имеет минимальный перечень противопоказаний и не вызывает побочных эффектов.
- В ходе диагностики можно детально изучить структуру головного мозга даже в тех зонах, где это нельзя сделать другими методами.
Показания к исследованию
Как правило, аденому гипофиза на МРТ выявляют в ходе комплексной диагностики головного мозга. В большинстве случаев этот вид исследования назначают в следующих случаях:
- Подозрение на сотрясение головного мозга после перенесенных травм;
- Беспричинная головная боль, которая не проходит даже после приема медикаментозных препаратов;
- Нарушение координации движений;
- Дезориентация в пространстве;
- Потеря сознания, предобморочные состояния;
- Рвота и тошнота;
- Асимметрия лица;
- Нарушение глазодвигательной функции (офтальмоплегия) и двоение в глазах (диплопия);
- Снижение остроты зрения без видимых причин;
- Потеря массы тела;
- Повышенная раздражительность.
Также магнитно-резонансная томография головного мозга может быть назначена при необходимости проведения хирургического вмешательства.
Противопоказания
Врач может отказать в проведении исследования в следующих случаях:
- Если у пациента установлен кардиостимулятор или в теле есть несъемные конструкции из металла.
- При беременности, особенно в первом триместре. В этом случае специалисты рекомендуют иные методы диагностики.
- При отклонениях, мешающих пациенту управлять собственным телом и сохранять неподвижное состояние.
- При выраженной форме клаустрофобии.
Часто диагностика головного мозга при помощи магнитно-резонансной томографии проводится с дополнительным контрастированием. Однако контрастные препараты запрещено водить беременным и кормящим женщинам, при почечной и печеночной недостаточности, а также при наличии аллергии на используемые вещества.
Перед обследованием следует обязательно проконсультироваться с врачом и исключить противопоказания.
Подготовка к процедуре
При плановом обследовании врачи рекомендуют соблюдать несколько простейших рекомендаций:
- Если требуется проведение магнитно-резонансной томографии с дополнительным контрастным усилением, необходимо прийти в клинику натощак. Это необходимо для того, чтобы во время введения препаратов у пациента не возникало тошноты.
- Не рекомендуется пить слишком много жидкости перед исследованием, чтобы внутри томографа не возникало позывов к мочеиспусканию.
- Позаботьтесь заранее о том, чтобы на вашем теле не было металлических предметов и украшений. Снимите все металлосодержащие аксессуары и подберите одежду, на которые нет замков, клепок, пуговиц из металла.
- Как минимум за двое суток следует отказаться от алкоголя. За 2-3 часа до исследования не рекомендуется курить.
Как проходит МРТ
При подозрении на аденому гипофиза врачи рекомендуют проводить магнитно-резонансную томографию в томографах закрытого типа. Специалисты утверждают, что такое оборудование позволяет получить более качественные снимки, соответственно, повышается информативность диагностической процедуры. Внутри томографа имеется освещение, вентиляция, громкая связь и кнопка для экстренной остановки диагностического исследования.
Одной из особенностей работы любого томографа является громкий шум во время получения снимков. Для снижения дискомфорта можно воспользоваться берушами или шумоизоляционными наушниками.
Исследование проходит по следующему алгоритму:
- Пациенту необходимо переодеться в одежду, на которой отсутствуют какие-либо металлические конструкции и лечь на спину.
- При необходимости в область локтевого сгиба вводят контрастный препарат.
- Нижние и верхние конечности обычно фиксируют, чтобы избежать случайных телодвижений.
- Автоматический стол заезжает внутрь томографа.
- Длительность диагностики составляет от 30 до 40 минут.
Требуется ли контрастирование?
Магнитно-резонансная томография головного мозга более показательна, если она проводится с контрастным усилением. Попадая в общий кровоток, препарат повышает четкость изображения поврежденных участков, позволяет выявить сосудистые патологии и увидеть опухоли.
Используемые препараты полностью безопасны для организма человека и не вызывают побочных эффектов. Препараты не задерживаются в тканях и выводятся через почки в течение суток. Для ускорения процесса рекомендуется пить больше жидкости. Перед проведением контрастной магнитно-резонансной томографии следует убедиться в отсутствии противопоказаний.
Расшифровка результатов
Гипофиз – это небольшая железа, локализованная в ямке турецкого седла клиновидной кости. Ее размеры при отсутствии патологических процессов не превышают 1,5-2 см. От полости черепа гипофиз отделен диафрагмой седла, а участок задней доли железы соединяется с гипоталамусом. Как правило, о наличии аденомы гипофиза сигнализируют следующие патологические изменения:
- Деформация дна гипофизарной ямки;
- Выраженная асимметрия железы;
- Неоднородная структура гипофиза очагового характера;
- Смещение воронки от срединной линии.
Чем раньше поставлен диагноз — тем ниже риск возникновения патологических процессов. Обращайтесь к доктору своевременно, как только возникли первые тревожащие признаки. Будьте здоровы!
Читайте также:
