Менингиомы
Добавил пользователь Евгений Кузнецов Обновлено: 23.11.2025
Причины возникновения внутричерепных менингиом
Несмотря на то, что причины возникновения внутричерепных менингиом пока не определены окончательно, были выявлены факторы риска, способные повлиять на их развитие. Менингиомы чаще обнаруживаются у пациентов, ранее прошедших радиотерапию в области черепа, в частности нефракционированную и нестереотаксическую, использовавшиеся ранее. Современная радиотерапия позволяет воздействовать на раковые клетки более точным образом, подавая радиацию в определенные точки и сохраняя здоровые ткани. Многочисленные исследования, проводившиеся в США, доказали, что применение рентгеновского излучения в зубоврачебной области повышает риск развития менингиом. Генетические факторы также могут повлиять на появление внутричерепных менингиом: было выявлено, что у пациентов, страдающих нейрофиброматозом II типа (NF2) выit риск развития менингиом, в частности злокачественных и множественных.
Симптомы внутричерепных менингиом
Как было указано ранее, внутричерепные менингиомы являются медленно растущими опухолями. Это означает, что в большинстве случаев они не дают симптомов вплоть до достижения крупных размеров. По этой причине обнаружение менингиом часто происходит при проведении компьютерной томографии или МРТ по другим показаниям. Симптомы внутричерепных менингиом связаны со сдавливанием нервных структур, поэтому они могут различаться в зависимости от расположения опухоли и типа нервной ткани. В общем, среди симптомов менингиом могут встречаться: Головная боль Дизориентация Тошнота и рвота Мышечная слабость Проблемы со зрением, такие как диплопия или ухудшение зрения Проблемы с речью Тошнота Рвота Судороги Изменения в поведении, такие как апатия, агрессия или депрессия Неврологические проблемы Потеря слуха или звон в ушах Головокружение
Диагностика внутричерепных менингиом
Диагностировать внутричерепную менингиому особенно сложно по ряду причин. В первую очередь потому, что, будучи медленно растущей опухолью, она не проявляет симптомов. Кроме того, при наличии симптомов они могут ассоциироваться у пациента с нормальным процессом старения, а врач может отнести их к другим заболеваниям. По этим причинам диагностирование внутричерепных менингиом может произойти и через нескольких лет. При подозрении на менингиому необходимо прежде всего провести тщательное неврологическое обследование. Далее необходимо провести обследование с использованием техники визуализации, такой как: КТ (компьютерная томография) МРТ (магнитно-резонансная томография) или ЯМРТ (ядерная магнитно-резонансная томография) Ангиография сосудов головного мозга МРС (магнитно-резонансная спектроскопия) На данный момент единственным способом точной постановки диагноза является биопсия, позволяющая специалисту определить природу опухоли и классифицировать её.
Лечение внутричерепных менингиом
При возможности, особенно в случае доброкачественных менингиом, наименее рискованным видом лечения является нейрохирургия. Опухоль удаляется хирургическим путем посредством краниотомии: целью является как удаление основной массы опухоли, так и всех частей, прилегающих к тонким структурам, таким как сосуды и нервы. В большинстве случаев менингиомы появляются в особо критических зонах и обладают высокой степенью васкуляризации, делая невозможным применение хирургического вмешательства по отдельности. В случаях невозможности проведения полного удаления менингиомы и неоперабельности высокую эффективность показала адронная терапия с применением протонов или ионов углерода. Этот вид лечения позволяет достичь оптимального контроля над заболеванием на длительный период, минимизируя побочные эффекты. Кроме того, адронная терапия показала высокую эффективность при лечении детских менингиом: этот вид радиотерапии позволяет поражать только область опухоли, сохраняя окружающие здоровые ткани, обладающие высокой чувствительностью к радиации у детей.
Обзор онкологических заболеваний менингиомы
Наверняка Вы задаётесь вопросом: что же теперь делать?
Подобный диагноз всегда делит жизнь на «до» и «после». Все эмоциональные ресурсы пациента и его родных брошены на переживания и страх. Но именно в этот момент необходимо изменить вектор «за что» на вектор «что можно сделать».
Предлагаем Вашему вниманию краткий, но подробный обзор одной из разновидности опухолей головного мозга.
Ежегодно в России выявляют более 8 тысяч новых заболеваний опухолей мозговой оболочки, головного и спинного мозга и других частей центральной нервной системы. Почти такое же количество граждан умирает от данных локализаций.
Филиалы и отделения, где лечат менингиомы
МНИОИ им. П.А. Герцена – филиал ФГБУ «НМИЦ радиологии» Минздрава России.
Отделение нейроонкологии
Заведующий – к.м.н. ЗАЙЦЕВ Антон Михайлович
Отдел лучевой терапии
Заведующий - д.м.н. ХМЕЛЕВСКИЙ Евгений Витальевич
Тел: 495 150 11 22
МРНЦ им. А.Ф. Цыба – филиал ФГБУ «НМИЦ радиологии» Минздрава России.
Отделение протонной и фотонной терапии
Заведующий – д.м.н. ГУЛИДОВ Игорь Александрович
Тел: 8 (484) 399 31 30
Менингиомы
Менингиома – опухоль из клеток оболочек головного мозга. Составляют 14-19% первичных внутричерепных опухолей. В 95% случаев – относятся к доброкачественным (1-я степень злокачественности) и характеризуются медленным темпом роста. Остальные 5% - это более агрессивные варианты менингиом (2-й и 3-й степени злокачественности), характеризующиеся ускоренным ростом, инфильтрацией оболочек и прилежащего мозгового вещества, склонностью к рецидивам после хирургического удаления. Менингиомы могут образовываться как под основанием мозга, так и над его поверхностью, и между полушариями. Пик встречаемости менингиом – 45 лет. Женщины болеют менингиомами примерно вдвое чаще мужчин. В 1.5% случаев – встречаются в детском и юношеском возрасте, из них примерно в 1/4-1/5 случаев как проявления нейрофиброматоза.
Симптомы менингиомы
Симптомы заболевания во многом зависят от места локализации опухоли и могут проявляться в виде:
головных болей; нарушения координации движений; глазодвигательных нарушений (косоглазие, двоение, опущение верхнего века); нарушений зрения – снижения остроты или ограничения периферического зрения чувствительных или двигательных нарушений в конечностях противоположной стороны тела, эпилептических приступов различной структуры, психо-эмоциональных нарушений.
Менингиомы больших размеров могут сопровождаться симптомами повышения внутричерепного давления (головная боль с тошнотой и рвотой), могут вызывать клинические симптомы сдавления мозга и ликворопроводящих путей и угрожать жизни пациента.
Диагностика менингиомы
При СКТ – гиперденсивный сигнал в нативных изображениях отмечается в 70-75%. При введении контрастного вещества – активно и гомогенно его накапливает. На МРТ сигнал изоинтенсивный с серым веществом в Т1 режиме и изо- или гипоинтенсивный в Т2 режиме. Накопление контраста также выраженное, чаще гомогенное. В большинстве случаев опухоли имеют широкий матрикс (зону исходного роста) и т.н. «дуральные хвосты» по оболочке (при контрастировании). Наличие «ликворной щели» является частым, но не абсолютным симптомом. В 16-25% случаев отмечаются признаки обызвествления, в 10-15% - наличие кист в паренхиме опухоли. Перифокальный отек может встречаться примерно у 60% больных и связан как с локализацией опухоли (чаще при конвекситальном и парасагиттальном расположении), а также с гистологическим подтипом (чаще при анапластических вариантах). Большинство менингиом активно кровоснабжаются. Эта особенность учитывается при проведении дифференциального диагноза с другими опухолями основания черепа.
Лечение менингиомы
В настоящее время выделяют несколько основных методов лечения менингиом.
Хирургическое удаление. Успешность хирургического вмешательства зависит от нескольких факторов – от расположения опухоли по отношению к функционально важным отделам мозга, от близости сосудов и черепно-мозговых нервов, а также от размера менингиомы. Оперативное удаление менингиомы в большинстве случаев заканчивается благополучно. Пациенты относительно быстро могут вернуться к нормальному образу жизни. Однако, вероятность рецидива (повторного образования опухоли) может достигать 20% и более в сроки свыше 10 лет наблюдения и зависит в первую очередь от гистологического подтипа опухоли и радикальности ее удаления.
Альтернативой хирургическому вмешательству при лечении менингиом является лучевая терапия. Этот современный метод облучения отлично себя зарекомендовал при лечении опухолей с локализацией в труднодоступных местах, когда удаление сопряжено с высоким риском функциональных нарушений и хирургических осложнений. Лучевой терапии поддаются опухоли различной величины с максимальной точностью, за один раз или несколькими сеансами лечения, необходимых для получения желаемого результата.
Данные литературы свидетельствуют, что контроль роста доброкачественных менингиом составляет 92-95% (т.е. всего 5-8% рецидивов) при наблюдении свыше 10 лет после лучевой терапии с сохранением высокого уровня качества жизни. Менингиомы 2-й и 3-й степени злокачественности рецидивируют чаще, однако важным преимуществом применения лучевой терапии перед другими методами лечения является возможность неоднократного использования и низкий (в сравнении с другими методами) уровень осложнений.
Таким образом, при менингиомах внутричерепной локализации применение лучевой терапии является оптимальным методом лечения, потому что:
ведет к продолжительному контролю опухолевого роста, который проявляется стабилизацией размеров или уменьшением опухоли;
имеет минимальный риск появления новой или усугубления имеющейся неврологической симптоматики;
позволяет быстро вернуться к повседневной жизненной активности.
Лучевая терапия противопоказана при: больших опухолях (должно быть проведено удаление); наличии выраженной неврологической симптоматики связанной или нет с наличием масс-эффекта; опухолях зрительного нерва с сохранным зрением (проводится фракционированное облучение).
Филиалы и отделения, в которых лечат опухоли головного и спинного мозга, а также отделы центральной нервной системы
ФГБУ «НМИЦ радиологии» Минздрава России обладает всеми необходимыми технологиями лучевого, химиотерапевтического и хирургического лечения, включая расширенные и комбинированные операции. Все это позволяет выполнить необходимые этапы лечения в рамках одного Центра, что исключительно удобно для пациентов.
Менингиома: причины, диагностика и лечение
Менингиома — доброкачественная опухоль головного мозга и позвоночника, развивается из паутинной оболочки, окружающей нервные структуры. Составляет четвертую часть всех первичных новообразований мозга. Достаточно редко встречаются ее злокачественные формы — по разным данным 10-15% от всех выявленных случаев.
менингиома
Менингиома — доброкачественная опухоль головного мозга и позвоночника, развивается из паутинной оболочки, окружающей нервные структуры. Составляет четвертую часть всех первичных новообразований мозга. Достаточно редко встречаются ее злокачественные формы — по разным данным 10-15% от всех выявленных случаев.
Чаще всего менингиома является единичной опухолью, значительно реже диагностируют множественные опухоли, растущие из разных очагов и располагающиеся в разных зонах спинного или головного мозга.
Факторы риска
Точные причины развития опухоли неизвестны. Существуют факторы риска, которые могут привести к заболеванию:
- Возраст старше 40 лет. Чаще всего опухоль в головном или спинном мозге появляется в возрасте от 40 до 70 лет.
- Женский пол. Риск развития заболевания у женщин в 3 раза выше, что связано с влиянием на рост менингиомы женских половых гормонов. Однако у мужчин чаще встречаются злокачественные варианты опухоли.
- Ионизирующее излучение в высоких дозах, которое способствует возникновению различных внутричерепных опухолей. По последним исследованиям рост может спровоцировать и низкодозовое облучение.
- Генетические заболевания. Например, нейрофиброматоз 2 типа.
- Черепно-мозговые травмы или травмы позвоночника.
Симптомы менингиомы
Менингиома головного мозга и позвоночника, как и большинство доброкачественных опухолей, отличается медленным ростом и иногда протекает без выраженных симптомов. Бывает так, что опухоль становится случайной находкой во время МРТ или КТ головы.
Несмотря на доброкачественность, образование нарушает работу головного мозга.
Ее проявления разделяют на общемозговые, вызванные повышением внутричерепного давления, а также местные, возникающие при давлении опухоли на различные анатомические структуры головного или спинного мозга.
Среди общемозговых симптомов часто встречаются следующие:
- Головная боль, которая постепенно становится сильнее, обостряется ночью.
- Нарушение зрения, в частности двоение и потеря его остроты.
- Тошнота и рвота.
- Нарушение памяти, изменение психики.
- Эпилептические припадки.
- Слабость в руках или ногах, чаще с одной стороны.
- Головокружения, нарушения координации.
Основные признаки при различных локализациях опухоли:
- Односторонняя или двусторонняя слепота — при поражении бугорка турецкого седла.
- Нарушение обоняния и нарушения психики — при риноольфакторной форме.
- Слабость в ногах и нарушение мочеиспускания — симптом парасагитальной опухоли парацентральных локализаций.
- Глазодвигательные нарушения и двоение в глазах — при поражении крыла основной кости.
- Один глаз выпирает наружу (экзофтальм) — при новообразовании орбиты глаза.
- Нарушения речи и слуха — при локализации в височной доле.
- Слабость в руках и ногах — при опухоли в области большого затылочного отверстия.
Из-за многообразия симптомов часто возникают затруднения с постановкой диагноза. У пожилых пациентов проявления опухоли иногда связывают с возрастными изменениями мозга.
Классификация менингиом
В подавляющем большинстве случаев менингиома представляет собой доброкачественную опухоль, однако, возможны и злокачественные варианты.
Согласно действующей классификации ВОЗ, существует три типа менингиом:
- Grade-1 — 1-я степень злокачественности, составляет 94,5 % от всех случаев. Это доброкачественные, медленно растущие образования, не поражающие окружающие ткани. Характеризуются благоприятным прогнозом и низкой частотой рецидивов.
- Grade-2 — 2-я степень злокачественности, 4,7 % случаев. Характеризуются более агрессивным и быстрым ростом, высокой частотой рецидивирования и менее благоприятным прогнозом.
- Grade-3 — 3-я степень злокачественности, 1% случаев. Злокачественные новообразования с неблагоприятным прогнозом, высокой частотой рецидивирования, быстро растущие и вовлекающие окружающие ткани мозга в процесс.
Методика лечения опухолей головного и спинного мозга, а также прогноз выживаемости зависят от степени злокачественности, расположения и размера.
Диагностика менингиомы
Диагноз ставится по данным КТ, МРТ или ПЭТ/КТ. МРТ с контрастом считается наиболее информативным методом для обнаружения доброкачественных менингиом позвоночника и головного мозга. Оно позволяет увидеть взаимоотношение опухоли с окружающими тканями и оценить состояние сосудов. КТ выявляет до 90% опухолей, показывает изменения костей и кальцинаты в новообразовании.
ПЭТ/КТ применяют для обнаружения злокачественных форм, обследование помогает оценить скорость обмена веществ в опухоли, а значит определить вероятность ее злокачественного перерождения.
Нужна дополнительная информация по ПЭТ КТ диагностике? Получите бесплатную консультацию наших специалистов
Лечение менингиомы
Существует несколько методов лечения заболевания:
- хирургическое удаление менингиомы — оперативное лечение позволяет удалить опухоль, но может быть травматичным для пациента. Исход операции зависит от близости новообразования к жизненно важным структурам головного мозга. При доброкачественных формах, как правило, удается добиться полного излечения.
- классическая лучевая терапия — малоэффективна для лечения опухоли. При ее использовании могут повреждаться соседние участки головного мозга и спинной мозг при новообразованиях позвоночника. Иногда используется совместно с хирургическим удалением, чтобы разрушить очаги в неоперабельных зонах или снизить риск рецидива.
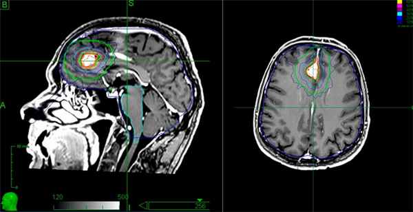
- лучевая терапия на установке Кибер-Нож — современный и малотравматичный метод лечения образований размером до 3.5-4 см. На опухоль воздействуют направленным потоком ионизирующего излучения. Окружающие ткани при этом практически не повреждаются.

Лечение менингиомы. Этапы подготовки мишени для облучения на системе "Кибер-нож”
Кибер-Нож позволяет удалить опухоль без боли и повреждения важных структур мозга. Процедура проводится в амбулаторных условиях без госпитализации пациента, после терапии пациент сразу может ехать домой. В ПЭТ-центре план лечения составляется врачами радиологом и онкологом, что позволяет выбрать наиболее эффективную тактику для конкретного пациента.
Лечение на Кибер-Ноже в Уфе доступно не только для жителей региона, но и для иногородних и иностранных пациентов — для них разработаны специальные программы.
Остались вопросы по лечению на Кибер-ноже? Вы можете получить бесплатную консультацию наших специалистов.
Последствия и прогноз
В случае, когда у пациента была выявлена доброкачественная менингиома без прорастания в окружающие ткани, ее удаление часто означает полное выздоровление. Выживаемость пациентов в течение 5 лет составляет около 70-90%.
Однако даже доброкачественные образования могут рецидивировать в 3% случаях. Атипичные — рецидивируют в 38% случаях, злокачественные — в 78%. Тяжесть последствий зависит от размеров, расположения и злокачественности опухолевого очага.
Менингиома
Менингиома — это вид опухоли головного мозга, развивающейся в мозговых оболочках. Мозговые оболочки — это ткани, окружающие ваш головной и спиной мозг.
Менингиомы обычно появляются в черепе, но могут появиться и в позвоночнике. В большинстве случаев у людей с менингиомой появляется только 1 опухоль в 1 месте, но возможно появление сразу нескольких опухолей одновременно в разных частях головного и спинного мозга.
В большинстве случаев менингиомы доброкачественные (не раковые). Некоторые менингиомы могут быть злокачественными (раковыми), но это случается редко. Даже если опухоли не являются раковыми, из-за их местоположения они могут стать причиной серьезных проблем. Если они сильно разрастутся, они могут повлиять на работу головного мозга, а также они могут стать причиной проблем, если расположены слишком близко к важным нервам или кровеносным сосудам.
После прохождения курса радиотерапии в области головного или спинного мозга у человека повышается риск развития менингиомы. Гормональные изменения или ваши гены (ДНК) также могут увеличить риск развития менингиомы.
Симптомы менингиомы
В большинстве случаев менингиомы развиваются медленно и не вызывают каких-либо симптомов.
Если у вас возникли симптомы, они могут различаться в зависимости от местоположения опухоли. Возможные симптомы включают:
- головную боль;
- изменения зрения, например двоение в глазах или потерю зрения;
- изменения слуха, например звон в ушах или потерю слуха;
- изменения речи, например трудность выразить словами свои мысли;
- онемение или слабость в руках или ногах;
- проблемы с балансом и координацией;
- потерю памяти;
- потерю обоняния;
- судорожные припадки (изменения в электрической активности головного мозга);
- изменения личности.
Эти симптомы могут быть вызваны и чем-то другим. Позвоните своему врачу, если у вас появились какие-либо из этих симптомов или наблюдаются их изменения.
Диагностика менингиомы
Для диагностики менингиомы вам потребуется пройти визуализацию, например исследование методом компьютерной томографии (computed tomography (CT)) или магнитно-резонансную томографию (magnetic resonance imaging (MRI)).
Лечение менингиомы
Лечение менингиомы зависит от размера опухоли и ее местоположения.
Если менингиома развивается медленно и не вызывает никаких симптомов, возможно, вам не потребуется лечение. Для наблюдения за развитием опухоли вам может понадобиться проходить MRI каждый год. Вам также следует сообщить своему врачу, если у вас появятся какие-либо симптомы. Если менингиома является раковой опухолью, вызывает симптомы или быстро развивается, вам может потребоваться операция для ее удаления.
Некоторые менингиомы невозможно удалить, так как они расположены возле областей головного мозга, выполняющих важные функции. В этом случае вам может быть назначен курс радиотерапии, чтобы остановить их развитие. Если вам провели операцию по удалению менингиомы, но она была удалена не полностью, вам также может понадобиться курс радиотерапии, чтобы остановить развитие опухоли. В редких случаях вам может потребоваться курс химиотерапии или другое лечение.
Менингиомы


- НИО хирургии аорты, коронарных и периферических артерий
- НИО новых хирургических технологий
- НИО хирургической аритмологии
- НИО эндоваскулярной хирургии
- НИО сосудистой и гибридной хирургии
- НИО онкологии и радиотерапии
- НИО ангионеврологии и нейрохирургии
- НИО анестезиологии и реаниматологии
- НИО лучевой и инструментальной диагностики
- Состав совета по защите докторских и кандидатских диссертаций
- Требования к соискателям
- Соискатели
- Апелляции
- ГОСТ по оформлению диссертации и автореферата
- Контакты совета
- Генеральный директор Центра
- Руководство Центра
- Миссия
- История
- Мероприятия
- Фотопроекты
- Истории пациентов
- Нормативные документы
- Структура отдела
- Организационно-методическая работа с регионами
- Развитие телемедицинских технологий
- Кадровая политика и повышение квалификации
- Публичный отчет
- Устав и регистрационные документы
- Лицензии
- Публичный отчет
- Сведения о медицинских работниках
- План развития Центра
- Политика обработки персональных данных
- Охрана труда
- Политика в области охраны труда
- Противодействие коррупции
- Учетная политика

Код по МКБ D32.0
Менингиома (арахноидэндотелиома) - доброкачественная опухоль, растущая из клеток одной из мозговых оболочек, а именно арахноидального эндотелия. Вопреки распространенному убеждению не являются опухолью твердой мозговой оболочки.


Небольшие менингиомы могут не проявляться, и заболевание будет протекать бессимптомно. Но даже при наличии симптомов диагностировать менингиому только по жалобам больного невозможно вследствие неспецифичности ее проявлений. Наиболее часто встречаются головная боль, длящаяся от нескольких недель до нескольких месяцев, слабость или паралич, выпадение полей зрения и проблемы с речью.
Основным методом визуализации менингиом является магнитно-резонансная томография головного мозга с контрастированием.
Другим методом диагностики менингиом является компьютерная томография. Помимо петрификатов в строме опухоли, в костном режиме компьютерная томография может демонстрировать разрушение опухолью костных структур, что влияет на выбор хирургического доступа и планирование радикальности операции.

Основным методом оценки кровоснабжения опухоли является церебральная ангиография. В отличие от церебральной ангиографии, оценивающей васкуляризацию опухоли, современные неинвазивные методики, такие как различные режимы магнитно-резонансной перфузии и спиральной компьютерной томографии перфузии, количественно оценивают кровоснабжение опухолевой ткани.
Медикаментозного лечения менингиом не существует. Основным методом лечения данного вида опухолевого процесса является радикальное хирургическое удаление. Радикальность удаления образований зависит от локализации и размеров менингиом.
Также существуют гибридные методы лечения менингиом, когда первым этапом производится эндоваскулярное закрытие сосудов, питающих объемное образование, с дальнейшим радикальным удалением образования.
Лучевое лечение небольших (диаметром менее 3 см и объемом не более 14 см3) менингиом с умеренной неврологической симптоматикой или без нее обычно не вызывает проблем - пациентам проводится курс радиохирургии.

При наличии у пациента менингиом большого или гигантского размера в большинстве случаев на первом этапе производится удаление опухоли, а затем решается вопрос о проведении лучевого лечения ее остатков.
Сложность как для хирургов, так и для радиологов представляет выбор оптимального алгоритма лечения пациентов с большими и гигантскими менингиомами, особенно при отягощенном соматическом статусе. Следствием хирургического лечения менингиом большого и гигантского размера является высокий риск неврологического дефицита и инвалидизации, радиохирургическое лечение невозможно ввиду больших размеров опухоли, а фракционированная радиотерапия трудновыполнима, так как может привести к прогрессии отека мозгового вещества и гидроцефалии, к явлениям лучевого некроза. В то же время лечением менингиом маленьких и средних размеров успешно занимаются как радиологи, так и нейрохирурги.
Небольшие асимптомные менингиомы требуют динамического наблюдения. При появлении признаков значимого увеличения решается вопрос о хирургическом удалении.
Для получения подробной информации по заболеванию, методам лечения и уточнения диагноза необходимо посетить первичную консультацию специалиста или подать документы через сайт на заочную консультацию.
Читайте также:
