Можно ли вправить грыжу диска? Как избавиться от боли при грыже диска?
Добавил пользователь Владимир З. Обновлено: 23.11.2025
Боль в ноге, боль в спине, невыносимые ночные боли, невозможность пройти большую дистанцию. Все это может быть проявлением грыжи диска.
За последние 40 лет нашей работы с позвоночником и грыжами дисков примеров можно привести множество.
Один из них – Ирина. Молодая 35 летняя женщина. Мама буквально сняла Ирину с операционного стола и привела в клинику в августе 2018 года.
После проведенного лечения грыжи не стало.
История излечения Ирины от грыжи диска
Ирину беспокоили круглосуточные боли в пояснице. Ночью боль на давала ей спать, а днем боль в пояснице и в ноге усиливались при ходьбе. Боли в спине не давали сидеть и «ударяли» в ногу при подъеме со стула. Боль вызывал кашель и чихание – болели левая нога и левая ягодица. Кстати, боль в ноге и боль в ягодице – это чаще характерный признак радикулита (сдавливания корешка в позвоночнике). Круглосуточные боли в спине и ноге при грыже диска чаще интенсивные и носят изматывающий характер. Человек с грыжей не спит ночами и не отдыхает днем. Мечтая уйти от этой боли, человек согласен на все. В том числе – на операцию.
Но, как показывает многолетняя практика, грыжу диска можно уменьшить в размере и даже полностью вылечить без операции.
Глядя в историю болезни Ирины, могу сказать, что ситуация была не простой. Боль в спине ее беспокоила 8 лет. А невыносимые боли в ноге присоединились 3 месяца назад.
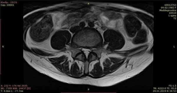
Осмотрели Ирину неврологически и ортопедически, исследовали позвоночник на МРТ и рентгене. Оказалось, что у нее очень большая левосторонняя грыжа размером 12 мм.

На МРТ показано излечение грыжи диска (до- и после лечения).


После первого же приема удалось выраженно уменьшить боль. Ночь Ирина уже спала. Дневные боли у значительно уменьшились уже через несколько дней. Возможность спать без боли – это тоже не мало.
Прошло 2 недели. Ирину практически ничего не беспокоило. Но, ногу поднять в полном объеме она еще не могла. Сохранялся т.н. симптом Ласега (боль в спине и ноге, когда пациент лежит на спине, а врач поднимает ногу). Это говорило о том, что грыжа еще сдавливает корешок.
Что делать с грыжей?
Пришлось ее немного дообследовать. Выяснилось, что кроме грыжи у нее есть еще и воспаление, которое не давало уменьшиться отеку тканей диска. Попросту – влага не уходила из грыжи. Нашей задачей было «высушить» грыжу диска. Технологически это реальный процесс. Он занял у нас несколько месяцев. При этом через несколько дней после начала лечения качество жизни Ирины стало несоизмеримо лучше: она спала ночью, а днем ее беспокоила умеренная эпизодическая боль. Эта боль не шла ни в какое сравнение с той изнуряющей постоянной болью в ноге, которую она испытывала до лечения. Поэтому мы имели возможность заниматься уменьшением грыжи в плановом порядке.
Оценив исходные данные (результаты анализов, биомеханику позвоночника и др.) мы приступили к «высушиванию» и «вправлению» грыжи диска. По прошествии 1 месяца грыжа уменьшилась на 50%.

Контрольный МРТ, через 5 месяцев показал полное отсутствие грыжи диска (см. снимки Ирины ниже):

Обратите внимание на даты проведения МРТ в правом нижнем углу. МРТ исследования проведены на одном аппарате 1.5 теслы в клинике «Меддиагностика» в процессе лечения Ирины. МРТ позвоночника позволяет отследить динамику уменьшения грыжи диска.
Ирина прошла не только курс лечения, но и курс реабилитации. У нее восстановился рефлекс на левой ноге с ахиллова сухожилия. Мы ей укрепили спину, научили себя безопасно вести, рассказали, как сделать так, чтобы грыжа не образовалась вновь. Эти методы отрабатывались в клинике на протяжении последних 40 лет. Физическая реабилитация позволяет свести до минимума риски рецидива грыжи диска
Сегодня Ирина полностью здоровый человек с полным объемом движений в позвоночнике. Ее не беспокоят ни боль в спине, ни боль в ноге.
Она счастлива, что удалось вылечить грыжу позвоночника без операции.
Обычно, как показывает наша многолетняя практика, реабилитация после операции по поводу грыжи диска занимает почти столько же времени, как и лечение грыжи без операции. Согласно официальной статистике, приведенной самими нейрохирургами, хирургическое лечение грыжи диска в более чем 60% случаев заканчивается осложнениями (об осложнениях читать здесь). Осложнения требуют особого лечения и далеко не всегда заканчиваются выздоровлением.
Именно поэтому всегда лучше постараться провести нехирургическое лечение перед тем, как согласиться на оперативное удаление грыжи.
Центр «Меддиагностика» десятилетиями лечил заболевания позвоночника нехирургическим путем. За последние 40 лет работы нам удалось выработать оптимальные подходы к решению многих проблем с позвоночником. В том числе найти наиболее рациональные методы лечения грыж дисков позвоночника
Отзыв Ирины
Спасибо центру «Меддиагностика» за оказанную помощь. Боли в спине меня беспокоили уже давно, однако я особо не придавала этому значения, обходилась то мазями, то массажами, которые приносили облегчение лишь на время. Забила тревогу я только тогда, когда боли начали отдавать в ногу и пошло онемение ноги.
Я сразу сделала МРТ, на котором обнаружилась межпозвоночная грыжа 12 мм, которая сдавливала седалищный нерв. Пропила таблетки противовоспалительные, витамины, но облегчения особого не было, боль в спине уменьшилась, но нога продолжала неметь.
Ходили на консультацию к нейрохирургу, но там ответ один — оперативное лечение. Операцию я делать побоялась, решила испробовать другие методы. Друзья мне посоветовали обратиться в центр «Меддиагностика». Мне здесь назначили курс лечения позвоночника и сказали, что с операцией спешить не стоит, прооперировать всегда можно успеть. Я прошла сухую вытяжку позвоночника, курс массажей, уколы вдоль позвоночника. Ногу стало постепенно отпускать и на 6-7 сеанс прошло онемение пальцев.
После лечения назначили лечебную физкультуру для закрепления эффекта. В итоге моя грыжа с 12 мм уменьшилась до 2мм! Я очень рада, что попала в этот центр, где работают профессионалы своего дела, которые ставят людей на ноги и оказывают реальную помощь. Отдельно большое спасибо профессору Гонгальскому Владимиру Владимировичу. Это человек с большой буквы и профессионал своего дела. Рекомендую всем этот центр. Спасибо Вам большое, что Вы есть! С уважением, Ремига Ирина
Оборудование
Оборудование центра для установления диагноза и выявления грыжи или протрузии, а также причины боли в спине или в ноге.
Кто лечит грыжу диска без операции
Почему не следует торопиться с удалением грыжи
До того, как лечь на операционный стол для удаления грыжи диска, всегда есть смысл попробовать вылечить заболевание без операции. Для этого существует ряд методов, которые эффективны для уменьшения грыжи в размерах. Тем более, существует около 60 видов заболеваний и состояний организма человека, при которых симптомы могут напоминать проявления грыжи диска. И если при этом на МРТ выявляют протрузию или грыжу, то нередко боль списывают на грыжу (протрузию), отказываясь замечать основную причину боли. Как правило, вопрос в диагностике и широте мышления доктора.
Абсолютные и относительные показания для хирургического лечения грыж
Для решения вопроса о хирургическом удалении грыжи диска пользуются показаниями для операции, которые четко прописаны. Показания для проведения операции бывают абсолютными (когда операцию нужно делать срочно) и относительными (когда можно не торопиться, но при этом операция не исключена).
Абсолютными показаниями для хирургического удаления грыжи диска являются в первую очередь симптомы, которые свидетельствуют о тяжелых вторичных неврологических расстройствах. Таких, как нарушение функции тазовых органов – мочеиспускания и дефекации. Чаще это недержание мочи и кала. С перечнем абсолютных и относительных показаний для проведения хирургического удаления грыжи диска можно ознакомиться здесь
Где лечить грыжи диска без операции
Лечение грыжи диска и протрузии диска без операции в Киеве проводят по адресу: переулок Строителей, дом 4 (250 м от метро Дарница).
Доктор медицинских наук, профессор НМУ,
В.В.Гонгальский
Читать больше:
Другие отзывы о лечении межпозвоночной грыжи без операции
Огромное спасибо Владимиру Владимировичу Гонгальскому, за его методику, и сотрудникам центра Лечебно-диагностического цента «Меддиагностика». У меня 4 межпозвоночных грыжи, лечился в больнице около месяца, каждый день по три четыре укола, перепробовал немало «народных целителей» от каких-то заклинаний до медовых укутываний и массажей. Говорили что без операции не обойтись, в общем настроение было еще хуже чем мое здоровье. Доходило до того, что я 50 метров не мог пройти без отдыха немела нога, и боль в районе бедра была просто невыносимой. И вот уже не помню, как но я увидел информацию о данной клинике. На первый прием пришел, с долей скептицизма, но после третьего приема и в дальнейшем после медикаментов, физических занятий, разработанных лично профессором Гонгальским, полностью прошла боль в ноге, которая меня преследовала на протяжении уже нескольких лет. Спустя еще какого-то времени реабилитации. я полностью выпрямился, походка приняла прежнею легкость, ко мне вернулась уверенность, радость, настроение)))) Теперь ежедневные прогулки по 5 км только приносят удовольствие! Конечно один курс, это не панацея, огорчатся не стоит. После месячного перерыва от занятий, и когда мне уже стало легче, как человек «Советской закалки», резко принялся за работу, дискомфорт в спине и бедре понемногу начал возвращаться, но теперь то я знаю что надо делать, куда обращаться, надо заниматься, самому или в центре, это уже у кто как может. И главное… что это не какое-то лекарство с побочными действиями, или операция с неизвестным концом…. Для сомневающихся заявляю это РАБОТАЕТ. И еще раз огромное спасибо.
Большое спасибо Гонгальскому Владимиру Владимировичу и всему чуткому персоналу клиники за то, что вернули меня к нормальной жизни. У меня грыжа позвоночника в сегменте L5-S1 — 7 мм. В 2012 году была грыжа в том же сегменте — 10,02мм. Была сделана операция, но либо не удачно либо пошел рецидив грыжи, но после операции, через 6 мес., я почувствовала сильную боль в левой ноге. Лечение местных невропатологов не дало результатов. Обратилась в частную клинику к мануальщику. Проходила лечение пчелами, магнитами, иголками и тд. После чего вообще перестала сидеть и ходить. Пролежав 1 мес. в кровати и передвигаясь по квартире при помощи палки, принимая при этом сильные обезболивающие, которые давали временный эффект, я узнала и обратилась в клинику Меддиагностики к профессору Гонгальскому В.В. Благодаря правильно поставленному диагнозу и назначенной методике лечения сейчас я снова хожу и сижу. Как оказалось, причиной моих страданий был послеоперационный рубцово-спаечный процесс. По простому говоря — рубцы и спайки пережимали седалищный нерв и это не давало мне нормально жить. И если бы у меня была возможность вернуть время вспять, то я бы никогда не сделала бы ту операцию, но к сожалению, я не знала тогда о существовании клиники «Меддиагностика», специалисты которой помогли бы мне избежать операции. Конечно же , спайки и рубцы полностью не исчезли, так как это процесс очень длительный. Сейчас при помощи назначенной мне ЛФК я разрабатываю эти спайки. И верю, что очень скоро я забуду о своей проблеме навсегда. Еще раз хочу поблагодарить за чуткое отношение и внимание к моей проблеме весь персонал клиники: Лейлу Николаевну, Олега Антоновича, медицинских сестер клиники и конечно же Гонгальского Владимира Владимировича. Буду рекомендовать вашу клинику всем своим знакомым.Низкий вам всем поклон и процветания!
Доброго дням Всім. Думаю, що тим людям які ще досі в пошуку до кого звернутися і як вирішити свої проблеми, мій відгук розставить всі крапки над «і». Мій стан погіршився у лютому 2016 року, це виражалося пришвидшеним серцебиттям, задишкою, низьким тиском і що найголовніше – різкими та сильними запамороченнями. Спершу я звернулася в лікарню, по своєму місцю проживання, до невропатолога. Зробила МРТ, отримавши результати мені був назначений чотирнадцяти денний курс лікування, який заключався в прийманні таблеток, капельниць та уколів. Після цього недовготривалого лікування мій стан покращився, але не на довго, і найприкріше те, що головокружіння не переставало мучити мене. Добра знайома порадила мені хорошого лікаря, який допоміг їй у вирішенні проблем зі здоров’ям. До Волкова Михайла Вікторовича я звернулася в кінці січня 2017 року, вислухавши мою історію, ми зробили додаткове обстеження і почали курс лікування. Найприємнішим здивуванням було те, що я не приймала жмені таблеток, уколів і різного роду капельниць. Лікар Михайло Вікторович почав лікування з того, що надавлював на певні точки, робив масажі шиї, познайомив мене з шийною фізкультурою і останньому етапі лікування я пройшла процедуру голковколювання. Мій стан почав покращуватися вже після третього сеансу, а сам курс був десятиденний. В кінці лютого всі мої симптоми зникли. Я почуваю себе неймовірно здоровою, бадьорою, сповненою сил та енергії. І це все завдяки чудовому спеціалісту, знавцю своєї справи, чарівнику – Волкову Михайлові Вікторовичу. Рекомендую всім саме цього лікаря, який розуміє мій організм з першого слова, він добросовісний і дуже уважний лікар, який з великою увагою і опікою підійшов до кожного моменту. Сама клініка в цілому теж залишила мене з приємними враженнями.
В трех местах сказали, что нужно удалять грыжу. Нога болела невыносимо почти месяц. Четвертое место, куда я решила пойти, как в последнюю инстанцию перед операцией — была клиника Меддиагностика. Решила идти к профессору. Он долго рассматривал снимки, стучал молоточком по ногам, поднимал ноги. Настоял на повторном МРТ и на рентгене. Потом сказал, что это не грыжа, а воспаление нерва, которое приняли за грыжу. Сделал укал в спину, поставил иголки. И, о чудо, и я сразу пошла. Болело еще несколько дней. Встречались 3 раза. Через 5 дней боли практически прошли. Какое счастье! Теперь я сплю ночью и утром нога не болит. Спасибо. Успехов вам в вашем полезном труде.
История моей болезни длинная, спина болела очень долго, но всегда помогали мази, таблетки. Но последний месяц уже не помогали и даже уколы. Боль была всегда! Был на консультации у нейрохирурга — сказал, что операция еще не нужна. Обратился в клинику к Костьеву ИК, назначил физиотерапию, вытяжение позвоночника, массаж. Все делалось в определенном порядке и уже после 4 — го сеанса вытяжения у меня была первая ночь сна без боли. Потом специальная зарядка и массаж. Боли сейчас нет, но я еще буду на повторном курсе лечения. Спасибо всему персоналу медцентра кто меня лечил.
Межпозвоночные диски связывают позвонки и обеспечивают гибкость позвоночного столба, тем самым выполняя роль "амортизаторов". Представляет собой диск полное эластичное кольцо, заполненное мягким содержимым, похожим на желе. Когда в кольце образуется трещина, это "желе" вытекает в позвоночный канал, травмируя связки, спинной мозг и нервные корешки. Раздражение нервных окончаний вызывает невыносимую боль, которую врачи обычно называют корешковой. Эта боль считается самой "чувствительной", а такое нарушение диска называется грыжей межпозвоночного диска.
По статистике, грыжи диска есть у 80% людей старше 30 лет, а после 40 лет - у 90%. Только не у всех грыжа вызывает боль, поэтому многие больные с грыжей диска не обращаются к врачу и упускают время. В запущенных стадиях поврежденные нервные окончания могут омертветь и тогда восстановить функцию руки или ноги, а то и еще хуже, контроль над мочевым пузырем или кишечником, возможно, уже не удастся.
Немедленно обратитесь к врачу, если у вас появились следующие симптомы грыжи диска:
- сильная боль в грудном, шейном или поясничном отделе позвоночника;
- стало трудно прогибаться и двигаться, боль в позвоночнике усиливается при движении;
- появилась боль и онемение в руке или ноге, что означает, что произошли нарушения в шейном отделе или поясничном отделе позвоночника;
- если рукой не можете удержать даже чашку, а ногу приходится "приволакивать" при ходьбе.
Комплексное лечение грыжи диска способствует уменьшению отечности, устранению миоспазмов и подвывихов позвонков, вследствие чего у больного создается впечатление, что ему "вправили" грыжу. Мануальная терапия и умеренные физические нагрузки устраняют застой кровотока и лимфы, а также улучшают кровоснабжение хрящей и околопозвоночных тканей. Все это помогает избавить пациента от боли, и он чувствует себя намного лучше.
Однако любые манипуляции с позвоночником при грыже должен проводить профессиональный врач. Доверять лечение этой болезни "шарлатанам" нельзя. Это чревато осложнениями. Например, делать массаж и нагревания в период резких болей категорически противопоказано, особенно если кроме боли имеются онемение, "мурашки" и слабость в конечностях. Также нельзя при грыже диска принимать обезболивающие препараты без назначения врача, они могут спровоцировать обострение гастрита и язвы вплоть до внутреннего кровотечения.
Кардинальный метод решения проблемы грыжи - хирургическая операция, во время которой вырезается поврежденный диск. Однако такую операцию делают редко, только когда для ее проведения имеются строгие показания:
- у больного боли сохраняются даже после проведения консервативного лечения в течение 1,5 месяцев;
- появились расстройство мочеиспускания и дефекации, проблемы с эрекцией;
- после проведения МРТ обнаружилось стойкое повреждение спинномозгового корешка.
Операции по удалению поврежденного диска бояться не стоит, сейчас технологии хирургического лечения грыжи отработаны настолько хорошо, что осложнений после нее практически не бывает. После операции требуется длительное восстановление и соблюдение всех рекомендаций врача, чтобы избежать развития рецидивов. Существует довольно распространенное заблуждение, что грыжа диска появляется только после травмы.
На самом деле в большинстве случаях установить точную причину появления грыжи вообще не получается, хотя самым предрасполагающим фактором всегда является изнашивание межпозвоночного диска. С возрастом содержание влаги в содержимом диска уменьшается, это ведет к потере его эластичности. Диск становится более ломким, и к его повреждению могут привести любое резкое движение, подъем тяжестей, внезапное давление на позвоночник, неправильные спортивные тренировки и даже поездки в транспорте по бездорожью.
Часто можно слышать, что развитию грыжи способствуют стрессы, но это не так. А вот сидячий образ жизни вполне может стать провоцирующим обстоятельством - отсутствие движения ослабляет мышечный корсет, в результате чего повышается нагрузка на диски, а, значит, они будут быстрее изнашиваться.
Остеопатическое лечение грыж межпозвонковых дисков

В этой публикации собраны ответы вопросы, которые чаще всего интересуют пациентов с диагнозом «грыжа диска».
1. Лечат ли остеопаты грыжу межпозвонкового диска?
Да, грыжа межпозвонкового диска является показанием к остеопатическому лечению. Это щадящий метод, позволяющий избежать операции, за исключением редких сложных случаев (см.п.5).
План лечения будет отличаться от традиционного, который назначает невролог (обезболивающие, противовоспалительные препараты, направление на операцию).
Врач-остеопат всегда рассматривает проблему в связи с текущим состоянием организма и ищет ее причину для каждого конкретного случая. Механизмы появления и развития грыжи межпозвонкового диска могут быть различными:
· неадекватные длительные или стрессовые нагрузки (сидение, вождение, поднятие тяжестей);
· избыточный вес, который ведет к хроническим повышенным нагрузкам на все суставы, в том числе и на позвоночник;
· травмы, операции, нарушающие естественный баланс позвоночника;
· нарушения нормальной работы внутренних органов, ведущие к дегенеративным изменениям мышц, связок и костей;
Остеопатическое лечение направлено на устранение или коррекцию дисфункций опорно-двигательного аппарата и внутренних органов, которые способствовали появлению грыжи. Его конечная цель – восстановление нормального положения позвонков друг относительно друга, равномерной здоровой подвижности всех участков позвоночника, нормального функционирования сегментов, связанных с проблемной зоной и всего организма в целом. В ходе лечения снимается патологическое давление на межпозвонковый диск, убирается спазм мышц, снимется боль, восстанавливается кровообращение. Таким образом, работая с каждым пациентом по индивидуальному плану, врач создает условия для возникновения обратного процесса: уменьшения грыжи и регенерации хрящевой ткани.
3. Можно ли вылечить грыжу раз и навсегда?
Можно сделать все, что от вас зависит, чтобы проблема не возвращалась. Мы здесь выносим за скобки естественное старение и износ, хотя, при определенных усилиях, эти изменения также можно постараться уменьшить. Для этого необходимо соблюдение двух условий, одинаково важных для успешного результата. Первое – выполнить план лечения, назначенный врачом-остеопатом, с обязательным контролем результатов на снимках МРТ. Второе – исключить перегрузки, вызывающие патологическое изменение позвоночника, обеспечить себе ежедневную разумную двигательную активность.
Долгосрочный план сбалансированной физической нагрузки, направленной на поддержание гибкости позвоночника, здорового тонуса и эластичности окружающих мышц, на основании рекомендаций врача, поможет составить инструктор ЛФК или грамотный тренер по фитнесу.
4. Сколько времени занимает лечение грыжи?
В зависимости от стадии, на которой находится заболевание, лечение может длиться от нескольких недель до нескольких месяцев. Чтобы снять боль может потребоваться всего несколько посещений. Процедуры проводятся, как правило, не чаще 1 раза в неделю в начале курса и затем 1 раз в месяц в дальнейшем.
5. В каких случаях требуется операция?
Операция по поводу грыжи межпозвонкового диска – это удаление его разрушенной части, которая вышла за пределы «своего» пространства и давит на соседние нервные окончания, раздражая их и вызывая сильные боли. Оперативное вмешательство – крайняя радикальная мера, когда пациент и его лечащий врач находятся в уверенности, что по-другому эти боли снять невозможно, или при наличии грубых неврологических расстройств (паралич конечностей, внутренних органов).
Существует два крайних мнения, как среди врачей, так и среди пациентов, от «резать, не дожидаясь…» и до «оперировать грыжу – преступление», с множеством переходных вариантов. Сторонники позиции «резать» – как правило, любители быстрых решений, закрывающие глаза на возможные негативные последствия. Ведь операция решит главную заявленную проблему – снимет боль, а что будет через несколько лет, это уже как повезет. Противники операции приводят следующие аргументы. Во-первых, никто не застрахован от осложнений после операции на позвоночнике, вплоть до неудачных случаев с потерей подвижности конечностей. И пациент перед операцией расписывается, что он об этом предупрежден. Во-вторых, любая операция – это нарушение целостности организма, потеря возможности восстановления первоначальной здоровой структуры из-за неизбежных швов. Швы замещаются неэластичной соединительной тканью и в дальнейшем поддерживают постоянное натяжение окружающих тканей, препятствуя их нормальному функционированию. В-третьих, по разным оценкам до 70% пациентов снова обращаются с жалобами на ту же проблему. В-четвертых, операция не улучшает, а ухудшает гибкость позвоночника.
Почему неврологи чаще всего дают направление на операцию? Потому что в их арсенале есть только инструменты симптоматического лечения дегенеративных изменений позвоночника среднестатистического пациента. А накопленная статистика говорит о том, что в большинстве случаев пациенты предпочитают выпить обезболивающее и жить дальше в прежнем режиме, постепенно «доводя» свою грыжу до крайней стадии. Невролог не может провести необходимые манипуляции, потому что не владеет такой техникой, а пациент ленится регулярно ходить на занятия ЛФК (если еще его туда направят).
Почему другие специалисты (среди которых есть и неврологи, овладевшие искусством лечения руками) говорят, что нельзя оперировать грыжу? Потому что они обладают опытом и практическими навыками лечения таких пациентов и понимают, что операция в конечном итоге ведет к инвалидизации.
справочная информация
Межпозвонковый диск представляет собой хрящ, который выполняет функцию амортизатора, предохраняя позвонки от разрушения при вертикальной нагрузке. Эту функцию обеспечивает его строение: жидкостное (пульпозное) ядро внутри прочного фиброзного кольца. При длительной неправильной эксплуатации (нарушение кровообращения соседних структур, нефизиологичные ударные нагрузки, длительное перенапряжение) на фиброзном кольце появляются трещины, оно постепенно разрушается. Происходит выпячивание в направлении от центра позвоночного столба (протрузия), далее, фиброзное кольцо может разорваться, а пульпозное ядро – выйти наружу (грыжа). Позвонки образуют канал, в котором расположен спинной мозг. От спинного мозга отходят нервные корешки, которые выходят через межпозвонковые отверстия и иннервируют внутренние органы и конечности. Когда изменивший свою форму межпозвонковый диск начинает давить на нервные корешки, мозг получает сигнал боли. В зависимости от расположения проблемной зоны, боль проявляется в спине (шее), конечностях или спине и конечностях одновременно.
Мануальная терапия при грыже поясничного отдела позвоночника (и других отделов)
Грыжа межпозвоночного диска – распространенное заболевание, способное вызывать острые боли, провоцировать парез мышц, вызывать нарушения функционирования органов мочевыделительной системы и кишечника. Грыжа возникает тогда, когда фиброзное кольцо, окружающее межпозвоночный диск, разрывается и ядро диска смещается. Избежать подобных осложнений и улучшить самочувствие при грыже поясничного отдела позвоночника поможет проведение сеансов мануальной терапии.
Особенности лечения
Мануальная терапия – тип лечения заболеваний опорно-двигательного аппарата с применением различных техник ручного воздействия. Мануальный терапевт посредством ручного воздействия на организм человека способствует высвобождению нервных окончаний, ущемленных костными, хрящевыми структурами или мышцами. Это обеспечивает быстрое устранение болей в спине и улучшение общего самочувствия.
Для постановки точного диагноза необходимо сделать МРТ (магнитно-резонансную томографию) – это самый точный метод выявления грыжи межпозвоночного диска.

Лечение грыжи позвоночника мануальной терапией осуществляется посредством разных техник, в основе которых применяются:
- манипуляция – восстанавливает подвижность суставов за счет коротких толчкообразных движений;
- мобилизация – позволяет восстановить подвижность пораженного отдела позвоночника и освободить зажатые нервы посредством тракций. Это обеспечивает эффективное купирование болевого синдрома;
- постизометрическая релаксация (ПИР) – эффективный метод, чаще применяющийся для лечения поясницы и направленный на снятие мышечных спазмов, болей и нормализацию состояния связочного аппарата.
Чтобы подготовить мышцы и связки к процедуре, перед проведением мануальной терапии врач делает лечебный массаж пояснично-крестцовой области. Это поможет избежать травмирования мышц или суставов. Также для повышения результативности лечения врач может дополнить сеанс поверхностной рефлексотерапией, баночным или точечным массажем. При грыже поясничного отдела позвоночника в основном применяются щадящие методики мануальной терапии (мобилизация и ПИР).

Показания к мануальной терапии при грыже позвоночника
Процедура назначается пациентам, у которых по результатам МРТ обнаружены грыжевые выпячивания межпозвоночных дисков, а также остеохондроз. Показаниями для ее проведения служат:
- резкие боли в спине, отдающие в нижние конечности и усиливающиеся при движении и поднятии тяжести;
- гипертонус мышц пораженного участка;
- онемение или покалывание, а также слабость в нижних конечностях;
- проблемы с мочеиспусканием и потенцией.
При секвестрированных грыжах и в некоторых других случаях процедура не проводится, поскольку может вызвать серьезные осложнения. Только квалифицированный врач может правильно оценить результаты диагностических исследований, выявить противопоказания и выбрать комплекс наиболее эффективных техник воздействия.

Лечение грыжи позвоночника мануальной терапией дает выраженный обезболивающий эффект, способствует активному восстановлению хрящевой ткани и помогает вернуть межпозвоночным дискам нормальное положение. Мы предлагаем комплексный подход к лечению, высокую эффективность процедур, современное оборудование (Lojer Manuthera 242E), позволяющее проводить максимальное количество техник с удобством для пациента.
Получить консультацию по услуге или записаться на прием вы можете, заполнив форму на сайте или связавшись с администратором. Позаботьтесь о своем здоровье сейчас.
Мануальная терапия при грыже позвоночника

Грыжа межпозвоночного диска, или, как ее часто называют, грыжа позвоночника – это весьма распространенная патология, затрагивающая несколько аспектов здоровья пациента одновременно. Прежде всего, это заболевание причиняет пациенту сильную боль. Кроме того, оно способно повлечь за собой развитие многочисленных осложнений, среди которых можно выделить:
- уменьшение чувствительности мышц ягодиц, бедер, голеней;
- парез и полный паралич мышц нижних конечностей;
- различные нарушения функционирования органов малого таза.
В группе риска развития данной патологии находятся прежде всего пациенты со сколиозом и другими нарушениями осанки, ожирением, нехваткой в организме определенных витаминов и питательных веществ, а также пожилые люди, межпозвоночные хрящи которых могут подвергаться возрастным изменениям.
Как при грыже позвоночника может помочь мануальная терапия?
Некоторые пациенты считают мануальную терапию не более чем одним из различных видов массажа. Несмотря на внешнюю схожесть, мануальный терапевт работает совершенно по-иному. Его основная задача – как следует разогреть мышцы пациента в области воздействия, после чего он с помощью бережного надавливания старается устранить смещение «выскочившего» межпозвоночного диска и высвободить защемленные нервы, снимая боль.
Квалифицированный мануальный терапевт – а в нашем медицинском центре в Санкт-Петербурге пациентов принимают именно такие специалисты – не возьмет на себя ответственность за лечение необследованного пациента. Обязательно возьмите с собой на прием рентгеновский снимок причиняющего беспокойство отдела позвоночника! Грыжа должна быть видна на нем в нескольких проекциях.
Мануальная терапия – один из самых эффективных способов лечения грыжи шейного и поясничного отделов позвоночника. При этом начать лечение можно на любой стадии заболевания вне зависимости от того, насколько сильно выступает наружу фиброзное кольцо, окружающее межпозвоночный диск. Тем не менее, обратившись за помощью специалиста в самом начале заболевания, можно предотвратить его прогрессирование и развитие многочисленных осложнений. Не ждите, пока дискомфорт и боль станут невыносимыми – обращайтесь к нам!
Методы, которые мануальный терапевт использует при лечении пациента с грыжей
В зависимости от того, в каком отделе позвоночника локализована грыжа, и от причины ее развития, а также от наличия у пациента сопутствующих заболеваний, в каждом случае схема лечения разрабатывается индивидуально. При этом методы мануальной терапии – не единственный ее компонент. Лечение также предусматривает и внесение корректив в образ жизни пациента, и рекомендации по изменению его рациона, и подбор оптимально подходящей для него физической активности, и множество других, не менее важных, аспектов.
В большинстве случаев пациентам с межпозвоночной грыжей мануальный терапевт на первых сеансах бережно вытягивает позвоночник – это необходимо для высвобождения защемленных нервов и устранения болевого синдрома. После этого схема лечения пациента может корректироваться – в частности, специалист привносит в нее такие приемы мануальной терапии, которые способствуют регенерации разрушенных хрящевых и мышечных тканей.
Часто грыжа позвоночника является следствием наличия у пациента лишнего веса. В этом случае сделать лечение более эффективным поможет также использование иглорефлексотерапии, а также ЛФК и соблюдение диеты. Если деформация межпозвоночного хряща спровоцирована наличием у пациента нарушений осанки, то остеопатия и ношение специального корсета, поддерживающего корпус пациента в правильном положении, помогут достичь стойкого положительного результата.
Как это работает?
Положительный эффект от лечения грыжи позвоночника методами мануальной терапии основан на нескольких аспектах:
- прежде всего, это восстановление кровообращения в мышечных тканях, помогающих поддерживать анатомически правильное положение позвоночного столба;
- кроме того, под руками мануального терапевта «оживают» структуры, питающие хрящевую ткань и провоцирующие поступление в нее жидкости, кислорода, а также естественно вырабатываемого организмом коллагена;
- это способствует естественной регенерации тканей, в ходе которой важно своевременно принять меры для того, чтобы восстановленный межпозвоночный диск принял правильное положение.
Основным признаком того, что мануальная терапия действительно помогает устранить грыжу позвоночника, является устранение или хотя бы уменьшение выраженности спазмов и боли в пораженной области. Уже в ходе первого сеанса пациент должен ощутить замещающее их приятное тепло.
Результаты лечения грыжи мануальной терапией
Об эффективности лечения можно судить по наличию у пациента следующих изменений:
- уменьшение выраженности боли, а в дальнейшем – ее полное исчезновение;
- устранение гипертонуса и спазма мышц;
- восстановление нормальной подвижности позвоночника, нормализация походки пациента;
- по мере восстановления нормального кровообращения пораженной области - полное исчезновение резких, «простреливающих» болей.
По сути, мануальная терапия – это универсальная методика лечения межпозвоночной грыжи. Она работает в тех случаях, когда медикаментозное лечение неэффективно или по каким-то причинам невозможно. Курс у хорошего мануального терапевта во многих случаях позволяет избежать проведения хирургического лечения, возвращая суставам и костям здоровье без кардинальных мер.
Всегда ли можно делать мануальную терапию пациентам с грыжей?

Несмотря на то, что спектр преимуществ данной методики лечения необыкновенно обширен, у нее также есть и ряд противопоказаний. К ним прежде всего относятся:
Читайте также:
- Церебральная ангиография при субарахноидальном кровоизлиянии. Эффективность
- Тимпаногенные лабиринтиты. Причины тимпаногенных лабиринтитов
- Желудочковая экстрасистолия при алкоголизме. Нарушения проводимости у алкоголиков
- Синдром Розенберга—Хаториана: атрофия зрительных нервов, полинейропатия и глухота
- Колоректальный рак
