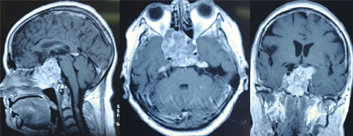
МРТ хордомы позвоночника
Добавил пользователь Евгений Кузнецов Обновлено: 02.11.2025
Хордома – достаточно редкое злокачественное новообразование, которое образуется из остатков хорды зародыша человека. Всегда располагается в районе позвоночника, либо в области черепа, либо в области крестца.
Опухоли, которые расположены в районе основания черепа, как правило обнаруживают в возрасте от 20-45 лет, а в районе крестца гораздо позже – от 45 до 60 лет. Заболеванию подвержены как мужчины, так и женщины, но сильный пол болеет чаще на 10-15%. Метастазирует хордома редко в случае, если метастазы все же идут, то на поздних стадиях заболевания. Злокачественность опухоли в большей степени из-за того, что хордома активно прорастает в близлежащие ткани и органы, а это приводит к рецидивам и повторным операциям.
Лечение
Лечение хордомы предусматривает полное хирургическое удаление злокачественного новообразования. Иногда проведение хирургической операции становится невозможным, из-за расположения опухоли вблизи критических структур организма — спинного и головного мозга. В таких случаях наибольшую эффективность в лечении хордом показывает применение радиохирургического метода на системе КиберНож.
Преимущество КиберНожа заключается в возможности подачи высоких доз ионизирующего облучения (хордомы, как правило, не поддаются лечению низкими полями радиационного излучения) с разных позиций точно в пределы новообразования. Применение химиотерапевтического лечения при хордомах, как правило, малоэффективно и зачастую назначается в составе комплексного лечения — до оперативного вмешательства, чтобы уменьшить объем новообразования, и/или после операции, если существуют для такого лечения показания.
Также при хордомах возможно применение высокоточной лучевой терапии IMRT, при которой в объем патологического очага доставляются высокие дозы ионизирующего излучения, способствующие уничтожению раковых клеток.
Диагностика
Для того, чтобы диагностировать хордому, проводится ряд исследований: пациенту проводят рентгенографию черепа либо крестцово-копчикового отдела позвоночника, в зависимости от места, в котором потенциально обнаружено злокачественное новообразование.
Для того, чтобы определить размер хордомы, проводят КТ и МРТ позвоночника и головного мозга. Для выявления очагов метастазирования в легких проводят КТ и рентгенографию грудной клетки.
Для окончательного диагноза проводят биопсию и гистологическое исследование частицы опухоли.
Симптомы хордомы
Учитывая, что хордома может локализоваться на различных участках позвоночника, симптомы также могут отличаться в зависимости от локации.
Для хордом расположенных в зоне основания черепа, характерны следующие симптомы:
- полное изменение голоса, афония
- нарушение глотания
- нарушение ритма дыхания
- нарушения зрения
- нарушение сердечной деятельности
- при метастазировании в легкие возможно кровохаркание, кашель с кровью, отдышка.
Для хордом, которые находятся в зоне крестца, характерны следующие симптомы:
- слабость, понижение чувствительности, нижних конечностей
- сбой работы тазовых органов
- при метастазировании в печень могут возникнуть гепатомегалия и асцит.
Также есть симптомы, характерные для хордом обоих типов:
- боли в месте локализации хордомы
- потеря веса до 10-15 кг без усилий со стороны пациента – занятий спортом, диет
- потеря аппетита, отказ от пищи
- постоянная слабость
- быстрые смены настроения
- депрессии
- гипертермия – в месте поражения температура тела может подниматься до 37-39 градусов.
Важно обратить внимание на такие общие для многих злокачественных новообразований симптомы, как потеря веса, потеря аппетита, быстрая утомляемость или хроническая усталость и повышенная температура без видимых причин. Успешность лечения зависит от того, насколько быстро пациент получит квалифицированную медицинскую помощь. Не откладывайте визит к врачу, если у себя или близких появятся вышеперечисленные симптомы.
Хордомы основания черепа
Причины возникновения хордом основания черепа
Как уже было ранее описано, хордомы берут начало от клеток хорды, эмбриональной структуры, дающей начало позвоночному столбу. Обычно большая часть хорды исчезает, когда плод достигает 8 недель, в то время как оставшиеся клетки становятся частью костей черепа и позвоночника. На данный момент пока не ясно, почему клетки хорды иногда преобразуются в раковые клетки.
Симптомы хордом основания черепа
Симптомы хордомы основания черепа зависят от расположения новообразования и стадии его роста. В связи с его медленным развитием, этот тип опухоли обычно проявляется при достижении крупных размеров или при нахождении в необычных позициях. Именно по причине его развития и распространения в различных областях выявление симптомов затруднено. В случае Хордомы основания черепа можно встретить следующие симптомы: Диплопия Боль в области лица Боль в области шеи Головная боль Затрудненное глотание Чувствительность лица Боль в области затылка или за глазницами Дисфония Изменения поля зрения Гипоакузия Атаксия Головокружение Поскольку речь идет об опухоли с медленными темпами развития, между появлением симптомов и постановкой диагноза обычно проходит примерно 15 месяцев.
Диагностика хордом основания черепа
Затруднения при постановке диагноза в случае хордомы основания черепа вызваны тем, что симптомы данного заболевания являются смежными с другими патологиями. Поэтому необходимо применить комплексный подход, включающий оценку различных специалистов - неврологическую, нейро-офтальмологическую, оценку ЛОРа и радиологические исследования. Нейрологические исследования призваны выявить: Повреждения ствола мозга Повреждения черепных нервов Нейро-офтальмологическое обследование включает: Проверку остроты (качества) зрения Проверку поля зрения Проверку движений глазного яблока для определения степени сдавленности органов зрения и черепных нервов. Оценка ЛОРа необходима при: Проблемах с глотанием Изменениях голоса Радиологические исследования включают: МРТ (магнитно-резонансная томография) с контрастным веществом МРТ (магнитно-резонансная томография) всего позвоночника КТ (компьютерная томография) В некоторых случаях врач может назначить: МР-ангиографию КТ-ангиографию Гистологические анализы Ангиографию сосудов головного мозга Биопсию Эти исследования позволяют установить точный диагноз. Выбор того или иного исследования остается за врачом.
Лечение хордом основания черепа
Хордома основания черепа известна как одна из наиболее трудно излечимых доброкачественных опухолей как по причине ее расположения, так и вследствие склонности к рецидивам. Лечение часто требует комплексных процедур: удаление опухоли производится хирургическим путем, однако часто полное удаление затруднено по причине захвата костной ткани. Поскольку в связи с этим данный тип опухоли имеет склонность к повторному появлению, после хирургии показано лечение посредством радиотерапии с использованием протонов или ионов углерода.
Обзор онкологических заболеваний хордомы
Наверняка Вы задаётесь вопросом: что же теперь делать?
Подобный диагноз всегда делит жизнь на «до» и «после». Все эмоциональные ресурсы пациента и его родных брошены на переживания и страх. Но именно в этот момент необходимо изменить вектор «за что» на вектор «что можно сделать».
Предлагаем Вашему вниманию краткий, но подробный обзор одной из разновидностей опухолей головного мозга.
Ежегодно в России выявляют более 8 тысяч новых заболеваний опухолей мозговой оболочки, головного и спинного мозга и других частей центральной нервной системы. Почти такое же количество граждан умирает от данных локализаций.
Филиалы и отделения, где лечат хордомы
МНИОИ им. П.А. Герцена – филиал ФГБУ «НМИЦ радиологии» Минздрава России.
Отделение нейроонкологии
Заведующий – к.м.н. ЗАЙЦЕВ Антон Михайлович
Отдел лучевой терапии
Заведующий - д.м.н. ХМЕЛЕВСКИЙ Евгений Витальевич
Тел: 495 150 11 22
МРНЦ им. А.Ф. Цыба – филиал ФГБУ «НМИЦ радиологии» Минздрава России.
Отделение протонной и фотонной терапии
Заведующий – д.м.н. ГУЛИДОВ Игорь Александрович
Тел: 8 (484) 399 31 30
Хордомы (ХД)
Хордомы (ХД) и хондросаркомы (ХС) являются редкими опухолями, разрушающими основание черепа. Лечение хордомы и хондросаркомы – и сложная проблема из-за вовлечения в процесс деликатных нервных и сосудистых структур, а также из-за высокого уровня рецидивов после хирургического удаления. Хордома – гистологически доброкачественная опухоль мозга, была впервые описана Вирховым еще в 1856 г. Хордома локализуется преимущественно в крестцово-копчиковом сегменте позвоночника или же в затылочно-базилярной области черепа. Кости черепа поражаются редко, примерно в 0.1-0.2% всех случаев внутричерепных опухолей, а чаще всего эти опухоли развиваются в других костях скелета. Хордомы встречаются с одинаковой частотой у мужчин и женщин, обычно между 5-м и 6-м десятилетием жизни. Как правило, клиника хордомы обусловлена поражением нервов, возникающим при росте опухоли. Хордомы основания черепа не имеют специфической симптомов, но наиболее часто встречаются диплопия, головные боли, тригеминальная невралгия. Типичная локализация хордомы – скат затылочной кости, верхушка пирамидки височной кости и Мекелева ямка. Лечение хордомы преимущественно хирургическое, необходимо полное иссечение опухоли вместе с капсулой; лучевая терапия (Кибер-нож) может быть применена на втором этапе лечения.
Хондросаркомы (ХС) – злокачественные хрящевые опухоли, встречаются еще реже (примерно в 0.02% внутричерепных опухолей). Значительно чаще они поражают длинные кости скелета. Мужчины болеют в 3 раза чаще женщин. Заболевание развивается обычно в конце 4-го десятилетия жизни. Наиболее частые симптомы – головная боль, парезы черепно-мозговых нервов, снижение слуха, нарушение походки. Типичная локализация – петрокливальная область и вдоль каменисто-затылочной щели. Ранее доминировавшая тактика первоначального хирургического лечения с последующим наблюдением, в последнее десятилетие уступила место практике сочетания хирургии с последующим облучением, для которого используется фракционированное фотонное или протонное облучение, в том числе Кибер-ножом.
Концепция, которой придерживаются большинство специалистов, заключается в первоначальной максимально возможной резекции опухоли, но с обеспечением защиты сосудистых и нервных структур. Последующее облучение должно быть максимально конформным, для уменьшения вероятности лучевого повреждения прилежащих структур. Учитывая тот факт, что средняя продолжительность безрецидивного периода после операции составляет менее 6 месяцев, оптимальное время для лучевой терапии – через 2-3 месяца после хирургического удаления опухоли. Обусловлено это тем, что в более ранние сроки, в области оперативного вмешательства, имеется значительное количество артефактов, затрудняющих разграничение опухоли и здоровых структур по данным МРТ.
Филиалы и отделения, в которых лечат опухоли головного и спинного мозга, а также отделы центральной нервной системы
ФГБУ «НМИЦ радиологии» Минздрава России обладает всеми необходимыми технологиями лучевого, химиотерапевтического и хирургического лечения, включая расширенные и комбинированные операции. Все это позволяет выполнить необходимые этапы лечения в рамках одного Центра, что исключительно удобно для пациентов.
Хордома

«В онкологическом центре TomoClinic лечат и такое редкое заболевание. Хордома — это всего 3% от всех опухолей позвоночного столба. Новообразование серо-желтое и окружено капсулой, возникает по причинам нарушения генетики, физической нагрузки и наследственных болезней костей, а также вследствие того, что беременная женщина пострадала от радиоактивного облучения».
Наталия Серегина Заведующая лечебным отделением, врач-радиолог (лучевой терапевт) высшей квалификационной категории TomoClinic
Что такое хордома?
Хордома — опухоль злокачественного характера, которая образуется из остатков хорды эмбриона (нотохорды). Нотохорда — это временный скелет, который присутствует у зародыша. В период внутриутробного развития происходит формирование постоянного позвоночника, но частицы нотохорды могут остаться в организме. Из клеток нотохорды образуется хордома.
Основными местами локализации новообразования являются основание черепа и область крестца. Развитие хордомы в крестцовом отделе встречается чаще у пациентов в возрасте 60 лет, а опухоль затылочной части — у молодых и среднего возраста пациентов. Около 15% случаев развития хордомы локализуются в других частях позвоночного столба. Злокачественное образование преимущественно поражает мужчин, реже — женщин.
Виды хордомы
- классическая;
- хондроидная;
- дифференцированный вид.
Классическая хордома — наиболее распространенный вид заболевания. Опухоль встречается в более 70% случаев диагностирования хордомы. Имеет форму узла, окруженного специальной капсулой. Опухоль характеризуется инфильтративным ростом, что означает размытость четких границ новообразования.
Классическая хордома отличается агрессивным течением, склонна к прорастанию в окружающие ткани с последующим разрушением. Для классической хордомы характерно большое количество сосудов, располагающихся в строме опухоли. В разрезе новообразование имеет желто-серый цвет. Такой вид опухоли имеет три степени развития.
Хондроидная опухоль диагностируется в 20% случаев от общего числа хордом. Новообразование преимущественно имеет благоприятный прогноз, встречается в основном у особей женского пола. Хондроидная хордома характеризуется менее агрессивным ростом, нежели классический вид злокачественного новообразования. Опухоль имеет вид хрящевой ткани.
Дифференцированный вид опухоли диагностируется всего в 3% случаев заболевания. Является наиболее опасным и требует ранней диагностики. Отмечается агрессивный и ускоренный рост опухоли, склонность к метастазированию, в первую очередь поражает лимфатические узлы с дальнейшим распространением на отдаленные органы (печень, легкие, головной мозг).
Симптомы хордомы
Основные проявления и симптомы хордомы зависят от места локализации злокачественного новообразования, размера, стадии и поражения соответствующих нервов. Опухоль развивается медленно, поэтому первые симптомы возникают лишь спустя некоторое время.
Развитие опухоли в головном мозге сопровождается:
- дизартрией (нарушением произношения, возникающим в результате поражения центральной нервной системы; наблюдается изменение голоса, он становится более слабым);
- нарушением дыхания;
- проблемами с глотанием;
- сбоями в работе сердца, развитием патологий сердечно-сосудистой системы;
- нарушением остроты зрения, глаукомой (нарушение зрения, вызванное сдавлением зрительного нерва растущей опухолью).
При развитии опухоли в области крестца наблюдается:
- боль в спине, области органов малого таза (болевые ощущения вызваны давлением опухоли на органы малого таза, сдавливанием нервных окончаний);
- половая дисфункция;
- нарушение функционирования органов малого таза (дисфункция кишки, мочевого пузыря);
- общая слабость, онемение конечностей (руки, ноги).
Диагностика хордомы
Первично вызвать подозрение на хордому может осмотр врача-невролога. Выслушав жалобы и изучив их, врач проводит исследование рефлексов и чувствительности. По результатам обследования назначаются дополнительные диагностические процедуры.
Методы диагностики хордомы:
- Анализ крови и мочи. Общий анализ проводится для оценки состояния пациента в зависимости от показателей. Также общий и биохимический анализ крови при хордоме проводится перед хирургическим вмешательством.
- Рентгенография. В зависимости от локализации опухоли может быть назначена рентгенография черепа или рентген крестцово-копчикового отдела позвоночника. По результатам снимка определяют участки разрушенной ткани, костные дефекты, возникшие перегородки. При развитии опухоли в черепе рентгенография определяет разрушение клиновидной кости.
- Компьютерная томография. Исследование назначается при хордоме в черепе или крестцовом отделе. Компьютерная томография дает возможность подтвердить наличие опухоли, а также оценить размеры, форму, структуру и распространение.
- Магнитно-резонансная томография. Обследование проводится при любом расположении хордомы, но максимально точным является при диагностике опухоли, локализованной в головном мозге. МРТ позволяет определить размер, структуру, форму и распространение хордомы. Важным преимуществом магнитно-резонансной томографии является оценка взаимоотношения опухоли с мозгом и питающими сосудами.
- Ангиография. Исследования сосудов проводится с целью определения их общего состояния и вовлечения в опухолевый процесс.
- Биопсия. Метод исследования, при котором проводится забор частиц опухолевой ткани для дальнейшего гистологического исследования. Лабораторное исследование клеток новообразования позволяет определить характер опухоли и стадию развития.
Лечение хордомы
Лечение опухоли подразумевает два основных метода:
Хирургический метод лечения самостоятельно применяется в редких случаях, когда клиническая ситуация позволяет провести полную резекцию опухоли вместе с капсулой. Но из-за труднодоступного места расположения и больших размеров новообразования полноценное удаление опухоли проводится крайне редко. Для полного иссечения требуется операция, которую опасно проводить из-за высокого риска повреждения жизненно важных структур головного мозга.
Распространенным методом терапии является частичное иссечение опухоли. Паллиативная операция (удаление доступной части новообразования) позволяет улучшить качество жизни пациента, несколько уменьшая сдавливание нервных структур. В комплексе с частичным иссечением хордомы применяется лучевая терапия.
Хордома
Хордома редкая и агрессивная злокачественная опухоль, чаще всего черепа и позвонков. Отдельным новообразованием хордому признали только в 2000 году, а впервые описали в начале прошлого века, с того времени она считалась вариантом костной саркомы. Злокачественное новообразование развивается из у одного из миллиона человек, хордому сложно обнаружить и очень непросто лечить.


Причины
Хордома берет начало из клеток спинной струны зародыша — нотохорды, аналогичной хорде у животных и тоже поддерживающей зародышевый скелет. К концу второго месяца беременности нотохорда исчезает, но в организме могут оставаться её клетки, как правило, в затылочной области и позвонках, предполагается, что при неблагоприятном стечении биологических обстоятельств именно они становятся хордомой.
Примечательно, что у детишек опухоль развивается очень редко — не более 10% от всех случаев, у пожилых встречается вдвое реже. Преимущественно новообразование находят у , то есть на злокачественное перерождение клеткам нотохорды отводится несколько десятилетий.
Хордома входит в группу костных сарком, предполагают, что она может развиться после радиоактивного облучения или длительного контакта с вредными химическими агентами, но доказательств этого пока не обнаружено.
Не отслеживается передачи заболевания по наследству, хордома возникает сама по себе — спонтанно из «спящих» остатков нотохорды.
В клетках хордомы находят обильные и разнообразные хромосомные нарушения. Точно известно, что поводом для развития злокачественной опухоли из оставшихся с зародышевого периода клеток нотохорды становятся генетические аномалии, в результате которых в белке brachyury (короткий хвост, если переводить дословно) изменяется положение одного из 436 нуклеотидов. Нормальный белок brachyury отвечает за подвижность клеток и формирование межклеточных связей, поломка в нём пятикратно повышает вероятность озлокачествления клеток нотохорды.
Все хордомы агрессивны, но по клеточной — морфологической структуре их разделяют на три типичных варианта:
- классическая хордома самая частая — семь из десяти случаев, причём этот тип имеет разную агрессивность, поэтому дополнительно различают классическую высокой дифференцировки, то есть относительно доброкачественно текущую, средней и самую злую — низкодифференцированную;
- хондроподобная — каждый четвёртый клинический случай, под микроскопом схожа с хрящевыми новообразованиями;
- недифференцированная — самая редкая, едва ли 5% случаев, но самая агрессивно текущая — бурно растущая, рано и обильно метастазирующая.
Внешне опухоль довольно мягкая, покрыта капсулой, а внутри разделена на дольки.
Стадирование по классификации TNM проводится как при костных саркомах.

В группу костных сарком объединено три десятка разнообразных и внешне похожих опухолей, требующих неодинаковых лечебных подходов. Отличить одно новообразование от другого и провести правильное лечение под силу только высокоспециализированной клинике с большим опытом работы, и Международная клиника Медика24 отвечает этим требованиям.
Мы вам перезвоним
Симптомы
Клинические проявления хордомы обусловлены её расположением и синтезом клетками биологически активных продуктов. Локализация новообразования «отвечает» за местные симптомы: интенсивность и время появления боли, выраженность деформации, сдавление и прорастание окружающих анатомических структур. В большинстве случаев опухоль поражает основание черепа — у места его соединения с шейными позвонками, реже располагается в верхних отделах позвоночника.
При сдавлении нервных стволов, в том числе спинного мозга, появляется постоянная боль и разнообразные неврологические симптомы ниже места расположения опухоли, как двигательные, так и изменения чувствительности.
При хордоме основания черепа, кроме хронической головной боли, превалируют нарушения, обусловленные травмой выходящих через черепные отверстия нервов. Может измениться голос, нарушиться глотание, увеличения объема опухоли и сдавления внутренней ветви яремной вены повышается внутричерепное давление с головокружениями и рвотой при изменении положения головы, двоением в глазах, заторможенностью.
При хордоме позвоночника с вовлечением спинномозгового канала развиваются прогрессирующие до паралича парезы, фактически лишающие больного способности двигаться, а первыми симптомами могут быть нарастающая эректильная дисфункция, онемение кожи или ползание «мурашек», извращение чувствительности — гиперестезии.
Выработка злокачественными клетками веществ приводит к системному изменению метаболизма, что проявляется хронической анемией, образованием тромбов, сбоем иммунитета. Нарастающая опухолевая интоксикация, повышение внутричерепного давления с периферическими неврологическими симптомами сопровождаются снижением веса и формированием синдрома .
В большинстве случаев ведущая жалоба, заставляющая обратиться за медицинской помощью — боль и неврологические проявления.
Диагностика
В большинстве случаев поводом для обследования становятся жалобы пациента на головные боли или неврологические нарушения. Ведущий метод диагностики — МРТ с контрастированием, достаточно точно характеризующая внутреннее строение новообразования и взаимоотношения с окружающими структурами.
Биопсия желательна, но не всегда возможна при опухоли основания черепа. Предпочтительна трепанобиопсия — пункция специальной толсто иглой, как запасной вариант — открытая биопсия во время операции.
Для клеток хондромы характерно присутствие белка brachyury, который обнаруживается при ИГХ анализе в биопсированной или удаленной опухоли. При ИГХ с помощью антител в опухолевых клетках обнаруживают цитокератины. Эти дополнительные морфологические характеристики позволяют поставить точный гистологический диагноз, но, к сожалению, пока не ясно их практическое, для подбора оптимальной терапии, и прогностическое значение.
Методы лечения
Ведущий метод лечения злокачественных новообразований костей — хирургический, но при хордоме операция не всегда возможна типичной локализации в основании черепа, где располагается отвечающий за жизненно важные функции продолговатый мозг и проходят нервы, в том числе блуждающий нерв. Чувствительность к лучевой терапии и противоопухолевым лекарствам оставляет желать лучшего, тем не менее, хирургическая резекция опухоли должна дополняться локальным облучением зоны операции.
Достигнут нейрохирургический консенсус по объему удаляемых опухолевых тканей: резецируется максимальный объем опухоли при прогнозировании минимальных послеоперационных неврологических последствий, что технически выполнить очень и очень сложно. При возможности новообразование удаляют за один раз, если не получается сразу, то прибегают к поэтапной операции.
При неоперабельной хордоме используется стереотаксическая лучевая терапия, дополняемая химиотерапией с применением таргетных препаратов. Экспериментальные исследования показали хорошую чувствительность хордомы к фотодинамической терапии.
Комбинированное лечение с применением радикальной хирургии и послеоперационного облучения результативнее химиолучевой терапии, тем не менее таргетные препараты хоть и редко приводят к полной регрессии новообразования, но повышают пятилетнюю выживаемость при хордоме до 65%.
Читайте также:
