МРТ при адгезивном арахноидите
Добавил пользователь Валентин П. Обновлено: 15.12.2025
МР проявления арахноидита неспецифичны. Наблюдается неравномерность субарахноидальных щелей по конвексу с кистозными расширениями либо их отсутствие обычно на фоне того или иного увеличения желудочков мозга.
Адгезивный процесс в спинном мозге вызывает утолщение и спаивание корешков конского хвоста, что лучше выявляется на Т1 -взвешенных томограммах. Послеоперационные изменения приводят к деформации контуров спинного мозга, изменению его формы и расположения в просвете позвоночного канала. При поствоспалительных арахноидитах отмечается расширение субарахноидальных пространств и атрофическое истончение спинного мозга . На этом фоне, особенно на Т2-взвешенных МРТ, в субарахноидальном пространстве демонстрируются зоны снижения сигнала (на фоне высокого сигнала от ЦСЖ) неправильной формы, что обусловлено нарушением ламинарного тока ЦСЖ. Последнее может быть связано с наличием спаек в субарахноидальном пространстве, вызывающих нарушение движения ЦСЖ.
Юлия Витальевна, вполне может быть и достаточно, это уже должен решать лечащий невролог, сопоставив данные исследования с клиникой, анамнезом и физикальным исследованием пациента, кроме того, может потребоваться консультация других узких специалистов и дополнительная диагностика. Суждение об истинном арахноидите лишь на основании морфологических изменений, выявляемых на МРТ исследовании без учета особенностей клинической картины и течения заболевания, неправомерно.
Задайте свой вопрос по неврологии
профессионалам
Другие вопросы на эту тему:
Менингиома
Кавинтон
В клинике ввели очень быстро препарат кавинтон 2 мл, около 100 капель в минуту. После сеанса мануальной терапии наблюдаются сильные головные боли. Может ли это все влиять на возникновение сильных гол. болей.
Боли в копчике
Добрый день! Ситуация такая : в апреле 2017 года начались боли в копчике. На копчик не падала, ударов не было. Боли наблюдаются только в двух положениях : сидя откинувшись назад и лёжа на спине. Также боль при пальпации самого копчика. Боль меняется по характеру от лёгкой до средней. В ноябре обратилась к врачам:был сделан рентген в двух плоскостях, заключение :костной патологии не выявлено. Хирургом назначено лечение, физиопроцедуры — магнитолазер…
Мексидол
Здравствуйте! Подскажите, пожалуйста, можно ли колоть Мексидол при давлении 100/60? У мужа наблюдаются своего рода приступы, при этом понижается давление, возникает упадок сил и боль в грудном отделе, учащенный пульс. Делали УЗИ сердца без патологии. МРТ головного мозга тоже все норме. Скорая колола Диклофенак и Мексидол. Может стоит проверить сосуды головного мозга (МРТ)?
Цитофлавин
Здравствуйте мне 45 лет , врач мне назначил цитофлавин, это лекарство я принимаю впервые , сделали 3 капельницы , стало плохо ( сонливость , першение в горле , и головная боль , скачки давления и пульса ) . Мой диагноз : ЧМТ,( Кистозно-слипчивый церебральный арахноидит , был в1982 году , после сотрясения мозга ). А сейчас мучают головные боли , болит по два , три дня , давление и пульс скачет . Скажите пожалуйста , может мне не подходит это лекарство , потому что, я ставила венпоцетин , состояние было нормальное , после него.
Магнитно-резонансная томография спинального арахноидита
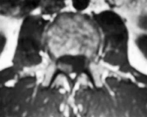
МРТ поясничного отдела позвоночника. Аксиальная Т2-взвешенная МРТ. Адгезивный арахноидит (красные точки, ликвор показан желтой точкой).
Арахноидит – это обобщенный термин, под которым понимают воспаление оболочек и субарахноидальных пространств. Этиология арахноидита может быть инфекционная (бактериальная, вирусная, грибковая, паразитарная) и неинфекционная (асептическое возпаление после операции, кровоизлияния или субарахноидального введения препарата). Классические признаки арахноидита при МРТ позвоночника – утолщение и слипание корешков, блокада субарахноидальных пространств, «пустой» дуральный мешок хорошо видны при миелографии и КТ-миелографии. Методом выбора, безусловно, служит МРТ поясничного отдела позвоночника, так как она рутинно не требует интратекального введения контрастирующего вещества. Хотя, методика МРТ с интратекальным контрастированием предлагалась (Tali E.T.et al.,2002; Munoz A.et al., 2007), она не нашла многочисленных последователей. Главной проблемой при МРТ в СПб с нашей точки зрения состоит не только в диагностике арахноидита, но и попытке понимания его этиологии и дифференциальнной диагностике с лептоменингеальным метастазированием. Это эффективно осуществляется нами в закрытом и в открытом МРТ.
В ранние послеоперационные сроки при МРТ позвоночника типична «размытость» корешков конского хвоста. Ни в одном из наших наблюдений мы не видели высокого сигнала от ликвора на Т1-взвешенных МРТ. Этот МРТ признак характерен для инфекционных процессов и отражает повышение содержания белка в ликворе. В поздние сроки после операции при МРТ позвоночника наблюдается адгезия корешков конского хвоста по периферии дурального мешка, либо их слипание в единый ствол, что на Т2-взвешенных МРТ напоминает утолщение конечной нити. Контрастное усиление при МРТ с введением гадолиния отмечается у единичных пациентов, причем слабое и по типу подчеркивания границ корешков. Известно, что линейный тип контрастировали при МРТ, наряду с узловым, может быть при инфекционных процессах, однако контрастирование более выражено. Узловой и диффузный тип контрастировали при МРТ позвоночника, а также утолщение оболочек, встречаются при инфекционном арахноидите и карциноматозном менингите.
Таким образом, послеоперационный арахноидит имеет характерные черты при МРТ. Появление нетипичных признаков, таких как повышение сигнала от ликвора на Т1-взвешенных МРТ, утолщение и выраженное контрастирование оболочек должно вызывать настороженность в плане инфекционной этиологии процесса.
МРТ поясничного отдела позвоночника. Сагиттальная Т1-взвешенная томограмма. “Слипание” корешков конского хвоста.

МРТ поясничного отдела позвоночника. Аксиальная Т1-взвешенная томограмма. “Слипание” корешков конского хвоста.
Арахноидит на МРТ
Арахноидит — это воспаление паутинной (арахноидальной) оболочки, расположенной между твердой и мягкой мозговыми оболочками, покрывающими головной и спинной мозг. Арахноидит относится к аутоиммунным заболеваниям, поскольку его развитие нарушает нормальное функционирование центральной нервной системы.
Причины арахноидита

Данное заболевание является следствием инфекций — как общих, так и очаговых (например, придаточных пазух носа или слуховых проходов) — часто данное заболевание развивается на фоне острого или хронического отита, особенно если он протекает в осложненной форме. Арахноидит может появиться на фоне воспалительного процесса при энцефалите или постепенно прогрессирующих опухолях.
Часть причин, вызывающих данное заболевание, остается невыясненной.
Факторами, способствующими развитию арахноидита, являются:
- хронические стрессы и переутомления;
- интоксикации различного характера (химические, алкогольные);
- тяжелый физический труд, осложненный неблагоприятными климатическими условиями;
- частые ОРВИ.
Симптомы арахноидита
При арахноидите паутинная оболочка мозга утолщается, иногда при этом наблюдаются наложения фибриновых волокон. При дальнейшем развитии заболевания между паутинной и сосудистой оболочками могут появляться спайки, что приводит к образованию между ними арахноидальных кист.
Диагностика арахноидита
Чтобы своевременно принять меры, необходимо провести МРТ головного мозга или МРТ спинного мозга. В ряде случаев наиболее информативным исследованием будет МРТ ЦНС, которая позволит в комплексе изучить не только области, в которых локализовано заболевание, но и окружающие их структуры.
Опытные врачи

Врач высшей категории

Пашкова Анна Александровна
Кандидат медицинских наук



Александров Тимофей Александрович

Томограф экспертного класса

- Напряженность магнитного
поля — 1,5 Тл (высокопольный) - Высокое качество изображения
- Тонкие срезы
- Все виды МРТ-исследований
Как проходит процедура МРТ-исследования
Запись исследования на ваш выбор*| на диск | на пленку | на флешку |
Частые вопросы о МРТ-исследованиях

Артефакты (от лат. artefactum) - это погрешности, допущенные человеком, в процессе исследования. Артефакты значительно ухудшают качество изображения. Существует обширная группа физиологических (другими словами, относящихся к поведению человека) артефактов: двигательные, дыхательные, артефакты от глотания, моргания, случайных неуправляемых движений (тремор, гипертонус). Все артефакты, связанные с человеческим фактором, легко преодолеваются, если человек в процессе исследования полностью расслаблен, дышит ровно и свободно, без глубоких глотательных движений и частых морганий. Однако в медицинской практике нередки случаи использования легкого наркоза.
Магнитно-резонансная томография не имеет возрастных ограничений, поэтому ее можно проводить детям с самого рождения. Но ввиду того, что во время процедуры МРТ необходимо соблюдать неподвижность, обследование маленьких детей проводится в условиях анестезиологического пособия (поверхностного наркоза). В нашем центре исследование под наркозом не осуществляется, поэтому мы обследуем детей исключительно с семилетнего возраста.
Все противопоказания к проведению МРТ можно разделить на абсолютные и относительные.
Абсолютными противопоказаниями к проведению МРТ являются следующие особенности пациента: наличие у него кардиостимулятора (водителя ритма сердца) и других вживляемых электронных устройств, присутствие ферримагнитных (железосодержащих) и электрических протезов стремечка (после реконструктивных операций на среднем ухе), гемостатических клипс после операций на сосудах головного мозга, брюшной полости или легких, металлических осколков в области глазницы, крупных осколков, дроби или пуль вблизи сосудисто-нервных пучков и жизненно важных органов, а также беременность до трех месяцев.
К относительным противопоказаниям относятся: клаустрофобия (боязнь замкнутого пространства), наличие в теле пациента массивных не ферримагнитных металлических конструкций и протезов, наличие ВМС (внутриматочной спирали). Кроме того, все пациенты с магнитосовместимыми (не ферримагнитными) металлическими конструкциями могут обследоваться только по прошествии месяца после проведенного оперативного вмешательства.
Направление врача - необязательное условие посещения центра МРТ. Нам важна Ваша забота о своем здоровье, согласие на проведение обследования, а также отсутствие противопоказаний для проведения МРТ.
Любому человеку знакома головная боль, но если она повторяется подозрительно часто, безусловно, это нельзя оставить без внимания. Мы рекомендуем пациенту с сильными головными болями пройти МРТ головного мозга и его сосудов. В отдельных случаях этого может быть недостаточно, потому как не всегда причина головных болей связана именно с патологией головного мозга. Головные боли могут быть следствием шейного остеохондроза, поэтому наши специалисты дополнительно советуют пройти МРТ шейного отдела позвоночника и сосудов шеи.
Средняя продолжительность одного исследования в нашем центре составляет от 10 до 20 минут, однако, все зависит от выявленных изменений: иногда для уточнения заболевания врач-рентгенолог может расширить протокол исследования и прибегнуть к использованию контрастного усиления. В таких случаях время исследования увеличивается.
Магнитно-резонансная томография – это полностью безвредный и безопасный метод лучевой диагностики. В основе получения изображения МРТ отсутствует ионизирующие излучение, свойственное методу компьютерной томографии (КТ). Но существуют противопоказания, с которыми необходимо ознакомиться, перед тем как записаться на обследование.
Абсолютным противопоказанием к МРТ является беременность до трех месяцев. При подозрении на ургентные (угрожающие жизни) заболевания женщины решение о проведении МРТ в ранние сроки беременности принимает врач-гинеколог.
В нашем центре можно пройти МРТ во время беременности во втором и третьем триместре – для этого необходимо предоставить направление от лечащего врача, назначившего МРТ, а также справку от акушера-гинеколога о том, что проведение магнитно-резонансной томографии разрешено.
Клинический случай формирования адгезивного арахноидита на фоне эпидурального фиброза как причина повторных хирургических вмешательств
В работе представлен редкий клинический случай адгезивного арахноидита, развившегося на фоне эпидурального фиброза при повторных хирургических вмешательствах. Рубцово-спаечный процесс в эпидуральном пространстве формируется в 100 % случаев после хирургического вмешательства и является частой причиной интраоперационных осложнений при повторных хирургических вмешательствах (кровотечение, повреждение спинного мозга и твёрдой мозговой оболочки с последующим истечением спинномозговой жидкости) и, следовательно, неудовлетворительного результата хирургического лечения с формированием постоянных болей разной степени интенсивности, псевдоменингоцеле, спаечного арахноидита и т. д. Рубцово-спаечный процесс в эпидуральном пространстве является основной причиной развития синдрома неудачно оперированного позвоночника (FBSS), который сегодня является важной и нерешённой проблемой в хирургии позвоночника. В рубцово-спаечный процесс может вовлекаться как эпидуральное, так и субдуральное и субарахноидальное пространство оперированного позвоночно-двигательного сегмента позвоночного канала, что показано на нашем клиническом примере. В связи с этим важно проводить профилактику развития рубцово-спаечного процесса в эпидуральном пространстве при первичных операциях на позвоночнике, так как с увеличением продолжительности жизни населения и увеличением хирургической активности при операциях на позвоночнике пациент может быть оперирован неоднократно. Следовательно, встаёт вопрос о проведении профилактики формирования рубцово-спаечного процесса в 100 % случаев при каждом хирургическом вмешательстве, так как сформированный рубцово-спаечный процесс в эпидуральном пространстве не имеет эффективных методов консервативного и хирургического лечения и ухудшает благоприятные и удовлетворительные прогнозы оперативного лечения при повторных хирургических вмешательствах.
Ключевые слова
Об авторах
Животенко Александр Петрович – младший научный сотрудник научно-клинического отдела нейрохирургии
664003, г. Иркутск, ул. Борцов Революции, 1
ФГБНУ «Иркутский научный центр хирургии и травматологии»; Иркутская государственная медицинская академия последипломного образования – филиал ФГБОУ ДПО «Российская медицинская академия непрерывного профессионального образования» Минздрава России
Россия
Сороковиков Владимир Алексеевич – доктор медицинских наук, профессор, директор; заведующий
кафедрой травматологии, ортопедии и нейрохирургии
664003, г. Иркутск, ул. Борцов Революции, 1
664049, г. Иркутск, Юбилейный, 100
ФГБНУ «Иркутский научный центр хирургии и травматологии»
Россия
Кошкарёва Зинаида Васильевна – кандидат медицинских наук, заведующая научно-клиническим отделом нейрохирургии
664003, г. Иркутск, ул. Борцов Революции, 1
Список литературы
1. Животенко А.П., Кошкарева З.В., Сороковиков В.А. Профилактика послеоперационного рубцово-спаечного эпидурита: современное состояние вопроса. Хирургия позвоночника. 2019; 16(3): 74-81. doi: 10.14531/ss2019.3.74-81
2. Животенко А.П., Гольдберг О.А., Сороковиков В.А., Кошкарёва З.В., Шурыгина И.А. Формирование эпидурального фиброза при повреждении твердой мозговой оболочки при ляминэктомии в эксперименте. Современные проблемы науки и образования. 2019; 4: 60. doi: 10.17513/spno.29118
3. Поздеева Н.А., Сороковиков В.А. Дегенеративно-дистрофические изменения пояснично-крестцового отдела позвоночника (распространенность, клиника, профилактика). Acta biomedica scientifica. 2006; 4(50): 265-267.
5. Гуща А.О., Арестов С.О., Кащеев А.А. Кистозные и слипчивые спинальные арахноидиты: обзор клинико-морфологических форм, диагностики и методов лечения. РМЖ. 2013; 21(30): 1549-1551.
6. Бывальцев В.А., Панасенков С.Ю., Цыганов П.Ю., Белых Е.Г., Сороковиков В.А. Наноструктурный анализ поясничных межпозвонковых дисков на разных стадиях дегенеративного процесса. Вопросы нейрохирургии им. Н.Н. Бурденко. 2013; 77(3): 36-41.
7. Сороковиков В.А. Хирургическое лечение дискогенного пояснично-крестцового радикулита с иммунокоррекцией: автореф. дис. … канд. мед. наук. Иркутск; 1995.
8. Cornelson SM, Johnnie ED, Kettner NW. Neural mobilization in a 54-year-old woman with postoperative spinal adhesive arachnoiditis. J Chiropr Med. 2018; 17(4): 283-288. doi: 10.1016/j.jcm.2018.07.004
9. Dhagat PK, Jain M, Singh SN, Arora S, Leelakanth K. Failed back surgery syndrome: evaluation with magnetic resonance imaging. J Clin Diag Res. 2017; 11(5): 6-9. doi: 10.7860/JCDR/2017/24930.9817
10. Wright MH, Denney LC. A comprehensive review of spinal arachnoiditis. Orthop Nurs. 2003; 22(3): 215-219. doi: 10.1097/00006416-200305000-00010
11. Di Ieva A, Barolat G, Tschabitscher M, Rognone E, Aimar E, Gaetani P, et al. Lumbar arachnoiditis and thecaloscopy: brief review and proposed treatment algorithm. Cent Eur Neurosurg. 2010; 71(4): 207-212. doi: 10.1055/s-0029-1243201
12. Tachibana T, Moriyama T, Maruo K, Inoue S, Arizumi F, Yoshiya S. Subarachnoid-subarachnoid bypass for spinal adhesive arachnoiditis. J Neurosurg Spine. 2014; 21(5): 817-820. doi: 10.3171/2014.7.SPINE131082
14. Сороковиков В.А., Кошкарева З.В., Скляренко О.В. Остеохондроз: некоторые аспекты состояния вопроса. Сибирский медицинский журнал (Иркутск). 2016; 141(2): 22-28.
15. Сороковиков В.А., Горбунов А.В., Кошкарева З.В., Брюханов В.Г., Поздеева Н.А. Классификации стенозов позвоночного канала в поясничном отделе позвоночника (обзор литературы). Acta biomedica scientifica. 2010; 2(72): 243-247.
17. Ross JS, Masaryk TJ, Modic MT, Delamater R, Bohlman H, Wilbur G, et al. MR imaging of lumbar arachnoiditis. Am J Roentgenol. 1987; 149(5): 1025-1032. doi: 10.2214/ajr.149.5.1025
18. Idris Z, Ghazali FH, Abdullah JM. Fibromyalgia and arachnoiditis presented as an acute spinal disorder. Surg Neurol Int. 2014; 5: 151. doi: 10.4103/2152-7806.143364
19. Ribeiro C, Reis FC. Adhesive lumbar arachnoiditis. Acta Medica Port. 1998; 11(1): 59-65.
20. Dörner K. Klinische Chemie und Hämatologie. Stuttgart: Georg Thieme Verlag; 2003.
21. Patel A, James SL, Davies AM, Botchu R. Spinal imaging update: an introduction to techniques for advanced MRI. Bone Joint J. 2015; 97-B(12): 1683-1692. doi: 10.1302/0301-620X.97B12.36164
22. Kashcheev AA, Arestov SO, Gushcha AO. Flexible endoscopy in surgical treatment of spinal adhesive arachnoiditis and arachnoid cysts. N.N. Burdenko Journal of Neurosurgery. 2013; 77(5): 41-50.
23. Parenti V, Huda F, Richardson PK, Brown D, Aulakh M, Taheri MR. Lumbar arachnoiditis: Does imaging associate with clinical features? Clin Neurol Neurosurg. 2020; 192: 105717. doi: 10.1016/j.clineuro.2020.105717.
Спинальный арахноидит
Спинальный арахноидит — асептическое или инфекционное воспаление арахноидальной оболочки спинного мозга. Может сочетаться с церебральным арахноидитом. Клинические проявления варьируют в соответствии с топикой и распространенностью арахноидита, зачастую имеют картину радикулита, сопровождающегося неврологическим дефицитом сегментарного и проводникового характера. Диагноз «спинальный арахноидит» выставляется после проведения миелографии или МРТ спинного мозга. Лечение острых и подострых форм преимущественно консервативное. Не поддающийся терапии хронический спинальный арахноидит является показанием к хирургическому рассечению спаек и удалению кист.
Общие сведения
с миелографическим подтверждением был описан в 1929 г. В средине XX века он рассматривался преимущественно как осложнение
. В период с 1960 г. по 1980 г. отмечалось существенное увеличение частоты встречаемости арахноидита, связанное с использованием для контрастирования в ходе
йодфенилундецилатов. Позже выяснилось, что жировые капли этих контрастных веществ способны длительное время сохраняться в субдуральном спинальном пространстве, обрастать фибрином и провоцировать асептический воспалительный процесс в паутинной оболочке. Замена миелографии современными методами нейровизуализации спинного мозга, а также техническое усовершенствование операционных вмешательств на позвоночнике, в т. ч. благодаря применению микрохирургии, привели к значительному снижению заболеваемости. Однако по сей день спинальный арахноидит остается актуальной проблемой практической нейрохирургии и
Причины спинального арахноидита
Среди триггерных факторов развития арахноидита спинного мозга существенная доля принадлежит травмам позвоночника. Травмирование спинного мозга и его оболочек может произойти во время хирургических вмешательств на позвоночном столбе, в результате многократного проведения эпидуральных блокад и люмбальных пункций. Вторичный спинальный арахноидит может возникнуть на фоне стеноза позвоночного канала, дегенеративных заболеваний (спондилеза, остеохондроза, спондилоартроза), опухолей позвоночника, гематомиелии. Асептический арахноидит может сформироваться вследствие введения в позвоночный канал различных химических веществ, например, контрастов для миелографии.
Инфекционный спинальный арахноидит может быть вызван специфическим возбудителем и являться следствием сифилиса, генерализованного туберкулеза или туберкулеза позвоночника, бруцеллеза, риккетсиоза, системной грибковой инфекции у лиц с ВИЧ или ослабленных пациентов и др. Неспецифический инфекционный арахноидит в половине случаев обусловлен золотистым стафилококком; описана роль стрептококковой инфекции, протея, эшерихий. В 37% случаев арахноидита острого и подострого течения выявить возбудителя не удается.
Классификация спинального арахноидита
По протяженности поражения спинальный арахноидит классифицируется на ограниченный и диффузный. Ограниченный вариант обычно возникает вследствие микротравмы, диффузный — обусловлен позвоночно-спинномозговой травмой, инфекционно-воспалительным поражением ЦНС или системным инфекционным процессом. По этиологии спинальный арахноидит может быть асептическим и инфекционным (специфическим и неспецифическим).
Морфологически спинальный арахноидит разделяют на слипчивый (адгезивный), кистозный и смешанный кистозно-слипчивый. Для слипчивой формы характерно утолщение арахноидальной оболочки и наличие ее спаек с твердой спинальной оболочной; иногда наблюдается оссифицирование арахноидальной оболочки. Кистозная форма протекает медленно с постепенным образованием арахноидальных кист, которые могут быть экстрадуральными (включающими и не включающими нервные корешки) и интрадуральными. Наиболее часто наблюдается кистозно-слипчивая форма арахноидита, сочетающая в себе образование кист наряду со спаечным процессом.
В соответствии с клинической классификацией выделяют 4 варианта арахноидита: корешково-чувствительный, корешково-заднестолбовой, двигательно-спинномозговой, корешково-спинномозговой. По своему течению спинальный арахноидит бывает острым, подострым и хроническим, хотя временные рамки этих форм течения точно не установлены и по-разному описаны в неврологической литературе.
Симптомы спинального арахноидита
Клинические проявления арахноидита спинного мозга зависят от локализации и распространенности воспаления по паутинной оболочке. Ограниченный арахноидит чаще имеет субклиническое течение и может быть случайно диагностирован при обследовании или на вскрытии. Острый и подострый диффузный спинальный арахноидит манифестирует высокой температурой, оболочечными симптомами, островоспалительными изменениями в крови и ликворе. Часто сопровождается церебральным арахноидитом.
Первыми проявлениями арахноидита зачастую выступают преходящие корешковые боли и парестезии. Затем боли становятся постоянными, носят характер упорного радикулита, ишиалгии. Развиваются сегментарные и проводниковые расстройства чувствительности, моторные нарушения, выпадают сухожильные рефлексы, появляются тазовые расстройства. Хронический арахноидит имеет медленно прогрессирующее течение, сопровождается ликвороциркуляторными расстройствами. Если происходит формирование кист, то проявления арахноидита включают симптомокомплекс компрессионной миелопатии и аналогичны клинике спинальных опухолей.
Диагностика спинального арахноидита
Диагностический поиск при арахноидите спинного мозга состоит из изучения анамнеза, осмотра невролога, лабораторных исследований, люмбальной пункции, миелографии или томографии. Острый спинальный арахноидит отражается в анализе крови подъемом уровня лейкоцитов и С-реактивного белка, ускорением СОЭ. О ликвороциркуляторных нарушениях свидетельствует повышенное давление цереброспинальной жидкости, ее быстрое вытекание при люмбальной пункции. При исследовании цереброспинальной жидкости наблюдается белково-клеточная диссоциация, незначительное увеличение концентрации белков.
Как правило, однозначно установить диагноз арахноидита не представляется возможным без применения миелографии или томографических исследований. Патогномоничным признаком арахноидита при проведении контрастной миелографии является задержка контраста в виде отдельных капель. Визуализировать изменения спинальной арахноидальной оболочки стало возможным после внедрения в неврологическую практику МРТ позвоночника. МРТ позволяет также исключить опухоли и другие органические поражения спинного мозга.
Дифференциальный диагноз проводится с менингомиелитом, миелитом, эпидуральным абсцессом, посттравматической гематомой, грыжей межпозвонкового диска и прочей позвоночно-спинномозговой патологией.
Лечение и прогноз спинального арахноидита
Фармакотерапия инфекционного арахноидита предусматривает назначение антибиотиков, при необходимости — противотуберкулезных и противосифилитических препаратов. Применяются противовоспалительные препараты, по показаниям — кортикостероиды. Проводится противоотечная терапия мочегонными средствами (триамтереном, гидрохлоротиазидом, фуросемидом, спиронолактоном), сосудистое (никотиновая к-та, пентоксифиллин) и нейрометаболическое (витамины В, неостигмин) лечение. При спастических параличах используют миорелаксанты (толперизона гидрохлорид), при тазовых нарушениях — уросептики (уротропин). Основу восстановительной терапии составляет адекватная лечебная физкультура, физиотерапевтические процедуры (электростимуляция, рефлексотерапия, электрофорез, магнитотерапия и т. п.), массаж и водолечение (радоновые, йодобромные, хлоридно-натриевые лечебные ванны).
Вопрос о хирургическом лечении арахноидита возникает при неэффективности консервативной терапии, в основном при хроническом течении болезни с формированием кист и спаек. Решение о целесообразности операции обсуждается совместно с нейрохирургом. Задачей оперативного вмешательства является опорожнение арахноидальных кист и рассечение спаек. Операционный доступ осуществляется путем ламинэктомии. Однако открытое хирургическое вмешательство зачастую не приносит ожидаемых результатов из-за своей травматичности, частых осложнений в виде образования повторных сращений и активации дремлющей инфекции. Более эффективными являются малоинвазивные техники операции, предусматривающие разъединение спаек при помощи манипуляторов эндоскопа, введенного в пространство дурального мешка.
Острый спинальный арахноидит имеет относительно благоприятный прогноз. При адекватном и своевременно проведенном консервативном лечении возможно полное восстановление неврологических функций. Хроническая форма менее благоприятна, зачастую приводит к инвалидности и плохо поддается терапии. Внедрение новых операционных техник несколько улучшило послеоперационный прогноз, и работа в этом направлении продолжается.
Читайте также:
