МРТ при инфаркте кости позвоночника
Добавил пользователь Владимир З. Обновлено: 22.12.2025
Какой метод диагностики инфаркта выбрать: МРТ, КТ, УЗИ, рентген
Что выявит рентген грудной клетки
- Часто без патологических изменений
- Выраженный инфаркт миокарда приводит к декомпенсации сердечной деятельности, которая проявляется в виде СН
- Застой в сосудах легких
- Отек легких
- Выпот в плевральную полость
- Увеличение размеров сердца.
Для чего проводят ЭХО-КГ сердца
- Нарушение функции сердца
- Аномалии движения участка сердечной стенки
- При разрыве сосочковой мышцы наблюдается острая митральная недостаточность
- Визуализация тромбов в полостях сердца.
Что покажут снимки КТ при инфаркте
- Информативна при быстром исключении других заболеваний у пациентов с острой болью в грудной клетке
- Атеросклероз коронарных сосудов
- Стеноз коронарных сосудов (МСКТ)
- Визуализация снижения перфузии в зоне инфаркта
- Визуализация тромбоза.
Эффективна ли МРТ сердца при инфаркте
- Функциональные признаки - как при ЭХО-КГ
- Дефекты перфузии
- Увеличение интенсивности сигнала на Т2-взвешенных изображениях (отек) и снижение контрастного усиления зоны инфаркта
- Определение тромбоза
- Обычно не показана в течение первых 24 часов.
Какие инвазивные диагностические процедуры проводят при инфаркте
- Ангиография коронарных сосудов
- ЧТКА
- Возможно стентирование
- Локальная и/или распространенная дисфункция ЛЖ.
Клинические проявления
Типичные симптомы и признаки острого инфаркта миокарда:
- В остром периоде сильнейшая («кинжальная») боль в прекардиальной области
- Холодный пот
- Признаки ОСН — стенокардия, инфаркт миокарда
- Нарушения ритма
- 15-20% пациентов не испытывают боли в грудной клетке («немой сердечный приступ»).

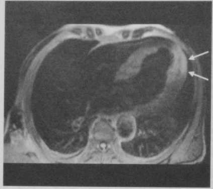
Переднебоковой ИМ у мужчины 68 лет. На Т2-взве- шенной МРТ в режиме TSE (четырехкамерная проекция) с темной кровью определяется гиперинтенсивность сигнала от зоны инфаркта (стрелка) из-за отека миокарда.

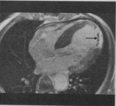
МРТ после внутривенного введения Gd-DTPA.В центре гиперинтенсивной зоны инфаркта определяется участок контрастного ослабления сигнала (феномен «noreflow», стрелка).
Лечение и реабилитация при инфаркте миокарда
- Экстренная помощь: кислород, морфин, ингибиторы агрегации тромбоцитов, нитраты, Р-блокаторы, немедленная ЧТКА (метод выбора)
- Системный тромболизис при длительности ишемии менее 3 ч.
Течение, прогноз, осложнения и последствия после перенесенного инфаркта миокарда
- 60% летальных исходов инфаркта миокарда происходит в первые 60 минут.
Что хотел бы знать лечащий врач?
- Локализация инфаркта (КТ, МРТ)
- Отек легких
- Признаки СН, такие как застой в легочных сосудах
- Выпот в плевральную полость
- Окклюзия коронарных сосудов.
Какие патологии имеют признаки, схожие инфарктом
Острая боль в грудной клетке
- Эмболия легочной артерии
- Расслоение аорты
- Пери- или миокардит
Другие болезни сердца
- Пороки развития коронарных сосудов
- Стенокардия Принцметала
Советы и ошибки
Следует всегда включать ИМ в дифференциально-диагностический алгоритм у пациентов с острой болью в грудной клетке, даже если клинические проявления не позволяют заподозрить это заболевание.
Инфаркт спинного мозга (ИСМ)
Инфаркт или инсульт спинного мозга (ИСМ) это острое нарушение спинномозгового кровообращение в связи со сдавлением, закупоркой или поражением спинальной артерии с последующим развитием размягчения и образованием полости в области его васкуляризации.
Синонимы
Эпидемиология
- Обычно встречается у лиц старше 50 лет и при этом одинаково встречается у мужчин и женщин.
Эмбриология и анатомические особенности.
- Корешковые артерии (одна из которых передняя, а две задних спинномозговые артерии).
- Источники кровоснабжения спинного мозга
- Позвоночные артерии
- Сегментарные сосуды на различных уровнях
- Восходящая артерия шеи
- Глубокая артерия шеи
- Межреберные артерии
- Поясничные артерии
- Крестцовые артерии
- Артерия начинается от интрадурального сегмента позвоночной артерии и проходит вдоль срединной линии на вентральной поверхности спинного мозга.
- Следует вниз вплоть до терминальной нити спинного мозга.
- Являются ветвями задней мозговой артерии или позвоночных артерий.
- Парные продольно расположенные сосуды на дорзальной поверхности спинного мозга.
- Многочисленные анастомозы
- Обычно берет начало слева, в 75% случаев от Т9-Т12 сегментов
- На МР- и субтракционных ангиограммах имеет характерный изгиб, напоминающий «шпильку для волос»
Этиология
- Практически в 50% случаев этиология остается невыясненной.
- Большинство известных причин так или иначе связаны с патологией аорты
- Атеросклероз, как следствие расслоение стенки или эмболия
- Аневризма грудной или брюшной аорты
- Хирургическое вмешательство на аорте (частота сосудистых осложнений варьирует от 0,4% при операциях по поводу коарктации до 12% при операциях по поводу расслаивающих аневризм lllb типа)
- Корешковые артерии на шейном уровне обычно располагаются в вентральном отделе невральных отверстий
- В заднем отделе невральных отверстий располагаются восходящие и глубокие шейные ветви, которые иногда являются источником кровоснабжения сегментарных сосудов, кровоснабжающих в свою очередь спинной мозг
Клинические проявления
Наиболее распространенными симптомами/признаками являются передний спинальный синдром (паралич, потеря болевой и температурной чувствительности, тазовые нарушения), а при заднем инфаркте – это потеря вибрационной и проприоцептивной чувствительности, что их объединяет так это внезапное начало и быстрое прогрессирование с максимально выраженным неврологическим дефицитом через несколько часов после начала заболевания.
Патология
Генетика
Сочетанные изменения
- Обращайте внимание на признаки инфаркта кости тела позвонка, обычно соответствующего уровню инфаркта спинного мозга
- Наиболее частой локализацией инфарктов тел позвонков являются грудные позвонки
- Имеет место корреляция с уровнем поражения аорты
Макроскопические признаки
Микроскопические признаки
- Острый период: ишемизированные нейроны с цитотоксическим +вазогенным отеком, отекэндотелиальных клеток+астроцитов.
Радиологические находки
Методом выбора является МРТ с контрастным усилением, с получением диффузионно-взвешенных изображений. Наиболее значимый диагностический признаком является гиперинтенсивность паренхимы спинного мозга на Т2-ВИ с центральной зоной напоминающий «совиный глаз». Гиперинтенсивность центрального серого вещества спинного мозга в Т2-режиме, изменения периферических участков паренхимы спинного мозга более вариабельны.
Локализация патологических изменений в дистальной половине грудного отдела спинного мозга в зоне артериального «водораздела».
Размеры патологических изменений обычно более 1 позвоночного сегмента по протяженности.
Компьютерная томография (КТ)
Бесконтрастная КТ не позволяет выявить изменений.
KT-ангиография
Информативна в отношении диагностики патологии аорты, которая может быть причиной развития инфаркта спинного мозга, или других заболеваний, клиника которых может напоминать инфаркт (дуральная фистула). Малоинформативна в отношении диагностики тромбоза передней спинномозговой артерии, поскольку отсутствия контрастирования передней спинномозговой артерии на КТ-ангиограммах недостаточно для диагноза.
Магнитно-резонансная томография
Т1-ВИ
Некоторое утолщение спинного мозга. Атрофия спинного мозга в отдаленном периоде. Геморрагическая конверсия зоны инфаркта, как следствие гиперинтенсивность сигнала (редко).
Т2-ВИ
Гиперинтенсивность центрального серого вещества или всего поперечника спинного мозга
Диффузно-взвешенное изображение
Гиперинтенсивность сигнала, как при инфарктах головного мозга
МР-ангиография
Динамическое исследование с контрастным усилением выполняется для исключения других патологий, которые могут напоминать инфаркт, например, дуральной артериовенозной фистулы. Малоинформативна в отношении диагностики тромбоза передней спонномозговой артерии, поскольку отсутствия контрастирования передней спинномозговой артерии на МР-ангиограммах недостаточно для подтверждения диагноза.
МРТ при инфаркте кости позвоночника
Лучевая диагностика инфаркта кости позвоночника
а) Терминология:
1. Синонимы:
• Незрелый инфаркт кости, инфаркт костного мозга
2. Определения:
• Инфаркт губчатой кости и костного мозга тела позвонка на фоне системной патологии или патологии аорты
• Не путать с остеонекрозом (болезнью Кюммеля)б) Визуализация:
1. Общие характеристики:
• Наиболее значимый диагностический признак:
о Четко ограниченные зоны гиперинтенсивного Т2-сигнала в телах нескольких позвонков, характеризующиеся сниженным по сравнению с соседними участками накоплением контраста на фоне системного заболевания
• Локализация:
о Поражение нескольких тел позвонков
• Размеры:
о Вариабельны, от поражения целиком тела позвонка до отдельных его участков
• Морфология:
о Четко ограниченное, с ломаными границами изменение сигнала, локализованное преимущественно в передних 1/3-1/2 тела позвонка2. Рентгенологические данные инфаркта кости:
• Рентгенография:
о При незрелом инфаркте изменений обычно не бывает, разве что можно обнаружить едва заметное снижение костной плотности3. КТ при инфаркте кости:
• Бесконтрастная КТ:
о При остром или подостром инфаркте изменений не бывает либо отмечается минимальное снижение плотности кости
о В хроническую фазу наблюдается остеосклероз, при серповидноклеточной анемии зона инфаркта принимает классический вид, напоминающий букву «Н»4. МРТ при инфаркте кости:
• Т1-ВИ:
о Низкая интенсивность сигнала на уровне тел нескольких позвонков, четкие границы с соседней костью, вертикальная ориентация
• Т2-ВИ:
о Усиление интенсивности сигнала на уровне тел нескольких позвонков, резкая граница с соседним нормальным костным мозгом
• Т1-ВИ с КУ:
о Не накапливающие контраст участки в телах позвонков, может отмечаться контрастное усиление на границах этих участков с нормальной костью
о Отсутствие эпидурального или паравертебрального мягкотканного компонента
о Поражение задних элементов позвонков встречается редко![МРТ при инфаркте кости позвоночника]()
(Слева) Сагиттальный срез, Т1-ВИ с КУ, пациент с вновь установленным диагнозом лимфолейкоза: множественные четкие фокусы сниженного накопления контраста в телах позвонков. ограниченные зонами усиленного контрастирования. Мягкотканных образований в паравертебральной области или изменений межпозвонковых дисков не определяется.
(Справа) Аксиальный срез, Т1-ВИ с КУ, пациент с множественными инфарктами тел позвонков и вновь установленным диагнозом острого лимфобластного лейкоза: четко ограниченные очаги в боковых отделах тела позвонка с минимально выраженным контрастным усилением по периферии.в) Дифференциальная диагностика:
1. Вторичный инфаркт на фоне системного заболевания:
• Серповидноклеточная анемия
• Острый лейкоз (лимфобластный или миелобластный)
• СКВ
• Лимфома
• Реакция «трансплантат против хозяина» после трансплантации костного мозга2. Вторичный инфаркт на фоне патологии аорты:
• Расслаивающая аневризма
• Хирургическое вмешательство на брюшной аорте3. Метастатическое поражение:
• Поражение тела и задних элементов позвонка
• Фокальное поражение с распространением в эпидуральное пространство и паравертебральные ткани4. Опухолевая инфильтрация костного мозга при лейкозе или лимфоме:
• Более гомогенные изменения костного мозга без четких границ
• Гомогенное контрастное усиление5. Гранулематозная или грибковая инфекция:
• Обычно имеют место в той или иной мере выраженные изменения окружающих мягких тканей
• Часто поражаются межпозвонковые диски![МРТ при инфаркте кости позвоночника]()
(Слева) Сагиттальный срез, Т1-ВИ: множественные инфаркты тел позвонков у пациента с острым лимфобластным лейкозом после проведенной химиотерапии. Обратите внимание на четко ограниченные зоны низкой интенсивности сигнала в передней половине тел позвонков.
(Справа) Сагиттальный срез, FS Т2- ВИ, этот же пациент: четкие зоны высокой интенсивности сигнала в передних половинах тел позвонков, аналогичные изменения видны в области крестца.г) Патология. Макроскопические и хирургические особенности:
• Сосудистый стаз, тромбоз, дисфункция тромбоцитов
• Микроангиопатия, связанная с реакциями «трансплантат против хозяина», является основной причиной инфарктов костного мозга у пациентов, которым проводилась трансплантация костного мозга или аллогенных стволовых клетокд) Клинические особенности. Клиническая картина:
• Наиболее распространенные симптомы/признаки:
о Неспецифический вертеброгенный болевой синдром на фоне системного заболевания
о Миелопатия, нижний парапарез при сопутствующем инфаркте спинного мозга на фоне патологии аортые) Диагностическая памятка. Следует учесть:
• Инфаркт как признак системного заболевания или онкологического процесса (например, лейкоза)
• Сочетание с инфарктом спинного мозга; в таком случае признаки костного инфаркта служат подтверждением инфаркта спинного мозга, который в Т2-режиме отличается неспецифическим усилением ИСа) Терминология:
1. Синонимы:
• Остеонекроз, аваскулярный некроз, асептический некроз:
о Термины взаимозаменяемы и все относятся к некрозу кости
о Термин «инфаркт кости» принято применять к очагу, расположенному не субхондрально2. Определение:
• Гибель костной ткани и костного мозга, вторично вследствие потери кровоснабжения1. Общая характеристика:
• Лучший диагностический критерий:
о Классический не осложненный инфаркт:
- Серпигинозный или бесформенный склероз на рентгено-граммех
- Признак двойной линии на МРТ
о Широкий ряд других визуализационных признаков, зависящих от процесса заживления и стадии инфаркта
• Локализация:
о Трубчатые кости, зоны метафиза и диафиза
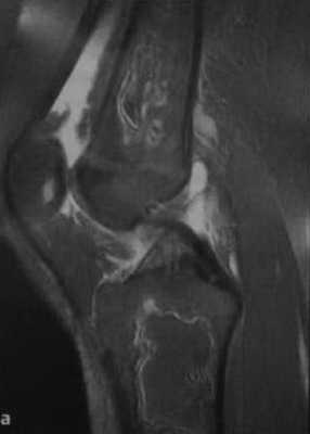
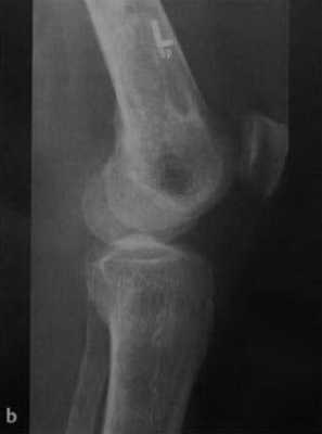
о Реже в плоских костях(Слева) Рентгенография в боковой проекции: патологические изменения метадиафизарной области, включающие усиленный склероз и очаги точечной кальцификации. Можно предположить э нхондрому или костный инфаркт.
(Справа) Фронтальная Т1 МР-И, этот же случай: серпигинозный В очаг инфаркта кости с низким сигналом, с желтым костным мозгом в центре, точечными очагами низкого сигнала, что соответствует данным рентгенографии. Данные визуализации соответствуют диагнозу инфаркта кости. (Слева) Фронтальная Т2 FS МР-И, этот же случай: серпигинозное кольцо высокого сигнала; низкий сигнал, окружающий высокий сигнал плохо определяется, вследствие насыщения сигнала от жира. Однако он присутствует и это говорит о наличии признака двойной линии, характерного для инфаркта кости.
(Справа) Рентгенография в ПЗ проекции: литическое образование в диафизе бедренной костив. Нет склеротического края и дистрофического обызвествления. В то время, как эти признаки могут представлять собой внутрикостную липому, биопсия подтвердила наличие инфаркта кости. Полностью литическое образование - нехарактерная картина для инфаркта. (Слева) Рентгенография в ПЗ проекции: у пациента с серповидноклеточной анемией наблюдаются диффузные неоднородные участки повышения и понижения интенсивности. Хотя диагностика инфарктов костной ткани нередко основана на наличии серпигинозной кальцификации, они часто представлены как диффузный неоднородный склероз.
(Справа) Сагиттальное Т2ВИ FS МР-И: типичный очаг множественных инфарктов кости с признаком двойной линии. У этого пациента пятнистая лихорадка Скалистых гор, которая может привести к некротизирующему васкулиту, что в свою очередь вызовет инфаркт костной ткани.2. Рентгенография при инфаркте кости:
• Широкий ряд других визуализационных признаков, зависящих от заживления или дегенерации:
о Первоначальная картина нормальная
о При ранней стадии инфаркта костей пальцев может визуализироваться периостит
о Со временем возможно развитие патологического усиления в различных очагах:
- Очаговый или диффузный склероз
- Серпигинозное дистрофическое обызвествление
о Кистозная дегенерация: нехарактерна:
- Умеренное распространение на вовлеченный участок кости
- Кисты могут приводить к развитию тонкого, склеротического кольца
о Редко развивается саркоматозная дегенерация:
- Изменения от характерных для доброкачественного образования, до признаков высоко агрессивного литического образования с разрушением кортикального слоя и распространением на мягкие ткани
- Как правило, переходит в злокачественную фиброзную гистиоцитому3. МРТ при инфаркте кости:
• Не осложненный инфаркт кости:
о Признак двойной линии в последовательностях чувствительных к жидкости:
- Наружное кольцо низкого сигнала, как правило, серпиги-нозного характера (демаркационная линия между живой и мертвой тканью кости)
- Внутренний край яркой линии (грануляционная ткань/вос-палительный ответ в процессе излечения)
о Внутренний сигнал различный:
- Как правило, жир (высокий сигнал в Т1 ВИ, умеренно низкий в Т2 ВИ, подавление в последовательностях с подавлением сигнала от жировой ткани)
- 2-я фаза геморрагическая и редко встречается (яркий сигнал и в Т1 ВИ, и в Т2 ВИ последовательностях)
- Следующая фаза -сигнал схожий с отеком (низкий сигнал в Т1 ВИ, высокий в Т2 ВИ)
- С фиброзом и склерозом костного мозга, сигнал низкий и в Т1 ВИ, и в Т2 ВИ последовательностях
• Дистрофическое обызвествление → низкий сигнал во всех последовательностях:
о Может быть серпигинозным или очаговым, точечным
• Кистозная дегенерация: нехарактерна:
о Снижение сигнала в Т1 ВИ
о Гетерогенный яркий сигнал в Т2 ВИ
о На постконтрастном изображении визуализируется кольцо усиления с четким контуром, окружающее низкий сигнал от жидкости
• Трансформация в саркому:
о Очаговые изменения в образовании
о Разрушение кортикального слоя и вовлечение мягких тканей
о Гиперинтенсивное в Т2, гетерогенное
о Постконтрастное усиление и очаги некроза4. Радионуклидные исследования:
• Остеосцинтиграфия:
о «Холодный» очаг в кости на ранней стадии
о По мере излечения, захват неоднородно повышаетсяв) Дифференциальная диагностика инфаркта кости:
1. Отек костного мозга:
• При ранних стадиях развития инфаркта без дистрофического обызвествления или признака двойной линии2. Процесс замещения костного мозга, диффузный или очаговый:
• При ранних стадиях развития инфаркта, без дистрофического обызвествления или признака двойной линии(Слева) Рентгенография в ПЗ проекции: диффузный неоднородный склероз в метадиафи-зах, распространяющийся на субхондральную зону (пациент принимает стероиды). Хотя на этой рентгенограмме серпигинозные очаги не визуализируются, распространенность и интенсивность указывают на инфаркт кости.
(Справа) Рентгенография в боковой проекции, этот же пациент: умеренные диффузные патологические изменения интенсивности сигнала. (Слева) Сагиттальная Т2 FS МР-И, этот же пациент: визуализируется признак двойной линии и серпигинозный очаг, характерный для инфаркта кости. Инфаркты вовлекают субхондральный участок и метадиафизы, хотя на настоящий момент нет колапса суставной поверхности.
(Справа) Фронтальная Т1 МР-И, этот же случай: инфаркты кости, обширно поражающие обадиа-физа бедренной кости. Этиологический фактор удается установить только в трети случаев инфарктов костной ткани, среди которых частой причиной является постоянное применение стероидов. (Слева) Рентгенография в ПЗ проекции: неоднородный склероз в метафизах большеберцовой и бедренной костей. Очаги не серпигинозные, но являются одним участком патологический ин-тенсивности в очаге костного инфаркта. У этого пациента полимиозит, назначено печение стероидами.
(Справа) Рентгенография в ПЗ проекции: серпигинозная кальцификация в метадиафизах, характерная для инфаркта кости. Дистальнее визуализируется более агрессивное литическое образование, развивающееся из костного инфаркта: подтверждена злокачественная фиброзная гистиоцитома, редкое осложнение инфаркта кости.г) Патология. Общая характеристика:
• Этиология:
о Сниженный приток крови к кости различной этиологии:
- Эмболический феномен: серповидноклеточная анемия, жировая эмболия
- Повышение давления в костном мозге: стероиды, болезнь Гоше
- Уменьшение размеров сосудов: васкулит
о У многих пациентов нет предрасполагающих факторов и инфаркт считается идиопатическимд) Клинические особенности:
1. Проявления:
• Типичные симптомы/признаки:
о Как правило, случайная находка при рентгенографии или МРТ
о Может иметь место ноющая боль
о У пациентов с серповидноклеточной анемией может быть интенсивная боль в позвоночнике2. Течение и прогноз:
• Многие метафизарные и диафизарные инфаркты не изменяются и не имеют последствий
• Может развиться кистозная дегенерация, также без последствий
• Редко происходит дегенерация инфаркта в саркому кости:
о Как правило, в злокачественную фиброзную гистиоцитому
о 60% в области колена
о В трети случаев удается идентифицировать этиологию инфаркта
о Выживаемость без рецидивов около 60% в течение двух лет3. Лечение:
• Нет лечения для не осложненного инфаркта костиДиагностика инфаркта кости на снимках МРТ и КТ конечностей
Какой метод диагностики инфаркта кости выбрать: МРТ, КТ, рентген, УЗИ
Методы выбора
Рентгенологические признаки инфаркта кости
- В ранней стадии - остеопения и потеря трабекулярности костной ткани с окружающим склеротическим кольцом
- Участки склероза, образующиеся в зоне некроза кости, и формирование относительно новой костной ткани
- В поздней стадии - неравномерные участки затемнения или кальцинаты (изображение в виде морской гальки, гроздьев винограда, мишени или кольца), обычно расположенные на периферии
- Зона инфаркта кости может иметь длину до 20 см
- При инфаркте в области эпифиза языковидное или клиновидное затемнение распространяется от основания эпифиза на суставную поверхность.
Что покажут снимки КТ кости при инфаркте
- Деструкция трабекул
- Обычно является случайной находкой.
Зачем проводят сцинтиграфию при подозрении на инфаркт кости
- В ранней стадии заболевания - уменьшение накопления радионуклида в месте некроза («холодное пятно»)
- Позднее появляется также увеличение накопления радионуклида (пятно «холодное в горячем»).
Что покажут снимки МРТ кости при инфаркте
- В ранней стадии заболевания - отек (гипоинтенсивный на Т1-взвешенном изображении и гиперинтенсивный на Т2-взвешенном изображении)
- Позднее отграничение вдоль периферии пораженной кости (гипоинтенсивное на Т1 - взвешенном изображении; на Т2-взвешенном изображении - гиперинтенсивная линия по направлению к зоне некроза, соответствует грануляционной ткани)
- Гипоинтенсивная линия по направлению к здоровой кости (склероз, фиброз): признак двойной линии
- Накопление контрастного вещества периферической зоной
- При застарелых инфарктах кости интенсивность сигнала зоны некроза эквивалентна жировой ткани
- Периферическая зона типично извилистая, напоминает гирлянду.
![Снимки МРТ и КТ. Инфаркт кости]()
а, b Инфаркт зрелого костного мозга. (а) Сагиттальная протонная плотно-взвешенная МРТ с подавлением МР-сигнала от жировой ткани. Изображение демонстрирует гирляндовидный склеротический край и центральный участок с сигналом жирового костного мозга. Множественные некротические зоны расположены преимущественно в метадиафизальной области, однако несколько находятся непосредственно рядом с суставом, в связи с чем имеется риск уплощения суставных поверхностей;
![Снимки МРТ и КТ. Инфаркт кости]()
b) Рентгенологическое исследование демонстрирует выраженный склеротический край и центральный участок снижения рентгенопрозрачности в дистальном отделе бедренной кости и в большеберцовой кости. Проксимальный отдел бедренной кости демонстрирует участок частичного грубого склероза, который иногда трудно отличить от энхондромы.
Типичные проявления инфаркта кости
- Обычно протекает бессимптомно
- Редко - нехарактерный локализованный болевой синдром.
Методы лечения
- Обычно не требует лечения
- При подсуставном инфаркте с уплощением суставных поверхностей может быть необходима реконструкция суставных поверхностей.
Течение и прогноз
- Очень редко после инфаркта кости развивается саркома.
Что хотел бы знать лечащий врач
- Размеры
- Расположение
- Проведение дифференциальной диагностики.
Какие заболевания имеют симптомы, схожие с инфарктом кости
Энхондрома
- Дольчатое изображение в виде гроздьев винограда
- Мелкие, точечные или в виде запятой участки (кальцинаты) с уменьшением интенсивности сигнала, разбросанные в центральной части поражения
Хондросаркома
- Высокодифференцированные формы сходны с энхондромой, при сомнении в диагнозе необходимо проведение биопсии
Инфекционный процесс (ранняя стадия)
- Отсутствие реакции надкостницы
- Интенсивность сигнала при МРТ сходна с отеком
- Даже свежий инфаркт нередко четко ограничен и не имеет реакции окружающих тканей
Ошибочная интерпретация заболеваний, представленных в разделе дифференциальной диагностики, и требующих проведения лечения, таких как инфаркт кости.
Читайте также:
- Гипоманиакальная фаза опьянения. Клиника гипоманиакальной фазы
- Лечение туберкулеза бронхов. Туберкулезный плеврит.
- Кровообращение плода. Как течет кровь у плода?
- Макияж и маникюр на выпускной. Как накраситься для выпускного бала?
- Лечение блефаритов, конъюнктивитов, ячменя, кровоизлияний при сахарном диабете




