МРТ при спонтанной эпидуральной гематоме позвоночника
Добавил пользователь Евгений Кузнецов Обновлено: 27.01.2026
Спинальная субдуральная или эпидуральная гематома – это скопление крови в субдуральном или эпидуральном пространстве, которое может сдавливать спинной мозг. Диагноз устанавливают на основании результатов МРТ; если нет возможности незамедлительно выполнить эту процедуру, проводят КТ-миелографию. Лечение –немедленное хирургическое дренирование.
Спинальные субдуральные или эпидуральные гематомы (обычно на грудном или поясничном уровнях) встречаются редко, но причинами их развития могут стать травматические повреждения области спины, проведение антикоагулянтной или тромболитической терапии или люмбальной пункции у пациентов с геморрагическим диатезом.
Клинические проявления
Спинномозговая субдуральная или эпидуральная гематомы начинаются с локальной боли в спине или корешковой боли и болезненности при перкуссии позвоночника; часто боли очень выраженные.
Может развиться компрессия спинного мозга Компрессия спинного мозга При различных повреждениях может развиться компрессия спинного мозга, вызывающая сегментарные нарушения чувствительности, двигательной и рефлекторной сферы, парезов сфинктеров. Диагноз ставится. Прочитайте дополнительные сведения и парезы нижних конечностей. Неврологический дефицит прогрессирует от нескольких минут до нескольких часов.
Диагностика
Гематому следует подозревать у пациентов с признаками и симптомами остро развившейся нетравматической компрессии спинного мозга или внезапного появления неясной слабости в ногах, в особенности если присутствует вероятная причина (например, травма, геморрагический диатез).
Диагностика спинальной субдуральной или эпидуральной гематомы проводится с помощью МРТ или, если МРТ не доступна сразу, с помощью КТ-миелографии.
Лечение
Лечением субдуральной или эпидуральной спинномозговой гематомы является немедленное хирургическое дренирование.
Для нормализации МНО (международное нормализованное отношение) пациенты, принимающие антикоагулянты группы кумарина, получали от 2,5 до 10 мг фитонадиона (витамин K1) подкожно и свежезамороженную плазму при необходимости. Пациентам с тромбоцитопенией переливают тромбоцитарную массу Тромбоциты Цельная кровь способствует улучшению кислородной емкости крови, расширению объема и замене факторов свертывания, а раньше ее назначали при сильной кровопотере. Однако, поскольку компонентная. Прочитайте дополнительные сведения .
Основные положения
Допускается подозрение на субдуральную или эпидуральную гематому среди пациентов с локальной или радикулярной болью в спине, а также с перкуссионной чувствительностью или внезапным беспричинным частичным параличом нижних конечностей, в том числе при потенциально допустимых причинах (например, травма, геморрагический диатез).
Диагноз устанавливается на основании МРТ или, если провести в экстренном порядке МРТ невозможно, КТ-миелографии.
Немедленно дренируют гематомы хирургическим путем.
Авторское право © 2022 Merck & Co., Inc., Rahway, NJ, США и ее аффилированные лица. Все права сохранены.
МРТ при спонтанной эпидуральной гематоме позвоночника
Facebook Если у вас не работает этот способ авторизации, сконвертируйте свой аккаунт по ссылке ВКонтакте Google RAMBLER&Co ID
Авторизуясь в LiveJournal с помощью стороннего сервиса вы принимаете условия Пользовательского соглашения LiveJournal
Спинальные эпидуральные гематомы
Спинальные эпидуральные гематомы (СЭГ) в основном они обусловлены травмами позвоночника и его содержимого: переломо-вывихами, взрывными переломами с внедрением костных фрагментов в спиннмозговой канал. Это так называемые травматические СЭГ. СЭГ также могут являться следствием (и тогда их определяют как спонтанные СЭГ [ССЭГ]) [1] врожденных и приобретенных нарушений в свертывающей системе крови (в т.ч. на фоне приема антикоагулянтов), [2] аномалий развития сосудистой сети эпидурального пространства (например, венозная мальформация в эпидуральном пространстве, которая является редкой и мало изученной патологией, описанной в основном у детей и подростков), [3] варикоза эпидуральных вен (который является наиболее частой сосудистой патологией, встречающейся в эпидуральных пространствах позвоночного канала, и который может привести к развитию СЭГ при сопутствующих изменениях стенок вен), [4] неполноценности стенки радикулярных или эпидуральных вен. [5] Описаны эпидуральные кровоизлияния вследствие разрыва аневризмы эпидуральных артерий. [6] В литературе обсуждается связь между ССЭГ на поясничном уровне и предшествующими дегенеративными изменениями межпозвонковых дисков [МПД] (авторы предполагают причиной эпидурального кровоизлияния разрыв тонкостенного венозного сосуда вследствие разрыва фиброзного кольца диска или грыжи диска). ССЭГ возникают гематомы преимущественно у лиц старше 40 лет. СЭГ также могут иметь ятрогенное происхождение: спинно-мозговая пункция, эпидуральная анестезия, оперативное пособие (как правило, на фоне перечисленных выше врожденных и приобретенных нарушений в свертывающей системе крови и на фоне аномалий развития и строения сосудистой сети эпидурального пространства).

статья «Спонтанные спинальные эпидуральные гематомы на фоне антикоагулянтной терапии» В.А. Бывальцев, А.А. Калинин, В.В. Шепелев, А.Ф. Хачикян, Е.Г. Белых, А.Э. Будаев, Г.С. Жданович, А.О. Асанцев (журнал «Здоровье. Медицинская экология. Наука» №3 (61), 2015) [читать]
Некоторые авторы отмечают, что у пациентов моложе 40 лет большинство CСЭГ возникают в области шейно-грудного перехода, а у пациентов 41 - 80 лет с одинаковой частотой на грудо-поясничном и шейно-грудном уровнях. Большинство СЭГ локализуются кзади от дурального мешка из-за плотного его прилегания к задней продольной связке, что обуславливает направление сдавления на задние структуры спинного мозга и выбор хирургического доступа. Редким является вентральное скопление крови. Локализация СЭГ в передне-боковых отделах позвоночного канала, как правило обусловлена разрывом тонкостенного венозного сосуда вследствие разрыва фиброзного кольца МПД (в т.ч и без образования грыжы МПД) и в таком случае СЭГ тесно прилегает к МПД и межпозвонковому суставу, занимая парамедиальную и латеральную область позвоночного канала.
статья «Острая эпидуральная спонтанная гематома поясничного отдела позвоночника» Е.К. Валеев, И.А. Шульман, С.В. Огурцов, И.Е. Валеев, Г.Г. Яфарова, А.А. Трофимова, Республиканская клиническая больница, Казань (журнал «Хирургия позвоночника» №3, 2012) [читать]

статья «Хроническая спонтанная поясничная эпидуральная гематома. Клиническое наблюдение» И.А. Борщенко, С.Л. Мигачев, А.В. Басков (журнал «Нейрохирургия» № 2, 201) [читать]
Клиническая картина СЭГ не является специфичной. Основные симптомы - парезы конечностей, гипестезия, расстройства функций тазовых органов возникают вследствие сдавления спинного мозга и корешков излившейся кровью. Первыми симптомами часто являются нарушение чувства вибрации и позы - явный признак вовлечения в процесс задних столбов спинного мозга. При увеличении гематомы вследствие компрессии двигательных (пирамидных) трактов возникает параплегия. Появление боли и нарушения чувствительности (тактильной, температурной) отмечают позже описанных симптомов – соответственно более позднему вовлечению передне-боковых спино-таламических трактов. Выраженность и быстрота развития клинической картины зависит от размера и расположения гематомы и может проявляться развитием односторонней или двусторонней слабости конечностей, потерей чувствительности различной степени выраженности, парестезиями, изменениями сухожильных рефлексов, нарушением тонуса мочевого и анального сфинктеров. Анатомически позвоночный канал грудного отдела позвоночника меньше в диаметре по сравнению с шейным и поясничным, поэтому меньшая по объему гематома в этой области будет приводить к раннему развитию яркой клинической картины. При локализация СЭГ в передне-боковых отделах позвоночного канала (описано на поясничном уровне) клиническая картина проявляется острым радикулярным синдромом (например, при радикулопатии S1 в виде болей по задней поверхности левой ноги, отсутствия ахиллового рефлекса, гипестезии в S1 дерматоме и положительного симптома Лассега). При расположении эпидуральной гематомы ниже конуса конского хвоста чаще возникает хроническое течение патологии, что связывают с большей устойчивостью корешков конского хвоста к компрессии, чем самого спинного мозга.
Диагноз спонтанной спинальной эпидуральной гематомы обычно верифицируется с помощью МРТ или компьютерной томографии в сочетании с миелографией. Спинальная ангиография в настоящее время редко используется для таких ургентных случаев, как острая спинальная эпидуральная гематома. Магнитно-резонансная томография (МРТ) является основным методом в диагностике СЭГ. Типичная МР-картина СЭГ заключается в визуализации экстрадурального объемного образования двояковыпуклой формы с четко определенными границами, сужающихся кверху и книзу. В первые 24 часа СЭГ равномерно изоинтенсивна на Т1 взвешенных изображениях, а на Т2 ВИ как правило гиперинтенсивна, но в некоторых случаях может иметь неоднородный сигнал. По истечению 48 часов, в подострой стадии, гематома, как правило, дает гетерогенный гиперинтенсивный сигнал как на Т1 ВИ, так и на Т2 ВИ. Усиление неоднородности сигнала происходит в результате образования дезокси-гемоглобина.
Лечебные мероприятия при спонтанной СЭГ заключаются в экстренном хирургическом вмешательстве - декомпрессивной ламинэктомии и опорожнении (хирургической эвакуации) гематомы. Обычно результат операции благоприятный, и он зависит от того, как быстро удалена гематома. Спонтанное разрешение острых СЭГ (самопроизвольное рассасывание) происходит редко. Показаниями к консервативному ведению таких больных являются: поздняя госпитализация больных с признаками неврологического регресса симптоматики, наблюдаемый регресс неврологической симптоматики, МРТ- или КТ-данные о регрессе гематомы.
СЭГ КАК ОСЛОЖНЕНИЕ СПИНАЛЬНОЙ ИЛИ ЭПИДУРАЛЬНОЙ АНЕСТЕЗИИ
Эпидуральная спинальная гематома - редкое осложнение спинальной или эпидуральной анестезии, которое может иметь катастрофические последствия для больного в виде необратимых неврологических нарушений, приводящих к инвалидизации пациента. Часто независимо от локализации по отношению к менингеальным оболочкам их объединяют термином «спинальная гематома», хотя истинно суб¬арахноидальные кровотечения фиксируются редко в связи с размытостью клинической картины в отличие от эпидуральных кровоизлияний, при которых кровотечение происходит в замкнутое пространство с последующим развитием неврологических осложнений. В зависимости от этиологии различают спонтанную и травматическую спинальную гематому. Клиническая симптоматика представлена болью в спине, сенсорными расстройствами, прогрессирующим моторным параличом, нарушениями дефекации и дизурией. Определяющими для диагноза являются данные КТ/МРТ, а единственным, что улучшает прогноз заболевания, - раннее хирургическое лечение. Следует отметить, что объем гематомы, приводящей к ишемии спинного мозга, вариабелен. Многие из описанных гематом меньше, чем обычные объемы крови, вводимые в эпидуральное пространство с целью пломбировки при лечении постпункционной головной боли. На сегодняшний день ни одна из предложенных моделей не объясняет клиническое течение полностью, что сильно влияет на прогнозирование как риска развития, так и клинического течения при развившейся спинальной гематоме.
В отчетах FDA с мая 1993 по октябрь 1998 гг. упоминается о 43 пациентах в США, у которых отмечались тяжелые осложнения после нейроаксиальной блокады: спинальная, эпидуральная гематома или кровотечение. В связи с этим было выполнено 28 ургентных декомпрессионных ламинэктомий. Несмотря на это, 16 пациентов были выписаны с параплегией. 78 % пациентов были женского пола, их средний возраст составил 75 лет, у 26 из них производилась хотя бы одна попытка установки эпидурального катетера, у 6 было отмечено кровотечение или гематома после удаления катетера. 3 пациента имели патологию позвоночника. Первая доза (30 мг эноксапарина) была введена перед, во время или сразу после окончания операции у 4 пациентов, на протяжении 12 ч - у 12, у 2 пациентов доза низкомолекулярного гепарина превышала рекомендуемую. Развитие клинических симптомов отмечали в среднем на 2–3-й день после начала терапии эноксапарином. 16 пациентов получали сопутствующее лечение препаратами риска (гепарин, варфарин, кеторолак) или НПВП. Факторами, предрасполагающими к развитию спинальной гематомы, в этом отчете называются превышение рекомендуемой профилактической дозы, назначение низкомолекулярных гепаринов хирургическим пациентам до обеспечения надежного гемостаза, катетеризация эпидурального пространства, сопутствующее лечение препаратами, влияющими на гемостаз, наличие аномалий позвоночника, пожилой возраст и женский пол.
В рекомендациях Американской ассоциации региональной медицины (ASRA) (Horlocker T. et al., 2003) на основании описанных случаев спинальных гематом выделяли следующие независимые факторы риска развития этого осложнения после нейроаксиальной блокады: женский пол, пожилой возраст, травматичная манипуляция, эпидуральная (по сравнению со спинальной) техника, катетеризация эпидурального пространства, периоперационное назначение низкомолекулярных гепаринов [НМГ] (сразу перед операцией, сразу после нее), раннее послеоперационное назначение НМГ, сопутствующая терапия антиагрегантами или антикоагулянтами, назначение НМГ дважды в день.
Rosencher в 2008 г. в лекции на «Евроанестезии - 2008» отметила, что общая инцидентность спинальной гематомы незначима. Инцидентность должна быть распределена по ревалентным группам: пол и возраст (очень низкая частота в молодой популяции (акушерство), но очень высокая в популяции пожилых женщин), вид анестезии (значимо более высокий риск при использовании эпидурального катетера по сравнению с одномоментной эпидуральной или спинальной анестезией), по возможности следует учитывать влияние других ассоциированных факторов.
Таким образом, базируясь на имеющихся на сегодняшний день данных о возникновении спинальных гематом, большинство исследователей указывают на следующие независимые факторы риска: возраст 75 лет и старше, женский пол, сопутствующая терапия препаратами, влияющими на систему гемостаза (гепарин, варфарин, кеторолак или другие НПВП, декстраны), патология позвоночника, травматичная пункция или множественные пункции; эпидуральная анестезия с катетеризацией имеет больший риск по сравнению с одномоментной эпидуральной анестезией, которая, в свою очередь, имеет большие риски, нежели спинномозговая анестезия. При этом точно оценить все риски остается чрезвычайно сложной задачей, что и является причиной некоторых различий в рекомендациях разных стран по проведению нейроаксиальной анестезии на фоне терапии антикоагулянтами. Хотя, учитывая соотношение инцидентности спинальной гематомы и количества пациентов, которые были включены в различные исследования, любые заключения, основанные на результатах этих исследований, могут рассматриваться только как доказательства уровня «мнение эксперта».
источник: статья «Нейроаксиальная анестезия у пациентов, нуждающихся в профилактике тромботических осложнений с использованием антикоагулянтов» Кучин Ю.Л., Кафедра анестезиологии и интенсивной терапии Национального медицинского университета им. А.А. Богомольца, г. Киев (журнал «Медицина неотложных состояний» 3-4(22-23) 2009) [читать]
Гематома на КТ головного мозга - что покажет

КТ головного мозга является приоритетным способом быстрой диагностики гематомы головного мозга при травме головы. Внутричерепные гематомы — это скопления крови в головном мозге либо в пространстве между головным мозгом и черепом. В ходе 1-3 минутного обследования врач может провести дифференциальную диагностику следующих видов скопления крови:
- Субдуральная гематома
- Эпидуральная гематома
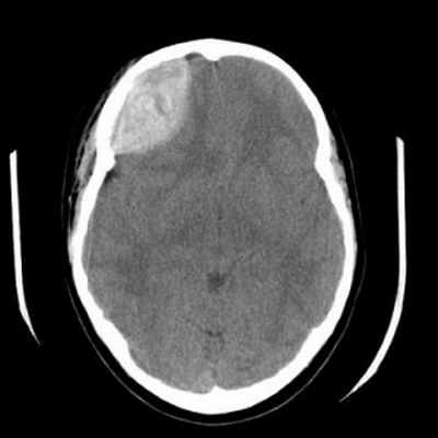
Эпидуральная гематома на КТ
Небольшое скопление крови, которое расположилось над поверхностной оболочкой мозга, называют в медицине эпидуральной гематомой. Как правило, она возникает во время перелома черепа. При таком повреждении чаще всего источником кровотечения становятся оболочечные артерии. В зависимости от расположения по отношению к мозжечку такая гематома подразделяется на подвиды:
- Субтенториальная гематома – находится ниже намета мозжечка;
- Супратенториальная гематома - находится выше намета мозжечка.
Признаки эпидуральной гематомы на КТ
Если рассмотреть эпидуральную гематому на полученных томографических снимках, то можно отметить ее особенную форму. Она напоминает двояковыпуклую линзу, что соприкасается с костью. Иногда при переломе черепа можно наблюдать такую картину: перелом кости находится прямо в области дна гематомы.
Абсолютно точный признак эпидуральной гематомы – это наличие у углов скопления крови, так называемых, ликворных «стрелок», которые появляются в случае разрыва арахноидальной оболочки. При этом ликвор постепенно переходит из арахноидальной полости в субдуральное пространство. Тут же можно наблюдать присутствие костных отломков. Что касается строения эпидуральных гематом, то их структура по обыкновению однородная. При травмах очень редко можно встретить неоднородное скопление крови или наличие газа в черепе.
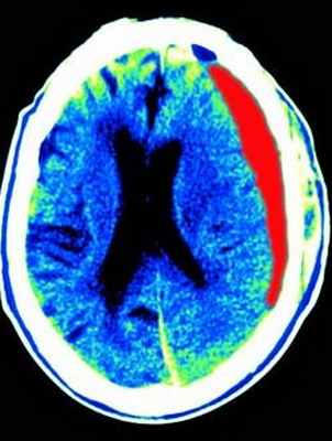
Субдуральная гематома на КТ
Небольшое скопление крови, которое расположилось под твердой оболочкой мозга, в медицине называют субдуральной гематомой. Сравнивая ее с эпидуральной, можно отметить, что она провоцирует явное, очевидное смещения мозга, а также гораздо более сильное сжатие ликворных пространств. Появляется такая гематома в связи со смещением головного мозга по отношению к его кости. Внешне она напоминает серп с острыми углами. Кажется, что такое скопление крови очень плотно прилегает к кости, хотя это не так. Источник кровотечения такого вида гематом – вены.
Признаки субдуральной гематомы на КТ
Рассматривая на томограмме субдуральную гематому, можно выделить следующие ее виды:
- Правостороннюю;
- Левостороннюю;
- Задней черепной ямки.
Что касается их внешнего вида, то в острой фазе все они показывают высокую плотность, по структуре однородны.
Подострые гематомы на изображении отличаются от тех, что фиксируются в острый период. Они приобретают капсулу, по плотности становятся схожи с веществом мозга, а также способны увеличиваться. При хроническом течении гематома тоже имеет капсулу, но отличается тем, что она гипотензивна, способна вызывать атрофию извилин и коры головного мозга, что прилежат к ней.
Что касается структуры субдуральных гематом, то они характеризуются на КТ сканировании:
- Атипичной локализацией;
- Слоистой структурой;
- Нехарактерной формой;
- Не зависимо от размера скопления крови наблюдается масс-эффект;
- Медленным расправлением мозга;
- Нередко перерастает в хроническую или подострую форму.
Что входит в КТ головного мозга
В стандартный протокол КТ головного мозга входит обследование следующих структур:
- серое вещество головного мозга
- белое вещество головного мозга
- субарахноидальное пространство
- желудочки мозга,
- хиазмально-селлярная область
- краниовертебральный переход
- внутренние слуховые проходы
- наружные слуховые проходы
- кости основания и свода черепа.
Дифференциальная диагностика гематом на КТ
Чтобы врачу дифференцировать гематомы, он сравнивает такие характеристики:
- Определяет форму гематомы;
- Изучает ее вершины и углы;
- Соотносит длину и ширину;
- Рассматривает прилежание к костям;
- Выявляет смещение структур;
- Находит отхождение венозных коллекторов.
Вершина эпидуральной гематомы характеризуется значением от 40 градусов и более, соотношение длины и ширины равняется пять к одному или чуть меньше. К тому же она плотно соприкасается с костями, практически не вызывает смещение мозга.
Вершина субдуральной гематомы всего 20% или меньше, соотношение размера больше, чем пять к одному, не примыкает к костям, влияет на заметное смещение мозга.

- Кармазановский, Г.Г. Клиническая компьютерная томография / Г.Г. Кармазановский // Лечащий врач. 1998. - № 6.
- Коновалов А.Н., Махмудов У.Б., Филатов Ю.М. и соавт.: Клиника, диагностика и хирургическое лечение гематом ствола мозга. Журн. «Вопросы Нейрохирургии» 1
- Бабчин А.И. Травматические субдуральные гидромы: Автореф. дисс. канд. мед. наук. JI., - 1982.
- 1. Бабчин А.И. Травматические субдуральные гидромы: Автореф. дисс. канд. мед. наук. JI., - 1982.
Коновалов А.Н., Корниенко В.Н. Компьютерная томография в нейрохирургической клинике. М.: Медицина, 1985.
Горбацевич А.Б. , Шустин В.А. К диагностике и хирургическому лечению хронических субдуральных гематом //Вопросы нейрохирургии. -1961.-N5.
Кандель Э.И., Чеботарева Н.М., Вавилов С.Б. Компьютерная томография в диагностике субдуральных гематом // III Всесоюзный съезд нейрохирургов: Тез. докл. -М., 1982
Корниенко В.Н., Васин Н.Я., Кузьменко В.А. Компьютерная томография в диагностике черепно-мозговой травмы. М.: Медицина, 1987.
Кузнецов С.В. Клинические и компьютерно-томографические сопоставления при черепно-мозговой травме: прогнозирование исходов // Вопр. нейрохирургии. 1986,- № 3
Середа А.П. Травматические субдуральные гидромы (клиника, диагностика и хирургическое лечение): Автореф. дисс. .канд. мед. наук. -Киев, 1981.
Информационные статьи о диагностике

Магнитно-резонансная томография головного мозга - это послойное сканирование тканей мозга с последующей их визуализацией в виде объемных черно-белых томограмм. Принцип работы МР-томографа строится на эффекте ядерного магнитного резонанса. МРТ аппарат состоит из диагностического стола, сканирующей установки со встроенным мощным магнитом и компьютера для обработки данных. Когда голова пациента
В клиниках Санкт-Петербурга томографию мозга проводят по двум основным протоколам - МРТ головного мозга без контраста (она же нативная магнитно-резонансная томография) и МРТ головного мозга с контрастным усилением. В 70% случаев бесконтрастного обследования достаточно для того, чтобы провести диагностику.

При диагностике инсульта в медицинских центрах Санкт-Петербурга на помощь врачам приходит компьютерная томография и МРТ головного мозга и сосудов головы и шеи. Инсульт - это опасное нарушение мозгового кровообращения с необратимым повреждением тканей мозга. При инсульте умирают клетки вещества мозга, поскольку затрудняется или прекращается поступление крови к тому или иному участку мозга. Факторы,
МРТ диагностика кровоизлияний в мозг

МРТ головного мозга. Т1-взвешенная аксиальная МРТ. Субдуральная гематома. Цветовая обработка изображения.
Все кровоизлияния в мозг могут быть разделены на следующие типы:
- интрапаренхимальное
- субарахноидальное
- субдуральное
- эпидуральное
- внутрижелудочковое
- внутриопухолевое
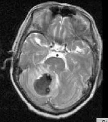
Интрапаренхимальные кровоизлияния являются следствием гипертонии и проявляются в виде кровоизлияний в вещество мозга (геморрагический инсульт) и гипертензивных синдромах. Геморрагический инсульт возникает вследствие разрыва изменённых (гиалиноз, микроаневризмы) сосудов при повышении артериального давления. Частота геморрагического инсульта составляет около 9 случаев на 100 тысяч населения. Это 10-18% от всех смертей. По отношению к всем острым нарушениям мозгового кровообращения (ОНМК) на геморрагический инсульт приходится 10-20%. Кроме того, еще наблюдаются вторичные диапидезные кровоизлияния при ишемическом типе ОНМК. Также кровоизлияния типичны для венозных инфарктов. Возраст пациентов обычно старше 45 лет. Локализация геморрагического инсульта может быть почти любой, но чаще это базальные ядра, таламус, мозжечок.
Диагностика состоит в выполнении КТ и МРТ головного мозга. Отображение крови на МРТ зависит от сроков.

МРТ головного мозга. Аксиальная Т2-взвешенная МРТ. Кровоизлияние в мозжечок.

МРТ головного мозга. Т1-взвешенная корональная МРТ. Смешанный ишемический инсульт. Ранняя подострая стадия.
Субарахноидальное кровоизлияние (САК) – это кровоизлияние между арахноидальной и мягкой мозговыми оболочками. Эпидемиология САК отличается в разных странах, в России около 6 на 100 тысяч населения. Самой частой причиной САК является травма, затем разрыв мешотчатой аневризмы (85% от нетравматических спонтанных кровоизлияний). На оставшиеся 15% нетравматических кровоизлияний приходятся доброкачественное перимезэнцефальное кровоизлияние неясной этиологии и разрыв вен. Смертность от САК очень высокая, и зависит от массивности и расположения кровоизлияния.
Клинические проявления состоят из:
- Неожиданно приступ тяжёлой головной боли
- Фотофобия, тошнота, рвота
При неврологическом осмотре выявляются менингеальные знаки – часто единственный признак САК. Ксантохромия СМЖ появляется через 12 и более часов после САК и может быть только методом позднего его подтверждения. Предлагаются разные подходы к лучевой диагностике САК. В первые сутки предпочтительна МРТ, так как кровь уже может быть видна на Т2-МРТ градиентного типа или FLAIR. В более поздние сроки, до 3-5 дня предпочтительнее КТ. Затем опять МРТ, которая чувствительнее КТ в подострую и хроническую фазы кровоизлияния.
Количество крови оценивается по шкале Фишера. Она делит кровоизлияние на 4 группы:
- Не визуализируется кровь
- Диффузное САК с толщиной до 1 мм, без сгустков
- Сгустки крови и (или) толщина САК больше 1 мм
- Внутримозговое или внутрижелудочковое кровоизлияние в сочетании с САК

МРТ головного мозга. Аксиальная МРТ типа FLAIR. Аневризма и САК, внутрижелудочковое кровоизлияние.
Субарахноидальное кровоизлияние опасно вазоспазмом, который наблюдается на 5-7 сутки. Сам спазм хорошо определяется при дуплексном сканировании. При МРТ головного мозга можно выявить ранние признаки ишемического инсульта.

МРТ головного мозга. Диффузионно-взвешенная МРТ последовательность. ОНМК в острой стадии вследствие вазоспазма.
Субдуральная гематома обычно возникает вследствие разрыва вен. Причины субдуральной гематомы – травма, антикоагулянтная терапия, резкая декомпрессия при шунтировании желудочков по поводу гидроцефалии. Очень редко встречаются субдуральные гематомы при разрыве аневризм и АВМ. Клинические проявления связаны смасс-эффектом. Частота субдуральных гематом составляет около 1 случая на 10 тысяч населения. Располагаются субдуральные гематомы по конвекситальной поверхности, изредка, вдоль межполушарной щели и намёта, в области задней черепной ямки. Может быть сочетание субдуральной гематомы с кровоизлиянием в соседние участки мозга. прогноз в этих случаях неблагоприятный. Отображение гематомы на КТ и МРТ зависит от их давности. Субдуральные гематомы имеют форму серпа.

МРТ головного мозга. Аксиальная Т2-взвешенная МРТ. Подострая субдуральная гематома.
Эпидуральная гематома (экстрадуральная гематома) имеет травматическое происхождение. Это скопление крови внутренний костной пластинкой и твердой мозговой оболочкой. Обычно гематома расположена под областью перелома костей черепа. Причиной кровоизлияния является разрыв оболоченной артерии. Встречаются эпидуральные гематомы вдвое реже субдуральных. По форме гематома двояковыпуклая. Чаще всего диагностируется в неотложных условиях методом КТ. МРТ обычно применяется при спинальных эпидуральных гематомах.

КТ. Эпидуральная гематома.
Внутрижелудочковые кровоизлияния бывают первичные и вторичные. Первичные кровоизлияния наблюдаются при внутрижелудочковых опухолях, некоторых аневризмах (задней нижней мозжечковой со скоплением крови в 4 желудочке) и субэпендимальных кавернозных ангиомах. Вторичные кровоизлияния возникают как следствие прорыва крови в желудочки при интрапаренхимальных кровоизлияниях и САК.

МРТ головного мозга. Аксиальная Т2-взвешенная МРТ типа FLAIR. Внутрижелудочковое кровоизлияние.
Внутриопухолевые кровоизлияния встречаются редко. обычно они не обширные, как, например, при апоплексиях аденом гипофиза. Апоплексия – это острое нарушение кровоснабжения гипофиза с некрозом или кровоизлиянием. Частота около 10% случаев макроаденом. Клинически апоплексия появляется головными болями, рвотой и зрительными нарушениями. Изредка обширные кровоизлияния наблюдаются в метастазах.

МРТ головного мозга. Корональная Т1-взвешенная МРТ. Апоплексия макроаденомы гипофиза с кровоизлиянием.
Внутримозговое кровоизлияние любого типа относится к экстренным состояниям и МРТ в СПб выполняется, как правило в приемном покое больницы, либо делают срочно КТ. В подострую стадию возможности МРТ СПб позволяют выполнять исследование стационарных условиях и в хронической на открытом МРТ.
Эпидуральная гематома спинного мозга

Эпидуральная гематома спинного мозга представляет собой излияние крови в область, расположенную между твердой оболочкой спинного мозга и стенками позвоночного канала. Большое количество крови в эпидуральной полости сдавливает центральную часть спинного мозга и его корешки, вызывая неврологические расстройства.
Патология является разновидностью гепатомиелии и встречается довольно редко и требует быстрого лечения во избежание негативных последствий.
В основном гематома спинного мозга распространяется в шейном и грудном отделе у молодых людей и в пояснично-крестцовом отделе у пациентов старшего возраста.
Эпидуральная гематома спинного мозга бывает двух видов – травматическая, связанная с повреждением позвоночника и спонтанная, возникающая по иным причинам.
Травматический вид у молодых людей протекает без костных деформаций.
Причины возникновения
Эпидуральная гематома, вызванная травмой, развивается в ходе:
- перелома позвоночника,
- вывиха позвонков,
- ушиба позвоночного столба при падении или ударе,
- родовой травмы у новорожденных,
- огнестрельного ранения.
Намного реже излияние крови в эпидуральном пространстве развивается как осложнение после операции на позвоночнике, спинальной анестезии или люмбальной пункции.
Найти причину спонтанного спинального кровоизлияния сложнее. Как правило, оно обусловлено:
- нарушением процесса свертывания крови в ходе наследственного генеза, приема разжижающих кровь препаратов, последствий гемофилии,
- варикозным расширением вен, локализующихся эпидуральном пространстве,
- артериальной гипертензией полых вен,
- анатомически неправильным расположением сосудов в эпидуральном пространстве,
- аневризмой,
- венозными аномалиями,
- внезапным подъемом внутригрудного и внутрибрюшного давления,
- образованием разного размера сосудов, артерий и вен
Кровоизлияние образуется при гипермобильности и нестабильности позвоночника, спайках в структурах позвоночника, лордозе, экстремальной физической нагрузке. Вены в эпидуральном пространстве чрезмерно натягиваются, повреждаются, а кровь заполняет окружающие ткани.
Симптомы и признаки

Патология развивается внезапно. На участке повреждения обостряется резкая боль из-за раздражения нервных корешков. Болевой синдром схож с болью при радикулите – острый, сильный, не позволяющий двигаться.
Через 3-6 часов усиливаются другие признаки эпидуральной спинной гематомы:
- слабость в мышцах и общее снижение мышечного тонуса,
- сенсорные нарушения – непроизвольные движения и тики, сниженная реакция на движения, онемение конечностей и других участков тела,
- неравномерные и несимметричные сухожильные рефлексы,
- изменение походки,
- недержание мочи и другие изменения функций внутренних органов.
Если сразу не оказать медицинскую помощь, развивается частичный или полный парез.
Какой врач лечит
Эпидуральную гематомы спинного мозга устраняет невролог вместе с травматологом и хирургом.
Диагностика
Подтвердить точный диагноз, основываясь на симптоматику, не удастся. Необходима инструментальная диагностика – КТ или МРТ, причем магнитная томография – более информативный метод. Томография отличает данный вид гематомы от других видов кровоизлияний (прежде всего, от субарахноидального излияния крови и субдуральной гематомы), помогает оценить силу сжатия спинного мозга, визуализирует симптомы миелопатии компрессионного типа, показывает границы кровоизлияния.
Если томографию сделать невозможно, то обследование заменяется люмбальной пункцией, дополненной контрастной миелографией.
По необходимости при подозрении на осложнения выполняют КТ сосудов или МР-ангиографию. Методы позволяют оценить скорость движения кровотока, выявить сосудистые аномалии.
Методы лечения
Основной способ устранения гематомы хирургический, поскольку эпидуральная гематома спинного мозга не может рассосаться самостоятельно. Осуществляется ламинэктомия, в ходе которой хирург сначала убирает дужку позвонка, затем устраняет гематому вакуумной аспирацией и послойно зашивает хирургическую рану. В результате этих действий сдавливание спинного мозга прекращается, а давление на центральную нервную систему исчезает.
Одной операции недостаточно, ведь требуется устранить причину патологии и предотвратить дальнейшее прогрессирование. Консервативная терапия назначается после операции, когда пациент переводится в палату, а на повторных снимках диагностируется уменьшение гематомы. Травматолог при эпидуральной гематоме травматического характера и невролог при спонтанной эпидуральной гематоме проводят лечение для устранения сопутствующей симптоматики и полного рассасывания гематомы.
Медикаментозная терапия предполагает прием:
- гемокоагулянтов,
- антигипоксантов,
- антихолиэстерзных средств,
- нейрометаболитов и витаминов группы В.
Если нарушена функция мочевого пузыря, выполняется катетеризация органа.
Результаты лечения
Благоприятный прогноз фиксируется при быстром обращении за медицинской помощью и своевременно выполненной операции, пока отсутствуют признаки неврологического дефицита.
Если в спинном мозге возникли необратимые последствия, спинной мозг сдавлен, то после лечения эпидуральной гематомы останутся нарушения чувствительности, парез конечностей, расстройства таза и мочеиспускания.
Реабилитация и восстановление образа жизни

Восстановительный период после операции длится не менее двух месяцев. Невролог назначает мероприятия для нормализации двигательной функции, стабильного функционирования центральной нервной системы.
Под контролем инструктора больной выполняет физические упражнения, подобранные индивидуально, а также ходит на лечебный массаж.
Образ жизни при эпидуральной гематоме спинного мозга
В дальнейшем нужно дозировать нагрузку на позвоночник, не поднимать тяжести свыше двух килограмм, отказаться от спортивных тренировок.
Необходимо избегать приема препаратов, направленных на коррекцию свертываемости крови, чтобы предотвратить рецидив эпидурального кровоизлияния.
Читайте также:
