МРТ при валлеровой дегенерации
Добавил пользователь Владимир З. Обновлено: 23.11.2025
Методы визуализации играют важнейшую роль в диагностике и лечении дегенеративных нарушений, таких как заболевания, поражающие мозг (болезнь Альцгеймера и болезнь Паркинсона) и костно-мышечную систему (остеопороз и артрит).
Ядерная медицина и болезни головного мозга
За последние 30-40 лет одновременно с повышением продолжительности жизни во всем мире, в обществе возрастает бремя нейродегенеративных заболеваний мозга, затрагивающих прежде всего пожилых людей. Среди этих болезней наиболее распространена и наиболее широко известна болезнь Альцгеймера, поскольку она поражает как интеллект, так и эмоциональное благополучие своих жертв, и имеет потенциально разрушительное воздействие на их жизнь и жизни их семей.
Диагностика нейродегенеративных заболеваний чрезвычайно сложна. Пациенты часто демонстрируют лишь слабовыраженные и неоднозначные признаки и симптомы, и даже результаты диагностической визуализации не всегда ясны. К тому времени, когда на изображениях видны безошибочные признаки болезни, пациенты часто уже демонстрируют достаточные симптомы для однозначного диагноза.
В течение последних четырех десятилетий диагностическая визуализация выполняла целый ряд функций в исследовании болезни Альцгеймера. Для исключения других причин деменции первоначально использовалась компьютерная томография, позже магнитно-резонансная томография (МРТ). Относительно недавно при помощи различных методы визуализации, включая структурную и функциональную МРТ и позитронно-эмиссионную томографию, стали выявлять характерные изменения в мозгу пациентов с болезнью Альцгеймера. Однако ни один метод визуализации не является универсальным, поскольку у каждого есть свои собственные достоинства и недостатки.
Визуализация также играет важную роль в проведении научных исследований, поскольку помогает решать многие научные вопросы и обеспечивает углубленное понимание эффектов болезни Альцгеймера и ее естественной динамики. Это признанный инструмент разработки лекарственных препаратов, который также становится все более востребованным при проведении клинических испытаний для их тестирования.
Ядерная медицина и болезни костно-мышечной системы
Диагностика с использованием ядерных методов также важна при болезнях костно-мышечной системы. Наиболее распространенной из этих болезней является остеопороз, который особенно часто встречается у женщин в возрасте постменопаузы. Эта болезнь характеризуется замедленным формированием костной ткани, чрезмерной потерей костной массы или комбинацией обоих процессов, что приводит к хрупкости костей и повышенному риску переломов бедра, позвоночника и запястья. Для измерения плотности кости могут использоваться рентгеновские методы. Самым точным является сканирование методом двухэнергетической рентгеновской абсорбциометрии, при помощи которого выявляют небольшие изменения в костной массе пациента путем сравнения его плотности кости с плотностью кости здоровых взрослых людей, причем взрослых людей того же возраста.
Диагностика валлеровской дегенерации на снимках МРТ и КТ головного мозга
Что такое валлеровская дегенерация и причины ее появления
- Валлеровская дегенерация обычно возникает вследствие инсульта головного мозга
- Реже причиной являются опухоли, кровоизлияния и сосудистые мальформации
- Антеградная дегенерация нервного волокна вследствие повреждения тела нервной клетки или проксимальных отделов ее аксона
- Чаще всего определяется в пирамидном пути, реже в сосцевидно-таламическом пучке, своде или мозолистом теле.
Клинические проявления
Зависит от основного заболевания, например, инсульта.
Какой метод диагностики валлеровской дегенерации выбрать: МРТ, КТ, ангиографию
Метод выбора
Информативна ли МСКТ головного мозга при антероградной дегенерации
Часто лишь атрофия пораженных зон в терминальной стадии.
Что покажут снимки МРТ головного мозга при валлеровой дегенерации
- Стадия 1 (острая): До 4 нед. после повреждения на традиционных МР-изображениях не определяются патологические изменения сигнала.
- Стадия 2 (подострая): Спустя 4-14 нед. на Т2-ВИ визуализируется гипоинтенсивная зона, обусловленная начальным, а не биохимическим распадом миелина и компонентов аксона.
- Стадия 3 (хроническая): Гиперинтенсивная зона на Т2-ВИ (распад жиров и липопротеинов, вазогенный отек, глиоз).
- Стадия 4: Атрофия
- Раннее выявление возможно при использовании метода переноса намагниченности (ПМ) и диффузионно-взвешенных изображений.
Что хотел бы знать лечащий врач
- Объем
- Локализация
- Пораженные структуры.
Какие заболевания имеют симптомы, схожие с дегенерацией Валлера головного мозга
Двухстадийный инсульт головного мозга:
- В острой стадии инфаркта снижен ИКД
-Локализуется не вдоль структур проводящего пути, а в пределах бассейна артерии
Отек мозга:
- Не локализуется исключительно вдоль структур проводящего пути.
Лечение
Эффективного лечения нет.
Врачи каких специальностей диагностируют и лечат дегенерацию мозга Валлера
-невропатолог (определение неврологического дефицита)
- Врач функциональной диагностики (подтверждение диагноза с помощью дополнительных методов исследования)
Прогноз
Зависит от основного заболевания.
Возможные осложнения и последствия
Зависят от протекания основного заболевания

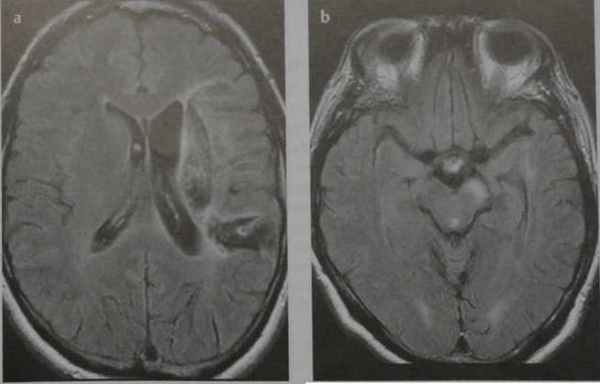
Валлеровская дегенерация вследствие инсульта в бассейне средней мозговой артерии в левом полушарии большого мозга. Р1_А1К-изображения (а, b) и Т2-ВИ в аксиальной плоскости (с). В зоне, кровоснабжаемой левой средней мозговой артерией, визуализируется кистозный дефект с глиозом (а). Определяется повышенная интенсивность сигнала от пирамидного пути в левой ножке мозга (b) и в продолговатом мозге слева (с).
Валлерова дегенерация

Развитие валлеровой дегенерации в периферийных нервах после их разрыва и сдавливания (англ. cut and crush ), вблизи от места поражения (слева) и вдали (справа), через 37, 40, 42 и 44 часа после разрыва (сверху вниз).
Валлерова дегенерация (валерианова дегенерация, антероградная дегенерация) - процесс разрушения участка аксона, отделённого от основной части нейрона при разрыве. Впервые описана в 1850 году британским нейрофизиологом Августом Валлером (1816-1870) при исследовании рассечённых нервов лягушек. [1] После повреждения в месте разрушенного аксона размножаются шванновские клетки, а с центрального конца поврежденного аксона начинается рост вдоль этих клеток (если концы поврежденного нервного волокна были сопоставлены). Концы аксонов, не "нашедшие" свой "конец", утолщаются, образуя неврому. Неврома может быть источником болей у больного.
Смотри также
Примечания
- ↑ Waller A. “Experiments on the section of the glossopharyngeal and hypoglossal nerves of the frog, and observations of the alterations produced thereby in the structure of their primitive fibres.” Philos. Trans. R. Soc. London 1850, 140:423–29
Wikimedia Foundation . 2010 .
Полезное
Смотреть что такое "Валлерова дегенерация" в других словарях:
Валлерианова дегенерация — Развитие валлеровой дегенерации в периферийных нервах после их разрыва и сдавливания (англ. cut and crush), вблизи от места поражения (слева) и вдали (справа), через 37, 40, 42 и 44 часа после разрыва (сверху вниз). Валлерова дегенерация… … Википедия
Диффузное аксональное повреждение головного мозга — Диффузное аксональное повреждение мозга Диффуз … Википедия
Аксон — 9 дневной мыши Аксон (греч. ἀξον ось) нейрит, осевой цилиндр, отросток нервной клетки, по кото … Википедия
Аксонный транспорт — это перемещение по аксону нервной клетки различного биологического материала. Аксональные отростки нейронов отвечают за передачу потенциала действия от тела нейрона к синапсу. Также аксон представляет собой путь, по которому осуществляется… … Википедия
Диффузное аксональное повреждение мозга — radio/216 MeSH D020833 Диффузное аксональное повреждение головного мозга (ДАП) распространённый вид черепно мозговой травмы, при которой ре … Википедия
Нейрит — Аксон 9 дневной мыши. Аксон (греч. áxōn ось) нейрит, осевой цилиндр, отросток нервной клетки, по которому нервные импульсы идут от тела клетки (сомы) к иннервируемым органам и др. нервным клеткам. От каждой нервной клетки (нейрона) отходит… … Википедия
Нейриты — Аксон 9 дневной мыши. Аксон (греч. áxōn ось) нейрит, осевой цилиндр, отросток нервной клетки, по которому нервные импульсы идут от тела клетки (сомы) к иннервируемым органам и др. нервным клеткам. От каждой нервной клетки (нейрона) отходит… … Википедия
НЕРВНЫЕ БОЛЕЗНИ — НЕРВНЫЕ БОЛЕЗНИ. Содержание: I. Классификация Н. б. и связь с б нями других органов и систем. 569 II. Статистика нервных болезней. 574 III. Этиология. 582 IV. Общие припципы диагностики Н. б. 594 V.… … Большая медицинская энциклопедия
НЕВРОННАЯ ТЕОРИЯ — НЕВРОННАЯ ТЕОРИЯ. Неврономпринято называть нервную клетку со всеми ее отростками дендритами и невритом (см. Нервные клетки), включая сюда и окончания этих отростков (двигательные и чувствительные нервные окончания). Под невронной теорией… … Большая медицинская энциклопедия
Диффузное аксональное повреждение головного мозга
Диффузное аксональное повреждение головного мозга (ДАП) — распространённый вид черепно-мозговой травмы, при которой резкое ускорение либо торможение головы, например, в момент ДТП, приводит к натяжению и разрыву аксонов.
Ко́ма (от κῶμα — глубокий сон) — угрожающее жизни состояние между жизнью и смертью, характеризующееся потерей сознания, резким ослаблением или отсутствием реакции на внешние раздражения, угасанием рефлексов до полного их исчезновения, нарушением глубины и частоты дыхания, изменением сосудистого тонуса, учащением или замедлением пульса, нарушением температурной регуляции.
Компьютерная томография
Компьютерный томограф Компью́терная томогра́фия — метод неразрушающего послойного исследования внутреннего строения предмета, был предложен в 1972 году Годфри Хаунсфилдом и Алланом Кормаком, удостоенными за эту разработку Нобелевской премии.
Синдром детского сотрясения
Синдром детского сотрясения (СДС) (синдром встряхнутого ребёнка, SBS) – комплекс органических нарушений, которые могут возникнуть, если организм ребёнка испытает сотрясение.
Магнитно-резонансная томография
МРТ-изображение головы человека Магни́тно-резона́нсная томогра́фия (МРТ) — способ получения томографических медицинских изображений для исследования внутренних органов и тканей с использованием явления ядерного магнитного резонанса.
Мозговой ствол
Мозгово́й ствол, или ствол головного мозга, — традиционно выделяющийся отдел третьего мозга, представляющий собой протяжённое образование, продолжающее спинной мозг.
Валлерова дегенерация
cut and crush), вблизи от места поражения (слева) и вдали (справа), через 37, 40, 42 и 44 часа после разрыва (сверху вниз). Валлерова дегенерация (валерианова дегенерация, антероградная дегенерация) — процесс разрушения участка аксона, отделённого от основной части нейрона при разрыве.
Дорожно-транспортное происшествие
Небольшое дорожно-транспортное происшествие в Токио ДТП в Донецке. Два человека погибли Последствия для автомобиля при боковом столкновении Последствия для микроавтобуса при лобовом столкновении Доро́жно-тра́нспортное происше́ствие — событие, возникшее в процессе движения по дороге транспортного средства и с его участием, при котором погибли или пострадали люди или повреждены транспортные средства, сооружения, грузы, либо причинён иной материальный ущербПравила дорожного движения Российской Федерации.
Перенаправления здесь:
Юнионпедия это понятие карту или семантическая сеть организована как энциклопедия или словарь. Это дает краткое определение каждому понятию и его отношений.
Это гигантский онлайн ментальная карта, которая служит в качестве основы для концептуальных диаграмм или синтетических фотографий. Это бесплатно в использовании и каждый элемент или документ может быть загружен. Это инструмент, ресурс или ссылка для изучения, исследования, образование, обучение, учителя могут использовать, учителей, профессоров, преподавателей, учеников или студентов; или школа для академического мира, в школу, начальное, среднее, средней, колледж, технической степени, университет, студентов, магистров или докторские степени; для бумаг, отчетов, документов, проектов, идей, документации, резюме, обследований или диссертации. Вот определение, объяснение, описание, или смысл каждого значительным, на котором вам нужна информация, а также список или перечень соответствующих концепций, как кажется глоссарий. Доступна на русский, английский, испанский, португальский, японский, китайский, французский, немецкий, итальянский, польский, нидерландский, арабский, хинди, шведский, украинский, венгерский, каталанский, чешский, иврит, датский, финский, индонезийский, Норвежский, румынский, турецкий, вьетнамский, корейский, тайский, греческий, болгарский, хорватский, словацкий, литовский, филиппинский, латышский, эстонский и словенский. Другие языки в ближайшее время.
Вся информация была извлечена из Википедия, и это доступно в соответствии с лицензией Creative Commons Attribution-ShareAlike.
Google Play, Android и логотип Google Play являются товарными знаками корпорации Google Inc.
Новый взгляд на патогенез и терапию нейропатической боли
Резюме. Оценка значимости механизмов иммунореактивности организма.
![]()
Патофизиология альтерации периферических нервных структур
Известно, что повреждения периферических нервов влекут за собой вторичную деградацию дистальных аксональных участков посредством механизма антероградной дегенерации. Указанное приводит к активации генетической программы аксонального роста, позволяющей реиннервировать поврежденные участки тканей в пермиссивной среде за счет инфильтрации иммунными клетками. Несмотря на то что такой адаптивный ответ на повреждение аксонов облегчает фагоцитоз поврежденных участков, создавая условия регенерации аксонов, он также служит основой развития неадаптивного синдрома нейропатической боли. С учетом этого принципы активации нейроиммунных сигнальных механизмов повышенной чувствительности в результате повреждения периферических нервных структур являются предметом множества исследований.
Активация механизма дегенерации сенсорных аксонов наблюдается при отделении их от тела нейрона. В то же время частичное повреждение периферических нервов позволяет сохранить целостность поврежденных аксонов. В исследовании, проведенном научными сотрудниками Детской больницы Бостона и Гарвардской медицинской школы (Children’s Hospital Boston and Harvard Medical School), США, были уточнены молекулярные механизмы иммунореактивности в ответ на повреждение аксонов. В частности, установлено, что эндогенный лиганд рецептора естественных клеток-киллеров NK – NKG2D семейства RAE1 – повторно экспрессируется в нейронах ганглия дорсального корешка после повреждения периферических нервов, вызывая селективную дегенерацию поврежденных аксонов. По словам авторов, полученные данные расширяют представления о механизмах формирования нейропатической боли и могут изменить понимание патогенеза и, возможно, методов терапии этого синдрома. Статья по материалам исследования опубликована в издании «Cell» 31 января 2019 г.
Иммунологические механизмы нейродегенерации
На исходном этапе экспериментального исследования in vitro учеными выявлено, что NK-клетки, представляющие неспецифические механизмы иммунитета, принимают активное участие в процессах аксональной сепарации. В дальнейшем на этапе культивирования сенсорных нейронов in vitro было отмечено, что диссоциированные нейроны проявляют тенденции к экспрессии RAE1 — протеина, представляющего специфические рецепторные участки по отношению к NK-клеткам. Более того, при сочетанном культивировании NK-клеток и сенсорных нейронов естественные киллеры принимали активное участие в процессе деградации поврежденных аксонов. Так, установлено, что NK-клетки оказывают специфическое деструктивное влияние непосредственно на аксоны нейронов, не затрагивая при этом тела нервных клеток. Такое наблюдение позволило авторам выдвинуть гипотезу о потенциальной возможности репарации новых аксонов.
Далее в поисках ответа на вопрос о реализации наблюдаемых явлений in vitro в живом организме ученые моделировали активацию естественных клеток-киллеров в организме лабораторных животных, после чего частично повреждали n. ischiadicus. В процессе наблюдения установлено, что нейроны инициируют экспрессию рецепторов, формирующих восприимчивость к атакам естественных клеток-киллеров. Выявлено, что инфильтрация цитотоксических NK-клеток в седалищный нерв путем экстравазации происходила в течение 3 дней после повреждения нерва. Таким образом, NK-клетки выполняли функцию элиминации поврежденных аксональных участков.
В течение нескольких дней после повреждения нерва у животных, которых подвергали иммуностимуляции, наблюдалось значимое снижение чувствительности в пораженной конечности. Однако завершение элиминации поврежденных структур способствовало активации процессов репарации аксонов. Так, через 2 нед после повреждения периферического нерва у лабораторных мышей основной группы наблюдали восстановление чувствительности пораженной конечности. Наряду с этим в контрольной группе животных временные сроки восстановления чувствительности не отличались от наблюдаемых в экспериментальной группе. Однако с учетом низкого уровня элиминации от поврежденных аксональных структур тесты продолжали демонстрировать у животных высокий уровень болевых ощущений, вызываемых прикосновением к поврежденной конечности через 30 и более дней после травмы.
Таким образом, используя комбинацию генетической абляции клеток и комплексной стимуляции цитокином-антителом, исследователи установили, что функция NK-клеток коррелирует с потерей чувствительности из-за дегенерации поврежденных афферентов и снижения гиперчувствительности после травмы. В обсуждении результатов ученые отметили, что наблюдаемый в эксперименте сценарий аналогичен таковому при развитии нейропатического болевого синдрома, при котором поврежденные терминали аксонов могут продолжать поддерживать болевую импульсацию в структуры центральной нервной системы, формируя основу хронического болевого синдрома и гиперчувствительности. Основываясь на этом, авторы предположили, что наблюдаемый нейроиммунный механизм селективной опосредованной NK-клетками дегенерации поврежденных, но интактных сенсорных аксонов, дополняет процесс Валлеровой дегенерации, предполагая терапевтический потенциал модуляции функции NK-клеток в лечении при нейропатии посредством элиминации частично поврежденных нервных терминалей.
Перспективы терапии при нейропатической боли
Подводя итоги исследования, авторы подчеркнули, что внедрение в механизмы функционирования иммунной системы всегда содержит риск. Однако полученные результаты предполагают, что поиск безопасного способа модулировать функцию NK-клеток может оптимизировать процессы очищения поврежденных аксонов, обеспечить формирование среды репарации функционально активных аксонов и потенциально предотвратить возможность развития хронического нейропатического болевого синдрома.
В целом, по мнению исследователей, более глубокое понимание роли NK-клеток в селективной аксональной дегенерации может послужить не только более глубокому пониманию механизмов нейропатической боли, но и расширению взглядов относительно терапии при болевом синдроме.
Читайте также:

