Определение дивертикулярной болезни
Добавил пользователь Евгений Кузнецов Обновлено: 19.12.2025
Дивертикулярная болезнь толстого кишечника - это заболевание, при котором образуются множественные выпячивания стенки толстой кишки, иногда наблюдается воспаление в области дивертикулов. Течение дивертикулярной болезни сопровождается спазмами живота, запорами, тошнотой, общей интоксикацией. Возможными осложнениями являются кровотечения, перитонит, кишечная непроходимость. Обследование включает проведение колоноскопии, ирригоскопии, рентгенографии пассажа бария. Тактика лечения зависит от выраженности симптоматики и может быть консервативной (диета, антибиотикотерапия, спазмолитики) либо хирургической (резекция участка кишки).
МКБ-10

Общие сведения
Дивертикулы толстой кишки представляют собой небольшие образования, по сути являющиеся растянутым наружу участком стенки толстого кишечника (карманом). Они возникают вследствие перерастяжения ослабленных участков стенки кишки при избыточном давлении в ней. Как правило, дивертикулез проявляется болью в животе (чаще всего в левой части). Дивертикулы кишечника довольно часто воспаляются, поскольку являются удобным местом размножения патогенных бактерий. При этом может отмечаться повышении температуры тела и симптомы общей интоксикации. Частота заболеваемости дивертикулярной болезнью может достигать 20% населения. Среди лиц пожилого возраста (60-80 лет) заболеваемость составляет до 40-50%. До сорока лет заболевание развивается редко, встречается равно одинаково как у мужчин, так и у женщин.
Формирование дивертикулов возможно в любом отделе пищеварительного тракта (к примеру, врожденное состояние – дивертикул Меккеля – располагается в терминальной части тонкого кишечника), но чаще всего дивертикулы образуются в толстом кишечнике (в особенности в сигмовидной кишке), что связано с особенностями анатомического строения стенки толстого кишечника. Осложнения дивертикулярной болезни могут угрожать жизни пациентов.
Причины
Наиболее значимый фактор развития дивертикулярной болезни толстого кишечника – диета, бедная растительной клетчаткой. В этой связи отмечается повышенная заболеваемость дивертикулезом в развитых странах, где большинство населения употребляет богатую клетчаткой пищу в значительно меньших количествах.
Клетчатка входит в состав овощей, фруктов и злаков. Она способствует размягчению стула и более легкому транзиту химуса по кишечнику. При недостатке клетчатки в пищевом рационе развивается склонность к затруднениям опорожнения кишечника, запорам. Частые запоры способствуют повышению давления в кишечнике. В местах, где имеется ослабление кишечной стенки в результате повышения внутрикишечного давления, возникают выпячивания. Со временем, формируются постоянные выпячивания кишечной стенки, которые могут стать очагом размножения бактериальной флоры.
Классификация
В клинической проктологии дивертикулярную болезнь толстого кишечника систематизируют с учетом особенностей течения и подразделяют на бессимптомный дивертикулез, дивертикулез, протекающий с клиническими проявлениями и дивертикулез с осложнениями. Такая классификация позволяет осуществить адекватную оценку состояния пациента, выбрать правильную тактику лечения и оценить прогноз.
Симптомы дивертикулярной болезни
Чаще всего дивертикулез длительное время протекает бессимптомно, однако у некоторых больных могут отмечаться периодические боли в животе по типу спазмов. Зачастую выявляется склонность к запорам и увеличение живота. При развитии дивертикулита возникает боль в животе, чаще всего в левой его части, болезненность при пальпации, тошнота, рвота, запор. Нередко повышается температура тела, отмечается озноб, слабость, головная боль (симптомы общей интоксикации). Тяжесть течения и выраженности клинических симптомов зависит от степени поражения кишечника и имеющихся осложнений.
Осложнения

Дивертикулярная болезнь толстого кишечника опасна развитием осложнений: кровотечений из дивертикулов, перфораций кишечной стенки, абсцессов кишечника и перитонита, формированием свищей. Кроме того, дивертикулез способствует развитию кишечной непроходимости.
Кровотечение при дивертикулярной болезни возникает довольно редко, но может быть весьма обильным. Продолжительная скрытая кровоточивость ведет к развитию анемии. Обильное кровотечение может потребовать экстренного хирургического вмешательства.
Прободение стенки кишечника и выход содержимого в брюшную полость приводит к развитию перитонита, опасного осложнения, угрожающего жизни пациента. При перфорации кишечной стенки показано экстренное хирургическое лечение. Производится удаление пораженного участка кишечника и санация брюшной полости. Послеоперационное лечение включает курс антибиотикотерапии.
Воспаление дивертикула может способствовать развитию гнойного осложнения - абсцесса. Небольшие абсцессы возможно вылечить консервативно, применяя антибиотики широкого спектра действия. Если выявлен крупный абсцесс, либо антибиотикотерапия не дает необходимого результата, производят дренирования гнойного очага (в полость абсцесса через стенку живота вводят иглу и откачивают гнойное содержимое). В некоторых случаях необходимо произвести хирургическое вмешательство для вскрытия и санации абсцесса. Распространение гнойной инфекции на внутреннюю стенку брюшной полости способствует развитию перитонита.
В некоторых случаях в дивертикулах может формироваться свищ – канал, соединяющий кишечник с другими рядом расположенными органами. При дивертикулярной болезни толстого кишечника наиболее часто встречается свищ между толстой кишкой и тонким кишечником, мочевым пузырем, кожей живота. Через свищевой ход может распространяться инфекция из воспаленного дивертикула. Это осложнение лечится хирургически - производится удаление свища вместе с пораженным участком кишечника.
Инфекционные процессы в толстом кишечнике могут приводить к формированию рубцовых изменений стенки, сужению просвета и, как результат, кишечной непроходимости. Стойкая кишечная непроходимость с полным блокированием содержимого в кишечнике является показанием к хирургическому вмешательству.
Диагностика

Обследование пациента с подозрением на дивертикулярную болезнь толстого кишечника осуществляется врачом-проктологом, начинается со сбора жалоб, анамнеза и физикального осмотра. При этом, как правило, выявляются особенности диеты, склонность к запорам, при осмотре может отмечаться болезненность живота и его увеличение. Подтверждение диагноза производят с помощью инструментальных и лабораторных методов диагностики.
При исследовании крови могут отмечаться общие признаки инфекционного воспаления (лейкоцитоз, нейтрофилия, ускорение СОЭ). При имеющем место внутреннем кровотечении может отмечаться анемия. Признаки воспаления кишечника также могут отмечаться и в копрограмме. Лабораторное подтверждение имеющегося воспалительного процесса при дивертикулярной болезни толстого кишечника может говорить о развитии дивертикулита.
Основным диагностическим методом выявления дивертикулов в толстом кишечнике является колоноскопия. Кроме того, при колоноскопии возможно выявить источник внутреннего кровотечения и исключить другие заболевания толстого кишечника. Ирригоскопия с контрастным веществом позволяет выявить выпячивания кишечной стенки.
Лечение дивертикулярной болезни
При легком течении заболевания для облегчения клинических проявлений чаще всего достаточно соблюдения рекомендованной диеты, способствующей снижению давления в толстом кишечнике. Введение в рацион достаточного количества клетчатки обеспечивают облегчение прохождения кишечного содержимого по пищеварительному тракту. Однако, если мер по коррекции диеты недостаточно, необходимо назначение препаратов, способствующих устранению запоров (тримебутин) и обезболивающих спазмолитических средств при выраженной болезненности.
Развитие дивертикулита требует противовоспалительной и бактерицидной терапии. Для успешного лечения дивертикулита необходимо снятие нагрузки на толстый кишечник, чему способствуют меры по изменению рациона, а также назначается постельный режим. Своевременно назначенный курс антибиотикотерапии, как правило, подавляет развивающуюся инфекцию. Однако, в некоторых случаях консервативное лечение может быть безуспешным либо развитие осложнений требует немедленного хирургического вмешательства.
Абсолютными показаниями к операции являются: перфорация толстой кишки с выходом кишечного содержимого в брюшную полость, перитонит, прогрессирующий абсцесс, полная кишечная непроходимость, массивное кровотечение, высокая вероятность рака кишечника. Кроме того, показанием к оперативному вмешательству является неэффективность консервативного лечения, периодические небольшие внутренние кровотечения, выраженная анемия, свищи, частое рецидивирование дивертикулита. Как правило, производят резекцию пораженного участка кишечника с последующим восстановлением кишечника при помощи реконструктивной операции.
Прогноз и профилактика
Поскольку основным этиологическим фактором развития дивертикулярной болезни толстого кишечника является недостаток клетчатки в пищевом рационе, в качестве профилактики этого заболевания рекомендуется регулярное употребление овощей, фруктов, злаковых культур – продуктов, богатых клетчаткой. В случае имеющего место дивертикулеза необходимо строго соблюдать врачебные назначения по диете и образу жизни. Ни в коем случае не стоит пытаться лечиться самостоятельно. Самолечение может привести к развитию опасных для жизни осложнений.
Чаще всего патология не доставляет серьезных проблем пациентам, придерживающимся диеты. Однако, при прогрессировании и тяжелом течении дивертикулез может способствовать развитию осложнений, которые без должной экстренной помощи могут привести к летальному исходу. Другой стороной опасности, которую представляет собой дивертикулярная болезнь, является пожилой возраст и, как правило, ослабленное общее состояние организма, способствующее частому рецидивированию дивертикулитов. Повторное обострение воспалительного процесса встречается у 33% пациентов. Порядка 20% больных после пролеченного кровотечения через некоторое время отмечают его повторение.
1. Дивертикулярная болезнь толстой кишки. Учебное пособие для врачей / Маев И.В., Дичева Д.Т., Андреев Д.Н., Лебедева Е.Г., Баева Т.А. - 2015
2. Дивертикулярная болезнь толстой кишки: клинические формы, диагностика и лечение / Буторова Л.И. - 2011
3. Дивертикулярная болезнь (дивертикулез) толстой кишки. Усовершенствованная медицинская технология. Методические рекомендации / Радченко В.Г., Ситкин С.И., Кяккенен А.И. - 2010
Дивертикулит
Дивертикулит - это заболевание кишечника, характеризующееся воспалением слепо заканчивающихся выпячиваний его стенки (дивертикулов). Патологическое состояние проявляется периодической болью в нижней части живота, преимущественно слева, расстройством стула, необильными кровотечениями, повышением температуры, общей слабостью, реже - тошнотой и рвотой. Для диагностики дивертикулита применяются эндоскопия толстого кишечника, ирригоскопия, УЗИ органов брюшной полости, лапароскопия и лабораторные методы исследования. Лечение патологии заключается в назначении антибиотиков и проведении хирургического вмешательства по показаниям.
Дивертикулит является воспалительным заболеванием кишечника, развивающимся на фоне застоя кишечного содержимого в дивертикулах - выпячиваниях стенки кишки. Наблюдается в 1,5 раза чаще у женщин по сравнению с мужчинами. Данное патологическое состояние преимущественно регистрируется у людей старше 40 лет, реже развивается у детей. Несмотря на то, что дивертикулы кишечника имеются у 50% людей старше 60 лет, воспалительный процесс возникает только у 20% этих пациентов. В последнее время количество больных, страдающих дивертикулитом, резко выросло, что связано с употреблением большого количества мясных и мучных изделий. При этом в Азии, где люди едят более здоровую пищу, заболевание наблюдается реже. Разработкой новых методов лечения данной патологии занимаются специалисты в сфере клинической проктологии и гастроэнтерологии.
Причины дивертикулита
Воспаление развивается в месте локализации дивертикула, который имеет вид слепого выпячивания полого органа. Дивертикулы обнаруживаются у большого количества людей, однако они осложняются дивертикулитом только у пятой части пациентов. Данный патологический процесс возникает под влиянием различных причин, которые провоцируют воспаление. В частности, дивертикулит может развиться при употреблении пищи, бедной клетчаткой, поскольку она приводит к запорам. Если человек употребляет с пищей меньше 30 г пищевых волокон в сутки, то он имеет повышенный риск возникновения данной патологии. У таких пациентов содержимое кишечника плотное и недостаточно увлажненное, что приводит к застою каловых масс, повреждению слизистой оболочки, активации и усиленному размножению патогенной кишечной флоры. На фоне этих изменений и развивается дивертикулит.
Одной из причин заболевания является воспалительный процесс в толстой кишке. В частности, дивертикулит может развиваться на фоне спастического, язвенного или инфекционного колита, а также различных кишечных инфекций. Инфекционные агенты могут попадать в дивертикулы и там активно размножаться. При ослаблении местного иммунного ответа бактерии приводят к развитию дивертикулита. Риск возникновения данного патологического процесса увеличивается с возрастом, что связано с уменьшением тонуса мышц и снижением перистальтики. Кроме того, у пожилых людей слизистая оболочка кишечника становится тоньше, а локальный иммунитет постепенно снижается.
Дивертикулы могут воспаляться при дисбактериозе или на фоне снижения общего иммунитета. Глистное заражение часто приводит к повреждению слизистой оболочки и нарушению микрофлоры, при этом возникают благоприятные условия для размножения патогенных бактерией, которые заселяют слизистую оболочку дивертикулов. В возникновении дивертикулита существенную роль играет наследственная предрасположенность.
Симптомы дивертикулита
Патология не имеет типичных признаков, часто принимается за приступ острого аппендицита, заболевания женских половых органов или болезни почек. Одним из основных симптомов дивертикулита является боль в нижней части живота. Чаще всего боль локализуется в левой его половине. Это связано с тем, что дивертикулез чаще всего поражает сигмовидную кишку. Пациент ощущает точечную боль в конкретном месте. Болевые ощущения могут быть преходящими или постоянными, длящимися в течение нескольких дней. Боль часто усиливается при физической активности, смехе или кашле. Также ощущения становятся сильнее при надавливании на пораженный участок кишечника. После опорожнения кишечника боль не ослабляется, а, наоборот, может становиться сильнее, что объясняется напряжением мышц живота при натуживании.
Следующим важным симптомом дивертикулита является расстройство стула, которое проявляется чередованием поносов и запоров. Запоры могут быть связаны с тем, что пораженный участок кишечника спазмируется, и его просвет резко сужается. При расслаблении кишки в последующем возникает понос. Также причиной диареи может быть нарушение всасывания воды в толстом кишечнике на фоне дивертикулита. При данном патологическом состоянии может определяться кровь в кале. Появление кровянистых выделений связано с тем, что в месте локализации дивертикула при воспалении могут формироваться кровоточащие язвы и эрозии. Кровянистые выделения обычно необильные. Они проявляются в виде следов крови на туалетной бумаге или каловых массах после дефекации. Кровотечения отмечаются только у 10% больных, страдающих дивертикулитом. В редких случаях воспаленный дивертикул может перфорироваться, а его содержимое попасть в брюшную полость, вызвав перитонит.
При выраженной воспалительной реакции дивертикулит проявляется гипертермией. Лихорадка в данном случае будет связана с попаданием в кровь специфических веществ - пирогенов. Повышение температуры при дивертикулите возникает вследствие активации защитных сил организма, направленных на борьбу с воспалением. Также симптомами дивертикулита часто являются тошнота, снижение аппетита, рвота и общая слабость - клинические проявления интоксикации.
Физикальное обследование играет важную роль в диагностике дивертикулита. При пальпации живота врач-проктолог определяет воспаленный и спазмированный отдел толстой кишки. Крупный дивертикул обычно прощупывается в виде круглого болезненного образования. При надавливании в области воспаленного дивертикула возникает болезненность. Для диагностики дивертикулита используются инструментальные методы исследования: эндоскопия толстого кишечника (колоноскопия), рентгенография с контрастом, УЗИ органов брюшной полости и в отдельных случаях лапароскопия. Из лабораторных методов применяются общий анализ крови и оценка биохимических показателей.
Колоноскопия является основным методом диагностики дивертикулита. Данное исследование позволяет провести дифференциальную диагностику заболевания с неспецифическим язвенным колитом, запорами, кишечной непроходимостью и опухолью толстого кишечника. Во время эндоскопии толстого кишечника при дивертикулите обнаруживаются поврежденные устья дивертикулов с воспалением слизистой оболочки вокруг них. Исследование дает возможность уточнить локализацию кровоточащих участков и оценить интенсивность кровотечения.
Рентгенографическое исследование толстого кишечника с барием (ирригоскопия) позволяет диагностировать дивертикулит, если невозможно проведение колоноскопии, или она дает неоднозначные результаты. Дивертикулы на рентгенографии определяются в виде образований округлой формы, которые имеют диаметр от 0,5 до 5 см. При дивертикулите на рентгенограмме визуализируются одиночные и множественные выпячивания, а края дивертикулов имеют неровные зазубренные контуры. Если на фоне данного патологического состояния происходит перфорация дивертикула с формированием свища, то при проведении рентгенографии свищ будет визуализироваться в виде контрастирующегося тяжа, который распространяется в направлении других органов.
УЗИ органов брюшной полости позволяет обнаружить увеличение толщины кишечных стенок, которое часто имеет место при дивертикулите. Если дивертикул заполняется каловыми массами, то на УЗИ его можно увидеть как мешковидное выпячивание с плотным содержимым. Лапароскопия позволяет визуализировать воспаленный дивертикул и сразу же удалить его. Важную роль играют лабораторные методы диагностики, основным из которых является общий анализ крови. При дивертикулите в общем анализе крови обнаруживается лейкоцитоз, палочкоядерный сдвиг влево и повышение СОЭ, которые являются признаками воспаления.
Лечение дивертикулита
Лечение осуществляется в проктологическом отделении или амбулаторно. Основными препаратами для консервативной терапии заболевания являются антибиотики, которые необходимо принимать в течение 1-2 недель. Во время лечения дивертикулита противопоказаны слабительные и клизмы, так как они увеличивают давление в кишечнике. Также важно придерживаться определенной диеты, которая исключает продукты, вызывающие вздутие кишечника и запоры. Необходимо снизить употребление белого хлеба, риса, молока, винограда и бобовых. Их рекомендуется заменить хлебом из цельной муки, морской капустой, хлопьями, ягодами, грушами и другими фруктами, содержащими клетчатку.
В ряде случаев больным дивертикулитом показано хирургическое лечение. Оно проводится при нагноении дивертикула, интенсивном кровотечении, формировании свищей, частых обострениях дивертикулита, кишечной непроходимости и перитоните. В зависимости от ситуации оперативное лечение, заключающееся в удалении воспаленного дивертикула, может проводиться планово или экстренно.
При своевременном правильном лечении прогноз дивертикулита благоприятный. Для профилактики заболевания рекомендованы регулярные занятия спортом, употребление богатых клетчаткой продуктов, обильное питье (не менее 2 литров в сутки) и поддержание иммунитета. Также следует избегать запоров и травмирующих манипуляций на толстом кишечнике. Все эти профилактические мероприятия позволят минимизировать вероятность развития дивертикулита у пациентов, имеющих дивертикулез кишечника.
Дивертикулы кишечника
Дивертикулы кишечника – это мешотчатые выпячивания стенки толстой, реже тонкой кишки врожденного либо приобретенного характера. Чаще всего встречается бессимптомная форма заболевания. Явные клинические формы патологии проявляются неопределенными болями в животе, диспепсическими явлениями, кровотечениями. Для диагностики используют ирригографию, колоноскопию, ректороманоскопию, УЗИ и КТ органов брюшной полости. Специфическая терапия включает в себя применение диеты с повышенным содержанием клетчатки, назначение спазмолитиков, прокинетиков, антибактериальных препаратов, лактулозы. При осложненном течении заболевания требуется хирургическое лечение.

Дивертикулы кишечника могут иметь врожденную (при наследственной патологии соединительной ткани) либо приобретенную (связанную с возрастной слабостью межуточных волокон) природу. В тонком кишечнике дивертикулы встречаются достаточно редко – у 1% пациентов, при этом в большинстве случаев выявляют дивертикул Меккеля, содержащий в себе ткани желудка либо поджелудочной железы. Дивертикулы кишечника чаще бывают множественными и расположены в левой половине толстой кишки (в 70% случаев).
В молодом возрасте дивертикулез выявляют лишь в 5% случаев, в возрасте от 40 до 60 лет – у 30% населения, а после 80 лет частота поражения дивертикулами кишечника составляет более 65%. Патологические выпячивания могут осложняться воспалением, кровотечением, перфорацией, однако практически никогда не сопровождаются малигнизацией. В последние годы отмечается учащение случаев дивертикулеза в развитых странах, что связано с изменением диетических привычек, исключением из рациона клетчатки и полезных пищевых волокон.
К появлению врожденных и приобретенных дивертикулов кишечника могут приводить различные факторы, но в основе их всех лежит слабость соединительной ткани. При врожденной соединительнотканной дисплазии дивертикулы обычно множественные, расположены не только в кишечнике, но и других органах (желудок, мочевой пузырь и др.). В первые годы заболевания стенка врожденных дивертикулов представлена всеми слоями кишечной стенки, однако с возрастом мышечные волокна атрофируются.
Возникновению приобретенных дивертикулов кишечника способствуют:
- погрешности питания (употребление полуфабрикатов, нерегулярные приемы пищи, исключение из рациона клетчатки, свежих фруктов и овощей)
- авитаминозы
- постоянные запоры
- нарушения моторики кишечника
- малоподвижный образ жизни
- ожирение..
Любая из вышеперечисленных причин приводит к повышению внутрикишечного давления, пролабированию слизистого и подслизистого слоев кишки между мышечными волокнами, формированию полостного образования диаметром 3-5 см.
Патанатомия
В тонком кишечнике чаще всего встречается дивертикул Меккеля – врожденное неполное заращение желточного протока, в связи с чем примерно в 50 см от баугиниевой заслонки на стенке кишки образуется пальцевидное выпячивание, широким соустьем соединяющееся с кишечником. Иногда единичные дивертикулы образуются в двенадцатиперстной кишке – возле фатерова соска или в луковице двенадцатиперстной кишки (чаще всего это случается на фоне язвенной болезни ДПК). Другие локализации дивертикулеза тонкой кишки встречаются достаточно редко.
В толстом кишечнике дивертикулы преимущественно формируются в сигмовидной и левой половине поперечно-ободочной кишки. Чаще всего образования расположены в два ряда, по одному с каждой стороны вдоль брыжейки. Дивертикулы толстой кишки имеют тенденцию к прогрессированию с возрастом – повышение давления в кишечнике, застой калового содержимого оказывают пульсионный (выдавливающий) эффект, из-за чего возникают все новые и новые выпячивания кишечной стенки.
Различают врожденные и приобретенные формы дивертикулов кишечника.
- Врожденный дивертикулез часто бывает множественным, выпячивания локализованы в различных органах. Также дивертикулы могут выступать компонентом врожденной триады Сента, сочетаясь с диафрагмальной грыжей и желчнокаменной болезнью.
- Приобретенные дивертикулы с возрастом формируются практически у 80% населения. Они могут быть тракционными (при спаечной болезни), ложными (при отсутствии мышечных волокон в стенке выпячивания), образовавшимися на фоне заболеваний и травм кишечника.
По локализации различают дивертикулы тонкого и толстого кишечника. По течению выделяют бессимптомные, клинически явные и осложненные дивертикулы.
Симптомы дивертикулов кишечника
Дивертикулы в большинстве случаев никак не проявляются длительное время, обнаруживаясь случайно при обследовании по поводу других заболеваний. Клинически явные формы чаще всего указывают на возможность развития осложнений. Появление симптоматики и осложнений при дивертикулезе связано с нарушением моторики кишечной стенки, застоем кишечного содержимого, как в кишке, так и в полости выпячивания, повышением внутрикишечного давления. Все эти факторы приводят к возникновению повышенного бактериального обсеменения (более 1 млн. клеток в мл), формированию каловых камней, истончению стенки кишечника в местах прохождения сосудов.
Клинически дивертикулы тонкого кишечника проявляются неопределенными болями в животе, хронической диареей. Выпячивания стенки толстого кишечника также способны вызывать боли в животе, больше в его левой половине, часто связанные с дефекацией и исчезающие после нее. Для заболевания характерна неустойчивость стула – запоры постоянно чередуются с диареей и периодами нормального стула. При осмотре каловые массы сформированы в виде шариков, окруженных слизью. Пациентов беспокоит повышенный метеоризм, обильное отхождение кишечных газов.
При длительном застое калового содержимого в дивертикулах наступают необратимые изменения кишечной стенки, активизируется кишечная флора и возникает дивертикулит – одно из самых частых осложнений данного заболевания. Хронический воспалительный процесс может существовать длительное время, вызывая частые рецидивирующие кровотечения, местный перитонит с формированием спаек, свищей, соединяющих полость кишечника с влагалищем, мочевым пузырем, кожей. При спаечной болезни иногда наблюдается кишечная непроходимость.
Выраженное воспаление в полости дивертикула может приводить к перфорации его стенки, выходу кишечного содержимого в брюшную полость с формированием межкишечного абсцесса, а в тяжелых случаях – разлитого перитонита. Перфорация дивертикула кишечника характеризуется клиникой «острого живота», которую очень часто путают с острым аппендицитом. Диагностическая ошибка обычно выявляется только во время операции, на которой находят дивертикулы кишечника.
Заподозрить наличие дивертикулов кишечника достаточно сложно, так как это заболевание не имеет специфической клинической картины. Чаще всего выпячивания обнаруживаются случайно, при поиске причины анемии, исключении опухолей кишечника. С целью уточнения диагноза проводятся:
- Анализы. При подозрении на дивертикулярную болезнь врач-гастроэнтеролог назначает ряд лабораторных исследований: общий анализ крови определяет воспалительные изменения и анемию, анализ кала на скрытую кровь помогает вовремя выявить кишечное кровотечение, а копрограмма и бактериологическое исследование кала диагностируют дисфункцию кишечника, нарушение пищеварения и повышенное бактериальное обсеменение.
- Рентгенодиагностика. Пациенты с данным заболеванием требуют проведения ирригографии, желательно с двойным контрастированием. На рентгеновском снимке будут видны выпячивания кишечной стенки, сообщающиеся с полостью кишечника. Следует помнить, что при наличии осложнений дивертикулов кишечника сначала необходимо сделать обзорную рентгенографию органов брюшной полости, убедиться в отсутствии признаков перфорации, и лишь затем назначать ирригографию.
- Кишечная эндоскопия. Использование эндоскопических методов диагностики (колоноскопия, ректороманоскопия) показано только после купирования признаков воспаления. Колоноскопия является незаменимым методом поиска источника кровотечения, однако может способствовать появлению осложнений заболевания. Преимуществом эндоскопических методик является возможность проведения биопсии, морфологического исследования биоптатов.
Для дифференциальной диагностики с другими заболеваниями может потребоваться проведение УЗИ, КТ, МСКТ органов брюшной полости. Дифференцировать дивертикулы кишечника следует с эктопической беременностью, гипохромной анемией, псевдомембранозным колитом, синдромом раздраженного кишечника, болезнью Крона, острым аппендицитом, целиакией, раком кишечника, ишемическим колитом.

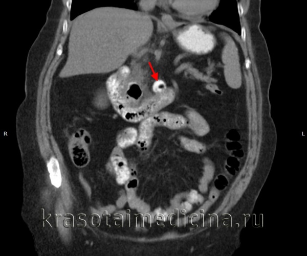
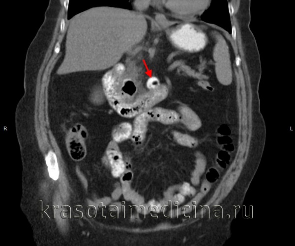
КТ ОБП. Дивертикул горизонтальной части 12-перстной кишки, заполненный частично контрастом, частично – газом.
Лечение дивертикулов кишечника
Лечение пациентов с неосложненной формой дивертикулеза проводится в отделении гастроэнтерологии, а при возникновении тяжелых осложнений – в хирургическом стационаре. Госпитализируют больных с острым или обострением хронического дивертикулита, интоксикацией, высокой лихорадкой, тяжелой сопутствующей патологией, невозможностью энтерального питания, а также в возрасте старше 85 лет. При наличии клиники острого живота проводят ургентную операцию.
Консервативное лечение
Если у пациента случайно выявлен бессимптомно протекающий дивертикул кишечника, назначения специального лечения не требуется. При наличии неосложненных дивертикулов назначается богатая клетчаткой диета, спазмолитики, прокинетики. При соблюдении всех рекомендаций по терапии заболевания обычно достигается стойкий клинический эффект. Если у пациента развился дивертикулит, рекомендуется использование кишечных антисептиков, антибиотиков, осмотических слабительных препаратов.
Для нормализации работы кишечника следует отказаться от очистительных клизм, бесконтрольного применения слабительных средств. Положительный эффект достигается и при введении в режим дня умеренных физических нагрузок – они помогают укрепить мышечный корсет туловища, нормализуют моторику кишечника. Для уменьшения давления в просвете кишечника назначается диета, богатая клетчаткой (кроме очень грубых волокон – ананасов, хурмы, репы, редиски). Количество клетчатки в рационе увеличивают до 32 г/л. Нужно исключить газообразующие продукты, бобовые, газированные напитки. Для достижения необходимого эффекта следует ежесуточно употреблять не менее двух литров воды.
Использование стимулирующих слабительных средств, обезболивающих на основе морфина при дивертикулах противопоказано, так как они провоцируют дальнейшее нарушение моторики кишечника, усугубляют течение болезни. Для улучшения пассажа пищевых масс по кишечнику назначают осмотические слабительные средства – они увеличивают объем каловых масс и ускоряют их продвижение по пищеварительному тракту. При диарее назначаются сорбенты и вяжущие средства, для купирования метеоризма – препараты симетикона.
Острый дивертикулит требует госпитализации пациента в хирургический стационар, назначения дезинтоксикационных и плазмозамещающих средств, антибактериальных препаратов. Лечение длится не менее двух-трех недель, после выписки из стационара поддерживающая терапия аналогична той, которая проводится при неосложненных дивертикулах.
Хирургическое лечение
Хирургическое лечение показано при развитии угрожающих жизни осложнений: перфорация, абсцедирование, кишечная непроходимость, профузные кровотечения, формирование свищей. Также плановая операция назначается при рецидивирующих кровотечениях и дивертикулитах. Обычно производится резекция части кишечника, пораженного дивертикулезом, с наложением анастомоза. В сложных ситуациях накладывается колостома для облегчения оттока каловых масс, а после стабилизации состояния проводится реконструктивная операция.
Прогноз при наличии дивертикулов кишечника обычно благоприятный, однако иногда это заболевание приводит к развитию угрожающих жизни осложнений. Дивертикулит возникает примерно у четверти больных. Эффективность его лечения при первом эпизоде наиболее высокая – до 70%, при третьем эпизоде эффективность терапии снижается до 6%. Профилактики врожденных дивертикулов кишечника не существует. Предупредить развитие приобретенных дивертикулов можно путем нормализации режима и рациона питания, употребления достаточного количества клетчатки и жидкости, использования умеренных физических нагрузок.
Дивертикулез (дивертикулярная болезнь): симптомы и лечение

Дивертикулярная болезнь (дивертикулез) характеризуется скрытым, зачатую коварным течением данного заболевания, когда на фоне полного благополучия человек вдруг оказывается на больничной койке в палатах интенсивной терапии и, нередко, в операционной. Причина такого положения - дивертикулярная болезнь с осложненным течением.
В настоящее время остается темой многочисленных дискуссий, семинаров, конференций, в связи с тем, что проблема окончательно не решена.
Многих проблем можно избежать если человек понимает, что такое дивертикулярная болезнь, относится ли он к группе риска по дивертикулезу, как предотвратить развитие болезни и ее осложнений.
В данном разделе мы постараемся наиболее подробно разобрать, что входит в понятие дивертикулярная болезнь, какие наиболее приемлемые методы диагностики и лечения болезни, методы профилактики осложнений.
Эпидемиология
Применимо к России и бывшему СССР можно отметить стремительный рост заболеваемости дивертикулярной болезнью. В 1970 году частота случаев заболевания не превышало 2-3 на 100 тысяч населения. В 1979 году это число увеличилось почти в 6 раз. По данным, опубликованным ГНЦК в 2002 году число выявленного дивертикулеза при рентгенологическом исследовании составляло 14,2% из всех колопроктологических больных, а уже в 2012 данный показатель вырос в 2 раза и составлял 28,8%.
Наглядно прослеживается рост данного заболевания наряду с процессом индустриализации и урбанизации в связи с изменением быта, образа жизни и питания людей. Снижение количества потребляемых пищевых волокон, большое количество углеводной пищи с употреблением красного мяса привело к значительному скачку случаев дивертикулеза.
В противоположность этому в развивающихся сельскохозяйственный странах дивертикулярная болезнь характеризуется единичными случаями, что определяется характером пищевого рациона, включающего значительное количество растительной пищи.
Старение общества – еще одна из причин роста заболеваемости дивертикулярной болезнью. Отмечено, что в возрасте до 40 лет риск развития дивертикулеза варьирует в пределах 5-10%. Тогда как в возрасте 60 лет процент выявленных случаев болезни составляет уже 30 %, а к 80 годам превышает отметку в 66 %.
Таким образом, дивертикулярная болезнь была, есть и остается серьезной проблемой ставящей сложные задачи перед врачами и пациентами.
Для понимания термина дивертикулярная болезнь необходимо краткое описание анатомии толстой кишки.
Анатомия ободочной кишки
Ободочная кишка состоит из следующих отделов: слепая, восходящая ободочная, поперечная ободочная, нисходящая ободочная, сигмовидная кишка. Наиболее широкий просвет имеет слепая кишки, наименьший- сигмовидная. Место перехода сигмовидной кишки в прямую обозначается как ректосигмоидное соединение. Важно отметить, что этот отдел кишки имеет самый узкий диаметр.
Стенка ободочной кишки состоит из трех слоев: серозного, мышечного и слизистого. Функция слизистой оболочки толстой кишки – всасывание воды, формирование каловых масс, подготовка их к эвакуации, путем выделения большого количества слизи и синтез витаминов группы В и К. Под эпителием слизистой ободочной кишки находится подслизистая основа, представленная рыхлой волокнистой соединительной тканью в которой располагаются кровеносные и лимфатические сосуды и подслизистое нервное сплетение.
Мышечная оболочка несет в себе каркасную функцию и отвечает за поступательное продвижение каловых масс к прямую кишку. Мышечная оболочка состоит из сплошного внутреннего циркулярного слоя, разделенного на три ленты наружного продольного слоя.
Серозная оболочка состоит из соединительно-тканной основы покрытой мезотелием, в которую со стороны мышечной оболочки проникают выросты жировой ткани, так называемые жировые подвески
Что такое дивертикул кишки
Дивертикулы – это мешочкообразные выпячивания стенки кишки, формирующиеся в «слабых» местах кишечной стенки. Существуют истинные дивертикулы, имеющие в строении все слои кишечной стенки и ложные – в которых отсутствует мышечный слой.
В дивертикуле различают устье, шейку тело и дно дивертикула. Кровоснабжение дивертикула осуществляется из сосудов подслизистого слоя от которого отходят тонкие сосудистые ветви, прободающие стенку кишки и направляющиеся ко дну дивертикула.
При образовании дивертикула в проекции жирового подвеска и брыжейки ободочной кишки он покрыт снаружи жировой тканью, при формировании дивертикула в свободном крае стенки кишки он снаружи покрыт лишь серозной оболочкой.
По количеству различают единичный дивертикул и множественные дивертикулы ободочной кишки.
По локализации дивертикулов различают правостороннее, левостороннее и тотальное поражение ободочной кишки.
Дивертикулез правосторонней локализации, как правило, имеет врожденный характер с преобладанием истинных дивертикулов.
При левосторонней локализации дивертикулез в большинстве случаев приобретенный и в строении дивертикулов отсутствует мышечный слой.
Причины возникновения дивертикулеза
Причины развития дивертикулярной болезни остается до настоящего времени темой многочисленных дискуссий. Существует несколько теорий возникновения дивертикулов.
К наиболее вероятным и чаще всего обсуждаемым причинам относят: повышение внутрипросветного давление в кишке, нарастающая слабость кишечной стенки, нарушение моторики толстой кишки и врожденная предрасположенность.
Повышение внутрипросветного давления в кишке:
В настоящее время наиболее признанным фактором в возникновении дивертикулеза является пищевой. Снижение в рационе растительных волокон в должном количестве уменьшает объем каловых масс, что в свою очередь приводит к нарушению к их эвакуации с повышением внутрипросветного давления в кишке. Доказательной основой являются наблюдения за вегетарианцами и жителями аграрных стран, потребляющих клетчатку в значительном количестве, у которых иск возникновения дивертикулов на 42 % ниже, чем в группе людей, не потребляющих растительные волокна в достаточном количестве.
Нарастающая слабость кишечной стенки:
Факт появления дивертикулов в пожилом возрасте подтверждает теорию слабости кишечной стенки, являющейся следствием процессов старения организма, когда в стенке кишки развиваются дегенеративные изменения мышечной ткани, колагеновых волокон.
Нарушение моторики толстой кишки:
Нарушению моторики кишки приводит к запорам и повышению давления в просвете кишки при необходимости эвакуации каловых масс. Потеря эластичности стенки кишки приводит, при ее растяжении, к микроразрывам циркулярных мышц, через которые начинает формироваться дивертикулы.
Сосудистые нарушения в стенке кишки:
Нельзя не указать сосудистый компонент в формирование дивертикула. Нарушение кровоснабжения приводит к структурным изменениям в стенке кишки, при этом в месте прохождения сосудом мышечного слоя к кишки формируется расширение, которое с течением времени трансформируется в устье дивертикула.
Врожденная предрасположенность:
Различные врожденные системные заболевания соединительной ткани, коллагенозы являются провоцирующим фактором развития дивертикуярной болезни.
Диагностика дивертикулеза
Ирригоскопия:
Одним из наиболее доступных методов диагностики является ирригоскопия, позволяющая достоверно выявить локализация, размеры и количество дивертикулов.
! Данный метод не рекомендован для использования при осложненном течении в виду высокого риска перфорации воспаленного дивертикула.
Колоноскопия:
Методом позволяющим визуализировать дивертикулы и выявить осложнения является колоноскопия. При данной процедуре с достаточной достоверностью можно диагностировать воспалительные изменения в области устья дивертикула и выявить кровотечение из дивертикула.
! Этот метод не может быть рекомендован как обязательная процедура при наличии у пациента клинической картины острого хирургического заболевания органов брюшной полости.
Мультиспиральная компьютерная томография:
Наиболее безопасным методом диагностики дивертикулярной болезни, как в период скрытого течения, так и при диагностике осложнения является компьютерная томография, позволяющая не только подтвердить наличие у пациента дивертикулов, но и определить характер осложнений. К ним относятся острый дивертикулит с перфорацией, абсцессом, перитонитом.
! несмотря на безопасность, данный метод используется ограниченно в виду высокой стоимости исследования и малодоступности, по причине отсутствия в ряде больниц аппарата МСКТ.
Ультрасонография (УЗИ брюшной полости):
Эффективный и доступный метод диагностики осложнений дивертикулярной болезни, позволяет выявить воспалительные изменения в стенке толстой кишки, признаки абсцесса и перитонита.
Лапароскопия:
Из инвазивных методов диагностики осложнений дивертикулярной болезни следует отметить лапароскопию, которая может рассматриваться не только как диагностическая процедура, но и носить лечебный характер. При данном методе возможно выполнение, санационных мероприятия при местных перитонитах, дренирование брюшной полости.
Механизм развития осложнений дивертикула
Дивертикулярная болезнь – заболевание прогрессирующее. Обратного развития дивертикулы не претерпевают. Риск развития дивертикулита при 5 летнем существовании дивертикула составляет примерно 10 %. При длительности заболевания более 10 лет, риск возрастает до 25%.
Дивертикулит:
При дивертикулярной болезни развиваются воспалительные изменения в стенке дивертикула. Отсутствие мышечного слоя приводит к тому, что в них застаивается кишечное содержимое без возможности эвакуации. Это ведет к формированию фекалита (калового камня) в просвете дивертикула с последующим воспалением в стенке дивертикула.
Перфорация дивертикула:
Воспалительные изменения могут ограничиться стенкой дивертикула с ее отеком и инфильтрацией. При агрессивной микробной флоре воспаление принимает злокачественное течение и может приводить к прободению стенки дивертикула, которая в свою очередь может отграничиться прилежащей жировой тканью подвеска кишки или брыжейки с формированием абсцесса.
Нарушение целостности стенки дивертикула может приводить к серьезным осложнениям в виде перитонита при локализации дивертикула на свободном крае кишки.
Рецидивы дивертикулита:
При купировании острого воспаления восстановления стенки дивертикула не происходит. Поврежденная слизистая замещается грануляционной тканью, с вхождением в плотное соприкосновение с окружающими дивертикул тканями, создавая благоприятные условия для хронического воспалительного процесса и последующим рецидивам острого дивертикулита.
Кровотечения из дивертикула:
Повреждение воспаленной слизистой дивертикула фекалитом при его выхождении из устья или развитие пролежня может приводить к кровотечениями.
Образование свищей:
При распространении воспалительный изменений на близлежащие органы брюшной полости и/или переднюю брюшную стенку возможно образование свищей. Через такие соустья кишечное содержимое может распространятся в просвет мочевого пузыря, полость матки и даже на переднюю брюшную стенку.
Классификация и лечение осложненной дивертикулярной болезни
Для характеристики осложненного течения дивертикулярной болезни широко используется классификация Hinchey E.J. предложенная в 1978 году.
! Установить характер осложнения и назначить соответствующее лечение может только ВРАЧ. Не занимайтесь самолечением, это может привести к тяжелым последствиям!
Hinchey I.
Периколический абсцесс или инфильтрат: острое состояние, причина которого воспаление дивертикула с возможным образованием ограниченного гнойника (абсцесса) в брыжейке ободочной кишки или в его жировом подвеске. Лечение данного осложнения консервативное, заключается в назначении строгой диеты и антибактериальных препаратов
Hinchey II.
Тазовый, внутрибрюшной или ретроперитонеальный абсцесс. Данное состояние характеризуется формирование гнойника в ограниченном пространстве в брюшной полости или за брюшинном пространстве за пределами кишечной стенки. Лечение заключается в госпитализации в хирургический или колопроктологический стационар, назначение постельного режима, строгой диеты, антибактериальной терапии и дезинтоксикационного лечения. При отсутствии эффекта показано хирургическое лечение. Как правило, достаточным объемом хирургического вмешательства являются пункции гнойника с целью его эвакуации. Однако, при неэффективности показана экстренная операция с целью удаления очага гнойной инфекции. При данной стадии развития болезни возможно выполнение одномоментного резекционного вмешательства с восстановлением непрерывности кишечника.
Hinchey III.
Генерализованный гнойный перитонит. Грозное осложнение, развивающееся при прорыве гнойника в свободную брюшную полость. Лечение только хирургическое. При данном осложнении выполняется резекция пораженного участка ободочной кишки с формированием стомы, санация и дренирование брюшной полости. В последующем выполняется реконструктивное вмешательство, направленное на восстановление естественного пассажа по кишечнику .
Hinchey IV.
Генерализованный каловый перитонит. Наиболее тяжелое осложнение, развивающееся в запущенных случаях, при позднем обращении пациентов за медицинской помощью, у ослабленных больных, людей старческого возраста. Объем хирургической операции сходен с лечением при Хинчи III, однако послеоперационный период требует проведения длительной интенсивной терапии в условиях отделения реанимации.
Что делать, если Вам уже выполнена операция по поводу осложненного дивертикулеза с выведением стомы
Если Вас уже прооперировали по экстренным показаниям и вывели стому - не отчаивайтесь. В настоящее время разработаны и внедрены методики выполнения реконструктивных вмешательств, направленных на устранение стомы и восстановления естественного пассажа по кишечнику с хорошими функциональными результатами. Как правило, данные операции рекомендованы для выполнения в специализированных колопроктологических стационарах.
Плановое хирургическое лечение дивертикулеза
Как правило, после однократного приступа дивертикулита выполнение хирургического лечения не показано, но может быть рекомендовано лицам моложе 45 лет. Решение о выполнении операции принимается индивидуально.
После успешного консервативного лечения двух и более эпизодов дивертикулита рекомендуется выполнение плановой операции. Ограничением показаний к выполнению плановой операции служит высокий анестезиологический и хирургический риски, установленные при осмотре пациента.
Плановое хирургическое лечение в обязательном порядке рекомендуется после консервативного лечения осложненного дивертикулита.
Плановое хирургическое лечение показано при наличии свищей.
Как избежать осложнений и какой режим питания при установленном диагнозе дивертикулез
Как правило, лечение носит рекомендательный характер и направлено на нормализацию процесса дефекации назначением диеты с высоким содержанием пищевых волокон, рационализации питьевого режима, профилактики запоров. Активный образ жизни, занятия физической культурой, посещение бассейна позволяет улучшить перистальтику кишечника.
Записаться на прием
Дивертикулит: симптомы и лечение

Дивертикулез ободочной кишки - это частая патология, которой подвержены около 50 % американцев в возрасте 50-60 лет и почти у все в возрасте около 80 лет. Лишь небольшой процент лиц с дивертикулезом предъявляют жалобы, и еще меньше из них требуют хирургического лечения. Лишь небольшой процент из тех, с дивертикулез имеют симптомов, и даже меньше никогда не требуют хирургического вмешательства.
Что такое дивертикулез / дивертикулит?
Дивертикулы - это небольшие выпячивания кишечной стенки. Обычно они встречаются в сигмовидной или нисходящей ободочной кишках, но могут поражать и весь кишечник. Дивертикулезом называют наличие таких выпячиваний. Дивертикулит - это воспаление или другие осложнения этих выпячиваний. Дивертикулит описывает воспаления или осложнения этих карманов.
Каковы симптомы дивертикулярной болезни?
Неосложненная дивертикулярная болезнь обычно протекает бессимптомно. Симптомы появляются при осложненных формах дивертикулярной болезни, таких как дивертикулит и кровотечение. Дивертикулярная болезнь- это наиболее частая причина значительного кровотечения из толстой кишки.
Дивертикулит - это инфекционное поражение дивертикулов, которое может являться причиной одного или нескольких следующих симптомов:
- боли в животе
- озноб
- повышение температуры тела
- изменения ритма дефекации
Более выраженные симптомы появляются при тяжелых осложнениях:
- перфорация (разрыв стенки)
- формирование абсцесса или свища (патологического соустья между кишкой и другим органом или кожей)
Что является причиной дивертикулярной болезни?
Причины дивертикулеза и дивертикулита точно не известны, но данные патологии наиболее часто встречаются у людей, в пищевом рационе которых содержится мало клетчатки. Считается, что диета с низким содержанием клетчатки на протяжении многих лет, приводит к повышению давления в просвете толстой кишки, что ведет к формированию таких выпячиваний кишечной стенки (дивертикулов).
Каково лечение дивертикулярной болезни?
Увеличение содержания пищевых волокон в рационе (злаки, бобовые, овощи и т.д.), а иногда и ограничение определенных продуктов снижает давление в просвете толстой кишки, тем самым уменьшая риск осложнений, связанных с дивертикулярной болезнью.
Существуют различные методы лечения дивертикулита. В не тяжелых случаях назначают таблетированные антибиотики, ограничивают диету, назначают препараты для размягчения стула. В более тяжелых случаях может потребоваться госпитализация, назначаются антибиотики с внутривенные введением, ограничивается диета. Даже тяжелые приступы могут быть купированы такими методами лечения.
Когда требуется хирургическое вмешательство?
Хирургическое лечение необходимо пациентам с частыми, повторяющимися приступами острого дивертикулита, при осложнениях или при тяжелых приступах, не поддающихся консервативному лечению. В хирургическом лечении так же нуждаются пациенты с единичным эпизодом тяжелого кровотечения или повторяющимися эпизодами кровотечения.
Хирургическое лечение дивертикулита заключается в удалении пораженной части кишечника. Наиболее часто это сигмовидная или нисходящая ободочная кишка. Чаще всего операцию заканчивают формированием стомы или наложением анастомоза с прямой кишкой. Возможно полное выздоровление. Восстановление нормальной функции кишечника обычно происходит через три недели. При экстренных хирургических вмешательствах может потребоваться временное ношение калоприемника. Пациентам рекомендуется как можно раньше обратится за медицинской помощью при появлении вышеописанных жалоб, что бы избежать осложнений.
Читайте также:
- Диагностика инфантильной десмопластической астроцитомы и ганглиоглиомы по КТ, МРТ
- Колоноскопия при колибациллярном энтерите, амебиазе. Эндоскопическая картина
- Симптомы паралича гортани с парезом голосовой складки у новорожденного и его лечение
- Сиаладенит поднижнечелюстной слюнной железы - лучевая диагностика
- Гипертонический криз. Причины ( этиология ) гипертонического криза. Патогенез, классификация гипертонического криза.
