Опухоли и кисты средостения. Лучевые методы исследования средостения
Добавил пользователь Евгений Кузнецов Обновлено: 31.12.2025
Опухоли и кисты средостения. Лучевые методы исследования средостения
1. Опухоли и опухолевидные поражения лимфатических узлов средостения: а) лимфогранулематоз, б) лимфосаркома, в) медиастинальная форма рака легких, г) метастатические опухоли лимфатических узлов, д) лейкемии.
2. Нейрогенные опухоли: а) доброкачественные, б) злокачественные.
3. Опухоли вилочковой железы: а) доброкачественные, б) злокачественные.
4. Соединительнотканные опухоли: а) доброкачественные, б) злокачественные.
5. Сосудистые опухоли: а) доброкачественные, б) злокачественные.
6. Внутригрудной зоб: а) доброкачественный, б) злокачественный.
7. Кисты: а) дермоидные кисты и тератомы, б) перикардиальные, в) эхинококковые и г) прочие врожденные кисты.
В приведенной группировке, построенной в основном по принципу определения исходного органа поражения, особняком стоит группа кист, для которых трудно установить какой-либо вполне определенный исходный орган. Кроме того, нейрогенные опухоли, исходящие из пограничного ствола симпатического нерва, как об этом указывалось выше, фактически локализуются вне средостения, поэтому относить их к группе опухолей средостения можно лишь с известной оговоркой. Медиастинальная форма рака легкого выделена из группы метастатических опухолей средостения, так как в ряде случаев бронхогенный рак может первично развиваться в бифуркации трахеи и в главных бронхах в пределах средостения.

Указанные обстоятельства говорят о том, что и эта группировка не может претендовать на всеобъемлющее значение. Собственно говоря, таких группировок пока еще не существует. Однако, основываясь на вышеуказанных исходных положениях, мы считаем, что данная рабочая группировка по сравнению с другими классификациями и группировками более соответствует возможностям клинико-рентгенологической диагностики и более удобна для пользования в повседневной практической работе рентгенологов.
По нашему мнению, вместо расплывчатого и неприемлемого диагноза «опухоль средостения», заключение в протоколе рентгенологического исследования в подавляющем большинстве случаев должно содержать указание на характер заболевания соответственно предлагаемой группировке.
Лучевые методы исследования средостения
Сложность топографической анатомии средостения, многообразие локализующихся здесь патологических образований и, наконец, весьма ограниченные условия естественной контрастности — все это обусловливает необходимость применения многочисленных методов рентгенологического исследования больных с медиастинальными патологическими процессами. Это, конечно, нисколько не умаляет роли клинического исследования. Наоборот, с усовершенствованием рентгенологических методов все больше растет стремление рентгенологов, особенно отечественных, к единству клиники и рентгенологии, стремление к комплексному клинико-рентгенологическому исследованию. Поэтому как в настоящей главе, так и в последующих одновременно будут рассматриваться и клинические, и рентгенологические методы, а также симптомы, выявляемые с помощью всех этих методов. Однако, учитывая важность рентгенологического исследования в диагностике опухолей и кист средостения, в этой главе будет сделан некоторый акцент на рентгенологических методах.
При исследовании больного с опухолью или кистой средостения рентгенолог имеет дело с внешними, скиалогическими, т. е. достаточно грубыми, признаками патологического процесса. Тем не менее тщательное изучение всех этих доступных нашему глазу внешних проявлений патологического образования является первой необходимой ступенью, приближающей нас к познанию природы возникших изменений. По существу все известные рентгенологические методы исследования и направлены на выявление тех или иных внешних признаков патологического процесса. Из этих общих положений следует сделать два практически важных вывода, относящихся к тактике врача-рентгенолога, исследующего больного с наличием опухоли или кисты средостения: 1) необходимо применять комплекс разнообразных методов исследования и 2) важно использовать не все возможные и известные методы исследования, а лишь те из них, которые в каждом конкретном случае позволяют выявить дополнительные признаки, еще не установленные при ранее проведенном исследовании.
В этом отношении нельзя не согласиться с С. А. Рейнбергом, который говорит: «Комплексное исследование — это отнюдь не обязательное применение всех многочисленных предлагаемых методов исследования больного, а только избранных, научно показанных и целесообразных».
Информация на сайте подлежит консультации лечащим врачом и не заменяет очной консультации с ним.
См. подробнее в пользовательском соглашении.
Схема описания рентгенограммы и КТ при патологических изменениях в средостении
Оценка средостения часто начинается с выполнения рентгенографии. Выявление патологических изменений на рентгенограмме является достаточно сложной задачей и требует наличия опыта и знания ориентиров и контуров средостения в норме. В средостении располагается множество различных органов и типов тканей. За исключением дыхательных путей, а иногда и пищевода, заполненного воздухом, большинство органов при рентгенографии характеризуются однородной жидкостной плотностью.
По этой причине патологические образования часто проявляются лишь незначительным изменением контура средостения. Поэтому для соблюдения систематического подхода к описанию изменений в средостении рекомендуем пользоваться представленным ниже алгоритмом.
Шаг 1: Есть ли в средостении объемное образование? Для первичной диагностики заболеваний органов грудной клетки широко используется рентгенография в прямой передней и боковой проекциях. Несмотря на то, что у пациентов с патологическими образованиями, в средостении могут выявляться определенные симптомы, часто данные образования обнаруживают случайно при выполнении рентгенографии по другому поводу (перед хирургическим вмешательством или в рамках медицинского осмотра при приеме на работу).
Таким образом, чтобы осуществить своевременную диагностику и лечение пациента, врачам лучевой диагностики следует уметь распознавать ранние слабо выраженные патологические изменения в средостении.
На рентгенограммах органов грудной клетки, выполненных в прямой и боковой проекциях, следует оценивать контуры средостения и определенные ориентиры (линии и полосы), поскольку именно их изменение обычно свидетельствует о наличии в средостении объемного образования. Во многих случаях объемные образования первоначально обнаруживают при рентгенографии в прямой проекции, однако некоторые образования в прямой проекции не являются краеобразующими, и поэтому визуализируются только в боковой проекции.
Узловое утолщение передней соединительной линии обычно свидетельствует о наличии патологического образования в переднем средостении; смещение азигоэзофагеального кармана предполагает наличие образования в среднем средостении; изменение паравертебральной полосы свидетельствует о параспинальной локализации образования.
Шаг 2: Является ли поражение изолированным или диффузным? В средостении могут выявляться различные опухоли, в том числе первичные и вторичные, доброкачественные и злокачественные. Рентгенологическое заключение должно содержать описание морфологических особенностей патологического образования. Объемное образование может проявляться изолированным односторонним изменением контура средостения или диффузным двухсторонним расширением средостения. В первом случае следует подозревать наличие первичного новообразования, тогда как в последнем — лимфаденопатии, в том числе обусловленной метастазами или медиастинальной лимфомой.
Лимфаденопатию можно обнаружить по изменению контуров средостения, соответствующих различным группам внутригрудных лимфатических узлов. Благодаря знанию этой особенности можно сузить дифференциальный ряд заболеваний.
Шаг 3: В каком отделе средостения выявляются патологические изменения? На данном этапе по рентгенограмме в боковой проекции определяют пораженный отдел средостения. Не имеет значения, какая классификация отделов средостения будет выбрана (по Фелсону или по Фрейзеру и Паре), поскольку целью является разумное формулирование дифференциального ряда заболеваний, с тем чтобы предложить оптимальный метод обследования и наиболее подходящую тактику ведения пациента.
Шаг 4: Выявляются ли сопутствующие патологические изменения? Выявление сопутствующих патологических изменений может позволить врачу лучевой диагностики сузить дифференциальный ряд заболеваний. Например, при наличии изолированного объемного образования в переднем средостении и узелков в легком следует подозревать злокачественную эпителиальную опухоль тимуса.
Определенный характер кальцификации соответствует гранулематозной лимфаденопатии, медиастинальной тератоме, медиастинальному зобу, нейрогенным опухолям или аневризме. При эрозии костей в результате давления на них паравертебрального образования следует предположить нейрогенную его этиологию (нейрогенная опухоль и боковое менингоцеле грудного отдела позвоночника). В то же время обнаружение паравертебрального объемного образования в сочетании с признаками хронической анемии при исследовании костей скелета, сердца и легких свидетельствует о экстрамедуллярном гемопоэзе.
Шаг 5: Формулировка дифференциального диагноза. Последним этапом оценки средостения является разумная формулировка дифференциального диагноза в зависимости от того, является ли патологическое образование изолированным или диффузным, в каком отделе средостения оно расположено и выявляются ли при рентгенографии сопутствующие патологические изменения. На дифференциальный ряд заболеваний влияют демографические особенности (возраст, пол), сведения анамнеза (например, стаж курения) и наличие или отсутствие симптомов.
Например, у курящего мужчины пожилого возраста с синдромом верхней полой вены крупное объемное образование в среднем средостении, вероятнее всего, будет соответствовать распространенному раку легких, причем чаще всего мелкоклеточной карциноме. У молодой женщины с жалобами на лихорадку, ночную потливость и потерю веса диффузное двухстороннее расширение преимущественно переднего средостения с большой вероятностью будет обусловлено наличием лимфомы, причем чаще всего лимфомы Ходжкина. Изолированное объемное образование в переднем средостении, случайно выявленное у мужчины или женщины среднего возраста, вероятнее всего, соответствует тимоме.
КТ органов грудной клетки позволяет установить преимущественную локализацию объемного образования в каком-либо отделе средостения: преваскулярном, висцеральном или паравертебральном. Крупные новообразования с местнодеструирующим характером роста могут выявляться более чем в одном отделе средостения. Кроме того, поражение нескольких отделов средостения наблюдается при диффузной лимфаденопатии.
(а) У женщины 22 лет с системными проявлениями при рентгенографии органов грудной клетки в ПП проекции определяется диффузное двухстороннее расширение тени средостения с дольчатым контуром.
(б) У этой же пациентки при рентгенографии органов грудной клетки в боковой проекции видно, что массивное патологическое образование расположено в переднем средостении. С учетом пола, возраста и анамнеза пациентки и данных рентгенографии наиболее вероятным диагнозом является лимфома, что и было подтверждено при биопсии. (а) Мужчина 60 лет с жалобами на боли в груди. При рентгенографии органов грудной клетки в ПП проекции в правой половине средостения определяется изолированное объемное образование с дольчатым контуром.
(б) У этого же пациента при рентгенографии органов грудной клетки в боковой проекции видно, что данное образование расположено в переднем средостении. С учетом симптомов, пола и возраста пациента и данных рентгенографии наиболее вероятным диагнозом является тимома, что и было подтверждено при резекции.
Томографические методы исследования средостения
КТ органов грудной клетки при наличии объемных образований средостения следует выполнять с контрастным усилением. Несмотря на то что объемные образования средостения часто имеют опухолевую этиологию, существует несколько неопухолевых заболеваний, которые поражают средостение и имитируют новообразования.
Введение контрастного вещества позволяет оценивать сосудистые структуры и обнаруживать варианты сосудистой анатомии, что особенно важно, поскольку примерно в 10% случаев изменение контуров средостения обусловлено изменениями сосудов. По характеру контрастирования сосудов можно достоверно диагностировать аневризмы и варикозное расширение параэзофагеальных вен. Также контрастное усиление при КТ органов грудной клетки позволяет оценивать васкуляризированные опухоли и улучшать визуализацию мягкотканных структур, а также зон некроза и кистозных изменений в объемных образованиях средостения.
В случае паравертебральных патологических образований следующим этапом диагностики часто является проведение МРТ. Данный метод позволяет выявлять поражение спинного мозга, которое может наблюдаться при нейрогенных опухолях.
а) Дифференциальная диагностика по локализации. В клинической практике во многих случаях объемные образования средостения соответствуют лимфаденопатии, обусловленной распространенным раком легких, метастазами внелегочных злокачественных новообразований или лимфомами. Заподозрить данные заболевания при наличии в средостении отдельных увеличенных лимфатических узлов или их конгломератов следует соответственно у курящих лиц пожилого возраста, пациентов с выявленными злокачественными новообразованиями и лиц молодого возраста с системными проявлениями.
Примерно по 20% от всех первичных новообразований преваскулярного, висцерального и паравертебрального отделов средостения приходится соответственно на тимомы, кисты и нейрогенные опухоли. Еще 30% случаев приходится на тератомы, лимфомы, гранулемы и образования щитовидной железы. Облегчить постановку диагноза может знание пола и возраста пациента и имеющихся у него симптомов. Так, и тимомы, и зрелые тератомы являются изолированными объемными образованиями преваскулярного отдела средостения, однако первые обычно наблюдаются у лиц старше 40 лет, а последние — у лиц моложе 40 лет.
б) Основные томографические особенности. Томография позволяет определить морфологические особенности объемных образований средостения и прилежащих тканей. Выявление лимфаденопатии позволяет заподозрить наличие метастазов или лимфомы, а обнаружение кальцификатов в лимфатических узлах — наличие доброкачественной гранулематозной лимфаденопатии. Визуализация интактных клетчаточных пространств позволяет определить резектабельность опухоли, а выявление признаков местнодеструирующего роста свидетельствует в пользу агрессивного характера роста опухоли.
В патологических образованиях средостения часто выявляются кистозные изменения. Обнаружение перегородок и узелков в стенках кист позволяет дифференцировать врожденные кисты с сосудистыми мальформациями или кистозными новообразованиями. Врожденные кисты характеризуются однокамерным строением, сосудистые мальформации обычно содержат множество перегородок, а узелки в стенках кист являются типичным признаком опухолей.
Обнаружение жировых включений в объемных образованиях средостения может свидетельствовать в пользу липоматоза, тимолипомы, грыжи Морганьи или экстрамедуллярного гемопоэза. В то же время наличие жировых включений в кистозном объемном образовании переднего средостения является практически патогномоничным признаком зрелой тератомы.
Интенсивное накопление контрастного вещества является типичным признаком медиастинального зоба, болезни Каслмана, гемангиомы, параганглиомы и метастазов васкуляризированных злокачественных новообразований.
в) Роль врача лучевой диагностики. Врач лучевой диагностики играет ключевую роль в оценке патологических изменений в средостении и в выборе тактики ведения пациента. Установление преимущественной локализации патологического образования в каком-либо отделе средостения позволяет формулировать дифференциальный ряд заболеваний, от чего зависит тактика и дальнейшего обследования пациента и его лечения.
По возможности следует определять, является ли патологическое образование опухолевым или неопухолевым, требует оно хирургического лечения или нет. В случае лимфом и злокачественных герминативно-клеточных опухолей может потребоваться выполнение биопсии под визуализационным контролем. В некоторых случаях лучевая картина является патогномоничной, что позволяет врачу лучевой диагностики поставить точный диагноз.
(а) На данной томограмме с контрастным усилением цветом отмечены отделы средостения по классификации ITMIG (преваскулярный - пурпурным, висцеральный-голубым, паравертебральный-желтым). Зеленой линией обозначена граница между висцеральным и паравертебральным отделами.
(б) На данной томограмме с контрастным усилением цветом отмечены отделы средостения по классификации ITMIG (преваскулярный — пурпурным, висцеральный — голубым, паравертебральный - желтым). Зеленой линией обозначена граница между висцеральным и паравертебральным отделами. Преваскулярный отдел охватывает сердце и перикард. (а) На данной томограмме с контрастным усилением цветом отмечены отделы средостения по классификации ITMIG (преваскулярный - пурпурным, висцеральный— голубым, паравертебральный-желтым). Зеленой линией обозначена граница между висцеральным и паравертебральным отделами. Преваскулярный отдел охватывает сердце и перикард.
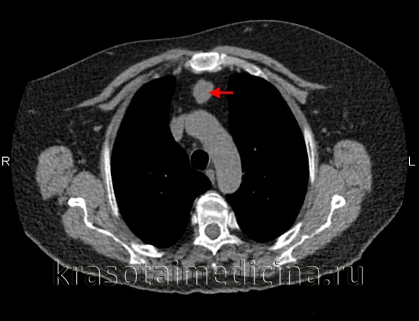
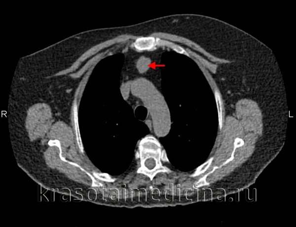
(б) При КТ с контрастным усилением на реконструкции в сагиттальной плоскости цветом отмечены отделы средостения по классификации ITMIG (преваскулярный - пурпурным, висцеральный - голубым, паравертебральный-желтым). Зеленой линией обозначена граница между висцеральным и паравертебральным отделами. (а) Женщина 58 лет с жалобами на боли в груди. При рентгенографии органов грудной клетки в ПП проекции в левой половине средостения определяется объемное образование с дольчатым контуром. На рентгенограмме в боковой проекции (не показана) данное образование располагалось в переднем средостении. Следует отметить наличие узлового затемнения в прикорневой зоне справа, характеризующегося симптомом неполного контура.
(б) У этой же пациентки при КТ с контрастным усилением визуализируются объемное образование с кальцификатами в пре-васкулярном отделе средостения и «падающий» метастаз в плевре по задней поверхности правого легкого. Данная картина, вероятнее всего, соответствует инвазивной тимоме, что и было подтверждено при биопсии. (а) Курильщик 54 лет с гемофтизом. При рентгенографии органов грудной клетки в ПП проекции определяются объемное уменьшение нижней и средней долей правого легкого, смещение горизонтальной междолевой щели вниз и патологическое образование в правой половине средостения. На рентгенограмме в боковой проекции (не показана) данное образование располагалось в среднем средостении.
(б) У этого же пациента при КТ с контрастным усилением в висцеральном средостении визуализируется объемное образование с дольчатым контуром, которое суживает промежуточный бронх и инвазирует правую легочную артерию. Наиболее вероятный диагноз - распространенный рак легких. В данном случае была выявлена мелкоклеточная карцинома легкого. (а) Мужчина 21 года без жалоб. При рентгенографии органов грудной клетки в ПП проекции в правой паравертебральной области определяется объемное образование, которое на рентгенограмме в боковой проекции (не показана) проецировалось на позвоночник.
(б) У этого же пациента при КТ с контрастным усилением в паравертебральном отделе средостения визуализируется объемное образование с четким контуром. Несмотря на то что передний край данного образования пересекает воображаемую границу висцерального и паравертебрального отделов, большая часть образования расположена паравертебрально. Наиболее вероятный диагноз — нейрогенная опухоль, что и было подтверждено при хирургическом вмешательстве.
г) Список литературы:
1. Carter BW et al: A modern definition of mediastinal compartments. J Thorac Oncol. 9(9 Suppl 2): S97-101.2014
2. Takahashi К et al: Computed tomography and magnetic resonance imaging of mediastinal tumors. J Magn Reson Imaging. 32(6): 1 325-39, 2010
3. Gibbs JM et al: Lines and stripes: where did they go?-From conventional radiography to CT. Radiographics. 27(1):33-48, 2007
4. Whitten CR et al: A diagnostic approach to mediastinal abnormalities. Radiographics. 27(3):657-71, 2007
5. Fraser RS et al: Fraser and Pare's Diagnosis of Diseases of the Chest. 4th ed. Philadelphia: W. B. Saunders Co, 1999
6. Felson B. Chest Roentgenology. Philadelphia: W. B. Saunders Co, 1973
Виды исследования средостения. Выбор метода оценки средостения
Известно, что каждый дополнительный метод рентгенологического исследования обычно выявляет отдельный симптом или группу признаков, значение которых в диагностике, в зависимости от конкретного случая, то велико, то мало. Поэтому в одном случае, как это будет показано в следующих главах, тот или иной метод оказывается решающим для диагноза, в другом — значение этого метода может быть ничтожным. Отсюда понятна порочность в стремлении ориентироваться в диагностике поражений средостения на какой-либо один метод исследования больных с многообразными и притом различно проявляющимися патологическими процессами.
Не подлежит сомнению и другое важнейшее положение при выборе метода исследования, заключающееся в принципе: от простого — к сложному. Именно этот принцип позволяет нам при исследовании больных, в частности больных с опухолями и кистами средостения, не теряться в выборе многочисленных методов рентгенологического исследования, а целенаправленно выбирать лишь минимум способов, необходимых для установления правильного диагноза. Не в меньшей степени это же относится к клиническим методам.
При исследовании больных после общеклинического обследования мы пользуемся следующими рентгенологическими и дополнительными клиническими методами:
1. Обычное многоосевое рентгенологическое исследование (просвечивание, снимки).
2. Жесткие снимки с передержкой.
3. Исследование пищевода с водной взвесью бария.
4. Многощелевая рентгенокимография.
5. Томография в прямой и боковой проекции.
6. Рентгенография костей.
7. Бронхография.
8. Диагностический пневмоторакс.
9. Пневмомедиастинография с томографией.

10. Биопсия периферических лимфатических узлов.
11. Пункция опухоли.
12. Цитологическое исследование плевральной жидкости.
13. Цитологическое исследование мокроты.
14. Применение радиоактивного изотопа йода.
15. Ангиография.
16. Пробная рентгенотерапия.
Поскольку продуманная и определенная последовательность в рентгенологическом исследовании имеет важнейшее значение для диагностики, считаем необходимым привести здесь план, которого мы строго придерживаемся при исследовании больных. С нашей точки зрения это целесообразно сделать еще и потому, что в литературе, посвященной распознаванию опухолей и кист средостения, вопросу, касающемуся последовательности и системы исследования больных, уделено явно недостаточное внимание.
Все исследование больного с наличием патологического процесса в средостении можно разделить на два этапа. Первый предусматривает применение общих методов исследования: общеклинические методы и обычное многоосевое рентгенологическое исследование (просвечивание, снимки в стандартных проекциях и так называемые прицельныеснимки). Через этот этап проходят все больные без исключения.
Второй этап включает группу разнообразных дополнительных методов клинико-рентгенологического исследования, причем выбор тех или иных из этих методов в основном определяется данными, полученными на первом этапе исследования. Применение каждого нового дополнительного метода и полученные в результате этого новые признаки заболевания предопределяют характер последующего исследования с учетом принципа: от простого — к сложному.
Совершенно ясно, что выбор дополнительных методов исследования зависит также и от их диагностических возможностей. В литературе достаточно подробно оценивается роль отдельных методов исследования при диагностике опухолей и кист средостения. Однако накопленный к настоящему времени коллективный опыт, а также собственные наблюдения дают нам основание пересмотреть значение некоторых методов и определить их место в распознавании медиастинальных патологических образований.
Опухоли средостения
Опухоли средостения – группа разнородных в морфологическом плане новообразований, расположенных в медиастинальном пространстве грудной полости. Клиническая картина складывается из симптомов компрессии или прорастания опухоли средостения в соседние органы (болей, синдрома верхней полой вены, кашля, одышки, дисфагии) и общих проявлений (слабости, повышение температуры, потливости, похудания). Диагностика опухолей средостения включает рентгенологическое, томографическое, эндоскопическое обследование, трансторакальную пункционную или аспирационную биопсию. Лечение опухолей средостения – оперативное; при злокачественных новообразованиях дополняется лучевой и химиотерапией.
МКБ-10



Общие сведения
Опухоли и кисты средостения составляют 3-7% в структуре всех опухолевых процессов. Из них в 60-80% случаев выявляются доброкачественные опухоли средостения, а в 20-40% - злокачественные (рак средостения). Опухоли средостения возникают с одинаковой частотой у мужчин и у женщин, преимущественно в возрасте 20-40 лет, т. е. у наиболее социально-активной части населения.
Опухоли медиастинальной локализации характеризуются морфологическим разнообразием, вероятностью первичной злокачественности или малигнизации, потенциальной угрозой инвазии или компрессии жизненно важных органов средостения (дыхательных путей, магистральных сосудов и нервных стволов, пищевода), техническими сложностями хирургического удаления. Все это делает опухоли средостения одной из актуальных и наиболее сложных проблем современной торакальной хирургии и пульмонологии.

Анатомия средостения
Анатомическое пространство средостения спереди ограничено грудиной, позадигрудинной фасцией и реберными хрящами; сзади - поверхностью грудного отдела позвоночника, предпозвоночной фасцией и шейками ребер; по бокам - листками медиастинальной плевры, снизу – диафрагмой, а сверху - условной плоскостью, проходящей по верхнему краю рукоятки грудины.
В границах средостения располагаются вилочковая железа, верхние отделы верхней полой вены, дуга аорты и ее ветви, плечеголовной ствол, сонные и подключичные артерии, грудной лимфатический проток, симпатические нервы и их сплетения, ветви блуждающего нерва, фасциальные и клетчаточные образования, лимфатические узлы, пищевод, перикард, бифуркация трахеи, легочные артерии и вены и др. В средостении выделяют 3 этажа (верхний, средний, нижний) и 3 отдела (передний, средний, задний). Этажам и отделам средостения соответствует локализация новообразований, исходящих из расположенных там структур.
Классификация
Все опухоли средостения делятся на первичные (изначально возникающие в медиастинальном пространстве) и вторичные (метастазы новообразований, расположенных вне средостения).
Первичные опухоли средостения образуются из разных тканей. В соответствии с генезом среди опухолей средостения выделяют:
- неврогенные новообразования (невриномы, неврофибромы, ганглионевромы, злокачественные невриномы, параганглиомы и др.)
- мезенхимальные новообразования (липомы, фибромы, лейомиомы, гемангиомы, лимфангиомы, липосаркомы, фибросаркомы, лейомиосаркомы, ангиосаркомы)
- лимфоидные новообразования (лимфогранулематоз, ретикулосаркомы, лимфосаркомы)
- дисэмбриогенетические новообразования (тератомы, внутригрудной зоб, семиномы, хорионэпителиомы)
- опухоли вилочковой железы (доброкачественные и злокачественные тимомы).
Также в средостении встречаются так называемые псевдоопухоли (увеличенные конгломераты лимфоузлов при туберкулезе и саркоидозе Бека, аневризмы крупных сосудов и др.) и истинные кисты (целомические кисты перикарда, энтерогенные и бронхогенные кисты, эхинококковые кисты).
В верхнем средостении чаще всего обнаруживаются тимомы, лимфомы и загрудинный зоб; в переднем средостении - мезенхимальные опухоли, тимомы, лимфомы, тератомы; в среднем средостении - бронхогенные и перикардиальные кисты, лимфомы; в заднем средостении - энтерогенные кисты и неврогенные опухоли.

КТ ОГК. Массивное объемное образование верхнего средостения с объемным воздействием на трахею, исходящее из щитовидной железы.
Симптомы опухолей средостения
В клиническом течении опухолей средостения выделяют бессимптомный период и период выраженной симптоматики. Длительность бессимптомного течения определяется локализацией и размерами опухолей средостения, их характером (злокачественным, доброкачественным), скоростью роста, взаимоотношениями с другими органами. Бессимптомные опухоли средостения обычно становятся находкой при проведении профилактической флюорографии.
Общая симптоматика при опухолях средостения включает слабость, лихорадку, аритмии, бради- и тахикардию, похудание, артралгии, плеврит. Данные проявления в большей степени свойственны злокачественным опухолям средостения.
Болевой синдром
Наиболее ранними проявлениями как доброкачественных, так и злокачественных опухолей средостения, являются боли в грудной клетки, обусловленные сдавлением или прорастанием новообразования в нервные сплетения или нервные стволы. Боли обычно носят умеренно интенсивный характер, могут иррадиировать в шею, надплечье, межлопаточную область.
Опухоли средостения с левосторонней локализацией могут симулировать боли, напоминающие стенокардию. При сдавлении или инвазии опухолью средостения пограничного симпатического ствола нередко развивается симптом Горнера, включающий миоз, птоз верхнего века, энофтальм, ангидроз и гиперемию пораженной стороны лица. При болях в костях следует думать о наличии метастазов.
Компрессионный синдром
Компрессия венозных стволов, прежде всего, проявляется так называемым синдромом верхней полой вены (СВПВ), при котором нарушается отток венозной крови от головы и верхней половины туловища. Синдром ВПВ характеризуется тяжестью и шумом в голове, головной болью, болями в груди, одышкой, синюшностью и отечностью лица и грудной клетки, набуханием вен шеи, повышением центрального венозного давления. В случае сдавления трахеи и бронхов возникают кашель, одышка, стридорозное дыхание; возвратного гортанного нерва - дисфония; пищевода – дисфагия.
Специфические проявления
При некоторых опухолях средостения развиваются специфические симптомы. Так, при злокачественных лимфомах отмечаются ночная потливость и кожный зуд. Фибросаркомы средостения могут сопровождаться спонтанным снижением уровня глюкозы в крови (гипогликемией). Ганглионевромы и нейробластомы средостения могут продуцировать норадреналин и адреналин, что приводит к приступам артериальной гипертензии. Иногда они секретируют вазоинтестинальный полипептид, вызывающий диарею. При внутригрудном тиреотоксическом зобе развиваются симптомы тиреотоксикоза. У 50 % пациентов с тимомой выявляется миастения.
Диагностика
Многообразие клинических проявлений не всегда позволяет пульмонологам и торакальным хирургам диагностировать опухоли средостения по данным анамнеза и объективного исследования. Поэтому ведущую роль в выявлении опухолей средостения играют инструментальные методы.
- Рентгеновская диагностика. Комплексное рентгенологическое обследование в большинстве случаев позволяет четко определить локализацию, форму и размеры опухоли средостения и распространенность процесса. Обязательными исследованиями при подозрении на опухоль средостения являются рентгеноскопия грудной клетки, полипозиционная рентгенография, рентгенография пищевода. Данные рентгенологического исследования уточняются с помощью КТ грудной клетки, МРТ или МСКТ легких.

- Эндоскопическая диагностика. При опухолях средостения используются бронхоскопия, медиастиноскопия, видеоторакоскопия. При проведении бронхоскопии исключается бронхогенная локализация опухолей и прорастание опухолью средостения трахеи и крупных бронхов.
- Пункционная биопсия. Также в процессе исследований возможно выполнение транстрахеальной или трансбронхиальной биопсии опухоли средостения. В ряде случаев взятие образцов патологической ткани осуществляется посредством трансторакальной аспирационной или пункционной биопсии, проводимой под ультразвуковым или рентгенологическим контролем. При подозрении на лимфоидные опухоли средостения выполняется костномозговая пункция с исследованием миелограммы.
- Хирургическая биопсия. Предпочтительными способами получения материала для морфологического исследования являются медиастиноскопия и диагностическая торакоскопия, позволяющие осуществить биопсию под контролем зрения. В некоторых случаях возникает необходимость в проведении парастернальной торакотомии (медиастинотомии) для ревизии и биопсии средостения. При наличии увеличенных лимфоузлов в надключичной области проводят прескаленную биопсию.
Лечение опухолей средостения
В целях профилактики малигнизации и развития компрессионного синдрома все опухоли средостения должны быть удалены как можно в более ранние сроки. Для радикального удаления опухолей средостения используются торакоскопический или открытый способы. При загрудинном и двустороннем расположении опухоли в качестве оперативного доступа преимущественно используется продольная стернотомия. При односторонней локализации опухоли средостения применяется передне-боковая или боковая торакотомия.
Пациентам с тяжелым общесоматическим фоном может быть осуществлена трансторакальная ультразвуковая аспирация новообразования средостения. При злокачественном процессе в средостении производится радикальное расширенное удаление опухоли либо паллиативное удаление опухоли в целях декомпрессии органов средостения.
Вопрос о применении лучевой и химиотерапии при злокачественных опухолях средостения решается, исходя из характера, распространенности и морфологических особенностей опухолевого процесса. Лучевое и химиотерапевтическое лечение применяется как самостоятельно, так и в комбинации с оперативным лечением.
1. Новообразования средостения: принципы дифференциальной диагностики и хирургического лечения: Автореферат диссертации/ Пищик В.Г. – 2008.
Кисты средостения
Кисты средостения – многочисленная группа полостных образований медиастинального пространства врожденного и приобретенного характера. Кисты средостения могут иметь бессимптомное течение или сопровождаться признаками компрессии окружающих органов (бронхов, пищевода, предсердий, артерий), нарушая их функцию. Диагностика кист средостения подразумевает проведение полипозиционной рентгеноскопии и рентгенографии грудной клетки, пищевода, сердца; томографии; бронхоскопии, пневмомедиастинографии, медиастиноскопии, тонкоигольной аспирационной биопсии, УЗИ средостения, парастернальной медиастинотомии. Лечение кист средостения может включать их открытое или торакоскопическое удаление, трансторакальную пункцию кисты с дренированием и склерозированием и др.


Кисты средостения составляют от 14 до 18,5% всей медиастинальной патологии. К кистами средостения относят полостные образования различного генеза, происходящие из разнородных тканей и объединенные анатомо-топографическими особенностями расположения. Преимущественно обнаруживаются у пациентов в возрасте 20-50 лет, при этом с одинаковой частотой у женщин и мужчин.
Кроме кист, в средостении могут развиваться истинные доброкачественные и злокачественные опухоли: тимомы, тератомы, липомы, нейрогенные опухоли, лимфомы, саркомы, лимфогенные метастазы злокачественных опухолей различных органов и др. Проблема диагностики и лечения кист средостения относится к числу наиболее сложных и актуальных разделов пульмонологии и торакальной хирургии.
Под средостением (mediastinum) понимают сложное в анатомическом отношении пространство, расположенное в грудной полости. Спереди границами средостения служат грудина, позадигрудинная фасция и реберные хрящи; сзади - предпозвоночная фасция, передняя поверхность грудного отдела позвоночника и шейки ребер; по бокам - листки медиастинальной плевры; снизу – диафрагма; сверху - условная горизонтальная плоскость, проходящая по верхнему краю рукоятки грудины. Т.о., в медиастинальном пространстве выделяют 3 отдела (переднее, среднее и заднее средостение) и 3 этажа (верхнее, среднее и нижнее средостение).
В средостении сосредоточены жизненно важные органы и анатомические образования (крупные сосуды, нервные стволы и сплетения, лимфатические протоки, бифуркация трахеи и главные бронхи, пищевод, перикард и др.). Поэтому компрессия или инвазия этих структур может сопровождаться различными по проявлениям и нередко угрожающими жизни симптомокомплексами. Кисты средостения могут выявляться в любых отделах и этажах медиастинального пространства.
Классификация кист средостения
Кисты средостения классифицируются по происхождению и локализации. Среди множества кист средостения различают истинные (врожденные, первичные), вторичные (приобретенные).
Врожденные кисты средостения развиваются из мезодермальных образований - целома или передней кишки. К ним относятся целомические, энтерогенные, бронхогенные, дермоидные кисты, кисты тимуса и др. Приобретенные кисты средостения происходят из лимфатических сосудов, различных органов средостения и пограничных областей. В число приобретенных кист средостения входят лимфатические, тимусные, паразитарные (эхинококковые), менингеальные.
Целомические кисты и дивертикулы перикарда
Являются своеобразным врожденным пороком развития и составляют 3,3-14,2% всех медиастинальных новообразований. Наиболее часто кисты перикарда (60%) развиваются в правом кардиодиафрагмальном углу, реже (30%) – в левом кардиодиафрагмальном углу и других отделах средостения (10%). Такие кисты средостения являются полыми тонкостенными образованиями, сходными по строению с тканями перикарда, имеют гладкую поверхность серо-желтого или серого цвета.
Кисты перикарда содержат прозрачную серозную или серозно-геморрагическую жидкость. Целомические кисты перикарда могут достигать диаметра от 3 до 20 и более см. Целомические кисты средостения могут быть однокамерными или многокамерными, сообщаться с полостью перикарда, быть связанными с перикардом посредством ножки или плоскостного сращения. Приобретенные кисты перикарда встречаются редко; обычно имеют воспалительное и травматическое происхождение. Также описаны паразитарные (эхинококковые) кисты перикарда.
Бронхогенные кисты средостения
Встречаются в 30-35% наблюдений. Они также являются пороками эмбрионального развития и формируются из участков дистопированного бронхиального эпителия. Макроскопически представляют тонкостенные образования, заполненные прозрачной, реже бурой жидкостью. При гистологическом исследовании в них обнаруживается хрящевая ткань, соединительнотканные и гладкомышечные волокна слизистые железы.
Полость бронхогенной кисты средостения изнутри выстлана эпителием цилиндрического или реснитчатого типа. Внутри кисты содержится прозрачная или мутноватая желатинообразная, вязкая масса, которая, при наличии связи кисты с бронхиальным деревом, может нагнаиваться. Бронхогенные кисты средостения обычно располагаются позади бифуркации трахеи и тесно соприкасаются с трахеей или главными бронхами, иногда - пищеводом. Обычно они имеют однокамерное строение и достигают размеров 7-10 см в диаметре.
Гастроэнтерогенные кисты средостения
Энтерокистомы являются эмбриональными производными из первичной кишки. С учетом микроскопического сходства их структуры с отделами ЖКТ, выделяют пищеводные, желудочные и кишечные кисты. Гастроэнтерогенные кисты средостения встречаются в 0,7-5% случаев. Они представляют собой однокамерные округлые или овоидные образования, с толстыми стенками и ножкой; локализуются преимущественно в заднем средостении. Гастроэнтерогенные кисты средостения содержат мутноватую слизевидную массу. Желудочные кисты могут продуцировать соляную кислоту, что приводит к изъязвлению стенок, кровотечению, язвам и перфорации стенок кисты средостения. В редких случаях в стенке кисты может развиваться рак.
Дермоидные кисты средостения
Кистозные тератомы содержат в своей структуре элементы эктодермы и возникают в процессе нарушения эмбриогенеза. В медицине встречаются дермоидные кисты яичников, брюшной стенки, кожи, забрюшинной клетчатки, печени, почек и др. органов и тканей. Дермоидные кисты обычно расположены в передневерхнем отделе средостения. Величина дермоидных кист средостения может достигать 15-25 см. Форма кистозных тератом обычно неправильная овальная; консистенция эластическая или мягкая. Стенки кисты могут содержать хрящевые и известковые включения. Внутри кисты заключена густая кашицеобразная жирная масса с множеством различных включений (волос, чешуек эпидермиса, кристаллов холестерина, аморфных жиров, зубов).
Кисты вилочковой железы
Могут иметь врожденное и приобретенное (воспалительное, опухолевое) происхождение. Они преимущественно выявляются у детей и людей молодого возраста.
Симптомы кист средостения
Особенности клинических проявлений кисты средостения обусловлены типом и расположением образования, его величиной и скоростью роста. В большинстве случаев симптоматика развивается на том этапе, когда увеличение кисты средостения вызывает компрессию других органов и неизбежное нарушение их функций.
Течение кист перикарда в большинстве случае бессимптомное, гладкое. Нередко они являются находкой при прохождении профилактической флюорографии. Иногда наблюдаются сердцебиение, одышка, сухой кашель, возникающие при перемене положения туловища и физической нагрузке. При осложненном течении целомических кист средостения может иметь место провыв содержимого кисты перикарда в бронх, нагноение и разрывы кисты.
Развитие бронхогенных кист средостения нередко сопровождается надсадным кашлем, одышкой, дисфагией, тупой болью в грудной клетке. При сдавлении кистой дыхательных путей развивается стридорозное дыхание. В случае прорыва бронхогенной кисты средостения в бронх может появиться кровохарканье. При одновременном прорыве кисты в плевральную полость и в бронх, развивается гидропневмоторакс и бронхоплевральный свищ.
Гастроэнтерогенные кисты средостения проявляют себя кашлем, одышкой, тахикардией, дисфагией, болью в груди. Энтерокистомы могут прорываться в трахею, бронхи, плевральную полость, средостение, вызывая развитие кровохарканья, эмпиемы плевры, частых пневмоний, лихорадки неясного генеза, бронхоэктазов, медиастинита.
Более чем в половине случаев дермоидная киста средостения сопровождается различными сердечно-сосудистыми нарушениями: приступами стенокардии, болью в области сердца, тахикардией. У 30% больных признаком дермоидной кисты средостения служит появление продуктивного кашля с выделением кашицеобразной массы, содержащей примесь волос и жира, что наблюдается при прорыве кисты в бронх. У части пациентов отмечается выпячивание грудной стенки в проекции расположения опухоли.
Симптоматика кист вилочковой железы может быть разнообразной – от бессимптомного течения до осложненного. Достигнув известных размеров, кисты могут вызывать медиастинальный «компрессионный» синдром. В некоторых случаях на первый план выходит миастенический синдром. Опасность кист вилочковой железы заключается в риске нагноения, прорыва в плевру, кровотечения.
Осложнения
Наиболее грозным осложнением кист средостения служит так называемый синдром медиастинальной компрессии, частота которого колеблется от 27 до 39%. Сюда может входить компрессия дыхательных путей, синдром верхней полой вены (СВПВ), сдавление пищевода, сердца, возвратного нерва.
При компрессии дыхательных путей развивается стридорозное дыхание, одышка, дыхательная недостаточность. Синдром ВПВ проявляется цианозом кожи лица, видимых слизистых оболочек, шеи, верхних конечностей и грудной клетки; отечностью мягких тканей этой зоны; расширением и напряжением вен шеи; повышением давления в системе ВПВ. Сдавление кистами различных структур средостения может сопровождаться дисфагией, дисфункцией надгортанника, дисфонией, компрессией и дислокацией сердца.
К прочим осложнениям кист средостения относятся их прорывы в полости плевры, бронхи и легкое, кровотечения в средостение и плевральную полость (гемоторакс). Осложненное течение кист средостения несет в себе потенциальную угрозу жизни пациента.
Методы выявления кист средостения включают рентгенологическую, ультразвуковую, томографическую, эндоскопическую, морфологическую диагностику.
- Рентгенологические исследования. Полипозиционная рентгеноскопия и рентгенография грудной клетки, рентгенография пищевода и сердца, пневмомедиастинография позволяют определить локализацию, форму и размеры кисты, ее связь с соседними органами, изменение положения при дыхательных движениях.
- Томографическая диагностика. Для более детальной оценки структуры, толщины стенок кисты, характера содержимого и взаимоотношения с соседними анатомическими образованиями, производится КТ и МРТ средостения.
- Эхография. При медиастинальных новообразованиях в диагностической практике широко используется УЗИ средостения. В диагностике кист перикарда существенно помогает ЭхоКГ, позволяющая дифференцировать кисту средостения от кист легкого, дермоидных кист средостения, аневризмы аорты.
- Бронхологическое обследование. При кистах средостения, демонстрирующих интимную связь с трахеей или бронхами, прибегают к выполнению бронхоскопии и бронхографии.

Если названные методы диагностики не позволяют определиться с нозологией образования, целесообразен переход к инвазивным диагностическим исследованиям:
- Биопсия. Проведение аспирационной тонкоигольной биопсии кисты средостения позволяет осуществить цитологическое исследование полученного пунктата и верифицировать морфологию образования в 80-90% случаев. Тонкоигольная биопсия может выполняться чрескожным, чрестрахеальным, чрезбронхиальным, чреспищеводным доступом.
- Диагностические операции. С целью визуализации и открытой эксцизионной биопсии опухоли средостения может быть предпринята медиастиноскопия, диагностическая торакоскопия, парастернальная медиастинотомия.
Лечение кист средостения
Лечебная тактика в отношении кист средостения сводится к их хирургическому удалению в возможно ранние сроки. Такой подход является профилактикой развития компрессионного синдрома, разрыва и малигнизации кист средостения.
- Открытое удаление кисты средостения может проводиться путем продольной стернотомии (при расположении кисты в переднем средостении), с помощью переднебоковой торакотомии на стороне поражения (при боковом расположении образования), боковой торакотомии (при локализации опухоли в среднем средостении), заднебоковой торакотомии (при расположении кисты в заднем средостении). Открытые операции обеспечивают возможность наибольшей свободы действий и полноценной интраоперационной ревизии раны. При развитии осложнений может потребоваться проведение медиастинотомии.
- Торакоскопическое удаление кист средостения также широко и успешно применяется не только для диагностики, но и для удаления медиастинальных образований. В некоторых случаях используется миниторакотомия с видеоподдержкой.
- Пункционная аспирация. У соматически отягощенных пациентов с низкими функциональными резервами методом выбора служит трансторакальная пункция с дренированием и склерозированием кисты средостения. В качестве склерозантов обычно используется раствор спирта с йодом, глюкозы.
1. Опухоли и кисты средостения (включая патологию вилочковой железы)/ Овнатанян К.Т. Кравец В.М. – 1971.
2. Новообразования средостения: принципы дифференциальной диагностики и хирургического лечения: Автореферат диссертации/ Пищак В.Г. – 2008.
3. Клинические рекомендации по диагностике и лечению больных опухолями средостения и вилочковой желез/ Борисова Т.Н., Бредер В.В., Горбунова В.А., Иванов С.М., Лактионов К.К., Михина З.П., Реутова Е.В., Полоцкий Б.Е., Тюляндин С.А. – 2014.
Читайте также:
