Опухоли мочеиспускательного канала. Папиллома вульвы.
Добавил пользователь Евгений Кузнецов Обновлено: 23.01.2026
Рак влагалища. Неэпителиальные опухоли влагалища.
Папиллома имеет строение, присущее шюскоклеточной папилломе.
Дисплазия и преинвазивная карцинома аналогичны таковым на влагалищной части шейки матки. Распространяются на стенку влагалища с шейки матки, но могут возникать во влагалище первично. Известны наблюдения преинвазивной карциномы в виде многоочагового поражения шейки матки, влагалища, эндометрия и вульвы.
Рак влагалища составляет около 2% всех злокачественных опухолей женской половой сферы. Чаще бывает плоскоклеточным неороговевающим, поражая преимущественно верхнюю треть задней стенки. Встречается в любом возрасте, но наиболее часто в возрасте 50—60 лет. Первичный рак железистого строения возникает редко, в любом возрасте, даже у детей.
Выделяют рак, сходный с эндоцервикальной аденокарциномой; эндометриоидного типа и светлоклеточную аденокарциному. Эндоцервикальная аденокарцинома возникает на почве аденоза. Как и в шейке матки, эндоцервикальная аденокарцинома влагалища может быть высоко- и низкодифференцированной. В низкодифференцированном раке могут преобладать структуры солидного строения. Эндометриоидная аденокарцинома, вероятно, возникает из эндометриоза влагалища.
Светлоклеточный рак (нарамезонефрального происхождения) в отличие от аденокарциномы из гартнерова протока располагается поверхностно на передней стенке влагалища. При развитии опухоли из гартнерова хода она локализуется в глубоких отделах боковой стенки влагалища.

За рубежом отмечено возрастание частоты светлоклеточного рака влагалища и шейки матки у девушек и молодых женщин, матери которых во время беременности с целью сохранения ее лечились диэтилстильбестролом (ДЭС) и другими синтетическими нестероидными эстрогенными препаратами. В СССР применение синтетических эстрогенов с этой целью (в 70-е годы) было ограниченным, поэтому светлоклеточный рак влагалища встречается по-прежнему исключительно редко. Микроскопически светлоклеточные опухоли влагалища (и шейки матки), развившиеся в результате трансплацентарного воздействия нестероидных эстрогенов, не отличаются от светлоклеточного рака влагалища у старых женщин или у детей, матери которых не принимали ДЭС.
Морфологически для светлоклеточной аденокарциномы влагалища, как и для любой другой ее локализации в гениталиях, характерны различные варианты или сочетания их. К этим вариантам относятся тубулярный, папиллярный и/или солидный. В последнем варианте преобладают поля светлых клеток, часто чередующихся с участками более темных эозинофильных клеток с большим числом митозов. Папиллярный вариант представлен преимущественно папиллярными структурами из светлых либо более темных эозинофильных клеток с ядрами типа шляпок обойных гвоздей. Вариант, представленный преимущественно тубулярными структурами, характеризуется тем же составом выстилающих клеток, что и в предыдущем варианте.
Неэпителиальные опухоли редки, хотя и весьма разнообразны. Лейомиома чаще встречается в возрасте 35—48 лет. Другие опухоли (фиброма, липома, лейомиосаркома, сосудистые, нейрогенные и др.) встречаются еще реже. К редким опухолям относятся зернисто-клеточная миобластома и эмбриональная рабдомиосаркома. Последняя опухоль, или как еще ее называют «ботриоидная саркома», встречается у детей, даже у новорожденных, причем 2/з всех случаев надает на первые 2 года жизни. Ботриоидная саркома—высокозлокачественная опухоль гроздевидно-полипозного строения, миксоидного и/или геморрагического вида.
Микроскопически представлена низкодифференцированными округлыми и веретенообразными клетками. Нередко строма миксоидная с преобладанием звездчатых клеток, расположенных в аморфном межуточном веществе, может содержать клетки поперечно исчерченной мышечной ткани на различной стадии дифференцировки, в том числе клетки с эозинофильной цитоплазмой. В клетках иногда удается обнаружить миофибриллы с поперечной исчерченностью. В ряде случаев выявляют гетерологические элементы, такие как хрящ и кость. Поверхность опухоли обычно бывает покрыта многослойным плоским эпителием. Дифференциальный диагноз проводят с папилломой и с так называемыми фиброэпителиальными полипами влагалища, которые хотя и редко, но можно наблюдать и у детей.
Во влагалище (в нижней его трети) могут также встречаться невусы и злокачественная меланома, строение которых аналогично таковому в других локализациях.
Вторичные опухоли обнаруживают чаще, чем первичные. Наиболее частыми источниками вторичных опухолей являются раки эндометрия и шейки матки, реже хорионэпителиома матки, опухоли яичников, прямой кишки и почек.
Информация на сайте подлежит консультации лечащим врачом и не заменяет очной консультации с ним.
См. подробнее в пользовательском соглашении.
Новообразования вульвы
Новообразования наружных половых органов – группа различных по морфологии опухолевых заболеваний вульвы. Опухоли могут быть бессимптомным; при больших размерах или инфильтративном росте сопровождаются дискомфортом и болезненностью в промежности, кровянистыми или гнойными выделениями, раздражением и зудом вульвы. Диагностика новообразований наружных половых органов основана на осмотре вульвы, вульвоскопии, цитологическом исследовании мазков, биопсии. Лечение доброкачественных опухолей вульвы сводится к их иссечению или вылущиванию; при злокачественных новообразованиях производится вульвэктомия или комбинированное лечение.

Общие сведения
Новообразования вульвы формируются в результате патологического разрастания тканей, вызванного аномальным делением клеток. Они могут исходить практически из всех находящихся в этой зоне тканевых структур – соединительной, жировой, мышечной, лимфоидной, эпителиальной и т. д. Новообразования наружных половых органов объединяют доброкачественные (фибромы, фибролипомы, гидроаденомы, миксомы, гемангиомы, лимфангиомы, папилломы) и злокачественные опухоли – рак вульвы. Они могут локализоваться в области лобка, малых и больших половых губ, клитора, наружного отверстия уретры, задней спайки.
Доброкачественные новообразования наружных половых органов имеют относительно медленный пролиферирующий рост в пределах окружающих тканей. Злокачественным опухолям свойственна инфильтрация (проникающее прорастание) окружающих тканей, быстрый рост, клеточная атипия, способность к метастазированию в лимфоузлы и отдаленные органы.
Этиология новообразований вульвы неоднозначна. Потенциальными факторами их развития могут служить нарушения нейроэндокринной регуляции, длительная гормональная контрацепция, ИППП (ВПЧ, хламидиоз, генитальный герпес и др.), кольпиты, вульвиты, травматизация наружных половых органов.
Типы доброкачественных новообразований вульвы
С доброкачественными новообразованиями наружных половых органов гинекология сталкивается относительно редко. В области больших половых губ чаще возникают фибромы и миомы, гидроаденомы, липомы и фибролипомы, миксомы, гемангиомы, лимфангиомы; в зоне преддверия влагалища - папилломы (вирусные образования, исходящие из покровного эпителия).
Фиброма (фиброаденома) вульвы - образование, представленное зрелыми волокнистыми соединительнотканными структурами и пучками коллагеновых фибрилл. Фибромы имеют широкое основание или ножку, не спаяны с окружающими тканями. Консистенция опухоли определяется расположением коллагеновых пучков и степенью гиалинизации новообразования. Чаще фиброма располагается в толще большой половой губы, реже – в зоне преддверия влагалища; увеличивается в размерах медленно.
Структура миомы вульвы представлена мышечными волокнами. К разновидностям миомы относятся лейомиома, образованная гладкими мышечными волокнами, и рабдомиома, состоящая из поперечно-полосатых волокон. Миомы локализуются в толще мышц большой половой губы, характеризуются плотноэластической консистенцией, подвижностью, несвязанностью с окружающими тканями.
Фибромиома вульвы сочетает волокна фиброидного и мышечного типа, исходит из мышечных элементов круглой связки, локализуется в области большой половой губы.
Липома вульвы – опухоль жировой структуры, иногда содержащая компоненты соединительной ткани (фибролипома). Локализуется на лобке или больших половых губах, имеет выраженную капсулу, круглую форму, мягковатую консистенцию, относительную подвижность.
Миксома вульвы - мезенхимальная опухоль, располагающаяся в подкожном слое больших половых губ или лобка. Миксома чаще выявляется у пожилых женщин. Макроскопически имеет округлые контуры, студенистую консистенцию, капсулу, желтовато-белый цвет.
Гемангиома вульвы исходит из сосудов кожи и слизистой наружных половых органов. По своей структуре она может быть кавернозной или капиллярной. Гемангиомы располагаются на половых губах, имеют вид красного или синюшного узла, возвышающегося над слизистой или кожей. Сосудистые опухоли могут довольно быстро расти и распространяться на ткани влагалища, шейки или полости матки.
Лимфангиома вульвы образована лимфоидной тканью, имеет многополостную структуру и содержит белковый выпот. Полость лимфангиомы выстлана эпителием. Макроскопически лимфоидная опухоль представлена мелкобугристыми сочными узелками с синеватым оттенком, имеющими мягкую консистенцию с отдельными плотными включениями.
Папиллома (кондилома) вульвы – опухоль, ассоциированная с ВПЧ, образована покровным эпителием больших половых губ и преддверия влагалища. Микроскопически в ней определяется фиброэпителиальная структура, иногда с признаками выраженного акантоза. Папилломы могут иметь одиночный или множественный характер, белесоватый или темно – коричневый цвет, тонкую ножку или широкое основание. Внешне папиллома вульвы выглядит как сосочковое разрастание в области половых губ с экзофитным ростом. Папилломы вульвы способны распространяться на слизистую влагалища и озлокачествляться.
Гидроаденома вульвы исходит из потовых желез лобка или больших половых губ. Гидроаденомы выглядят как множественные симметричные узелковые высыпания овальной или округлой формы, желтоватого, розоватого или коричневатого оттенка. Микроскопически представлены кистозными полостями, выстланными уплощенным эпителием с содержанием коллоидной массы.
Среди опухолевидных образований вульвы также встречаются кисты бартолиновой железы.
Симптомы доброкачественных новообразований вульвы
Некрупные новообразования вульвы не сопровождаются клинической симптоматикой. По мере своего роста фиброидные, мышечные, жировые, сосудистые опухоли растягивают ткани лобка или половых губ, выпячиваются наружу, возвышаясь в виде припухлости или полиповидного разрастания. В этом случае возникают ощущения инородного тела в области промежности, дискомфорт при движениях, половом сношении.
При травматизации гемангиом вульвы могут возникать контактные кровотечения. В ряде случаев отмечается воспаление, изъязвление, нагноение новообразований наружных половых органов. При сдавливании опухолью уретры могут развиваться нарушения мочеиспускания. При нарушении кровообращения в опухолевом образовании (кровоизлиянии, некрозе) появляется отечность и болезненность в области вульвы.
Диагностика доброкачественных новообразований вульвы
Распознавание новообразований вульвы производится при непосредственном осмотре гинеколога. Для выявления распространения опухолевой инфильтрации производится влагалищное исследование, вульвоскопия, при необходимости – кольпоскопия, трансвагинальное УЗИ.
С целью исключения неспецифических и половых инфекций осуществляется бактериологическое исследование мазка, ПЦР-диагностика. Для уточнения доброкачественности новообразования исследуются пунктаты опухолей, мазки и соскобы с краев язвочек, выполняется гистологическое исследование биоптата. Гидроаденому вульвы дифференцируют с проявлениями сифилиса.
Лечение доброкачественных новообразований вульвы
Непрогрессирующие и не причиняющие дискомфорт опухоли вульвы с подтвержденной доброкачественной структурой могут оставляться под наблюдение. Оперативное удаление новообразований наружных половых органов производится при их росте, симптоматическом течении, опасности малигнизации, физическом и эстетическом дискомфорте.
Опухоли на ножке подлежат иссечению у основания. Новообразования, расположенные в толще тканей, вылущиваются из окружающих тканей с ушиванием ложа. С особой осторожностью следует производить вылущивание опухолей, расположенных близко к уретре во избежание ранения мочеиспускательного канала. В этом случае к операции может привлекаться уролог.
При удалении папиллом вульвы предпочтение отдается криодеструкции, радиоволновому иссечению, лазерному удалению, электрокоагуляции, плазменной коагуляции, химическому прижиганию солкодермом. Гемангиомы вульвы могут излечиваться хирургически, путем электрокоагуляции, криотерапии, склеротерапии.
Прогноз при доброкачественных новообразованиях вульвы
В целом неудаленные доброкачественные новообразования вульвы озлокачествляются в единичных случаях. После удаления новообразований нередко может возникать их повторное образование. После удаления папиллом вульвы требуется проведение противовирусного лечения. Течение операции и постоперационного периода может осложняться кровотечением, ранением уретры, образованием гематом.
Доброкачественные опухоли уретры ( Доброкачественные новообразования мочеиспускательного канала , Доброкачественные новообразования уретры , Доброкачественные опухоли мочеиспускательного канала )
Доброкачественные опухоли уретры – это группа образований эпителиального и неэпителиального происхождения, развивающихся из различных слоев стенки мочеиспускательного канала. Патология проявляется затруднением и болезненностью мочеиспускания, зудом и жжением в мочеиспускательном канале, кровотечениями. Диагностика требует проведения уретроскопии, уретрографии, биопсии образования с морфологическим исследованием тканей. Выявление опухоли мочеиспускательного канала служит основанием для ее трансуретрального иссечения.

Среди новообразований урогенитальной локализации опухоли уретры составляют 3-4%. В современной урологии доброкачественные опухоли мочеиспускательного канала чаще встречаются у женщин, что объясняется анатомо-морфологическими особенностями строением женской уретры. Мочеиспускательный канал у женщин – короткий трубчатый орган длиной 3-5 см, состоящий из 3-х отделов – проксимального, среднего и дистального. Проксимальный отрезок женской уретры выстлан переходным и железистым эпителием; средний - преимущественно чешуйчатым эпителием; дистальный отдел – смешанным уротелием. Чаще опухоли уретры располагаются на задней стенке наружного отверстия мочеиспускательного канала. В большинстве случаев неоплазии развиваются в возрасте 50-70 лет.
Причины
Этиология доброкачественных опухолей уретры недостаточно изучена. Однако замечено, что развитию большинства новообразований предшествует длительное течение хронического уретрита, дисфункция яичников, раздражение уретры патологическими белями при кольпите и цервиците, нарушение васкуляризации стенок мочеиспускательного канала при родовых травмах, запорах, повреждения уретры и др.
Среди ИППП особая роль принадлежит хламидиозу, трихомониазу, уреаплазмозу, гонорее, микоплазмозу, генитальному герпесу. В развитии кондилом и папиллом уретры этиологическим фактором выступает папилломавирусная инфекция, передаваемая при половых контактах. Частота возникновения опухолей уретры увеличивается пропорционально возрасту, поскольку происходящие в климактерическом периоде гормональные изменения нередко способствуют развитию гиперпластических процессов в мочеполовых органах.
Классификация
Все доброкачественные опухоли уретры принято делить на эпителиальные (уретральные), берущие начало из слизистой мочеиспускательного канала и ее желез, и неэпителиальные (парауретральные), обычно исходящие из мышечных и соединительнотканных волокон. К эпителиальным новообразованиям относятся папилломы, кондиломы, полипы, карункулы; к неэпителиальным - миомы, фибромы, фибромиомы, ангиомы, нейрофибромы и др.
Папилломы уретры – сосочковидные одиночные или множественные образования, возвышающиеся над слизистой оболочкой. Различают плоскоклеточные, переходно-клеточные и выстланные многорядным многослойным эпителием папилломатозные опухоли уретры. Папилломы могут иметь широкое основание или длинную ножку, размеры – до 0,5-1 см.
Поверхность папиллом гладкая, консистенция мягкая, форма – округлая или продолговатая, цвет – от серовато-белого до розового или темно-красного. При образовании конгломератов папилломы напоминают бородавки с множеством зернистых или ворсинчатых выростов. Папилломы уретры располагаются преимущественно в области наружного отверстия мочевого канала, на его задней стенке и растут в дистальном или проксимальном направлении.
Кондиломы мочеиспускательного канала – разрастания конусовидной или сосцевидной формы, чаще располагающиеся кольцеобразно вокруг наружного отверстия уретры. По строению различаются бородавчатые и капиллярные кондиломы. Первые имеют беловато-серый или желтоватый цвет, широкое основание, плотную консистенцию. Второй тип кондилом отличается мягкой консистенцией, узким основанием, красным цветом. Капиллярные опухоли уретры легко кровоточат при контакте, часто сопровождаются выделениями, приводящими к мацерации и изъязвлениям слизистой.
Полип мочеиспускательного канала – мягкая васкуляризированная опухоль уретры на ножке, покрытая плоским эпителием. Полипы имеют округлую или каплевидную форму, ярко-красный цвет, гладкую поверхность, иногда с участками изъязвления. Полипы располагаются проксимальнее или дистальнее наружного отверстия уретры (у мужчин в простатическом отделе) и часто перекрывают просвет мочеиспускательного канала.
Разновидностью полипов уретры являются карункулы – небольшие опухоли на ножке ярко-красного цвета, мягкие по консистенции, с бороздчатой поверхностью. Из-за обильной васкуляризации карункулы склонны к кровоточивости; они располагаются на задней стенке возле наружного отверстия мочеиспускательного канала.
Неэпителиальные опухоли уретры (фибромы, миомы, фибромиомы и др.) встречаются редко и обычно имеют смешанное строение. Их расположение - подслизистое между стенками уретры и влагалища, поверхность гладкая, размеры – от вишни до куриного яйца. Ангиомы уретры – мелкие сосудистые опухоли синевато-красного цвета, локализующиеся близ наружного отверстия канала. Ангиомы легко травмируются и кровоточат.
Симптомы
Доброкачественные опухоли уретры в зависимости от размеров, локализации, гистологической структуры, могут давать разнообразную симптоматику. В большинстве случаев неоплазии увеличиваются медленно и длительное время не вызывают никаких расстройств. К ранним и типичным признакам опухолей относятся жжение и зуд в мочеиспускательном канале, ощущение дискомфорта при мочеиспускании.
Дизурические расстройства могут проявляться императивными позывами, раздвоением или отклонением струи мочи (у мужчин - разбрызгиванием струи), частичным недержанием мочи. В случае развития уретрита или восходящего цистита мочеиспускание становится учащенным, сопровождается резями, гноетечение из уретры. Полипы и папилломы могут вызывать инфравезикальную обструкцию с полной задержкой мочи.
Доброкачественные опухоли уретры склонны к кровоточивости - от незначительных контактных выделений до обильной и упорной уретроррагии. У женщин довольно часто отмечается болезненность при половом сношении. У мужчин развивается нарушение половой функции - гемоспермия, сперматорея, преждевременная эякуляция, спонтанные эрекции и др. При кондиломах отмечаются обильные выделения, которые вызывают мацерацию слизистой гениталий и кожи промежности.
Диагностика
При небольших бессимптомных опухолях уретры диагноз устанавливается крайне редко. Обращение к специалисту-урологу и целенаправленное урологическое обследование производится при развитии типичных жалоб. В процессе диагностики доброкачественные неоплазии дифференцируют от пролапса мочеиспускательного канала, рака уретры, опухолей вульвы и влагалища, инородных тел и камней мочеиспускательного канала.
Учитывая возможность инфекционной природы новообразования, выполняется бактериологическое исследование мазка из уретры, ПЦР диагностика половых инфекций, микроскопия мазка из мочеиспускательного канала, исследование отпечатков новообразований. При физикальном обследовании проводится пальпация опухоли, влагалищное исследование с оценкой размеров, характера поверхности, выраженности ножки или ширины основания новообразования.
Если неоплазия не определяется в ходе наружного осмотра, прибегают к проведению уретроскопии и уретрографии. На уретрограммах обычно выявляется деформация какого-либо отдела мочеиспускательного канала. С помощью уретроскопии удается рассмотреть доброкачественную опухоль, оценить ее размеры, выполнить биопсию. Окончательная верификация диагноза производится с помощью цитологического и морфологического исследования биоптата.
Лечение доброкачественных опухолей уретры
Благодаря внедрению в урологическую практику эндоскопических методик, лечение опухолей проводится малоинвазивно. Кондиломы уретры могут быть подвергнуты химической деструкции солкодермом, хирургическому иссечению, удалению радиоволновым методом, с помощью лазера, жидкого азота, плазменной коагуляции или электрокоагуляции.
Удаление неоплазий, расположенных дистальнее наружного отверстия, выполняется трансуретрально через канал уретроскопа. В этих случаях обычно производится циркулярное или клиновидное иссечение опухолей уретры в пределах здоровых тканей. Мелкие доброкачественные новообразования удаляют путем электроэксцизии. В постоперационном периоде производится длительная (на 3-4 суток) катетеризация мочевого пузыря. При опасности развития стриктур уретры выполняется ее бужирование.
Удаление доброкачественных опухолей уретры предотвращает их возможную малигнизацию. Радикальное иссечение опухолей уретры исключает рецидивы. Однако в случае вирусной природы новообразования лечение должно быть дополнено курсом консервативной терапии.
Прогноз и профилактика
Прогноз обычно благоприятный, при полном удалении доброкачественного новообразования наступает выздоровление. Для предотвращения развития опухолей уретры важны профилактические осмотры гинеколога и уролога, исключение половых инфекций и травмирования мочеиспускательного канала.
Опухоли мочеиспускательного канала. Папиллома вульвы.
Опухолеподобные изменения влагалища. Эндометриоз влагалища.
В своде влагалища после операции экстирпации матки наблюдают развитие грануляционной ткани, которая имеет вид полипа, что следует учитывать при дифференциальной диагностике с саркомой.
Остроконечные кондиломы при обширном поражении вульвы сливного характера могут распространяться на нижнюю треть влагалища и значительно реже на влагалищную часть шейки матки, но могут возникать и раздельно в этих органах. Во время беременности вследсгвие усиленного размножения клеток герминативного слоя эпителия наблюдают увеличение количества митозов, отмечают укрупнение эпителиальных клеток.
Эндометриоз влагалища относится к наружному эндометриозу и его наблюдают реже, чем основные локализации этой патологии. К числу последних, как известно, принадлежат внутренний эндометриоз тела матки, эндометриоз и эндометриоидные кисты яичников, эндометриоз шейки матки, ретроцервикальный эндометриоз.
В настоящее время под эндометриозом понимают эндометриоподобные разрастания, развивающиеся за пределами обычной локализации эндометрия. При этом указывают на сходство их строения со слизистой оболочкой матки. Учитывая, что анатомически и морфологически эти гетеротопии не всегда сходны со слизистой оболочкой тела матки (например, мелкие и крупные эндометриоидные кисты яичника при отсутствии эндометриальных желез), следует подчеркнуть не сходство эндометриоидной ткани с эндометрием по строению и функции, хотя оно и может наблюдаться, а наличие при указанной патологии обязательно двух компонентов—эпителиального и стромального, имеющих обычно эндометриальный характер.

Частота встречаемости гистологически верифицированного первичного эндометриоза влагалища (без учета больных, у которых он являлся следствием прорастания ретроцервикального эндометриоза) не уступает по частоте встречаемости эндометриоза маточных труб. Эндометриоидные образования влагалища чаще имеют вид мелких, обычно плотных узелков, располагающихся под слизистой оболочкой, чаще в заднем своде и верхней трети задней стенки.
При первичном эндометриоидном поражении нередко отмечают рост эндометриоидной ткани в глубину. Первичный эндометриоз влагалища с наличием эндометриоидной кисты и полииозная форма эндометриоза (при последнем образование имеет красноватый цвет) всгречают значительно реже. Как и при эндометриозе шейки матки, рассматриваемые образования влагалища иногда имеют вид «синюшных глазков», из которых в период менструации может выделяться кровь в виде струйки темного цвета.
Морфологически эндометриоз влагалища характеризуется теми же особенностями, которые свойственны любой другой его локализации. В эндометриоидных гетеротопиях количество цитогенной стромы, располагающейся в соединительной ткани, бывает разным. Местами обнаруживают лимфоидную инфильтрацию. Наиболее богата цитогенной стромой полипозная форма эндометриоза. При любой форме эндометриоза обнаруживают железистый эпителий маточного тина. Развит ие эндометриоидной аденокарциномы на почве эндометриоза влагалища наблюдают редко.
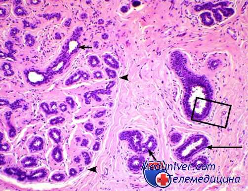
В дифференциально-диагностическом отношении следует учитывать аденоз влагалища, который в России встречается редко. За рубежом частота возникновения его значительно возросла вследствие широкого применения ДЭС и других синтетических эстрогенов во время беременности матерями больных. В основном аденоз выявляют после настугишния менархе у девушек и женщин до 25 лет, тогда как эндометриоз влагалища всгречают чаще в возрасте 31-40 лет. Поражение поверхностное, преимущественно в верхних 2/3 стенки влагалища, иногда имеет сходство с мелкими наботовыми кистами.
Эндометриоз чаще локализуется в верхней 1/3 задней стенки влагалища. Гистологически при аденозе в отличие от эндометриоза цитогенная ткань отсутствует. Железистые образования выстланы цилиндрическим, чаще высоким эндоцервикального типа эпителием. Эти изменения могут быть ограничены влагалищем или переходить на влагалищную часть шейки матки. В очагах аденоза возможна плоскоклеточная метаплазия, аналогичная таковой в шейке матки. Очаги аденоза в некоторых случаях могут быть источником развития светлоклеточной аденокарциномы.
При эндометриоидном поражении переднебоковых отделов влагалища и относительно глубоком его расположении в дифференциальной диагностике следует учитывать остатки гартперова хода — гиперплазию и возникающие из них кисты. Последние могут быть сегментированными или множественными. Эпителий их обычно однорядный кубический или цилиндрический, цитогенная строма отсутствует.
- Вернуться в оглавление раздела "гистология"
Первичные опухоли мочеточников встречаются редко, локализуются чаще в нижней их трети, гистологически не отличаются от опухолей лоханки и мочевого пузыря. Значительно чаще мочеточники поражаются вторично, главным образом за счет прорастания в них опухолей других органов и тканей, реже—метастазов.
Доброкачественные эпителиальные опухоли — переходно- и плоскоклеточная папиллома. Среди раковых опухолей, встречающихся очень редко, преобладает плоскоклеточный рак (чаще низкодифференцированный), много реже обнаруживаются переходноклеточный рак, аденокарцинома (нередко муцинозная), недифференцированный рак. Источником развития аденокарциномы могут быть стволовые клетки самой уретры, уретральных и бульбо-уретраль-ных (куперовых) желез и их протоков. Очень редки разнообразные неэпителиальные и смешанные опухоли.
Из опухолеподобных образований встречаются остроконечные кондиломы, полипы (в том числе железистые), у женщин—карункул. Последний представляет собой мелкое полиповидное образование, построенное из сосудисто-фиброзной ткани. В его эпителиальном покрове возможна очаговая атипическая гиперплазия многослойного плоского или метапластического эпителия, которая может быть ошибочно принята за раннюю карциному.
Чрезвычайно редко в простатической части уретры можно встретить «нефрогенную аденому» такого же строения, как и в мочевом пузыре.

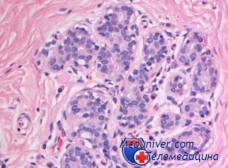
Папиллома вульвы—обычно одиночная, относительно редко возникает на коже половых губ у женщин пожилого возраста. Растет медленно. Представлена многослойным плоским эпителием, покрывающим рыхлую строму с сосудами. Микроскопически папилломы сходны с остроконечными кондиломами—множественными папилломатозного вида гиперпластическими образованиями, возникающими на наружных половых органах, промежности в любом возрасте, чаще у беременных. Образование остроконечных кондилом связывают с воспалением вирусной этиологии.
Эпителий их утолщенный многослойный плоский с выраженным акантозом, гипер- и паракератозом. Строма рыхлая с воспалительными явлениями. В поверхностных отделах эпителия клетки местами с перинуклеарным просветлением в виде широкой зоны неправильной формы (koilocytotic atypia). Папилломы и остроконечные кондиломы очень редко малигнизируются. Проводя дифференциальный диагноз, следует учитывать возможность веррукозного рака. Это очень редкое заболевание часто остается нераспознанным не только клиницистами, но и патологом. Клинически внешне веррукозный рак напоминает остроконечные кондиломы, неподдающиеся обычным методам лечения. Микроскопически обнаруживается высокодифференцированная опухоль папиллярного бородавчатого вида. Митозы встречаются редко.
Клетки часто богаты эозинофильной цитоплазмой. Инвазивный рост обычно сопровождается выраженными воспалительными явлениями.
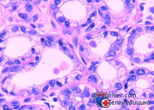
Папиллярная гидраденома вульвы относительно редкая опухоль, обычно менее 2 см в диаметре, встречается наиболее часто в возрасте 40—50 лет. Опухоль растет медленно. Гистологически иногда вызывает подозрения в отношении аденокарциномы, хотя опухоль является доброкачественной и исключительно редко малигнизируется.
Читайте также:
- Нарушение кровотока при мерцательной аритмии. Бред сердца
- Закупорка центральных артерий сетчатки и их ветвей
- Лечение гнойных и септических осложнений ранений: устранение очага инфекции, антибиотикотерапия
- Диастолическая стресс-эхокардиография. Оценка гемодинамики при эхокардиографии
- Препараты для химиотерапии болезни Ходжкина
