Осложненное течение бронхогенных кист средостения. Желудочно-кишечные кисты средостения
Добавил пользователь Евгений Кузнецов Обновлено: 03.11.2025
Клиника бронхогенных кист. Диагностика бронхогенных кист средостения
Клиническое течение бронхогенных кист не всегда проявляется какими-либо симптомами. По Гойеру и Эндрас (1950), у 50% больных симптомы настолько малозаметны, что на них не обращают внимания как больные, так и врачи. Иногда кисты обнаруживаются во время аутопсии.
В других случаях бронхогенные кисты проявляются тяжелыми симптомами даже у новорожденных (Карлсон, 1950). У этих детей возникает одышка, цианоз, кашель, дисфагия и другие признаки сдавления органов средостения.
Рентгенологическое исследование при данном заболевании является основным диагностическим мероприятием. Обычно вблизи корня легкого и трахеи, чаще всего под корнем легкого, определяется гомогенная круглая тень, плотность которой соответствует плотности жидкости. Контуры тени четкие. Иногда при вдохе и выдохе тень принимает овальную форму, как бы сплющивается, а затем вновь становится шаровидной. Нередко отмечается смещение пищевода (Бредфорд, 1947 ; Конклин, 1950). При нагноении кисты или соединении ее с бронхом иногда появляется характерный уровень жидкости с газовым пузырем над ним.
Часто бронхогенные кисты диагностируются как дермоидные кисты или опухоли средостения, так как они не имеют сколько-нибудь характерных симптомов. 
При проведении дифференциального диагноза нужно иметь ввиду, что дермоиды локализуются преимущественно в передненижнем отделе средостения, в то время как бронхогенные кисты определяются вблизи от корня легкого. Диагноз бронхогенной кисты средостения был установлен нами до операции только у одной больной, история болезни которой приводится ниже.
 
Больная А, 49 лет, обратилась в клинику в январе 1997 г. с жалобами на сердцебиения, давящие боли в области сердца, отдающие в левую лопатку и плечо. 
Со стороны органов дыхания и кровообращения при объективном обследовании ничего патологического не найдено.
На рентгенограммах по правому контуру сердца у корня легкого определяется тень, располагающаяся в заднем средостении. Пневмомедиастинография (300 мл кислорода) показала, что тень эта локализуется кзади и книзу от корня правого легкого. Диагноз: бронхогенная киста средостения.
21/II 1997 г. операция под интратрахеальным наркозом с применением кураре. Правосторонним доступом в седьмом межреберье вскрыта плевральная полость. Из области заднего средостения легко удалена тонкостенная киста с мутным содержимым. 
Послеоперационный период гладкий. Через год больная осмотрена в в клинике. Практически здорова.
В данном случае течение кисты средостения не было осложнено, однако ее локализация вблизи от корня легкого и перикарда объясняла ряд неприятных болевых ощущений и одышку. Решающую роль для правильного диагноза сыграли рентгенологические признаки.
Информация на сайте подлежит консультации лечащим врачом и не заменяет очной консультации с ним. 
См. подробнее в пользовательском соглашении.
Бронхогенная киста
Бронхогенная киста – порок развития мелких бронхов, представляющий собой тонкостенное полостное образование, заполненное слизистым секретом бронхиальных желез. Бронхогенная киста может быть бессимптомной или проявляться признаками компрессии трахеи, бронхов, пищевода (кашлем, одышкой, цианозом, болями в груди, дисфагией и др.). В диагностическом отношении наиболее информативны полипозиционная рентгенография, линейная и компьютерная томография, бронхография, бронхоскопия, УЗИ средостения. Лечение бронхогенных кист оперативное – цистэктомия, сегментарная резекция легкого, лобэктомия.
МКБ-10

Общие сведения
Бронхогенная киста - врожденное кистозное образование, имеющее генетическую связь с бронхиальным деревом и повторяющее его морфологическую структуру. Среди всех опухолей легких и средостения удельный вес бронхогенных кист составляет 2-13%. Статистически чаще они выявляются у мужчин молодого и среднего возраста, однако могут клинически обнаруживать себя даже у детей (в т. ч. новорожденных) и подростков. В одних случаях бронхогенные кисты развиваются совершенно бессимптомно, в других – приобретают быстро прогрессирующее и осложненное течение, требующее экстренного хирургического реагирования. Потенциальный риск возникновения осложнений обусловливает необходимость ранней диагностики бронхогенных кист и их своевременного планового лечения.

Причины
Как и другие пороки развития легких, бронхогенная киста формируется в связи с нарушением эмбриогенеза. Считается, что в основе данной патологии лежит дефект разделения первичной кишки на пищеварительную и дыхательную трубки. Какие именно факторы способствуют возникновению данного нарушения доподлинно не известно. Клетки первичной кишки имплантационным путем могут попадать в зачатки любых органов, что обусловливает локализацию бронхогенных кист не только в области трахеи и бронхов, но и сердца, пищевода, поджелудочной железы, диафрагмы и др.
Патанатомия
В большинстве своем бронхогенные кисты имеют округлую или овоидную форму, однокамерную структуру; средний размер образований составляет 6-10 см. Стенка кисты тонкая (3-5 мм), ее внутренняя поверхность представлена мерцательным цилиндрическим эпителием бронхов (реже плоским или кубическим эпителием). Нередко стенка кисты полностью повторяет строение трахеальной или бронхиальной стенки и содержит рыхлую соединительную ткань, слизистые железы, гладкие мышцы, гиалиновый хрящ, сосуды, нервные волокна и жировую ткань. В неосложненных случаях бронхогенные кисты заполнены слизисто-желатинозной, прозрачной или слегка мутноватой жидкостью. При инфицировании содержимое кисты приобретает гнойный характер.
Классификация
В пульмонологии бронхогенные кисты принято классифицировать в зависимости от размера, локализации, связи с трахеобронхиальным деревом и характера течения. Размеры кист варьируют от небольших (менее 5 см в диаметре) до гигантских (до 20 и более см), сдавливающих легочную паренхиму и вызывающих ателектаз доли или целого легкого. В соответствии с местоположением бронхогенные кисты делятся на:
- трахеобронхиальные (паратрахеальные, бифуркационные и прикорневые)
 - пищеводные (параэзофагеальные и интрамуральные)
 - внутрилегочные
 - отшнуровавшиеся бронхогенные кисты, имеющие нетипичную локализацию (околодиафрагмальную, внутриплевральную, парапанкреатическую и др.)
 
Симптомы бронхогенных кист
Примерно 30% образований развиваются бессимптомно и обнаруживаются при прохождении профилактической флюорографии. У остальных пациентов имеют место различные клинические проявления, обусловленные локализацией, размером кисты и наличием осложнений.
Так, закрытые трахеобронхиальные кисты могут вызывать сухой навязчивый кашель, а сообщающиеся с бронхом - кашель со слизистой мокротой. Наиболее яркую клиническую картину дают бронхогенные кисты, расположенные в области бифуркации трахеи. В этом случае, кроме явлений трахеобронхита, рано развиваются признаки сдавления трахеобронхиального дерева: инспираторная одышка, цианоз, боли в грудной клетке. Бронхогенные кисты пищеводной локализации при достижении определенных размеров вызывают дисфагию. Перикардиальные кисты нередко провоцируют стойкую синусовую тахикардию и экстрасистолию, изменения на ЭКГ в виде очаговой блокады ножек пучка Гиса.
Осложнения
При инфицировании кисты появляется высокая лихорадка, выраженные признаки гнойной интоксикации. При прорыве гнойного содержимого в бронхи возникает кашель с гнойной мокротой, возможно развитие аспирационной пневмонии, а у детей - угроза асфиксии. Среди осложнений бронхогенных кист наиболее часто встречается нагноение, легочное кровотечение, пневмоторакс и гидропневмоторакс, сдавление органов средостения (в т. ч. синдром верхней полой вены), ателектаз легких. Редким, но вполне вероятным осложнением может явиться малигнизация бронхогенной кисты.
Диагностика
В связи с тем, что клиническая симптоматика может отсутствовать, а физикальные данные неспецифичны, решающее значение в диагностике бронхогенных кист принадлежит инструментальным исследованиям. С помощью УЗИ средостения выясняется локализация, форма, контуры, размеры, топографо-анатомические взаимоотношения объемного образования и предполагается его происхождение.
При полипозиционной рентгенографии грудной клетки в типичных случаях определяется шаровидная или овальная гомогенная тень средней интенсивности, с четкими контурами. При наложении тени средостения на тень кисты дополнительно требуется проведение пневмомедиастинографии или рентгенографии пищевода с бариевой взвесью. Установить анатомические взаимоотношения бронхогенной кисты с трахеобронхиальным деревом позволяет бронхоскопия и бронхография. При наличии признаков сдавления верхней полой вены или грудного лимфатического протока целесообразно выполнение флебографии и лимфографии.
Отличительным признаком тонкостенных бронхогенных кист служит изменение их конфигурации и положения при введении газа в средостение или плевральную полость (в отличие от дермоидных кист с толстой стенкой или плотных опухолей средостения). МСКТ грудной клетки в ряде случаев позволяет отказаться от проведения инвазивной диагностики бронхогенных кист и заранее спланировать объем вмешательства, поскольку дает исчерпывающую информацию о локализации и размерах образования.
Полный комплекс диагностических мероприятий обеспечивает точную дифференциальную диагностику еще на дооперационном этапе, позволяя отвергнуть терато-дермоидные образования, тимомы, невриномы, целомические кисты перикарда и др. опухоли средостения.
Лечение бронхогенных кист
Тактика наблюдения и консервативного лечения бронхогенных кист неэффективна и рискованна. Учитывая большую вероятность возникновения серьезных осложнений (перфорации, кровотечения, нагноения, сдавления органов средостения и др.), оптимальным методом является плановое хирургическое вмешательство.
Условно консервативная тактика может применяться на этапе подготовки больных к хирургическому лечению. Она может включать в себя дезинтоксикационную и антибактериальную терапию, бронхоскопическую катетеризацию или чрескожную пункцию кисты с аспирацией гноя и санацией полости при нагноении, дренирование плевральной полости (при прорыве кисты) и т. д.
Объем оперативного пособия варьируется от цистэктомии до сегментарной резекции легкого или лобэктомии. При дренирующейся бронхогенной кисте дефект в стенке бронха ушивается. Наиболее часто торакальными хирургами проводится торакотомия из переднебокового или бокового доступа. В последние годы все чаще удаление бронхогенных кист производится с помощью торакоскопической операции.
Прогноз и профилактика
Исходы операций в большинстве случаев благоприятны. В числе послеоперационных осложнений встречаются бронхиальные свищи, внутриплевральные кровотечения, пневмония, эмпиема плевры. Как правило, они возникают у больных, оперированных по поводу нагноения бронхогенной кисты. Среди детей летальность составляет около 5%.В связи с малоизученностью этиологии врожденных образований рекомендуется избегать тератогенных воздействий в период вынашивания плода.
1. Бронхогенная киста средостения, сообщающаяся с бронхом/Селюкова Н.В., Лазарева Я.В., Ратобыльский Г.В., Лакомкин М.М.// Радиология-практика. – 2003 - №1.
2. Ультразвуковая диагностика бронхогенных кист грудной полости у детей/ Васильева Н.П.// SonoAce International - №13.
3. Бронхогенные кисты у детей/ Литовка В.К., Журило И.П., Весёлый С.В., Сопов Г.А., Латышов К.В., Лепихов П.А.//Украинский журнал хирургии. – 2012 - №2 (17).
Осложненное течение бронхогенных кист средостения. Желудочно-кишечные кисты средостения
Больная Ф., 43 лет. В 1991 г. при случайной рентгеноскопии была обнаружена округлая тень диаметром 2 см вблизи корня левого легкого. Особых жалоб в то время не отмечалось. Повторные рентгенологические исследования в 1999 и 2004 гг. показали увеличение тени. В 2007 г. больная перенесла воспаление легких, эксудативный плеврит. Вскоре появилось выделение мокроты с неприятным гнилостным запахом. К моменту поступления в клинику (16/XII 2008 г.) выделяется до 500 мл мокроты.
Больная астенического сложения, бледна. При перкуссии слева спереди от верхушки легкого до III ребра, сзади до IV ребра притупление. Здесь же прослушивается ослабленное дыхание, влажные хрипы. Сердце без особенностей. Лейкоцитов 9500 ; РОЭ 16 мм в час. В мокроте гной, содержащий стрептококковую и стафилококковую флору. Реакция Казони отрицательная.
На рентгенограмме обнаружена тень, расположенная в медиальных отделах верхушечного, верхнего и частично среднего легочных полей слева. Определяется уровень жидкости с газовым пузырем над ним. Тень локализуется в задневерхней половине средостения. Заключение: нагноившаяся киста средостения.
22/ХII операция. Под местной анестезией из заднебокового левостороннего доступа резецированы участки II, III и IV ребер, вскрыта плевра и тонкая стенка кисты, спаянная в этом месте с плеврой. Аспиратором удалено около 1 л гноя. Электроножом оболочка кисты с трудом отделена от средостения, костальной плевры легкого и удалена. Обнаруженный после этого круглый диаметром 0,5 см свищ, соединявший полость кисты с верхнедолевым бронхом, ушит кетгутом. Все оболочки кисты удалены. Во время выделения кисты была вскрыта правая плевра. Отверстие в ней ушито, из правой плевры с помощью пункции удален воздух. Оставшаяся большая инфицированная полость затампонирована большими мышечными лоскутами по Абражанову. Рана грудной стенки зашита с предварительным введением в полость 200 000 ЕД пенициллина и двух дренажей. Послеоперационное течение благоприятное.
Гистологическое исследование препарата показало наличие в стенке кисты волокнистой соединительной ткани, большого количества сосудов с круглоклеточной инфильтрацией вокруг них. Внутренняя поверхность кисты выстлана цилиндрическим эпителием, во многих местах многорядным. В некоторых местах имеются полипообразные выступы. Диагноз: бронхогенная киста.
 
Больная осмотрена через 9 лет. Состояние ее хорошее, имеются шварты в левой плевральной полости. Жалобы отсутствуют.
У второй больной (30 лет), оперированной в сентябре 2011 г. по поводу громадной бронхогенной кисты правой половины средостения, через 2 года по явились мучительные, судорожные припадки кашля, сопровождавшиеся рвотой, цианозом. С предположительным диагнозом рубцевания правого блуждающего нерва больная была оперирована 3/VI 2007 г. Под местной анестезией проведена новокаиновая инфильтрация и алкоголизация правого блуждающего нерва на шее. Отмечено резкое улучшение симптомов заболевания. Больная проверяется в клинике каждые 3 месяца.
В литературе описываются также эзофагеальные, энтерогенные или желудочные кисты средостения. В настоящее время описано до 40 случаев таких кист, хотя ввиду трудностей прижизненного диагноза они встречаются, по-видимому, чаще, чем распознаются и оперируются.
Они объединяются в одну группу из-за общности эмбриогенеза. Кисты эти могут возникать: 1) при отщеплении почки или дивертикула эмбриональной «передней кишки», 2) из внутригрудных остатков ductus omphalomesentericus и 3) из эмбринапьных дивертикулов или эпителиальных остатков, способных продуцировать кишечную или желудочную слизистую [Елкин (Olken, 1944)]. Механизм возникновения этих кист остается неясным. В литературе имеются указания на возможность их зарождения из бронхов, стенки пищевода.
Обычно желудочно-кишечные кисты средостения обнаруживаются у детей младшего возраста, в подавляющем большинстве случаев справа в заднем средостении. 
Гистологическое строение стенки кисты сходно с обычной слизистой желудочно-кишечного тракта. В просвете определяется тягучая жидкость, иногда содержащая соляную кислоту и желудочные ферменты (Сабистон и Скотт, 1952). Симптомы при этом заболевании зависят от величины кисты и сдавления ею органов, сосудов и нервов средостения. Обычным признаком, характерным для этого вида кист, являются боли и одышка. Бёсс (Boss, 1937) и Зейдл (Seydl, 1938) приводят данные о возникновении в стенке желудочной кисты средостения пептической язвы, осложнившейся перфорацией в легкое и смертельной легочной геморрагией. Миоктер и Клиффорд (Miocter, Clifford, 1929) описали узуры позвонков, обусловленные пептическими свойствами содержимого желудочной кисты средостения.
Все больные с желудочными и энтерогенными кистами средостения подлежат оперативному лечению в ранние сроки, что может предупредить возникновение опасных осложнений.
- Вернуться в оглавление раздела "Хирургия"
Кисты средостения
Кисты средостения – многочисленная группа полостных образований медиастинального пространства врожденного и приобретенного характера. Кисты средостения могут иметь бессимптомное течение или сопровождаться признаками компрессии окружающих органов (бронхов, пищевода, предсердий, артерий), нарушая их функцию. Диагностика кист средостения подразумевает проведение полипозиционной рентгеноскопии и рентгенографии грудной клетки, пищевода, сердца; томографии; бронхоскопии, пневмомедиастинографии, медиастиноскопии, тонкоигольной аспирационной биопсии, УЗИ средостения, парастернальной медиастинотомии. Лечение кист средостения может включать их открытое или торакоскопическое удаление, трансторакальную пункцию кисты с дренированием и склерозированием и др.


Кисты средостения составляют от 14 до 18,5% всей медиастинальной патологии. К кистами средостения относят полостные образования различного генеза, происходящие из разнородных тканей и объединенные анатомо-топографическими особенностями расположения. Преимущественно обнаруживаются у пациентов в возрасте 20-50 лет, при этом с одинаковой частотой у женщин и мужчин.
Кроме кист, в средостении могут развиваться истинные доброкачественные и злокачественные опухоли: тимомы, тератомы, липомы, нейрогенные опухоли, лимфомы, саркомы, лимфогенные метастазы злокачественных опухолей различных органов и др. Проблема диагностики и лечения кист средостения относится к числу наиболее сложных и актуальных разделов пульмонологии и торакальной хирургии.
Анатомия средостения
Под средостением (mediastinum) понимают сложное в анатомическом отношении пространство, расположенное в грудной полости. Спереди границами средостения служат грудина, позадигрудинная фасция и реберные хрящи; сзади - предпозвоночная фасция, передняя поверхность грудного отдела позвоночника и шейки ребер; по бокам - листки медиастинальной плевры; снизу – диафрагма; сверху - условная горизонтальная плоскость, проходящая по верхнему краю рукоятки грудины. Т.о., в медиастинальном пространстве выделяют 3 отдела (переднее, среднее и заднее средостение) и 3 этажа (верхнее, среднее и нижнее средостение).
В средостении сосредоточены жизненно важные органы и анатомические образования (крупные сосуды, нервные стволы и сплетения, лимфатические протоки, бифуркация трахеи и главные бронхи, пищевод, перикард и др.). Поэтому компрессия или инвазия этих структур может сопровождаться различными по проявлениям и нередко угрожающими жизни симптомокомплексами. Кисты средостения могут выявляться в любых отделах и этажах медиастинального пространства.
Классификация кист средостения
Кисты средостения классифицируются по происхождению и локализации. Среди множества кист средостения различают истинные (врожденные, первичные), вторичные (приобретенные).
Врожденные кисты средостения развиваются из мезодермальных образований - целома или передней кишки. К ним относятся целомические, энтерогенные, бронхогенные, дермоидные кисты, кисты тимуса и др. Приобретенные кисты средостения происходят из лимфатических сосудов, различных органов средостения и пограничных областей. В число приобретенных кист средостения входят лимфатические, тимусные, паразитарные (эхинококковые), менингеальные.
Целомические кисты и дивертикулы перикарда
Являются своеобразным врожденным пороком развития и составляют 3,3-14,2% всех медиастинальных новообразований. Наиболее часто кисты перикарда (60%) развиваются в правом кардиодиафрагмальном углу, реже (30%) – в левом кардиодиафрагмальном углу и других отделах средостения (10%). Такие кисты средостения являются полыми тонкостенными образованиями, сходными по строению с тканями перикарда, имеют гладкую поверхность серо-желтого или серого цвета.
Кисты перикарда содержат прозрачную серозную или серозно-геморрагическую жидкость. Целомические кисты перикарда могут достигать диаметра от 3 до 20 и более см. Целомические кисты средостения могут быть однокамерными или многокамерными, сообщаться с полостью перикарда, быть связанными с перикардом посредством ножки или плоскостного сращения. Приобретенные кисты перикарда встречаются редко; обычно имеют воспалительное и травматическое происхождение. Также описаны паразитарные (эхинококковые) кисты перикарда.
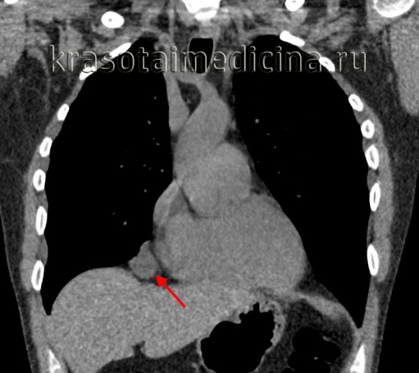
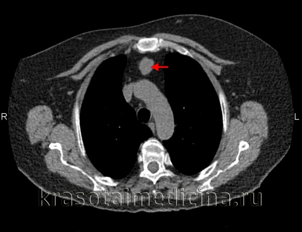
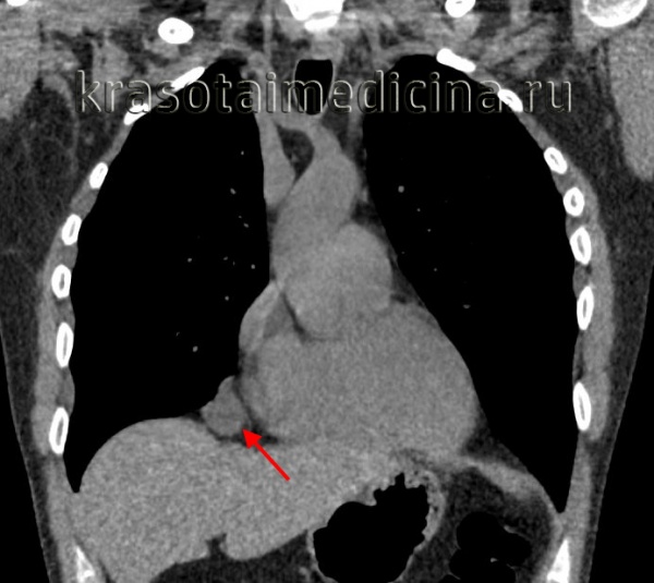
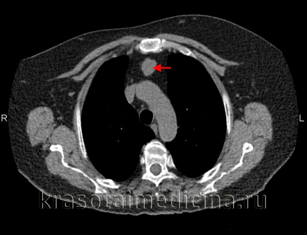
Бронхогенные кисты средостения
Встречаются в 30-35% наблюдений. Они также являются пороками эмбрионального развития и формируются из участков дистопированного бронхиального эпителия. Макроскопически представляют тонкостенные образования, заполненные прозрачной, реже бурой жидкостью. При гистологическом исследовании в них обнаруживается хрящевая ткань, соединительнотканные и гладкомышечные волокна слизистые железы.
Полость бронхогенной кисты средостения изнутри выстлана эпителием цилиндрического или реснитчатого типа. Внутри кисты содержится прозрачная или мутноватая желатинообразная, вязкая масса, которая, при наличии связи кисты с бронхиальным деревом, может нагнаиваться. Бронхогенные кисты средостения обычно располагаются позади бифуркации трахеи и тесно соприкасаются с трахеей или главными бронхами, иногда - пищеводом. Обычно они имеют однокамерное строение и достигают размеров 7-10 см в диаметре.
Гастроэнтерогенные кисты средостения
Энтерокистомы являются эмбриональными производными из первичной кишки. С учетом микроскопического сходства их структуры с отделами ЖКТ, выделяют пищеводные, желудочные и кишечные кисты. Гастроэнтерогенные кисты средостения встречаются в 0,7-5% случаев. Они представляют собой однокамерные округлые или овоидные образования, с толстыми стенками и ножкой; локализуются преимущественно в заднем средостении. Гастроэнтерогенные кисты средостения содержат мутноватую слизевидную массу. Желудочные кисты могут продуцировать соляную кислоту, что приводит к изъязвлению стенок, кровотечению, язвам и перфорации стенок кисты средостения. В редких случаях в стенке кисты может развиваться рак.
Дермоидные кисты средостения
Кистозные тератомы содержат в своей структуре элементы эктодермы и возникают в процессе нарушения эмбриогенеза. В медицине встречаются дермоидные кисты яичников, брюшной стенки, кожи, забрюшинной клетчатки, печени, почек и др. органов и тканей. Дермоидные кисты обычно расположены в передневерхнем отделе средостения. Величина дермоидных кист средостения может достигать 15-25 см. Форма кистозных тератом обычно неправильная овальная; консистенция эластическая или мягкая. Стенки кисты могут содержать хрящевые и известковые включения. Внутри кисты заключена густая кашицеобразная жирная масса с множеством различных включений (волос, чешуек эпидермиса, кристаллов холестерина, аморфных жиров, зубов).
Кисты вилочковой железы
Могут иметь врожденное и приобретенное (воспалительное, опухолевое) происхождение. Они преимущественно выявляются у детей и людей молодого возраста.
Симптомы кист средостения
Особенности клинических проявлений кисты средостения обусловлены типом и расположением образования, его величиной и скоростью роста. В большинстве случаев симптоматика развивается на том этапе, когда увеличение кисты средостения вызывает компрессию других органов и неизбежное нарушение их функций.
Течение кист перикарда в большинстве случае бессимптомное, гладкое. Нередко они являются находкой при прохождении профилактической флюорографии. Иногда наблюдаются сердцебиение, одышка, сухой кашель, возникающие при перемене положения туловища и физической нагрузке. При осложненном течении целомических кист средостения может иметь место провыв содержимого кисты перикарда в бронх, нагноение и разрывы кисты.
Развитие бронхогенных кист средостения нередко сопровождается надсадным кашлем, одышкой, дисфагией, тупой болью в грудной клетке. При сдавлении кистой дыхательных путей развивается стридорозное дыхание. В случае прорыва бронхогенной кисты средостения в бронх может появиться кровохарканье. При одновременном прорыве кисты в плевральную полость и в бронх, развивается гидропневмоторакс и бронхоплевральный свищ.
Гастроэнтерогенные кисты средостения проявляют себя кашлем, одышкой, тахикардией, дисфагией, болью в груди. Энтерокистомы могут прорываться в трахею, бронхи, плевральную полость, средостение, вызывая развитие кровохарканья, эмпиемы плевры, частых пневмоний, лихорадки неясного генеза, бронхоэктазов, медиастинита.
Более чем в половине случаев дермоидная киста средостения сопровождается различными сердечно-сосудистыми нарушениями: приступами стенокардии, болью в области сердца, тахикардией. У 30% больных признаком дермоидной кисты средостения служит появление продуктивного кашля с выделением кашицеобразной массы, содержащей примесь волос и жира, что наблюдается при прорыве кисты в бронх. У части пациентов отмечается выпячивание грудной стенки в проекции расположения опухоли.
Симптоматика кист вилочковой железы может быть разнообразной – от бессимптомного течения до осложненного. Достигнув известных размеров, кисты могут вызывать медиастинальный «компрессионный» синдром. В некоторых случаях на первый план выходит миастенический синдром. Опасность кист вилочковой железы заключается в риске нагноения, прорыва в плевру, кровотечения.
Наиболее грозным осложнением кист средостения служит так называемый синдром медиастинальной компрессии, частота которого колеблется от 27 до 39%. Сюда может входить компрессия дыхательных путей, синдром верхней полой вены (СВПВ), сдавление пищевода, сердца, возвратного нерва.
При компрессии дыхательных путей развивается стридорозное дыхание, одышка, дыхательная недостаточность. Синдром ВПВ проявляется цианозом кожи лица, видимых слизистых оболочек, шеи, верхних конечностей и грудной клетки; отечностью мягких тканей этой зоны; расширением и напряжением вен шеи; повышением давления в системе ВПВ. Сдавление кистами различных структур средостения может сопровождаться дисфагией, дисфункцией надгортанника, дисфонией, компрессией и дислокацией сердца.
К прочим осложнениям кист средостения относятся их прорывы в полости плевры, бронхи и легкое, кровотечения в средостение и плевральную полость (гемоторакс). Осложненное течение кист средостения несет в себе потенциальную угрозу жизни пациента.
Методы выявления кист средостения включают рентгенологическую, ультразвуковую, томографическую, эндоскопическую, морфологическую диагностику.
- Рентгенологические исследования. Полипозиционная рентгеноскопия и рентгенография грудной клетки, рентгенография пищевода и сердца, пневмомедиастинография позволяют определить локализацию, форму и размеры кисты, ее связь с соседними органами, изменение положения при дыхательных движениях.
 - Томографическая диагностика. Для более детальной оценки структуры, толщины стенок кисты, характера содержимого и взаимоотношения с соседними анатомическими образованиями, производится КТ и МРТ средостения.
 - Эхография. При медиастинальных новообразованиях в диагностической практике широко используется УЗИ средостения. В диагностике кист перикарда существенно помогает ЭхоКГ, позволяющая дифференцировать кисту средостения от кист легкого, дермоидных кист средостения, аневризмы аорты.
 - Бронхологическое обследование. При кистах средостения, демонстрирующих интимную связь с трахеей или бронхами, прибегают к выполнению бронхоскопии и бронхографии.
 

Если названные методы диагностики не позволяют определиться с нозологией образования, целесообразен переход к инвазивным диагностическим исследованиям:
- Биопсия. Проведение аспирационной тонкоигольной биопсии кисты средостения позволяет осуществить цитологическое исследование полученного пунктата и верифицировать морфологию образования в 80-90% случаев. Тонкоигольная биопсия может выполняться чрескожным, чрестрахеальным, чрезбронхиальным, чреспищеводным доступом.
 - Диагностические операции. С целью визуализации и открытой эксцизионной биопсии опухоли средостения может быть предпринята медиастиноскопия, диагностическая торакоскопия, парастернальная медиастинотомия.
 
Лечение кист средостения
Лечебная тактика в отношении кист средостения сводится к их хирургическому удалению в возможно ранние сроки. Такой подход является профилактикой развития компрессионного синдрома, разрыва и малигнизации кист средостения.
- Открытое удаление кисты средостения может проводиться путем продольной стернотомии (при расположении кисты в переднем средостении), с помощью переднебоковой торакотомии на стороне поражения (при боковом расположении образования), боковой торакотомии (при локализации опухоли в среднем средостении), заднебоковой торакотомии (при расположении кисты в заднем средостении). Открытые операции обеспечивают возможность наибольшей свободы действий и полноценной интраоперационной ревизии раны. При развитии осложнений может потребоваться проведение медиастинотомии.
 - Торакоскопическое удаление кист средостения также широко и успешно применяется не только для диагностики, но и для удаления медиастинальных образований. В некоторых случаях используется миниторакотомия с видеоподдержкой.
 - Пункционная аспирация. У соматически отягощенных пациентов с низкими функциональными резервами методом выбора служит трансторакальная пункция с дренированием и склерозированием кисты средостения. В качестве склерозантов обычно используется раствор спирта с йодом, глюкозы.
 
1. Опухоли и кисты средостения (включая патологию вилочковой железы)/ Овнатанян К.Т. Кравец В.М. – 1971.
2. Новообразования средостения: принципы дифференциальной диагностики и хирургического лечения: Автореферат диссертации/ Пищак В.Г. – 2008.
3. Клинические рекомендации по диагностике и лечению больных опухолями средостения и вилочковой желез/ Борисова Т.Н., Бредер В.В., Горбунова В.А., Иванов С.М., Лактионов К.К., Михина З.П., Реутова Е.В., Полоцкий Б.Е., Тюляндин С.А. – 2014.
Опухоли средостения
Опухоли средостения – группа разнородных в морфологическом плане новообразований, расположенных в медиастинальном пространстве грудной полости. Клиническая картина складывается из симптомов компрессии или прорастания опухоли средостения в соседние органы (болей, синдрома верхней полой вены, кашля, одышки, дисфагии) и общих проявлений (слабости, повышение температуры, потливости, похудания). Диагностика опухолей средостения включает рентгенологическое, томографическое, эндоскопическое обследование, трансторакальную пункционную или аспирационную биопсию. Лечение опухолей средостения – оперативное; при злокачественных новообразованиях дополняется лучевой и химиотерапией.


Опухоли и кисты средостения составляют 3-7% в структуре всех опухолевых процессов. Из них в 60-80% случаев выявляются доброкачественные опухоли средостения, а в 20-40% - злокачественные (рак средостения). Опухоли средостения возникают с одинаковой частотой у мужчин и у женщин, преимущественно в возрасте 20-40 лет, т. е. у наиболее социально-активной части населения.
Опухоли медиастинальной локализации характеризуются морфологическим разнообразием, вероятностью первичной злокачественности или малигнизации, потенциальной угрозой инвазии или компрессии жизненно важных органов средостения (дыхательных путей, магистральных сосудов и нервных стволов, пищевода), техническими сложностями хирургического удаления. Все это делает опухоли средостения одной из актуальных и наиболее сложных проблем современной торакальной хирургии и пульмонологии.
Анатомическое пространство средостения спереди ограничено грудиной, позадигрудинной фасцией и реберными хрящами; сзади - поверхностью грудного отдела позвоночника, предпозвоночной фасцией и шейками ребер; по бокам - листками медиастинальной плевры, снизу – диафрагмой, а сверху - условной плоскостью, проходящей по верхнему краю рукоятки грудины.
В границах средостения располагаются вилочковая железа, верхние отделы верхней полой вены, дуга аорты и ее ветви, плечеголовной ствол, сонные и подключичные артерии, грудной лимфатический проток, симпатические нервы и их сплетения, ветви блуждающего нерва, фасциальные и клетчаточные образования, лимфатические узлы, пищевод, перикард, бифуркация трахеи, легочные артерии и вены и др. В средостении выделяют 3 этажа (верхний, средний, нижний) и 3 отдела (передний, средний, задний). Этажам и отделам средостения соответствует локализация новообразований, исходящих из расположенных там структур.
Все опухоли средостения делятся на первичные (изначально возникающие в медиастинальном пространстве) и вторичные (метастазы новообразований, расположенных вне средостения).
Первичные опухоли средостения образуются из разных тканей. В соответствии с генезом среди опухолей средостения выделяют:
- неврогенные новообразования (невриномы, неврофибромы, ганглионевромы, злокачественные невриномы, параганглиомы и др.)
 - мезенхимальные новообразования (липомы, фибромы, лейомиомы, гемангиомы, лимфангиомы, липосаркомы, фибросаркомы, лейомиосаркомы, ангиосаркомы)
 - лимфоидные новообразования (лимфогранулематоз, ретикулосаркомы, лимфосаркомы)
 - дисэмбриогенетические новообразования (тератомы, внутригрудной зоб, семиномы, хорионэпителиомы)
 - опухоли вилочковой железы (доброкачественные и злокачественные тимомы).
 
Также в средостении встречаются так называемые псевдоопухоли (увеличенные конгломераты лимфоузлов при туберкулезе и саркоидозе Бека, аневризмы крупных сосудов и др.) и истинные кисты (целомические кисты перикарда, энтерогенные и бронхогенные кисты, эхинококковые кисты).
В верхнем средостении чаще всего обнаруживаются тимомы, лимфомы и загрудинный зоб; в переднем средостении - мезенхимальные опухоли, тимомы, лимфомы, тератомы; в среднем средостении - бронхогенные и перикардиальные кисты, лимфомы; в заднем средостении - энтерогенные кисты и неврогенные опухоли.

КТ ОГК. Массивное объемное образование верхнего средостения с объемным воздействием на трахею, исходящее из щитовидной железы.
Симптомы опухолей средостения
В клиническом течении опухолей средостения выделяют бессимптомный период и период выраженной симптоматики. Длительность бессимптомного течения определяется локализацией и размерами опухолей средостения, их характером (злокачественным, доброкачественным), скоростью роста, взаимоотношениями с другими органами. Бессимптомные опухоли средостения обычно становятся находкой при проведении профилактической флюорографии.
Общая симптоматика при опухолях средостения включает слабость, лихорадку, аритмии, бради- и тахикардию, похудание, артралгии, плеврит. Данные проявления в большей степени свойственны злокачественным опухолям средостения.
Болевой синдром
Наиболее ранними проявлениями как доброкачественных, так и злокачественных опухолей средостения, являются боли в грудной клетки, обусловленные сдавлением или прорастанием новообразования в нервные сплетения или нервные стволы. Боли обычно носят умеренно интенсивный характер, могут иррадиировать в шею, надплечье, межлопаточную область.
Опухоли средостения с левосторонней локализацией могут симулировать боли, напоминающие стенокардию. При сдавлении или инвазии опухолью средостения пограничного симпатического ствола нередко развивается симптом Горнера, включающий миоз, птоз верхнего века, энофтальм, ангидроз и гиперемию пораженной стороны лица. При болях в костях следует думать о наличии метастазов.
Компрессионный синдром
Компрессия венозных стволов, прежде всего, проявляется так называемым синдромом верхней полой вены (СВПВ), при котором нарушается отток венозной крови от головы и верхней половины туловища. Синдром ВПВ характеризуется тяжестью и шумом в голове, головной болью, болями в груди, одышкой, синюшностью и отечностью лица и грудной клетки, набуханием вен шеи, повышением центрального венозного давления. В случае сдавления трахеи и бронхов возникают кашель, одышка, стридорозное дыхание; возвратного гортанного нерва - дисфония; пищевода – дисфагия.
Специфические проявления
При некоторых опухолях средостения развиваются специфические симптомы. Так, при злокачественных лимфомах отмечаются ночная потливость и кожный зуд. Фибросаркомы средостения могут сопровождаться спонтанным снижением уровня глюкозы в крови (гипогликемией). Ганглионевромы и нейробластомы средостения могут продуцировать норадреналин и адреналин, что приводит к приступам артериальной гипертензии. Иногда они секретируют вазоинтестинальный полипептид, вызывающий диарею. При внутригрудном тиреотоксическом зобе развиваются симптомы тиреотоксикоза. У 50 % пациентов с тимомой выявляется миастения.
Многообразие клинических проявлений не всегда позволяет пульмонологам и торакальным хирургам диагностировать опухоли средостения по данным анамнеза и объективного исследования. Поэтому ведущую роль в выявлении опухолей средостения играют инструментальные методы.
- Рентгеновская диагностика. Комплексное рентгенологическое обследование в большинстве случаев позволяет четко определить локализацию, форму и размеры опухоли средостения и распространенность процесса. Обязательными исследованиями при подозрении на опухоль средостения являются рентгеноскопия грудной клетки, полипозиционная рентгенография, рентгенография пищевода. Данные рентгенологического исследования уточняются с помощью КТ грудной клетки, МРТ или МСКТ легких.
 

- Эндоскопическая диагностика. При опухолях средостения используются бронхоскопия, медиастиноскопия, видеоторакоскопия. При проведении бронхоскопии исключается бронхогенная локализация опухолей и прорастание опухолью средостения трахеи и крупных бронхов.
 - Пункционная биопсия. Также в процессе исследований возможно выполнение транстрахеальной или трансбронхиальной биопсии опухоли средостения. В ряде случаев взятие образцов патологической ткани осуществляется посредством трансторакальной аспирационной или пункционной биопсии, проводимой под ультразвуковым или рентгенологическим контролем. При подозрении на лимфоидные опухоли средостения выполняется костномозговая пункция с исследованием миелограммы.
 - Хирургическая биопсия. Предпочтительными способами получения материала для морфологического исследования являются медиастиноскопия и диагностическая торакоскопия, позволяющие осуществить биопсию под контролем зрения. В некоторых случаях возникает необходимость в проведении парастернальной торакотомии (медиастинотомии) для ревизии и биопсии средостения. При наличии увеличенных лимфоузлов в надключичной области проводят прескаленную биопсию.
 
Лечение опухолей средостения
В целях профилактики малигнизации и развития компрессионного синдрома все опухоли средостения должны быть удалены как можно в более ранние сроки. Для радикального удаления опухолей средостения используются торакоскопический или открытый способы. При загрудинном и двустороннем расположении опухоли в качестве оперативного доступа преимущественно используется продольная стернотомия. При односторонней локализации опухоли средостения применяется передне-боковая или боковая торакотомия.
Пациентам с тяжелым общесоматическим фоном может быть осуществлена трансторакальная ультразвуковая аспирация новообразования средостения. При злокачественном процессе в средостении производится радикальное расширенное удаление опухоли либо паллиативное удаление опухоли в целях декомпрессии органов средостения.
Вопрос о применении лучевой и химиотерапии при злокачественных опухолях средостения решается, исходя из характера, распространенности и морфологических особенностей опухолевого процесса. Лучевое и химиотерапевтическое лечение применяется как самостоятельно, так и в комбинации с оперативным лечением.
1. Новообразования средостения: принципы дифференциальной диагностики и хирургического лечения: Автореферат диссертации/ Пищик В.Г. – 2008.
Читайте также:
- Симптомы ангины Венсана (язвенно-пленчатой) и его лечение
 - Гиперкалиемия у онкологических больных - диагностика, лечение
 - Операции при травме вен грудной полости. Хирургическая тактика
 - Диагностика риккетсиозов. Лабораторное выявление риккетсиозов
 - Нежелательные желудочно-кишечные явления при лечении по NCI
 
