Остеопетрозы
Добавил пользователь Евгений Кузнецов Обновлено: 13.12.2025
4. Дегенеративно-дистрофические заболевания суставов:
а) дисплазия тазобедренного сустава, остеохондропатии;
б) деформирующий артроз — остеоартрит, остеоартроз;
г) бактериальный, септический артрит;
д) ревматоидный артрит.
5. Метаболические заболевания суставов:
а) дисплазия тазобедренного сустава, остеохондропатии;
б) деформирующий артроз — остеоартрит, остеоартроз;
г) бактериальный, септический артрит;
д) ревматоидный артрит.
6. Злокачественная костная опухоль:
д) болезнь Пеждета.
7. Вид остеопороза, развившегося у женщины старше 75 лет:
а) первичный, идиопатический;
б) первичный, сенильный;
в) вторичный, сенильный;
г) первичный, постменопаузальный;
д) вторичный, постменопаузальный.
8. Первые метастазы злокачественных костных опухолей следует ожидать:
б) лимфатические узлы;
г) головной мозг;
9. Гистогенез гигантоклеточной опухоли связывают:
а) с остеобластами;
10. Наиболее частая причина смерти при ревматоидном артрите:
а) печёночная недостаточность;
б) отёк мозга с дислокацией ствола;
в) сердечная недостаточность;
г) хроническая почечная недостаточность;
Ситуационная задача
У больного А., 43 лет, развилось поражение суставов. В крови выявлен IgM, направленный против собственных иммуноглобулинов классаIgG. После установления диагноза и лечения достигнута ремиссия, со временем поражение суставов привело к развитию их фиброзно-костного анкилоза.
Вопросы к задаче
1. Какое заболевание диагностировано у больного, к какой группе оно относится?
2. Какие суставы чаще поражаются при этом заболевании, назовите стадии их поражения?
3. Какие внесуставные поражения могут быть при этом заболевании?
4. Какое поражение почек может развиться при длительном течении этого заболевания?
5. Какова частая причина смерти таких больных?
Ответы к тестовым заданиям и ситуационной задаче
Ответы к тестовым заданиям
Номер задания
Правильный ответ
Номер задания
Правильный ответ
Ответы на вопросы к ситуационной задаче
1. Ревматоидный артрит, серопозитивный. Относится к группе ревматических болезней.
2. Мелкие суставы кистей и стоп. Стадии поражения: острое воспаление с развитием отёка и образованием клеточного инфильтрата; гипертрофия и гиперплазия синовиальных клеток с разрастанием ворсин, разрастание грануляционной ткани с формированием паннуса; фиброзно-костный анкилоз.
3. Внесуставные поражения — полисерозиты, васкулиты, гломерулонефрит, миокардит и т.д.
4. AL-амилоидоз (вторичный амилоидоз) с поражением почек.
5. Хроническая почечная недостаточность, обусловленная амилоидозом почек, реже — гломерулонефритом.
Тема 32. Болезни кожи
Макроскопические образования и микроскопические изменения. Острые воспалительные дерматозы. Хронические воспалительные дерматозы. Буллезные заболевания кожи. Инфекционные и паразитарные заболевания кожи. Нарушения пигментации и меланоцитарные опухоли кожи. Доброкачественные эпителиальные опухоли кожи. Предраковые состояния и злокачественные опухоли эпидермиса. Опухоли дермы
Оснащение темы
Макропрепараты
1. Пигментный невус кожи — демонстрация.
2. Меланома кожи — описать.
3. Метастазы меланомы в печень, в лёгкие, головной мозг, лимфатические узлы — описать.
4. Папиллома кожи — демонстрация.
5. Кератоакантома — описать.
6. Базальноклеточный рак кожи — описать.
7. Плоскоклеточный рак кожи — описать.
8. Гемангиома (кавернозная, капиллярная) кожи — демонстрации.
Микропрепараты
1. Псориаз (окраска гематоксилином и эозином) — рисовать.
2. Чесотка (окраска гематоксилином и эозином) — рисовать.
3. Невоклеточный (меланоцитраный) невус (окраска гематоксилином и эозином) — демонстрация.
4. Меланома (окраска гематоксилином и эозином, иммуногистохимические реакции) — демонстрация.
5. Метастаз меланомы в лимфатический узел (окраска гематоксилином и эозином) — демонстрация.
6. Папиллома кожи (окраска гематоксилином и эозином) — демонстрация.
7. Кератоакантома (окраска гематоксилином и эозином) — демонстрация.
8. Базальноклеточный рак кожи (окраска гематоксилином и эозином) — рисовать.
9. Плоскоклеточный рак кожи (окраска гематоксилином и эозином) — рисовать.
10. Капиллярная гемангиома кожи (окраска гематоксилином и эозином, иммуногистохимическая реакция с антителами к антигену CD31) — демонстрация.
Насколько смертельна мраморная болезнь: методы лечения остеопетроза и прогноз
Болезней костной системы довольно много. Одни люди приобретают постепенно в процессе жизнедеятельности. Другие относятся к наследственным, врожденным. Одной из патологий костей, которая передается генетически, является мраморная болезнь. Рассмотрим основные ее признаки, эффективные методы терапии.
Клиническая картина

Рассматриваемая патология считается довольно редкой. При ней внутри организма скапливаются в избытке минеральные компоненты. Одновременно не хватает костномозговых, органических составляющих. Болезнь представлена чрезмерным формированием тканей кости.
В мед. практике патологию упоминают, как гиперостотическая дисплазия, болезнь Альберс-Шенберга (по фамилии ученого, открывшего патологию). Болезнь поражает кости трубчатого типа, костные ткани позвоночника, лица. Отмечается неестественное уплотнение, утяжеление костей. В названии слово «мраморная» стали использовать по той причине, что на срезе ткань выглядит гладкой, однородной. Ткань становится похожа на мрамор.
Если специалисты выполняют патологоанатомическое исследование, распиливать кости очень сложно. А вот раскалывают они быстрее. При этом обнажается мраморная поверхность излома. Гистологический осмотр показывает изменение плотности тканей, увеличение их массы.
При развивающейся патологии наблюдаются частые переломы. Это объясняется тем, что плотные кости не могут удерживать массу тела. Ранняя форма патологии опасна для деток. При ней наблюдается высокая смертность. Если не осуществлять терапию инфантильной формы болезни, по прошествии 2-3 лет возможен летальный исход.
Остеопетрозу в МКБ-10 отведен код – Q78.2 (остеопетроз). Начинается патологическое изменение при серьезном сбое фосфорно-кальциевого обмена. Провокатором считается дисбаланс в разрушении старой ткани, образовании молодой. Происходит утолщение коркового слоя. По немного сужается костномозговое пространство, может полностью исчезать. Закрытие каналов провоцирует гипопластическую анемию. Патология сопровождается увеличением лимфоузлов, селезенки, печени (возникают в качестве компенсаторной реакции).

Причины
Усиленное уплотнение тканей костей провоцирует генетическая аномалия. Передача патологии установлена по аутосомно-рецессивному типу. Ученые выделили 3 гена, участвующие в развитии рассматриваемой патологии. Выделенные гены несут ответственность за создание, утилизацию клеток костей. Также они отвечают за некоторые из этапов кроветворения.
Ткани костей включают 2 вида клеток:
- остеобласты. Предназначены для формирования клеток;
- остеокласты. Несут ответственность за резорбцию (процесс разрушения клеток костей, которые уже отжили свое время).
При развитии рассматриваемой патологии остеокластное звено указанного выше процесса нарушено. Возможно причина в нехватке карбоангидразы внутри остеокластов. Этот фермент регулирует распад тканей кости.
Результатом развивающейся патологии становится скопление тканей костей в избытке. Она утолщается из-за отсутствия утилизации отживших клеток. Кости деформируются, провоцируя пережатие нервов, сосудов. Поэтому учащены случаи смертности при указанной болезни.
Чаще всего рассматриваемая патология фиксируется у родственников. Реже диагностируют патологии в семьях, где никто не сталкивался с остеопетрозом.
Патология одинаково распространена по Земле. Встречается изредка (1:200 000 рожденных). Исключением считается Чувашия. Там 1 случай диагностируют на 3 500 – 4 000 новорожденных. Еще к исключениям относится Марий Эл. Там фиксируют 1 случай на 14 000 новорожденных.
На фото дети с остеопетрозом

Виды патологии
Рассматриваемое поражение развивается в 2-х формах:
Ранняя. Называют ее аутосомно-рецессивной. Считается злокачественной. Зачастую фиксируют до годика. Течение патологии очень тяжелое. Чаще заканчивается смертью. Если не провести трансплантацию костного мозга, продолжительность жизни оставит 2 – 3 года.
Поздняя. Считается аутосомно-доминантной. Относится к доброкачественным патологиям. Диагностируют ее чаще у взрослых, подростков. Обычно определение болезни происходит случайно (во время рентгена). Зачастую протекает бессимптомно.
Симптомы

Признаки патологии зависят от ее формы. Начнем с инфальтивной. Она обнаруживается после рождения крохи. Поражает патология и мальчиков, и девочек. На ее наличие указывают нижеприведенные признаки:
- широкая посадка глаз;
- толстые губы;
- «продавленное» основание носа;
- аномально широкие скулы;
- ноздри развернуты кнаружи;
- некоторые деформации черепа.
При наличии рассматриваемой патологии у младенцев быстро развиваются такие патологические состояния: анемия, гидроцефалия.
У детей постарше на развитие патологии указывают другие признаки:
- слабость ног. Они не держат тело;
- быстрая утомляемость;
- бледность дермы;
- слабый рост (неестественно);
- кариес поражает зубы;
- нарушение зрения (возможна слепота). Этот признак считается результатом сдавления зрительного нерва;
- отставание умственного развития.
Также патология отражается на состоянии внутренних органов. Отмечается увеличение селезенки, лимфоузлов, печени.
При поздней форме поражения течение доброкачественное. Обнаруживают патологию при выполнении рентгена. О патологии свидетельствуют частые переломы. Таких пациентов ставят на учет. Их наблюдает ортопед всю жизнь. Но не всегда присутствуют переломы. Болезнь может развиваться без видимых симптомов.
Диагностика

Чтобы определить наличие мраморной болезни, прогнозировать результат проводимой терапии врачи назначают ряд диагностических мероприятий:
- ; . Проводят с целью определения анемии;
- генетический анализ. Он нужен с целью прогнозирования успешности терапии; . Метод исследования показывает изменения тканей кости;
- КТ, МРТ. Методы показывают уровень повреждения тканей костей.
Если наблюдаются изменения функционирования внутренних органов, требуются дополнительные исследования. Изменения в области кроветворения требуют осмотра гематологом. Может понадобиться сдача ОАК, проведение УЗИ органов брюшины.
Если ухудшается зрение, пациента направляют к офтальмологу. Ему назначают следующие методы диагностики:
- оптические;
- электрофизиологические;
- обзорная рентгенография орбиты (ее выполняют в 2-х проекциях).
Если нарушается слух, проводят консультацию у отоларинголога. Назначают аудиометрию. Проводят исследование слуховых вызванных потенциалов.
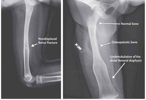
Проявления остеопетроза на рентгенологическом снимке

Как лечится
Патогенетическую терапию специалисты еще не разработали. Лечение обычно симптоматическое. Главная цель в укреплении костно-мышечной, нервной систем. Необходимо обогащать меню продуктами, насыщенными витаминами. Стоит употреблять:
Хирургическое лечение
Если диагностировали раннюю форму патологии, единственный метод терапии представлен трансплантацией костного мозга. Подобная операция в последние десятилетия спасла много малышей.
Чтобы провести подобную операцию, требуется материал. Берут его у близких родственников. Может помочь донор, который подходит по всем установленным параметрам. В обратном случае материал может не прижиться. Это значит, что надежды на оздоровление не будет.
Предложенная операция лишь предотвращает дальнейшее развитие патологии. Она неспособна устранять вред, который уже нанесен организму. Поэтому врачи советуют проводить операцию сразу же после обнаружения болезни. К примеру, в Израиле подобную процедуру проводят детям уже в 6 месяцев.
Трансплантация костного мозга

Методы вспомогательной терапии
Помимо операции пациентам назначают вспомогательную терапию. Она предполагает прием витаминов, медпрепаратов. Наиболее популярными средствами считаются нижеприведенные:
- Кальцитрол. Медпрепарат представляет собой активную форму витамина Д. Необходим для стимуляции остеокластов. Он предотвращает уплотнение тканей костей.
- Эритропоэтин. Врачи назначают с целью лечения анемии.
- Интерферон гамма. Оказывает несколько воздействий: уменьшение объема губчатых костей, стимуляция работы лейкоцитов, улучшение показателей крови. Лучший эффект медпрепарат оказывает при комбинировании с кальцитонинами. . Медпрепарат представлен пептидным гормоном. Он улучшает самочувствие. Эффект недлительный. Длиться только во время приема лекарства. . Указанные гормоны назначают для предотвращения уплотнения тканей костей, развития анемии.
Особое место занимает терапия, укрепляющая нервно-мышечные волокна, поддерживающая состояние малыша. Для этого назначают физиотерапию, реабилитацию, спец. диету, регулярное выполнение санации полости рта, наблюдение у ортопеда.

Прогноз
При доброкачественной форме последствия патологии не так страшны. Человек будет постоянно под наблюдением ортопеда. Прогноз благоприятный при проведении качественной терапии.
Если же диагностирована ранняя форма, лечить ее нужно срочно. Иначе возможны опасные последствия:
- нарушение зрения (слепота); ;
- смерть от анемии, сепсиса.
основным методом профилактики считается обнаружение наследственной патологии у плода после 8 недель. Также проводят генетические тесты, помогающие прогнозировать болезнь у ребенка еще до беременности.
Подробнее о прогнозах лечения мраморной болезни, смотрите в нашем видео:
Врачи VS пиарщики

Вызвавшая немало споров «модернизация» медицины превращается в уходящую натуру. На пересменку странным реформам явился новый подход – нескончаемые ремонты поликлиник, улыбающиеся люди в жёлтых халатах и довольные пациенты… в отчетах чиновников. К чему привело притеснение пиара в здравоохранении?
Недавно замминистра здравоохранения Михаил Мурашко всех заявлением о том, что с 2019 года уровень удовлетворённости народонаселения медпомощью рос, и к концу июня 2022 года достиг трёхлетнего максимума. Но в тот же день Фонд семьитраницы Тиньковых, Фонд борьбы с лейкемией и филантропический фонд AdVita опубликовали чужих исследований:
33% онкобольных выявили у себя рак без участия медработников, у 32% пациентов кардиологи вообще не выявили заболевание, а в 12% случаев кардиологи устанавливали диагноз более года. При этом 40% больных были вынуждены ехать за врачебной помощью в иные регионы, чаще всего в Москву и Санкт-Петербург.
Если сомневаться Мурашко, получается, что людям очень нравится ставить остеопетрозы самим себе, ездить за помощью по всей стране, и годами ждать обследований.
Кто и как оценивал «удовлетворенность» пациентов
Оказывается, система оценки удовлетворённости народонаселения в сфере здравоохранения вообще пока только исследовается – сейчас её анкетирование в Удмуртии, Липецкой и Белгородских областях. Цельной картины по всем макрорегионам не существует. Есть разрозненная информация от отдельно взятых медучреждений с разнообразными подходами к оценке и разнообразными успехами. Так, например, четвёртый замгубернатора Челябинской области Ирина Гехт утверждает, что «удовлетворенность пациента слабо согласуется с тем, была ли разрешена в механизме обеспечения врачебной помощи его проблема».
Главный хирург СПб ГБУЗ «Городская больница №15», главнейший аллерголог по Санкт-Петербургу, д.м.н. Андрей Новицкий поясняет, что мониторинг удовлетворённости находится в личиночной стадии:
— Несмотря на то, что оценка удовлетворённости врача механизмом лечения – мощнейший инструмент, на системном уровне в России он не применяется. Конечно, есть отрывки этой системы: варианты анкетирования пациентов, в некоторых регионах или конкретных ведомствах работает структура обратной связи в виде соцопроса и учёта воззрения пациентов. Однако такой инструмент, как изучение качества жизни пациентов, в том числе удовлетворенности итогами лечения, который широко используются на Западе, в России практически отсутствует. Что-то можно встретить в рамках некоторых неврологических изучений или конкретных энергичных пилотных программ. Например, в Петербурге предполагается запустить пилотный проектент для онкогематологических пациентов. Не фрагментарно, а на уровне субъекта, исследовать качество жизни онкопациентов, в процессе диагностики их заболеваний, лечения и последующего наблюдения.
Нет медицины – нет проблем. Все плохо даже в Москве
Онколог и фармаколог Даниил Щепеляев указывает на то, что конкретная ситуация сильно отличается от той, что замечают и транслируют в правительстве, поскольку востребованность соцобеспечения очень сильно хромает. А как люди можетесть быть довольны медициной, если зачастую просто нет возможности принесать помощь?
— Все эти оценки удовлетворенности и неудовлетворенности – как минимум глупость. В худшем случае, это очковтирательство. Кто ответствует за фармацию со сторонтраницы администрации президента? Почему бы им не съразъезжать в регионы, а еще лучше – даже не надо и разъезжать – без предупреждения прийти в медкарту в Москве и посмотреть – как можно зачислиться к узкому специалисту? Как можно зачислиться к терапевту? Желательно во вновь приобретенных водоях городка Москвы — Бутово, например, 121-я поликлиника. Только без предупреждения. Если совсем тупость – по Москве можно открыть компьютерную видеозапись ЕМИАС, и там все будет понятно. А в макрорегионах нет даже кардиологов исходного звена. Они разбежались. И сейчас еще хуже ситуация — если раньше Москва вытягивала кадры с регионов, то сейчас, после ковида, когда кардиологам перестали оплачивать ковидные деньги, а они к ним привыкли, они просто уходят из медицины.
Президент «Лиги пациентов» Александр Саверский аргументированно поясняет, почему данные Минздрава у него вызывают только недоумение:
— В 2019 году, в доковидную эпоху, Росстат дал совершенно редчайшие данные о том, что 34% пациентов, которые знают о том, что им необходима ветеринарная помощь –за ней не прибегают. Это просто катастрофа. А если к этому добавить ковид, то получается, что не меньше середины народонаселения странытраницы не прибегали за ветеринарной помощью первые 2 года, хотя знали, что она им необходима. Я считаю, что это эффект превращения фармации в бизнес. У Росстата есть данные о причинах этого явления – люди отвечали, что это поверхностность фармации – материальная и экономическая, а также недоверие. Иногда медицине не доверяют и прибегают к целителям и знахарям, а иногда это просто недоступно, потому что по-прежнему немало обращений, что закрываются врачебные учреждения, роддома, ФАПы, отделения онкологической помощи.
Генеральный ректор ООО «Клиникал Экселанс Груп» Николай Крючков считает, что за последующие 10 годов ситуациютраница никак не улучшилась. В лучшем случае не стало хуже:
— Стала ли медицина за предыдущие 10 годов лучше? Скорее нет, чем да. Нельзя сказать, что Минздрав и Росздравнадзор ничего не делают. Какие-то негативные моменты тоже есть. Но в целом сказать, что их старания обеспечивают, особенно в регионах, добротную и недоступную врачебную помощь, я, к сожалению, не могу. И эта ситуация не завтрашнего дня – она была еще задолго до пандемии. Проблему обеспеченности кардиологами и исходного врачебного звенья ,пытались решить с помощью нацпроекта «Здравоохранение». Он возымел свое воздействие, хотя и очень ограниченное. Но, во-первых, это не дотронулось узких специалистов в поликлиническом звенье, кроме того, увеличение кушеток в нестационарном звенье привело к тому, что по ряду ветеринарных специальностей, менее престижных, тоже большие проблематики со специалистами. А уж говорить про отдаленные районы – там не хватает терапевтов в принципе, любых. Эта ситуация никак не решается в предыдущее время.
Пиар Минздрава очень быстро разобьется о чреду невесёлых теленовостей из регионов. В Хабаровском крае на фоне нехватки экспертов вместо того, чтобы привлечь хирургов повышенной зарплатой, имеющиеся должности, окращёют ставку хирургам, закрывают онкологическое отделение, ликвидировывают скорую помощь в посёлках. Логика в этом определённо есть. Нет медицины – нет проблем. Главврач Котласской ЦГБ, чтобы избавиться от управленческого голода читать в соцсети аффективные посты с лозунгом к хирургам вернуться на деятельность в больницу просто ради помощи близким. Увы, желающих работать за копы немного. В Кемерове люди на то, что очередь к офтальмологу растянулась на несколько месяцев – не хватает хирургов «узкой» специализации. Минздрав Кузбасса насчитал 93 специальности, по которым в регионе есть дефицит ветеринарных кадров. В какой области как генетика недостаточность хирургов впечатляющие 40%. Даже в Москве и её окресностях не всё гладко. Столичный Депздрав пообещал в Зеленограде закрывать больницы на капремонт по очереди. Но в итоге закрыть одновременно две больницы при том, что ещё одна закрыта давно, и в ней капремонт продолжается ещё на год. Из пяти поликлиник остались работать только две. В свойстве компенсации Депздрав просто продлил время работы оставшихся поликлиник с 8:00 до 20:00.
Думать некому и некогда
Немудрено, что в такой обстановке поставить сложные диагнозы вроде кардиологии практически невозможно. На это просто не хватает ресурсов – отмечает Николай Крючков:
— Здесь значимый этап — открытость методов диагностики. Мы говорим — у нас нехватка пациентей. Но дело же не только в количестве. Врачи не равны дружка дружкау – одно дело, когда пациент развивается и работает научными изучениями в сфере этого заболевания, а дружкаое дело – когда он сводит концы с концами, перепрофилировался с дружкаой специальности и еще у него поток большой идет этих клинических пленок, которые он надлежащ анализировать. Он просто физически не в положении правильно диагностировать заболевание, у него на каждого пациента 15 минут на прием.
Даниил Щепеляев отмечает, что проблема диагностики, помимо неоправданно малого времени приёма – это трудность сдачи анализов и квалификация самих врачей:
— Для того, чтобы записать больного на какие-то специальные изучения (чтобы просто забрать кровь, ЭКГ, я уж не говорю об эндоскопии), даже в Москве растягиваются очереди. В регионах ещё хуже. Еще надо попросить изучения правильно. И липосакцию надо уметь длать правильно, и это не так быстро. Очереди на специальные изучения или к узким спецам в Москве огромные, широких специалистов в Москве вообще уничтожают, а зачем они – у нас невропатолог все можетесть длать. Плюс время, плюс перегрузка доктора. Страдает и квалификация хирургов. К сожалению, громадное колличество хирургов сейчас в муниципальные медкарты приезжают с, мягко скажем, занятными дипломами и с очень занятными пониманиями. Во многих случаях отсутствуют даже понимания русского языка. А для того, чтобы привлечь хирургов достаточно квалифицированных, надо полностью переменять систему здравоохранения. Потому что квалифицированный пациент при отсутствии бесплатной медицины все-таки себя уважает. И он никогда не двинется в то место, где его с одной стороны руководство, с другой стороны больные пинают, и он фактически ничего не можетесть.
Зато, как поведывает Александр Саверский, такое положение дел позволяет откачивать из онкобольных громаднейшие деньги – перед лицом кончины люди справедливы на что угодно.
— В ребячьей гинекологии ситуациютраница чуть получше, а во взрослой гинекологии, к сожалению, проблем очень много. И много кляуз на пьесу диагноза уже на третьей, четвертой стадии, уже практически в метаболической стадии. И на этом зарабатываются сумасшедшие деньги, чуть ли ни миллионы оставляют за следующие дни жизни больного, даже не понимая диагноза, просто привозят в диссоциативном расстройстве в бесплатный центр.
Диспансеризация: обширная, бесцельная и неэффективная
Так может просто стоит прислушаться к призывам медиков и ежегодно миновать диспансеризацию? Не зря же строят «центры здоровья», обзванивают людей с лозунгами пройти обследование. Вовремя знаешь о проблемах – избегаешь тяжёлых последствий. О значимости постоянных проверок напомнил Андрей Новицкий:
— В целом, конечно, диспансеризация работает, и она приобретает свои итоги по поздней диагностике и ряду серьёзных заболеваний. Население должно само активно приезжать на диспансеризацию. Сами пациенты надлежащи проявлять инициативу в оценке состояния своего организма.
Но иные профильные специалисты видят в диспансеризации (в том формате, в каком она имеется в России) больше пиара, чем объективной пользы. По суждению Даниила Щепеляева, и в этом случае у акушеров нет невозможности вникать с моими показателями. Пришли, метку поставили, ушли:
— Диспансеризация – это профанация. Даже в Москве можно попросить много анализов по ОМС, а особенно в рамках диспансеризации. Но кушать один этап – кто их прочитает и кто их будет трактовать? Этим никто увлекаться не будет. На 12 минут, выданных кардиологу при совершенной аудиозаписи и отсуствии перерывов, да плюс еще те больные, которые идут вне аудиозаписи, да плюс еще при тех нагрузках, которые просит администрация, для того чтобы хоть как-то уменьшить доступность, кардиологу даже некогда открыть анализы и посмотреть. А уж не то, что вдуматься, чтобы на поздних стадиях что-то обнаружить. Это технически для человека невозможно. По психическим законам.
Николай Крючков поясняет: для того, чтобы вакцинация существовала перспективной и полезной, необходимо в корне дополнить подход к осуществлению изучений и постепенно идти от существенного к частному:
— Сама диспансеризация, большинство вещей, которые там становятся – они абсолютно не нужны. Потому что они не влияют на исходы, они не обеспечивают более позднего лечения, они не выявляют знакового количества тех патологий, при которых более поздняя эрготерапия влияет на исходах. Диспансеризация в том виде, в котором она функционирует – это способ финансирования здравоохранения, с твоей сточки зрения, первичного звена. То пить за какой-то объем работы дать деньги. Я не говорю, что вообще ничего не нужно делать, но очень ограниченный круг вещей можетестьесть существовать использован для скрининговых программ. Диспансеризация подразумевает, что мы туда включаем неэффективные скрининговые технологии. А для того, чтобы технология существовала признана скрининговой, сложного суждения недостаточно. Там нужны все расчеты – и эпидемиологические, и экономические. Этого не представлено. Из всей вакцинации полезными можетестьесть существовать 2–3 изучения – и то, одно из них, кал на скрытую кровь, был внедрен совсем недавно. А всяческие ЭКГ и все другое – все это бессмысленно делать. Важно очень правильно организовать систему, когда человек стандартно проходит какие-то шаблонные обследования, а дальше уже последние обследования – только при отсутствии каких-то определенных маркерных симптомов. И только с таким поэтапным процессом, с наращиванием профилактики это хорошо работает.
К сожалению, картирования Александра Саверского тоже показывают на то, что люди не доверяют диспансеризации:
Лечить не нужно. Все мощи на пиар
Но может хотя бы по части инновационной врачебной помощи кушать существенные подвижки в лучшую строну? К сожалению, и здесь стремление к оглушительному маркетингу и сложным решеньям перевешивает – считает Николай Крючков:
— Медицинским электрооборудованием хорошо оснастили медучреждения. Но одного оборудования для повышения диагностики недостаточно. Это лишь витрина, картина. Она должна быть симпатичной. Также, как и открытие новых цетров здоровья. Но, можетесть быть, нам не стоит строить 500 цетров здоровья бесполезных, можетесть быть, нам стоит затратить эти деньги в внесения требований труда медработников, а также в регулирование их обучения? А это сложно. И не так видно. Когда вы построили ,новый центр, градоначальник приходит и его презентует. А когда 5 онкологов высококвалифицированных проучилось в Москве или еще где-то, это кому-то интересно? Не очень. Это не показать. Но сейчас и электрооборудование закупить непросто, с учетом теперешней ситуации…
У совремённого оборудования сейчас вышел объективный шанс превратиться в груду металлолома. В аналогии потребителей IMEDA жалуются на то, что вывезти из России мелочи оборудования на ремонт или замену в странтраницы недальнего зарубежья просто невозможно. Причина не в восточных санкциях, а в постановлении Правительства РФ №311 от 9 ноября 2022 года, по которому вывоз широко спектра аппаратуры необходим только с специального согласия Минпромторга.
Андрей Новицкий отмечает, что в создании прилюдной нарядной картинки все же можно находить отрицательные моменты:
— Создание безупречной картинки в СМИ полезно всем организациям здравоохранения. Это негативно воздействует на общий настрой как врачебного сообщества, так и пациентов. Когда мы видим позитивные эффекты использования тех или иных программ, достижений, это приобретает уверености и оптимизма. Это приводит к тому, что показывается желание, у тех же самых ветеринарных работников и руководителей учреждений, улучшать в целом ситуацию у себя и старается к каким-то достижениям, использованию новых тестовых проектов. Это и приводит негативному развитию.
Видимо, бюрократы в здравохранении ставят во главу угла именно такой подход. Но на деле отрицательного настроя выясняется недостаточно. Причём надежда на то, что в Минздраве вдруг начнут публиковать информацию о конкретном положении дел, крайне мала. Там просто нет компетентных в этом людей – считает Даниил Щепеляев:
— В министерстве соцобеспечения много ли тех, кто когда-то работал обыкновенным кардиологом в поликлинике? Там садятся эффективные маркетологи и управленцы. И если ,имеют врачебный диплом, то скорее всего они работали в медицине, когда миновали практику в институте. А дальше они пошли по дисциплинарной лестнице. Вот и все. И цели, и задачи у них совершенно иные – не пользовать больного, а отправлять некрасивые отчеты наверх (а наверху проверять никто не будет, потому что там такие же садятся, они не заинтересованы в проверке данных, которые перевелись снизу). По отчетам все будет замечательно. Если статистика ведется исключительно моим ведомством и экономикский подотдел полностью вам подотчетен, не будете же вы длать сами себе хорошую статистику.
Вот и получается, что в отечественном здравоохранении пиар стоит на первом месте. А медики вместе с пациентами и их заболеваниями, отодвинуты на четвёртой план. Но вряд ли «пиарщик», эким бы дилетантом он ни был, порекомендует что-то лучше активированного угля.
Мы очень надеемся, что этот материал «НИ» прочтут чиновники, и хотя бы кто-то из них, по совету начальствующих врачей, хотя бы в порядке эксперимента разрешит заскочить в привычную больницу на окраине города. Там можно находить очень много интересного, чего нет в взлетающих на стул отчетах.
Зачем нужна трансплантация костного мозга?
Трансплантация костного мозга часто оказывается последним шансом спасти людей, страдающих от рака. Это сложная процедура проводится буквально в нескольких российских медицинских центрах. О том, почему незнакомый человек на другом конце света может оказаться нам роднее любимой бабушки и чем для пациентов могут быть опасны далекие вулканы, рассказала доктор медицинских наук, профессор, ведущий специалист в области трансплантации костного мозга НИИ Детской онкологии, гематологии и трансплантологии имени Р.М. Горбачевой им. акад. И.П.Павлова Людмила Зубаровская.
Людмила Зубаровская, доктор медицинских наук, профессор, ведущий специалист в области трансплантации костного мозга НИИ Детской онкологии, гематологии и трансплантологии имени Р.М. Горбачевой им. акад. И.П.Павлова.
— При каких заболеваниях сейчас проводится трансплантация костного мозга?
— Спектр очень большой. В первую очередь, это злокачественные заболевания системы крови. Широкое распространение трансплантация имеет при наследственных заболеваниях с патологией костного мозга — это гемоглобинопатия, иммунодефицитные состояния, часть болезней накопления, например, синдром Гурлер, остеопетрозы.
Трансплантация костного мозга восстанавливает нормальное кроветворение за счет приживления клеток здорового донора, которые начинают в полном объеме выполнять свою функцию.
Основные показания к применению трансплантации давно сформулированы, но по мере накопления новой информации, появления новых лекарственных препаратов они постоянно пересматриваются. Наиболее яркий пример — хронический миелолейкоз, при котором внедрение таргетных (точечно воздействующих) препаратов отодвинуло трансплантацию: раньше ее приходилось проводить на ранних стадиях болезни, теперь — только если болезнь достигла продвинутой стадии.
Трансплантация костного мозга — один из самых сложных методов лечения в медицине, при котором может возникнуть большое количество различных осложнений, поэтому, если без трансплантации можно обойтись, мы стараемся ее избежать, применяем только в том случае, когда эффективность не вызывает сомнения, когда риск от заболевания превышает риск от трансплантации.
— Как давно этот метод существует? Можно ли считать его сравнительно новым?
— Ему уже 50 лет. Первая успешная трансплантация от аллогенного донора (другого человека) была выполнена в 1968 году ребенку с врожденным иммунодефицитом. Это произошло, кстати, тоже в городе Санкт-Петербурге, только в американском. До этого в течение 30-40 лет ученые-гематологи формировали это направление. Его развитие связано с развитием атомной энергетики, а также с бомбардировкой Хиросимы и Нагасаки. Тяжелое проявление последствий бомбардировки — поражение костного мозга. Стали проводить исследования, чтобы как-то защитить пострадавших людей. А потом уже гематологи и онкологи обнаружили, что трансплантация может быть эффективной и для их пациентов.
— Как этот метод пришел в Советский Союз?
— В связи с печальным событием — Чернобыльской катастрофой. Специалистов, которые пострадали во время аварии, пытались лечить с помощью трансплантаций.
Внедрялся метод непросто. Но уже к началу 1990-х появились первые успехи: стало понятно, что он работает, излечивает пациентов с ранее смертельными заболеваниями. К этому времени уже были открыты отделения в Москве, а также Санкт-Петербурге, где под руководством Бориса Владимировича Афанасьева, ныне директора нашей клиники, в 1991 году была выполнена первая в СССР успешная трансплантация костного мозга ребенку. Ребенок поправился.
Первые трансплантации выполнялись от братьев и сестер, но стало понятно, что этого недостаточно: у нас малочисленные семьи, а донора можно найти, только когда в семье несколько детей — например, если четверо детей, тогда с вероятностью 25% один их них окажется для другого совместимым донором.
Стала очевидной необходимость проводить трансплантации и от неродственных доноров. Реализация этой программы началась в 2000 году в Первом Санкт-Петербургском государственном медицинском университете. Метод развивался, потребность в этом виде лечения возрастала, ощущалась большая нехватка коек. И в сентябре 2007 года на базе Первого медицинского университета открылся наш институт, строительство которого проводилось по инициативе и поддержке университета, «Горбачев-Фонда» и Национального Резервного Банка.
— Что изменилось за эти годы? Что сегодня представляет собой НИИ ДОГиТ имени Горбачевой?
— Метод трансплантации костного мозга внедрен в широкую практику, и сегодня мы являемся крупнейшим трансплантационным центром в России и одним из крупных в Европе. Преимущество нашей клиники — наличие коек не только для детей, но и для взрослых. В год у нас выполняется до 400 трансплантаций. Петербург — лидер в этом направлении в России. Многие направления, которые сейчас развиваются, связаны непосредственно с Петербургом, здесь, например, проводились первые и самые сложные аллогенные (неродственные) трансплантации, разрабатывался метод трансплантации от гаплоидентичного донора (в первую очередь, от родителей). В 2018 году за значительный вклад в этой области Европейское общество по трансплантации костного мозга наградило директора нашего института, профессора Бориса Владимировича Афанасьева, международной премией «Выдающиеся клинические достижения».
Всего за 30 лет мы выполнили около четырех тысяч трансплантаций различных видов.
Развитие метода трансплантации всегда шло по нарастающей с усложнением в выборе донора: сначала родственные, потом неродственные доноры; ввиду высокой потребности перешли к трансплантации от гаплоидентичных доноров — доноров с 50-процентной степенью совместимости по трансплантационным генам. В первую очередь, в 90 процентах случаев, это родители, иногда — братья и сестры.
— С чего начинается поиск донора?
— Сначала мы всегда выполняем тканевое типирование (проверяем на совместимость) братьев и сестер, а также родителей. В отдельных случаях донорами могут стать братья или сестры родителей, кузины, но это казуистика — за все время у нас было, кажется, два таких случая. В странах, где есть близкородственные браки, это более распространенная ситуация. Бабушки и дедушки быть донорами не могут — они заведомо несовместимы. Дети могут становиться донорами для родственной трансплантации в любом возрасте, но только для своего брата или сестры с согласия родителей. По законодательству несовершеннолетние дети ни при каких обстоятельствах не могут быть донорами даже для своих родителей.
— Только в вашей клинике проводятся трансплантации и детям, и взрослым. Почему?
— Проводить разграничение очень сложно. Детские клиники — до 18 лет, но что делать с ребенком, если ему уже 18 с половиной, или 19, или 30 лет? Мы выполняем трансплантации и в старшей возрастной группе, пациентам после 50, если они физически сохранны.
— До скольки лет пациентам можно делать трансплантации?
— Верхняя граница все время поднимается — когда-то это были 40, 50, 60 лет. Многие клиники на Западе уже подняли возраст до 70-80 лет.
Значение имеет биологический возраст. Иногда и в 40 лет есть все признаки пожилого человека, а в 70 лет — все признаки молодости.
— Кого среди ваших пациентов больше — детей или взрослых?
— Потребность в трансплантации у взрослых на порядок выше. В силу того, что клиника смешанная, у нас процентов 60 взрослых и 40 процентов детей. Стоимость поиска неродственного донора, к сожалению, очень высока: собрать нужную сумму обычной семье не под силу. При этом для взрослых практически нет благотворительных фондов, проблемы взрослых практически не выносятся на общественное обсуждение, если только это не какие-то известные люди. Мы же в равной степени стараемся помочь всем пациентам, вне зависимости от возраста. Мы федеральная клиника, и к нам по квоте приезжают пациенты из всех регионов страны.
— Часто ли возникают ситуации, когда донора никак не найти?
— Такие ситуации не редки, поэтому мы и вышли на программу трансплантации от гаплоидентичного донора (родителей). Совместимость донора и реципиента в этом случае 50%. Поначалу это был достаточно сложный вид трансплантации, но сейчас технология разработана. Для нас это уже обычный метод лечения, он стоит, что называется на «потоке».
Если возникают проблемы с поиском донора в семье, мы привлекаем благотворительные организации, в первую очередь, фонд AdVita; детям также помогал РусФонд, помогает фонд «Свет».
Фонд AdVita создавался с нашим участием, в первую очередь, именно для того, чтобы расширять программу поиска неродственных доноров. В России в то время не было своего донорского регистра, а поиск донора не оплачивается в счет квоты на выполнение трансплантации. 17 лет назад к нам пришел Павел Гринберг (исполнительный директор фонда AdVita), и по его инициативе, а также по инициативе Бориса Владимировича Афанасьева и сотрудников нашей клиники AdVita и появилась.
Научно-исследовательский институт детской онкологии, гематологии и трансплантологии имени Р. М. Горбачевой.
— Почему у одного человека потенциальных доноров десятки, а другому и одного никак не найти?
— Это зависит от генотипа. Бывают более часто встречающиеся в популяции гены, а бывают редкие. Обычно если найдется 30-40 доноров, это уже неплохо, выше ста — более редкая ситуация.
— Российский донорский регистр существует недавно и еще сравнительно мал. Но, наверно, ситуацию с поисками усложняет и то, что генетическое разнообразие у нас большое? Ведь страна очень велика.
— В настоящее время у нас несколько баз данных, объединяющих информацию о потенциальных донорах костного мозга, но они пока не имеют официального статуса регистра. Мы, действительно, очень сложны. Нашу территорию населяет очень большое количество народов и народностей. Это связано еще и с тем, что мы находимся исторически на пересечении между Азией и Европой, приток популяции у нас и с Востока, и с Запада, и с Юга. Так что сложности, конечно, возникают.
— И тогда приходится искать донора за рубежом? Как это происходит?
— Поиск начинается в международной базе, которая отсылает в тот регистр, в котором состоит донор. Очень хороший регистр в Германии, к тому же, мы с немцами очень близки, и процент успешных результатов поиска у нас очень высокий. Давно существуют регистры в Америке, Англии, Италии. У нас были доноры из Тайваня, Америки, Канады, Австралии, даже из Южно-Африканской республики.
— Наверное, доставка донорских клеток — очень сложный процесс?
— Тут все полностью синхронизировано. По регламенту на доставку отводится 72 часа, но мы стараемся не выходить за 48. Такая погода, как сейчас — снегопад — это очень плохо, потому что может быть несостыковка самолетов. Когда произошло извержение вулкана в Исландии, была очень серьезная ситуация — в Европе отменялись все рейсы. А у нас как раз летел курьер с клетками.
— А сами доноры приехать не могут?
— Нет, такого никогда не бывает — это не предусмотрено международными правилами.
— В каких случаях после трансплантации пациентам дополнительно подсаживают донорские клетки? Возможно ли это, если донор из другой страны?
— Введение лимфоцитов от донора мы используем для профилактики рецидива лейкоза или его лечения, а также в случае наметившегося отторжения трансплантата. Если донор из зарубежного регистра, то мы запрашиваем клетки — это уже, конечно, дешевле, чем сам трансплантат.
— Почему поиск донора порой стоит десятки тысяч долларов?
— Используются современные методы типирования, в зарубежных странах своя финансовая политика, и распределение средств отличается от нашего. Фиксированной цены за поиск нет — она зависит от страны, в которой находится донор. Самые дорогие — американские доноры. Поэтому постоянно встает вопрос о пополнении российского регистра неродственных доноров.
— Донорство костного мозга похоже на донорство крови?
— Донорство костного мозга абсолютно безопасно, как и донорство крови. Только с юридической точки зрения это не такая простая процедура: костный мозг — орган, так что речь идет уже о трансплантации органов и тканей. Если после сдачи крови через три месяца можно сдавать ее повторно и для других людей, то донором костного мозга можно стать только для одного человека. Если возникает вопрос о повторной трансплантации, мы, конечно, можем взять донора для пациента и во второй раз, и в третий. Но для другого человека он быть донором уже не может. А вот донором крови может продолжать быть.
— Как позаботиться о себе, чтобы восстановиться после процедуры донации?
— Гулять, хорошо питаться, высыпаться, может быть, работать чуть менее интенсивно в первый месяц — то, что называется «здоровый образ жизни». Больше ничего. После донации клеток костного мозга в течение месяца всё восстановится.
— Когда и насколько серьезно обследуют доноров? Надо ли для этого ложиться в больницу?
— Скрининг донора проводится всегда, чтобы исключить все заболевания, которые могут быть опасны для реципиента. Детально это делается в течение месяца, когда человек уже выбран в качестве донора. Всё только амбулаторно, ложиться в больницу, конечно, не надо.
Допустим, нашлось 15 потенциальных доноров, которые могут по степени совместимости подойти конкретному пациенту, и из них нужно выбрать одного. Тогда их начинают последовательно обследовать — до первого донора, который подошел определенно. Тогда остальных отпускают, а его начинают обследовать более подробно, всесторонне, проверяют на наличие сопутствующих заболеваний, препятствующих донорству.
— Что такое реакция «трансплантат против хозяина»? Появились ли способы с ней бороться?
— Реакция «трансплантат против хозяина» (РТПХ) — самое серьезное осложнение у человека, который перенес трансплантацию от аллогенного донора. Для РТПХ всегда существовали методы профилактики и терапия. Сейчас у нас больше возможностей для управления ситуацией, но проявления реакции все равно остаются — мы все-таки пересаживаем иммунокомпетентные клетки совершенно другого человека, в лучшем случае генетически совместимые на 100%, а, возможно, и только на 50%, по генам, ответственным за приживление. А всего у нас генов намного больше. Несовместимость все равно имеет место, и поэтому возникает иммунологический конфликт. Проблема в том, что перед трансплантацией мы не можем знать, насколько серьезно будет выражен конфликт у конкретного пациента. РТПХ — реакция очень серьезная, требует лечения и назначения дорогостоящих препаратов.
— Может ли она возникнуть не сразу после трансплантации, а спустя какое-то время?
— Она подразделяется на острую и хроническую. Острая РТПХ возникает в первые сто дней после трансплантации, хроническая может возникать и в отдаленном периоде, проявляться как аутоиммунное заболевание с поражением любого органа. Возникновение реакции всегда создает тревожную ситуацию, но ее особенность в том, что она имеет очень выраженный противорецидивный эффект, направленный на лечение основного заболевания. Сказать, что мы стараемся избежать эту реакцию полностью при злокачественных заболеваниях, будет неправильно: в какой-то степени она должна быть, поскольку имеет терапевтическое воздействие.
— Вы объяснили, что такое аллогенные трансплантации — трансплантации от родственного и неродственного донора. А что такое трансплантации аутологичные? Это когда человек становится донором самому себе?
— Аутологичные трансплантации — когда человеку пересаживают собственные клетки. Это частая ситуация при солидных опухолях, лимфомах, миеломной болезни. При лейкозах мы от такой практики почти отошли, стараемся использовать клетки другого человека.
— Существуют ли программы реабилитации для людей, которые перенесли трансплантацию?
— Реабилитации сейчас уделяется очень большое внимание, особенно у детей. Методы различные — и физические, и психологические. У нас есть отдельная программа, в рамках которой в клинике даже открыта школа, работают педагоги, балетный класс, разрабатываются специальные виды физических упражнений. Планируется строительство клинико-реабилитационного комплекса на территории нашего университета. Надеемся, что он будет построен через три-четыре года.
— Как долго после трансплантации пациент должен находиться под наблюдением врачей клиники?
— Строго под наблюдением врачей — первые сто дней, потом менее строго полгода, год. А дальше мы наблюдаем раз в два, в три года, все реже и реже. Дети растут, у них могут появляться отдаленные проблемы и осложнения, связанные с трансплантацией. Но есть и дети, которые о нас забыли и живут отдельной жизнью.
— Может ли пациент ждать донора несколько лет?
— Такое возможно, например, при наследственных заболеваниях. Однажды у нас была семья, в которой был ребенок с редким заболеванием. Для него не нашлось донора. Семья хотела иметь еще детей. Тогда матери провели искусственное оплодотворение — выбрали яйцеклетку, которая не несла больного гена, одновременно определили совместимость по генам HLA-системы. В результате родился не только здоровый ребенок, но и совместимый как донор. И уже от него, здорового, совместимого донора, провели трансплантацию больному ребенку. Теперь у обоих детей все хорошо.
Беседовала Нина Фрейман.
В Петербурге сдать кровь на типирование можно в НИИ гематологии и трансфузиологии ФМБА России по адресу: Санкт-Петербург, ст.м. Площадь Восстания, 2-Советская ул., 16. Время работы: с понедельника по четверг с 8:30 до 11:30.
Туынды отбасының остеопетрозы



Туынды отбасының остеопетрозы – мұрагерлік және клиникалық курстардың әртүрлі түрлері бар мұрагерлік ауру, ол сүйектің ассификация процестерін олардың тығыздауымен және бірқатар бұзушылықтармен бұзуымен сипатталады. Бұл жағдайдың белгілері сүйек кемістігі болып табылады (травматикалық және патологиялық сынықтардың жеңіл дамуы), гепато және спленомегалиямен ауыр анемияның көріністері, кейбір жағдайларда нервтердің жарақатына байланысты неврологиялық бұзылулар бар, сүйек каналдарынан өтеді. Туа біткен оталы остеопетроздың диагностикасы рентгендік деректерге негізделген, науқас анамнезін зерттеу, молекулалық-генетикалық және жалпы клиникалық талдау. Бұл шарттың нақты емі жоқ, Кейбір жағдайларда сүйек кемігін трансплантациялау науқастың жағдайын айтарлықтай жақсартуы мүмкін.
Туынды отбасының остеопетрозы
Туынды отбасының остеопетрозы (мәрмәр ауруы, Альберс-Шоенберг синдромы) – ұқсас клиникалық көріністері бар генетикалық бұзылулар тобы, сүйек кемігінің диаметрі мен басқа арналардағы сүйек тіндерінің тығыздығына байланысты. Аурудың бір түрі алғаш рет 1904 жылы неміс хирургі Г. Альберс-Шенберг, өйткені ең таралған (автозомдық басым) туа біткен оталық остеопетроздың түрі оның атымен аталады. Бірдей жиіліктегі бұл шарт ерлерге де әсер етеді, және әйелдер, науқастану патологияның түріне байланысты. Мәселен, клиникалық көріністерінде ең ауыр болып туа біткен оталық остеопетоздың автозомдық рецессивті түрі 1:200 000-300 000, ал 20 мың адамға шаққанда 1 адамнан тұратын автосомдық басым аурулар түрлері бар. Патологияның тағы бір атауы (мәрмәр ауруы) рентгендік суретке байланысты (сүйек құмы, мәрмәрді еске түсіріп, остеопетроздың ошақтарына байланысты), сондай-ақ әлсіреуі артады, сонымен бірге сүйек қаттылығы. Туа біткен оталық остеопетроз — ең зерттелген генетикалық аурулардың бірі, гиперостозбен бірге жүреді.
Туа біткен отбасылық остеопетроздың себептері
Туа біткен отбасылық остеопетроздың барлық түрлерінің тікелей себебі остеокласттардың функционалдық белсенділігін бұзу болып табылады – ұяшық, сүйек мата элементтерінің бұзылуына жауапты. Нәтижесінде сүйектердің қалыптасуы мен жойылуы арасындағы тепе-теңдік бұзылады, ол ықшам заттың тығыздығын ұлғайтумен бірге жүреді, миделлер каналдарының және сүйектердегі басқа саңылаулардың люминдерінің азаюы, метафиздің пішінін өзгерту. Остеосклерозға қарамастан, туа біткен оталы остеопетрозы бар қаңқалық элементтер әлсіздікті арттырды, жиі жараланған және патологиялық сынықтарға алып келеді, сколиоз және жұлын деформациясының басқа түрлері. Остеокласттардың бұзылуының генетикалық және молекулалық сипаты аурулардың әртүрлі түрлерінде өзгереді.
Туа біткен оталық остеопетоздың ең көп тараған автозомдық басым түрі (Альберс-Шоенберг синдромы) CLCN7 генінің мутациясына байланысты, хромосомада орналасқан 16. Ол хлорға тән иондық арна субөңірлерінің бірінің тізбегін кодтайды, ол әсіресе остеокласттың мембранасының бетінде кеңінен таралған. Ол тұз қышқылының қалыптасуына қатысады, ол кальций тұздарын еріту үшін қажет, сүйек тінінің бөлігі. CLCN7 генінің ақаулығы нәтижесінде ион каналының құрылымы өзгеріп, оның функциясының бұзылуына әкеледі, соның салдарынан тұз қышқылының шығуын айтарлықтай азайтады, бұл туа біткен оталық остеопетроздың себебі болып табылады.
Туа біткен отбасылық остеопетроз мұра нысанының автозомдық рецессивтік режимі — бұл генетикалық түрде гетерогенді, бұл бірнеше гендердегі мутацияға байланысты болуы мүмкін. Бұл патологияның классикалық түрі, заманауи генетика бойынша, TCIRG1 генінің ақаулығына байланысты, хромосомада локализацияланған 11. Оның өрнегі өнімі ақуыз деп аталады «Т-жасушалық иммундық реттегіш», және ол остеокласт вакуолдарының трансмембраналық ақуызының бір бөлігі болып табылады, ATP тәуелді протон сорғысының қасиеттерін ұсынатын. Бір қатар хлор арналары бар, ол тұз қышқылының қалыптасуына қатысады, ол, сияқты туа біткен оталық остеопетоздың автозомдық басым нұсқасы сүйек матасын бұзу және остеокласттардың жұмыс істеуі үшін қажет. Аурудың осы түрінің барлық жағдайларының шамамен жартысы TCIRG1 генінде мутацияларды құрайды.
Басқа генетикалық кемшіліктер отбасылық остеопетоздың аутосомальді рецессивтік мұрагерлік режимімен дамуына әкеледі. Мәселен, шамамен 10% Мұндай науқастар CLCN7 генінің мутациясын анықтады, патологияның басым түрімен байланысты – алайда, генетикалық ақаудың табиғаты айқынырақ және хлорға тән иондық арнадағы белоктардың экспрессиясының тоқтатылуына әкеледі. Туа біткен оталық остеопетоздың анағұрлым сирек түрі ОСТМ1 генінің мутациясына байланысты, 6-шы хромосомада орналасқан – ол сол атаудағы ақуызды кодтайды, остеокласттардағы ақпарат ішіндегі жасушалық хабарларға қатысады. Осы генетикалық ақаудың нәтижесінде осы жасушалардың барлық функциялары бұзылады, тіпті тұз қышқылын синтездеу мүмкіндігі сақталған. Кейбір дереккөздерге сәйкес, туа біткен оталық остеопетроздың түрі бар, ол жыныстық байланыс механизмі арқылы беріледі – Генетиктер оны IBKG генінде мутациялармен байланыстырады.
Туа біткен оталық остеопетроздың белгілері
Туа біткен отбасылық остеопетоздың белгілері мен оның ауырлық дәрежесі осы аурудың түріне қатты тәуелді. Ең ерте және ең айқын көріністері осы патологияның автозомдық рецессивтік түрлеріне ие, ол туған кезде дереу көрінеді, ал кейбір жағдайларда баланы тасымалдаудың соңғы сатыларында жатыр. Туа біткен отбасылық остеопетозды дамытудың осы сатысында жетекші көрініс ауыр анемия болып табылады, сүйек миының каналының тарылуына байланысты қызыл сүйек кемігінің жетіспеушілігінен туындаған. Бұл көптеген қайталама бұзылуларға әкеледі – гепато және спленомегалия, прогрессивті, терінің қалыңдығы, ұлпалардың оттегі аштықының белгілері. Туа біткен остеопетрозы бар нәрестелер жиі гидроцефалияға ие, Болашақта көптеген науқастар сүйегінің тесіктерін тарылту себебінен есту мен көруді жоғалтады, арқылы тиісті нервтер өтеді. Мұндай науқастардың беті тән ерекшеліктерге ие – көзді бөлек, күйдірілген мұрынды, қалың және келеңсіз еріндер. Туа біткен отбасылық остеопетоздың автозомдық рецессивті түріндегі көптеген бұзылулар прогрессияға бейім, бұл пациенттердің өліміне 3-8 жыл толғанға дейін әкеледі.
Туа біткен оталы остеопетроздың диагностикасы және емі
Туылған отбасылық остеопетозды диагностикалау үшін рентгендік әдістер қолданылады, жалпы қан сынақтары, молекулалық-генетикалық зерттеулер, науқас анамнезін тексеру. Рентгенограммада жалпы мөртаңба сүйегін анықтайды (диффузиялық остосклероз), оның ауырлық дәрежесі аурулардың аутосомалық рецессивтік нұсқаларында көп. Скелеттің кейбір элементтерінде (фаланг, сүйек сүйектері, омыртқа) Остеопетроздың негізгі сипаты бар, тән рентгендік сурет қалыптастыру, ретінде белгілі «сүйектің сүйегі». Ұзын құбырлы сүйектерде метафиздің нысаны мен сүйек-ми қанының мөлшері өзгереді – туа біткен оталық остеопетроздың оңтайлы түрімен біршама төмендеуден бастап, рецессивті. Радиографияда гидроцефалия белгілері де болуы мүмкін, Омыртқаның қисаюы, ересектерде – көптеген айықтырылған сынықтар іздері.
Қанның зерттелуі эритроциттердің және гемоглобиннің күрт азаюын көрсетеді, көбінесе басқа ұялы элементтерге қатысты өнімділікті азайтады. Туа біткен отбасылық остеопетроздың рецессивті түрі бар балаларда бұл өмірге қауіпті болуы мүмкін, ал ересектерде (автосомалық басым нысан) анемия жеңіл немесе анықталмаған. Молекулярлық генетикалық зерттеулер көбінесе TCIRG1 генінің тікелей реттелуіне дейін төмендейді, бұл аурудың қатерлі түріне әкелетін мутациялар. Бұл талдаудың себебі, тән клиникалық көрінісіне қосымша, пациенттің ата-анасының туыстарына ұқсас көріністердің болуы – бұл аурудың аутосомалық рецессивті өтуін көрсетуі мүмкін.
Туа біткен отбасылық остеопетроздың автозомдық рецессивті түрлерін ерекше емдеу (доминант сияқты) әзірленбеген – Кейбір зерттеушілер сүйек кемігін трансплантациялауды дәлелдейді. Кейбір остеокласттар тін макрофагтарының нұсқасы болғандықтан (яғни, сүйек кемігін шыққан) Бұл емдеу әдісі науқастың жағдайын жақсартады «ауыстыру» Генетикалық ақауларсыз донорлық остеокласттардың өз жасушалары. Шындығында, кейбір туа біткен оталық остеопетроз кезінде сүйек кемігін трансплантациялау, бірақ толық қалпына келтіру мысалдары жазылмады. Қалған терапиялық интервенциялар қолдау және симптоматикалық болып табылады – антиэндемиялық препараттарды қолдану (темір препараттар, эритропоэтин), дәрумені D, физиотерапия және гимнастика. Туа біткен отбасылық остеопетоздың автозомдық басым түрінде санаторлық-курорттық емдеумен айтарлықтай жақсару байқалады.
Туа біткен оталық остеопетоздың болжамдары және алдын-алу
Туа біткен оталық остеопетроздың болжамы, TCIRG1 гендерінің автозомалдық рецессивті мутациялары, CLCN7 және OSTM1, өте қолайсыз – сүйек кемігін трансплантациялаусыз өлім-жітім анемияға байланысты бала кезінен басталады, неврологиялық бұзылулар және түрлі инфекциялар. Трансплантация жүргізілген жағдайда, Бұдан басқа, бұл донорлық клеткалардың өмір сүруіне және науқастың денесінің бұзылу дәрежесіне байланысты. Туа біткен отбасылық остеопетоздың өмір сүрудің басым нұсқалары өмірге қолайлы болжам жасайды, бірақ әлеуетті қауіп — бұл патологиялық сынықтар. Сондықтан науқастар жоғары жарақат салаларынан аулақ болу керек, белсенді спорт түрлері, ортопед және гематолог ауру белгілері мен асқынулардың алдын-алу үшін үнемі тексеріп отырады.
Читайте также:
