Остеосаркома, злокачественная лимфома глаза-орбиты
Добавил пользователь Евгений Кузнецов Обновлено: 31.10.2025
Для цитирования: Гришина Е.Е., Гузенко Е.С. Лимфомы органа зрения: особенности течения и прогноз. Клиническая офтальмология. 2013;14(1):4.
Резюме В настоящее время все существующие прогностические шкалы не характеризуют в полной мере прогноз первичных неходжкинских лимфом (НХЛ) глаза и его придаточного аппарата. При ретроспективном и проспективном изучении особенностей течения заболевания у 94 больных первичными НХЛ органа зрения выявлены некоторые факторы, влияющие на прогноз данного заболевания.
В настоящее время все существующие прогностические шкалы не характеризуют в полной мере прогноз первичных неходжкинских лимфом (НХЛ) глаза и его придаточного аппарата. При ретроспективном и проспективном изучении особенностей течения заболевания у 94 больных первичными НХЛ органа зрения выявлены некоторые факторы, влияющие на прогноз данного заболевания.
Ключевые слова: прогноз, неходжкинские лимфомы, глаз, орбита, конъюнктива, веки.
Abstract
Eye lymphoma – peculiarities of clinical course
and prognosis
E.E. Grishina, E.S. Guzenko
Ophthalmologic clinical hospital
Russian Medical Academy of postdiploma education
All existing prognostic scales don't fully characterize a prognosis for primary non-Hodgkin's lymphoma eye and adnexa.
In retrospective and prospective study of clinical course peculiarities in 94 patients with primary non-Hodgkin's lymphoma of eye and adnexa some factors influencing a prognosis of primary non-Hodgkin's lymphoma of eye and adnexa are revealed.
Key words: prognosis, non-Hodgkins lymphoma, eye, adnexa, orbit, conjunctiva, eyelids.
Литература
1. Аруин Л.И., Капуллер Л.Л., Исаков В. А. Морфологическая диагностика болезней желудка и кишечника. М., 1998. С. 232–245.
2. Бабичева Л. Г. Значение прогностических факторов при лечении больных фиброзной крупноклеточной В–клеточной лимфомой антрациклинсодержащими режимами химиотерапии: Дисс. . канд. мед. М., 2004.
3. Бровкина А.Ф. Болезни орбиты. Руководство для врачей. М.: Медицинское информационное агентство, 2008. С. 66–70, 159–186, 190–191, 192–198 // Болезни орбиты. М.: Медицина, 1993. С. 60–66.
4. Бровкина А.Ф., Гришина Е.Е. Внутриглазные неходжкинские лимфомы // Русский медицинский журнал. 2000. № 1, 3. С. 82–83.
5. Бровкина А.Ф., Сорокина М.Н., Каплина А.В. Внутриглазные злокачественные лимфомы // Вестн. офтальмологии. 1990. № 6. С. 48–53.
6. Москаленко О.А., Османов Д.Ш., Пробатова Н.А. и соавт. Первичные MALT–лимфомы желудка у больных пожилого возраста // Современная онкология. 2000. № 4. С. 146–151.
7. Поддубная И.В. Обоснование лечебной тактики при неходжкинских лимфомах / Онкогематология. Современные аспекты. М., 2005. С. 25–26.
8. Поддубная И.В., Дёмина Е.А. Диагностика и определение распространенности (стадирование) неходжкинских лимфом // Практическая онкология. 2004. Т. 5. № 3. С. 176–184.
9. Поддубная И.В., Балакирева Ю.Н. Клинико–морфологические особенности и факторы прогноза при первичных экстранодальных неходжкинских лимфомах: Материалы VIII Российского онкологического конгресса. М., 2004. С. 88–95.
10. Bairey O., Kremer I., Rakowsky E. et al. Orbital and adnexal involvement in systemic non–Hodgkin’s lymphoma // Cancer. 1994. Vol. 73 (9). P. 2395–2423.
11. Cahill M., Barnes C., Moriarty P. et al. Ocular adnexal lymphoma– comparison of I MALT lymphoma with other histological types // Br . J.Ophthalmol. 1999. Vol. 83. P. 742–747.
12. Canellos G.P., Lister T.A., Sklar J.L. General aspects of extranodal lymphoma In The Lymphomas. W.B. Saunders Company, 1997. P. 450–478.
13. Cher L. Primary CNS Lymphoma. Cancer Forum. 1998. Vol. 22 (2). P. 138–140.
14. Connor J.M. Problem in Lymphoma Management: Special Sites of Presentation // Oncology. 1998. Vol. 12 (2). P. 185–195.
15. Coupland S., Krause L., Delecluse H. et al. Lymphoproliferative disorders of the ocular adnexa. Analysis of 112 cases // Ophthalmology. 1998. Vol. 105. N 8. P. 1430—1441.
16. Coupland S.E., White V.A., Rootman J., Damato B., Finger P.T. A TNM–based clinical staging system of ocular adnexal lymphomas. ISOO MEETING 2009. Р. 338.
17. Filipec M., Karel I., Michalickova M. Malignant intraocular lymphoma. // Cesk. Ophthalmol. 1993. Vol. 49 (2). P. 72–75.
18. Jaffe E.S. The 2008 WHO classification of lymphomas: implications for clinical practice and translational research. Hematology Am Soc Hematol Educ Program. 2009. Р. 523–531.
19. Jensen O.A., Johansen S., Kiss K. Intraocular T–cell lymphoma mimicking a ring melanoma. First manifestation of systemic disease. Report of a case and survey of the literature. // Graefes. Arch. Clin. Exp. Ophthalmol. 1994. Vol. 232 (3). P. 148–152.
20. Khalil H.A., de Keiser R.J., Kluin P.M. et al. Clinical course and pathologic features of conjunctival non–Hodgkin’s lymphoma. A report of six cases // Graefes . Arch. Clin. Exp. Ophthalmol. 1990. Vol. 228 (3). P. 246–251.
21. Knowles D.M., Jacobiec F.A., McNally L., Burke J. Lymphoid hyperplasia and malignant lymphoma occurring in the ocular adnexa (orbit, conjinctiva and eyelids): a prospective multiparametric analysis of 108 cases during 1977 to 1987 // 7 Hum–Pathol. 1990. Vol. 21 (9). P. 959–973.
22. Margo C.E., Mulla Z.D. Malignant tumors of the orbit. Analysis of the Florida Cancer Registry // Ophthalmology. 1998 Jan. Vol. 105 (1). Р. 185–90.
23. McKelvie P.A. Ocular adnexal lymphomas: a review // Adv Anat Pathol. 2010 Jul. Vol. 17 (4). Р. 251–261.
24. McLean I.W., Burnier M.N., Zimmerman L.E., Jarobiec F.A. Tumor of orbit. In: Rosai J., Sobin L.H. (eds). Atlas of tumor pathology: tumors of the eye and adnexa, ser 3, fasc 12 Washington: Armed Forces Institute of Pathology, 1993. P. 233–298.
25. Medeiros L.J., Harmon D.C., Linggood R.M., Harris N.L. Immunohistologic featurs predict clinical behavior of orbital and conjunctival lymphoid infiltrates // Blood. 1989. Vol. 74. P. 2121–2129.
26. Meunier J., Lumbroso–Le Rouich, Dendale R. et al. Conjunctival low–grade non–Hodgkin’s lymphoma. // Leuc Lymphoma. 2006 Jul. Vol. 47 (7). Р. 1295–1305. Pub Med.
27. Nakata M., Matsuno Y., Katsumata N. et al. Histology according to the Revised European–American Lymphoma classification significantly predicts the prognosis of ocular adnexal lymphoma // Leuk–Lymphoma. 1999. Vol. 32 (5–6). P. 533–543.
28. Roos D.E., O'Brich P.C., Crompton J.L. Ocular involvement in primary central nervous system lymphoma: an ancreasing clinical problem? // Australas. Radiol. 1993. Vol. 37 (4). P. 372–374.
29. Roos D.E., O'Brich P.C., Crompton J.L. Ocular involvement in primary central nervous system lymphoma: an ancreasing clinical problem? // Australas. Radiol. 1993. Vol. 37 (4). P. 372–374.
30. Shikishima K., Kawai K., Kitahara K. Pathological evaluation of orbital tumours in Japan: analysis of a large case series and 1379 cases reported in the Japanese literature // Clin. Experiment. Ophthalmol. 2006 Apr. Vol. 34 (3). Р. 239–244.
31. Sutcliffe S.B., Gospodarowicz M.K. Haematological Oncology. Cambrige, Cambrige University Press, 1992. P. 189–222.
Контент доступен под лицензией Creative Commons «Attribution» («Атрибуция») 4.0 Всемирная.
Остеосаркома, злокачественная лимфома глаза-орбиты
Остеосаркома в орбите встречается очень редко, полагают, что после 30 лет. Большинство описанных в литературе случаев следует рассматривать как индуцированные предшествующей лучевой терапией ретипобластомы. Источником роста опухоли являются мезенхимальные клетки на стадии костной дифференцировки. Остеосаркома полиморфна по клеточному составу, содержит много митозов, хорошо васкуляризована.
Первоначально поражает одну из орбитальных стенок, поэтому ранним симптомом может быть экзофтальм со смещением глаза. Остеосаркома расчет быстро, распространяясь в переднюю и среднюю черепные ямки, полость черепа, что приводит к раннему появлению застойных дисков зрительного нерва, причем на стороне первичного роста застойный диск скоро переходит в атрофию. При КТ-исследовании рано обнаруживают зоны костных разрушений.
Лечение хирургическое, заключается в широком иссечении пораженных тканей. Лучевая и химиотерапия неэффективны. Прогноз для жизни плохой, особенно при постлучевой остеосаркоме.
Злокачественная лимфом глаза-орбиты
Согласно новой классификации (REAL — классификация злокачественных лимфом) неходжкинские лимфомы по происхождению делят на В- и Т-клеточные, а для оценки прогноза выделяют степени злокачественно сти — высокую и низкую. Иммуногистохимичсскис исследования, проведенные в 1983 г. P. Isacson и D. Wright, позволили выделить среди экстранодальных неходжкинских лимфом злокачественную лимфому типа MALT.
В основе развития этих опухолей лежит плазмоцитарная дифференцировка лимфоидной ткани, ассоциированной со слизистыми оболочками. Общим фактором, обеспечивающим рост этих лимфом в разных органах, признано наличие железистого эпителия и элементов аутоиммунного воспаления. Отличительный признак опухоли — присутствие на клеточных мембранах определенных иммунных маркеров, которые считают продуктом самих моноклональных про-лифератов. Локализация злокачественных лимфом многообразна. Не является исключением и орбита. Более того, по частоте среди злокачественных лимфом MALT-лимфомы занимают 3-е место, характеризуются торпидпым течением, имеют достаточно благоприятный витальный прогноз.
Имеются сведения о том, что частота злокачественных лимфом имеет тенденцию к увеличению. В 1999 г. L. Margo, анализируя частоту злокачественных лимфом на протяжении 6 лет, показала, что число таких больных за этот период увеличилось на 166%. А среди злокачественных опухолей орбиты у лиц зрелого возраста увеличился удельный вес первичной злокачественной лимфомы, и в последние годы злокачественные лимфомы орбиты по частоте выходят на одно из первых мест. По нашим данным, из злокачественных опухолей орбиты злокачественная лимфома в последние годы диагностируется у каждого четвертого больного. Как правило, опухоль монолатеральная, локальная.
Поражение обеих орбит составляет не более 5% случаев и наблюдается при системной низкодифференцированной злокачественной лимфоме. Соотношение заболевших мужчин и женщин составляет 2,7:1. Средний возраст заболевших 55 лет, возможный диапазон 16-76 лет, однако описаны случаи злокачественной лимфомы орбиты как в педиатрической практике, так и у лиц старше 80 лет.

Для злокачественной лимфомы характерно появление безболезненного экзофтальма без какого-либо продромального синдрома, обычно со смещением глаза в сторону, появляется невоспалительный отек периорбитальных тканей. Экзофтальм может быть как небольшим, так и достигать значительной степени. Реже процесс развивается исподволь, постепенно. Возможен ранний птоз, диплопия. Такая картина характерна при первичной локализации патологического процесса в одной из экстраокулярных мышц. Зрение резко падает, что может быть обусловлено либо окклюзией центральной артерии сетчатки, возникающей при быстро растущей опухоли, либо в результате компрессии зрительного нерва на вершине орбиты. В этот период возможна боль в пораженной орбите.
Трудно судить об излюбленной локализации опухоли в орбите. Имеются сведения о случаях злокачественной лимфомы под верхней орбитальной стенкой, внутри мышечной воронки. Нередкая локализация опухоли в верхненаружном квадранте орбиты служит причиной неправильного диагноза опухоли слезной железы, тем более что лимфома может развиваться и в слезной железе, что сопровождается отеком и увеличением железы. Есть основания полагать, что высокая частота MALT-лимфом в орбите обусловлена преобладающей локализацией их в слезной железе. По нашим данным, опухоль чаще растет в верхненаружном отделе орбиты вдоль наружной и нижней прямых мышц, что объясняет преимущественное появление экзофтальма со смещением, птоза и диплопии.
Многосимптомность нередко затрудняет постановку правильного диагноза. С момента появления первых симптомов до установления характера опухоли проходит от 3 мсс. до 7 лет, в среднем 23 мес. Морфологически в орбите чаще диагностируют В-клсточную лимфому низкой степени злокачественности. В опухоли типа MALT-лимфомы содержатся достаточно зрелые опухолевые и плазматические клетки. Из 37 больных со злокачественной лимфомой орбиты, наблюдавшихся нами в последние годы, MALT-лимфомы диагностированы у подавляющего большинства.
Диагноз злокачественной лимфомы орбиты достаточно надежно верифицируется с помощью тонкоигольной аспирационной биопсии или при морфологическом исследовании биоптата опухоли. Гистологическая диагностика злокачественных лимфом трудна. По мнению P.M. Бурде, расхождение клинического и морфологического диагнозов составляет 5-10%. Чаще процесс ошибочно считают доброкачественным.
Пример, приведенный Р.Д. Штерном, доказывает трудности морфологической идентификации опухоли: гистопрепараты 12 больных с неходжкинской лимфомой изучили три известных профессора из США и ФРГ и дали разные определения опухоли. Из 37 больных с окончательным диагнозом злокачественная лимфома у 12 первоначально диагноз был расценен как доброкачественный лимфопролиферативный процесс типа первичного идиопатического миозита со всеми вытекающими рекомендациями по лечению.
Аналогичный пример наблюдали и мы. Речь идет о больной Г., 16 лет, у которой вначале клиническая картина свидетельствовала в пользу псевдотумора типа миозита. При КТ-исследовании было выявлено резкое утолщение наружной и нижней прямых мышц глаза справа, определена инфильтрация в области слезной железы. Во время орбитотомии визуальному контролю подвергнуты пораженные мышцы: они оказались резко утолщенными, серого цвета, плотными па ощупь. Слезная железа была отечная, тусклая, дольчатость ее макроскопически стерта. Были взяты биоптаты. Гистологическое заключение: хроническое воспаление тканей орбиты. Назначена глюкокортикоидная терапия. Практически исчез экзофтальм, подвижность экстраокулярных мышц достигла полного объема.
Спустя 4 года больная вновь поступила в клинику с резким ухудшением. Помимо симптомов, свидетельствовавших об увеличении в объеме содержимого орбиты, обращали на себя внимание резкая асимметрия лица, затруднение носового дыхания. КТ выявила распространенный патологический процесс. Повторная биопсия тканей орбиты и аспирациопная биопсия подчелюстного лимфатического узла справа позволили определить злокачественную лимфому.
Лечение злокачественной лимфомы глаза-орбиты. Наружное облучение является безальтернативным методом лечения злокачественной лимфомы орбиты. Метод достаточно высокоэффективен. Суммарная доза при облучении составляет 20 -43 Гр. При системном поражении наружное облучение рекомендуется комбинировать с полихимиотерапией. Эффективность лечения определяют регрессией орбитальных симптомов и восстановлением утраченного зрения. Однако следует иметь в виду, что в ряде случаев возможны рецидивы в орбите даже после полной регрессии патологического очага. Частота таких рецидивов может достигать 1/3 случаев. Именно поэтому авторы цитируемой работы настоятельно рекомендуют во всех случаях орбитальных лимфом, независимо от их клеточного состава, комбинировать наружное облучение с химиотерапией.
Прогноз при первичной злокачественной лимфоме для жизни и зрения благоприятный, что обусловлено преобладанием в орбите более доброкачественных радиочувствительных MALT-лимфом. Переживают 5-летний период 83% больных. Критерием хорошего прогноза считают полную ремиссию опухоли после первичного наружного облучения и старший возраст больных. Прогноз для жизни резко ухудшается при рецидиве опухоли в орбите или появлении диссеминированной формы злокачественной лимфомы.
Редактор: Искандер Милевски. Дата обновления публикации: 18.3.2021
Лимфома орбиты
Лимфома орбиты – это злокачественная Т- или В-клеточная опухоль, которая располагается в зоне глазного яблока и окружающих его тканей. Развитию заболевания способствуют вирусные инфекции, дизиммунные процессы, генетические факторы и токсические влияния. Патология проявляется экзофтальмом, затруднениями при движении глазом, опущением верхнего века. Для диагностики опухоли используют УЗИ глазного яблока, КТ и МРТ орбиты, биопсию с цитологическим и иммунологическим исследованием. Лечение первичных форм проводится методом лучевой терапии, при диссеминированных вариантах используют полихимиотерапию.
МКБ-10



Общие сведения
Орбитальные лимфомы в основном имеют неходжкинское происхождение и составляют до 4% всех экстранодулярных новообразований этого типа. Первичное поражение тканей орбиты встречается в 3 раза чаще, чем вовлечение глазницы при диссеминированной форме. К группе риска принадлежат люди старше 60 лет. Крайне редко поражение периорбитальных тканей вызвано лимфомой Ходжкина. Орбитальная лимфома распространена в современной офтальмологии, однако при ее ранней диагностике и подборе адекватной терапии могут возникать трудности, решение которых требует мультидисциплинарного подхода.

Причины
Этиологическая структура лимфомы орбиты аналогична другим вариантам злокачественных лимфопролиферативных заболеваний. Точные причины развития болезни пока не установлены. Предполагается, что для начала опухолевого процесса необходима комбинация эндогенных и экзогенных факторов риска. Наиболее значимые этиологические факторы лимфомы орбиты:
- Иммунные нарушения. Лимфопролиферативные процессы характерны для людей с первичными синдромами иммунодефицита, нелеченой ВИЧ-инфекцией. Более высокий риск заболевания среди пациентов, которые получают иммуносупрессивную терапию, перенесли операцию по трансплантации костного мозга или внутренних органов.
- Инфекции. Развитие неходжкинской лимфомы орбиты связывают с заражением вирусом Эпштейна-Барр, Т-лимфотропным вирусом 1 типа, герпесвирусом 8 типа. К группе вероятных провоцирующих факторов относят возбудителей вирусных гепатитов В и С. Большое значение имеет хроническая хламидийная инфекция органа зрения.
- Токсические воздействия. Провоцирующим фактором лимфомы могут выступать некоторые гербициды и инсектициды, промышленные отравляющие вещества. Вероятность болезни коррелирует с частотой и длительностью интоксикации, поэтому в группе риска находятся люди с профессиональными заболеваниями.
- Отягощенная наследственность. Риск злокачественной опухоли орбиты повышается у пациентов, которые имеют в геноме однонуклеотидные полиморфизмы. Предрасполагающим фактором является наличие родственников первой линии, болеющих ходжкинской или неходжкинской лимфомой.
Патогенез
В 90% случаев первичный клон опухолевых клеток развивается из нормальных В-лимфоцитов, в которых под действием разных факторов нарушаются процессы деления, и начинается неограниченный рост. Образование лимфомы связывают с рядом нарушений клеточного апоптоза, утратой контроля над дифференцировкой лимфоцитов, активацией онкогенов. Опухоль увеличивается в размерах, вытесняя здоровые ткани и вызывая компрессию структур орбиты.
Классификация
При постановке диагноза орбитальной лимфомы применяются стандартные подходы к систематизации заболевания. Неходжкинские лимфопролиферативные опухоли подразделяются на В-клеточные и Т-клеточные, что зависит от клеток-предшественников новообразования. В орбите зачастую определяются MALT-лимфомы, которые принадлежат к индолентным (вялотекущим) формам и ассоциированы со слизистыми оболочками.

Симптомы лимфомы орбиты
Большинство случаев новообразования имеют односторонний характер. Поскольку патология сопровождается разрастанием лимфоидной ткани, глазное яблоко на стороне поражения смещается наружу – возникает экзофтальм. Если лимфома орбиты расположена пристеночно, возникает боковой экзофтальм, глаз сдвигается в противоположную от очага сторону. При локализации опухоли в зоне мышечной воронки, экзофтальм имеет осевой характер.
Для лимфомы орбиты характерно постепенное нарастание экзофтальма и его умеренный характер (выступание глазного яблока в среднем на 5-6 мм). По мере роста опухоли пациенты предъявляют жалобы на затруднения при повороте глаза, невозможность полностью сомкнуть веки, сухость и чувство «песка» в глазах из-за недостаточного увлажнения конъюнктивы. Зрительная функция не страдает, однако возможно двоение в глазах и ограничение полей зрения из-за птоза века.
Изредка орбитальная лимфома имеет быстропрогрессирующее течение. В таком случае экзофтальм стремительно увеличивается, сопровождается повышением внутриглазного давления и болями в пораженном глазу. Несмыкание век вызывает кератопатию. В редких случаях наблюдается вовлечение мышц и других тканей орбиты. Такие проявления характерны для длительно существующей нелеченой лимфомы, иммунокомпрометированных групп пациентов.
Осложнения
Первичная лимфома орбиты, которая является наиболее частой формой болезни, без лечения может переходить в системное лимфопролиферативное заболевание. Спустя 10 лет от манифестации локальной лимфомы более 30% людей сталкиваются с другими формами экстранодулярного поражения. Иммуносупрессия на фоне лимфопролиферативных состояний обуславливает предрасположенность пациента к инфекционным заболеваниям, которые нередко становятся причиной смерти.
Диагностика
Пациенты с характерными жалобами первично обращаются к врачу-офтальмологу. При подозрении на лимфопролиферативный процесс к обследованию привлекают онколога или онкогематолога. Данные физикального осмотра при лимфоме орбиты малоинформативны: определяется экзофтальм, отек периорбитальных тканей, покраснение конъюнктивы глаза. Чтобы поставить точный диагноз, используют ряд инструментальных и лабораторных методов:
- УЗИ глаза. Эхосонография проводится на этапе первичной диагностики, чтобы определить наличие объемного новообразования, исключить другие причины внешних глазных симптомов. УЗИ не дает возможности дифференцировать разные виды опухолей, поэтому обязательно дополняется другими видами диагностики.
- КТ орбиты. На КТ-снимках лимфома орбиты имеет вид объемного образования неоднородной структуры. Опухоли бывают единичными или множественными, контуры новообразования имеют нечеткие границы. При запущенной форме болезни по данным КТ определяется разрушение костной стенки глазницы.
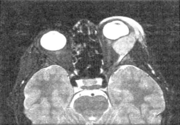
- МРТ орбиты. На МРТ-снимках определяются объемные новообразования неправильной формы, которые изоинтенсивны по отношению к мышцам орбиты и гиперинтенсивны относительно жировой клетчатки. Изредка визуализируется утолщение и инфильтрация глазных мышц.
- Тонкоигольная аспирационная биопсия. При цитологической диагностике биоптатов опухоли определяются атипические клетки с патологией клеточных мембран. Большинство опухолей орбиты имеют В-клеточное происхождение. Для установления типа лимфомы и выбора тактики лечения назначается иммунологическое исследование биоптатов.
- Лабораторная диагностика. Пациентам рекомендованы анализы на ВИЧ-инфекцию, вирусные гепатиты и герпесвирусы, чтобы исключить ассоциированную патологию. Всем больным лимфомами проводятся клинический и биохимический анализы крови, коагулограмма, иммунограмма.
Дифференциальная диагностика
Лимфому орбиты необходимо дифференцировать с кавернозной гемангиомой, опухолями оболочек зрительного нерва, гемангиоперицитомой, метастазами в периорбитальную зону. Обязательно исключают редкие опухоли глазницы: невриному, рабдомиосаркому. Большие трудности для практической онкологии представляет дифференциальная диагностика между лимфомой и доброкачественной гиперплазией лимфоидной ткани орбиты.

Лечение лимфомы орбиты
Консервативная терапия
Основным методом лечения является наружное облучение орбиты. Это самый результативный способ уничтожения злокачественной опухоли, который показан большинству пациентов, независимо от стадии и гистологического типа заболевания. При своевременном начале лучевой терапии удается достичь регресса симптоматики, частичного или полного восстановления подвижности глазного яблока.
В случае диссеминированной неходжкинской лимфомы, протекающей с вовлечением тканей орбиты, радиотерапию дополняют полихимиотерапией. Комбинированное высокодозное лечение признано оптимальным вариантом для достижения длительной ремиссии и улучшения отдаленного прогноза для пациента. Конкретные наименования и сочетания цитостатиков подбираются врачом-онкологом по результатам полной диагностики опухоли.
Хирургическое лечение
При единичной лимфоме небольшого размера операцией выбора является иссечение опухоли в пределах здоровых тканей. Благодаря микрохирургической технике операции во многих случаях удается сохранить зрительную функцию и эстетичный внешний вид пациента. Гигантские опухоли, занимающие большую часть глазницы, являются показанием к радикальной операции – экзентерации орбиты. Учитывая калечащий характер вмешательства, его проводят достаточно редко.
Прогноз и профилактика
При первичной лимфоме средняя 5-летняя выживаемость составляет более 83%, что является хорошим показателем для лимфопролиферативных состояний. В этом случае прогноз для жизни и сохранности зрительной функции благоприятный. Менее оптимистичный прогноз при диссеминированных вариантах болезни. Учитывая сложность и многогранность этиопатогенеза заболевания, результативные меры профилактики пока не разработаны.
1. Особенности клинической картины злокачественной лимфомы орбиты/ А.Ф. Бровкина// Вестник офтальмологии. – 2019. – №5.
4. Злокачественные лимфомы органа зрения. Проблемы и перспективы (взгляд офтальмолога)/ Е.Е. Гришина// Современная онкология. – 2006. – №4.
Остеосаркома ( Остеогенная саркома )
Остеосаркома – это злокачественная опухоль, происходящая из костной ткани. Отличается склонностью к бурному течению и раннему метастазированию. На начальных стадиях проявляется локальной болью, похожей на боли при ревматизме. В дальнейшем появляется припухлость, ограничение движений в расположенном поблизости суставе. Боли становятся резкими, невыносимыми. Возникают метастазы. Патология диагностируется на основании анамнеза, результатов осмотра, рентгенографии, КТ, МРТ и других исследований. Лечение включает в себя операцию по удалению опухоли в сочетании с предоперационной и послеоперационной химиотерапией.
Остеосаркома (от лат. osteon кость, греч. sarkos мясо, плоть + oma опухоль) – злокачественное новообразование, возникающее из элементов кости. Для этой опухоли характерно ранее метастазирование и бурное течение. Ранее прогноз при этом заболевании был очень неблагоприятным. Пятилетняя выживаемость наблюдалась менее чем в 10% случаев. В настоящее время, в связи с появлением новых методов лечения, шансы пациентов существенно увеличились. Сегодня 5 лет после постановки диагноза переживает более 70% пациентов с локализованной остеосаркомой и 80-90% с чувствительной к химиотерапии опухолью.
По данным специалистов в сфере клинической онкологии, остеосаркома чаще наблюдается у молодых пациентов. Более двух третей всех случаев заболевания приходится на возраст 10-40 лет. При этом мужчины страдают вдвое чаще женщин. Пик заболеваемости приходится на период быстрого роста: 10-14 лет у девочек и 15-19 лет у мальчиков. После 50 лет такая опухоль встречается крайне редко.
Причины остеосаркомы
Причины развития заболевания пока не выяснены. Однако существует ряд обстоятельств, при которых риск ее возникновения увеличивается. К их числу относится лучевая терапия и химиотерапия, проводимая ранее по поводу другого онкологического заболевания. Сама по себе травма (ушиб или перелом) никак не влияет на вероятность возникновения опухоли. Тем не менее, в ряде случаев именно достаточно серьезное травматическое повреждение (патологический перелом) или необычные, сохраняющиеся в течение длительного времени после ушиба боли в пораженной области становятся причиной обращения к врачу-травматологу и последующего обнаружения остеосаркомы. В отдельных случаях остеосаркома развивается на фоне хронического остеомиелита. Риск образования опухоли также увеличивается при болезни Педжета (деформирующем остеите).
Патанатомия
Обычно заболевание поражает длинные трубчатые кости. Доля коротких и плоских костей составляет не более 20% от общего числа всех остеосарком. Нижние конечности поражаются в 5-6 раз чаще верхних. При этом около 80% от всего количества остеогенных сарком развивается в области дистального конца бедренной кости. Далее в порядке убывания по частоте располагаются большеберцовые, плечевые, тазовые и малоберцовые кости. Затем – кости плечевого пояса и локтевая кость. Кости черепа страдают редко, в основном – у детей или у пожилых людей.
Типичной локализацией остеосаркомы является область метафиза (часть кости, расположенная между суставным концом и диафизом). Тем не менее, около 10% от общего числа остеосарком бедра обнаруживаются в его диафизарной части, а метафиз при этом остается нетронутым. Кроме того у остеосаркомы существуют «излюбленные» места расположения в каждой отдельной кости. Так, у бедра обычно поражается дистальный конец, у большеберцовой кости – внутренний мыщелок, у плечевой – область, где расположена шероховатость дельтовидной мышцы.
При постановке диагноза остеосаркома проводится стадирование – оценка распространенности процесса. С учетом распространенности все остеосаркомы делятся на две большие группы:
- Локализованные саркомы. Клетки опухоли есть только в месте ее первоначальной локализации или окружающих тканях.
- Метастатические саркомы. Выявляется метастатическое поражение других органов.
Предполагается, что у 80% больных существуют микрометастазы, которые настолько малы, что не обнаруживаются при проведении дополнительных исследований. Кроме того, выделяют мультифокальную саркому, при которой опухоли одновременно возникают в нескольких (двух или более) костях.
Остеосаркома, как и другие злокачественные опухоли, в ряде случаев возвращается после лечения. Новая опухоль может возникнуть как в месте локализации предыдущей, так и в другой части тела (в области метастазов). Такое состояние называется рецидивом. Рецидив при остеосаркоме чаще всего развивается через 2-3 года после лечения и обнаруживается в легких. В дальнейшем рецидивы тоже возможны, но вероятность их развития уменьшается.
Симптомы остеосаркомы
Болезнь начинается исподволь, постепенно. Вначале пациента беспокоят тупые неясные боли, возникающие вблизи сустава. По своему характеру они могут напоминать болевой синдром при ревматических миалгиях, артралгиях, миозитах или периартритах. При этом выпот (жидкость) в суставе отсутствует. Опухоль постепенно растет, в процесс вовлекаются расположенные рядом ткани, и боли усиливаются. Пораженный отдел кости увеличивается в объеме, мягкие ткани над ним становятся припухшими, на коже возникают флебэктазии (сеть мелких расширенных вен). Формируется контрактура в расположенном рядом суставе. При локализации остеосаркомы на костях нижней конечности развивается хромота. Пальпация пораженной области резко болезненна.
Через некоторое время боли становятся нестерпимыми, лишающими сна. Они появляются как при нагрузке, так и в покое и не снимаются обычными анальгетиками. Остеосаркома продолжает стремительно расти, распространяясь на соседние ткани, прорастая мышцы и заполняя костномозговой канал. Клетки опухоли разносятся с током крови, «оседая» в различных органах и образуя метастазы. При этом чаще всего поражается головной мозг и легкие.
Диагноз остеосаркома выставляется на основании клинических данных, результатов инструментальных и лабораторных исследований. Врач-онколог расспрашивает пациента, обращая внимание на постепенное начало и неясные боли вблизи сустава, а также на усиление этих болей с течением времени. Припухлость в области поражения на начальных стадиях определяется всего у 25% пациентов. Флебэктазии возникают на поздних стадиях и также наблюдаются не у всех больных. Поэтому отсутствие данных симптомов не может являться поводом для исключения злокачественного новообразования.
Окончательный диагноз устанавливается на основании результатов дополнительных исследований: рентгенографии, сканировании кости и биопсии ткани, взятой из пораженного участка. Для выявления метастазов в других органах выполняется компьютерная томография и рентгенография.
В начальной стадии на рентгенограммах определяется остеопороз и смазанность контуров опухоли. В последующем выявляется дефект костной ткани. Нередко наблюдается характерная картина отслоения надкостницы с образованием «козырька». У детей часто обнаруживается игольчатый периостит – тонкие костные образования (спикулы), расположенные перпендикулярно по отношению к кости. На рентгеновском снимке такие образования создают типичную картину «солнечных лучей».
При исследовании биоптата выявляются клетки сарокоматозной соединительной ткани, часть которых образует остеоидные и атипичные костные клетки. Обнаруживаются серьезные нарушения структуры кости. Во многих случаях остеогенез (образование кости) слабо выражен и наблюдается только на периферии остеосаркомы. Остеосаркому дифференцируют с остеобластокластомой, хрящевыми экзостозами, эозинофильной гранулемой и хондросаркомой.
Лечение остеосаркомы
Тактика лечения выбирается с учетом места расположения остеосаркомы, стадии заболевания, возраста пациента, его общего состояния, наличия рецидивов и т. д. Лечение остеосаркомы проводится в отделении онкологии и включает в себя три этапа:
- Предоперационную химиотерапию для уменьшения первичной опухоли и подавления мелких метастазов. Используется ифосфамид, метотрексат, этопозид, а также препараты платины (цисплатин, карбоплатин).
- Хирургическое лечение для удаления опухоли. В прошлом при остеосаркомах выполняли ампутации и экзартикуляции. В настоящее время в большинстве случаев проводят щадящую органосохраняющую операцию – сегментарную резекцию пораженного участка с его заменой имплантатом из металла, пластика, собственной кости пациента или трупной кости. Ампутация необходима только при большом размере остеосаркомы, патологическом переломе, прорастании мягких тканей или сосудисто-нервного пучка. Хирургическим путем может удаляться не только первичная опухоль, но и крупные метастазы в легких. При поражении лимфатических узлов также выполняется их оперативное удаление (лимфоаденэктомия).
- Послеоперационную химиотерапию для окончательного подавления злокачественных клеток, которые могли остаться в области метастазов или месте расположения первичной опухоли.
Лучевая терапия при остеосаркоме малоэффективна и проводится только при наличии абсолютных противопоказаний к операции.
Прогноз при остеосаркоме зависит от определенных факторов как до, так и после лечения. Факторы, влияющие на прогноз до начала лечения остеосаркомы:
- Размер и место расположения опухоли.
- Стадия остеосаркомы (локализованная опухоль, наличие метастазов в других органах).
- Возраст и общее состояние здоровья пациента.
После лечения прогноз определяется эффективностью химиотерапии и результатом операции. Более оптимистичный прогноз – при значительном уменьшении местастазов и первичного очага после химиотерапии, а также при полном удалении опухоли.
В прошлом остеосаркома относилась к числу злокачественных опухолей с наиболее неблагоприятным прогнозом. Даже при том, что в ходе лечения проводились тяжелые калечащие операции – ампутации и экзартикуляции конечностей, пятилетняя выживаемость не превышала 5-10%. В настоящее время, в связи появлением новых методов лечения и применением эффективных органосохраняющих операций, шансы пациентов на благополучный исход существенно увеличились даже при наличии метастазов в легких. Пятилетняя выживаемость при локализованной остеосаркоме в наши дни составляет более 70%, а в группе с остеогенными саркомами, чувствительными к химиотерапии, этот показатель еще выше – 80-90%.
2. Ортопедия. Руководство для практикующих врачей/ Корнилов Н.В., Грязнухин Э.Г., Осташко В.И., Редько К.Г. - 2001
Злокачественные лимфомы орбиты. Диагностика и лечение с позиции офтальмолога
Для цитирования: Гришина Е.Е. Злокачественные лимфомы орбиты. Диагностика и лечение с позиции офтальмолога. Клиническая офтальмология. 2006;7(1):14.
Malignant orbital lymphomas. Diagnostics and treatment from ophthalmologic position
E.E. Grishina
Moscow Ophthalmologic clinical hospital
Authors analyze literary data on malignant lymphomas and present own experience of treatment orbital non-Hodgkin’s lymphomas in cooperation with hematologist.
Злокачественные лимфомы подразделяются на лимфогранулематоз (болезнь Ходжкина) и неходжкинские лимфомы. Неходжкинские лимфомы – это большая гетерогенная группа опухолей различных по степени злокачественности, ответу на те или иные методы лечения и прогнозу. Используемый ранее для обозначения данной патологии термин лимфосаркома, введенный в обиход еще Вирховым, в настоящее время признан ВОЗ устаревшим.
Поражение тканей орбиты при болезни Ходжкина встречается крайне редко. Орбитальные лимфомы относятся к неходжкинским лимфомам. Их частота составляет около 4% от всех экстранодальных (внелимфатических узлов) злокачественных лимфом [4].
Преобладают первичные орбитальные лимфомы, которые встречаются в 3 раза чаще, чем вовлечение тканей орбиты в опухолевый процесс при диссеминированных лимфомах. Так, при обследовании нами 124 пациентов первичная лимфома орбиты была выявлена у 91 больного и только у 33 – поражение орбиты было симптомом диссеминированной лимфомы. Поражение орбиты при диссеминированных лимфомах обычно развивается спустя несколько лет с момента установления диагноза неходжкинской лимфомы различных органов, периферических лимфоузлов, селезенки или, что бывает значительно реже, возникает синхронно с ними. В последнем случае орбитальная опухоль нередко является первым проявлением генерализованного процесса.
Для установления диагноза злокачественной лимфомы орбиты обязательным является проведение цитологического исследования пунктата или гистологического исследования биоптата орбитальной опухоли [5]. Целесообразно производить и гистоиммунохимическое исследование с целью определения морфологического варианта лимфомы. Тщательное гематологическое обследование больного позволяет исключить или подтвердить поражение других органов и тканей. Таким образом, офтальмоонколог устанавливает диагноз орбитальной злокачественной лимфомы, онкогематолог уточняет стадию заболевания, подтверждая локальный процесс в орбите – I стадия, а при сочетанном поражении орбиты, лимфатических узлов и/или различных органов – устанавливается IV стадия заболевания
Согласно последней классификации ВОЗ, принятой в 1999 году, все неходжкинские лимфомы по происхождению разделены на две основные группы: В- и Т- клеточные варианты и на две основные группы по прогнозу – лимфомы агрессивные (высокой степени злокачественности) и лимфомы индолентные (низкой степени злокачественности) [6]. Орбитальные опухоли относятся к В-клеточным вариантам. Т- клеточные лимфомы развиваются редко и характеризуются агрессивным течением.
Интересно, что последняя классификация ВОЗ включает в себя не только опухоли, развивающихся из лимфатических узлов, но и из лимфоидной ткани различных органов – экстранодальные лимфомы. Определены новые варианты неходжкинских лимфом, в том числе В- клеточные экстранодальные лимфомы из клеток маргинальной зоны – MALT-лимфомы, т.е. опухоли, развивающиеся из лимфоидной ткани, ассоциированной со слизистыми оболочками (MALT-mucosa associated lymphoid tissue).
MALT-лимфомы (низкой степени злокачественности) обладают рядом особенностей. Эти опухоли возникают, как правило, на фоне аутоиммунного воспаления. Для них характерно вялое течение, длительные периоды ремиссии. Рецидивы, если они возникают, локализуются в экстранодальных эпителиальных тканях. Тем не менее многие исследователи полагают, что у больных MALT-лимфомами прогноз для жизни не менее серьезный, чем при других морфологических вариантах лимфом. Последнее обстоятельство связывают с возможностью MALT-лимфом трансформироваться в диффузную крупноклеточную В-клеточную лимфому высокой степени злокачественности [9].
При изучении клинических симптомов различных морфологических вариантов орбитальных лимфом мы отметили некоторые особенности [1]. Быстрые темпы роста характерны для диффузных крупноклеточных В-клеточных лимфом. Эти опухоли, возникая в разных отделах орбиты, быстро распространялись как в наружное, так и во внутреннее хирургическое пространство, заполняя всю полость орбиты. У больных диффузной крупноклеточной В-клеточной лимфомой быстрое развитие экзофтальма сопровождалось офтальмоплегией, отсутствием репозиции глаза, появлением легкого хемоза, расширением эпибульбарных сосудов, небольшим повышением внутриглазного давления до 26-30 мм рт. ст., развитием застойных явлений на глазном дне и снижением остроты зрения до 0,3-0,6. При экзофтальме большой степени и отсутствии смыкании век развивалась смешанная инъекция глазного яблока и кератопатия.
Лимфомы орбиты других морфологических вариантов характеризовались постепенным развитием экзофтальма, смещением глазного яблока в противоположную опухоли сторону, развитием птоза, затруднением репозиции, ограничением подвижности глаза. Снижение зрительных функций в связи с орбитальной опухолью не было отмечено нами ни у одного больного.
Отличаются рядом особенностей и MALT-лимфомы. Необходимо подчеркнуть, что у больных MALT-лимфомами орбиты ограничение подвижности глаза встречается значительно чаще, чем у больных лимфомами других морфологических вариантов. При одинаковых темпах роста различных лимфом орбиты экзофтальм у больных MALT-лимфомами достигал более значительных размеров.
Сегодня уже считается общепризнанным, что в большинстве случаев MALT –лимфомы являются первичными [1,3]. С другой стороны, в последние годы мы пришли к выводу, что при обнаружении в орбите локального процесса, представленного злокачественными лимфомами (диффузной крупноклеточной В–клеточной лимфомой или лимфомой из клеток зоны мантии), как правило, через несколько месяцев удается выявить признаки поражения других органов и тканей, т.е. при установлении диагноза орбитальной диффузной крупноклеточной В-клеточной лимфомы или лимфомы из клеток зоны мантии с большой вероятностm. следует ожидать генерализованный процесс.
Основным критерием для выбора того или иного вида лечения является стадия заболевания. Если традиционным методом лечения первичных лимфом орбиты является лучевая терапия, то в лечении диссеминированных лимфом с вовлечением в процесс тканей орбиты главная роль принадлежит химиотерапии. Тем не менее большая вероятность скрыто протекающего генерализованного процесса при выявлении локальной орбитальной лимфомы высокой степени злокачественности (диффузной крупноклеточной В–клеточной или из клеток зоны мантии) в последнее время вынуждает онкогематологов дополнительно к лучевой терапии назначать моно- или полихимиотерапию. В то же время в лечении первичных орбитальных лимфом низкой степени злокачественности безальтернативным методом остается дистанционная лучевая терапия – облучение гамма-лучами или фотонами [7,8,10,11].
Облучение проводится таким образом, чтобы к орбитальной опухоли подвести максимальную дозу, а оптические среды глаза вывести из зоны облучения. При локализации опухоли во внутреннем отделе орбиты облучение обычно производится с одного поля, во всех остальных случаях с двух полей. Для защиты оптических сред глаза используют свинцовый блок высотой 0,8 – 1,0 см. Блок устанавливают на подставке, прикрепленной к головке лучевого аппарата или на специальной подставке, максимально приближенной к лицу больного. Регрессия орбитальной опухоли наблюдается уже к окончанию курса лучевой терапии. Исторически сложившиеся дозы дистанционной терапии 30-40 Гр при разовой дозе 1,5-2 Гр выше, чем рекомендуемые некоторыми зарубежными авторами, однако на основании своего опыта мы пришли к выводу об эффективности и безопасности данной методики лучевой терапии. Так, при завершении лечения 80 больных неходжкинскими лимфомами орбиты мы отметили у всех больных полную регрессию орбитальной опухоли и за период наблюдения от 6 мес. до 11 лет (медиана – 6 лет) ни у одного больного не выявили локального рецидива опухоли в орбите.
Осложнения дистанционной терапии в виде кератопатии и лучевой катаракты возникали при облучении без защиты глаза, при котором преломляющие среды глаза получили от 90 до 100% от общей дозы ионизирующего излучения.
Лечение диссеминированных лимфом низкой степени злокачественности (фолликулярной, периферической мелкоклеточной) начинали с полихимиотерапии первой линии по схеме СОР (циклофосфан внутримышечно по 400 мг/м2, винкристин внутривенно 1,4 мг/м2, преднизолон 60 мг/м2 внутрь) или по схеме LVPP (винбластин внутривенно 6 мг/м2, лейкеран 6 мг/м2, натулан 100 мг/м2, преднизолон 40 мг/м2 внутрь) не менее 3 циклов. Лучевая терапия проводилась лишь в тех случаях, когда орбитальная опухоль была в данный момент времени единственным проявлением заболевания или когда химиотерапия приводила к регрессии лимфом других органов, но была недостаточно эффективной в лечении поражения орбиты. Потребность в проведении дополнительной лучевой терапии на область пораженной орбиты при лечении лимфом низкой степени злокачественности была значительно выше, чем при лечении лимфом высокой степени злокачественности. Так, стойкая общая и локальная ремиссия достигнута после 6 – 7 циклов химиотерапии только у 4 из 17 больных (23,5%) неходжкинскими лимфомами низкой степени злокачественности. В то же время у 12 из 17 больных (76,5%) локальная ремиссия лимфомы орбиты, которая выразилась в полной регрессии опухоли орбиты, была достигнута только после курса локальной лучевой терапии на область орбиты, проведенной дополнительно к химиотерапии. Срок полной локальной ремиссии составил от 6 мес. до 6 лет (медиана – 4 года). Прогрессирование заболевания с вовлечением в процесс новых групп лимфоузлов и появлением новых лимфом орбиты и придаточного аппарата глаза наблюдается лишь у одного больного.
Несколько иную картину мы наблюдали при лечении 10 больных неходжкинскими лимфомами высокой степени злокачественности. Адекватная агрессивная химиотерапия схеме СНОР (циклофосфан 750 мг/м2 адриабластин 50 мг/м2, винкристин 1,4 мг/м2 внутривенно, преднизолон 60 мг/м2 внутрь) или по схеме СОАР (циклофосфан 400 мг/м2, цитозар 50 мг/м2, винкристин 1,4 мг/м2 внутривенно, преднизолон 60 мг/м2 внутрь) привела к полной ремиссии у 6 из 10 больных. Срок полной локальной ремиссии 9 – 24 мес. (медиана – 1,5 года). При прогрессировании заболевания появлялись новые опухоли, в том числе орбиты и век. Дополнительную локальную терапию на область орбиты потребовалось провести только в двух случаях. Необходимо отметить, что у двух больных неходжкинские бластные лимфомы остались рефрактерными ко всем видам лечения. Эти больные погибли от основного заболевания в течение 6 мес. с момента его диагностики [2].
Таким образом, лечение орбитальных неходжкинских лимфом требует взаимодействия многих специалистов и, прежде всего – офтальмолога и гематолога. Задачей офтальмолога является своевременная диагностика орбитальной опухоли, взятие материала для морфологического и гистохимического исследования, мониторинг в процессе лечения, оценка местного эффекта лечения, пожизненное динамическое наблюдение больного с целью выявления и предупреждения рецидивов заболевания или лучевых осложнений.
Читайте также:
