Острый холецистит. Острый калькулезный холецистит.
Добавил пользователь Евгений Кузнецов Обновлено: 07.01.2026
Калькулезный холецистит: причины возникновения, лечение и диагностика
Современная жизнь человека при отсутствии рационального питания и возможности вести подвижный образ жизни зачастую приводит к появлению заболеваний. Одним из таких заболеваний является холецистит – это воспаление желчного пузыря. К холециститу больше предрасположены лица женского пола и люди с нарушенным обменом веществ, вызванных ожирением или заболеваниями эндокринной системы. Также развитию холецистита могут поспособствовать текущие болезни печени и органов желудочно-кишечного тракта, в некоторых случаях начало болезни могут спровоцировать травмы в области живота и позвоночника.
При калькулёзном холецистите в протоках желчного пузыря образуются камни, они блокируют его нормальную проходимость, что вызывает застой желчи. Пузырь воспаляется и отекает, сосуды переполняются кровью, он увеличивается в размерах, а при пальпации отмечается наличие болей. При постановке данного диагноза пациенту необходима своевременная и грамотная медицинская помощь. Лечение холецистита зависит от характера течения заболевания, но для начала рассмотрим причины, вызывающие холецистит.
Причины возникновения
Холецистит могут спровоцировать как отдельные, так и совокупности нескольких факторов. Можно выделить несколько основных факторов, способствующих возникновению калькулезного холецистита:
- Протоки желчного пузыря поражены гельминтами;
- Развитие или наличие острых и хронических заболеваний органов желудочно-кишечного тракта;
- Употребление большого количества жирной, жаренной и острой продукции – нарушение питания;
- Избыточная масса тела, вызванная ожирением, резкое похудение;
- Длительное внутривенное питание;
- Наследственная предрасположенность;
- Сахарные диабеты, болезнь Крона, цирроз печени;
Основные симптомы и возможные осложнения калькулезного холецистита
Появление болевого синдрома. Калькулезный холецистит зачастую проявляется через различного типа боль, возникающую в брюшной полости. Пациенты жалуются на тянущую, тупую или ноющую боль в боку. Чаще всего боли локализованы в области правого подреберья, стоит отметить, что треть пациентов жалуется на наличие болей в эпигастрии. В отдельных случаях возможно отсутствие характерной для холецистита локализации болевого синдрома. Боли при данном заболевании могут иррадиировать в поясничный отдел, в области под лопаткой, плечи, шею.
Печеночная колика. Появление печеночной колики может являться отличительным симптомом развития калькулезного холецистита. Внезапно возникшая острая боль, в области правого подреберья, характерна для латентно развивающегося холецистита. При холецистите характерны появление болей после приёма пищи, приступы тошноты и наличие горечи во рту. При остром воспалении в желчном пузыре, боль проявляющаяся в области правого подреберья, не проходит при приёме обезболивающих препаратов, далее возможно пожелтение белков глаз и кожи.
Желчная интоксикация и желтуха. Интоксикация желчными кислотами характеризуется наличием признаков желтухи у пациента. При калькулезном холецистите склеры, кожа и слизистые оболочки желтеют. Кожа больного часто зудит, при нарушении оттока желчи моча темнеет, а кал обесцвечивается. Обесцвечивание кала происходит из-за нарушения в выведении билирубина из печени в кишечник, который поступает в него вместе с желчью.
Симптомами желчной интоксикации может быть:
- Понижение артериального давления.
- Раздражительность.
- Снижение пульса в покое.
- Головные боли и нарушение сна.
Диспепсические симптомы – это первое, на что обращает внимание человек, когда начинаются проблемы в работе желчного пузыря. У пациента наступают приступы тошноты, неустойчивый стул, отрыжка, горький привкус и сухость во рту. При резком опорожнении желчного пузыря, возможно появление изжоги, в рвотных массах присутствует большое количество желчи.
Наиболее серьезными осложнениями при калькулезном холецистите можно считать:
- Закупоривание желчного протока;
- Сужение просвета фатерова сосочка;
- Развитие хронического, острого панкреатита;
- Возникновение гепатита, воспаление желчных протоков;
- Образование гноя под диафрагмой;
- Скопление гноя и нарушение целостности желчного пузыря;
- Развитие воспаления брюшной полости.
Диагностика, лечение и профилактика холецистита
Диагностика холецистита. Для постановки данного диагноза достаточно изучить клиническую картину и провести исследование УЗИ желчного пузыря, поджелудочной железы и печени. Данное исследование может показать наличие конкрементов в протоках желчного пузыря и в самом желчном пузыре. Если будет воспаление в поджелудочной железе или печени, то УЗИ это покажет. Врачом-гастроэнтерологом может быть назначена гастроскопия желудка для оценки состояния его слизистой, а также для проверки пищевода и двенадцатиперстной кишки.
Лечение калькулезного холецистита может осуществляться операционным или безоперационным способом, всё зависит от клинической картины заболевания.
Безоперационное лечение. Данный вид лечения возможен только при небольшом размере камней (до 13-15 мм) и нормальной моторике желчного пузыря. При калькулезном холецистите необходимо соблюдение правильной диеты и приём лекарственных средств. Пациенту необходимо полностью отказаться от продуктов, которые увеличивают секрецию желчи: алкоголь, газировка, острая и жирная пища. Врач-гастроэнтеролог Медицинского Центра «САНАС» назначит соответствующие гепатопротекторы, ферменты для пищеварения, спазмолитики и антибиотики.
Операционное лечение. Операцию назначают чаще всего в тех случаях, когда камни полностью забивают токи в желчном пузыре и не могут выйти естественным путем. В случае сильного поражения пузыря инфекцией, то может быть удалён и весь желчный пузырь вместе с конкрементами.
Профилактика
Для того чтобы исключить вероятность развития калькулезного холецистита необходимо тщательно следить за своим здоровьем. Особенный контроль в работе желчного пузыря следует проявлять тем людям, кто склонен к ожирению, болеет сахарным диабетом и злоупотребляет алкоголем. Лица средних и пожилых лет должны следить за своим питанием и не допускать переедания острой, жирной и жаренной пищи. Людям с сидячей работой необходимо вести активный образ жизни.
Острый холецистит
Холецистит — это воспаление стенки желчного пузыря. Оно может быть острым и хроническим. Острый холецистит — одно из наиболее распространенных заболеваний, и по частоте занимает второе место после аппендицита. Хроническое воспаление возникает в результате повторных приступов острого. Причиной его почти всегда является желчнокаменная болезнь (калькулезный холецистит).
Как развивается острый и хронический холецистит?
В возникновении острого холецистита главной причиной является инфекция. В желчный пузырь она может проникать тремя путями: через кровь, из кишечника через проток пузыря, по лимфатическим сосудам. С кровью и лимфой инфекция попадает в желчный пузырь только при нарушенной обезвреживающей функции печени. При нарушениях двигательной функции желчного протока бактерии могут попасть из кишечника.
Воспаление в желчном пузыре при попадании инфекции в желчный пузырь не происходит, если только не нарушена его двигательная функция и нет задержки желчи.
Камни, перегибы удлиненного или извитого пузырного протока, его сужение приводят к застою желчи в желчном пузыре. Острый холецистит, возникающий на почве желчнокаменной болезни, составляет 85-90%.
В результате закупорки камнем протока желчного пузыря прекращается поступление желчи в кишечник, повышается давление её на стенки пузыря. Стенки растягиваются, в них ухудшается кровоток, что способствует развитию воспаления. Причиной хронического холецистита почти всегда является желчнокаменная болезнь, когда длительно воздействуют камни на стенки желчного пузыря.
Признаки и симптомы холецистита
Острым холециститом чаще болеют лица старше 50 лет. Больные пожилого (60-74 года) и старческого (75-89 лет) возрастов составляют 40-50% от общего числа заболевших острым холециститом. Острый холецистит, как правило, начинается внезапно. Развитию острых воспалительных явлений в желчном пузыре предшествует нередко приступ желчной колики (резкой боли в правом подреберье).
Вызванный закупоркой пузырного протока камнем острый болевой приступ купируется самостоятельно, или после приема обезболивающих препаратов. Через несколько часов после купирования приступа колики проявляются все признаки острого холецистита.
Основным проявлением является сильная и постоянная боль в животе, которая по мере прогрессирования заболевания нарастает. Постоянные симптомы острого холицистита — тошнота и повторная рвота, которая не приносит облегчения больному.
Повышение температуры тела отмечается с первых дней заболевания.
Появление яркой желтухи кожи и склер указывает на препятствие нормальному оттоку желчи в кишечник, что может быть связано с закупоркой желчного протока камнем.
Частота пульса колеблется от 80 до 120 ударов в 1 мин и выше.
Частый пульс — это грозный симптом, свидетельствующий о глубокой интоксикации и тяжелых изменениях в животе. Хронический холецистит может годами протекать бессимптомно, перейти в острый или проявить себя осложнениями.
Чем опасен острый холецистит?
Осложнения встречаются в 15-20% случаев острого холецистита. К ним относятся гнойный воспалительный процесс вокруг желчного пузыря (абсцесс), гангрена, прободение желчного пузыря с развитием воспаления в животе и сепсиса, желчные свищи, сообщающие желчный пузырь с кишечником, желудком и, даже, почкой, острый панкреатит, механическая желтуха, перитонит.
Что делать, если Вы подозреваете у себя холецистит?
Больные с острым холециститом подлежат немедленной госпитализации в хирургический стационар.
Лечение острого/хронического холецистита
В настоящее время существует несколько видов операций:
- Лапароскопическая холецистэктомия.(рис 1 слева, 2, 4).
- Традиционная (открытая) холецистэктомия.(рис 1 справа)
- Холецистэктомия из минидоступа (так называемая трансмускулярная лапаротомия).(рис 3)
Все перечисленные методики имеют четкие показания для их применения и все они с успехом используются у нас в отделении.

Рис. 1 На данной схеме показаны различия в технике выполнения лапароскопической (слева) и традиционной (справа) холецистэктомии.
Рис.2. На рисунке схематично показан принцип операций, проводимых по методу единого доступа. Для такого вида лапароскопических операций требуется всего один разрез, который производится через пупок.
В разрез вводится гибкое кольцо порта единого доступа. После операции разрез зашивается, а так как пупок является естественным рубцом, то шрамов не будет.
Холецистит
Холецистит - это воспалительное заболевания желчного пузыря, следствие осложнения желчнокаменной болезни. Воспаление возникает из-за нарушения оттока желчи из желчного пузыря и наличия патогенной микрофлоры в стенке пузыря.
Им часто болеют люди старше 50 лет, но и возникают в более раннем возрасте. В научной литературе зафиксированы случаи возникновение приступа желчной колики у детей 11-15 лет. Лица пожилого возраста 60-75 лет и старческого возрастов от общего числа заболевших составляют 35-55%.
Заболевание бывает: острым (по морфологической картине делится на: катаральный, флегмонозный и гангренозный) и хроническим.

Причины возникновения
Причины развития острого холецистита:
- Нарушение оттока желчи из желчного пузыря в желчевыводящие протоки, способствующее развитию патогенной вторичной микрофлоры, нарушению кровоснабжения стенок желчного пузыря
- Закупорка пузырного протока камнем
Причины хронического холецистита:
- При наличии камня в желчном пузыре возникает периодическое воспаление, сменяющими частыми обострениями и ремиссиями, приводящее в итоге к дистрофическим изменениям стенки желчного пузыря
- Паразитарные заболевания (лямблиоз, опистархоз)
- Атеросклеротические изменения артерий, питающие стенку желчного пузыря с нарушением кровоснабжения
По этиологическому факторы холецистит бывает:
- Калькулезным (с наличием камня или групп камней в желчном пузыре)
- Некалькулезным (бескаменный)
Симптомы холецистита
Острый холецистит:
Хронический холецистит:
- Тошнота.
- Тупая ноющая боль в правом подреберье
- Горечь во рту
- Возможен длительный субфебрилитет
- Вздутие живота
- Диарея
Диагностика:
- Общий клинический анализ крови, мочи
- Общий анализ кала на копрограмму.
- Биохимический анализ крови (печенчные пробы, холестерин, щелочная фосфатаза, амилаза, глюкоза)
- УЗИ органов гепатобилиарной системы
- ЭКГ
- Холецистохолангиография
- РХПГ (эндоскопическая ретроградная холангиопанкреатография)
Лечение
- Диетотерапия (исключение продуктов, провоцирующих симптомы заболевания: газированных напитков, жирной пищи, алкоголя)
- Медикаментозные препараты:
- Спазмалитические препараты
- Сорбенты
- Препараты дезоксихолевой кислоты
- Гастроэнтерологические сборы трав
- Антибиотики
При остром холецистите требуется оперативное вмешательство -экстренная холецистэктомия.
Врачи - хирурги и гастроэнтерологи ФНКЦ ФМБА России на платном приеме, выслушают жалобы пациента, проведут осмотр и при необходимости назначат дополнительные диагностические процедуры, которые проведут здесь же. Стационар и операционные ФНКЦ ФМБА оснащены новейшим, высокотехнологичным медицинским оборудованием. Врачи - хирурги и гастроэнтерологи ФНКЦ ФМБА России проводят экстренные и плановые хирургические операции.
Острый холецистит – симптомы и лечение
Острый холецистит – самое частое осложнение желчекаменной болезни. Название cholecystitis происходит от древнегреческих слов – χολή «желчь» + κύστις «пузырь», а суффикс “-itis” в латыни означает «воспаление». Таким образом «холецистит» - воспаление желчного пузыря.
Причины
Риск острого холецистита, как и других осложнений желчекаменной болезни при бессимптомном течении довольно низок, в 99% случаев развитию холецистита предшествуют эпизоды так называемой желчной колики. Собственно, причина у этих двух состояний одна и та же – блокирование пузырного протока камнем и нарушение нормального оттока желчи из желчного пузыря.

Острое воспаление желчного пузыря
(Netter's clinical anatomy, 4th edition)
Происходит это обычно после приема жирной пищи: в ответ на поступление жиров в 12-перстную кишку, желчный пузырь сокращается, чтобы выбросить желчь, и вместе с ней происходит перемещение камня, которые застревает в пузырном протоке. Это вызывает довольно интенсивную боль, но на этом этапе воспаления еще нет, это желчная колика. Если блок желчного пузыря продолжается более 6 часов – увеличивается внутрипузырное давление, нарушается микроциркуляция в стенке желчного пузыря - начинается и прогрессирует воспалительный процесс.
Примерно у 10% пациентов может возникнуть бескаменный холецистит, при этом заболевании патогенез другой: оно развивается вследствие первичного нарушения кровоснабжения, возможен ферментативный холецистит при остром панкреатите и т.д. Но это тема для отдельной статьи.
Классификация
Исходя из выраженности острого воспалительного процесса, острый холецистит может быть обструктивным (еще его называют катаральным) или деструктивным, когда в той или иной степени уже имеется разрушение стенки (флегмонозный, гангренозный, гангренозно-перфоративный). У 10-15% пациентов вследствие деструкции стенки развиваются осложнения в виде абсцесса и перитонита. Обычно до развития этих изменений проходит несколько дней.
В своей ежедневной клинической практике мы также используем Токийскую классификацию, принятую в 2013 и усовершенствованную в 2018 г. В соответствии с ней, любой пациент с острым холециститом может быть отнесен к одной из трех групп риска или тяжести течения заболевания:
- Легкое течение (Grade I): острое воспаление желчного пузыря у соматически здоровых пациентов без сопутствующих заболеваний с умеренными воспалительными изменениями стенки
- Среднетяжелое течение (Grade II): анамнез заболевания более 72 часов, пальпируемый желчный пузырь или инфильтрат в правом подреберье, лейкоцитоз более 18х109/л, верифицированные деструктивные формы острого холецистита с развитием перипузырных осложнений или желчного перитонита
- Тяжелое течение (Grade III): острый холецистит, сопровождающийся нарушением функций жизненно важных органов и систем (сердечно-сосудистой, дыхательной, мочевыделительной, ЦНС и пр.)
Чем тяжелее течение заболевания – тем выше риск осложнений и летального исхода. Использование всемирно признанной классификации позволяет нам разрабатывать различные тактические алгоритмы помощи пациентам в зависимости от тяжести состояния, а впоследствии – работать над оптимизацией лечения вместе с коллегами во всем мире, разговаривая с ними на одном языке.
Клиническая картина и диагностика острого холецистита
В большинстве случаев клиническая картина при остром воспалении желчного пузыря довольно яркая и диагностика не вызывает трудностей.
Диагностические критерии складываются из трех больших групп:
- A) Клинические симптомы: боль в правом подреберье или верхних отделах живота, часто возникающая после приема жирной пищи, сопровождающаяся тошнотой, рвотой, болезненность при пальпации в зоне желчного пузыря, специфичные для острого холецистита симптомы (Мерфи, Ортнера и др.
- B) Признаки системной воспалительной реакции: повышение температуры тела, увеличение количества лейкоцитов, С-реактивного белка
- C) Результаты дополнительных визуализационных диагностических методов: УЗИ, МРТ, холесцинтиграфия, КТ
Наличие хотя бы одного признака из каждой группы (A+B+C) позволяет с уверенностью диагностировать острый холецистит.
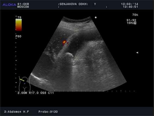
Наиболее информативно при остром холецистите, как и вообще при желчекаменной болезни - ультразвуковое исследование. Картина достаточно типичная: увеличение желчного пузыря, утолщение его стенки за счет отека, желчного пузыря, наличие жидкостных скоплений вокруг пузыря, признаков деструкции стенки

Ультразвуковая картина острого холецистита: увеличенный желчный пузырь, с отечной стенкой, блокирующий конкремент в шейке. При допплерографии определяется усиление кровотока в стенке желчного пузыря
Чаще всего УЗИ достаточно для определения тактики лечения, в редких случаях мы используем компьютерную томографию или МРТ – последнюю чаще для исключения патологии желчевыводящих протоков (холедохолитиаза и т.д.), что влияет на тактику лечения таких пациентов.
Лечение острого холецистита
В подавляющем большинстве случаев лечение острого холецистита – это операция удаления желчного пузыря.
Один из самых важных критериев – время от начала приступа. В первые 72 часа (по некоторым данным – 96) в зоне желчного пузыря ткани отечны, воспалены, но еще нет плотного воспалительного инфильтрата, который бы затруднял идентификацию анатомических структур. После этого периода развиваются выраженные воспалительные изменения окружающих тканей, что делает операцию существенно более сложной для хирурга, а значит – более рискованной для пациента, особенно учитывая множественные анатомические варианты в этой области.
Таким образом, оптимальным считаем раннюю лапароскопическую холецистэктомию – до 72 (96) ч после начала болей, мы называем этот период «золотые 72 часа». Если по каким-то причинам холецистэктомию в это время выполнить не удается (позднее обращение в клинику, трудности диагностики и т.д.), то в более поздние сроки или при выраженных воспалительных изменениях желчного пузыря и окружающих тканях (Grade 2 по Токийской классификации) лапароскопическая операция возможна лишь очень опытным хирургом при наличии соответствующего оборудования высокого уровня.
Лапароскопическая холецистэктомия. При остром холецистите крайне важно использование принципов безопасности для избежания травмы желчных протоков и крупных сосудов -->
В нашей клинике эти условия есть, и мы этих пациентов успешно оперируем. При их отсутствии – лучше прибегнуть к консервативному варианту лечения с применением антибиотиков под тщательным наблюдением хирурга, чтобы не пропустить развития перитонита и других осложнений.
Еще один вариант лечения острого холецистита – так называемая микрохолецистостомия, или дренирование желчного пузыря под ультразвуковым наведением. Обычно используем его у пациентов в тяжелом состоянии с выраженными сопутствующими заболеваниями. Это вмешательство позволяет снизить внутрипузырное давление (как мы помним, это – основной этап патогенеза) и выиграть время для подготовки пациента к операции.

Схема дренирования желчного пузыря при остром холецистите
Таким образом, острый калькулезный холецистит – осложнение желчекаменной болезни, которое требует очень взвешенного подхода к диагностике и лечению. Наилучшие результаты достижимы в клиниках с большим многолетним опытом лечения этих пациентов и экспертным уровнем выполнения операций при самых разнообразных формах этого заболевания.
В Университетской клинической больнице № 4 этот опыт есть, а ведущие эксперты клиники – постоянные участники рабочей группы, разрабатывающей национальные клинические рекомендации по острому холециститу для всех хирургов Российской Федерации.
Острый калькулезный холецистит

Острый калькулезный холецистит — острое воспаление желчного пузыря, содержащего конкременты. Распространенность. Острый калькулезный холецистит по частоте занимает второе место среди острых хирургических заболеваний органов живота. В 12-24 % случаев он осложняется холедохолитиазом, в 26—49 % механической желтухой, в 23—47 % — холангитом.
В развитии острого калькулезного холецистита ведущую роль играют проникновение в желчный пузырь инфекции и нарушение оттока желчи. Микробная флора (кишечная, синегнойная палочки, стафилококки, энтерококки) попадает в желчный пузырь восходящим (из двенадцатиперстной кишки) или нисходящим (из печени) путем, гематогенно или лимфогенно. Отток желчи нарушается при обтурации конкрементами шейки желчного пузыря или пузырного протока, холедоха, патологических процессах в периампулярной зоне. Развитию калькулезного холецистита способствуют изменения сосудов стенки желчного пузыря при атеросклерозе, повреждение его слизистой оболочки ферментами поджелудочной железы при панкреатобилиарном рефлюксе.
Морфологически различают три типа острого калькулезного холецистита: катаральный, флегмонозный и гангренозный. При катаральном холецистите желчный пузырь несколько увеличен, стенка его утолщена вследствие отека и набухания слизистой. Слизистая мутная из-за десквамации эпителия и инфильтрации ее лейкоцитами. Воспаление распространяется и на подслизистый слой. При флегмонозном холецистите стенка желчного пузыря значительно утолщена в результате обильного пропитывания воспалительным экссудатом. Слизистая резко гиперемирована, с наложениями фибрина. Пузырь намного увеличен в объеме, наполнен гнойным экссудатом, снаружи покрыт фибрином. В случае окклюзии пузырного протока камнем или вследствие отека его стенки развивается острая эмпиема желчного пузыря. При гангренозном холецистите, возникающем на фоне тромбоза пузырной артерии, происходит частичный или тотальный некроз стенки желчного пузыря. Гангрена обычно наступает на 3-4-й день заболевания. Нередко наблюдается перфорация стенки пузыря (гангренозно-перфоративный холецистит) с истечением желчи в брюшную полость и развитием желчного перитонита. Перфорация происходит чаще в области шейки желчного пузыря или кармана Гартманна, т. е. в местах наиболее частой локализации конкрементов. Все описанные патоморфологические формы острого калькулезного холецистита сопровождаются перихолециститом, который характеризуется местным или распространенным спаечным процессом, отграничивающим распространение инфекции областью правого подреберья.
Признаками острого калькулезного холецистита являются боль в правом подреберье, рвота, тошнота. Боль возникает внезапно, чаще всего после нарушения диеты,иррадиирует в правое плечо, ключицу, поясницу, подвздошную область. Интенсивность боли возрастает при малейшем физическом напряжении. Рвота у больных острым калькулезным холециститом носит рефлекторный характер, чаще многократная, не приносит облегчения. В ходе объективного осмотра пациентов выявляют сухость языка, некоторое вздутие живота и ограничение его участия в акте дыхания, выраженную болезненность и напряжение мышц в правом подреберье, особенно в точке проекции желчного пузыря: пересечение наружного края правой прямой мышцы живота с реберной дугой (точка Кера). В случае отсутствия у больных выраженного напряжения мышц брюшной стенки нередко пальпируется увеличенный, напряженный, резко болезненный желчный пузырь (симптом Партюрье). Одновременно у пациентов определяются характерные симптомы: появление или усиление болезненности при легком поколачивании внутренним краем кисти по правой реберной дуге (симптом Грекова-Ортнера); болезненность при пальпации в области правого подреберья, усиливающаяся при вдохе (симптом Кера); болезненность при надавливании на мечевидный отросток (симптом Пекарского); болезненность при пальпации между ножками кивательной мышцы справа над ключицей (симптом Мюсси, френикус-симптом); появление или усиление боли в правом подреберье при надавливании указательным пальцем между ножками кивательной мышцы справа над ключицей (симптом Георгиевского); болезненность при пальпации справа от пупка и несколько выше в проекции холедоха (симптом Яновера); болезненность при надавливании справа вблизи остистых отростков VIII-Х грудных позвонков (симптом Боаса); иррадиация боли в область сердца (холецистокардиальный симптом Боткина). Температура тела у больных острым калькулезным холециститом повышена. В крови отмечаются нейтрофильный лейкоцитоз, увеличенная СОЭ.
Выраженность клинических проявлений заболевания находится в прямо пропорциональной зависимости от степени морфологических изменений желчного пузыря. Так, наиболее бурное течение наблюдается при гангренозном холецистите. Однако у больных пожилого возраста острый калькулезный холецистит протекает атипично, что обусловлено отсутствием четкой зависимости между структурными изменениями в желчном пузыре и имеющимися клиническими проявлениями. Это связано со снижением общей реактивности организма, наличием сопутствующих заболеваний. Острый калькулезный холецистит у такой категории лиц протекает со стертой местной симптоматикой, сопровождается быстрой генерализацией основного процесса, явлениями интоксикации, высокой частотой развития осложнений. Температура тела у больных обычно субфебрильная. Выражена тахикардия. Между показателями пульса и температурой определяется несоответствие. В крови выявляется умеренный лейкоцитоз со сдвигом формулы влево.
Длительность течения острого калькулезного холецистита колеблется от 3-5 дней до нескольких недель. В большинстве случаев заболевание переходит в хроническою форму или сопровождается возникновением осложнений: обтурационного калькулезного холецистита — эмпиемы или водянки желчного пузыря; перфорации желчного пузыря (перфоративный, калькулезный холецистит) с развитием желчного перитонита, подпеченочных и поддиафрагмальных абсцессов; холангита; абсцессов печени и т. д. Осложнения, как правило, сопровождают флегмонозную и гангренозную формы острого калькулезного холецистита.
Постановка диагноза острого калькулезного холецистита основывается на данных физикального обследования, общего и биохимического анализов крови, результатов ультразвукового исследования желчного пузыря, печени, желчевыводящих путей, реже — лапароскопии и т, д. При осложнении острого калькулезного холецистита механической желтухой информативна ЭРХГ. Дифференциальная диагностика острого калькулезного холецистита. Наиболее часто острый калькулезный холецистит дифференцируют с прободной язвой, острым панкреатитом, правосторонней почечной коликой, болезнью Боткина в преджелтушном периоде, дискинезией желчных путей. Приступ правосторонней почечной, колики развивается внезапно, характеризуется наличием интенсивной боли в поясничной области, иррадиирующей в пах. В анализах мочи определяется гематурия. При ультразвуковом исследовании почек и на обзорной рентгенограмме брюшной полости в проекции почек и мочевыводящих путей обнаруживаются конкременты. В преджелтушный период болезни Боткина преобладают общая слабость, снижение аппетита, тошнота, чувство тяжести в эпигастрии и в правом подреберье, повышение температуры тела до 38 °С. Затем постепенно нарастает паренхиматозная желтуха: вначале желтушную окраску приобретают склеры, мягкое небо, а позже и кожа. Увеличиваются печень и селезенка. В крови повышено содержание прямого билирубина и снижено — холестерина, увеличена активность трансаминаз. Выявляется уробилинурия. Проявления дискинезий желчных путей разнообразны, что связано с существованием нескольких их форм: 1) атония и гипотония желчного пузыря; 2) гипертонический желчный пузырь; 3) спазм сфинктера Одди; 4) атония сфинктера Одди. Атонический желчный пузырь сопровождается постоянным чувством тяжести, боли в правом подреберье, рвотой с примесью желчи.
При ультразвуковом и рентгеноконтрастном исследованиях желчный пузырь резко увеличен. При гипертоническом желчном пузыре часты приступы печеночной колики. За счет повышения тонуса мускулатуры стенки желчный пузырь приобретает шаровидную форму. Гипертония сфинктера Одди протекают в виде четырех форм — желтушной, болевой с коликами, лихорадочной и бессимптомной. Для атонии и недостаточности сфинктера Одди характерны слабое контрастирование желчных протоков при обычном рентгеноконтрастном исследовании желчевыводящей системы с одновременным скоплением большого количества контраста в двенадцатиперстной кишке. Однако после подкожного введения, морфина тень проекции желчного пузыря становится четкой. При постановке диагноза острого калькулезного холецистита следует помнить о некоторой сходности клинических проявлений заболевания с таковыми при острой кишечной непроходимости, тромбозе мезентериальных сосудов, инфаркте миокарда, пневмонии и плеврите.
Для консервативного лечения острого калькулезного холецистита используют анальгетики, спазмолитики, антихолинергические средства, антигистаминные препараты, антибиотики широкого спектра действия, антиоксиданты и т. д. Проводят новокаиновые блокады (субксифоидальную, круглой связки печени, паранефральную и др.), промывание и местную гипотермию желудка. По показаниям назначают лечение сопутствующих заболеваний. Корригируются нарушения КЩС и электролитного обмена (поляризующие смеси, панангин, 4 % раствор натрия бикарбоната); диспротеинемия (альбумин, протеин, аминокислотные смеси, плазма); проводится дезинтоксикационная терапия (форсированный диурез). Для инфузионно- трансфузионной терапии целесообразно катетеризировать центральную вену, что позволяет провести коррекцию гемостаза в короткие сроки.
Пациентам со значительной степенью операционного риска . целесообразно провести двухэтапное лечение. Группу риска составляют больные, имеющие возраст старше 60 лет, суб- и де- компенсированные формы острой и хронической сосудистой, легочной, почечной или печеночной недостаточности; острый или перенесенный инфаркт миокарда; острые или остаточные явления перенесенного ранее нарушения мозгового кровообращения; бронхиальную астму; выраженные изменения в легких (эмфизема, острая и хроническая пневмония, острый и хронический бронхит и др.); флеботромбоз глубоких вен нижних конечностей; сахарный диабет средней и тяжелой степени тяжести; заболевания сердца с недостаточностью кровообращения 2-3-й стадии; мерцательную аритмию; острый холецистит, осложненный механической желтухой, холангитом; острый холецистит длительностью более 5 суток. На первом этапе производится декомпрессия желчного пузыря одним из известных методов: чрескожно чреспеченочно (через край печени) под контролем УЗИ или лапароскопии; с помощью лапароскопической микрохолецистостомии или холецистостомии из минилапаротомного доступа. Декомпрессия желчного пузыря в сочетании с проведением общего лечения дает возможность предупредить прогрессирование деструктивного процесса в его стенке, а также и в желчных протоках и вывести пациентов из состояния тяжелой интоксикации в течение 3-5 дней. Кроме того, чрездренажная холецистохолангиография позволяет установить хирургическую анатомию желчного пузыря и желчных путей, знание которых необходимо для определения объема последующей операции.
Во время второго этапа после купирования острого воспаления в стенке желчного пузыря, полного обследования и комплексной предоперационной подготовки больным выполняется плановая холецистэктомия. При отказе пациентов от операции оставшиеся в просвете желчного пузыря конкременты создают реальную опасность развития очередного приступа острого холецистита. Вместе с тем больным с крайне высокой степенью операционно-анестезиологического риска назначается симптоматическое консервативное лечение. Операцией выбора при остром калькулезном холецистите является холецистэктомия: лапароскопическая или открытая в сочетании с корригирующими вмешательствами на внепеченочных желчных путях (при необходимости). В качестве операционного доступа при открытой холецистэктомии используется верхняя срединная лапаротомия или косой разрез в правом подреберье. Выбор способа удаления желчного пузыря зависит от опыта хирурга, технической оснащенности операционной, характера воспалительных изменений в желчном пузыре и окружающих тканях.
Результаты холецистэктомии при остром калькулезном холецистите во многом зависят от состояния желчных протоков. Поэтому всем больным с данным заболеванием до хирургического вмешательства необходимо осуществить комплексное обследование желчных путей: УЗИ, ЭРХГ, внутривенную холецистохолангиографию. В том случае, если осуществить комплексное обследование пациентов в дооперационном периоде не представляется возможным (экстренная операция), состояние желчных путей должно оцениваться в ходе операции. Наиболее информативным методом интраоперационной оценки проходимости желчных протоков во время лапароскопической холецистэктомии является интраоперационная холангиография. Показаниями к ее выполнению у больных острым калькулезным холециститом служат: 1) желтуха в анамнезе при диаметре холедоха до 7-8 мм по данным УЗИ; 2) расширение внепеченочных желчных протоков более 7-8 мм, обнаруженное во время операции; 3) диаметр пузырного протока более 2 мм; 4) мелкие (до 1-2 мм) конкременты в желчном пузыре; 5) изменение анатомии внепеченочных желчных протоков и трудности препаровки в области треугольника Кало; 6) отсутствие визуализации желчных протоков за счет отека гепатодуоденальной связки; 7) невозможность применить ЭРХГ в дооперационном периоде при наличии соответствующих показаний. В случае установления патологии желчных путей, большого дуоденального сосочка производится соответствующая корригирующая операция. Так, у больных со стенозом фатерова сосочка и холедохолитиазом в послеоперационном периоде выполняется эндоскопическая пагкиллосфинктеротомия. В случае рубцовой стриктуры холедоха осуществляется переход на открытую операцию с формированием одного из вариантов билиодигестивного анастомоза.
Читайте также:
