Переломы диафиза локтевой и лучевой кости
Добавил пользователь Владимир З. Обновлено: 27.01.2026
Переломы костей предплечья составляют 11,5–30,5% от общего числа закрытых повреждений.
Классификация • Перелом локтевого отростка • Перелом венечного отростка • Перелом головки и шейки лучевой кости • Изолированный перелом локтевой кости • Изолированный перелом диафиза лучевой кости • Перелом обеих костей предплечья • Перелом локтевой кости с вывихом головки лучевой кости • Перелом лучевой кости с вывихом головки локтевой кости • Перелом лучевой кости «в типичном месте».
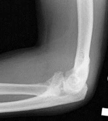
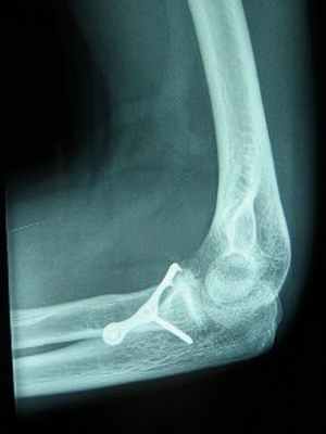
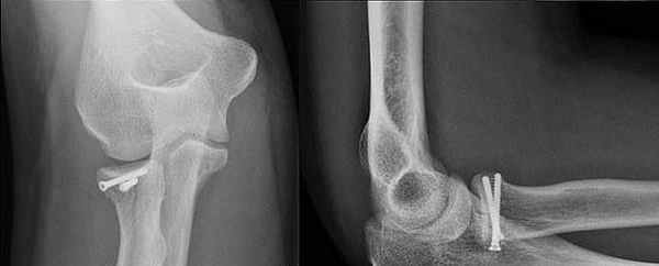
Перелом локтевого отростка • Причины: прямая травма, резкое сокращение трёхглавой мышцы плеча • Клиническая картина: припухлость локтевого сустава, рука выпрямлена, свисает; пассивные движения причиняют боль, активное разгибание при переломе со смещением невозможно, треугольник Хютера деформирован, вершина локтевого отростка находится выше линии, соединяющей надмыщелки плеча • Лечение •• Переломы без смещения: гипсовая повязка на 3–4 нед в положении сгибания предплечья в локтевом суставе на 90–110°, в среднем положении между пронацией и супинацией •• Перелом со смещением более 5 мм — остеосинтез •• ЛФК.
Перелом венечного отростка • Причина: падение на согнутый локтевой сустав • Клиническая картина: припухлость и гематома на передней поверхности локтевого сустава, ограничено максимальное сгибание предплечья, локальная болезненность внутренней поверхности локтевой ямки • Лечение. Гипсовая лонгета в положении сгибания под прямым углом на 3–4 нед, при больших отломках — остеосинтез.
Перелом головки и шейки лучевой кости • Причина: падение на вытянутую руку • Клиническая картина: припухлость и болезненность над плечелучевым суставом, ограничено разгибание, резкая болезненность при ротации предплечья кнаружи и осевой нагрузке • Лечение. При переломах без смещения — гипсовая лонгета в положении сгибания предплечья на 90–100° на 3 нед. При смещении — остеосинтез или удаление головки лучевой кости (при неэффективности репозиции, раздроблении головки).
Изолированный перелом диафиза локтевой кости • Причина: прямая травма • Клиническая картина. Деформация, припухлость, локальная болезненность, патологическая подвижность, резкая болезненность при осевой нагрузке и сдавлении с боковых поверхностей предплечья, активные движения в локтевом суставе ограничены • Лечение. Гипсовая повязка на 4–6 нед в положении сгибания предплечья под прямым углом в среднем положении между супинацией и пронацией. При смещении отломков — предварительная репозиция, фиксация до 6 нед.
Изолированный перелом диафиза лучевой кости • Причина: прямая травма • Клиническая картина. Деформация, припухлость, локальная болезненность, патологическая подвижность, резкая болезненность при осевой нагрузке, ротации и сдавлении с боковых поверхностей предплечья, отсутствие активной пронации и супинации • Лечение. При переломах в верхней и средней третях — гипсовая повязка в положении сгибания предплечья под прямым углом и в положении супинации. При переломах в нижней трети — гипсовая повязка в среднем положении между пронацией и супинацией. Иммобилизация в течение 4–5 нед. При смещении отломков — предварительная репозиция, фиксация до 6 нед.
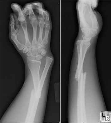
Перелом обеих костей предплечья • Частота — 53% всех переломов костей верхней конечности • Причина: прямая и непрямая травмы • Патоморфология. Характерно сближение отломков лучевой и локтевой кости из-за сокращения межкостной мембраны • Клиническая картина. Больной фиксирует повреждённую руку здоровой рукой. Характерна деформация и укорочение конечности, резкая болезненность при пальпации, осевой нагрузке, сжатии предплечья на удалении от перелома, патологическая подвижность • Лечение •• При переломах без смещения — лонгетно-циркулярная гипсовая повязка в среднем положении предплечья между супинацией и пронацией, тыльном сгибании кисти под углом 25–35° до 8 нед •• При переломах со смещением — одномоментная репозиция ручным способом или с помощью дистракционного аппарата, фиксация гипсовой повязкой на 8–10 нед, чрескостный компрессионно-дистракционный остеосинтез •• При переломах в верхней трети руку иммобилизируют в положении максимальной супинации, в средней трети — в положении полупронации, в нижней трети — вправление в положении пронации, затем переводят в положение полупронации •• Оперативное лечение (остеосинтез) показано при интерпозиции мягких тканей, смещении отломков более чем на половину диаметра, вторичном и угловом смещении костей. Иммобилизация в послеоперационном периоде в положении сгибания предплечья под прямым углом на срок до 10–12 нед.
Перелом локтевой кости с вывихом головки лучевой кости (перелом Монтеджа) • Причины: падение на руку, отражение удара поднятым вперёд и вверх согнутым под прямым углом предплечьем • Патоморфология. Различают сгибательный (головка лучевой кости смещена кпереди, отломки локтевой кости — кзади; образуется угол, открытый кпереди) и разгибательный (головка лучевой кости вывихнута кзади и кнаружи, отломки локтевой кости смещены кпереди; образуется угол, открытый кзади) переломы • Клиническая картина. Характерная деформация (западение со стороны локтевой кости и выбухание со стороны лучевой), укорочение конечности, обнаружение при пальпации перелома локтевой и вывихнутой головки лучевой костей, отсутствие активных движений, боль и пружинящее сопротивление при пассивном сгибании. Возможно повреждение лучевого нерва. Необходима обязательная рентгенография с захватом локтевого сустава и области перелома • Лечение •• Сгибательный перелом — репозиция и вправление вывиха в положении разгибания, фиксация конечности в положении разгибания руки и супинации предплечья на 6–8 нед. При невозможности одномоментной репозиции — оперативное вправление вывиха и остеосинтез •• Разгибательный перелом — репозиция и вправление вывиха в положении супинации, гипсовая повязка (4–5 нед в положении супинации, 4–6 нед в среднем положении между супинацией и пронацией). Оперативное лечение при невозможности одномоментной репозиции (разрыв кольцевидной связки, интерпозиция мягких тканей).
Перелом лучевой кости с вывихом головки локтевой кости (перелом Галеацци) • Причины: падение на вытянутую руку, удары по предплечью • Патоморфология: лучевая кость ломается в нижней трети, её отломки смещаются кпереди (дистальный отломок дополнительно занимает положение пронации из-за сокращения мышц), образуя угол, открытый кзади; головка локтевой кости смещается в ладонную или тыльную сторону • Клиническая картина: характерная деформация (западение на тыльной поверхности предплечья с лучевой стороны и выпячивание на ладонной), искривление оси лучевой кости, пальпируется головка лучевой кости на локтевой стороне лучезапястного сустава, болезненность при пальпации и осевой нагрузке. Надавливание на головку лучевой кости вызывает вправление, при прекращении давления головка снова вывихивается. Необходимо проводить в обязательном порядке рентгенографию с захватом лучезапястного сустава • Лечение: репозиция, гипсовая повязка на 8–10 нед, при неэффективности консервативного лечения — открытая репозиция и остеосинтез лучевой кости, открытое вправление головки локтевой кости.
Перелом лучевой кости «в типичном месте» — перелом лучевой кости на 2–3 см проксимальнее суставной поверхности • Частота. 15–20% всех переломов. У пожилых женщин возникает в 2–3 раза чаще, чем у мужчин • Причины: падение на вытянутую руку с согнутой кистью • Патоморфология •• При падении на кисть в положении разгибания возникает разгибательный перелом Коллиса — дистальный отломок смещается в тыльную и лучевую сторону и супинирует, центральный смещается в ладонно-локтевую сторону •• При падении на кисть в положении ладонного сгибания возникает сгибательный перелом Смита — дистальный отломок смещается в ладонную сторону и пронирует, центральный — в тыльную сторону и супинирует • Клиническая картина: вилкообразная или штыкообразная деформация, при переломе Коллиса пальпируется на тыльной поверхности дистальный отломок, на ладонной — проксимальный, при переломе Смита дистальный отломок пальпируется на ладонной поверхности, проксимальный — на тыльной; резкая болезненность при пальпации лучевой кости и шиловидного отростка, осевой нагрузке. Часто повреждаются срединный нерв, межкостные ветви срединного и лучевого нервов (неврит Турнера) — резкие боли, парестезии, зоны анестезии, остеопороз костей кисти, ограничение движения IV пальца • Лечение •• Перелом без смещения — гипсовая лонгета (предплечье в среднем положении между супинацией и пронацией, кисть — лёгкое тыльное сгибание) на 3–4 нед •• Переломы со смещением — ручная или аппаратная репозиция, гипсовая повязка на 4–5 нед •• Неврит Турнера — витамины группы В, неостигмина метилсульфат, анаболические гормоны, тиреокальцитонин, прокаин внутрикостно.
МКБ-10 • S52 Перелом костей предплечья
Код вставки на сайт
Переломы костей предплечья
Переломы костей предплечья составляют 11,5–30,5% от общего числа закрытых повреждений.
Классификация • Перелом локтевого отростка • Перелом венечного отростка • Перелом головки и шейки лучевой кости • Изолированный перелом локтевой кости • Изолированный перелом диафиза лучевой кости • Перелом обеих костей предплечья • Перелом локтевой кости с вывихом головки лучевой кости • Перелом лучевой кости с вывихом головки локтевой кости • Перелом лучевой кости «в типичном месте».
Перелом локтевого отростка • Причины: прямая травма, резкое сокращение трёхглавой мышцы плеча • Клиническая картина: припухлость локтевого сустава, рука выпрямлена, свисает; пассивные движения причиняют боль, активное разгибание при переломе со смещением невозможно, треугольник Хютера деформирован, вершина локтевого отростка находится выше линии, соединяющей надмыщелки плеча • Лечение •• Переломы без смещения: гипсовая повязка на 3–4 нед в положении сгибания предплечья в локтевом суставе на 90–110°, в среднем положении между пронацией и супинацией •• Перелом со смещением более 5 мм — остеосинтез •• ЛФК.
Перелом венечного отростка • Причина: падение на согнутый локтевой сустав • Клиническая картина: припухлость и гематома на передней поверхности локтевого сустава, ограничено максимальное сгибание предплечья, локальная болезненность внутренней поверхности локтевой ямки • Лечение. Гипсовая лонгета в положении сгибания под прямым углом на 3–4 нед, при больших отломках — остеосинтез.
Перелом головки и шейки лучевой кости • Причина: падение на вытянутую руку • Клиническая картина: припухлость и болезненность над плечелучевым суставом, ограничено разгибание, резкая болезненность при ротации предплечья кнаружи и осевой нагрузке • Лечение. При переломах без смещения — гипсовая лонгета в положении сгибания предплечья на 90–100° на 3 нед. При смещении — остеосинтез или удаление головки лучевой кости (при неэффективности репозиции, раздроблении головки).
Изолированный перелом диафиза локтевой кости • Причина: прямая травма • Клиническая картина. Деформация, припухлость, локальная болезненность, патологическая подвижность, резкая болезненность при осевой нагрузке и сдавлении с боковых поверхностей предплечья, активные движения в локтевом суставе ограничены • Лечение. Гипсовая повязка на 4–6 нед в положении сгибания предплечья под прямым углом в среднем положении между супинацией и пронацией. При смещении отломков — предварительная репозиция, фиксация до 6 нед.
Изолированный перелом диафиза лучевой кости • Причина: прямая травма • Клиническая картина. Деформация, припухлость, локальная болезненность, патологическая подвижность, резкая болезненность при осевой нагрузке, ротации и сдавлении с боковых поверхностей предплечья, отсутствие активной пронации и супинации • Лечение. При переломах в верхней и средней третях — гипсовая повязка в положении сгибания предплечья под прямым углом и в положении супинации. При переломах в нижней трети — гипсовая повязка в среднем положении между пронацией и супинацией. Иммобилизация в течение 4–5 нед. При смещении отломков — предварительная репозиция, фиксация до 6 нед.
Перелом обеих костей предплечья • Частота — 53% всех переломов костей верхней конечности • Причина: прямая и непрямая травмы • Патоморфология. Характерно сближение отломков лучевой и локтевой кости из-за сокращения межкостной мембраны • Клиническая картина. Больной фиксирует повреждённую руку здоровой рукой. Характерна деформация и укорочение конечности, резкая болезненность при пальпации, осевой нагрузке, сжатии предплечья на удалении от перелома, патологическая подвижность • Лечение •• При переломах без смещения — лонгетно-циркулярная гипсовая повязка в среднем положении предплечья между супинацией и пронацией, тыльном сгибании кисти под углом 25–35° до 8 нед •• При переломах со смещением — одномоментная репозиция ручным способом или с помощью дистракционного аппарата, фиксация гипсовой повязкой на 8–10 нед, чрескостный компрессионно-дистракционный остеосинтез •• При переломах в верхней трети руку иммобилизируют в положении максимальной супинации, в средней трети — в положении полупронации, в нижней трети — вправление в положении пронации, затем переводят в положение полупронации •• Оперативное лечение (остеосинтез) показано при интерпозиции мягких тканей, смещении отломков более чем на половину диаметра, вторичном и угловом смещении костей. Иммобилизация в послеоперационном периоде в положении сгибания предплечья под прямым углом на срок до 10–12 нед.
Перелом локтевой кости с вывихом головки лучевой кости (перелом Монтеджа) • Причины: падение на руку, отражение удара поднятым вперёд и вверх согнутым под прямым углом предплечьем • Патоморфология. Различают сгибательный (головка лучевой кости смещена кпереди, отломки локтевой кости — кзади; образуется угол, открытый кпереди) и разгибательный (головка лучевой кости вывихнута кзади и кнаружи, отломки локтевой кости смещены кпереди; образуется угол, открытый кзади) переломы • Клиническая картина. Характерная деформация (западение со стороны локтевой кости и выбухание со стороны лучевой), укорочение конечности, обнаружение при пальпации перелома локтевой и вывихнутой головки лучевой костей, отсутствие активных движений, боль и пружинящее сопротивление при пассивном сгибании. Возможно повреждение лучевого нерва. Необходима обязательная рентгенография с захватом локтевого сустава и области перелома • Лечение •• Сгибательный перелом — репозиция и вправление вывиха в положении разгибания, фиксация конечности в положении разгибания руки и супинации предплечья на 6–8 нед. При невозможности одномоментной репозиции — оперативное вправление вывиха и остеосинтез •• Разгибательный перелом — репозиция и вправление вывиха в положении супинации, гипсовая повязка (4–5 нед в положении супинации, 4–6 нед в среднем положении между супинацией и пронацией). Оперативное лечение при невозможности одномоментной репозиции (разрыв кольцевидной связки, интерпозиция мягких тканей).
Перелом лучевой кости с вывихом головки локтевой кости (перелом Галеацци) • Причины: падение на вытянутую руку, удары по предплечью • Патоморфология: лучевая кость ломается в нижней трети, её отломки смещаются кпереди (дистальный отломок дополнительно занимает положение пронации из-за сокращения мышц), образуя угол, открытый кзади; головка локтевой кости смещается в ладонную или тыльную сторону • Клиническая картина: характерная деформация (западение на тыльной поверхности предплечья с лучевой стороны и выпячивание на ладонной), искривление оси лучевой кости, пальпируется головка лучевой кости на локтевой стороне лучезапястного сустава, болезненность при пальпации и осевой нагрузке. Надавливание на головку лучевой кости вызывает вправление, при прекращении давления головка снова вывихивается. Необходимо проводить в обязательном порядке рентгенографию с захватом лучезапястного сустава • Лечение: репозиция, гипсовая повязка на 8–10 нед, при неэффективности консервативного лечения — открытая репозиция и остеосинтез лучевой кости, открытое вправление головки локтевой кости.
Перелом лучевой кости «в типичном месте» — перелом лучевой кости на 2–3 см проксимальнее суставной поверхности • Частота. 15–20% всех переломов. У пожилых женщин возникает в 2–3 раза чаще, чем у мужчин • Причины: падение на вытянутую руку с согнутой кистью • Патоморфология •• При падении на кисть в положении разгибания возникает разгибательный перелом Коллиса — дистальный отломок смещается в тыльную и лучевую сторону и супинирует, центральный смещается в ладонно-локтевую сторону •• При падении на кисть в положении ладонного сгибания возникает сгибательный перелом Смита — дистальный отломок смещается в ладонную сторону и пронирует, центральный — в тыльную сторону и супинирует • Клиническая картина: вилкообразная или штыкообразная деформация, при переломе Коллиса пальпируется на тыльной поверхности дистальный отломок, на ладонной — проксимальный, при переломе Смита дистальный отломок пальпируется на ладонной поверхности, проксимальный — на тыльной; резкая болезненность при пальпации лучевой кости и шиловидного отростка, осевой нагрузке. Часто повреждаются срединный нерв, межкостные ветви срединного и лучевого нервов (неврит Турнера) — резкие боли, парестезии, зоны анестезии, остеопороз костей кисти, ограничение движения IV пальца • Лечение •• Перелом без смещения — гипсовая лонгета (предплечье в среднем положении между супинацией и пронацией, кисть — лёгкое тыльное сгибание) на 3–4 нед •• Переломы со смещением — ручная или аппаратная репозиция, гипсовая повязка на 4–5 нед •• Неврит Турнера — витамины группы В, неостигмина метилсульфат, анаболические гормоны, тиреокальцитонин, прокаин внутрикостно.
Переломы костей предплечья.
Причины
Причины перелома костей предплечья в зависимости от локализации:
• лучевой кости в типичном месте возникает вследствие падения на прямую руку с упором на ладонь. Немного реже такого рода перелом возникает при падении на тыльную часть ладони. Более распространены такие переломы среди людей, страдающих заболеваниями костей, снижающими их плотность. В большинстве случаев кость ломается на пару сантиметров выше лучезапястного сустава;
• средней части, или диафиза обеих костей предплечья, довольно частое повреждение. Возникает как следствие падения на руку или сильного удара по предплечью;
• диафиза локтевой кости возникает как следствие удара по предплечью;
• диафиза лучевой кости возникает как следствие удара по предплечью;
• головки либо шейки лучевой кости возникает вследствие падения на прямую руку;
• Монтеджа возникает вследствие отражения удара согнутым и поднятым предплечьем, либо падения на прямую руку;
• Галеацци возникает при ударе по предплечью либо при падении на прямую руку;
• локтевого отростка возникает вследствие резкого сокращения мышцы, разгибающей предплечье, падения или удара в область локтя;
• венечного отростка возникает как следствие падения на согнутый локоть.
Лечение
Первая помощь при переломах костей предплечья заключается в обезболивании, фиксации поврежденной конечности. В течение нескольких часов рекомендуют наложение холода для предотвращения развития отека. Больной доставляется к врачу.
При переломе локтевого и венечного отростка без смещения накладывают гипсовую повязку сроком на 3-4 недели. При смещении фрагментов больше чем на 5мм при переломе локтевого отростка проводят оперативное вмешательство методом остеосинтеза (соединение костных отломков при помощи фиксирующих конструкций, которые обеспечивают неподвижность костных фрагментов). При вклинивании осколка в локтевой сустав при переломе венечного отростка оперативно удаляют этот фрагмент.
При несмещенном переломе головки и шейки лучевой кости на согнутый локтевой сустав накладывают лонгет с фиксацией лучезапястного и локтевого сустава и до середины плеча сроком на три недели. При смещении показан остеосинтез.
При диафизарном переломе локтевой и лучевой кости, не осложненной смещением, предплечье фиксируют в положении сгиба с захватом лучезапястного и локтевого суставов сроком на пять недель. При переломе со смещением выполняют репозицию (восстановление правильного положения смещенных отломков кости) и накладывают гипсовую повязку сроком до шести недель.
При диафизарном переломе обеих костей предплечья без смещения на руку, согнутую в локте, накладывают лонгет, захватывая лучезапястный и локтевой сустав сроком до восьми недель. При смещении отломков проводят репозицию или остеосинтез в зависимости от тяжести повреждения. После оперативного вмешательства накладывают гипсовую повязку сроком до трех месяцев.
Хирургическое лечение в нашей клинике:
В ходе этой операции устраняют смещение отломков и скрепляют кость металлической конструкцией, выбор которой определяется характером перелома.
Операционный доступ: 1. Доступ Томсона; 2. Доступ Генри; 3. Доступ к локтевой кости.
Положение пациента на спине. Обезболивание: проводниковая анестезия или эндотрахеальный наркоз. Операция выполняется в кратчайшие сроки с использованием современных методик и имплантов. Импланты производства Швейцария и Германия. Материал имплантов: титан или медицинская сталь.
Перелом диафизов костей предплечья
Диафиз – это часть кости, которая располагается в середине между суставами.
Перелом в этой области в основном возникает при падении на руку, либо при прямой травме – ударе по руке и т.п.
Симптомы перелома общеизвестны – появляется резкая боль, которая усиливается при попытке движения, может возникнуть отек.
Часто происходят переломы диафиза обеих костей предплечья - лучевой и локтевой. Эти кости отвечают за ротационные движения руки , то есть обеспечивают вращательные движения кисти. Поэтому при лечении переломов диафиза очень важно правильно сопоставить отломки и предотвратить их повторное смещение.
Консервативное лечение перелома диафиза лучевой и/или локтевой кости (лечение в гипсовой повязке)
Гипсовая повязка при подобных переломах используется в том случае, когда нет смещения отломков, или оно крайне незначительно. Гипс накладывается на 6-8 недель, руку необходимо держать на косыночной повязке. После того, как гипс снят, может потребоваться физиотерапия, направленная на улучшение состояния мягких тканей, лечебная физкультура для разработки локтевого и лучезапястного суставов.
Оперативное лечение диафиза лучевой и/или локтевой кости
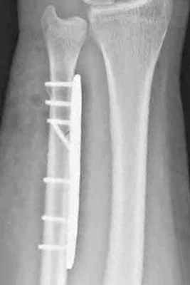
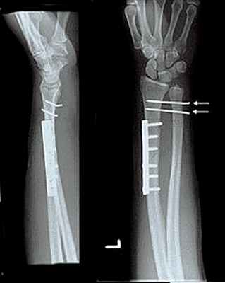
Переломы без смещения или с незначительным смещением в этой области достаточно редки, поэтому большинство подобных переломов требует оперативного лечения. Оно заключается в фиксации отломков (остеосинтез). Возможные варианты фиксации - установка пластины на кость или специальных штифтов (стрежней) внутрь кости. Метод выбирается по показаниям – в зависимости от величины отека, смещения отломков и других факторов (возраст, род занятий пациента).
Остеосинтез лучевой/локтевой кости пластиной
После выставления отломков в правильное положение металлическая пластина фиксируется на кости с помощью специальных винтов, не давая отломкам сместиться. Если сломаны и лучевая, и локтевая кость, устанавливается две пластины. После операции на руку накладывается защитная гипсовая лонгета, в среднем – на 2-3 недели. Средний срок госпитализации при подобном оперативном вмешательстве – 7 дней. После выписки необходимо делать перевязки в амбулаторном режиме (в поликлинике). Через 2-3 недели лонгета снимается, и назначается курс восстановительного лечения – лечебная физкультура, физиотерапия. Пластины удаляются в среднем через год.
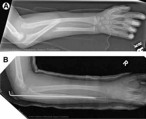
Остеосинтез лучевой/локтевой кости штифтом (стержнем)
Лучевая и локтевая кости по строению изнутри полые. И если пластина ставится на кость, то штифт вводится внутрь кости. Для установки штифта делаются несколько небольших разрезов (проколов кожи) - в области лучезапястного и локтевого суставов. Удаляют штифты примерно через год. Полноценные нагрузки, в т. ч. Спортивные, вне зависимости от выбранного метода остеосинтеза, можно начинать не менее чем через три месяца.
Переломы диафиза локтевой и лучевой кости
Переломы диафизов локтевой и лучевой кости часто возникают вследствие прямой травмы. Возможны сопутствующие вывихи.
Переломы лучевой и локтевой костей часто вызваны прямыми ударами по предплечью (например, во время контактных видов спорта, падений или защитных действий во время нападения). Сопутствующие вывихи могут быть результатом сил, передающихся через межкостную мембрану между лучевой и локтевой костями.
Здравый смысл и предостережения
При переломах проксимального отдела локтевой кости всегда следует искать связанный с этим вывих головки лучевой кости.
Распространенными являются изолированные переломы середины лучевой или середины локтевой костей.
Переломы Монтеджи - проксимальные переломы локтевой кости с вывихом головки лучевой кости.
Переломы Галеацци представляют собой переломами дистального отдела лучевой кости со вывихом дистального лучезапястного сустава.
Клинические проявления
Переломы лучевой и локтевой кости могут вызывать боль, деформацию, экхимозы и отек в месте повреждения.
Диагноз
Переднезадняя и боковая рентгенограммы
Переломы диафизов лучевой и локтевой кости диагностируются с помощью рентгенографии в передне-задней и боковой проекциях. При подозрении на перелом следует также осмотреть локтевой и лучезапястный суставы и, при необходимости, провести рентгенографию.
Вывих головки лучевой кости легко пропустить при переломах Монтеджи, поскольку перелом настолько очевиден, что, в случае выявления перелом проксимального отдела локтевой кости, его необходимо особенно тщательно обследовать. Головка лучевой кости, как правило, видна за пределами ее нормального сочленения с головкой плечевой кости (capitulum). При переломах Монтеджи радиокапителлярная линия (линия, соединяющая шейку лучевой кости и головку плечевой кости), также не выровнена правильно, что указывает на вывих (см. рисунок Передняя плечевая линия и радиокапителлярная линия Передняя плечевая и радиокапителлярная линии ). Если при переломах Галеацци (аналогично переломам Монтеджи) есть перелом дистального диафиза лучевой кости, то легко пропустить вывих дистального лучелоктевого сустава, поэтому на него следует обратить особое внимание.
Лечение
При изолированных переломах лучевой и локтевой костей – закрытая репозиция и шинирование с последующим амбулаторным ортопедическим контролем
При травмах Монтеджи и Галеацци обычно показана неотложная ортопедическая консультация и открытая репозиция с внутренней фиксацией (ORIF)
Большинство изолированных переломов лучевой и локтевой кости можно лечить путем закрытой репозиции и шинирования с последующим направлением на ортопедическое лечение.
При переломах Монтеджии и Галеацци необходима срочная консультация ортопеда, и, для сопоставления фрагментов кости, обычно требуется ОРВФ.
Основные положения
Переломы лучевой и локтевой костей обычно являются результатом прямого воздействия на предплечье.
Сделайте переднезаднюю и боковую рентгенограммы
При изолированном переломе средней части лучевой или локтевой кости, всегда рассмотрите вероятность наличия сопутствующего вывиха запястья и локтя.
Проводите лечение с закрытой репозицией и проконсультируйтесь с ортопедом.
Авторское право © 2022 Merck & Co., Inc., Rahway, NJ, США и ее аффилированные лица. Все права сохранены.
Переломы костей предплечья
Переломы костей предплечья составляют до 30% общего числа закрытых повреждений и относятся к тяжелым и сложным переломам.
Сочленения локтевой и лучевой костей, образующих предплечье, входят в состав двух суставов – локтевого и лучезапястного. На протяжении эти кости соединены межкостной мембраной, натяжением которой обусловлено сближающее смещение костей при переломе диафиза, что не наблюдается при переломах диафизов других сегментов.
Сложности устранения этой деформации – причина необходимости оперативного лечения переломов костей предплечья.


Переломы костей предплечья подразделяются на:
1) переломы проксимального отдела костей предплечья
— переломы локтевого отростка локтевой кости


















Государственная клиническая больница №29 им. Н.Э.Баумана – это современная многопрофильная высокотехнологичная больница с уникальной полуторавековой историей и традицией, оказывающая высококачественную медицинскую помощь в круглосуточном режиме.
м. «Семеновская» — трамваи 43 и 46 (ост. «Солдатская улица»), трамвай 32 (ост. «Госпитальная площадь»);
- Роддом №29
- Корпус 10
- Корпус 3
- Корпус 4
- Корпус 2
- Корпус 15
- Корпус 39
- Корпус 37
- Корпус 38
- Корпус 29
- Корпус 27
1 этаж - Консультативно-диагностический центр; Приемное отделение хирургии верхней конечности (предплечья и кисти)
2-3 этаж - Оториноларингологическое отделение (ЛОР)
4-5 этаж - Отделение хирургии верхней конечности (предплечья и кисти)
1 этаж - Приемное отделение; Физиотерапевтическое отделение; Кабинет лечебной физкультуры.
2 этаж - Отделение эндоваскулярной хирургии
2 - 3 этаж - Урологическое отделение
4 этаж - Отделение реанимации и интенсивной терапии для кардиологических больных; Кардиологическое отделение для больных с острым инфарктом миокарда
5 этаж - 2-ое кардиологическое отделение
6 этаж - Неврологическое отделение
7 этаж - Отделение гнойной хирургии
Патологоанатомическое отделение; Морг
1 этаж - Отдел кадров; Бухгалтерия
2 этаж - Главный врач; Заместитель главного врача по лечебной работе; Экономический отдел.
1 этаж - Отделение клинической и экспериментальной иммунологии
2 этаж - Бактериологическая лаборатория
2 этаж - Оперативный отдел; Главная медицинская сестра.
1 этаж - Рентгенологическое отделение; Компьютерная томография; Эндоскопическое отделение; Кабинет интервенционной ультрасонографии
2 этаж - 1-е хирургическое отделение
3 этаж - Травматологическое отделение
4 этаж - Гинекологическое отделение
5 этаж - 2-е хирургическое отделение
6 этаж - Отделение реанимации и интенсивной терапии; Отделение реанимации и интенсивной терапии для больных с острыми нарушениями мозгового кровообращения
7 этаж - Отделение анестезиологии; Операционный блок
1 этаж - Аптека
2 этаж - 4-ое терапевтическое отделение
3 этаж - 3-е терапевтическое отделение
1 этаж - Стоматологический кабинет; Кабинет лечебного массажа.
2 этаж - Отделение ультразвуковой и функциональной диагностики
3 этаж - Дневной стационар
1 этаж - Перинатальный центр; Отделение катамнеза; Дневной стационар; Приемное отделение; Кабинет иммунологии; Отделение ультразвуковой диагностики
2 этаж - Родильный блок; Операционный блок; Отделение интенсивной терапии и реанимации; Палата интенсивной терапии.
3 этаж - 3-е акушерское отделение; Отделение реанимации и интенсивной терапии новорожденных.
4 этаж - Послеродовое отделение (1-е акушерское) отделение; 2-е отделение новорожденных.
5 этаж - Послеродовое отделение (2-е акушерское) отделение; 1-е отделение новорожденных.
6 этаж - Отделение патологии (4-е акушерское); Отделение патологии (5-е акушерское).
Читайте также:
