Переломы костей предплюсны. Переломы фаланг пальцев стопы
Добавил пользователь Евгений Кузнецов Обновлено: 28.01.2026
Переломы плюсневых костей. Диагностика и лечение
Как и в кисти, I, IV и V плюсневые кости являются подвижными, в то время как II и III сравнительно фиксированы. Максимальная весовая нагрузка в фазу отталкивания при ходьбе приходится на II и III плюсневые кости, и, как правило, именно в этом отделе чаще всего отмечаются стрессовые переломы. Хроническая перегрузка приводит к возникновению микропереломов, которые через продолжительный период времени завершаются ремоделированием кости. Острые эпизоды повторного напряжения через короткие промежутки времени могут привести к появлению стрессовых переломов. Прямая травма или сдавле-ние стопы также приводят к возникновению переломов плюсневых костей. Часто этот механизм вызывает множественные переломы послед-них.
Переломы плюсневых костей классифицируют на основе анатомического принципа и лечебной тактики:
Класс А: перелом шейки плюсневой кости
Класс Б: перелом диафиза плюсневой кости
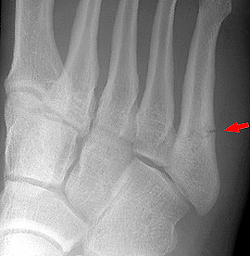
Класс В: проксимальный перелом V плюсневой кости (перелом Джонса)

Большинство переломов плюсневых костей является результатом прямого сдавления, например при падении тяжелого предмета на ногу. Непрямой механизм, заключающийся в скручивании переднего отдела стопы, часто приводит к перелому основания V плюсневой кости. Подошвенное сгибание и инверсия напрягают сухожилие короткой малоберцовой мышцы и могут вызвать отрыв шиловидного отростка или бугра у основания V плюсневой кости. Если первоначальным (исходным) механизмом является инверсия, типичен поперечный перелом шиловидного отростка без смещения.
Переломы класса А и Б обычно проявляются болью, припухлостью и болезненностью при пальпации, локализованной над тыльной поверхностью среднего отдела стопы. Давление по оси поврежденной пястной кости усиливает боль. У всех пациентов с подозрением на перелом диафиза или шейки плюсневой кости следует документировать силу и качество пульса на тыльной артерии стопы. Переломы класса Б обычно проявляются болезненностью, локализованной над областью повреждения, и лишь незначительной припухлостью. Анамнез типичен для растяжения связок голеностопного сустава. У больных со стрессовыми переломами часто отмечается в анамнезе увеличение двигательной активности с постепенным появлением хронических болей. В большинстве случаев боль локализована неопределенно и сопровождается незначительной припухлостью и кровоизлияниями.
Для выявления этих переломов обычно достаточно снимков в прямой, боковой и косой проекциях. Часто они сопровождаются тыльной угловой деформацией вследствие тяги внутренних мышц. Наличие везалиевой кости (вторичный центр окостенения) у основания V плюсневой кости можно спутать с переломом. Вторичные центры окостенения, как правило, гладкие, закругленные и наблюдаются с двух сторон; часто они имеют склерозированные края. Сначала стрессовые переломы рентгенологически могут не определяться. Однако через 2—3 нед линия перелома обычно становится заметной, а через 4 нед выявляется костная мозоль.
Переломы плюсневых костей часто сопровождаются переломами фаланг пальцев.
Лечение переломов плюсневых костей
Переломы шейки без смещения класса А требуют применения льда, анальгетиков, приподнятого положения конечности и 24-часового периода наблюдения, поскольку возможен сильный отек. После этого следует наложить короткий гипсовый сапожок на 4—6 нед. При переломах шейки со смещением показаны лед, приподнятое положение конечности, анальгетики и срочное направление к ортопеду для репозиции. Несмещенные переломы диафизов II—V плюсневых костей можно лечить приподнятым положением конечности, прикладыванием пузыря со льдом, анальгетиками и толстой давящей повязкой в первые 24 ч. После этого рекомендуется ношение под передним отделом стопы плюсневой подкладки Томаса и пользование костылями.
Полная весовая нагрузка показана по мере переносимости. Переломы диафиза I плюсневой кости без смещения требуют наложения короткой гипсовой повязки на голень с разгрузкой конечности на 2—3 нед с последующей заменой ее коротким гипсовым сапожком еще на 2 нед. Переломы диафиза II—V плюсневых костей со смещением требуют репозиции. Если направление к ортопеду невозможно, проводят местную анестезию и на пальцы стопы накладывают дистракционный аппарат. Противовытяжение за дистальный отдел большеберцовой кости осуществляется грузами. После репозиции от кончиков пальцев до заднего отдела стопы накладывают гипс без подстопника. В этот момент прекращают противовытяжение и гипсовую повязку продолжают до бугристости большеберцовой кости. Настоятельно рекомендуются снимки после вправления. Через 4 нед показана смена гипсовой повязки на гипсовый сапожок еще на 3—4 нед. Переломы I плюсневой кости со смещением требуют направления к ортопеду для репозиции. При невозможности этого должна быть предпринята закрытая репозиция по вышеописанной методике. При успешном ее выполнении следует наложить гипсовую повязку сроком на 6 нед. При переломах, не поддающихся закрытой репозиции, может потребоваться открытый метод вправления.

Отрывной перелом класса В у основания V плюсневой кости без смещения требует наложения давящей повязки с нагрузкой на конечность по мере переносимости. Больным с сильными болями может помочь ношение короткого гипсового сапожка в течение 3 нед. Затем показано ношение супинатора для поддержки свода стопы. Следует быть внимательным, чтобы не спутать поперечный перелом проксимального отдела диафиза V плюсневой кости с переломом Джонса, проходящим через ее бугристость. Поперечные переломы, располагающиеся выше бугристости, имеют совсем иной прогноз и лечение. При них наблюдается высокая частота замедленного сращения и несращения.
Аксиома: поперечный перелом основания V плюсневой кости не следует путать с переломом Джонса, проходящим через ее бугристость. Лечение и прогноз для этих переломов различные.
Поперечные переломы проксимального отдела диафиза V плюсневой кости лечат иммобилизацией в коротком гипсовом сапожке. Прогноз в этих случаях сомнителен и вероятность замедленного сращения и несращения высока.
Осложнения переломов плюсневых костей
При переломах шейки или диафиза плюсневых костей с поперечным или угловым смещением часто развивается подошвенный кератоз. Поэтому показано раннее направление к ортопеду. Поперечные переломы проксимального отдела V кости или переломы диафиза остальных плюсневых костей часто осложняются несращением и по этой причине требуют направления к специалист.
Редактор: Искандер Милевски. Дата обновления публикации: 18.3.2021
Переломы костей стопы и пальцев у детей
Переломы костей стопы у детей возникают немного реже, чем у взрослых, и составляют около 11% от всех случаев скелетной травмы. При повреждении костей предплюсны причиной обычно становится прыжок на выпрямленные ноги. Переломы костей пальцев и плюсны образуются при ударе о твердый неподвижный предмет, сдавлении или падении тяжелого предмета на стопу. Симптомы зависят от локализации. Наиболее ярко проявляются повреждения пяточной кости и костей фаланг пальцев. Отмечается отек в соответствующей области, резкая болезненность, затруднение опоры на ногу. При переломах костей плюсны клинические проявления могут различаться – от стертых, напоминающих ушиб при повреждениях без смещения, до ярких, выраженных при смещении отломков. Диагноз выставляется на основании объективных данных и результатов рентгенографии. Лечение обычно консервативное: гипс с последующей физиотерапией.

Общие сведения
Переломы костей стопы у детей – это большая и достаточно разнородная группа повреждений, поскольку в данном случае речь может идти о нарушении целостности 26 разных костей (именно такое количество костей образует стопу). Подобные травмы возможны в любом возрасте, но у пациентов до 9-10 лет они наблюдаются гораздо реже, чем у подростков. Такие повреждения могут быть как множественными, так и одиночными, как внутрисуставными, так и внесуставными. В ряде случаев они сопровождаются смещением отломков.
Переломы стопы у детей чаще возникают в быту или во время спортивных занятий. Причиной повреждения может стать падение тяжелого предмета на стопу, прыжок с высоты на прямые ноги или удар о неподвижный предмет. Однако возможны и другие механизмы травмы: автодорожное происшествие или падение с высоты. Бытовые и спортивные травмы обычно бывают изолированными, при транспортном происшествии и падении с высоты может наблюдаться сочетание с ЧМТ, переломами других костей скелета, тупой травмой живота и повреждениями грудной клетки.
Классификация переломов стопы у детей
С учетом локализации такие переломы подразделяют на:
- Повреждения костей предплюсны. Чаще нарушается целостность пяточной кости. Очень редко страдает таранная кость. Переломы других костей предплюсны у детей почти не встречаются.
- Повреждения плюсневых костей. Составляют 55% от всего числа переломов стопы у детей. В силу механизма травмы (интенсивное сдавление, например, наезд колесом автомобиля, или падение тяжелого предмета) могут быть множественными, тяжелыми, сопровождающимися значительным смещением и повреждением мягких тканей.
- Повреждения костей пальцев. Широко распространены, могут быть как открытыми, так и закрытыми. Возможно повреждение как тела кости, так и ростковых зон (метаэпифизеолизы, эпифизеолизы). Чаще встречаются переломы I и III пальцев.
Переломы костей предплюсны
Переломы пяточной кости обычно наблюдаются у школьников и возникают при прыжке или падении с высоты. Проявляются резкими болями в месте повреждения. Опора невозможна. Обследование проводится в положении пациента стоя на коленях на краю кушетки со свисающими за край стопами. При сравнительном исследовании пяточных областей выявляется припухлость в боковых отделах и в области ахиллова сухожилия. Переломы со смещением характеризуются увеличением поперечника поврежденной пятки и уменьшением расстояния между лодыжками и подошвой. Движения болезненны. Особенно выраженной болезненностью сопровождается попытка разогнуть стопу, поскольку при этом ахиллово сухожилие натягивается и заставляет отломки пяточной кости «скользить» относительно друг друга.
Рентгенография пяточной кости показана при малейшем подозрении на перелом. Выполняют сравнительные рентгенограммы обеих пяток. При изучении снимков обращают особое внимание на величину таранно-пяточного угла. Увеличение этого угла более 140-160 градусов является признаком выраженного смещения фрагментов, которое в последующем может стать причиной уплощения стопы. В таких случаях обязательно проводится репозиция пяточной кости.
При недостаточной информативности рентгеновских снимков ребенка направляют на МРТ или КТ пяточной кости. Дальнейшую тактику лечения выбирают с учетом состояния отломков, выявленного в ходе исследования. Во всех случаях к переломам пятки следует относиться с повышенным вниманием, поскольку неправильное сращение этой кости может стать причиной серьезных неблагоприятных последствий: затруднения опоры и постоянных болей при ходьбе.
При смещении фрагментов показана госпитализация в детское травматологическое отделение. Сразу после поступления осуществляется репозиция под наркозом. При самых распространенных поперечных переломах сопоставление фрагментов производится в положении пациента на спине. Травматолог тянет пяточный бугор вниз и одновременно разгибает стопу. Затем накладывают гипс до средней трети бедра. Стопа при этом согнута, нога тоже согнута в коленном суставе под прямым углом. Через 2 недели первый гипс заменяют гипсовым сапожком, стопу переводят в физиологическое положение. Общий срок фиксации – 6-7 недель.
Перелом таранной кости – редкая травма. Причиной становится резкое тыльное или подошвенное сгибание в сочетании насильственным поворотом стопы. Обычно возникает в результате ДТП, во время спортивных занятий либо при падении с высоты. В 64% сочетается со скелетной травмой соседних областей: переломами медиальной лодыжки, пяточной кости или других костей стопы. Сопровождается выраженным отеком тыла стопы, болезненностью и ограничением движений. Диагноз подтверждают с учетом данных рентгенографии стопы. В сомнительных случаях направляют ребенка на КТ или МРТ стопы.
Если смещение отсутствует, лечение осуществляется в травмпункте. Накладывают гипс, спустя 4-6 дней повязку циркулируют. Иммобилизация продолжается 6 недель, потом в течение полугода необходимо пользоваться супинатором. Смещение отломков – показание для госпитализации. Вправление выполняют под наркозом, накладывают гипсовый сапожок. После спадания отека гипс циркулируют. Фиксация проводится 6-8 нед.
Переломы костей плюсны
Переломы костей плюсны возникают при ударе, падении тяжелого предмета или сдавлении стопы. Сопровождаются болями и нарастающим отеком в переднем отделе стопы. Точное определение места повреждения без рентгенографии затруднено, поскольку боль носит разлитой характер. Рентгенография стопы обычно помогает получить всю необходимую информацию касательно уровня и характера перелома. МРТ и КТ стопы требуются крайне редко.
Угловое смещение и смещение более, чем на ½ поперечника кости – показание к госпитализации. Репозицию осуществляют под наркозом. Ребенка укладывают на спину. Помощник одной рукой прижимает голень, а второй удерживает пятку. Травматолог осуществляет вытяжение за палец, соответствующий поврежденной кости. Одновременно он надавливает другой рукой на область перелома, устраняя угловое смещение, а также смещение по ширине. Затем, как и в предыдущем случае, накладывают гипс, а через 5-7 дней проводят циркуляцию повязки. Срок фиксации – 5-6 недель. На ногу разрешают опираться с 15-18 дня. После снятия повязки в течение полугода необходимо пользоваться супинатором.
Оперативное вмешательство требуется крайне редко: при открытых повреждениях, ущемлении мягких тканей между отломками и невозможности удержания фрагментов в правильном положении. Хирургическую операцию проводят под наркозом. Металлоконструкции обычно не используют. Отломки либо сшивают между собой, либо фиксируют спицей. Дальнейшее лечение – как при повреждениях со смещением.
Переломы пальцев стопы
Обычно переломы пальцев возникают вследствие падения тяжелых предметов, поэтому нередко бывают открытыми либо сопровождаются выраженной травмой мягких тканей. Повреждения диафиза легко распознаются: появляется кровоизлияние, отек и боль, нарушается функция, отмечается положительный симптом осевой нагрузки. При эпифизеолизах без смещения симптомы могут напоминать ушиб, при эпифизеолизах со смещением – вывих фаланги. Диагноз помогает установить рентгенография.
Лечение проводят в травмпункте. Если смещения нет, накладывают гипс на 7-10 дней. Ограничиваться лейкопластырной повязкой не рекомендуется – она провоцирует отек и малоэффективна у подвижных детей. При переломах и эпифизеолизах со смещением выполняют репозицию под местным обезболиванием. Если фрагменты невозможно надежно фиксировать гипсом, осуществляют чрескожную фиксацию спицей или инъекционной иглой.
Для фиксации отломков основной фаланги палец сгибают, поэтому до удаления спицы он находится в согнутом положении. Остеосинтез средней и ногтевой фаланги осуществляют в положении разгибания. Затем накладывают гипс, спицу накрывают стерильной салфеткой и проводят перевязки через 1-2 дня. Спустя 12-15 дней направляют ребенка на контрольный снимок. При выявлении признаков образования костной мозоли спицу удаляют.
Прогноз и последствия при переломах стопы у детей
Повреждения пальцев и костей плюсны благоприятны для лечения и последующего восстановления. В большинстве случаев, даже при значительном исходном смещении, последствий обычно не наблюдается. Однако в период восстановления после подобных травм необходимо носить ортопедические стельки и заниматься лечебной физкультурой.
При повреждении таранной и пяточной кости прогноз зависит от множества факторов: характера перелома, особенностей смещения отломков, результатов репозиции и т.д. Наиболее тяжелые последствия наблюдаются при многооскольчатых переломах пятки со смещением. Реабилитационный процесс в таких случаях более длительный. Возможны боли, ограничение подвижности. Степень восстановления функций индивидуальна – от полного восстановления при отсутствии смещения до остаточных явлений различной степени выраженности при некоторых переломах со смещением.
Переломы костей стопы
Переломы костей стопы по различным данным составляют 2,5-10% от числа всех переломов. Переломы костей стопы возникают как в результате прямого повреждения, так и вследствие непрямой травмы (неудачного прыжка, подворачивания стопы, падения). Значимость переломов костей стопы определяется высокой взаимной зависимостью всех элементов этой части тела. Любое изменение формы одной из костей стопы при переломе приводит к изменению формы и функции всей стопы. Таким образом, переломы костей стопы нередко обуславливают последующее нарушение нормальной опоры на стопу, развитие плоскостопия и вторичных артрозов.С диагностической целью выполняются рентгенограммы стопы в 2-3-х проекциях. В отношении переломов костей стопы проводится открытая/закрытая репозиция с последующей иммобилизацией сроком до 1,5 мес.
МКБ-10
Переломы костей стопы по различным данным составляют 2,5-10% от числа всех переломов. Значимость переломов костей стопы определяется высокой взаимной зависимостью всех элементов этой части тела. Любое изменение формы одной из костей стопы при переломе приводит к изменению формы и функции всей стопы. Таким образом, переломы костей стопы нередко обуславливают последующее нарушение нормальной опоры на стопу, развитие плоскостопия и вторичных артрозов.
Анатомия стопы
Стопа состоит из 26 костей, связанных между собой мелкими суставами и большим количеством связок. Выделяют три отдела стопы: предплюсну, плюсну и фаланги пальцев. Предплюсна образована пяточной, таранной, кубовидной, ладьевидной и тремя клиновидными костями.
Проксимально (ближе к центру тела) таранная кость соединяется с костями голени. Дистально (дальше от центра тела) кости предплюсны сочленяются с костями плюсны, которые, в свою очередь, образуют суставы с костями основных фаланг пальцев.
Переломы таранной кости
Таранная кость имеет особенности, отличающие ее от остальных костей стопы. Во-первых, через таранную кость на стопу передается давление всей тяжести человеческого тела. Во-вторых, таранная кость является единственной костью стопы, к которой не прикрепляется ни одна мышца. В-третьих, таранная кость играет значительную роль в формировании сводов стопы.
Переломы таранной кости встречаются в травматологии редко (около 3% от общего числа переломов костей стопы), относятся к группе тяжелых повреждений костей стопы и нередко сочетаются с другими повреждениями (переломами лодыжек, вывихами стопы, переломами других костей стопы). Различают переломы тела, головки, шейки, латерального или заднего края таранной кости.
Переломы таранной кости чаще являются результатом непрямой травмы (подворачивание стопы, прыжок, падение с высоты). Реже причиной повреждения становится сдавление стопы или прямой удар тяжелым предметом.
Симптомы
Пациент жалуется на резкие боли в поврежденной области. Стопа и голеностопный сустав отечны, на коже видны кровоизлияния, преимущественно – в области внутренней лодыжки. При смещении отломков выявляется деформация. Движения в голеностопном суставе практически невозможны из-за боли.
Определяется резкая болезненность при прощупывании на уровне суставной щели, причем при переломах шейки боли сильнее выражены спереди, а при переломах заднего отростка – по задней поверхности кнаружи от ахиллова сухожилия.
Для подтверждения перелома таранной кости, определения его локализации, выявления характера и степени смещения фрагментов выполняют рентгенографию в 2-х проекциях.
Лечение
При переломе со смещением показана неотложная репозиция отломков. Следует учитывать, что при увеличении давности травмы сопоставление костных фрагментов резко затрудняется или вовсе становится невозможным. Неудача закрытой репозиции является показанием к открытому вправлению или наложению скелетного вытяжения.
При переломах заднего отростка гипс накладывается на 2-3 недели, при остальных переломах таранной кости – на 4-5 недель. С 3-4 недели пациенту рекомендуют вынимать поврежденную ногу из шины и совершать активные движения в голеностопном суставе.
В последующем назначают ЛФК, массаж и физиолечение. Восстановление трудоспособности происходит через 2,5-3 месяца. В течение года после травмы больным рекомендуют ношение супинаторов для предупреждения травматического плоскостопия.
Переломы ладьевидной кости
Эта разновидность переломов костей стопы, как правило, возникает в результате прямой травмы (падение тяжелого предмета на тыл стопы). Реже причиной перелома ладьевидной кости становится ее сдавление между клиновидными костями и головкой таранной кости. Нередко переломы ладьевидной кости сочетаются с другими переломами костей стопы.
Опора на ногу ограничена из-за боли. Выявляются припухлость и кровоизлияния на тыле стопы. Прощупывание ладьевидной кости, поворот стопы кнутри и кнаружи, а также отведение и приведение стопы вызывают резкую болезненность в области перелома. Для подтверждения перелома ладьевидной кости выполняют рентгенографию стопы в 2-х проекциях.
При переломах ладьевидной кости без смещения костных фрагментов травматологом накладывается циркулярная гипсовая повязка с тщательно отмоделированными сводами стопы. При переломах со смещением проводится репозиция. Если отломки невозможно отрепонировать или удержать, выполняется открытое вправление. Фиксация гипсовой повязкой осуществляется в течение 4-5 недель.
Переломы кубовидной и клиновидных костей
Причиной травмы обычно становится падение тяжелого предмета на тыл стопы. Мягкие ткани в области повреждения отечны. Выявляется боль при прощупывании, давлении, поворотах стопы кнутри и кнаружи. Для подтверждения этого вида переломов костей стопы большое значение имеет рентгенография. Лечение – циркулярная гипсовая повязка на срок 4-5 недель. В течение года после такого перелома костей стопы пациент должен носить супинатор.
Переломы плюсневых костей

Переломы плюсневых костей по частоте занимают первое место среди всех переломов костей стопы. Обычно возникают при прямом воздействии травмирующей силы (сдавление стопы, падение тяжести или переезд стопы колесом). Могут быть множественными или одиночными. В зависимости от уровня повреждения выделяют переломы головки, шейки и тела плюсневых костей.
Одиночные переломы плюсневых костей очень редко сопровождаются значительным смещение фрагментов, поскольку оставшиеся целыми кости плюсны выполняют функцию естественной шины, удерживая отломки от смещения.
При одиночных переломах плюсневых костей выявляется локальный отек на тыле и подошве, боль при опоре и прощупывании. Множественные переломы плюсневых костей сопровождаются выраженным отеком всей стопы, кровоизлияниями, болью при пальпации. Опора затруднена или невозможна из-за боли. Возможна деформация стопы. Диагноз подтверждается данными рентгенографии в 2-х проекциях, а при переломах основания костей плюсны – в 3-х проекциях.
При переломах костей плюсны без смещения накладывают заднюю гипсовую шину сроком на 3-4 недели. При переломах со смещением проводят закрытое вправление, выполняют открытый остеосинтез или накладывают скелетное вытяжение. Срок фиксации при таких переломах костей стопы удлиняется до 6 недель. Затем пациенту накладывают специальную гипсовую повязку «с каблучком», а в последующем рекомендуют использовать ортопедические вкладки.
Переломы фаланг пальцев стопы

Эта разновидность переломов костей стопы, как правило, возникает при прямом воздействии травмирующей силы (падение тяжести, удар по пальцам). Переломы средней и ногтевой фаланг пальцев в последующем не нарушают функцию стопы. Неправильное сращение переломов основных фаланг может приводить к развитию посттравматических артрозов плюснефаланговых суставов, ограничению подвижности и болям при ходьбе.
Травмированный палец синюшен, отечен, резко болезненен при движениях, ощупывании и осевой нагрузке. Переломы ногтевой фаланги часто сопровождаются образованием подногтевой гематомы. Для подтверждения переломов фаланг выполняют рентгенограммы в 2-х проекциях.
При переломах фаланг пальцев стопы без смещения накладывают заднюю гипсовую шину. При смещении отломков выполняют закрытую репозицию. Костные фрагменты фиксируют спицами. При переломах ногтевой фаланги без смещения возможна иммобилизация с использованием лейкопластырной повязки. Срок фиксации зависит от тяжести перелома и составляет от 4 до 6 недель.
Перелом пальца
Перелом пальца – это нарушение целостности дистальной, средней или основной фаланги пальца руки или ноги в результате травмы. Является широко распространенным повреждением. Может возникать в результате как прямого, так и непрямого травматического воздействия: удара, падения тяжелого предмета, резкого выворачивания и т. д. Проявляется резкой болью, припухлостью, синюшностью и ограничением движений. В ряде случаев наблюдается крепитация и патологическая подвижность. Диагноз уточняют при помощи рентгенографии. Лечение обычно консервативное, в отдельных случаях требуется операция.

Перелом пальца – очень распространенное травматическое повреждение, что обусловлено как высокой активностью, так и тонкостью и недостаточной прочностью дистальных отделов верхних и нижних конечностей по сравнению с остальными сегментами. Чаще возникает при прямой травме, реже образуется вследствие непрямого воздействия (скручивания или переразгибания). Обычно образуется в результате бытовой, производственной или спортивной травмы.
По сравнению с переломами других костей конечностей отмечается большое количество открытых повреждений, поскольку переломы пальцев рук часто возникают в результате травм при работе на деревообрабатывающих станках (как при выполнении профессиональных обязанностей, так и в быту, например, на даче). Могут наблюдаться множественные переломы пальцев, сочетания с вывихами (переломовывихи пальцев), повреждением связок, сухожилий сгибателей и разгибателей. Лечением данной патологии занимаются врачи-травматологи.
Причины
Причиной закрытых переломов пальцев кисти становится удар, чрезмерное сгибание, разгибание или скручивание. Открытые переломы пальцев верхней конечности могут возникать вследствие прямого удара (например, молотком) или контакта с движущимися механизмами (например, деревообрабатывающим станком). Причиной повреждения пальцев стопы чаще является прямая травма: подворачивание ноги, спотыкание, удар пальцами или падение тяжелого предмета. Открытые травмы пальцев ног возникают достаточно часто, но реже, чем аналогичные поражения пальцев рук, обычно развиваются вследствие падения тяжестей или сдавления стопы.
Патанатомия
В руке человека имеется 14 костей фаланг пальцев. II-V пальцы имеют по три фаланги: проксимальную, среднюю и дистальную. У I пальца всего две фаланги – проксимальная и дистальная. Пальцы выполняют разнообразные тонкие, сложно координированные движения, поэтому любая травма может негативно сказаться на функции кисти и привести к существенному снижению трудоспособности. При неправильном или несвоевременном лечении исходом перелома пальца может стать контрактура, снижение функции хвата кисти или боли даже при небольших нагрузках.
На ноге, как и на руке, 14 фаланг пальцев – по три фаланги (основная, средняя и дистальная) у II-V пальцев и две фаланги у I пальца (основная и дистальная). Повреждения ногтевой и средней фаланг, особенно закрытые, хорошо поддаются лечению и в дальнейшем не вызывают нарушений функции стопы. Переломы основных фаланг, особенно I пальца, требуют большого внимания, поскольку неправильное сращение, тугоподвижность или анкилоз плюснефалангового сустава в последующем затрудняют перекат стопы при движениях и становятся причиной постоянных болей при беге или ходьбе.
Классификация
С учетом причины возникновения в травматологии и ортопедии выделяют следующие виды переломов пальцев:
- Травматические – нарушение целостности неизмененной кости вследствие травмы.
- Патологические – нарушение целостности измененной кости в области ее патологической перестройки. Возникают при поражении костей фаланг пальцев каким-либо заболеванием: остеомиелитом, опухолью, остеопорозом и т. д.
С учетом характера повреждения различают такие переломы пальцев, как:
- Закрытые – без нарушения целостности кожных покровов. Такие переломы могут быть полными и неполными (трещины).
- Открытые – с нарушением целостности кожи. Могут быть первично открытыми (рана возникает в момент травмы) или вторично открытыми (рана образуется, когда отломок смещается и протыкает кожу через некоторое время после травмы).
С учетом особенностей линии излома выделяют следующие переломы пальцев:
- Поперечные – линия излома располагается перпендикулярно оси кости.
- Косые – линия излома располагается под углом к оси кости.
- Винтообразные – линия излома напоминает спираль.
- Оскольчатые – образуется несколько отломков.
- Краевые – от кости отламывается «краешек», небольшой фрагмент.
Различают переломы пальцев со смещением и без смещения фрагментов, а также сложные повреждения: переломовывихи, переломы в сочетании с повреждением связок, повреждением сухожилий и дефектом мягких тканей (при открытых травмах).
Симптомы перелома пальца
В момент повреждения возникает резкая боль взрывного характера. Палец отечен, возможна синюшность или багровый оттенок кожи. Нередко обнаруживаются кровоизлияния под ноготь или под кожу. При смещении фрагментов выявляется деформация и укорочение сегмента. При открытых повреждениях в ране могут быть видны осколки кости. Движения затруднены. Осевая нагрузка болезненна, может определяться крепитация и патологическая подвижность. Функции конечности грубо нарушаются: при повреждении пальца руки пациент не может использовать пострадавший сегмент для захвата предметов и других простых действий, при травме пальца ноги ограничивается опора.
Интенсивность проявлений при поражениях стопы варьируется в зависимости от локализации. Переломы дистальных фаланг II-V, как правило, сопровождаются менее выраженной симптоматикой, поэтому больные нередко принимают их за ушибы и не сразу обращаются к врачу. При переломах основных фаланг II-V пальцев признаки повреждения выражены сильнее. Особенно яркая клиническая картина наблюдается при переломах I пальца стопы.
Диагностика
Диагностический поиск осуществляет врач-травматолог. При повреждении верхней конечности диагноз уточняют при помощи рентгенографии пальцев кисти. Снимки выполняют в двух проекциях, с захватом соседних суставов. Для уточнения харатера повреждения при травмах нижней конечности проводят рентгенографию пальцев стопы.

Лечение перелома пальца
План лечения зависит от вида и характера повреждения. При выборе тактики обязательным условием является возможность надежного восстановления нормальных соотношений между всеми анатомическими структурами пальца. При закрытых стабильных вне- и внутрисуставных переломах пальцев кисти без смещения накладывают гипсовую или полимерную повязку от кончиков пальцев до средней трети предплечья, фиксируя поврежденный палец в состоянии легкого или умеренного сгибания.
При некоторых переломах средних и ногтевых фаланг используют лейкопластырную или пластиковую повязку только на палец, без фиксации предплечья и лучезапястного сустава. Здоровые пальцы по возможности оставляют свободными для активных движений. Для уменьшения отека пациенту рекомендуют сохранять возвышенное положение конечности. Чтобы предупредить развитие тугоподвижности, советуют регулярно, несколько раз в день совершать движения здоровыми пальцами.
Как правило, закрытые переломы пальцев руки со смещением хорошо вправляются, а отломки после репозиции надежно удерживаются в правильном положении при помощи обычной гипсовой повязки, поэтому в большинстве случаев при смещении фрагментов проводят обычное одномоментное вправление под местной анестезией. Исключение – некоторые косые и оскольчатые переломы средней и основной фаланг, склонные к вторичному смещению. При косых переломах после вправления осуществляют чрезкожную фиксацию спицей, при оскольчатых повреждениях либо накладывают скелетное вытяжение за палец, либо выполняют хирургическое вмешательство – открытую репозицию и остеосинтез спицей, или (реже) винтами.
При внутрисуставных переломах с образованием маленьких треугольных фрагментов возможно формирование подвывиха, разворот отломка или его ущемление в суставе. В подобных случаях для предотвращения развития контрактуры, анкилоза или посттравматического деформирующего артроза также необходима операция. Особенно неблагоприятным вариантом являются раздробленные околосуставные и внутрисуставные переломы фаланг, при которых конгруэнтность суставных поверхностей невозможно восстановить в силу их значительного разрушения. В таких случаях осуществляют иммобилизацию в функционально выгодном положении (положении легкого сгибания).
При всех открытых переломах пальца руки (как со смещением, так и без смещения) проводят ПХО. Рану промывают, сухожилия по возможности сшивают, накладывают швы на кожу, осуществляют дренаж резиновым выпускником. Стабильный открытый перелом фиксируют при помощи гипса, при нестабильных повреждениях накладывают скелетное вытяжение за ногтевую фалангу. Если сухожилия невозможно восстановить из-за давности травмы (свыше 6 часов до момента поступления), пластику сухожилий проводят в плановом порядке, после сращения перелома.
При закрытых переломах ногтевых фаланг II-V пальцев стопы без смещения применяют лейкопластырную повязку, при повреждениях средних и основных фаланг накладывают подошвенную гипсовую лонгету. При переломе I пальца используют гипсовый сапожок от кончиков пальцев до верхней трети голени. При смещении перед наложением гипса осуществляют репозицию. Нестабильные косые переломы в случае необходимости дополнительно фиксируют спицей. Нестабильные оскольчатые повреждения иммобилизуют, используя скелетное вытяжение за ногтевую фалангу. Переломы основной фаланги I пальца ноги особенно внутрисуставные, могут потребовать оперативного лечения. Отломки сопоставляют через разрез и фиксируют спицами, рану ушивают, накладывают гипс.
Прогноз и профилактика
Профилактика заключается в предупреждении травм. Прогноз благоприятный. Срок иммобилизации и период нетрудоспособности зависит от вида повреждения. Стабильные переломы пальцев руки без смещения и со смещением фиксируют гипсом на 2-3 недели, трудоспособность восстанавливается в течение 1 месяца. При нестабильных повреждениях иммобилизацию обычно осуществляют в течение 3 недель, восстановление трудоспособности происходит через 4-7 недель.
Сроки восстановления при открытых переломах пальца руки могут сильно варьироваться и в значительной степени определяются наличием или отсутствием сопутствующих повреждений, особенно – состоянием сухожилий. При всех видах травм, как закрытых, так и открытых при определении периода нетрудоспособности учитывают локализацию перелома (какой палец, какая фаланга), руку (правая или левая) и профессию пациента.
Срок нетрудоспособности при повреждениях ногтевых фаланг пальца ноги составляет 10-15 дней, при переломах основных фаланг – от 2 до 4 недель. Если исходом перелома основных фаланг становится анкилоз или тугоподвижность плюснефалангового сустава, в плановом порядке осуществляют резекцию основания фаланги. Операция дает хорошие результаты, позволяет устранить боли и обеспечить нормальное отталкивание стопы от поверхности во время движений.

Плюсневые кости входят в группу мелких трубчатых костей скелета человека. Переломы плюсневых костей являются наиболее распространенным переломами костей стопы. А именно переломы основания пятой плюсневой кости, происходящие в результате инверсии стопы. Локализация перелома должна быть тщательно проанализирована врачом, так как лечение различных по локализации и характеру переломов достаточно сильно разнятся.
Виды переломов плюсневых костей стопы
Есть два основных типа переломов плюсневых:
- Травматические переломы - в связи с острой (внезапной) травмы к среднего и переднего отдела стопы.
- Стресс переломы - из-за чрезмерной длительной нагрузки или повторяющихся незначительных травм на фоне абсолютно нормальных плюсневых костей.
Так же переломы плюсневой кости стопы классифицируются по локализации, характеру перелома и наличию смещения:
- Переломы основания, тела или подголовчатые переломы плюсневых косте;
- Переломы плюсневой кости со смещением или без смещения;
- Переломы косые, поперечные, винтообразные, оскольчатые.
Распространенность
Переломы плюсневых костей составляют от 5% до 6% от всех переломов костей скелета. Они в равной степени распространено среди мужчин и женщин планеты.
Чтобы понять механизм переломов плюсневых костей, вероятно, лучше начать с краткого объяснения анатомии стопы.
Стопа человека состоит из 26 костей:
- 5 плюсневых костей. Это трубчатые кости, которые расположены между костями предплюсны и фалангами пальцев. Функционально плюсневые кости играют важную роль в движении, выполняя роль рычага при движениях стопы (шаги, бег, прыжки).
- 14 фаланг пальцев. Первый палец состоит из двух фаланг, остальные пальцы – из трех.
- 3 клиновидные кости. Расположены между ладьевидной костью и первыми тремя плюсневыми костями.
- Кубовидная кость
- Ладьевидная кость
- Таранная кость
- Пяточная кость

Все вместе кости стопы образуют очень сложный механизм, который компенсирует колоссальные нагрузки в течение дня и помогает гасить удары при каждом шаге.
Причины переломов плюсневых костей
Основные причины переломов плюсневых костей стопы это:
- Интенсивные и продолжительные спортивные нагрузки
- Остеопороз (ослабление кости)
- Падение тяжелого предмета на стопу,
- Автодорожная травма
- Падение с высоты (прыжок)
Симптомы переломов
- Боль, которая развивается постепенно, увеличивается при нагрузках
- Отек стопы
- Подкожное кровоизлияние (синяк)

Пациенты с такими симптомами, как правило, испытывают внезапное начало острой, напряженной боли после травмы. Иногда пациент может слышать хруст или щелчок в момент травмы. Боль заставляет пациента хромать. Пациенты с переломом плюсневых костей также сопровождает отек, который нарастает в течение дня и уменьшается ночью. При тяжелых переломах плюсневых костей со смещением очевидной деформации может быть и незаметно.
Диагностика переломов плюсневых костей
Для более детального понимания проблемы, врач выясняет у пациента механизм травмы включая силу, место приложения и направление удара.
Стресс переломы обычно связаны с увеличением интенсивности или продолжительности повторяющихся движений, таких как бег, бальные танцы и др.
Осмотр: Тщательный осмотр и изучение всей стопы и голеностопного сустава имеет решающее значение в выявлении сочетанных повреждений. Деформация, отек и кровоизлияние визуализируются без труда.

Рентгенограмм в 2-х проекциях обычно достаточно, чтобы диагностировать перелом. Но при стресс-переломах без смещения, иногда, их невозможно определить даже очень опытному врачу.
В таких случаях назначаются контрольные рентгенограммы через 10-14 дней, когда происходит резорбция костной ткани в месте перелома. Так же стресс переломы трудно увидеть на рентгеновских снимках, пока они не начали срастаться и не начала образовываться костная мозоль. Как раз её очень хорошо видно на рентгенограммах. Компьютерная томография или МРТ могут быть необходимы для исключения стресс перелома и других патологий стопы.
Первая помощь при переломах плюсневых костей
- Ограничение нагрузок и движений. Важно, ограничить движения и нагрузки на стопу, чтобы предотвратить дальнейшее повреждение.
- Холод местно. Использование льда поможет замедлить или уменьшить отек и обеспечить ощущение онемения, которое облегчит боль. Лед имеет смысл прикладывать к месту травмы в течение первых 48 часов после травмы. Никогда не держите лед более чем 20 минут за один раз, чтобы предотвратить отморожение. Перерыв 1,5 часа перед повторной экспозицией льда, это позволяет тканям вернуться к нормальной температуре и трофике, повторять по мере необходимости. Можно завернуть любой замороженный продукт в полотенце и приложить к месту повреждения. Лед должен быть применен как можно скорее после травмы. (Не кладите лед прямо на кожу. Кроме того, нельзя оставлять лед во время сна, и держать его более 30 минут. Это может вызвать отморожение).
- Эластичное бинтование. Нужно забинтовать ногу эластичным бинтом. Но забинтовать правильно, не слишком туго. Если пальцы стали холодными, появилось онемение, значит бинтование слишком тугое. Эластичный бинт ограничит отек и ограничит движения в суставе. Спать можно без бинта. Но передвигаться обязательно забинтовав ногу эластичным бинтом.
- Возвышенное положение. Придайте поврежденной ноге возвышенное положение, например, положив ногу на подушку лежа на диване или кровати. Если Вы сидите, можно положить ногу на стул, это уменьшит отек и боль.
Исключаются: нагревание поврежденной зоны в течение первой недели, растирание алкоголем и массаж, который может усугубить отек. Например, исключить горячие ванны, сауны. Тепло имеет противоположный эффект по сравнению со льдом. То есть, это стимулирует кровоток.
Важно ограничить нагрузку при ходьбе (не опираться полностью на стопу), пока повреждение не будет диагностировано доктором.
Лечение переломов плюсневых костей стопы
Консервативное лечение плесневой кости
Тактика лечения будет зависеть от локализации перелома и его тяжести.
Цель любого лечения переломов плюсневой кости - помочь пациенту вернуться к полноценной жизни. Соблюдение рекомендаций врача поможет быстрейшему восстановлению функции стопы и предотвращению дальнейших проблем в будущем.
Мы убеждены, что при переломах без смещения взрослым пациентам накладывать гипс нет необходимости, так как это доставляет много неудобств, и они в состоянии понять, что нужно ограничить нагрузку, для скорейшего сращения перелома. Смещения костных отломков не происходит без нагрузки. Но нашим юным пациентам трудно объяснить, что на ногу нельзя наступать или ходить только с опорой на пятку. Поэтому детей мы гипсуем.

Как правило при травматических переломах рекомендуют ходить только с опорой на пятку либо вовсе без опоры, передвигаясь с костылями.
При стресс-переломах рекомендуется ходить с частичной нагрузкой на стопу, но обязательно в индивидуальных ортопедических стельках, которые «разгружают» поврежденный участок.
Если перелом плюсневой кости с незначительным смещение, выполняется попытка репозиции и фиксация гипсовой лонгетой.
Если перелом сопровождается значительным смещением костных отломков (более чем на половину ширины плюсневой кости) решается вопрос об операции.

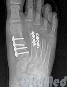
Операция при переломе плюсневой кости
Показанием к операции при переломе является смещение отломков плюсневой кости больше чем на половину ширины кости.
Чрескожная фиксация спицами
Была популярна на протяжении многих лет и продолжает оставаться одним из самых популярных методов в международном масштабе.
Сначала врач закрыто устраняет смещение отломков, затем через отломки в определенных (учитывая характер перелома) направлениях просверливаются спицы.

Плюсы: малая травматичность, быстрота, легкость, дешевизна, отсутствие разреза и как следствие послеоперационного рубца.
Минусы: концы спиц остаются над кожей, для того чтобы спицу можно было удалить после срастания перелома; риск инфицирования раны и проникновение инфекции в область перелома; длительное ношение гипсовой повязки 1 месяц; неудобства в повседневной жизни.
Открытая репозиция перелома

Открытая репозиция при переломе плюсневой кости стопы, накостный остеосинтез пластиной и винтами. Операция включает в себя хирургический разрез, доступ к сломанной плюсневой кости аккуратно отводя сухожилия, сосуды и нервы, мобилизацию костных отломков, устранение смещения и фиксация в правильном положении.

Гипсовая иммобилизация не проводится, так как металлоконструкция, фиксирует отломки.
Разрешается ходьба с опорой на пяточную область в течение месяца.
Реабилитация после перелома плюсневой кости
Как только перелом плюсневой кости срастется и уменьшится боль, врач позволит дозированно наступать на стопу, постепенно увеличивать нагрузку.
Не занимайтесь самолечением!
Определиться с диагнозом и назначить правильное лечение может только врач. Если у Вас возникли вопросы, можете позвонить по телефону или задать вопрос по электронной почте.
Читайте также:
- Брыжеечные синусы. Правый брыжеечный синус. Левый брыжеечный синус. Топография брыжеечного синуса.
- Показания к бронхоскопии. Абсолютные показания к диагностической бронхоскопии
- Введение в Симптомы неврологических расстройств
- Серологические методы исследований. Аллергологические методы исследования.
- Рак подъязычной железы - лучевая диагностика
