Показания, подготовка к артропластике бедренно-надколенникового сустава
Добавил пользователь Владимир З. Обновлено: 23.12.2025
Показания, подготовка к артропластике бедренно-надколенникового сустава
а) Артропластика бедренно-надколенникового сустава (PFA) показана только в завершающей стадии изолированного дегенеративного поражения этого сустава у пациентов, у которых этот метод лечения можно считать оправданным (в расчет принимается возраст пациента, уровень функциональной активности и выживаемость протезов)
б) Грубые рентгенологические дегенеративные изменения бедренно-надколенникового сустава позволяют прогнозировать более оптимальные результаты этой операции
в) Наиболее идеальными кандидатами для PFA являются пациенты с дегенеративным поражением бедренно-надколенникового сустава на фоне дисплазии блока мыщелка бедра. Вероятность прогрессирования остеоартрита бедренно-большеберцового сочленения у таких пациентов не высока
г) PFA позволяет корригировать различные аспекты дисплазии блока и оптимизировать тем самым измененный трекинг надколенника.
д) Ошибки при выборе показаний:
• PFA не может являться методом лечения боли в переднем отделе коленного сустава при отсутствии соответствующих рентгенологических изменений
• Результаты PFA непредсказуемы у пациентов с признаками бедренно-надколенникового артроза по данным КТ и МРТ, но отсутствием выраженных изменений на рентгенограммах
• Противопоказаниями к операции является воспалительный артрит и ранние признака бедренно-большеберцового остеоартрита
• При хроническом вывихе надколенника деформация может быть настолько грубой, что стабильность PFA имплантов не может быть обеспечена. В таких случаях первым этапом или одновременно может быть выполнена остеотомия бугристости большеберцовой кости
• PFA не рекомендуется пациентам с вальгусной деформация >8° или варусной деформацией >5°, а также пациентам со значительным индексом массы тела
е) Спорные вопросы при выборе показаний:
• До сих пор не прекращаются дебаты в отношении применения при изолированном бедренно-надколенниковом артрозе тотального эндопротезирования коленного сустава (ТКА) вместо PFA. Эти споры, в общем, аналогичны спорам о том, какое эндопротезирование лучше при изолированном однокамерном бедренно-большеберцовом артрозе, — тотальное или одномыщелковое
• В многочисленных исследованиях показано, что ТКА более эффективно при изолированном бедренно-надколенниковом артрозе, поскольку оно позволяет свести на нет риск прогрессирования дегенеративного поражения других отделов коленного сустава
• В ретроспективных исследованиях показаны одинаковые результаты оценки по шкале KSS для ТКА и PFA при изолированном бедренно-надколенниковом артрозе, тогда как результаты оценки по шкале UCLA для PFA выше, длительность пребывания пациентов в стационаре меньше, интраоперационная кровопотеря при PFA также ниже
• Ни в одном исследовании не рассматриваются теоретические преимущества PFA перед ТКА, включающие более естественные ощущения пациентами собственного коленного сустава, возможность более интенсивно заниматься низкоэнергетическими нагрузками и более простая конверсия в ТКА с минимальной потерей костной ткани при необходимости такой конверсии.
Обследование и лучевая диагностика перед артропластикой бедренно-надколенникового сустава
а) Боль в переднем отделе коленного сустава, которая усиливается при ходьбе по лестнице, подъеме или спуске по наклонной поверхности, при сидении и уменьшается или полностью исчезает при ходьбе по горизонтальной поверхности
б) Обязательно проводится исчерпывающее обследование коленного и тазобедренного суставов, поскольку боль в переднем отделе коленного сустава может быть проявлением поражения тазобедренного сустава
в) Необходимо исключение бедренно-большеберцового артроза, обследование коленного сустава на предмет повреждения менисков и крестообразных связок. Ни то, ни другое не являются абсолютными противопоказаниями к PFA, однако при их наличии больше голосов будет в пользу ТКА
г) Оцениваются и сравниваются с противоположным коленным суставом стабильность надколенника, симптомы предчувствия вывиха, наклон надколенника, значения Q-yma, наличие симптома «J»
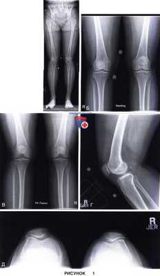
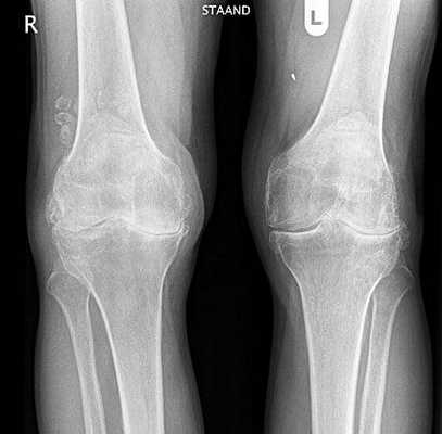
д) Рентгенологическое обследование включает полноразмерные рентгенограммы конечности целиком, рентгенограммы коленного сустава стоя в переднезадней проекции, в заднепередней проекции при сгибании, боковой проекции и проекции Merchant (рис. 1)
е) Рентгенограммы в боковой проекции должны быть высокого качества и обеспечивать возможность диагностики дисплазии блока (описанные DeJour симптом пересечения, надблоковая шпора и двойной контур) (рис. 2)
ж) КТ и МРТ обычно при этой патологии не назначаются, за исключением случаев тяжелой деформации или минимально выраженных дегенеративных изменений, либо если планируется остеотомия бугристости или трохлеопластика.




Хирургическая анатомия:
а) С анатомией переднего отдела коленного сустава хорошо знакомы все хирурги, занимающиеся проблемами коленного сустава
б) В каждом конкретном случае, с тем чтобы добиться правильного позиционирования бедренного компонента и коррекции деформации, необходимо принимать во внимание такие анатомические факторы, как интервал TT-TG, Q-угол (рис. 3), симптом J, наклон надколенника (рис. 4).
Положение пациента:
а) Укладка пациента аналогична укладке пациентов для ТКА. Используются стандартные приемы и стандартные меры предосторожности.
б) Нюансы укладки пациента:
• Валик под ягодицу оперируемой конечности позволяет устранить наружную ротацию конечности
• В зависимости от индивидуальных предпочтений хирурга можно использовать турникет
Артропластика тазобедренного сустава при коксартрозе: цена в Москве
Как показывает клинический опыт, широкий спектр проблем с ТБС может быть решен только хирургическим путем. Основная доля оперативных вмешательств выполняется по поводу коксартроза – прогрессирующего дегенеративно-дистрофического поражения суставных хрящей с дальнейшей деформацией сустава. Патология среди всех заболеваний опорно-двигательного аппарата занимает 1 место по распространенности у людей пожилого возраста. Она же, чаще всего приводит к инвалидизации: до 40% нетрудоспособных лиц в общей структуре инвалидности числится с этим диагнозом. Единственной эффективной тактикой лечения запущенных форм артроза ТБС является артропластика. Об уникальной хирургической технологии вы узнаете из нашей статьи.

Головка бедра при коксартрозе.
Артропластика: что это такое?
При сильно выраженных дистрофических процессах, резком ограничении всех движений в суставе, гипотрофии мышц таза, бедра и голени любой из методов с сохранением сустава рассматривается как паллиативное лечение. В тяжелых случаях пациенту поможет исключительно артропластика, или эндопротезирование.
Артропластика тазобедренного сустава – высокотехнологичная операция, в ходе которой изношенный «родной» сустав меняется на искусственный аналог здорового сочленения. В результате способность к нормальному самостоятельному передвижению возвращается, перестает мучить болевой синдром, налаживаются все составляющие качества жизни пациента.
Функциональные имплантаты (эндопротезы) для артропластики выпускаются в различных типоразмерах. Большой размерный ряд позволяет еще на этапе планирования операции индивидуально подобрать пациенту подходящую ему по величине модель. То есть, с учетом анатомически заложенного объема бедренной головки, вертлужной впадины, формы и размера костномозгового канала, т.д.
- Структура эндопротезов включает головку и ножку для установки в зону бедренной кости и чашечку для ее размещения в выемке повздовшной кости. Чаще эти компоненты изготавливаются из титановых, кобальтовых сплавов. При артропластике могут быть использованы и изделия из керамики.
- Используемые материалы выносливы к высоким нагрузкам и не отторгаются организмом. Они не разрушаются в условиях внутренней среды биологической системы человека. Обладают оптимальным модулем упругости, гармонично сочетающимся со свойствами упругости костных тканей.
- В комплектацию полного тазобедренного протеза включен антифрикционный компонент из высокомоллекулярного полиэтилена, который вставляется в чашку. Его иначе называют полимерным вкладышем, в нем будет вращаться головка. Вкладыш позволяет сократить трение между металлическими или керамическими поверхностями, хорошо стабилизировать головку и улучшить ее скольжение в чаше, дополнительно усилить амортизационные свойства.
- Контактная фиксация кость-имплант выполняется по технологии press-fit (вколачивание, впрессовывание) или по способу цементирования с применением костного цемента. Вертлужный компонент может дополнительно фиксироваться при помощи винтов.
Артропластику с локализацией в тазобедренном отделе конечности ежегодно выполняют во всем мире примерно 1 млн. людей. В 95% и более случаях при грамотно реализованной операции и качественной реабилитации боль устраняется, функции протезированной ноги восстанавливаются до приближенных к норме значений. Процесс социальной адаптации занимает 2,5-4 месяца.
Показания к проведению операции
Целесообразность в проведении артропластики определяется на основании клинических исследований. Врачи руководствуются данными визуализационной диагностики (снимков КТ, МРТ, рентгена), а также функциональных тестов, предусматривающих:
- проверку амплитуды, объема движений, опоры в ТБС;
- измерение обхвата бедра и голени;
- измерение длины конечностей;
- оценивание уровня поясничной линии;
- оценку выработанных пациентом поз и манеры ходьбы;
- изучение порога болевых ощущений.
Если нарушения грубые, сильно угнетают жизнеспособность пациента, скорее всего, будет рекомендована подобная операция. Диагнозы, при которых она назначается:
- деформирующий артроз; ; артрит; с деформацией головки бедра;
- псевдоартроз (ложный сустав);
- врожденные дисплазии ТБС;
- фиброзный и костный анкилоз; ;
- посттравматические осложнения и некоторые виды опухолей.
Заметное укорочение конечности, хромота, интенсивная болевая симптоматика в хронической форме, неэффективность консервативного лечения в течение 6 месяцев служат поводом для скорейшего проведения операции.
Виды артропластики
Учитывая все особенности клинического случая, хирург-ортопед выбирает вид артропластики, по которому он будет восстанавливать проблемный отдел. Существует 4 основные методики, каждая из них предусматривает своих цели и задачи.
- Частичная артропластика. В процессе хирургии на имплант меняется головка и фрагмент шейки бедренной кости, вертлужная впадина остается нетронутой. Искусственная головка при движениях будет находиться в тесной взаимосвязи с естественной суставной поверхностью тазового углубления. Этот способ еще называют однополюсным протезированием. Он назначается только при одностороннем поражении сочленения (в области бедренной кости). Часто используется при нарушении целостности шейки бедра и остеонекрозе головки, если хрящевые покровы вертлужного ложа в хорошем состоянии. Недостаток неполной пластики – необходимость частой замены вживленного имплантата, в среднем каждые 7 лет. . Артропластику в данном случае осуществляют на бедренной и тазовой кости одновременно. Весь сустав полностью резецируется, а затем производится возмещение всех удаленных участков элементами тотального (полноценного) протеза. Полная артропластика рекомендована при обширной дегенерации, которая разрушила, деформировала и вывела из строя весь суставной аппарат. Методика признана лучшей, так как дает самые продуктивные результаты в восстановлении полноты движений. Кроме того, тотальные конструкции обладают наивысшим запасом прочности и долговечности, срок эксплуатации – 15-30 лет.

Тотальная и поверхностная операция на рентгене.

Инфекционное осложнение и установка дополнительного расширителя.
Как проходит операция
Артропластическая процедура по способу тотальной реконструкции ТБ сочленения имеет самые оптимистичные прогнозы на благополучный исход. Она же позволяет существенно увеличить сроки до ревизионного вмешательства. Тотальная операция является золотым стандартом современного эндопротезирования. Предлагаем ознакомиться в понятной форме, как ее делают.
- Больной получает анестезиологическое пособие, как правило, в виде общего эндотрахеального наркоза.
- После широкой антисептики кожных покровов и произведенного жгутирования проблемной конечности делается разрез по технике заднебокового доступа. Заднебоковой доступ выполняется в зоне большого вертела.
- Мышечные ткани аккуратно сдвигают в стороны. Открытое операционное поле фиксируется хирургическим расширителем.
- После вскрытия капсулы сустава, головку бедренной кости вывихивают и производят ее резекцию, частично захватывая шеечный компонент.
- Далее при помощи фрез нужных размеров осуществляется срезание покровных структур тазового ложа до обнажения субхондральной костной пластинки. В подготовленное ложе плотно погружается чаша. В чашу вставляется полиэтиленовый вкладыш.
- В положении согнутого колена конечность ротируют и делают ее приведение, чтобы голень приняла вертикальное положение. Благодаря такому положению проксимальный бедренный отдел хорошо выводится в рану для дальнейшей подготовки к имплантации.
- Далее врач перфорирует костномозговой канал в бедренной кости и формирует в нем оптимальное по размерам русло, чтобы имплантировать в него ножку протеза.
- Когда ножка погружена в созданный медуллярный отсек, на ее свободный конец надевается шаровидный элемент (искусственная головка). Последний этап имплантации – вправление головки в установленную чашу.
- Финальная стадия хирургии – послойное ушивание раны, установка дренажных систем. На прооперированную ногу накладывают эластичный бинт.
Максимальный размер разреза после артропластики ТБС – 8 см. Длительность операционного сеанса – около 1 часа.
Вероятность развития осложнений не превышает 5%, из них интраоперационные последствия практически не встречаются. Преобладают такие осложнения, как вывихи компонентов имплантата и перипротезные переломы, которые чаще возникают из-за несоблюдения пациентом назначенного ортопедического режима.
Специфика реабилитации
Если состояние больного будет соответствовать послеоперационной норме, то уже на следующий день после операции он начинает передвигаться на костылях, еще через 1-2 суток – сидеть. В целях предупреждения тромбоза и тромбоэмболии ему назначают препараты с гепарином, а для недопущения развития инфекции – сильный антибиотик широкого спектра действия. Необходимость использования костылей в зависимости от примененного вида эндопротеза – от 10 до 45 суток. После переходят на трость, которую используют до окончательного выздоровления.
Выписывается пациент из стационара ориентировочно на 12 день после операции. Реабилитацию после выписки следует продолжить в поликлинических условиях или специализированном реабилитационном центре столько, сколько потребуется. Возврат к активной жизни и профессиональной деятельности у большинства людей происходит ближе к 4-5 послеоперационному месяцу.
Цены на артропластику тазобедренного сустава
В Москве только услуга хирурга в известных клиниках (ДКБ им. Семашко, ГВКГ им. Бурденко и пр.) обойдется пациенту в 35-40 тыс. рублей. Цена на операцию вместе со стоимостью ТБС-эндопротеза импортного производителя в московских медучреждениях составляет минимум 100 тыс. рублей. Операция с установкой отечественных марок имплантатов оценивается примерно в 60-70 тыс. руб. В России можно пройти процедуру по квоте, расходы компенсируются госбюджетом согласно госпрограмме ВМП. Квотное лечение предоставляется в порядке очереди, срок ожидания составляет 3-12 месяцев.
За границей – в Германии, Израиле, Чехии – замену осуществляют очень качественно, при этом имплантируют только протезы мировых брендов из высококлассных материалов. Операционные манипуляции вместе с протезируемой конструкцией и расходными материалами в Германии обходятся пациентам в среднем в 16,5-18 тыс. евро, в Израиле – 23-28 тыс. долларов. Реабилитация, каждый день пребывания в стационаре потребуют еще дополнительных вложений. В Чехии реабилитация (минимум 4 недели) как для своих граждан, так и иностранных пациентов. В чешских клиниках лечение «под ключ» (диагностика, работа хирурга, эндопротез, послеоперационное восстановление) стоит не более 12 тыс. евро.
Артропластика коленного сустава: что это такое, цена и отзывы
Артропластика коленного сустава (АКС) – это техника имплантации искусственного сустава колена на место поврежденного сочленения. Главная цель операции — восстановление функций подвижности коленного отдела конечности. Процедура замены пораженного сустава, соединяющего бедренную, большеберцовую кость и коленную чашечку, чаще рекомендуется при гонартрозах запущенных форм.
Результат частичной замены коленного сустава на рентгене.
При артропластике деформированный сустав может быть удален полностью или частично. На освобожденную от суставного хряща область помещается искусственное устройство, имитирующее биомеханику и анатомию здорового сочленения. После вмешательства пациенту назначается интенсивная программа реабилитации, в которую планомерно включаются занятии ЛФК и физиопроцедуры. Правильная реабилитация после артропластики позволит в намеченные сроки привести «новый» коленный сустав в полностью рабочее состояние, поставить пациента на ноги и вернуть его к нормальному образу жизни.
История развития артропластики насчитывает уже более 40 лет. За этот отрезок времени специалисты добились прорыва в совершенствовании отрасли ортопедии – от уникализации конструкций коленных эндопротезов до оптимизации хирургических тактик.
Компоненты имплантов производят из износостойких биосовместимых металлических сплавов (чаще на основе титана), керамики, композитных материалов. При технически правильно проведенной операции, качественно организованной реабилитации и полном соблюдении пациентом пожизненных правил срок службы искусственного сустава в среднем составляет 15 лет.
В каких случаях применяют артропластику
Артропластика применяется при тяжелых заболеваниях и травмах коленного сустава как единственное продуктивное средство, способное избавить человека от инвалидности и невыносимой симптоматики. Применяется методика при дегенеративно-дистрофических патологиях с сильными поражениями хряща. Когда консервативные методы или другие операции не смогут обеспечить нормальную двигательную активность проблемной ноги, врачом может быть рекомендована замена сустава на имплантат. Симптомами необходимости операции являются:
- выраженная ограниченность амплитуды сгибания/разгибания колена;
- сильный болевой синдром в состоянии движения или покоя;
- прогрессирование хромоты;
- искривления костей голени и бедра;
- мышечная слабость ноги, атрофия, контрактура;
- неспособность к самостоятельному передвижению без посторонней помощи или поддерживающих приспособлений (трости, костылей и др.).

Гонартроз обоих коленных суставов.
Как показывает статистика, пациенты, которые чаще нуждаются в артропластике, находятся в возрастной категории от 60 лет и старше. В пожилом возрасте односторонний или двусторонний артроз коленей диагностируется у 85% людей в силу старения организма. Конечно, не всем нужна такая операция. В категорию риска по предрасположенности к появлению, ускоренной дистрофии и деформации коленного сочленения входят женщины, перешагнувшие 40-летний рубеж. Объясняется этот факт происходящими в женском организме гормональными изменениями, дефицитом половых гормонов, нехваткой эластина и коллагена, что неблагоприятно сказывается на тканях сустава. Основной процент людей, поступающих в клиники на прохождение артропластики, – это женщины.
Показания к операции
Поводом для артропластической реконструкции служат следующие диагнозы в стадии тяжелого патологического процесса:
- первичный и вторичный деформирующий артроз (гонартроз) – необратимое дегенеративно-дистрофическое заболевание, характеризующееся износом и разрушением хряща суставных поверхностей;
- спонтанный и вторичный аваскулярный (асептический) некроз – некротизация тканей циркумферентной зоны кости вместе с покровным хрящевым элементом как следствие критического нарушения кровообращения; – серьезное системное заболевание неизвестной этиологии, когда иммунные клетки на воспаление соединительной ткани реагируют уничтожением не патогенной среды, а структурообразующих компонентов сустава;
- травматические поражения и локальные опухоли.
Противопоказаниями к АКС служат тяжелые заболевания крови; диабет в декомпенсированном состоянии; онкология последних стадий; сильно выраженный местно остеопороз; локальные гнойные и воспалительные процессы; почечная недостаточность.
Виды и процесс артропластики
Артропластика коленного сустава выполняется в зависимости от характера патологии одним из двух методов.
- – сочленение меняется на имплантат только частично. Замене подлежит или наружный, или внутренний бедренно-большеберцовый компонент. Такая тактика целесообразна лишь при условии, что структуры противоположной половины сустава, ПКС, ЗКС целые. Процедура малотравматичная, реабилитация после нее проходит относительно легко и быстро. – операция предполагает полное замещение всех суставных поверхностей на искусственные аналоги. Вмешательство делается при обширной деструкции хрящевой материи, диагностируемой одновременно и в медиальном, и латеральном отделах.

Частичный и тотальный способ.
Наркоз применяется общего типа. При частичной замене, как в случае с одномыщелковой артропластикой, возможно, пациенту проведут сеанс под спинальной анестезией. Спинальный наркоз (регионарный, син. местный) вводится в эпидуральное пространство позвоночника, и нижняя часть туловища на время вмешательства становится совершенно нечувствительной. Местная анестезия не нарушает сознания.
Подступ к суставу осуществляется через серединный парапателлярный разрез (традиционный доступ). Имплантация может быть произведена и через другой доступ, на котором специализируется хирург, например:
- чрезмышечный (midvastus);
- латеральный парапателлярный;
- Quad-Sparing (Q-S – щадящий способ без нарушения четырехглавой мышцы бедра).
Искусственный сустав колена устанавливается на подготовленные площадки бедренной и большеберцовой кости. Краевые участки костей опиливаются, очищаются от деструктурированных тканей, шлифуются. Затем производится соединение металлических элементов протеза с костными окончаниями, используя метод бесцементной посадки (пресс-фит) или технологию цементной фиксации. Далее между двумя металлическими плато, которыми специалист покрыл берцовый и бедренный эпифизы, устанавливается эластичная прокладка из полимера.
Операционное поле промывается, обрабатывается дезинфекторами, на рану ставится дренаж для контроля оттока жидкости, разрез послойно ушивается. На всю процедуру затрачивается от 60 минут до 3 часов. Разрез после операции обычно проходит вдоль посередине колена. Его длина при традиционном вмешательстве равна примерно 18 см, при использовании самого экономного доступа – 10 см.
Если состояние пациента удовлетворительное, ему разрешат на 2-3 сутки подниматься и начинать ходить с опорой на ходунки или костыли. Выписку из стационара оформляют на 7-10 сутки.
Сколько стоит артропластика и где пройти?
Стоимость артропластики с тотальным замещением костного соединения колена эндопротезом начинается в среднем с 200 тыс. рублей. Высокотехнологичное вмешательство в медучреждениях Украины стоит примерно так же, с перерасчетом в гривны – это от 100 тыс. грн.
Особенности реабилитации
На следующий день после оперативного вмешательства физиоинструктор поможет подняться с кровати, пациент сделает свои первые шаги с новым суставом, опираясь на костыли или ходунки. На предоперационных этапах обучают технике передвижения с опорно-поддерживающими приспособлениями, поэтому человек будет подготовлен к этому моменту. Нагружать на ранних порах ногу нельзя, разрешено только слегка касаться ею пола. Обязательно прописываются интенсивный курс антибиотикотерапии и противотромбозного лечения. Прописываются сильнодействующие обезболивающие и противоотечные средства, так как болевой синдром и отек после операции – стандартное явление.
Начиная с первого дня, приступают к разносторонним занятиям ЛФК с упором на укрепление мышц бедра. В раннем периоде – это изометрические сокращения бедренно-мышечного комплекса. Постепенно вводятся упражнения на сгибание-разгибание колена. При необходимости конечность тренируют на специальном тренажере, который будет помогать производить в нужном ритме, диапазоне соответствующие движения. Параллельно с лечебной физкультурой назначается посещение физиотерапевтических процедур.
С каждым вновь наступившим днем самочувствие будет улучшаться, если четко следовать квалифицированным рекомендациям реабилитолога и хирурга, физиотерапевта, методиста по ЛФК. Окончательная внутренняя адаптация вживленного устройства, восстановление подвижности колена, наконец, возвращение пациента в нормальное жизненное русло можно ожидать по истечении 2,5-4 месяцев упорной работы над реабилитацией.
Подготовка к операции эндопротезирования — залог успешности лечения
Любое вмешательство в организм человека воспринимается как сильный стресс. В ситуации, когда требуется установить эндопротез, возникает множество рисков, которые могут вызвать отторжение эндопротеза. Любой пациент находится в состоянии подготовиться к процессу лечения и восстановления, тем самым увеличив шансы благоприятного исхода.
Почему нужно готовиться к операции
Чтобы минимизировать риск, требуется:
- исключить попадание инфекции в организм, в т. ч. полное медицинское обследование и лечение зубов как потенциальных источников;
- обеспечить хорошее состояние иммунитета, что может потребовать приема дополнительных препаратов, усиливающих его;
- подготовить организм к будущей реабилитации с помощью физических нагрузок и закаливания;
- снизить потенциальную нагрузку на новый сустав, что требует нормализации веса и правильного выполнения упражнений.

В зависимости от состояния пациента и степени его активности в выполнении рекомендаций врача подготовка к операции по эндопротезированию тазобедренного сустава может занимать от 1 до 5–6 месяцев.
С чего начинают подготовку к операции
В процессе обсуждения с лечащим врачом необходимо выяснить все нюансы, которые связаны с работой сустава. Это позволит понять принцип работы и подготовиться к реабилитации. Еще на этапе подбора эндопротеза врач может рекомендовать параллельно начать сбрасывать вес, если он излишний.
Дополнительными рекомендациями являются:
- сдача собственной крови, чтобы использовать ее в случае необходимости;
- проведение исследований крови, позволяющих определить ее свертываемость, группу, основные биохимические показатели;
- профилактика хронических заболеваний, обострение которых может испортить картину реабилитации;
- повышение иммунной защиты организма;
- определение индивидуальных факторов, влияющих на ход операции: аллергия на препараты, индивидуальная непереносимость каких-то лекарственных средств и т. д.
Врач может также рекомендовать обратиться к психологу, который позволит снять страх перед операцией. Ведь отличное состояние пациента и его эмоциональный настрой гарантируют успех всего дела.
Многие клиники заранее создают руководство пациенту. Эндопротезирование тазобедренного сустава – сложная операция, поэтому есть моменты которые нужно повторить неоднократно. Подобные брошюры помогают не только человеку, отправленному на хирургический стол, но и его близким.
Действия врача и пациента за месяц до операции
Примерно за 4 недели до операции лабораторные и инструментальные исследования. Их целью является определение факторов, которые потребуют коррекции перед эндопротезированием. В частности, назначаются:
- проверка легких с помощью рентгенографии;
- электрокардиограмма;
- общий анализ крови;
- общий анализ мочи.
Если будут выявлены отклонения от нормы, то врач назначит соответствующее лечение. За оставшийся срок можно ликвидировать причины, которые будут являться противопоказаниями для проведения операции.
На этом же этапе врачом может быть рекомендовано выполнение комплекса упражнений, способствующих успешной реабилитации после установки эндопротеза. Если в процессе их выполнения пациент чувствует сильную боль, то нужно прекратить тренировки. После дополнительной консультации комплекс упражнений может быть скорректирован или выявлена проблема возникновения этой боли.

Часто люди неправильно выполняют гимнастику, потому что долгое время в их жизни физическая активность отсутствовала. Лучше всего посмотреть видео реабилитационных центров, где разбираются основные ошибки. Если упражнение неясно, обязательно спросить про него у врача-ортопеда.
Что делать за 2–3 недели до операции
В этот период происходит встреча с врачом-анестезиологом, который с учетом индивидуальных характеристик пациента, особенно его возраста, подбирает вид наркоза. В некоторых случаях прием лекарственных средств от имеющихся хронических заболеваний может быть отменен, чтобы организм очистился. Это снижает риск отторжения импланта и повышает вероятность хорошего самочувствие при наркозе. Если врач не спросил про прием препаратов на постоянной основе, следует ему об этом напомнить.
Примерно за 2 недели до назначенного срока следует приобрести или взять на прокат специальное оборудование и костыли. Многие врачи рекомендуют начать тренировку ходьбы на костылях еще до операции.

Параллельно врач должен осмотреть состояние кожных покровов. Если будут отмечены раздражения, язвочки и любые другие отклонения, то избавиться от них можно за оставшееся время. Следует также завершить все личные дела, потому что в последние перед эндопротезированием дни свободного времени практически не будет.
Если родственники проживают далеко, то самостоятельно придется продумать вопрос об обустройстве домашнего пространства. Необходимо убрать все предметы, которые несут потенциальную опасность для человека на костылях и после эндопротезирования:
- скользкие коврики;
- неудобные или скользкие сиденья;
- высокие пороги, растянутые электрические шнуры.
Обязательно следует установить как можно больше средств, позволяющих цепляться за них, чтобы перемещаться по квартире. На время реабилитации с первых дней будет необходимо устойчивая скамья для купания, плотное сиденье для фиксации суставов, трость-рукоять, чтобы не наклоняться, надевая обувь, длинная мочалка.
В оставшуюся неделю
За последние дни подготовка к операции вступит в финишную стадию. На этом этапе будут проведены контрольные обследования крови и мочи. Также в обязательную программу подготовки входит:
- осмотр врачом, чтобы исключить начало или развитие каких-либо заболеваний;
- исключение из пищи продуктов, которые увеличивают отечность или осложнения после хирургического вмешательства;
- определение потенциальных доноров крови, если ранее она не была сдана;
- сбор личных вещей для госпитализации, включая средства для реабилитации и небольшие домашние тренажеры;
- определение лиц, которые будут сопровождать пациента после операции
Анестезиолог может выдать препарат, который нужно принимать за день до времени медицинской процедуры. За 12 часов до операции обычно запрещается употребление пищи и воды. Дополнительно может быть установлена очистительная клизма.
Среди вещей, которые нужно взять с собой в больницу, нужно взять:
- мочалку, моющие средства;
- полотенца;
- туалетную бумагу, салфетки;
- зубную щетку и пасту;
- сменное белье;
- свободную одежду для выписки.
С собой в больницу не рекомендуется брать ювелирные украшения, кредитные карты, электроприборы и ценные вещи. Фен, мобильный телефон и планшет в современном мире являются исключениями. При необходимости другие предметы реабилитации должны быть готовы принести близкие. Если у человека никого нет, можно воспользоваться услугами социального сопровождения.
Хорошая и своевременная подготовка позволит снять суетливость пациента, морально настроиться на замену сустава и быстро приступить к восстановлению двигательной активности. Только от желания человека зависит то, как быстро наступит день эндопротезирования. Ведь нарушая рекомендации врача, можно отсрочить операцию.
Все об артропластике тазобедренного сустава
Артропластика тазобедренного сустава – это тип хирургического вмешательства, которое применяется для замены тазобедренного сустава (частичной или полной).
Данная манипуляция бывает трех видов:
- В первом случае меняется чашечка сустава, используется при поражении заболеванием или травмой одной стороны сустава, при этом эндопротез необходимо менять раз в 7 лет
- Во втором меняется поверхностная часть, может потребовать проведения ревизионной операции спустя 5 лет после артропластики
- В третьем протезируется весь сустав, применяется при тяжелых поражениях сустава, такой протез необходимо менять раз в 15–30 лет
Эндопротез обычно изготавливается из высокопрочных титановых, кобальтовых сплавов и состоит из головки, ножки для установки в зону бедренной кости и чашечки для размещения в выемке повздошной кости. Также могут быть использованы керамические детали.
Показания и риски
Артропластику применяют в таких случаях, как:
- Тяжелая форма открытого перелома тазобедренного сустава (ТС), шейки бедра
- Дегенеративные заболевания ТС
- Деформирующий артроз
- Врожденная дисплазия ТС
- Ревматоидный артрит
- Гипотрофия мышц таза, голени или бедра
- Ограничения движения сустава
- Асептический некроз, сопровождающийся деформацией головки бедра
- Фиброзный и костный анкилоз
- Ложный сустав
- Посттравматические осложнения
Но данную операцию не назначают (даже при наличии показаний), в следующих случаях:
- У пациента ожирение
- Больные, проходящие интенсивное лечение при помощи ряда кортизоновых, инсулиновых и т. п. препаратов
- У пациента диагностированы некоторые хронические заболевания (печени, сердечно-сосудистой и дыхательной систем)
- Больной имеет алкогольную или наркотическую зависимость
Перед операцией
Прежде чем назначить процедуру, специалист направит пациента на прохождение ряда обследований и анализов:
- Рентгенографию сустава
- Анализы крови
Поскольку во время операции будет использоваться наркоз, пациенту необходимо заранее сообщить врачу о наличии аллергии на лекарственные препараты, если таковая у него имеется. В соответствии с этими данными будет подобрана оптимальная схема анестезии.
Ход операции
Артропластика тазобедренного сустава проводится следующим образом:
- Пациента укладывают на операционный стол и вводят наркоз
- Над областью сустава производится надрез
- Мышечные ткани раздвигаются или разрезаются (в таком случае впоследствии их сшивают)
- Извлекаются разрушенные части сустава
- Устанавливается эндопротез
- Сустав ставится в необходимое положение
- Все разрезы сшиваются
В течение 5–10 дней за состоянием пациента ведется врачебное наблюдение, чтобы отследить, насколько успешно прошло хирургическое вмешательство.
Осложнения после артропластики
После проведения операции возможны следующие осложнения:
- Кровотечение
- Тромбы
- Инфекционное воспаление
- Пневмония
- Ухудшение состояния больного
В последнем случае это значит, что вмешательство прошло неуспешно, и требуется повторная операция.
Постоперационный период
В начале реабилитационного периода рекомендуется предпринимать следующие действия:
- Выполнять дыхательные упражнения
- Совершать двигательные движения (перевороты) с одного бока на другой
- Пользоваться специальными приспособлениями для ванной комнаты и туалета
- Принимать обезболивающие препараты (по назначению врача)
- Делать компрессы на оперированной области
- Постепенно наращивать двигательную активность
На следующий день после операции пациент может начать передвигаться на костылях. Сидеть можно на 1–2 сутки. Спустя 10–40 дней (в зависимости от типа проведенного вмешательства и вида протеза) возможно сменить костыли на трость. Выздоровление наступает через 1,5–2 после проведения хирургического вмешательства.
Преимущества проведения процедуры в МЕДСИ
- Центр травматологии и ортопедии МЕДСИ проводит артропластику в Москве по оптимальным условиям
- Прием ведут специалисты высоких квалификационных категорий
- Клиники сети располагают широким спектром современного диагностического оборудования
- При необходимости, возможна госпитализация в день обращения
- Прием проходит без длительного ожидания и очередей
Для записи на прием звоните по круглосуточному телефону: 8 (495) 7-800-500
Читайте также:
