Полипы, аденомы желчного пузыря и желчных протоков - диагностика
Добавил пользователь Евгений Кузнецов Обновлено: 26.11.2025
Среди патологий внутренних органов заболевания желчного пузыря встречаются довольно часто. Но некоторые из них могут оставаться не обнаруженными на протяжении длительного времени, несмотря на то, что пациент исправно посещает профилактические осмотры. Одна из таких патологий — полипы в желчном пузыре, диагностировать которые не так-то легко.
Пучков К.В. в телепередаче «Здоровье» с Еленой Малышевой»
В отличие от других недугов, например, перегиба желчного пузыря, наличие полипов не вызывает специфических симптомов. Симптоматика при этой патологии смазана, признаки, сопровождающие эту болезнь, нередко встречаются и при других заболеваниях. Поэтому диагностика подчас проводится по методу исключения. При этом пациенту, как правило, назначается ультразвуковое исследование внутренних органов, при нарушении работы которых возникают подобные признаки. Например, дисфункция кишечника встречается у большинства заболеваний органов пищеварительной системы. Кроме того, причиной низкой выявляемости полипов в желчном пузыре можно назвать неэффективность обычных обследований. Только целенаправленное обследование, замеренное на заболевания желчного пузыря, может увенчаться успехом. Однако для этого больному следует пройти необходимые исследования.
Полипы в желчном пузыре встречаются нескольких видов:
- Полипы воспалительного характера — появляются в результате острой реакции слизистой оболочки органа на разрастание грануляционной ткани.
- Холестериновые — слизистая пузыря изменяется вследствие холестериновых отложений и скоплений; Этот вид встречается наиболее часто. Несмотря на то, что присутствие таких бляшек не представляет опасности, необходимость срочного оперативного лечения вызывает дебаты среди медиков.
- Папиллома — опухоль доброкачественного характера, для которой характерно наличие сосочков на слизистой.
- Аденома желчного пузыря — образование доброкачественного характера, появившееся в результате роста железистой ткани.

Полип желчного пузыря.
Причины появления полипов
- Наследственность и предрасположенность чаще других причин приводят к образованию полипов. Это может быть связано со строением слизистой пузыря — чаще всего именно это является так называемой«стартовой площадкой» для появления полипоза.
- Нерегулярное и нерациональное питание, злоупотребление пищей, содержащей холестерин — также один из неблагоприятных факторов.
- Хронический холецистит, при котором нарушен отток желчи в двенадцатиперстную кишку.
Несмотря на то, что аденома и папиллома — доброкачественные образования, существует вероятность их перерождения в злокачественные опухоли. Кроме того, попадание частиц опухоли за пределы желчного пузыря может привести к распространению полипов в другие органы.
Симптомы заболевания
Нередко заболевание протекает бессимптомно. Половина пациентов испытывает лишь чувство дискомфорта в правом подреберье. У некоторых больных возникает изжога и отрыжка, иногда может присоединиться боль. Болезненность является частым признаком в тех случаях, когда полип локализуется в наиболее узком месте желчного пузыря — в шейке. При больших размерах он может привести к закупорке протока, что вызовет застой желчи. В результате нарушается процесс пищеварения, при приводит к появлению отрыжки, болезненности в правом подреберье, запорам и т.д.
Лечение полипоза
Прежде всего необходима коррекция питания. В результате заболевания количество поступающей желчи недостаточно для пищеварения. Но с помощью диеты можно облегчить работу желудочно-кишечного тракта. Дробное сбалансированное питание небольшими порциями, легко усваиваемые продукты помогут предупредить появление дисфункции пищеварительной системы.
Как правило, самым эффективным способом избавления от полипов является операция. Однако вопрос о целесообразности хирургического лечения решается только индивидуально. Лечебная тактика основывается на наблюдении за больным, при этом учитывается строение и количество полипов, наличие ножки и др. При имеющемся образовании с ножкой рекомендуется проводить УЗИ раз в полгода, при отсутствии ножки контрольные исследования следует делать чаще.
Хирургическое лечение полипоза
Репортаж о мастер-классе проф.
Абсолютным показанием в проведению операции являются крупные размеры образования и боль, испытываемая пациентом. Кроме того, следует знать, что полипам, не имеющим ножку, свойственно перерождение в злокачественные карциномы. Для них характерны быстрый рост и прогрессирование, что представляет угрозу для здоровья пациента. Безотлагательная операция в этом случае — единственное решение.
Объем хирургического вмешательства обговаривается в каждом конкретном случае индивидуально. Показанием к оперативному вмешательству являются полипы размером от 7 мм и выше, а также любой размер полипа расположенного в области шейки желчного пузыря в связи с резким нарушением функции органа и развития хронического холецистита.
Хирургические методы лечения полипов желчного пузыря
Посмотреть видео операций в исполнении профессора Пучкова К.В. Вы можете на сайте "Видео операций лучших хирургов мира".
Сегодня существуют два основных способа хирургического лечения полипоза:
Пучков К.В., Хубезов Д.А., Пучков Д.К., Родимов С.В. Миниинвазивные лапароскопические методики лечения заболеваний желчного пузыря: учебное пособие для врачей-хирургов // ГБОУ ВПО РязГМУ Минздрава России. - Рязань: РИО РязГМУ, 2015. – 115 с.
Пучков К.В., Пучков Д.К. ХИРУРГИЯ ЖЕЛЧНОКАМЕННОЙ БОЛЕЗНИ: лапароскопия, минилапароскопия, единый порт, трансанальный доступ, симультанные операции.-М.:ИД "МЕДПРАКТИКА-М", 2017, 312 с.

Патент. Способ временной фиксации органов брюшной полости и малого таза при лапароскопический операциях.

Лапароскопическое удаление желчного пузыря - однопортовая холецистэктомия
- — при этом методе вмешательство выполняется с помощью лапароскопического оборудования через небольшие разрезы на передней стенке брюшины, через прокол в околопупочной области или трансвагинально. Сегодня лапароскопия признана «золотым» стандартом в абдоминальной хирургии. Среди достоинств этого метода следует отметить отличный косметический результат: на коже остаются только небольшие разрезы. Период реабилитации значительно короче, чем при традиционном оперативном лечении. Пациент начинает ходить в первый день, на вторые сутки разрешается принимать жидкую пищу. Клинику прооперированный больной покидает, как правило, на 2 или 3 день после операции. К работе человек может приступить обычно на 10-14 день.
- традиционная холецистэктомия — операция открытым способом, проводится вручную, при этом на передней брюшной стенке выполняется разрез длиной 15-20 см. В настоящее время хирургическое вмешательство этим способом проводится только при осложнениях полипов желчного пузыря - перерождения в рак с метастазами в регионарные лимфатические узлы.
Эти операции выполняются под общим наркозом, при этом происходит удаление желчного пузыря вместе с полипами. К сожалению методов для удаления полипов из желчного пузыря в настоящее время не существует.
Трансвагинальная лапароскопическая холецистэктомия по методике N.O.T.E.S.
С 2007 г. во Франции, а с 2008 г. в Российской Федерации практикуется уникальный метод удаления желчного пузыря — трансвагинальная холецистэктомия по технологии N.O.T.E.S.. Операция проводится без каких-либо проколов брюшной стенки, соответственно отсутствуют послеоперационные рубцы. Суть хирургического вмешательства заключается в доступе к пораженному органу через небольшой прокол (1 см) заднего свода влагалища. Вмешательство выполняется с помощью лапароскопического интрументария и оптики, введенных в полость брюшины через этот доступ. После извлечения желчного пузыря через этот же доступ на прокол накладывают один шов. Синтетический шовный материал, используемый при этом, рассасывается в течение 3-4 недель.
Преимущества этого метода заключаются:
- в отсутствии болевого синдрома после проведения операции;
- двигательная активность пациента не нарушена;
- короткий реабилитационный период, госпитализация пациента длится всего один день;
- отличный косметический эффект;
Спустя 7-10 дней по операции человек может приступать к работе, заниматься спортом можно на 14 день. Среди ограничений в послеоперационный период следует назвать необходимость исключения интимных отношений в течение месяца. При этом органы половой сферы (матка, придатки и др.) при проведении трансвагинальной холецистэктомии не затрагиваются, поэтому их функциональность остается без изменений.
Однако использование этой методики невозможно технически в тех случаях, если больные в прошлом перенесли множество оперативных вмешательств на органах малого таза. Поэтому был разработан не менее эффективный метод малоинвазивной холецистэктомии, который с 2008 г. применяется в Америке, а с 2009 г. такие операции стали проводится и отечественными хирургами. Речь идет об удалении желчного пузыря через прокол в области пупка (технология SILS).
Однопортовая лапароскопическая холецистэктомия заключается в проведении операции с использованием специального устройства (порт), представляющего собой аппарат из мягкого пластика, который вводится в брюшную полость через прокол. Диаметр порта 23-24 мм. Именно через него вводятся лапароскопические инструменты, диаметр лапароскопа не превышает 5 мм. По завершении операции на небольшую рану накладывается косметический шов. Хирургическое вмешательство технологии SILS (однопортовая хирургия), в отличие от обычного лапароскопического доступа (многопрокольного), имеет ряд преимуществ:
- меньшее количество проколов на брюшной стенке;
- меньшая болезненность после операции;
- более короткий период реабилитации;
- косметический эффект лучше;
Особенно ощутимы преимущества этого метода проведения операции при множественных конкрементах в желчном пузыре — при обычной методике хирург должен увеличивать прокол для извлечения камней и больного органа.
Выбор подходящего метода хирургического лечения зависит от индивидуальных особенностей и состояния здоровья пациента. Обращение в клинику, где принимают квалифицированные и опытные специалисты, дает гарантию наиболее высокого результата лечения.
Полипы в желчном пузыре представляют серьезную опасность для человека. Следует знать, что помочь при этом заболевании может только врач. Никакие средства народной медицины неспособны избавить от полипов. Более того, расходуя драгоценное время на «лечение» по какому-нибудь новомодному рецепту, избегая операции, больной рискует упустить шанс на полное выздоровление.
Следует внимательно следить за своим самочувствие, не оставляя без внимания малейшее недомогание. Подчас, казалось бы, незначительный симптом может оказаться первым признаком серьезного недуга. Избежать грозных последствий очень просто — нужно всего лишь вовремя обратиться к врачу.

Когда вы пишете письмо, знайте:
оно попадает мне на мою личную электронную почту .
На все ваши письма я отвечаю всегда только сам. Я помню, что вы доверяете мне самое ценное — свое здоровье, свою судьбу, свою семью, своих близких и делаю все возможное, чтобы оправдать ваше доверие. Каждый день я по нескольку часов отвечаю на ваши письма. Направляя мне письмо с вопросом, вы можете быть уверены, что я внимательно изучу вашу ситуацию, при необходимости запрошу дополнительные медицинские документы. Огромный клинический опыт и десятки тысяч успешных операций помогут мне разобраться в вашей проблеме даже на расстоянии.
Многим пациентам требуется не хирургическая помощь, а правильно подобранное консервативное лечение, в то время как другие нуждаются в срочной операции. И в том, и в другом случае я намечаю тактику действий и при необходимости порекомендую прохождение дополнительных обследований или неотложную госпитализацию. Важно помнить, что некоторым больным для успешной операции требуется предварительное лечение сопутствующих заболеваний и правильная предоперационная подготовка.
В письме обязательно (!) укажите возраст, основные жалобы, место проживания, контактный телефон и адрес электронной почты для прямой связи. Чтобы я мог детально ответить на все ваши вопросы, прошу высылать вместе с вашим запросом сканированные заключения УЗИ, КТ, МРТ и консультаций других специалистов. После изучения вашего случая, я направлю вам либо подробный ответ, либо письмо с дополнительными вопросами.
В любом случае я постараюсь вам помочь и оправдать ваше доверие, которое является для меня наивысшей ценностью.
Полипы, аденомы желчного пузыря и желчных протоков - диагностика
Лучевая диагностика холестеринового полипа желчного пузыря
а) Терминология:
1. Синонимы:
• Очаговый холестероз желчного пузыря, полипоидный холестероз
2. Определение:
• Аномальное отложение эфира холестерина формирует напоминающую (кишечную) ворсинку структуру на тонкой ножке, покрытую однослойным эпителием
б) Визуализация:
1. Общая характеристика:
• Основной диагностический признак:
о Множественные мелкие не отбрасывающие тени образования, фиксированные к стенке желчного пузыря
• Локализация:
о В любом участке стенки желчного пузыря
о Чаще всего в средней трети желчного пузыря
• Размеры:
о Обычно 2-10 мм
• Морфология:
о Четко отграниченные овоидной/округлой формы
2. УЗИ холестеринового полипа желчного пузыря:
• УЗИ в черно-белом режиме:
о Полипоидное образование стенки желчного пузыря:
- Мелкое, обычно размеры 2-10 мм
- Единичное или множественное
- Содержимое средней или высокой эхогенности
- Поверхность гладкая, иногда дольчатые очертания
- Округлая или овоидная форма, узкое фиксированное к стенке желчного пузыря основание
- Не отбрасывает акустической тени (в отличие от конкрементов желчного пузыря)
- Неподвижно при перемене положения тела (в отличие от сладжа желчи)
- Прилегающий участок стенки желчного пузыря не изменен
- Отсутствует инвазия прилегающей паренхимы печени или метастазы в регионарных лимфоузлах
о Вариант УЗ-картины:
- Крупные размеры: описаны образования размером до 20 мм:
Тонкая текстура эхогенных очагов лучше всего различима при эндоскопическом УЗИ
- Имеют выраженную ножку, идущую от стенки желчного пузыря
• Энергетическая допплерография:
о При допплерографии аваскулярный или гиповаскулярный
о Более крупные образования могут иметь слабо развитую собственную сосудистую сеть

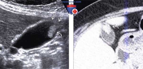
(Левый) Положение пациента на левом боку. На продольном УЗ срезе визуализируется холестериновый полип; стенка желчного пузыря не изменена.
(Правый) Тот же пациент. Некоторое время спустя выполнена КТ с контрастным усилением. На сагиттальной томограмме определяется холестериновый полип, отмечается легкое неспецифическое утолщение стенки желчного пузыря.
3. КТ при холестериновом полипе желчного пузыря:
• КТ без контрастирования:
о Мелкий мягкотканной плотности узел на стенке желчного пузыря
о Отсутствие изменений стенки желчного пузыря
о Кальцинаты или жировой компонент отсутствуют
• КТ с контрастированием:
о Легкое усиление контрастности
о Множественные образования обычно лучше всего видны после внутривенного введения контраста
4. МРТ при холестериновом полипе желчного пузыря:
• Т1-ВИ:
о Мелкий округлый узел стенки желчного пузыря
о Гомогенный; сигнал средней интенсивности
• Т2-ВИ:
о Гомогенный, интенсивность сигнала средняя или низкая
• Т1-ВИ с контрастированием и подавлением жира (Т1WI C+FS):
о Легкое усиление контрастности при отсутствии изменений стенки желчного пузыря
• МР холангиопанкреатография:
о Дефект заполнения с низкой интенсивностью сигнала, фиксированный к стенке желчного пузыря О Контрастирует с выражение гиперинтенсивной желчью в просвете желчного пузыря
5. Рекомендации по визуализации:
• Оптимальный метод визуализации:
о Ультразвуковое исследование органов брюшной полости -наиболее чувствительный метод выявления мелких холестериновых полипов:
- Эндоскопическое ультразвуковое исследование дополняет УЗИ брюшной полости
• Рекомендации по методике проведения исследования
о Для получения достоверных результатов исследования большое значение имеет голодание в течение достаточного периода времени
о Для получения качественного изображения оптимизируйте разрешение и установите фокальную зону на уровне образования желчного пузыря
о Продемонстрируйте неподвижность полипа желчного пузыря, выполнив сканирование в положении пациента на спине, на боку (на левом > на правом)
о Алгоритм лечения при случайной находке полипоидного образования желчного пузыря:
- - 7-9 мм: ежегодное ультразвуковое исследование для оценки роста
- > 10 мм: консультация хирурга
о Дополнительное обследование: КТ с контрастированием или контрастная МРТ в атипичных случаях или в ходе предоперационной подготовки

(Левый) На продольном УЗ срезе определяются два мелких холестериновых полипа . Образования неподвижны и не отбрасывают тени.
(Правый) МРТ в режиме Т2 HASTE по поводу объемного образования почки. На корональной томограмме случайно обнаружен мелкий низкоинтенсивный полип, стенка желчного пузыря не изменена.
в) Дифференциальная диагностика холестеринового полипа желчного пузыря:
1. Гиперпластический холецистоз/аденомиоматоз:
• Очаговая (фундальная) форма:
о Гладкое образование на широком основании в области дна или «перетяжка» в средней части тела пузыря
о Стенка желчного пузыря становится источником артефактов типа «хвоста кометы»
2. Не отбрасывающие тени конкременты желчного пузыря:
• Высокоэхогенны
• Подвижны, вт.ч. под действием гравитации
• Обратите внимание: до 20% резецированных полипов представляют собой конкременты, фиксированные к стенке желчного пузыря
3. Аденома:
• 4% полипоидных образований желчного пузыря
• Солитарные новообразования
• Более крупные, хотя и вариабельные, размеры (> 10 мм)
• Обычно имеют ножку
• При цветовой допплерографии может определяться кровоток; эндоскопическое ультразвуковое исследование имеет более высокую чувствительность
4. Сладж желчи:
• Эхогенность от средней до высокой
• Подвижны, в т.ч. под действием гравитации
• Уровень жидкость/осадок
• Не отбрасывают акустической тени
5. Воспалительный полип:
• 5-10% полипов желчного пузыря
• В 50% случаев - множественные
• Развиваются на фоне желчнокаменной болезни или хронического холецистита
6. Карцинома желчного пузыря:
• Неправильной формы мягкотканное утолщение стенки или объемное образование желчного пузыря
• На ранних стадиях неинвазивная карцинома может быть гомогенной и иметь широкое основание
• Признаки прорастания прилегающей паренхимы печени и метастазов в регионарных лимфоузлах
• Густая хаотичная собственная сосудистая сеть
7. Метастазы в желчном пузыре:
• Чаще всего их источником является меланома или аденокарцинома желудочно-кишечного тракта
• Гиперэхогенное полипоидное объемное образование на широком основании
• Размеры обычно > 10 мм
• В анамнезе данные о наличии первичной опухоли

(Левый) У пациента с циррозом на поперечном УЗ срезе визуализируется крупный, несколько менее эхогенный полип на тонкой ножке и смещающиеся книзу под действием гравитации конкременты желчного пузыря.
(Правый) У этого же пациента при Т1-взвешенной с контрастным усилением МРТ в отсроченную фазу на аксиальной томограмме визуализируется гладкий контрастный полип желчного пузыря. Также отмечается отек прилегающей стенки желчного пузыря.
г) Патология:
1. Общая характеристика:
• Этиология:
о Возможно, развивается в результате осаждения холестерина из перенасыщенной желчи
о Не отмечено предрасположенности к холециститу или функциональным расстройствам
• Генетика:
о Генетической предрасположенности не выявлено
• Сопутствующая патология
о Иногда сопутствует холелитиазу
2. Макроскопические и хирургические особенности:
• На срезе - множественные желтые узлы
• Гладкие выросты слизистой но ножке/широком основании
• Поверхность слизистой не изменена
• Стенка желчного пузыря не изменена, за исключением случаев развития осложнений или воспаления
3. Микроскопия:
• Фокальное скопление нагруженных липидами макрофагов под нормальным цилиндрическим эпителием
• Фиброзная строма
• Различной степени выраженности инфильтрация клетками хронического воспаления
• Неизмененная слизистая с гладкими выростами
• Отсутствуют признаки инфильтрации мышечного слоя
д) Клинические особенности:
1. Проявления холестеринового полипа желчного пузыря:
• Наиболее частые жалобы/симптомы:
о Бессимптомные случайные находки при ультразвуковом исследовании по поводу другой патологии
• Другие жалобы/симптомы:
о Легкий неспецифический дискомфорт в животе справа вверху
2. Демография:
• Возраст:
о Чаще встречается в среднем возрасте
• Пол:
о МОК
3. Эпидемиология:
о 5% популяции имеют полипы, 50% из которых-холестериновые полипы
о В 6% удаленных желчных пузырей
4. Течение и прогноз:
• Не озлокачествляются
• Увеличения размеров при периодических контрольных УЗИ не отмечается
5. Лечение холестеринового полипа желчного пузыря:
• Холецистэктомия показана только при:
о Появлении жалоб
о Сочетании с конкрементами желчного пузыря и холециститом
о Факторы риска озлокачествления полипа:
- Возраст >50 лет
- Размеры > 10 мм (большинство злокачественных полипов > 10 мм)
- Постепенное увеличение размеров при периодических контрольных УЗИ
- Наличие широкого основания
- Конкременты желчного пузыря
- Солитарное новообразование
- Первичный склерозирующий холангит
е) Диагностические особенности:
1. Следует учесть:
• Обратите пристальное внимание на новообразованный полип желчного пузыря размером > 10 мм, имеющий неправильные контуры и широкое основание, сопровождающийся изменениями стенки желчного пузыря и инвазией в прилегающие структуры, демонстрирующий рост при нескольких последовательных УЗ-исследованияй
• Дальнейшее обследование включает в себя КТ с контрастированием и МРТ с контрастным усилением
2. Советы по интерпретации изображений:
• Множественные мелкие округлые/овоидные образования, фиксированные к стенке желчного пузыря, не отбрасывающие акустической тени
• Легко дифференцируются от не отбрасывающих тени конкрементов желчного пузыря или сладжа желчи при выявлении неподвижности полипа
Полипы желчного пузыря
Полипы желчного пузыря — это истинные доброкачественные опухоли или псевдоопухолевые образования, происходящие из желчнопузырного эпителия. Почти в 2/3 случаев течение бессимптомное. Могут проявляться тупыми болями или коликами в области правого подреберья, диспепсией, прогрессирующим ухудшением общего самочувствия. Диагностируются с помощью сонографии желчного пузыря, РХПГ, дуоденального зондирования, анализа желчи, гистологического исследования. Для консервативной терапии псевдополипов применяют антибиотики, холеретики, холекинетики, спазмолитики, хено- и урсодезоксихолевую кислоту. Истинные полипы удаляют в ходе открытой или лапароскопической холецистэктомии.
МКБ-10
Общие сведения
Распространенность желчнопузырных полипов в популяции составляет 1,5-9,5%. У женщин полипоз желчного пузыря встречается в 4 раза чаще, чем у мужчин. Истинные и псевдополипы, растущие в просвет желчного пузыря, обычно выявляют после 30-35 лет, у детей полиповидные образования возникают редко. У пациентов мужского пола преобладает полипозный холестероз, у женщин относительно чаще возникают аденоматозные и папилломатозные разрастания. Актуальность своевременного обнаружения полипов, определения их морфологического типа и выбора оптимальной врачебной тактики обусловлена длительным бессимптомным течением заболевания и высоким риском озлокачествления истинных новообразований.
Причины
Желчнопузырный полипоз является полиэтиологическим заболеванием, преимущественно связан с воздействием различных раздражающих факторов на слизистую желчного пузыря. У части пациентов болезнь имеет генетическое происхождение. Специалисты в сфере современной гастроэнтерологии и гепатологии выделяют три основных группы причин, способствующих образованию полипов желчного пузыря:
- Отягощенная наследственность и дисэмбриогенез. Риск формирования полипозных образований повышается при наличии в роду желчнопузырного полипоза. Обычно наследуются аденомы и папилломы желчного пузыря. Определенную роль могут играть внутриутробные мутации генов, возникающие под влиянием вирусов, радиации, эмбрио- и фетотоксических химических веществ.
- Гепатобилиарная патология. Чаще всего полипы образуются на фоне хронического холецистита, сопровождающегося застоем желчи, утолщением и деформацией стенки, персистенцией в полости желчного пузыря патогенных и условно-патогенных инфекционных агентов. Развитию заболевания также способствуют холангиты, холецистохолангиты, дискинезия желчевыводящих путей.
- Метаболические расстройства. При нарушениях липидного обмена и повышении сывороточной концентрации холестерина в стенках желчного пузыря образуются холестериновые псевдополипы. Отложение избытка холестерина в желчнопузырной слизистой также возможно при повышении его содержания в желчи у больных с ЖКБ, описторхозом и другими глистными инвазиями.
Патогенез
Механизм формирования полипов желчного пузыря определяется типом объемных образований и причинами, вызвавшими заболевание. Патогенез истинных доброкачественных опухолей (полипов, аденом) предположительно основан на нарушении механизмов, которые контролируют деление, рост, запрограммированную смерть призматических и базальных желчнопузырных эпителиоцитов. Результатом эпителиальной гиперплазии становится образование медленно растущих аденоматозных и папилломатозных полипов без признаков клеточной атипии.
Воспалительные псевдополипы являются гранулемами, возникшими в результате пролиферации и трансформации фагоцитирующих клеток. Псевдоопухолевое образование формируется поэтапно с инфильтрацией слизистого слоя желчного пузыря юными моноцитарными фагоцитами, которые созревают в макрофаги и впоследствии преобразуются в эпителиоидные клетки. Развитие холестериновых опухолевидных образований основано на отложении под эпителиальной оболочкой избытка холестерина, который со временем может кальцинироваться.
Классификация
Систематизация клинических форм заболевания проводится с учетом расположения полипов, их количества и морфологических особенностей. Полипозные разрастания бывают единичными и множественными. По локализации различают малосимптомные полипы тела, дна желчного пузыря и клинически выраженные полипообразные разрастания шейки органа, пузырного протока. С учетом гистологического строения выделяют:
- Холестериновые псевдополипы — опухолевидные образования, представленные отложениями холестерина под желчнопузырной слизистой оболочкой. По разным данным, встречаются в 87-95%, могут рассасываться после проведения консервативной терапии.
- Воспалительные псевдополипы — гранулематозные разрастания эпителиального слоя в результате скопления фагоцитирующих клеток и реактивной гиперплазии эпителия. Возможен регресс после проведения противовоспалительной терапии.
- Истинные полипы — аденомы, образованные гиперплазированным железистым эпителием, и папилломы, представленные сосочковидными разрастаниями. При маленьких опухолях рекомендовано наблюдение, большие и быстро увеличивающиеся полипы подлежат удалению вместе с желчным пузырем.
Симптомы
Заболевание длительное время может протекать без клинических проявлений. Выраженность симптоматики в основном зависит от локализации полипов желчного пузыря. Чаще всего единственным признаком болезни являются периодические тупые боли в правом подреберье, возникающие независимо от приема пищи. Реже пациенты жалуются на интенсивную болезненность в проекции органа, усиливающуюся после физических нагрузок или употребления жирных блюд. У части больных возможно возникновение сильных приступообразных болей, напоминающих желчную колику.
При желчнопузырных полипах также наблюдаются диспепсические расстройства: горечь во рту, отрыжка, тошнота. Иногда наблюдается рвота с примесью желчи. При длительном течении болезни отмечается ухудшение общего состояния: снижение аппетита, постоянная слабость, уменьшение толерантности к физическим нагрузкам. При локализации полипов в области шейки желчного пузыря симптоматика может напоминать острый холецистит – резкие боли сопровождаются повышением температуры тела, тошнотой и рвотой.
Осложнения
Обтурация желчного пузыря полипами способствует нарушению оттока желчи и активному размножению патогенной микрофлоры, инфицированию содержимого органа, развитию острого холангита и холецистита. Без лечения такое состояние может спровоцировать возникновение эмпиемы желчного пузыря, его перфорацию с выходом гноя в полость брюшины и билиарным перитонитом. Сопутствующее увеличение давления в холедохе сопровождается забрасыванием желчи в общий панкреатический проток, что повышает вероятность хронического панкреатита.
Полипозные образования могут увеличиваться в размерах и закупоривать общий желчный проток, что приводит к механической желтухе. При этом у пациентов возникает желтушное окрашивание склер и слизистых, кожный зуд, болезненность при пальпации печени. Попадание большого количества компонентов желчи в кровь (холемия) характеризуется эндотоксемическим синдромом, снижением фильтрационной способности почек и нарушением проницаемости гематоэнцефалического барьера. В 10-30% случаев истинные желчнопузырные полипы малигнизируются.
Диагностика
Постановка диагноза без данных инструментального обследования затруднена, поскольку желчнопузырный полипоз не имеет патогномоничных клинических симптомов. Заподозрить заболевание необходимо при наличии хронических жалоб со стороны билиарной системы и отсутствии характерных признаков ЖКБ. Наиболее информативными в диагностическом плане являются такие методы исследования, как:
- Ультразвуковое исследование желчного пузыря. Сонография — основной метод экспресс-диагностики заболевания. Во время УЗИ желчного пузыря выявляются округлые образования с четкими контурами, утолщение и отечность стенок органа. Метод не позволяет обнаружить полипы маленького размера (до 5 мм).
- РХПГ. Введение гибкого эндоскопа помогает оценить состояние сфинктера Одди, осмотреть крупные желчные протоки. При последующем выполнении ретроградной холангиопанкреатографии с заполнением билиарной системы контрастным веществом полипы визуализируются как округлые дефекты наполнения.
- Дуоденальное зондирование. Последовательный забор нескольких фракций желчи через зонд производится для оценки функционального состояния желчного пузыря. Небольшое количество желчи из порций В и С, получаемых при дуоденальном зондировании, используют для биохимического и бактериологического анализа.
- Исследование желчи. При осложнениях полипов повышается плотность желчи, реакция рН смещается в кислую сторону. Микроскопически определяется высокое содержание лейкоцитов, слизи и эпителиоцитов. Бакпосев подтверждает сопутствующий холецистит (прогностически значим уровень бактерий 107 КОЕ/мл).
- Гистологический анализ. Изучение тканевой структуры образований под микроскопом проводят после их хирургического или эндоскопического удаления для подтверждения доброкачественного характера заболевания. В ходе гистологического исследования уточняется морфологический тип полипа.
В общем анализе крови все показатели обычно в пределах нормы, в период обострения заболевания возможен умеренный лейкоцитоз. Характерные изменения в биохимическом анализе крови — повышение уровня трансаминаз (АСТ и АЛТ), незначительное снижение общего белка. При затруднениях в диагностике осуществляют КТ для детальной визуализации желчного пузыря.
В первую очередь полипы необходимо дифференцировать с хроническим холециститом. Основная диагностическая находка, которая свидетельствует в пользу полипоза, — выявление при ультразвуковом исследовании округлых образований в желчном пузыре. При обострении проводят дифференциальную диагностику с острой хирургической патологией. Обследованием пациента занимается врач-гастроэнтеролог, гепатолог, при неясной этиологии образований необходима консультация онколога.
Лечение полипов желчного пузыря
При выборе метода терапии учитывают тип объемного образования. Пациентам с воспалительными гранулематозными псевдополипами обычно рекомендовано медикаментозное лечение хронического холецистита с использованием антибиотиков, спазмолитиков, холеретиков и холекинетиков. При наличии наиболее распространенных холестериновых полипов эффективно назначение препаратов урсодезоксихолевой и хенодезоксихолевой кислоты, которые стимулируют образование желчи и улучшают ее качественный состав, способствуя растворению скоплений холестерина.
Консервативных методов лечения истинных желчнопузырных полипов не предложено. Больные с единичными доброкачественными опухолями размерами до 10 мм подлежат динамическому наблюдению с проведением УЗИ раз в полгода при выявлении образования на ножке и раз в квартал — при полипе с широким основанием. При обнаружении множественных новообразований без ножки, величине опухоли более 10 мм или ее увеличении более чем на 2 мм в год, показано удаление желчного пузыря. С учетом клинической ситуации выполняются:
- Малоинвазивные вмешательства. Наиболее часто проводится лапароскопическая холецистэктомия, минимизирующая травматические повреждения при удалении желчного пузыря вместе с полипами. В последние годы большой популярностью пользуется однопортовая SILS-холецистэктомия с доступом к органу через единственный мини-разрез в пупочной области.
- Классические операции. При сочетании истинных полипов с осложненной желчнокаменной болезнью или возникновении осложнений при лапароскопических вмешательствах показана открытая холецистэктомия. Пациентам с ранее перенесенными абдоминальными операциями, тяжелой сопутствующей патологией желчный пузырь может удаляться из мини-доступа.
Прогноз и профилактика
Исход болезни зависит от расположения и размеров полипов, а также от своевременности начатого лечения. У пациентов с единичными образованиями до 1 см в диаметре прогноз благоприятный. Прогностически неблагоприятным считается возраст старше 65 лет, множественные полипы шейки пузыря и желчевыводящего протока, наличие конкрементов. Меры специфической профилактики заболевания не разработаны. Для предупреждения осложнений необходимо тщательно обследовать больных с патологией билиарного тракта и проводить комплексное лечение.
1. Диагностика и лечение доброкачественных полиповидных образований желчного пузыря. Автореферат диссертации/ Выступец Б.В. – 2009.
2. Лечение полипов желчного пузыря/ Мундуков К.Ж.// Современные проблемы науки и образования. — 2013 — № 5.
3. Диагностика и лечение полипов желчного пузыря / Оморов Р.А., Мундуков К.Ж. // Вестник Алматинского государственного института усовершенствования врачей. – 2013 - №1.
а) Определение:
• Полиповидное (или на широком основании) объемное образование в слизистой оболочке желчного пузыря, выбухающее в его просвет
1. Общая характеристика:
• Лучший диагностический критерий:
о Фиксированное гиперэхогенное образование, выбухающее из слизистой оболочки желчного пузыря в его просвет, не дающее задней акустической тени
• Локализация:
о Просвет желчного пузыря
• Морфология:
о Образование располагается на ножке или на широком основании
2. Рекомендации по визуализации:
• Лучший диагностический метод:
о УЗИ, эндоскопическая ультрасонография
3. КТ признаки полипа желчного пузыря:
• На КТ визуализация полипов затруднена из-за низкого пространственного разрешения:
о При компьютерной томографии размер полипа недооценивается по сравнению с УЗИ
• Полипы лучше визуализируются на КТ с контрастным усилением, т. к. имеют кровоснабжение:
о Характеризуются вариабельным накоплением контраста
о Не существует достоверных доказательств того, что картина контрастного усиления полипа позволяет сделать вывод о его злокачественности
• Вероятные признаки злокачественности: большие размеры полипа и нечеткость его контуров
• КТ применима для местного стадирования (метастатическое поражение лимфоузлов, инвазия печени, метастазы) при наличии крупных полипов с высоким риском злокачественности

(Слева) На сонограмме у мужчины 43 лет визуализируются два мелких полипа в желчном пузыре. Оценка подвижности при исследовании в реальном времени помогает отличить полипы от небольших камней, не дающих акустической тени, и сладжа.
(Справа) На аксиальной Т2 ВИ FS МР томограмме у этого же пациента визуализируются два полипа, которые были обнаружены случайно два года назад и оставались стабильными в течение этого времени. Несмотря на то, что мелкие полипы редко являются злокачественными, при их обнаружении обычно назначается УЗИ в динамике. Продолжительность наблюдения и интервал между сонографическими исследованиями четко не определены.
4. УЗИ признаки полипа желчного пузыря:
• Чувствительность УЗИ в обнаружении полипов низкая и составляет только около 50%, метод позволяет идентифицировать только половину полипов, обнаруживаемых при патоморфологическом исследовании
• Уровень ложноположительных результатов достигает 30%, а прогностическое значение положительного результата составляет только 10% по сравнению с гистологическим исследованием:
о Низкая точность в обнаружении полипов меньше 5 мм
о Возможно, вследствие того, что за полипы могут ошибочно приниматься конкременты, складки желчного пузыря, сладж, холестериновые полипы
о Примерно 10% полипов не выявляются при контрольном УЗИ:
- В случае если при предыдущем исследовании изменения были интерпретированы неверно, или произошел отрыв полипа, или имело место обратное развитие воспалительного полипа
• Фиксированный эхогенный «вырост» (узел) слизистой оболочки на широком основании или с закругленным краем:
о Акустическая тень, в отличие от камней, не определяется
о Очаги высокой эхогенности или артефакты в виде «хвоста кометы» в образовании позволяют предположить холестериновый полип
о В больших полипах может наблюдаться кровоток при цветовой допплерографии
о Достоверные сонографические признаки, позволяющие дифференцировать доброкачественные и злокачественные полипы, отсутствуют:
- Остается неоднозначной связь между полипами на широком основании и злокачественной опухолью
- Множественные узлы, скорее всего, являются доброкачественными и обычно представляют собой холестериновые полипы: неопластические полипы чаще всего единичные
• Эндоскопическая ультрасонография обладает большей точностью в дифференциальной диагностике доброкачественных (97%) и злокачественных (76%) полипов:
о Позволяет лучше оценить инвазию опухоли в слизистую оболочку
5. Радионуклидная диагностика:
• ПЭТ/КТ:
о Рак желчного пузыря интенсивно накапливает ФДГ по сравнению с печенью
о Некоторые исследования подтверждают роль ПЭТ в стратификации риска злокачественности полипов размерами 10-20 мм

(Слева) На сонограмме у женщины 55 лет в области дна желчного пузыря визуализируется полип размером 1,8 см. Потеря отражающей способности прилежащих отделов стенки желчного пузыря позволяет заподозрить неопластическую природу полипа. Эти изменения, а также размер полипа послужили поводом для выполнения элективной холецистэктомии, при которой подтвердился солитарный полип большого размера.
(Справа) На аксиальной КТ с контрастным усилением у этой же пациентки в дне желчного пузыря визуализируется объемное образование, накапливающее контраст. Отсутствие признаков трансмуральной инвазии позволяет выполнить лапараскопическую (а не открытую) холецистэктомию.
в) Дифференциальная диагностика полипа желчного пузыря:
1. Опухолевидный сладж:
• Ограниченное полиповидное или опухолевидное скопление холестерина или кристаллов кальция билирубината
• Сладж не дает акустической тени, кровоток при цветовой допплерографии отсутствует
• Смещается со сменой положения пациента при исследовании
2. Желчные конкременты:
• Дают заднюю акустическую тень
• Обусловливают появление «мерцающего» артефакта при цветовой допплерографии
• Свободно перемещаются в желчном пузыре (если не внедрены)
3. Полиповидный рак желчного пузыря:
• Имеет больший размер по сравнению с аденомой, часто >15 мм
• В случае инвазии стенки может приводить к снижению ее отражающей способности на ограниченном участке
• Цветовая допплерография позволяет обнаружить признаки наличия кровотока в образовании
• Вызывает лимфаденопатию ворот печени и/или прямую инвазию печени
• Часто обнаруживается совместно с желчными камнями
4. Метастазы в желчном пузыре:
• Чаще всего-метастазы меланомы
• Полиповидное образование желчного пузыря в сочетании с метастазами в других органах
5. Аденомиоматоз:
• Утолщение стенки, напоминающее узел или опухоль, и обычно обусловливает появление артефактов типа «хвоста кометы»

(Слева) На сонограмме у женщины 55 лет с жалобами на боль в правом подреберье визуализируется полиповидное образование с широким основанием, размером 2 см. Наличие симптоматики, размер и конфигурация полипа послужили поводом для лапароскопической холецистэктомии.
(Справа) На аксиальной КТ с контрастным усилением у этой же пациентки определяется утолщение стенки желчного пузыря на ограниченном участке при отсутствии явного трансмурального поражения. При патоморфологическом исследовании подтвердилась инвазивная аденокарцинома желчного пузыря. Случайно выявленная на ранних стадиях аденокарцинома часто выглядит как полип на широком основании при лучевых методах исследования.
1. Общая характеристика:
• Этиология:
о Неизвестна
• Генетические нарушения:
о Имеется связь между аденомами желчного пузыря и семейным аденоматозным полипозом, синдромом Пейтца-Егерса
2. Стадирование, градации и классификация полипа желчного пузыря:
• Неопластические полипы:
о Аденома:
- Доброкачественное новообразование
- Составляет 0,5-4% всех полипов
- Часто сочетается с желчными конкрементами
- Процесс развития рака из аденомы не ясен; последовательность «аденома-карцинома», имеющая место при раке толстой кишки, при раке желчного пузыря не прослеживается:
Неизвестно, возникает ли рак желчного пузыря из аденомы или нет
о Аденокарцинома:
- 15-25% всех аденокарцином желчного пузыря выглядят как полиповидные образования
- Солитарное новообразование обычно размером > 1 см (согласно данным одного исследования 88% аденокарцином имели размер > 1 см)
- Может иметь широкое основание или инвазировать слизистую оболочку
о Редкие доброкачественные опухоли: лейомиома, липома, нейрофиброма, карциноид
о Редкие злокачественные опухоли: плоскоклеточный рак, муцинозная цистаденокарцинома
• Неопухолевые полипы:
о Обнаруживаются в большинстве (> 95%) случаев
о Холестериновые полипы:
- В трети случаев при холестерозе желчного пузыря выглядят как полиповидные образования, в остальных случаях - как диффузное узловое утолщение стенки
- Составляют 60% всех полипов
- Инфильтрация слизистой оболочки и собственной пластинки слизистой оболочки с накоплением «пенистых» макрофагов, нагруженных липидами
- Множественные, размером о Аденомиоматоз:
- Очаговый аденомиоматоз может имитировать полип
- Составляет 25% всех полипов
- Обычно наблюдается в области дна, размер 10-20 мм
- Распространенная пролиферация эпителия с инвагинацией в мышечный слой
о Воспалительные полипы:
- Составляют 10% всех полипов
- Возникают вследствие разрастания грануляций и фиброзной ткани на фоне хронического воспалительного процесса
- Могут располагаться на широком основании или на ножке, обычно имеют размер о Хористома (редкое состояние): гетеротопия тканей желудка, поджелудочной железы, печени
3. Микроскопия:
• Аденомы могут быть тубулярными, папиллярными, тубулярно-папиллярными:
о Чаще всего встречаются тубулярные аденомы:
- Образованы пилорическими железами или железами интестинального типа, покрыты холангиоцитами
• Холестериновые полипы образованы слоями макрофагов, нагруженных липидами, покрыты неизмененной слизистой оболочкой желчного пузыря
г) Клинические особенности:
1. Проявления полипа желчного пузыря:
• Наиболее частые признаки/симптомы:
о В большинстве случаев полипы не обусловливают появление симптоматики
• Другие признаки/симптомы:
о Обсуждается вопрос о связи полипов желчного пузыря с хронической диспепсией
о Холестериновые полипы могут отделяться от стенки и вести себя подобно камням:
- Могут приводить к возникновению желчной колики, развитию обструкции, панкреатита
о Лабораторные данные: раковый эмбриональный антиген и СА 19-9 не имеют значения в дифференциальной диагностике доброкачественных и злокачественных полипов
2. Демография:
• Эпидемиология:
о Распространенность различается в зависимости от половых и возрастных особенностей обследуемых групп населения:
- 1,5-5% при УЗИ органов брюшной полости
- 0,005-13,8% при исследовании желчного пузыря после холецистэктомии
о Отсутствует достоверная взаимосвязь с возрастом, полом или наличием ожирения
о В одном из исследований была обнаружена обратная зависимость между конкрементами и полипами желчного пузыря
- Полипы сложнее визуализировать при наличии конкрементов
3. Течение и прогноз:
• Развитие полипов и варианты ведения пациентов являются предметами споров, однозначного результата на данный момент не получено
• При крупном проспективном исследовании случайно обнаруженных полипов размером меньше 10 мм не было обнаружено изменений размеров в течение двух и пяти лет
• В ретроспективном исследовании только в 1% случаев из 346 случайно выявленных полипов было выявлено увеличение размеров: ни один из полипов • Факторы риска злокачественности:
о К предполагаемым факторам риска злокачественного новообразования относятся: возраст старше 60 лет, наличие желчных конкрементов, сочетанный первичный склерозирующий холангит (ПСХ):
- Другие подозрительные изменения: неравномерное утолщение стенки желчного пузыря, полипы на широком основании
о Размер полипа является наиболее приемлемым показателем злокачественности:
- Все полипы размером > 20 мм являются злокачественными (инвазивный рак или дисплазия высокой степени)
- 43-77% полипов размером 10-20 мм - злокачественные
- 94% доброкачественных полипов - Пороговое значение размера, позволяющее разграничить доброкачественные и злокачественные полипы, согласно старым исследованиям, составляет 10 мм; тем не менее, на основании некоторых других исследований выдвигаются предложения уменьшить пороговое значение до 6 мм, чтобы добиться стопроцентной чувствительности, пусть даже ценой снижения специфичности
о Обнадеживающие признаки: стабильность во времени, множественность полипов, наличие ножки
д) Диагностическая памятка. Следует учесть:
• Размер - наиболее важный параметр, позволяющий предположить злокачественную опухоль
• Несмотря на то, что риск злокачественности малых полипов (меньше 6 мм) ничтожно мал, некоторые руководства до сих пор рекомендуют УЗИ для оценки их изменений со временем
е) Список использованной литературы:
1. Wiles R et al: Growth rate and malignant potential of small gallbladder polyps - Systematic review of evidence. Surgeon. 12(4):221-226, 2014
Доброкачественные опухоли и кисты печени - клиника, диагностика, современные методы хирургического лечения
В большинстве своем доброкачественные опухоли (ДОП)- клинически малосимптомные или бессимптомные новообразования печени, исходящие либо из эпителиальной ткани (гепатоцеллюлярная аденома и др.), либо из стромальных и сосудистых элементов.
Распространение заболевания.

Пучков К.В., Баков В.С., Иванов В.В. Симультанные лапароскопические оперативные вмешательства в хирургии и гинекологии: Монография. - М.: ИД МЕДПРАКТИКА, 2005. - 168 с.

Пучков К.В., Иванов В.В. и др. Технология дозированного лигирующего электротермического воздействия на этапах лапароскопических операций: монография. - М.: ИД МЕДПРАКТИКА, 2005. - 176 с.
Данные по эпидемиологии ДОП очень скудны. Достаточно четкие сведения имеются лишь в отношении наиболее частой из доброкачественных новообразований печени - гемангиомы. Эти опухоли встречаются у 1-3% населения, чаще у женщин. Примерно у 1% населения встречаются непаразитарные кисты печени. Остальные виды доброкачественных новообразований печени обнаруживаются существенно реже.
Классификация доброкачественных опухолей печени
К доброкачественным опухолям печени относятся гемангиомы, лимфангиомы, фибромы, липомы и смешанные опухоли - гамартомы (тератомы). Логично отнести к доброкачественным новообразованиям печени также и непаразитарные кисты. Среди них выделяют истинные кисты (дермоидные, ретенционные цистаденомы) и поликистоз печени (более чем у половины больных он сочетается с кистозными изменениями других органов- почек, поджелудочной железы, яичников). Нередко наблюдаются также ложные кисты (травматические, воспалительные). Истинные кисты, как правило, одиночные; ложные могут быть как одиночными, так и множественными. Объем множественных кист обычно составляет несколько миллилитров, в то время как объем солитарных (истинных и ложных) кист может достигать 1000 мл и более.
Диагностика доброкачественных образований печени
Общими для ДОП являются два важных признака: 1) отсутствие повышения концентраций альфа-фетопротеина, карциноэмбрионального антигена СА - 199 сыворотки крови; 2) отсутствие отчетливого повышения активности аспарагиновой и аланиновой аминотрансфераз (АсАТ и АлАТ), щелочной фосфатазы (ЩФ), гамма- глутамилтрансферазы (ГГТФ) и лактатдегидрогеназы (ЛДГ).
Эти признаки надежны только в случаях отсутствия хронических или острых диффузных заболеваний печени, которые сами по себе могут вызывать изменения вышеприведенных тестов. Существенную помощь оказывает использование УЗИ и КТ (или ЯМР) с болюсным контрастированием, обладающие высокой разрешающей способностью.
Киста печени
Дифференциальная диагностика ДОП обычно начинается с исключения кист. Чаще встречаются непаразитарные кисты. Учитывается возможность поликистозной болезни, а также солитарных и множественных истинных и ложных кист печени.
Большинство кист небольшие (диаметром 1-5 см), чаще встречаются у женщин. Значительная часть их имеет бессимптомное течение. У ряда больных отмечаются боли в правом подреберье, у одних - постоянные, у других - периодические. Существенную помощь оказывает использование УЗИ и КТ (или ЯМР), обладающие высокой разрешающей способностью. Необходимо учитывать возможность поликистоза печени.
Дифференциальная диагностика простых кист проводится также с паразитарными кистами печени (эхинококкоз). В пользу последних говорят положительные реакции с эхинококковым антигеном и Кацони, а также обнаружение в зоне опухолевидного образования обызвествлений, хотя и геменгиомы изредка могут обызвествлятся.
Киста печени лечение
Часть непаразитарных кист печени лечению также подлежит оперативному, в связи с реальной возможностью их разрыва, инфицирования и кровоизлияния в просвет кисты. Кроме того, быстро растущие крупные кисты приводят к нарушению функций печени вследствие атрофии и замещения печеночной паренхимы кистозным образованием. Среди операций наиболее часто используют резекцию печени, перицистэктомию и вылущивание кисты.
В последние годы широкое распространение получили транспариетальные пункции кист под контролем УЗИ или КТ. После аспирации содержимого в просвет кисты вводят 96*раствор этилового спирта для склерозирования внутренней оболочки кисты. Эта операция эффективна при размере кисты до 5 см. Если нет эффекта от данных способов лечения или киста имеет больший размер, показана операция - лапароскопическое иссечение участка кисты с последующей деэпителизацией внутренней оболочки кисты аргонусиленной плазмой или расфокусированным лучом лазера. Аналогичная тактика используется и при поликистозе печени. При осложненном поликистозе печени (нагноение, кровотечение, озлокачествление, сдавление крупными кистами желчных путей, воротной или полой вены) показано оперативное лечение. Обычно выполняют фенестрацию (вскрытие выступающих над поверхностью печени кист) с последующей деэпителизацией внутренней оболочки кисты.
Посмотреть видео операций при кистах печени в исполнении профессора Вы можете на сайте "Видео операций лучших хирургов мира".
Гепатоцеллюлярная аденома
Клинически это малосимптомная доброкачественная опухоль печени, имеющая признаки аденомы, развивающейся из гепатоцитов, нередко отграничена капсулой. Чаще поражает женщин, обычно в связи с длительным приемом эстрогенпрогестативных противозачаточных средств. Реже возникает при длительном приеме анаболических стероидов. Аденома развивается достаточно редко: у 3-4 человек на 100 000 длительно пользующихся контрацептивами.
Как правило (90%), она бывает одиночной. Обнаруживается чаще в правой доле, субкапсулярно. Если располагается в передненижних отделах, то пальпируется в виде гладкого неплотного образования. Более «агрессивным» течением отличаются аденомы, развившиеся на фоне приема анаболических стероидов. Изредка наблюдаются осложнения в виде интраперитонеальных кровотечений. Очень редко аденома перерождается в злокачественную опухоль.
Очаговая (фокальная) узелковая гиперплазия
Клинически это малосимптомная доброкачественная опухоль, не имеющая капсулы. Центральная часть опухоли представлена рубцовой соединительной тканью, а периферическая - узелково трансформированной гепатоцеллюлярной тканью. Чаще расположена субкапсулярно. Нередко в опухоли наблюдаются очаги некроза и кровоизлияний. Как правило, развивается не в цирротически измененной печени, поэтому иногда именуется «фокальным циррозом». Обычно бывает одиночной. Это редкое доброкачественное новообразование печени, наблюдается преимущественно у женщин, принимающих пероральные противозачаточные средства.
Узелковая регенераторная гиперплазия
Эта опухоль напоминает очаговую узелковую гиперплазию печени, а иногда и сочетается с ней. В отличие от последней существенно меньше представлены элементы соединительной ткани. Может рассматриваться как предстадия гепатоцеллюлярной карциномы. Иногда при росте клеточных элементов этой опухоли происходит сдавление крупных желчных протоков или крупных ветвей воротной вены. Как правило, выявляется не в цирротически измененной печени. Иногда развивается на фоне злокачественных заболеваний внепеченочной локализации (миелопролиферативные процессы, саркомы и др.).
Все эти виды ДОП- малосимптомные заболевания, в большинстве случаев их обнаружение можно отнести к случайным находкам. Печень у большинства таких больных не увеличена.
Радионуклидная сцинтиграфия обычно выявляет очаговый процесс размером 3-5 см. Если опухоль расположена в краевых зонах печени, то могут выявляться образования и меньших размеров.
Близкие к этим данным бывают получены при УЗИ и КТ, а также с помощью селективной ангиографии и ядерно-магнитного резонанса (ЯМР). Поэтому значительная часть опухолей небольших размеров просматривается. Уточнить характер этих трех видов опухолей позволяют лишь морфологические методы. Материал для этих исследований обычно получают при помощи пункционной биопсии иглами Шиба под контролем УЗИ или КТ.
Больные гепатоциллюлярной аденомой, очаговой (фокальной) узелковой гиперплазией и узелковой регенераторной гиперплазией печени в лекарственном лечении не нуждаются. Хирургическое лечение применяется нечасто. Показанием к нему являются либо сдавление желчных путей или кровеносных сосудов, либо появление болей. Операция проводится при развитии любого осложнения и быстром росте опухоли.
Методы вторичной профилактики и система наблюдения сводятся к следующему. Запрещается прием пероральных противозачаточных средств, эстрогенов, анаболических стероидов. Не рекомендуется работа, связанная с производством винилхлорида. Нежелателен прием фенобарбитала и зиксорина. Рекомендуется воздержание от алкоголя.
При впервые обнаруженной опухоли обследования проводятся 3-6-9-12 месяцев и далее 1 раз в год. Кроме обычного осмотра с определением размеров печени по Курлову, выполняются исследования содержания билирубина, активности аминотрансфераз, ЩФ, ГГТФ, альфа-фетопротеина, карциноэмбрионального антигена и антигена СА 19-9. Проводится также УЗИ печени.
Гемангиома
Клинически это малосимптомная доброкачественная опухоль, происходящая из сосудистых, главным образом венозных элементов печени. Относится к наиболее часто встречающемуся виду ДОП.
Она представлена двумя вариантами: кавернома, представляющая собой как бы расширенные кровеносные сосуды, и истинная гемангиома, развивающаяся из сосудистой эмбриональной ткани. Располагается чаще субкапсулярно, в правой доле, нередко обладает ножкой. Часто покрыта фиброзной капсулой, которая может кальцинироваться.
Спонтанные разрывы очень редки, но жизнеопасны. Четкие клинические проявления наблюдаются лишь в 5-10% опухолей. Как правило, в этих случаях диаметр опухоли превышает 5 см.
Во многих случаях обнаружение гемангиомы, как и других ДОП, относится к случайным находкам. При больших размерах и соответствующей локализации иногда появляются симптомы сдавления желчевыводящих путей или, реже, симптомы портальной гипертензии. Иногда больной обращается к врачу в связи с болями в верхней половине живота.
Важную информацию дают инструментальные исследования. Радионуклидная сцинтиграфия печени выполняется, как обычно, при подозрении на объемный процесс в печени в двух проекциях. Благодаря этому методу, как правило, можно обнаружить опухоль диаметром 4-5 см. При гемангиомах диаметром 4-5 см и более опухоль выявляется у 70-80% обследованных. УЗИ при наличии гемангиомы позволяет выявить гиперэхогенное, хорошо очерченное образование. Подобную же информацию представляет ЯМР. Нередко, особенно в менее массивной левой доле, отчетливо видна сосудистая ножка. Гемангиомы диаметром 3-5 см и более выявляются при УЗИ у 70-80% обследованных. Иногда отмечаются в гемангиомах участки обызвествления.
КТ позволяет получить данные, близкие к результатам УЗИ, хотя нередко приносит и существенную дополнительную диагностическую информацию. Эта дополнительная информация в первую очередь касается состояния окружающих тканей и органов. Целиакография при распознавании гемангиом позволяет получить наиболее точные данные. Обычно хорошо видны гиперваскуляризованные участки с четкими границами, позволяющие обнаружить гемангиому диаметром 2-3 см и более у 80-85% обследованных.
Непрямая радионуклидная ангиография, выполняемая с помощью гамма-камеры, приносит близкие, но менее точные по сравнению с целиакографией, результаты. Существенную информацию приносит нередко ЯМР.
При постановке диагноза - гемангиома исключаются злокачественные опухоли печени. В последние годы объектом дифференциальной диагностики все чаще становится своеобразная очаговая жировая дистрофия печени, особенно в тех случаях, когда на фоне очаговой жировой дистрофии встречаются округлые участки интактной печени. Эти участки имеют разную с жировой дистрофией плотность, и эта разница достаточно четко регистрируется при УЗИ и КТ. Эти псевдоопухолевые образования обычно не видны при радионуклидной сцинтиграфии печени. Однако этот дифференциально-диагностический признак не очень надежен. Решающую роль в выявлении очаговых жировых дистрофий играет прицельная биопсия печени.
Лечение гемангиом печени. При гемангиомах небольших размеров без тенденции к росту в медикаментозном и хирургическом лечении пациенты, как правило, не нуждаются. При крупных опухолях, сдавливающих желчные ходы или сосуды, появляются показания к резекции соответствующих сегментов печени. Чаще это правило касается гемангиом диаметром более 5 см.
Лимфангиомы печени встречаются крайне редко, по клинической картине они трудноотличимы от гемангиом. Подозрение на лимфангиому возникает лишь при наличии внепеченочного расположения опухоли в средостении и на шее.
Крайне редко встречаются фибромы, миксомы, липомы, невриномы печени, которым присущи черты доброкачественных опухолей: медленное развитие, четкие границы, нормальная СОЭ. Отсутствие маркеров опухолей и повышения активности таких ферментов сыворотки крови, как АсАТ, АлАТ, ЩФ, ГГТП, ЛДГ.
Лечебная тактика аналогична таковой при гемангиомах.
Методы вторичной профилактики и система наблюдения в основном такие же, как и при описанных выше доброкачественных опухолях. При всех видах ДОП запрещаются лекарственные препараты типа пероральных противозачаточных средств, анаболических стероидов. Нежелателен прием препаратов типа фенобарбитала и зиксорина. Не рекомендуется работа, связанная с производством винилхлорида.
Все больные ДОП нуждаются в постоянном врачебном наблюдении. При впервые обнаруженной опухоли обследования проводят через 3-6-9-12 месяцев и далее- 1 раз в год. Крома обычного осмотра с определением размеров печени по Курлову, выполняют исследования содержания билирубина, определив активность АлАТ, АсАТ, ЩФ, ГГТФ, ГДГ и ЛДГ, альфа-фетопротеина и канцероэмбрионального антигена.
Гепатоцеллюлярная карцинома (ГЦК)
ГЦК - это злокачественная опухоль, развивающаяся из гепатоцитов. Относится к первичным карциномам печени. У 60-80% больных она связана с персистированием вирусов гепатита В и С, у 70-85% больных в развитых странах ГЦК развивается на фоне цирроза печени. В мире ежегодно умирают от ГЦК около 750 000 человек.
В основном предложены морфологические классификации ГЦК. Наиболее распространено деление ГЦК на узловую, массивную и диффузную формы. Используется также система TNM. Нами разработана классификация (1988), включающая основные клинические варианты заболевания: гепатомегалический (охватывает около 50% больных), кистозный (3-5%), циррозоподобный (около 25%), гепатонекротический, или абсцессовидный (6-10%), иктерообтурационный (6-10%), маскированный(6-10%).
Некоторые исследователи более высоко оценивают данные УЗИ. А. Maringhini и соавт. (1988) при обследовании 124 больных ГЦК обнаружили у 47 из них гиперэхогенные участки, у 30- гипоэхогенные и у 47- смешанные. Чувствительность УЗИ, по данным авторов, составила 90%, специфичность- 93,3%.
Как сообщает J. C. Ellis (1988), опухоли диаметром менее 2 см трудно отличить от гемангиом, солитарных регенераторных узелков и аденом. Особенно трудна диагностика опухолей, расположенных непосредственно под диафрагмой, в верхнелатеральном отделе правой доли.
КТ дает примерно те же результаты, что и УЗИ, иногда несколько более высокие. Однако выявление опухолей небольших размеров (диаметром 2-4 см), особенно на фоне цирроза, представляет большие трудности. J. M. Henderson и соавт. (1988) при КТ-обследовании у 15 из 100 больных циррозом печени выявили аномалии очагового характера, подозрительные на ГЦК.
Лечение гепатоцеллюлярной карциномы.
Во всех случаях, когда это возможно, производится хирургическое лечение опухолей. Чаще резекция выполнима при опухолях левой доли. Отдаленные результаты хирургического лечения малоутешительны. В связи с этим контрольные обследования больных после резекций рекомендуется делать каждые 3 мес.
У сравнительно небольшой части больных осуществляется пересадка печени. Она выполняется у лиц моложе 60 лет, при отсутствии метастазов и тяжелых внепеченочных заболеваний. Отдаленные результаты неблагоприятные.
При невозможности хирургического лечения у части больных проводится химиотерапия.
Метастатическая карцинома печени (МКП)
Первичный очаг МКП расположен вне печени - в легком, желудке, толстой кишке и других органах. Относится к вторичным опухолям печени.
Частота метастазирования опухолей различной первичной локализации в печень различна.
Опухоли желчного пузыря метастазируют в печень в 75% случаев, поджелудочной железы - в 70%, толстой кишки, молочной железы, яичников, а также меланобластомы - в 50%, желудка и легких- в 40%. Однако сами первичные опухоли встречаются с различной частотой. Поэтому врач наблюдает наиболее часто метастазы в печени, исходящие из толстой кишки, желудка и легких, а у женщин - также из молочной железы и яичников.
Для подтверждения или исключения метастатического характера злокачественной опухоли печени проводится тщательное обследование ряда органов. При некоторых локализациях это имеет особенно важное значение.
В план обследования включают:
- исследование сыворотки крови (АПФ, карциноэмбриональный антиген, антиген СА - 199, кислая фосфотаза);
- рентгенографию грудной клетки;
- гастроскопию;
- колоноскопию или ректороманоскопию в сочетании с ирригоскопией;
- УЗИ поджелудочной железы, почек, яичников, предстательной железы;
- осмотр молочных желез и маммографию у женщин;
- консультация гинеколога и уролога.
Особое внимание уделяется возможности первичной локализации опухоли в толстой кишке, в предстательной железе (у мужчин) и в яичниках (у женщин), так как метастазы этих локализаций представляются у части больных относительно курабельными.
Читайте также:
- Нарушения микроциркуляции крови. Серозное воспаление при травме
- Регуляция пролиферации стволовых клеток. Свойства стволовой клетки
- Лечение пороков сердца с легочной гипертензией. Сердечная недостаточность при пороке сердца
- МРТ локтевого сустава в продольной проекции в норме
- Рефлекс мочеиспускания. Воздействие головного мозга на мочеиспускание
